Celebrating
Peer Review
Week 2025
 
24 pages, 4102 KB  
Article
Synthesis of First Copper Metal Complex of C=C Extended Curcuminoid Analogue: Structure, β-Cyclodextrin Association, and Biological Properties
by Rosario Tavera-Hernández, Rubén Sánchez-Obregón, Marco A. Obregón-Mendoza, Antonio Nieto-Camacho, María Teresa Ramírez-Apan, Leidys L. Pérez-González and Raúl G. Enríquez
Molecules 2025, 30(19), 3943; https://doi.org/10.3390/molecules30193943 (registering DOI) - 1 Oct 2025
Abstract
The search for bioactive compounds against chronic diseases such as cancer and diabetes
includes curcuminoids as promising scaffolds. Here, we report the synthesis of a family
of curcuminoid analogue compounds with an extended unsaturated central chain, as follows:
difluoroboron complex 1, the [...] Read more.
The search for bioactive compounds against chronic diseases such as cancer and diabetes
includes curcuminoids as promising scaffolds. Here, we report the synthesis of a family
of curcuminoid analogue compounds with an extended unsaturated central chain, as follows:
difluoroboron complex 1, the enolised curcuminoid 2, and its homoleptic copper
complex 3, in moderate to good yields (68–90%). Additionally, their β-cyclodextrin (BCD)
association complexes, 4 and 5, were prepared through a mechanochemical method and
characterised by spectroscopic techniques. Complete 1H and 13C NMR assignments and
NOESY correlations revealed unique solvent effects on the conformational disposition of
compound 2, while the copper complex 3 displayed the highest extinction coefficient (1.20
× 105 M−1·cm−1). Furthermore, the authentication of the polymorph of 1 and the new crystal
structures of 2 and 3, determined by single-crystal X-ray analysis, were highlighted. Although
the copper complex 3 initially exhibited the lowest a-glucosidase inhibitory activity
(IC50 > 100 μM), it showed a significant increase (IC50 = 36.27 μM) upon association with
BCD, reaching values comparable to the free ligand (IC50 = 45.63 μM). Compounds 15
were non-toxic to healthy cells (COS-7), but compound 5 stands out as a promising candidate
against this metabolic condition. Full article
(This article belongs to the Special Issue Advances in Phenolic Based Complexes)
37 pages, 2374 KB  
Review
Tumor Microenvironment: Recent Advances in Immunotherapies of Pancreatic Cancer
by Sharon Varghese Thankachan, Vijayalakshmi Jayaraman, Liza Datta, Soniga Apthi, Binish Fatima Zaman, Raghav Gurunathan, Anuppama Suresh, Parthasarathy Chandrakesan, Ramachandran Vinayagam, Sang Gu Kang, Kanagaraj Palaniyandi and Dhanavathy Gnanasampanthapandian
Medicina 2025, 61(10), 1776; https://doi.org/10.3390/medicina61101776 (registering DOI) - 1 Oct 2025
Abstract
The progression of pancreatic cancer (PC) is significantly influenced by the immune system. In the United States, PC is the third leading cause of cancer-related mortality. The high lethality of PC is attributed to its immunological advantage, which is facilitated by an immunosuppressive [...] Read more.
The progression of pancreatic cancer (PC) is significantly influenced by the immune system. In the United States, PC is the third leading cause of cancer-related mortality. The high lethality of PC is attributed to its immunological advantage, which is facilitated by an immunosuppressive microenvironment, a low mutational burden, and minimal T-cell infiltration. Although immunotherapies, such as checkpoint blockades or genetically engineered T cells, have not yet demonstrated viability, there is a growing body of evidence suggesting that innovative combinations of conventional therapies and various procedures may lead to effective immunotherapy in the treatment of PC. This review focuses on the importance of the tumor microenvironment and the promising role of immunotherapies in PC. Full article
(This article belongs to the Special Issue Pancreatic Cancer: Advances in Treatment and Future Prospects)
Show Figures

Graphical abstract

23 pages, 3989 KB  
Article
Sequence Stratigraphy of the Volhynian (Late Middle Miocene) Deposits from the North Sector of Eastern Carpathian Foredeep
by Crina Miclӑuș, Anca Seserman, Sergiu Loghin and Viorel Ionesi
Geosciences 2025, 15(10), 379; https://doi.org/10.3390/geosciences15100379 (registering DOI) - 1 Oct 2025
Abstract
An exposed sedimentary succession, ca 115 m of a total of 1000 m, from the Eastern Carpathian foredeep was, for the first time, analyzed using facies analysis and scale- and time-independent sequence stratigraphy methods to reveal the depositional environment and its cyclic sedimentation. [...] Read more.
An exposed sedimentary succession, ca 115 m of a total of 1000 m, from the Eastern Carpathian foredeep was, for the first time, analyzed using facies analysis and scale- and time-independent sequence stratigraphy methods to reveal the depositional environment and its cyclic sedimentation. The outcropping deposits, belonging to the Șomuz Formation, dated on the basis of molluscs, foraminifera, and ostracods, are uppermost Volhynian (upper Serravalian). The three recurrent facies associations we have distinguished indicate a storm-dominated shoreface–offshore transition environment. Five-decametre-thick high-frequency sequences (HFS1–5), at most of 4th order, bounded by maximum regressive surfaces, were defined in the studied interval. The maximum thickness of the Volhynian deposits in the area, known both from well sites and outcrops, allowed us to estimate the sedimentation rate at ca 1.5 m/kyr. The fossil content shows that the entire sedimentary succession was deposited in very shallow to shallow water during the whole Volhynian (12.65 - ca 12.01 Ma). The time interval we studied was estimated at ca 75 kyr, so the average time of one HFS is ca 15 kyr. At this scale, considering that both high subsidence and Eastern Paratethys sea-level rise added to accommodation, the sediment supply must have been the main control of cyclic sedimentation, which, in turn, must have been controlled by precession climatic changes in the source area. The estimated time of an HFS is shorter than a precession cycle, but better dating might support or refute this hypothesis. This paper may awaken the interest of the owners of better data, especially from subsurface (seismic, well logs), to complete the data from natural exposures. Full article
(This article belongs to the Section Sedimentology, Stratigraphy and Palaeontology)
Show Figures

Figure 1

20 pages, 14055 KB  
Article
TL-Efficient-SE: A Transfer Learning-Based Attention-Enhanced Model for Fingerprint Liveness Detection Across Multi-Sensor Spoof Attacks
by Archana Pallakonda, Rayappa David Amar Raj, Rama Muni Reddy Yanamala, Christian Napoli and Cristian Randieri
Mach. Learn. Knowl. Extr. 2025, 7(4), 113; https://doi.org/10.3390/make7040113 (registering DOI) - 1 Oct 2025
Abstract
Fingerprint authentication systems encounter growing threats from presentation attacks, making strong liveness detection crucial. This work presents a deep learning-based framework integrating EfficientNetB0 with a Squeeze-and-Excitation (SE) attention approach, using transfer learning to enhance feature extraction. The LivDet 2015 dataset, composed of both [...] Read more.
Fingerprint authentication systems encounter growing threats from presentation attacks, making strong liveness detection crucial. This work presents a deep learning-based framework integrating EfficientNetB0 with a Squeeze-and-Excitation (SE) attention approach, using transfer learning to enhance feature extraction. The LivDet 2015 dataset, composed of both real and fake fingerprints taken using four optical sensors and spoofs made using PlayDoh, Ecoflex, and Gelatine, is used to train and test the model architecture. Stratified splitting is performed once the images being input have been scaled and normalized to conform to EfficientNetB0’s format. The SE module adaptively improves appropriate features to competently differentiate live from fake inputs. The classification head comprises fully connected layers, dropout, batch normalization, and a sigmoid output. Empirical results exhibit accuracy between 98.50% and 99.50%, with an AUC varying from 0.978 to 0.9995, providing high precision and recall for genuine users, and robust generalization across unseen spoof types. Compared to existing methods like Slim-ResCNN and HyiPAD, the novelty of our model lies in the Squeeze-and-Excitation mechanism, which enhances feature discrimination by adaptively recalibrating the channels of the feature maps, thereby improving the model’s ability to differentiate between live and spoofed fingerprints. This model has practical implications for deployment in real-time biometric systems, including mobile authentication and secure access control, presenting an efficient solution for protecting against sophisticated spoofing methods. Future research will focus on sensor-invariant learning and adaptive thresholds to further enhance resilience against varying spoofing attacks. Full article
(This article belongs to the Special Issue Advances in Machine and Deep Learning)
Show Figures

Figure 1

19 pages, 1172 KB  
Article
The Illusion of Control: How Knowledge and Expertise Misclassify Uncertainty as Risk
by Alessio Faccia, Pythagoras Petratos and Francesco Manni
Risks 2025, 13(10), 188; https://doi.org/10.3390/risks13100188 (registering DOI) - 1 Oct 2025
Abstract
This study explores the critical yet often misunderstood distinction between risk and uncertainty. The research examines how knowledge and expertise can contribute to an illusion of control in uncertain environments, leading decision-makers to misclassify uncertainty as risk. This misclassification can lead to inadequate [...] Read more.
This study explores the critical yet often misunderstood distinction between risk and uncertainty. The research examines how knowledge and expertise can contribute to an illusion of control in uncertain environments, leading decision-makers to misclassify uncertainty as risk. This misclassification can lead to inadequate management of unforeseen events and suboptimal decision-making outcomes. The study introduces a novel matrix framework that categorises decision-making environments into four distinct quadrants based on knowledge, expertise, risk, and uncertainty. The framework helps decision-makers navigate the trade-off between risk and uncertainty, guiding them in assessing their current position and informing their decisions. Key findings reveal that expertise, while essential, can lead decision-makers to treat uncertainty as risk. The matrix offers guidance on how to better manage risk and uncertainty. Full article
Show Figures

Figure 1

18 pages, 3832 KB  
Article
VSIG4 Is Dispensable for Tumor Growth and Metastasis in Murine Colorectal and Breast Cancer Models
by Els Lebegge, Neema Ahishakiye Jumapili, Jolien Van Craenenbroeck, Daliya Kancheva, Máté Kiss, Romina Mora Barthelmess, Ahmed E. I. Hamouda, Yvon Elkrim, Geert Raes, Éva Hadadi, Damya Laoui, Jo A. Van Ginderachter and Sana M. Arnouk
Cancers 2025, 17(19), 3207; https://doi.org/10.3390/cancers17193207 (registering DOI) - 1 Oct 2025
Abstract
Background: Tumor-associated macrophages (TAMs) are important contributors to tumor progression and metastasis. Therefore, the identification of molecules that mediate these cells’ tumor-promoting functions is highly warranted. VSIG4 has been proposed as a macrophage immune checkpoint. Hence, we aim to investigate this marker in [...] Read more.
Background: Tumor-associated macrophages (TAMs) are important contributors to tumor progression and metastasis. Therefore, the identification of molecules that mediate these cells’ tumor-promoting functions is highly warranted. VSIG4 has been proposed as a macrophage immune checkpoint. Hence, we aim to investigate this marker in preclinical models. Methods: Publicly available scRNAseq datasets of human colorectal (CRC) and triple-negative breast (TNBC) carcinomas and their murine counterparts were reanalyzed to investigate the expression of VSIG4 in the different TAM populations. Moreover, tumors were grown in Vsig4-deficient mice to evaluate the effect on primary tumor characteristics. Finally, since liver Kupffer cells and large peritoneal macrophages are at least partly VSIG4-high, and are implicated in metastasis to those organs, the dissemination of CRC cancer cells to those sites was assessed in the Vsig4-deficient mice. Results: We demonstrate that VSIG4 expression in human CRC and TNBC is mostly restricted to TAMs, and that its expression correlates with a worse prognosis. However, a striking finding was that no Vsig4 mRNA nor protein could be detected in the microenvironment of primary CRC and TNBC murine tumors, resulting in a similar tumor growth in wild type versus Vsig4-deficient mice. Moreover, no major differences were observed in metastatic tumor load in the liver and peritoneal cavity, apart from a reduced metastasis to the omentum in Vsig4-deficient animals. Conclusions: Murine cancer models are not suitable to investigate the role of VSIG4 in primary tumors and VSIG4 deficiency did not alter liver nor peritoneal cavity metastasis in murine models, with the exception of the omentum. Full article
(This article belongs to the Section Cancer Immunology and Immunotherapy)
Show Figures

Figure 1

13 pages, 446 KB  
Article
Visual Health in Autism Spectrum Disorder: Screening Outcomes, Clinical Associations, and Service Gaps
by Emine Tınkır Kayıtmazbatır, Hasan Ali Güler, Şule Acar Duyan, Ayşe Bozkurt Oflaz and Banu Bozkurt
Medicina 2025, 61(10), 1779; https://doi.org/10.3390/medicina61101779 (registering DOI) - 1 Oct 2025
Abstract
Background and Objectives: Children with autism spectrum disorder (ASD) often experience visual problems, yet their ophthalmic health remains underexplored due to testability challenges and limited-service access. This study evaluated ophthalmic screening outcomes in children with ASD and examined whether autism severity influenced [...] Read more.
Background and Objectives: Children with autism spectrum disorder (ASD) often experience visual problems, yet their ophthalmic health remains underexplored due to testability challenges and limited-service access. This study evaluated ophthalmic screening outcomes in children with ASD and examined whether autism severity influenced ocular findings or cooperation during examinations. Materials and Methods: This cross-sectional study included 210 children with ASD (mean age 8.18 ± 4.99 years; 83.3% male). Examinations were conducted in an autism education center using non-contact methods: stereopsis (LANG I stereotest; LANG-STEREOTEST AG, Küsnacht, Switzerland), cover–uncover, and Hirschberg tests for strabismus, Spot Vision Screener (Welch Allyn Inc., Skaneateles Falls, NY, USA) for refractive errors, and Brückner test for red reflex. Autism severity was assessed with the Turkish version of the Adapted Autism Behavior Checklist (AABC). Results: Refractive errors were identified in 22.3% of participants: astigmatism in 15.2%, myopia in 5.2% (including 3 high myopia), and hyperopia in 1.9%. Strabismus was present in 11.9%, most commonly intermittent exotropia. Nearly half (49.5%) could not complete stereopsis testing, and a weak positive correlation was observed between AABC scores and the higher absolute spherical equivalent (SE) value between the two eyes (r = 0.173, p = 0.044). Children unable to complete stereopsis testing had significantly higher AABC scores (22.66 ± 9.69 vs. 13.39 ± 9.41, p < 0.001). Notably, 50 children (23.8%) had never undergone an eye examination prior to this study. Conclusions: Ophthalmic findings, particularly astigmatism and strabismus, are common in children with ASD. Greater autism severity was associated with reduced testability and modestly worse refractive error status. These findings suggest that tailored, accessible eye-care approaches and systematic vision screening may help to reduce overlooked visual problems and support more equitable care for children with ASD. Full article
(This article belongs to the Special Issue Underserved Ophthalmology Healthcare)
Show Figures

Figure 1

12 pages, 1060 KB  
Article
ICU Admission-Related Factors Affecting the Duration of Mechanical Ventilation After Elective Cardiac Surgery—Retrospective Cohort Study from a Tertiary Center in Croatia
by Darko Kristović, Verica Mikecin, Ivana Presečki, Zrinka Šafarić Oremuš, Nataša Sojčić, Ivan Gospić, Hrvoje Lasić, Sanja Sakan, Danijela Kralj Husajna, Nikola Bradić, Jasminka Peršec and Andrej Šribar
Medicina 2025, 61(10), 1778; https://doi.org/10.3390/medicina61101778 (registering DOI) - 1 Oct 2025
Abstract
Background and Objectives: Enhancing recovery after cardiac surgery involves minimally invasive procedures, early extubation/mobilization, and swift discharge. While mechanical ventilation is often essential post-operation, prolonged invasive ventilation (IMV) increases mortality risk. Duration is influenced by patient factors (age and comorbidities), surgical complexity, [...] Read more.
Background and Objectives: Enhancing recovery after cardiac surgery involves minimally invasive procedures, early extubation/mobilization, and swift discharge. While mechanical ventilation is often essential post-operation, prolonged invasive ventilation (IMV) increases mortality risk. Duration is influenced by patient factors (age and comorbidities), surgical complexity, and complications. Prognostic scores like EuroSCORE II, sequential organ failure assessment (SOFA), the Charlson Comorbidity Index (CCI), and the vasoactive–inotropic score (VIS) help to predict ventilation needs. The aim of this study is to analyze the effect of pre-/post-operation factors and procedure type as predictors of ventilation time. Materials and Methods: This is a retrospective cohort observational study analyzing factors affecting the duration of postoperative mechanical ventilation in elective cardiac surgical patients treated between 1 January and 31 December 2024 in a tertiary center in continental Croatia. Patients were stratified into two groups according to the duration of IMV: normal (first three quartiles) and prolonged (upper quartile). In total, 493 elective cardiac surgical patients operated on under general endotracheal anesthesia with sternotomy or mini-sternotomy were admitted postoperatively to the cardiovascular ICU and mechanically ventilated during the observed period, and 463 patients were included in the final analysis after the exclusion criteria had been applied. Results: The mean age was 64.7 ± 9.8 years, and 28.7% of the cohort were females while 71.3% were males. The median Charlton Comorbidity Index was 4 (IQR 3–5), the VIS was 2 (IQR 0–3), the SOFA score at ICU admission was 5 (IQR 3–6), and the adjusted SOFA score was 3 (IQR 2–4). In the multivariate logistic regression model, a significant effect of female sex (OR 1.98), age (OR 1.05), VIS (OR 1.05), and history of previous cardiac surgery (OR 6.67) on the duration of mechanical ventilation was observed. In the time-to-extubation multivariate analysis, there was a significant effect of re-do surgery (HR 3.70), corrected SOFA score (HR 1.14), and VIS (HR 1.05) on the duration of mechanical ventilation. There was no significant effect of the type of surgery (CABG, aorta, aortic valve, mitral/tricuspid valve, or other) or the amount of chest tube drainage on the duration of mechanical ventilation. Conclusions: A history of previous cardiac surgery and the vasoactive–inotropic score during the first 24 postoperative hours in the ICU are the strongest predictors of the duration of mechanical ventilation after elective cardiac surgery, with a statistically significant effect present in both the logistic regression model and hazard ratio analysis. Further analyses with more variables are warranted in the future to refine the prognostic model. Full article
(This article belongs to the Special Issue Approaches to Ventilation in Intensive Care Medicine)
Show Figures

Figure 1

18 pages, 966 KB  
Article
Deep Learning Approaches for Classifying Aviation Safety Incidents: Evidence from Australian Data
by Aziida Nanyonga, Keith Francis Joiner, Ugur Turhan and Graham Wild
AI 2025, 6(10), 251; https://doi.org/10.3390/ai6100251 (registering DOI) - 1 Oct 2025
Abstract
Aviation safety remains a critical area of research, requiring accurate and efficient classification of incident reports to enhance risk assessment and accident prevention strategies. This study evaluates the performance of three deep learning models, BERT, Convolutional Neural Networks (CNN), and Long Short-Term Memory [...] Read more.
Aviation safety remains a critical area of research, requiring accurate and efficient classification of incident reports to enhance risk assessment and accident prevention strategies. This study evaluates the performance of three deep learning models, BERT, Convolutional Neural Networks (CNN), and Long Short-Term Memory (LSTM) for classifying incidents based on injury severity levels: Nil, Minor, Serious, and Fatal. The dataset, drawn from ATSB records covering the years 2013 to 2023, consists of 53,273 records and was used. The models were trained using a standardized preprocessing pipeline, with hyperparameter tuning to optimize performance. Model performance was evaluated using metrics such as F1-score accuracy, recall, and precision. Results revealed that BERT outperformed both LSTM and CNN across all metrics, achieving near-perfect scores (1.00) for precision, recall, F1-score, and accuracy in all classes. In comparison, LSTM achieved an accuracy of 99.01%, with strong performance in the “Nil” class, but less favorable results for the “Minor” class. CNN, with an accuracy of 98.99%, excelled in the “Fatal” and “Serious” classes, though it showed moderate performance in the “Minor” class. BERT’s flawless performance highlights the strengths of transformer architecture in processing sophisticated text classification problems. These findings underscore the strengths and limitations of traditional deep learning models versus transformer-based approaches, providing valuable insights for future research in aviation safety analysis. Future work will explore integrating ensemble methods, domain-specific embeddings, and model interpretability to further improve classification performance and transparency in aviation safety prediction. Full article
(This article belongs to the Topic Big Data and Artificial Intelligence, 3rd Edition)
Show Figures

Figure 1

20 pages, 4057 KB  
Article
Genome-Wide Association Analysis and Breeding-Oriented SNP Marker Development for Bacterial Wilt Resistance in Tomato (Solanum lycopersicum L.)
by Anjana Bhunchoth, Wasin Poncheewin, Arweewut Yongsuwan, Jirawan Chiangta, Burin Thunnom, Wanchana Aesomnuk, Namthip Phironrit, Bencharong Phuangrat, Ratree Koohapitakthum, Rungnapa Deeto, Nuchnard Warin, Samart Wanchana, Siwaret Arikit, Orawan Chatchawankanphanich and Vinitchan Ruanjaichon
Plants 2025, 14(19), 3036; https://doi.org/10.3390/plants14193036 (registering DOI) - 1 Oct 2025
Abstract
Bacterial wilt, caused by Ralstonia solanacearum, is a major constraint to tomato production globally. To uncover resistance loci and develop efficient molecular tools for breeding, we conducted disease phenotyping over two growing seasons, which revealed consistent variation in resistance and moderate broad-sense [...] Read more.
Bacterial wilt, caused by Ralstonia solanacearum, is a major constraint to tomato production globally. To uncover resistance loci and develop efficient molecular tools for breeding, we conducted disease phenotyping over two growing seasons, which revealed consistent variation in resistance and moderate broad-sense heritability (H2 = 0.22–0.28), suggesting a genetic basis. A genome-wide association study (GWAS) was performed on a diverse panel of 267 tomato accessions, evaluated against two R. solanacearum strains. A major resistance locus was identified on chromosome 12, with the strongest association observed at SNP S12_2992992, located within a gene encoding a leucine-rich repeat (LRR) receptor-like protein. Haplotype analysis indicated that the resistance-associated allele is relatively rare (~13.5%) in the population, underscoring its potential value in breeding programs. Functional validation in an F2 population derived from a cross between the susceptible ‘Seedathip6’ and the resistant ‘Hawaii 7996’ confirmed that the TT genotype at S12_2992992 was significantly associated with enhanced resistance. A Kompetitive Allele Specific PCR (KASP) marker was developed for this SNP, facilitating cost-effective and high-throughput selection. Collectively, these findings establish S12_2992992 as a robust and functionally informative marker, offering a valuable tool for accelerating bacterial wilt resistance breeding in tomato through marker-assisted selection. Full article
(This article belongs to the Section Plant Protection and Biotic Interactions)
16 pages, 3190 KB  
Article
Effects of Seat Vibration on Biometric Signals and Postural Stability in a Simulated Autonomous Driving Environment
by Emi Yuda, Yutaka Yoshida, Kunio Sato, Hideki Sakamoto and Makoto Takahashi
Sensors 2025, 25(19), 6039; https://doi.org/10.3390/s25196039 (registering DOI) - 1 Oct 2025
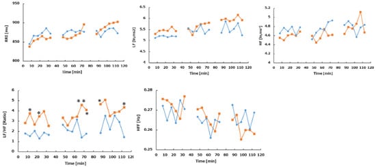
Abstract
This study investigated the physiological effects of seat vibration during prolonged sitting in a simulated autonomous driving environment. Eleven healthy participants (3 young adults and 8 older adults) viewed a 120-min highway driving video under two conditions: rhythmic seat vibration (2 Hz, mimicking [...] Read more.
This study investigated the physiological effects of seat vibration during prolonged sitting in a simulated autonomous driving environment. Eleven healthy participants (3 young adults and 8 older adults) viewed a 120-min highway driving video under two conditions: rhythmic seat vibration (2 Hz, mimicking natural respiration) and no vibration. Physiological and behavioral metrics—including Psychomotor Vigilance Task (PVT), seat pressure distribution, heart rate variability (HRV), body acceleration, and skin temperature—were assessed across three phases. Results demonstrated that seat vibration significantly enhanced parasympathetic activity, as evidenced by increased HF power and decreased LF/HF ratio (p < 0.05), suggesting reduced autonomic stress. Additionally, seated posture remained more stable under vibration, with reduced asymmetry and sway, while the no-vibration condition showed time-dependent postural degradation. Interestingly, skin surface temperature was lower in the vibration condition (p < 0.001), indicating a possible thermoregulatory mechanism. In contrast, PVT performance revealed more false starts in the vibration condition, particularly among older adults, suggesting that vibration may not enhance—and could slightly impair—cognitive alertness. These findings suggest that low-frequency seat vibration can support physiological stability and postural control during prolonged sedentary conditions, such as in autonomous vehicles. However, its effects on vigilance appear limited and age-dependent. Overall, rhythmic vibration may contribute to enhancing passenger comfort and reducing fatigue-related risks, particularly in older individuals. Future work should explore adaptive vibration strategies to balance physiological relaxation and cognitive alertness in mobility environments. Full article
(This article belongs to the Section Intelligent Sensors)
Show Figures

Figure 1

14 pages, 2863 KB  
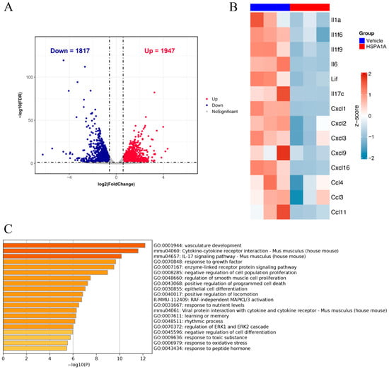
Article
HSPA1A Can Alleviate CFA-Induced Inflammatory Pain by Modulating Macrophages
by Wenjie Zhang, Xiaojun Xie, Xiaomin Xiong and Feiyu Chen
Int. J. Mol. Sci. 2025, 26(19), 9591; https://doi.org/10.3390/ijms26199591 (registering DOI) - 1 Oct 2025
Abstract
Current clinical approaches for managing inflammatory pain are frequently accompanied by adverse effects, significantly compromising patients’ quality of life. This study investigates the analgesic potential of Heat Shock Protein Family A Member 1A (HSPA1A) in alleviating Complete Freund’s Adjuvant (CFA)-induced inflammatory pain. The [...] Read more.
Current clinical approaches for managing inflammatory pain are frequently accompanied by adverse effects, significantly compromising patients’ quality of life. This study investigates the analgesic potential of Heat Shock Protein Family A Member 1A (HSPA1A) in alleviating Complete Freund’s Adjuvant (CFA)-induced inflammatory pain. The immunomodulatory mechanisms were elucidated through behavioral studies, flow cytometry, transcriptomics, proteomics, and cellular metabolic analyses. Findings indicate that HSPA1A mitigates CFA-induced mechanical allodynia, an effect independent of T or B lymphocytes and neutrophils but positively correlated with macrophage abundance. Transcriptomic RNA sequencing suggests involvement of inflammation-associated pathways. In vitro experiments demonstrate that HSPA1A suppresses the polarization of bone marrow-derived macrophages toward the pro-inflammatory M1 phenotype in an inflammatory model, with decreased mRNA expression of pro-inflammatory cytokines Interleukin-1β (Il1b) and Tumor Necrosis Factor (TNF). Macrophage metabolism undergoes reprogramming, characterized by reduced glycolysis and enhanced oxidative phosphorylation. Proteomic pathway analysis reveals suppression of pro-inflammatory and glycolytic proteins, coupled with upregulation of anti-inflammatory and tricarboxylic acid cycle-related proteins. In summary, HSPA1A likely exerts its analgesic effects by inhibiting glycolysis in macrophages, providing novel insights into inflammatory pain management and highlighting potential therapeutic targets for future clinical drug development with substantial translational potential. Full article
(This article belongs to the Section Molecular Immunology)
Show Figures

Figure 1

14 pages, 4929 KB  
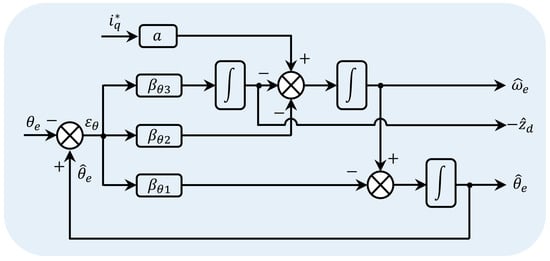
Article
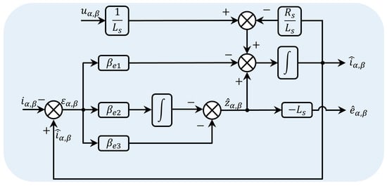
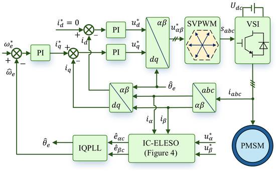
A DC Bias Suppression Sensorless Control for SPMSM Based on Extended State Observer with Improved Position Estimation Accuracy
by Jinpu Lin, Manfeng Dou, Haiyun Jia, Shuhao Yan, Mengxi Dang, Dongdong Zhao and Zhiguang Hua
Energies 2025, 18(19), 5221; https://doi.org/10.3390/en18195221 (registering DOI) - 1 Oct 2025
Abstract
In sensorless control systems of permanent magnet synchronous motors (PMSMs), the traditional linear extended state observer (LESO) is preferred due to its simplicity and ease of implementation. With the development of PMSM sensorless control systems, the requirements for position estimation performance have increased, [...] Read more.
In sensorless control systems of permanent magnet synchronous motors (PMSMs), the traditional linear extended state observer (LESO) is preferred due to its simplicity and ease of implementation. With the development of PMSM sensorless control systems, the requirements for position estimation performance have increased, and thus, traditional LESOs can no longer meet those needs. To address this issue, this article proposes an estimation method based on an integrally compensated-enhanced linear extended state observer (IC-ELESO) and an improved quadrature phase locked loop (IQPLL) with a third-order LESO. In the back electromotive force estimation scheme, by introducing a compensation loop, the proposed IC-ELESO suppresses DC bias and improves position estimation accuracy compared to traditional LESOs. In the position estimation scheme, the IQPLL combines the third-order LESO with a quadrature phase locked loop (QPLL) to eliminate errors introduced by ramp signals. Finally, a PMSM experimental platform is built to conduct a comparative experiment between the method proposed and the traditional LESO, which verifies the feasibility and superiority of the method proposed in this article. Full article
(This article belongs to the Special Issue Design and Analysis of Fuel Cell Propulsion System)
Show Figures

Figure 1

15 pages, 2584 KB  
Review
The Role of the Mediterranean Diet and Alcohol Consumption in Chronic Liver Disease Prevention: A Narrative Review
by María Barbería-Latasa, Diego Martínez-Urbistondo and Miguel A. Martínez-González
Medicina 2025, 61(10), 1777; https://doi.org/10.3390/medicina61101777 (registering DOI) - 1 Oct 2025
Abstract
The traditional Mediterranean Diet (MedDiet) has consistently demonstrated robust benefits in reducing cardiovascular, metabolic, and oncologic risks. Its high content of anti-inflammatory and antioxidant compounds, particularly (poly)phenols, underscores why this dietary pattern has been extensively researched and widely adopted for managing various metabolic [...] Read more.
The traditional Mediterranean Diet (MedDiet) has consistently demonstrated robust benefits in reducing cardiovascular, metabolic, and oncologic risks. Its high content of anti-inflammatory and antioxidant compounds, particularly (poly)phenols, underscores why this dietary pattern has been extensively researched and widely adopted for managing various metabolic conditions. This article aims to conduct a narrative review of the association between the MedDiet (and its debated alcohol consumption pattern) and a reduced risk of liver disease, with a specific focus on the potential preventive role of the MedDiet on Metabolic Dysfunction-Associated Steatotic Liver Disease (MASLD), which is now the most prevalent chronic liver disease globally. To carry out this review, relevant articles were searched on PubMed and other databases. The evidence found contributed to identifying the gaps in knowledge and allowed for the main findings to be summarized. Available randomized controlled trials and prospective cohort studies consistently support the hypothesis that high adherence to the MedDiet effectively reduces hepatic fat content, improves liver enzyme levels, and mitigates fibrosis progression. Crucially, this dietary pattern simultaneously addresses the significantly high cardiovascular risk inherent in MASLD. Historically, low-to-moderate alcohol intake, particularly moderate red wine with meals, was assumed to be a beneficial component of the MedDiet. While some observational studies suggest potential cardiovascular benefits, implying a loss of some MedDiet benefits if alcohol is excluded, a growing body of evidence highlights a deleterious synergistic interaction between alcohol, visceral adiposity, hepatic steatosis, and metabolic dysfunction. Based on the available evidence, clinical guidelines recommend the MedDiet with exercise for the prevention and management of MASLD. However, the alcohol consumption in the Mediterranean is currently under strong controversy. Furthermore, recent guidelines now advise total abstinence in patients with advanced liver disease and caution even at earlier MASLD stages. Yet, these assertions are largely based on observational data, underscoring the need for large clinical trials to address this issue with first-level evidence. Full article
(This article belongs to the Section Gastroenterology & Hepatology)
Show Figures

Figure 1

12 pages, 248 KB  
Article
Factors Associated with Hepatitis B Vaccination Status Among U.S. Adults with Diabetes
by Douwné L. Müller, Jessica Yingst, William A. Calo, Heather Stuckey, Thomas Godfrey and Li Wang
Diseases 2025, 13(10), 324; https://doi.org/10.3390/diseases13100324 (registering DOI) - 1 Oct 2025
Abstract
Background/Objectives: Adults aged 19–59 with diabetes are recommended by the Advisory Committee on Immunization Practices (ACIP) to receive vaccination against Hepatitis B Virus (HBV) infection because of their increased risk of contracting HBV. This study aimed to examine hepatitis B (HepB) vaccination rates [...] Read more.
Background/Objectives: Adults aged 19–59 with diabetes are recommended by the Advisory Committee on Immunization Practices (ACIP) to receive vaccination against Hepatitis B Virus (HBV) infection because of their increased risk of contracting HBV. This study aimed to examine hepatitis B (HepB) vaccination rates among U.S. adults aged 19–59 years with diabetes and explore sociodemographic factors associated with HepB vaccination. Methods: Data from the 2015–2018 National Health and Nutrition Examination Survey (NHANES) were analyzed to compare HepB vaccination between adults with and without diabetes. Weighted Chi-square analysis was used to test the associations between HepB vaccination status and various categorical variables. Weighted logistic regression was employed to identify factors associated with being fully vaccinated. Results: A total of 5988 adults aged 19–59 were included in the study, of whom 504 (8.4%) had diabetes. The HepB vaccination rate was 32.3% for those with diabetes vs. 43.6% for those without diabetes (p = 0.01). However, after adjusting for other covariates, having diabetes was not associated with being fully vaccinated against HBV (p = 0.583). Adults aged 45–59 years were less likely to be vaccinated against HBV compared to those aged 19–29 (OR: 0.12, p < 0.0001). Having health insurance, being female, and having a higher educational level were all associated with HepB vaccination status (all p < 0.01). Overall, the HBV infection rate was 1.1%. Having HepB vaccination was associated with a lower risk of HBV infection among both groups with and without diabetes. Conclusions: HepB vaccination among U.S. adults with diabetes was suboptimal and lower than among those without diabetes. Age and education were associated with being fully vaccinated against HBV. Future research is needed to identify and better understand barriers to receiving HepB vaccines. Full article
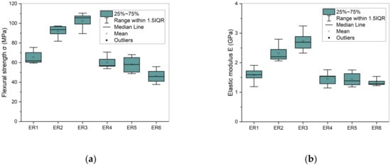
19 pages, 2040 KB  
Article
Physicochemical and Mechanical Performance of Dental Resins Formulated from Dimethacrylated Oligoesters Derived from PET Recycling via Glycolysis
by Stefanos Karkanis, Alexandros K. Nikolaidis, Elisabeth A. Koulaouzidou and Dimitris S. Achilias
Polymers 2025, 17(19), 2660; https://doi.org/10.3390/polym17192660 (registering DOI) - 1 Oct 2025
Abstract
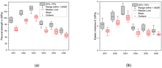
Growing concerns over the toxicity and sustainability of dental materials have driven the search for alternatives to bisphenol A-glycidyl methacrylate (Bis-GMA), a widely used dental resin monomer associated with health risks. This study highlights the potential of less health-hazardous dental formulations by incorporating [...] Read more.
Growing concerns over the toxicity and sustainability of dental materials have driven the search for alternatives to bisphenol A-glycidyl methacrylate (Bis-GMA), a widely used dental resin monomer associated with health risks. This study highlights the potential of less health-hazardous dental formulations by incorporating high-value materials derived from the glycolysis of poly(ethylene terephthalate) (PET). Dimethacrylated oligoesters (PET-GLY-DM), synthesized through the methacrylation of PET glycolysis products, were blended with Bis-GMA and triethylene glycol dimethacrylate (TEGDMA), toward the gradual replacement of Bis-GMA content. The innovative PET-GLY-DM-based resins exhibited a higher degree of conversion compared to traditional Bis-GMA/TEGDMA formulations, as measured by FTIR spectroscopy, accompanied by an increase in polymerization shrinkage, evaluated via a linear variable displacement transducer system. While the incorporation of PET-GLY-DM slightly reduced flexural strength and elastic modulus, it significantly decreased water sorption, resulting in a smaller reduction in mechanical properties after water immersion for 7 days at 37 °C and improved long-term performance. Furthermore, PET-GLY-DM resins exhibited low bisphenol-A (BPA) release measured with HPLC. It was thus confirmed that PET-GLY-DM resins derived from the glycolysis of PET wastes represent a promising alternative to conventional light-cured dental resins, offering reduced BPA release and improved water resistance. Full article
(This article belongs to the Section Circular and Green Sustainable Polymer Science)
Show Figures

Figure 1

15 pages, 10305 KB  
Article
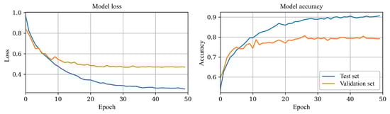
Convolutional Neural Network for Automatic Detection of Segments Contaminated by Interference in ECG Signal
by Veronika Kalousková, Pavel Smrčka, Radim Kliment, Tomáš Veselý, Martin Vítězník, Adam Zach and Petr Šrotýř
AI 2025, 6(10), 250; https://doi.org/10.3390/ai6100250 (registering DOI) - 1 Oct 2025
Abstract
Various types of interfering signals are an integral part of ECGs recorded using wearable electronics, specifically during field monitoring, outside the controlled environment of a medical doctor’s office, or laboratory. The frequency spectrum of several types of interfering signals overlaps significantly with the [...] Read more.
Various types of interfering signals are an integral part of ECGs recorded using wearable electronics, specifically during field monitoring, outside the controlled environment of a medical doctor’s office, or laboratory. The frequency spectrum of several types of interfering signals overlaps significantly with the ECG signal, making effective filtration impossible without losing clinically relevant information. In this article, we proceed from the practical assumption that it is unnecessary to analyze the entire ECG recording in real long-term recordings. Conversely, in the preprocessing phase, it is necessary to detect unreadable segments of the ECG signal. This paper proposes a novel method for automatically detecting unreadable segments distorted by superimposed interference in ECG recordings. The method is based on a convolutional neural network (CNN) and is comparable in quality to annotation performed by a medical expert, but incomparably faster. In a series of controlled experiments, the ECG signal was recorded during physical activities of varying intensities, and individual segments of the recordings were manually annotated based on visual assessment by a medical expert, i.e., divided into four different classes based on the intensity of distortion to the useful ECG signal. A deep convolutional model was designed and evaluated, exhibiting a 87.62% accuracy score and the same F1-score in automatic recognition of segments distorted by superimposed interference. Furthermore, the model exhibits an accuracy and F1-score of 98.70% in correctly identifying segments with visually detectable and non-detectable heart rate. The proposed interference detection procedure appears to be sufficiently effective despite its simplicity. It facilitates subsequent automatic analysis of undisturbed ECG waveform segments, which is crucial in ECG monitoring using wearable electronics. Full article
Show Figures

Figure 1

20 pages, 4275 KB  
Article
Design and Performance Validation of a Variable-Span Arch (VSA) End-Effector for Dragon Fruit Harvesting
by Lixue Zhu, Yipeng Chen, Qiuhui Lv, Shiang Zhang, Xinqi Feng, Shaoting Kong, Genping Fu and Tianci Chen
AgriEngineering 2025, 7(10), 327; https://doi.org/10.3390/agriengineering7100327 (registering DOI) - 1 Oct 2025
Abstract
The harvesting of dragon fruit remains challenging due to uneven clamping forces, high fruit damage rates, and low redundancy in conventional end-effectors. To address these issues, we developed a novel embracing end-effector with a Variable-Span Arch (VSA) structure. The VSA design enables adaptive [...] Read more.
The harvesting of dragon fruit remains challenging due to uneven clamping forces, high fruit damage rates, and low redundancy in conventional end-effectors. To address these issues, we developed a novel embracing end-effector with a Variable-Span Arch (VSA) structure. The VSA design enables adaptive clamping force distribution and effective torsional fruit separation, significantly reducing static pressure damage. Theoretical modeling, mechanical testing, and field experiments were conducted to evaluate its performance. Results show that the proposed end-effector achieves a 95% harvesting success rate, with an average picking time of 15 s per fruit, and can output a maximum torque of 18 kgf·cm, which is sufficient for dragon fruit detachment. These findings demonstrate that the VSA-based embracing end-effector offers a low-damage, efficient, and robust solution for dragon fruit harvesting, providing practical guidance for robotic applications in tropical fruit production. Full article
Show Figures

Figure 1

11 pages, 6912 KB  
Article
Sinter-Bonding Characteristics in Air of Decomposable Sheet Material Containing Bimodal-Sized Cu@Ag Particles for Die Attachment in High-Heat-Flux Devices
by Hye-Min Lee and Jong-Hyun Lee
Metals 2025, 15(10), 1098; https://doi.org/10.3390/met15101098 (registering DOI) - 1 Oct 2025
Abstract
A sheet-type sinter-bonding material was developed to form thermally stable and highly heat-conductive joints suitable for wide-bandgap (WBG) semiconductor dies and high-heat-flux devices, and its bonding characteristics were investigated. To enhance the cost-competitiveness of the bonding material, Ag-coated Cu (Cu@Ag) particles were employed [...] Read more.
A sheet-type sinter-bonding material was developed to form thermally stable and highly heat-conductive joints suitable for wide-bandgap (WBG) semiconductor dies and high-heat-flux devices, and its bonding characteristics were investigated. To enhance the cost-competitiveness of the bonding material, Ag-coated Cu (Cu@Ag) particles were employed as fillers instead of conventional Ag particles. To facilitate accelerated sintering, a bimodal particle size distribution comprising several micron- and submicron-sized particles was adopted by synthesizing and mixing both size ranges. For sheet fabrication, a decomposable resin was used as the essential binder component, which could be removed during the bonding process via thermal decomposition. This approach enabled the formation of a sintered bond line composed entirely of Cu@Ag particles. Thermogravimetric and differential thermal analyses revealed that the decomposition of the resin in the sheet occurred within the temperature range of 290–340 °C. Consequently, sinter-bonding conducted at 350 °C and 370 °C exhibited significantly superior bondability compared to bonding at 330 °C. In particular, sinter-bonding at 350 °C for just 60 s resulted in a highly densified joint microstructure with a low porosity of 7.6% and high shear strength exceeding 25 MPa. The formation of the bond line was initiated by sintering between the outer Ag shells of the adjacent particles. However, with increasing bonding time or temperature, sintering driven by Cu diffusion from the particle cores to the outer Ag shells, particularly in the submicron-sized particles, was progressively enhanced. These results obtained from the fabricated sheet-type materials demonstrate that, even with the use of resin, rapid solid-state sintering between filler particles combined with the removal of resin through decomposition enables the formation of a metallic bond line with excellent thermal conductivity. Full article
(This article belongs to the Section Welding and Joining)
Show Figures

Figure 1

18 pages, 2407 KB  
Article
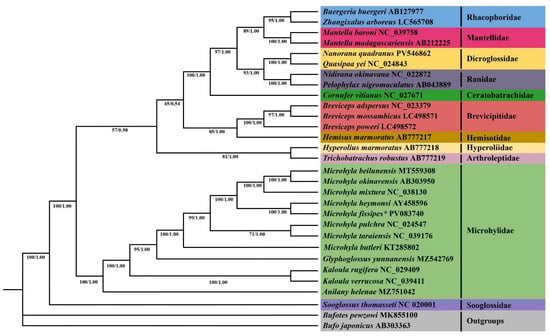
Mitogenomic Characterization of Microhyla fissipes and Its Implications for Phylogenetic Analysis in Microhylidae
by Siqi Shan, Simin Chen, Chengmin Li, Huiling Huang, Yaqing Liao and Lichun Jiang
Biology 2025, 14(10), 1342; https://doi.org/10.3390/biology14101342 (registering DOI) - 1 Oct 2025
Abstract
The microhylid frog Microhyla fissipes is a protected terrestrial wildlife species in China, recognized for its ecological, economic, and scientific value. However, its mitochondrial genome remains poorly characterized. To address this gap, we sequenced and annotated the complete mitogenome of M. fissipes to [...] Read more.
The microhylid frog Microhyla fissipes is a protected terrestrial wildlife species in China, recognized for its ecological, economic, and scientific value. However, its mitochondrial genome remains poorly characterized. To address this gap, we sequenced and annotated the complete mitogenome of M. fissipes to elucidate its structural organization and phylogenetic placement within Microhylidae. The assembled mitogenome is 16,723 bp in length and contains 37 genes, including 13 protein-coding genes, 2 rRNAs, and 22 tRNAs, along with one control region and the origin of heavy-strand replication. We also identified eight overlapping regions and eleven intergenic spacers. The overall base composition showed an A + T bias (59.91%) with negative AT-skew (−0.04) and GC-skew (−0.27). All tRNAs displayed typical cloverleaf secondary structures, except for trnS1, which lacked the D-arm. Phylogenetic reconstruction using both maximum likelihood and Bayesian inference strongly supported the monophyly of Microhylidae and revealed a sister-group relationship between Microhyla and Kaloula. Within Microhyla, M. fissipes was most closely related to M. heymonsi, with which it formed a well-supported clade that also included Microhyla okinavensis, Microhyla mixtura, and Microhyla beilunensis. Selection pressure analysis on protein-coding genes indicated widespread purifying selection (Ka/Ks < 1) across most genes, except for ATP8, COX2, and COX3, which may be under relaxed selective constraints. These findings offer valuable genomic resources for the conservation of M. fissipes and provide new insights into the phylogeny and evolution of microhylid frogs. Full article
(This article belongs to the Special Issue Progress in Wildlife Conservation, Management and Biological Research)
Show Figures

Figure 1

16 pages, 629 KB  
Review
Alcohol-Induced Oxidative Stress and Gut–Liver–Brain Crosstalk: Expanding the Paradigm from ALD to MetALD
by Jeong-Yoon Lee, Young-Min Jee, Keungmo Yang and Tom Ryu
Antioxidants 2025, 14(10), 1196; https://doi.org/10.3390/antiox14101196 (registering DOI) - 1 Oct 2025
Abstract
Alcohol-associated liver disease (ALD) includes a spectrum from steatosis and steatohepatitis to cirrhosis and hepatocellular carcinoma driven by oxidative stress, immune activation, and systemic inflammation. Ethanol metabolism through alcohol dehydrogenase, aldehyde dehydrogenase, and cytochrome P450 2E1 generates reactive oxygen and nitrogen species, leading [...] Read more.
Alcohol-associated liver disease (ALD) includes a spectrum from steatosis and steatohepatitis to cirrhosis and hepatocellular carcinoma driven by oxidative stress, immune activation, and systemic inflammation. Ethanol metabolism through alcohol dehydrogenase, aldehyde dehydrogenase, and cytochrome P450 2E1 generates reactive oxygen and nitrogen species, leading to mitochondrial dysfunction, hepatocellular injury, and activation of inflammatory and fibrogenic pathways. Beyond hepatic effects, ALD engages the gut–liver–brain axis, where microbial dysbiosis, blood–brain barrier disruption, and neuroinflammation contribute to cognitive impairment and cerebrovascular risk. The emerging concept, metabolic dysfunction-associated steatotic liver disease and increased alcohol intake (MetALD), presents the synergistic impact of alcohol and metabolic comorbidities, enhancing oxidative injury and fibrosis. This review summarizes key mechanisms connecting oxidative stress to multisystem pathology and highlights the need for precision therapies targeting redox imbalance, immune dysregulation, and gut–brain–liver interactions to improve outcomes in ALD and MetALD. Full article
(This article belongs to the Special Issue Alcohol-Induced Oxidative Stress in Health and Disease, 2nd Edition)
Show Figures

Figure 1

21 pages, 3759 KB  
Article
Forensics System for Internet of Vehicles Based on Post-Quantum Blockchain
by Zheng Zhang, Zehao Cao and Yongshun Wang
Sensors 2025, 25(19), 6038; https://doi.org/10.3390/s25196038 (registering DOI) - 1 Oct 2025
Abstract
Internet of Vehicles (IoV) serves as the data support for intelligent transportation systems, and the information security of the IoV is of paramount importance. In view of the problems of centralized processing, easy information leakage, and weak anti-interference ability in traditional vehicle networking [...] Read more.
Internet of Vehicles (IoV) serves as the data support for intelligent transportation systems, and the information security of the IoV is of paramount importance. In view of the problems of centralized processing, easy information leakage, and weak anti-interference ability in traditional vehicle networking systems, this paper proposes a blockchain architecture suitable for IoV forensics scenario. By leveraging the decentralized, distributed storage and tamper-proof capabilities of blockchain, it solves the privacy protection and data security issues of the system. Considering the threat of quantum computing to the encryption technology in traditional blockchain, this paper integrates lattice cryptography and ring signatures into digital signature technology, achieving privacy protection and traceability of the signer’s identity. To enhance the efficiency of lattice-based cryptographic algorithms, the DualRing technology is introduced, which reduces the computational time and storage consumption of ring signatures. Theoretical analysis has proved the correctness, anonymity, unlinkability, and traceability of the proposed scheme, which is applicable to the IoV forensics system. Simulation comparisons demonstrated that the proposed scheme significantly improves computational efficiency and reduces storage overhead. When the number of ring members is 256, the signature and verification times require only 65.76 ms and 21.46 ms, respectively. Full article
(This article belongs to the Section Communications)
Show Figures

Figure 1

15 pages, 4135 KB  
Article
Depth and Seasonality of Soil Respiration in Caragana korshinskii Plantation on the Loess Plateau
by Yarong Sun and Yunming Chen
Plants 2025, 14(19), 3038; https://doi.org/10.3390/plants14193038 (registering DOI) - 1 Oct 2025
Abstract
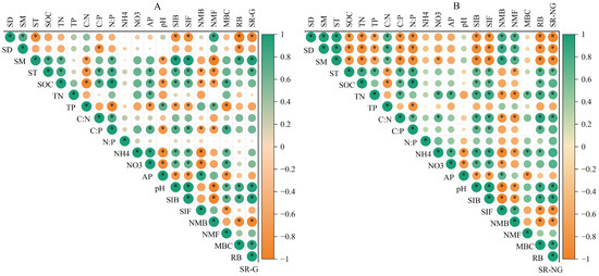
Quantifying deep soil (10–100 cm) and non-growing-season soil respiration (SR) is crucial for refining carbon (C) cycle models, yet the regulatory mechanisms governing these processes remain unclear. The novelty of this study lies in its focus on deep soils and non-growing seasons to [...] Read more.
Quantifying deep soil (10–100 cm) and non-growing-season soil respiration (SR) is crucial for refining carbon (C) cycle models, yet the regulatory mechanisms governing these processes remain unclear. The novelty of this study lies in its focus on deep soils and non-growing seasons to elucidate how soil properties regulate SR under these special conditions. We conducted an on-site field experiment in the Caragana korshinskii plantation, measuring SR at soil depths of 0–10 cm, 10–50 cm, and 50–100 cm during the non-growing season and growing. The results suggested that the annual cumulative soil CO2 fluxes reached 510.1 (0–10 cm), 131.5 (10–50 cm), and 45.3 g CO2·m−2 (50–100 cm). These emissions during the non-growing season accounted for 33%, 31%, and 32%, respectively. The soil physical properties (temperature, moisture, bulk density) explained the greatest variation in SR during growing and non-growing periods, followed by the biological properties (α-diversity, root biomass) and chemical properties (soil organic C, ammonium nitrogen, total C/nitrogen ratio). Depth-specific analysis demonstrated that soil physical properties explained the most SR variance at three depths with independent contributions of 78.9% (0–10 cm), 89.7% (10–50 cm), and 76.9% (50–100 cm). These values exceeded the independent contributions of chemical properties (70.3%, 70.9%, 60.0%) and biological properties (54.9%, 45.1%, 41.6%) at the corresponding depths. Overall, deep soil and non-growing season SR represent important C emission sources; excluding them may therefore substantially overestimate net C sequestration potential. Full article
(This article belongs to the Section Plant–Soil Interactions)
Show Figures

Figure 1

11 pages, 2198 KB  
Article
Interaction Between Colaconema daviesii and the Microscopic Stages of the Giant Kelp Macrocystis pyrifera Shows Negative Consequences to Gametophytes and Young Sporophytes
by Diego Videla and Cristian Bulboa
Phycology 2025, 5(4), 54; https://doi.org/10.3390/phycology5040054 (registering DOI) - 1 Oct 2025
Abstract
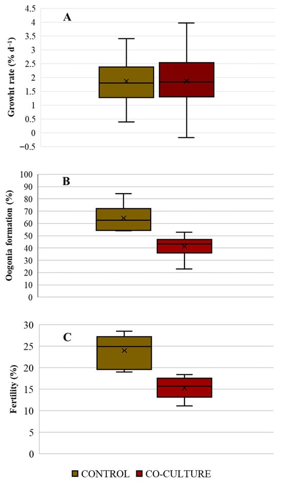
Colaconema daviesii has been described as an epi-endophyte of red algae. However, it has also been observed in vitro to colonize thalli of Macrocystis pyrifera, a giant kelp classified as a foundational organism of coastal marine ecosystems. This study aimed to determine, [...] Read more.
Colaconema daviesii has been described as an epi-endophyte of red algae. However, it has also been observed in vitro to colonize thalli of Macrocystis pyrifera, a giant kelp classified as a foundational organism of coastal marine ecosystems. This study aimed to determine, through co-cultivations, how C. daviesii affects the early stages of M. pyrifera, specifically gametophyte and sporophyte development. Determined were growth, oogonia formation, and gametophyte fertility, as well as sporophyte growth rate and survival. The results showed that the presence of C. daviesii negatively altered oogonia production and gametophyte fertility. Moreover, the survival of young sporophytes in co-cultures decreased. These findings demonstrate that the early developmental stages of M. pyrifera could be susceptible to infestation by a filamentous red alga, with negative consequences on fitness. Full article
Show Figures

Figure 1

31 pages, 12366 KB  
Article
Gateway-Free LoRa Mesh on ESP32: Design, Self-Healing Mechanisms, and Empirical Performance
by Danilo Arregui Almeida, Juan Chafla Altamirano, Milton Román Cañizares, Pablo Palacios Játiva, Javier Guaña-Moya and Iván Sánchez
Sensors 2025, 25(19), 6036; https://doi.org/10.3390/s25196036 (registering DOI) - 1 Oct 2025
Abstract
LoRa is a long-range, low-power wireless communication technology widely used in Internet of Things (IoT) applications. However, its conventional implementation through Long Range Wide Area Network (LoRaWAN) presents operational constraints due to its centralized topology and reliance on gateways. To overcome these limitations, [...] Read more.
LoRa is a long-range, low-power wireless communication technology widely used in Internet of Things (IoT) applications. However, its conventional implementation through Long Range Wide Area Network (LoRaWAN) presents operational constraints due to its centralized topology and reliance on gateways. To overcome these limitations, this work designs and validates a gateway-free mesh communication system that operates directly on commercially available commodity microcontrollers, implementing lightweight self-healing mechanisms suitable for resource-constrained devices. The system, based on ESP32 microcontrollers and LoRa modulation, adopts a mesh topology with custom mechanisms including neighbor-based routing, hop-by-hop acknowledgments (ACKs), and controlled retransmissions. Reliability is achieved through hop-by-hop acknowledgments, listen-before-talk (LBT) channel access, and duplicate suppression using alternate link triggering (ALT). A modular prototype was developed and tested under three scenarios such as ideal conditions, intermediate node failure, and extended urban deployment. Results showed robust performance, achieving a Packet Delivery Ratio (PDR), the percentage of successfully delivered DATA packets over those sent, of up to 95% in controlled environments and 75% under urban conditions. In the failure scenario, an average Packet Recovery Ratio (PRR), the proportion of lost packets successfully recovered through retransmissions, of 88.33% was achieved, validating the system’s self-healing capabilities. Each scenario was executed in five independent runs, with values calculated for both traffic directions and averaged. These findings confirm that a compact and fault-tolerant LoRa mesh network, operating without gateways, can be effectively implemented on commodity ESP32-S3 + SX1262 hardware. Full article
16 pages, 1057 KB  
Article
Cost-Effectiveness Analysis of Pitavastatin in Dyslipidemia: Vietnam Case
by Nam Xuan Vo, Hanh Thi My Nguyen, Nhat Manh Phan, Huong Lai Pham, Tan Trong Bui and Tien Thuy Bui
Healthcare 2025, 13(19), 2494; https://doi.org/10.3390/healthcare13192494 (registering DOI) - 1 Oct 2025
Abstract
Background/Objectives: Dyslipidemia is becoming a significant economic healthcare burden in low- to middle-income countries (LMICs) due to its role in heightening cardiovascular-related mortality. Statins are the first-line treatment for reducing LDL-C levels, thereby minimizing direct costs associated with cardiovascular disease management, with [...] Read more.
Background/Objectives: Dyslipidemia is becoming a significant economic healthcare burden in low- to middle-income countries (LMICs) due to its role in heightening cardiovascular-related mortality. Statins are the first-line treatment for reducing LDL-C levels, thereby minimizing direct costs associated with cardiovascular disease management, with pitavastatin being of the newest generation of statins. This research work conducted a cost-utility analysis of pitavastatin to determine the economic benefit in Vietnam. Methods: A decision tree model was developed to compare the rate of LDL-C controlled patients over a lifetime horizon among patients treated with pitavastatin, atorvastatin, and rosuvastatin. The primary outcome was the incremental cost-effectiveness ratio (ICER), measured from the healthcare system perspective. Effectiveness was evaluated in terms of quality-adjusted life years (QALYs), using an annual discount rate of 3%. A one-way sensitivity analysis was performed to identify the key input parameters that most influenced the ICER outcomes. Results: Pitavastatin was cost-effective compared to atorvastatin but was dominated by rosuvastatin. Although pitavastatin gained fewer QALYs than atorvastatin, the ICER was 195,403,312 VND/QALY, well below Vietnam’s 2024 willingness-to-pay. Drug cost had the most significant impact on ICERs. Conclusions: Pitavastatin represents an economical short-term alternative to atorvastatin, particularly in resource-constrained settings. Full article
Show Figures

Figure 1

9 pages, 1906 KB  
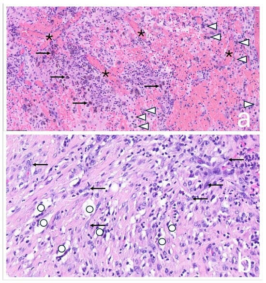
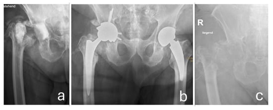
Case Report
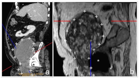
Excessive Implant Wear Reaction Mimicking Malignant Tumors: A Rare Orthopedic Case Report
by Lukas K. Kriechbaumer, Marian Mitterer, Patrick F. Marko, Sebastian Filipp, Christian Deininger, Eckhard Klieser, Andreas Hartmann and Thomas Freude
J. Clin. Med. 2025, 14(19), 6949; https://doi.org/10.3390/jcm14196949 (registering DOI) - 1 Oct 2025
Abstract
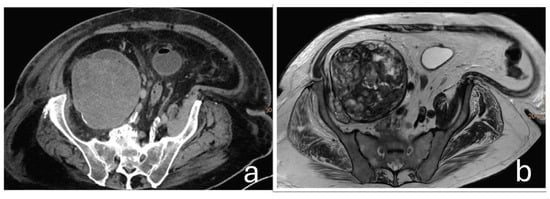
A 75-year-old patient was transferred to the oncology department due to the discovery of a large pelvic tumor compressing the femoral neurovascular bundle suspected to be of malignant origin. Further investigation revealed a rare complication related to a 27-year-old total hip arthroplasty (THA). [...] Read more.
A 75-year-old patient was transferred to the oncology department due to the discovery of a large pelvic tumor compressing the femoral neurovascular bundle suspected to be of malignant origin. Further investigation revealed a rare complication related to a 27-year-old total hip arthroplasty (THA). The final diagnosis was a severe adverse local tissue reaction (ALTR) resulting from excessive implant wear—first from a metal-on-metal (MoM) bearing and later exacerbated by a revision to a metal-on-polyethylene (MoP) articulation. The clinical course was further complicated by periprosthetic joint infection (PJI). The patient underwent extensive tumor-like mass resection followed by two-stage revision arthroplasty. Despite these interventions, infection persisted, ultimately necessitating joint resection. This case highlights the rare but serious convergence of dreaded orthopedic complications (ALTR and PJI). It underscores the diagnostic challenge posed by wear-induced pseudotumors, which are rare even among arthroplasty specialists and are often unfamiliar to oncologists. This case illustrates the importance of early orthopedic evaluation, maintaining a high index of suspicion in atypical presentations, and invites further discussion about the interplay between ALTRs and infection risk in arthroplasty patients. Full article
Show Figures

Figure 1

Open Access Journals

Browse by Indexing Browse by Subject Selected Journals
Back to TopTop