-
Development of a Machine Learning-Based Predictive Model for Arteriovenous Fistula Occlusion After Surgery: A Retrospective Cohort Study from 2015 to 2025 -
Synchronous Versus Metachronous Multiple Malignant Tumors Involving the Digestive Tract: Predictors of Survival from a Single-Center Retrospective Study -
Clinical Outcomes of Transdiscal Screws for Thoracolumbar Spinal Fractures with Marked Anterior Distraction Gap Accompanied by Diffuse Idiopathic Skeletal Hyperostosis -
Reappraising Use of Flecainide for Atrial Fibrillation and Ventricular Arrhythmias in Structural Heart Disease Patients -
Cardiac Surgery and Postoperative Atrial Fibrillation: The Role of Cancer
Journal Description
Medicina
Medicina
is an international, peer-reviewed, open access journal covering all problems related to medicine, published monthly online. It is the official journal of the Lithuanian University of Health Sciences (LUHS). The Lithuanian Medical Association (LMA), Vilnius University, Rīga Stradiņš University, University of Latvia, and University of Tartu are affiliated with Medicina, serving as their official journal. Members of these organizations receive discounts on the article processing charges.
- Open Access— free for readers, with article processing charges (APC) paid by authors or their institutions.
- High Visibility: indexed within Scopus, SCIE (Web of Science), PubMed, MEDLINE, PMC, and other databases.
- Journal Rank: JCR - Q1 (Medicine, General and Internal) / CiteScore - Q1 (General Medicine)
- Rapid Publication: manuscripts are peer-reviewed and a first decision is provided to authors approximately 17.5 days after submission; acceptance to publication is undertaken in 2.6 days (median values for papers published in this journal in the first half of 2025).
- Recognition of Reviewers: reviewers who provide timely, thorough peer-review reports receive vouchers entitling them to a discount on the APC of their next publication in any MDPI journal, in appreciation of the work done.
Impact Factor:
2.4 (2024);
5-Year Impact Factor:
2.8 (2024)
Latest Articles
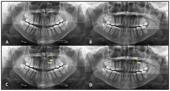
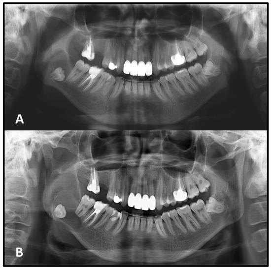
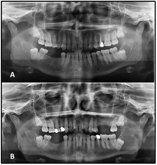
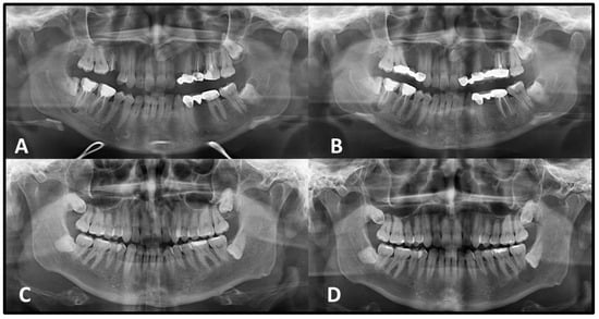
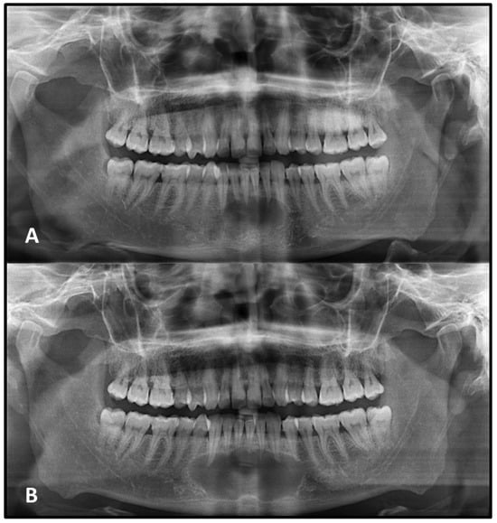
Retrospective Longitudinal Radiographic Evaluation of Non-Surgically Managed Jaw Lesions Using Panoramic Radiography
Medicina 2026, 62(1), 34; https://doi.org/10.3390/medicina62010034 - 24 Dec 2025
Abstract
Background and Objectives: The aim of this study was to evaluate the radiographic progression of non-surgically managed jaw lesions that remained untreated due to patient deferral or refusal of surgery. Radiographic changes were assessed using two panoramic radiographs obtained at different time
[...] Read more.
Background and Objectives: The aim of this study was to evaluate the radiographic progression of non-surgically managed jaw lesions that remained untreated due to patient deferral or refusal of surgery. Radiographic changes were assessed using two panoramic radiographs obtained at different time points, with a focus on dimensional progression, morphological characteristics, and anatomical involvement. Materials and Methods: A total of 85 non-surgically managed intraosseous cystic and cyst-like jaw lesions were evaluated on two panoramic radiographs obtained at least one year apart. Histopathological confirmation was available for 26 of the lesions (30.6%), while the remaining cases were evaluated radiographically due to the absence of surgical intervention or accessible pathology records. Assessments included localization, size, shape, internal structure, borders, association with non-erupted teeth, root resorption, tooth displacement, involvement of anatomical structures, and cortical changes such as thinning, expansion, or destruction. Nonparametric statistical comparisons were used to assess time-dependent changes and differences between follow-up groups. Results: A total of 57 lesions occurred in the mandible and 28 in the maxilla, predominantly in the posterior regions. The mean vertical/horizontal measurements of the intraosseous lesions was found to be 10.9 ± 4.6 mm/12.2 ± 6.5 mm (Mean ± SD) on the initial panoramic radiographs (Med: 10.0–IQR: 6.50/Med: 12.0–IQR: 8.75) and 14.8 ± 5.3 mm/17.5 ± 8.3 mm (Mean ± SD) on the second panoramic radiographs (Med: 14.5–IQR: 6.75/Med: 16.0–IQR: 10.75), respectively. Both vertical and horizontal dimensions showed a statistically significant increase between the two time points (p < 0.05). Initially, 41 lesions exhibited corticated margins; at follow-up, an additional 33 non-corticated lesions developed cortication. Lesions without corticated margins on the initial images exhibited significantly greater vertical and horizontal growth than those with corticated borders (p < 0.05). Lesions followed for 3–5 years showed significantly greater dimensional changes compared with those observed for shorter or longer intervals (p < 0.05). Lesion shape, internal structure, and multilocularity remained largely stable. Conclusions: Within the limitations of this retrospective study, non-surgically managed jaw lesions showed a tendency to increase in size over time. While the development of corticated borders may be associated with reduced growth activity, panoramic radiography alone is insufficient for definitive assessment, and regular radiographic follow-up should be considered within a broader clinical context.
Full article
(This article belongs to the Special Issue Oral and Maxillofacial Surgery: From Diagnosis to Treatment)
►
Show Figures
Open AccessArticle
Outcomes After Surgical Treatment of Infective Endocarditis with Destruction of the Cardiac Skeleton
by
Mascha von Zeppelin, Andreas Winter, Fabian Emrich, Zdenka Holubcova, Florian Hecker, Jan Hlavicka, Hiwad Rashid, Thomas Walther and Tomas Holubec
Medicina 2026, 62(1), 33; https://doi.org/10.3390/medicina62010033 - 24 Dec 2025
Abstract
Background and Objectives: Infective endocarditis (IE) continues to represent a life-threatening clinical entity, particularly in patients with advanced involvement of the cardiac fibrous skeleton. This study was designed to determine the incidence and to evaluate both short- and long-term outcomes in patients
[...] Read more.
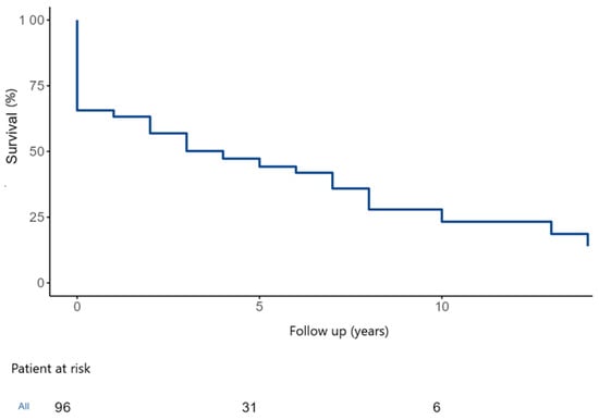
Background and Objectives: Infective endocarditis (IE) continues to represent a life-threatening clinical entity, particularly in patients with advanced involvement of the cardiac fibrous skeleton. This study was designed to determine the incidence and to evaluate both short- and long-term outcomes in patients undergoing complex surgical intervention necessitating patch reconstruction for extensive and destructive IE. Materials and Methods: Between January 2008 and December 2024, 678 patients underwent cardiac surgery for IE at University Hospital Frankfurt/Main. The primary endpoint was long-term survival; the secondary endpoint was freedom from reoperation. Results: Ninety-six patients (14%) required complex patch reconstruction, owing to the severe involvement of the cardiac fibrous skeleton. The median age was 68 years (interquartile range [IQR], 16.5 years). Forty-three patients underwent redo surgery following previous cardiac procedures. Abscess formation was identified in 88% of cases (n = 85). Infective endocarditis was predominantly left-sided in 97% of patients (n = 94). In 40 patients (41%), the aortomitral continuity or the left ventricular outflow tract (LVOT) was involved. Combined surgical procedures were performed in 85 patients (87.6%), including 19 commando or hemi-commando operations. Thirty-day mortality was 20% (n = 19). The estimated 5- and 10-year survival rates were 46.5 ± 5.5% and 26.1 ± 6.8%, respectively. Survival did not differ significantly between native and prosthetic valve endocarditis, nor between commando/hemi-commando procedures and cases with abscess formation but preserved aorto-mitral continuity. Conclusions: In industrialized countries, extensive IE with abscess formation or destruction of the cardiac skeleton is predominantly associated with Staphylococcus aureus. Patients undergoing commando or hemi-commando procedures do not experience inferior survival compared with other patients with extensive IE. No survival advantage was observed for native versus prosthetic valve IE in the presence of extensive abscess formation.
Full article
(This article belongs to the Section Surgery)
►▼
Show Figures

Figure 1
Open AccessArticle
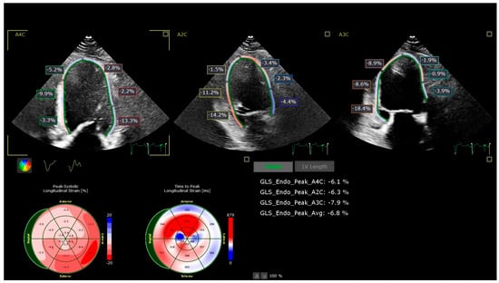
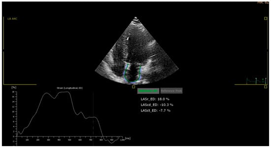
Quantification of Cardiovascular Disease Risk Among Hypertensive Subjects in Active Romanian Population Using New Echocardiographic, Biological and Atherogenic Markers
by
Calin Daniel Popa, Rodica Dan, Iosef Haidar, Cristina Popescu, Roxana Dan, Tabita Popa and Lucian Petrescu
Medicina 2026, 62(1), 32; https://doi.org/10.3390/medicina62010032 - 24 Dec 2025
Abstract
Background and Objectives: The objective of this study is to assess the efficacy of a novel software risk score, PulsIn, in predicting cardiovascular diseases within an independent study conducted on subjects from the western region of Romania. Accurate prediction of cardiovascular events in
[...] Read more.
Background and Objectives: The objective of this study is to assess the efficacy of a novel software risk score, PulsIn, in predicting cardiovascular diseases within an independent study conducted on subjects from the western region of Romania. Accurate prediction of cardiovascular events in hypertensive patients remains challenging when relying solely on traditional risk scores. This study proposes PulsIn, a composite risk score that integrates classical, echocardiographic, inflammatory, renal, and metabolic markers, combined with machine learning, to refine cardiovascular risk stratification. Materials and Methods: In a prospective cohort of 300 hypertensive adults without prior major cardiovascular events, we collected demographic and clinical data, standard risk factors, laboratory biomarkers (including homocysteine, paraoxonase-1 activity, microalbuminuria, and lipid profile), and advanced echocardiographic parameters (3D left ventricular ejection fraction, diastolic function, global longitudinal strain, and left atrial strain). PulsIn was constructed as an extended composite score and used as input to machine learning models (random forest, XGBoost, and other tree-based algorithms) to predict incident major cardiovascular events. Model performance was assessed by receiver operating characteristic curves, discrimination, calibration, and feature importance and compared with established risk scores (SCORE2, Framingham, QRISK, and others). Results: PulsIn-based models showed improved predictive performance compared with traditional scores, with XGBoost and random forest achieving area under the curve values up to approximately 0.85–0.88, versus 0.60–0.78 for conventional scores. Echocardiographic indices of subclinical cardiac damage, microalbuminuria, homocysteine, and paraoxonase-1 activity emerged as key predictors, particularly enhancing reclassification in patients at intermediate risk by traditional tools. Conclusions: The PulsIn composite risk score, integrating multimodal clinical, echocardiographic, and biomarker data within a machine learning framework, offers more accurate cardiovascular risk prediction than conventional algorithms in hypertensive patients. External validation in larger, independent, and more diverse populations is required before routine clinical implementation.
Full article
(This article belongs to the Special Issue New Insights into Heart Failure)
►▼
Show Figures

Figure 1
Open AccessReview
An Update on Pemphigus Vulgaris in Pregnancy and Neonates: Management Options and Our Clinical-Laboratory Experience
by
Maksymilian Markwitz, Natalia Welc, Monika Bowszyc-Dmochowska, Magdalena Jałowska and Marian Dmochowski
Medicina 2026, 62(1), 31; https://doi.org/10.3390/medicina62010031 - 23 Dec 2025
Abstract
Background and Objectives: Pemphigus vulgaris (PV) is a rare autoimmune blistering disease caused by IgG autoantibodies against desmoglein 3 and/or desmoglein 1, leading to flaccid blisters on the skin and mucous membranes. The course of PV during pregnancy represents a special clinical
[...] Read more.
Background and Objectives: Pemphigus vulgaris (PV) is a rare autoimmune blistering disease caused by IgG autoantibodies against desmoglein 3 and/or desmoglein 1, leading to flaccid blisters on the skin and mucous membranes. The course of PV during pregnancy represents a special clinical challenge due to immunological changes accompanying physiological immunosuppression and the need to protect the developing fetus. Materials and Methods: To analyze the current state of knowledge, a literature review was performed covering the years 2015–2025. Publications describing PV diagnosed during pregnancy or in neonates were screened, and nine case reports discussing ten patients meeting the inclusion criteria were selected for detailed analysis. In this study, we also present our own clinical case of PV in pregnancy to complement the literature review and provide practical insight into disease management. Results: In most cases, the disease was diagnosed in the first trimester of pregnancy, and the most common symptoms were flaccid blisters and erosions of the oral mucosa. The diagnosis was confirmed by direct immunofluorescence (DIF) and ELISA testing. The first-line treatment remained systemic glucocorticosteroids (GCS), mainly prednisolone, which is considered the safest. In resistant cases, intravenous immunoglobulins (IVIg) were used, which were considered effective and safe, though their use may limit the transplacental transfer of autoantibodies to the fetus. In newborns, the symptoms rarely occurred, were mild, and resolved spontaneously. Drugs with proven teratogenic effects, such as methotrexate, cyclophosphamide, and mycophenolate mofetil, are contraindicated during pregnancy. In the case of rituximab therapy, it is recommended to postpone pregnancy for at least 12 months after the completion of treatment to minimize the potential risk of immunosuppression in the newborn. Conclusions: The treatment of PV during pregnancy requires close interdisciplinary cooperation. Therapy should be carefully individualized, taking into account both therapeutic efficacy and fetal safety. Perhaps then, pregnancy-related pemphigus diseases, given their peculiarities, should be classified as a distinct variety within the desmosomal type of autoimmune blistering diseases.
Full article
(This article belongs to the Section Dermatology)
Open AccessArticle
Prevalence of Primary, Prominent, and Predominant Negative Symptoms of Schizophrenia in Routine Inpatient Psychiatric Care
by
Jonas Montvidas, Edas Kačerginis, Paulina Petraitytė, Eimantas Zauka and Virginija Adomaitienė
Medicina 2026, 62(1), 30; https://doi.org/10.3390/medicina62010030 - 23 Dec 2025
Abstract
Background and Objectives: Prevalence data of different classes of negative symptoms in an inpatient setting are scarce. Most of the data are collected in clinical trials under strict inclusion criteria, using older psychometric scales with known content validity flaws. The objectives of
[...] Read more.
Background and Objectives: Prevalence data of different classes of negative symptoms in an inpatient setting are scarce. Most of the data are collected in clinical trials under strict inclusion criteria, using older psychometric scales with known content validity flaws. The objectives of this study were to report the prevalence of different classes of negative symptoms in a naturalistic inpatient setting using both older and newer psychometric scales and to determine whether second-generation psychometric scales were not inferior to older scales in detecting negative symptoms. Materials and Methods: Negative symptoms were evaluated using older-generation (Positive and Negative Symptoms Scale, PANSS) and second-generation (Brief Negative Symptoms Scale, BNSS, and Self-Evaluation of Negative Symptoms Scale, SNS) measures. Primary, prominent, core, and predominant negative symptoms were calculated according to various descriptions used in other studies. Results: A total of 323 participants were included in this study. The mean score of the PANSS negative symptoms subscores was 25.33 (SD = 6.86, 95% CI 24.57–26.09), the mean total BNSS score was 36.48 (SD = 15.93, 95% CI 34.74–38.23), and the mean SNS total score was 18,9 (SD = 8.99, 95% CI 17.91–19.89). The prevalence of primary negative symptoms was similar in all groups. PANSS and BNSS categorized 71% of the sample as having prominent negative symptoms. The average prevalence of predominant negative symptoms, as measured by PANSS and BNSS, was 9.6%, whereas SNS reported 76.2%. Conclusions: Negative symptoms were highly prevalent in our inpatient sample. Most of our participants had primary and prominent negative symptoms; however, only a small fraction met the criteria for predominant negative symptoms. Prevalence data were similar between PANSS, BNSS, and SNS, showing that BNSS and SNS are not inferior to PANSS.
Full article
(This article belongs to the Section Psychiatry)
Open AccessArticle
Association Between Radiological Stenosis Level and Patient-Reported Outcomes in Patients with Lumbar Spinal Stenosis: A Cross-Sectional Study
by
Selda Çiftci İnceoğlu, Aylin Ayyıldız, Bora Şahin, Sefa Özcan, Alperen İnceoğlu, Hakan Ayyıldız and Banu Kuran
Medicina 2026, 62(1), 29; https://doi.org/10.3390/medicina62010029 - 23 Dec 2025
Abstract
Background and Objectives: The aim of this study was to evaluate the relationship between low back pain questionnaires and radiological stenosis severity in patients with lumbar spinal stenosis (LSS). Materials and Methods: Patients aged 50 years and over who presented with
[...] Read more.
Background and Objectives: The aim of this study was to evaluate the relationship between low back pain questionnaires and radiological stenosis severity in patients with lumbar spinal stenosis (LSS). Materials and Methods: Patients aged 50 years and over who presented with complaints of low back pain and were diagnosed or not diagnosed with LSS by magnetic resonance imaging (MRI) were included in the study. Demographic data, physical examination findings, and walking distance were recorded. Pain severity was assessed using the Visual Analog Scale (VAS), and patients completed the Oswestry Disability Index (ODI), the Istanbul Low Back Pain Disability Index (ILBPDI), and the Swiss Spinal Stenosis Questionnaire (SSS-Q). Results: A total of 120 patients with LSS (n = 56) and without LSS (n = 64) were included in the study. No significant differences were found between the groups in terms of demographic variables (p > 0.05). Neurogenic claudication and lumbar extension limitation were higher in the LSS group (p = 0.033 and p = 0.008, respectively), and walking distance was significantly shorter compared to the group without LSS (p = 0.024). There were significant differences between the VAS, ODI, ILBPDI, and SSS-Q scores between the two groups (p < 0.05). A strong positive correlation exists between the radiological severity of LSS and SSS-Q (p < 0.001, r = 0.707). Additionally, ROC analysis revealed that the SSS-Q had a significantly higher diagnostic value for LSS compared to the ODI and ILBPDI (p < 0.001). For the SSS-Q, likelihood ratios indicated limited diagnostic relevance (PLR 4.04 [95% CI: 2.45–6.67]; NLR 0.22 [95% CI: 0.13–0.44]). Conclusions: SSS-Q, ODI, and ILBPDI scores vary significantly between patients with and without LSS. Although the SSS-Q correlates most strongly with radiological LSS severity, its diagnostic utility appeared of minor importance, as likelihood ratios indicated limited discriminative ability.
Full article
(This article belongs to the Section Orthopedics)
Open AccessArticle
Ultrasound-Guided Femoral Hemostasis in Peripheral Angioplasty: Real-World Outcomes with Vascular Closure Devices Versus Manual Compression
by
Ioannis Skalidis, Livio D’Angelo, Mariama Akodad, Youcef Lounes, Hakim Benamer, Benjamin Honton, Antoine Sauguet, Neila Sayah, Pietro Laforgia, Nicolas Amabile, Thomas Hovasse, Philippe Garot, Antoinette Neylon, Francesca Sanguineti, Stephane Champagne and Thierry Unterseeh
Medicina 2026, 62(1), 28; https://doi.org/10.3390/medicina62010028 - 23 Dec 2025
Abstract
Background and Objectives: Access-site complications (ASCs) remain clinically relevant after peripheral endovascular procedures, particularly with large femoral sheaths and complex anatomy. While randomized coronary trials show non-inferiority of vascular closure devices (VCDs) versus manual compression (MC), real-world data in peripheral interventions performed under
[...] Read more.
Background and Objectives: Access-site complications (ASCs) remain clinically relevant after peripheral endovascular procedures, particularly with large femoral sheaths and complex anatomy. While randomized coronary trials show non-inferiority of vascular closure devices (VCDs) versus manual compression (MC), real-world data in peripheral interventions performed under systematic ultrasound-guided access are limited. Materials and Methods: This retrospective single-center cohort included consecutive peripheral arterial revascularizations (2010–2023) performed via common femoral access under real-time ultrasound guidance. Hemostasis was achieved using MC or VCDs, categorized as collagen plug-based, suture-mediated, or clip-based systems. The primary endpoint was 30-day ASCs, defined as hematoma requiring management, pseudoaneurysm, bleeding requiring transfusion, access-site thrombosis/occlusion, arteriovenous fistula, or infection. The secondary endpoint was VCD failure, defined as unsuccessful hemostasis requiring adjunctive measures. Multivariable logistic regression adjusted for prespecified anatomical and procedural covariates, including sheath size > 6 Fr and puncture-site calcification. Results: Among 231 procedures, VCDs were used in 139 (60.2%) and MC in 92 (39.8%). ASC occurred in 28 cases (12.1%), with higher rates in the MC group compared with VCDs (18.5% vs. 9–14% across device types; p = 0.044). In adjusted analyses, MC (vs any VCD) (odds ratio [OR] 2.41, 95% confidence interval [CI] 1.06–5.47; p = 0.035), sheath size > 6 Fr, and puncture-site calcification were independently associated with ASCs. VCD failure occurred in 5 cases (3.6%) and was not observed with collagen plug-based devices. Conclusions: In this ultrasound-guided real-world peripheral cohort, VCD use was associated with lower 30-day ASC rates and low device failure rates compared with MC. Given the retrospective and non-randomized design, these findings should be considered hypothesis-generating and support individualized, imaging-guided strategies for femoral closure in peripheral interventions.
Full article
(This article belongs to the Special Issue Advances in the Diagnosis and Treatment of Coronary Artery and Peripheral Artery Diseases)
►▼
Show Figures

Figure 1
Open AccessReview
Artificial Intelligence and Machine Learning in the Diagnosis and Management of Osteoporosis: A Comprehensive Review
by
Alessandro Conforti, Marco Ruggiero, Linda Lucchetti, Valerio Cipolloni, Francesco Demostene Galati, Martina Gentile and Alberto Lo Gullo
Medicina 2026, 62(1), 27; https://doi.org/10.3390/medicina62010027 - 23 Dec 2025
Abstract
Background and Objectives: Osteoporosis is a prevalent skeletal disorder characterized by decreased bone mass and compromised bone microarchitecture, leading to an elevated risk of fractures and significant morbidity, particularly among aging populations. Early diagnosis and personalized management are critical to reducing fracture
[...] Read more.
Background and Objectives: Osteoporosis is a prevalent skeletal disorder characterized by decreased bone mass and compromised bone microarchitecture, leading to an elevated risk of fractures and significant morbidity, particularly among aging populations. Early diagnosis and personalized management are critical to reducing fracture incidence and associated healthcare burdens. Recent advances in artificial intelligence (AI) and machine learning (ML) have led to potential improvements in enhancing osteoporosis care by enabling accurate diagnostic imaging analysis, robust fracture risk prediction, and personalized therapeutic strategies. Materials and Methods: We performed a narrative review to summarize and critically evaluate the current literature on AI and ML applications in osteoporosis diagnosis and management. We searched relevant literature from inception to January 2025 to provide a comprehensive perspective, focusing on key themes, methodological approaches, and clinical implications. Results: Deep learning models, especially convolutional neural networks, facilitate rapid and accurate bone mineral density assessment from routine radiographs, expanding screening capabilities beyond conventional dual-energy X-ray absorptiometry (DXA). Machine learning algorithms harness clinical and demographic data to generate fracture risk models that often outperform traditional tools, enabling timely identification of high-risk individuals. Furthermore, AI-driven analyses of historical treatment responses coupled with real-time monitoring through wearable technologies and mobile applications allow for personalized therapeutic optimization and enhance patient engagement. Despite these promising advances, challenges remain regarding ethical considerations, data privacy, legal liability, incomplete model validation, lack of standardization, and the need for critical appraisal of real-world clinical efficacy for widespread clinical adoption. Conclusions: This narrative review indicates that AI and ML hold significant promise to revolutionize osteoporosis management by enabling early detection, precise risk stratification, and tailored interventions. However, the current evidence is heterogeneous, often lacking robust external validation and quantitative synthesis. Critical gaps include insufficient evaluation of model robustness across diverse populations, discussion of negative or conflicting results, and a comprehensive assessment of the limitations inherent in current AI evidence. Strategic efforts to validate, regulate, and critically integrate these technologies into routine clinical workflows are essential to realize their full potential and address the growing burden of osteoporosis worldwide.
Full article
(This article belongs to the Section Orthopedics)
Open AccessArticle
Evaluation of Experience, Training, and Hand Dominance on Drilling Accuracy in Orthopedic Surgeons—A Preliminary Study
by
Etay Elbaz, Nadav Graif, Efi Kazum, Yaniv Warschawski, Jonathan Kleczewski, Asaf Bibas, Ron Gurel and Shai Factor
Medicina 2026, 62(1), 26; https://doi.org/10.3390/medicina62010026 - 23 Dec 2025
Abstract
Background and Objectives: To evaluate the association of surgeon experience, simulation-based training, and hand dominance on drilling accuracy using a synthetic bone model, with the hypothesis that training improves resident performance and left-handed individuals show superior bilateral accuracy. Materials and Methods:
[...] Read more.
Background and Objectives: To evaluate the association of surgeon experience, simulation-based training, and hand dominance on drilling accuracy using a synthetic bone model, with the hypothesis that training improves resident performance and left-handed individuals show superior bilateral accuracy. Materials and Methods: A prospective observational study was conducted in the Orthopedic Surgery Division of a tertiary academic center. Drilling accuracy was assessed before and after a standardized simulation-based training program. Twenty-five orthopedic surgeons participated: 9 junior residents (≤3 years of training), 8 senior residents (>3 years), and 8 board-certified experts. All participants completed baseline assessments; only residents were evaluated immediately after training and at a 2-week follow-up. Results: Experts showed superior baseline accuracy, particularly with the non-dominant hand. Senior residents showed a significant overall effect of time on right-hand accuracy (F(2,14) = 5.85, p = 0.014); post hoc pairwise comparisons showed trends toward improvement from baseline to post-training (p = 0.06) and from post-training to 2-week follow-up (p = 0.105); Junior residents showed no significant changes. Left-handed participants consistently outperformed right-handed peers with their non-dominant hands (p = 0.034). Among residents, this pattern persisted across all sessions. At baseline, senior residents and experts had similar right-hand accuracy (p = 0.59), but senior residents performed worse with the left hand (p = 0.038). No significant differences were found between junior and senior residents in either hand across all time points, indicating that residency duration alone does not improve performance without targeted training. Conclusions: Drilling accuracy in orthopedic surgery is influenced by experience level, targeted training, and hand dominance. Experts show greater precision, and senior residents showed a significant overall effect of time on right-hand accuracy, with trends toward improvement following training, while junior residents may need different training strategies. Tailored educational interventions are needed to improve accuracy and ambidexterity across all training stages. Level of evidence: II.
Full article
(This article belongs to the Section Orthopedics)
►▼
Show Figures

Figure 1
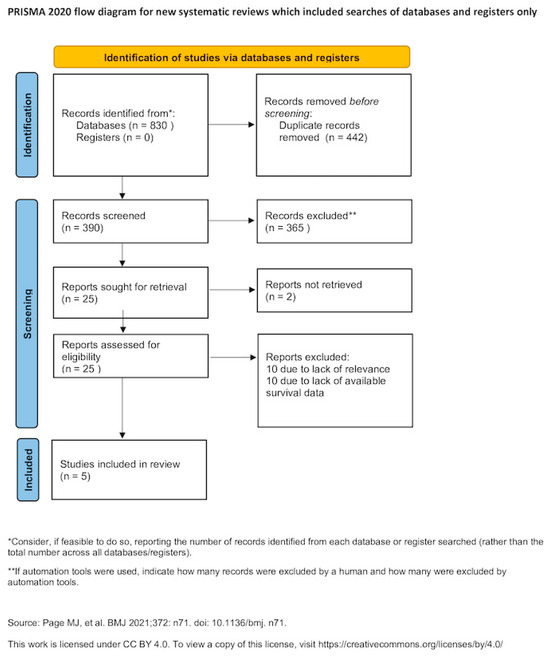
Open AccessSystematic Review
Telehealth-Based Cardiac Rehabilitation for Heart Failure: A Systematic Review of Effectiveness, Access, and Patient-Centred Outcome
by
Abdulfattah S. Alqahtani
Medicina 2026, 62(1), 25; https://doi.org/10.3390/medicina62010025 - 23 Dec 2025
Abstract
Background and Objectives: Heart failure (HF) affects millions globally, with traditional cardiac rehabilitation (CR) improving outcomes but facing access barriers. Telehealth-based CR offers a promising alternative, yet its effectiveness and patient-centred outcomes require updated evaluation. This systematic review aimed to assess the
[...] Read more.
Background and Objectives: Heart failure (HF) affects millions globally, with traditional cardiac rehabilitation (CR) improving outcomes but facing access barriers. Telehealth-based CR offers a promising alternative, yet its effectiveness and patient-centred outcomes require updated evaluation. This systematic review aimed to assess the effectiveness, accessibility, and patient-centred outcomes of telehealth-based CR compared with usual care or centre-based CR in adults with HF. Materials and Methods: This systematic review followed PRISMA 2020 guidelines. Eligible studies were randomized controlled trials involving adults with HF receiving telehealth CR (e.g., telephone, apps, remote monitoring) compared with usual care or centre-based CR; non-RCTs and studies lacking relevant outcomes were excluded. Searches of PubMed, Medline, CINAHL, EMBASE, and Web of Science identified studies published between 2020–2025. Primary outcomes were exercise capacity (six-minute walk distance [6MWD], peak VO2) and quality of life (QoL); secondary outcomes included adherence, satisfaction, and clinical events. Meta-analyses used standardized mean differences (SMD) for 6MWD and QoL. Risk of bias was assessed using PEDro, Jadad, and RoB2 tools. Results: Fourteen randomized controlled trials (total n = 7371 participants) met the inclusion criteria. Telehealth CR significantly improved 6MWD (SMD 0.35, 95% CI 0.15–0.55, p < 0.001; 6 studies) and QoL (SMD 0.28, 95% CI 0.10–0.46, p = 0.002; 8 studies) compared to usual care, showing equivalence to center-based CR. Adherence ranged from 70–92% and satisfaction 75–96%, and hospitalizations declined in some studies, though mortality benefits were not observed. Conclusions: Telehealth CR is effective, accessible, and patient-centred for individuals with HF, performing comparably to centre-based CR and better than usual care. It should be integrated into standard HF management, supported by policy and technology investment. Evidence is limited by short follow-up durations and moderate heterogeneity among trials.
Full article
(This article belongs to the Special Issue Cardiovascular Disease: From Clinical Diagnosis to Management and Treatment)
►▼
Show Figures

Figure 1
Open AccessReview
Preterm Birth and the Emergence of ADHD Symptoms: A Review of Recent Evidence
by
Panagiotis Papanikolopoulos, Stavroula Papanikolopoulou and Angeliki Gerede
Medicina 2026, 62(1), 24; https://doi.org/10.3390/medicina62010024 - 23 Dec 2025
Abstract
Background and Objectives: Preterm birth is a common obstetric problem. Attention-deficit hyperactivity disorder (ADHD) affects an increasing number of children. There is evidence that all subcategories of preterm birth are related to the occurrence of ADHD. The present article reviews the findings
[...] Read more.
Background and Objectives: Preterm birth is a common obstetric problem. Attention-deficit hyperactivity disorder (ADHD) affects an increasing number of children. There is evidence that all subcategories of preterm birth are related to the occurrence of ADHD. The present article reviews the findings of the last two years regarding this association. Materials and Methods: PubMed was screened for relevant articles published in English between January 2024 and November 2025. Keyword combinations of the words “preterm birth”, “prematurity”, “attention deficit disorder”, “attention disorders”, “ADHD”, “preterm” and “attention deficit hyperactivity disorder” were used. A total of 28 articles were retrieved, reviewed and selected. Results: Preterm birth results in higher risk of ADHD, while early preterm births are characterized by an even higher risk of ADHD. Additionally, postnatal complications commonly experienced by preterm infants are associated with the presence of ADHD. It seems that the maternal use of ADHD medications during pregnancy is associated with a high risk of preterm birth, although there is a concern about the role of other psychotropic medications during pregnancy. Various neurodevelopmental disorders are also associated with preterm birth. Maternal use of glucocorticoids combined with preterm birth leads to higher risk of ADHD. However, the outcome of ADHD is shaped by a wide range of social, familiar and biological factors. Conclusions: Prematurity is a significant risk factor for the development of ADHD symptoms in children. However, many biological, environmental, and psychosocial factors, such as neurodevelopmental vulnerability, perinatal complications, maternal health and adverse psychosocial factors, act as regulators in this relationship. Researching and understanding these associations will help in implementing preventive measures in children who are at increased risk of developing ADHD.
Full article
(This article belongs to the Section Pediatrics)
Open AccessFeature PaperArticle
Are We Still Mediterranean? Dietary Quality and Adherence in Sicilian Women Undergoing ART: A Prospective Observational Cohort Study
by
Annalisa Liprino, Veronica Corsetti, Filippo Giacone, Giorgio Ivan Russo, Maria Giovanna Asmundo, Sandrine Chamayou and Antonino Guglielmino
Medicina 2026, 62(1), 23; https://doi.org/10.3390/medicina62010023 - 23 Dec 2025
Abstract
Background and Objectives: The Mediterranean diet is traditionally linked to metabolic balance and improved reproductive health. However, dietary patterns in Mediterranean regions have progressively shifted toward more Westernized models, particularly among women of reproductive age, raising concerns about declining adherence to this historically
[...] Read more.
Background and Objectives: The Mediterranean diet is traditionally linked to metabolic balance and improved reproductive health. However, dietary patterns in Mediterranean regions have progressively shifted toward more Westernized models, particularly among women of reproductive age, raising concerns about declining adherence to this historically protective diet. Objective: To assess adherence to the Mediterranean diet among women undergoing assisted reproductive technology (ART) and to explore possible associations with ovarian response and clinical outcomes. Materials and Methods: This prospective observational cohort study was conducted at a reproductive clinic in Sicily between 1 June and 31 July 2022. One hundred women aged 18–40 years undergoing infertility assessment and scheduled for controlled ovarian stimulation were enrolled. Mediterranean diet adherence was evaluated using the validated 14-item MEDAS questionnaire during the first clinical visit. ART-related outcomes, including ovarian response and pregnancy rates, were extracted from medical records. Results: The mean MEDAS score was 7.6 ± 1.2: 93% of women showed moderate adherence, 3% high adherence, and 4% low adherence. No significant associations were found between MEDAS score, and total oocytes retrieved, MII oocytes, or clinical pregnancy. Conclusions: Despite living in a traditionally Mediterranean area, participants demonstrated only moderate adherence to the Mediterranean diet. Although no associations with single-cycle ART outcomes emerged, the findings underscore the need for structured nutritional counseling to reinforce sustained adherence and support long-term reproductive health.
Full article
(This article belongs to the Special Issue New Insights into Gynecological Disease)
►▼
Show Figures

Figure 1
Open AccessReview
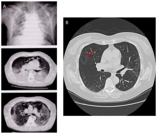
COVID-19 and Interstitial Lung Disease
by
Roberto G. Carbone, Sharada Nagoti, Assaf Monselise, Keith M. Wille, Francesco Puppo and Pallav L. Shah
Medicina 2026, 62(1), 22; https://doi.org/10.3390/medicina62010022 - 23 Dec 2025
Abstract
Background and Objectives: COVID-19 is an infection caused by the SARS-CoV-2 coronavirus that may develop several complications. Interstitial lung disease (ILD) is the major long-term complication of COVID-19 disease leading to progressive lung fibrosis and reduced respiratory function. The aim of this
[...] Read more.
Background and Objectives: COVID-19 is an infection caused by the SARS-CoV-2 coronavirus that may develop several complications. Interstitial lung disease (ILD) is the major long-term complication of COVID-19 disease leading to progressive lung fibrosis and reduced respiratory function. The aim of this narrative review is to provide an updated overview of post-COVID-19 ILD by examining research publications and clinical guidelines selected from PubMed, Web of Science, and major respiratory medicine journals from 2020 to 2025. Methods: ILDs are diagnosed by medical history, physiological examination, pulmonary function tests, and chest X-ray or high-resolution computed tomography (HRCT) scan. Lung biopsy, especially cryobiopsy or video-assisted thoracoscopic (VATS) biopsy, can be performed to define histological patterns and confirm the diagnosis. Results: Post-COVID-19 ILD is a chronic condition characterized by long-term respiratory symptoms, radiological findings, and reduced lung function. Fibrotic injury is a consequence of the initial infection and could be influenced by persistent inflammation and dysregulated tissue repair. Risk factors include severe acute illness, advanced age, male sex, and smoking. Clinical course and prognosis of post-COVID-19 ILD is uncertain, as most patients experience gradual improvement or stability, whereas others develop progressive lung function decline. Treatment of post-COVID-19 ILD is not presently defined by guidelines but comprises corticosteroids, antifibrotics (including new drugs such as nerandomilast), supportive oxygen, pulmonary physiotherapy rehabilitation, smoking cessation, and vaccination. Conclusions: ILD represents a significant long-term complication of COVID-19 infection. Further investigations are required to better understand its pathophysiology and clinical management. As research progresses, more effective diagnostic and therapeutic strategies are expected to emerge.
Full article
(This article belongs to the Special Issue Diagnosis and Treatment of Interstitial Lung Disease)
►▼
Show Figures

Figure 1
Open AccessArticle
Evaluation of Oxidative Stress and Antioxidant Effects of Methylxanthines in Adult Zebrafish Exposed to Zinc Oxide Nanoparticles (ZnO-NPs)
by
Cristian Dan Pavel, Carmen Lidia Chiţescu, Oana-Maria Dragostin, Lorena Dediu, Iuliana Aprodu, Ancuţa Dinu Iacob, Rodica Vatcu, Alexandra-Simona Zamfir and Carmen Lăcrămioara Zamfir
Medicina 2026, 62(1), 21; https://doi.org/10.3390/medicina62010021 - 22 Dec 2025
Abstract
►▼
Show Figures
Background and Objectives: Oxidative stress plays a central role in numerous pathological and toxicological processes, and in vivo investigations are essential for understanding integrated systemic responses. Methylxanthines have been reported to modulate redox homeostasis through multiple mechanisms, but their effects in aquatic vertebrate
[...] Read more.
Background and Objectives: Oxidative stress plays a central role in numerous pathological and toxicological processes, and in vivo investigations are essential for understanding integrated systemic responses. Methylxanthines have been reported to modulate redox homeostasis through multiple mechanisms, but their effects in aquatic vertebrate models under metal nanoparticle-induced oxidative stress remain poorly characterized. Materials and Methods: In the present study, adult zebrafish were exposed for 15 days to ZnO nanoparticles (0.69 mg/L) as a pro-oxidant model, and to methylxanthines (caffeine, theobromine, theophylline; 50 mg/L). Oxidative stress biomarkers were assessed by measuring the levels of glutathione peroxidase 1 (GPx1), catalase (CAT), superoxide dismutase (SOD), and reduced glutathione (GSH) in whole-body homogenates using ELISA. Complementary molecular docking was performed to investigate methylxanthine–enzyme interactions. Results: The most substantial change was observed for SOD level, which significant increased compared to the control group (from 0.122 to 1.090 ng/g; p = 0.001), followed by CAT, which rose from 38.3 pg/g to 100.8 pg/g; p = 0.001), and GPX1 which increased from 84.3 pg/g to 142.2 pg/g; p = 0.011). In parallel, GSH levels decreased by 58.7% (p = 0.001). Co-exposure to methylxanthines significantly modulated the ZnO-NPs exposure response, by mitigating the increase in antioxidant enzyme levels and restoring glutathione. Among the tested compounds, theobromine exerted the strongest protective effect on GPx1 and GSH and caffeine primarily influenced CAT and SOD, whereas theophylline showed overall weaker responses. The molecular docking investigation indicated that all tested methylxanthines can attach to different cavities of the antioxidant enzymes. Theophylline and theobromine established hydrogen bonds and π-stacking interactions with the interfacing amino acids, potentially contributing to the modulation of enzymes stabilization and function under physiological conditions. Conclusions: ZnO-NPs trigger a robust systemic response in zebrafish, whereas methylxanthines display distinct compound-specific modulating effects.
Full article

Figure 1
Open AccessSystematic Review
Evaluation of Maternal Inflammatory Biomarkers in Preterm Prelabor Rupture of Membranes: A Systematic Review and Meta-Analysis
by
Sandra Ioana Neamțu, Mihai Sava, Alina Simona Bereanu, Raluca Maria Bădilă, Ioana Roxana Codru, Bogdan Ioan Vintilă, Simina Mustățea, Oana Stoia and Radu Chicea
Medicina 2026, 62(1), 20; https://doi.org/10.3390/medicina62010020 - 22 Dec 2025
Abstract
Background and Objectives: Preterm prelabor rupture of membranes (PPROM) is a significant obstetric complication associated with increased maternal and neonatal morbidity and mortality. Inflammation plays a central role in its pathophysiology, and maternal inflammatory biomarkers have gained increasing attention as potential predictors of
[...] Read more.
Background and Objectives: Preterm prelabor rupture of membranes (PPROM) is a significant obstetric complication associated with increased maternal and neonatal morbidity and mortality. Inflammation plays a central role in its pathophysiology, and maternal inflammatory biomarkers have gained increasing attention as potential predictors of disease onset and adverse outcomes. Materials and Methods: This systematic review and meta-analysis synthesized evidence from PubMed, Scopus and Web of Science databases evaluating maternal inflammatory biomarkers—particularly interleukin-6 (IL-6)—in women with PPROM compared with controls. Eligible studies assessed biomarker levels in serum, plasma, or amniotic fluid and reported quantitative outcomes. Data were pooled using random-effects models, and heterogeneity was quantified using the I2 statistic. Results: A total of 23 studies involving 2841 participants were included. Maternal IL-6 concentrations were significantly elevated in PPROM compared with controls in both maternal serum (pooled SMD = 1.72; 95% CI: 1.15–2.29; p < 0.001) and amniotic fluid (SMD = 2.84; 95% CI: 2.01–3.67; p < 0.001). CRP showed a moderate association (SMD = 0.98; 95% CI: 0.61–1.36; p < 0.001), whereas IL-8 and TNF-α displayed inconsistent relationships. Conclusions: Elevated maternal IL-6 concentrations, particularly in amniotic fluid, are strongly associated with PPROM and adverse perinatal outcomes. IL-6 demonstrated superior diagnostic and prognostic value compared with other inflammatory markers. These findings support IL-6 as a promising biomarker for early risk identification and individualized the management of high-risk pregnancies.
Full article
(This article belongs to the Section Obstetrics and Gynecology)
►▼
Show Figures

Figure 1
Open AccessArticle
Cervical Artery Dissection in Autosomal Dominant Polycystic Kidney Disease
by
Anna Liu, Helena Xeros, Waseem Wahood, Zafer Keser and Muhib Khan
Medicina 2026, 62(1), 19; https://doi.org/10.3390/medicina62010019 - 22 Dec 2025
Abstract
Background and Objectives: Autosomal dominant polycystic kidney disease (ADPKD) is characterized by multisystem involvement, including renal cysts, hepatic cysts, intracranial aneurysms, and aortic root dilatation and dissection. Though exceedingly rare, cervical artery dissections (CeAD) have been reported in association with ADPKD. The
[...] Read more.
Background and Objectives: Autosomal dominant polycystic kidney disease (ADPKD) is characterized by multisystem involvement, including renal cysts, hepatic cysts, intracranial aneurysms, and aortic root dilatation and dissection. Though exceedingly rare, cervical artery dissections (CeAD) have been reported in association with ADPKD. The aim of this retrospective observational study is to investigate clinical features in patients with ADPKD that increase the probability of an associated CeAD diagnosis. Materials and Methods: The National Inpatient Sample from 2016 to 2020 was utilized to compare clinical features for patients with an ICD-10 code diagnosis of ADPKD, CeAD, and both ADPKD and CeAD. The Cochran–Armitage test and Chi-square test were utilized to assess clinical features or trends in ADPKD patients associated with a concurrent CeAD diagnosis. Results: Between 2016 and 2020, there were 224,065 people with ADPKD, 86,135 with CeAD and 155 with both (0.05%). The total cohort had a mean age of 56.74 years, with 47.26% female participants (p = 0.70), and was predominantly white (66.15%, p < 0.001). In patients with ADPKD, comorbid acute ischemic stroke (p < 0.001), transient ischemic attack (p < 0.001), aortic dissection (p < 0.001), coronary artery dissection (p < 0.001), subarachnoid hemorrhage (p < 0.001), coagulation defects (p = 0.002), and hypertension (p < 0.001) are risk factors associated with an increased probability of concomitant CeAD. Conclusions: CeAD in ADPKD patients is rare. In ADPKD patients, acute ischemic stroke, transient ischemic attack, aortic dissection, coronary artery dissection, subarachnoid hemorrhage, coagulation defects, and hypertension are risk factors of concomitant CeAD. Recognizing these factors can aid in the decision to screen for concomitant CeAD in patients with ADPKD.
Full article
(This article belongs to the Section Neurology)
►▼
Show Figures

Figure 1
Open AccessArticle
Establishing a Robot-Assisted Liver Surgery Program: Early Experience from University Medical Center Ljubljana
by
Miha Petrič, Živa Nardin, Jan Grosek, Aleš Tomažič, Boštjan Plešnik and Blaž Trotovšek
Medicina 2026, 62(1), 18; https://doi.org/10.3390/medicina62010018 - 22 Dec 2025
Abstract
Background and Objectives: Robot-assisted procedures represent a significant advancement in minimally invasive liver resection techniques. Nonetheless, the introduction of a novel surgical technique in a new environment necessitates meticulous planning and a gradual, stepwise approach. This study describes the adoption of a
[...] Read more.
Background and Objectives: Robot-assisted procedures represent a significant advancement in minimally invasive liver resection techniques. Nonetheless, the introduction of a novel surgical technique in a new environment necessitates meticulous planning and a gradual, stepwise approach. This study describes the adoption of a robotic surgical platform for liver resection at a high-volume tertiary care center. Materials and Methods: We retrospectively analyzed data that had been prospectively collected from fifty robot-assisted liver resections. Descriptive statistics, including frequencies, percentages, means/medians, and standard deviations, were employed for description and summary. Results: The median operative duration was 166 min (range: 85–400 min), with an average intraoperative blood loss of 200 mL (range: 50–1000 milliliters). Intraoperative or postoperative blood transfusion was required in 8% of patients. Conversion to open resection was necessary in one patient (2%). The mean duration of hospitalization was 5 days (range: 3–20 days), with a 30-day readmission rate of 6% and no mortality within 90 days. Postoperative complications classified as Clavien-Dindo grade 3 or higher were observed in five patients (10%). The mean tumor size varied according to pathology: 58.5 mm (range: 30–120 mm) in the hepatocellular carcinoma group; 27.4 mm (range: 10–32 mm) in the secondary malignancy group; and 42.6 mm (range: 24–60 mm) in the intrahepatic cholangiocarcinoma group. The median number of lymph nodes harvested during lymphadenectomy (IHHCA/GBCA) was 5.4, ranging from 1 to 11. The R0 resection rate for malignant tumors was 88.2% (of 30/34). Conclusions: This study validates the safe integration of robot-assisted surgery into liver disease treatment, supported by our initial experience. Despite its technical advantages, robotic-assisted liver surgery remains complex and demanding. Structured robotic training within established programs, meticulous patient selection, and a stepwise implementation approach are critical during the early phases to optimize the outcomes.
Full article
(This article belongs to the Special Issue Clinical Practice and Future Challenges in Abdominal Surgery)
►▼
Show Figures

Figure 1
Open AccessArticle
Open Iliac Conduits Enabling the New Era of Endovascular Aortic Repair in Hostile Iliofemoral Anatomy: A Single-Center Retrospective Study
by
Konstantinos Litinas, Michalis Pesmatzoglou, Nikolaos Kontopodis, Ioannis Kakisis and Christos V. Ioannou
Medicina 2026, 62(1), 17; https://doi.org/10.3390/medicina62010017 - 22 Dec 2025
Abstract
Background and Objectives: Hostile iliofemoral anatomy (HIA) challenges large-bore access in thoracic, branched, or fenestrated endovascular aortic repair (t/b/fEVAR). Retroperitoneal open iliac conduit (ROIC) enables safe delivery, but data in complex t/b/fEVAR are scarce. Materials and Methods: This retrospective single-center cohort
[...] Read more.
Background and Objectives: Hostile iliofemoral anatomy (HIA) challenges large-bore access in thoracic, branched, or fenestrated endovascular aortic repair (t/b/fEVAR). Retroperitoneal open iliac conduit (ROIC) enables safe delivery, but data in complex t/b/fEVAR are scarce. Materials and Methods: This retrospective single-center cohort study (2017–2025) of 80 t/b/fEVAR patients followed STROBE guidelines. Eight (10%) required elective ROIC for HIA (small iliac diameter < 7 mm or occlusive disease). Outcomes were compared to 23 no-conduit complex endovascular aortic repair cases. Results: ROIC patients [50% female, 87.5% smokers] had higher PAD [62.5% vs. 17.4%, p-value = 0.015]. All ROICs were elective [vs. 69.5% no-conduit, p-value = 0.076]; indications: Type V TAAA [50%], synchronous aneurysms (25%), Type II TAAA [12.5%] and arch aneurysm [12.5%]. Median operative time [365 vs. 200 min, p-value = 0.002], blood loss [1190 vs. 600 cc, p-value < 0.001], and contrast [420 vs. 300 cc, p-value = 0.004] were higher. Technical success was 100% [8/8] vs. 86.9% [20/23] (p-value = 0.28), and clinical success was 87.5% vs. 78.2% (p-value = 0.569). Median ICU stay [3 d vs. 2 d, p-value = 0.817] and hospital stay [12 d vs. 9 d, p-value = 0.404] were prolonged, albeit without statistically significant differences. In-hospital mortality was similar (12.5% vs. 17.4%, p-value = 0.746) between groups. One ROIC patient had intraoperative cardiac arrest [sheath dislodgement]; another required a covered stent for anastomotic rupture. At 12-month follow-up, one Type III endoleak required relining. Conclusions: Planned retroperitoneal open iliac conduits achieved 100% technical success in patients with hostile iliofemoral anatomy, without ischemic complications, despite longer operative times and higher blood loss. ROIC remains a safe and indispensable technique that extends complex endovascular aortic repair to otherwise ineligible patients.
Full article
(This article belongs to the Section Cardiology)
►▼
Show Figures

Figure 1
Open AccessArticle
Predicting Contrast-Induced Nephropathy in NSTEMI: The Role of the HALP Score
by
Evliya Akdeniz, Yasin Yüksel, Cennet Yildiz, Bünyamin Aişeoğlu, Salih Gürkan Ergün, Fatma Nihan Turhan Çağlar and Dilay Karabulut
Medicina 2026, 62(1), 16; https://doi.org/10.3390/medicina62010016 - 22 Dec 2025
Abstract
Background and Objectives: Contrast-induced nephropathy (CIN) remains a significant complication following invasive coronary procedures. The HALP score—a composite index derived from hemoglobin, albumin, lymphocyte, and platelet counts—reflects nutritional and inflammatory status and may serve as a predictive biomarker for CIN. The aim of
[...] Read more.
Background and Objectives: Contrast-induced nephropathy (CIN) remains a significant complication following invasive coronary procedures. The HALP score—a composite index derived from hemoglobin, albumin, lymphocyte, and platelet counts—reflects nutritional and inflammatory status and may serve as a predictive biomarker for CIN. The aim of our study is to evaluate the relationship between the HALP score and the development of CIN in non-ST segment elevation myocardial infarction (NSTEMI) patients undergoing coronary angiography (CAG) or percutaneous coronary intervention (PCI). Materials and Methods: This retrospective study included 577 NSTEMI patients who underwent CAG or PCI between December 2022 and June 2025. Patients were divided into two groups based on CIN development. The HALP score was calculated and compared between groups. Results: Of the 577 NSTEMI patients included, 74 (12.8%) developed CIN. Patients who developed CIN were significantly older and had a higher prevalence of diabetes mellitus (DM), worse baseline renal function, and lower levels of hemoglobin, albumin, HDL cholesterol, and lymphocytes (p < 0.001). They also showed higher neutrophil counts, troponin-T levels, and received greater volumes of contrast media (CM). Oral antidiabetic drug (OAD) use was positively associated with CIN, while angiotensin-converting enzyme inhibitor/angiotensin II receptor blocker use showed a negative association in univariate analysis. The HALP score was significantly lower in the CIN (+) group than CIN (−) group (15.88 ± 28.48 vs. 53.86 ± 28.48, p < 0.001). Multivariate analysis identified older age, DM, reduced left ventricular ejection fraction, elevated creatinine, increased neutrophils, lower hemoglobin, albumin, and lymphocytes, and higher CM volume as independent predictors of CIN. The HALP score remained a strong inverse predictor of CIN (OR: 0.895; 95% CI: 0.865–0.924; p < 0.001) and the Mehran score was positively associated with CIN risk (OR: 1.578; 95% CI: 1.154–2.087; p < 0.001). Covariate-adjusted receiver operating characteristic (AROC) analysis demonstrated that the HALP score showed good predictive accuracy (AUC: 0.780), with 74.3% sensitivity and 83.3% specificity at a cutoff of 24.1. Conclusions: The HALP score is a simple, accessible, and cost-effective biomarker with strong predictive value for CIN in NSTEMI patients undergoing invasive coronary procedures.
Full article
(This article belongs to the Section Cardiology)
►▼
Show Figures

Figure 1
Open AccessArticle
Slow Releasing CO Donor Modulates Susceptibility to Seizures in Rats with Chronic Prostatitis/Chronic Pelvic Pain Syndrome: Behavioral and EEG Study
by
Nikola Šutulović, Neriman Ezgin, Emilija Djuric, Milena Vesković, Dušan Mladenović, Zorica Nestorović, Aleksandra Rašić-Marković, Olivera Stanojlović and Dragan Hrnčić
Medicina 2026, 62(1), 15; https://doi.org/10.3390/medicina62010015 - 21 Dec 2025
Abstract
Background and Objectives: Chronic prostatitis/chronic pelvic pain syndrome (CP/CPPS) is a complex disease that involves changes in multiple organs and even the central nervous system (CNS). CP/CPPS may elevate seizure risk via neuroinflammatory mechanisms within the CNS. Neuroprotective effects of CO-releasing molecules
[...] Read more.
Background and Objectives: Chronic prostatitis/chronic pelvic pain syndrome (CP/CPPS) is a complex disease that involves changes in multiple organs and even the central nervous system (CNS). CP/CPPS may elevate seizure risk via neuroinflammatory mechanisms within the CNS. Neuroprotective effects of CO-releasing molecules (CORMs) were demonstrated in inflammation-driven conditions, while CORMs potential to ameliorate seizure susceptibility in inflammatory states, like CP/CPPS, remains unclear. Therefore, we investigated effects of CORM-A1 on susceptibility to lindane–induced seizures in rats with CP/CPPS through behavioral and electroencephalographic (EEG) study. Materials and Methods: Wistar rats were divided into four groups (n = 8/group): Sham-PBS, Sham-CORM, CP/CPPS-PBS and CP/CPPS-CORM. The CP/CPPS model was created by injection of 3% λ-carrageenan and its development assessed by mechanical pain threshold. CORM-A1 (2 mg/kg/day, i.p.) or vehicle (PBS) was given during seven postoperative days. Hereupon, subconvulsive dose of lindane (4 mg/kg, i.p.) was administered and behavioral features of seizures were observed alongside with EEG recordings. Results: Our data showed that the incidence and severity of lindane-induced seizures was significantly higher in the CP/CPPS-PBS group than in the Sham-PBS group. CORM-A1 treatment significantly decreased seizure incidence, prolonged seizure latency, and reduced seizure severity in CP/CPPS rats compared to vehicle treatment (CP/CPPS-CORM vs. CP/CPPS-PBS). Also, CORM-A1 treatment significantly reduced the number and duration of ictal periods induced by lindane in CP/CPPS animals compared to vehicle treatment. Conclusions: It could be concluded that CORM-A1 treatment reduced both behavioral and EEG signs of increased seizure susceptibility in rats with CP/CPPS, thus it could be a potential therapeutic target.
Full article
(This article belongs to the Section Psychiatry)
►▼
Show Figures

Figure 1
Journal Menu
► ▼ Journal Menu-
- Medicina Home
- Aims & Scope
- Editorial Board
- Reviewer Board
- Topical Advisory Panel
- Instructions for Authors
- Special Issues
- Topics
- Sections & Collections
- Article Processing Charge
- Indexing & Archiving
- Editor’s Choice Articles
- Most Cited & Viewed
- Journal Statistics
- Journal History
- Journal Awards
- Society Collaborations
- Conferences
- Editorial Office
Journal Browser
► ▼ Journal BrowserHighly Accessed Articles
Latest Books
E-Mail Alert
News
Topics
Topic in
Cardiogenetics, Hearts, JCDD, JCM, Medicina
Biomarkers in Cardiovascular Disease—Chances and Risks, 2nd Volume
Topic Editors: Alexander E. Berezin, Michael LichtenauerDeadline: 31 December 2025
Topic in
JFMK, Medicina, Therapeutics, Healthcare, JCM, Rheumato
New Trends in Physiotherapy Care: Improvements in Functionality, Pain Management, and Quality of Life
Topic Editors: Carlos Bernal-Utrera, Ernesto Anarte-Lazo, Juan José González GerezDeadline: 3 March 2026
Topic in
Diagnostics, Geriatrics, JCDD, Medicina, JPM, Medicines
New Research on Atrial Fibrillation
Topic Editors: Michele Magnocavallo, Domenico G. Della Rocca, Stefano Bianchi, Pietro Rossi, Antonio BisignaniDeadline: 31 March 2026
Topic in
Applied Sciences, Dentistry Journal, JCM, Materials, Medicina
Advances in Dental Materials
Topic Editors: Vincenzo D'Antò, Daniele Botticelli, Piero Antonio ZeccaDeadline: 31 May 2026
Conferences
Special Issues
Special Issue in
Medicina
Diagnosis and Treatment of Cervical Cancer: Second Edition
Guest Editors: Tullio Golia D’Augè, Giorgia PerniolaDeadline: 25 December 2025
Special Issue in
Medicina
Update on B-Cell Leukemias and Lymphomas
Guest Editors: Diana Cenariu, Adrian-Bogdan ȚiguDeadline: 25 December 2025
Special Issue in
Medicina
Psychiatric Comorbidities and Substance Use Among Individuals with Physical Health Issues and Chronic Diseases
Guest Editor: Jagdish KhubchandaniDeadline: 30 December 2025
Special Issue in
Medicina
Recent Advances in Gynecological Surgery
Guest Editor: Felice SorrentinoDeadline: 30 December 2025
Topical Collections
Topical Collection in
Medicina
New Concepts for Dental Treatments and Evaluations
Collection Editors: Cosmin Sinescu, Virgil-Florin Duma
Topical Collection in
Medicina
Interdisciplinary Medicine – The Key For Personalized Medicine
Collection Editor: Camelia Diaconu
Topical Collection in
Medicina
Pain, Bleeding, Trauma and Infections: The 4 Horsemen of the Apocalypse for the Emergency Medicine
Collection Editor: Marcello Candelli
Topical Collection in
Medicina
Frontiers in Breast Cancer Diagnosis and Treatment
Collection Editors: Jimmy T. Efird, Tithi Biswas





