-
HNF4α as a Master Regulator of Epigenetic Dynamics in Epithelial Cells -
At the Crossroads of Continents: Ancient DNA Insights into the Maternal and Paternal Population History of Croatia -
Molecular and Genetic Biomarkers in Prostate Cancer Active Surveillance: Recent Developments and Future Perspectives -
REV1 Loss Triggers a G2/M Cell-Cycle Arrest Through Dysregulation of Mitotic Regulators -
Hereditary Polyneuropathies in the Era of Precision Medicine: Genetic Complexity and Emerging Strategies
Journal Description
Genes
Genes
is a peer-reviewed, open access journal of genetics and genomics published monthly online by MDPI. The Spanish Society for Nitrogen Fixation (SEFIN) is affiliated with Genes and its members receive discounts on the article processing charges.
- Open Access— free for readers, with article processing charges (APC) paid by authors or their institutions.
- High Visibility: indexed within Scopus, SCIE (Web of Science), PubMed, MEDLINE, PMC, Embase, PubAg, and other databases.
- Journal Rank: JCR - Q2 (Genetics and Heredity) / CiteScore - Q2 (Genetics (clinical))
- Rapid Publication: manuscripts are peer-reviewed and a first decision is provided to authors approximately 14.6 days after submission; acceptance to publication is undertaken in 3.4 days (median values for papers published in this journal in the second half of 2025).
- Recognition of Reviewers: Reviewers who provide timely, thorough peer-review reports receive vouchers entitling them to a discount on the APC of their next publication in any MDPI journal, in appreciation of the work done.
Impact Factor:
2.8 (2024);
5-Year Impact Factor:
3.2 (2024)
Latest Articles
Non-Coding RNA: Architects of Cellular Complexity and Agents of Malignancy
Genes 2026, 17(3), 304; https://doi.org/10.3390/genes17030304 - 2 Mar 2026
Abstract
Non-coding RNAs (ncRNAs) are conserved in the genome of cells across the three domains of life. They comprise a diverse group that are particularly prominent in metazoans where they provide a crucial interface between genes and proteins, participating in key cellular processes at
[...] Read more.
Non-coding RNAs (ncRNAs) are conserved in the genome of cells across the three domains of life. They comprise a diverse group that are particularly prominent in metazoans where they provide a crucial interface between genes and proteins, participating in key cellular processes at different levels: from control of DNA transcription to modulation of messenger RNA stability to modification of protein activity. The interactions of ncRNAs with one another as well as with other RNAs, DNA and proteins form the basis of a genome-wide regulatory network (GRN). Because of the mutual influence of its components on each other, the GRN is a dynamic system. Further, the GRN imposes constraints on which genes are expressed and when, leading to specific gene-expression patterns or transcriptomes. The configurations of the activities of all gene loci represent self-stabilizing cell states, referred to as “attractor” states, each of which corresponds to a distinct cell type. The cancer cell is also an attractor state that arises from a change in the topography of the epigenetic landscape caused by dysregulation of the GRN. It is proposed that the transition to a neoplastic attractor state is caused by ncRNA alterations, while subsequent somatic mutations of oncogenes and tumor suppressor genes drive cell proliferation and clonal expansion.
Full article
(This article belongs to the Special Issue The Role of Non-Coding RNA in Cancer)
►
Show Figures
Open AccessReview
Profiling Soil–Plant–Microbial Communities: DNA and Multi-Omics Techniques
by
Shunlei Li, Claudia Chiodi, Carmelo Maucieri, Maria Cristina Della Lucia, Giulia Zardinoni, Samathmika Ravi, Andrea Squartini, Giuseppe Concheri, Gui Geng, Yuguang Wang and Piergiorgio Stevanato
Genes 2026, 17(3), 303; https://doi.org/10.3390/genes17030303 - 2 Mar 2026
Abstract
Interactions among plant roots, soil, and microorganisms in the rhizosphere regulate nutrient cycling, plant health, and ecosystem resilience. Recent advances in DNA sequencing and multi-omics are contributing to a shift from primarily descriptive surveys toward more mechanistic and predictive frameworks. This review synthesizes
[...] Read more.
Interactions among plant roots, soil, and microorganisms in the rhizosphere regulate nutrient cycling, plant health, and ecosystem resilience. Recent advances in DNA sequencing and multi-omics are contributing to a shift from primarily descriptive surveys toward more mechanistic and predictive frameworks. This review synthesizes methodological developments and conceptual insights spanning microbial ecology, functional genomics, and agricultural applications. We first summarize DNA-based approaches—marker-gene sequencing, shotgun metagenomics, and quantitative nucleic acid assays—and then complementary omics layers, including metatranscriptomics, metaproteomics, metabolomics, epigenomics, ionomics, and phenomics. We next outline computational advances in data integration, network modeling, and visualization that help represent complex multi-layered datasets as biologically interpretable systems. Applications relevant to climate resilience and sustainable agriculture are discussed, including the design of synthetic microbial communities, the identification of biomarkers for soil health and stress tolerance, and case studies in which rhizosphere multi-omics informs crop breeding and soil management strategies. Overall, these developments underscore the potential of treating microbes as functional and, to some extent, manageable components of the plant holobiont. Looking ahead, we identify key research gaps involving standardized workflows, cross-scale causal inference, and real-time monitoring pipelines that integrate molecular diagnostics with remote sensing and edge–cloud analytics. By linking ecological mechanisms with translational practice, multi-omics frameworks may support the development of more sustainable, data-driven agriculture that better aligns productivity with environmental stewardship.
Full article
(This article belongs to the Special Issue Harnessing Multi-Omics Approaches to Unravel Plant–Microbe Interactions in Cultivated Plants: Implications for Climate Resilience and Sustainable Agriculture)
►▼
Show Figures

Figure 1
Open AccessArticle
Transcriptional Modulation of Infertility-Associated Genes Following Chlamydia trachomatis Infection in Human Fallopian Tube Mesenchymal Cells: In Silico Study
by
Rafaela Rodrigues, Carlos Sousa and Nuno Vale
Genes 2026, 17(3), 302; https://doi.org/10.3390/genes17030302 - 1 Mar 2026
Abstract
Background/Objectives: Chlamydia trachomatis (CT) infection is one of the most prevalent sexually transmitted infections (STIs) worldwide and has been consistently associated with adverse reproductive outcomes, including female infertility. However, the molecular mechanisms underlying this association remain incompletely understood. This study aimed to
[...] Read more.
Background/Objectives: Chlamydia trachomatis (CT) infection is one of the most prevalent sexually transmitted infections (STIs) worldwide and has been consistently associated with adverse reproductive outcomes, including female infertility. However, the molecular mechanisms underlying this association remain incompletely understood. This study aimed to investigate whether genes previously associated with female infertility display altered expression patterns in response to CT infection by reanalyzing publicly available transcriptomic data derived from a human in vitro infection model. Methods: An integrative in silico approach was employed. A curated list of 106 genes associated with female infertility was compiled from publicly available databases and integrated with transcriptomic data from the Gene Expression Omnibus (GEO) dataset GSE109428, which profiles primary human fallopian tube mesenchymal cells infected in vitro with CT serovar L2. Gene expression changes were evaluated at two time points (24 and 48 h post-infection) by comparing infected cells with uninfected control samples, followed by functional and phenotype enrichment analyses. Results: One female infertility-associated gene (AKAP12) was consistently dysregulated at both 24 and 48 h post-infection. In addition, fourteen genes (ANAPC4, BMP1, BNC2, BTG4, EFHD1, FBXO43, INHBB, PATL2, SCARB1, SND1, SYNE1, TRIP13, TTC28, and TUBA1C) became significantly dysregulated exclusively at 48 h post-infection, indicating a time-dependent host transcriptional response to CT infection. Functional and phenotype enrichment analyses revealed associations with biological processes related to embryonic development and meiosis, as well as phenotypes linked to female infertility. These enriched terms were supported by a small subset of genes and were therefore interpreted cautiously. Conclusions: Overall, these findings suggest that CT infection modulates the expression of several infertility-associated genes and may influence biological pathways critical for female reproductive function. While exploratory, this study provides a molecular context that aligns with previously reported associations between CT infection and female infertility.
Full article
(This article belongs to the Section Bioinformatics)
►▼
Show Figures

Figure 1
Open AccessReview
DNA Methylation Dynamics in Plant Abiotic Stress Response: Mechanisms, Memory, and Breeding Applications
by
Huanqing Huang, Chenyu Guo, Shiping Cheng and Zhe Wang
Genes 2026, 17(3), 301; https://doi.org/10.3390/genes17030301 - 28 Feb 2026
Abstract
Abiotic stresses such as drought, salinity, extreme temperatures, and heavy metal contamination severely limit global crop productivity and threaten food security. Plants have evolved epigenetic strategies, particularly DNA methylation, to perceive, adapt to, and memorize environmental challenges. This review systematically elucidates the dynamic
[...] Read more.
Abiotic stresses such as drought, salinity, extreme temperatures, and heavy metal contamination severely limit global crop productivity and threaten food security. Plants have evolved epigenetic strategies, particularly DNA methylation, to perceive, adapt to, and memorize environmental challenges. This review systematically elucidates the dynamic regulatory mechanisms of DNA methylation—including establishment via RNA-directed DNA methylation (RdDM), maintenance by methyltransferases (MET1, CMT), and active removal by demethylases (ROS1)—in plant responses to diverse abiotic stresses. We highlight how stress-induced methylation reprogramming modulates gene expression, chromatin states, and physiological adaptations, contributing to both somatic and transgenerational stress memory. Furthermore, we discuss advanced detection technologies for profiling methylation patterns and evaluate their applications in epigenetic breeding, such as exploiting heritable epialleles, RdDM-based gene silencing, and methylation markers for heterosis prediction. Despite significant progress, translating epigenetic insights into predictable breeding tools remains challenging. Future efforts should focus on establishing causal links between methylation changes and stress phenotypes, improving epigenome editing precision, and integrating multi-omics approaches for the development of climate-resilient crops. This work provides a comprehensive epigenetic perspective for enhancing crop adaptability and sustainable agriculture.
Full article
(This article belongs to the Special Issue 5Gs in Crop Genetic and Genomic Improvement: 2025–2026)
Open AccessArticle
Genetic Diversity and Collection Structure Studies of Sesame (Sesamum indicum L.) Accessions Across Ethiopian Research Centers
by
Feyisa Bejiga Gelashe, Arsénio D. Ndeve, Temesgen M. Menamo, Harish Gandhi and Rogério M. Chiulele
Genes 2026, 17(3), 300; https://doi.org/10.3390/genes17030300 - 28 Feb 2026
Abstract
Background/Objectives: Despite its economic importance, the genome-wide genetic diversity of sesame germplasm conserved in the Ethiopian national ex situ collection, a proposed center of origin, remains inadequately characterized. This study assessed genome-wide genetic diversity and population structure in 188 sesame accessions from six
[...] Read more.
Background/Objectives: Despite its economic importance, the genome-wide genetic diversity of sesame germplasm conserved in the Ethiopian national ex situ collection, a proposed center of origin, remains inadequately characterized. This study assessed genome-wide genetic diversity and population structure in 188 sesame accessions from six Ethiopian Agricultural Research Centers using DArTSeq-based SNP markers. Methods: After quality filtering, 5163 high-quality markers were retained from the original set of 12,302 SNPs. Mean expected heterozygosity (He = 0.201) exceeded observed heterozygosity (Ho = 0.193), reflecting sesame’s predominantly self-pollinating nature. Results: The SNPs showed a transition/transversion ratio of 1.17:1 and an uneven distribution across 16 linkage groups. STRUCTURE, PCA, DAPC, and neighbor-joining cluster analyses revealed a clear hierarchical population structure with distinct clusters and varying admixture. Accessions from Assosa (AARC) and Bako (BARC) were genetically uniform, whereas Werer (WARC) and Gambella (GaARC) were major diversity reservoirs, exhibiting high heterozygosity and gene diversity. Pairwise FST values ranged from 0.001 to 0.356, and AMOVA indicated that 30–43% of variation occurred among collections and 57–70% within collections, highlighting substantial intra-collection diversity. Conclusions: The findings highlight that specific research centers were identified as key sources of genetic variation for breeding, conservation, and association mapping to enhance the improvement in agronomic and adaptive traits in sesame for the Ethiopian sesame gene pool.
Full article
(This article belongs to the Section Plant Genetics and Genomics)
►▼
Show Figures

Figure 1
Open AccessArticle
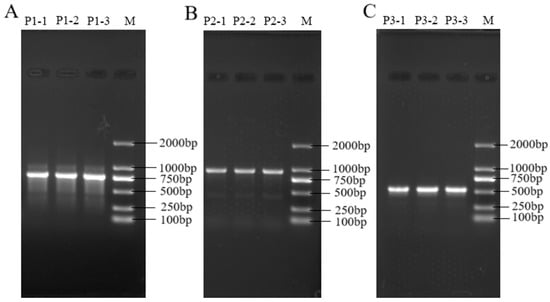
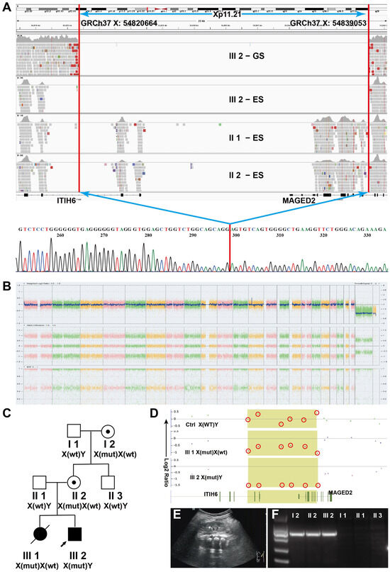
Characterization of a Familial Goldenhar Syndrome Case Using Whole-Exome Sequencing
by
Yosra Bejaoui, Yasser Al-Sarraj, Jana Al-Hage, Fadi F. Bitar, Nady El Hajj, Georges Nemer and Mazen Kurban
Genes 2026, 17(3), 299; https://doi.org/10.3390/genes17030299 - 28 Feb 2026
Abstract
Background: Goldenhar syndrome (oculo–auriculo–vertebral spectrum, OAVS) is a rare congenital disorder characterized by craniofacial malformations, systemic anomalies, and significant phenotypic variability. Although it is the second most common craniofacial malformation after a cleft palate, the genetic etiology of Goldenhar syndrome remains largely unexplored.
[...] Read more.
Background: Goldenhar syndrome (oculo–auriculo–vertebral spectrum, OAVS) is a rare congenital disorder characterized by craniofacial malformations, systemic anomalies, and significant phenotypic variability. Although it is the second most common craniofacial malformation after a cleft palate, the genetic etiology of Goldenhar syndrome remains largely unexplored. This study aimed to identify genetic variants contributing to Goldenhar syndrome in a Lebanese family with three affected individuals, using whole-exome sequencing and complementary genomic approaches. Methods: Whole-exome sequencing was performed on the nuclear family to identify variants associated with the syndrome. Complementary DNA methylation and gene ontology analyses were conducted to explore epigenetic modifications. Results: A missense shared variant in the MID1 between the affected individuals [NP_000372.1): p. Ile593Phe] gene was observed in the family, while current ACMG evidence was insufficient to establish causality. Additional variants were identified, including a de novo mutation in FBXW11 and a rare frameshift alteration in NDUFAF8, with limited segregation, implicating these genes in associated phenotypes such as craniofacial anomalies and cardiac defects. DNA methylation analysis revealed hypomethylation at CpG sites within the ZC3H3 gene, suggesting an epigenetic contribution to disease variability. Conclusions: Our findings underscore the genetic and epigenetic complexity of Goldenhar syndrome, providing new insights into its molecular etiology and highlighting the challenges of variant interpretation in familial cases of rare congenital disorders.
Full article
(This article belongs to the Special Issue Genes and Pediatrics)
►▼
Show Figures

Figure 1
Open AccessReview
From High-Density Genomic Mapping to Precision Molecular Breeding: A Comprehensive Review of Capsicum Genomic Resources
by
Luyao Wang, Junhu Kan, Weiting Zhong, Shuo Zhang, Yanghe Zhao, Yingke Hou, Luke R. Tembrock, Xiaolin Gu and Yan Cheng
Genes 2026, 17(3), 298; https://doi.org/10.3390/genes17030298 - 28 Feb 2026
Abstract
The genus Capsicum comprises several species that are vital vegetable and spice crops cultivated worldwide, possessing significant economic, nutritional, and ornamental value due to their diverse fruit morphologies, colors, spiciness levels, and stress resistance. Historically, the large genome size (approximately 3 Gb) and
[...] Read more.
The genus Capsicum comprises several species that are vital vegetable and spice crops cultivated worldwide, possessing significant economic, nutritional, and ornamental value due to their diverse fruit morphologies, colors, spiciness levels, and stress resistance. Historically, the large genome size (approximately 3 Gb) and high proportion of repetitive sequences (over 80% transposable elements) have constrained in-depth analysis of structural variations and functional genes within Capsicum species. However, recent advances in long-read sequencing, Hi-C scaffolding, and genome assembly have enabled the production of multiple high-quality and telomere-to-telomere (T2T) Capsicum genomes, which have ushered in a new era of research at the nuclear, organellar, and pan-genome levels. The publication of these omics resources has greatly expanded our understanding of the evolution of agronomically and environmentally relevant traits in peppers and their wild relatives. This review systematically summarizes recent progress in reference genomes, pan-genomes, and organellar genomes of the genus Capsicum, highlighting the enhancement of key breeding trait analyses through omics data, and outlines future integrated breeding strategies to provide theoretical and methodological references for genetic improvement and molecular breeding in pepper.
Full article
(This article belongs to the Special Issue Genetic and Breeding Improvement of Horticultural Crops)
►▼
Show Figures

Figure 1
Open AccessArticle
A Predictive Transcriptomic Approach to the Resveratrol-Mediated Reversal of Hypothalamic Alterations in a Mouse Model of Obesity
by
Brenda De la Cruz-Concepción, Juan Miguel Mendoza-Bello, Fredy Omar Beltrán-Anaya, Mónica Ramírez, Yaccil Adilene Flores-Cortez, Gema Damian-Sánchez, Eugenia Flores-Alfaro, Isela Parra-Rojas, Oscar Del Moral-Hernández, Miguel Cruz and Mónica Espinoza-Rojo
Genes 2026, 17(3), 297; https://doi.org/10.3390/genes17030297 - 28 Feb 2026
Abstract
Background: Obesity is associated with hypothalamic dysfunction characterized by neuroinflammation and altered transcriptional programs. While resveratrol (RSV) has shown beneficial metabolic effects in peripheral tissues, its central effects on hypothalamic gene expression in obesity remain poorly understood. This study provides the first predictive
[...] Read more.
Background: Obesity is associated with hypothalamic dysfunction characterized by neuroinflammation and altered transcriptional programs. While resveratrol (RSV) has shown beneficial metabolic effects in peripheral tissues, its central effects on hypothalamic gene expression in obesity remain poorly understood. This study provides the first predictive transcriptomic analysis of the hypothalamic response to RSV in a mouse model of diet-induced obesity. C57BL/6 male mice were fed a high-fat diet (HFD) to induce obesity and then subsequently treated with RSV. Methods: Hypothalamic RNA was extracted and analyzed using RNA sequencing. Differentially expressed genes (DEGs) were identified and functionally analyzed through KEGG pathway analysis. Results: Although RSV did not significantly alter body weight, it reversed the expression of several HFD-induced DEGs. Key genes modulated by RSV included Aqp7, Ccl27a, Lta, Rilp, M6pr-ps, C1ra, Snail1, Gbgt1, and Ppargc1b, which are involved in inflammation, lipid metabolism, mitochondrial function, and immune signaling. Pathway enrichment analysis revealed significant modulation of TNF and NF-κB signaling, cytokine–cytokine receptor interactions, glycosphingolipid biosynthesis, and phagosome-related activity. Remarkably, 45% of RSV-responsive transcripts were non-coding RNAs, suggesting epigenetic regulation. Conclusions: RSV reprograms the hypothalamic transcriptome in obesity, targeting both coding and non-coding RNAs associated with inflammation and metabolic regulation, independently of weight loss. These findings identify RSV as a potential central modulator of metabolic dysfunction and highlight the hypothalamus as a promising therapeutic target in obesity-related disease.
Full article
(This article belongs to the Section Human Genomics and Genetic Diseases)
►▼
Show Figures

Figure 1
Open AccessArticle
Condition-Specific Transcriptional and Metabolic Divergence in the Dual-Fungal Symbiosis of JinEr Mushroom Under Postharvest Low-Temperature Stress
by
Yuntao Li, Hao Tang, Fuwei Wang, Chaotian Lv, Bin Zhang and Huan Li
Genes 2026, 17(3), 296; https://doi.org/10.3390/genes17030296 - 28 Feb 2026
Abstract
Background: The JinEr mushroom results from the heterogeneous symbiosis of Naematelia aurantialba and Stereum hirsutum, with low-temperature storage being key for postharvest quality preservation. However, the species-specific low-temperature response patterns remain unclear. Methods: An integrated approach combining metabolomics, transcriptomics (dual-genome alignment), and
[...] Read more.
Background: The JinEr mushroom results from the heterogeneous symbiosis of Naematelia aurantialba and Stereum hirsutum, with low-temperature storage being key for postharvest quality preservation. However, the species-specific low-temperature response patterns remain unclear. Methods: An integrated approach combining metabolomics, transcriptomics (dual-genome alignment), and spatially resolved enzyme assays was used to dissect responses at 0 °C and 4 °C. Results: The two fungi displayed distinct stress response tendencies under the studied conditions. N. aurantialba showed enhanced stress defense (DNA repair, antioxidant pathways) with defense-related enzyme activities concentrated in its apical/middle enrichment regions. S. hirsutum was observed to maintain overall metabolic activity at the pathway level, and its metabolic enzyme activities were predominant in the basal region. The symbiotic system exhibited temperature-dependent plasticity stress responses. Storage at 0 °C induced a survival-oriented response with slower crude polysaccharide degradation. In contrast, storage at 4 °C supported active metabolic defense coordination but more pronounced polysaccharide loss. Conclusions: These observed defense- and metabolism-biased differential responses suggest a cold stress-specific coordination working model within the symbiotic system under postharvest cold stress. A temperature of 0 °C is more suitable for enabling JinEr mushroom postharvest storage to retain polysaccharides. This study advances our understanding of heterogeneous symbiotic fungi’s postharvest biology and provides a temperature-targeted theoretical basis for storage optimization.
Full article
(This article belongs to the Special Issue 5Gs in Crop Genetic and Genomic Improvement: 2025–2026)
►▼
Show Figures

Figure 1
Open AccessArticle
Correlation Analysis of BLTP1 (KIAA1109) and KIF27 Gene Polymorphisms with Wool Traits in Subo Merino Sheep
by
Qingfa Yan, Sen Tang, Asma Anwar, Gvlnigar Amar, Yaqian Wang, Wenna Liu, Cuiling Wu and Xuefeng Fu
Genes 2026, 17(3), 295; https://doi.org/10.3390/genes17030295 - 28 Feb 2026
Abstract
Background/Objectives: The Subo Merino sheep is a high-quality fine-wool breed developed through progressive hybridization, characterized by high wool yield and excellent wool quality. This study is designed to investigate the effects of two gene polymorphisms in Subo Merino sheep on wool traits,
[...] Read more.
Background/Objectives: The Subo Merino sheep is a high-quality fine-wool breed developed through progressive hybridization, characterized by high wool yield and excellent wool quality. This study is designed to investigate the effects of two gene polymorphisms in Subo Merino sheep on wool traits, thereby providing critical theoretical and technical support for the breeding of high-quality fine-wool sheep. Methods: In this study, 944 one-year-old Subo Merino sheep were genotyped for coding regions of the BLTP1 and KIF27 genes using the Fluidigm BioMark™ HD system. Association between SNP loci and wool traits was analyzed via the least squares means method in SAS 9.4. Protein–protein interaction networks were constructed using the STRING database, and protein structures before and after mutation were predicted with SOPMA and SWISS-MODEL. Results: The results revealed that BLTP1 gene identified a missense mutation site SNP1, which resulted in a nucleotide change c.812 (C > T) and an amino acid change p.Pro271Leu. KIF27 gene identified a missense mutation site SNP2, which resulted in a nucleotide change c.3896 (T > C) and an amino acid change p.Met1299Thr. Association analysis showed that SNP1 had a significant effect on wool crimp number (CN) and staple length (SL) (p < 0.05), while SNP2 significantly affected live weight after shearing (LWAS) (p < 0.05). Protein structure prediction showed that mutations at SNP1 and SNP2 primarily led to changes in α-helix, extended chain, and random coil structures. Conclusions: These results suggest that SNP1 in BLTP1 and SNP2 in KIF27 could serve as potential molecular markers for wool traits in Subo Merino sheep. This study provides theoretical support and candidate gene targets for molecular marker-assisted breeding, contributing to genetic improvement and efficient breeding of this fine-wool breed.
Full article
(This article belongs to the Section Animal Genetics and Genomics)
►▼
Show Figures

Figure 1
Open AccessArticle
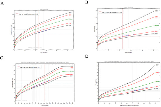
De Novo Heterozygous KDM3B Variants Expand the Mutational Spectrum of Diets-Jongmans Syndrome: Case Series and Literature Review
by
Haixia Miao, Ting Zhang, Shuai Chen, Xiaocha Xu, Kexin Fang, Dingwen Wu, Yi Zhang and Xinwen Huang
Genes 2026, 17(3), 294; https://doi.org/10.3390/genes17030294 - 28 Feb 2026
Abstract
Background: Pathogenic variants in KDM3B have been implicated as the cause of Diets-Jongmans syndrome (DIJOS), an autosomal-dominant disorder characterized by growth retardation, intellectual disability, facial dysmorphism and autism-spectrum disorder. However, only a limited number of cases have been reported. Methods: The general characteristics
[...] Read more.
Background: Pathogenic variants in KDM3B have been implicated as the cause of Diets-Jongmans syndrome (DIJOS), an autosomal-dominant disorder characterized by growth retardation, intellectual disability, facial dysmorphism and autism-spectrum disorder. However, only a limited number of cases have been reported. Methods: The general characteristics of four patients were recorded, including clinical features, child development, neuropsychological assessment and therapeutic interventions. Whole exome sequencing (WES) was performed for potential genetic causes and interpretation of variants was performed in accordance with ACMG guidelines. Results: All patients carried de novo variants in the KDM3B gene, namely, c.2832-3C>G, c.1188del p.(Glu397Argfs*21), c.4580T>C p.(Leu1527Pro), and c.3220dup p.(Glu1074Glyfs*48). Unlike other patients with DIJOS who presented with growth retardation, mild to moderate intellectual developmental disorder and facial dysmorphism, our patients mainly presented with growth retardation, while their neurodevelopment was either normal or mildly impaired. In addition, our patients received primarily supportive care. One patient treated with recombinant human growth hormone (rhGH) showed improvement in growth. Conclusions: Our results broaden the mutational spectrum of KDM3B-related disorder and highlight the inter-patient variability of the clinical phenotype. For the first time, we demonstrate that rhGH therapy can partially promote growth, providing novel evidence for genetic counseling.
Full article
(This article belongs to the Section Human Genomics and Genetic Diseases)
►▼
Show Figures

Figure 1
Open AccessArticle
Genetic Diversity and Selection Signal Analysis of Xinjiang Black Pig Based on Whole Genome Resequencing
by
Mingming Tian, Yun Feng, Haitao Wang, Qiang Wang, Jingyang Dong, Haichao Zhao, Fahui Yang, Mengxun Li, Guang Pu, Xinyin Zhang, Dan Wang, Guang Li, Hongwei Chen and Tao Huang
Genes 2026, 17(3), 293; https://doi.org/10.3390/genes17030293 - 28 Feb 2026
Abstract
Background: The Xinjiang Black pig is an excellent breed developed by the Xinjiang Production and Construction Corps in the 1990s; however, it has been endangered by the impact of commercial breeds. Methods: Whole genomes of 224 individuals from the Xinjiang Black pig conservation
[...] Read more.
Background: The Xinjiang Black pig is an excellent breed developed by the Xinjiang Production and Construction Corps in the 1990s; however, it has been endangered by the impact of commercial breeds. Methods: Whole genomes of 224 individuals from the Xinjiang Black pig conservation population were resequenced. Results: Genetic structure and diversity analyses revealed that Xinjiang Black pigs underwent severe inbreeding and were genetically closely linked to Landrace pigs. The genetic diversity of the F2 generation was well preserved in the existing breeding scheme. A total of 686 significant selection regions and 406 candidate genes were identified using FST and θπ complementary methods, with Xinjiang Black pigs, Min pigs, and Laiwu pigs as ancestral populations, and F2. Based on Gene Ontology, Kyoto Encyclopedia of Genes and Genomes, and quantitative trait loci annotations, potential germplasm candidate genes were identified. Among these, SOX5, HMG20A, and NEDD4 are associated with fat deposition; SPRY1, MNS1, DMXL2, and ALB are closely associated with male reproductive ability; ARPP19 and TLN2 are strongly associated with oestrous cycle regulation and oocyte maturation; and SLC4A4 and SLC12A1 are extremely important for osmotic regulation and foetal survival. Conclusions: These findings deepen our understanding of the genetic mechanisms of artificial selection in Xinjiang Black pigs and provide a theoretical basis for subsequent breeding and genetic research on this breed.
Full article
(This article belongs to the Special Issue Genomic, Transcriptome Analysis in Animals)
►▼
Show Figures

Figure 1
Open AccessArticle
Phylogeography of Chinese White Pine Beetle Dendroctonus armandi (Coleoptera: Curculionidae: Scolytinae) in China
by
Hang Ning, Ruixiong Deng, Kaitong Xiao, Beibei Huang, Yu Cao and Qiang Wu
Genes 2026, 17(3), 292; https://doi.org/10.3390/genes17030292 - 28 Feb 2026
Abstract
Background: Dendroctonus armandi, an oligophagous beetle primarily infesting Pinus armandii, is geographically restricted and persistent in central China, causing significant ecological and economic losses. However, the intrinsic factors driving its continuous occurrence remain unclear. We examined the genetic variation patterns across
[...] Read more.
Background: Dendroctonus armandi, an oligophagous beetle primarily infesting Pinus armandii, is geographically restricted and persistent in central China, causing significant ecological and economic losses. However, the intrinsic factors driving its continuous occurrence remain unclear. We examined the genetic variation patterns across the species’ range to explore its phylogeographic structure. Methods: We analyzed mitochondrial DNA sequence (mtDNA) data to assess population genetic structure and estimate the divergence times of distinct lineages. Results: Phylogenetic analysis identified four haplogroups corresponding to the Minshan (MSM), Qinling (QLM), Micang (MCM), and Ta-pa (TPM) Mountains. Demographic analyses revealed that QLM and TPM haplogroups have undergone population expansion events. Divergence time estimates indicated four lineages diverged during the Late Pleistocene. Notably, D. armandi may have followed two horizontal and one vertical independent colonization routes. The first route extended from MSM into QLM and then spread eastward along the QLM; the second route progressed from MSM into MCM and continued eastward into TPM; and the third route migrated southward from QLM into TPM. Conclusions: Climate oscillations, geographical isolation, and the patchy distribution of host trees collectively shaped the phylogeographic patterns of D. armandi. These findings elucidate the evolution and adaptability of D. armandi in mountainous environments.
Full article
(This article belongs to the Section Genes & Environments)
►▼
Show Figures

Figure 1
Open AccessArticle
Identification of Candidate Gene Controlling Soluble Sugar Degradation During Postharvest Storage of Sweet Corn Based on BSA-Seq
by
Mengyun Ren, Meixing Wang, Dong Wang, Yifeng Huang and Longgang Du
Genes 2026, 17(3), 291; https://doi.org/10.3390/genes17030291 - 27 Feb 2026
Abstract
Background/Objectives: Sweetness is a key determinant of the eating quality of sweet corn, primarily governed by the soluble sugar content in kernels. The soluble sugar content decreases rapidly during the postharvest shelf life, which directly affects the flavor and quality. Relatively few
[...] Read more.
Background/Objectives: Sweetness is a key determinant of the eating quality of sweet corn, primarily governed by the soluble sugar content in kernels. The soluble sugar content decreases rapidly during the postharvest shelf life, which directly affects the flavor and quality. Relatively few studies have been conducted on the shelf life of sweet corn. Methods: An F6 recombinant inbred line (RIL) population was constructed from two super sweet inbred lines with contrasting soluble sugar degradation rates: D174 (low degradation rate) and D179 (high degradation rate). Extreme phenotype pools were established using soluble sugar content as the target trait. Based on bulked segregant analysis sequencing, we identified chromosomal segments associated with postharvest soluble sugar reduction in sweet corn, annotated the gene information within these segments, and analyzed the functions of the annotated genes using the Gene Ontology and Genomes databases. Results: Results revealed three associated regions located at 44,205,775–45,290,843 bp on chromosome 4, 6,250,656–6,744,665 bp on chromosome 2, and 135,428,709–136,732,132 bp on chromosome 10. This interval contained 195 genes. Integrated analysis of gene expression, gene annotations, and quantitative real-time PCR indicated that Zm00001eb069070, which is highly expressed in kernels with a prolonged shelf life, might be a key candidate gene regulating soluble sugar degradation in sweet corn. Conclusions: This study provides valuable genetic resources for the improvement of favorable agronomic traits and the advancement of molecular breeding strategies for sweet corn.
Full article
(This article belongs to the Section Molecular Genetics and Genomics)
Open AccessReview
The Exosome Landscape in Acute Myeloid Leukemia: From Molecular Mechanisms to Translational Frontiers
by
Elizabeth Vargas-Castellanos, Dayana Barbosa-Lopéz and Jair Figueroa-Emiliani
Genes 2026, 17(3), 290; https://doi.org/10.3390/genes17030290 (registering DOI) - 27 Feb 2026
Abstract
Acute myeloid leukemia (AML) is a biologically heterogeneous hematologic malignancy arising from the oncogenic transformation of hematopoietic stem and progenitor cells, resulting in clonal expansion and progressive subclonal diversification. Although considerable advances have deepened our understanding of AML pathogenesis, major challenges persist, particularly
[...] Read more.
Acute myeloid leukemia (AML) is a biologically heterogeneous hematologic malignancy arising from the oncogenic transformation of hematopoietic stem and progenitor cells, resulting in clonal expansion and progressive subclonal diversification. Although considerable advances have deepened our understanding of AML pathogenesis, major challenges persist, particularly regarding relapses and therapeutic resistance. In recent years, exosomes—extracellular vesicles of 30–150 nm in diameter of endosomal origin—have emerged as critical mediators of intercellular communication within the AML tumor microenvironment. These vesicles transport a diverse cargo of proteins, metabolites, and nucleic acids, including mRNA, non-coding RNA species, and DNA, which is selectively packaged during their biogenesis. Circulating exosomes have garnered attention as promising liquid biomarkers for diagnosis, prognosis, and monitoring minimal residual disease, while also representing potential therapeutic targets or delivery platforms. Nonetheless, significant knowledge gaps remain regarding the mechanisms governing exosome biogenesis, cargo selection, and the functional impact on leukemia progression and immune modulation. This review focuses on the role of exosomes in acute myeloid leukemia, with an emphasis on the molecular mechanisms underlying their involvement in pathogenesis, tumor communication, and resistance to therapies, as well as their potential as diagnostic biomarkers.
Full article
(This article belongs to the Special Issue DNA Repair, Genomic Instability and Cancer)
►▼
Show Figures

Figure 1
Open AccessArticle
Deciphering Genetic Architecture of Feed Conversion Ratio and Growth Traits in Yorkshire Pig
by
Changguang Lin, Qiuyong Chen, Yaxuan Liu, Wei Cai, Tao Huang, Yi Zhou, Jinyu Lin, Lunjiang Zhou and Xinzhu Chen
Genes 2026, 17(3), 289; https://doi.org/10.3390/genes17030289 - 27 Feb 2026
Abstract
Background: Pigs are one of the most important livestock species for providing meat products in the world. Deciphering the genetic architecture of feed efficiency-related traits is beneficial to improve the genetic progress of these traits and save the total cost of pork production.
[...] Read more.
Background: Pigs are one of the most important livestock species for providing meat products in the world. Deciphering the genetic architecture of feed efficiency-related traits is beneficial to improve the genetic progress of these traits and save the total cost of pork production. However, the genetic architecture of feed efficiency-related traits remains unclear. Methods: To address this problem, we collected 1301 genotyped Yorkshire pigs with three feed efficiency-related traits, including days at 100 kg (DAYS_100), backfat thickness at 100 kg (BFT_100), and feed conversion ratio from 30 to 100 kg (FCR_30_100), to explore the genetic parameters and genetic basis of these traits. Results: The heritability of DAYS_100, BFT_100, and FCR_30_100 was 0.25 ± 0.04, 0.40 ± 0.05, and 0.23 ± 0.04, respectively. Additionally, BFT_100 and DAYS_100 had a weak negative genetic correlation (−0.01 ± 0.12), while trait FCR_30_100 showed a positive genetic correlation with DAYS_100 (0.51 ± 0.11) and BFT_100 (0.28 ± 0.12). A genome-wide association study identified 7, 5, and 4 SNPs independently associated with BFT_100, DAYS_100, and FCR_30_100, respectively. Further analysis found that the candidate gene ETV4 was significantly associated with DAYS_100 and the candidate gene ENSSSCG00000045751 was associated with FCR_30_100. The functional annotation of candidate genes was enriched in the bile acid metabolic process and protein ubiquitination terms. Conclusions: This study discovered 16 quantitative trait loci associated with feed efficiency-related traits, providing a comprehensive insight for understanding the genetic basis of feed efficiency-related traits in pigs. The candidate genes, such as ETV4 gene in DAYS_100, CAMK1D gene for BFT_100, and ENSSSCG00000045751 gene for FCR_30_100, could be used for further investigation.
Full article
(This article belongs to the Special Issue Advances in Veterinary Genetics and Genomics)
►▼
Show Figures

Figure 1
Open AccessArticle
ARPE-19—A Stable Cell Line Expressing a Variant of Unknown Significance in the NPC1 Gene
by
Beatriz Monteiro, Maria Inês Peixoto, Juan Darío Ortigoza-Escobar, Mariana Alves, Ana Catarina Sandiares, Mariana Gonçalves, Luciana Vaz Moreira, Maria Francisca Coutinho, Liliana Matos, Sandra Alves and Marisa Encarnação
Genes 2026, 17(3), 288; https://doi.org/10.3390/genes17030288 - 27 Feb 2026
Abstract
Background: Niemann–Pick type C is a lysosomal storage disorder that results from pathogenic variants in the NPC1 gene or in some cases from NPC2 pathogenic alterations. The disease presents a remarkable clinical variability that in some cases resembles common diseases, often resulting in
[...] Read more.
Background: Niemann–Pick type C is a lysosomal storage disorder that results from pathogenic variants in the NPC1 gene or in some cases from NPC2 pathogenic alterations. The disease presents a remarkable clinical variability that in some cases resembles common diseases, often resulting in a diagnostic odyssey or at least delaying proper diagnosis. In addition, the NPC1 gene is highly polymorphic, and consequently, when missense variants are identified after gene sequencing, accurate classification of their pathogenicity is essential to ensure appropriate access to available therapies and to provide reliable genetic counseling. Objectives: To get insights into the pathogenicity of a novel variant in NPC1, p.Cys800Ser, we created stable cell lines expressing this variant, in parallel with cell lines expressing the NPC1 wild-type and NPC1 pathogenic variants. Methods: We leveraged an isogenic cell line in which the NPC1 gene was knocked down and subsequently infected it with retroviruses carrying NPC1-WT and NPC1 variants C-terminally fused with an mNeonGreen tag. Three different NPC1 variants were included in this study: two known pathogenic variants, p.Ala1035Val and p.Pro1007Ala, and the novel p.Cys800Ser, whose significance was unknown. Results: We observed in the stable cell line expressing NPC1 p.Cys800Ser that the mutated NPC1 protein is transported to the lysosome similarly to the p.Pro1007Ala variant and affects lysosomal distribution. Conclusions: Using this approach, we could analyze the pathogenicity of each variant separately and these cell lines could be used for personalized medicine-based approaches and multi-omic studies.
Full article
(This article belongs to the Section Molecular Genetics and Genomics)
►▼
Show Figures

Figure 1
Open AccessReview
Gestational Diabetes and Genetics: MTNR1B, CDKAL1, and IRS1 as Critical Players
by
Guluzar Arzu Turan, Nehir Aran and Bulent Tolga Delibasi
Genes 2026, 17(3), 287; https://doi.org/10.3390/genes17030287 - 27 Feb 2026
Abstract
Gestational diabetes mellitus (GDM) is a prevalent pregnancy complication with significant short- and long-term consequences for mothers and offspring. While environmental factors, such as obesity and diet, contribute to the risk, genetic predisposition also plays a role in the pathogenesis of GDM. Genome-wide
[...] Read more.
Gestational diabetes mellitus (GDM) is a prevalent pregnancy complication with significant short- and long-term consequences for mothers and offspring. While environmental factors, such as obesity and diet, contribute to the risk, genetic predisposition also plays a role in the pathogenesis of GDM. Genome-wide association studies have identified multiple susceptibility loci, including MTNR1B, CDKAL1, and IRS1, which represent mechanistically distinct pathways affecting β-cell function, insulin secretion, and peripheral insulin signaling. This review provides a unified mechanistic framework explaining why these three genes, despite individually modest effect sizes, offer complementary insights into GDM pathophysiology that extend beyond other established loci such as TCF7L2. We critically evaluate the current evidence for genetic risk scores in GDM prediction, acknowledging that their incremental predictive value beyond traditional clinical factors remains modest AUC improvement typically <0.05). The integration of genetic variants with epigenetic modifications is discussed, with careful attention to distinguishing causal mechanisms from correlative findings. We emphasize significant limitations in current research, including population stratification, winner’s curse effects, and the predominance of East Asian cohorts. While genetic insights may eventually inform risk stratification, substantial barriers remain before clinical implementation, including insufficient predictive accuracy, lack of cost-effectiveness data, and limited generalizability across diverse populations. Future directions include integrating multi-omics data, developing ethnically validated polygenic risk scores, and conducting pragmatic randomized controlled trials to establish the clinical utility of precision prevention strategies.
Full article
(This article belongs to the Special Issue Clinical Genetics of Diabetes)
Open AccessArticle
Genome-Wide Bioinformatics Identification and Functional Analysis of the 3-ketoacyl-CoA Synthase (KCS) Gene Family in Rosa × hybrida, with Focus on RcKCS6
by
Yiwei Peng, Jianling Lv, Jiamei Zou, Jing Meng, Xuejiao Li, Jingli Zhang, Gengyun Li, Yongfu Peng, Liang Wei, Bin Liu and Shuilian He
Genes 2026, 17(3), 286; https://doi.org/10.3390/genes17030286 - 27 Feb 2026
Abstract
Background/Objectives: The 3-ketoacyl-CoA synthase (KCS) enzyme is a key and rate-limiting component in the biosynthesis of very long-chain fatty acids (VLCFAs). Through controlling VLCFA production, KCS plays an essential role in plant cuticle formation. The necrotrophic fungus Botrytis cinerea can infect all aboveground
[...] Read more.
Background/Objectives: The 3-ketoacyl-CoA synthase (KCS) enzyme is a key and rate-limiting component in the biosynthesis of very long-chain fatty acids (VLCFAs). Through controlling VLCFA production, KCS plays an essential role in plant cuticle formation. The necrotrophic fungus Botrytis cinerea can infect all aboveground parts of rose plants (flowers, leaves, and stems), causing severe economic losses. KCS restricts pathogen invasion by influencing cuticle formation and enhances tolerance to environmental stresses. While the KCS gene family has been well-studied in some plants, it remains unexplored in rose (Rosa × hybrida Hort.), a species of significant ornamental and economic value. Methods: In this study, we conducted a genome-wide analysis of the RcKCS gene family in rose, identifying 18 non-redundant genes. Phylogenetic, structural, and synteny analyses were performed to investigate the evolutionary relationships, gene architecture, and duplication events. The expression patterns of RcKCS genes in rose petals during Botrytis cinerea infection were examined, and transient overexpression and silencing of RcKCS6 were used to study its function. Results: RcKCS6 was found to be upregulated during gray mold infection, and transient overexpression reduced lesion size on infected petals. Conclusions: Our study provides the first comprehensive analysis of the RcKCS gene family in rose and highlights RcKCS6 as a potential candidate for improving resistance to gray mold in rose through molecular breeding.
Full article
(This article belongs to the Section Plant Genetics and Genomics)
Open AccessReview
Autosomal STR Markers for Forensic Genetics: Applications, Challenges, and Future Directions
by
Irena Zupanič Pajnič
Genes 2026, 17(3), 285; https://doi.org/10.3390/genes17030285 - 27 Feb 2026
Abstract
Autosomal short tandem repeat (STR) markers remain the cornerstone of modern forensic genetics, providing exceptional power for individualization, kinship verification, and reconstruction of complex investigative cases. Over the last decade, the field has undergone a major technological transition from length-based capillary electrophoresis (CE)
[...] Read more.
Autosomal short tandem repeat (STR) markers remain the cornerstone of modern forensic genetics, providing exceptional power for individualization, kinship verification, and reconstruction of complex investigative cases. Over the last decade, the field has undergone a major technological transition from length-based capillary electrophoresis (CE) toward sequence-level characterization using massively parallel sequencing (MPS), enabling detection of internal sequence variants (isoalleles) and flanking-region polymorphisms that substantially increase discriminatory power in many forensic contexts. Although MPS is increasingly adopted in forensic laboratories, implementation remains dependent on infrastructure, cost considerations, validation requirements, and jurisdiction-specific legal frameworks. This review synthesizes the molecular mechanisms underlying STR variability, including replication slippage and mutation processes, and critically evaluates the transition to sequencing-based analysis. Particular attention is given to analytical challenges such as stochastic effects in ultra-low-template DNA and PCR inhibition in degraded samples. Special emphasis is placed on identification of skeletal remains from mass graves and historical contexts, where hierarchical analytical strategies—from mini-STR approaches to MPS-based workflows—enable recovery of highly fragmented DNA. The review also examines the evolution of probabilistic genotyping (PG), highlighting the importance of algorithmic transparency and reproducible analytical frameworks for judicial applications. By integrating technological advances with practical forensic challenges, this review outlines a comprehensive framework for implementing high-resolution STR analysis in contemporary genomic casework. As a narrative synthesis, the conclusions reflect currently available published evidence and acknowledge variability in validation status, implementation practices, and regional forensic infrastructures.
Full article
(This article belongs to the Special Issue Forensic DNA Profiling: PCR Techniques and Innovations)
►▼
Show Figures

Figure 1
Journal Menu
► ▼ Journal Menu-
- Genes Home
- Aims & Scope
- Editorial Board
- Reviewer Board
- Topical Advisory Panel
- Instructions for Authors
- Special Issues
- Topics
- Sections & Collections
- Article Processing Charge
- Indexing & Archiving
- Editor’s Choice Articles
- Most Cited & Viewed
- Journal Statistics
- Journal History
- Journal Awards
- Society Collaborations
- Conferences
- Editorial Office
Journal Browser
► ▼ Journal BrowserHighly Accessed Articles
Latest Books
E-Mail Alert
News
Topics
Topic in
Animals, Dairy, Genes, Agriculture, Poultry, Ruminants, Veterinary Sciences
Application of Reproductive and Genomic Biotechnologies for Livestock Breeding and Selection: 2nd Edition
Topic Editors: Manuel García-Herreros, Pedro Manuel AponteDeadline: 30 April 2026
Topic in
Biomedicines, Future Pharmacology, Pharmacy, IJMS, Biomolecules, Genes
Prospects of Multi-Target Agonists in Metabolic and Epigenetic Medicine
Topic Editors: Riham Abouleisa, Yanming LiDeadline: 30 November 2026
Topic in
Biomedicines, Metabolites, Proteomes, Genes, J
Multi-Omics in Precision Medicine
Topic Editors: Michele Costanzo, Armando CeveniniDeadline: 31 December 2026
Topic in
Agriculture, Agronomy, Crops, Genes, Plants, DNA
Vegetable Breeding, Genetics and Genomics, 2nd Volume
Topic Editors: Padma Nimmakayala, Georgia Ntatsi, Umesh K. Reddy, Yan R. TomasonDeadline: 5 February 2027
Conferences
Special Issues
Special Issue in
Genes
Research on Genetics and Breeding of Cattle
Guest Editor: Borhan ShokrollahiDeadline: 5 March 2026
Special Issue in
Genes
Reviews in RNA: Mechanisms and Roles
Guest Editors: Laurent Metzinger, Valérie Metzinger-Le MeuthDeadline: 10 March 2026
Special Issue in
Genes
Molecular Basis in Rare Genetic Disorders
Guest Editor: Miao SunDeadline: 10 March 2026
Special Issue in
Genes
Genetic Insights into Immunity and Pathogen Resistance
Guest Editors: Fabiana Neves, Tereza AlmeidaDeadline: 10 March 2026
Topical Collections
Topical Collection in
Genes
Tools for Population and Evolutionary Genetics
Collection Editors: David Alvarez-Ponce, Julie M. Allen, Won Cheol Yim, Marco Fondi
Topical Collection in
Genes
Genetics and Genomics of Hereditary Disorders of Connective Tissue
Collection Editors: Nazli B. Mcdonnell, Bert Callewaert, Clair A. Francomano, Philippe Khau-Van-Kien, Yves Dulac



