-
Construing Complex Referentiality in Interspecies Interaction: Embodiment and Biosemiotics -
Strategic Use of High Phytase in Space-Restricted Finishing Pigs -
Feed Intake-Regulating Peptides in the Gut–Brain Axis of Laying Hens Housed Under Different Egg Production -
Diversity and Origin of Quill Mites Parasitising the True Finches
Journal Description
Animals
Animals
is an international, peer-reviewed, open access journal devoted entirely to animals, including zoology and veterinary sciences, and is published semimonthly online by MDPI. The World Association of Zoos and Aquariums (WAZA), European College of Animal Welfare and Behavioural Medicine (ECAWBM), and Federation of European Laboratory Animal Science Associations (FELASA) are affiliated with Animals and their members receive a discount on the article processing charges.
- Open Access— free for readers, with article processing charges (APC) paid by authors or their institutions.
- High Visibility: indexed within Scopus, SCIE (Web of Science), PubMed, PMC, Embase, PubAg, AGRIS, Animal Science Database, CAB Abstracts, and other databases.
- Journal Rank: JCR - Q1 (Veterinary Sciences) / CiteScore - Q1 (General Veterinary )
- Rapid Publication: manuscripts are peer-reviewed and a first decision is provided to authors approximately 17.1 days after submission; acceptance to publication is undertaken in 2.6 days (median values for papers published in this journal in the second half of 2025).
- Recognition of Reviewers: reviewers who provide timely, thorough peer-review reports receive vouchers entitling them to a discount on the APC of their next publication in any MDPI journal, in appreciation of the work done.
- Companion journals for Animals include: Birds, Ruminants and Zoonotic Diseases.
Impact Factor:
2.7 (2024);
5-Year Impact Factor:
3.2 (2024)
Latest Articles
Commensal Microbiota and Reproductive Health in Livestock: Mechanisms, Cross-System Crosstalk, and Precision Strategies
Animals 2026, 16(3), 371; https://doi.org/10.3390/ani16030371 - 23 Jan 2026
Abstract
Reproductive performance in livestock and poultry is a core determinant of economic efficiency in the animal industry. While traditional research has primarily focused on genetics, endocrinology, and immune regulation, emerging microbiome studies reveal that commensal microbiota within the gut and reproductive tracts play
[...] Read more.
Reproductive performance in livestock and poultry is a core determinant of economic efficiency in the animal industry. While traditional research has primarily focused on genetics, endocrinology, and immune regulation, emerging microbiome studies reveal that commensal microbiota within the gut and reproductive tracts play an underestimated yet pivotal role in host reproductive health. This review systematically synthesizes recent advances regarding the relationship between the microbiome and reproductive functions in major livestock species (cattle, pigs, sheep, and chickens). We first delineate the theoretical basis and mechanisms of the “gut-reproductive axis,” highlighting cross-system communication mediated by microbial metabolites, including short-chain fatty acids (SCFAs), indoles, and bile acids. Subsequently, we provide an in-depth comparative analysis of the microecological features of both female (vagina/uterus) and male (semen/epididymis) reproductive systems, examining their impacts on fertility, sperm quality, and pregnancy outcomes. Furthermore, we explore the molecular and systemic mechanisms governing microbial regulation of reproduction, encompassing the modulation of the hypothalamic-pituitary-gonadal (HPG) axis, the balance of local mucosal immunity and inflammation, and epigenetic regulation. Finally, we address current challenges—such as causal validation and the scarcity of multi-species databases—and propose future directions, including spatial multi-omics, AI-integrated analysis, and microbial intervention strategies. Ultimately, this review aims to offer a theoretical foundation and translational insights for elucidating reproductive regulatory networks and developing microbiome-driven precision strategies to enhance reproductive performance.
Full article
(This article belongs to the Section Small Ruminants)
Open AccessReview
A Comparative Analysis of International Dog Owner Education Programmes
by
Hee Yong Kang and Song Yi Lee
Animals 2026, 16(3), 370; https://doi.org/10.3390/ani16030370 - 23 Jan 2026
Abstract
Dogs increasingly function as relational beings, shaping their guardians’ emotional well-being and daily routines. Consequently, dog owner education has expanded beyond behaviour-focused training toward integrative approaches that address the emotional, relational, and cognitive dimensions of the human–dog relationship. Despite this shift, international comparative
[...] Read more.
Dogs increasingly function as relational beings, shaping their guardians’ emotional well-being and daily routines. Consequently, dog owner education has expanded beyond behaviour-focused training toward integrative approaches that address the emotional, relational, and cognitive dimensions of the human–dog relationship. Despite this shift, international comparative research on the organisation and institutionalisation of dog owner education remains limited. The study applies a qualitative exploratory comparative case study to examine systems in the United States, the United Kingdom, Germany, Japan, and Australia, identifying national patterns and shared components to inform context-appropriate frameworks, particularly in South Korea. The study examines legal and policy documents, institutional guidelines, and standardised education programmes that function as national or de facto standards using document and content analysis. It integrates within- and cross-case comparisons and interprets findings through a framework drawing on human–animal interaction, attachment, canine behaviour, and cognitive–behavioural coaching theories. The analysis reveals five shared components of behaviour change: guardian responsibility and animal welfare, science-based positive reinforcement, early socialisation and prevention, a balance between standardisation and individualisation, and guardians’ emotional and relational engagement. These findings suggest that dog owner education functions as an integrated system that supports responsible guardianship and stable human–dog relationships across sociocultural contexts.
Full article
(This article belongs to the Special Issue People and Pets: Factors Affecting the Acquisition, Characteristics and Relinquishment of Companion Animal Relationships)
Open AccessFeature PaperArticle
Impact of the July 2018 Heavy Rain Disaster on the Endangered Nagoya Daruma Pond Frog (Pelophylax porosus brevipodus) in Rice Fields of Mabi Town, Kurashiki City, Western Japan: Changes in Population Structure over Five Years
by
Ryo Nakajima, Daisuke Azumi, Masakazu Tada, Junya Nakaichi, Koki R. Katsuhara and Kazuyoshi Nakata
Animals 2026, 16(3), 369; https://doi.org/10.3390/ani16030369 - 23 Jan 2026
Abstract
Rice paddy fields (referred to below as rice fields) are important not only for food production, but also as habitats for various species. The Nagoya Daruma Pond Frog (Pelophylax porosus brevipodus) is an endangered frog species endemic to Japan, mainly living
[...] Read more.
Rice paddy fields (referred to below as rice fields) are important not only for food production, but also as habitats for various species. The Nagoya Daruma Pond Frog (Pelophylax porosus brevipodus) is an endangered frog species endemic to Japan, mainly living in and around rice field areas. In July 2018, heavy rainfall caused severe flooding in Mabi Town of Okayama Prefecture, western Japan, submerging numerous rice fields and affecting local frog populations, including P. porosus brevipodus. To clarify whether the population structure of P. porosus brevipodus changed following the flood disaster in the rice fields of Mabi Town, we conducted quantitative field surveys in a rice fallow field in mid-October before (2017) and after (2018, 2020–2022, excluding 2019) the flood. The number of frogs declined sharply after the 2018 flood, reaching only a few individuals by 2020, but showed a substantial recovery in 2021 following the resumption of rice cultivation, although numbers decreased again in 2022. This recovery, despite fluctuations, indicates that habitat restoration through rice farming played a key role in enabling the population to rebound. Our findings underscore the importance of maintaining and restoring rice field environments after natural disasters for the survival and long-term recovery of P. porosus brevipodus.
Full article
(This article belongs to the Special Issue Conservation and Restoration of Aquatic Animal Habitats)
►▼
Show Figures

Figure 1
Open AccessArticle
Dead Chicken Identification Method Based on a Spatial-Temporal Graph Convolution Network
by
Jikang Yang, Chuang Ma, Haikun Zheng, Zhenlong Wu, Xiaohuan Chao, Cheng Fang and Boyi Xiao
Animals 2026, 16(3), 368; https://doi.org/10.3390/ani16030368 - 23 Jan 2026
Abstract
In intensive cage rearing systems, accurate dead hen detection remains difficult due to complex environments, severe occlusion, and the high visual similarity between dead hens and live hens in a prone posture. To address these issues, this study proposes a dead hen identification
[...] Read more.
In intensive cage rearing systems, accurate dead hen detection remains difficult due to complex environments, severe occlusion, and the high visual similarity between dead hens and live hens in a prone posture. To address these issues, this study proposes a dead hen identification method based on a Spatial-Temporal Graph Convolutional Network (STGCN). Unlike conventional static image-based approaches, the proposed method introduces temporal information to enable dynamic spatial-temporal modeling of hen health states. First, a multimodal fusion algorithm is applied to visible light and thermal infrared images to strengthen multimodal feature representation. Then, an improved YOLOv7-Pose algorithm is used to extract the skeletal keypoints of individual hens, and the ByteTrack algorithm is employed for multi-object tracking. Based on these results, spatial-temporal graph-structured data of hens are constructed by integrating spatial and temporal dimensions. Finally, a spatial-temporal graph convolution model is used to identify dead hens by learning spatial-temporal dependency features from skeleton sequences. Experimental results show that the improved YOLOv7-Pose model achieves an average precision (AP) of 92.8% in keypoint detection. Based on the constructed spatial-temporal graph data, the dead hen identification model reaches an overall classification accuracy of 99.0%, with an accuracy of 98.9% for the dead hen category. These results demonstrate that the proposed method effectively reduces interference caused by feeder occlusion and ambiguous visual features. By using dynamic spatial-temporal information, the method substantially improves robustness and accuracy of dead hen detection in complex cage rearing environments, providing a new technical route for intelligent monitoring of poultry health status.
Full article
(This article belongs to the Special Issue Welfare and Behavior of Laying Hens)
►▼
Show Figures

Figure 1
Open AccessArticle
Construction of Bovine CypA Gene Expression Vector and Validation of Its Expression in CHO-K1 Cells
by
Haidong Liu, Biyu Zhang, Meng Zhou, Yanqiang Zhang, Qian Shi, Haitao Diao, Youfang Gu, Qianqian Hu, Jing Li and Chongmei Ruan
Animals 2026, 16(3), 367; https://doi.org/10.3390/ani16030367 - 23 Jan 2026
Abstract
Bovine mastitis remains a globally prevalent disease, with the limitations of antibiotic-based treatments—such as the rise in antimicrobial resistance and the presence of drug residues—highlighting the urgent need for alternative therapeutic approaches. Inflammation is intricately linked to various cytokines and immunomodulatory proteins, among
[...] Read more.
Bovine mastitis remains a globally prevalent disease, with the limitations of antibiotic-based treatments—such as the rise in antimicrobial resistance and the presence of drug residues—highlighting the urgent need for alternative therapeutic approaches. Inflammation is intricately linked to various cytokines and immunomodulatory proteins, among which cyclophilin A (CypA) serves as a pivotal inflammatory mediator, significantly contributing to the initiation and amplification of inflammatory responses under such conditions. The acquisition of high-purity recombinant protein is a fundamental prerequisite for in vitro functional studies of bovine CypA. This study aimed to construct a eukaryotic expression vector for bovine CypA and verify its expression in CHO-K1 cells. Utilizing the bovine CypA gene sequence available in GenBank, the coding region was artificially synthesized and optimized for codon usage, subsequently being inserted into the pPB[Exp] backbone vector via BsrGI and BstEII double digestion. The resulting polycistronic expression vector contained a CAG promoter driving the CypA transcription, an EF1α promoter driving the EGFP reporter gene, a PGK promoter controlling the puromycin resistance gene, and a C-terminal His-tag. Restriction enzyme digestion and bidirectional Sanger sequencing confirmed that the inserted fragment sequence was completely consistent with the optimized design. Robust EGFP fluorescence was observed 24 h post-transfection and remained stable after puromycin selection. qPCR analysis showed that the Ct value of CypA in the experimental group was 16.20 ± 0.04, while no amplification signal was detected in the control group. Additionally, Western blot analysis identified a CypA-specific band at approximately 18 kDa, confirming the correct expression of the exogenous CypA protein in CHO-K1 cells. Collectively, these results demonstrate the successful construction and validation of a bovine CypA eukaryotic expression vector. The established CHO-K1 expression system exhibited stable and efficient expression, thereby providing a robust foundation for future research on the production and application of recombinant CypA protein.
Full article
(This article belongs to the Section Cattle)
►▼
Show Figures

Figure 1
Open AccessCommunication
Comparison of Delta Total Nucleated Cells Assessed via Sysmex XT-2000iV and Sysmex XN-1000V in Effusions in Cats
by
Manuela Zanetti, Sara Meazzi, Saverio Paltrinieri, Giulia Mangiagalli, Sara Novellini, Silvia Rossi, Stefanie Klenner-Gastreich, Stefania Lauzi and Alessia Giordano
Animals 2026, 16(3), 366; https://doi.org/10.3390/ani16030366 - 23 Jan 2026
Abstract
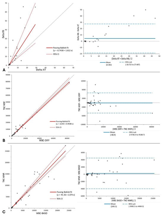
The ratio of the nucleated cell counts (ΔTNC) provided by the Sysmex XT-2000iV DIFF and BASO channels has been proven to be useful in differentiating effusions in cats; in particular, a ΔTNC > 2.5 was found to have high accuracy for effusive FIP.
[...] Read more.
The ratio of the nucleated cell counts (ΔTNC) provided by the Sysmex XT-2000iV DIFF and BASO channels has been proven to be useful in differentiating effusions in cats; in particular, a ΔTNC > 2.5 was found to have high accuracy for effusive FIP. The objective of this study was to compare the ΔTNC obtained with the Sysmex XT-2000iV and Sysmex XN-1000V on different types of effusions. Fresh effusions from cats were evaluated with both analyzers. WBC-BASO, WBC-DIFF, and ΔTNC-XT from the Sysmex XT-2000iV and TNC-WNR, TNC-WDF, and ΔTNC-XN from the Sysmex XN-1000V were recorded and compared. Forty-five feline effusions were collected. The results were not significantly different for all parameters evaluated. The Passing and Bablok regression analysis for ΔTNC-XT and ΔTNC-XN revealed a slope of 1.612 (95% CI 1.030 to 2.316) and an intercept of −0.744 (95% CI −1.591 to −0.120); the Bland–Altman difference plot showed a positive bias of 4.382 (p = 0.02). Despite the finding of a positive proportional and constant bias between ΔTNC-XT and ΔTNC-XN, evident especially at high ΔTNC values, samples were classified accordingly between the two analyzers when ΔTNC-XT cut-offs were used, allowing the same accuracy for the identification of suspected and compatible FIP samples.
Full article
(This article belongs to the Section Companion Animals)
►▼
Show Figures

Figure 1
Open AccessArticle
Ferrous Glycinate (Fe-Gly) Supplementation Improves Growth Performance by Modulating Intestinal Immunity and Microbiota in Weaned Piglets
by
Bijiang Li, Aimin Wu, Tingting Zhang, Ruiying Zhang, Huifen Wang, Quyuan Wang and Daiwen Chen
Animals 2026, 16(3), 365; https://doi.org/10.3390/ani16030365 - 23 Jan 2026
Abstract
Iron is an essential nutrient for piglets, but iron sources vary greatly in bioavailability, and their effects on intestinal health remain unclear. In this study, 21-day-old weaned piglets were used to compare the effects of different iron sources (ferrous sulfate (FeSO4),
[...] Read more.
Iron is an essential nutrient for piglets, but iron sources vary greatly in bioavailability, and their effects on intestinal health remain unclear. In this study, 21-day-old weaned piglets were used to compare the effects of different iron sources (ferrous sulfate (FeSO4), ferric ammonium citrate (FAC), and ferrous glycinate (Fe-Gly)) on growth performance, intestinal inflammation, and gut microbiota. Compared to the FeSO4 group, the Fe-Gly group significantly increased the body weight of piglets at 35 days (p < 0.05), promoted the average daily feed intake (ADFI) and average daily gain (ADG) of piglets from day 21 to 35 (p < 0.01), and also markedly reduced the diarrhea rate of piglets (p < 0.01). Meanwhile, although FAC increased growth performance-related indicators (ADG, ADFI) in piglets, there was no significant statistical difference compared with FeSO4 (p > 0.10). Moreover, Fe-Gly supplementation significantly elevated serum iron levels and total iron-binding capacity (p < 0.01), while significantly reducing the iron content in colonic chyme (p < 0.0001). Both the Fe-Gly and FAC significantly improved the anti-inflammatory and antioxidant capacities of the piglets (p < 0.01). Interestingly, Fe-Gly primarily increased the abundance of Lactobacillus, thereby reducing the abundance of harmful bacteria such as Escherichia coli. Functional prediction using PICRUSt2 revealed that Fe-Gly supplementation tended to elevate the relative abundance of gut bacteria capable of carbohydrate metabolism and amino acid synthesis. In conclusion, this study demonstrated that dietary Fe-Gly supplementation improved systemic iron status, effectively reduce residual iron in the intestine, inhibit the proliferation of pathogenic bacteria in the gut, promote the growth performance and intestinal health of piglets, and reduce the diarrhea rate.
Full article
(This article belongs to the Section Animal Nutrition)
►▼
Show Figures

Figure 1
Open AccessArticle
Mapping Feline Oncology in Portugal: A National Characterization
by
Paula Brilhante-Simões, Ricardo Lopes, Leonor Delgado, Augusto Silva, Fernando Pacheco, Ricardo Marcos, Felisbina Queiroga and Justina Prada
Animals 2026, 16(3), 364; https://doi.org/10.3390/ani16030364 - 23 Jan 2026
Abstract
This retrospective study describes the national histopathology caseload of feline tumours submitted to a Portuguese diagnostic laboratory over a five-year period. A total of 1904 histopathology-confirmed neoplasms were analysed by biological behaviour, anatomical location, and demographic/geographical variables. Malignant tumours predominated (77.4%), whereas 22.6%
[...] Read more.
This retrospective study describes the national histopathology caseload of feline tumours submitted to a Portuguese diagnostic laboratory over a five-year period. A total of 1904 histopathology-confirmed neoplasms were analysed by biological behaviour, anatomical location, and demographic/geographical variables. Malignant tumours predominated (77.4%), whereas 22.6% were benign. Tumours most commonly involved the mammary gland (44.8%) and cutaneous/soft tissues (42.4%), together accounting for 87.2% of cases; all other sites were individually uncommon (≤5.6%). The most frequent malignant tumour types were mammary carcinoma (38.3%), fibrosarcoma (8.0%), squamous cell carcinoma (6.4%), and mast cell tumour (4.8%). Cats with malignant tumours were older than those with benign lesions (p < 0.001), and females comprised most submissions (69.3%), largely driven by mammary neoplasia. Multiple, histologically distinct tumours were identified in 8.3% of cats and were more frequent in older females (p = 0.001). Domestic Shorthairs comprised the vast majority of cases, and no significant associations were detected between breed (including pure breeds) or geographical location and tumour occurrence or biological behaviour (p > 0.05). These findings highlight a sustained predominance of malignant disease in Portuguese cats, concentrated in mammary and cutaneous/soft-tissue sites, supporting a low threshold for biopsy in older cats and systematic mammary screening in females, and continued registry-based surveillance to monitor temporal changes in tumour patterns.
Full article
(This article belongs to the Special Issue Advances in Animal Oncology: Diagnostic Innovations, Therapeutic Approaches, and One Health Perspectives)
►▼
Show Figures

Figure 1
Open AccessArticle
Optimized Animal Models for the Genetic Evaluation of Conformation Traits, Milking Ease, and Milking Temperament in Dairy Gir Cattle
by
Samla M. F. Cunha, Flavio S. Schenkel, Tatiane C. S. Chud, Anderson A. C. Alves, Marcos Vinícius G. B. da Silva, Rui da S. Verneque, João Cláudio do C. Panetto and Danísio P. Munari
Animals 2026, 16(3), 363; https://doi.org/10.3390/ani16030363 - 23 Jan 2026
Abstract
This study aimed to evaluate four different models for the genetic evaluation of sixteen conformation traits, milking ease, and milking temperament in Dairy Gir cattle. The models vary based on whether they include only statistically significant fixed effects or all recorded effects, along
[...] Read more.
This study aimed to evaluate four different models for the genetic evaluation of sixteen conformation traits, milking ease, and milking temperament in Dairy Gir cattle. The models vary based on whether they include only statistically significant fixed effects or all recorded effects, along with contemporary groups (CGs) treated as fixed or random effects. Categorical traits were also analyzed using a threshold model. The adjusted R-squared ( ) was used to compare the goodness-of-fit of the linear models. Spearman’s rank correlation and the average accuracy of bull estimated breeding values (EBVs) with at least 20 phenotyped daughters were compared. Models fitting CG as a random effect performed better based on their values and had a greater average accuracy of EBVs for most traits. Spearman’s rank correlation coefficients indicated low to medium bull EBV re-ranking between most of the models. The linear models performed better than threshold models for almost all traits. When possible, more parsimonious linear models fitting only significant fixed effects should be used to reduce the standard error of estimation. Additionally, fitting CGs as a random effect seems more beneficial for the genetic evaluation of conformation and milking traits in Dairy Gir cattle in Brazil.
Full article
(This article belongs to the Special Issue Advances in Cattle Genetics and Breeding)
Open AccessArticle
Genetic Parameters for Rumination Time, Daily Average Milk Temperature, and Milking Traits Derived from Automatic Milking Systems in Holstein Cattle
by
Ali Altınsoy, Hacer Yavuz Altınsoy, Serdar Duru and İsmail Filya
Animals 2026, 16(3), 362; https://doi.org/10.3390/ani16030362 - 23 Jan 2026
Abstract
Automatic Milking Systems (AMSs) enable the continuous recording of production, milkability, behavioral, and physiological traits, offering new opportunities for genetic evaluation in dairy cattle. This study aimed to estimate variance components and genetic parameters for milk yield-related traits, milking efficiency traits, rumination time
[...] Read more.
Automatic Milking Systems (AMSs) enable the continuous recording of production, milkability, behavioral, and physiological traits, offering new opportunities for genetic evaluation in dairy cattle. This study aimed to estimate variance components and genetic parameters for milk yield-related traits, milking efficiency traits, rumination time (RT), and daily average milk temperature (MTEMP) using AMS-derived data from 1252 Holstein cows. 65,475 weekly records from a single commercial herd were analyzed using repeatability animal models fitted by restricted maximum likelihood. Heritability estimates were moderate to high for milking time (MT) (0.31), milking speed (MS) (0.38), RT (0.30), and MTEMP (0.28), whereas behavioral traits such as number of milking (NoM) (0.26) and number of refused (NoREF) (0.11) showed lower but meaningful heritabilities. Repeatability was highest for MT and MS (0.77 and 0.79), indicating consistent milking performance across repeated records. MTEMP demonstrated clear seasonal variation, increasing in warmer periods and decreasing during colder months, indicating sensitivity to environmental conditions. Genetic correlations among traits revealed both favorable and unfavorable associations; however, several estimates were associated with relatively large standard errors and should therefore be interpreted with caution. The inclusion of MTEMP as a proxy physiological trait derived from AMS data showed measurable genetic variation, although its biological interpretation requires careful consideration. Overall, the results suggest that AMS-derived phenotypes may contribute useful information for genetic studies of functional traits, but the single-herd structure, limited pedigree depth, and data aggregation procedures restrict the generalizability of the findings. Further multi-herd and genomics-based studies are required to validate these results and assess their applicability in breeding programs.
Full article
(This article belongs to the Section Animal Genetics and Genomics)
►▼
Show Figures

Figure 1
Open AccessArticle
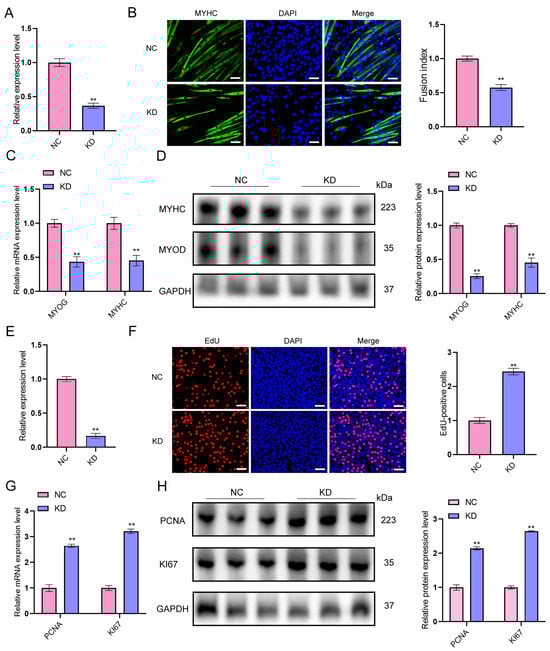
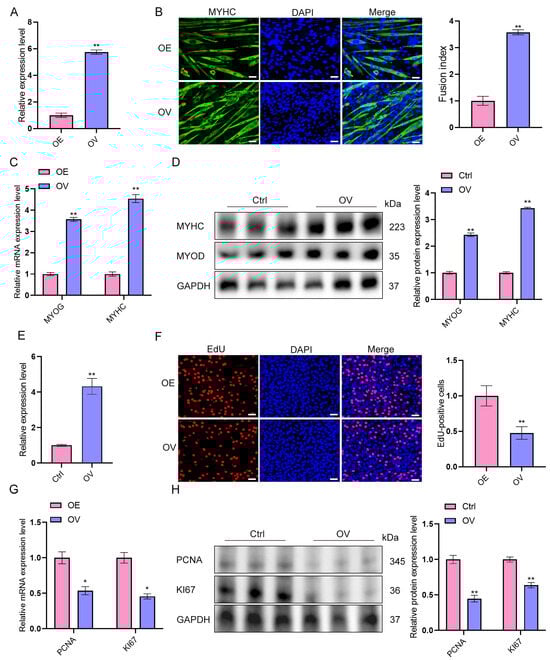
Porcine Skeletal Muscle-Specific lncRNA-ssc.37456 Regulates Myoblast Proliferation and Differentiation
by
Xia He, Yangshuo Hu, Yangli Pei, Yilong Yao and Shen Liu
Animals 2026, 16(3), 361; https://doi.org/10.3390/ani16030361 - 23 Jan 2026
Abstract
Long-chain non-coding RNAs (lncRNAs) play important regulatory roles in the growth and development of skeletal muscle, but systematic identification and functional studies of lncRNAs related to porcine skeletal muscle development remain limited. Based on a previously constructed panoramic map of porcine skeletal muscle
[...] Read more.
Long-chain non-coding RNAs (lncRNAs) play important regulatory roles in the growth and development of skeletal muscle, but systematic identification and functional studies of lncRNAs related to porcine skeletal muscle development remain limited. Based on a previously constructed panoramic map of porcine skeletal muscle lncRNAs, lncRNA-ssc.37456 was identified as differentially expressed in porcine skeletal muscle before and after birth. Its function and potential mechanisms were investigated using a porcine skeletal muscle regeneration model, a primary skeletal muscle cell differentiation model, and knockdown and overexpression experiments in vitro. lncRNA-ssc.37456 was upregulated on day 7 of regeneration, with expression positively correlated with the muscle differentiation marker MYHC and negatively correlated with the proliferation marker PAX7. During differentiation of porcine primary myoblasts, expression continuously increased, peaking on day 4. Knockdown of lncRNA-ssc.37456 by small interfering RNA (siRNA) significantly increased cell proliferation, upregulated mRNA and protein levels of proliferation-related genes KI67 and PCNA, and increased the proportion of EdU-positive cells. Conversely, expression of differentiation-related genes MYOG and MYHC decreased, and immunofluorescence analysis revealed reduced myotube formation and differentiation index. Overexpression of lncRNA-ssc.37456 promoted differentiation and inhibited proliferation, showing effects opposite to those observed in knockdown experiments. Nucleocytoplasmic fractionation indicated predominant cytoplasmic localization, suggesting potential function through a ceRNA mechanism. An interaction network with miRNAs was constructed based on the miRDB database, indicating a potential miRNA “sponge” regulatory mechanism. These results indicate that lncRNA-ssc.37456 participates in porcine skeletal muscle development by regulating the transition of muscle cells from proliferation to differentiation, providing molecular insights and potential targets for muscle biology research and the molecular breeding of growth traits.
Full article
(This article belongs to the Section Pigs)
►▼
Show Figures

Figure 1
Open AccessFeature PaperArticle
Autochthonous and Allochthonous Gut Microbes May Work Together: Functional Insights from Farmed Gilthead Sea Bream (Sparus aurata)
by
Alvaro Belenguer, Federico Moroni, Fernando Naya-Català, Paul George Holhorea, Ricardo Domingo-Bretón, Josep Àlvar Calduch-Giner and Jaume Pérez-Sánchez
Animals 2026, 16(3), 360; https://doi.org/10.3390/ani16030360 - 23 Jan 2026
Abstract
In fish gut microbiome studies, there are no standardized protocols regarding sampling region or post-feeding time, nor clear consensus on whether analyses should target resident (autochthonous) or transient (allochthonous) bacteria. This study examined the dynamics and interactions of both microbial communities in the
[...] Read more.
In fish gut microbiome studies, there are no standardized protocols regarding sampling region or post-feeding time, nor clear consensus on whether analyses should target resident (autochthonous) or transient (allochthonous) bacteria. This study examined the dynamics and interactions of both microbial communities in the anterior and posterior intestine of farmed gilthead sea bream and evaluated the resident microbiome at 24 and 48 h post-feeding. Microbial DNA was sequenced using the Oxford Nanopore Technology platform. Data were analyzed through statistical and discriminant approaches, as well as a Bayesian network framework to assess bacterial interactions. Transient communities showed higher richness and diversity, regardless of intestinal section, suggesting a more specialized and stable microbial environment in the mucus layer. The two communities differed markedly in structure and composition. Variations associated with intestinal region were less pronounced, particularly for autochthonous bacteria, and post-feeding fluctuations in the resident microbiome were minimal. Functionally, results indicated relevant synergies between communities. Protein metabolism pathways were enriched in autochthonous bacteria, whereas allochthonous microorganisms contributed mainly to bile acid and carbohydrate metabolism. Overall, resident and transient bacteria constitute distinct communities in the gut of gilthead sea bream, with numerous genera present in both but most being differentially represented and interconnected.
Full article
(This article belongs to the Special Issue Fish Microbiome, a Novel Tool to Improve Sustainable Production and Welfare in Aquaculture)
Open AccessArticle
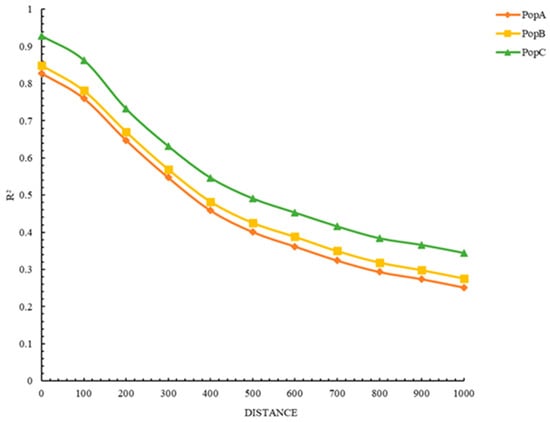
Leveraging Fst and Genetic Distance to Optimize Reference Sets for Enhanced Cross-Population Genomic Prediction
by
Le Zhou, Lin Zhu, Fengying Ma, Mingjuan Gu, Risu Na and Wenguang Zhang
Animals 2026, 16(3), 359; https://doi.org/10.3390/ani16030359 - 23 Jan 2026
Abstract
Genomic selection often faces challenges of insufficient prediction accuracy in cross-population applications, primarily due to differences in linkage disequilibrium patterns between populations. This study proposes an Fst-based strategy to enhance prediction performance by constructing a cross-population reference set with high genetic similarity to
[...] Read more.
Genomic selection often faces challenges of insufficient prediction accuracy in cross-population applications, primarily due to differences in linkage disequilibrium patterns between populations. This study proposes an Fst-based strategy to enhance prediction performance by constructing a cross-population reference set with high genetic similarity to the target population (PopA). By integrating Fst-mediated SNP screening and Euclidean genetic distance analysis, the top 10%, 15% and 20% of individuals genetically most similar to PopA were screened from PopB and PopC, respectively, leading to the generation of six reference sets characterized by different mixing proportions. The results demonstrate that incorporating the top 10–20% of the most similar individuals significantly improves the accuracy and robustness of genomic estimated breeding value predictions. Among the methods evaluated, ssGBLUP and wGBLUP performed best, with prediction accuracy increasing as the mixing proportion rose up to 20%. This approach effectively mitigates structural bias caused by inter-population genetic differences and significantly enhances prediction efficiency. The multi-level mixing experiment not only validates the practical value of Fst and Euclidean distance but also provides theoretical support and a feasible solution for the efficient integration of cross-population germplasm resources.
Full article
(This article belongs to the Collection Advances in Cattle Breeding, Genetics and Genomics)
►▼
Show Figures

Figure 1
Open AccessArticle
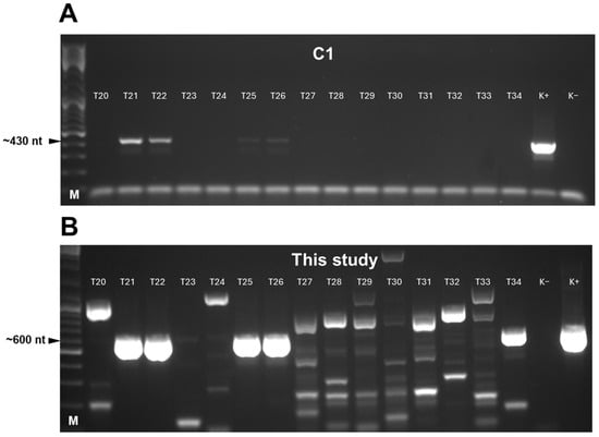
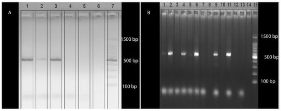
Surveillance of Swine Coronaviruses in Hungarian Herds with a Newly Established Pan-Coronavirus RT-PCR System
by
Dóra Máté, Renáta Varga-Kugler, Eszter Kaszab, Henrik Fülöp Károlyi, Tamás Görföl, Gábor Kemenesi, Barbara Igriczi, Gyula Balka, Marianna Domán, Ádám Bálint, Zoltán Zádori and Enikő Fehér
Animals 2026, 16(3), 358; https://doi.org/10.3390/ani16030358 - 23 Jan 2026
Abstract
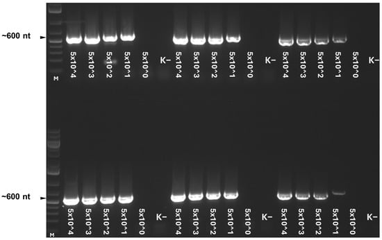
The rapid evolution of coronaviruses (CoVs) requires researchers to develop specific yet broad-spectrum detection methods to monitor their constant genomic changes. The goal of the present study was to establish a current pan-coronavirus RT-PCR system capable of detecting a wide variety of CoVs
[...] Read more.
The rapid evolution of coronaviruses (CoVs) requires researchers to develop specific yet broad-spectrum detection methods to monitor their constant genomic changes. The goal of the present study was to establish a current pan-coronavirus RT-PCR system capable of detecting a wide variety of CoVs and useful for the investigation of virus diversity and host spectrum. For optimization, one-step and two-step nested RT-PCRs with three RT enzymes were examined, amplifying a ~600 bp long product of the RNA-dependent RNA polymerase. As templates, the in vitro transcribed RNA of ten pathogenic CoVs (SARS-CoV, SARS-CoV-2, NL-63, OC43, feline CoV, porcine epidemic diarrhea virus or PEDV, transmissible gastroenteritis virus or TGEV, canine CoV, bat CoV, and infectious bronchitis virus) were applied instead of the often-used DNA standards. A limit of detection of 5–50 copies/reaction was achieved with a random hexamer-primed two-step RT-PCR and a touchdown cycling profile, representing a lower detection limit and higher specificity compared to previously published primer sets. Swine origin pooled samples (n = 121), collected from apparently healthy herds in Hungary, were tested with the novel RT-PCR system. Sequences of porcine respiratory CoV/TGEV and porcine hemagglutinating encephalomyelitis virus were identified in 24 oral fluid and nasal swab pools, demonstrating the circulation of these viruses in this country, as well as the suitability of the new PCR for their detection. The results highlighted the importance of adequate RT enzyme selection and the use of RNase inhibitors in sample preparation and conservation.
Full article
(This article belongs to the Section Veterinary Clinical Studies)
►▼
Show Figures

Figure 1
Open AccessArticle
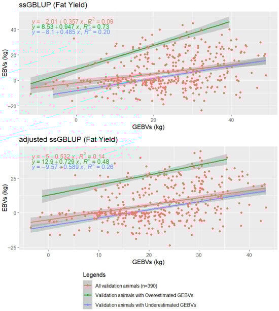
Evaluating Adjusted ssGBLUP Models for Genomic Prediction and Matrix Compatibility in South African Holstein Cattle
by
Kgaogelo Stimela Mafolo, Michael D. MacNeil, Frederick W. C. Neser and Mahlako Linah Makgahlela
Animals 2026, 16(3), 357; https://doi.org/10.3390/ani16030357 - 23 Jan 2026
Abstract
In populations with limited genotyping, single-step genomic best linear unbiased predictions (ssGBLUP) can produce biased or less accurate genomic predictions due to incompatibilities between genomic and pedigree relationship matrices. The study evaluated the impact of five alternative ssGBLUP models for genomic predictions of
[...] Read more.
In populations with limited genotyping, single-step genomic best linear unbiased predictions (ssGBLUP) can produce biased or less accurate genomic predictions due to incompatibilities between genomic and pedigree relationship matrices. The study evaluated the impact of five alternative ssGBLUP models for genomic predictions of milk, fat, and protein yield production traits in South African Holstein cattle. The dataset included 696,413 milk production records and pedigrees of 541,325 animals. Production traits were 305-day lactation yields for milk, protein, and fat. Genotype data were based on the Illumina 50K chip v3, with 53,218 SNPs. A total of 1221 animals with genotypes and 41,407 SNP markers were in the final dataset. The five models used to estimate genomic estimated breeding values (GEBVs) were the single-step method (ssGBLUP), ssGBLUP accounting for inbreeding (ssGBLUP_Fx), ssGBLUP with unknown parent groups (ssGBLUP_upg), and two ssGBLUP models with blending, tuning, and scaling parameters set to optimum values in constructing the inverse of the unified relationship matrix (ssGBLUP_adjusted). Realized prediction accuracies were highest for ssGBLUP_adjusted models (6–7% improvements compared to ssGBLUP). Accuracy of GEBVs for milk, protein, and fat yields ranged from 0.23, 0.29, and 0.30 for both ssGBLUP and ssGBLUP_Fx, 0.26, 0.32, and 0.34 for ssGBLUP_upg, and 0.29, 0.35, and 0.37 for ssGBLUP_adjusted models, respectively. Corresponding bias, expressed as regression coefficients, ranged from 0.30, 0.31, and 0.36 for ssGBLUP; 0.31, 0.32, and 0.37 for ssGBLUP_Fx; 0.41, 0.44, and 0.49 for ssGBLUP_upg; and 0.44, 0.47, and 0.53 for ssGBLUP_adjusted models, respectively. The improved accuracy and reduced bias observed with the ssGBLUP_adjusted underscores the importance of optimizing the blending of pedigree- and genome-based relationships to achieve more reliable GEBVs, thereby improving selection decisions in Holstein dairy cattle.
Full article
(This article belongs to the Section Animal Genetics and Genomics)
►▼
Show Figures

Figure 1
Open AccessArticle
Growth, Health and Physiological Responses of Freshwater-Reared Atlantic Salmon (Salmo salar) Fed Graded Dietary Lipid Levels
by
Byoungyoon Lee, Junoh Lee, Saeyeon Lim, Gwanghyeok Kim, Minjae Seong, Dahyun Jeong, Sijun Han, Byung-Hwa Min, Kang-Woong Kim, Seong-Mok Jeong, Mun Chang Park, Woo Seok Hong, Se Ryun Kwon and Youngjin Park
Animals 2026, 16(3), 356; https://doi.org/10.3390/ani16030356 - 23 Jan 2026
Abstract
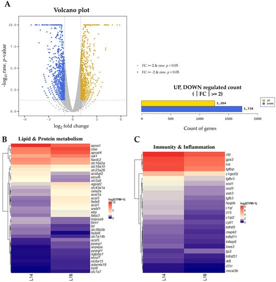
This study evaluated the optimal dietary lipid level for Atlantic salmon (Salmo salar) reared in freshwater, aiming to provide foundational knowledge for the development of cost-effective and nutritionally balanced aquafeeds. Four experimental diets were formulated to contain comparable crude protein levels
[...] Read more.
This study evaluated the optimal dietary lipid level for Atlantic salmon (Salmo salar) reared in freshwater, aiming to provide foundational knowledge for the development of cost-effective and nutritionally balanced aquafeeds. Four experimental diets were formulated to contain comparable crude protein levels (47%) but graded lipid levels of 14% (L14), 16% (L16), 18% (L18), and 20% (L20), and were fed to salmon with an initial mean body weight of 241.5 ± 9.7 g during a 12-week feeding trial. Fish in the L16 group exhibited the highest weight gain (WG) and feed efficiency (FE), whereas those in the L14 group showed significantly reduced growth performance. Antioxidant analysis revealed that glutathione peroxidase (GPx) activity was lowest in the L14 group (p < 0.05), while plasma glucose concentration was minimized in the L16 group (p < 0.05). Transcriptomic profiling of liver tissue from the L14 and L16 groups identified 2117 differentially expressed genes (DEGs). Genes associated with lipid metabolism were more highly expressed in the L16 group, whereas immune- and inflammation-related genes were upregulated in the L14 group. These findings suggest that a dietary lipid level of approximately 16% is most favorable for promoting growth, metabolic stability, and overall health in freshwater-reared Atlantic salmon, thereby providing practical guidance for optimizing feed formulation and improving the economic efficiency of freshwater salmon aquaculture.
Full article
(This article belongs to the Special Issue Advances in Nutrition, Sustainability and Ecology of Salmonids)
►▼
Show Figures

Figure 1
Open AccessArticle
Different Approaches to Caponisation of Cockerels and Their Relation to Welfare
by
Alenka Dovč, Jurij Žel, Gordana Gregurić Gračner, Marko Cvetko, Veronika Budin, Zoran Žlabravec and Primož Klinc
Animals 2026, 16(3), 355; https://doi.org/10.3390/ani16030355 - 23 Jan 2026
Abstract
The aim of this study was to improve surgical caponisation and identify stress factors associated with different pain management methods and post-operative periods. A total of 72 Prelux-G cockerels were caponised at six weeks of age. Eight experimental groups were established based on
[...] Read more.
The aim of this study was to improve surgical caponisation and identify stress factors associated with different pain management methods and post-operative periods. A total of 72 Prelux-G cockerels were caponised at six weeks of age. Eight experimental groups were established based on caponisation status and pain management. Four groups were caponised using different pain management protocols (none, anaesthesia only, analgesia only, or both), while four non-caponised groups served as controls, including one group that received anaesthesia and analgesia without surgery. The remaining three groups served as non-caponised controls with varying levels of handling. The researchers monitored body weight, feed intake, respiratory and heart rate, vocalisations, response to pain, and depth of anaesthesia. The results confirmed that caponisation is painful, as reflected in increased physiological responses and vocalisations. The use of non-steroidal anti-inflammatory drugs alone did not provide effective pain relief. Additionally, the surgical procedure had no significant effect on weight gain or feed intake during the seven days following surgery. Stress levels, measured by blood serum corticosterone concentration, also increased during the procedure. The study concludes that anaesthesia significantly reduces pain and facilitates surgery, which is essential for improving animal welfare.
Full article
(This article belongs to the Section Animal Welfare)
Open AccessArticle
Comparative Metabolic and Stress-Related Responses to Adrenaline in Iberian and Landrace Pigs
by
Manuel Lachica, Andreea Román, José Miguel Rodríguez-López, Lucrecia González-Valero, Consolación García-Contreras, Rosa Nieto and Ignacio Fernández-Fígares
Animals 2026, 16(3), 354; https://doi.org/10.3390/ani16030354 - 23 Jan 2026
Abstract
Differences in metabolic traits between traditional and modern pig breeds may influence their physiological responses to stress hormones. This study evaluated the in vivo metabolic effects of an acute adrenaline challenge in Iberian (obese, slow-growing) and Landrace (lean, fast-growing) pigs (Sus scrofa
[...] Read more.
Differences in metabolic traits between traditional and modern pig breeds may influence their physiological responses to stress hormones. This study evaluated the in vivo metabolic effects of an acute adrenaline challenge in Iberian (obese, slow-growing) and Landrace (lean, fast-growing) pigs (Sus scrofa domesticus). Four Iberian and five Landrace barrows (≈50 kg body weight; BW) fitted with a carotid catheter received an injection of adrenaline (3 µg/kg BW), and serial blood samples were collected for 105 min. Adrenaline transiently increased plasma glucose (p < 0.001) and lactate (p < 0.001) concentrations, both peaking at 5 min post-injection. Iberian pigs showed higher plasma lactate (1.26 vs. 1.03 mM; p = 0.002), triglycerides (0.34 vs. 0.27 mM; p < 0.001), and non-esterified fatty acids (NEFA; 0.38 vs. 0.29 mM; p = 0.021), but lower glucose (4.80 vs. 5.03 mM; p = 0.010) than Landrace pigs, while cholesterol remained unaffected (p > 0.10). No breed × time interaction was detected for any metabolite. The relative increase in glucose reached +47% in Iberian and +27% in Landrace pigs, whereas lactate rose +140% and +113%, respectively, indicating stronger glycolytic activation in Iberian pigs. Despite the limited sample size, the results provide physiologically relevant evidence supporting increased metabolic flexibility in Iberian pigs, characterized by a heightened sensitivity to adrenergic stimulation and associated with enhanced lipolytic and glycolytic responses; however, these conclusions should be interpreted within the specific experimental conditions under which the study was conducted. These findings demonstrate that Iberian pigs have higher metabolic sensitivity to adrenergic stimulation, with enhanced lipolytic and glycolytic activity. In conclusion, breed-dependent differences in stress-related metabolism suggest that Iberian pigs are furnished with increased metabolic flexibility to face short-term stress.
Full article
(This article belongs to the Special Issue Impact of Genetics and Feeding on Growth Performance of Pigs—2nd Edition)
►▼
Show Figures

Figure 1
Open AccessArticle
Body Coloration Characterization and Proteomic Analysis of Diurnal Color Variation in Farmed Larimichthys crocea
by
Na Lin, Junjie Wu, Hongjin Deng, Jinli Wang, Banghong Wei, Yao Zheng and Quanyou Guo
Animals 2026, 16(3), 353; https://doi.org/10.3390/ani16030353 - 23 Jan 2026
Abstract
The large yellow croaker (Larimichthys crocea) is an economically significant aquaculture species in Asia, with skin coloration being a key quality attribute affecting consumer choice and commercial value. This study integrated morphological, biochemical, and proteomic approaches to investigate chromatophore characteristics, pigment
[...] Read more.
The large yellow croaker (Larimichthys crocea) is an economically significant aquaculture species in Asia, with skin coloration being a key quality attribute affecting consumer choice and commercial value. This study integrated morphological, biochemical, and proteomic approaches to investigate chromatophore characteristics, pigment composition, and diurnal body color variation in the large yellow croaker. Colorimetric analysis showed the highest yellowness, redness, and lightness values in ventral skin, followed by caudal skin, with dorsal skin showing the least yellowness. Three major chromatophores were identified: melanophores, xanthophores, and iridophores. Xanthophores were abundant in ventral and caudal skin, showing larger size and deeper pigmentation ventrally, while melanophores dominated dorsally and iridophores were mainly on scales. Skin and fins were key sites for carotenoid deposition, with lutein as the predominant carotenoid. Esters of lutein and zeaxanthin were the main contributors to yellow coloration in fish. A strong positive correlation was found between skin yellowness and total carotenoid content (R = 0.91, p < 0.05). The aggregation and dispersion of xanthosomes within xanthophores appeared to be the key driver behind the light-influenced diurnal body color variation. Proteomic analysis revealed motor proteins (such as KIF21, DYNC1L1, and MYO9) and pathways related to intracellular granule movement were probably related to the pigment transport in chromatophores of large yellow croaker. In addition, tubulin dynamics also appeared to participate in pigment translocation. This study is helpful to understand the pigmentary basis of this important farmed sea fish and provides a foundation for improving the golden color traits and further molecular research on diurnal color changes in large yellow croaker.
Full article
(This article belongs to the Section Aquatic Animals)
►▼
Show Figures

Figure 1
Open AccessArticle
Polymorphisms and Expression Characteristics of the ZSWIM7 Gene Are Associated with the Fertility of Male Allotetraploid of Red Crucian Carp × Common Carp
by
Tao Dai, Minglin Dong, Siyang He, Weiling Qin, Conghui Yang and Yi Zhou
Animals 2026, 16(2), 352; https://doi.org/10.3390/ani16020352 - 22 Jan 2026
Abstract
Allotetraploid fish produced by distant hybridization are valuable germplasm for the mass production of sterile triploids. The allotetraploid crucian–carp hybrid (4nAT, 4n = 200) is derived from the intergeneric cross between a female red crucian carp (Carassius auratus red var., 2n =
[...] Read more.
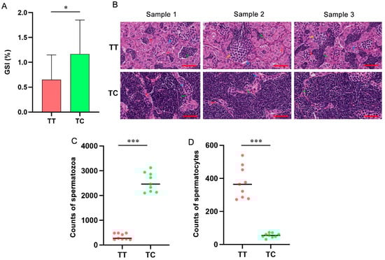
Allotetraploid fish produced by distant hybridization are valuable germplasm for the mass production of sterile triploids. The allotetraploid crucian–carp hybrid (4nAT, 4n = 200) is derived from the intergeneric cross between a female red crucian carp (Carassius auratus red var., 2n = 100) and a male common carp (Cyprinus carpio L., 2n = 100). However, after 33 successive generations, this lineage faces a critical bottleneck in maintaining male fertility. The present study aimed to develop new biomarkers for testicular development and characterize the associated functional gene expression profile in 4nAT. Following whole-genome resequencing and selection signature analysis of 15 male 4nAT individuals from each of the high-development group (HDG) and low-development group (LDG), ZSWIM7 (Zinc Finger SWIM-Type Containing 7), a gene implicated in reproductive development, was selected as a candidate for further fertility association studies. Seven SNPs were screened in the coding region of ZSWIM7 of 70 4nAT males; among these, SNP3 (c.23T/C) exhibited a significant correlation between genotypes and testicular development: individuals with the CT genotype showed a higher gonadosomatic index (1.17 ± 0.68 vs. 0.65 ± 0.50) and greater counts of mature spermatozoa (2537.67 ± 283.95 vs. 341.56 ± 121.66) compared to those with the TT genotype. Further quantitative PCR and immunofluorescence assays demonstrated that ZSWIM7 was highly expressed in the testis and specifically localized to the nuclei of early meiotic primary spermatocytes. Collectively, these results establish ZSWIM7 as a promising biomarker for 4nAT testicular development, offering a potential molecular tool for maintaining male fertility in allotetraploid fish breeding.
Full article
(This article belongs to the Special Issue Molecular Genetics in Aquaculture: Practical Applications for Sustainable Production)
►▼
Show Figures

Figure 1
Journal Menu
► ▼ Journal Menu-
- Animals Home
- Aims & Scope
- Editorial Board
- Reviewer Board
- Topical Advisory Panel
- Instructions for Authors
- Special Issues
- Topics
- Sections & Collections
- Article Processing Charge
- Indexing & Archiving
- Editor’s Choice Articles
- Most Cited & Viewed
- Journal Statistics
- Journal History
- Journal Awards
- Society Collaborations
- Conferences
- Editorial Office
Journal Browser
► ▼ Journal BrowserHighly Accessed Articles
Latest Books
E-Mail Alert
News
Topics
Topic in
Animals, Arthropoda, Diversity, Insects, Life, Pathogens
Arthropod Biodiversity: Ecological and Functional Aspects, 2nd Edition
Topic Editors: Paolo Solari, Roberto M. Crnjar, Anita Giglio, Gianluca TettamantiDeadline: 31 January 2026
Topic in
Agriculture, Animals, Veterinary Sciences, Antibiotics, Zoonotic Diseases
Animal Diseases in Agricultural Production Systems: Their Veterinary, Zoonotic, and One Health Importance, 2nd Edition
Topic Editors: Ewa Tomaszewska, Beata Łebkowska-Wieruszewska, Tomasz Szponder, Joanna Wessely-SzponderDeadline: 31 March 2026
Topic in
Animals, Dairy, Genes, Agriculture, Poultry, Ruminants, Veterinary Sciences
Application of Reproductive and Genomic Biotechnologies for Livestock Breeding and Selection: 2nd Edition
Topic Editors: Manuel García-Herreros, Pedro Manuel AponteDeadline: 30 April 2026
Topic in
Agriculture, Animals, Poultry, Ruminants
The Environmental Footprint of Animal Production
Topic Editors: Giulia Ferronato, Vincenzo LopreiatoDeadline: 31 May 2026
Conferences
Special Issues
Special Issue in
Animals
Surveillance of Microbial and Parasitic Agents in Wildlife: Second Edition
Guest Editors: Matheus Weber, Mariana Soares Da SilvaDeadline: 25 January 2026
Special Issue in
Animals
Advances in Nutrition, Sustainability and Ecology of Salmonids
Guest Editor: Kiranpreet KaurDeadline: 30 January 2026
Special Issue in
Animals
Infrared Thermography in Animals
Guest Editor: Cord M. BrundageDeadline: 31 January 2026
Special Issue in
Animals
Nutraceuticals and Functional Foods: Advancing Metabolic, Reproductive and Immune Health in Animals
Guest Editors: Giulio Curone, Alda Quattrone, Nour Elhouda FehriDeadline: 31 January 2026
Topical Collections
Topical Collection in
Animals
Nanotechnology in Animal Science
Collection Editors: Antonio Gonzalez-Bulnes, Nesrein M. Hashem
Topical Collection in
Animals
Effects of Feed Ingredients on Growth Performance and Carcass Characteristics in Animals
Collection Editors: Eugeniusz Ryszard Grela, Małgorzata Świątkiewicz
Topical Collection in
Animals
Behaviour of Pigs in Relation to Housing Environment
Collection Editor: Michaela Fels



