Journal Description
Cells
Cells
is an international, peer-reviewed, open access journal on cell biology, molecular biology, and biophysics, published semimonthly online by MDPI. The Nordic Autophagy Society (NAS) and the Spanish Society of Hematology and Hemotherapy (SEHH) are affiliated with Cells and their members receive discounts on the article processing charges.
- Open Access— free for readers, with article processing charges (APC) paid by authors or their institutions.
- High Visibility: indexed within Scopus, SCIE (Web of Science), PubMed, MEDLINE, PMC, CAPlus / SciFinder, and other databases.
- Journal Rank: JCR - Q2 (Cell Biology) / CiteScore - Q1 (General Biochemistry, Genetics and Molecular Biology)
- Rapid Publication: manuscripts are peer-reviewed and a first decision is provided to authors approximately 15.5 days after submission; acceptance to publication is undertaken in 2.8 days (median values for papers published in this journal in the second half of 2025).
- Recognition of Reviewers: reviewers who provide timely, thorough peer-review reports receive vouchers entitling them to a discount on the APC of their next publication in any MDPI journal, in appreciation of the work done.
- Sections: published in 21 topical sections.
- Companion journal: Organoids.
Impact Factor:
5.2 (2024);
5-Year Impact Factor:
6.1 (2024)
Latest Articles
Lower-Limb Muscle Impairments in Patients with COPD: An Overview of the Past Decade
Cells 2026, 15(3), 220; https://doi.org/10.3390/cells15030220 - 23 Jan 2026
Abstract
Chronic obstructive pulmonary disease (COPD) is a chronic respiratory disease characterized by airflow limitation. Apart from airflow limitation, patients with COPD may also suffer from extra-pulmonary features such as lower limb muscle dysfunction that contribute to an impaired health status. Since the latest
[...] Read more.
Chronic obstructive pulmonary disease (COPD) is a chronic respiratory disease characterized by airflow limitation. Apart from airflow limitation, patients with COPD may also suffer from extra-pulmonary features such as lower limb muscle dysfunction that contribute to an impaired health status. Since the latest statement on lower-limb muscle dysfunction in COPD in 2014, substantial new evidence has emerged with regard to molecular, cellular, and functional mechanisms underlying muscle plasticity. Therefore, this review aims to provide an updated overview of molecular, cellular, and functional mechanisms of lower-limb muscle plasticity in COPD, integrating evidence that has emerged since the 2014 statement on lower limb muscle dysfunction. Additionally, the effects of exercise training on mechanisms of limb muscle dysfunction are explained. From the evidence of the last decade, it can be concluded that limb muscle dysfunction is a multifactorial process driven by both intrinsic alterations and impairments to the muscle as well as extra-pulmonary influences, thereby reinforcing the need for integrated therapeutic strategies.
Full article
(This article belongs to the Special Issue Plasticity of Skeletal, Cardiac and Smooth Muscles in COPD: Repair and Remodeling)
►
Show Figures
Open AccessArticle
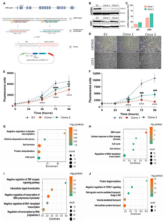
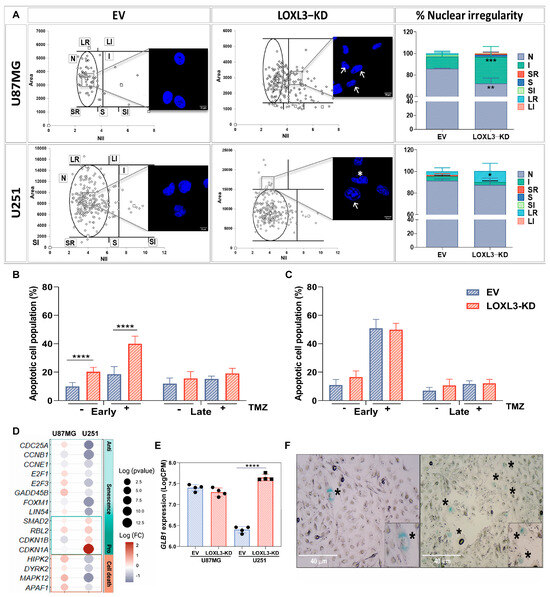
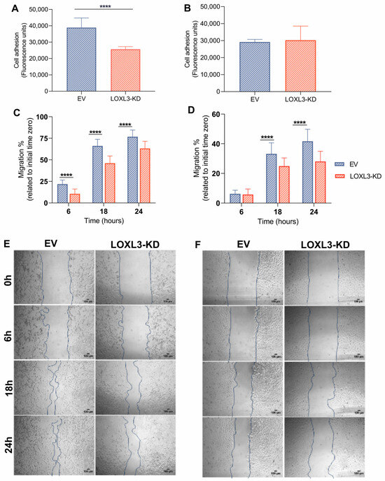
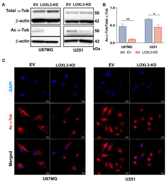
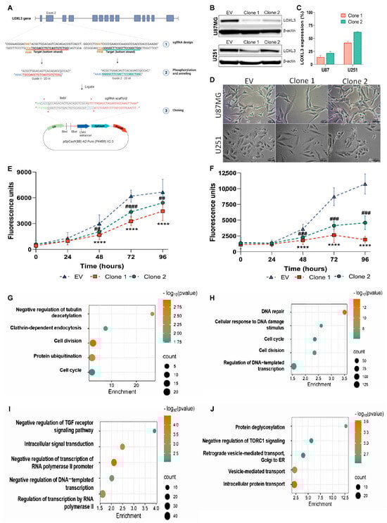
Reduced LOXL3 Expression Disrupts Microtubule Acetylation and Drives TP53-Dependent Cell Fate in Glioblastoma
by
Talita de Sousa Laurentino, Roseli da Silva Soares, Antônio Marcondes Lerario, Ricardo Cesar Cintra, Suely Kazue Nagahashi Marie and Sueli Mieko Oba-Shinjo
Cells 2026, 15(3), 219; https://doi.org/10.3390/cells15030219 - 23 Jan 2026
Abstract
Glioblastoma (GBM) is the most aggressive primary brain tumor, marked by molecular heterogeneity and poor clinical prognosis. Lysyl oxidase-like 3 (LOXL3) is frequently upregulated in GBM, but its mechanistic contribution remains insufficiently defined. Here, we investigated the functional role of LOXL3 in GBM
[...] Read more.
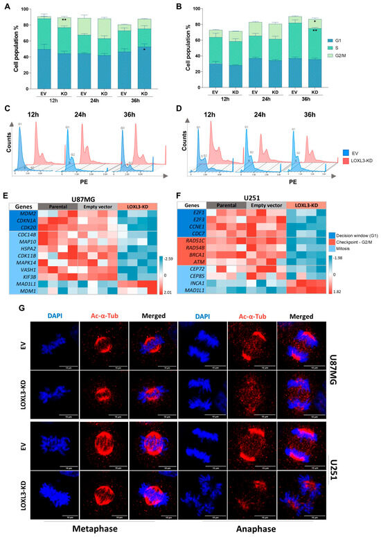
Glioblastoma (GBM) is the most aggressive primary brain tumor, marked by molecular heterogeneity and poor clinical prognosis. Lysyl oxidase-like 3 (LOXL3) is frequently upregulated in GBM, but its mechanistic contribution remains insufficiently defined. Here, we investigated the functional role of LOXL3 in GBM using CRISPR-Cas9-mediated LOXL3 knockdown in two genetically distinct GBM cell lines: U87MG (wild-type TP53) and U251 (mutant TP53). Reduced LOXL3 expression markedly reduced α-tubulin acetylation, particularly in U87MG cells, and downregulated genes involved in cell cycle progression and proliferation. Both cell lines exhibited mitotic defects, including delayed cell cycle progression and spindle abnormalities; however, cell fate diverged according to TP53 status. U87MG cells, sustained spindle checkpoint activation triggered a p53-dependent spindle checkpoint response culminating in apoptosis, while U251 cells underwent mitotic slippage and senescence. Transcriptomic analyses confirmed differential regulation of apoptosis versus senescence pathways in accordance with TP53 functionality. Additionally, reduced LOXL3 expression markedly impaired adhesion and migration in U87MG cells, whereas U251 cells were minimally affected, consistent with more pronounced microtubule destabilization. Collectively, these findings identify that LOXL3 is a key regulator of microtubule homeostasis, mitotic fidelity, adhesion, and invasive behavior in GBM. Targeting LOXL3 may therefore provide a therapeutic opportunity for genotype-informed intervention in GBM.
Full article
(This article belongs to the Special Issue Mechanisms and Dynamics in Cellular Adhesion in Development and Disease)
►▼
Show Figures

Figure 1
Open AccessArticle
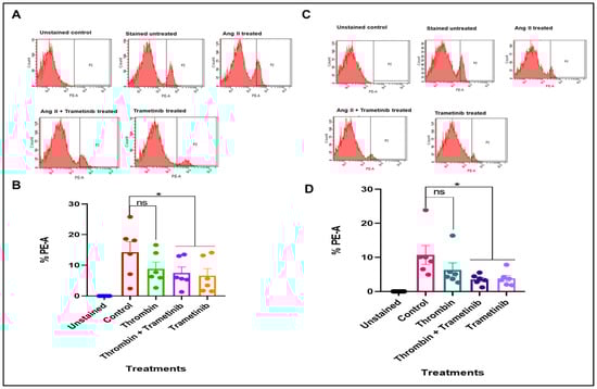
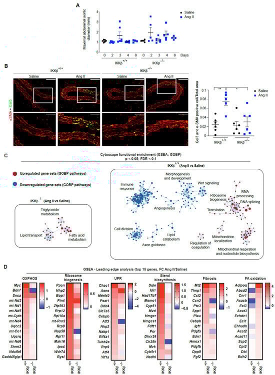
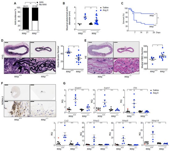
Early IKKβ-Dependent Anabolic Signature Governs Vascular Smooth Muscle Cells Fate and Abdominal Aortic Aneurysm Development
by
Priscilla Doyon, Ozge Kizilay Mancini, Florence Dô, David Huynh, Gaétan Mayer, Stephanie Lehoux, Huy Ong, Maelle Batardière, Vincent Quoc-Huy Trinh, Ying Wen, Waiho Tang, Sylvie Marleau, Simon-Pierre Gravel and Marc J. Servant
Cells 2026, 15(3), 218; https://doi.org/10.3390/cells15030218 - 23 Jan 2026
Abstract
Abdominal aortic aneurysm (AAA) is a serious disease with no effective pharmacological therapy. Although inflammation is recognized as a key regulator of AAA, targeting inflammatory pathways once the disease is established does not improve outcomes. Understanding the earliest molecular indicators could clarify precise
[...] Read more.
Abdominal aortic aneurysm (AAA) is a serious disease with no effective pharmacological therapy. Although inflammation is recognized as a key regulator of AAA, targeting inflammatory pathways once the disease is established does not improve outcomes. Understanding the earliest molecular indicators could clarify precise biological targets and prognostic markers for AAA. Using ApoE-deficient mice, we performed RNA-Seq on suprarenal abdominal aortas (SRAs) from Ang II- and saline-treated mice 24 h after infusion. We further developed a unique model of hyperlipidemic mice in which the expression of the inhibitor of nuclear factor kappa B kinase subunit beta (IKKβ) can be conditionally suppressed in vascular smooth muscle cells (VSMCs). RNA-Seq data revealed early IKKβ-dependent cellular anabolic processes in SRAs, including activation of the mammalian target of rapamycin complex 1 (mTORC1) pathway. Furthermore, deletion of the Ikbkb gene in VSMCs significantly reduced the rate of aneurysm rupture in mice exposed to Ang II. In situ analysis further confirmed that the absence of IKKβ in VSMCs is associated with a reduced inflammatory response and the preservation of their contractile phenotypes. Our results reinforce the crucial role of VSMCs in rapid adaptation, leading to deleterious inflammation-dependent remodeling of the vascular wall, and define a previously unrecognized anabolic role of IKKβ in AAA pathogenesis.
Full article
(This article belongs to the Section Cells of the Cardiovascular System)
►▼
Show Figures

Figure 1
Open AccessArticle
PCB 153 Modulates Genes Involved in Proteasome and Neurodegeneration-Related Pathways in Differentiated SH-SY5Y Cells: A Transcriptomic Study
by
Aurelio Minuti, Serena Silvestro, Claudia Muscarà, Michele Scuruchi and Simone D’Angiolini
Cells 2026, 15(3), 217; https://doi.org/10.3390/cells15030217 - 23 Jan 2026
Abstract
Polychlorinated biphenyls (PCBs) are persistent environmental contaminants associated with neurotoxicity and increased risk of neurodegenerative diseases. PCB 153, a highly abundant non-coplanar congener, bioaccumulates in human tissues and impairs homeostasis. This study investigated the transcriptomic effects of PCB 153 (2,2′,4,4′,5,5′-Hexachlorobiphenyl) in retinoic acid
[...] Read more.
Polychlorinated biphenyls (PCBs) are persistent environmental contaminants associated with neurotoxicity and increased risk of neurodegenerative diseases. PCB 153, a highly abundant non-coplanar congener, bioaccumulates in human tissues and impairs homeostasis. This study investigated the transcriptomic effects of PCB 153 (2,2′,4,4′,5,5′-Hexachlorobiphenyl) in retinoic acid (RA)-differentiated SH-SY5Y neuronal cells to identify early, sub-cytotoxic molecular alterations. Cell viability was assessed by 3-(4,5-dimethylthiazol-2-yl)-2,5-diphenyltetrazolium bromide (MTT) assay after 24 h exposure to increasing PCB 153 concentrations. RNA-Seq was performed on cells treated with 5 μM PCB 153, the highest non-cytotoxic dose. Sequencing reads were quality-filtered, aligned to the human genome, and analyzed with DESeq2. Functional enrichment was conducted using Gene Ontologies and KEGG pathways. Western blot analyses were performed to assess protein level changes in selected targets. RNA-Seq identified 1882 significantly altered genes (q-value < 0.05). Gene Ontology analysis revealed strong enrichment of proteasome-related terms, with most proteasomal subunits displaying coordinated upregulation. KEGG analysis further showed significant enrichment of Alzheimer’s (AD), Parkinson’s (PD), amyotrophic lateral sclerosis (ALS), and other neurodegenerative disease pathways. These findings indicate that PCB 153 triggers a pronounced proteostatic response in neuron-like cells, suggesting early disruption of protein homeostasis that may contribute to mechanisms associated with neurodegeneration.
Full article
(This article belongs to the Special Issue Cellular and Molecular Mechanisms of Neurotoxicity)
►▼
Show Figures

Figure 1
Open AccessArticle
Human Liver Organoids as an Experimental Tool to Investigate Lipocalin-2 in Hepatic Inflammation
by
Katharina S. Hardt, Robert F. Pohlberger, Diandra T. Keller, Eva M. Buhl, Florian W. R. Vondran, Anjali A. Roeth, Ralf Weiskirchen and Sarah K. Schröder-Lange
Cells 2026, 15(3), 216; https://doi.org/10.3390/cells15030216 - 23 Jan 2026
Abstract
The 25 kDa glycoprotein lipocalin-2 (LCN2) is widely expressed and has diverse functions, ranging from physiological to pathophysiological processes. In the liver, LCN2 is primarily associated with inflammatory processes and is considered a potential biomarker in metabolic disorders. However, a significant challenge is
[...] Read more.
The 25 kDa glycoprotein lipocalin-2 (LCN2) is widely expressed and has diverse functions, ranging from physiological to pathophysiological processes. In the liver, LCN2 is primarily associated with inflammatory processes and is considered a potential biomarker in metabolic disorders. However, a significant challenge is the absence of a suitable human in vitro model for studying LCN2 and its associated signaling pathways. Therefore, we have successfully generated patient-derived liver organoids of both male and female origin, providing a novel in vitro model for LCN2 research. Our data show that the self-renewing organoids mimic essential architectural features of hepatocytes, as demonstrated by electron microscopy and F-actin staining. Consistent with the expression profile observed in liver tissue, the isolated 3D organoids exhibit minimal endogenous LCN2 levels. Next, the LCN2 expression was studied at the protein and mRNA levels under inflammatory conditions by treating the organoids with various cytokines and lipopolysaccharides (LPS). Our results show that LCN2 expression is significantly upregulated by IL-1β and TNF-α in an NF-κB-dependent manner, but remains unchanged with IL-6 or LPS. In conclusion, we have established human patient-derived liver organoids as a valuable model for investigating LCN2 signaling mechanisms. This study lays the foundation for future research on the role of LCN2 in liver pathologies, aiding in disease progression understanding and facilitating patient-specific treatment predictions.
Full article
(This article belongs to the Special Issue Organoids as an Experimental Tool)
►▼
Show Figures

Figure 1
Open AccessArticle
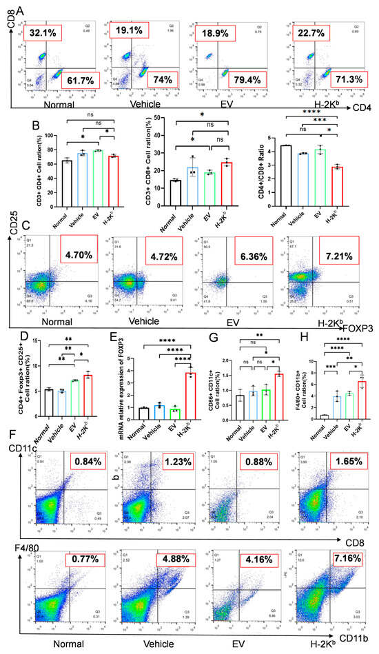
Cell Supported Single Membrane Technique for the Treatment of Large Bone Defects: Depletion of CD8+ Cells Enhances Bone Healing Mechanisms During the Early Bone Healing Phase
by
Marissa Penna-Martinez, Lia Klausner, Andreas Kammerer, Minhong Wang, Alexander Schaible, René Danilo Verboket, Christoph Nau, Ingo Marzi and Dirk Henrich
Cells 2026, 15(3), 215; https://doi.org/10.3390/cells15030215 - 23 Jan 2026
Abstract
Introduction: The one-step membrane technique, derived from the Masquelet induced membrane technique, uses human acellular dermal matrix (hADM) that is wrapped around the bone defect to bypass membrane induction, reducing treatment time. Pre-colonization of hADM with bone marrow cells (BMC), particularly after CD8
[...] Read more.
Introduction: The one-step membrane technique, derived from the Masquelet induced membrane technique, uses human acellular dermal matrix (hADM) that is wrapped around the bone defect to bypass membrane induction, reducing treatment time. Pre-colonization of hADM with bone marrow cells (BMC), particularly after CD8+ T cell depletion, enhances bone regeneration. This study examined how CD8+ T cell depletion alters the proteins accumulated in the hADM during early healing. Materials and Methods: Eighteen male Sprague-Dawley rats received 5 mm femoral defects filled with autologous bone chips and wrapped with hADM, hADM + BMC, or hADM + BMC-CD8. hADMs were recovered on days 3 and 7 (n = 3/group/timepoint), incubated ex vivo, and conditioned medium analyzed with a proteome profiler detecting 79 proteins. Results: The protein content of the hADM evolved dynamically. At day three, 41 proteins were detected, rising to 47 by day seven, with RGM-A, osteoprotegerin, LIF, IL-6, CCL20, and CCL17 emerging late, consistent with increased regenerative activity. CD8+ T cell depletion suppressed early inflammatory and pro-osteogenic mediators (e.g., CCL2, IGF-I, IL-1RA) while upregulating LIX. By day seven, regenerative mediators (CCL20, GDF-15, RGM-A) were enriched, whereas inflammatory factors (CCL21, IL-1a, WISP-1) declined. MMP-9, Galectin-1, and GDF-15 increased exclusively in the CD8-depleted group. Conclusions: The hADM protein content transitions from pro-inflammatory to pro-regenerative within one week after surgery. CD8+ T cell depletion accelerates this shift, highlighting hADM as a dynamic scaffold that contributes to the immune–regenerative crosstalk in bone healing.
Full article
(This article belongs to the Special Issue New Advances in Tissue Engineering and Regeneration)
Open AccessArticle
Quantitative Analysis of Arsenic- and Sucrose-Induced Liver Collagen Remodeling Using Machine Learning on Second-Harmonic Generation Microscopy Images
by
Mónica Maldonado-Terrón, Julio César Guerrero-Lara, Rodrigo Felipe-Elizarraras, C. Mateo Frausto-Avila, Jose Pablo Manriquez-Amavizca, Myrian Velasco, Zeferino Ibarra Borja, Héctor Cruz-Ramírez, Ana Leonor Rivera, Marcia Hiriart, Mario Alan Quiroz-Juárez and Alfred B. U’Ren
Cells 2026, 15(3), 214; https://doi.org/10.3390/cells15030214 - 23 Jan 2026
Abstract
Non-alcoholic fatty liver disease (NAFLD) is a silent condition that can lead to fatal cirrhosis, with dietary factors playing a central role. The effect of various dietary interventions on male Wistar rats were evaluated in four diets: control, arsenic, sucrose, and arsenic–sucrose. SHG
[...] Read more.
Non-alcoholic fatty liver disease (NAFLD) is a silent condition that can lead to fatal cirrhosis, with dietary factors playing a central role. The effect of various dietary interventions on male Wistar rats were evaluated in four diets: control, arsenic, sucrose, and arsenic–sucrose. SHG microscopy images from the right ventral lobe of the liver tissue were analyzed with a neural network trained to detect the presence or absence of collagen fibers, followed by the assessment of their orientation and angular distribution. Machine learning classification of SHG microscopy images revealed a marked increase in fibrosis risk with dietary interventions: <10% in controls, 24% with arsenic, 40% with sucrose, and 62% with combined arsenic–sucrose intake. Angular width distribution of collagen fibers narrowed dramatically across groups: 26° (control), 24° (arsenic), 15.7° (sucrose), and 2.8° (arsenic–sucrose). This analysis revealed four key statistical features for classifying the images according to the presence or absence of collagen fibers: (1) the percentage of pixels whose intensity is above the 15% noise threshold, (2) the Mean-to-Standard Deviation ratio (Mean/std), (3) the mode, and (4) the total intensity (sum). These results demonstrate that a diet rich in sucrose, particularly in combination with arsenic, constitutes a significant risk factor for liver collagen fiber remodeling.
Full article
(This article belongs to the Topic Application of Animal Models: From Physiology to Pathology)
►▼
Show Figures

Figure 1
Open AccessArticle
Synergistic Anticancer Activity of Annona muricata Leaf Extract and Cisplatin in 4T1 Triple-Negative Breast Cancer Cells
by
Oumayma Kouki, Mohamed Montassar Lasram, Amel Abidi, Jérôme Leprince, Imen Ghzaiel, John J. Mackrill, Taoufik Ghrairi, Gérard Lizard and Olfa Masmoudi-Kouki
Cells 2026, 15(3), 213; https://doi.org/10.3390/cells15030213 - 23 Jan 2026
Abstract
Breast cancer remains one of the leading causes of cancer-related mortality among women worldwide. Although cisplatin is widely used in chemotherapy, its clinical efficacy is often limited by adverse effects and resistance. Thus, natural bioactive compounds are gaining attention as complementary therapeutic agents.
[...] Read more.
Breast cancer remains one of the leading causes of cancer-related mortality among women worldwide. Although cisplatin is widely used in chemotherapy, its clinical efficacy is often limited by adverse effects and resistance. Thus, natural bioactive compounds are gaining attention as complementary therapeutic agents. This study aimed to evaluate the anti-tumor effects of Annona muricata leaf extract on murine breast cancer 4T1 cells, used alone or in combination with cisplatin. Cisplatin induced intrinsic apoptosis through mitochondrial membrane disruption, up-regulation of the Bax gene and inhibition of the PI3K/AKT/mTOR signaling pathway. Cisplatin also promoted hypoxia by HIF1α gene expression, inflammation by TNFα and IL-6 gene expression, and induced cell cycle arrest at the sub-G1 phase by down-regulation of cyclin D1 and cyclin E1 genes. Annona muricata leaf extract triggered autophagy-mediated 4T1 cell death through mainly mTOR down-regulation and increased expression of Beclin1 and LC3 genes. It also induced cell cycle arrest at sub-G1 and S phases in a concentration- and time-dependent manner. When, combined with cisplatin, Annona muricata extract shifts the cell death pathway from intrinsic apoptosis toward autophagy by reduced caspase-3 gene expression and activity and enhanced LC3-I to LC3-II conversion. Moreover, Annona muricata extract attenuated cisplatin-induced inflammation by inhibiting TNFα and IL-6 gene expression and reinforced cell cycle arrest through suppression of the cyclin D1 gene. In conclusion, our results suggest that Annona muricata leaf extract exerts significant anti-tumor activity in breast cancer cells and may enhance cisplatin efficacy by shifting the signaling pathway from intrinsic apoptosis toward autophagy, and attenuating inflammation-related effects, supporting its potential use as a complementary therapeutic strategy.
Full article
(This article belongs to the Section Cellular Pathology)
►▼
Show Figures

Figure 1
Open AccessEditorial
Gene and Cell Therapy in Regenerative Medicine
by
Albert A. Rizvanov and Ayşegül Doğan
Cells 2026, 15(3), 212; https://doi.org/10.3390/cells15030212 - 23 Jan 2026
Abstract
Gene and cell therapies have become core components of regenerative medicine, moving from proof-of-concept studies toward clinically actionable strategies for repairing or replacing damaged tissues [...]
Full article
(This article belongs to the Special Issue Gene and Cell Therapy in Regenerative Medicine)
Open AccessArticle
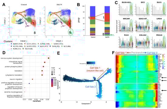
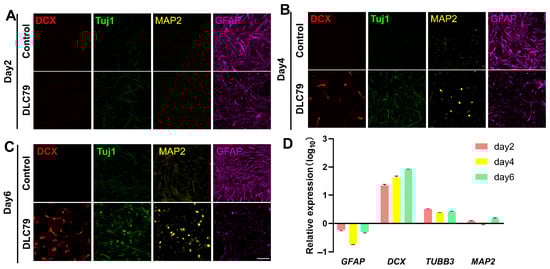
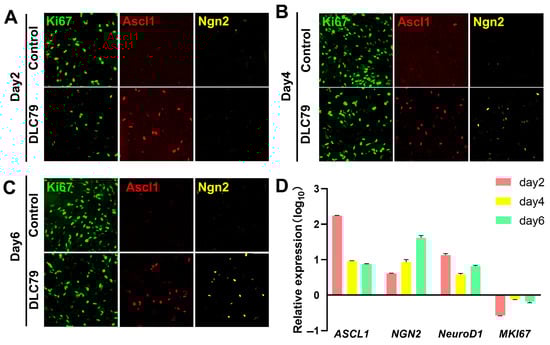
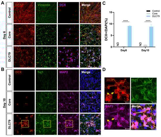
Small Molecule Cocktail DLC79 Suppresses Gliomagenesis by Activating Ascl1 and Remodeling Transcriptome
by
Chuxiao Mao, Zhancheng Deng, Zhuming Chen, Lirong Huang, Caiyun Wang, Gong Chen and Qingsong Wang
Cells 2026, 15(2), 211; https://doi.org/10.3390/cells15020211 - 22 Jan 2026
Abstract
Glioblastoma (GBM) remains incurable due to its invasive growth and therapeutic resistance. While the neurogenic transcription factor-mediated reprogramming of glioma cells has been reported, pharmacological reprogramming offers a promising alternative due to its potential advantages for clinical translation. Using phenotype-driven screening, we identified
[...] Read more.
Glioblastoma (GBM) remains incurable due to its invasive growth and therapeutic resistance. While the neurogenic transcription factor-mediated reprogramming of glioma cells has been reported, pharmacological reprogramming offers a promising alternative due to its potential advantages for clinical translation. Using phenotype-driven screening, we identified a multi-target small-molecule cocktail DLC79 (DAPT, LDN193189, CHIR99021, I-BET762, and Isx9) that effectively reprograms human glioma cells into neuron-like cells by activating endogenous ASCL1 (174.4-fold) and remodeling the transcriptional landscape. This conversion led to the strong upregulation of neuronal markers (e.g., MAP2 and GAD67) and suppression of glial identity. Functionally, DLC79 treatment inhibited glioma malignancy in vitro, impairing proliferation, migration, invasion, and clonogenicity. In a subcutaneous xenograft model, brief pretreatment with DLC79 significantly attenuated the tumorigenic potential of glioma cells, reducing tumor bioluminescence by 56% and tumor mass by 47%. Our study establishes pharmacological reprogramming as a promising anti-glioma strategy that leverages neuronal conversion to reduce oncogenic properties, thereby initiating a novel therapeutic paradigm.
Full article
(This article belongs to the Topic Advances in Glioblastoma: From Biology to Therapeutics)
►▼
Show Figures

Graphical abstract
Open AccessArticle
Establishing a Non-Surgical Mouse Model of Laryngopharyngeal Reflux Disease: Acid-Induced Epithelial Disruption and Protective Role of N-Acetylcysteine
by
You Yeon Chung, Byoungjae Kim, Juhyun Lee, Sooun Kwak, Mingeun Jung, Yeon Soo Kim and Seung-Kuk Baek
Cells 2026, 15(2), 210; https://doi.org/10.3390/cells15020210 - 22 Jan 2026
Abstract
Laryngopharyngeal reflux disease (LPRD) results from the retrograde flow of gastric contents into the upper aerodigestive tract, causing epithelial injury. Progress in its management has been limited by the lack of objective biomarkers and reproducible in vivo models. This study aimed to establish
[...] Read more.
Laryngopharyngeal reflux disease (LPRD) results from the retrograde flow of gastric contents into the upper aerodigestive tract, causing epithelial injury. Progress in its management has been limited by the lack of objective biomarkers and reproducible in vivo models. This study aimed to establish a chronic, non-surgical mouse model of LPRD and to investigate the protective effect of N-acetylcysteine (NAC). Female C57BL/6 mice were randomly assigned to three groups: control (standard drinking water), study (acidified water, pH 3.0, for 12 weeks), and treatment (acidified water for 12 weeks plus NAC supplementation during the final 4 weeks). Body weight, food intake, and water consumption were monitored weekly. Pharyngeal tissues were analyzed by immunohistochemistry and Western blotting. Chronic acid exposure resulted in loss of membrane-localized E-cadherin, cytoplasmic redistribution, and upregulation of matrix metalloproteinase-7 (MMP-7). These molecular alterations were accompanied by enhanced phosphorylation of ERK and c-Jun, consistent with activation of the ROS–ERK–c-Jun signaling pathway. NAC supplementation was associated with partial restoration of E-cadherin, reduced MMP-7 expression, and attenuation of ERK/c-Jun phosphorylation. No systemic toxicity or weight loss was observed, indicating good tolerability of the model. This non-surgical ingestion-based model faithfully recapitulates key epithelial features of LPRD and provides a feasible platform for mechanistic investigation and exploratory therapeutic studies. NAC may exert protective effects against acid-induced epithelial injury in this model.
Full article
(This article belongs to the Topic Application of Animal Models: From Physiology to Pathology)
►▼
Show Figures

Figure 1
Open AccessArticle
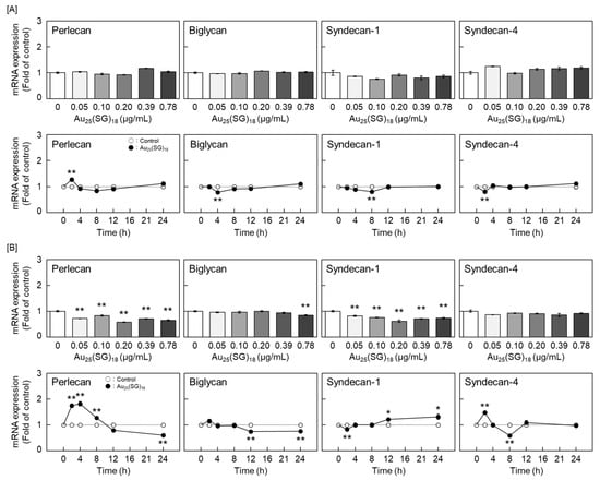
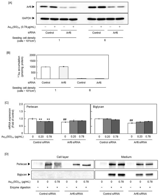
Cell Density-Dependent Suppression of Perlecan and Biglycan Expression by Gold Nanocluster in Vascular Endothelial Cells
by
Takato Hara, Misato Saeki, Misaki Shirai, Yuichi Negishi, Chika Yamamoto and Toshiyuki Kaji
Cells 2026, 15(2), 209; https://doi.org/10.3390/cells15020209 - 22 Jan 2026
Abstract
Proteoglycans are macromolecules consisting of a core protein and one or more glycosaminoglycan side chains. Proteoglycans synthesized by vascular endothelial cells modulate various functions such as anticoagulant activity and vascular permeability. We previously reported that some heavy metals interfere with proteoglycan expression, and
[...] Read more.
Proteoglycans are macromolecules consisting of a core protein and one or more glycosaminoglycan side chains. Proteoglycans synthesized by vascular endothelial cells modulate various functions such as anticoagulant activity and vascular permeability. We previously reported that some heavy metals interfere with proteoglycan expression, and that organic–inorganic hybrid molecules, such as metal complexes and organometallic compounds, serve as useful tools to analyze proteoglycan synthesis mechanisms. However, the effects of metal compounds lacking electrophilicity on proteoglycan synthesis remain unclear. Au25(SG)18, a nanoscale gold cluster consisting of a metal core protected by gold–glutathione complexes, exhibits extremely low intramolecular polarity. In this study, we investigated the effect of Au25(SG)18 on proteoglycan synthesis in vascular endothelial cells. Au25(SG)18 accumulated significantly in vascular endothelial cells at low cell density and suppressed the expression of perlecan, a major heparan sulfate proteoglycan in cells, by inactivating ADP-ribosylation factor 6 (Arf6). Additionally, Au25(SG)18 reduced the expression of biglycan, a small dermatan sulfate proteoglycan, in vascular endothelial cells at low cell density; however, the underlying mechanisms remain unclear. Overall, our findings suggest that organic–inorganic hybrid molecules regulate the activity of Arf6-mediated protein transport to the extracellular space and that perlecan is regulated through this mechanism, highlighting the importance of Arf6-mediated extracellular transport for maintaining vascular homeostasis.
Full article
(This article belongs to the Special Issue Molecular Signaling and Mechanism on Vascular Remodeling)
►▼
Show Figures

Graphical abstract
Open AccessArticle
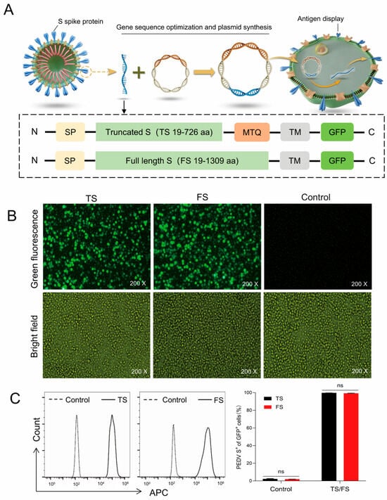
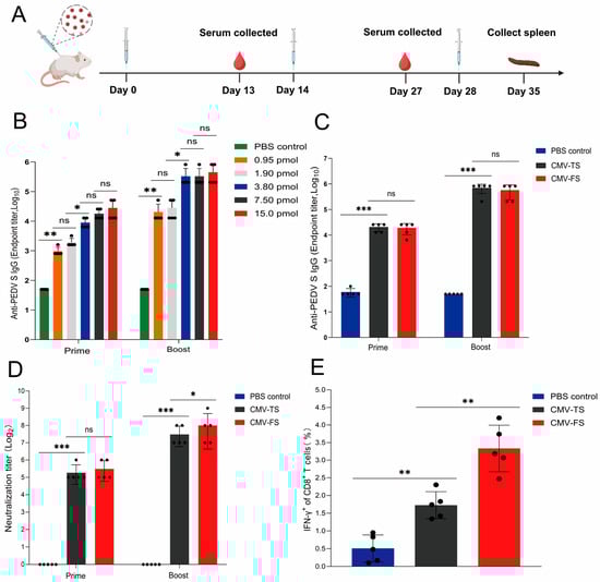
Development of a Cellular Membrane Nanovesicle-Based Vaccine Against Porcine Epidemic Diarrhea Virus
by
Xianjun Wang, Weibing Zhang, Hong Hu, Wenjing Gao, Xu Ma, Yarong Wu, Yongfeng Qiao, Yang Wang, Ding Zhang, Chunbo Dong, Haidong Wang and Zhida Liu
Cells 2026, 15(2), 208; https://doi.org/10.3390/cells15020208 - 22 Jan 2026
Abstract
Porcine epidemic diarrhea virus (PEDV) has emerged as a major pathogen responsible for porcine diarrheal diseases, causing outbreaks of severe diarrhea and high mortality in neonatal piglets, thereby inflicting severe economic losses on the global swine industry. Current commercial PED vaccines,
[...] Read more.
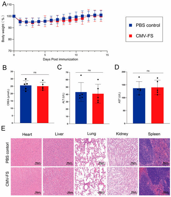
Porcine epidemic diarrhea virus (PEDV) has emerged as a major pathogen responsible for porcine diarrheal diseases, causing outbreaks of severe diarrhea and high mortality in neonatal piglets, thereby inflicting severe economic losses on the global swine industry. Current commercial PED vaccines, comprising conventional inactivated and live attenuated formulations, have exhibited progressively diminished efficacy in the face of emerging PEDV variants. The development of high-efficiency vaccine platforms is therefore critical for PED control. This study engineered a cellular membrane nanovesicle (CMN)-based vaccine, which differs from existing inactivated or subunit vaccines by presenting the PEDV spike (S) protein on the cell membranes to mimic the bilayer phospholipid structure of the viral envelope. The full-length S protein (FS, aa 19-1309) or a truncated S protein fragment (TS, aa 19-726) was expressed in Expi293F cells, followed by extraction of cell membranes to assemble antigen-displaying CMN vaccines. Compared with commercial live attenuated vaccine, administration of the CMN vaccine elicited high-titer neutralizing antibodies and elevated IFN-γ-producing CD8+ T cells in murine studies. Safety assessments revealed no adverse effects on body weight, hepatic/renal function indices, or histopathological parameters in vaccinated mice. Furthermore, immunization of piglets elicited notable humoral and CD8+ T cell immune responses. Collectively, the strategy of CMN-based vaccine described herein delivers a potential PEDV vaccine platform, thereby offering a novel avenue for next-generation veterinary vaccine development.
Full article
(This article belongs to the Section Cellular Immunology)
►▼
Show Figures

Figure 1
Open AccessArticle
The Taurine-Slc6a6 Axis Promotes Breast Cancer Progression by Alleviating Oxidative Stress and Accelerating Cell Cycle Progression
by
Pei Cai, Xiaoqin Liu, Meizhen Lin, Shaofang Xie, Lei Yuan, Zuobao Lin, Yue Zhang and Shang Cai
Cells 2026, 15(2), 207; https://doi.org/10.3390/cells15020207 - 22 Jan 2026
Abstract
►▼
Show Figures
Taurine metabolism is emerging as an important player in cancer progression, yet its precise roles remain incompletely understood. Our study revealed that elevated serum Taurine levels and concomitant upregulation of its transporter, Slc6a6, are associated with enhanced tumor growth. Functionally, Slc6a6 overexpression drives
[...] Read more.
Taurine metabolism is emerging as an important player in cancer progression, yet its precise roles remain incompletely understood. Our study revealed that elevated serum Taurine levels and concomitant upregulation of its transporter, Slc6a6, are associated with enhanced tumor growth. Functionally, Slc6a6 overexpression drives tumor progression in vivo and accelerates cancer cell proliferation in vitro. Mechanistically, we identified a dual pro-oncogenic function for Slc6a6. First, Slc6a6 possesses intrinsic antioxidant regulatory capacity and further enhances cellular redox homeostasis by mediating the uptake of the antioxidant molecule Taurine. Second, beyond its metabolic role, Slc6a6 directly interacts with the cell cycle regulator Rprd1b to promote the G1/S phase transition, leading to uncontrolled proliferation. Clinically, bioinformatics analyses correlate high SLC6A6 expression with poor prognosis in breast cancer patients, underscoring its potential as a therapeutic target.
Full article

Graphical abstract
Open AccessArticle
Single-Cell Sequencing Reveals the Crosstalk Between MuSCs and FAPs in Ruminant Skeletal Muscle Development
by
Yuan Chen, Yiming Gong, Xiaoli Xu, Meijun Song, Xueliang Sun, Jing Luo, Jiazhong Guo, Li Li and Hongping Zhang
Cells 2026, 15(2), 206; https://doi.org/10.3390/cells15020206 - 22 Jan 2026
Abstract
►▼
Show Figures
Skeletal muscle orchestrates a remarkable journey from embryonic formation to age-related decline, yet its cellular intricacies in goats remain largely uncharted. We present the first single-cell RNA sequencing (scRNA-seq) atlas of the longissimus dorsi muscle from goats, profiling 120,944 cells across 14 developmental
[...] Read more.
Skeletal muscle orchestrates a remarkable journey from embryonic formation to age-related decline, yet its cellular intricacies in goats remain largely uncharted. We present the first single-cell RNA sequencing (scRNA-seq) atlas of the longissimus dorsi muscle from goats, profiling 120,944 cells across 14 developmental stages from embryonic day 30 (E30) to 11 years postnatal (Y11). We focused on skeletal muscle satellite cells (MuSCs) and fibro-adipogenic progenitors (FAPs), identifying a unique MuSCs_ACT1_high subpopulation in early embryogenesis and a senescence-associated MuSCs_CDKN1A_high subpopulation in later developmental stages. In FAPs, we characterized the early-stage FAPs_MDFI_high subpopulation with differentiation potential, which further exhibited the capacity to commit to both adipogenic and fibrogenic lineages. Transcription factor analysis revealed strikingly similar regulatory profiles between MuSCs and FAPs, suggesting that these two cell types are governed by shared signaling pathways during development. Cell–cell interaction analysis demonstrated that the DLK1-NOTCH3 ligand-receptor pair plays a critical role in enabling early embryonic FAPs to maintain the quiescent state of MuSCs. This dynamic single-cell transcriptomic atlas, spanning 14 developmental stages of skeletal muscle in ruminants for the first time, provides a valuable theoretical foundation for further elucidating the differentiation of skeletal muscle satellite cells and fibro-adipogenic progenitors in ruminants.
Full article

Figure 1
Open AccessArticle
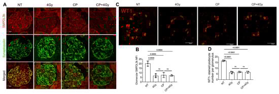
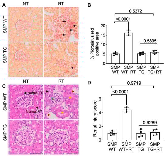
Targeting SMPDL3B to Ameliorate Radiation- and Cisplatin-Induced Renal Toxicity
by
Anis Ahmad, Shamroop Kumar Mallela, Saba Ansari, Mohammed Alnukhali, Sandra Merscher, Alla Mitrofanova, Youssef H. Zeidan, Alan Pollack, Alessia Fornoni and Brian Marples
Cells 2026, 15(2), 205; https://doi.org/10.3390/cells15020205 - 22 Jan 2026
Abstract
Kidney toxicity remains a major dose-limiting complication of radiation therapy and platinum-based chemotherapy, yet the molecular determinants of renal susceptibility and resilience to these genotoxic treatments are incompletely understood. Podocytes are particularly vulnerable to such insults, and emerging evidence implicates lipid dysregulation in
[...] Read more.
Kidney toxicity remains a major dose-limiting complication of radiation therapy and platinum-based chemotherapy, yet the molecular determinants of renal susceptibility and resilience to these genotoxic treatments are incompletely understood. Podocytes are particularly vulnerable to such insults, and emerging evidence implicates lipid dysregulation in podocyte injury. This study investigated the role of sphingomyelin phosphodiesterase acid-like 3B (SMPDL3B), a podocyte-enriched lipid-modulating enzyme, in radiation- and cisplatin-induced nephrotoxicity. Using a doxycycline-inducible, podocyte-specific SMPDL3B transgenic mouse model, renal injury was assessed following focal kidney irradiation, cisplatin administration, or their combination through functional assays, histopathology, ultrastructural analysis, immunofluorescence, and targeted lipidomics. Combined radiation and cisplatin exposure markedly reduced podocyte SMPDL3B expression, accompanied by podocyte depletion, glomerular basement membrane remodeling, proteinuria, and impaired renal function. These structural and functional abnormalities were associated with the selective accumulation of long-chain ceramide-1-phosphate species. In contrast, podocyte-specific induction of SMPDL3B preserved glomerular architecture, maintained renal function, and prevented pathological ceramide-1-phosphate elevation. Collectively, these findings identify SMPDL3B as a key regulator of podocyte stability and lipid homeostasis during chemoradiation stress. Enhancing SMPDL3B activity may represent a mechanistically grounded strategy to mitigate treatment-induced kidney injury while preserving anticancer efficacy.
Full article
(This article belongs to the Special Issue Cellular and Molecular Basis in Chronic Kidney Disease)
►▼
Show Figures

Figure 1
Open AccessArticle
Neonatal Regulatory T Cells Mediate Fibrosis and Contribute to Cardiac Repair
by
Tabito Kino, Sadia Mohsin, Yumi Chiba, Michiko Sugiyama and Tomoaki Ishigami
Cells 2026, 15(2), 204; https://doi.org/10.3390/cells15020204 - 22 Jan 2026
Abstract
The neonatal heart possesses a unique capacity for reparative healing after myocardial injury, unlike the adult heart. While immune cells, particularly T cells, regulate post-infarction inflammation, their role in age-dependent cardiac repair remains unclear. This study aimed to characterize the temporal activation of
[...] Read more.
The neonatal heart possesses a unique capacity for reparative healing after myocardial injury, unlike the adult heart. While immune cells, particularly T cells, regulate post-infarction inflammation, their role in age-dependent cardiac repair remains unclear. This study aimed to characterize the temporal activation of T cell subsets and their contribution to immune homeostasis and myocardial repair. Myocardial infarction was induced in mice of different ages, and T cell subsets (CD4+ T cells, CD8+ T cells, and CD4+Foxp3+ T [T-reg] cells) were analyzed using flow cytometry and RNA sequencing. Neonatal hearts exhibited CD4+ T cells, CD8+ T cells, and T-reg cells that gradually increased until seven days post-injury. Transcriptome analysis identified Rcn3 as a neonatal-specific, injury-responsive gene in T-reg cells, with minimal induction in adult and aged hearts, promoting a reparative microenvironment and exerting anti-fibrotic effects via the PI3K/Akt pathway. Under endoplasmic reticulum stress, Rcn3 activated unfolded protein response genes, and Rcn3-conditioned media reduced fibrosis-associated gene expression in adult cardiac fibroblasts. In a conditional knockout mouse model (Lck-cre; Rcn3fl/fl), Rcn3 deletion in T cells led to impaired cardiac function recovery and increased fibrosis post-injury. These findings suggest that neonatal T-reg cells play a crucial role in cardiac repair, with Rcn3 as a potential therapeutic target for enhancing immune-mediated cardiac repair and limiting pathological remodeling in the adult heart.
Full article
(This article belongs to the Special Issue Recent Progress on Fibrosis and Cardiac Dysfunction)
►▼
Show Figures

Figure 1
Open AccessReview
Integrating GPCR Regulation and Calcium Dynamics in Airway Smooth Muscle Function: A Comprehensive Review
by
Saptarshi Roy, Vijaya Kumar Gangipangi, Pravesh Sharma, Rebecca E. Hancock and Pawan Sharma
Cells 2026, 15(2), 203; https://doi.org/10.3390/cells15020203 - 21 Jan 2026
Abstract
Asthma is a heterogeneous disease that varies in clinical presentation, severity, and underlying biology but consistently involves airway remodeling (AR) and airway hyperresponsiveness (AHR), which is characterized by excessive airway narrowing in response to various stimuli. Airway smooth muscle (ASM) cells are primary
[...] Read more.
Asthma is a heterogeneous disease that varies in clinical presentation, severity, and underlying biology but consistently involves airway remodeling (AR) and airway hyperresponsiveness (AHR), which is characterized by excessive airway narrowing in response to various stimuli. Airway smooth muscle (ASM) cells are primary contributors to airway hyperresponsiveness and bronchoconstriction. This review focuses on ASM cells and their role in asthma. We discuss the mechanisms by which ASM mediates AHR, increases airway thickness, and contributes to AR. Signaling through G protein-coupled receptors (GPCRs) regulates many ASM functions, including contraction, growth, and the synthetic activities that drive airway inflammation and remodeling. GPCR-dependent calcium flux serves as a key signaling axis controlling the contractile responses of ASM. Here we provide a comprehensive summary of the major GPCRs as well as other non-GPCRs identified in ASM cells. GPCR-induced calcium mobilization, downstream signaling and how it has been linked to specific ASM functions are also discussed. Furthermore, we highlight the clinical significance of targeting GPCRs in asthma therapy as well as recent development of novel therapeutics in the management of asthma. Thus, this review provides a comprehensive overview of airway smooth muscle in the context of asthma pathophysiology.
Full article
(This article belongs to the Section Cell Signaling)
►▼
Show Figures

Graphical abstract
Open AccessArticle
A Human β-Defensin-Based Recombinant Protein DF2-HSA Ameliorates Cytokine Storm
by
Yibo Du, Zhuojun Yu, Weijin Sheng, Yi Li, Lei Hou, Yanbo Zheng, Xiujun Liu and Yongsu Zhen
Cells 2026, 15(2), 202; https://doi.org/10.3390/cells15020202 - 21 Jan 2026
Abstract
►▼
Show Figures
Cytokine storm is a critical driver of acute respiratory distress syndrome and multiple organ failure. Human β-defensin 2 (HBD-2) is the first inducible defensin discovered in human body. Defensin can resist pathogenic microorganisms invading the body through direct bactericidal effect and also modulates
[...] Read more.
Cytokine storm is a critical driver of acute respiratory distress syndrome and multiple organ failure. Human β-defensin 2 (HBD-2) is the first inducible defensin discovered in human body. Defensin can resist pathogenic microorganisms invading the body through direct bactericidal effect and also modulates acquired immune response. Albumin exhibits immunomodulatory properties and can reduce the level of inflammatory cytokines to improve the systemic inflammatory response. We previously engineered a recombinant fusion protein, DF2-HSA, comprising two HBD-2 molecules linked to human serum albumin. Here, we evaluated its effect on cytokine storm using a lipopolysaccharide (LPS)-induced cytokine storm murine model (BALB/c athymic mice, female). DF2-HSA reduced the mortality in cytokine storm murine model and prolonged the retention time of HBD-2 in the body. A Luminex assay showed that DF2-HSA reduced the production of multiple inflammatory cytokines in cytokine storm murine model. Evans blue staining showed that DF2-HSA reduced vascular leakage. Transmission electron microscopy showed that DF2-HSA reduced the lung injury of cytokine storm mice. The pathological results showed that DF2-HSA alleviated the lung and small intestine damage of cytokine storm mice. In summary, DF2-HSA effectively inhibits cytokine storms and ameliorates associated tissue damage.
Full article

Graphical abstract
Open AccessReview
Dysregulation of Immune Mediators and Synaptic Plasticity in Central Nervous System Disorders
by
Paola Imbriani, Clara D'Ambra, Roberta De Mori, Marta Ionta, Alessandro Renna and Paola Bonsi
Cells 2026, 15(2), 201; https://doi.org/10.3390/cells15020201 - 21 Jan 2026
Abstract
Bidirectional communication between the central nervous system and the immune system is crucial for brain function, particularly in regulating neuroplasticity: on the one hand, glial cells modulate neuronal function, brain circuitry, axon myelination, dendritic spine architecture, and information processing, while on the other
[...] Read more.
Bidirectional communication between the central nervous system and the immune system is crucial for brain function, particularly in regulating neuroplasticity: on the one hand, glial cells modulate neuronal function, brain circuitry, axon myelination, dendritic spine architecture, and information processing, while on the other hand, neuronal activity can alter the immune response. Neuroinflammation and dysregulation of astroglia and microglia can be detrimental to brain development and function. In particular, maladaptive responses and chronic glial activation have been correlated to synaptic dysfunction in diverse brain conditions. In the present review, we will provide a general introduction to the main players of the neuroimmune response and their ability to modulate neuroplasticity, followed by a comprehensive overview of experimental evidence linking the dysregulation of immune mediators to the disruption of synaptic plasticity in neurodegenerative and neurodevelopmental disorders, with a specific focus on Alzheimer’s disease, Parkinson’s disease, and autism spectrum disorder.
Full article
(This article belongs to the Special Issue Synaptic Plasticity and the Neurobiology of Learning and Memory)
►▼
Show Figures

Figure 1
Journal Menu
► ▼ Journal Menu-
- Cells Home
- Aims & Scope
- Editorial Board
- Reviewer Board
- Topical Advisory Panel
- Instructions for Authors
- Special Issues
- Topics
- Sections & Collections
- Article Processing Charge
- Indexing & Archiving
- Editor’s Choice Articles
- Most Cited & Viewed
- Journal Statistics
- Journal History
- Journal Awards
- Society Collaborations
- Editorial Office
Journal Browser
► ▼ Journal BrowserHighly Accessed Articles
Latest Books
E-Mail Alert
News
Topics
Topic in
Biomolecules, Cancers, Cells, JMP, Livers
Signaling Pathways in Liver Disease 2nd Edition
Topic Editors: Ralf Weiskirchen, Amedeo AmedeiDeadline: 20 March 2026
Topic in
Biomolecules, Cancers, Cells, Organoids, Current Oncology
Advances in Glioblastoma: From Biology to Therapeutics
Topic Editors: Javier S. Castresana, Miguel IdoateDeadline: 31 March 2026
Topic in
Cells, JCM, Organoids, JMP
Novel Discoveries in Oncology 2nd Edition
Topic Editors: Michela Campolo, Giovanna Casili, Alessia Filippone, Marika LanzaDeadline: 20 June 2026
Topic in
Biomedicines, Biomolecules, Cancers, Cells, Hematology Reports, IJMS
Advances in Molecular Pathogenesis and Targeted Therapies for Multiple Myeloma
Topic Editors: Chung Hoow Kok, Cindy H. S. Lee, Claudio CerchioneDeadline: 3 August 2026
Special Issues
Special Issue in
Cells
Targeting Immune Dysfunction in Aging and Age-Related Diseases
Guest Editors: Anna Aiello, Anna CalabròDeadline: 25 January 2026
Special Issue in
Cells
Decoding the Tumor-Immune Intersection: Opportunities for Breakthroughs in Cancer Therapies
Guest Editor: Qiwei WangDeadline: 25 January 2026
Special Issue in
Cells
Immune Cell Signaling Networks in Tumor and Regenerative Stem Cell Niches
Guest Editor: Luigi RacioppiDeadline: 25 January 2026
Special Issue in
Cells
The Role of T Cells in Type 1 Diabetes
Guest Editors: Ismail Syed, Mayur ParmarDeadline: 25 January 2026
Topical Collections
Topical Collection in
Cells
Pulmonary Fibrosis and Cell Therapy
Collection Editor: Anna Serrano-Mollar
Topical Collection in
Cells
Feature Papers in Cell Nuclei: Function, Transport and Receptors
Collection Editor: Hiroshi Miyamoto
Topical Collection in
Cells
Computational Imaging for Biophotonics and Biomedicine
Collection Editors: An Pan, Baoli Yao, Chao Zuo, Fei Liu, Jiamiao Yang, Liangcai Cao



