Advancing Open Science
Supporting academic communities
since 1996
 
11 pages, 743 KB  
Article
Wide-Band Compact Substrate-Integrated Coaxial Line Transition
by Mohamed Mamdouh M. Ali, Shoukry I. Shams, Mahmoud Elsaadany, Ghyslain Gagnon and Abdelrazik Sebak
Inventions 2026, 11(2), 39; https://doi.org/10.3390/inventions11020039 (registering DOI) - 9 Apr 2026
Abstract
This article introduces a novel right-angle coax to Substrate Integrated Coaxial (SIC) transition, offering featured characteristics and performance in a compact size. An air-filled K-connector is used to ensure optimal transition in a compact form factor. The proposed transition covers the Ku-band up [...] Read more.
This article introduces a novel right-angle coax to Substrate Integrated Coaxial (SIC) transition, offering featured characteristics and performance in a compact size. An air-filled K-connector is used to ensure optimal transition in a compact form factor. The proposed transition covers the Ku-band up to 18 GHz, achieving a deep matching level below 20 dB. The transition is fabricated and tested in a back-to-back configuration, where it demonstrates impressive characteristics, including a matching level of −15 dB and an insertion loss of −0.22 dB/inch across the entire bandwidth for the back-to-back configuration. Full article
Show Figures

Figure 1

17 pages, 1257 KB  
Article
Craniofacial Analysis of Lateral Cephalograms in Obstructive Sleep Apnea—An Exploratory Case–Control Study
by Janine Sambale, Janine Hass, Ulrich Koehler and Heike Maria Korbmacher-Steiner
Diagnostics 2026, 16(8), 1130; https://doi.org/10.3390/diagnostics16081130 (registering DOI) - 9 Apr 2026
Abstract
Background: The clinical value of lateral cephalograms for obstructive sleep apnea (OSA) risk assessment remains controversial, largely because previous case–control studies often lacked objective exclusion of OSA in control subjects and insufficiently controlled for confounding. This age-matched case–control study evaluated whether craniofacial [...] Read more.
Background: The clinical value of lateral cephalograms for obstructive sleep apnea (OSA) risk assessment remains controversial, largely because previous case–control studies often lacked objective exclusion of OSA in control subjects and insufficiently controlled for confounding. This age-matched case–control study evaluated whether craniofacial characteristics differ between individuals with and without OSA and whether these craniofacial measurements independently predict OSA-related outcomes after adjustment for relevant confounders. Methods: A total of 54 adults were included (27 with OSA and 27 without OSA). OSA was defined by poly(somno)graphy (apnea–hypopnea index [AHI] ≥ 5). Control subjects were prospectively recruited, and OSA was excluded through polygraphy (AHI < 5). Lateral cephalograms were used to assess six PAS levels (P1–P6), 16 hyoid- and soft palate-related parameters, and sagittal/vertical skeletal characteristics. Potential confounders were controlled for by adjustment for BMI and craniofacial skeletal pattern. The PAS measurements were defined as the primary endpoint; soft palate and hyoid-related variables were considered secondary exploratory endpoints. Statistical analyses included independent samples t-tests, multiple linear regression models, and sensitivity analyses adjusted for sex. Results: Craniofacial skeletal characteristics did not differ between groups. PAS dimensions showed no significant intergroup differences and were not independently associated with AHI after adjustment, whereas BMI consistently emerged as the strongest predictor. Uvula length and thickness were significantly greater in the OSA group; however, neither parameter independently predicted AHI in regression models. In contrast, subjects with OSA exhibited a significantly more inferior/anterior hyoid position across multiple models. In the primary regression models, several hyoid-related variables were associated with AHI. However, these associations were attenuated in additional sensitivity analyses after adjustment for sex and were no longer consistently statistically significant. Sex was a relevant covariate in several models. Conclusions: Static PAS measurements derived from lateral cephalograms provide no clinically meaningful information for OSA screening or risk stratification. Although several hyoid-related variables were associated with AHI in primary models, these associations were attenuated after adjustment for sex and should therefore be interpreted as exploratory. When lateral cephalograms are already clinically indicated, hyoid position may provide complementary anatomical information, but its independent predictive value remains uncertain. Full article
(This article belongs to the Section Clinical Diagnosis and Prognosis)
Show Figures

Figure 1

32 pages, 1293 KB  
Article
Early Detection of Re-Identification Risk in Multi-Turn Dialogues via Entity-Aware Evidence Accumulation
by Yeongseop Lee, Seungun Park and Yunsik Son
Appl. Sci. 2026, 16(8), 3680; https://doi.org/10.3390/app16083680 (registering DOI) - 9 Apr 2026
Abstract
In multi-turn conversational AI, individually innocuous personally identifiable information (PII) fragments disclosed across successive turns can accumulate into a re-identification risk that no single utterance reveals on its own. Existing PII detectors operate on isolated utterances and therefore cannot track this cross-turn evidence [...] Read more.
In multi-turn conversational AI, individually innocuous personally identifiable information (PII) fragments disclosed across successive turns can accumulate into a re-identification risk that no single utterance reveals on its own. Existing PII detectors operate on isolated utterances and therefore cannot track this cross-turn evidence build-up. We propose a stateful middleware guardrail whose core design principle is speaker-attributed entity isolation: every extracted PII fragment is attributed to its originating conversational participant, and evidence is accumulated in entity-isolated subgraphs that prevent cross-entity contamination. The system signals re-identification onset tpred at the earliest turn where combination-based rules grounded in the uniqueness literature are satisfied. On a 184-record template-synthetic evaluation corpus, the gated NER configuration leads on primary timeliness (OW@5 = 73.4%, MAE= 1.357 turns); the full system achieves OW@5 = 70.7% with MAE = 2.442 turns as an alternative operating mode for ambiguity-sensitive disclosure patterns. We further evaluate behavior on a 300-record mutation stress set, test RULE_B on the ABCD external corpus, and supplement RULE_A evaluation with both a proxy-labeled transfer analysis on PersonaChat and a manual annotation study on 151 Switchboard dialogues. The reported results should be interpreted as an initial empirical reference point rather than a sufficient endpoint for autonomous runtime enforcement. Full article
(This article belongs to the Special Issue Advances in Intelligent Systems—2nd edition)
Show Figures

Figure 1

18 pages, 785 KB  
Article
The Longitudinal Relationship Between Intrinsic Motivation, Grade Motivation and Prosocial Behavior in Chinese Adolescents: A Cross-Lagged Panel Study
by Xihao Niu, Han Liu and Kun Yan
Behav. Sci. 2026, 16(4), 563; https://doi.org/10.3390/bs16040563 (registering DOI) - 9 Apr 2026
Abstract
Prosocial behavior is crucial for the development of adolescents. Prosocial behavior requires strong internal motivation to drive it, but the prospective association between the two is still unclear. In addition, there is still a gap in the relationship between grade motivation as a [...] Read more.
Prosocial behavior is crucial for the development of adolescents. Prosocial behavior requires strong internal motivation to drive it, but the prospective association between the two is still unclear. In addition, there is still a gap in the relationship between grade motivation as a unique external motivation and prosocial behavior. To explore the prospective associations between them, we conducted two follow-up surveys (six months apart) on 862 Chinese adolescents (423 boys and 439 girls) to collect data on intrinsic motivation, grade motivation and prosocial behavior (relational prosocial behavior and practical prosocial behavior). The cross-lagged panel study results revealed that intrinsic motivation at T1 was positively associated with relational and practical prosocial behavior at T2. In contrast, grade motivation at T1 was not significantly associated with later prosocial behavior, and prosocial behavior at T1 was not significantly associated with later intrinsic motivation or grade motivation. These findings indicate that intrinsic motivation may be a potential antecedent for prosocial behavior in Chinese adolescents later in life, but the observed associations should be cautiously interpreted. Full article
Show Figures

Figure 1

31 pages, 1300 KB  
Review
Advances in the Function Roles of Hydroxycinnamoyl-CoA Shikimate/Quinate Hydroxycinnamoyl Transferases: A Key Enzyme Linking Phenylpropanoid Metabolism to Plant Terrestrial Adaptation
by Jingyi Chen, Chuting Liang, Xian He, Jiayi Huang, Wanying Huang, Anqi Huang, Ying Yang, Gaojie Hong, Yue Chen, Dali Zeng, Jiangfan Guo and Yi He
Plants 2026, 15(8), 1162; https://doi.org/10.3390/plants15081162 (registering DOI) - 9 Apr 2026
Abstract
Hydroxycinnamoyl-CoA shikimate/quinate hydroxycinnamoyl transferase, a key acyltransferase in the phenylpropanoid pathway and a canonical member of the BAHD acyltransferase family (BAHD), catalyzes the formation of pivotal intermediates in the biosynthesis of secondary metabolites such as lignin, chlorogenic acid, and flavonoids. These compounds serve [...] Read more.
Hydroxycinnamoyl-CoA shikimate/quinate hydroxycinnamoyl transferase, a key acyltransferase in the phenylpropanoid pathway and a canonical member of the BAHD acyltransferase family (BAHD), catalyzes the formation of pivotal intermediates in the biosynthesis of secondary metabolites such as lignin, chlorogenic acid, and flavonoids. These compounds serve indispensable protective functions in terrestrial plants, underpinning their adaptive responses to abiotic stresses such as drought, ultraviolet (UV) radiation, and oxidative damage. Although the role of HCT/HQT in the core phenylpropanoid pathway has been extensively characterized, its precise functional contributions to the flavonoid biosynthetic branch—particularly with respect to substrate selectivity, kinetic regulation, and metabolic channeling—remain incompletely understood. This review systematically analyzes the structural features, spatial conformation, catalytic mechanism, and substrate promiscuity of HCT/HQT to clarify its molecular determinants of activity and specificity. Furthermore, it highlights regulatory factors influencing HCT/HQT gene expression, such as transcription factors (MYB, bHLH, WRKY), phytohormones (GA3, Eth, MeJA, 6-BA, MT), and abiotic/biotic stressors (temperature, blue light, nitric oxide, nano-selenium). Collectively, these insights illuminate how plants dynamically fine-tune phenylpropanoid metabolism in coordination with developmental programs and environmental challenges. This work provides a foundation for further research on HCT/HQT and supports efforts to develop improved crop varieties through targeted regulation of this central metabolic node. Full article
14 pages, 16868 KB  
Article
Wind as an Influential Factor in the Transport and Destination of Oil from Spills Along the Brazilian Semiarid Coast (Ceará State, Northeast Brazil)
by Alexandre Medeiros de Carvalho, Lidriana de Souza Pinheiro, Antonio Rodrigues Ximenes Neto, Vanda Claudino-Sales, Sérgio Rossi, José Francisco Soares Lima Júnior, Regimario Pereira Lima Filho, Beatriz Diniz Lopes, Thalya dos Santos Sousa and Rivelino Martins Cavalcante
Coasts 2026, 6(2), 16; https://doi.org/10.3390/coasts6020016 (registering DOI) - 9 Apr 2026
Abstract
Oil spills along the northeast coast of Brazil have the potential to cause catastrophic contamination of coastal environments and their associated biota. Beyond the direct contamination processes occurring on beaches, oil can also be transported inland by tides through estuaries. In addition, wind-driven [...] Read more.
Oil spills along the northeast coast of Brazil have the potential to cause catastrophic contamination of coastal environments and their associated biota. Beyond the direct contamination processes occurring on beaches, oil can also be transported inland by tides through estuaries. In addition, wind-driven transport of oil was observed in nearly all sections studied along the coast. Therefore, this study evaluated the potential of wind to transport oil fragments inland using both direct and indirect methods, including field observations and GIS-based mapping tools. The results identified and quantified oil fragmentation processes and wind-driven transport over relatively large distances (hundreds of meters). The presence of exhumed beachrock, combined with the absence or low elevation of foredunes and the high potential for wind transport, plays a crucial role in trapping oil on the beach surface. These factors further facilitate the fragmentation and inland dispersal of oil particles, allowing them to penetrate deeper into the coastal environment. The findings underscore the importance of assessing the contamination risks posed by oil fragments as they become incorporated into aeolian and other interconnected inland systems. Full article
Show Figures

Figure 1

18 pages, 2083 KB  
Article
GenAI-Enabled AI Teachers and Student Learning Engagement Across International Higher Education Contexts
by Anders Berglund, Pauldy C. J. Otermans and Dev Aditya
Educ. Sci. 2026, 16(4), 600; https://doi.org/10.3390/educsci16040600 (registering DOI) - 9 Apr 2026
Abstract
Generative Artificial Intelligence (GenAI) is reshaping how students engage with learning both within and beyond traditional classroom settings. In a time when the development of transferable skills is essential for enabling students to thrive in varied and rapidly evolving environments, the potential of [...] Read more.
Generative Artificial Intelligence (GenAI) is reshaping how students engage with learning both within and beyond traditional classroom settings. In a time when the development of transferable skills is essential for enabling students to thrive in varied and rapidly evolving environments, the potential of GenAI to enhance learning engagement remains insufficiently understood. Despite rising interest in interactive, personalised learning companions that enable deep engagement and ongoing skills development, scholarly research remains limited. This gap constrains effective institutional use of GenAI, reinforces black-box thinking, and restricts understanding of meaningful student engagement and skills acquisition. This paper investigates how a GenAI-enabled AI teacher supports student learning engagement, focusing on behavioral engagement as evidenced by learner interaction and participation patterns across diverse international higher education institutions. Using a combination of quantitative engagement metrics and qualitative learner reflections, the study examines how GenAI supports personalised learning, sustained interaction, autonomy, and cognitive engagement among students with varying educational backgrounds. The findings demonstrate that GenAI-based teaching systems can promote meaningful learning engagement, enhance motivation, and strengthen the development of transferable and employability skills. The study contributes empirical evidence to current debates on GenAI integration, teacher practices, and student engagement, offering implications for curriculum design and institutional adoption of GenAI-enabled learning tools. Full article
Show Figures

Figure 1

31 pages, 3268 KB  
Article
Unraveling the Potential of Giardia Extracellular Vesicles as a Vaccine Candidate
by Clarissa Faria, Sandra Jesus, Bárbara Ferreira, Ágata Lourenço, Ana Isabel Sebastião, Daniela Mateus, Bruno M. Neves, Olga Borges, Maria Teresa Cruz and Maria do Céu Sousa
Pharmaceutics 2026, 18(4), 461; https://doi.org/10.3390/pharmaceutics18040461 (registering DOI) - 9 Apr 2026
Abstract
Objectives: This study aimed to investigated the role of Giardia extracellular vesicles (EVs) in intercellular communication and to evaluated their potential as vaccine candidates. Methods: The immunomodulatory effects of Giardia EVs were assessed in mouse macrophages and human monocyte-derived dendritic cells (Mo-DCs), [...] Read more.
Objectives: This study aimed to investigated the role of Giardia extracellular vesicles (EVs) in intercellular communication and to evaluated their potential as vaccine candidates. Methods: The immunomodulatory effects of Giardia EVs were assessed in mouse macrophages and human monocyte-derived dendritic cells (Mo-DCs), with a particular focus on key inflammatory signaling pathways. In vivo immunogenicity was evaluated following EV administration, and the antigenic composition of EV cargo was characterized by proteomic analysis. Results: Giardia EVs activated pro-inflammatory signaling pathways in mouse macrphages, including SAPK/JNK, ERK1/2, and NF-κB. This activation was associated with IκB-α degradation and nuclear translocation of p65. Furthermore, EV stimulation significantly upregulated the expression of pro-inflammatory genes, including Il1β, Il6, Il4, Ptgs2, Nos2, and Tnf, with log₂ fold changes ranging from 3.9 to 15.8. Consistently, EVs increased iNOS protein expression (28–45%) and nitrite production (9.6–12.3-fold). In human Mo-DCs, Giardia EVs promoted cellular maturation, as evidenced by increased expression of MHC-II, CD80, and CD86, and enhanced T-cell proliferation with a Th1-skewed profile. In vivo immunization induced antigen-specific antibody responses, with IgG subclass distribution indicative of a balanced Th1/Th2 response. Proteomic analysis identified immunoreactive EV-associated proteins, including elongation factor 1-alpha, α-7.3 giardin, tubulin, and variant surface proteins (VSPs), which are well-established antigens in Giardia infection, with prominent bands observed at approximately 22 kDa and 50 kDa. Conclusions: Collectively, these findings demonstrate that Giardia EVs modulate innate immune responses in vitro, elicit antigen-specific humoral immunity in vivo, and contain conserved immunogenic proteins. These properties support their potential as a promising cell-free vaccine platform against giardiasis. Full article
(This article belongs to the Special Issue Next-Generation for mRNA Vaccine Delivery)
Show Figures

Graphical abstract

14 pages, 2216 KB  
Article
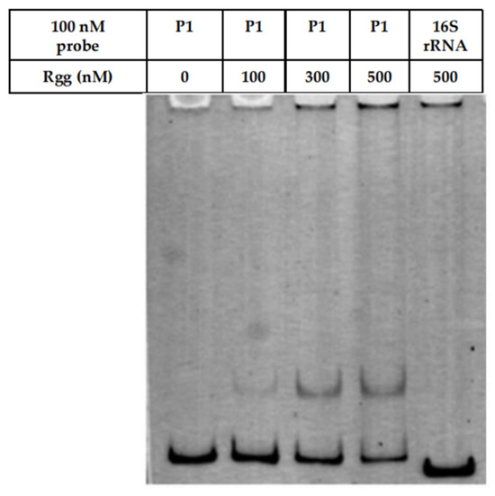
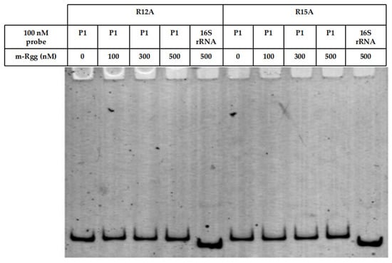
In Vitro Characterization of an Rgg-Family Regulator from Fish-Derived Streptococcus parauberis and Its Modulation by Cyclosporin A
by Chuandeng Tu, Libin He, Xiangri Lin, Leyun Zheng, Dongling Zhang and Mao Lin
Microorganisms 2026, 14(4), 849; https://doi.org/10.3390/microorganisms14040849 (registering DOI) - 9 Apr 2026
Abstract
Streptococcus parauberis is a major pathogen responsible for streptococcosis in both marine and freshwater fish species, causing substantial economic losses in aquaculture. The increasing prevalence of multidrug resistance has highlighted the urgent need for alternative disease control strategies. Interference with bacterial quorum sensing [...] Read more.
Streptococcus parauberis is a major pathogen responsible for streptococcosis in both marine and freshwater fish species, causing substantial economic losses in aquaculture. The increasing prevalence of multidrug resistance has highlighted the urgent need for alternative disease control strategies. Interference with bacterial quorum sensing (QS) systems represents a promising approach. This study aimed to identify and biochemically characterize an Rgg-family transcriptional regulator and evaluate its potential as a target for quorum sensing-related regulatory interference in vitro. We hypothesized that this Rgg regulator may function as a quorum sensing-associated transcription factor capable of promoter binding and modulation by small molecules. Bioinformatic analyses were used to identify the rgg gene encoding an Rgg-family transcriptional regulator and predict its structural features. The gene was cloned, heterologously expressed, and purified. Promoter binding activity was examined using electrophoretic mobility shift assay (EMSA), and key amino acid residues were identified through site-directed mutagenesis. The inhibitory effect of the cyclic peptide cyclosporin A (CsA) on Rgg-promoter binding was further assessed. The rgg gene (864 bp) encoding a 287-amino-acid protein (34.1 kDa) was successfully identified and expressed. Purified Rgg specifically bound to its own promoter region in a concentration-dependent manner. Mutations at conserved arginine residues R12 and R15 within the helix-turn-helix DNA-binding domain abolished promoter binding activity. Furthermore, CsA disturbed Rgg-promoter binding in a dose-dependent manner. This study provides the first in vitro characterization of an Rgg-family transcriptional regulator in fish-derived S. parauberis. The findings expand current understanding of Rgg-family regulators potentially associated with quorum sensing in aquatic streptococci and provide a preliminary basis for further investigation of quorum sensing-related regulatory interference strategies for controlling streptococcal diseases in aquaculture. Full article
(This article belongs to the Section Molecular Microbiology and Immunology)
Show Figures

Figure 1

40 pages, 1044 KB  
Review
The Spectrum of Venetoclax-Based Treatments in Acute Myeloid Leukemia
by Elvira Pelosi, Germana Castelli and Ugo Testa
Cancers 2026, 18(8), 1201; https://doi.org/10.3390/cancers18081201 (registering DOI) - 9 Apr 2026
Abstract
Background/Objectives: In recent years there has been a consistent development of clinical studies surrounding the incorporation of the B-cell lymphoma 2 (BCL-2) inhibitor venetoclax (VEN) into the treatment of acute myeloid leukemia (AML) Methods: A search of the literature showed a [...] Read more.
Background/Objectives: In recent years there has been a consistent development of clinical studies surrounding the incorporation of the B-cell lymphoma 2 (BCL-2) inhibitor venetoclax (VEN) into the treatment of acute myeloid leukemia (AML) Methods: A search of the literature showed a tremendous development of experimental and clinical studies evaluating the impact of VEN-based regimens in the treatment of AML patients. This review comprehensively analyzes the available scientific evidence—including prospective clinical trials, retrospective cohorts, and real-world studies—to summarize current knowledge on the efficacy and safety of venetoclax-based regimens in AML patients. Results: Recent studies have evaluated VEN-based regimens in newly diagnosed (ND) and refractory/relapsed (R/R) AML patients, showing the efficacy of these treatments. VEN with hypomethylating agents (HMAs) became the standard-of-care for elderly/unfit AML patients. Recent studies strongly support the effectiveness of VEN-based regimens in frontline treatment of adult AML patients eligible for intensive treatments. VEN-based therapies were also used in combination with targeted therapies, thus generating triplet therapeutic regimens that are under evaluation for the treatment of some AML subtypes. However, the response to VEN+HMAs is highly variable and in part depends on tumor genetics; some patients are resistant or relapse following VEN-based treatments and future studies will be required to develop therapeutic strategies able to circumvent resistance and to identify patients at high risk of relapse. Prospective randomized trials are required to establish the real efficacy of VEN in various clinical settings and to refine maintenance and discontinuation strategies, aiming to improve long-term outcomes and to make more safe treatments based on VEN. Full article
(This article belongs to the Special Issue Precision Medicine in Acute Myeloid Leukemia)
24 pages, 3511 KB  
Article
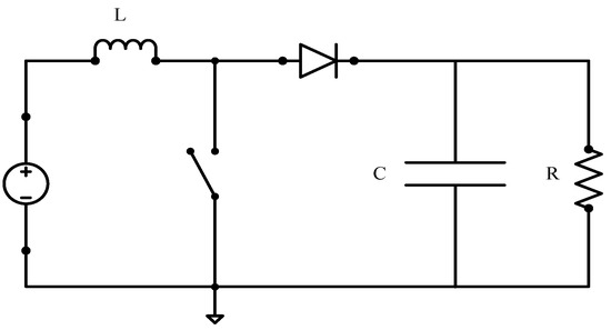
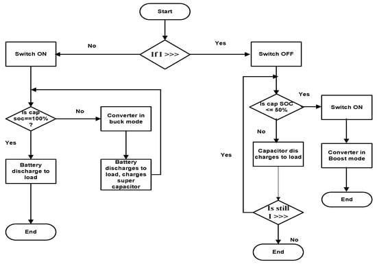
Optimal Fractional-Order Control Scheme for Hybrid Electric Vehicle Energy Management
by K. Dhananjay Rao, Kapu Venkata Sri Ram Prasad, Paidi Pavani, Subhojit Dawn and Taha Selim Ustun
World Electr. Veh. J. 2026, 17(4), 197; https://doi.org/10.3390/wevj17040197 (registering DOI) - 9 Apr 2026
Abstract
The increasing need for energy-efficient and environmentally friendly electricity generation has led to the extensive use of hybrid electric systems. These systems integrate different energy sources in an effort to take advantage of the positives of each technology, as using a single source [...] Read more.
The increasing need for energy-efficient and environmentally friendly electricity generation has led to the extensive use of hybrid electric systems. These systems integrate different energy sources in an effort to take advantage of the positives of each technology, as using a single source of energy comes with many limitations and disadvantages; hence, the popularity of hybrids has increased in recent times. In this regard, this paper proposes a lithium-ion battery (LIB) and ultracapacitor (UC)-based hybrid architecture considering an optimal energy management framework. In the transportation sector, hybrid vehicles (LIB and UC-based vehicles) effectively utilize the high energy density and power density of LIBs and UCs. This LIB and UC-based hybrid architecture provides an efficient power management solution considering the high power density of the LIB for smooth road profiles, and the high power density of the UC is driven during sudden spikes in load demand because the LIB will not function optimally during the sudden spikes due to lower power density. Furthermore, in order to achieve efficient utilization of the proposed hybrid system, an optimal energy management framework is used. In this regard, in this study, a fractional-order proportional–integral–derivative (FOPID) controller has been designed for effective and optimal energy management. Furthermore, the designed FOPID has been optimized using a metaheuristic technique, namely particle swarm optimization (PSO), to enhance LIB and UC-based hybrid electric vehicle energy management performance. Employing dynamic and optimal energy flow control, the FOPID-based system improves energy consumption, extends LIB life, and improves overall system performance and reliability. Full article
(This article belongs to the Section Vehicle Control and Management)
Show Figures

Figure 1

32 pages, 9226 KB  
Article
Regenerative–Frictional Brake Blending in Electric Vehicles Considering Energy Recovery and Dynamic Battery Charging Limit: A Reinforcement Learning-Based Approach
by Farshid Naseri, Bjartur Ragnarsson a Nordi, Konstantinos Spiliotopoulos and Erik Schaltz
Machines 2026, 14(4), 416; https://doi.org/10.3390/machines14040416 (registering DOI) - 9 Apr 2026
Abstract
This paper presents the design, development, and evaluation of a Reinforcement Learning (RL)–based torque-split controller for the regenerative braking system (RBS) in battery electric vehicles (BEVs). The controller employs a Deep Deterministic Policy Gradient (DDPG) agent to distribute the braking demand between regenerative [...] Read more.
This paper presents the design, development, and evaluation of a Reinforcement Learning (RL)–based torque-split controller for the regenerative braking system (RBS) in battery electric vehicles (BEVs). The controller employs a Deep Deterministic Policy Gradient (DDPG) agent to distribute the braking demand between regenerative and frictional braking systems with the aim of maximizing energy recovery while adhering to the physical and operational constraints. To capture the charging limitation of the battery, a State-of-Power (SoP) calculation mechanism is incorporated, providing a time-varying bound on the regenerative charge power. The agent is trained in a MATLAB/Simulink environment representing the digital twin of a BEV drivetrain, and considers a mix of different braking scenarios, i.e., light braking, medium braking, hard braking, and emergency braking. The RL’s reward shaping promotes efficient utilization of the SoP-limited regenerative capability while discouraging constraint violations and aggressive control behavior. Across a range of State-of-Charge (SoC) conditions and driving cycles, including the Worldwide Harmonized Light–Vehicle Test Procedure (WLTP) and synthetic random-rich driving cycle, the RL controller consistently delivers promising performance, yielding energy recovery of up to ~98% of the total braking energy available on WLTP type 3 driving cycle while being able to operate closely to the battery SoP limit. The results demonstrate the proposed controller’s capability for adaptive, constraint-aware energy management in BEVs and underline its potential for future intelligent braking strategies. Full article
Show Figures

Figure 1

31 pages, 3398 KB  
Article
Multimodal Smart-Skin for Real-Time Sitting Posture Recognition with Cross-Session Validation
by Giva Andriana Mutiara, Muhammad Rizqy Alfarisi, Paramita Mayadewi, Lisda Meisaroh and Periyadi
Multimodal Technol. Interact. 2026, 10(4), 39; https://doi.org/10.3390/mti10040039 (registering DOI) - 9 Apr 2026
Abstract
Prolonged sitting with poor posture is associated with musculoskeletal disorders, reduced productivity, and long-term health risks. Many existing posture monitoring systems predominantly rely on single-modality sensing, such as pressure or vision-based approaches, limiting their ability to capture both static alignment and dynamic micro-movements. [...] Read more.
Prolonged sitting with poor posture is associated with musculoskeletal disorders, reduced productivity, and long-term health risks. Many existing posture monitoring systems predominantly rely on single-modality sensing, such as pressure or vision-based approaches, limiting their ability to capture both static alignment and dynamic micro-movements. This study proposes a multimodal smart-skin system integrating pressure, temperature, and vibration sensors for sitting posture recognition. A total of 42 sensors distributed across 14 anatomical locations were deployed, generating 15,037 samples collected over three independent sessions to evaluate cross-session temporal generalization across nine posture classes under controlled experimental conditions. Two deep learning architectures—Temporal Convolutional Networks with Attention (TCN + Attn) and Convolutional Neural Network–Long Short-Term Memory (CNN − LSTM)—were compared under Leave-One-Session-Out (LOSO) cross-validation. TCN + Attn achieved 85.23% LOSO accuracy, outperforming CNN − LSTM by 2.56 percentage points while reducing training time by 36.7% and inference latency by 33.9%. Ablation analysis revealed that temperature sensing was the most discriminative unimodal modality (71.5% accuracy), and full multimodal fusion improved LOSO accuracy by 22.93% compared to pressure-only configurations. These results demonstrate the feasibility of multimodal smart-skin sensing combined with temporal convolutional modeling for cross-session posture recognition and indicate potential for efficient real-time, privacy-preserving ergonomic monitoring. This study should be interpreted as a controlled, single-subject proof-of-concept, and further validation in multi-subject and real-world environments is required to establish broader generalizability. Full article
Show Figures

Figure 1

29 pages, 2250 KB  
Article
Green Innovation, Industrial Upgrading, and Urban Environmental Improvement—Evidence from the Construction of National Forest Cities in China
by Yameng Wang, Mingyue Zhang, Zichen An, Mengyang Hou, Feng Wei and Weinan Lu
Forests 2026, 17(4), 462; https://doi.org/10.3390/f17040462 (registering DOI) - 9 Apr 2026
Abstract
Promoting the construction of National Forest Cities to enhance urban ecological environmental quality and foster green and sustainable development has become an important policy pathway in China’s ecological civilization agenda. This study employs panel data for 214 Chinese cities over the period 2003–2023 [...] Read more.
Promoting the construction of National Forest Cities to enhance urban ecological environmental quality and foster green and sustainable development has become an important policy pathway in China’s ecological civilization agenda. This study employs panel data for 214 Chinese cities over the period 2003–2023 and adopts a difference-in-differences (DID) approach to empirically examine the impact of National Forest City construction—a policy implemented in China since 2004—on urban ecological environments and its underlying mechanisms. The results indicate that National Forest City construction significantly improves urban ecological environmental quality. The findings remain robust after a series of robustness checks. Mechanism analysis shows that National Forest City construction primarily promotes urban environmental improvement by enhancing urban green innovation and optimizing adjustments to the urban industrial structure. Further heterogeneity analysis reveals that the environmental effects of the policy are more pronounced in non-resource-based cities, non-central cities, large cities, and cities with stronger governance capacity and higher levels of environmental concern. The conclusions provide policy implications and mechanistic insights from China’s experience for other cities around the world seeking to jointly address environmental pollution and climate change through comprehensive ecological interventions and to advance green and sustainable development. Full article
(This article belongs to the Special Issue Integrative Forest Governance, Policy, and Economics)
19 pages, 7551 KB  
Article
Unraveling the Molecular Mechanism of Bider Marking Formation in Dun Mongolian Horses Through Transcriptome Sequencing
by Tana An and Manglai Dugarjaviin
Animals 2026, 16(8), 1145; https://doi.org/10.3390/ani16081145 (registering DOI) - 9 Apr 2026
Abstract
(1) Background: The “Bider” marking refers to the symmetrical black stripes distributed on the shoulder blades of Dun Mongolian horses, representing an ancestral trait of significant genetic value. However, the molecular mechanisms underlying its formation remain unclear. This study aims to elucidate the [...] Read more.
(1) Background: The “Bider” marking refers to the symmetrical black stripes distributed on the shoulder blades of Dun Mongolian horses, representing an ancestral trait of significant genetic value. However, the molecular mechanisms underlying its formation remain unclear. This study aims to elucidate the molecular basis of these markings by comparing transcriptomic differences in skin tissues from variously pigmented areas of Mongolian horses’ “Bider” patterns. (2) Methods: Using three Dun Mongolian horses as subjects, skin tissue samples were collected from their shoulders (dark-marked and light-marked areas), dorsal midline, and croup regions for transcriptome sequencing. Differentially expressed genes were identified based on sequencing data, followed by Gene Ontology (GO) functional annotation and Kyoto Encyclopedia of Genes and Genomes (KEGG) pathway enrichment analysis. Key findings were validated through quantitative reverse transcription polymerase chain reaction (qRT-PCR). (3) Results: The sequencing yielded approximately 893 million high-quality clean reads, with an overall alignment rate exceeding 96%. A total of 140 to 775 differentially expressed genes were identified. GO enrichment analysis revealed that these genes were significantly enriched in biological processes related to pigment metabolism, skin and hair follicle development, signal transduction (including calcium and cyclic guanosine monophosphate (cGMP) signaling), and immune regulation. KEGG analysis further indicated that multiple pathways closely associated with pigment regulation, including the calcium signaling pathway, tyrosine metabolism, cyclic adenosine monophosphate (cAMP) signaling pathway, and melanoma pathway, were significantly enriched across different tissue comparison groups, suggesting their potential key roles in coat color phenotype formation. The reliability of the sequencing data was corroborated by the results of qRT-PCR validation. (4) Conclusions: This study conducted a transcriptome analysis of skin samples from various pigmented regions of the Dun Mongolian horse’s Bider marking, revealing that the formation of this marking is associated with the differential expression of numerous genes and is co-regulated by multiple pigment-related signaling pathways. Full article
(This article belongs to the Special Issue Equine Genetics, Evolution, and Breeds)
Show Figures

Figure 1

16 pages, 399 KB  
Article
Popularizing Wine Tasting Evaluation: An Adaptation of Mouthfeel Terminology
by Lucía Moreno Rodríguez, Andrés Fernández Martín and Ricardo Díaz Armas
Foods 2026, 15(8), 1302; https://doi.org/10.3390/foods15081302 (registering DOI) - 9 Apr 2026
Abstract
Wine sensory analysis traditionally relies on complex terminology. This can be challenging to non-expert consumers, particularly regarding mouthfeel sensations. Despite the importance of the latter in determining wine quality and typicity, they lack standardized classification. In this study, we developed and validated a [...] Read more.
Wine sensory analysis traditionally relies on complex terminology. This can be challenging to non-expert consumers, particularly regarding mouthfeel sensations. Despite the importance of the latter in determining wine quality and typicity, they lack standardized classification. In this study, we developed and validated a simplified framework for wine taste evaluation that is accessible to consumers with limited tasting experience. The Delphi technique was applied across multiple rounds with a panel of 18 wine experts, primarily sommeliers with experience of diverse consumer profiles. Through an iterative process, attributes were selected from the existing literature and systematically evaluated for relevance, clarity, and accessibility. The validated framework comprises four dimensions: basic tastes (sweetness, acidity, bitterness, salinity, fruitiness); astringency (hardness, dryness, texture); tactile sensations (tingling, warmth, body); and overall evaluation (complexity, balance, taste persistence, alcohol perception). Each attribute includes accessible descriptions and measurement scales anchored with familiar food references to support comparative cognitive processes. All proposed attributes achieved over 85% expert consensus. This framework provides a practical tool that bridges technical wine terminology and everyday consumer language to facilitate communication between industry professionals and consumers. Furthermore, it enables more reliable sensory evaluations in future research and can potentially be extended to other beverages. Full article
(This article belongs to the Section Drinks and Liquid Nutrition)
Show Figures

Figure 1

20 pages, 609 KB  
Review
Beyond Dryness: Mapping the Psychological and Cognitive Burden in Sjögren’s Disease—A Narrative Review
by Adriana Elena Neagu, Daniela Opriș-Belinski, Teodora Baciu, Sinziana Daia-Iliescu, Claudia Cobilinschi and Ioana Saulescu
J. Clin. Med. 2026, 15(8), 2857; https://doi.org/10.3390/jcm15082857 (registering DOI) - 9 Apr 2026
Abstract
Background: Sjögren’s disease (SjD) is a chronic systemic autoimmune disorder characterized by persistent exocrine gland inflammation, possible multi-organ involvement and a marked predominance of mid-life women. Beyond dryness and fatigue, patients report mood disturbances and cognitive complaints such as “brain fog”, which affect [...] Read more.
Background: Sjögren’s disease (SjD) is a chronic systemic autoimmune disorder characterized by persistent exocrine gland inflammation, possible multi-organ involvement and a marked predominance of mid-life women. Beyond dryness and fatigue, patients report mood disturbances and cognitive complaints such as “brain fog”, which affect daily functioning and quality of life. Objective: To summarize and critically synthesize the literature on depression, anxiety, cognitive function, personality traits and quality of life assessment in adults with SjD and to highlight clinically relevant gaps. Methods: We performed a narrative review (PubMed, Cochrane, Embase through June 2025) of studies on psychological outcomes, cognitive function and quality of life in adults with SjD. Results: Depression and anxiety were frequently observed: depressive symptoms were present in roughly one-third to nearly half of patients, while anxiety symptoms were reported by about one-third. Cognitive impairment (affecting memory, attention and executive function) was also frequently described, often alongside severe fatigue and sleep disturbance. Overall, quality of life was reduced in SjD, driven mainly by fatigue and emotional distress rather than by classic disease activity. Neuroimmune mechanisms (e.g., chronic systemic inflammation and cytokine signalling such as IL-6 and TNF-α) may contribute to affective and cognitive symptoms. Overall, the evidence base remains largely cross-sectional and heterogeneous. Conclusions: Psychiatric symptoms and cognitive complaints represent a substantial and clinically relevant burden in SjD. Routine screening and multidisciplinary management that includes psychological assessment and support may improve well-being, adherence and quality of life. Full article
Show Figures

Figure 1

14 pages, 1133 KB  
Article
Sun-Exposure-Related Healthcare Use: Analysis of Pharmacy Sales, SOS Médecins Records, and Emergency Department Visits: PRISME Study, Occitanie, Southern France, 2019–2022
by Leslie Simac, Olivier Catelinois, Yasmine Yahiaoui, Franck Golliot and Damien Mouly
Int. J. Environ. Res. Public Health 2026, 23(4), 476; https://doi.org/10.3390/ijerph23040476 (registering DOI) - 9 Apr 2026
Abstract
UV radiation causes health effects and repeated excessive sun exposure during childhood increases the risk of skin cancer in adulthood. The French region of Occitanie combines conditions conducive to sun exposure with a wide range of healthcare services. The study aims to describe [...] Read more.
UV radiation causes health effects and repeated excessive sun exposure during childhood increases the risk of skin cancer in adulthood. The French region of Occitanie combines conditions conducive to sun exposure with a wide range of healthcare services. The study aims to describe temporal variations related to sun overexposure and patient characteristics, and evaluate the relevance of each data source. We conducted a retrospective analysis (2019–2022) on pharmacy sales, emergency care provided by SOS Médecins (SOSM), and emergency departments (EDs). More than 220,000 customers purchased products associated with sun overexposure, while 71 SOSM procedures and 417 ED visits were recorded. The activity is clearly seasonal, but remains five to ten times higher for pharmacies than for other sources. About 80% of ED patients were under 40 years of age, while 50% lived within 20 km of the consultation location. The impacts on healthcare systems vary, and each provides complementary insights into care related to sun overexposure. Increases in pharmacy sales are observed as early as spring, underscoring the need to strengthen prevention messaging from the start of the season. The study confirms the value of pharmacy sales data for assessing the impact of sun exposure, but ED or SOSM data enable real-time monitoring and patient characterization. Full article
Show Figures

Figure 1

28 pages, 2852 KB  
Article
Defect Monitoring of Complex Geometries Through Machine Learning in LPBF Metal Additive Manufacturing
by Marcin Magolon, Jan Boer and Mohamed Elbestawi
J. Manuf. Mater. Process. 2026, 10(4), 127; https://doi.org/10.3390/jmmp10040127 (registering DOI) - 9 Apr 2026
Abstract
Laser powder bed fusion (LPBF) can fabricate intricate metal components but is prone to defects, such as porosity and cracks, that degrade performance. We present an in situ monitoring framework that fuses structure-borne acoustic emission (AE) and coaxial two-color pyrometry acquired synchronously at [...] Read more.
Laser powder bed fusion (LPBF) can fabricate intricate metal components but is prone to defects, such as porosity and cracks, that degrade performance. We present an in situ monitoring framework that fuses structure-borne acoustic emission (AE) and coaxial two-color pyrometry acquired synchronously at 1 MHz. Modality-specific encoders are pretrained separately, their latent representations are exported, and a lightweight feature-level fusion classifier with two binary heads predicts crack-like and porosity-like indications. Evaluation uses a held-out grouped experiment/build-machine-part split with independent Archimedes density and micro-CT ground truth. On the held-out test set, the fused model achieved F1 = 0.974 for crack-like detection and F1 = 0.987 for porosity-like detection, with AUROC = 0.998 and 0.993, respectively. Recall was 1.00 for both heads, corresponding to false-positive rates of 11.18% for crack-like and 0.945% for porosity-like indications. These results support synchronized AE-pyrometry fusion as a promising high-sensitivity in situ screening approach for LPBF. A later matched within-framework ablation campaign was also performed under stricter checkpoint-screening rules to compare AE + PY + Aux, AE + PY, AE-only, and PY-only variants under a common grouped-split protocol. Together, these results support multimodal monitoring while highlighting the need for explicit coupon/geometry-stratified reporting and for separately architecture-optimized unimodal baselines. Full article
Show Figures

Figure 1

24 pages, 1584 KB  
Review
From Dialogue Systems to Autonomous Agents: A Modeling Framework for Ethical Generative AI in Healthcare
by James C. L. Chow and Kay Li
Information 2026, 17(4), 361; https://doi.org/10.3390/info17040361 (registering DOI) - 9 Apr 2026
Abstract
The advancement of generative artificial intelligence (GAI) in healthcare is driving a transition from dialogue-based medical chatbots to workflow-embedded clinical AI agents. These agentic systems incorporate persistent state management, coordinated tool invocation, and bounded autonomy, enabling multi-step reasoning within institutional processes. As a [...] Read more.
The advancement of generative artificial intelligence (GAI) in healthcare is driving a transition from dialogue-based medical chatbots to workflow-embedded clinical AI agents. These agentic systems incorporate persistent state management, coordinated tool invocation, and bounded autonomy, enabling multi-step reasoning within institutional processes. As a result, traditional response-level evaluation frameworks are insufficient for understanding system behavior. This review provides a conceptual synthesis of the evolution from conversational systems to agentic architectures and proposes a system-level modeling framework for ethical clinical AI agents. We identify core architectural dimensions, including autonomy gradients, state persistence, tool orchestration, workflow coupling, and human–AI co-agency, and examine how these features reshape bias propagation pathways, error cascade dynamics, trust calibration, and accountability structures. Emphasizing that ethical risks emerge from longitudinal system interactions rather than isolated outputs, we argue for embedding fairness constraints, transparency mechanisms, and lifecycle governance directly within AI design. By outlining trajectory-level evaluation strategies, equity-aware development approaches, collaborative oversight models, and adaptive regulatory frameworks, this paper establishes a foundation for the responsible and trustworthy integration of agentic AI in healthcare. Full article
(This article belongs to the Special Issue Modeling in the Era of Generative AI)
Show Figures

Graphical abstract

17 pages, 5072 KB  
Article
A Dual-Input Dense U-Net-Based Method for Line Spectrum Purification Under Interference Background
by Zixuan Jia, Tingting Teng and Dajun Sun
J. Mar. Sci. Eng. 2026, 14(8), 700; https://doi.org/10.3390/jmse14080700 (registering DOI) - 9 Apr 2026
Abstract
Line spectrum purification is a fundamental task in underwater detection and identification tasks. A dual-input architecture based on Dense U-net is introduced to extract clean line spectra from strong interference. The U-net model features a symmetric encoder–decoder structure that accepts two-dimensional data as [...] Read more.
Line spectrum purification is a fundamental task in underwater detection and identification tasks. A dual-input architecture based on Dense U-net is introduced to extract clean line spectra from strong interference. The U-net model features a symmetric encoder–decoder structure that accepts two-dimensional data as both input and output. The DenseBlock, a core component of DenseNets, offers greater parameter efficiency compared to conventional convolutional layers. In this paper, standard convolutional layers inside the original U-net are replaced by DenseBlocks. This model possesses two input channels, thus allowing the time–frequency feature of the interference and that of the interference–target mixture to be fed simultaneously. With supervised learning, the model is capable of eliminating the strong interference components and background noise from the superimposed spectrum, thereby producing a purified target line spectrum. Compared to traditional interference suppression methods, this approach offers higher feature accuracy and greater signal-to-interference-and-noise ratio (SINR) gain. Moreover, the model is trainable using simulation datasets and then deployed to real-world measurements, demonstrating strong generalization capabilities—a valuable property given the limited availability of labeled samples in underwater detection tasks. Being data-driven, this method operates without requiring prior assumptions about the array configuration, and consequently exhibits greater resilience to array imperfections relative to conventional model-based interference suppression techniques. Simulation and experimental results demonstrate that the proposed method achieves an output SINR improvement of more than 8 dB under low SINR conditions and exhibits significantly better robustness to array position errors than conventional methods, verifying its excellent line spectrum purification capability. Full article
(This article belongs to the Section Ocean Engineering)
Show Figures

Figure 1

37 pages, 1309 KB  
Systematic Review
Black Sea Planktonic Organisms as Bioindicators for Biological Early Warning Systems: A Systematic Review
by Iuliia Baiandina, Aleksandr Grekov and Elena Vyshkvarkova
Water 2026, 18(8), 899; https://doi.org/10.3390/w18080899 (registering DOI) - 9 Apr 2026
Abstract
This is the first systematic review evaluating Black Sea plankton as biosensor organisms for Biological Early Warning Systems (BEWS)—real-time monitoring approaches that detect sublethal behavioral or physiological responses to pollutants before irreversible ecosystem damage occurs. The systematic literature review was guided by the [...] Read more.
This is the first systematic review evaluating Black Sea plankton as biosensor organisms for Biological Early Warning Systems (BEWS)—real-time monitoring approaches that detect sublethal behavioral or physiological responses to pollutants before irreversible ecosystem damage occurs. The systematic literature review was guided by the PRISMA (Preferred Reporting Items for Systematic Reviews and Meta-Analyses) approach, ensuring methodological transparency and applicability. A total of 140 publications from databases (Web of Science Core Collection, Scopus, PubMed, and Google Scholar databases) were included in the final analysis. We assess nine native planktonic taxa as candidates for automated video-based water quality monitoring, using a multi-criteria framework encompassing biological sensitivity, technical detectability, and practical feasibility. Three species emerge as the most suitable candidates: Aurelia aurita as a universal indicator (sensitive to copper, surfactants, petroleum, and microplastics; its large size enables standard video detection); Acartia tonsa for trace contamination (reproductive toxicity at metal concentrations 4–33× below regulatory standards); and Mnemiopsis leidyi for metal-specific discrimination (bioluminescent responses: 650% Zn, 430% Cu, and 350% Hg at 0.001 mg/L). Analysis of 140 publications reveals critical gaps: 33% of species lack toxicological data, 95% of studies test single toxicants despite natural mixture exposure, and microplastic methodology varies 1000-fold in particle size. Threshold analysis suggests planktonic sublethal stress at “safe” concentrations under current standards, suggesting inadequate protection of marine food webs. A complementary monitoring approach integrating these species with computer vision algorithms offers autonomous early-warning capability for Black Sea environmental management. Full article
(This article belongs to the Section Biodiversity and Functionality of Aquatic Ecosystems)
Show Figures

Figure 1

18 pages, 4140 KB  
Article
Effect of Diet Supplemented with Nano-Selenium on Reproductive Performance, and Sexual Hormones, Pathological Response of Nile Tilapia (Oreochromis niloticus)
by Hualiang Liang, Mingchun Ren, Ahmed Mohamed Aboseif, Enas A. Ramadan, Ramadan M. Abou Zied, Mohamed F. Sadek and Junjie Qin
Animals 2026, 16(8), 1142; https://doi.org/10.3390/ani16081142 (registering DOI) - 9 Apr 2026
Abstract
This research aimed to examine the effects of different dietary levels of nano-selenium (NSE) on the reproductive performance, gonad hormones, histopathology, growth performance, feed utilization, and body indices in adult Nile tilapia, Oreochromis niloticus, broodstock for 90 days. The initial weights of [...] Read more.
This research aimed to examine the effects of different dietary levels of nano-selenium (NSE) on the reproductive performance, gonad hormones, histopathology, growth performance, feed utilization, and body indices in adult Nile tilapia, Oreochromis niloticus, broodstock for 90 days. The initial weights of the fish were 278.6 ± 5.5 (males) and 178.4 ± 1.6 (females). They were distributed randomly to 15 tanks with 20 fish in each tank (15 females and 5 males, sex ratio 3:1), with each treatment conducted with three replicates. The contents of NSE in five isocaloric and isonitrogenous practical feeds were 0 mg/kg (control), 1 mg/kg (T1), 2 mg/kg (T2), 3 mg/kg (T3), and 4 mg/kg (T4). Results show that the final weight (FW), weight gain (WG), specific growth rate (SGR), protein efficiency ratio (PER), and feed conversion ratio (FCR) were significantly better in T2 and T1, followed by the control, in comparison with others. On the other hand, growth efficiency was decreased in T3 and T4 of both males and females. Referring to body indices and reproductive performance, females were higher than males in the hepatosomatic index (HSI), where the lowest treatment was the control and T4 for both males and females. Female Nile tilapia brood fish given NSE improved reproductive performance indicators (egg number, total egg, and fry number) when compared with the control. With increasing levels of NSE in the feed, the levels of testosterone and progesterone hormones were increased. The highest values for testosterone were in T4, followed by T3, then T2, T1, and the control. The same trend was observed across the progesterone treatments. Additionally, the results of histopathological examination indicate differences in tissues between different treatments as a result of the addition of NSE. These results indicate that NSE supplementation at low levels could lead to improved growth and reproductive efficiency of Nile tilapia. Full article
(This article belongs to the Special Issue Advances in Fish Reproduction and Development)
Show Figures

Graphical abstract

34 pages, 3344 KB  
Article
Evaluating Fare Structure with Best–Worst Method for Improving Sustainable Transit Operations: Istanbul Metro Example
by Ömer Murat Urhan and Mustafa Gürsoy
Sustainability 2026, 18(8), 3715; https://doi.org/10.3390/su18083715 (registering DOI) - 9 Apr 2026
Abstract
Public transportation (PT) is key to breaking the vicious cycle of private vehicles, a critical sustainability challenge in developing countries. The increase in population raises the number of private cars, and this trend continues. PT plays a vital role in reducing car use, [...] Read more.
Public transportation (PT) is key to breaking the vicious cycle of private vehicles, a critical sustainability challenge in developing countries. The increase in population raises the number of private cars, and this trend continues. PT plays a vital role in reducing car use, traffic congestion, and environmental pollution. Fare is crucial to the system’s ability to encourage passengers to use PT. It affects mobility, the quality of life, and the sustainability of the system. This study aims to examine Istanbul’s optimal fare system using the BWM (Best–Worst Method) for PT fare for the first time. Furthermore, it is the first study to compare fare structures and criteria for Istanbul, Europe’s second-largest city, where transportation affects quality of life. The most frequently used fare structures and criteria in the literature and practice were weighted by experts using BWM surveys for the Istanbul Metro. The results show that distance-based fare (DBF) (43.7%) is the best fare structure, while flat fare (FF) (12.2%) is the weakest. For the criteria weightings, benefit received (24.4%) and social equity (22.7%) are seen as superior. Finally, the impact of the criterion on the fare structure was demonstrated through analysis, and its importance for experts in evaluating PT was highlighted. Full article
Show Figures

Figure 1

27 pages, 6134 KB  
Article
SHAP-Based Insights into Environmental and Economic Performance of a Shower Heat Exchanger Under Unbalanced Flow Conditions: A Feasibility Study
by Sabina Kordana-Obuch and Mariusz Starzec
Energies 2026, 19(8), 1845; https://doi.org/10.3390/en19081845 (registering DOI) - 9 Apr 2026
Abstract
Heat recovery from greywater is one solution for improving the energy efficiency of buildings and reducing greenhouse gas emissions. Particular attention is paid to systems utilizing heat from shower water, which, due to its high temperature and regularity, represents a promising energy source. [...] Read more.
Heat recovery from greywater is one solution for improving the energy efficiency of buildings and reducing greenhouse gas emissions. Particular attention is paid to systems utilizing heat from shower water, which, due to its high temperature and regularity, represents a promising energy source. However, the interplay of parameters determining the financial and environmental effectiveness of such a solution has not yet been fully explored. Therefore, the aim of this paper was to identify key variables influencing the feasibility of using a shower heat exchanger operating under unbalanced flow conditions and to assess the consistency between financial and environmental effects. The analyzed net present values ranged from −€1381 to €52,168. Greenhouse gas emission reduction values ranged between 61 kgCO2e and 37,207 kgCO2e. The analysis was conducted using predictive modeling and the SHAP (SHapley Additive exPlanations) method, which allows for the interpretation of the impact of individual variables on the forecasted net present value and potential greenhouse gas emission reduction. A global analysis was carried out to determine the relative importance of variables, as well as a local analysis for selected cases. The results showed that operational variables related to shower use, particularly shower length and mixed water flow rate, significantly influenced the prediction results of both models. In the case of emission reduction, greenhouse gas emission intensity and its change over time also had a significant impact, whilst the financial effects were determined by the energy price from the perspective of the subsequent years of the system’s operation. Full article
Show Figures

Figure 1

6 pages, 307 KB  
Article
On Subdivision of Cycles with Two Blocks in Chromatic Digraphs Spanned by Hamiltonian Directed Paths
by Salman Ghazal and Steve Karam
Mathematics 2026, 14(8), 1248; https://doi.org/10.3390/math14081248 (registering DOI) - 9 Apr 2026
Abstract
Let C be an oriented cycle with two blocks and let n denote the number of its vertices. We show that every (n+2)-chromatic digraph spanned by a Hamiltonian directed path contains a subdivision of C. This bound is tight. Full article
(This article belongs to the Special Issue Advances in Graph Theory and Graph Coloring)
Show Figures

Figure 1

Open Access Journals

Browse by Indexing Browse by Subject Selected Journals
Back to TopTop