Advancing Open Science
Supporting academic communities
since 1996
 
33 pages, 2020 KB  
Article
Machine Learning, Thematic Feature Grouping, and the Magnificent Seven: A Forecasting Analysis
by Mirarmia Jalali, Mohammad Najand and Andrew Cohen
J. Risk Financial Manag. 2026, 19(4), 274; https://doi.org/10.3390/jrfm19040274 (registering DOI) - 9 Apr 2026
Abstract
This study examines the predictability of monthly excess returns for the “Magnificent Seven” U.S. technology firms using machine learning and economically motivated thematic feature grouping. Framed as a focused study of the most systemically consequential equity panel in modern markets—seven firms representing over [...] Read more.
This study examines the predictability of monthly excess returns for the “Magnificent Seven” U.S. technology firms using machine learning and economically motivated thematic feature grouping. Framed as a focused study of the most systemically consequential equity panel in modern markets—seven firms representing over 30% of the S&P 500—the analysis confronts a small-N, large-P environment where economically structured dimensionality reduction is essential. Using 154 firm-level characteristics categorized into 13 economic themes, we evaluate linear, penalized, tree-based, and neural network models in a small-N, large-P setting. Unrestricted models suffer substantial overfitting and fail to outperform the historical average benchmark out-of-sample. In contrast, theme-based models generate economically meaningful and regime-dependent predictive gains. Short-Term Reversal and seasonality exhibit stronger expansion-period predictability, while size and profitability perform better during recessions. Regularized linear models provide the most stable performance in limited-data environments, whereas nonlinear ensemble methods improve only when training windows are extended. The findings underscore the importance of economically structured dimensionality reduction and adaptive factor allocation in managing concentration risk among systemically important mega-cap firms. Full article
(This article belongs to the Section Financial Markets)
Show Figures

Figure 1

14 pages, 651 KB  
Article
Decisions Beyond Data: Narrative Reporting Practices in Decision-Making
by Tamás Zelles, Bernadett Domokos and Sándor Remsei
Adm. Sci. 2026, 16(4), 181; https://doi.org/10.3390/admsci16040181 (registering DOI) - 9 Apr 2026
Abstract
Leaders and managers frequently face the need to make highly complex decisions with incomplete or fragmented information. Traditional decision support systems largely emphasize the visualization of data but often fall short in producing context-sensitive insights that can directly inform decision-making. This paper examines [...] Read more.
Leaders and managers frequently face the need to make highly complex decisions with incomplete or fragmented information. Traditional decision support systems largely emphasize the visualization of data but often fall short in producing context-sensitive insights that can directly inform decision-making. This paper examines how narrative techniques combined with machine learning can strengthen communication across organizational hierarchies, particularly by improving the transfer of tacit expertise and contextual knowledge. To explore this, a transdisciplinary literature review was conducted using articles published within the last five years from databases such as Scopus, Web of Science, and ScienceDirect. The review highlights that narrative-driven reporting has been most commonly applied in fields such as accounting and sustainability, where expert interpretation replaces purely numerical summaries with more meaningful analytical explanations. Such approaches can also embed sentiment and personalization, commonly referred to as Narrative Disclosure Tone. Building on this foundation, the study investigates how Artificial Intelligence-driven decision support can formally integrate narrative elements to enhance report clarity, usability, and strategic relevance. Findings suggest that combining machine learning with expert-driven narrative reporting supports more innovative decision support systems and facilitates the alignment of tacit knowledge with data-driven insights. Full article
(This article belongs to the Section Leadership)
Show Figures

Figure 1

24 pages, 3523 KB  
Article
Assessment of the Safety and Potential Probiotic Properties of Lactiplantibacillus plantarum LP28 Based on Whole Genome Sequencing and Phenotypic and Oral Toxicity Analyses
by Yi-Chu Liao, Yi-Chen Cheng, Chia-Chia Lee, Han-Yin Hsu, Yun-Fang Cheng, Shih-Hsuan Lin, Jin-Seng Lin, San-Land Young and Koichi Watanabe
Microorganisms 2026, 14(4), 843; https://doi.org/10.3390/microorganisms14040843 (registering DOI) - 9 Apr 2026
Abstract
Lactiplantibacillus plantarum LP28 (LP28), isolated from traditional Taiwanese dried tofu, has been demonstrated to have substantial probiotic potential because it increases the production of short-chain fatty acids (SCFAs) and strengthens anti-inflammatory responses. In this study, the safety of LP28 was assessed using both [...] Read more.
Lactiplantibacillus plantarum LP28 (LP28), isolated from traditional Taiwanese dried tofu, has been demonstrated to have substantial probiotic potential because it increases the production of short-chain fatty acids (SCFAs) and strengthens anti-inflammatory responses. In this study, the safety of LP28 was assessed using both in vitro and in vivo approaches, including whole-genome sequence analysis, the Ames bacterial reverse mutation assay, a chromosomal aberration test, a rodent peripheral blood micronucleus test, a 28-day subacute oral toxicity assay, and an assessment of hemolytic activity. In vitro phenotypic evaluation revealed that LP28 exhibited no hemolytic activity and was susceptible to all the tested antibiotics except kanamycin. In vivo assessments revealed no significant alterations in reticulocyte counts or micronuclei incidence in ICR mice, and SD rats exhibited no subacute toxicity at an oral LP28 dosage of 2000 mg/kg body weight/day for 28 days. Moreover, a whole-genome sequence analysis of LP28 revealed the absence of antimicrobial resistance genes, harmful virulence factors, and genes associated with biogenic amine synthesis. Additionally, the presence of genes involved in stress responses (e.g., acid, bile salt, heat, osmotic, and oxidative stresses) and adhesion-related genes was confirmed. Furthermore, LP28 contains six genes (plnA, plnE, plnF, plnJ, plnK, and plnN) that encode bacteriocin precursor peptides, suggesting the potential for enhanced probiotic effects through the production of antimicrobial plantaricins. These findings highlight the potential of LP28 as a safe and effective probiotic for human consumption. Full article
(This article belongs to the Special Issue Microbial Safety and Beneficial Microorganisms in Foods, 2nd Edition)
Show Figures

Figure 1

11 pages, 715 KB  
Article
Network-Level Time-of-Day Boundary Optimization for Urban Signal Control Based on Traffic Detector Data
by Ji-yeong Seo and Seon-ha Lee
Appl. Sci. 2026, 16(8), 3658; https://doi.org/10.3390/app16083658 (registering DOI) - 9 Apr 2026
Abstract
Although time-of-day (TOD) signal operation is widely adopted in urban signal control systems, its boundary settings are often determined empirically without systematic validation. This study presents a network-level, data-driven framework for optimizing TOD boundaries using citywide traffic detector data. One-year traffic volume data [...] Read more.
Although time-of-day (TOD) signal operation is widely adopted in urban signal control systems, its boundary settings are often determined empirically without systematic validation. This study presents a network-level, data-driven framework for optimizing TOD boundaries using citywide traffic detector data. One-year traffic volume data collected at 15-min intervals from vehicle detection systems in Daejeon, South Korea, were aggregated to construct a representative daily demand profile. K-means clustering was employed to identify homogeneous temporal traffic states, and candidate TOD boundaries were derived based on cluster transitions. To ensure operational feasibility, a minimum segment length constraint was incorporated. The optimal number of clusters was determined using the silhouette score, resulting in a three-period TOD structure. Compared with a conventional fixed TOD configuration, the proposed approach reduced intra-segment variability by 34.87% in terms of sum of squared errors (SSE) and significantly lowered root mean squared error (RMSE). The results demonstrate that clustering-based TOD boundary optimization enhances temporal homogeneity while maintaining practical applicability for network-level urban signal control. Full article
(This article belongs to the Section Transportation and Future Mobility)
Show Figures

Figure 1

26 pages, 2670 KB  
Article
A Method for Solving the Monge–Kantorovich Problem Using an Automaton and Wavelet Analysis
by Armando Sánchez-Nungaray, Marcelo Pérez-Medel, Carlos González-Flores, Raquiel R. López-Martínez and Martín Solís-Pérez
Math. Comput. Appl. 2026, 31(2), 58; https://doi.org/10.3390/mca31020058 (registering DOI) - 9 Apr 2026
Abstract
This article introduces an automaton designed to improve feasible solutions to the Monge–Kantorovich (MK) problem, particularly effective when the cost function is continuous. To enhance its performance, a good initial solution is obtained using the discrete wavelet transform. Specifically, a transportation problem is [...] Read more.
This article introduces an automaton designed to improve feasible solutions to the Monge–Kantorovich (MK) problem, particularly effective when the cost function is continuous. To enhance its performance, a good initial solution is obtained using the discrete wavelet transform. Specifically, a transportation problem is solved where the cost matrix is composed of the approximation coefficients of the transform, reducing the number of variables to one quarter of the original discrete problem. The solution to this reduced problem is extended using the detail coefficients, yielding a feasible solution to the original problem. This solution serves as the initial state of the tuning automaton, whose final states provide approximations to the optimal solution of the transportation problem. Full article
(This article belongs to the Section Natural Sciences)
Show Figures

Figure 1

28 pages, 10121 KB  
Review
Current Unsolved Problems in Planetary Nebulae Research
by Sun Kwok, Bruce Balick, You-Hua Chu, Bruce J. Hrivnak, Alberto López, Quentin Parker, Raghvendra Sahai and Albert Zijlstra
Galaxies 2026, 14(2), 30; https://doi.org/10.3390/galaxies14020030 (registering DOI) - 9 Apr 2026
Abstract
While there has been significant progress in our understanding of the origin and evolution of planetary nebulae in the last 50 years, there remain several unsolved problems. These include the true 3D morphological structure of the nebulae, origin of multipolar nebulae, the dust [...] Read more.
While there has been significant progress in our understanding of the origin and evolution of planetary nebulae in the last 50 years, there remain several unsolved problems. These include the true 3D morphological structure of the nebulae, origin of multipolar nebulae, the dust and molecular distribution relative to the optical nebulosity, large-scale structures outside of the main nebulae, the relevance of binarity to planetary nebulae evolution, and a precise definition of the planetary nebula phenomenon. The long-standing problem of elemental abundance discrepancy still remains unsolved. In this paper, we summarize current observations related to these problems and present possible future directions to tackle them. Full article
(This article belongs to the Special Issue Origins and Models of Planetary Nebulae, 2nd Edition)
Show Figures

Figure 1

13 pages, 2059 KB  
Article
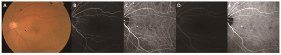
Five-Year Changes in Pachydrusen with Late-Phase Hyperfluorescence on Indocyanine Green Angiography
by Hiroyuki Kamao, Katsutoshi Goto, Kenichi Mizukawa, Ryutaro Hiraki, Atsushi Miki and Shuhei Kimura
J. Clin. Med. 2026, 15(8), 2836; https://doi.org/10.3390/jcm15082836 (registering DOI) - 9 Apr 2026
Abstract
Background/Objectives: Pachydrusen are a drusen subtype associated with the pachychoroid disease spectrum; however, their long-term natural history and pathophysiological significance remain unclear. We investigated 5-year morphological and topographic changes in pachydrusen using diagnostic criteria incorporating late-phase indocyanine green angiography (ICGA) hyperfluorescence. Methods: This [...] Read more.
Background/Objectives: Pachydrusen are a drusen subtype associated with the pachychoroid disease spectrum; however, their long-term natural history and pathophysiological significance remain unclear. We investigated 5-year morphological and topographic changes in pachydrusen using diagnostic criteria incorporating late-phase indocyanine green angiography (ICGA) hyperfluorescence. Methods: This retrospective observational study included fellow eyes with pachydrusen from patients with unilateral neovascular age-related macular degeneration. Pachydrusen were defined as sub-retinal pigment epithelium (RPE) deposits ≥ 125 µm in size with corresponding hyperfluorescence on late-phase ICGA. Lesion number, size, and spatial distribution (ETDRS grid and quadrant-based classification) were evaluated at baseline and 5 years. The incidence of macular neovascularization (MNV) and its colocalization with pachydrusen were assessed. Results: Among 57 fellow eyes with pachydrusen, incident MNV developed in 8 eyes (14.0%) during follow-up; the mean time to onset was 25.6 ± 16.3 months. No clear colocalization between pachydrusen and incident MNV was observed. Nineteen eyes completed the 5-year follow-up period. Pachydrusen were predominantly located outside the 6000 µm ETDRS grid at baseline (63.4%) and 5 years (66.3%), significantly exceeding the expected proportion based on the area ratio (p < 0.001). The lesions were most frequently observed in the superotemporal quadrant (52.6%). Over 5 years, 19.8% of the lesions increased in size, 67.2% remained stable, and 12.9% regressed; none of the regressed lesions were accompanied by RPE atrophy. Conclusions: Pachydrusen, defined as late-phase ICGA hyperfluorescence, was predominantly distributed outside the ETDRS grid with a superotemporal predilection and could increase or decrease over a 5-year follow-up period. No colocalization with MNV was observed, and no accompanying RPE atrophy after pachydrusen regression was identified, suggesting that late-phase ICGA–hyperfluorescent pachydrusen may represent a pathophysiology distinct from that of soft drusen. Full article
Show Figures

Figure 1

16 pages, 303 KB  
Article
Virtual Reality and the Sense of Belonging Among Distance Learners: A Study on Peer Relationships in Higher Education
by David Košatka, Alžběta Šašinková, Markéta Košatková, Tomáš Hunčík and Čeněk Šašinka
Virtual Worlds 2026, 5(2), 17; https://doi.org/10.3390/virtualworlds5020017 (registering DOI) - 9 Apr 2026
Abstract
Distance learners in higher education are often assumed to face limited peer interaction, potentially weakening their sense of belonging. This study examines peer relationships and belonging among students in distance and blended university programs, with attention to the role of virtual reality (VR) [...] Read more.
Distance learners in higher education are often assumed to face limited peer interaction, potentially weakening their sense of belonging. This study examines peer relationships and belonging among students in distance and blended university programs, with attention to the role of virtual reality (VR) within digitally mediated learning environments. Immersive VR teaching is included in the curriculum for distance learning students in the studied programs. Using a mixed-methods design, survey data and open-ended responses were collected from 17 students in Information Studies and Information Service Design. An adapted Classroom Community Scale was supplemented with items addressing the perceived contribution of different communication technologies. Contrary to expectations, fully distance learners did not report weaker agreement with statements reflecting belonging than blended students; on several items, they expressed stronger agreement, particularly regarding perceived peer support and learning opportunities. Results indicate that conventional 2D communication tools, particularly chats and video calls, are central to sustaining peer relationships. VR was not perceived as essential but described by some students as an added value supporting shared experience and group cohesion. Overall, belonging emerges as a socio-technical achievement shaped by communication practices rather than physical proximity. Full article
26 pages, 2531 KB  
Article
Underwater Acoustic Source DOA Estimation for Non-Uniform Circular Arrays Based on EMD and PWLS Correction
by Chuang Han, Boyuan Zheng and Tao Shen
Symmetry 2026, 18(4), 627; https://doi.org/10.3390/sym18040627 (registering DOI) - 9 Apr 2026
Abstract
Uniform circular arrays (UCAs) are widely used in underwater source localization due to their omnidirectional coverage. However, random sensor position errors caused by installation inaccuracies and environmental disturbances convert UCAs into non-uniform circular arrays (NCAs), severely degrading the performance of high-resolution direction of [...] Read more.
Uniform circular arrays (UCAs) are widely used in underwater source localization due to their omnidirectional coverage. However, random sensor position errors caused by installation inaccuracies and environmental disturbances convert UCAs into non-uniform circular arrays (NCAs), severely degrading the performance of high-resolution direction of arrival (DOA) estimation algorithms. To address this issue, this paper proposes a robust DOA estimation method that integrates empirical mode decomposition (EMD) denoising with prior-weighted iterative least squares (PWLS) correction. The method first applies EMD to adaptively denoise received signals by selecting intrinsic mode functions based on a combined energy-correlation criterion. An initial DOA estimate is then obtained using the MUSIC algorithm. Finally, a PWLS correction algorithm leverages prior knowledge of deviated sensors to iteratively fit the circle center and gradually pull sensor positions toward the ideal circumference, using a differentiated relaxation mechanism to suppress outliers while preserving geometric features. Systematic Monte Carlo simulations compare five correction algorithms under multi-frequency and wideband signals. The results show that both multi-frequency and wideband signals reduce estimation errors to below 0.1°, with the proposed PWLS achieving the best accuracy under multi-frequency signals, while all algorithms approach zero error under wideband signals. The PWLS algorithm converges in about 10 iterations with high computational efficiency, providing a reliable solution for practical underwater NCA applications. Full article
(This article belongs to the Section Engineering and Materials)
Show Figures

Figure 1

71 pages, 3197 KB  
Systematic Review
Applications of Artificial Intelligence in Renewable Energy Transition: A Systematic Literature Review
by Shahbaz Ahmad Saadi, Dhanashree Katekhaye and Róbert Magda
Energies 2026, 19(8), 1839; https://doi.org/10.3390/en19081839 (registering DOI) - 9 Apr 2026
Abstract
The renewable energy transition is a central component of global strategies to mitigate climate change and achieve sustainable development. However, the large-scale integration of renewable energy sources introduces significant challenges related to variability, system complexity, and operational efficiency. In recent years, artificial intelligence [...] Read more.
The renewable energy transition is a central component of global strategies to mitigate climate change and achieve sustainable development. However, the large-scale integration of renewable energy sources introduces significant challenges related to variability, system complexity, and operational efficiency. In recent years, artificial intelligence (AI) has emerged as a promising enabler for addressing these challenges through advanced data-driven forecasting, optimization, and decision-support capabilities. This study presents a systematic bibliometric and thematic review of peer-reviewed research on AI applications in the renewable energy transition published between 2015 and 2025, and was conducted following the PRISMA framework. Using the Scopus database, a total of 595 journal articles were analyzed through bibliometric performance indicators, network analysis, and thematic synthesis. The results reveal a rapidly growing and highly collaborative research field, characterized by strong international co-authorship and increasing methodological diversity. Early research predominantly focused on prediction and forecasting tasks, while more recent studies emphasize system-level optimization, energy management, and integrative AI applications across renewable technologies. The review further highlights key research trends, conceptual framing, and methodological orientations shaping the field. By consolidating dispersed literature and mapping its evolution, this study provides a structured overview that supports future research, policy development, and practical implementation of AI-enabled solutions for a sustainable energy transition. Full article
Show Figures

Figure 1

17 pages, 4328 KB  
Article
Influence of Cooling Rate During β Annealing on the Microstructure and Properties of Ti55531 Titanium Alloy
by Xiaoyuan Yuan, Shun Han, Yuxian Cao, Leilei Li, Xinyang Li, Ruming Geng, Simin Lei, Jianguo Wang, Chunxu Wang and Yong Li
Materials 2026, 19(8), 1486; https://doi.org/10.3390/ma19081486 (registering DOI) - 9 Apr 2026
Abstract
As a high-performance lightweight structural material with superior strength, Ti55531 titanium alloy has been widely adopted in critical load-bearing components such as landing gears and airframe frames in the aerospace sector to achieve significant weight reduction. However, when the tensile strength of Ti55531 [...] Read more.
As a high-performance lightweight structural material with superior strength, Ti55531 titanium alloy has been widely adopted in critical load-bearing components such as landing gears and airframe frames in the aerospace sector to achieve significant weight reduction. However, when the tensile strength of Ti55531 exceeds 1250 MPa, the fracture toughness typically falls below 50 MPa·m1/2. In this study, we addressed this challenge by precisely controlling the cooling rate during β annealing heat treatment. Through careful regulation of the cooling rate from the high-temperature β phase region to the aging temperature region, the Widmanstätten structure was successfully introduced into the Ti55531 titanium alloy. The experimental results demonstrate that this microstructure achieves a high tensile strength of 1252 MPa at a cooling rate of 2.5 °C/min, while simultaneously improving the elongation and fracture toughness to 9% and 84 MPa·m1/2, respectively. Microstructural analysis reveals that the basket-weave structure plays a crucial role in maintaining high strength. Meanwhile, the Widmanstätten structure effectively increases the energy required for crack extension by resisting crack propagation and altering the crack propagation path, thus significantly enhancing fracture toughness. These findings offer a promising pathway for overcoming the traditional trade-off between strength and toughness in high-performance titanium alloys. Full article
(This article belongs to the Section Metals and Alloys)
Show Figures

Graphical abstract

10 pages, 746 KB  
Article
Accessibility of Biologic Drugs in Morocco: Comparison with FDA and EMA Approvals (2015–2025)
by Mounir Charrak, Yahia Cherrah and Samira Serragui
J. Mark. Access Health Policy 2026, 14(2), 21; https://doi.org/10.3390/jmahp14020021 (registering DOI) - 9 Apr 2026
Abstract
This study aims to evaluate the rates and timeframes of the availability and reimbursement of biologic drugs in Morocco, after approval by the Food and Drug Administration (FDA) or the European Medicines Agency (EMA). The results will help to identify disparities in access [...] Read more.
This study aims to evaluate the rates and timeframes of the availability and reimbursement of biologic drugs in Morocco, after approval by the Food and Drug Administration (FDA) or the European Medicines Agency (EMA). The results will help to identify disparities in access and promote rapid access to these innovative treatments. This descriptive study established an international reference list of biological medicines, based on data from the FDA and EMA for the period from 2015 to 2025. An analysis was conducted using national sources, focusing on the availability, reimbursement rates, and timeframes for each listed biological drug. Of the 233 listed biological drugs, only 13.7% (32/233) of those approved between 2015 and 2025 are available in Morocco. Of these, 87.5% (28/32) have been priced, and only 10.7% (3/28) have been approved for reimbursement. The average time between FDA/EMA approval and pricing in Morocco is 3.75 years and 3.41 years, respectively, while the average reimbursement approval time is 2.74 years. This study highlights the delay and limited access for Moroccan patients to internationally approved biologic drugs. Full article
Show Figures

Figure 1

27 pages, 16255 KB  
Article
Biophilic Strategies for Sustainable Educational Buildings in Amazonian Rural Contexts: An Agricultural School for the Asheninka Community
by Doris Esenarro, Jamil Perez, Anthony Navarro, Ronaldo Ricaldi, Jesica Vilchez Cairo, Karina Milagros Alvarado Perez, Duilio Aguilar Vizcarra and Jenny Rios Navio
Architecture 2026, 6(2), 58; https://doi.org/10.3390/architecture6020058 (registering DOI) - 8 Apr 2026
Abstract
In recent decades, the Ucayali region, the main territory of the Asheninka communities, has experienced increasing socio-environmental pressures associated with climate change, educational inequality, and territorial vulnerability in rural and indigenous contexts. In response, this research proposes the design of a sustainable agricultural [...] Read more.
In recent decades, the Ucayali region, the main territory of the Asheninka communities, has experienced increasing socio-environmental pressures associated with climate change, educational inequality, and territorial vulnerability in rural and indigenous contexts. In response, this research proposes the design of a sustainable agricultural school for the Asheninka community, conceived as an educational building that integrates biophilic strategies to enhance environmental performance and spatial quality. The methodological approach comprises a literature review, site-specific environmental analysis based on hydrometeorological data, and the development of an architectural proposal focused on sustainable building design. Digital tools such as Revit and SketchUp were employed alongside official climatic data sources to support design decision-making. The proposal includes twelve biophilic agricultural classrooms incorporating passive design strategies, rainwater harvesting systems with a capacity of 22.5 m3 per day per classroom, and photovoltaic-powered public lighting systems. Results indicate that the integration of natural ventilation, green infrastructure, and locally sourced materials contributes to significant improvements in thermal comfort, humidity control, and energy autonomy within the educational facilities. The architectural complex is complemented by green corridors and collective open spaces that reinforce environmental performance at the site scale. This study demonstrates that sustainable educational buildings adapted to local ecosystems and climatic conditions can function as effective infrastructures for environmental mitigation and resilient rural development, contributing to more sustainable forms of urban and rural living. Full article
Show Figures

Figure 1

25 pages, 2222 KB  
Article
Characterization and Agromorphological Variation in 27 Accessions of Chenopodium quinoa Within the Arid Coastal Zone of Peru
by Lady E. Checmapocco-Conza, Fredy L. Huamani-Aymara, Alberto Anculle-Arena, José L. Bustamante-Muñoz, Eric N. Jellen and Mayela Elizabeth Mayta-Anco
Plants 2026, 15(8), 1147; https://doi.org/10.3390/plants15081147 (registering DOI) - 8 Apr 2026
Abstract
Quinoa is an Andean crop with wide genetic variability, including the capacity to adapt to various environmental conditions, which is essential for improving its yield and quality. The present work sought to characterize and agromorphologically evaluate 27 accessions of quinoa and the commercial [...] Read more.
Quinoa is an Andean crop with wide genetic variability, including the capacity to adapt to various environmental conditions, which is essential for improving its yield and quality. The present work sought to characterize and agromorphologically evaluate 27 accessions of quinoa and the commercial cultivar ‘Salcedo INIA’ (SAL) for 28 qualitative and 25 quantitative variables. The results show that, on average, maturity occurred at 120 days after sowing (DAS), with a range of 105 DAS (ACC 50) to 132 DAS (ACC 35, ACC 37, ACC 43 and SAL). Grain diameter varied between 2.39 and 1.92 mm, with ACC 29 and the SAL control having the largest seed. The percentage of saponin varied between 0.210 and 0.089%, with ACC 43 having the lowest percentage. The severity of mildew infection varied between 17.22% and 1.22%, with ACC 50 being the most resistant genotype. Grain yield ranged from 5.60 (ACC 33) to 2.44 (ACC 42) t ha−1. Genotypes ACC 29 and ACC 50 had the highest selection index (SI) values, at 1.10 and 1.01, respectively, being notable for their earliness, short stature, low saponin content, and seed productivity. Full article
Show Figures

Figure 1

29 pages, 3165 KB  
Review
Thermal and Dynamic Behavior of Anaerobic Digesters Under Neotropical Conditions: A Review
by Ricardo Rios, Nacari Marin-Calvo and Euclides Deago
Energies 2026, 19(8), 1838; https://doi.org/10.3390/en19081838 (registering DOI) - 8 Apr 2026
Abstract
Anaerobic digesters operating under neotropical conditions face significant technological constraints. High humidity, intense solar radiation, and pronounced diurnal temperature variations increase conductive, convective, and radiative heat losses. These factors reduce internal thermal stability and directly affect methane production rates and overall energy efficiency. [...] Read more.
Anaerobic digesters operating under neotropical conditions face significant technological constraints. High humidity, intense solar radiation, and pronounced diurnal temperature variations increase conductive, convective, and radiative heat losses. These factors reduce internal thermal stability and directly affect methane production rates and overall energy efficiency. As a result, thermal instability becomes a recurrent operational bottleneck in biogas plants without active temperature control. This review examines the thermal and dynamic behavior of anaerobic reactors from a process-engineering perspective. It integrates energy balances, heat-transfer mechanisms, and computational fluid dynamics (CFD) modeling. The combined effects of temperature gradients, hydrodynamic mixing patterns, and structural material properties are analyzed to determine their influence on thermal homogeneity, microbial stability, and methane yield consistency under mesophilic conditions. Technological strategies to mitigate thermal losses are evaluated. These include passive insulation using low-conductivity materials, geometry optimization supported by numerical modeling, and thermal recirculation schemes, as these factors govern temperature distribution and process resilience. Current limitations are also discussed, particularly the frequent decoupling between ADM1-based kinetic models and transient heat-transfer analysis. This separation restricts predictive capability under real-scale diurnal temperature oscillations. The development and validation of coupled hydrodynamic–thermal–biokinetic models under fluctuating neotropical boundary conditions are proposed as critical steps. Such integrated approaches can enhance operational stability, ensure consistent methane production, and improve energy self-sufficiency in organic waste valorization systems. Full article
Show Figures

Figure 1

13 pages, 757 KB  
Article
Simplifying the Diagnosis of Vertical Diplopia: Is It Skew or Not?
by Anas Igbariye, Noa Hadar, Basel Obied, Adi Berco, Alon Zahavi, Inbal Man Peles and Nitza Goldenberg-Cohen
J. Eye Mov. Res. 2026, 19(2), 37; https://doi.org/10.3390/jemr19020037 (registering DOI) - 8 Apr 2026
Abstract
Ocular tilt reaction (OTR) and trochlear nerve palsy (TNP) can induce cyclotorsion. We aimed to assess the utility of fundus photography in distinguishing between these disorders. The database of a neuro-ophthalmology hospital-based clinic was retrospectively searched for patients referred for new-onset vertical diplopia [...] Read more.
Ocular tilt reaction (OTR) and trochlear nerve palsy (TNP) can induce cyclotorsion. We aimed to assess the utility of fundus photography in distinguishing between these disorders. The database of a neuro-ophthalmology hospital-based clinic was retrospectively searched for patients referred for new-onset vertical diplopia between 2020 and 2023. Medical data were collected, and the angle between the optic disc and fovea was measured using ImageJ software to quantify torsion. Distinct torsional patterns were identified between the groups. OTR was characterized by variable, often conjugate torsion, whereas TNP demonstrated consistent disconjugate extorsion. Analysis of interocular torsional relationships, rather than magnitude alone, provided useful diagnostic discrimination. Fundus photography may be useful for differentiating OTR from TNP in complicated neurological cases, particularly in patients who are difficult to examine. This study emphasizes the practical clinical value of fundus photography as a simple, accessible, and objective tool for differentiating OTR from TNP, by contributing the torsional component of OTR triad, particularly in emergency or diagnostically challenging settings where standard examination may be limited. Full article
Show Figures

Figure 1

25 pages, 23995 KB  
Article
Land-Use Regulations and Ecological Risk in Island Ecosystems: A GIS-Based Vulnerability–Threat Framework in the Seaflower Archipelago (Colombia)
by Andrea Yanes, Ana Carolina Torregroza-Espinosa, Laura Salas, María Margarita Sierra-Carrillo, Laura Noguera and Luana Portz
Geographies 2026, 6(2), 38; https://doi.org/10.3390/geographies6020038 (registering DOI) - 8 Apr 2026
Abstract
The San Andrés, Providencia, and Santa Catalina archipelago, located in the Colombian Caribbean, hosts diverse ecosystems, including coral reefs, mangroves, seagrass beds, and beaches, all of which are increasingly threatened by human activities. This research proposes a spatial analysis of ecological risk that [...] Read more.
The San Andrés, Providencia, and Santa Catalina archipelago, located in the Colombian Caribbean, hosts diverse ecosystems, including coral reefs, mangroves, seagrass beds, and beaches, all of which are increasingly threatened by human activities. This research proposes a spatial analysis of ecological risk that integrates ecosystem vulnerability and anthropogenic pressures associated with land-use change to promote sustainable risk management. The vulnerability of island ecosystems was assessed by analyzing changes in cover across multiple time periods. At the same time, risks from anthropogenic pressures were determined based on marine protected area zoning and land-use planning regulations. Results show contrasting patterns: while several mangrove and beach sectors remained relatively stable, mangrove loss reached up to 65% in Providencia, and seagrass ecosystems experienced severe degradation, including a complete loss (100%) in western San Andrés. Risk maps indicate that the highest risk levels are consistently associated with Special Use Zones, where tourism infrastructure, navigation, and port activities are permitted. These findings highlight the importance of ecosystem-based risk management and adaptive governance in reducing anthropogenic pressures and preserving island ecosystem health. Full article
Show Figures

Figure 1

20 pages, 291 KB  
Article
Pension Effects on Land Transfer and Intra-Household Labor Allocation of Farmer Households: Evidence from China
by Jiayuan Guo, Huirong Sun, Xinyu Zhao, Laurent Cishahayo and Yueji Zhu
Land 2026, 15(4), 612; https://doi.org/10.3390/land15040612 (registering DOI) - 8 Apr 2026
Abstract
This article uses two waves of panel data from China Land Economic Survey (CLES) in Jiangsu Province and employs a fixed-effects two-stage least squares (FE-2SLS) approach to identify pension effects on farmers’ labor allocation and land transfer decisions. In the FE-2SLS models, pension [...] Read more.
This article uses two waves of panel data from China Land Economic Survey (CLES) in Jiangsu Province and employs a fixed-effects two-stage least squares (FE-2SLS) approach to identify pension effects on farmers’ labor allocation and land transfer decisions. In the FE-2SLS models, pension is instrumented by the average pension of other households in the same village. The results show that pension promotes land transfer-out, reduces household farm labor input, and increases household off-farm labor input. We further identify intra-household heterogeneity behind the pension effects. Specifically, pensioners in a household tend to leave farming activities without transitioning to off-farm employment, while non-pensioners shift the labor from farm to off-farm employment. We also examine heterogeneity by household budget pressure using two grouping strategies based on shortage experience and a composite budget-constraint indicator. The results show that the pension effects are more clearly observed among households without budget shortage. The estimates for households with budget shortage are less precise. These findings suggest that pension effects are complex in driving farmers’ resource allocation in their households. However, Jiangsu Province provides a substantial number of off-farm employment opportunities and features a well-developed land transfer market. The estimated pension effect in this area may not be applicable to less developed regions. Full article
(This article belongs to the Section Land Use, Impact Assessment and Sustainability)
23 pages, 4041 KB  
Article
Detection of Phosphorus Deficiency Using Hyperspectral Imaging for Early Characterization of Asymptomatic Growth and Photosynthetic Symptoms in Maize
by Sutee Kiddee, Chalongrat Daengngam, Surachet Wongarrayapanich, Jing Yi Lau, Acga Cheng and Lompong Klinnawee
Agronomy 2026, 16(8), 772; https://doi.org/10.3390/agronomy16080772 (registering DOI) - 8 Apr 2026
Abstract
Phosphorus (P) deficiency severely limits maize growth and yield, yet early detection remains challenging, as visible symptoms appear only after prolonged starvation. This study evaluated the capability of hyperspectral imaging (HSI) combined with machine learning to detect P deficiency in maize seedlings at [...] Read more.
Phosphorus (P) deficiency severely limits maize growth and yield, yet early detection remains challenging, as visible symptoms appear only after prolonged starvation. This study evaluated the capability of hyperspectral imaging (HSI) combined with machine learning to detect P deficiency in maize seedlings at both symptomatic and pre-symptomatic stages. Two greenhouse experiments were conducted: a long-term pot system under high and low P conditions and a short-term hydroponic experiment with three P concentrations of 500, 100, and 0 μmol/L phosphate (Pi). After long-term P deficiency, significant reductions in shoot biomass and Pi content were observed, while root biomass increased and nutrient profiles were altered. Hyperspectral signatures revealed distinct wavelength-specific differences across visible, red-edge, and near-infrared (NIR) regions, with P-deficient leaves showing lower reflectance in green and NIR regions but higher reflectance in the red band. A multilayer perceptron machine learning model achieved 99.65% accuracy in discriminating between P treatments. In the short-term experiment, P deficiency significantly reduced tissue Pi content within one week without affecting pigment composition or photosynthetic parameters. Despite the absence of visible symptoms, hyperspectral measurements detected subtle spectral changes, particularly in older leaves, enabling classification accuracies of 80.71–84.56% in the first week and 85.88–90.98% in the second week of P treatment. Conventional vegetation indices showed weak correlations with Pi content and failed to detect early P deficiency. These findings demonstrate that HSI combined with machine learning can effectively detect P deficiency before visible symptoms emerge, offering a non-destructive, rapid diagnostic tool for precision nutrient management in maize production systems. Full article
(This article belongs to the Special Issue Nutrient Enrichment and Crop Quality in Sustainable Agriculture)
Show Figures

Figure 1

29 pages, 542 KB  
Article
Beyond FinTech Adoption: How AI-Enabled Financial Process Digitalization Shapes Entrepreneurship
by Konstantinos S. Skandalis and Dimitra Skandali
FinTech 2026, 5(2), 31; https://doi.org/10.3390/fintech5020031 (registering DOI) - 8 Apr 2026
Abstract
The digital transformation of entrepreneurial finance has progressed beyond basic FinTech adoption toward the deeper digitalization of financial processes and the integration of artificial intelligence (AI). Yet, firms, particularly non-financial SMEs, vary substantially in their ability to convert these technologies into superior entrepreneurial, [...] Read more.
The digital transformation of entrepreneurial finance has progressed beyond basic FinTech adoption toward the deeper digitalization of financial processes and the integration of artificial intelligence (AI). Yet, firms, particularly non-financial SMEs, vary substantially in their ability to convert these technologies into superior entrepreneurial, market, and financial outcomes. This study develops and tests a capability-based model explaining how FinTech-enabled financial process digitalization (FPD) and AI use shape entrepreneurship by influencing entrepreneurial performance outcomes. In line with current developments in digital finance, AI use is conceptualized as an embedded and complementary feature of FinTech-enabled financial process digitalization rather than an independent technological category. Drawing on the resource-based view and behavioral finance, we propose digital financial capability (DFC) as a central mechanism through which FinTech-enabled digitalized finance creates value, while credit fear is conceptualized as a behavioral constraint that limits entrepreneurial outcomes. We further posit customer satisfaction as a market-facing outcome linking financial capabilities to firm performance. Using survey data from 318 non-financial SMEs operating in Greece and applying Partial Least Squares Structural Equation Modeling (PLS-SEM), the findings show that FPD and AI use significantly enhance DFC, which in turn increases customer satisfaction and entrepreneurial performance. In addition, financial process digitalization reduces credit fear, thereby mitigating its negative impact on entrepreneurial performance. By shifting the focus from technology adoption toward AI-supported capability development within digitally enabled financial processes and behavioral mechanisms, this study advances FinTech and entrepreneurship research and offers actionable insights for managers and policymakers seeking to leverage digital finance for sustainable entrepreneurial value creation. Full article
Show Figures

Figure 1

25 pages, 1238 KB  
Article
Optimisation of Photovoltaic Generation and Energy Storage Systems in Portuguese Semi-Detached Households in Social-Housing Neighbourhoods to Mitigate Energy Poverty
by João M. P. Q. Delgado and Bárbara P. Costa
Appl. Sci. 2026, 16(8), 3657; https://doi.org/10.3390/app16083657 (registering DOI) - 8 Apr 2026
Abstract
The building sector is responsible for 40% of CO2 emissions in Portugal, making the integration of renewable energy systems increasingly relevant. Photovoltaic (PV) technologies have become more accessible due to declining levelized costs of energy, and when coupled with battery energy storage [...] Read more.
The building sector is responsible for 40% of CO2 emissions in Portugal, making the integration of renewable energy systems increasingly relevant. Photovoltaic (PV) technologies have become more accessible due to declining levelized costs of energy, and when coupled with battery energy storage systems (BESSs), they can enhance grid independence, reduce household energy expenses, and mitigate peak load stress. However, high upfront costs still limit adoption, particularly among vulnerable communities. This study evaluates the technical, economic, and environmental performance of PV systems, with and without BESSs, compared with an existing solar thermal configuration in a social-housing neighbourhood in Porto, Portugal. Numerical simulations were conducted for three scenarios, optimising system sizing and ensuring hourly energy flow balance between generation, storage, and grid supply. Results indicate that all configurations are technically feasible within Porto’s climate conditions, though with distinct investment needs, payback periods, and CO2 reduction outcomes. The findings offer practical guidance for designing renewable energy solutions tailored to social housing, supporting both decarbonization goals and long-term mitigation of energy poverty. Full article
(This article belongs to the Special Issue Energy Transition in Sustainable Buildings)
17 pages, 510 KB  
Article
Overcoming the Final Hurdle: Understanding Undergraduate Nursing Students’ Journey to Completing Their Final Year ‘Dissertation’ Project
by Pras Ramluggun, Chun Hua Shao, Lynette Harper, Katy Skarparis and Sarah Greenshields
Educ. Sci. 2026, 16(4), 597; https://doi.org/10.3390/educsci16040597 (registering DOI) - 8 Apr 2026
Abstract
The undergraduate nursing students’ final year project, commonly called a ‘dissertation’ is an important component of the bachelor’s nursing programme. It can take the form of a literature review and proposal for a research or service improvement project. While crucial for developing research [...] Read more.
The undergraduate nursing students’ final year project, commonly called a ‘dissertation’ is an important component of the bachelor’s nursing programme. It can take the form of a literature review and proposal for a research or service improvement project. While crucial for developing research competence and evidence-based practice skills in preparation for their future careers, nursing students often find the dissertation process highly stressful. An online qualitative survey comprising open-ended questions was used to elicit nursing students’ rich, reflective accounts of the dissertation process at a university in the Northeast of England (hereafter referred to as the study site) from those who have recently completed their dissertations. The data obtained from 24 pre-registration nursing students who responded to the survey were thematically analysed. The findings revealed that critical relationships and essential support systems were key mediators of the challenges students faced, particularly a lack of readiness for the dissertation module, but they ultimately achieved transformative outcomes of an effective learning experience. Their navigational challenges can inform curriculum design and practices to better support students in their dissertation journey. Full article
14 pages, 2627 KB  
Article
Comparative Assessment of Hyperspectral Image Segmentation Algorithms for Fruit Defect Detection Under Different Illumination Conditions
by Anastasia Zolotukhina, Anton Sudarev, Georgiy Nesterov and Demid Khokhlov
J. Imaging 2026, 12(4), 160; https://doi.org/10.3390/jimaging12040160 (registering DOI) - 8 Apr 2026
Abstract
This study presents a comparative analysis of hyperspectral image segmentation algorithms for fruit defect detection under different illumination conditions. The research evaluates the performance of four segmentation methods (Spectral Angle Mapper, Random Forest, Support Vector Machine, and Neural Network) using three distinct illumination [...] Read more.
This study presents a comparative analysis of hyperspectral image segmentation algorithms for fruit defect detection under different illumination conditions. The research evaluates the performance of four segmentation methods (Spectral Angle Mapper, Random Forest, Support Vector Machine, and Neural Network) using three distinct illumination modes (local, simultaneous and sequential). The experimental setup employed hyperspectral imaging to assess tomato fruit samples, with data acquisition performed across the 450–850 nm spectral range. Quantitative metrics, including accuracy, error rate, precision, recall, F1-score, and Intersection over Union (IoU), were used to evaluate algorithm performance. Key findings indicate that Random Forest demonstrated superior performance across most metrics, particularly under simultaneous illumination conditions. The highest accuracy was achieved by Random Forest under sequential illumination (0.9971), while the best combination of segmentation metrics was obtained under simultaneous illumination, with an F1-score of 0.8996 and an IoU of 0.8176. The Neural Network showed competitive results. The Spectral Angle Mapper proved sensitive to illumination variations but excelled in specific scenarios requiring minimal memory usage. By demonstrating that acquisition protocol optimization can substantially improve segmentation performance, our results support the development of accurate, non-contact, high-throughput inspection systems and contribute to reducing postharvest losses and improving supply chain quality control. Full article
(This article belongs to the Section Color, Multi-spectral, and Hyperspectral Imaging)
Show Figures

Figure 1

19 pages, 2384 KB  
Article
Synergistic Antimicrobial and Antiviral Efficacy of Chitosan–Silver Nanocomposites Against Major Pathogens of Bombyx mori: In Vitro and In Vivo Evaluations
by Tao Xu, Zi Liang, Xinhao Jiao, Lulai Wang, Haoran Zhong and Ping Wu
Insects 2026, 17(4), 403; https://doi.org/10.3390/insects17040403 (registering DOI) - 8 Apr 2026
Abstract
Diseases caused by pathogenic microorganisms in Bombyx mori have long been a major constraint on the sustainable development of sericulture. Current preventive strategies remain substantially constrained by issues of drug resistance and environmental compatibility. In recent years, the application of nanomaterials for pathogenic [...] Read more.
Diseases caused by pathogenic microorganisms in Bombyx mori have long been a major constraint on the sustainable development of sericulture. Current preventive strategies remain substantially constrained by issues of drug resistance and environmental compatibility. In recent years, the application of nanomaterials for pathogenic microorganism control has garnered escalating attention. Among these, chitosan–silver nanoparticles (CS-Ag NPs), as an emerging class of nanocomposites, integrate the biocompatibility and biodegradability of chitosan with the robust antimicrobial activity of silver nanoparticles, thereby exhibiting considerable potential for preventing pathogenic infections. Nevertheless, the efficacy of CS-Ag NPs against B. mori pathogens has not previously been documented. In this study, CS-Ag NPs were successfully synthesized via chemical reduction. Their antiviral activity was validated using quantitative PCR. The inhibitory efficacy of CS-Ag NPs against Bacillus bombysepticus and Serratia marcescens was evaluated through in vitro inhibition zone assays and bacterial growth curve analysis, with the minimum inhibitory (MIC) concentration for both pathogens determined. Notably, CS-Ag NPs exhibited no significant inhibitory effect on filamentous fungi, potentially due to the impaired ability of nanoparticles to penetrate fungal cell walls. Preliminary mechanistic investigations into the antimicrobial mechanism of CS-Ag NPs were conducted from the perspectives of oxidative stress. Our data showed that CS-Ag NPs could effectively alleviate ROS accumulation induced by the pathogen. In summary, our work systematically investigates the potential of CS-Ag NPs in controlling pathogens and enables the preliminary elucidation of their antibacterial mechanisms. These findings establish a theoretical foundation for the development of pharmaceuticals against pathogenic microorganisms and also offer novel insights into the ecofriendly management of diseases. Full article
(This article belongs to the Section Insect Behavior and Pathology)
Show Figures

Figure 1

14 pages, 633 KB  
Article
Infrastructure-Driven Performance Effects in Airport Stand Allocation: A Simulation-Based Analysis of Configuration Impact on System Capacity at International Airports
by Edina Jenčová, Peter Hanák and Marek Hanzlík
Appl. Sci. 2026, 16(8), 3656; https://doi.org/10.3390/app16083656 (registering DOI) - 8 Apr 2026
Abstract
Airport stand allocation research has traditionally focused on optimizing assignments within fixed infrastructure configurations, while strategic decisions regarding stand category composition remain underexplored. This study investigates how different proportional distributions of stand categories affect system-level performance under high traffic demand at international airports. [...] Read more.
Airport stand allocation research has traditionally focused on optimizing assignments within fixed infrastructure configurations, while strategic decisions regarding stand category composition remain underexplored. This study investigates how different proportional distributions of stand categories affect system-level performance under high traffic demand at international airports. A discrete-event simulation model implemented in MATLAB evaluates fifteen infrastructure configurations with varying distributions of small, medium, and large stands, classified according to the ICAO Annex 14. The model employed a first-come–first-served allocation logic to isolate infrastructure-driven effects from algorithmic decision-making. System throughput was measured through acceptance and rejection rates, disaggregated by aircraft stand category. Acceptance rates ranged from 33% to 92% across tested configurations, demonstrating pronounced sensitivity to stand composition. Balanced configurations consistently outperformed asymmetric alternatives. Insufficient stand availability in any single category led to concentrated rejection patterns and non-linear performance degradation; excess capacity in unconstrained categories could not compensate for shortfalls in constrained ones. Proportionality across stand categories is identified as a critical determinant of infrastructure robustness. The proposed simulation framework provides a computationally efficient tool for early-stage (pre-operational planning phase) infrastructure screening, supporting informed strategic capacity decisions prior to detailed operational optimization. Full article
21 pages, 4944 KB  
Article
A Convective Initiation Nowcasting Algorithm Based on FY-4B Satellite AGRI and GHI Data
by Zongxin Yang, Zhigang Cheng, Wenjun Sang, Wen Zhang, Yu Huang, Yuwen Huang and Zhi Wang
Atmosphere 2026, 17(4), 380; https://doi.org/10.3390/atmos17040380 (registering DOI) - 8 Apr 2026
Abstract
Based on the Advanced Geostationary Radiation Imager (AGRI) and Geostationary High-speed Imager (GHI) information in the Fengyun-4B (FY-4B) satellite, we propose a convective initiation (CI) nowcasting algorithm for Sichuan Province, China. The algorithm optimizes satellite reflectance by considering multi-channel brightness differences, visible reflectance, [...] Read more.
Based on the Advanced Geostationary Radiation Imager (AGRI) and Geostationary High-speed Imager (GHI) information in the Fengyun-4B (FY-4B) satellite, we propose a convective initiation (CI) nowcasting algorithm for Sichuan Province, China. The algorithm optimizes satellite reflectance by considering multi-channel brightness differences, visible reflectance, and cloud-top cooling by exploiting the Farneback optical flow, where the cloud is followed by false cooling due to cloud motion. Moreover, the high temporal resolution of GHI enables the detection of early cumulus cloud growth. The algorithm was developed using daytime CI events in the coverage area of Mianyang radar station from 22 July to 9 August 2023, and the remaining areas in the Chengdu scan area were used for validation. The results showed that the proposed method achieves a probability of detection (POD) of 83.1%, a false alarm ratio (FAR) of 33.0%, and a critical success index (CSI) of 58.9%. Compared with the AGRI-only method and the SATCAST algorithm, the POD increases by 5.4% and 8.4%, respectively, while the CSI improves by 1.3% and 2.3%. The average lead time reaches 34.2 min, which is 4.6 min longer than AGRI-only and 7.9 min longer than SATCAST. This suggests that AGRI and GHI data improve the spatiotemporal resolution of CI nowcasting. This approach improves the early detection of convective initiation under the climatic background of warm cloud convection in Sichuan, offering new insights for short-term warnings of regional convective weather. Full article
(This article belongs to the Special Issue Meteorological Issues for Low-Altitude Economy)

Open Access Journals

Browse by Indexing Browse by Subject Selected Journals
Back to TopTop