Sign in to use this feature.

Years

Between: -

Subjects

remove_circle_outline
remove_circle_outline
remove_circle_outline
remove_circle_outline
remove_circle_outline
remove_circle_outline
remove_circle_outline
remove_circle_outline
remove_circle_outline

Journals

remove_circle_outline
remove_circle_outline
remove_circle_outline
remove_circle_outline
remove_circle_outline
remove_circle_outline
remove_circle_outline
remove_circle_outline
remove_circle_outline
remove_circle_outline
remove_circle_outline
remove_circle_outline
remove_circle_outline
remove_circle_outline
remove_circle_outline
remove_circle_outline
remove_circle_outline
remove_circle_outline
remove_circle_outline
remove_circle_outline
remove_circle_outline
remove_circle_outline
remove_circle_outline
remove_circle_outline
remove_circle_outline
remove_circle_outline
remove_circle_outline
remove_circle_outline

Article Types

Countries / Regions

remove_circle_outline
remove_circle_outline
remove_circle_outline
remove_circle_outline
remove_circle_outline
remove_circle_outline

Search Results (3,219)

Search Parameters:
Keywords = trunk

Order results
Result details
Results per page
Select all
Export citation of selected articles as:
10 pages, 6571 KB  
Case Report
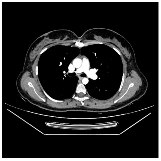
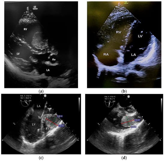
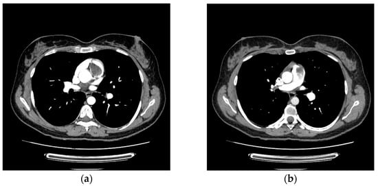
Swinging Mass Through the Pulmonary Valve: A Rare Case of Right Ventricular Myxoma
by Cristiana Bustea, Andrei-Flavius Radu, Paula Bianca Maghiar, Roxana Brata and Elena Emilia Babes
Life 2025, 15(11), 1750; https://doi.org/10.3390/life15111750 (registering DOI) - 14 Nov 2025
Abstract
Primary cardiac tumors are rare, with an estimated incidence of 0.001% to 0.3% in autopsy series. Most are benign, the most common being cardiac myxomas, which typically originate in the left atrium. Right ventricular myxoma is among the rarest primary cardiac tumors, and [...] Read more.
Primary cardiac tumors are rare, with an estimated incidence of 0.001% to 0.3% in autopsy series. Most are benign, the most common being cardiac myxomas, which typically originate in the left atrium. Right ventricular myxoma is among the rarest primary cardiac tumors, and its true incidence is difficult to determine, as most data come from isolated case reports. This paper aims to report a case of right ventricular myxoma in a young woman with a history of childhood malignancy and to discuss the possible association between the two conditions. Echocardiography, thoracic computed tomography (CT), and pulmonary CT angiography were used to assess the presence, location, and size of the tumor. The definitive diagnosis was established by histopathological examination. A 34-year-old woman, with a past medical history of acute lymphoblastic leukemia (ALL) in childhood, presented with a dry cough and exertional dyspnea persisting for three weeks. Transthoracic echocardiography revealed a mass located in the right ventricular outflow tract (RVOT), attached near the tricuspid valve and intermittently prolapsing into the pulmonary trunk. CT imaging confirmed the presence of the tumor in the RVOT and the main pulmonary artery. Because of the high risk of massive pulmonary embolism, the patient underwent urgent surgical excision of the tumor. Histopathological analysis confirmed the diagnosis of cardiac myxoma. The postoperative recovery was uneventful, and the three-month follow-up showed no recurrence or signs of pulmonary embolism. The patient’s history of ALL raised the question of a possible association; however, a review of the literature revealed no previously reported link. In conclusion, right ventricular myxomas are extremely rare. The occurrence of cardiac myxoma in this patient following childhood ALL appears to be incidental. Further research is needed to determine whether ALL survivors have an increased predisposition to subsequent cardiac tumors. Full article
Show Figures

Figure 1

15 pages, 1495 KB  
Article
A Method for Estimating Tree Age Based on the Tree Trunk Diameter and the Average Radial Growth Rate in Recent Years
by Jianfeng Yao, Mengmeng Yang, Zhuofan Li, Denglong Ha, Wenqiang Gao, Xiao He, Xuefan Hu and Xinyu Song
Forests 2025, 16(11), 1725; https://doi.org/10.3390/f16111725 (registering DOI) - 13 Nov 2025
Abstract
To improve the accuracy of tree age estimation by accounting for variations in radial growth, this study developed a diameter/age model that incorporates the radial growth rate for seven typical tree species across subtropical to cold temperate regions. For each tree species, six [...] Read more.
To improve the accuracy of tree age estimation by accounting for variations in radial growth, this study developed a diameter/age model that incorporates the radial growth rate for seven typical tree species across subtropical to cold temperate regions. For each tree species, six trees—representing dominant, intermediate, and suppressed trees—were selected. A total of 646 disks were collected at 1 m intervals along the stems, starting at 0.3 m height. Disk diameters and tree rings were measured, and the radial growth rate of each disk over the past two years was calculated. For each tree species, two-thirds of the data were randomly selected as the modeling dataset, while the remaining one-third served as the testing dataset. Based on scatter plots, we selected linear models, logarithmic models, and exponential models as candidate models. A logarithmic function best described the diameter/age relationship, while an exponential model best fit the radial growth rate/age relationship. A dual-factor nonlinear model combining both variables achieved the highest estimation accuracy (80.29%), significantly outperforming single-factor models based solely on diameter (50.76%) or growth rate (73.01%). These results demonstrate that integrating radial growth rate substantially enhances the precision of tree age estimation. Full article
(This article belongs to the Special Issue Growth Models for Forest Stand Development Dynamics)
Show Figures

Figure 1

18 pages, 927 KB  
Article
Environmental Exposure to the Common Trunk of Mammalian Appeasing Pheromone Modulates Social Behavior and Reduces Fight Wounds in Male Mice
by Sara Fuochi, Cecile Bienboire-Frosini, Estelle Descout, Miriam Marcet-Rius, Patrick Pageat and Alessandro Cozzi
Animals 2025, 15(22), 3278; https://doi.org/10.3390/ani15223278 - 13 Nov 2025
Abstract
Aggression among group-housed male laboratory mice poses significant challenges for animal welfare and scientific outcomes. Semiochemicals, such as mammalian appeasing pheromones, have shown potential in modulating social behaviors in various species. This study aimed to evaluate the effects of a synthetic Common Trunk [...] Read more.
Aggression among group-housed male laboratory mice poses significant challenges for animal welfare and scientific outcomes. Semiochemicals, such as mammalian appeasing pheromones, have shown potential in modulating social behaviors in various species. This study aimed to evaluate the effects of a synthetic Common Trunk (CT) of mammalian appeasing pheromone on social behavior, aggression, and welfare indicators in adult male mice. Specific Pathogen Free (SPF) male RjOrl:SWISS mice (8–12 weeks old) were housed in open-top cages and exposed via environmental passive diffusion to either a 2% synthetic CT pheromone formulation or a placebo (excipient only). Behavioral tests included the Elevated Plus Maze (EPM) and the Resident–Intruder (RI) test. Clinical welfare assessments and hematobiochemical analyses were also performed. Behavioral testing revealed minimal differences between groups, except for—in animals exposed to the CT—significantly fewer unsupported rearings, both in number (p = 0.0284) and duration (p = 0.0184), suggesting reduced vigilance (EPM Test) and shorter upright posture durations (p = 0.0031), a behavior linked to social signaling during conflict (RI test). Welfare assessments and risk-based analyses indicated that mice exposed to the CT of the appeasing pheromone displayed more agonistic but less violent confrontations, with fewer visible lesions. The protective effect was most pronounced during early group housing of unfamiliar adult males, with significantly fewer injuries in treated mice during the first (p = 0.0215) and second week (p = 0.0329). Treated mice also showed higher serotonin levels (p = 0.0295), suggesting reduced aggressiveness in line with observed behavioral outcomes. Exposure to the CT appeared to improve social dynamics and reduce escalation of aggression in male mice, supporting its potential as a refinement tool in laboratory housing practices. Full article
(This article belongs to the Special Issue Research Animal Welfare: Current Practices and Future Directions)
Show Figures

Figure 1

10 pages, 1509 KB  
Article
Survey of the Trunk Wood Mycobiome of an Ancient Tilia × europaea L.
by Ales Eichmeier, Milan Spetik, Lucie Frejlichova, Jakub Pecenka, Jana Cechova, Lukas Stefl and Pavel Simek
Appl. Microbiol. 2025, 5(4), 131; https://doi.org/10.3390/applmicrobiol5040131 - 13 Nov 2025
Abstract
The genus Tilia (Malvaceae) comprises long-lived broadleaf trees of considerable ecological, cultural, and historical importance in temperate Europe and Asia. Among these, Tilia × europaea L. (common European linden) is a key native species in Central and Northern Europe, with individuals documented to [...] Read more.
The genus Tilia (Malvaceae) comprises long-lived broadleaf trees of considerable ecological, cultural, and historical importance in temperate Europe and Asia. Among these, Tilia × europaea L. (common European linden) is a key native species in Central and Northern Europe, with individuals documented to live for several centuries. While the phyllosphere and soil-associated microbiomes of linden have been studied, the internal fungal communities inhabiting ancient trees remain poorly understood. In this study, the complete mycobiome of linden tree wood was analyzed. Wood-inhabiting fungi (the wood mycobiome) include endophytes, saprotrophs, and potential pathogens that can strongly influence host vitality and ecosystem processes. Advances in high-throughput amplicon sequencing (HTAS) now provide unprecedented opportunities to characterize these hidden communities. In this study, we investigated the trunk wood mycobiome of an ancient T. × europaea L. individual using a culture-independent HTAS approach. The results reveal a diverse fungal assemblage, including taxa like Arthinium or Phialemonium not previously reported from living linden wood, and highlight potential implications for tree health and longevity. This work provides a first baseline characterization of the internal mycobiome of the ancient Tilia tree and contributes to broader efforts to conserve its biological and cultural value. Full article
Show Figures

Figure 1

17 pages, 2492 KB  
Article
Effects of a History of Adductor-Related Groin Pain on Kicking Biomechanics and HAGOS Subscales in Male Soccer Players: A Comprehensive Analysis Using 1D-SPM
by Tomonari Sugano, Ryo Kuboshita, Seigaku Hayashi, Yasutaka Kobayashi and Masahito Hitosugi
Appl. Sci. 2025, 15(22), 12003; https://doi.org/10.3390/app152212003 - 12 Nov 2025
Abstract
Adductor-related groin pain (AGP) is a prevalent and frequently recurrent chronic injury among soccer players. This study investigated the impact of AGP history on kicking kinematics, kinetics, and patient-reported outcomes in regional-league soccer players using one-dimensional statistical parametric mapping (1D-SPM). Twenty male athletes [...] Read more.
Adductor-related groin pain (AGP) is a prevalent and frequently recurrent chronic injury among soccer players. This study investigated the impact of AGP history on kicking kinematics, kinetics, and patient-reported outcomes in regional-league soccer players using one-dimensional statistical parametric mapping (1D-SPM). Twenty male athletes were allocated to a group with prior AGP (GP group: n = 8) or without AGP (non-GP group, n = 12), and evaluated during maximal instep and inside-foot kicks using three-dimensional motion analysis and the Copenhagen Hip and Groin Outcome Score (HAGOS). The GP group reported significantly lower HAGOS for pain and quality of life. The 1D-SPM analysis revealed that the GP group employed a compensatory kinetic chain strategy, characterized by impaired trunk–pelvis rotation, increased reliance on the stance leg (SL) for stability, and altered kicking leg (KL) mechanics with reduced hip flexion power. These findings reveal that the underlying deficit in AGP is not isolated muscle weakness but a ‘lack of adaptability in motor control’, resulting in inefficient load distribution and contributing to the high recurrence rates in the adductors and SL. Rehabilitation should adopt a kinetic chain-oriented approach that also addresses stance limb function to mitigate recurrence and optimize performance. Full article
(This article belongs to the Special Issue Advances in Sports Science and Biomechanics)
Show Figures

Figure 1

25 pages, 2486 KB  
Article
A Preliminary Mechanics-Informed Machine Learning Framework for Objective Assessment of Parkinson’s Disease and Rehabilitation Outcomes
by Amirali Hanifi, Roozbeh Abedini-Nassab and Mohammed N. Ashtiani
Diagnostics 2025, 15(22), 2855; https://doi.org/10.3390/diagnostics15222855 - 12 Nov 2025
Viewed by 136
Abstract
Background/Objectives: Non-invasive methods for evaluating rehabilitation outcomes in Parkinson’s disease (PD) remain limited. This preliminary study proposes a mechanics-informed machine learning (ML) framework integrating force-plate data with dimensionality reduction, clustering, and statistical analysis to objectively assess motor control and the effects of a [...] Read more.
Background/Objectives: Non-invasive methods for evaluating rehabilitation outcomes in Parkinson’s disease (PD) remain limited. This preliminary study proposes a mechanics-informed machine learning (ML) framework integrating force-plate data with dimensionality reduction, clustering, and statistical analysis to objectively assess motor control and the effects of a targeted intervention. Methods: Twelve PD patients were randomly assigned to a PD control group performing standard exercises or an intervention group incorporating additional transverse-plane trunk motion exercises for 10 weeks. Ground reaction forces and center of pressure (COP) signals were recorded pre- and post-intervention using a force plate, alongside data from six healthy individuals as a benchmark. Features related to postural sway and COP dynamics were extracted and refined using Forward Feature Selection. Dimensionality reduction (t-SNE) and unsupervised clustering (K-means) identified group-level patterns. SHAP values and Cohen’s d quantified feature importance and effect size. Clustering robustness was assessed with bootstrapping, nested cross-validation, and permutation testing. Results: K-means clustering revealed clear pre/post-intervention separation in five of six intervention patients, with post-intervention states shifting toward the control cluster. Clustering showed strong performance (Silhouette 0.77–0.79; Calinski–Harabasz 100.8–184.9; Davies–Bouldin 0.29–0.45). The most predictive features (RMS-SML and PL-SAP) showed large effect sizes (Cohen’s d = –12.1 and –4.53, respectively) distinguishing PD patients from healthy controls. Traditional statistical tests (e.g., ANOVA) failed to detect within-group changes (p > 0.05), but ML-based methods captured subtle, nonlinear postural adaptations. Conclusions: This preliminary mechanics-informed ML framework detects PD-related motor deficits and rehabilitation-induced improvements using force-plate data, warranting validation in larger cohorts. Full article
(This article belongs to the Section Machine Learning and Artificial Intelligence in Diagnostics)
Show Figures

Figure 1

13 pages, 497 KB  
Article
Alterations in Supine Position Mobility and Dynamics in Post-Stroke Individuals with Hemiparesis Compared to Neurologically Intact Controls: A Video-Based Observational Assessement
by Zofia Żukowska, Maciej Krawczyk and Łukasz A. Poniatowski
J. Clin. Med. 2025, 14(22), 7949; https://doi.org/10.3390/jcm14227949 - 10 Nov 2025
Viewed by 149
Abstract
Background/Objectives: The aim of this study was a video-based observational assessment of movement strategies during supine position transfers in patients with hemiparesis following a first-ever ischemic stroke. Methods: The study included 51 participants (n = 51), covering 20 healthy individuals (n [...] Read more.
Background/Objectives: The aim of this study was a video-based observational assessment of movement strategies during supine position transfers in patients with hemiparesis following a first-ever ischemic stroke. Methods: The study included 51 participants (n = 51), covering 20 healthy individuals (n = 20) and 31 patients (n = 31) after their first ischemic stroke with hemiparesis. All participants underwent observational kinematic analysis of supine mobility using video recording and time-lapse analysis. The assessment focused on the time required to complete the task, the number of pelvic movements, the presence of trunk translation, spinal flexion, and pelvic mobility across three planes. Results: In the control group, transfers followed a consistent and repetitive sequence in both directions, typically involving trunk translation, spinal flexion, pelvic elevation, and symmetrical movement of both upper and lower limbs. In contrast, post-stroke patients demonstrated altered, asymmetrical, and less efficient movement patterns. These movement strategies were consistent across the hemiparetic group and characterized typical motor responses following stroke. The average transfer time in the study group was approximately three times longer than in the control group. The average number of pelvic movements was 7.2 ± 2.44 in healthy individuals and 16.71 ± 13.52 in post-stroke patients. Conclusions: Supine transfers should be routinely assessed in patients after stroke and included as a key focus in physiotherapy goals. The movement patterns required for such transfers represent a distinct component of complex motor function. Both qualitative and quantitative aspects of their execution may have a significant impact on functional independence in individuals with hemiparesis. Identifying typical transfer patterns in hemiparetic patients may offer valuable guidance for early post-stroke rehabilitation planning, particularly in preventing maladaptive compensatory strategies. Full article
(This article belongs to the Section Sports Medicine)
Show Figures

Figure 1

10 pages, 784 KB  
Article
The Acute Effects of Internal, External, and Golf-Specific Attentional Focus Cues on Isometric Trunk Strength in Youth Golfers
by Raouf Hammami, Achraf Hammami, Yassine Negra, Rimeh Staff, Jason Moran and Roland van den Tillaar
J. Funct. Morphol. Kinesiol. 2025, 10(4), 435; https://doi.org/10.3390/jfmk10040435 - 7 Nov 2025
Viewed by 298
Abstract
Background: Attentional focus strategies, including internal, external, and sport-specific cues, can influence muscle strength by modulating motor control. However, their acute effects on maximal isometric back-extensor strength in youth athletes under controlled laboratory conditions remain unclear. Methods: Fourteen youth golfers (15.8 [...] Read more.
Background: Attentional focus strategies, including internal, external, and sport-specific cues, can influence muscle strength by modulating motor control. However, their acute effects on maximal isometric back-extensor strength in youth athletes under controlled laboratory conditions remain unclear. Methods: Fourteen youth golfers (15.8 ± 0.5 years) performed maximal voluntary isometric back-extension tasks under nine cueing conditions: three internal, three external, and three golf-specific. The task involved exerting maximal force against a fixed, immovable resistance while maintaining standardized trunk and hip positions to ensure consistent execution. Cueing was delivered verbally in a standardized manner across participants and sessions. Maximal isometric strength was compared across conditions using repeated-measures analyses. Results: Maximal isometric back-extensor strength was significantly (p = 0.004 ηp2 = 0.34) lower with internal cues (57.1 ± 16.0 kg) compared with external (68.2 ± 13.0 kg) and golf-specific (68.1 ± 12.5 kg) cues. Specifically, the internal cues ‘engage your glutes and hamstrings’, ‘tighten your core’, and ‘maintain a neutral spine’ produced lower force than all external cues and the golf-specific cue ‘focus on using your lower body to create a stable base for your golf swing’. Among internal cues, ‘engage your glutes and hamstrings’ resulted in the lowest torque. Conclusions: External and certain golf-specific verbal cues acutely enhance maximal isometric back-extensor force more effectively than internal cues in a controlled laboratory setting. While these results inform how attentional focus can modulate acute force output in youth athletes, the task does not replicate the dynamic, rotational nature of the golf swing, and the findings should not be interpreted as direct indicators of golf performance. Future research should explore long-term adaptations and assess transfer to sport-specific, dynamic movements. Full article
Show Figures

Figure 1

12 pages, 1984 KB  
Article
Sensory Recovery After Free Muscle Flap Reconstruction—A Clinical Study of Protective and Discriminative Function of Free Gracilis and Latissimus Dorsi Muscle Flaps Without Neurotization
by Maximilian C. Stumpfe, Moritz Billner, Marc Hellweg, Maximilian Hirschmann, Rakan R. Al-Turki, Celena A. Sörgel, Vadym Burchak, Nikolaus Wachtel and Denis Ehrl
Med. Sci. 2025, 13(4), 262; https://doi.org/10.3390/medsci13040262 - 7 Nov 2025
Viewed by 161
Abstract
Background/Objectives: Free gracilis (GM) and latissimus dorsi muscle (LDM) flaps are reliable options for complex defect coverage, but long-term sensory outcomes remain underexplored. Sensory impairment, especially the loss of protective cutaneous sensation, increases the risk of injury, thermal damage, and ulceration in reconstructed [...] Read more.
Background/Objectives: Free gracilis (GM) and latissimus dorsi muscle (LDM) flaps are reliable options for complex defect coverage, but long-term sensory outcomes remain underexplored. Sensory impairment, especially the loss of protective cutaneous sensation, increases the risk of injury, thermal damage, and ulceration in reconstructed areas. This study aimed to systematically assess multidimensional sensory recovery after free muscle flap (FMF) reconstruction. Methods: In a prospective single-center study, 94 patients (49 GM, 45 LDM) underwent standardized sensory testing following FMF transfer. Five modalities were evaluated: pressure detection (Semmes-Weinstein monofilaments), vibration perception, two-point discrimination (2PD), sharp–dull differentiation, and temperature differentiation. Measurements were compared to contralateral healthy skin (CHS). Subgroup analyses were performed by anatomical region (head, trunk, extremities). Results: All sensory modalities were significantly impaired in FMF compared to CHS (p < 0.0001). Mean pressure thresholds were markedly higher in FMF (248.8 g) versus CHS (46.8 g). Vibration perception scores were reduced (FMF 3.97 vs. CHS 5.31), and 2PD was significantly poorer (11.6 cm vs. 4.7 cm). Sharp–dull and thermal discrimination were largely absent in FMF (positivity rates < 20%), with 58.5% of patients demonstrating only deep pressure sensation (≥300 g). No significant differences were found between GM and LDM in most modalities, except for worse 2PD in GM. Subgroup analyses confirmed uniform deficits across all anatomical regions. Conclusions: FMFs without neurotization result in profound, persistent sensory deficits, particularly the loss of protective sensation. Clinically, fascio-cutaneous flaps with nerve coaptation should be considered in functionally critical regions. Future strategies should focus on neurotization techniques to enhance sensory recovery. Full article
Show Figures

Figure 1

19 pages, 4979 KB  
Article
Pediatric Lower Limb Rehabilitation Training System with Soft Exosuit and Quantitative Partial Body Weight Support
by Dezhi Liang, Shuk-Fan Tong, Hsuan-Yu Lu, Minghao Liu, Zhen Wang, Tian Xing, Hongliu Yu and Raymond Kai-Yu Tong
Machines 2025, 13(11), 1028; https://doi.org/10.3390/machines13111028 - 7 Nov 2025
Viewed by 336
Abstract
The pediatric period is a crucial window for motor function learning and growth. Individuals with central nervous system injuries like cerebral palsy commonly display severe crouch gait in the lower limbs. Hyperflexion of the knee joints promotes the forward trunk and increases reliance [...] Read more.
The pediatric period is a crucial window for motor function learning and growth. Individuals with central nervous system injuries like cerebral palsy commonly display severe crouch gait in the lower limbs. Hyperflexion of the knee joints promotes the forward trunk and increases reliance on the handle frame of a walker for support. In this study, we developed a quantitative partial body weight training system integrated with a soft pneumatic exosuit to assist the knee extension during the stance phase of the gait cycle. In the preliminary results for five pediatric cerebral palsy subjects, compared to the baseline condition, excessive knee flexion ameliorated with the assistance of the soft pneumatic exosuit. The peak knee extension and range of motion increased by 19.72° (±3.47°) and 15.46° (±5.06°), respectively. With exosuit assistance, the subjects demonstrated improved gait retraining compared to baseline. They were able to bear significantly more body weight on their affected limb, as evidenced by a 33.3% increase in the fraction of body weight measured by the force plate. Additionally, they relied less on the handrail for support during walking. With more extended knee joints to bear the load over gravity, the pediatric subjects transferred the reliance from external support and upper limbs back to the lower limbs as a more independent status during the loading response to terminal stance. Full article
(This article belongs to the Section Robotics, Mechatronics and Intelligent Machines)
Show Figures

Figure 1

13 pages, 616 KB  
Article
Effects of Pilates Matwork Core Exercises on Functioning in Middle-Aged Adult Women with Chronic Nonspecific Low Back Pain Through Flexion Relaxation Phenomenon Analysis: A Pilot RCT
by Nicola Marotta, Alessandro de Sire, Federica Pisani, Michele Mercurio, Ennio Lopresti, Lorenzo Scozzafava, Andrea Parente, Giorgio Gasparini, Umile Giuseppe Longo and Antonio Ammendolia
J. Funct. Morphol. Kinesiol. 2025, 10(4), 433; https://doi.org/10.3390/jfmk10040433 - 6 Nov 2025
Viewed by 405
Abstract
Objectives: Pilates is frequently recommended for patients with Chronic Nonspecific Low Back Pain (CNLBP) due to its potential to enhance posture, muscle strength, trunk flexibility, and stability. However, to date, there is no robust evidence supporting the effectiveness of Pilates in managing [...] Read more.
Objectives: Pilates is frequently recommended for patients with Chronic Nonspecific Low Back Pain (CNLBP) due to its potential to enhance posture, muscle strength, trunk flexibility, and stability. However, to date, there is no robust evidence supporting the effectiveness of Pilates in managing CNLBP. This study aimed to assess the effects of 8 × 8 Pilates Matwork core exercises on pain and functioning in middle-aged adult women with CNLBP, through a flexion relaxation phenomenon (FRP) analysis. Methods: We included middle adult women (n = 21) with diagnosis of CNLBP and a Numeric Rating Scale (NRS) > 4. The experimental group underwent a treatment of eight Pilates Matwork sessions, biweekly for 4 weeks, lasting about 40 min. The control group underwent standardized exercises used for managing CNLBP. Outcome measures included NRS, Oswestry Disability Index (ODI), Quebec Back Pain Disability Scale (QBPDS), and the FRP ratio via surface electromyography during trunk maximum flexion. We evaluated the participants at the baseline (T0), at the end of the 4-week treatment (T1), and at 4 weeks after the end of the treatment, at 8 weeks from the baseline (T2). Results: In this pilot RCT, 21 middle-aged adult women affected by CNLBP were randomly allocated with a ratio of 1:1 in the Pilates group, and in parallel in the control group. The experimental group showed a significant improvement in ODI and QBPDS scores compared to the control group, maintained at follow-up for ODI, along with an NRS reduction at T2. About FRP, Pilates has proven to be comparable to conventional treatment, showing no significant difference in FRR at T1 and T2. Only the experimental group exceeded the 9.5 cutoff at T2, as a protective predictive index for CNLBP. Conclusions: This pilot RCT provided preliminary evidence that Pilates might be an effective rehabilitation method, enhancing functioning and pain management in middle-aged adult women affected by CNLBP. The FRP study proves to be efficient in translating clinical assessments into rehabilitation assessment measures. Full article
(This article belongs to the Special Issue Biomechanical Analysis in Physical Activity and Sports—2nd Edition)
Show Figures

Figure 1

13 pages, 883 KB  
Article
GH Replacement Therapy Is Associated with Ameliorations in Body Composition and Fatty Liver Index in Patients with Adult-Onset Isolated GH Deficiency
by Elena Gangitano, Rebecca Rossetti, Giusy Simeone, Mariaignazia Curreli, Orietta Gandini, Stefania Mariani and Carla Lubrano
Livers 2025, 5(4), 56; https://doi.org/10.3390/livers5040056 - 6 Nov 2025
Viewed by 207
Abstract
Background/Objectives: Patients with isolated adult-onset growth hormone (GH) deficiency may present with hepatic steatosis and metabolic dysfunction. The effect of replacement therapy on metabolic phenotype has not been exhaustively studied yet. Methods: Patients with isolated adult-onset GH deficiency (GHD) were enrolled [...] Read more.
Background/Objectives: Patients with isolated adult-onset growth hormone (GH) deficiency may present with hepatic steatosis and metabolic dysfunction. The effect of replacement therapy on metabolic phenotype has not been exhaustively studied yet. Methods: Patients with isolated adult-onset GH deficiency (GHD) were enrolled and prescribed GH-replacement therapy. DEXA scans for assessing body composition, anthropometric and biochemical parameters were evaluated at baseline and after 12 months of therapy. A fatty liver index, hepatic steatosis index and Fibrosis 4-test were calculated at baseline and after 12 months of therapy. Results and Conclusions: In our cohort, GH replacement therapy in adults with isolated adult-onset GHD is associated with weight loss and reduction of BMI (p < 0.001), amelioration in body composition with reduction in fat mass and trunk fat (respectively, p = 0.023 and p = 0.02), amelioration in lipid profile (significant reduction of total and LDL cholesterol and increase in HDL cholesterol) and reduction in fatty liver index (p = 0.021). Further long-term, randomized studies with bigger cohorts and advanced diagnostics are needed to confirm these results of our exploratory study. Full article
Show Figures

Figure 1

12 pages, 1591 KB  
Article
Integrating Urban Tree Carbon Sequestration into Metropolitan Ecosystem Services for Climate-Neutral Cities: A Citizen Science-Based Methodology
by Jordi Mazon
Urban Sci. 2025, 9(11), 463; https://doi.org/10.3390/urbansci9110463 - 6 Nov 2025
Viewed by 269
Abstract
Urban trees play a critical role in mitigating climate change by capturing atmospheric CO2 and providing multiple co-benefits, including cooling urban environments, reducing building energy demand, and enhancing citizens’ physical and psychological well-being. This study presents the Co Carbon Trees Measurement project, [...] Read more.
Urban trees play a critical role in mitigating climate change by capturing atmospheric CO2 and providing multiple co-benefits, including cooling urban environments, reducing building energy demand, and enhancing citizens’ physical and psychological well-being. This study presents the Co Carbon Trees Measurement project, a citizen science initiative implemented in the city of Viladecans, Spain, involving 658 students, local administration, and academia, three components of the EU mission’s quadruple helix governance model. Over one year, 1274 urban trees were measured for trunk diameter and height to quantify annual CO2 sequestration using a direct measurement approach combining field data collection with a mobile application for a height assessment and a flexible measuring tape for diameter. Results indicate that carbon fixation increases with tree size, displaying a parabolic function with larger trees sequestering significantly more CO2. A range between 10 and 20 kg of CO2 is sequestered by the urban trees in the period 2024–2025. The study also highlights the broader benefits of urban trees, including shading, mitigation of the urban heat island effect, and positive impacts on mental health and social cohesion. While the total CO2 captured in Viladecans (≈810 tons/year) is small relative to city emissions (≈170,000 tons/year), the methodology demonstrates a scalable, replicable approach for monitoring progress toward climate neutrality and integrating urban trees into planning and climate action strategies. This approach positions green infrastructure as a central component of sustainable and resilient urban development. Full article
Show Figures

Figure 1

18 pages, 1934 KB  
Article
Testing ACL-Reconstructed Football Players on the Field: An Algorithm to Assess Cutting Biomechanics Injury Risk Through Wearable Sensors
by Stefano Di Paolo, Marianna Viotto, Margherita Mendicino, Chiara Valastro, Alberto Grassi and Stefano Zaffagnini
Sports 2025, 13(11), 391; https://doi.org/10.3390/sports13110391 - 5 Nov 2025
Viewed by 482
Abstract
Anterior cruciate ligament (ACL) injuries in football mostly occur during defensive (pressing) cut maneuvers. Football-specific cutting movements are key to identifying dangerous biomechanics but hard to evaluate clinically. This study aimed to develop a practical field-based tool—Anterior Cruciate Ligament Injury Risk Profile Detection [...] Read more.
Anterior cruciate ligament (ACL) injuries in football mostly occur during defensive (pressing) cut maneuvers. Football-specific cutting movements are key to identifying dangerous biomechanics but hard to evaluate clinically. This study aimed to develop a practical field-based tool—Anterior Cruciate Ligament Injury Risk Profile Detection (ACL-IRD)—to assess ACL injury risk during return to sport (RTS). It was hypothesized that the ACL-IRD could detect ACL injury risk profiles after ACLR players had RTS clearance. Sixty-one footballers (21 ACLR, 40 healthy; 16.2 ± 2.2 years old, >14 months post-surgery) were tested on a regular football pitch. Players performed pre-planned (AGTT) and unplanned football-specific cut maneuvers simulating defensive pressing (FS deceiving action). Kinematic data were collected via eight wearable inertial sensors (MTw Awinda, Movella) on trunk and lower limbs. The ACL-IRD analyzed biomechanics in three risk categories, knee valgus collapse, sagittal knee loading, and trunk–pelvis imbalance, using thresholds from healthy players. A clinician-friendly, automatic report was generated. At-risk biomechanics were identified in 36–37/104 AGTT trials and 25–41/97 FS deceiving actions (at initial contact and peak knee flexion). Over 60% of risky trials involved the ACLR limb. Major risk factors were altered knee/hip flexion ratio, knee valgus, and hip abduction. The ACL-IRD is a novel, clinical-friendly tool designed to identify potential ACL injury risk profiles and is intended to support safer RTS decisions. Full article
Show Figures

Figure 1

13 pages, 1412 KB  
Article
Jaw Clenching Alters Neuromuscular Coordination in Dynamic Postural Tasks: A Pilot Study on Single-Leg Sit-to-Stand Movements
by Yuto Tanaka, Yoshiaki Ono and Yosuke Tomita
Biomechanics 2025, 5(4), 89; https://doi.org/10.3390/biomechanics5040089 - 4 Nov 2025
Viewed by 239
Abstract
Background/Objective: Postural stability and motor coordination require precise regulation of agonist and antagonist muscle activities. Jaw clenching modulates neuromuscular control during static and reactive postural tasks. However, its effects on dynamic voluntary movement remain unclear. This pilot study aimed to investigate the effects [...] Read more.
Background/Objective: Postural stability and motor coordination require precise regulation of agonist and antagonist muscle activities. Jaw clenching modulates neuromuscular control during static and reactive postural tasks. However, its effects on dynamic voluntary movement remain unclear. This pilot study aimed to investigate the effects of jaw clenching on muscle activity and kinematics during repetitive single-leg sit-to-stand task performance. Methods: Eleven healthy adults (age: 21.2 ± 0.4 years; 6 males and 5 females; height: 167.9 ± 9.6 cm; body weight: 59.7 ± 8.1 kg) performed repetitive single-leg sit-to-stand tasks for 30 s under jaw-clenching and control conditions. Electromyography (EMG) signals from eight muscles and kinematic data from 16 inertial measurement unit sensors were analyzed, focusing on the seat-off phase. Results: Jaw clenching resulted in a significantly lower success rate than the control condition (success rate: 0.96 ± 0.13 vs. 0.78 ± 0.29, p = 0.047). Under the jaw clenching condition, failed trials exhibited higher medial gastrocnemius and masseter EMG activity (p < 0.001), lower erector spinae longus EMG activity (p < 0.001), and altered kinematics, including increased trunk yaw and roll angles (p < 0.001). Jaw clenching increased the coactivation of the gastrocnemius and tibialis anterior muscles (p < 0.001), disrupting the reciprocal muscle patterns critical for task performance. Conclusions: These findings suggest that jaw clenching may reduce task performance by altering neuromuscular coordination during dynamic postural tasks. Full article
(This article belongs to the Section Neuromechanics)
Show Figures

Figure 1

Back to TopTop