You are currently on the new version of our website. Access the old version .

40,145 Results Found

  • Study Protocol
  • Open Access
18 Citations
4,654 Views
13 Pages

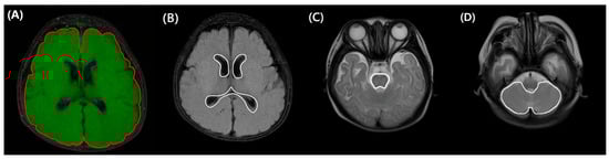
Zika Brazilian Cohorts (ZBC) Consortium: Protocol for an Individual Participant Data Meta-Analysis of Congenital Zika Syndrome after Maternal Exposure during Pregnancy

  • Maria das Graças Costa Alecrim,
  • Melania Maria Ramos de Amorim,
  • Thalia Velho Barreto de Araújo,
  • Patrícia Brasil,
  • Elizabeth B. Brickley,
  • Marcia da Costa Castilho,
  • Bernadete Perez Coelho,
  • Antônio José Ledo Alves da Cunha,
  • Geraldo Duarte and
  • Zika Brazilian Cohorts Consortium (ZBC-Consortium)
  • + 22 authors

16 April 2021

Despite great advances in our knowledge of the consequences of Zika virus to human health, many questions remain unanswered, and results are often inconsistent. The small sample size of individual studies has limited inference about the spectrum of c...

  • Article
  • Open Access
19 Citations
3,605 Views
17 Pages

An Inventory of European Birth Cohorts

  • Claudia Pansieri,
  • Chiara Pandolfini,
  • Antonio Clavenna,
  • Imti Choonara and
  • Maurizio Bonati

Many birth cohorts have been carried out. We performed a review of European birth cohorts to see the countries involved, provide a panorama of the current research topics and design, and, more generally, provide input for those creating collaboration...

  • Communication
  • Open Access
40 Citations
16,191 Views
17 Pages

AGRICOH: A Consortium of Agricultural Cohorts

  • Maria E. Leon,
  • Laura E. Beane Freeman,
  • Jeroen Douwes,
  • Jane A. Hoppin,
  • Hans Kromhout,
  • Pierre Lebailly,
  • Karl-Christian Nordby,
  • Marc Schenker,
  • Joachim Schüz and
  • Aaron Blair
  • + 19 authors

AGRICOH is a recently formed consortium of agricultural cohort studies involving 22 cohorts from nine countries in five continents: South Africa (1), Canada (3), Costa Rica (2), USA (6), Republic of Korea (1), New Zealand (2), Denmark (1), France (3)...

  • Article
  • Open Access
9 Citations
7,039 Views
14 Pages

According to the U.S. Census records, 40% of the population is aged between 35 and 64. This statistic means that a substantial percentage of the nation’s population is in the wealth-formation phase of their life cycle and should be saving towar...

  • Review
  • Open Access
12 Citations
5,409 Views
19 Pages

Methods for Stratification and Validation Cohorts: A Scoping Review

  • Teresa Torres Moral,
  • Albert Sanchez-Niubo,
  • Anna Monistrol-Mula,
  • Chiara Gerardi,
  • Rita Banzi,
  • Paula Garcia,
  • Jacques Demotes-Mainard,
  • Josep Maria Haro and
  • the PERMIT Group

26 April 2022

Personalized medicine requires large cohorts for patient stratification and validation of patient clustering. However, standards and harmonized practices on the methods and tools to be used for the design and management of cohorts in personalized med...

  • Article
  • Open Access
1 Citations
6,530 Views
13 Pages

Informal and Formal Wage Differences Based on Cohorts in Indonesia

  • Rokhedi Priyo Santoso,
  • Gumilang Aryo Sahadewo,
  • Catur Sugiyanto and
  • Sekar Utami Setiastuti

12 December 2022

Labor market dualism has caused a persistent wage gap between formal and informal workers in Indonesia. This study aimed to decompose the wage difference between formal and informal workers based on cohorts in Indonesia and further analyze the factor...

  • Article
  • Open Access
6 Citations
4,059 Views
25 Pages

Evaluating, Filtering and Clustering Genetic Disease Cohorts Based on Human Phenotype Ontology Data with Cohort Analyzer

  • Elena Rojano,
  • José Córdoba-Caballero,
  • Fernando M. Jabato,
  • Diana Gallego,
  • Mercedes Serrano,
  • Belén Pérez,
  • Álvaro Parés-Aguilar,
  • James R. Perkins,
  • Juan A. G. Ranea and
  • Pedro Seoane-Zonjic

27 July 2021

Exhaustive and comprehensive analysis of pathological traits is essential to understanding genetic diseases, performing precise diagnosis and prescribing personalized treatments. It is particularly important for disease cohorts, as thoroughly detaile...

  • Article
  • Open Access
12 Citations
3,002 Views
7 Pages

Results of Pregnancy Control before and during the COVID-19 Pandemic: A Comparison of Two Cohorts

  • Javier Llorca,
  • Carolina Lechosa-Muñiz,
  • Pelayo Frank de Zulueta,
  • Sonia López-Gómez,
  • Victoria Orallo,
  • Jéssica Alonso-Molero,
  • Barbara Arozamena-Llano,
  • Yolanda Jubete,
  • María Paz-Zulueta and
  • on behalf of the MOACC-19 Group
  • + 1 author

The COVID-19 pandemic placed pregnant women at high risk, but behavioural changes have also led to lower rates of preterm births in high-income countries. The main goal of this article is to study the ongoing impact of the COVID-19 pandemic on pregna...

  • Article
  • Open Access
8 Citations
4,858 Views
16 Pages

4 March 2022

The purpose of this study is to segment Turkish wine customers based on generational cohorts. It also explores the characteristics of the customers in each group based on wine attributes, information sources, wine consumption, purchase behaviour and...

  • Review
  • Open Access
6 Citations
3,802 Views
12 Pages

Overview of Federated Facility to Harmonize, Analyze and Management of Missing Data in Cohorts

  • Hema Sekhar Reddy Rajula,
  • Veronika Odintsova,
  • Mirko Manchia and
  • Vassilios Fanos

1 October 2019

Cohorts are instrumental for epidemiologically oriented observational studies. Cohort studies usually observe large groups of individuals for a specific period of time to identify the contributing factors to a specific outcome (for instance an illnes...

  • Feature Paper
  • Article
  • Open Access
698 Views
11 Pages

Long-Term Cancer Incidence Trends in Korea (2001–2020): An Age–Period–Cohort and Joinpoint Analysis with a Focus on Younger Cohorts

  • Hyungho Lee,
  • Mingyu Kim,
  • Geehyun Song,
  • Jae Young Joung,
  • Hokyung Seo,
  • Jin-Ha Yoon and
  • Jinsoo Chung

8 December 2025

Background and Objectives: Cancer incidence patterns in South Korea have shifted markedly over the past two decades, with notable increases among younger generations. Despite growing concern regarding early-onset cancer, comprehensive assessments of...

  • Article
  • Open Access
82 Citations
15,804 Views
25 Pages

Generational Differences toward Organic Food Behavior: Insights from Five Generational Cohorts

  • Irene (Eirini) Kamenidou,
  • Aikaterini Stavrianea and
  • Evangelia-Zoi Bara

15 March 2020

One of the pathways to sustainable food consumption behaviour is the purchase and consumption of organic food products. This paper offers insights into the behaviour exercised by five generational cohorts toward organic products, i.e., Generation Z,...

  • Article
  • Open Access
8 Citations
5,937 Views
22 Pages

Factors Influencing Wine Purchasing by Generation Y and Older Cohorts on the Serbian Wine Market

  • Ivan Balenović,
  • Svetlana Ignjatijević,
  • Goran Stojanović,
  • Jelena Vapa Tankosić,
  • Nemanja Lekić,
  • Olivera Milutinović,
  • Aleksandar Gajić,
  • Miloš Ivaniš,
  • Jelena Bošković and
  • Ljubica Duđak
  • + 2 authors

27 October 2021

This research investigates current preferences in wine purchase patterns and factors that affect the online purchase of wine by Generation Y and older cohorts in the Republic of Serbia. Our research utilizes descriptive statistics, chi-squared tests,...

  • Article
  • Open Access
8 Citations
3,515 Views
17 Pages

Investigating M-Payment Intention across Consumer Cohorts

  • Amonrat Thoumrungroje and
  • Lokweetpun Suprawan

This study investigates the widespread adoption of mobile payments (m-payments) and their impact on different generations, particularly post-COVID-19. We fill a gap in research by suggesting a new way to understand this phenomenon through the lens of...

  • Article
  • Open Access
1 Citations
2,615 Views
14 Pages

Diet-Wide Association Study for the Incidence of Type 2 Diabetes in Three Population-Based Cohorts

  • Hye Won Woo,
  • Manh Thang Hoang,
  • Min-Ho Shin,
  • Sang Baek Koh,
  • Hyeon Chang Kim,
  • Yu-Mi Kim and
  • Mi Kyung Kim

5 November 2024

Background: Dietary factors are well-known modifiable risk factors for type 2 diabetes (T2D), but many studies overlook the interrelationships between these factors, even though foods are often consumed together and contain a variety of nutrients. Ob...

  • Article
  • Open Access
1 Citations
2,313 Views
9 Pages

Association of Gestational Hypertension with Anemia under 5 Years Old: Two Large Longitudinal Chinese Birth Cohorts

  • Hang An,
  • Huiting Chen,
  • Zhiwen Li,
  • Le Zhang,
  • Yali Zhang,
  • Jianmeng Liu,
  • Rongwei Ye and
  • Nan Li

13 April 2022

Gestational hypertension may interfere with the placental iron metabolism, thus probably increasing the risk of childhood anemia. We aim to examine the association between gestational hypertension and childhood anemia at different ages in two large C...

  • Review
  • Open Access
14 Citations
5,445 Views
24 Pages

Non-Athletic Cohorts Enrolled in Longitudinal Whole-Body Electromyostimulation Trials—An Evidence Map

  • Miriam Beier,
  • Daniel Schoene,
  • Matthias Kohl,
  • Simon von Stengel,
  • Michael Uder and
  • Wolfgang Kemmler

2 February 2024

Whole-body electromyostimulation (WB-EMS) can be considered as a time-efficient, joint-friendly, and highly customizable training technology that attracts a wide range of users. The present evidence map aims to provide an overview of different non-at...

  • Article
  • Open Access
8 Citations
4,525 Views
13 Pages

Evaluation of Immune Status in Two Cohorts of Atlantic Salmon Raised in Different Aquaculture Systems (Case Study)

  • Hege Lund,
  • Anne Bakke,
  • Preben Boysen,
  • Sergey Afanasyev,
  • Alexander Rebl,
  • Farah Manji,
  • Gordon Ritchie and
  • Aleksei Krasnov

22 April 2022

Assessment of immune competence of farmed Atlantic salmon is especially important during smoltification and the first several months in the sea. Recently developed tools were applied to salmon raised in a traditional flow-through facility (FT, cohort...

  • Article
  • Open Access
7 Citations
4,512 Views
22 Pages

14 July 2024

This study aims to identify the influence of Generation X and Generation Y on green buying behavior in the Indian context. Based on social cognitive theory and the generational cohort theory, the authors test the impact of Perceived Environmental Res...

  • Commentary
  • Open Access
13 Citations
4,291 Views
13 Pages

In the United States, electronic health records (EHR) are increasingly being incorporated into healthcare organizations to document patient health and services rendered. EHRs serve as a vast repository of demographic, diagnostic, procedural, therapeu...

  • Article
  • Open Access
17 Citations
4,245 Views
17 Pages

Combining Three Cohorts of World Trade Center Rescue/Recovery Workers for Assessing Cancer Incidence and Mortality

  • Robert M. Brackbill,
  • Amy R. Kahn,
  • Jiehui Li,
  • Rachel Zeig-Owens,
  • David G. Goldfarb,
  • Molly Skerker,
  • Mark R. Farfel,
  • James E. Cone,
  • Janette Yung and
  • Charles B. Hall
  • + 11 authors

Three cohorts including the Fire Department of the City of New York (FDNY), the World Trade Center Health Registry (WTCHR), and the General Responder Cohort (GRC), each funded by the World Trade Center Health Program have reported associations betwee...

  • Article
  • Open Access
5 Citations
2,739 Views
11 Pages

Association of Infants Small for Gestational Age with Anemia under Five Years Old in Two Large Longitudinal Chinese Birth Cohorts

  • Nan Li,
  • Hang An,
  • Ming Jin,
  • Zhiwen Li,
  • Yali Zhang,
  • Le Zhang,
  • Jianmeng Liu and
  • Rongwei Ye

27 February 2022

Babies who are born small for their gestational age (SGA) have low iron reserves, thus probably increasing the risk of offspring anemia. We studied two longitudinal birth cohorts to evaluate the association of SGA with the risk of anemia during early...

  • Article
  • Open Access
1,548 Views
29 Pages

Generating Realistic Synthetic Patient Cohorts: Enforcing Statistical Distributions, Correlations, and Logical Constraints

  • Ahmad Nader Fasseeh,
  • Rasha Ashmawy,
  • Rok Hren,
  • Kareem ElFass,
  • Attila Imre,
  • Bertalan Németh,
  • Dávid Nagy,
  • Balázs Nagy and
  • Zoltán Vokó

1 August 2025

Large, high-quality patient datasets are essential for applications like economic modeling and patient simulation. However, real-world data is often inaccessible or incomplete. Synthetic patient data offers an alternative, and current methods often f...

  • Article
  • Open Access
46 Citations
26,317 Views
14 Pages

21 July 2022

The circular economy is one of the crucial issues in fashion because the fashion industry is a major global polluter. Many consumers are adopting a more sustainable lifestyle and it shows in their buying preferences and behaviors. This study aims to...

  • Article
  • Open Access
1,211 Views
28 Pages

12 November 2024

The impact of uncertainty in information systems is difficult to assess, especially when drawing conclusions from human observation records. In this study, we investigate survival variation in a population experiencing infectious disease as a proxy t...

  • Article
  • Open Access
3,034 Views
22 Pages

Probiotics demonstrate the ability to maintain intestinal homeostasis and promote gut health. However, their effects on gut microbiota in adults over 60 years old with chronic metabolic disease (CMD) or cardio-cerebrovascular disease (CCD) remain poo...

  • Article
  • Open Access
4 Citations
4,178 Views
19 Pages

28 August 2023

How to promote the free flow of knowledge among employees is the core factor used to improve the innovation ability and even competitive advantage of an organization. Research on how to reduce knowledge-hiding behavior and promote knowledge sharing a...

  • Article
  • Open Access
1,413 Views
18 Pages

Staphylococcus aureus, Pseudomonas aeruginosa, Acinetobacter species, and Candida species are common ventilator-associated pneumonia (VAP) isolates. Whilst the clinical significance of Candida as a VAP isolate is unclear, evidence is emerging that Ca...

  • Article
  • Open Access
2 Citations
2,801 Views
25 Pages

Genome-Wide Association Study with Three Control Cohorts of Japanese Patients with Esotropia and Exotropia of Comitant Strabismus and Idiopathic Superior Oblique Muscle Palsy

  • Toshihiko Matsuo,
  • Ichiro Hamasaki,
  • Yoichiro Kamatani,
  • Takahisa Kawaguchi,
  • Izumi Yamaguchi,
  • Fumihiko Matsuda,
  • Akira Saito,
  • Kazuyuki Nakazono and
  • Shigeo Kamitsuji

Esotropia and exotropia in the entity of comitant strabismus are multifactorial diseases with both genetic and environmental backgrounds. Idiopathic superior oblique muscle palsy, as the predominant entity of non-comitant (paralytic) strabismus, also...

  • Article
  • Open Access
12 Citations
3,517 Views
25 Pages

Safety and Immunogenicity of Inactivated Whole Virion COVID-19 Vaccine CoviVac in Clinical Trials in 18–60 and 60+ Age Cohorts

  • Ilya V. Gordeychuk,
  • Liubov I. Kozlovskaya,
  • Aleksandra A. Siniugina,
  • Nadezhda V. Yagovkina,
  • Vladimir I. Kuzubov,
  • Konstantin A. Zakharov,
  • Viktor P. Volok,
  • Maria S. Dodina,
  • Larissa V. Gmyl and
  • Aydar A. Ishmukhametov
  • + 29 authors

29 August 2023

We present the results of a randomized, double-blind, placebo-controlled, multi-center clinical trial phase I/II of the tolerability, safety, and immunogenicity of the inactivated whole virion concentrated purified coronavirus vaccine CoviVac in volu...

  • Article
  • Open Access
13 Citations
3,196 Views
13 Pages

Highly variable changes in cognitive functions occur as people get older, and socio-economically disadvantaged older adults are more likely to suffer from cognitive decline. This study aims to identify the longitudinal trend in cognitive functions am...

  • Article
  • Open Access
8 Citations
2,489 Views
17 Pages

Cardiovascular Mortality in 10 Cohorts of Middle-Aged Men Followed-Up 60 Years until Extinction: The Seven Countries Study

  • Alessandro Menotti,
  • Paolo Emilio Puddu,
  • Anthony G. Kafatos,
  • Hanna Tolonen,
  • Hisashi Adachi and
  • David R. Jacobs

Objectives. To investigate mortalities from three major groups of cardiovascular diseases (CVDs) in a pooled cohort and followed up until extinction. Materials and Methods. Ten cohorts of men (N = 9063) initially aged 40–59, in six countries, w...

  • Protocol
  • Open Access
8 Citations
4,148 Views
13 Pages

The Unique Extended Selection Cohorts Design for the Evaluation of the School-Based Jump-In Intervention on Dietary Habits: A Study Protocol

  • Froukje E. Takens,
  • Vincent Busch,
  • Joanne K. Ujčič-Voortman,
  • Manon van Eijsden and
  • Mai J. M. Chinapaw

Background: To promote healthy dietary and physical activity behaviour among primary school children, the city of Amsterdam structurally implements the school-based Jump-in intervention in over half of its primary schools. Previously shown to be effe...

  • Article
  • Open Access
1 Citations
1,158 Views
21 Pages

Diet Quality Modulates Gut Microbiota Structure in Blastocystis-Colonised Individuals from Two Distinct Cohorts with Contrasting Sociodemographic Profiles

  • Claudia Muñoz-Yáñez,
  • Alejandra Méndez-Hernández,
  • Faviel Francisco González-Galarza,
  • Adria Imelda Prieto-Hinojosa and
  • Janeth Oliva Guangorena-Gómez

Diet and gut microbiota are significant determinants of host health, but how dietary quality modulates gut microbiota in Blastocystis-colonised individuals remains underexplored. We studied two contrasting cohorts: university students (FACSA, n = 46)...

  • Article
  • Open Access
1 Citations
2,322 Views
15 Pages

TyG Index and Related Indices Predicting Hypertension: Mediation by Neutrophil-to-Lymphocyte Ratio in Multiple Chinese Cohorts

  • Mengwen Sun,
  • Yuanyuan Huang,
  • Na Luo,
  • Jinkai Qiu,
  • Yuxuan Lin,
  • Yan Huang,
  • Xiaofeng Zheng,
  • Weihong Qiu,
  • Shanshan Du and
  • Heng-Gui Chen
  • + 1 author

3 September 2025

Background: Hypertension remains a leading cause of cardiovascular morbidity and mortality globally, and insulin resistance (IR) and systemic inflammation are implicated in the pathogenesis of hypertension. Limited evidence exists on the predictive r...

  • Article
  • Open Access
12 Citations
4,480 Views
11 Pages

This study aimed to investigate the coverage of hepatitis B vaccine (Hep B) and its completeness and timeliness for birth cohorts from 1999 to 2017 in Zhejiang province, East China. Demographic characteristics and vaccination records of Hep B of chil...

  • Feature Paper
  • Article
  • Open Access
4 Citations
3,158 Views
14 Pages

An Italian Network of Population-Based Birth Cohorts to Evaluate Social and Environmental Risk Factors on Pregnancy Outcomes: The LEAP Study

  • Teresa Spadea,
  • Barbara Pacelli,
  • Andrea Ranzi,
  • Claudia Galassi,
  • Raffaella Rusciani,
  • Moreno Demaria,
  • Nicola Caranci,
  • Paola Michelozzi,
  • Francesco Cerza and
  • Giulia Cesaroni
  • + 2 authors

In Italy, few multicentre population-based studies on pregnancy outcomes are available. Therefore, we established a network of population-based birth cohorts in the cities of Turin, Reggio Emilia, Modena, Bologna, and Rome (northern and central Italy...

  • Article
  • Open Access
32 Citations
8,316 Views
12 Pages

Effect of Genetically Low 25-Hydroxyvitamin D on Mortality Risk: Mendelian Randomization Analysis in 3 Large European Cohorts

  • Thor Aspelund,
  • Martin R. Grübler,
  • Albert V. Smith,
  • Elias F. Gudmundsson,
  • Martin Keppel,
  • Mary Frances Cotch,
  • Tamara B. Harris,
  • Rolf Jorde,
  • Guri Grimnes and
  • Gudny Eiriksdottir
  • + 23 authors

2 January 2019

The aim of this study was to determine if increased mortality associated with low levels of serum 25-hydroxyvitamin D (25(OH)D) reflects a causal relationship by using a Mendelian randomisation (MR) approach with genetic variants in the vitamin D syn...

  • Article
  • Open Access
2 Citations
4,310 Views
14 Pages

Newly Diagnosed Crohn’s Disease Patients in India and Israel Display Distinct Presentations and Serological Markers: Insights from Prospective Cohorts

  • Idan Goren,
  • Tali Sharar Fischler,
  • Henit Yanai,
  • Partha Pal,
  • Bhargavi Adigopula,
  • Sushmitha Pendyala,
  • Girish Ganesh,
  • Ravikanth Vishnubhotla,
  • Keren Masha Rabinowitz and
  • Iris Dotan
  • + 5 authors

22 November 2022

Background: Crohn’s disease (CD) incidence is rising in India. However, features of newly diagnosed patients with CD in this population are largely unknown. The Indo-Israeli IBD GastroEnterology paRtnership (TiiiGER) aimed to investigate differ...

  • Article
  • Open Access
9 Citations
5,361 Views
16 Pages

Comparison of Experiences in Two Birth Cohorts Comprising Young Families with Children under Four Years during the Initial COVID-19 Lockdown in Australia and the UK: A Qualitative Study

  • Lisa Y. Gibson,
  • Bridget Lockyer,
  • Josie Dickerson,
  • Charlotte Endacott,
  • Sally Bridges,
  • Rosemary R. C. McEachan,
  • Kate E. Pickett,
  • Sarah Whalan,
  • Natasha L. Bear and
  • Jacqueline A. Davis
  • + 2 authors

This study aims to understand the experience and impact of the initial COVID-19 lockdown in young families with children aged below 4 years. Free text questions were administered to participants in the ORIGINS (Australia) and Born in Bradford (UK) co...

  • Article
  • Open Access
9 Citations
5,571 Views
15 Pages

Volunteering is associated with greater mental, physical and social wellbeing. However, less is known about whether the health benefits of volunteering vary with two sets of factors known to shape population health and health-related behaviours: (1)...

  • Article
  • Open Access
954 Views
19 Pages

19 September 2025

The contribution of serum lipids to carcinogenesis, including their effects on inflammation and oxidative stress, remains debated due to inconsistent evidence across populations. This study aimed to elucidate sex- and ethnic-specific associations bet...

  • Article
  • Open Access
2,013 Views
16 Pages

5 September 2025

Background: Whole-slide images (WSIs) are crucial in pathology for digitizing tissue slides, enabling pathologists and AI models to analyze cancer patterns at gigapixel scale. However, their large size incorporates artifacts and non-tissue regions th...

  • Article
  • Open Access
4 Citations
2,500 Views
14 Pages

New Evaluation of Postovulatory Follicle Degeneration at High-Temperature Regimes Refines Criteria for the Identification of Spawning Cohorts in the European Anchovy (Engraulis encrasicolus)

  • Rosalia Ferreri,
  • Marco Barra,
  • Antonella Gargano,
  • Salvatore Aronica,
  • Angelo Bonanno,
  • Simona Genovese,
  • Paola Rumolo and
  • Gualtiero Basilone

18 February 2021

Accurate stock assessment estimates of fish resources are essential in fishery management. Wide fluctuations in abundance arising from variations in reproductive success are characteristic of many marine fish populations, including multiple spawner s...

  • Article
  • Open Access
17 Citations
10,693 Views
33 Pages

12 February 2018

In this paper, we analyze whether work values differ between three dimensions of time (age, birth cohort, period). Using data of five waves of the World Values Survey and the European Values Study from more than forty countries and hierarchical age-p...

  • Article
  • Open Access
9 Citations
3,952 Views
15 Pages

The Microcephaly Epidemic Research Group Paediatric Cohort (MERG–PC): A Cohort Profile

  • Demócrito de Barros Miranda-Filho,
  • Elizabeth B. Brickley,
  • Anna Ramond,
  • Celina Maria Turchi Martelli,
  • Nuria Sanchez Clemente,
  • Thália Velho Barreto de Araújo,
  • Laura Cunha Rodrigues,
  • Ulisses Ramos Montarroyos,
  • Wayner Vieira de Souza and
  • on behalf of the Microcephaly Epidemic Research Group
  • + 16 authors

1 April 2021

This cohort profile aims to describe the ongoing follow-up of children in the Microcephaly Epidemic Research Group Paediatric Cohort (MERG–PC). The profile details the context and aims of the study, study population, methodology including assessments...

  • Article
  • Open Access
2 Citations
1,947 Views
16 Pages

30 June 2024

Aim and Background: To determine whether occupational physical activity (OPA) and physical fitness (Fitscore) predict cardiovascular disease (CVD) mortality and its components. Methods: Among middle-aged men (N = 5482) of seven cohorts of the Seven C...

  • Article
  • Open Access
1 Citations
2,123 Views
11 Pages

3 December 2023

Recent studies have shed light on alterations to the proinflammatory tumor microenvironment as a significant carcinogenic mechanism. Despite previous studies on associations between proinflammatory cytokines and lung cancer risk, few studies have bee...

  • Data Descriptor
  • Open Access
17 Citations
4,749 Views
8 Pages

Full-Body Mobility Data to Validate Inertial Measurement Unit Algorithms in Healthy and Neurological Cohorts

  • Elke Warmerdam,
  • Clint Hansen,
  • Robbin Romijnders,
  • Markus A. Hobert,
  • Julius Welzel and
  • Walter Maetzler

27 September 2022

Gait and balance dysfunctions are common in neurological disorders and have a negative effect on quality of life. Regularly quantifying these mobility limitations can be used to measure disease progression and the effect of treatment. This informatio...

  • Review
  • Open Access
1 Citations
4,953 Views
25 Pages

The Association of Food Insecurity and Risk of Mortality: A Systematic Review and Meta-Analysis of Large-Scale Cohorts

  • Cyrus Jalili,
  • Seyedeh Parisa Moosavian,
  • Farhang Hameed Awlqadr,
  • Sanaz Mehrabani,
  • Reza Bagheri,
  • Matin Sedighy,
  • Shirley Hodder,
  • Faramarz Jalili,
  • Mohammad Ali Hojjati Kermani and
  • Fred Dutheil
  • + 2 authors

5 June 2025

Objectives: Food insecurity (FI) represents a significant global public health issue, yet existing literature presents inconsistent findings regarding its association with mortality risk. This systematic review and meta-analysis aimed to synthesize a...

of 803