Sign in to use this feature.

Years

Between: -

Subjects

remove_circle_outline
remove_circle_outline
remove_circle_outline
remove_circle_outline
remove_circle_outline
remove_circle_outline
remove_circle_outline
remove_circle_outline
remove_circle_outline

Journals

remove_circle_outline
remove_circle_outline
remove_circle_outline

Article Types

Countries / Regions

remove_circle_outline
remove_circle_outline
remove_circle_outline
remove_circle_outline
remove_circle_outline

Search Results (305)

Search Parameters:
Keywords = crown shape

Order results
Result details
Results per page
Select all
Export citation of selected articles as:
28 pages, 43590 KB  
Article
TreeSpecViT: Fine-Grained Tree Species Classification from UAV RGB Imagery for Campus-Scale Human–Vegetation Coupling Analysis
by Yinghui Yuan, Yunfeng Yang, Zhulin Chen and Sheng Xu
Remote Sens. 2026, 18(6), 928; https://doi.org/10.3390/rs18060928 - 18 Mar 2026
Abstract
On university campuses, trees and green spaces shape how students and staff move and use outdoor spaces. To support planning, tree species information is needed at the level of individual trees. Tree species classification from UAV RGB imagery remains difficult in complex campus [...] Read more.
On university campuses, trees and green spaces shape how students and staff move and use outdoor spaces. To support planning, tree species information is needed at the level of individual trees. Tree species classification from UAV RGB imagery remains difficult in complex campus scenes because roads, buildings, shadows and subtle inter species differences degrade recognition. To address background interference, the loss of subtle fine-grained cues before tokenization, and insufficient local structure modeling in lightweight transformer-based classification, we propose TreeSpecViT for tree species classification. It uses a MobileViT backbone and a Background Suppression Module (BSM) to reduce clutter from non-canopy regions. A Fine-Grained Feature Guidance (FGF) module is inserted before the unfold operation to enhance canopy details and guide tokenization toward key regions. 1×1 convolutional neck layers align channels, and a Global and Local Fusion (GLF) module jointly models overall crown semantics and local textures for species recognition. From the predicted masks and species labels, we build an individual tree digital archive. The archive stores per tree geometric attributes and can be linked with grids of campus activity intensity to analyze how activity patterns relate to vegetation structure. TreeSpecViT achieves an Accuracy of 87.88% (+6.06%) and an F1 score of 76.48% (+5.08%) on the SZUTreeDataset. On our self constructed NJFUDataset, it reaches 76.30% (+5.10%) in Accuracy and 70.10% (+7.20%) in F1. These results surpass mainstream models. Ablation experiments show that the modules jointly reduce background clutter and enhance canopy features. Overall, TreeSpecViT supports campus scale analyses that link human activity intensity to vegetation patterns and provides a practical basis for planning and adjusting campus green spaces. Full article
15 pages, 875 KB  
Article
Influence of a Carbonated Nutritional Beverage on Surface Integrity and Color Stability of 3D-Printed Resin Composite and Hybrid Ceramic Dental Prosthetic Materials
by Mohamed M. Kandil, Tamer M. Hamdy, Ali Abdelnabi, Sahar Ahmed Abdalbary, Anas Abed Alkhormani and Maha S. Othman
Prosthesis 2026, 8(3), 30; https://doi.org/10.3390/prosthesis8030030 - 17 Mar 2026
Abstract
Background: 3D-printed resin composite and hybrid ceramic materials are widely used in prosthetic dentistry for their esthetic, mechanical advantages, and digital compatibility, though their surface properties may be affected by drinking habits. This study aimed to evaluate the influence of a carbonated [...] Read more.
Background: 3D-printed resin composite and hybrid ceramic materials are widely used in prosthetic dentistry for their esthetic, mechanical advantages, and digital compatibility, though their surface properties may be affected by drinking habits. This study aimed to evaluate the influence of a carbonated nutritional beverage multivitamin drink (Oronamin C) on the surface microhardness, roughness, solubility, and color changes in a recently introduced 3D-printed resin composite (Permanent Crown Resin), hybrid ceramic material (Vita Enamic) and a nanohybrid resin composite (Luna). Methods: A total of 120 disk-shaped specimens were distributed according to the type of material into three groups (n = 40). These were divided into four subgroups of specimens for each test (n = 10). The specimens were examined before and after immersion in Oronamin C solution for 12 days. Results: The results showed that there was no significant change in surface microhardness and surface roughness in both 3D-printed resin composite and hybrid ceramic after immersion, while microhardness decreased significantly in the nanohybrid resin composite with an increase in surface roughness. Solubility increased significantly in the nanohybrid and 3D-printed resin composites, but not in the hybrid ceramic. All materials presented clinically acceptable color changes, with mean values lower for both nanohybrid and hybrid ceramic. Conclusions: This study concluded that the hybrid ceramic and 3D-printed resin composite exhibited good stability after Oronamin C beverage exposure, whereas the nanohybrid resin composite exhibited the most impairment among all materials. All materials demonstrated clinically acceptable color changes. Full article
Show Figures

Figure 1

19 pages, 11861 KB  
Article
A Giant Halisaurine from the Late Maastrichtian of Morocco
by Nicholas R. Longrich and Nour-Eddine Jalil
Diversity 2026, 18(3), 159; https://doi.org/10.3390/d18030159 - 5 Mar 2026
Viewed by 2422
Abstract
The Late Cretaceous deposits of Morocco have yielded one of the richest and most diverse assemblages of marine reptiles in the world, with the mosasaurids representing the dominant group. Among the most common mosasaurs are members of the subfamily Halisaurinae. Halisaurines ranged in [...] Read more.
The Late Cretaceous deposits of Morocco have yielded one of the richest and most diverse assemblages of marine reptiles in the world, with the mosasaurids representing the dominant group. Among the most common mosasaurs are members of the subfamily Halisaurinae. Halisaurines ranged in size from the relatively small Halisaurus, which reached 4–5 m in length, to the larger Pluridens serpentis, which may have reached 7.5 m in length. Here we report a new, giant species of Pluridens, Pluridens imelaki. The new Pluridens is characterized by a slender, rectangular snout, a T-shaped premaxilla–maxilla junction, interlocking premaxilla–maxilla joint, a prominent dorsal ridge on the premaxilla, an exceptionally long and slender mandible, a tooth count of ~25 dentary teeth, straight, triangular tooth crowns that are strongly bent back just above the tooth–root junction, a low coronoid process and a tall and slender retroarticular process. The skull is 1.25 m long, suggesting a body length of ~9 m or more, comparable in size to large predators such as Thalassotitan. Differences between P. imaleki and P. serpentis in the jaw and tooth structure, eye size and innervation of the rostrum, as well as overall size, suggest they had different foraging strategies and occupied distinct ecological niches. Pluridens imelaki reveals that Halisaurinae were not only more species-rich than previously recognized, but also exhibited greater diversity in tooth morphology, jaw shape, and body size than previously thought. Rather than simply being outcompeted by Mosasaurinae, the Halisaurinae staged a minor adaptive radiation in the Late Cretaceous and were important members of the ecosystem in low latitudes. Pluridens imelaki appears to have been exceptionally rare in the phosphates, being documented by only a single specimen among the many hundreds of mosasaur remains recovered over many years. This underscores how the species richness of the phosphates and other diverse assemblages is driven by rare taxa that are only revealed through extensive sampling. Full article
Show Figures

Figure 1

22 pages, 5622 KB  
Article
Research on the Mechanical Model of the Tunnel Supporting Structure Shell Based on the Modified Ellipsoid Theory
by Yang Sun, Yitian Yu, Haibin Ding and Tao Fang
Appl. Sci. 2026, 16(3), 1567; https://doi.org/10.3390/app16031567 - 4 Feb 2026
Viewed by 254
Abstract
Accurate assessment of tunnel lining deformations and stress distributions critically governs structural integrity, while miscalculations may trigger construction delays and budget overruns. A mechanical shell model for tunnel supports was developed, integrating the modified ellipsoid theory to analytically resolve vertical displacements and internal [...] Read more.
Accurate assessment of tunnel lining deformations and stress distributions critically governs structural integrity, while miscalculations may trigger construction delays and budget overruns. A mechanical shell model for tunnel supports was developed, integrating the modified ellipsoid theory to analytically resolve vertical displacements and internal stresses. Numerical validation through finite element simulations confirmed model efficacy. The influence of key geometric and material parameters encompassing height-to-width ratio, burial depth, lining thickness, and elastic modulus on tunnel support displacement and stress distributions was systematically investigated. Parametric analysis revealed that vertical displacement exhibited greater sensitivity to height-to-width ratio variations compared to burial depth. Longitudinal distributions demonstrated similar trends axial force and vertical displacement, with bending moments and shear forces exhibiting analogous behavioral patterns. Transver sely, axial forces and vertical displacements adopted a symmetrical trough (U-shaped) profile, while bending moments and shear forces formed a bimodal (M-shaped) distribution with attenuated gradients near the crown region. This computational model establishes a practical analytical tool for evaluating post-support tunnel deformation and structural load distributions. Full article
Show Figures

Figure 1

16 pages, 5027 KB  
Article
Surface Properties of Dental Materials Influence the In Vitro Multi-Species Biofilm Formation
by Sabina Noreen Wuersching, David Manghofer, Bogna Stawarczyk, Jan-Frederik Gueth and Maximilian Kollmuss
Polymers 2026, 18(2), 288; https://doi.org/10.3390/polym18020288 - 21 Jan 2026
Viewed by 382
Abstract
This study examined the association between biofilm growth and surface properties of 3D printed, milled, and conventional materials used for manufacturing fixed dental prostheses. Disc-shaped specimens were produced and finished from five 3D-printing resins (VarseoSmile Crown plus [VSC], NextDent C&B MFH [ND], VarseoSmile [...] Read more.
This study examined the association between biofilm growth and surface properties of 3D printed, milled, and conventional materials used for manufacturing fixed dental prostheses. Disc-shaped specimens were produced and finished from five 3D-printing resins (VarseoSmile Crown plus [VSC], NextDent C&B MFH [ND], VarseoSmile Temp [VST], Temp PRINT [TP], P Pro Crown & Bridge [P]), two polymer milling blocks (composite: TetricCAD [TC], PMMA: TelioCAD [TEL]), two conventional polymer materials (Tetric EvoCeram [TEC], Protemp 4 [PT]), and zirconia (ZR). Surface roughness (Ra), wettability, interfacial tension (IFT) and surface topography were examined. Three-day biofilms were grown on the specimens using A. naeslundii, S. gordonii, S. mutans, S. oralis, and S. sanguinis in a multi-species suspension. Biofilms were quantified by crystal violet staining and with a plating and culture method (CFU/mL). Linear regression analysis was computed to demonstrate associations between the surface properties and biofilm growth. The strength of this relationship was quantified by calculating Spearman’s ρ. TC exhibited the highest, and TP the lowest IFT. TEC showed the highest Ra, while TEL had the lowest, with significant differences detected particularly between milled and 3D-printed specimens. TP specimens exhibited the highest biofilm mass, while ZR surfaces retained the least. Bacterial viability within the biofilms remained similar across all tested materials. There was a strong negative correlation between total IFT and biofilm mass, and a moderate positive correlation between Ra and CFU/mL. Surface properties are shaped by material composition, microstructure, and manufacturing methods and play a crucial role in biofilm formation on dental restorations. Full article
Show Figures

Figure 1

17 pages, 5273 KB  
Article
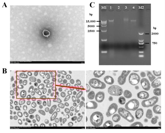
Novel Lytic Bacteriophage PAT-A: Isolation, Characterization, Genome Analysis, and Biocontrol Potential Against Agrobacterium tumefaciens
by Chenglin Liang, Wei Tian, Jianlong Liu, Zan Zhang and Dingli Li
Microorganisms 2026, 14(1), 223; https://doi.org/10.3390/microorganisms14010223 - 18 Jan 2026
Viewed by 322
Abstract
Agrobacterium tumefaciens, a destructive pathogen causing crown gall disease, results in substantial agricultural losses. Traditional chemical and existing biocontrol methods are limited by environmental pollution, pesticide resistance, and low efficacy, while bacteriophages emerge as a promising alternative due to their high host [...] Read more.
Agrobacterium tumefaciens, a destructive pathogen causing crown gall disease, results in substantial agricultural losses. Traditional chemical and existing biocontrol methods are limited by environmental pollution, pesticide resistance, and low efficacy, while bacteriophages emerge as a promising alternative due to their high host specificity, environmental compatibility, and low resistance risk. In this study, we isolated and characterized a lytic phage (PAT-A) targeting A. tumefaciens, evaluating its biological traits, genomic features, and biocontrol potential. The host strain A. tumefaciens CL-1 was isolated from cherry crown gall tissue and identified by 16S rDNA sequencing. Phage PAT-A was recovered from orchard soil via the double-layer agar method, showing a tadpole-shaped morphology (60 nm head diameter, 30 nm tail length) under transmission electron microscopy (TEM). Nucleic acid analysis confirmed a double-stranded DNA genome, susceptible to DNase I but resistant to RNase A and Mung Bean Nuclease. PAT-A exhibited an optimal MOI of 0.01, tolerated wide pH and temperature ranges, but was sensitive to UV (titer declined after 15 min of irradiation) and chloroform (8% survival at a 5% concentration). Whole-genome sequencing revealed a 44,828 bp genome with a compact structure, and phylogenetic/collinearity analyses placed it in the Atuphduvirus genus (Autographiviridae). Biocontrol experiments on tobacco plants demonstrated that PAT-A significantly reduced crown gall incidence. Specifically, simultaneous inoculation of PAT-A and A. tumefaciens CL-1 resulted in the lowest tumor incidence (12.0%), while pre-inoculation of PAT-A 2 days before pathogen exposure achieved an incidence rate of 33.3%. In conclusion, PAT-A is a novel strictly lytic phage with favorable biological properties and potent biocontrol efficacy against A. tumefaciens, enriching phage resources for crown gall management and supporting phage-based agricultural biocontrol strategies. Full article
(This article belongs to the Section Microbial Biotechnology)
Show Figures

Figure 1

20 pages, 2313 KB  
Article
Estimating Carbon Sequestration of Urban Street Trees Using UAV-Derived 3D Green Quantity and the Simpson Model
by Xiaoxiao Ma and Tianyi Liu
Forests 2026, 17(1), 125; https://doi.org/10.3390/f17010125 - 16 Jan 2026
Viewed by 296
Abstract
Accurately measuring the three-dimensional green quantity (3DGQ) of urban trees is crucial for quantifying carbon sequestration benefits (CSB) in high-density cities. In this study, 540 street trees across 18 species (30 per species) in Shanghai were analyzed to evaluate an Improved Simpson Model [...] Read more.
Accurately measuring the three-dimensional green quantity (3DGQ) of urban trees is crucial for quantifying carbon sequestration benefits (CSB) in high-density cities. In this study, 540 street trees across 18 species (30 per species) in Shanghai were analyzed to evaluate an Improved Simpson Model (ISM) for UAV-derived crown volume estimation against a traditional Approximate Geometry Model (AGM) and a LiDAR-based point cloud method (PCM). The ISM integrates UAV imagery, edge-based canopy profiling, and Simpson’s numerical integration to account for irregular crown shapes and internal leaf-stem gaps. Results show that ISM achieved consistently lower estimation errors than the benchmark methods. Overall, ISM’s 3DGQ estimates had a root mean square error (RMSE) of approximately 5.2 m3 and a mean absolute error (MAE) of about 4.1 m3, indicating a close match with PCM reference values. This represents a dramatic error reduction, on the order of 90%–95% improvement in RMSE, compared to the conventional AGM approach. Broadleaf species with dense, regular canopies (e.g., Cinnamomum camphora and Platanus × acerifolia) exhibited the highest accuracy, with ISM-predicted volumes deviating only ~1%–2% from field measurements. Even for species with more irregular or porous crowns, the ISM maintained robust performance, yielding smaller errors than AGM and nearly matching the LiDAR-based PCM “ground truth.” These findings demonstrate that the proposed ISM can provide highly accurate 3D crown volume and carbon sequestration estimates in complex urban environments, outperforming existing geometric models and offering a practical, efficient alternative to labor-intensive LiDAR surveys. Full article
Show Figures

Figure 1

18 pages, 4725 KB  
Article
Structural Parametric Study of an Ultra-High-Head Pump–Turbine Runner for Enhanced Frequency Safety Margin
by Meng Liu, Feng Jin, Xingxing Huang, Dawei Zheng, Zhengwei Wang, Zebin Lai and Jian Liu
Processes 2026, 14(2), 284; https://doi.org/10.3390/pr14020284 - 14 Jan 2026
Viewed by 267
Abstract
Structural optimization focusing on the root fillet radius and the crown and band thicknesses was implemented to prevent rotor–stator interaction-induced resonance, with the objective of enhancing the frequency safety margin for the 4-nodal-diameter mode shape. An ultra-high-head pump–turbine runner is analyzed using an [...] Read more.
Structural optimization focusing on the root fillet radius and the crown and band thicknesses was implemented to prevent rotor–stator interaction-induced resonance, with the objective of enhancing the frequency safety margin for the 4-nodal-diameter mode shape. An ultra-high-head pump–turbine runner is analyzed using an acoustic fluid–structure coupling method to investigate modal characteristics and identify effective design improvements. The results show that increasing the root fillet radius from 0 to 50 mm raises the frequency safety margin from 3.7% to 8.5%, thereby significantly reducing the resonance risk. Likewise, increasing the thickness of the crown, the band, or both leads to higher frequency safety margins, with simultaneous thickening of both components delivering the most improvement. Frequency safety margins continue to rise as the degree of thickening increases. When a runner’s natural frequency is only slightly higher than the corresponding excitation frequency, design measures such as enlarging the root fillet radius and jointly thickening the crown and band effectively expand the frequency safety margin. These findings can provide designers with both qualitative and quantitative references when modifying these structural parameters to mitigate resonance risk. Full article
(This article belongs to the Special Issue CFD Simulation of Fluid Machinery)
Show Figures

Figure 1

14 pages, 1848 KB  
Article
The Accuracy of Maxillary Canines’ Rotation with Different Attachment Designs: A Retrospective Study
by Edoardo Staderini, Marianna Balacco, Federica Guglielmi, Michele Tepedino, Anna Alessandri-Bonetti, Rosalba Diana, Licia Leccese, Massimo Cordaro and Patrizia Gallenzi
J. Clin. Med. 2026, 15(2), 632; https://doi.org/10.3390/jcm15020632 - 13 Jan 2026
Viewed by 373
Abstract
Background/Objectives: The rotation of maxillary canines represents one of the least predictable movements with clear aligners, particularly in cases requiring rotations greater than 10°, due to the rounded crown morphology and limited aligner grip. The aim of this retrospective study was to [...] Read more.
Background/Objectives: The rotation of maxillary canines represents one of the least predictable movements with clear aligners, particularly in cases requiring rotations greater than 10°, due to the rounded crown morphology and limited aligner grip. The aim of this retrospective study was to compare three different crescent-shaped attachment designs (vertical, horizontal, and oblique) for maxillary canine rotations greater than 10° with clear aligners. Methods: Seventy-eight maxillary canines were retrospectively selected and allocated into three equal groups (n = 26) according to the orientation of the applied attachment: vertical, horizontal, or oblique crescent-shaped attachments. Digital STL models (initial, predicted, and final) were imported into Dolphin 3D software 12.0.63 to assess the accuracy of maxillary canine’s rotation through the comparison between planned and achieved values. Results: Mean rotational accuracy was 55.10% ± 15.60 for the vertical group, 62.40% ± 16.10 for the horizontal group, and 64.60% ± 19.40 for the oblique group. One-way ANOVA showed no statistically significant differences among groups (p = 0.09). Pairwise analysis revealed a statistically significant difference between the oblique and vertical designs (p = 0.05). Conclusions: Attachment orientation may influence the accuracy of maxillary canine rotation with clear aligners, with oblique crescent-shaped attachments showing a trend toward improved rotational control. Full article
(This article belongs to the Special Issue Latest Advances in Orthodontics)
Show Figures

Figure 1

10 pages, 461 KB  
Article
Evaluation of Parents and Child Satisfaction Toward Primary Molar Restoration with Preformed Metal Crowns and Its Impact on Child Bullying
by Abdulfatah Alazmah
Healthcare 2026, 14(1), 62; https://doi.org/10.3390/healthcare14010062 - 26 Dec 2025
Viewed by 359
Abstract
Objective: This study aimed to assess the psychosocial impact of stainless steel crowns (SSCs) among primary school children in Dammam, Saudi Arabia, focusing on bullying experiences, child satisfaction, and parental perception. Methods: A cross-sectional survey was conducted in June 2025 among 123 children [...] Read more.
Objective: This study aimed to assess the psychosocial impact of stainless steel crowns (SSCs) among primary school children in Dammam, Saudi Arabia, focusing on bullying experiences, child satisfaction, and parental perception. Methods: A cross-sectional survey was conducted in June 2025 among 123 children (mean age 7.8 years; 52% male) from two randomly selected schools. Schools were chosen using simple random sampling from a Ministry of Education-approved list. All children aged 6–10 years with at least one SSC placed for six months or more were eligible. A validated, self-administered questionnaire completed by children and their parents assessed bullying related to SSCs, satisfaction with the crown’s appearance, and perceived impact. Statistical analyses included descriptive statistics, Chi-square tests, and logistic regression to evaluate associations between variables (p < 0.05). Results: Bullying was reported by 39.0% of children, primarily verbal (58.1%), followed by social exclusion (29.1%). Although gender differences in bullying were not statistically significant (p = 0.829), boys more often reported nickname-based teasing (p < 0.001). Only 35.0% of children were satisfied with the crown’s shape and 29.3% with its color. Nearly half (48.8%) felt uncomfortable when asked about it. In contrast, parental satisfaction was higher (69.1%), though only 42.3% believed their child had fully accepted the crown. Conclusions: While SSCs are clinically effective and accepted by most parents, a notable proportion of children experience bullying and aesthetic dissatisfaction. These findings highlight the need for child-centered care and consideration of esthetic alternatives. Full article
Show Figures

Figure 1

18 pages, 4883 KB  
Article
Study on Construction Mechanical Characteristics and Offset Optimization of Double Side Drift Method for Large-Span Tunnels in Argillaceous Soft Rock
by Wei He, Tengyu Wang, Yangyu Zhang and Feng Wang
Buildings 2026, 16(1), 23; https://doi.org/10.3390/buildings16010023 - 20 Dec 2025
Viewed by 376
Abstract
This study focuses on a large-span highway tunnel in argillaceous soft rock. Numerical simulations were conducted to investigate the mechanical characteristics of the tunnel, constructed using the Double Side Drift Method (DSDM), and the effects of the offset distance between drift faces. Subsequently, [...] Read more.
This study focuses on a large-span highway tunnel in argillaceous soft rock. Numerical simulations were conducted to investigate the mechanical characteristics of the tunnel, constructed using the Double Side Drift Method (DSDM), and the effects of the offset distance between drift faces. Subsequently, field monitoring was performed to analyze the deformation patterns of the primary support at typical cross-sections. The results indicate the following: (1) During DSDM construction in argillaceous soft rock, the crown settlement of the left drift is the largest, while that of the central drift is the smallest. The left and right drifts converge inward, whereas the central drift expands outward, resulting in overall inward convergence of the tunnel section, with the left drift exhibiting a larger convergence. The crown settlement and horizontal convergence induced by excavation of the upper benches of each drift are greater than those caused by the lower benches. (2) The stresses in the primary support increase rapidly after excavation of each segment and then tend to stabilize. The maximum tensile stress occurs at the left haunch, reaching 0.41 MPa, while the maximum compressive stress occurs at the left arch waist, reaching 14.56 MPa. After the tunnel excavation is completed and the section is enclosed, the stress on the left side is significantly higher than that on the right, indicating an eccentric stress state. The plastic zones in the surrounding rock exhibit a butterfly-shaped distribution, mainly concentrated at the haunches and arch springings on both sides. (3) As the offset distance decreases, the deformation of the primary support reduces, whereas the stress and the area of the surrounding rock plastic zones increase. When the offset distance is less than 15 m, both the stress in the primary support and the plastic zone area increase sharply, suggesting that the drift face offset distance should not be less than 15 m. (4) Field monitoring shows that the maximum cumulative crown settlement of the primary support reaches 30.2 mm, and the cumulative horizontal convergence of the section is 35.6 mm, both of which are below the reserved deformation allowance. Full article
Show Figures

Figure 1

19 pages, 1987 KB  
Article
Structural Design and Energy Dissipation Characteristics of a Horizontal Opposing Jet Energy Dissipator
by Lianle Wang, Qiongqiong Gu, Xihuan Sun, Yongye Li and Juanjuan Ma
Water 2026, 18(1), 8; https://doi.org/10.3390/w18010008 - 19 Dec 2025
Cited by 1 | Viewed by 398
Abstract
To address the limitations of traditional energy dissipation technologies, such as difficulty in arranging energy dissipators due to narrow river valleys and complex geological conditions and the low energy dissipation efficiency of existing air jet collision methods, this study proposes a novel structural [...] Read more.
To address the limitations of traditional energy dissipation technologies, such as difficulty in arranging energy dissipators due to narrow river valleys and complex geological conditions and the low energy dissipation efficiency of existing air jet collision methods, this study proposes a novel structural form of a horizontal opposing jet energy dissipator. Water is diverted to the open area downstream of the reservoir hub via diversion pipelines, and energy dissipation is achieved through horizontal opposing collision of jets in the air. Focusing on this new energy dissipator, numerical simulations combined with physical experiments were conducted to investigate its energy dissipation characteristics, with the dimensionless parameters l/d (collision distance/pipeline diameter) and Reynolds number (Re) as the main variables. The results indicate that two opposing jets formed a crown-shaped water jet after horizontal collision in the air. The rising height in the Z-direction and expanding width in the Y-direction of the crown-shaped water jet exhibit a negative correlation with l/d and a positive correlation with Re. Energy dissipation was achieved through jet collision, mixing, friction, diffusion, aeration, and fragmentation in the air. This energy dissipation method improved the energy dissipation rate by extending the collision time and mixing length of jets in the air. The primary factors influencing the energy dissipation rate were l/d and Re. Under the study conditions, the energy dissipation rate of jet collision in the air ranged from 16.25% to 39.54%. The energy dissipation efficiency exhibits a negative correlation with l/d and a positive correlation with Re. This study provides a new approach for energy dissipation in hydraulic engineering. Full article
(This article belongs to the Section Water-Energy Nexus)
Show Figures

Figure 1

25 pages, 6258 KB  
Article
Optimization of Thermal Comfort Evaluation for Elderly Individuals in Winter Urban Parks Based on Plant Elements Within Landscape Spaces—Taking Beijing Zizhuyuan and Taoranting Parks as Examples
by Yan Lu, Zirui Wang, Yiyang Li and Shuyi Yan
Land 2025, 14(12), 2440; https://doi.org/10.3390/land14122440 - 17 Dec 2025
Viewed by 598
Abstract
Against the backdrop of accelerating population aging, urban green spaces have become primary venues for elderly daily activities, with their winter thermal comfort emerging as a critical determinant of senior wellbeing. However, existing studies lack quantitative guidelines on how plant characteristics affect thermal [...] Read more.
Against the backdrop of accelerating population aging, urban green spaces have become primary venues for elderly daily activities, with their winter thermal comfort emerging as a critical determinant of senior wellbeing. However, existing studies lack quantitative guidelines on how plant characteristics affect thermal comfort, limiting age-friendly design. Thirty representative landscape space sites (waterfront, square, dense forest, and sparse forest) in Beijing’s Zizhuyuan and Taoranting Parks were analyzed through microclimate measurements, 716 questionnaires, and scoring evaluations, supplemented by PET field data and ENVI-met simulations. A scoring system was developed based on tree density, plant traits (height, crown spread), and spatial features (canopy closure, structure, enclosure, and evergreen coverage). Key findings: (1) Sparse forests showed the best overall thermal comfort. Square building spaces were objectively comfortable but subjectively poor, while waterfront spaces showed the opposite. Dense forests performed worst in both aspects. (2) Wind speed and humidity were key drivers of both subjective and objective thermal comfort, and differences in plant configurations and landscape space types shaped how these factors were perceived. (3) Differentiated optimal scoring thresholds exist across the four landscape space types: waterfront (74 points), square building (52 points), sparse forest (61 points), and dense forest (88 points). (4) The landscape space design prioritizes sparse forest spaces, with moderate retention of waterfront and square areas and a reduction in dense forest zones. Optimization should proceed by first controlling enclosure and shading, then adjusting canopy closure and evergreen ratio, and finally refining tree traits to improve winter thermal comfort for the elderly. This study provides quantitative evidence and optimization strategies for improving both subjective and objective thermal comfort under diverse plant configurations. Full article
Show Figures

Figure 1

12 pages, 2111 KB  
Article
The Effect of Different Scaling Methods on the Surface Roughness of 3D-Printed Crowns: An In Vitro Study
by Turki Alshehri, Dhai Albishri, Aminah M. Alsayoud, Abdulkarim Alanazi, Faisal Masaud, Anas A. Howsawi and Abdulrahman A. Balhaddad
Materials 2025, 18(24), 5525; https://doi.org/10.3390/ma18245525 - 9 Dec 2025
Cited by 2 | Viewed by 803
Abstract
Despite the growing adoption of 3D-printed resin materials, limited evidence exists on how clinical procedures such as scaling impact their surface integrity. This in vitro study evaluated the effect of different scaling methods on the roughness of five 3D-printed resin materials. Disc-shaped specimens [...] Read more.
Despite the growing adoption of 3D-printed resin materials, limited evidence exists on how clinical procedures such as scaling impact their surface integrity. This in vitro study evaluated the effect of different scaling methods on the roughness of five 3D-printed resin materials. Disc-shaped specimens from five commercially available 3D-printed crown materials (Crowntec, Varseosmile, Freeprint, Ezprint, and C&B Nextdent) were fabricated. Each material group (N = 30) was subjected to three scaling techniques: stainless-steel manual, plastic, and piezoelectric ultra-sonic scalers. Surface roughness (Ra) was quantified using a non-contact profilometer before and after scaling. One-way ANOVA was used to analyze the data. All the crowns exhibited increased roughness when treated with ultra-sonic scalers compared to the other scalers, and this was significant (p < 0.05) for all except VarseoSmile. Compared to the other crowns, Freeprint crowns (0.07 ± 0.04 µm) showed the greatest roughness change with plastic scalers, which was significant (p < 0.05) compared to C&B Nextdent crowns (0.001 ± 0.03 µm). For hand and ultra-sonic scalers, no significant differences were found among the crown types (p > 0.05). In conclusion, ultra-sonic scalers, while efficient, may increase surface roughness, potentially enhance plaque retention, and compromise prosthesis longevity. Full article
Show Figures

Figure 1

30 pages, 8473 KB  
Article
A Squirrel’s Guide to the Olive Galaxy: Tree-Level Determinants of Den-Site Selection in the Persian Squirrel within Traditional Mediterranean Olive Groves
by Yiannis G. Zevgolis, Efstratios Kamatsos, Apostolos Christopoulos, Christina Valeta, Eleni Rekouti, Christos Xagoraris, George P. Mitsainas, Petros Lymberakis, Dionisios Youlatos and Panayiotis G. Dimitrakopoulos
Biology 2025, 14(12), 1676; https://doi.org/10.3390/biology14121676 - 25 Nov 2025
Viewed by 1393
Abstract
Traditional centennial olive groves represent ecologically valuable agroecosystems that support both biodiversity and cultural heritage across Mediterranean landscapes. On Lesvos Island, Greece, which marks the westernmost limit of the Persian squirrel (Sciurus anomalus) distribution, these centennial olive trees serve as essential [...] Read more.
Traditional centennial olive groves represent ecologically valuable agroecosystems that support both biodiversity and cultural heritage across Mediterranean landscapes. On Lesvos Island, Greece, which marks the westernmost limit of the Persian squirrel (Sciurus anomalus) distribution, these centennial olive trees serve as essential nesting resources for this regionally Vulnerable species. However, the tree-level mechanisms determining den-site suitability remain insufficiently understood. We examined 288 centennial olive trees, including 36 with confirmed dens, integrating structural, physiological, and thermal metrics to identify the attributes influencing den occupancy. Our results showed that squirrels consistently selected older and taller olives with broad crowns and high photosynthetic activity, indicating a preference for vigorous, architecturally complex trees that provide stable microclimatic conditions. Infrared thermography revealed that occupied trees exhibited lower trunk temperature asymmetries and stronger thermal buffering capacity, highlighting the role of microclimatic stability in den-site selection. Overall, our findings show that den-site selection in S. anomalus is shaped by the interplay of structural maturity, physiological performance, and thermal coherence. By linking tree function to den-site suitability, our work advances a mechanistic understanding of microhabitat selection and emphasizes the importance of centennial olive trees as biophysical refugia within traditional Mediterranean agroecosystems. Full article
(This article belongs to the Special Issue Young Researchers in Ecology)
Show Figures

Figure 1

Back to TopTop