Previous Issue
Volume 7, October
 
 

Prosthesis, Volume 7, Issue 6 (December 2025) – 31 articles

  • Issues are regarded as officially published after their release is announced to the table of contents alert mailing list.
  • You may sign up for e-mail alerts to receive table of contents of newly released issues.
  • PDF is the official format for papers published in both, html and pdf forms. To view the papers in pdf format, click on the "PDF Full-text" link, and use the free Adobe Reader to open them.
Order results
Result details
Section
Select all
Export citation of selected articles as:
15 pages, 1599 KB  
Article
Comparative Evaluation of Screw Loosening in Zirconia Restorations with Different Abutment Designs
by Zainab Ahmed Abbas and Haider Hasan Jasim
Prosthesis 2025, 7(6), 161; https://doi.org/10.3390/prosthesis7060161 - 4 Dec 2025
Abstract
Background: Screw loosening is considered a leading mechanical complication in implant-supported restorations. Hybrid abutments, combining a titanium base with a ceramic mesostructured, were proposed to enhance stability and esthetics. Objective: We aimed to evaluate screw-loosening behavior in implant-supported zirconia restorations fabricated with various [...] Read more.
Background: Screw loosening is considered a leading mechanical complication in implant-supported restorations. Hybrid abutments, combining a titanium base with a ceramic mesostructured, were proposed to enhance stability and esthetics. Objective: We aimed to evaluate screw-loosening behavior in implant-supported zirconia restorations fabricated with various abutment designs. Methods: Thirty-six implant analogs were divided into three groups: (A) a one-piece hybrid abutment crown, (B) a two-piece hybrid zirconia abutment with a separated crown, (C) and a stock abutment with zirconia crown. Restorations were fabricated with CAD/CAM, bonded using a dual cure resin cement, and torqued to 35 Ncm to the analogs. The initial removal torque (RTV1) was measured, followed by thermal cycling and mechanical loading (500 cycles, 120,000 load cycles). The post-aging removal torque (RTV2) was measured and the torque loss percentage was calculated. Paired t-tests, ANOVA, and Tukey’s test were used (p < 0.05). Results: All groups demonstrated significant torque loss following aging (p < 0.001). Group A showed the highest torque loss (12.0%), while Groups B and C exhibited lower loss (7.6% and 7.9%, respectively). The between-group difference was statistically significant (p < 0.001), except for between Groups B and C (p = 0.53). Conclusions: Within the limitations of this in vitro study, the abutment configuration affected screw preload stability. The one-piece hybrid abutment crown showed greater torque loss after aging, while the two-piece and stock abutment designs maintained comparatively better stability. Further clinical studies are required to confirm these findings. Full article
Show Figures

Figure 1

29 pages, 3326 KB  
Systematic Review
Artificial Intelligence for Color Prediction and Esthetic Design in CAD/CAM Ceramic Restorations: A Systematic Review and Meta-Analyses
by Carlos M. Ardila, Diana María Pulgarín-Medina, Eliana Pineda-Vélez and Anny M. Vivares-Builes
Prosthesis 2025, 7(6), 160; https://doi.org/10.3390/prosthesis7060160 - 4 Dec 2025
Viewed by 103
Abstract
Background/Objectives: Artificial intelligence (AI) is increasingly embedded in CAD/CAM workflows to address persistent challenges in restorative dentistry, including unpredictable color outcomes and time-intensive crown design steps. Yet, evidence on its accuracy and efficiency remains fragmented across heterogeneous study designs and metrics. This [...] Read more.
Background/Objectives: Artificial intelligence (AI) is increasingly embedded in CAD/CAM workflows to address persistent challenges in restorative dentistry, including unpredictable color outcomes and time-intensive crown design steps. Yet, evidence on its accuracy and efficiency remains fragmented across heterogeneous study designs and metrics. This systematic review and meta-analyses aimed to evaluate the accuracy and performance of AI for color prediction and automated crown design in CAD/CAM ceramics. Methods: A systematic review with random-effects meta-analyses. The outcomes included design time, internal fit, finish-line accuracy, color-prediction acceptability using ΔE00 (AT00), morphology deviation, and occlusal and proximal contacts. Results: Fifteen studies met the inclusion criteria. The meta-analyses showed that AI-equipped CAD reduced crown design time compared to conventional CAD (MD −88.7 s; 95% CI −134.5 to −42.9; I2 = 72%). The internal fit showed a small advantage for AI (MD −17.1 µm; 95% CI −26.2 to −7.9; I2 = 90%). For finish-line identification, the pooled mean Hausdorff distance was ~0.35 mm (95% CI 0.316–0.382; I2 = 0%). For color prediction, the pooled proportion of predictions within each study’s prespecified acceptability threshold (AT00) was near-universal (0.996; 95% CI 0.988–0.999; I2 = 0%). Morphology and functional contacts were not pooled due to incompatible metrics and units. Narrative synthesis indicated AI performance comparable to, or favorable over, conventional/technician workflows in selected regions. Conclusions: AI for CAD/CAM dentistry shows practical promise, most clearly for design-time efficiency and with encouraging signals for internal fit, finish-line identification, and color-prediction acceptability under study thresholds. However, clinical translation should proceed cautiously. Full article
Show Figures

Figure 1

23 pages, 9513 KB  
Article
Fit Accuracy and Shear Peel Bond Strength of CAD/CAM-Fabricated Versus Conventional Stainless Steel Space Maintainers: In Vitro Comparative Study
by Marzia Kareem Ahmed and Aras Maruf Rauf
Prosthesis 2025, 7(6), 159; https://doi.org/10.3390/prosthesis7060159 - 3 Dec 2025
Viewed by 129
Abstract
Background/Objectives: The precision and bonding reliability of space maintainers are critical to their clinical success longevity. This study aimed to evaluate and compare the fit accuracy and shear peel bond strength of digitally fabricated space maintainers—cobalt–chromium (Co-Cr) and polyetheretherketone (PEEK)—against conventional space [...] Read more.
Background/Objectives: The precision and bonding reliability of space maintainers are critical to their clinical success longevity. This study aimed to evaluate and compare the fit accuracy and shear peel bond strength of digitally fabricated space maintainers—cobalt–chromium (Co-Cr) and polyetheretherketone (PEEK)—against conventional space maintainers. Methods: Seventy-eight space maintainer bands were fabricated—milled PEEK, selective laser-melted (SLM; an additive manufacturing technique) Co-Cr, and conventional stainless steel (SS)—and tested. Fit accuracy was evaluated on 39 bands by measuring the root mean square (RMS) deviation from a master model using digital 3D analysis. Shear peel bond strength (SPBS) was tested on another 39 samples using a universal testing machine, and the adhesive remnant index (ARI) was recorded after debonding. Statistical analyses included a Welch ANOVA for fit accuracy and the Kruskal–Wallis test for the SPBS test; the ARI was analyzed using Fisher’s exact test (significance level p < 0.05). Results: Digitally fabricated bands demonstrated significantly higher fit accuracy than the stainless steel bands (mean RMS deviation: Co-Cr = 0.151 mm, PEEK = 0.152 mm, SS = 0.344 mm; p < 0.001). Co-Cr and PEEK demonstrated comparable adaptation. In contrast, bond strength was significantly greater in Co-Cr (1.657 MPa) and SS (1.481 MPa) compared to PEEK (0.393 MPa). ARI distribution varied significantly across the three groups. Conclusions: Both milled PEEK and Co-Cr bands demonstrated excellent adaptation compared with conventional SS bands. However, Co-Cr exhibited reliable bonding performance, yet PEEK may require additional surface treatment or bonding optimization to enhance adhesion. Full article
(This article belongs to the Section Prosthodontics)
Show Figures

Figure 1

14 pages, 2884 KB  
Article
Effectiveness of Various Cleaning Protocols in Enhancing Resin–Zirconia Bond Strength After Saliva Contamination
by Reyam Zahir Alsultani and Mohammed Kassim Gholam
Prosthesis 2025, 7(6), 158; https://doi.org/10.3390/prosthesis7060158 - 3 Dec 2025
Viewed by 113
Abstract
Background: This study evaluated the influence of various decontamination protocols after salivary contamination on the micro-shear bond strength (µSBS) between monolithic high-translucency zirconia and resin cement. Methods: A total of 81 multilayer (ML) monolithic–translucent zirconia discs of 10 mm diameter and [...] Read more.
Background: This study evaluated the influence of various decontamination protocols after salivary contamination on the micro-shear bond strength (µSBS) between monolithic high-translucency zirconia and resin cement. Methods: A total of 81 multilayer (ML) monolithic–translucent zirconia discs of 10 mm diameter and 2 mm thickness (DD cubeX2 ML, Dental Direkt) were fabricated, sintered, and polished using silicon–carbide papers. The bonding surfaces were treated with 50-μm Al2O3 using a Renfert sandblaster at 0.3 MPa for 20 s. Fifty samples were randomly assigned to five groups (n = 10). A control group consisted of clean, uncontaminated samples, while the other four groups were contaminated and cleaned using water, sodium hypochlorite, phosphoric acid + ethanol, or Ivoclean, respectively. Resin cement cylinders (Panavia V5, Kuraray Noritake) were bonded onto the zirconia surfaces. The µSBS was evaluated after simulated ageing using a universal testing machine. Failure modes were analysed by light microscopy. Surface morphology was evaluated using a field emission scanning electron microscope (SEM), and the chemical surface was assessed with X-ray photoelectron spectroscopy (XPS) and Fourier Transform Infrared (FTIR) Spectroscopy. Surface wettability was assessed through contact angle measurements. One-way ANOVA with Tukey’s HSD was used to compare µSBS between groups. Results: Among the tested groups, the control group exhibited the highest µSBS value (59.5 ± 4.2 MPa), followed by Ivoclean (56.7 ± 4.8 MPa), phosphoric acid + ethanol (46.8 ± 4.7 MPa), and sodium hypochlorite (41.1 ± 5.7 MPa), with the lowest value observed with water (33.5 ± 6.3 MPa). All groups exhibited adhesive failure, with no sign of cohesive or mixed failures. SEM analysis showed no effect on zirconia crystallinity or sandblasting, while Ivoclean left residual zirconium oxide particles. Furthermore, XPS and FTIR analysis revealed favourable chemical changes after Ivoclean treatment, correlating with improved bonding performance. Contact angle measurements confirmed greater surface wettability in the Ivoclean group, resulting in strong bond strength. Conclusions: Ivoclean significantly increased the resin–zirconia bond strength after saliva contamination, showing more reliable results compared to others. Phosphoric acid + ethanol showed the second-highest mean strength, while water showed the least effectiveness. Full article
Show Figures

Figure 1

12 pages, 11710 KB  
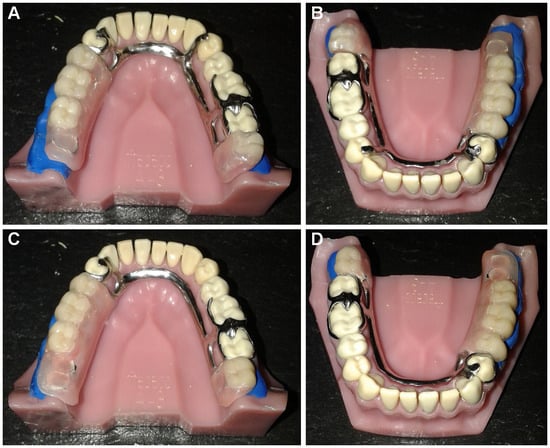
Article
Forces Transmitted to Abutment Teeth in Distal Extension Removable Partial Denture—Impact of Indirect Retention
by Susana João Oliveira, Margarida Sampaio-Fernandes, José Carlos Reis-Campos, Manuel Sampaio-Fernandes, Mário Augusto Pires Vaz and Maria Helena Figueiral
Prosthesis 2025, 7(6), 157; https://doi.org/10.3390/prosthesis7060157 - 3 Dec 2025
Viewed by 106
Abstract
Background/Objectives: Stability, retention, and support are removable partial denture (RPD) biomechanical principles. The literature shows contradictory opinions on indirect retention in RPDs, but no solid scientific evidence exists. This in vitro research aims to analyze indirect retainers’ (IRs) influence on forces transmitted [...] Read more.
Background/Objectives: Stability, retention, and support are removable partial denture (RPD) biomechanical principles. The literature shows contradictory opinions on indirect retention in RPDs, but no solid scientific evidence exists. This in vitro research aims to analyze indirect retainers’ (IRs) influence on forces transmitted to abutment teeth of a Kennedy Class I mandibular RPD. Methods: Bilateral distal-extension mandibular RPDs—differing only in the presence or absence of an IR on tooth 44 (IR model vs. nonIR model, respectively)—were installed on an acrylic master model. Tensile forces were applied perpendicularly to the occlusal plane on the longest free-end saddle’s distal aspect. Electronic speckle pattern interferometry (ESPI) measurements were obtained with and without an IR. The three-dimensional out-of-plane displacements of both models were acquired. Results: Abutment teeth 46 and 47 contralateral to the longest distal extension suffered more deformation under displacement forces when an IR was used. In turn, the IR’s influence on the deformation values of the abutment tooth 34 adjacent to the larger edentulous area depended on the intensity of the tensile force exerted: low-intensity forces resulted in reduced deformation, while higher-intensity forces resulted in higher deformation. Conclusions: This study’s findings indicate that indirect retention promotes better tensile force distribution in the existent teeth. However, they also question the IR’s role in protecting abutment teeth against excessive torque forces. This study’s preliminary results highlight the need for research on indirect retention principles using new methodologies, namely, in silico and ex vivo studies, and their experimental and clinical validation. Full article
Show Figures

Figure 1

12 pages, 282 KB  
Article
An In-Vitro Acidic Media Simulation of GERD and Its Effect on Machine-Milled Ceramics’ Optical Properties
by Hend M. Elsayed, Ahmed M. Elmarakby, Salah A. Yousief, Heba A. Abd Elwahab, Moayad W. Alturki, Eman M. H. Tawwash, Hajarr S. Albahkaly, Kholud A. Rayes, Hadeel A. Bawazir, Hagar A. Samran, Abdulaziz Samran and Labib M. L. Elsebaey
Prosthesis 2025, 7(6), 156; https://doi.org/10.3390/prosthesis7060156 - 2 Dec 2025
Viewed by 96
Abstract
Background: Gastroesophageal reflux disease (GERD) exposes restorative materials to gastric acid, which may compromise their esthetic and optical properties. Limited evidence exists regarding the performance of different CAD/CAM ceramics under acidic challenges. Methods: Forty CAD/CAM ceramic discs were prepared (n = 10 [...] Read more.
Background: Gastroesophageal reflux disease (GERD) exposes restorative materials to gastric acid, which may compromise their esthetic and optical properties. Limited evidence exists regarding the performance of different CAD/CAM ceramics under acidic challenges. Methods: Forty CAD/CAM ceramic discs were prepared (n = 10 per group): high-translucency zirconia (Z; Ceramill Zolid Gen-X), lithium disilicate (E; IPS e.max CAD), zirconia-reinforced lithium silicate (S; VITA Suprinity), and hybrid ceramic (C; Cerasmart 270). Specimens were immersed in simulated gastric acid (0.06 M HCl, pH 1.2) at 37 °C for 96 h. Color difference (ΔE) and translucency parameter (ΔTP) were recorded before and after immersion using a spectrophotometer. Data were analyzed using one-way ANOVA with Tukey’s post hoc test (α = 0.05). Results: All materials exhibited changes in color and translucency after acidic immersion. Group Z demonstrated the lowest ΔE values, indicating the best color stability, whereas group C showed the highest ΔE and a significant reduction in ΔTP. Groups E and S revealed moderate but clinically acceptable changes. Intergroup differences were statistically significant (p < 0.05). Conclusions: Exposure to simulated gastric acid as in (GERD) resulted in measurable alterations in the optical properties of CAD/CAM ceramic materials. The extent of color change and translucency loss differed among the materials tested. High-translucency zirconia (Z) exhibited the greatest stability, while hybrid ceramic (C) showed the most pronounced changes. Zirconia-reinforced lithium silicate (S) and lithium disilicate (E) demonstrated moderate alterations, falling between these two extremes. Full article
(This article belongs to the Section Prosthodontics)
14 pages, 1653 KB  
Article
Effect of Framework Orientation at a Selective Laser Melting Building Platform on Removable Partial Denture Fit
by Vasileios K. Vergos, Antonios L. Theocharopoulos, Konstantinos Dimitriadis and Stavros A. Yannikakis
Prosthesis 2025, 7(6), 155; https://doi.org/10.3390/prosthesis7060155 - 1 Dec 2025
Viewed by 435
Abstract
Objectives: This in vitro study aimed to evaluate the effects of three framework orientation (FO) positions on an SLM building platform (Horizontal [H], Diagonal-45° [D45°], Diagonal-60° [D60°]) and two designs (with [B] or without [NB] stabilizing bars) on the fitting accuracy of digitally [...] Read more.
Objectives: This in vitro study aimed to evaluate the effects of three framework orientation (FO) positions on an SLM building platform (Horizontal [H], Diagonal-45° [D45°], Diagonal-60° [D60°]) and two designs (with [B] or without [NB] stabilizing bars) on the fitting accuracy of digitally fabricated Co-Cr RPD frameworks. Materials and Methods: A custom RPD framework CAD was performed on a 3D-printed resin-model of an edentulous maxilla with three geometric tooth forms. A Co-Cr alloy was processed via SLM processing into 24 framework specimens, divided into three FO groups (n = 8: H, D45°, D60°) and two subgroups each (n = 4: B, NB). Qualitative/quantitative fit-evaluation was assessed using virtual framework-to-model seating and a custom digital protocol with GOM Inspect software (2018-Hotfix5, Rev.115656). Mean fitting distances were calculated from 220 equidistant points per specimen. Statistical comparisons were performed using ANOVA-on-ranks, Kruskal–Wallis multiple comparisons, and Bonferroni adjustment. Results: FO Sub-Group medians (Q1, Q3: 25% and 75% Quartiles) (mm) were: H/NB 0.150 (0.140, 0.164), H/B: 0.136 (0.121, 0.152), D45°/NB: 0.230 (0.219, 0.241), D45°/B: 0.144 (0.137, 0.154), D60°/NB:0.238 (0.232, 0.247), D60°/B: 0.171 (0.166,0.176). Pairwise comparisons indicated the following statistically significant (p < 0.05) FO Sub-Group differences: H/B-D45°/NB, H/B-D60°/NB, D45°/B-D45°/NB, D45°/B-D60°/NB, H/NB-D45°/NB, H/NB- D60°/NB. Conclusions: Horizontal orientation improved RPD fit accuracy regardless of bar presence. D45° accuracy is enhanced by stabilizing bars, while D60° accuracy is unaffected by bar addition. Full article
(This article belongs to the Section Prosthodontics)
Show Figures

Figure 1

20 pages, 3672 KB  
Article
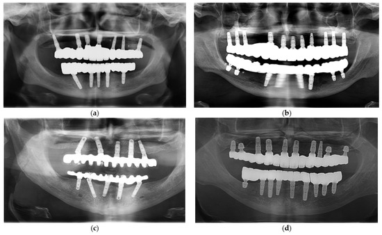
Preliminary Comparative Analysis of Monolithic Zirconia and Hybrid Metal–Ceramic Designs in Full-Arch Implant-Supported Restorations
by Sergiu-Manuel Antonie, Laura-Cristina Rusu, Ioan-Achim Borsanu and Emanuel-Adrian Bratu
Prosthesis 2025, 7(6), 154; https://doi.org/10.3390/prosthesis7060154 - 1 Dec 2025
Viewed by 169
Abstract
Background: Material choice in full-arch implant-supported restorations significantly impacts longevity, complication rates, and patient satisfaction. This retrospective study compared monolithic zirconia versus hybrid metal–ceramic full-arch designs over a minimum three-year follow-up. Methods: Twenty patients (9 female, 11 male; mean age 55.4 ± 7.5 [...] Read more.
Background: Material choice in full-arch implant-supported restorations significantly impacts longevity, complication rates, and patient satisfaction. This retrospective study compared monolithic zirconia versus hybrid metal–ceramic full-arch designs over a minimum three-year follow-up. Methods: Twenty patients (9 female, 11 male; mean age 55.4 ± 7.5 years) treated with full-arch implant-supported restorations were reviewed. Ten received monolithic zirconia restorations; ten received hybrid metal–ceramic. Clinical outcomes, including mechanical complications, prosthetic maintenance needs, opposing dentition wear, and patient-reported satisfaction (esthetics, comfort, masticatory function via VAS), were recorded. Statistical analyses were performed using Chi-square, independent t-tests, or Mann–Whitney U tests, with a significance level set at p < 0.05. Results: All implants (100%) and prostheses (>95%) survived. Monolithic zirconia exhibited no veneering chipping, while two events were observed in hybrid restorations (difference not statistically significant), and one bulk fracture occurred (monolithic). Hybrids had no framework fractures. Screw loosening occurred in one zirconia case. Mean VAS scores exceeded 9.0 in both groups; zirconia scored slightly higher for esthetics (9.4 ± 0.5 vs. 8.8 ± 0.6) and comfort (9.2 ± 0.6 vs. 9.0 ± 0.7). Polished zirconia resulted in no clinically detectable enamel wear, whereas hybrids with glaze loss caused occasional mild enamel wear but without functional impairment. Conclusions: Both restoration types show excellent survival and patient satisfaction over three years. Monolithic zirconia reduces veneering-related complications and maintenance, suggesting a possible advantage in functionally demanding cases with high occlusal loads or limited prosthetic space; hybrids may remain preferable when esthetic customization and gingival contour reproduction are paramount. Full article
Show Figures

Figure 1

20 pages, 1517 KB  
Perspective
Innovations in Amputee Care in the United States: Access, Ethics, and Equity
by Jeffrey Cain, Eric J. Earley, Benjamin K. Potter, Prateek Grover, Peter Thomas, Gerald Stark and Ashlie White
Prosthesis 2025, 7(6), 153; https://doi.org/10.3390/prosthesis7060153 - 21 Nov 2025
Viewed by 586
Abstract
Limb amputation is a growing health concern worldwide, driven largely by the rising incidence of vascular and metabolic diseases and military conflicts. In the past two decades, remarkable advancements in surgical techniques, prosthetic technologies, and rehabilitation strategies have made a profound impact on [...] Read more.
Limb amputation is a growing health concern worldwide, driven largely by the rising incidence of vascular and metabolic diseases and military conflicts. In the past two decades, remarkable advancements in surgical techniques, prosthetic technologies, and rehabilitation strategies have made a profound impact on outcomes for individuals with limb loss. In this article, we explore the evolving landscape of limb care in the United States, highlighting innovations in prosthetic technology and amputation surgery including osseointegration, neuromuscular surgeries and interfaces, artificial intelligence, sensory feedback, and the importance of prosthetic embodiment. We discuss limb care systems and the continuum of limb loss rehabilitation, focusing on the need for coordinated models of patient-centered care. We present the demographic biases and healthcare disparities related to insurance coverage and reimbursement in the United States and the explore ethics and equitability considerations pertaining to prosthetic standard of care and advanced treatments for limb loss. Finally, we lay out the systemic reform, policy advocacy, and future research needed to ensure that everyone with limb loss has equitable access to the benefits of modern amputee care. Full article
(This article belongs to the Section Orthopedics and Rehabilitation)
Show Figures

Figure 1

10 pages, 792 KB  
Case Report
Application of Molecular Diagnostics in Periprosthetic Joint Infection Microorganism Identification Following Screening Colonoscopy: A Case Report and Review of the Literature
by Pieralberto Valpiana, Andrea Giordano Salvi, Michele Paolo Festini Capello, Fjorela Qordja, Sebastian Schaller, Jaeah Kim and Pier Francesco Indelli
Prosthesis 2025, 7(6), 152; https://doi.org/10.3390/prosthesis7060152 - 21 Nov 2025
Viewed by 282
Abstract
Background: Culture-negative periprosthetic joint infections (PJIs) are dramatically increasing in prevalence. The success rate of implant-saving procedures in acute PJI cases is closely correlated with prompt diagnosis, rapid isolation/identification of the microorganism, and timely surgical intervention. Methods: A 70-year-old female patient [...] Read more.
Background: Culture-negative periprosthetic joint infections (PJIs) are dramatically increasing in prevalence. The success rate of implant-saving procedures in acute PJI cases is closely correlated with prompt diagnosis, rapid isolation/identification of the microorganism, and timely surgical intervention. Methods: A 70-year-old female patient with an acutely infected left total hip arthroplasty (THA) following a routine screening colonoscopy was rapidly treated with debridement, antibiotic pearls, and retention of the implant (DAPRI) after rapid identification of the microorganism using a molecular diagnostics-based algorithm. Results: Molecular diagnostics enabled the identification of Escherichia coli as the causative agent of the transient bacteremia and subsequent seeding of the left hip within less than an hour. Conclusions: This case suggests that endoscopic procedures may increase the risk to joint replacement patients. In acute PJI, the use of molecular diagnostics, which facilitates prompt identification of microorganisms, may increase the success rate of implant-saving surgical procedures. Full article
(This article belongs to the Section Orthopedics and Rehabilitation)
Show Figures

Figure 1

16 pages, 7954 KB  
Article
Mechanochemical Optimization of Composite–Substrate Interfaces for Durable Repair Adhesion to Metal and Zirconia: An In Vitro Study
by Bryar Abdulqadir Sharif and Hawzhen Masoud Mohammed Saeed
Prosthesis 2025, 7(6), 151; https://doi.org/10.3390/prosthesis7060151 - 21 Nov 2025
Viewed by 259
Abstract
Background/Objectives: Achieving durable intraoral repairs of fractured metal and zirconia restorations requires optimal adhesion. This in vitro study evaluated the effects of mechanical surface treatments and commercial repair systems on the shear bond strength (SBS) of composite resin to nickel–chromium (Ni-Cr) alloy [...] Read more.
Background/Objectives: Achieving durable intraoral repairs of fractured metal and zirconia restorations requires optimal adhesion. This in vitro study evaluated the effects of mechanical surface treatments and commercial repair systems on the shear bond strength (SBS) of composite resin to nickel–chromium (Ni-Cr) alloy and zirconia, including the influence of thermocycling aging. Methods: In this study, 144 Ni-Cr and zirconia discs (12 × 12 × 2 mm) were randomly assigned to three surface treatments: untreated control, airborne particle abrasion (50 µm Al2O3), and medium grit diamond bur grinding. Each group was further subdivided to assess two intraoral repair kits (GC Corp (Tokyo, Japan). and Bisco Inc. (Schaumburg, IL, USA)). Composite resin cylinders were bonded following the manufacturer’s instructions. Half of the specimens (n = 12/subgroup) underwent 5000 thermocycles (5–55 °C). Micro-shear bond strength testing was performed, and failure modes were analyzed. Data were analyzed using three-way ANOVA and post hoc tests (p < 0.05). Results: Air abrasion significantly increased SBS compared to control and bur grinding for metal (p < 0.001). For zirconia, both air abrasion and bur grinding yielded similarly improved SBS over the control (p < 0.001). The GC repair kit demonstrated significantly superior bond stability after thermocycling across both substrates. Aging significantly reduced SBS in all groups (p < 0.001), with the most substantial reductions observed in untreated controls and groups repaired with the Bisco system. Conclusions: Airborne particle abrasion combined with a HEMA-free, 10-MDP-containing universal adhesive achieved the strongest and most durable resin bonds to both metal and zirconia, supporting its clinical use for the intraoral repair of ceramic and metal restorations. Full article
Show Figures

Figure 1

12 pages, 2651 KB  
Article
The Stress Distribution and Deformation of Maxillary Bilateral Distal-Extension Removable Partial Dentures with U-Shaped Palatal Major Connectors Fabricated from Different Materials: A Finite Element Analysis
by Peerada Weerayutsil, Daraporn Sae-Lee, Jarupol Suriyawanakul, Pimduen Rungsiyakull and Pongsakorn Poovarodom
Prosthesis 2025, 7(6), 150; https://doi.org/10.3390/prosthesis7060150 - 20 Nov 2025
Viewed by 281
Abstract
Background/Objectives: This study aims to investigate the stress distribution and deformation of cobalt–chromium (CoCr) and polyetheretherketone (PEEK) maxillary bilateral distal-extension removable partial dentures (RPDs) on the abutment, periodontal ligament (PDL), mucosa, and RPD framework. Methods: A three-dimensional maxilla model was obtained [...] Read more.
Background/Objectives: This study aims to investigate the stress distribution and deformation of cobalt–chromium (CoCr) and polyetheretherketone (PEEK) maxillary bilateral distal-extension removable partial dentures (RPDs) on the abutment, periodontal ligament (PDL), mucosa, and RPD framework. Methods: A three-dimensional maxilla model was obtained from the patient’s cone-beam computed tomography (CBCT) and master model scan, composed of six maxillary anterior teeth, and U-shaped palatal major connectors for both the CoCr and PEEK RPD designs were constructed with computer-aided design (CAD) using the software program SolidWorks 2017 (SolidWorks Corp., Waltham, (MA), USA). A total vertical force of 320 N was applied bilaterally to the posterior artificial teeth. Three-dimensional finite element analysis was applied to evaluate the von Mises stress (VMS) distributions of the CoCr and PEEK RPDs on the abutment, PDL, mucosa, and RPD framework, and the deformation of the RPD framework was analyzed using ANSYS Workbench software, version 2020 (ANSYS Workbench 2020; ANSYS Inc.). Results: The stress distribution originated from the RPD free-end and was distributed to the mucosa, abutment, and PDL. The maximum stress observed in the oral structures was highest at the abutment, followed by the mucosa and PDL. The VMS occurring at the abutment in the CoCr RPD (9.098 MPa) was higher than that at the PEEK RPD (7.515 MPa), while the VMSs occurring at the mucosa and PDL in the CoCr RPD and PEEK RPD were similar. RPD frameworks constructed from different materials generated different stress distribution patterns. The maximum VMS occurring in the CoCr RPD framework (107.99 MPa) was significantly greater than that at the PEEK RPD framework (11.7 MPa). Meanwhile, the maximum deformation in the vertical direction of the PEEK RPD framework (0.0128 mm) was higher than that of the CoCr RPD framework (0.0082 mm). Conclusions: The results suggested that the PEEK RPD may have a better protective effect on the abutment. Both the PEEK and CoCr RPDs were unlikely to cause severe mechanical damage to the mucosa and PDL. However, the thickness of the PEEK framework should be focused on to reduce the stress distribution to the residual ridge mucosa. Full article
(This article belongs to the Section Prosthodontics)
Show Figures

Figure 1

19 pages, 1809 KB  
Article
Influence of Dark Aging on the Mechanical Properties of Zirconium Silicate Nanoparticle-Reinforced Maxillofacial Silicone Prostheses
by Saja Kareem Esmael, Faten Khalid Al-Kadi, Jwan Fateh Abdulkareem and Mohammed Abdalla Mahmood
Prosthesis 2025, 7(6), 149; https://doi.org/10.3390/prosthesis7060149 - 18 Nov 2025
Viewed by 617
Abstract
Background/Objectives: Silicone elastomers are widely used in maxillofacial prostheses, but their service life is typically limited to 6–24 months due to progressive degradation. Reinforcement with zirconium silicate (ZrSiO4) nanoparticles has been proposed to improve durability, yet evidence on their long-term performance [...] Read more.
Background/Objectives: Silicone elastomers are widely used in maxillofacial prostheses, but their service life is typically limited to 6–24 months due to progressive degradation. Reinforcement with zirconium silicate (ZrSiO4) nanoparticles has been proposed to improve durability, yet evidence on their long-term performance under storage remains limited. This study evaluated the effect of two years of dark storage on the mechanical properties of room-temperature-vulcanized (RTV) silicone reinforced with 1.5 wt% ZrSiO4 nanoparticles. Materials and Methods: Zirconium silicate (ZrSiO4) nanoparticles at 1.5 wt% were incorporated into A-2186 RTV silicone specimens, which were randomly divided into two equal groups: baseline specimens stored for 24 h and aged specimens stored for 24 months under dark conditions. Mechanical properties were assessed by measuring tensile strength, elongation at break, tear resistance, and Shore A hardness in accordance with standardized protocols. Fourier transform infrared (FTIR) spectroscopy was performed to verify the structural characteristics of the ZrSiO4 nanopowder. Statistical analysis was conducted using independent-samples t-tests, with significance set at p < 0.05. Results: After 24 months of dark storage, tensile strength and elongation at break decreased significantly (p < 0.05), indicating reduced elasticity. Tear resistance and hardness showed slight but non-significant reductions. FTIR confirmed the preservation of ZrSiO4 structural features. Conclusions: Dark storage selectively reduced reinforced silicone’s tensile and elongation properties, while tear resistance and hardness remained relatively stable. ZrSiO4 nanoparticles provided partial reinforcement, enhancing stability but not entirely preventing RTV silicone aging. Full article
Show Figures

Graphical abstract

11 pages, 7201 KB  
Article
Physical Properties of PMMA Denture Base with Added Organoselenium as an Antifungal
by Alexis DuDash, Bennett T. Amaechi, Amos C. Obiefuna, Sima Abdollahi, Tejal Gohil, Mustafa Girnary, Stephan J. Haney, Victoria A. Vickers, Temitope O. Omosebi and Mahalakshmi Vijayaraghavan
Prosthesis 2025, 7(6), 148; https://doi.org/10.3390/prosthesis7060148 - 12 Nov 2025
Viewed by 366
Abstract
Background/Objectives: The present study investigated the effects on the mechanical and physical properties of PMMA when organoselenium was incorporated into it as antifungal at different concentrations. Methods: 141 PMMA rectangle samples were fabricated using a heat compression packing technique and assigned [...] Read more.
Background/Objectives: The present study investigated the effects on the mechanical and physical properties of PMMA when organoselenium was incorporated into it as antifungal at different concentrations. Methods: 141 PMMA rectangle samples were fabricated using a heat compression packing technique and assigned to 3 experimental groups (47/group): 0% organoselenium (control), 0.5% organoselenium (0.5% SE), and 1% organoselenium (1% SE). Each sample was post-processed and stored in water. A three-point bend test was performed to assess elastic modulus and flexural stress. Scanning electron microscopy (SEM) was used to examine the exterior and interior surface topography. Data were analyzed using one-way ANOVA with Tukey’s multiple comparisons test. Results: The mean flexure stress for the 0% samples was statistically significantly higher than those of the 0.5% samples and the 1% samples (p < 0.001). The mean elastic modulus for the 0% group was statistically significantly higher than those of the 0.5% group and the 1% group (p < 0.001). Under SEM, the 0.5% samples were smoother with fewer voids and irregularities. Conclusions: The incorporation of organoselenium into PMMA denture base negatively affected its physical and mechanical properties. Full article
(This article belongs to the Section Prosthodontics)
Show Figures

Figure 1

16 pages, 3922 KB  
Article
Influence of CAD-CAM Materials on Marginal Fit of Single Unit Crowns: An In Vitro SEM-Based Study
by Andreea Kui, Ana-Maria Condor, Andreea Radulescu, Andrea Maria Chisnoiu, Bianca Dumbrovca, Simona Iacob, Marius Negucioiu and Smaranda Buduru
Prosthesis 2025, 7(6), 147; https://doi.org/10.3390/prosthesis7060147 - 11 Nov 2025
Viewed by 351
Abstract
Background/Objectives: The marginal adaptation of CAD/CAM restorations remains a key determinant of long-term clinical success, particularly in minimally invasive preparations. This in vitro study evaluated and compared the marginal gap of three CAD/CAM restorative materials—Cerasmart, G-CAM, and IPS Empress CAD—using standardized preparation and [...] Read more.
Background/Objectives: The marginal adaptation of CAD/CAM restorations remains a key determinant of long-term clinical success, particularly in minimally invasive preparations. This in vitro study evaluated and compared the marginal gap of three CAD/CAM restorative materials—Cerasmart, G-CAM, and IPS Empress CAD—using standardized preparation and SEM measurement protocols. Methods: A total of 18 crowns were fabricated, of which 9 presented margins sufficiently interpretable under SEM and were included in the pooled quantitative analysis (n = 362 measurement points). Marginal gaps were recorded at 45×, 100× and 450× magnification using a Jeol JSM 25S scanning electron microscope. Normality and variance homogeneity were verified prior to parametric testing. Results: When pooled per material group, the mean ± SD marginal gap values were 18.53 ± 14.15 µm for Cerasmart, 21.60 ± 14.89 µm for G-CAM, and 47.09 ± 16.93 µm for IPS Empress CAD. All values fell below the contemporary clinical threshold of <70 µm for adhesive cementation. Pairwise comparison showed a large difference between IPS Empress CAD and the two resin-based materials, whereas the difference between Cerasmart and G-CAM was small. Conclusions: Hybrid and resin nano-ceramic CAD/CAM materials demonstrated narrower marginal gaps compared with the glass ceramic tested, likely due to their lower elastic modulus and greater seating accommodation during cementation. Within the limits of this in vitro design, all materials exhibited marginal adaptation consistent with current clinical acceptability criteria. Full article
(This article belongs to the Section Prosthodontics)
Show Figures

Figure 1

15 pages, 3238 KB  
Case Report
Prosthetic Management of Peri-Implant Mucositis via CRD Optimization: A Split-Mouth Case Report
by Chiyun Won
Prosthesis 2025, 7(6), 146; https://doi.org/10.3390/prosthesis7060146 - 11 Nov 2025
Viewed by 1111
Abstract
Background: Subcrestally placed implants (SPIs) present advantages for bone preservation and soft tissue support but pose challenges in maintaining peri-implant soft tissue health. This case explores the role of Crest to Restoration Distance (CRD) in the development and resolution of peri-implant mucositis. Case [...] Read more.
Background: Subcrestally placed implants (SPIs) present advantages for bone preservation and soft tissue support but pose challenges in maintaining peri-implant soft tissue health. This case explores the role of Crest to Restoration Distance (CRD) in the development and resolution of peri-implant mucositis. Case Presentation: A 57-year-old woman received two SPIs—one in the upper left and one in the lower right first molar region. Despite similar implant systems and prosthetic protocols, the upper left implant developed mucositis, characterized by bleeding on probing and discomfort, while the lower right implant remained stable. Three-dimensional analysis using cone-beam computed tomography (CBCT) revealed excessive CRD at the affected site. Results: After prosthodontic revision to reduce the CRD, clinical signs of mucositis resolved, with probing depths reduced to less than 1 mm and no bleeding on probing. The control site remained healthy throughout the observation period. Practical Implications: This case highlights CRD as a modifiable prosthetic factor influencing soft tissue stability. A three-zone model—comprising the sulcus, transitional zone (TZ), and subcrestal zone (SZ)—is introduced to provide a biologically grounded framework for understanding soft tissue adaptation around SPIs. Full article
Show Figures

Figure 1

18 pages, 13809 KB  
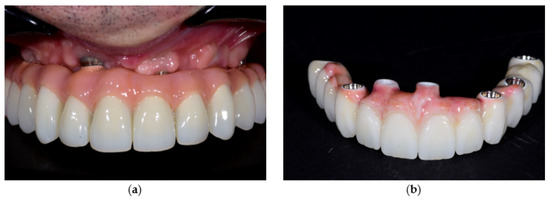
Case Report
Restorations with Zirconia Fixed Bridges over One-Piece Zirconia Implants and PEEK Telescopic Crowns: A Mini-Review and Case Report
by Haseeb H. Al Dary, Layla A. Abu-Naba’a, Hussein H. Helal and Mahmoud M. Hasasna
Prosthesis 2025, 7(6), 145; https://doi.org/10.3390/prosthesis7060145 - 10 Nov 2025
Viewed by 552
Abstract
Ceramic dental implants, particularly one-piece zirconia, offer a biocompatible and aesthetic alternative to titanium, with high strength and improved oral hygiene. By eliminating the implant–abutment micro-gap, they reduce bacterial accumulation because of their low plaque affinity and enhance stability. However, challenges remain, including [...] Read more.
Ceramic dental implants, particularly one-piece zirconia, offer a biocompatible and aesthetic alternative to titanium, with high strength and improved oral hygiene. By eliminating the implant–abutment micro-gap, they reduce bacterial accumulation because of their low plaque affinity and enhance stability. However, challenges remain, including alignment precision, limited retrievability, and sensitivity to mechanical stress. Misalignment can affect occlusal and functional outcomes, and zirconia’s rigidity complicates crown removal and modification. This case report explores the use of PEEK (polyether ether ketone) primary telescopic crowns to overcome these limitations, improving force distribution, enabling minor adjustments, and enhancing prosthetic retrievability in full-mouth zirconia restorations. A 62-year-old male patient seeking a fixed solution to replace removable dentures received 16 one-piece zirconia implants (eight per jaw). PEEK telescopic crowns were used over implant abutment copings, finalized with aesthetic zirconia bridges. The report details surgical and prosthetic procedures, along with a brief literature review on zirconia implants and PEEK applications. PEEK integration in telescopic prosthetic designs marks a notable advancement in prosthodontics. Its shock-absorbing, biocompatible, and stress-modulating properties make it valuable for implant-supported and hybrid restorations. As digital workflows advance, PEEK-based telescopic restorations may increasingly replace traditional metal-based solutions, improving long-term clinical outcomes. Further clinical research on a larger sample is needed. Full article
(This article belongs to the Special Issue Advancements in Zirconia Dental Restorations)
Show Figures

Figure 1

15 pages, 6894 KB  
Article
Parametric Finite Element Investigation of Hip Prosthesis Design: Influence of Trunnion Extension and Orientation Angles
by Mattia Concari, Gianfranco D’Avino and Michele Bertolini
Prosthesis 2025, 7(6), 144; https://doi.org/10.3390/prosthesis7060144 - 10 Nov 2025
Viewed by 362
Abstract
Purpose: This study investigates the static mechanical behavior of a non-modular metallic hip prosthesis through Finite Element Method (FEM) simulations, assessing compliance with ASTM F2996-13 standards. The analysis specifically evaluates how key geometric parameters, such as trunnion extension and orientation angles (adduction and [...] Read more.
Purpose: This study investigates the static mechanical behavior of a non-modular metallic hip prosthesis through Finite Element Method (FEM) simulations, assessing compliance with ASTM F2996-13 standards. The analysis specifically evaluates how key geometric parameters, such as trunnion extension and orientation angles (adduction and flexion), affect stress distributions within the prosthesis. Methodology: A three-dimensional finite element model of a Ti6Al4V alloy hip stem was developed. Boundary and loading conditions were defined according to the standard: the distal portion of the stem was fully constrained 90 mm below the head center, and a static load of 2300 N was applied at the head center along the directions defined by the adduction and flexion angles. A mesh sensitivity analysis was conducted to ensure convergence, and stresses were evaluated. Parametric analyses varying trunnion extension and orientation angles were performed to quantify their impact on local stress concentration. Results: The findings revealed that even minor deviations in the adduction and flexion angles significantly impact the stress distribution, with the potting-level region being particularly sensitive. Additionally, the extension of the trunnion led to notably increased stress concentrations, especially at the prosthesis neck, highlighting its critical influence in implant design. Conclusions: Comparison with existing literature and standard reference data exposed discrepancies primarily attributed to variations in FEM model setups and parameter selections. This emphasizes the necessity of clearly specifying trunnion extension and orientation angles in numerical analyses to ensure consistent stress predictions, supporting the development of safer and longer-lasting hip implants. Future research should extend these analyses to different prosthesis geometries, aiming to develop generalized predictive frameworks applicable to diverse biomechanical scenarios. Full article
(This article belongs to the Special Issue Finite Element Analysis in Prosthesis and Orthosis Research)
Show Figures

Figure 1

34 pages, 4281 KB  
Review
Plasma Surface Modification of Biomedical Implants and Devices: Emphasis on Orthopedic, Dental, and Cardiovascular Applications
by Renjith Rajan Pillai and Lakshmi Mohan
Prosthesis 2025, 7(6), 143; https://doi.org/10.3390/prosthesis7060143 - 6 Nov 2025
Viewed by 1489
Abstract
Plasma surface modification has emerged as a powerful, versatile tool for tailoring the surface properties of biomedical devices and implants without altering the material characteristics in the bulk. This comprehensive review critically examines the current state-of-the-art in plasma-based surface engineering techniques, with a [...] Read more.
Plasma surface modification has emerged as a powerful, versatile tool for tailoring the surface properties of biomedical devices and implants without altering the material characteristics in the bulk. This comprehensive review critically examines the current state-of-the-art in plasma-based surface engineering techniques, with a focus on enhancing biocompatibility, bio-functionality, and long-term performance of medical implants. The article systematically explores various plasma processes and their roles in modifying surface chemistry, topography, energy, and wettability. These alterations directly influence protein adsorption, cell adhesion, antibacterial activity, and corrosion resistance, all of which are crucial for successful clinical integration. Special emphasis is placed on the plasma treatment of metallic (e.g., titanium, stainless steel), polymeric (e.g., polytetrafluoroethylene, polyetheretherketone), and composite substrates commonly used in dental, orthopedic, and cardiovascular applications. This review also highlights synergistic strategies, such as plasma-assisted grafting of bioactive molecules and nanostructuring, that enable multifunctional surfaces capable of promoting osseointegration, mitigating inflammation, and preventing biofilm formation. Emerging trends such as atmospheric cold plasmas and the integration of plasma technology with additive manufacturing are outlined as promising future directions. By synthesizing insights from surface science, materials engineering, and biomedical research, this review provides a foundational framework to guide future innovations in plasma-treated biomaterials. It aims to inform both academic researchers and medical device developers seeking to optimize implant–tissue interactions and achieve improved clinical outcomes. Full article
Show Figures

Figure 1

16 pages, 1459 KB  
Systematic Review
The Association Between Non-Syndromic Tooth Agenesis and MSX1, AXIN2, WNT10A, EDA, EDAR, and EDARADD Gene Mutations: A Systematic Review
by Fotios Bakouros-Kouroupakis, Ioannis Tsolianos and Eleni Kotsiomiti
Prosthesis 2025, 7(6), 142; https://doi.org/10.3390/prosthesis7060142 - 5 Nov 2025
Viewed by 603
Abstract
Background: Tooth development or odontogenesis is a complicated, multi-staged process, regulated by a plethora of genes. Disruptions during the early stages of odontogenesis may cause the complete absence of one or more teeth, known as tooth agenesis (TA). Except for PAX9, alterations [...] Read more.
Background: Tooth development or odontogenesis is a complicated, multi-staged process, regulated by a plethora of genes. Disruptions during the early stages of odontogenesis may cause the complete absence of one or more teeth, known as tooth agenesis (TA). Except for PAX9, alterations in MSX1, AXIN2, WNT10A, and EDA/EDAR/EDARADD have gathered an increasing amount of interest. Objectives: This systematic review aims to investigate whether non-syndromic tooth agenesis (NSTA) is associated with MSX1, AXIN2, WNT10A, and EDA/EDAR/EDARADD mutations and to list the related phenotypic patterns of these alterations with regard to missing teeth. Methods: MEDLINE, Scopus, and Web of Science were the three selected databases. Duplicates were removed using Mendeley, and the records were assessed via the Rayyan platform. The Newcastle–Ottawa Scale was used to evaluate the quality of the evidence. Results: Fifteen case–control studies were eligible for this systematic review. The MSX1 gene was examined in most studies, whereas second premolars and lateral incisors were the most commonly missing teeth among TA cases. In total, 61.29% to 84.9% of the cases included one or two absent teeth. Conclusions: Due to the considerable heterogeneity in reporting results across the included studies, along with the high risk of bias present in most of them, it was not feasible to conduct a meta-analysis of the data. Nonetheless, the findings suggest that the NSTA phenotypes linked to the studied genes are similar to those associated with other forms of TA and share a common pattern of missing teeth. Future research should adopt a more standardized approach in presenting findings by adhering to established terminology and definitions and by utilizing common cut-off points to categorize results. Full article
(This article belongs to the Section Prosthodontics)
Show Figures

Figure 1

16 pages, 5772 KB  
Article
Electrochemical Evaluation of Ag–CaP–ZrO2 Composite Coatings on Ti6Al4V for Enhanced Corrosion Resistance in Dental Implants
by Mohamed Aissi, Azzedine Er-ramly and Nadia Merzouk
Prosthesis 2025, 7(6), 141; https://doi.org/10.3390/prosthesis7060141 - 4 Nov 2025
Viewed by 404
Abstract
Objective: The Ti6Al4V titanium alloy is widely used for dental implants because of its excellent mechanical properties, corrosion resistance, and biocompatibility. However, its bioinert surface limits both osseointegration and resistance to bacterial colonization. Methods: To address these challenges, this study develops a composite [...] Read more.
Objective: The Ti6Al4V titanium alloy is widely used for dental implants because of its excellent mechanical properties, corrosion resistance, and biocompatibility. However, its bioinert surface limits both osseointegration and resistance to bacterial colonization. Methods: To address these challenges, this study develops a composite coating based on calcium phosphate (CaP) and silver (Ag), reinforced with zirconium oxide (ZrO2). The coating was deposited on Ti6Al4V using an immersion technique to improve the surface properties of the alloy. Electrochemical analyses (OCP, EIS, and potentiodynamic polarization) were performed in simulated physiological conditions to evaluate the corrosion behavior, while SEM/EDS was used to characterize the surface morphology and composition. Results: The Ag- and Zr-containing CaP coatings significantly improved the corrosion resistance of Ti6Al4V compared with uncoated and CaP-coated samples. Conclusions: This approach provides a promising strategy to enhance the electrochemical stability and long-term durability of titanium dental implants, thereby contributing to their reliable performance in the oral environment. Full article
(This article belongs to the Section Bioengineering and Biomaterials)
Show Figures

Figure 1

12 pages, 222 KB  
Article
Knowledge Gaps and Clinical Practice Patterns in Provisional Fixed Dental Prostheses Among Dentists in Saudi Arabia—A Cross-Sectional, Survey-Based Study
by Hend Mohamed Elsayed, Hajar Sameer Albahkaly, Abdulaziz Samran, Mohammed Noushad, Abdulaziz Abdullah Alkheraif, Nisreen Alansary and Mohammad Zakaria Nassani
Prosthesis 2025, 7(6), 140; https://doi.org/10.3390/prosthesis7060140 - 3 Nov 2025
Viewed by 407
Abstract
Background/Purpose: Teeth prepared for fixed dental prostheses are subject to various types of insults in the oral cavity. Therefore, to protect the tooth, the pulp, and supporting structures, provisional restorations are mandatory. Our study aimed to evaluate the knowledge and clinical practices regarding [...] Read more.
Background/Purpose: Teeth prepared for fixed dental prostheses are subject to various types of insults in the oral cavity. Therefore, to protect the tooth, the pulp, and supporting structures, provisional restorations are mandatory. Our study aimed to evaluate the knowledge and clinical practices regarding provisional fixed dental prostheses (PFDPs) among dental professionals in Saudi Arabia. Materials and Methods: A cross-sectional study based on a self-administered online survey was conducted among 312 dentists (general practitioners and specialists) across Saudi Arabia. The questionnaire assessed participants’ knowledge (11 items) and clinical practices (9 items) related to PFDPs. Statistical analyses included descriptive statistics, chi-square tests, and multivariate logistic regression. Results: Only 46.5% of respondents demonstrated adequate knowledge of PFDPs. Knowledge was significantly higher among specialists than general practitioners (57.4% vs. 41.7%, p = 0.011), and specialists were more likely to recognize the influence of PFDPs on treatment outcomes. Clinical practice patterns indicated that even though 94.2% of respondents frequently placed PFDPs, only 66.0% always did so. Moreover, 21.2% of respondents rarely or never disinfect PFDPs. Public sector dentists and specialists were more likely to use custom-made PFDPs. Key gaps in knowledge were observed regarding the materials and equipment used in the fabrication of PFDPs, particularly concerning CAD/CAM technology. Conclusions: Although most dentists in Saudi Arabia provided PFDPs to their patients, significant gaps remain in their knowledge, particularly regarding fabrication materials and techniques. Targeted educational interventions, especially for general practitioners, are needed to enhance clinical outcomes. Full article
(This article belongs to the Section Prosthodontics)
28 pages, 858 KB  
Review
Fiber-Reinforced Composites in Fixed Prosthodontics: A Comprehensive Overview of Their Historical Development, Types, Techniques, and Longevity
by Muhammad Amber Fareed, Mazen Abdulmounem Masri, Almustafa Wisam Mustafa Al-sammarraie and Buthena Mohamed Ehsan Akil
Prosthesis 2025, 7(6), 139; https://doi.org/10.3390/prosthesis7060139 - 3 Nov 2025
Viewed by 1208
Abstract
Background: Fiber-reinforced composites (FRCs) have emerged as transformative materials in restorative dentistry, particularly for managing partial edentulism through fixed partial dentures (FPDs). Their superior aesthetic, mechanical, and adhesive properties offer a minimally invasive alternative to traditional metal–ceramic restorations. Objective: This review aims [...] Read more.
Background: Fiber-reinforced composites (FRCs) have emerged as transformative materials in restorative dentistry, particularly for managing partial edentulism through fixed partial dentures (FPDs). Their superior aesthetic, mechanical, and adhesive properties offer a minimally invasive alternative to traditional metal–ceramic restorations. Objective: This review aims to evaluate the historical evolution, clinical applications, technological advancements, and prospects of FRCs in prosthodontics, emphasizing their potential to deliver durable, aesthetic, and cost-effective treatment solutions. Methods: This narrative review follows the SANRA guidelines. A comprehensive literature search was conducted across PubMed, ScienceDirect, and Google Scholar for studies published between January 1995 and January 2025. Search terms included “fiber-reinforced composite”, “fixed prosthodontics”, “fixed partial dentures”, “adhesive restorations”, and “implant-supported restorations”. Only English-language studies addressing the clinical applications, mechanical properties, technological innovations, or survival outcomes of FRCs were included. Data were extracted from original research papers, systematic reviews, and narrative reviews. Results: Advancements in fiber architecture, resin matrices, and polymerization techniques have enhanced the strength, aesthetics, and longevity of FRC-based FPDs. Their high flexural strength, fatigue resistance, and compatibility with adhesive restorative techniques provide clinicians with versatile treatment options. Clinical studies demonstrate favorable survival rates and long-term success, positioning FRC FDPs as reliable alternatives to conventional restorations. Emerging technologies such as CAD/CAM and 3D printing further broaden their scope and precision. Conclusions: FRC FPDs have evolved from interim solutions to predictable, long-term restorations. With ongoing technological innovations and clinical validation, they are poised to become a mainstream treatment choice in prosthodontics. FRC FPDs offer a durable, aesthetic, and cost-effective solution aligned with minimally invasive dentistry, reducing tooth preparation while improving patient-centered outcomes. Full article
(This article belongs to the Section Prosthodontics)
Show Figures

Figure 1

9 pages, 219 KB  
Article
Influence of Gender and Emotional State on Tooth Colour Perception: A Clinical Study
by Marta Mazur, Artnora Ndokaj, Stephen Westland, Livia Ottolenghi, Francesca Ripari, Roman Ardan, Marina Piroli, Roberta Grassi and Gianna Maria Nardi
Prosthesis 2025, 7(6), 138; https://doi.org/10.3390/prosthesis7060138 - 3 Nov 2025
Viewed by 321
Abstract
Background/Objectives: Tooth colour perception is critical to aesthetic outcomes in restorative dentistry and patient satisfaction. Psychological and gender-related factors may modulate individual colour perception. This study evaluates the influence of gender and emotional state on tooth colour self-perception in healthy adults. Methods [...] Read more.
Background/Objectives: Tooth colour perception is critical to aesthetic outcomes in restorative dentistry and patient satisfaction. Psychological and gender-related factors may modulate individual colour perception. This study evaluates the influence of gender and emotional state on tooth colour self-perception in healthy adults. Methods: A prospective observational study was conducted on 100 adults (50 women, 50 men; mean age 32.2 years) without anterior restorations or systemic disease. Tooth shade was assessed by (i) operator visual matching using the VITA Classical A1–D4 guide, (ii) patient self-selection with the same guide, and (iii) spectrophotometric measurement (Spectroshade Micro). Emotional state was measured using the abbreviated Profile of Mood States (POMS-SF); the OHIP-14 was administered to characterise oral health–related quality of life. Statistical analyses included the Chi-squared test, Kendall’s τ, and t-test, with p < 0.05 considered significant. Results: A significant association between gender and the magnitude of patient–operator discrepancy was found (p = 0.013): women showed higher rates of complete agreement or two-step differences, whereas men more frequently exhibited one-step differences. Positive mood parameters (feeling active, energetic, satisfied) correlated with greater patient–operator agreement (τ = 0.17–0.23, p < 0.05). Significant association was neither observed between patient self-selection and spectrophotometric measurement (p = 0.225), nor between facial undertone, facial colour contrast, or depressive mood levels. Conclusions: Gender and emotional state influence subjective tooth colour perception. Positive mood is associated with improved agreement between perceived and clinically assessed colour. These findings support a personalised, gender- and mood-informed approach to shade selection and patient management in aesthetic dentistry. Full article
10 pages, 591 KB  
Article
Effect of Post-Casting Cooling Rate on Clasp Complications in Co–Cr–Mo Removable Partial Dentures: 5-Year Retrospective Data
by Saverio Ceraulo, Gianluigi Caccianiga, Dorina Lauritano and Francesco Carinci
Prosthesis 2025, 7(6), 137; https://doi.org/10.3390/prosthesis7060137 - 2 Nov 2025
Viewed by 338
Abstract
Background/Objectives: This retrospective study aimed to evaluate the five-year clinical performance of removable partial dentures (RPDs) made of chromium–cobalt–molybdenum alloy, comparing two different post-casting cooling methods: slow furnace cooling (LRF) and room temperature air cooling (RATA). The investigation aimed to determine whether LRF [...] Read more.
Background/Objectives: This retrospective study aimed to evaluate the five-year clinical performance of removable partial dentures (RPDs) made of chromium–cobalt–molybdenum alloy, comparing two different post-casting cooling methods: slow furnace cooling (LRF) and room temperature air cooling (RATA). The investigation aimed to determine whether LRF treatment could reduce the incidence of technical complications, such as fractures and clasp deformations, particularly on RPD with thin clasps for aesthetic reasons. Methods: In total, 22 RPDs were examined, 11 of which were treated with LRF (test group) and 11 with RATA (control group). The prostheses in the LRF group had clasps intentionally reduced by 2/3 tenths of a millimeter compared to those in the RATA group. All the prostheses were made and evaluated by the same operator, who analyzed the presence of changes, fractures, or clasp widening after five years. Statistical analysis was performed using Fisher’s exact test with a significance level of p < 0.05. Results: Clinical data showed a lower complication rate in the LRF group compared to the RATA group in all parameters evaluated: prosthesis modification (9.1% vs. 18.2%), clasp fractures (9.1% vs. 36.4%), and enlarged clasps (54.4% vs. 72.7%). However, the statistical comparison between the two groups did not show significant differences, p-value ˃ 0.05 for all parameters. Conclusions: Despite the lack of statistical significance, likely due to the limited size of the cambium and the confounding variable of clasp thickness, clinical trends indicate a potential superiority of the LRF method in the parameters examined, such as modification prosthesis, fractured clasp, and enlarged clasp. The reduction in complication rates in the LRF group suggests that the superior mechanical properties conferred by this treatment may compensate for the potential structural weakening caused by clasp thickness. Future studies with a larger sample size and a prospective design will be needed to validate these results and confirm LRF as the preferred protocol for the production of aesthetic RPD. Full article
Show Figures

Figure 1

20 pages, 6249 KB  
Article
Finite Element Optimization of 3D Abiotic Glucose Fuel Cells for Implantable Medical Devices
by Cong Ma, Elizabeth Gibson, Mirella Di Lorenzo and Patrick Degenaar
Prosthesis 2025, 7(6), 136; https://doi.org/10.3390/prosthesis7060136 - 30 Oct 2025
Viewed by 644
Abstract
As the world’s population ages, the incidence of chronic disorders is on the rise. Active Implantable Medical Devices are, therefore, evolving to meet the challenge. As the size of these devices decreases to facilitate implantation, the challenge of providing stable, continuous power becomes [...] Read more.
As the world’s population ages, the incidence of chronic disorders is on the rise. Active Implantable Medical Devices are, therefore, evolving to meet the challenge. As the size of these devices decreases to facilitate implantation, the challenge of providing stable, continuous power becomes significant. Lithium batteries provide reliable, stable power to implants; however, their miniaturization leads to a reduction in the stored energy capacity, total lifespan, and overall capability. Consequently, there is a need for on-body energy harvesting alternatives. This study utilizes literature data on abiotic glucose fuel cells to feed into a finite element model incorporating both diffusion and reaction aspects to investigate how the 3D macro-architecture of the fuel cell device can be used to optimize the energy output. Accordingly, optimal 3D architectures are determined to enable power outputs ranging from several tens of microwatts to one hundred microwatts from an implantable package. This will help with the 3D architecture design of future similar abiotic fuel cell units and speed up the process of figuring out the best settings for key parameters (like shape, size, and separation). Full article
Show Figures

Figure 1

21 pages, 7578 KB  
Article
Comparative Clinical Evaluation of Digital Versus Conventional Dental Impression Techniques in Implant-Supported Restorations
by Ioan-Achim Borșanu, Laura-Cristina Rusu, Sergiu-Manuel Antonie and Emanuel-Adrian Bratu
Prosthesis 2025, 7(6), 135; https://doi.org/10.3390/prosthesis7060135 - 28 Oct 2025
Viewed by 1171
Abstract
Background: This retrospective comparative clinical study aimed to evaluate the performance of digital versus conventional impression techniques in the fabrication of implant-supported prosthetic restorations. Materials and Methods: A total of 40 cases were included: 20 impressions obtained with conventional elastomeric materials (polyvinyl siloxane [...] Read more.
Background: This retrospective comparative clinical study aimed to evaluate the performance of digital versus conventional impression techniques in the fabrication of implant-supported prosthetic restorations. Materials and Methods: A total of 40 cases were included: 20 impressions obtained with conventional elastomeric materials (polyvinyl siloxane and polyether), and 20 impressions acquired digitally using two intraoral scanners (TRIOS 3 and Medit i700). All patients received partial fixed implant restorations and were documented across all stages of prosthetic treatment. Accuracy and passive fit were assessed using radiographic measurements and the Sheffield test. Linear distances (mm) at the implant–abutment interface, chairside time (min), and VAS scores (1–10) were analyzed. Clinical efficiency was evaluated based on procedural steps, chairside time, and adjustment frequency. Patient satisfaction was assessed through a structured 10-item Visual Analog Scale (VAS) questionnaire. Results: Results showed a lower misfit rate in the digital group (15%) compared to the conventional group (25%), with no final-stage misfits in digital cases. Digital workflows demonstrated shorter impression times, fewer procedural steps, and reduced the need for prosthetic adjustments. Patient satisfaction scores were significantly higher in the digital group across all VAS parameters (p < 0.001), particularly in comfort and esthetic satisfaction. Conclusions: These findings support the use of digital impressions as a clinically efficient and patient-preferred alternative to conventional methods for partial implant restorations. However, conventional impressions remain a viable option in settings where digital technology is not available. Further studies with larger sample sizes and long-term follow-up are recommended to assess outcomes in full-arch rehabilitation. Full article
Show Figures

Figure 1

10 pages, 410 KB  
Article
What Are the Factors Associated with Longevity of Mandibular Advancement Oral Appliances?
by Yasuhiro Matsuda, Nobuaki Magata and Naomi Tanoue
Prosthesis 2025, 7(6), 134; https://doi.org/10.3390/prosthesis7060134 - 28 Oct 2025
Viewed by 371
Abstract
Background/Objectives: Mandibular advancement oral appliances (MAOAs) for obstructive sleep apnea syndrome treatment can be rendered more convenient by adopting a separate and movable design; however, concerns regarding possible weakening of effect have been raised. This study had the aim to clarify the factors [...] Read more.
Background/Objectives: Mandibular advancement oral appliances (MAOAs) for obstructive sleep apnea syndrome treatment can be rendered more convenient by adopting a separate and movable design; however, concerns regarding possible weakening of effect have been raised. This study had the aim to clarify the factors associated with the longevity of separate and movable MAOAs. Methods: Information on 466 MAOAs from 230 patients was collected from medical records, including baseline information, apnea–hypopnea indexes, transcutaneous oxygen saturation, component connection method, and initial fabrication status (new fabrication or repair). MAOAs were evaluated in clinical practice, and breakage was considered a failure. Failures were classified into three types: Type A, breakage anywhere in MAOA; Type B, connector breakage (thermoplastic component breakage was censored); and Type C, thermoplastic component breakage (connector breakage was censored). Survival time of MAOA for all types was analyzed using a shared frailty model. Hazard ratios and 95% confidence intervals were determined, with the statistical significance at p < 0.05. Results: Type A failures were significantly linked to patient sex, age, and connection method; Type B failures were associated with sex and age; and no variables were linked to Type C failures. Younger male patients showed lower survival rate except for Type C, with no correlation between apnea symptom severity and survival status. Conclusions: MAOA connector strength was significantly associated with the MAOA survival rate. Connectors were more likely to break in younger patients, and this tendency was particularly pronounced in males. Therefore, age and sex should be considered when choosing the MAOA connection method. Full article
Show Figures

Figure 1

18 pages, 6171 KB  
Article
Enhancing the Antibacterial and Biointegrative Properties of Microporous Titanium Surfaces Using Various Metal Coatings: A Comparative Study
by Maxim Shevtsov, Ekaterina Bozhokina, Natalia Yudintceva, Danila Bobkov, Anastasiya Lukacheva, Denis Nazarov, Irina Voronkina, Larisa Smagina, Emil Pitkin, Elena Oganesyan, Airat Kayumov, Grigory Raykhtsaum, Mykhailo Matviychuk, Vladimir Moxson, Michael Akkaoui, Stephanie E. Combs and Mark Pitkin
Prosthesis 2025, 7(6), 133; https://doi.org/10.3390/prosthesis7060133 - 26 Oct 2025
Viewed by 1090
Abstract
Background/Objectives: A comparative study of silver (Ag), titanium nitride (TiN), zirconium nitride (ZrN), and copper (Cu) coatings on titanium (Ti) disks, considering the specifications of a microporous skin- and bone-integrated titanium pylon (SBIP), was performed to assess their biocompatibility, osseointegration, and mechanical [...] Read more.
Background/Objectives: A comparative study of silver (Ag), titanium nitride (TiN), zirconium nitride (ZrN), and copper (Cu) coatings on titanium (Ti) disks, considering the specifications of a microporous skin- and bone-integrated titanium pylon (SBIP), was performed to assess their biocompatibility, osseointegration, and mechanical properties. Methods: To assess cytotoxicity and biocompatibility, Ti disks with various metal coatings were co-cultured with FetMSCs and MG-63 cells for 1, 3, 7, and 14 days and subsequently evaluated using a cell viability assay, as supported by SEM and confocal microscopy studies. The antimicrobial activity of the selected four materials coating the implants was tested against S. aureus by mounting Ti disks onto the surface of LB agar dishes spread with a bacterial suspension and measuring the diameter of the growth inhibition zones. Quantitative Real-Time Polymerase Chain Reaction (RT-PCR) analysis of the relative gene expression of biomarkers that are associated with extracellular matrix components (fibronectin, vitronectin, type I collagen) and cell adhesion (α2, α5, αV integrins), as well as of osteogenic markers (osteopontin, osteonectin, TGF-β1, SMAD), was performed during the 14-day follow-up period. Additionally, the activity of matrix metalloproteinases (MMP-1, -2, -8, -9) was assessed. Results: All samples with metal coatings, except the copper coating, demonstrated a good cytotoxicity profile, as evidenced by the presence of a cellular monolayer on the sample surface on the 14th day of the follow-up period (as shown by SEM and inverted confocal microscopy). All metal coatings enhanced MMP activity, as well as cellular adhesion and osteogenic marker expression; however, TiN showed the highest values of these parameters. Significant inhibition of bacterial growth was observed only in the Ag-coated Ti disks, and it persisted for over 35 days. Conclusions: The silver-based coating, due to its high antibacterial activity, low cytotoxicity, and biointegrative capacity, can be recommended as the coating of choice for microporous titanium implants for further preclinical studies. Full article
Show Figures

Graphical abstract

25 pages, 346 KB  
Article
Design and Validation of a Web-Based Exploratory Survey Investigating Qualified Professionals and Volunteers Using 3D Printing for Upper Limb Prosthetics: A Methodological Paper
by Kevin Wendo, Séverine Guisset, Kiswendsida Sawadogo, Olivier Barbier, Arnaud Meunier, Axele Felloneau, Thierry Oquidam, Thomas Lhermitte, Brice Adornato, Morgan Jimenez and Raphael Olszewski
Prosthesis 2025, 7(6), 132; https://doi.org/10.3390/prosthesis7060132 - 24 Oct 2025
Viewed by 341
Abstract
Background: 3D printing (3DP) workflow has made its entry in the upper limb prostheses (ULP) manufacturing process. Although it represents a valuable change in clinical practice, its implementation is not ubiquitous. Additional data are required to establish recommendations and unanimously accepted guidelines to [...] Read more.
Background: 3D printing (3DP) workflow has made its entry in the upper limb prostheses (ULP) manufacturing process. Although it represents a valuable change in clinical practice, its implementation is not ubiquitous. Additional data are required to establish recommendations and unanimously accepted guidelines to facilitate clinical application. Objectives: Our study aimed to develop and validate a web-based multilingual survey investigating the sociodemographic and technical profiles and expertise of professionals and volunteers using 3DP for manufacturing ULP. Methods: We followed a multi-stage development and validation process, including item generation, experts’ review, cognitive testing and pre-testing among the population of interest (POI). Validity evidence was accumulated at each stage, with Content Validity and Face Validity measurements. The survey was available in French, English and Spanish and distributed through the REDCAP web-based platform. Results: The validated questionnaire comprised fifty-two primary questions, organized in nine sections. Experts’ evaluations demonstrated appropriate topic coverage and a high degree of relevance throughout the survey: most single item Content Validity Indexes (CVI) ranged from 0.87 to 1 and Average CVIs for survey sections reached between 0.86 to 1. The pre-test among the POI included 42 participants and led to limited questionnaire revisions. The final version of the survey was approved unanimously by all experts. Conclusions: The newly developed web-based survey demonstrated good evidence for validity. This instrument is an acceptable tool to investigate stakeholders using 3DP for manufacturing ULP and to further establish guidelines. Full article
(This article belongs to the Section Orthopedics and Rehabilitation)
Previous Issue
Back to TopTop