Next Issue
Volume 15, December-1
Previous Issue
Volume 15, November-1
 
 

Diagnostics, Volume 15, Issue 22 (November-2 2025) – 117 articles

Cover Story (view full-size image): This study analyzes the prevalence and clinical relevance of incidental findings from 683 chest CT scans performed for suspected COVID-19 over nearly two years. Using the COVID-19 Pneumonia Imaging Classification and a structured relevance scale, we evaluated how these findings were identified, categorized, and clinically managed. Incidental findings occurred in 94 patients (13.8%), with women affected more frequently. Although most findings were of limited clinical significance, several required further diagnostics and work up. This study highlights the need for consistent follow-up and standardized management pathways to ensure that clinically significant incidental findings are appropriately addressed. View this paper
  • Issues are regarded as officially published after their release is announced to the table of contents alert mailing list.
  • You may sign up for e-mail alerts to receive table of contents of newly released issues.
  • PDF is the official format for papers published in both, html and pdf forms. To view the papers in pdf format, click on the "PDF Full-text" link, and use the free Adobe Reader to open them.
Order results
Result details
Section
Select all
Export citation of selected articles as:
10 pages, 1403 KB  
Case Report
Laser Confocal Microscopy May Be a Useful Tool in Neuropathological Intraoperative Examination
by Deborah Dardano, Anna Bilotta, Gianmarco Gallucci, Carlo Gentile, Giuseppe Riganati, Antonio Veraldi, Domenico Policicchio, Maria Teresa Nevolo, Alberto V. Filardo, Anna Maria Lavecchia and Giuseppe Donato
Diagnostics 2025, 15(22), 2936; https://doi.org/10.3390/diagnostics15222936 - 20 Nov 2025
Viewed by 577
Abstract
Background and Clinical Significance: The paper investigates the use of the Histolog® Scanner, a confocal microscopy–based device, as a potential tool for intraoperative neuropathological diagnosis of brain tumors. Traditional intraoperative diagnosis, relying on frozen sections and squash preparations, can introduce artifacts and [...] Read more.
Background and Clinical Significance: The paper investigates the use of the Histolog® Scanner, a confocal microscopy–based device, as a potential tool for intraoperative neuropathological diagnosis of brain tumors. Traditional intraoperative diagnosis, relying on frozen sections and squash preparations, can introduce artifacts and consume valuable tissue. The Histolog® Scanner offers a plug-and-play solution capable of acquiring high-resolution images of fresh tissue surfaces in minutes while preserving tissue for further histological or molecular analyses. Cases Presentation: Three clinical cases—two women and one-man, mean age 57.3 years—undergoing neurosurgery for distinct brain lesions were included. Tissue samples were immersed in fluorescent dye, rinsed, and immediately analyzed with the Histolog® Scanner before standard intraoperative histopathology. In the first case, a glioblastoma wild-type, traditional methods struggled to define tumor margins, whereas the device provided rapid, detailed imaging to guide resection. In the second case, a meningioma, the scanner confirmed lesion identity quickly, eliminating the need for a cryostat and reducing artifacts. In the third case, a brain metastasis, integration with cytological apposition allowed simultaneous assessment of lesion margins and nature without freezing the tissue. Conclusions: The Histolog® Scanner demonstrated multiple advantages: rapid intraoperative use, clear margin visualization, preservation of tissue for subsequent analyses, reduce unnecessary resection, thereby helping to lower the risk of recurrence. This device may complement standard intraoperative methods, enhancing diagnostic accuracy and influencing postoperative treatment planning. Overall, the Histolog® Scanner represents an innovative tool combining speed, precision, and tissue preservation, suggesting a promising role in establishing a new standard for intraoperative neurosurgical diagnosis. Full article
(This article belongs to the Section Pathology and Molecular Diagnostics)
Show Figures

Figure 1

19 pages, 290 KB  
Article
Prevalence and Clinical Associations of Malnutrition and Sarcopenia Risk in Gastroenterology Inpatients: A Multicenter Cross-Sectional Study in Turkey
by Göksel Bengi, Süleyman Dolu, Yavuz Özden, Nevin Oruç, Mukaddes Tozlu, Gözde Derviş Hakim, Genco Gençdal, Ali Rıza Çalışkan, Müge Ustaoğlu, Ufuk Kutluana, Engin Altıntaş, Galip Egemen Atar, Ahmet Uyanıkoğlu, Sezgin Barutçu, Kader Irak, Deniz Koç, Berat Ebik, Züleyha Akkan Çetinkaya, Haluk Tarık Kani, Dilek Oğuz, Filiz Araz, Altay Kandemir, Nermin Mutlu Bilgiç, Özdal Ersoy, Özlem Gül, Banu Kara, Burak Özşeker, Hüseyin Alkım, Sedat Boyacıoğlu, Ayşe Kefeli, Hasan Yılmaz, Pembe Keskinoğlu, Yasemin Gökden Gök, Çağlayan Keklikkıran, Müjde Soytürk, Salih Tokmak, Murat Aladağ, Hakan Ünal, Funda Uğur Kantar, Yusuf Serdar Sakin, Meral Kayhan, Ozan Cengiz, Tolga Gözmen, İsmail Atasoy and Hale Akpınaradd Show full author list remove Hide full author list
Diagnostics 2025, 15(22), 2935; https://doi.org/10.3390/diagnostics15222935 - 20 Nov 2025
Viewed by 912
Abstract
Background/Objectives: This study aimed to determine the prevalence of malnutrition and sarcopenia risk among patients hospitalized in gastroenterology clinics across different geographical regions of Turkey, to identify their risk factors, and to evaluate their associations with clinical outcomes. Methods: A total [...] Read more.
Background/Objectives: This study aimed to determine the prevalence of malnutrition and sarcopenia risk among patients hospitalized in gastroenterology clinics across different geographical regions of Turkey, to identify their risk factors, and to evaluate their associations with clinical outcomes. Methods: A total of 1051 patients admitted to 36 gastroenterology clinics across six geographical regions of Turkey during the week of 14 November 2024 were evaluated in a cross-sectional design. The nutritional status of the patients was assessed using the NRS-2002 questionnaire, while the risk of sarcopenia was evaluated with the SARC-F questionnaire. Demographic data, clinical diagnoses, disease severity scores, and comorbidities were also recorded and analyzed. Results: Of the patients included in the study, 54.7% were female, and the mean age was 61.7 ± 17.2 years. The prevalence of malnutrition risk was 27.8%, while the prevalence of sarcopenia risk was 32.7%. Patients with malnutrition risk had a lower BMI (24.7 ± 5.3 vs. 27.1 ± 5.4, p < 0.001) and were older (67.6 ± 16.0 vs. 56.5 ± 17.1, p < 0.001). The risks of sarcopenia and malnutrition were significantly higher in patients with liver cirrhosis (40.7% malnutrition; 54.5% sarcopenia), gastrointestinal malignancy (50.5%; 44.2%), and diabetes mellitus. Logistic regression analysis identified older age, male sex, and presence of malignancy as independent risk factors for malnutrition, whereas older age, female sex, presence of malnutrition, liver cirrhosis, and heart failure were independent risk factors for sarcopenia. A strong correlation was also found between malnutrition and sarcopenia (r = 0.544, p < 0.001). Conclusions: Approximately one-third of patients hospitalized in gastroenterology clinics across Turkey are at risk of malnutrition and sarcopenia. These conditions are particularly associated with malignancy, cirrhosis, and metabolic comorbidities. Our findings highlight the necessity of systematic nutritional and sarcopenia screening upon hospital admission. Full article
(This article belongs to the Section Clinical Diagnosis and Prognosis)
14 pages, 478 KB  
Article
Depression, Functional Dependence, and Oral Health: Evidence from a Clinical Study of Older Spanish Adults
by Carmen Esperanza Abregú-Flores, Pedro Luis Ruiz-Sáenz, María Andrés-Veiga, Fernando Fernández-Cáliz, Cristina Meniz-García and Natalia Martínez-Rodríguez
Diagnostics 2025, 15(22), 2934; https://doi.org/10.3390/diagnostics15222934 - 20 Nov 2025
Viewed by 1120
Abstract
Background: Depression is a prevalent mental health condition among older adults and may be linked to multiple systemic and functional factors. Emerging evidence suggests a bidirectional relationship between depressive symptoms and poor oral health, but data from European populations remain scarce. Methods [...] Read more.
Background: Depression is a prevalent mental health condition among older adults and may be linked to multiple systemic and functional factors. Emerging evidence suggests a bidirectional relationship between depressive symptoms and poor oral health, but data from European populations remain scarce. Methods: A cross-sectional study was conducted in 181 community-dwelling adults aged over 66 years in Madrid, Spain. Depressive symptoms were assessed using the Geriatric Depression Scale (GDS-15), and functional dependence using the Barthel Index. Oral examinations included the number of caries, root remnants, and gingivitis. Additional variables included the Body Mass Index (BMI), smoking and alcohol consumption, and medication use. Data were analysed using descriptive and non-parametric statistics. Results: Overall, 49.2% of participants exhibited depressive symptoms (34.8% moderate, 14.4% severe). Old age and excess weight were significantly associated with depression (p < 0.05). Depressed participants showed higher functional dependence scores on the Barthel Index (p < 0.001). Oral health indicators, including higher number of caries, root remnants, and gingivitis, were significantly worse among those with depression (p < 0.005). Oral hygiene practices such as toothbrushing were slightly more frequent in the non-depressed group, while oral irrigator use was low across all groups. Conclusions: Depressive symptoms in older Spanish adults were associated with poorer oral health, greater functional dependence, and certain clinical factors such as BMI and antidepressant use. These findings highlight the importance of integrated, multidisciplinary approaches to promote both mental and oral health in ageing populations. Longitudinal studies are warranted to clarify the causal pathways underlying these associations. Full article
(This article belongs to the Special Issue Diagnosis and Management of Dental Medicine and Surgery, 2nd Edition)
Show Figures

Figure 1

11 pages, 1678 KB  
Article
Changes in Maxillary Incisor Inclination Before and After Orthodontic Treatment Across Vertical Skeletal Patterns
by Samar Bou Assi, Antoine E. Hanna, Rita Pamela Khoury and Anthony T. Macari
Diagnostics 2025, 15(22), 2933; https://doi.org/10.3390/diagnostics15222933 - 20 Nov 2025
Viewed by 1004
Abstract
Objective: To evaluate changes in maxillary incisor inclination before and after orthodontic treatment in adults with different vertical facial patterns (normodivergent, hypodivergent, hyperdivergent) and to assess the relationship of incisor inclination to facial and growth axes using cephalometric and photographic records. Materials [...] Read more.
Objective: To evaluate changes in maxillary incisor inclination before and after orthodontic treatment in adults with different vertical facial patterns (normodivergent, hypodivergent, hyperdivergent) and to assess the relationship of incisor inclination to facial and growth axes using cephalometric and photographic records. Materials and Methods: This retrospective study included 144 non-growing patients (96 females, 48 males) with available pre- and post-treatment lateral cephalograms and smiling profile photographs. Patients were classified into three groups based on mandibular plane angle (MP/SN): normodivergent (n = 66), hypodivergent (n = 35), and hyperdivergent (n = 43). Angular measurements assessed maxillary incisor inclination and growth/facial axes. Clinical crown angulation (CCA) was evaluated from profile photographs. Statistical analyses included paired t-tests, ANOVA with Bonferroni post hoc tests, and Pearson correlation. Results: No significant changes in maxillary incisor inclination were observed post-treatment in any of the groups. Significant skeletal changes were noted in the hypodivergent group, including increases in MP/SN (p = 0.011) and IMPA (p = 0.014). Intergroup comparison revealed significant differences in changes in Facial Axis/H (p = 0.020) and MP/SN (p = 0.025). Correlations between CCA and skeletal axes were more pronounced in normo- and hypodivergent groups, while hyperdivergent patients showed no significant associations. Conclusions: These findings suggest that the stability of maxillary incisor inclination reflects controlled torque mechanics during treatment. In normo- and hypodivergent patients, skeletal axes may help guide esthetic incisor positioning; however, in hyperdivergent patients, soft tissue and smile evaluation should play a greater role when determining final incisor inclination. Full article
(This article belongs to the Section Clinical Diagnosis and Prognosis)
Show Figures

Figure 1

19 pages, 1680 KB  
Review
Active Matrixmetalloproteinase-8 in Periodontal Diagnosis: A Scoping Review
by Lata Goyal, Mehak Gupta, Shubham Sareen, Nur Rahman Ahmad Seno Aji, Vaibhav Sahni, Julie Toby Thomas, Tommi Pätilä, Miika Penttala, Pirjo Pärnänen, Timo Sorsa, Shipra Gupta, Ismo T. Räisänen and Pietro Leone
Diagnostics 2025, 15(22), 2932; https://doi.org/10.3390/diagnostics15222932 - 20 Nov 2025
Cited by 1 | Viewed by 1733
Abstract
Background/Objectives: Periodontitis is a chronic inflammatory disease initiated by dysbiotic biofilms and driven by host immune dysregulation, leading to connective tissue destruction and alveolar bone loss. Its early diagnosis is closely linked to the progression and outcome of the disease. Active-matrix metalloproteinase-8 [...] Read more.
Background/Objectives: Periodontitis is a chronic inflammatory disease initiated by dysbiotic biofilms and driven by host immune dysregulation, leading to connective tissue destruction and alveolar bone loss. Its early diagnosis is closely linked to the progression and outcome of the disease. Active-matrix metalloproteinase-8 (aMMP-8) is one of the key biomarkers for estimating irreversible collagenolytic degradation. aMMP-8 is among the key biomarkers for estimating irreversible collagenolytic degradation. To evaluate the role of oral fluid/salivary/mouthrinse aMMP-8 tests for early detection and treatment monitoring of periodontitis. Methods: A search was conducted in the Medline, Embase, Scopus, and Cochrane databases, restricted to articles published between January 2020 and December 2024 to capture the most recent literature. Pilot, cohort, case–control, and cross-sectional studies were included, while studies not aligning with the objectives of this review, as well as narrative reviews, editorials, and opinions were excluded. Results: A total of 276 articles were retrieved. After removing duplicates, 226 studies remained, of which 216 were retained following title, abstract, and keyword screening. From these, 26 studies were finally included in this review. aMMP-8 point-of-care tests appear to be promising tools for early diagnosis, disease severity assessment, and treatment monitoring in periodontitis, though findings remain conflicting across studies. Elevated aMMP-8 levels are associated with active periodontal pathology and tissue destruction, reflecting ongoing collagenolytic degeneration. Conclusions: aMMP-8 mouthrinse, saliva, or oral fluid tests can be used for predictive and early diagnosis as well as for treatment monitoring in patients with periodontal disease, and they function effectively as biomarkers for periodontitis. Full article
(This article belongs to the Special Issue Periodontal Disease: Diagnosis and Management)
Show Figures

Figure 1

13 pages, 1701 KB  
Article
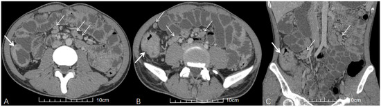
Clinical and CT Features of HIV-Negative and HIV-Positive Patients with Abdominal Tuberculous Lymphadenopathy
by Xiao-Ling Zhu, Sheng-Xiu Lv, Li Wen, Ran Li, Xue-Yan Liu and Guang-Xian Wang
Diagnostics 2025, 15(22), 2931; https://doi.org/10.3390/diagnostics15222931 - 20 Nov 2025
Viewed by 663
Abstract
Background: The diagnosis of abdominal tuberculous lymphadenopathy (ATBL) remains challenging in clinical practice. Patients with ATBL and HIV infection may have atypical clinical and computed tomography (CT) features. The aim of this study was to investigate the impact of HIV infection on [...] Read more.
Background: The diagnosis of abdominal tuberculous lymphadenopathy (ATBL) remains challenging in clinical practice. Patients with ATBL and HIV infection may have atypical clinical and computed tomography (CT) features. The aim of this study was to investigate the impact of HIV infection on the clinical and CT features of ATBL patients. Methods: From January 2012 to March 2023, 178 patients with untreated ATBL were retrospectively analyzed. Patients with ATBL were classified into HIV-negative group (n = 152) and HIV-positive group (n = 26). In addition to the clinical characteristics of the patients, the features of ATBL (e.g., size and location) were evaluated via CT. The Mann–Whitney U test (for continuous variables) and Fisher’s exact test (for categorical variables) were used to compare clinical data and CT imaging features between the two groups. Missing values were handled using multiple imputation, and the Benjamini–Hochberg procedure was applied to control the false discovery rate (FDR) in multiple comparisons. Post hoc power analysis for key variables was performed. Results: Compared with the HIV-negative group, the HIV-positive group had older age, lower CD4+ T-cell counts, and larger ATBL diameter. The HIV-positive group also showed a stronger tendency for disease dissemination, with significantly higher rates of smear positivity, miliary pulmonary tuberculosis (PTB), and disseminated tuberculosis (TB). On CT imaging, the HIV-positive group had a higher frequency of ATBL involvement in the upper para-aortic region, portacaval space, and hepatogastric ligament. In contrast, abdominal distension was more common in the HIV-negative group. post hoc power analysis confirmed that most key variables had adequate statistical power (≥0.8), except for age (power = 0.597) and ATBL diameter (Power = 0.769). Conclusions: The clinical and CT features of ATBL differ significantly between HIV-negative and HIV-positive patients. Full article
(This article belongs to the Section Medical Imaging and Theranostics)
Show Figures

Figure 1

14 pages, 3548 KB  
Article
Characterization of Peripheral Retinal Degenerations and Rhegmatogenous Lesions Using Ultra-Widefield Swept Source OCT Integrated with a Novel Scanning Laser Ophthalmoscope
by Daniela Bacherini, Clara Rizzo, Giulio Vicini, Diego Luciani, Lorenzo Vannozzi, Gianni Virgili, Fabrizio Giansanti and Cristina Nicolosi
Diagnostics 2025, 15(22), 2930; https://doi.org/10.3390/diagnostics15222930 - 20 Nov 2025
Cited by 1 | Viewed by 912
Abstract
Background/Objectives: The purpose of this study was to evaluate the implementation of ultra-widefield swept-source optical coherence tomography (SS-OCT) in characterizing peripheral retinal degenerations and rhegmatogenous lesions, and to assess its potential implications for clinical management. These lesions are often challenging to visualize [...] Read more.
Background/Objectives: The purpose of this study was to evaluate the implementation of ultra-widefield swept-source optical coherence tomography (SS-OCT) in characterizing peripheral retinal degenerations and rhegmatogenous lesions, and to assess its potential implications for clinical management. These lesions are often challenging to visualize with conventional techniques, highlighting the need for advanced imaging modalities to improve detection and characterization. Methods: We conducted a retrospective observational study involving patients diagnosed with peripheral retinal degenerations and/or rhegmatogenous lesions referred to our center. All participants underwent comprehensive ophthalmological evaluation, including slit-lamp biomicroscopy, dilated fundus examination, and peripheral SS-OCT imaging. Key parameters assessed included the presence of vitreoretinal attachment, vitreous traction, full-thickness retinal defects, and subretinal fluid associated with the peripheral lesions under investigation. Results: A total of 107 eyes from 95 patients were included. The mean spherical equivalent was −2.18 ± 2.5 diopters, and mean BCVA was 0.03 ± 0.11. Peripheral SS-OCT imaging successfully captured and characterized 130 retinal lesions, including retinal tears (n = 34), lattice degeneration (n = 25), retinal holes (n = 21), peripheral retinoschisis (n = 17), and schisis/detachment (n = 7). Less commonly observed lesions were snail track degeneration (n = 4), white without pressure (n = 4) microcystic degeneration (n = 2), dialysis (n = 2), condensed vitreous (n = 2), and paving stone degeneration (n = 1). SS-OCT provided high-resolution visualization of the peripheral retina and vitreoretinal interface, revealing findings such as vitreous traction, everted edges in retinal holes, and associated subretinal fluid, some of which were not clinically detectable and, in several cases, directly influenced management decisions. Conclusions: Ultra-widefield SS-OCT significantly enhanced the visualization of peripheral retinal degenerations and rhegmatogenous lesions, providing clinically meaningful details that may influence diagnosis and clinical decision-making. Full article
Show Figures

Figure 1

17 pages, 3622 KB  
Article
Personalized Low-Invasive Approach to Chronic Endometritis Evaluation in Premenopausal Women: Machine Learning-Based Modeling
by Kseniia D. Ievleva, Alina V. Atalyan, Timur G. Baintuev, Iana G. Nadeliaeva, Ludmila M. Lazareva, Eldar M. Sharifulin, Margarita R. Akhmedzyanova, Leonid F. Sholokhov, Irina N. Danusevich and Larisa V. Suturina
Diagnostics 2025, 15(22), 2929; https://doi.org/10.3390/diagnostics15222929 - 19 Nov 2025
Viewed by 665
Abstract
Background/Objectives: Chronic endometritis (CE) is a well-known risk factor for recurrent implantation failure. However, the traditional approach to CE diagnosis has several drawbacks. On the other hand, there is a lot of evidence that some clinical, instrumental, and/or laboratory parameters of patients [...] Read more.
Background/Objectives: Chronic endometritis (CE) is a well-known risk factor for recurrent implantation failure. However, the traditional approach to CE diagnosis has several drawbacks. On the other hand, there is a lot of evidence that some clinical, instrumental, and/or laboratory parameters of patients are associated with CE. The aim of this study is to build a CE prediction model using machine learning tools based on low-invasive pathological features. Methods: The data of 108 women (44 with and 64 without CE) from a multicenter perspective cross-sectional study was included in this study. Basic characteristics, reproductive history, laboratory and ultrasound indicators, and immunohistochemistry results were collected. Binary feature selection was performed using forward stepwise selection with logistic regression as the evaluation criterion. For each feature configuration, a gradient-boosting model was trained on decision trees with a binary logistic loss function. The models were evaluated and compared on test data using standard metrics. Results: We built five comparable predictive models for CE. The models yielded the following AUCs (95% CI): Model 1 (seven indicators)—0.704 (0.5170, 0.8907), Model 2 (seven indicators)—0.673 (0.4716, 0.8745), Model 3 (nine indicators)—0.677 (0.4916, 0.8622), Model 4 (five indicators)—0.758 (0.5913, 0.9241), and Model 5 (five indicators)—0.769 (0.5913, 0.9241). Models 2 and 5 have the better recall and precision values, but the differences were not significant. SHAP values indicated that serum adiponectin level (Model 2) and SHBG (Model 5) had the greatest association with CE risks. Conclusions: Models 2 and 5 show the most promising potential for clinical application, as they demonstrate superior recall and precision metrics and require assessment of only 5–7 risk markers (with only a few being non-routine) for their implementation. Full article
(This article belongs to the Section Machine Learning and Artificial Intelligence in Diagnostics)
Show Figures

Figure 1

14 pages, 1178 KB  
Article
Performance Comparison of In-House and Commercial Biosynex Helmints AMPLIQUICK® Real-Time PCR Assays for the Diagnosis of Schistosoma mansoni and Strongyloides stercoralis in Stool Samples
by Davide Treggiari, Francesca Tamarozzi, Fabio Formenti, Salvatore Scarso, Barbara Pajola, Lavinia Nicolini, Cristina Mazzi and Francesca Perandin
Diagnostics 2025, 15(22), 2928; https://doi.org/10.3390/diagnostics15222928 - 19 Nov 2025
Viewed by 544
Abstract
Background/Objectives: The timely diagnosis of schistosomiasis and strongyloidiasis is important because of their potentially severe, even lethal, consequences. European diagnostic laboratories must comply with the European In Vitro Diagnostic (IVD) Regulation, which requires justifying the use of in-house assays when CE-IVD-marked kits [...] Read more.
Background/Objectives: The timely diagnosis of schistosomiasis and strongyloidiasis is important because of their potentially severe, even lethal, consequences. European diagnostic laboratories must comply with the European In Vitro Diagnostic (IVD) Regulation, which requires justifying the use of in-house assays when CE-IVD-marked kits are available. We aimed to compare the performance of the Biosynex Helminths AMPLIQUICK® RT-PCR and the multiplex in-house RT-PCR for the diagnosis of Schistosoma mansoni and Strongyloides stercoralis currently used in our department, an Italian reference centre for tropical diseases. Methods: We conducted a performance comparison study on biobanked frozen stool samples classified as cases or controls according to PCR and/or copromicroscopy at diagnosis. Both RT-PCRs were performed on DNA re-extracted from the same stool aliquot. Sensitivity and specificity were compared using McNemar’s Chi-squared test, while agreement was assessed using Gwet’s AC1 and Cohen’s K coefficients, and Bland–Altman analysis. Results: A total of 45 S. mansoni cases with 52 controls and 29 S. stercoralis cases with 54 controls were analyzed. For both S. mansoni and S. stercoralis, sensitivity and specificity were not significantly different between RT-PCRs (p = 1). Concordance was perfect for controls (AC1 = 1) in both cohorts, but was poor for S. mansoni cases (AC1 = 0.38) and good for S. stercoralis cases (AC1 = 0.78). Conclusions: Performance was not significantly different between in-house and Biosynex RT-PCRs. Nevertheless, careful assessment of the specific molecular targets included in the panels and prospective evaluation of any newly introduced tests should be implemented to minimize the impact of clinically significant discrepancies. Full article
(This article belongs to the Section Diagnostic Microbiology and Infectious Disease)
Show Figures

Figure 1

21 pages, 337 KB  
Review
The Interleukin Network in Sepsis: From Cytokine Storm to Clinical Applications
by Marcello Candelli, Marta Sacco Fernandez, Gloria Rozzi, Giorgio Sodero, Andrea Piccioni, Giulia Pignataro, Donato Rigante and Francesco Franceschi
Diagnostics 2025, 15(22), 2927; https://doi.org/10.3390/diagnostics15222927 - 19 Nov 2025
Cited by 2 | Viewed by 2201
Abstract
Background and Objectives: Despite major advances in medical science and critical care, sepsis remains a leading cause of morbidity and mortality worldwide: it arises from dysregulated host response to infections and may culminate in organ dysfunction. A hallmark of its pathogenesis is [...] Read more.
Background and Objectives: Despite major advances in medical science and critical care, sepsis remains a leading cause of morbidity and mortality worldwide: it arises from dysregulated host response to infections and may culminate in organ dysfunction. A hallmark of its pathogenesis is the cytokine storm, in which interleukins (ILs) serve as central mediators of both protective and deleterious immune responses. This review summarizes the current knowledge on the role of ILs in sepsis, emphasizing their potential as biomarkers and therapeutic targets. Material and Methods: We analyzed recent clinical and experimental studies focusing on the most studied ILs—including IL-1, IL-6, IL-10, IL-8, IL-12, IL-18, and IL-17—in the pathophysiology of sepsis. Attention was given to mechanistic insights, prognostic significance, and therapeutic strategies targeting IL pathways. Results: IL-1 and IL-6 emerged as key pro-inflammatory mediators, amplifying vascular permeability, coagulation activation, and shock, with IL-6 validated as a robust prognostic biomarker. IL-10 was identified as a pivotal anti-inflammatory cytokine, limiting tissue injury but fostering immunosuppression and secondary infections. Other ILs, such as IL-8, IL-12, IL-18, and IL-17, contributed to neutrophil recruitment, Th1/Th17 activation, organ-specific injury, and sepsis susceptibility. Therapeutic interventions targeting ILs, including the IL-1 receptor antagonist anakinra and IL-6 receptor blockade with tocilizumab, have shown promise in selected patient subgroups. Conclusions: ILs are central to the immunopathology of sepsis, acting both as drivers of hyperinflammation and mediators of immunosuppression. Their dual role underscores the relevance of ILs as diagnostic and prognostic biomarkers, as well as context-dependent therapeutic targets. Future approaches should prioritize precision immunomodulation aligned with the principles of personalized medicine to improve clinical outcomes in sepsis. Full article
(This article belongs to the Special Issue Early Diagnosis of Sepsis: Current Status and Challenges)
20 pages, 3524 KB  
Article
Diagnostic Value of Opportunistic CT-Based Bone Density Assessment in Patients with and Without Sacral Insufficiency Fractures
by Julian Ramin Andresen, Guido Schröder, Thomas Haider, Hans-Christof Schober and Reimer Andresen
Diagnostics 2025, 15(22), 2926; https://doi.org/10.3390/diagnostics15222926 - 19 Nov 2025
Viewed by 934
Abstract
Background/Objectives: This retrospective observational cohort examined whether opportunistic CT-derived Hounsfield units (HU) of the lumbar spine and proximal femur together with serum 25-OH-vitamin D can predict sacral insufficiency fractures (SIF) and osteoporosis. No interventional procedures were performed. Methods: Consecutive suspected SIF cases over [...] Read more.
Background/Objectives: This retrospective observational cohort examined whether opportunistic CT-derived Hounsfield units (HU) of the lumbar spine and proximal femur together with serum 25-OH-vitamin D can predict sacral insufficiency fractures (SIF) and osteoporosis. No interventional procedures were performed. Methods: Consecutive suspected SIF cases over 3 years (n = 253) were assigned to SIF (n = 98) or controls without SIF or spine/hip fractures (n = 155). HU were measured using ellipsoidal ROIs at L1–L3 and an irregular area ROI across the entire proximal femoral cancellous bone; vitamin D was quantified; ROC analyses assessed discrimination. HU cut-points were referenced via HU-to-QCT/CTXA conversions. Results: SIF patients had markedly lower HU than controls (lumbar 44.84 vs. 105.66 HU; femoral 47.0 vs. 148.0 HU). Diagnostic performance was excellent (AUC 0.98 for SIF discrimination using lumbar HU; AUC 0.98 for osteoporosis prediction using femoral HU). Vitamin D deficiency (<20 ng/mL) was highly prevalent (92.9%) with lower means in SIF (3.72 vs. 8.24 ng/mL). Within SIF, patients with hip fracture had femoral HU ≈ 14.2 vs. 70.6 without hip fracture; effect sizes were very large. Conclusions: Opportunistic HU assessment from routine CT provides a rapid, reproducible surrogate of bone density that distinguishes SIF with near-perfect accuracy and identifies osteoporosis. HU thresholds around ~96–98 are consistent with osteoporotic ranges and can be implemented to trigger metabolic evaluation and early osteoanabolic therapy where appropriate. Full article
Show Figures

Figure 1

14 pages, 3054 KB  
Article
New Classification of Midpalatine Suture Maturation Using Cone Beam Computed Tomographic Study
by Cristalle Soman, Reem Khaled Alshammari, Nawal Mohammad AlMutairi, Lolwah Mohammad Alenezi, Rayan Alaadwany, Mohammad Abdul Baseer, Fahdah Aldahash, Malak AlOsaimi, Sara Tarek Ahmed, Nancy Ajwa and Yasmine Tarek Ahmed
Diagnostics 2025, 15(22), 2925; https://doi.org/10.3390/diagnostics15222925 - 19 Nov 2025
Viewed by 1173
Abstract
Background/Objectives: Assessment of the midpalatine suture is vital for making clinical decisions regarding the correction of transverse growth discrepancies of the maxilla. Several studies have used Cone Beam Computed Tomography (CBCT) to evaluate skeletal maturity by midpalatine suture staging (MPS) in various populations. [...] Read more.
Background/Objectives: Assessment of the midpalatine suture is vital for making clinical decisions regarding the correction of transverse growth discrepancies of the maxilla. Several studies have used Cone Beam Computed Tomography (CBCT) to evaluate skeletal maturity by midpalatine suture staging (MPS) in various populations. A few patterns of staging did not fit the standard classification. Hence, the rationale of this research was to explore potential new subcategories of maturation staging using CBCT. The study aimed to develop a new comprehensive classification subcategorization system for midpalatine suture maturation staging based on CBCT scans. Methods: The study involved the retrospective analysis of 168 CBCT scans. The standard reference for MPS staging was taken from a previous published classification in 2013 using CBCT. Each classification stage of the standard classification was subcategorized into Pattern A and Pattern B. Results: Both classifications (standard reference and new) can rely on age to predict the possibility of maturation of the MPS compared to non-maturation. Age is a predictable variable of suture opening in both classifications. Conclusions: The new classification demonstrated increased sensitivity in detecting midpalatine suture maturity and also increased the likelihood of utilizing non-surgical maxillary expansion compared to the previous classification. Evaluating suture staging in individual cases using CBCT is recommended for personalized diagnosis and optimal treatment planning for maxillary expansion. This advancement allows clinicians to use the new classification as a reliable tool to confidently predict non-surgical expansion success for more mature patients, thereby broadening the scope of orthodontic treatment without compromising patient outcomes. Full article
Show Figures

Graphical abstract

17 pages, 2692 KB  
Article
MSDTCN-Net: A Multi-Scale Dual-Encoder Network for Skin Lesion Segmentation
by Da Li, Xinyang Wu and Qin Wei
Diagnostics 2025, 15(22), 2924; https://doi.org/10.3390/diagnostics15222924 - 19 Nov 2025
Viewed by 659
Abstract
Background/Objectives: Accurate segmentation of skin lesions is essential for early skin cancer detection. However, traditional CNNs are limited in modeling long-range dependencies, leading to poor performance on lesions with complex shapes. Methods: We propose MSDTCN-Net, a dual-encoder network that integrates ConvNeXt and Deformable [...] Read more.
Background/Objectives: Accurate segmentation of skin lesions is essential for early skin cancer detection. However, traditional CNNs are limited in modeling long-range dependencies, leading to poor performance on lesions with complex shapes. Methods: We propose MSDTCN-Net, a dual-encoder network that integrates ConvNeXt and Deformable Transformer to extract both local details and global semantic information. A Squeeze-and-Excitation (SE) mechanism is introduced to adaptively emphasize important channels. To address scale variation in lesions, we design a Multi-Scale Receptive Field (MSRF) module combining multi-branch and dilated convolutions. Furthermore, a Hierarchical Feature Transfer (HFT) mechanism is employed to guide high-level semantics progressively to shallow layers, enhancing boundary reconstruction in the decoder. Results: Extensive experiments on the ISIC 2016, ISIC 2017, ISIC 2018, and PH2 datasets show that MSDTCN-Net achieves competitive performance across metrics including IoU, Dice, and ACC, validating its effectiveness and generalization in skin lesion segmentation. Conclusions: MSDTCN-Net effectively combines local and global feature extraction, multi-scale adaptability, and semantic guidance to achieve high-accuracy skin lesion segmentation, demonstrating its potential in clinical diagnostic applications. Full article
(This article belongs to the Section Machine Learning and Artificial Intelligence in Diagnostics)
Show Figures

Figure 1

13 pages, 2760 KB  
Article
Deep Learning for Sex Estimation from Whole-Foot X-Rays: Benchmarking CNNs for Rapid Forensic Identification
by Rukiye Çiftçi, İpek Atik, Özgür Eken and Monira I. Aldhahi
Diagnostics 2025, 15(22), 2923; https://doi.org/10.3390/diagnostics15222923 - 19 Nov 2025
Viewed by 1050
Abstract
Background: Accurate sex estimation is crucial in forensic identification when DNA analysis is impractical or remains are fragmented. Traditional anthropometric approaches often rely on single bone measurements and yield moderate levels of accuracy. Objective: This study aimed to evaluate deep convolutional neural networks [...] Read more.
Background: Accurate sex estimation is crucial in forensic identification when DNA analysis is impractical or remains are fragmented. Traditional anthropometric approaches often rely on single bone measurements and yield moderate levels of accuracy. Objective: This study aimed to evaluate deep convolutional neural networks (CNNs) for automated sex estimation using entire foot radiographs, an approach rarely explored. Methods: Digital foot radiographs from 471 adults (238 men, 233 women, aged 18–65 years) without deformities or prior surgery were retrospectively collected at a single tertiary center. Six CNN architectures (AlexNet, ResNet-18, ResNet-50, ShuffleNet, GoogleNet, and InceptionV3) were trained using transfer learning (70/15/15 train–validation–test split, data augmentation). The model performance was assessed using accuracy, sensitivity, specificity, precision, and F1-score. Results: InceptionV3 achieved the highest accuracy (97.1%), surpassing previously reported methods (typically 72–89%), with balanced sensitivity (97.5%) and specificity (96.8%). ResNet-50 followed closely (95.7%), whereas simpler networks, such as AlexNet, underperformed (90%). Conclusions: Deep learning applied to whole-foot radiographs delivers state-of-the-art accuracy for sex estimation, enabling rapid, reproducible, and cost-effective forensic identification when DNA analysis is delayed or unavailable, such as in mass disasters or clinical emergency settings. Full article
(This article belongs to the Topic Machine Learning and Deep Learning in Medical Imaging)
Show Figures

Figure 1

13 pages, 709 KB  
Article
Prevalence of Diabetes Among First-Time Ophthalmology Patients at a Nonprofit Hospital in Mexico
by Valeria Sánchez-Huerta, Mary Lady González Suriel, Héctor Randolph, María José Barragán Álvarez and Benjamin Aleman-Castilla
Diagnostics 2025, 15(22), 2922; https://doi.org/10.3390/diagnostics15222922 - 19 Nov 2025
Viewed by 753
Abstract
Background/Objectives: Diabetes is Mexico’s second-leading cause of death, primary cause of disability, and diabetic retinopathy (DR) associated with this disease is the leading cause of vision loss among the working population. Limited healthcare funding and inequitable access hinder diagnosis and treatment, leaving [...] Read more.
Background/Objectives: Diabetes is Mexico’s second-leading cause of death, primary cause of disability, and diabetic retinopathy (DR) associated with this disease is the leading cause of vision loss among the working population. Limited healthcare funding and inequitable access hinder diagnosis and treatment, leaving 32% undiagnosed and at risk of developing serious complications such as DR. With screening rates declining, nonprofits like the Association to Prevent Blindness in Mexico (APEC) play a crucial role in detecting diabetes and DR, reducing healthcare costs, and improving patient outcomes. Methods: This study analyzes data from over 25,000 first-time patients screened at APEC in 2023, providing a unique empirical resource on diabetes and DR in Mexico. Using the Social Return on Investment (SROI) approach, it evaluates program costs (medical resources, equipment, and personnel) against patient benefits. These benefits are quantified as the probability that newly diagnosed or uncontrolled diabetes patients begin treatment, thus preventing DR, weighted by the Value of Statistical Life (VSL). Results: Of the total screened patients, 17.2% had diabetes. Among them, 20.0% were unaware of their condition, while the remaining 80.0% knew their diagnosis. Notably, 25.8% of those who were aware of their diagnosis did not have diabetes under control. Considering all costs associated with the first-time ophthalmology patients screening program and assuming only a portion of patients would seek treatment, every peso invested by APEC has the potential to generate the equivalent to 542 pesos in patient well-being. When factoring in the subsequent costs of diabetes control treatment borne by the patients, the potential Benefit–Cost Ratio is estimated at 9:1. These results proved consistent to sensitivity analysis for key assumptions affecting the estimated benefits and costs. Conclusions: The study demonstrates that integrating routine diabetes screening into specialized ophthalmologic care can generate substantial social value through timely intervention, as early detection promotes better diabetes management and helps prevent complications beyond diabetic retinopathy. Full article
(This article belongs to the Special Issue New Insights into the Diagnosis and Prognosis of Eye Diseases)
Show Figures

Figure 1

16 pages, 4239 KB  
Review
Cardiovascular Disease in Pregnancy: When Two Hearts Beat as One
by Chiara Tognola, Filippo Brucato, Alessandro Maloberti, Marisa Varrenti, Alberto Preda, Patrizio Mazzone, Cristina Giannattasio and Fabrizio Guarracini
Diagnostics 2025, 15(22), 2921; https://doi.org/10.3390/diagnostics15222921 - 19 Nov 2025
Cited by 1 | Viewed by 959
Abstract
Background: Cardiovascular disease (CVD) in pregnancy is a major cause of maternal morbidity and mortality, accounting for nearly one-third of pregnancy-related deaths worldwide. Physiological adaptations—expanded plasma volume, increased cardiac output, and a prothrombotic state—represent a natural cardiovascular stress test that may precipitate [...] Read more.
Background: Cardiovascular disease (CVD) in pregnancy is a major cause of maternal morbidity and mortality, accounting for nearly one-third of pregnancy-related deaths worldwide. Physiological adaptations—expanded plasma volume, increased cardiac output, and a prothrombotic state—represent a natural cardiovascular stress test that may precipitate decompensation or unmask subclinical disease. Aim: This review critically examines contemporary evidence and international guidelines on the management of pregnancy-related cardiovascular disorders, focusing on pathophysiological mechanisms, diagnostic challenges, and therapeutic controversies. Content: The discussion centers on three high-impact clinical domains: (1) peripartum and preexisting cardiomyopathies, emphasizing mechanisms, prognosis, and the role of bromocriptine; (2) anticoagulation management in women with mechanical prosthetic valves, balancing maternal safety and fetal protection; and (3) hypertensive disorders of pregnancy, highlighting recent evidence from the CHAP and WILL trials and their implications for long-term cardiovascular prevention. Comparative analysis of ESC 2025 and AHA 2020 recommendations reveals broad consensus but persistent discrepancies in anticoagulation targets, postpartum surveillance, and follow-up strategies. Perspectives: Endothelial dysfunction, angiogenic imbalance, and systemic inflammation emerge as shared mechanisms linking diverse pregnancy-related cardiovascular conditions. Strengthening multidisciplinary care through Pregnancy Heart Teams, integrating obstetric and cardiologic expertise, and establishing structured postpartum follow-up pathways are essential to improve outcomes. Full article
(This article belongs to the Special Issue Advances in the Diagnosis and Management of Cardiovascular Diseases)
Show Figures

Figure 1

17 pages, 587 KB  
Article
Normative Data for the Montreal Cognitive Assessment (MoCA) in Mexican Adults: A Regression-Based Approach
by Lorena Parra-Rodríguez, Juan Silva-Pereyra, Sergio Sánchez-García, Carmen García-Peña, Juan Francisco Flores-Vázquez and Paloma Roa-Rojas
Diagnostics 2025, 15(22), 2920; https://doi.org/10.3390/diagnostics15222920 - 19 Nov 2025
Viewed by 2110
Abstract
Background/Objectives: The Montreal Cognitive Assessment (MoCA) is a widely used cognitive screening tool designed to detect cognitive impairment. However, evidence indicates that the original cut-off score of 26 and the one-point correction for low education may not be appropriate across diverse populations. In [...] Read more.
Background/Objectives: The Montreal Cognitive Assessment (MoCA) is a widely used cognitive screening tool designed to detect cognitive impairment. However, evidence indicates that the original cut-off score of 26 and the one-point correction for low education may not be appropriate across diverse populations. In Latin America, and particularly in Mexico, existing validation studies are scarce and limited by small sample sizes. The objective of this study was to examine the effects of age and education on MoCA performance in Mexican adults and to develop regression-based normative data for more accurate interpretation. Methods: MoCA performance of 2546 cognitively healthy participants aged 18–99 years from two public health institutions in Mexico City was analyzed. Inclusion criteria required preserved cognition, functionality, independence, and absence of conditions directly affecting brain health. The Spanish version 8.1 of the MoCA was administered. Age-adjusted normative values were obtained. Then, regression analyses were applied to generate age- and education-adjusted norms. Results: MoCA total scores correlated negatively with age and positively with education, while sex showed no significant effect. Regression-based norms revealed that identical raw total scores have different normative interpretations depending on age and education. Conclusions: This study provides the first regression-based MoCA norms for Mexican adults, demonstrating that both age and education exert a substantial influence on test performance. These norms enable a more precise, culturally sensitive interpretation than fixed cut-off scores and reduce the risk of misclassification in clinical and research settings. Full article
Show Figures

Figure 1

11 pages, 265 KB  
Editorial
Extended Roles in Healthcare Delivery: What Is the Role of the Laboratory in Addressing Ethnicity-Related Healthcare Disparities?
by Aman Kaur More, Nathan Lorde, Tejas Kalaria and Rousseau Gama
Diagnostics 2025, 15(22), 2919; https://doi.org/10.3390/diagnostics15222919 - 19 Nov 2025
Viewed by 595
Abstract
The drivers of healthcare inequalities, often interlinked, include socioeconomic status, geographic barriers, gender, age, and ethnicity [...] Full article
(This article belongs to the Special Issue Laboratory Medicine: Extended Roles in Healthcare Delivery)
15 pages, 819 KB  
Review
Artificial Intelligence for the Diagnosis and Management of Patellofemoral Instability: A Comprehensive Review
by Michele Mercurio, Federica Denami, Andrea Vescio, Filippo Familiari, Umile Giuseppe Longo, Olimpio Galasso, Giorgio Gasparini and David H. Dejour
Diagnostics 2025, 15(22), 2918; https://doi.org/10.3390/diagnostics15222918 - 18 Nov 2025
Cited by 1 | Viewed by 982
Abstract
Patellofemoral instability (PFI) is a multifactorial orthopedic condition affecting predominantly young and active individuals. Accurate diagnosis and personalized treatment planning remain challenging due to the complex interplay of anatomical and biomechanical factors. Recently, artificial intelligence (AI), particularly machine learning (ML) and deep learning [...] Read more.
Patellofemoral instability (PFI) is a multifactorial orthopedic condition affecting predominantly young and active individuals. Accurate diagnosis and personalized treatment planning remain challenging due to the complex interplay of anatomical and biomechanical factors. Recently, artificial intelligence (AI), particularly machine learning (ML) and deep learning (DL), has gained attention for its role in musculoskeletal imaging and orthopedics care. This review explores the current and potential applications of AI in diagnosis and management of PFI. A total of 11 relevant articles were identified and included in the review. Articles originated from six countries, with China having the most contributions (n = 4), followed by Finland (n = 3), and Korea, Japan, USA and Portugal with 1 each. In the results section, findings are grouped into three themes: (A) Diagnosis, (B) Outcomes and Complications and (C) Challenges, Limitations and Future Directions. The review also discussed advancements in automated image analysis, predictive modeling and outcome prediction. Overall, AI has the potential to improve consistency, efficiency, and personalization of care in patients with PFI, although still requiring technological developments for implementation in daily practice. Existing studies are limited by small datasets, methodological heterogeneity, and lack of external validation. Future research should focus on multicenter data integration, explainable AI frameworks, and clinical validation to enable translation into routine orthopedic practice. Full article
(This article belongs to the Special Issue Artificial Intelligence for Health and Medicine)
Show Figures

Figure 1

12 pages, 1072 KB  
Article
Microvascular Imaging of Hepatic Hemangiomas
by Hakan Baş and Süleyman Filiz
Diagnostics 2025, 15(22), 2917; https://doi.org/10.3390/diagnostics15222917 - 18 Nov 2025
Viewed by 1304
Abstract
Background/Objectives: We aimed to characterize the microvascular imaging (MI) to demonstrate in hepatic hemangiomas in routine practice and to quantify the impact of lesion depth on MI signal detectability, and—when present—describe the distribution of MI appearances. Methods: In this single-center, retrospective study from [...] Read more.
Background/Objectives: We aimed to characterize the microvascular imaging (MI) to demonstrate in hepatic hemangiomas in routine practice and to quantify the impact of lesion depth on MI signal detectability, and—when present—describe the distribution of MI appearances. Methods: In this single-center, retrospective study from January 2021 to December 2023, we screened 91 patients with 121 focal hepatic lesions on ultrasound. Lesions without typical hemangioma enhancement on dynamic MRI or dynamic CT were excluded. Two radiologists independently assessed MI signals and patterns using the Jeon classification, blinded to clinical and CT/MRI data; inter-observer agreement was quantified with Cohen’s κ. Results: Of 121 screened lesions, 36 lacked typical enhancement and were excluded; 85 hemangiomas remained. A total of 13 were excluded for motion artifacts near the heart or pulsatile vessels, yielding 72 hemangiomas (61 patients) for analysis. No lesion showed flow on color or power Doppler. MI signals were detected in 68/72 hemangiomas (94.4%). Among signal-positive lesions (n = 68), the patterns were non-specific in 25.0% (17/68), nodular rim in 22.1% (15/68), strip rim in 17.6% (12/68), central dot-like in 16.2% (11/68), peripheral dot-like in 10.3% (7/68), and staining in 8.8% (6/68). Signal-negative lesions were deeper than signal-positive lesions (median depth: 85 mm vs. 41.5 mm; p < 0.05). The inter-observer agreement was very good (κ = 0.821, 95% CI 0.767–0.921). Conclusions: MI is a reproducible, contrast-free technique that demonstrates hemangioma vascularity with high detection rates, particularly in more superficial lesions. In this cohort, lesion depth rather than size was the primary determinant of MI signal detectability. MI should be considered complementary to CT/MRI and may be especially useful where contrast agents are unavailable or contraindicated. Full article
(This article belongs to the Special Issue Advanced Ultrasound Techniques in Diagnosis)
Show Figures

Figure 1

19 pages, 2503 KB  
Article
Development and Evaluation of a Smartphone App-Based Rapid 25-Hydroxy Vitamin D Test
by SoYeong Han, Seung Hyun Kim, MyungJin Kim, NaMi Park, Junnan Gu, Sun Jong Kim, Suk Yong Lee and Jeongku Seo
Diagnostics 2025, 15(22), 2916; https://doi.org/10.3390/diagnostics15222916 - 18 Nov 2025
Viewed by 1355
Abstract
Objectives: The purpose of this study is to develop and verify a sandwich-type lateral flow immunoassay (LFA) integrated with a smartphone, enabling semi-quantitative 25-hydroxyvitamin D [25(OH)D] measurement including automated image analysis function, thereby establishing a reliable and accessible vitamin D evaluation system for [...] Read more.
Objectives: The purpose of this study is to develop and verify a sandwich-type lateral flow immunoassay (LFA) integrated with a smartphone, enabling semi-quantitative 25-hydroxyvitamin D [25(OH)D] measurement including automated image analysis function, thereby establishing a reliable and accessible vitamin D evaluation system for point-of-care (POCT). Methods: A smartphone-based sandwich-type LFA was constructed, and 25(OH)D was measured semi-quantitatively. The system combined a customized test strip with an automatic image acquisition, calibration, and classification module integrated into an application dedicated to a smartphone. Analysis performance, reproducibility, and equivalence between sample types were comprehensively evaluated. Results: The developed analysis achieved a detection range of 5–100 ng/mL, and there were little interference and cross-reactivity for endogenous substances or structurally similar vitamin D derivatives. The image processing algorithm accurately classified the samples into three clinically important categories: deficiency (<20 ng/mL), insufficient (20–30 ng/mL), and sufficient (>30 ng/mL). Cross-platform testing between Android and iOS devices showed excellent reproducibility (r = 0.99, R2 = 0.9967). Comparative analysis with the Atellica IM 1600 analyzer showed a high degree of agreement between 97.0% category consensus and κ = 0.951 (r = 0.99, R2 ≥ 0.98). Comparative tests between serum and capillary samples also confirmed a 100% classification agreement rate and an overall diagnostic accuracy of 95.5%. Conclusions: This next-generation smartphone integration platform enables rapid, accurate, and semi-quantitative detection of 25(OH)D from fingerstick and serum specimens. By combining the sandwich-type LFA design with computational-based imaging analysis, the system effectively overcomes the major limitations of small-molecule immunoassay and has the potential to be applied to field diagnosis (POCT), decentralized diagnostics, and vitamin D screening in large populations. Full article
(This article belongs to the Section Point-of-Care Diagnostics and Devices)
Show Figures

Figure 1

23 pages, 779 KB  
Article
Oxidative Stress Markers Associated with Gingival Inflammatory Status in Children with Leukemia
by Alina Adumitroaie, Larisa Ghemiș, Maria-Alexandra Mârțu, Liliana Georgeta Foia, Catalina Iulia Saveanu, Delia Lidia Salaru, Alina Andronovici, Carmen Delianu and Vasilica Toma
Diagnostics 2025, 15(22), 2915; https://doi.org/10.3390/diagnostics15222915 - 18 Nov 2025
Viewed by 544
Abstract
Background/Objectives: This study aimed to investigate specific biomarkers of oxidative stress within gingival crevicular fluid (GCF) and plasma obtained from children with leukemia compared to healthy subjects, in relation to the oral hygiene status and gingival inflammatory status, in order to identify [...] Read more.
Background/Objectives: This study aimed to investigate specific biomarkers of oxidative stress within gingival crevicular fluid (GCF) and plasma obtained from children with leukemia compared to healthy subjects, in relation to the oral hygiene status and gingival inflammatory status, in order to identify a possible association linking childhood leukemia with gingival inflammation. Methods: The study comprised biomarker analysis from 97 children divided into two groups: 47 leukemia subjects and 50 systemically healthy children in the control group. The GCF and plasma specimens were analyzed to determine values of 8-OHdG (8-hydroxydeoxyguanosine) and SOD (superoxide dismutase) using ELISA (enzyme-linked immunosorbent assay) techniques, while MDA (malondialdehyde) values were measured through colorimetry. Results: We found elevated plasma expressions of all investigated biological parameters among leukemic children relative to the control group. GCF measurements highlighted raised 8-OHdG and SOD in leukemic individuals, while MDA recorded no significant shift between the groups. The statistical analysis also revealed a possible GCF and plasma SOD levels associated with the oral hygiene and gingival inflammatory status. Conclusions: The increased expression of oxidative stress markers we found in children with leukemia underlines the heightened inflammatory and oxidative burden in this category of population, yet additional studies are needed to clarify the intricate relation between systemic oxidative stress, oral biomarkers and gingival health outcomes in children, especially in children with critical systemic alterations such as leukemia. Full article
Show Figures

Figure 1

20 pages, 3627 KB  
Article
Delta-Radiomics Biomarker in Colorectal Cancer Liver Metastases Treated with Cetuximab Plus Avelumab (CAVE Trial)
by Valerio Nardone, Vittorio Patanè, Luca Marinelli, Luca D’Ambrosio, Sara Del Tufo, Marco De Chiara, Maria Chiara Brunese, Dino Rubini, Roberta Grassi, Anna Russo, Maria Paola Belfiore, Fortunato Ciardiello, Salvatore Cappabianca, Erika Martinelli and Alfonso Reginelli
Diagnostics 2025, 15(22), 2914; https://doi.org/10.3390/diagnostics15222914 - 18 Nov 2025
Cited by 1 | Viewed by 907
Abstract
Background: Radiomics enables the extraction of quantitative imaging biomarkers that can non-invasively capture tumor biology and treatment response. Delta-radiomics, by assessing temporal changes in radiomic features, may improve reproducibility and reveal early therapy-induced alterations. This study investigated whether delta-texture features from contrast-enhanced [...] Read more.
Background: Radiomics enables the extraction of quantitative imaging biomarkers that can non-invasively capture tumor biology and treatment response. Delta-radiomics, by assessing temporal changes in radiomic features, may improve reproducibility and reveal early therapy-induced alterations. This study investigated whether delta-texture features from contrast-enhanced CT could predict progression-free survival (PFS) and overall survival (OS) in patients with metastatic colorectal cancer (mCRC) liver metastases treated with cetuximab rechallenge plus avelumab within the CAVE trial. Methods: This retrospective substudy included 42 patients enrolled in the multicenter CAVE phase II trial with evaluable liver metastases on baseline and first restaging CT. Liver lesions were manually segmented by two readers, and radiomic features were extracted according to IBSI guidelines. Delta-values were calculated as relative changes between baseline and post-treatment scans. Reproducibility (ICC > 0.70), univariate and multivariable analyses, ROC/AUC, bootstrap resampling, cross-validation, and decision curve analysis were performed to evaluate predictive performance and clinical utility. Results: Among reproducible features, delta-GLCM Homogeneity emerged as the most robust predictor. A decrease in homogeneity independently correlated with longer PFS (HR = 0.32, p = 0.003) and OS (HR = 0.41, p = 0.021). The combined clinical–radiomic model achieved good discrimination (AUC 0.94 training, 0.74 validation) and stable performance on internal validation (bootstrap C-index 0.77). Decision curve analysis indicated greater net clinical benefit compared with clinical variables alone. Conclusions: This exploratory study provides preliminary evidence that delta-GLCM Homogeneity may serve as a reproducible imaging biomarker of response and survival in mCRC patients receiving cetuximab plus avelumab rechallenge. If validated in larger, independent cohorts, delta-radiomics could enable early identification of non-responders and support personalized treatment adaptation in immuno-targeted therapy. Given the small sample size, the potential for overfitting should be considered. Future work should prioritize prospective multicenter validation with a pre-registered, locked model and explore multimodal integration (radiogenomics, circulating biomarkers, and AI-driven fusion of imaging with clinical/omic data) to strengthen translational impact. Beyond imaging advances, these findings align with broader trends in personalized oncology, including response-adaptive strategies, multimodal biomarker integration, and AI-enabled decision support. Full article
(This article belongs to the Special Issue Diagnostic Imaging in Gastrointestinal and Liver Diseases)
Show Figures

Figure 1

20 pages, 2792 KB  
Article
Pilates-Based Exercise and Its Impact on Nutritional Status and Health-Related Quality of Life in Older Adults with Type 2 Diabetes: A Randomized Controlled Trial
by Beatriz Ruiz-Ariza, Agustín Aibar-Almazán, Fidel Hita-Contreras, Yolanda Castellote-Caballero and María del Carmen Carcelén-Fraile
Diagnostics 2025, 15(22), 2913; https://doi.org/10.3390/diagnostics15222913 - 18 Nov 2025
Viewed by 1209
Abstract
Background/Objectives: Type 2 diabetes mellitus (T2DM) is a prevalent chronic disease frequently associated with impaired nutritional status and reduced health-related quality of life (HRQoL), especially in older adults. Alongside pharmacological treatment and diet, physical exercise has emerged as a complementary strategy. Pilates, [...] Read more.
Background/Objectives: Type 2 diabetes mellitus (T2DM) is a prevalent chronic disease frequently associated with impaired nutritional status and reduced health-related quality of life (HRQoL), especially in older adults. Alongside pharmacological treatment and diet, physical exercise has emerged as a complementary strategy. Pilates, a mind–body discipline focused on controlled movement and postural alignment, may help improve outcomes beyond conventional care. This study aimed to evaluate the effectiveness of a 12-week Pilates intervention on nutritional status and HRQoL in older adults with T2DM. Methods: A randomized controlled trial was conducted with 104 older adults diagnosed with T2DM. The participants were randomly allocated to a Pilates group (n = 52) or a control group (n = 52). The intervention consisted of 24 supervised sessions delivered twice weekly for 60 min over 12 weeks. Nutritional status was assessed using the Mini Nutritional Assessment (MNA), and HRQoL was measured with the 12-Item Short Form Health Survey (SF-12). Both assessments were carried out at baseline and after the intervention. Results: Post-intervention scores indicated better nutritional condition and higher ratings in both physical and mental dimensions of HRQoL, while no significant changes were observed in controls. Conclusions: A structured Pilates program improved nutritional status and HRQoL in older adults with T2DM. These results suggest that Pilates is a feasible, safe, and effective complementary therapy in the comprehensive management of this population. Full article
(This article belongs to the Section Clinical Diagnosis and Prognosis)
Show Figures

Figure 1

12 pages, 1621 KB  
Article
Deep Learning Performance in Analyzing Nailfold Videocapillaroscopy Images in Systemic Sclerosis
by Müçteba Enes Yayla, Ayhan Aydın, Mahmut Kılıçaslan, Mürüvvet Kalkan, Mehmet Serdar Güzel, Aida Shikhaliyeva, Serdar Sezer, Emine Uslu, Aşkın Ateş and Tahsin Murat Turgay
Diagnostics 2025, 15(22), 2912; https://doi.org/10.3390/diagnostics15222912 - 18 Nov 2025
Cited by 1 | Viewed by 730
Abstract
Background/Objectives: The aim of this study was to classify nailfold videocapillaroscopy (NVC) images obtained from patients with systemic sclerosis (SSc) and healthy individuals using deep learning methods. Methods: Between January and June 2025, 1280 NVC images were recorded from 50 SSc [...] Read more.
Background/Objectives: The aim of this study was to classify nailfold videocapillaroscopy (NVC) images obtained from patients with systemic sclerosis (SSc) and healthy individuals using deep learning methods. Methods: Between January and June 2025, 1280 NVC images were recorded from 50 SSc and 30 healthy individuals. The images were classified by two rheumatologists as normal, early, active, and late-stage SSc patterns. After removing 191 unclassifiable and 112 low-quality images, 977 usable images remained. To ensure balanced classes, 245 normal images were excluded. The final dataset was split into training (70%), validation (20%), and test (10%) sets. Six different deep learning models (MobileNetV3Large, ResNet152V2, Xception, VGG-19, InceptionV3, and NASNetLarge) with varying levels of complexity and computational efficiency were selected to compare their performance. Accuracy, precision, recall, F1 Score, and cross-entropy loss were employed as performance metrics. These metrics are commonly used in the literature to evaluate the effectiveness of classification models. Results: Deep learning models achieved an accuracy ranging from 90.6% to 98.9%, a precision of 93.4% to 98.9%, a recall of 90.6% to 98.8%, an F1 score of 92% to 98.9%, and an ROC AUC performance between 99% and 100%. InceptionV3 demonstrated the best performance with an accuracy of 98.95%, a precision of 98.94%, a recall of 98.80%, and an F1 score of 98.88%. In terms of test loss, the lowest values were observed in the InceptionV3 and NasNetLarge models, both with a loss of 0.03. Overall, the ROC AUC values for all models ranged between 98.99% and 100%, indicating competitive performance. Conclusions: The current findings suggest that deep learning methods may be capable of classifying NVC images as accurately as experienced rheumatologists. Full article
(This article belongs to the Section Machine Learning and Artificial Intelligence in Diagnostics)
Show Figures

Figure 1

38 pages, 6711 KB  
Review
Anatomy, Imaging, and Clinical Significance of the Cervicothoracic (Stellate) Ganglion
by Mugurel Constantin Rusu, Ionuţ Mădălin Munteanu, Alexandra Diana Vrapciu, Adelina Maria Jianu, Sorin Hostiuc, Răzvan Costin Tudose and Andrei Gheorghe Marius Motoc
Diagnostics 2025, 15(22), 2911; https://doi.org/10.3390/diagnostics15222911 - 17 Nov 2025
Cited by 1 | Viewed by 2170
Abstract
Background/Objectives: The stellate ganglion (SG), formed by the fusion of the inferior cervical and first thoracic sympathetic ganglia in approximately 80% of individuals, plays crucial roles in cardiac innervation, pain management, and autonomic regulation. This review examines the anatomical variations, histological structure, [...] Read more.
Background/Objectives: The stellate ganglion (SG), formed by the fusion of the inferior cervical and first thoracic sympathetic ganglia in approximately 80% of individuals, plays crucial roles in cardiac innervation, pain management, and autonomic regulation. This review examines the anatomical variations, histological structure, clinical applications, and therapeutic implications of the SG and stellate ganglion block (SGB), presenting original high-resolution magnetic resonance imaging (MRI) evidence of SG visualization, an underutilized approach in autonomic nervous system research. Methods: We conducted a comprehensive literature review of anatomical, physiological, and clinical studies on the SG, incorporating original anatomical dissections and high-resolution MRI. Contemporary research on SGB applications, complications, and mechanisms of action was analysed and correlated with imaging characteristics. Results: The SG demonstrates significant anatomical variability, including the presence of intermediate ganglia, accessory nerve pathways, and variable relationships with surrounding vascular structures. Our original MRI imaging consistently identified the SG at the thoracic inlet, anterior to the neck of the first rib, lateral to the longus colli muscle, and posterior to the vertebral artery, demonstrating that advanced imaging can reliably visualize this critical autonomic structure and its anatomical variants. Histologically, it contains typical sympathetic architecture, comprising postganglionic neurons, satellite glial cells, and specialized SIF cells that modulate ganglionic transmission. SGB shows therapeutic efficacy across diverse conditions, including cardiac arrhythmias, chronic pain syndromes, post-traumatic stress disorder, sleep disorders, and immune dysfunction. The procedure’s mechanisms involve both direct sympathetic blockade and complex neuroimmune pathways that affect central autonomic centers and lymphoid organs. Complications include vascular injury, pneumothorax, and nerve blocks affecting the recurrent laryngeal and phrenic nerves. Conclusions: The SG represents a critical autonomic structure with expanding clinical applications. This work advances the field by demonstrating that high-resolution MRI can consistently and non-invasively visualize the SG and its anatomical variations, knowledge previously mostly limited to cadaveric studies. Understanding these imaging-defined anatomical variations is essential for optimizing therapeutic interventions. Advanced imaging guidance integrated with comprehensive anatomical knowledge is crucial for maximizing efficacy while minimizing complications in stellate ganglion block procedures. Full article
Show Figures

Figure 1

18 pages, 3420 KB  
Article
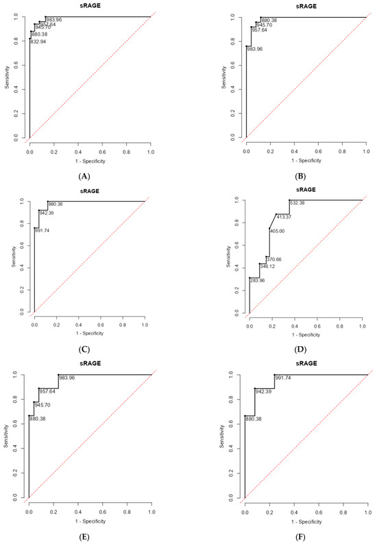
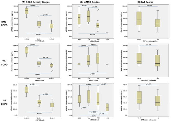
Reduced Serum sRAGE Levels Identify COPD and Reflect Disease Severity: Findings from a Cross-Sectional Study in India
by Venkateshkumar Chandanna Seri, Mohammed Kaleem Ullah, Jayaraj Biligere Siddaiah, Sindaghatta Krishnarao Chaya, Komarla Sundararaja Lokesh, Suhail Azam Khan, Aishwarya R. Aladakatti, Shamnaz Shahul, Vivek Vasanthan, Medha Karnik, SubbaRao V. Madhunapantula, Swaroop Ramaiah, Sachith Srinivas, Vikhnesh Padmakaran, Malavika Shankar, Ashwaghosha Parthasarathi and Padukudru Anand Mahesh
Diagnostics 2025, 15(22), 2910; https://doi.org/10.3390/diagnostics15222910 - 17 Nov 2025
Cited by 1 | Viewed by 731
Abstract
Background: Chronic Obstructive Pulmonary Disease (COPD) remains a leading cause of morbidity and mortality worldwide, particularly in low- and middle-income countries (LMICs), where both tobacco and biomass smoke exposure are major risk factors. While spirometry is the diagnostic gold standard, reliable non-invasive biomarkers [...] Read more.
Background: Chronic Obstructive Pulmonary Disease (COPD) remains a leading cause of morbidity and mortality worldwide, particularly in low- and middle-income countries (LMICs), where both tobacco and biomass smoke exposure are major risk factors. While spirometry is the diagnostic gold standard, reliable non-invasive biomarkers are needed for early detection and disease monitoring. The soluble receptor for advanced glycation end-products (sRAGE), a circulating decoy receptor with anti-inflammatory activity, has shown potential in this context. Methods: In this prospective, exposure-stratified, cross-sectional study, 150 adults were enrolled into four groups of 25 each—tobacco-smoke COPD, male tobacco-exposed controls, biomass-smoke COPD, and female biomass-exposed controls—along with 50 healthy controls (25 males, 25 females). Participants underwent clinical evaluation, spirometry, and serum sRAGE quantification (ELISA). Systemic inflammation was assessed using neutrophil-to-lymphocyte ratio (NLR) and platelet-to-lymphocyte ratio (PLR). Correlation and receiver operating characteristic (ROC) analyses determined diagnostic performance. Results: Serum sRAGE levels were significantly lower in tobacco-induced (545 ng/mL) and biomass-induced COPD (540 ng/mL) versus controls (1207–1462 ng/mL; p < 0.001). sRAGE correlated positively with FEV1, FVC, and FEV1/FVC (r = 0.54–0.75, p < 0.001), and negatively with CAT, mMRC, and SGRQ-C. ROC analysis showed excellent discrimination (AUC = 0.990; 94% sensitivity; 96% specificity at 946 ng/mL cutoff). Conclusions: Serum sRAGE is a robust, non-invasive biomarker for COPD diagnosis and severity assessment across exposure phenotypes. Its integration into clinical practice may enhance early detection and risk stratification, particularly in LMICs. Full article
(This article belongs to the Section Pathology and Molecular Diagnostics)
Show Figures

Figure 1

15 pages, 1607 KB  
Article
Associations Between Th17 Cell Markers (IL-23R, CCR6, and IL-17) and Clinical Profiles in Sjögren’s Disease
by Erika Fabiola López-Villalobos, Jose Antonio Garcia-Espinoza, Mariel García-Chagollán, Jefte Felipe Uribe-Martínez, Sergio Cerpa-Cruz, José Francisco Muñoz-Valle, Claudia Azucena Palafox-Sánchez and Edith Oregon-Romero
Diagnostics 2025, 15(22), 2909; https://doi.org/10.3390/diagnostics15222909 - 17 Nov 2025
Viewed by 946
Abstract
Background/objectives: Sjögren’s disease (SjD) is an autoimmune disorder characterized by lymphocytic infiltration and inflammation leading to exocrine gland dysfunction. Th17 cells play a central role in autoimmune pathology and are defined by markers such as IL-23R, CCR6, and IL-17. However, the combined characterization [...] Read more.
Background/objectives: Sjögren’s disease (SjD) is an autoimmune disorder characterized by lymphocytic infiltration and inflammation leading to exocrine gland dysfunction. Th17 cells play a central role in autoimmune pathology and are defined by markers such as IL-23R, CCR6, and IL-17. However, the combined characterization of these markers and their relevance in SjD remain poorly understood. Methods: Forty-one participants were enrolled, including twenty-two patients with SjD and nineteen control subjects (CS). Peripheral blood immunophenotyping was performed using multicolor flow cytometry, and serum cytokine concentrations were quantified within a multiplex assay. Non-parametric analyses were conducted using the Mann–Whitney U test and Spearman’s rank correlation. Results: Compared with CS, patients with SjD exhibited higher frequencies of CD3+CD4+IL-23R+ T cells and elevated IL-23 levels. The proportion of CCR6+IL-23R+ T helper cells tended to be higher in SjD than in controls, although this difference did not reach statistical significance (8.8% vs. 5.3%, p = 0.056). Within clinical subgroups, anti-Ro-negative patients showed increased frequencies of CD3+CD4+IL-23R+ cells. Patients with hypertriglyceridemia displayed reduced frequencies of CCR6+IL-23R+IFN-γ+ cells, whereas normal HDL levels were associated with CCR6 expression and IL-17A production. Conclusions: These findings highlight the heterogeneity of Th17 cells in Sjögren’s disease and reinforce the involvement of the IL-23/IL-23R axis in disease pathogenesis. Exploratory associations between Th17 subsets and lipid parameters suggest a potential immunometabolic interplay that warrants further investigation. Together, these data provide a more comprehensive view of Th17 dynamics in SjD and establish a foundation for future mechanistic studies in larger cohorts and tissue-specific contexts. Full article
(This article belongs to the Section Pathology and Molecular Diagnostics)
Show Figures

Figure 1

13 pages, 1546 KB  
Article
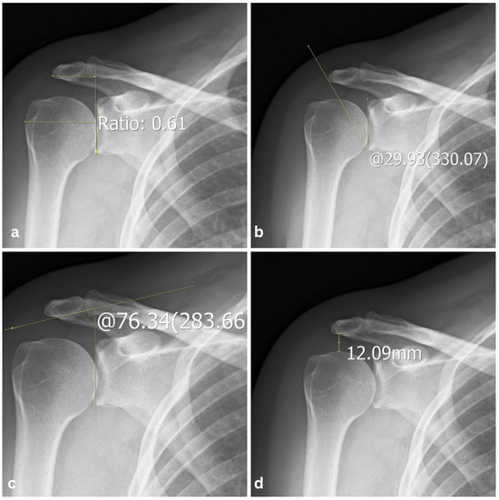
Association Between Osseous Shoulder Morphology and Pathoanatomical Characteristics of Calcific Deposits in Rotator Cuff Calcific Tendinitis
by Andro Matković, Mia Grgić, Ines Trkulja, Marija Ivković, Thomas Ferenc, Nikolina Jurjević, Božidar Šebečić and Vinko Vidjak
Diagnostics 2025, 15(22), 2908; https://doi.org/10.3390/diagnostics15222908 - 17 Nov 2025
Viewed by 625
Abstract
Background/Objectives: Rotator cuff calcific tendinitis (RCCT) is a common cause of shoulder pain. The role of acromial morphology in RCCT pathogenesis remains unclear. This study aimed to evaluate association between acromial morphological parameters and calcific deposit characteristics in patients with RCCT. Methods: We [...] Read more.
Background/Objectives: Rotator cuff calcific tendinitis (RCCT) is a common cause of shoulder pain. The role of acromial morphology in RCCT pathogenesis remains unclear. This study aimed to evaluate association between acromial morphological parameters and calcific deposit characteristics in patients with RCCT. Methods: We retrospectively analyzed 1185 patients who underwent shoulder radiography between January 2015 and January 2025 at Merkur University Hospital, Zagreb, Croatia. After excluding 281 radiographs of insufficient quality, 904 patients (503 females, 401 males; mean age 57.5 ± 13.6 years) were included. Calcific deposits were classified according to Bosworth and Gartner–Heyer systems. Acromial morphology was assessed using the acromion index (AI), critical shoulder angle (CSA), lateral acromial angle (LAA), and acromiohumeral interval (AHI). Non-parametric statistical tests were used with statistical significance set at p < 0.05. Results: The mean deposit diameter was 13.29 mm. According to Gartner–Heyer classification, 295 patients had type 1, 339 type 2, and 270 type 3 deposits. Significant correlations were found between deposit size and CSA (ρ = −0.08, p < 0.05), and AHI (ρ = 0.12, p < 0.001), while AI correlated with Gartner–Heyer type (ρ = 0.09, p < 0.01). No significant correlations were found for LAA. Kruskal–Wallis testing showed significant differences across deposit groups for AI, AHI, and LAA. Conclusions: Acromial morphology is significantly associated with calcific deposit characteristics in RCCT, supporting a potential biomechanical role in disease manifestation. These findings may refine diagnostic assessment and warrant further prospective validation. Full article
(This article belongs to the Special Issue Novel Technologies in Orthopedic Surgery: Diagnosis and Management)
Show Figures

Figure 1

14 pages, 1035 KB  
Article
Quantitative Bone SPECT/CT in Diabetic Foot Osteomyelitis: Diagnostic Performance Within-Patient Lesion–Contralateral Separation and Associations with Inflammatory Burden
by Hulya Peker Yalcin, Pınar Akkus Gunduz, Mehmet Samsum, Emel Colak Samsum, Aysenur Erol, Umut Mert Turan, Gulsah Gedikli Turgut, Aysun Yalci, Nihal Yesildag, Musa Fatih Yalcin and Nesibe Zeynep Eryavuz
Diagnostics 2025, 15(22), 2907; https://doi.org/10.3390/diagnostics15222907 - 17 Nov 2025
Viewed by 1032
Abstract
Objective: We sought to assess the diagnostic performance of quantitative bone SPECT/CT standardized uptake values (SUVs) in diabetic foot osteomyelitis (DFO) and their associations with inflammatory biomarkers. Methods: We retrospectively reviewed 150 consecutive patients who underwent three-phase bone scintigraphy and foot [...] Read more.
Objective: We sought to assess the diagnostic performance of quantitative bone SPECT/CT standardized uptake values (SUVs) in diabetic foot osteomyelitis (DFO) and their associations with inflammatory biomarkers. Methods: We retrospectively reviewed 150 consecutive patients who underwent three-phase bone scintigraphy and foot SPECT/CT (November 2016–December 2024) for DFO before antibiotic treatment; 117 with complete imaging and laboratory data were analyzed. Lesion and contralateral SUVs (SUVmax, SUVmean) were compared. Receiver operating characteristic (ROC) curves were used to determine discrimination and optimal cut-offs (Youden index). Associations with biomarkers (C-reactive protein (CRP), erythrocyte sedimentation rate (ESR), CRP/albumin (ESR × CRP) and hematologic/coagulation indices including mean corpuscular hemoglobin (MCH) and activated partial thromboplastin time (aPTT) were evaluated using Spearman correlations. Results: Lesion uptake and contralateral uptake were SUVmax 10.94 ± 7.36 vs. 3.62 ± 1.70; SUVmean 4.38 ± 3.63 vs. 0.93 ± 0.50. Discrimination was excellent; SUVmax was AUC 0.921 (cut-off 4.47; sensitivity 0.93; specificity 0.75) and SUVmean was AUC 0.961 (cut-off 1.49; sensitivity 0.91; specificity 0.89). CRP and ESR showed weak but consistent positive correlations with SUVs (ρ ≈ 0.25–0.30). The ESR × CRP value correlated most strongly (e.g., with SUVmean ρ = 0.35), and CRP/albumin showed a modest positive association. MCH (ρ ≈ −0.20) and aPTT (ρ ≈ −0.37) were inversely related. Conclusions: Quantitative SPECT/CT provides excellent lesion–contralateral discrimination in DFO. SUVs—particularly SUVmean—track inflammatory burden, supporting their use as practical quantitative adjuncts to clinical and laboratory assessment. Study-specific cut-offs are promising but require local validation. Full article
(This article belongs to the Special Issue Diagnosis and Management of Diabetes Mellitus)
Show Figures

Figure 1

Previous Issue
Back to TopTop