Clinical Relevance and Follow-Up of Incidental CT Imaging Findings for COVID-19 Diagnosis: A Retrospective Analysis
Abstract
1. Introduction
2. Materials and Methods
2.1. Study Group
2.2. Imaging
2.3. Radiological Classification of the Imaging Findings
2.3.1. Classification
- Typical appearance:
- ▪
- Peripheral, bilateral ground-glass opacities (GGO) with or without consolidation or visible intralobular lines (“crazy paving”).
- Indeterminate appearance:
- ▪
- Includes one or more of the following features:
- ▪
- Multifocal GGO with a rounded morphology, with or without consolidation or visible intralobular lines (“crazy paving”).
- ▪
- Reverse halo sign or other patterns suggestive of POP.
- ▪
- The absence of typical features, with the presence of multifocal, diffuse, perihilar, or unilateral GGO with or without consolidation lacking a specific distribution. Nonrounded or non-peripheral GGO, or very few small GGO with a non-rounded and non-peripheral distribution, are also included.
- Atypical appearance:Defined by the absence of typical or indeterminate features, accompanied by one or more of the following: Isolated or segmental consolidation without GGO, discrete small nodules (centrilobular, “tree-in-bud”), lung cavitation, and smooth interlobular septal thickening with pleural effusion.
- Negative for pneumonia:No radiologic features suggestive of pneumonia are present.
2.3.2. Relevance
2.4. Statistics
2.5. Ethics and Informed Consent
3. Results
3.1. Use of a Contrast Agent
3.2. COVID-Typical Findings
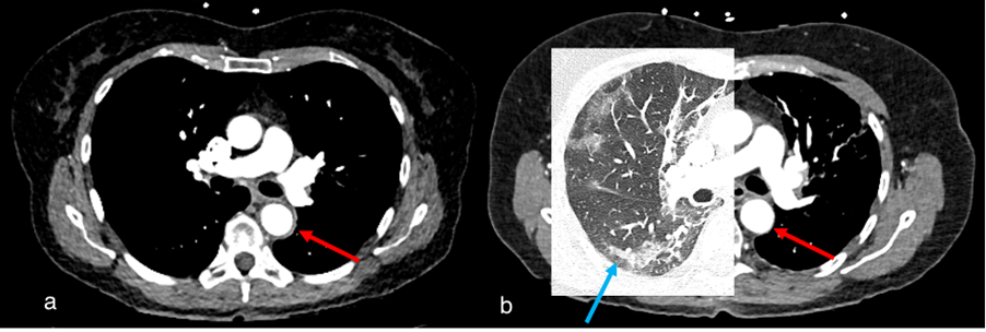
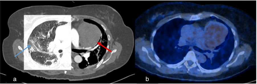
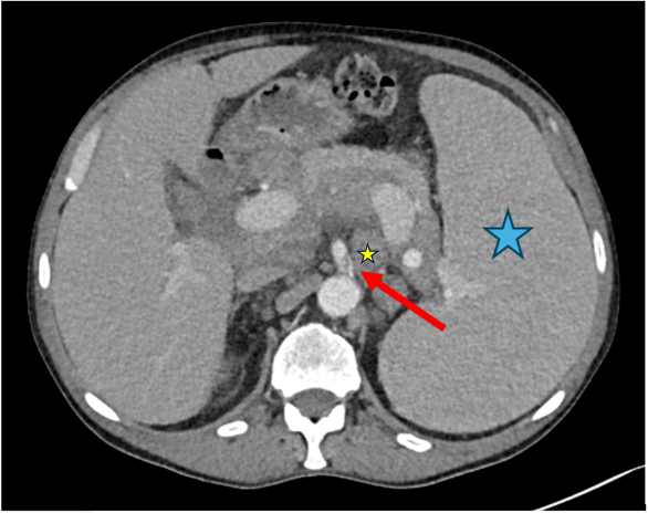
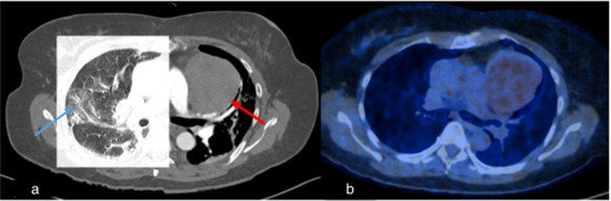
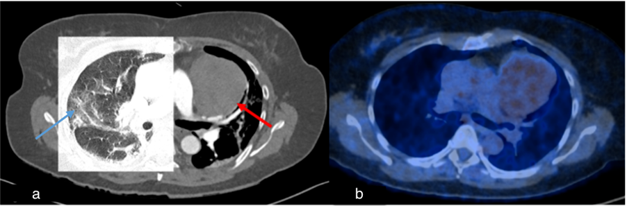
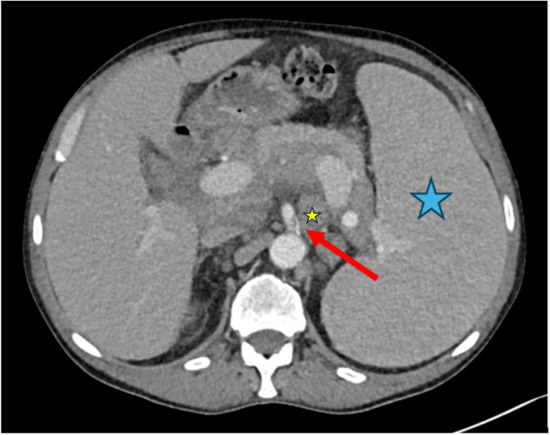
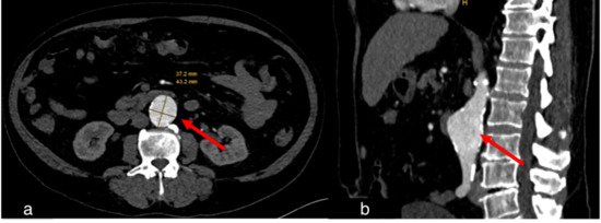
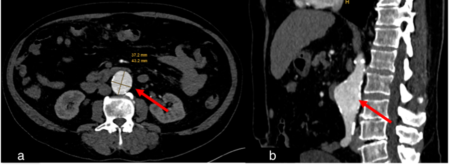
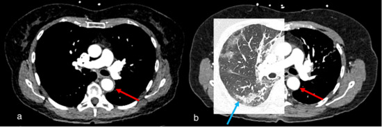
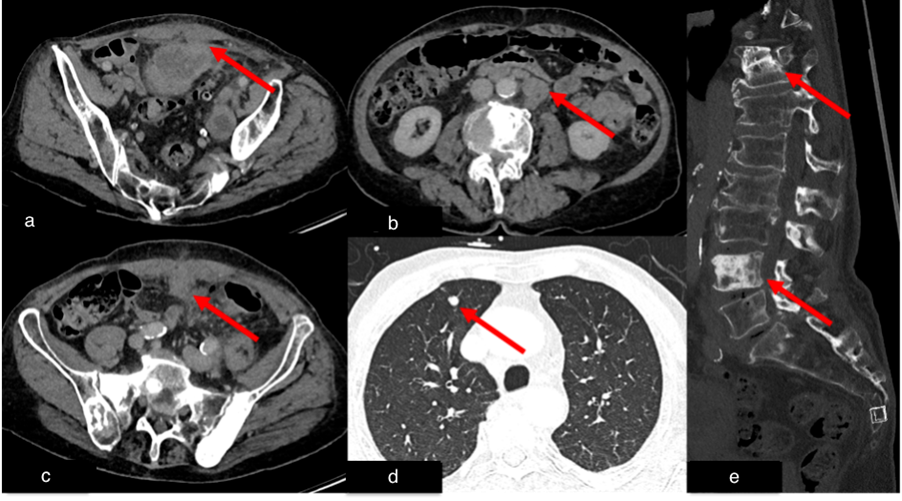
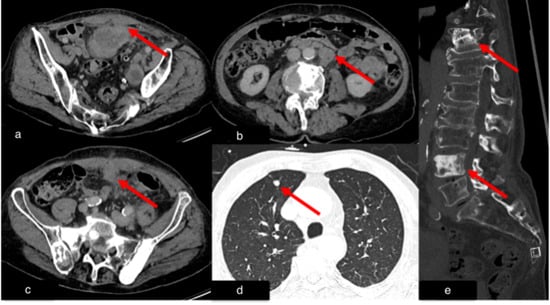
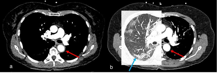
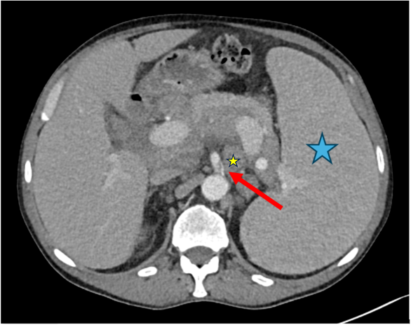
3.3. Incidental Findings
3.4. Follow-Up or Further Clarification Recommendations
3.5. Statistical Evaluation of Imaging Findings Among the Subgroups
4. Discussion
Limitations
5. Conclusions
Author Contributions
Funding
Institutional Review Board Statement
Informed Consent Statement
Data Availability Statement
Acknowledgments
Conflicts of Interest
References
- Cucinotta, D.; Vanelli, M. WHO Declares COVID-19 a Pandemic. Acta Biomed. 2020, 91, 157–160. [Google Scholar] [CrossRef] [PubMed] [PubMed Central]
- Ochani, R.; Asad, A.; Yasmin, F.; Shaikh, S.; Khalid, H.; Batra, S.; Sohail, M.R.; Mahmood, S.F.; Ochani, R.; Arshad, M.H.; et al. COVID-19 pandemic: From origins to outcomes. A comprehensive review of viral pathogenesis, clinical manifestations, diagnostic evaluation, and management. Infez. Med. 2021, 29, 20–36. [Google Scholar] [PubMed]
- Sanidas, E.; Grassos, C.; Papadopoulos, D.; Velliou, M.; Barbetseas, J. Pulmonary Embolism Prophylaxis in Patients With COVID-19: An Emerging Issue. Heart Lung Circ. 2021, 30, 1435–1441. [Google Scholar] [CrossRef] [PubMed] [PubMed Central]
- Mossa-Basha, M.; Meltzer, C.C.; Kim, D.C.; Tuite, M.J.; Kolli, K.P.; Tan, B.S. Radiology Department Preparedness for COVID-19: Radiology Scientific Expert Review Panel. Radiology 2020, 296, E106–E112. [Google Scholar] [CrossRef] [PubMed] [PubMed Central]
- Darwish, H.S.; Habash, M.Y.; Habash, W.Y. Chest computed tomography imaging features in patients with coronavirus disease 2019 (COVID-19). J. Int. Med. Res. 2021, 49, 03000605211010631. [Google Scholar] [CrossRef] [PubMed] [PubMed Central]
- Alsharif, W.; Qurashi, A. Effectiveness of COVID-19 diagnosis and management tools: A review. Radiography 2021, 27, 682–687. [Google Scholar] [CrossRef] [PubMed] [PubMed Central]
- Battegay, E. Differenzialdiagnose Innerer Krankheiten: Vom Symptom zur Diagnose, 22., vollständig überarbeitete und erweiterte; Auflage, B., ed.; Georg Thieme Verlag: Stuttgart, Germany, 2017. [Google Scholar]
- Zhao, W.; Zhong, Z.; Xie, X.; Yu, Q.; Liu, J. Relation Between Chest CT Findings and Clinical Conditions of Coronavirus Disease (COVID-19) Pneumonia: A Multicenter Study. Am. J. Roentgenol. 2020, 214, 1072–1077. [Google Scholar] [CrossRef] [PubMed]
- Salehi, S.; Abedi, A.; Balakrishnan, S.; Gholamrezanezhad, A. Coronavirus Disease 2019 (COVID-19): A Systematic Review of Imaging Findings in 919 Patients. Am. J. Roentgenol. 2020, 215, 87–93. [Google Scholar] [CrossRef] [PubMed]
- Caruso, D.; Zerunian, M.; Polici, M.; Pucciarelli, F.; Polidori, T.; Rucci, C.; Guido, G.; Bracci, B.; De Dominicis, C.; Laghi, A. Chest CT Features of COVID-19 in Rome, Italy. Radiology 2020, 296, E79–E85. [Google Scholar] [CrossRef] [PubMed] [PubMed Central]
- Ai, T.; Yang, Z.; Hou, H.; Zhan, C.; Chen, C.; Lv, W.; Tao, Q.; Sun, Z.; Xia, L. Correlation of Chest CT and RT-PCR Testing for Coronavirus Disease 2019 (COVID-19) in China: A Report of 1014 Cases. Radiology 2020, 296, E32–E40. [Google Scholar] [CrossRef] [PubMed] [PubMed Central]
- Tailor, T.D.; Tong, B.C.; Gao, J.; Choudhury, K.R.; Rubin, G.D. A Geospatial Analysis of Factors Affecting Access to CT Facilities: Implications for Lung Cancer Screening. J. Am. Coll. Radiol. 2019, 16, 1663–1668. [Google Scholar] [CrossRef] [PubMed]
- Li, Y.; Xia, L. Coronavirus Disease 2019 (COVID-19): Role of Chest CT in Diagnosis and Management. Am. J. Roentgenol. 2020, 214, 1280–1286. [Google Scholar] [CrossRef] [PubMed]
- ACR (American College of Radiology). ACR Recommendations for the Use of Chest Radiography and Computed Tomography (CT) for Suspected COVID-19 Infection. Available online: https://www.acr.org/Advocacy/Position-Statements/Recommendations-for-Chest-Radiography-and-CT-for-Suspected-COVID19-Infection (accessed on 6 June 2025).
- Helms, J.; Tacquard, C.; Severac, F.; Leonard-Lorant, I.; Ohana, M.; Delabranche, X.; Merdji, H.; Clere-Jehl, R.; Schenck, M.; Gandet, F.F.; et al. High risk of thrombosis in patients with severe SARS-CoV-2 infection: A multicenter prospective cohort study. Intensive Care Med. 2020, 46, 1089–1098. [Google Scholar] [CrossRef] [PubMed] [PubMed Central]
- Klok, F.A.; Kruip, M.J.H.A.; van der Meer, N.J.M.; Arbous, M.S.; Gommers, D.A.M.P.J.; Kant, K.M.; Kaptein, F.H.J.; van Paassen, J.; Stals, M.A.M.; Huisman, M.V.; et al. Incidence of thrombotic complications in critically ill ICU patients with COVID-19. Thromb. Res. 2020, 191, 145–147. [Google Scholar] [CrossRef] [PubMed] [PubMed Central]
- Llitjos, J.-F.; Leclerc, M.; Chochois, C.; Monsallier, J.-M.; Ramakers, M.; Auvray, M.; Merouani, K. High incidence of venous thromboembolic events in anticoagulated severe COVID-19 patients. J. Thromb. Haemost. 2020, 18, 1743–1746. [Google Scholar] [CrossRef] [PubMed] [PubMed Central]
- Trunz, L.M.; Lee, P.; Lange, S.M.; Pomeranz, C.L.; Needleman, L.; Ford, R.W.; Karambelkar, A.; Sundaram, B. Imaging approach to COVID-19 associated pulmonary embolism. Int. J. Clin. Pract. 2021, 75, e14340. [Google Scholar] [CrossRef] [PubMed] [PubMed Central]
- Huisman, M.; Kotter, E.; van Ooijen, P.M.A.; Ranschaert, E.R.; Antonoli, T.A.D.; Rockenbach, M.A.B.C.; Silva, V.C.E.; Koltsakis, E.; Yilmaz, P. ESR Modern Radiology eBook. European Society of Radiology: Vienna, Austria, 2023. [Google Scholar]
- Frank, L.; Quint, L.E. Chest CT incidentalomas: Thyroid lesions, enlarged mediastinal lymph nodes, and lung nodules. Cancer Imaging 2012, 12, 41–48. [Google Scholar] [CrossRef] [PubMed] [PubMed Central]
- Helvacı, B.C.; Ozdemir, D.; Turan, K.; Keskin, C.; İmGa, N.N.; Dirikoc, A.; Topaloglu, O.; Ersoy, R.; Cakir, B. Incidental thyroid nodules on COVID-19-related thoracic tomography scans: A giant cohort. Hormones 2024, 23, 227–233. [Google Scholar] [CrossRef] [PubMed]
- Valluri, S.; Lakshmi, H.N.; Sunkavalli, C. Incidental Findings in CT Scans on Screening for COVID-19. Indian J. Surg. Oncol. 2023, 14, 318–323. [Google Scholar] [CrossRef] [PubMed] [PubMed Central]
- de Magalhães, L.J.T.; Rocha, V.G.; de Almeida, T.C.; de Albuquerque, E.V. Prevalence of reported incidental adrenal findings in chest computerized tomography scans performed during the COVID-19 pandemic in a single center in Northeast Brazil. Arch. Endocrinol. Metab. 2023, 67, 251–255. [Google Scholar] [CrossRef] [PubMed] [PubMed Central]
- Simpson, S.; Kay, F.U.; Abbara, S.; Bhalla, S.; Chung, J.H.; Chung, M.; Henry, T.S.; Kanne, J.P.; Kligerman, S.; Ko, J.P.; et al. Radiological Society of North America Expert Consensus Statement on Reporting Chest CT Findings Related to COVID-19. Endorsed by the Society of Thoracic Radiology, the American College of Radiology, and RSNA—Secondary Publication. J. Thorac. Imaging 2020, 35, 219–227. [Google Scholar] [CrossRef] [PubMed] [PubMed Central]
- Remer, L.F.; Lee, C.I.; Picado, O.; Lew, J.I. Sex Differences in Papillary Thyroid Cancer. J. Surg. Res. 2022, 271, 163–170. [Google Scholar] [CrossRef] [PubMed]
- Wünnemann, F.; Rehnitz, C.; Weber, M.A. Incidental findings in musculoskeletal radiology. Radiologe 2017, 57, 286–295. [Google Scholar] [CrossRef] [PubMed]
- Leitman, B.S. Comment on the Avoidance of Reporting Incidental Findings. J. Am. Coll. Radiol. 2018, 15 Pt A, 7. [Google Scholar] [CrossRef] [PubMed]
- McCollough, C.H.; Leng, S.; Yu, L.; Fletcher, J.G. Dual- and Multi-Energy CT: Principles, Technical Approaches, and Clinical Applications. Radiology 2015, 276, 637–653. [Google Scholar] [CrossRef] [PubMed] [PubMed Central]
- NCI. Age and Cancer Risk. National Cancer Institute. Available online: https://www.cancer.gov/about-cancer/causes-prevention/risk/age#:~:text=Age%20and%20Cancer%20Risk,-Advancing%20age%20is&text=The%20incidence%20rates%20for%20cancer,groups%2060%20years%20and%20older (accessed on 8 June 2025).
- Munden, R.F.; Black, W.C.; Hartman, T.E.; MacMahon, H.; Ko, J.P.; Dyer, D.S.; Naidich, D.; Rossi, S.E.; McAdams, H.P.; Goodman, E.M.; et al. Managing Incidental Findings on Thoracic CT: Lung Findings. A White Paper of the ACR Incidental Findings Committee. J. Am. Coll. Radiol. 2021, 18, 1267–1279. [Google Scholar] [CrossRef] [PubMed]
- MacMahon, H.; Naidich, D.P.; Goo, J.M.; Lee, K.S.; Leung, A.N.C.; Mayo, J.R.; Mehta, A.C.; Ohno, Y.; Powell, C.A.; Prokop, M.; et al. Guidelines for Management of Incidental Pulmonary Nodules Detected on CT Images: From the Fleischner Society 2017. Radiology 2017, 284, 228–243. [Google Scholar] [CrossRef] [PubMed]
- Hillman, B.J. Incidental. J. Am. Coll. Radiol. 2017, 14, 860. [Google Scholar] [CrossRef] [PubMed]
- Mabotuwana, T.; Hombal, V.; Dalal, S.; Hall, C.S.; Gunn, M. Determining Adherence to Follow-up Imaging Recommendations. J. Am. Coll. Radiol. 2018, 15 Pt A, 422–428. [Google Scholar] [CrossRef] [PubMed]
- Brett, A.S. Incidental Findings in Chest CT. NEJM Journal Watch (General Medicine). 2024. Available online: https://www.jwatch.org/na57940/2024/09/17/incidental-findings-chest-ct (accessed on 8 July 2025).
- Sutton, R.T.; Pincock, D.; Baumgart, D.C.; Sadowski, D.C.; Fedorak, R.N.; Kroeker, K.I. An overview of clinical decision support systems: Benefits, risks, and strategies for success. npj Digit. Med. 2020, 3, 17. [Google Scholar] [CrossRef] [PubMed] [PubMed Central]
- Langenbach, M.C.; Foldyna, B.; Hadzic, I.; Langenbach, I.L.; Raghu, V.K.; Lu, M.T.; Neilan, T.G.; Heemelaar, J.C. Automated anonymization of radiology reports: Comparison of publicly available natural language processing and large language models. Eur. Radiol. 2025, 35, 2634–2641. [Google Scholar] [CrossRef] [PubMed]
- Sangal, R.B.; Sharifi, M.; Rhodes, D.; Melnick, E.R. Clinical Decision Support: Moving Beyond Interruptive “Pop-up” Alerts. Mayo Clin. Proc. 2023, 98, 1275–1279. [Google Scholar] [CrossRef] [PubMed] [PubMed Central]








| Characteristic | Category | Value (n, %) |
|---|---|---|
| Initial and follow-up imaging | Initial imaging | 323 (47.3%) |
| Follow-up | 360 (52.7%) | |
| The contrast agent used | Yes | 479 (70.1%) |
| No | 204 (29.9%) | |
| COVID Test Result | Positive | 327 (47.9%) |
| Recovered | 208 (30.5%) | |
| Negative | 131 (19.2%) | |
| Not tested | 17 (2.5%) | |
| Radiological CT findings of COVID-19 | NEG | 273 (40.0%) |
| TYP | 273 (40.0%) | |
| ATYP | 97 (14.2%) | |
| IND | 40 (5.9%) | |
| Incidental findings | No | 589 (86.2%) |
| Yes | 94 (13.8%) | |
| Recommended Follow-Up Modality | CT | 30 (31.9%) |
| NoFC | 25 (26.6%) | |
| OTH | 14 (14.9%) | |
| US | 9 (9.6%) | |
| MRI | 8 (8.5%) | |
| NUC | 4 (4.3%) | |
| BIO | 3 (3.2%) | |
| LAB | 1 (1.1%) | |
| Follow-Up Consequence | IGN | 45 (47.9%) |
| FI | 23 (24.5%) | |
| OTH | 16 (17.0%) | |
| BIO | 4 (4.3%) | |
| SUR | 3 (3.2%) | |
| DRU | 2 (2.1%) | |
| LAB | 1 (1.1%) | |
| Relevance of the Incidental Findings | 0 | 63 (67.0%) |
| 1 | 12 (12.8%) | |
| 2a | 9 (9.6%) | |
| 2b | 0 (0%) | |
| 3a | 5 (5.3%) | |
| 3b | 5 (5.3%) |
| Anatomical Distribution | Specific Location |
|---|---|
| Thorax (69.3%) | Lung (28.1%) Vascular (16.7%) Osseus (6.1%) Tissue (6.1%) Pleura (4.4%) Lymph nodes (4.4%) Mediastinum (1.8%) Other (1.8%) |
| Abdomen (30.7%) | Parenchymal (16.7%) Vascular (4.4%) Other (3.5%) Lymph nodes (2.6%) Tissue (2.6%) Osseus (0.9%) |
Disclaimer/Publisher’s Note: The statements, opinions and data contained in all publications are solely those of the individual author(s) and contributor(s) and not of MDPI and/or the editor(s). MDPI and/or the editor(s) disclaim responsibility for any injury to people or property resulting from any ideas, methods, instructions or products referred to in the content. |
© 2025 by the authors. Licensee MDPI, Basel, Switzerland. This article is an open access article distributed under the terms and conditions of the Creative Commons Attribution (CC BY) license (https://creativecommons.org/licenses/by/4.0/).
Share and Cite
Marty, M.; Kerber, B.; Abel, F.; Kroschke, J.; Frauenfelder, T.; Franckenberg, S. Clinical Relevance and Follow-Up of Incidental CT Imaging Findings for COVID-19 Diagnosis: A Retrospective Analysis. Diagnostics 2025, 15, 2832. https://doi.org/10.3390/diagnostics15222832
Marty M, Kerber B, Abel F, Kroschke J, Frauenfelder T, Franckenberg S. Clinical Relevance and Follow-Up of Incidental CT Imaging Findings for COVID-19 Diagnosis: A Retrospective Analysis. Diagnostics. 2025; 15(22):2832. https://doi.org/10.3390/diagnostics15222832
Chicago/Turabian StyleMarty, Marc, Bjarne Kerber, Frederik Abel, Jonas Kroschke, Thomas Frauenfelder, and Sabine Franckenberg. 2025. "Clinical Relevance and Follow-Up of Incidental CT Imaging Findings for COVID-19 Diagnosis: A Retrospective Analysis" Diagnostics 15, no. 22: 2832. https://doi.org/10.3390/diagnostics15222832
APA StyleMarty, M., Kerber, B., Abel, F., Kroschke, J., Frauenfelder, T., & Franckenberg, S. (2025). Clinical Relevance and Follow-Up of Incidental CT Imaging Findings for COVID-19 Diagnosis: A Retrospective Analysis. Diagnostics, 15(22), 2832. https://doi.org/10.3390/diagnostics15222832

