Next Issue
Volume 16, February-2
Previous Issue
Volume 16, January-2
 
 

Diagnostics, Volume 16, Issue 3 (February-1 2026) – 137 articles

Cover Story (view full-size image): The study presents the first clinical experiences with a next-generation hybrid PET/MRI system across a range of tracers and indications. A total of 59 brain, whole body and regional scans were performed and compared with standard-of-care PET/CT or PET/MRI. The system demonstrates potential for delivering state-of-the-art PET imaging quality comparable to current PET/CT systems, while expanding the range of possible clinical indications. The improved coverage, sensitivity and resolution may enable reductions in either scan time or administered activity relative to its predecessor, improving efficiency and patient safety. View this paper
  • Issues are regarded as officially published after their release is announced to the table of contents alert mailing list.
  • You may sign up for e-mail alerts to receive table of contents of newly released issues.
  • PDF is the official format for papers published in both, html and pdf forms. To view the papers in pdf format, click on the "PDF Full-text" link, and use the free Adobe Reader to open them.
Order results
Result details
Section
Select all
Export citation of selected articles as:
6 pages, 3246 KB  
Interesting Images
Infarction or Metabolic Breakdown? Longitudinally Extensive Diffusion-Restricted Lesions from the Medulla Oblongata to the Lumbar Spinal Cord
by Yuka Nakaya, Koji Hayashi, Mamiko Sato, Yohei Midori, Toyoaki Miura, Hiromi Hayashi, Kouji Hayashi and Yasutaka Kobayashi
Diagnostics 2026, 16(3), 504; https://doi.org/10.3390/diagnostics16030504 - 6 Feb 2026
Viewed by 665
Abstract
A 78-year-old woman with a history of rheumatoid arthritis (treated with methotrexate) developed disturbed consciousness, emesis, and intestinal perforation. Initial labs revealed hyperammonemia (189 μg/dL) and hypertonic dehydration. Despite ammonia normalization, her neurological status improved only slightly, necessitating additional tests. Cerebrospinal fluid analysis [...] Read more.
A 78-year-old woman with a history of rheumatoid arthritis (treated with methotrexate) developed disturbed consciousness, emesis, and intestinal perforation. Initial labs revealed hyperammonemia (189 μg/dL) and hypertonic dehydration. Despite ammonia normalization, her neurological status improved only slightly, necessitating additional tests. Cerebrospinal fluid analysis showed no pleocytosis but positive oligoclonal bands and markedly elevated myelin basic protein (>500 pg/mL). Serum autoimmune markers were negative, including anti-aquaporin-4 (AQP4), anti-myelin oligodendrocyte glycoprotein (MOG), and anti-glial fibrillary acidic protein (GFAP) antibodies. MRI revealed T2/DWI-hyperintense lesions in the left parietal lobe and cerebellum. Crucially, extensive T2/DWI-hyperintense lesions with diffusion restriction spanned the white matter from the medulla oblongata to the lumbar spinal cord. Axial spinal DWI demonstrated diffuse hyperintensity throughout the entire white matter, accompanied by gray matter atrophy. Subsequent metabolic screening revealed low folate and hypocupremia (34 μg/dL) as well as urinary orotic acid and low serum citrulline, suggesting late-onset ornithine transcarbamylase (OTC) deficiency. Given the clinical context, this was interpreted as a metabolic breakdown rather than an established genetic diagnosis. This case is characterized by a long, diffusion-restricted lesion from the brainstem to the spinal cord that does not correspond to vascular territories. She experienced sudden death. We hypothesize that an underlying metabolic disorder, nutritional deficiencies and drug-induced neurotoxicity contributed to lesion formation. Full article
(This article belongs to the Special Issue Neurological Disorders: Diagnosis and Management)
Show Figures

Figure 1

26 pages, 44941 KB  
Article
Advanced Deep Learning Models for Classifying Dental Diseases from Panoramic Radiographs
by Deema M. Alnasser, Reema M. Alnasser, Wareef M. Alolayan, Shihanah S. Albadi, Haifa F. Alhasson, Amani A. Alkhamees and Shuaa S. Alharbi
Diagnostics 2026, 16(3), 503; https://doi.org/10.3390/diagnostics16030503 - 6 Feb 2026
Viewed by 1008
Abstract
Background/Objectives: Dental diseases represent a great problem for oral health care, and early diagnosis is essential to reduce the risk of complications. Panoramic radiographs provide a detailed perspective of dental structures that is suitable for automated diagnostic methods. This paper aims to investigate [...] Read more.
Background/Objectives: Dental diseases represent a great problem for oral health care, and early diagnosis is essential to reduce the risk of complications. Panoramic radiographs provide a detailed perspective of dental structures that is suitable for automated diagnostic methods. This paper aims to investigate the use of an advanced deep learning (DL) model for the multiclass classification of diseases at the sub-diagnosis level using panoramic radiographs to resolve the inconsistencies and skewed classes in the dataset. Methods: To classify and test the models, rich data of 10,580 high-quality panoramic radiographs, initially annotated in 93 classes and subsequently improved to 35 consolidated classes, was used. We applied extensive preprocessing techniques like class consolidation, mislabeled entry correction, redundancy removal and augmentation to reduce the ratio of class imbalance from 2560:1 to 61:1. Five modern convolutional neural network (CNN) architectures—InceptionV3, EfficientNetV2, DenseNet121, ResNet50, and VGG16—were assessed with respect to five metrics: accuracy, mean average precision (mAP), precision, recall, and F1-score. Results: InceptionV3 achieved the best performance with a 97.51% accuracy rate and a mAP of 96.61%, thus confirming its superior ability for diagnosing a wide range of dental conditions. The EfficientNetV2 and DenseNet121 models achieved accuracies of 97.04% and 96.70%, respectively, indicating strong classification performance. ResNet50 and VGG16 also yielded competitive accuracy values comparable to these models. Conclusions: Overall, the results show that deep learning models are successful in dental disease classification, especially the model with the highest accuracy, InceptionV3. New insights and clinical applications will be realized from a further study into dataset expansion, ensemble learning strategies, and the application of explainable artificial intelligence techniques. The findings provide a starting point for implementing automated diagnostic systems for dental diagnosis with greater efficiency, accuracy, and clinical utility in the deployment of oral healthcare. Full article
(This article belongs to the Special Issue Advances in Dental Diagnostics)
Show Figures

Graphical abstract

24 pages, 48184 KB  
Article
Beat-to-Beat QT Variability: A Population Study of the QT Variability Index Composition
by Jan Řehoř, Kateřina Helánová, Martina Šišáková, Tomáš Novotný, Irena Andršová and Marek Malik
Diagnostics 2026, 16(3), 502; https://doi.org/10.3390/diagnostics16030502 - 6 Feb 2026
Viewed by 575
Abstract
Background/Objectives: One of the topics of electrocardiographic risk factor studies is investigations of beat-to-beat QT interval variability. The seminal study that reported QT variability as a prognostic risk factor introduced the so-called QT variability index (QTVi). QTVi quantification relies not only on [...] Read more.
Background/Objectives: One of the topics of electrocardiographic risk factor studies is investigations of beat-to-beat QT interval variability. The seminal study that reported QT variability as a prognostic risk factor introduced the so-called QT variability index (QTVi). QTVi quantification relies not only on the variance of QT intervals but also on correction factors, including RR interval variance, heart rate, and overall QT interval duration. This study investigated the influence of all the measured factors on QTVi values. Methods: Long-term electrocardiograms (ECGs) were obtained from 251 healthy subjects (mean age 33.6 ± 9.1 years, 108 females) during repeated postural tests that involved supine, sitting, and standing positions maintained for 10 or 15 min. During each position, a 5-min ECG segment with a stable heart rate and without any ectopic disturbances was found. In these segments, standard deviations of normal-to-normal RR (NN) interval durations (SDNN) and of beat-to-beat QT interval durations (SDQT) were measured together with the means of NN and QT intervals. QTVi was subsequently calculated. For each subject, results obtained during each postural position were averaged. Results: In multivariable regression models, evaluated separately in female and male sex-subgroups of the population, QTVi values were significantly dependent on SDQT, SDNN, and mean NN intervals (all p < 0.001) but practically independent of mean QT interval durations. Conclusions: QTVi is significantly influenced by factors that are unrelated to the beat-to-beat changes in QT interval durations. This needs to be considered when interpreting QTVi values. In future studies, multivariable statistical models are needed to ensure that QTVi findings are independent of associated heart rate variability indices. Full article
Show Figures

Figure 1

12 pages, 2243 KB  
Article
Impact of Maneuverability Constraints on Intraoral Scanner Performance
by Chieh-Ming Yu, Wei-Chun Lin, Chiao-Yun Peng, Chian-Chuen Lee and Chia-Cheng Lin
Diagnostics 2026, 16(3), 501; https://doi.org/10.3390/diagnostics16030501 - 6 Feb 2026
Viewed by 494
Abstract
Background/Objectives: Intraoral scanners (IOSs) are essential tools in digital dentistry; however, their accuracy remains influenced by clinical conditions such as restricted access, patient movement, or intraoral moisture. Intraoral scanning is performed within a confined space that restricts scanner motion, potentially influencing maneuverability during [...] Read more.
Background/Objectives: Intraoral scanners (IOSs) are essential tools in digital dentistry; however, their accuracy remains influenced by clinical conditions such as restricted access, patient movement, or intraoral moisture. Intraoral scanning is performed within a confined space that restricts scanner motion, potentially influencing maneuverability during data acquisition and, consequently, IOS performance. This study investigated the impact of maneuverability constraints on the trueness accuracy and efficiency of IOS under clinically representative intraoral conditions. Methods: Fifteen participants with no previous experience in intraoral scanning or device operation were recruited. Each participant scanned a maxillary full-dentition typodont model and a mandibular implant-containing typodont model using the Aoralscan 3 IOS. Scans were performed under two conditions: constrained intraoral scanning within a manikin and open-vision extraoral scanning on a bench-top. Trueness accuracy was evaluated using three parameters: the root mean square (RMS) deviation of the maxillary dentition, discrepancies in inter–scan body distances, and angular deviations of the scan bodies, each calculated by comparison with reference data obtained from an industrial-grade scanner. Scan time was recorded to assess time-based efficiency. Results: No significant differences were observed in RMS trueness, inter-implant distances, or implant angular deviations between intraoral and extraoral scans. Extraoral scanning significantly reduced scan times for both maxillary and mandibular models (p < 0.0001). Conclusions: Within the limitations of this study, maneuverability constraints alone may not significantly affect IOS trueness accuracy compared with open bench-top scanning. However, scanning efficiency was reduced under intraoral scanning constraints, with longer scan times observed among inexperienced operators. The potential influence of intraoral factors other than maneuverability on IOS accuracy under clinical conditions warrants further investigation. Full article
(This article belongs to the Special Issue Advances in Dental Imaging, Oral Diagnosis, and Forensic Dentistry)
Show Figures

Figure 1

15 pages, 573 KB  
Systematic Review
Diagnostic Accuracy of Artificial Intelligence Models for Differentiation of Squamous Cell Carcinoma and Adenocarcinoma of Lung—A Systematic Review
by Kaushik Nayak, Rajagopal Kadavigere, Saikiran Pendem, Pallavi R. Mane, Niranjana Sampathila, Priya Pattath Sankaran and Nandish Siddeshappa
Diagnostics 2026, 16(3), 500; https://doi.org/10.3390/diagnostics16030500 - 6 Feb 2026
Viewed by 791
Abstract
Background/Objectives: Lung cancer remains the leading cause of cancer-related deaths worldwide, with Non-Small Cell Lung Cancer (NSCLC) accounting for the majority of cases, primarily Squamous Cell Carcinoma (SCC) and Adenocarcinoma (ADC). The aim of this systematic review is to summarise and critically [...] Read more.
Background/Objectives: Lung cancer remains the leading cause of cancer-related deaths worldwide, with Non-Small Cell Lung Cancer (NSCLC) accounting for the majority of cases, primarily Squamous Cell Carcinoma (SCC) and Adenocarcinoma (ADC). The aim of this systematic review is to summarise and critically appraise the performance of machine learning (ML)-based radiomics models in the differential diagnosis and overall survival analysis for lung SCC and ADC. Methods: PRISMA standards were followed in conducting the review. The quality of the studies was assessed using the Radiomics quality score (RQS) tool. Results: A total of 11 studies were included, demonstrating that deep learning and radiomics-based machine learning models significantly improve the non-invasive classification of lung squamous cell carcinoma and adenocarcinoma. Deep learning systems achieved an accuracy of 67–97%, and machine learning models showed an accuracy of 75–87%. The integration of radiomic features further enhanced diagnostic precision, showing strong potential for reliable histologic subtype differentiation. Conclusions: Machine learning-based radiomics models and deep learning significantly enhance the non-invasive, accurate differentiation of lung squamous and adenocarcinoma cell carcinoma when combined with clinical and pathological data. Full article
(This article belongs to the Section Machine Learning and Artificial Intelligence in Diagnostics)
Show Figures

Figure 1

14 pages, 1763 KB  
Article
Research on Prediction of Preterm Birth Risk Based on Digital Twin Technology
by Xinyuan Chen, Renyi Hua and Yanping Lin
Diagnostics 2026, 16(3), 499; https://doi.org/10.3390/diagnostics16030499 - 6 Feb 2026
Cited by 2 | Viewed by 692
Abstract
Background: Preterm birth remains a major cause of perinatal morbidity and long-term developmental complications. Existing prediction methods often lack individualized assessment and have limited capability to integrate multi-source maternal–fetal information. This study aims to develop a personalized preterm birth risk prediction model and [...] Read more.
Background: Preterm birth remains a major cause of perinatal morbidity and long-term developmental complications. Existing prediction methods often lack individualized assessment and have limited capability to integrate multi-source maternal–fetal information. This study aims to develop a personalized preterm birth risk prediction model and to construct a visual, interactive digital twin platform that enhances clinical communication and supports early risk identification. Methods: A total of 1157 structured clinical records collected from 2020 to 2024 were preprocessed through automated feature typing, missing-value handling, and normalization. Two complementary machine-learning models—FT-Transformer and Light Gradient Boosting Machine (LightGBM)—were trained and calibrated to produce probabilities. Their outputs were fused using a Stacking Logistic Regression framework to improve prediction stability and calibration. A 3D visualization module was developed using 3ds Max, PyQt6, and PyVista to generate personalized uterine–fetal models based on fetal position, placental location, and Biparietal Diameter (BPD), enabling synchronized display of prediction results. Results: The fused model achieved an AUC of 0.820, PR-AUC of 0.405, a Brier score of 0.040, and an expected calibration error (ECE) of 3.39 × 10−3, demonstrating superior discrimination and probability reliability compared with single models. The interactive platform supports real-time data input, risk prediction, and adaptive 3D rendering, providing clear and intuitive visual feedback for clinical interpretation. Conclusions: The integration of machine learning fusion and digital twin visualization enables individualized assessment of preterm birth risk. The system improves model accuracy, enhances interpretability, and offers a practical tool for clinical follow-up, risk counseling, and maternal health education. Full article
(This article belongs to the Section Machine Learning and Artificial Intelligence in Diagnostics)
Show Figures

Figure 1

15 pages, 3161 KB  
Article
On the Suitability of Data Augmentation Techniques to Improve Parkinson’s Disease Detection with Speech Recordings
by Cristian David Ríos-Urrego, Tulio Andrés Ruiz-Romero, David Puerta-Lotero, Daniel Escobar-Grisales and Juan Rafael Orozco-Arroyave
Diagnostics 2026, 16(3), 498; https://doi.org/10.3390/diagnostics16030498 - 6 Feb 2026
Viewed by 573
Abstract
Background: Parkinson’s disease (PD) is a neurodegenerative disorder that affects millions of people worldwide. Speech analysis has emerged as a non-invasive tool for automatic PD detection; however, the scarcity and homogeneity of available datasets often limit the generalization capability of machine learning models, [...] Read more.
Background: Parkinson’s disease (PD) is a neurodegenerative disorder that affects millions of people worldwide. Speech analysis has emerged as a non-invasive tool for automatic PD detection; however, the scarcity and homogeneity of available datasets often limit the generalization capability of machine learning models, motivating the use of data augmentation strategies to improve robustness. Methods: This study presents a data augmentation-based methodology for speech-based classification between PD patients and healthy control subjects. A deep learning model trained from scratch on Mel spectrograms is evaluated using augmentation techniques applied at both the waveform and time–frequency levels. Multiple training and model selection strategies are analyzed and model performance is assessed through internal validation as well as using an independent dataset Results: Experimental results show that carefully selected data augmentation techniques improve classification performance with respect to the non-augmented counterpart, achieving gains of up to 3% in accuracy. However, when evaluated on an independent dataset, these improvements do not consistently translate into better generalization. Conclusions: These findings demonstrate that, while data augmentation can effectively enhance model performance within a single dataset, this apparent robustness is not sufficient to guarantee generalization on independent speech corpora for PD detection. Full article
Show Figures

Figure 1

11 pages, 1328 KB  
Article
Non-Exudative Macular Neovascularization in Various Acquired Macular Degenerations with Double- and Triple-Layer Sign on OCT
by Joanna Gołębiewska, Ilona Katarzyna Jędrzejewska, Justyna Mędrzycka, Mariusz Przybyś and Radosław Różycki
Diagnostics 2026, 16(3), 497; https://doi.org/10.3390/diagnostics16030497 - 6 Feb 2026
Viewed by 480
Abstract
Background/Objectives: To investigate the rate of exudative progression over time in patients with non-exudative macular neovascularization (NE-MNV) associated with various acquired macular degenerations presenting with a double-layer sign (DLS) or triple-layer sign (TLS) on optical coherence tomography (OCT), and to identify potential [...] Read more.
Background/Objectives: To investigate the rate of exudative progression over time in patients with non-exudative macular neovascularization (NE-MNV) associated with various acquired macular degenerations presenting with a double-layer sign (DLS) or triple-layer sign (TLS) on optical coherence tomography (OCT), and to identify potential predictors of this progression. Methods: Fifty-one eyes of fourty-nine patients with a DLS or TLS on OCT images were identified. OCT angiography (OCTA) was performed to detect NE-MNV, and only eyes with confirmed NE-MNV were included in the final analysis. Central macular thickness (CMT), choroidal thickness (CT), morphology of the abnormal vessels, the duration of follow-up, progression to active exudative MNV, and the status of the contralateral eye were assessed. Results: The final analysis included 32 eyes of 30 participants with NE-MNV. The median observation period was 46 months. The causes of NE-MNV were age- related macular degeneration (AMD) in 59.38% of eyes, pachychoroid epitheliopathy (PPE) in 37.50%, and other causes in 3.12%. Exudation developed in 15.62% of eyes (median time to onset: 24 months), predominantly in the AMD subgroup. Abnormalities in the fellow eye were present in 59.38% of cases. Neither age nor other factors, including sex, cause of MNV, CMT, CT, MNV morphology, or fellow eye status, were statistically significant predictors of progression to active MNV (p = 0.67, p > 0.99, p = 0.62, p = 0.09, p = 0.09, p = 0.2, p = 0.62, resp.). Conclusions: NE-MNV is an asymptomatic condition that may occur in the course of various retinal diseases. While DLS and TLS demonstrate high sensitivity and specificity for the diagnosis of NE-MNV, their presence does not always indicate concurrent MNV. Multimodal imaging is essential for accurate monitoring of these patients and detection of potential disease progression. Full article
(This article belongs to the Special Issue Diagnosis and Management of Retinopathy—2nd Edition)
Show Figures

Figure 1

19 pages, 3365 KB  
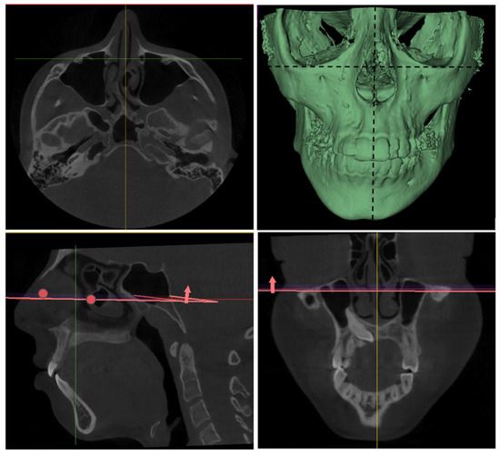
Article
Three-Dimensional Evaluation of TMJ Morphology in Individuals with Maxillary or Mandibular Impacted Canines: A CBCT-Based Retrospective Study
by Fırat Oğuz and Samet Özden
Diagnostics 2026, 16(3), 496; https://doi.org/10.3390/diagnostics16030496 - 6 Feb 2026
Viewed by 654
Abstract
Background/Objectives: This study aimed to evaluate temporomandibular joint (TMJ) morphology in individuals with impacted maxillary and mandibular canine teeth using cone beam computed tomography (CBCT) and to compare the findings with those of a control group without impacted canines. Methods: A total [...] Read more.
Background/Objectives: This study aimed to evaluate temporomandibular joint (TMJ) morphology in individuals with impacted maxillary and mandibular canine teeth using cone beam computed tomography (CBCT) and to compare the findings with those of a control group without impacted canines. Methods: A total of 80 individuals were included in this retrospective study. Based on CBCT images, participants were divided into three groups: the impacted maxillary canine group (n = 30), impacted mandibular canine group (n = 20), and control group (n = 30). CBCT images were oriented in the 3D Slicer software according to the Frankfurt Horizontal plane and the midsagittal reference line. Condylar width, length, position, angular parameters, joint spaces, and condylar volume were measured. Appropriate parametric and non-parametric statistical tests were used for intergroup comparisons. Results: The control group exhibited significantly higher values of condylar width, coronal condylar position and angle, certain joint spaces, and condylar volume compared with both impacted maxillary and mandibular canine groups (p < 0.05). In particular, significant differences were observed for condylar width (p ≤ 0.002) (Control: 19.76 ± 2.09 mm, Maxillary: 17.92 ± 2.14 mm, Mandibular: 17.76 ± 1.64 mm), coronal condylar position (p < 0.001) (Control: 7.50 ± 1.34 mm, Maxillary: 6.02 ± 0.89 mm, Mandibular: 6.30 ± 0.83 mm), coronal condylar angle (p < 0.001) (Control: 25.09° ± 4.40, Maxillary: 28.80° ± 3.70, Mandibular: 33.37° ± 4.10), and condylar volume (p < 0.001) (Control: 1755.87 ± 357.32 mm3, Maxillary: 1337.18 ± 302.65 mm3, Mandibular: 1252.71 ± 369.24 mm3). No significant differences were found between the impacted maxillary and mandibular canine groups for most parameters (p > 0.05). Right–left side comparisons demonstrated that bilateral symmetry was largely preserved, except for condylar volume (p > 0.05). Conclusions: The presence of impacted canines may influence TMJ morphology, particularly at the level of condylar morphometry and joint spaces. Therefore, considering TMJ morphology in addition to local dental factors when evaluating impacted canines may provide a more comprehensive approach to orthodontic diagnosis and treatment planning. Full article
(This article belongs to the Section Medical Imaging and Theranostics)
Show Figures

Figure 1

12 pages, 388 KB  
Review
Review of Prognostic Significance of Quantitative BPE Measurements
by Jeremy Weiss, Emily Hunt, Yihui Zhu, Tim Q. Duong and Takouhie Maldjian
Diagnostics 2026, 16(3), 495; https://doi.org/10.3390/diagnostics16030495 - 6 Feb 2026
Cited by 1 | Viewed by 2126
Abstract
Background/Objectives: Background parenchymal enhancement (BPE) on breast magnetic resonance imaging reflects hormonal and vascular activity of fibroglandular tissue and is studied as a prognostic marker for breast cancer. This paper serves as a review that evaluates quantitative methods for BPE measurements for [...] Read more.
Background/Objectives: Background parenchymal enhancement (BPE) on breast magnetic resonance imaging reflects hormonal and vascular activity of fibroglandular tissue and is studied as a prognostic marker for breast cancer. This paper serves as a review that evaluates quantitative methods for BPE measurements for predicting treatment outcomes. Methods: PubMed was searched for papers on evaluating BPE with outcomes to compare, such as pathologic complete response, recurrence-free survival, disease-free survival, and overall survival, from 2015 to 2025. In total, eleven papers using quantitative methods to measure BPE were selected. Results: Quantitative results showed that BPE reduction during neoadjuvant chemotherapy and high pre-treatment/baseline BPE are linked to improved treatment response and reduced risk of recurrence. Conclusions: Quantitative assessment methods yield objective and reproducible prognostic information. Incorporating quantitative BPE measurements alongside tumor-focused imaging features may further improve predictive accuracy in clinical settings. Full article
(This article belongs to the Special Issue Recent Advances in Breast Cancer Imaging 2026)
Show Figures

Figure 1

17 pages, 1062 KB  
Article
Systemic Inflammatory and Hematological Profiles in Triple-Negative Breast Cancer: A Study from a Senegalese Cohort
by Nènè Oumou Kesso Barry, Mamadou Sow, Pape Matar Kandji, Ndeye Khady Ngom, Moustapha Djité, Mouhamad Sy, Salif Baldé, Ulrich Igor Mbessoh Kengne, Amacoumba Fall, Siny Ndiaye, Ndeye Marème Thioune, Jaafar Thiam, Amadi Amadou Sow, Fidèle Kiema, Cheikh Tidiane Gassama, Simbi Celestin Kitungwga, Yacine Mbacke, Marième Guetti, Marie Masesi Lusasi, Fatou Gueye Tall, El Hadj Malick Ndour, Amy Gaye, Aboubacar Dit Tietie Bissan, Mariama Touré, Aïta Sène, Assiatou Barry, Saikou Oumar Diallo, Dominique Doupa, Najah Fatou Coly, Cherif Dial, Ahmadou Dem, Sidy Ka, Pascal Reynier and Papa Madieye Gueyeadd Show full author list remove Hide full author list
Diagnostics 2026, 16(3), 494; https://doi.org/10.3390/diagnostics16030494 - 6 Feb 2026
Cited by 1 | Viewed by 690
Abstract
Background/Objectives: Triple-negative breast cancer (TNBC) is an aggressive subtype associated with a poor prognosis and limited treatment options. Inflammatory and hematological biomarkers have emerged as potential tools for disease characterization, particularly in low-resource settings. Methods: This cross-sectional analytical study was conducted [...] Read more.
Background/Objectives: Triple-negative breast cancer (TNBC) is an aggressive subtype associated with a poor prognosis and limited treatment options. Inflammatory and hematological biomarkers have emerged as potential tools for disease characterization, particularly in low-resource settings. Methods: This cross-sectional analytical study was conducted between July 2022 and February 2024 at Dalal Jamm Hospital in Dakar, Senegal, and included 120 women: 40 with TNBC, 40 with hormone-dependent breast cancer (HDBC), and 40 healthy controls. Blood samples were collected at diagnosis before any treatment to measure complete blood counts and C-reactive protein (CRP) levels. Inflammatory ratios—neutrophil-to-lymphocyte ratio (NLR), monocyte-to-lymphocyte ratio (MLR), and platelet-to-lymphocyte ratio (PLR)—were calculated. Results: TNBC patients displayed a distinct inflammatory profile characterized by elevated neutrophil counts, CRP, NLR, and MLR, as well as reduced lymphocyte and basophil percentages compared to healthy controls. NLR > 1.12 demonstrated strong discriminatory ability (AUC = 0.847; sensitivity 90%; specificity 65%). Differences between TNBC and HDBC were less pronounced, except for CRP and basophil levels. Multivariate analysis confirmed independent associations of elevated NLR, CRP, and neutrophils with TNBC. Conclusions: These findings provide new insights into the inflammatory and hematological characteristics of TNBC in this population and support further investigation of accessible biomarkers for early disease stratification in similar settings. Full article
(This article belongs to the Section Clinical Diagnosis and Prognosis)
Show Figures

Graphical abstract

4 pages, 563 KB  
Interesting Images
Palatal Mucosal Inflammation Caused by an Unusual Foreign Body in an Infant
by Shunya Ikeda, Yuko Iwamoto, Masashi Ogawa, Tatsuya Akitomo and Ryota Nomura
Diagnostics 2026, 16(3), 493; https://doi.org/10.3390/diagnostics16030493 - 5 Feb 2026
Viewed by 422
Abstract
Infants may place various objects in their mouths during the developmental process, which can sometimes involve life-threatening risks, such as choking. We describe the case of a 1-year 3-month-old female with a foreign body in the oral cavity. She was referred to our [...] Read more.
Infants may place various objects in their mouths during the developmental process, which can sometimes involve life-threatening risks, such as choking. We describe the case of a 1-year 3-month-old female with a foreign body in the oral cavity. She was referred to our hospital with chief complaints of suspected supernumerary teeth and blisters, and the initial examination revealed blister-like swelling and a white swelling on the hard palate. Intraoral photographs were obtained and examined from multiple angles, revealing findings that resembled a character. Careful re-examination showed that a three-dimensional sticker was attached to the hard palate, which could be removed in one piece. It is important for dental professionals to conduct intraoral examinations of pediatric patients with the understanding that unexpected findings may be present, and think about a foreign body in palatal lesions. In addition, this report highlights a new risk for caregivers supervising infants, as seemingly harmless stickers can remain in the mouth for extended periods. Full article
(This article belongs to the Section Clinical Diagnosis and Prognosis)
Show Figures

Figure 1

16 pages, 1188 KB  
Article
From Annotation to Prediction: Hospital-Grade Early Seizure Risk Prediction from Adult EEG
by Norah Alharbi, Mashael Aldayel, Shrooq Alsenan, Raneem Alyami, Enas Almowalad and Eman Alkethiry
Diagnostics 2026, 16(3), 492; https://doi.org/10.3390/diagnostics16030492 - 5 Feb 2026
Viewed by 878
Abstract
Background: Manual review of EEG recordings in clinical settings is inherently time-consuming and labor-intensive. These challenges highlight a pressing need for automated EEG analysis tools capable of supporting clinicians by improving efficiency and diagnostic accuracy. Objectives: This study aims to develop [...] Read more.
Background: Manual review of EEG recordings in clinical settings is inherently time-consuming and labor-intensive. These challenges highlight a pressing need for automated EEG analysis tools capable of supporting clinicians by improving efficiency and diagnostic accuracy. Objectives: This study aims to develop and validate an AI-based model for the automated interpretation of adult EEG recordings. Unlike previous approaches that emphasize seizure detection during ictal states, our model targets the early prediction of seizure risk through systematic annotation and recognition of interictal patterns. Methods: The model is designed to accurately distinguish between normal and abnormal EEGs, encompassing both interictal and ictal activity. Abnormal EEGs will be further classified into three clinically relevant categories: (1) non-epileptiform abnormalities such as focal or diffuse slowing, (2) epileptiform discharges, and (3) electrographic seizures. Three AI-based classification algorithms were implemented: Support Vector Machine (SVM), Random Forest (RF), and K-Nearest Neighbors (KNN). Results: RF demonstrated optimal performance across most tasks, achieving 96.50% accuracy for normal activity identification. This AI-driven system enhances the efficiency, consistency, and accessibility of EEG interpretation. It is particularly valuable in settings with limited access to neurophysiologists and offers an innovative approach to improving diagnostic timelines and clinical decision-making. Conclusions: Ultimately, this tool will support physicians in diagnosing neurological conditions and monitoring patient progress over time. Full article
(This article belongs to the Special Issue A New Era in Diagnosis: From Biomarkers to Artificial Intelligence)
Show Figures

Figure 1

18 pages, 1244 KB  
Article
Ventricular Anatomy Across CT and MRI in Hydrocephalus: A Retrospective Study
by Andrada-Iasmina Roşu, Laura Andreea Ghenciu, Dan Cristian Roşu, Emil-Radu Iacob, Emil Robert Stoicescu, Roxana Stoicescu, Alexandra Ioana Dănilă and Sorin Lucian Bolintineanu
Diagnostics 2026, 16(3), 491; https://doi.org/10.3390/diagnostics16030491 - 5 Feb 2026
Viewed by 684
Abstract
Background/Objectives: Hydrocephalus is a complex neurological disorder marked by abnormal cerebrospinal fluid dynamics and ventricular enlargement. Despite breakthroughs in neuroimaging, diagnosis and longitudinal the application of imaging markers for the diagnosis and longitudinal monitoring of hydrocephalus remains challenging in routine clinical practice. [...] Read more.
Background/Objectives: Hydrocephalus is a complex neurological disorder marked by abnormal cerebrospinal fluid dynamics and ventricular enlargement. Despite breakthroughs in neuroimaging, diagnosis and longitudinal the application of imaging markers for the diagnosis and longitudinal monitoring of hydrocephalus remains challenging in routine clinical practice. The present study examines the behavior and cross-modality agreement of commonly used linear ventricular measurements under routine imaging conditions, at a single Romanian tertiary-care center characterized by heterogeneous acquisition protocols and limited availability of advanced volumetric techniques. Methods: We conducted a single-center retrospective observational study of 68 adults with hydrocephalus. Linear ventricular metrics, including Evans index and third-ventricle width, were measured on all available CT and MRI scans. CT–MRI agreement was assessed using paired examinations within a 90-day window. Longitudinal changes were analyzed using first–last and pre–post VP shunt comparisons. Associations between baseline imaging features and VP shunt placement were evaluated using rule-based and odds ratio analyses. Results: CT and MRI measurements demonstrated strong agreement for both Evans index (r = 0.93) and third-ventricle width (r = 0.90), with minimal systematic bias. Longitudinal analyses demonstrated small-magnitude changes in ventricular size following intervention, with substantial inter-individual variability. VP utilization increased across Evans index strata, reaching 100% in patients with values ≥0.50. Transependymal cerebrospinal fluid exudation showed the strongest association with subsequent VP shunting. Imaging-based rules exhibited expected trade-offs between sensitivity and specificity. Conclusions: Standard linear ventricular parameters exhibited adequate cross-modality agreement and clinically important longitudinal behavior in this cohort. While insufficient as standalone predictors, these readily available imaging markers remain important tools when combined with a comprehensive clinical assessment. Full article
(This article belongs to the Special Issue Clinical Anatomy and Diagnosis in 2025)
Show Figures

Figure 1

11 pages, 357 KB  
Article
Risk Factors for Inadequate Bowel Preparation Before Colonoscopy in Patients with Ulcerative Colitis in Clinical and Endoscopic Remission: A Multicenter Retrospective Cohort Study
by Davide Scalvini, Stiliano Maimaris, Elisa Stasi, Marco Valvano, Daniele Brinch, Mario Romeo, Michele Dota, Marcello Dallio, Virginia Gregorio, Chiara Sophie Sabbione, Marta Vernero, Giovanni Santacroce, Stefano Mazza, Simona Agazzi, Aurelio Mauro, Alessandro Federico, Annalisa Schiepatti, Davide Giuseppe Ribaldone, Marco Vincenzo Lenti, Gianpiero Manes, Antonio Facciorusso, Antonio Di Sabatino, Federico Biagi, Cristina Bezzio, Simone Saibeni and Andrea Anderloniadd Show full author list remove Hide full author list
Diagnostics 2026, 16(3), 490; https://doi.org/10.3390/diagnostics16030490 - 5 Feb 2026
Viewed by 753
Abstract
Background/Objectives: Adequate bowel preparation (BP) is crucial for effective colorectal cancer (CRC) surveillance in ulcerative colitis (UC). While active inflammation is known to negatively impact cleansing, data regarding predictors of BP quality specifically in UC patients with inactive disease remain limited. This [...] Read more.
Background/Objectives: Adequate bowel preparation (BP) is crucial for effective colorectal cancer (CRC) surveillance in ulcerative colitis (UC). While active inflammation is known to negatively impact cleansing, data regarding predictors of BP quality specifically in UC patients with inactive disease remain limited. This study aimed to investigate risk factors for inadequate BP in UC patients in clinical/endoscopic remission and to compare the efficacy of 1L-PEG-ASC versus 2L-PEG regimens. Methods: A multicentric, retrospective, cohort study was conducted across eight Italian centers. Consecutive adult outpatients with UC undergoing colonoscopy between January-2021 and December-2022 who were in endoscopic and clinical remission were included. Boston Bowel Preparation Scale (BBPS) was assessed in patients undergoing 1L-PEG-ASC or 2L-PEG bowel preparation. Univariable and multivariable logistic regression analyses were performed to identify risk factors for inadequate BP and compare outcomes between PEG regimens. Results: A total of 379 patients were included (58% M, mean age 52.3 ± 15.4 years). The overall rate of adequate BP was 90.5%. Traditional risk factors, including demographic, clinical, and endoscopic characteristics, were not predictive of inadequate preparation in this remission cohort. Comparing regimens, 1L-PEG-ASC yielded significantly higher median total BBPS scores compared to 2L-PEG (8 [IQR 7–9] vs. 6 [IQR 6–8]; p < 0.001) and a higher exam completion rate (99.5% vs. 95.7%; p = 0.02), although the difference in adequate BP rates did not reach statistical significance (92.6% vs. 87.7%; p = 0.12). Multivariable analysis confirmed that 2L-PEG was independently associated with lower odds of achieving higher BBPS scores (OR 0.30; 95% CI 0.20–0.45). Conclusions: In UC patients with clinical and endoscopic remission, BP adequacy rates are high and comparable to the general population, suggesting that traditional IBD-related risk factors are less relevant in the absence of active inflammation. However, the 1L-PEG-ASC regimen demonstrated superior cleansing quality and exam completion rates compared to 2L-PEG. These findings support the prioritization of 1L-PEG-ASC to optimize mucosal visualization during CRC surveillance in this population. Full article
(This article belongs to the Special Issue Advances in Diagnosis of Digestive Diseases)
Show Figures

Figure 1

14 pages, 1001 KB  
Article
Association of Arterial PaCO2 with the Survival of Mechanically Ventilated Patients with Acute Respiratory Failure: A Multicenter Retrospective Cohort Study
by Lei Chang, Ling Jia, Yue Xu, Yali Qian, Shaodong Zhao, Yanqun Sun, Xuhua Ge and Hongjun Miao
Diagnostics 2026, 16(3), 489; https://doi.org/10.3390/diagnostics16030489 - 5 Feb 2026
Viewed by 717
Abstract
Background/Objectives: Acute respiratory failure (ARF) is associated with a high mortality. This study aimed to explore the association of arterial partial pressure of carbon dioxide (PaCO2) in relation to survival outcomes in mechanically ventilated patients with ARF. Methods: This [...] Read more.
Background/Objectives: Acute respiratory failure (ARF) is associated with a high mortality. This study aimed to explore the association of arterial partial pressure of carbon dioxide (PaCO2) in relation to survival outcomes in mechanically ventilated patients with ARF. Methods: This multicenter retrospective cohort study integrated the data from the eICU Collaborative Research Database (eICU-CRD; n = 10,946), the Medical Information Mart for Intensive Care IV (MIMIC-IV; n = 6683), and clinical records from two university-affiliated intensive care units in China (n = 410). The patients were categorized into low, normal, and high PaCO2 groups using a restricted cubic spline model to explore the relationship between PaCO2 and mortality. The 28-day survival distributions among the three groups were compared using Kaplan–Meier curves, with statistical significance assessed via the log-rank test. A multivariable Cox proportional hazards model was constructed to evaluate the independent prognostic value of PaCO2 for multiple complications. Hazard ratios (HRs) and 95% confidence intervals (CIs) were calculated for the low and high PaCO2 groups relative to the normal PaCO2 group. Results: A U-shaped relationship was observed between PaCO2 and mortality, with both low PaCO2 (<36.4 mmHg) and high PaCO2 (>57.9 mmHg) associated with an increased mortality risk. Kaplan–Meier survival analysis demonstrated that patients in the intermediate PaCO2 range (36.4–57.9 mmHg) exhibited the highest survival rate (65.2%), whereas those in the low and high PaCO2 groups had significantly lower survival rates (60.0% and 63.2%) (log-rank test, p < 0.001). Adjusted survival analyses further revealed that complications such as sepsis and chronic kidney disease significantly influenced the mortality across PaCO2 strata. Compared with the intermediate PaCO2 group, the hazard of death increased by 25.5% in the low PaCO2 group and by 18.9% in the high PaCO2 group. Conclusions: This retrospective analysis indicates that arterial PaCO2 levels within the optimal range are associated with improved survival in patients with acute respiratory failure (ARF) on mechanical ventilation, but prospective studies are needed to establish causality and consider potential confounding factors. Full article
(This article belongs to the Special Issue Diagnosis and Management of Emergency and Critical Illness)
Show Figures

Figure 1

36 pages, 955 KB  
Review
Artificial Intelligence and the Expanding Universe of Cardio-Oncology: Beyond Detection Toward Prediction and Prevention of Therapy-Related Cardiotoxicity—A Comprehensive Review
by Miruna Florina Ștefan, Lucia Ștefania Magda and Dragoș Vinereanu
Diagnostics 2026, 16(3), 488; https://doi.org/10.3390/diagnostics16030488 - 5 Feb 2026
Cited by 1 | Viewed by 1325
Abstract
Background: Cardiotoxicity is a major limitation of chemotherapy and radiotherapy for thoracic and systemic cancers, contributing significantly to morbidity and mortality among survivors. Early prediction and prevention are critical to balance oncologic efficacy with cardiovascular safety. Artificial intelligence (AI) offers powerful tools to [...] Read more.
Background: Cardiotoxicity is a major limitation of chemotherapy and radiotherapy for thoracic and systemic cancers, contributing significantly to morbidity and mortality among survivors. Early prediction and prevention are critical to balance oncologic efficacy with cardiovascular safety. Artificial intelligence (AI) offers powerful tools to improve risk stratification, enable earlier detection of subclinical injury, and guide treatment planning in cardio-oncology. Methods: We performed a comprehensive review of the literature on AI applications for cancer therapy-related cardiotoxicity. Evidence was identified from PubMed, Scopus, and Web of Science, focusing on electrocardiography, biomarkers, proteomics, extracellular vesicles, genomics, advanced imaging (echocardiography, cardiac magnetic resonance, computed tomography, nuclear imaging), and radiotherapy dose modeling (dosiomics). Translational insights from animal models and in vitro systems were also included. Methodological quality was appraised with reference to TRIPOD-AI, PROBAST-AI, and CLAIM standards. Results: AI applications span multiple domains. Machine learning models integrating biomarkers, exosomes, and extracellular vesicles show promise for noninvasive early detection. Deep learning enables automated analysis of echocardiographic strain and cardiac MRI mapping, while radiomics and dosiomics approaches combine imaging with cardiac substructure dose maps to predict and prevent late radiation-induced injury. Preclinical studies demonstrate AI-driven advances in small-animal imaging, histopathology quantification, and multi-omics data integration, supporting the discovery of translational biomarkers. Despite encouraging performance, most models remain limited by small cohorts, methodological heterogeneity, and scarce external validation. Conclusions: AI has the potential to transform cardio-oncology by shifting from reactive detection to proactive prevention of cardiotoxicity. Future research should prioritize multimodal integration, harmonized multicenter datasets, prospective validation, and guideline-based clinical trials. As emerging data are incorporated, the field is expanding rapidly—dynamic, complex, and evolving. Full article
(This article belongs to the Special Issue Artificial Intelligence in Cardiovascular and Stroke Imaging)
Show Figures

Figure 1

15 pages, 1148 KB  
Article
Atlas-Assisted Bone Age Estimation from Hand–Wrist Radiographs Using Multimodal Large Language Models: A Comparative Study
by Erdem Ozkan and Mustafa Koyun
Diagnostics 2026, 16(3), 487; https://doi.org/10.3390/diagnostics16030487 - 5 Feb 2026
Cited by 1 | Viewed by 1360
Abstract
Background/Objectives: Bone age assessment is critical in pediatric endocrinology and forensic medicine. Although recently developed multimodal large language models (LLMs) show potential in medical imaging, their diagnostic performance in bone age determination has not been sufficiently evaluated. This study evaluates the performance of [...] Read more.
Background/Objectives: Bone age assessment is critical in pediatric endocrinology and forensic medicine. Although recently developed multimodal large language models (LLMs) show potential in medical imaging, their diagnostic performance in bone age determination has not been sufficiently evaluated. This study evaluates the performance of four multimodal LLMs (ChatGPT-5, Gemini 2.5 Pro, Grok-3, and Claude 4 Sonnet) in bone age determination using the Gilsanz–Ratib (GR) atlas. Methods: This retrospective study included 245 pediatric patients (109 male, 136 female) under the age of 18 who underwent left wrist radiography. Each model estimated bone age using the patient’s radiograph and GR atlas as reference (atlas-assisted prompting). Bone age assessments made by an experienced radiologist using the GR atlas were evaluated as the reference standard. Performance was assessed using mean absolute error (MAE), intraclass correlation coefficient (ICC), and Bland–Altman analysis. Results: ChatGPT-5 demonstrated statistically superior performance, with an MAE of 1.46 years and ICC of 0.849, showing the highest alignment with the reference standard. Gemini 2.5 Pro showed moderate performance, with an MAE of 2.24 years; Grok-3 (MAE: 3.14 years) and Claude 4 Sonnet (MAE: 4.29 years) had error rates that were too high for clinical use. Conclusions: Significant performance differences exist among multimodal LLMs, despite atlas-supported prompting. Only ChatGPT-5 qualified as “clinically useful,” demonstrating potential as an auxiliary tool or educational support under expert supervision. Other models’ reliability remains insufficient. Full article
(This article belongs to the Special Issue New Trends in Musculoskeletal Imaging)
Show Figures

Figure 1

16 pages, 473 KB  
Review
International Validity of the Athlete Psychological Strain Questionnaire (APSQ): A Scoping Review
by Teodora-Simina Dragoiu, Florentina Ligia Furtunescu, Adela Caramoci and Oliver R. Runswick
Diagnostics 2026, 16(3), 486; https://doi.org/10.3390/diagnostics16030486 - 5 Feb 2026
Viewed by 755
Abstract
Background/Objectives: Mental health screening in athletes is an essential process to support well-being and sustainable performance. The Athlete Psychological Strain Questionnaire (APSQ) represents the ten-item triage step of the Sport Mental Health Assessment Tool-1 (SMHAT-1), created by the International Olympic Committee. We aimed [...] Read more.
Background/Objectives: Mental health screening in athletes is an essential process to support well-being and sustainable performance. The Athlete Psychological Strain Questionnaire (APSQ) represents the ten-item triage step of the Sport Mental Health Assessment Tool-1 (SMHAT-1), created by the International Olympic Committee. We aimed to gather relevant information concerning the validity of the APSQ in different cultural settings. Methods: The study was designed as a scoping review and included 19 articles from Scopus, PubMed, Embase, Web of Science, and Google Scholar databases. Articles were written in English and tested the APSQ validity. Results: Different studies used the original or the translated version of APSQ and tested its benchmarked validity against other validated questionnaires, ran confirmatory and exploratory analyses, test–retest stability, calculated diagnostic metrics, and internal consistency. Most studies agreed on the good internal consistency, with optimal Cronbach’s alpha values, test–retest reliability, three-factor solution, convergent validity with scales assessing distress, divergent validity with well-being scales as demonstrated by significant correlation coefficients. The cut-off showed good accuracy for anxiety and depressive symptoms in terms of AUC, sensitivity, and specificity, but, in some cases, a limited ability (based on the AUC) to detect sleep concerns, alcohol misuse, substance use, and disordered eating (as measured by BEDA-Q). Some authors suggested that using different cut-offs, including all questionnaires from SMHAT-1 Step 2, or using a clinical interview, might mitigate these concerns. Conclusions: Different cultural environments might influence the validity of APSQ. A structured translation and validation study is advised before implementing APSQ in a different language. Full article
(This article belongs to the Special Issue Advances in Mental Health Diagnosis and Screening, 2nd Edition)
Show Figures

Figure 1

28 pages, 2032 KB  
Article
Addressing Class Imbalance in Fetal Health Classification: Rigorous Benchmarking of Multi-Class Resampling Methods on Cardiotocography Data
by Zainab Subhi Mahmood Hawrami, Mehmet Ali Cengiz and Emre Dünder
Diagnostics 2026, 16(3), 485; https://doi.org/10.3390/diagnostics16030485 - 5 Feb 2026
Viewed by 920
Abstract
Background/Objectives: Fetal health is essential in prenatal care, influencing both maternal and fetal outcomes. Cardiotocography (CTG) monitors uterine contractions and fetal heart rate, yet manual interpretation exhibits significant inter-examiner variability. Machine learning offers automated alternatives; however, class imbalance in CTG datasets where [...] Read more.
Background/Objectives: Fetal health is essential in prenatal care, influencing both maternal and fetal outcomes. Cardiotocography (CTG) monitors uterine contractions and fetal heart rate, yet manual interpretation exhibits significant inter-examiner variability. Machine learning offers automated alternatives; however, class imbalance in CTG datasets where pathological cases constitute less than 10% leads to poor detection of minority classes. This study aims to provide the first systematic benchmark comparing five resampling strategies across seven classifier families for multi-class CTG classification, evaluated using imbalance-aware metrics rather than overall accuracy alone. Methods: Seven machine learning models were employed: Naïve Bayes (NB), Random Forest (RF), Linear Discriminant Analysis (LDA), k-Nearest Neighbors (KNN), Linear Support Vector Machine (SVM), Multinomial Logistic Regression (MLR), and Multi-Layer Perceptron (MLP). To address class imbalance, we evaluated the original unbalanced dataset (base) and five resampling methods: SMOTE, BSMOTE, ADASYN, NearMiss, and SCUT. Performance was evaluated on a held-out test set using Balanced Accuracy (BACC), Macro-F1, the Macro-Matthews Correlation Coefficient (Macro-MCC), and Macro-Averaged ROC-AUC. We also report per-class ROC curves. Results: Among all models, RF proved most reliable. Training on the original distribution (base) yielded the highest BACC (0.9118), whereas RF combined with BSMOTE provided the strongest class-balanced performance (Macro-MCC = 0.8533, Macro-F1 = 0.9073) with a near-perfect ROC-AUC (approximately 0.986–0.989). Overall, resampling effects proved model dependent. While some classifiers achieved optimal performance on the natural class distribution, oversampling techniques, particularly SMOTE and BSMOTE, demonstrated significant improvements in minority class discrimination and class-balanced metrics across multiple model families. Notably, certain models benefited substantially from resampling, exhibiting enhanced Macro-F1, BACC, and minority class recall without sacrificing overall accuracy. Conclusions: These findings establish robust, model-agnostic baselines for CTG-based fetal health screening. They highlight that strategic oversampling can translate improved minority class discrimination into clinically meaningful performance gains, supporting deployment in cost-sensitive and threshold-aware clinical settings. Full article
(This article belongs to the Special Issue Artificial Intelligence in Biomedical Diagnostics and Analysis 2025)
Show Figures

Figure 1

11 pages, 546 KB  
Article
Molecular Landscape of Resected Thymomas: Insights from Mutational Profiling
by Luca Frasca, Antonio Sarubbi, Lorenzo Nibid, Ilaria Suriano, Filippo Longo, Giovanna Sabarese, Daniela Righi, Giuseppe Perrone and Pierfilippo Crucitti
Diagnostics 2026, 16(3), 484; https://doi.org/10.3390/diagnostics16030484 - 5 Feb 2026
Viewed by 577
Abstract
Background/Objectives: Thymomas are the most common tumors of the anterior mediastinum. While early-stage disease often has a favorable prognosis, therapeutic options in advanced stages remain limited. Moreover, the molecular profile of thymomas is still poorly characterized. In the present study, we explored the [...] Read more.
Background/Objectives: Thymomas are the most common tumors of the anterior mediastinum. While early-stage disease often has a favorable prognosis, therapeutic options in advanced stages remain limited. Moreover, the molecular profile of thymomas is still poorly characterized. In the present study, we explored the presence of targetable mutations and programmed death-ligand 1 (PD-L1) expression in a cohort of surgically resected thymomas. Furthermore, we investigated the correlation between PD-L1 expression, histological subtype, and risk of recurrence in patients who underwent curative-intent thymectomy. Methods: Mutational profiling was performed using a DNA-based NGS Cancer Panel of 16 genes. PD-L1 expression was evaluated via Tumor Proportion Score (TPS), and thymomas with TPS ≥ 50% were identified as high expressors. The associations with histological subtype and disease-free survival (DFS) were analyzed using logistic regression, Cox proportional hazards models, and Kaplan–Meier survival curves. Results: In our study, 2/37 (5.4%) of tested neoplasms (type AB and B2 thymoma) reported as a PIK3CA mutation; no other targetable mutations were observed. Moreover, high PD-L1 expression (≥50%) was reported in (15/37) 40.5% of patients and was significantly associated with aggressive histological subtypes (B2 and B3) (p < 0.001). Logistic regression analysis showed that high PD-L1 expression was a significant predictor of aggressive histology (McFadden’s R2 = 0.268, p < 0.001), with an odds ratio of 15.5 (95% CI: 2.9–83.4; p = 0.001). During follow-up, 5/37 (13.5%) of patients experienced disease recurrence; however, no significant difference in DFS was found between high and low PD-L1 expression groups. Conclusions: Our data confirm the presence of PIK3CA mutations in thymomas and encourage the exploration the potential role of molecular target therapy in this setting. Moreover, we underlined that high PD-L1 expression level is associated with more aggressive thymoma subtypes and may have a role as a prognostic biomarker. These findings support the need for further studies on the potential role of molecular and predictive pathology in thymic epithelial tumors. Full article
(This article belongs to the Special Issue Clinical Prognostic and Predictive Biomarkers, Third Edition)
Show Figures

Figure 1

12 pages, 582 KB  
Article
Clinical Usefulness and Cut-Off Value of Computed Tomography-Measured Visceral Adipose Tissue in Coronary Artery Disease
by Yi-Jhen Hsieh, Tsyh-Jyi Hsieh, Chung-Han Ho, Kung-Hsun Weng and Yi-Chen Chou
Diagnostics 2026, 16(3), 483; https://doi.org/10.3390/diagnostics16030483 - 5 Feb 2026
Viewed by 631
Abstract
Background/Objectives: Abdominal obesity, especially visceral adipose tissue (VAT), is an independent risk factor for coronary artery disease. This study aimed to investigate the association between single-slice CT-measured VAT and significant coronary artery stenosis and to establish an optimal VAT cut-off value for [...] Read more.
Background/Objectives: Abdominal obesity, especially visceral adipose tissue (VAT), is an independent risk factor for coronary artery disease. This study aimed to investigate the association between single-slice CT-measured VAT and significant coronary artery stenosis and to establish an optimal VAT cut-off value for Taiwanese adults. Methods: Patients who underwent abdominal CT and coronary CT angiography (CTA) within 1 month of each other were enrolled in this retrospective study. Axial images of abdominal CT at the L4 pedicle level were selected for further VAT, subcutaneous adipose tissue, and paraspinal muscles analysis. Significant coronary artery stenosis was defined as any luminal stenosis of >50% of the diameter of the vessel that was measured in coronary CTA. Anthropometric and laboratory measurements, including height, weight, waist circumference (WC), blood pressure, blood glucose, and blood lipids, were also analyzed. Results: A total of 779 patients (300 females; 54.9 ± 9.96 years) were enrolled. Only VAT and systolic blood pressure correlated significantly with significant coronary artery stenosis. No significant differences were found in other demographic and anthropometric characteristics between the groups with and without significant coronary artery stenosis. Conclusions: Single-slice CT-measured VAT was associated with significant coronary artery stenosis, and a lower VAT cut-off is recommended for the Taiwanese population. Full article
(This article belongs to the Special Issue Innovations in Cardiovascular Diagnosis and Risk Stratification)
Show Figures

Figure 1

20 pages, 1850 KB  
Article
Benchmark-Driven Clinical Decision Framework for Multi-Class Middle Ear Disease Diagnosis: Superiority of Swin Transformer in Accuracy and Stability
by Guoping Chen, Haoyi Zhang, Junbo Zeng, Yuexin Cai, Dong Huang, Yubin Chen, Peng Li and Yiqing Zheng
Diagnostics 2026, 16(3), 482; https://doi.org/10.3390/diagnostics16030482 - 5 Feb 2026
Viewed by 595
Abstract
Background/Objectives: The variable accuracy of middle ear disease diagnosis based on oto-endoscopy underscores the need for improved decision support. Although convolutional Neural Networks (CNNs) are currently a mainstay of computer-aided diagnosis (CAD), their constraints in global feature integration persist. We therefore systematically benchmarked [...] Read more.
Background/Objectives: The variable accuracy of middle ear disease diagnosis based on oto-endoscopy underscores the need for improved decision support. Although convolutional Neural Networks (CNNs) are currently a mainstay of computer-aided diagnosis (CAD), their constraints in global feature integration persist. We therefore systematically benchmarked state-of-the-art CNNs and Transformers to establish a performance baseline. Beyond this benchmark, our primary contribution is the development of a probability-guided Top-K clinical decision framework that balances high accuracy with complete case coverage for practical deployment. Methods: Using a multicenter dataset of 6361 images (five categories), we implemented a two-stage validation strategy (fixed-split followed by 5-fold cross-validation). A comprehensive comparison was performed among leading CNNs and Transformer variants assessed by accuracy and Macro-F1 score. Results: The Swin Transformer model demonstrated superior performance, achieving an accuracy of 95.53% and a Macro-F1 score of 93.37%. It exhibited exceptional stability (95.61% ± 0.38% in cross-validation) and inherent robustness to class imbalance. A probability-guided Top-2 decision framework was developed, achieving 93.25% accuracy with 100% case coverage. Conclusions: This rigorous benchmark established Swin Transformer as the most effective architecture. Consequently, this study delivers not only a performance benchmark but also a clinically actionable decision-support framework, thereby facilitating the deployment of AI-assisted diagnosis for chronic middle ear conditions in specialist otology. Full article
(This article belongs to the Section Machine Learning and Artificial Intelligence in Diagnostics)
Show Figures

Figure 1

9 pages, 535 KB  
Article
Evaluation of the Performance of Novel Gram-Negative and Gram-Positive Sepsis Panels for the Rapid Diagnosis of Bloodstream Infections
by Chiara Chilleri, Sara Salvetti, Marco Coppi, Iolanda Montenora, Tommaso Giani, Gian Maria Rossolini and Alberto Antonelli
Diagnostics 2026, 16(3), 481; https://doi.org/10.3390/diagnostics16030481 - 5 Feb 2026
Viewed by 637
Abstract
Background/Objectives: Bloodstream infections (BSIs) are a global healthcare issue associated with high mortality rates. Rapid diagnosis is of importance for the early selection of targeted therapy to improve patient outcomes. The use of rapid molecular assays with positive blood culture (BC) allows the [...] Read more.
Background/Objectives: Bloodstream infections (BSIs) are a global healthcare issue associated with high mortality rates. Rapid diagnosis is of importance for the early selection of targeted therapy to improve patient outcomes. The use of rapid molecular assays with positive blood culture (BC) allows the identification (ID) of pathogens and the most relevant resistance determinants (RDs) in a shorter turnaround time, compared to standard culture. In this study, the performances of a new syndromic panel to determine the IDs and RDs of Gram-negative (GN) and Gram-positive (GP) bacteria were investigated in comparison with a standard-of-care (SoC) workflow. Methods: Two hospitals processed residual positive BC samples from non-replicated patients using Molecular Mouse (MM) Sepsis panels (Alifax, Padova, Italy) for GP ID, GN ID and RD detection. Results were compared with an SOC workflow based on subculture, ID by MALDI-ToF mass spectrometry, phenotypic antibiogram, and real-time PCRs for RDs from isolated colonies. Results: A total of 140 and 136 residual positive BC samples were found to be valid for MM-ID and RD, respectively, yielding 76 GN and 76 GP species. Overall ID agreement at the species level was 136/152 (89%). RD agreement was 144/146 (99%). Regarding GN and GP species, ID agreement was 68/76 (89%) and 70/76 (92%), respectively. Conclusions: MM showed high sensitivity in RD detection; however, some discrepancies with results of the SoC workflow were observed, represented by reduced sensitivity for some species-specific IDs. Panel size and compact instrument dimension can be seen as the principal advantage of this modular molecular assay for the rapid detection of pathogens responsible for BSIs. Full article
(This article belongs to the Section Diagnostic Microbiology and Infectious Disease)
Show Figures

Figure 1

16 pages, 794 KB  
Article
Development and Validation of the Low Sit–High Step Test for Assessing Lower-Extremity Function in Sarcopenia
by Serpil Demir, Burak Elçin, Ramazan Mert, İbrahim Kök, Onur Öz, Ethem Kavukçu and Nilüfer Balcı
Diagnostics 2026, 16(3), 480; https://doi.org/10.3390/diagnostics16030480 - 4 Feb 2026
Viewed by 619
Abstract
Objectives: This study aimed to evaluate the validity, reliability, and diagnostic accuracy of the Low Sit–High Step (LS–HS) Test as an original, cost-effective, and clinically practical tool for assessing lower-extremity muscle strength and function, with a specific focus on its sensitivity in detecting [...] Read more.
Objectives: This study aimed to evaluate the validity, reliability, and diagnostic accuracy of the Low Sit–High Step (LS–HS) Test as an original, cost-effective, and clinically practical tool for assessing lower-extremity muscle strength and function, with a specific focus on its sensitivity in detecting early-stage sarcopenia. Methods: This cross-sectional study included 205 participants divided into four groups: probable sarcopenia, sarcopenia, and two control groups (young and middle-to-older adults). The LS–HS Test was compared across groups and against standard assessments to evaluate its efficacy in measuring lower-extremity function. Reliability was verified through Cronbach’s alpha and ICC. Multinomial logistic regression was used to determine the test’s predictive power, while ROC analysis assessed its diagnostic accuracy for sarcopenia screening. Results: The LS–HS scores were significantly higher in participants with probable sarcopenia and sarcopenia (p< 0.05). Multinomial logistic regression revealed that the LS–HS performance was a significant predictor of both probable sarcopenia and sarcopenia (p < 0.001). The test demonstrated excellent internal consistency (Cronbach’s α = 0.938) and very high inter-rater and test–retest reliability (ICC = 0.998). ROC analysis confirmed high diagnostic accuracy in distinguishing both probable sarcopenia (AUC = 0.768) and sarcopenia (AUC = 0.704) (all p< 0.01). Conclusions: The LS–HS Test is a valid, reliable, and sensitive tool for assessing lower-extremity functional capacity. Its ability to identify early functional decline, often manifesting before significant muscle mass loss, positions it as an effective alternative to traditional assessments in routine clinical practice, particularly for the early detection and monitoring of the sarcopenia spectrum. Full article
(This article belongs to the Section Clinical Diagnosis and Prognosis)
Show Figures

Figure 1

19 pages, 1810 KB  
Review
CBCT Assessment for Dental Implant Surgery at the Maxilla: A Clinical Update
by Wai Yu Chelsea Chung, Feng Wang and Yiu Yan Leung
Diagnostics 2026, 16(3), 479; https://doi.org/10.3390/diagnostics16030479 - 4 Feb 2026
Cited by 1 | Viewed by 1399
Abstract
In contemporary practice, dental implants are widely recognized as a reliable and effective solution for rehabilitating edentulous patients. Nevertheless, implant placement in the atrophied maxilla presents considerable challenges, with treatment planning influenced by various factors such as patient demographics, anatomical constraints, and economic [...] Read more.
In contemporary practice, dental implants are widely recognized as a reliable and effective solution for rehabilitating edentulous patients. Nevertheless, implant placement in the atrophied maxilla presents considerable challenges, with treatment planning influenced by various factors such as patient demographics, anatomical constraints, and economic considerations. Advances in imaging technology have positioned cone-beam computed tomography (CBCT) as the preferred modality for enhancing implant placement accuracy. By producing high-resolution three-dimensional radiographic images, CBCT facilitates precise assessment of maxillary anatomy at the proposed implant site—including bone height, width, length, and angulation—thereby optimizing surgical planning and improving the predictability and success rates of implant integration. Moreover, the timing of implant placement must account for the necessity of maxillary augmentation to ensure implant stability and reduce the risk of postoperative complications. This review discusses the clinical utility of CBCT as a diagnostic tool for preoperative assessment, focusing on the identification of critical anatomical landmarks and the determination of indications for bone augmentation, thereby highlighting its crucial role in enabling accurate treatment planning, minimizing surgical risks, and promoting the long-term survival of dental implants. Full article
Show Figures

Figure 1

5 pages, 3218 KB  
Interesting Images
Concealed Placental Abruption Complicating Hypertensive Disorders of Pregnancy: Exploring the Role of Point-of-Care Ultrasound
by Michele Orsi, Dereje Merga, Firanbon Negera, Wasihun Shifata, Ashenafi Atomsa, Flavio Bobbio and Admasu Taye
Diagnostics 2026, 16(3), 478; https://doi.org/10.3390/diagnostics16030478 - 4 Feb 2026
Viewed by 683
Abstract
Placental abruption (PA) without vaginal bleeding is known to be associated with severe outcomes when compared to symptomatic cases; the presence of hypertensive disorders of pregnancy (HDP) is an additional negative prognostic factor. According to guidelines, severe HDP are indications for prompt delivery [...] Read more.
Placental abruption (PA) without vaginal bleeding is known to be associated with severe outcomes when compared to symptomatic cases; the presence of hypertensive disorders of pregnancy (HDP) is an additional negative prognostic factor. According to guidelines, severe HDP are indications for prompt delivery after maternal–fetal stabilization. Considering gestational age, parity and clinical obstetric examination, the induction of labor should be prioritized to avoid additional risks associated with cesarean section. However, since only a minority of cases of PA may be detected by ultrasonography (US), findings consistent with this suspicion should contribute to the establishment of an appropriate mode of delivery. We present two cases affected by severe HDP, eclampsia and HELLP syndrome, admitted to St. Luke Catholic Hospital, Wolisso, Ethiopia. In both cases, obstetric point-of-care (POC) US revealed a live premature fetus and a solid heterogeneous placental mass, raising the suspicion of concealed placental abruption. To expedite delivery, cesarean section was promptly offered. PA was confirmed in both cases; the first had stillbirth and postpartum hemorrhage, while the second ended up with healthy mother and newborn. In conclusion, POC-US imaging could play a role in optimizing delivery mode and timing for patients with HDP in low-resourced settings. Additional research is warranted to determine the impact of this technique in the management of obstetric emergencies. Full article
(This article belongs to the Special Issue Advances in Obstetric Ultrasound)
Show Figures

Figure 1

11 pages, 844 KB  
Article
Exhaled Breath Analysis for Head and Neck Cancer Using Fourier-Transform Infrared Spectroscopy: A Feasibility Study for Non-Invasive Screening
by Kota Nakasuji, Yoshihito Tanaka, Masato Yamamoto, Hidehiko Honda, Hirokazu Kobayashi, Toshikazu Shimane, Hitome Kobayashi, Masakazu Murayama and Takahiro Ishima
Diagnostics 2026, 16(3), 477; https://doi.org/10.3390/diagnostics16030477 - 3 Feb 2026
Viewed by 509
Abstract
Background/Objectives: Early detection and intervention are critical for improving outcomes in head and neck cancer. Although endoscopy is commonly used for screening, it requires specialist expertise and may cause patient discomfort. Therefore, there is a need for a simpler and less invasive screening [...] Read more.
Background/Objectives: Early detection and intervention are critical for improving outcomes in head and neck cancer. Although endoscopy is commonly used for screening, it requires specialist expertise and may cause patient discomfort. Therefore, there is a need for a simpler and less invasive screening method. This study aimed to evaluate the clinical feasibility of Fourier-transform infrared (FTIR) spectroscopy-based exhaled breath analysis as a non-invasive screening tool for head and neck cancer. Methods: This single-center study was conducted at the Department of Otolaryngology–Head and Neck Surgery, Showa Medical University. Outpatients with head and neck cancer (n = 10) and healthy controls (n = 14) were enrolled. Exhaled breath samples and ambient air surrounding the patient and lesion were analyzed using FTIR spectroscopy. Infrared absorption spectra were obtained, divided into 7667 discrete wavenumber points across the measured range, and compared between the patient and control groups. Results: FTIR spectroscopy revealed significant differences between patients and controls, with 2691 wavenumber points showing statistically significant differences (p < 0.05). Among these, the wavenumber at 3917.3 cm−1 showed a particularly strong difference (p = 0.00015). Receiver operating characteristic analysis demonstrated good discriminative performance, with an area under the curve of 0.929. The maximum Youden index was 0.829, with an optimal threshold of 0.234. Conclusions: FTIR-based exhaled breath analysis is a non-invasive and feasible approach for screening head and neck cancer. These findings suggest that this technique has potential clinical applicability as a screening tool and may also be extendable to the detection of other diseases. Full article
(This article belongs to the Section Biomedical Optics)
Show Figures

Figure 1

16 pages, 609 KB  
Article
Multimodal Large Language Model for Fracture Detection in Emergency Orthopedic Trauma: A Diagnostic Accuracy Study
by Sadık Emre Erginoğlu, Nuri Koray Ülgen, Nihat Yiğit, Ali Said Nazlıgül and Mehmet Orçun Akkurt
Diagnostics 2026, 16(3), 476; https://doi.org/10.3390/diagnostics16030476 - 3 Feb 2026
Viewed by 732
Abstract
Background: Rapid and accurate fracture detection is critical in emergency departments (EDs), where high patient volume and time pressure increase the risk of diagnostic error, particularly in radiographic interpretation. Multimodal large language models (LLMs) with image-recognition capability have recently emerged as general-purpose [...] Read more.
Background: Rapid and accurate fracture detection is critical in emergency departments (EDs), where high patient volume and time pressure increase the risk of diagnostic error, particularly in radiographic interpretation. Multimodal large language models (LLMs) with image-recognition capability have recently emerged as general-purpose tools for clinical decision support, but their diagnostic performance within routine emergency department imaging workflows in orthopedic trauma remains unclear. Methods: In this retrospective diagnostic accuracy study, we included 1136 consecutive patients referred from the ED to orthopedics between 1 January and 1 June 2025 at a single tertiary center. Given the single-center, retrospective design, the findings should be interpreted as hypothesis-generating and may not be fully generalizable to other institutions. Emergency radiographs and clinical data were processed by a multimodal LLM (2025 version) via an official API using a standardized, deterministic prompt. The model’s outputs (“Fracture present”, “No fracture”, or “Uncertain”) were compared with final diagnoses established by blinded orthopedic specialists, which served as the reference standard. Diagnostic agreement was analyzed using Cohen’s kappa (κ), sensitivity, specificity, accuracy, and 95% confidence intervals (CIs). False-negative (FN) cases were defined as instances where the LLM reported “no acute fracture” but the specialist identified a fracture. The evaluated system is a general-purpose multimodal LLM and was not trained specifically on orthopedic radiographs. Results: Overall, the LLM showed good diagnostic agreement with orthopedic specialists, with concordant results in 808 of 1136 patients (71.1%; κ = 0.634; 95% CI: 68.4–73.7). The model achieved balanced performance with sensitivity of 76.9% and specificity of 66.8%. The highest agreement was observed in knee trauma (91.7%), followed by wrist (78.8%) and hand (69.6%). False-negative cases accounted for 184 patients (16.2% of the total cohort), representing 32.4% of all LLM-negative assessments. Most FN fractures were non-displaced (82.6%), and 17.4% of FN cases required surgical treatment. Ankle and foot regions showed the highest FN rates (30.4% and 17.4%, respectively), reflecting the anatomical and radiographic complexity of these areas. Positive predictive value (PPV) and negative predictive value (NPV) were 69.4% and 74.5%, respectively, with likelihood ratios indicating moderate shifts in post-test probability. Conclusions: In an emergency department-to-orthopedics consultation cohort reflecting routine clinical workflow, a multimodal LLM demonstrated moderate-to-good diagnostic agreement with orthopedic specialists, broadly within the range reported in prior fracture-detection AI studies; however, these comparisons are indirect because model architectures, training strategies, datasets, and endpoints differ across studies. However, its limited ability to detect non-displaced fractures—especially in anatomically complex regions like the ankle and foot—carries direct patient safety implications and confirms that specialist review remains indispensable. At present, such models may be explored as hypothesis-generating triage or decision-support tools, with mandatory specialist confirmation, rather than as standalone diagnostic systems. Prospective, multi-center studies using high-resolution imaging and anatomically optimized algorithms are needed before routine clinical adoption in emergency care. Full article
(This article belongs to the Special Issue Applications of Artificial Intelligence in Orthopedics)
Show Figures

Figure 1

25 pages, 6314 KB  
Article
BCL2A1high CD8+ T Cells Are a Survival-Associated Predictor of Immune Checkpoint Blockade Response in Lung Adenocarcinoma
by Hoang Minh Quan Pham, Po-Hao Feng, Chia-Ling Chen, Kang-Yun Lee and Chiou-Feng Lin
Diagnostics 2026, 16(3), 475; https://doi.org/10.3390/diagnostics16030475 - 3 Feb 2026
Viewed by 676
Abstract
Background: Immune checkpoint blockade (ICB) has revolutionized lung adenocarcinoma (LUAD) therapy, yet predictive bio-markers remain suboptimal. We hypothesized that BCL2A1 expression in CD8+ T cells may reflect immune endurance and complement PD-L1 in predicting ICB response. Methods: Integrating bulk and [...] Read more.
Background: Immune checkpoint blockade (ICB) has revolutionized lung adenocarcinoma (LUAD) therapy, yet predictive bio-markers remain suboptimal. We hypothesized that BCL2A1 expression in CD8+ T cells may reflect immune endurance and complement PD-L1 in predicting ICB response. Methods: Integrating bulk and single-cell RNA-seq across multiple LUAD cohorts, this study performed differential expression, survival, and pathway analyses in a discovery cohort (n = 60) and validated findings across five independent cohorts (n = 126). Results: Single-cell profiling identified BCL2A1 enrichment in tissue-resident memory and proliferating subsets that appeared preferentially expanded in responders; cell–cell communication analysis revealed that BCL2A1high CD8+ T cells exhibited significantly enhanced outgoing signaling capacity (p = 0.0278), with proliferating subsets serving as intra-CD8+ coordination hubs and MIF pathway interactions achieving the highest intensity among all axes examined. BCL2A1 was significantly upregulated in responders (FDR < 0.05) and associated with improved ICB survival (HR = 0.43, p < 0.05), but not in non-ICB settings, suggesting treatment-specific prognostic relevance. A tri-marker model integrating BCL2A1, PD-L1 (CD274), and a 27-gene HOT score demonstrated favorable predictive performance (AUC = 0.826 discovery; macro-AUC = 0.774 validation), outperforming PD-L1 alone (AUC = 0.706) and established signatures including TIDE, IPS, TIS, and IFNG. Cross-platform simulations suggested high reproducibility (ρ = 0.982–0.993). Conclusions: These findings suggest BCL2A1 may serve as a bio-marker of CD8+ T-cell survival and enhanced intercellular coordination, and its integration with PD-L1 and immune activation markers may yield a reproducible ICB response predictor, pending clinical validation. Full article
(This article belongs to the Section Pathology and Molecular Diagnostics)
Show Figures

Graphical abstract

Previous Issue
Back to TopTop