Topical Advisory Panel applications are now closed. Please contact the Editorial Office with any queries.
-
In the Mouth or in the Gut? Innovation Through Implementing Oral and Gastrointestinal Health Science in Chronic Pain Management -
An Overview of Severe Myalgic Encephalomyelitis -
Effectiveness of Pharmacological Treatments for Adult ADHD on Psychiatric Comorbidity: A Systematic Review -
Non-Surgical Correction of Facial Asymmetry: A Narrative Review of Non-Surgical Modalities and Clinical Case Examples -
Breast Imaging Findings in Women with Lipedema: A Retrospective Cross-Sectional Descriptive Study
Journal Description
Journal of Clinical Medicine
Journal of Clinical Medicine
is an international, peer-reviewed, open access journal of clinical medicine, published semimonthly online by MDPI. The International Bone Research Association (IBRA), Spanish Society of Hematology and Hemotherapy (SEHH), Japan Association for Clinical Engineers (JACE), European Independent Foundation in Angiology/ Vascular Medicine (VAS) and others are all affiliated with JCM, and their members receive a discount on article processing charges.
- Open Access— free for readers, with article processing charges (APC) paid by authors or their institutions.
- High Visibility: indexed within Scopus, SCIE (Web of Science), PubMed, PMC, Embase, CAPlus / SciFinder, and other databases.
- Journal Rank: JCR - Q1 (Medicine, General and Internal) / CiteScore - Q1 (General Medicine)
- Rapid Publication: manuscripts are peer-reviewed and a first decision is provided to authors approximately 18.5 days after submission; acceptance to publication is undertaken in 2.7 days (median values for papers published in this journal in the second half of 2025).
- Recognition of Reviewers: reviewers who provide timely, thorough peer-review reports receive vouchers entitling them to a discount on the APC of their next publication in any MDPI journal, in appreciation of the work done.
- Companion journals for JCM include: Epidemiologia, Transplantology, Uro, Sinusitis, Rheumato, Journal of Clinical & Translational Ophthalmology, Journal of Vascular Diseases, Osteology, Complications, Therapeutics, Sclerosis, Pharmacoepidemiology and Journal of CardioRenal Medicine.
- Journal Clusters of Hematology: Hemato, Hematology Reports, Thalassemia Reports and Journal of Clinical Medicine.
Impact Factor:
2.9 (2024);
5-Year Impact Factor:
3.3 (2024)
Latest Articles
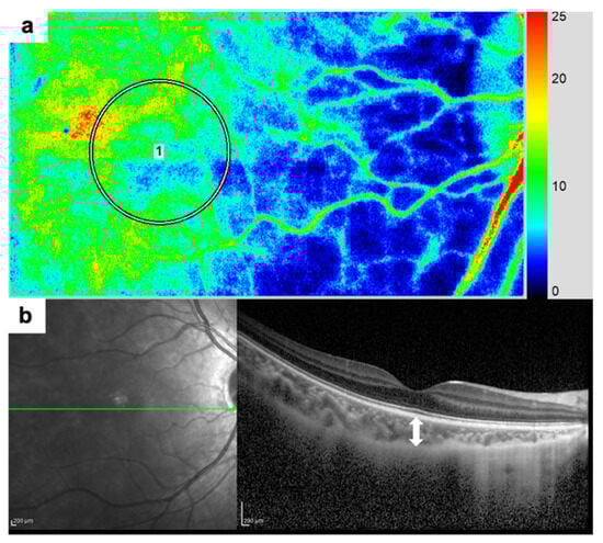
Choroidal Thickening and Reduced Macular Blood Flow in Children with Hyperopic Anisometropic Amblyopia
J. Clin. Med. 2026, 15(5), 2085; https://doi.org/10.3390/jcm15052085 (registering DOI) - 9 Mar 2026
Abstract
Background/Objectives: This study aimed to evaluate macular choroidal blood flow dynamics and structural alterations in children with hyperopic anisometropic amblyopia and compare these findings with those of the fellow eyes. Methods: This retrospective observational study included 36 eyes from 18 children (mean age:
[...] Read more.
Background/Objectives: This study aimed to evaluate macular choroidal blood flow dynamics and structural alterations in children with hyperopic anisometropic amblyopia and compare these findings with those of the fellow eyes. Methods: This retrospective observational study included 36 eyes from 18 children (mean age: 4.9 years) with unilateral hyperopic anisometropic amblyopia. Central choroidal thickness (CCT) was measured using enhanced depth imaging optical coherence tomography. Macular choroidal hemodynamics were assessed using laser speckle flowgraphy. Mean blur rate (MBR) was used as an index of blood flow, whereas beat strength (BS) was used as a measure of pulsatility. Ocular perfusion pressure (OPP) was also calculated. All parameters were compared between amblyopic and fellow eyes. Results: Amblyopic eyes demonstrated significantly greater CCT compared with fellow eyes (407.6 ± 84.9 µm vs. 326.4 ± 79.1 µm). Conversely, macular MBR was significantly lower in amblyopic eyes (9.28 ± 3.60 AU vs. 10.94 ± 4.68 AU), as was BS (5.73 ± 3.07 AU vs. 7.28 ± 3.59 AU). No significant differences were observed in central retinal thickness or OPP between amblyopic and fellow eyes. In amblyopic eyes, CCT was not significantly correlated with macular MBR or BS. Conclusions: Amblyopic eyes exhibited significant central choroidal thickening accompanied by reduced macular blood flow and pulsatility. These findings suggest that localized macular hemodynamic dysregulation may contribute to the pathophysiology of hyperopic anisometropic amblyopia.
Full article
(This article belongs to the Special Issue Progress in Clinical Diagnosis and Therapy in Ophthalmology)
►
Show Figures
Open AccessReview
Anthocyanin-Rich Extracts from Bilberries and Blackcurrants in Human Health: A Narrative Review of Their Anti-Inflammatory and Antioxidant Effects
by
Carlos Escobar-Cervantes, Clotilde Vázquez-Martinez, Silvia Gómez-Senent, Alexandra Eva Henriquez-Linares and María Fasero-Laiz
J. Clin. Med. 2026, 15(5), 2083; https://doi.org/10.3390/jcm15052083 (registering DOI) - 9 Mar 2026
Abstract
Inflammation and oxidative stress are key mechanisms in aging, contributing to neurodegenerative diseases, cardiovascular diseases, type 2 diabetes, obesity, and other conditions. In the aging process, the increase in reactive oxygen species and the decrease in antioxidant pathways damage cellular components, accelerating deterioration.
[...] Read more.
Inflammation and oxidative stress are key mechanisms in aging, contributing to neurodegenerative diseases, cardiovascular diseases, type 2 diabetes, obesity, and other conditions. In the aging process, the increase in reactive oxygen species and the decrease in antioxidant pathways damage cellular components, accelerating deterioration. Persistent inflammation and oxidative stress also favor the progression of diseases such as atherosclerosis, where LDL oxidation and infiltration in the arteries generate plaques that can lead to myocardial infarction or stroke. In addition, inflammation and oxidative stress can affect the immune system, as well as the development of chronic inflammatory diseases and nonalcoholic fatty liver disease, and may affect mental health, healthy menopause and muscle recovery. Research from both human studies and laboratory tests indicates that taking 80–320 mg per day of anthocyanin-rich extracts from bilberries and blackcurrants (Anthocyanin-EBB) can moderately enhance cholesterol levels, lower markers of inflammation, boost blood vessel health, increase insulin responsiveness, and reduce indicators linked to cardiovascular and metabolic risks. They also have antioxidant, anti-inflammatory and neuroprotective effects, helping in the prevention and management of chronic diseases. As a result, supplementation with anthocyanin-rich extracts may be a promising strategy to promote healthy aging and reduce the risk of development and progression of conditions related to oxidative stress and chronic inflammation. Nevertheless, due to the limited patient populations and short follow-up periods in most existing studies, long-term clinical trials are necessary to determine the definitive advantages of Anthocyanin-EBB in clinical practice.
Full article
(This article belongs to the Section Epidemiology & Public Health)
►▼
Show Figures

Figure 1
Open AccessReview
Cardiometabolic Comorbidities in COPD: Focus on Diabetes, GLP-1 Receptor Agonists, SGLT-2 Inhibitors and Antidiabetic Drugs
by
Maria Kallieri, Georgios Hillas, Stelios Loukides, Konstantinos Kostikas and Athena Gogali
J. Clin. Med. 2026, 15(5), 2082; https://doi.org/10.3390/jcm15052082 (registering DOI) - 9 Mar 2026
Abstract
Background/Objectives: The coexistence of chronic obstructive pulmonary disease (COPD) and type 2 diabetes mellitus (T2D) poses significant clinical challenges due to overlapping mechanisms of systemic inflammation, oxidative stress, hypoxia, and metabolic dysregulation. Patients with both conditions face higher risks of exacerbations, prolonged hospitalizations,
[...] Read more.
Background/Objectives: The coexistence of chronic obstructive pulmonary disease (COPD) and type 2 diabetes mellitus (T2D) poses significant clinical challenges due to overlapping mechanisms of systemic inflammation, oxidative stress, hypoxia, and metabolic dysregulation. Patients with both conditions face higher risks of exacerbations, prolonged hospitalizations, cardiovascular events, and reduced quality of life. This review aims to summarize current evidence on the pathophysiological interplay between COPD and T2D and to evaluate the impact of lifestyle and pharmacologic interventions. Methods: A narrative review of the literature was conducted to evaluate the pathophysiological links between COPD and T2D, assess the effects of pharmacologic and lifestyle interventions, and highlight key gaps and priorities for future research, with an emphasis on integrated, evidence-based management for this high-risk population. Results: Lifestyle interventions, including smoking cessation and structured physical activity, remain foundational to management. Emerging evidence indicates that antidiabetic therapies, such as glucagon-like peptide-1 receptor agonists (GLP-1RAs) and sodium–glucose cotransporter-2 inhibitors (SGLT-2is), may confer additional pulmonary, metabolic, and cardiovascular benefits. These agents modulate systemic inflammation, oxidative stress, endothelial function, and insulin sensitivity, potentially reducing COPD exacerbations, improving lung function, and enhancing survival. Safety concerns, including glucocorticoid-induced hyperglycaemia and hypoxia-related metabolic complications, underscore the need for careful monitoring and individualized therapy COPD patients. Conclusions: Optimal care requires a multidisciplinary, patient-centred approach integrating pulmonology, endocrinology, primary care, nutrition, and rehabilitation, alongside shared decision-making and patient education. Despite promising findings, critical knowledge gaps remain. Large, well-designed randomized controlled trials and standardized definitions are needed to guide personalized therapeutic strategies.
Full article
(This article belongs to the Special Issue Advances in the Personalized Management of Chronic Obstructive Pulmonary Disease (COPD))
Open AccessArticle
An Artificial Intelligence Approach to Predict Tracheostomy Requirement in Mechanically Ventilated Critically Ill Patients: A Retrospective Single-Center Study
by
Dicle Birtane, Fatma Özdemir, Damla Yavuz and Zafer Çukurova
J. Clin. Med. 2026, 15(5), 2081; https://doi.org/10.3390/jcm15052081 (registering DOI) - 9 Mar 2026
Abstract
Background: In critically ill patients, tracheostomy decisions are driven by heterogeneous and dynamic clinical trajectories, and no universally accepted scoring system exists to reliably predict tracheostomy requirement. An accurate and interpretable prediction model could help earlier decision-making and potentially reduce prolonged mechanical ventilation
[...] Read more.
Background: In critically ill patients, tracheostomy decisions are driven by heterogeneous and dynamic clinical trajectories, and no universally accepted scoring system exists to reliably predict tracheostomy requirement. An accurate and interpretable prediction model could help earlier decision-making and potentially reduce prolonged mechanical ventilation (MV) and failed weaning. Methods: In this retrospective study, data from 6507 mechanically ventilated intensive care unit (ICU) patients were analyzed using an electronic clinical decision support system; 1049 patients required tracheostomy and 5458 did not. The primary outcome was the prediction of tracheostomy occurrence during ICU stay based on invasive mechanical ventilation (IMV) parameters obtained within the first five days. The secondary outcome was the identification of the most influential parameters guiding tracheostomy decision-making during early IMV. Ten machine learning algorithms were developed using an 80/20 train–test split. Model performance was assessed using discrimination, calibration, and clinical performance metrics. Explainability was evaluated using SHapley Additive exPlanations (SHAP) analysis. Results: Among all models, Gradient Boosting demonstrated strong discrimination and calibration performance (AUROC 0.92, AUPRC 0.56, specificity 97%, F1 score 0.46, Brier score 0.078). In the Gradient Boosting model, feature importance analysis demonstrated that secretion count was the strongest predictor of tracheostomy requirement, accounting for 14.72% of the model’s predictive contribution. This was followed by lactate level (6.12%), arterial pH (3.74%), and peak airway pressure (3.57%). SHAP-based analyses consistently identified secretion count as the strongest predictor of tracheostomy requirement, followed by lactate level, Glasgow Coma Scale (GCS), and arterial pH. In addition, SHAP provided clinically interpretable insights into the direction and magnitude of the effects of individual predictors. Conclusions: Machine learning models integrating early-phase ventilatory and physiological data may enable clinically meaningful prediction of tracheostomy requirement. The combination of strong performance and explainability suggests potential utility as a decision-support tool in critically ill patients requiring prolonged MV.
Full article
(This article belongs to the Section Machine Learning and Artificial Intelligence in Clinical Medicine)
►▼
Show Figures

Figure 1
Open AccessArticle
Intraoperative Ocular Blood Flow Dynamics in Response to Intraocular Pressure Fluctuations During Vitrectomy for Proliferative Diabetic Retinopathy
by
Ryuya Hashimoto, Naoki Fujioka, Kazufumi Tanaka, Serika Moriyama and Takatoshi Maeno
J. Clin. Med. 2026, 15(5), 2080; https://doi.org/10.3390/jcm15052080 (registering DOI) - 9 Mar 2026
Abstract
Background/Objectives: This study aimed to evaluate the autoregulatory capacity of optic nerve head (ONH) tissue blood flow in response to intraocular pressure (IOP) fluctuations during vitrectomy in patients with proliferative diabetic retinopathy (PDR). We hypothesized that impaired autoregulation of ONH tissue blood flow
[...] Read more.
Background/Objectives: This study aimed to evaluate the autoregulatory capacity of optic nerve head (ONH) tissue blood flow in response to intraocular pressure (IOP) fluctuations during vitrectomy in patients with proliferative diabetic retinopathy (PDR). We hypothesized that impaired autoregulation of ONH tissue blood flow in response to intraoperative IOP fluctuations could contribute to subsequent ONH atrophy and the development of visual field defects in PDR patients following vitrectomy. Methods: We included five eyes from five patients with PDR (mean age 70.6 ± 9.0 years) undergoing 25-gauge pars plana vitrectomy. ONH tissue blood flow was quantitatively assessed using intraoperative laser speckle flowgraphy. Mean blur rate in the tissue area (MT), an indicator of ONH tissue blood flow, was measured at baseline (infusion pressure 0 mmHg), during sustained elevation to 25 mmHg (at 5 and 10 min), and 1 min after return to baseline (11 min). IOP was modulated using the IOP Control system of the Constellation platform. Results: Elevation of IOP to 25 mmHg significantly reduced ONH tissue blood flow, with MT decreasing by 29% at 10 min compared with baseline (p < 0.05, Dunn’s multiple comparisons test). After IOP returned to baseline, MT significantly recovered compared with the 10 min measurement (p < 0.05) and returned to levels not significantly different from baseline (p > 0.05). Conclusions: MT decreases during intraoperative IOP elevation in PDR undergoing vitrectomy, but recovers after the return to baseline pressure, suggesting preserved short-term autoregulatory capacity. Careful IOP management during vitrectomy remains important in eyes with PDR.
Full article
(This article belongs to the Special Issue Advances in the Clinical Management of Diabetic Retinopathy)
►▼
Show Figures

Figure 1
Open AccessCase Report
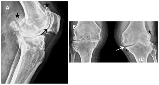
Vascular Complication After Revision of Total Knee Arthroplasty (R-TKA): A Case of Popliteal Branch Pseudoaneurysm Successfully Treated with Embolization—A Case Report and Mini Review of the Literature
by
Karolina Zalewa, Piotr Piech, Karolina Nieoczym, Maciej Kozioł, Agnieszka Tomczyk-Warunek, Michał Sojka, Jacek Gągała, Maciej Szmygin, Ewa Tomaszewska and Jaromir Jarecki
J. Clin. Med. 2026, 15(5), 2079; https://doi.org/10.3390/jcm15052079 - 9 Mar 2026
Abstract
Background: Vascular injury after total knee arthroplasty (TKA) is rare but may be limb-threatening. Popliteal artery branch pseudoaneurysm is an uncommon complication that can present with nonspecific symptoms, potentially mimicking postoperative hematoma, infection, or deep venous thrombosis (DVT). Case presentation: A 79-year-old man
[...] Read more.
Background: Vascular injury after total knee arthroplasty (TKA) is rare but may be limb-threatening. Popliteal artery branch pseudoaneurysm is an uncommon complication that can present with nonspecific symptoms, potentially mimicking postoperative hematoma, infection, or deep venous thrombosis (DVT). Case presentation: A 79-year-old man underwent primary left TKA for advanced osteoarthritis (OA). Seven months later, he sustained a low-energy fall closed reduction and bracing were implemented. Due to recurrent episodes of instability with spontaneous self-reduction, a constrained revision TKA (R-TKA) was performed. Eighteen days after revision, the patient was readmitted because of persistent pain-related functional impairment. Duplex Doppler ultrasonography revealed a partially thrombosed pseudoaneurysm measuring 33 × 37 mm arising from a popliteal/genicular branch. Computed tomography angiography (CTA) confirmed a partially thrombosed pseudoaneurysm with a contrast-filled component within a larger periarticular fluid collection. This suggested a second, smaller pseudoaneurysm along the feeding vessel; hemarthrosis and soft-tissue edema were also present. After multidisciplinary evaluation, selective catheter angiography via left common femoral access was performed, and the injured branch was occluded using coil embolization combined with n-butyl cyanoacrylate tissue adhesive. Completion angiography demonstrated successful exclusion of the pseudoaneurysm without complications. Conclusions: Delayed pseudoaneurysm of a popliteal artery branch should be considered after revision TKA in patients with atypical swelling, hemarthrosis, or disproportionate pain. Duplex ultrasound and CTA are complementary diagnostic tools, and endovascular embolization provides a minimally invasive, effective, and low-morbidity treatment option when the lesion involves a branch vessel.
Full article
(This article belongs to the Section Vascular Medicine)
►▼
Show Figures

Figure 1
Open AccessReview
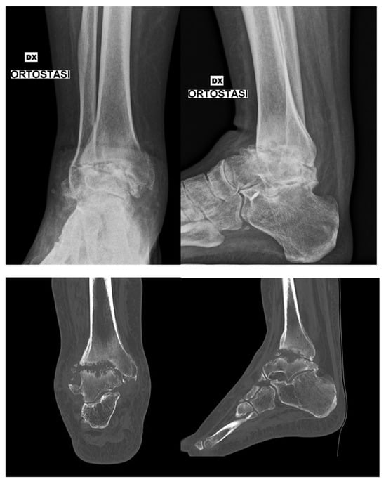
Revision of Tibiotalar Arthrodesis Nonunion Using Intramedullary Fibular Autograft Combined with Cancellous Iliac Graft and Bone Marrow Aspirate Concentrate: A Case Report and Literature Narrative Review
by
Daniele Marcolli, Alice Montagna, Elena Delmastro, Antonio Mazzotti, Carlo Francesco Minoli, Paolo Ferrua and Pietro Simone Randelli
J. Clin. Med. 2026, 15(5), 2078; https://doi.org/10.3390/jcm15052078 - 9 Mar 2026
Abstract
Background/Objectives: Nonunion after tibiotalocalcaneal (TTC) arthrodesis remains challenging, especially in revision settings where union rates are substantially lower than in primary procedures. Biological adjuncts are commonly used to enhance healing, yet most described methods employ fibular onlay struts and cancellous autograft. To
[...] Read more.
Background/Objectives: Nonunion after tibiotalocalcaneal (TTC) arthrodesis remains challenging, especially in revision settings where union rates are substantially lower than in primary procedures. Biological adjuncts are commonly used to enhance healing, yet most described methods employ fibular onlay struts and cancellous autograft. To our knowledge, intramedullary placement of a fibular autograft for ankle fusion has not previously been reported. This study presents a revision of TTC arthrodesis nonunion treated with this technique and summarizes existing evidence on revision ankle arthrodesis, fibular grafting, and bone marrow aspirate concentrate (BMAC). Methods: We report a revision TTC arthrodesis nonunion managed with a decorticated intramedullary fibular autograft spanning the tibiotalar canal, supplemented with cancellous iliac crest autograft and BMAC. A review of PubMed, Scopus, and Google Scholar (search date: 1 September 2025) was performed to identify studies addressing revision ankle fusion, fibular grafting techniques, and BMAC use in foot and ankle arthrodesis. Primary outcomes included union and complications, with CT-based assessment prioritized when available. Results: At 3 months, radiographs and CT demonstrated progressive osseous bridging consistent with fusion; the patient achieved pain-free weight-bearing without complications. Conclusions: Intramedullary fibular autograft in revision TTC arthrodesis is a novel biological-mechanical strategy that leverages endosteal contact and axial stability while augmenting osteogenesis with cancellous autograft and BMAC. The review supports the biological plausibility and safety of this approach and underscores the importance of CT-based assessment.
Full article
(This article belongs to the Special Issue Orthopedic Surgery: Latest Advances and Future Prospects—2nd Edition)
►▼
Show Figures

Figure 1
Open AccessArticle
Profiling miRNA in Systemic Lupus Erythematosus Patients Adhering to a Mediterranean Diet: An Interventional Pilot Study
by
Rocío Gil-Gutiérrez, Irene Medina-Martínez, María José Membrive-Jiménez, Antonio M. Caballero-Mateos, Francisco Javier de la Hera-Fernández, Nuria Navarrete-Navarrete, María Correa-Rodríguez and Blanca Rueda-Medina
J. Clin. Med. 2026, 15(5), 2077; https://doi.org/10.3390/jcm15052077 - 9 Mar 2026
Abstract
Background/Objectives: To analyze possible epigenetic changes (miRNA) in systemic lupus erythematosus (SLE) patients on a Mediterranean diet (MD) supplemented with extra virgin olive oil (EVOO). Methods: Fifteen SLE patients with medium/high MD adherence were randomized into an intervention group (IG) (daily
[...] Read more.
Background/Objectives: To analyze possible epigenetic changes (miRNA) in systemic lupus erythematosus (SLE) patients on a Mediterranean diet (MD) supplemented with extra virgin olive oil (EVOO). Methods: Fifteen SLE patients with medium/high MD adherence were randomized into an intervention group (IG) (daily supplementation of 40 mL of EVOO for 24 weeks) or to a control group (CG). miRNA profiles from blood peripheral cells were analyzed pre-/post-intervention using next-generation sequencing. Differential expression analysis was performed by DESeq2 in R to determine changes in the log2FC. Functional enrichment analysis was performed using GeneCodis 4. Results: EVOO supplementation resulted in changes in the expression of 16 miRNAs in the IG. Compared to the CG, two miRNAs showed upregulation (miR-451a, miR-1307-5p) while five showed downregulation (miR-193b-50, miR-134-5p, miR1287-5p, miR-124-3p, miR-654-3p). miR-124-3p, which has been proposed to be an SLE biomarker, showed the lowest relative expression after EVOO supplementation (L2FC −3.36; punadj = 0.025), whereas miR-1307-5p (L2FC 1.115 punadj = 0.02) and miR-451a (L2FC 0.77 punadj = 0.036) showed the highest relative abundance. The functional enrichment analysis showed that Th1 and Th2 cell differentiation and the complement/coagulation cascades were among the top ten most significantly enriched pathways. Conclusions: Our data suggest that MD supplementation with EVOO leads to changes in the profile of miRNAs in SLE patients, potentially impacting disease pathogenesis. Further research is needed to validate these preliminary findings and the mechanisms by which EVOO modifies miRNA expression in the context of this disease.
Full article
(This article belongs to the Section Immunology & Rheumatology)
►▼
Show Figures

Figure 1
Open AccessReview
Use of AR/VR for Treatment of Freezing of Gait (FoG) in Parkinson’s Disease (PD)
by
Ayusha Pokharel, Aanya Tamrakar and Nipun Chopra
J. Clin. Med. 2026, 15(5), 2076; https://doi.org/10.3390/jcm15052076 - 9 Mar 2026
Abstract
Parkinson’s disease (PD) is the fastest-growing neurodegenerative disease affecting 90 thousand new Americans each year. PD includes motor and non-motor symptoms, resulting in progressive disability and difficulty in completing activities of daily living. Freezing of Gait (FoG) is one of the common disabling
[...] Read more.
Parkinson’s disease (PD) is the fastest-growing neurodegenerative disease affecting 90 thousand new Americans each year. PD includes motor and non-motor symptoms, resulting in progressive disability and difficulty in completing activities of daily living. Freezing of Gait (FoG) is one of the common disabling symptoms of PD, characterized by difficulties in initiating walking, resulting in gait abnormalities and increased risk of falling (RoF) and fear of falling (FoF). Clinical management of FoG is difficult as it is minimally responsive to both pharmacological and surgical interventions. In fact, these interventions can paradoxically worsen of FoG. Additionally, PD patients with FoG have reported worse health-related quality of life (HR-QoL) due to limitations in mobility, activities of daily living (ADL), bodily discomfort, stigma, and social isolation. Despite its increasing treatment and management of FoG is difficult due to its paroxysmal and heterogeneous nature. Therefore, there is a growing need for effective, evidence-based management and intervention approaches for FoG. Some current techniques used to manage FoG are physical therapy, exercise, gait training, and balance training; however, due to a lack of patient adherence, accessibility concerns, and the need for continuous supervision and individualized feedback, the long-term effectiveness of these interventions remains limited and challenging to achieve in real-world settings. A new promising avenue for managing PD is the use of wearable technology, which can provide audiovisual, via augmented and virtual reality (AR/VR), and tactical cueing to offset FoG, thereby enhancing independence in PD patients. In this comprehensive review, we will provide an overview of the symptoms, monitoring, and treatment of PD, with a focus on the neuroanatomy and treatment of FoG. We will review and critique the extant literature on the use of AR/VR technology in the management of FoG. Finally, the challenges and risks associated with wearable technology in FoG management will also be identified.
Full article
(This article belongs to the Special Issue Innovations in Parkinson’s Disease)
►▼
Show Figures

Figure 1
Open AccessArticle
Five-Year Drug Survival and Discontinuation Reasons for Eight Biological Disease-Modifying Antirheumatic Drugs for Rheumatoid Arthritis: A Retrospective Analysis of 1182 Patients from the Niigata Orthopedic Surgery Rheumatoid Arthritis Database (NOSRAD)
by
Nariaki Hao, Naoki Kondo, Katsumitsu Arai, Naoko Kudo, Takehiro Murai, Junichi Fujisawa, Yasufumi Kijima, Rika Kakutani and Hiroyuki Kawashima
J. Clin. Med. 2026, 15(5), 2075; https://doi.org/10.3390/jcm15052075 - 9 Mar 2026
Abstract
Background: Continuity of care for rheumatoid arthritis patients within regional networks enables stable long-term clinical data collection, despite chronic rheumatologist shortages in Japan. We determined 5-year drug survival and discontinuation reasons for eight biological disease-modifying antirheumatic drugs (bDMARDs) using a regional multicenter
[...] Read more.
Background: Continuity of care for rheumatoid arthritis patients within regional networks enables stable long-term clinical data collection, despite chronic rheumatologist shortages in Japan. We determined 5-year drug survival and discontinuation reasons for eight biological disease-modifying antirheumatic drugs (bDMARDs) using a regional multicenter registry. Methods: We retrospectively analyzed 1182 patients initiating their first (naïve, n = 784) or subsequent (switch, n = 398) bDMARD between May 2001 and August 2022 across five institutions. The primary endpoint (5-year drug survival) and secondary endpoints (discontinuation risk factors and cumulative incidence of reasons) were evaluated using Kaplan–Meier curves, Cox proportional hazards, and Fine & Gray models. Results: Baseline characteristics varied significantly among bDMARDs. Five-year drug survival in the naïve cohort ranged from tocilizumab (50.8%) to golimumab (22.6%); in the switch cohort, from abatacept (42.6%) to infliximab (10.0%). In multivariable Cox analysis of naïve patients, male sex (hazard ratio [HR] = 1.49, 95% confidence interval [CI] = 1.09–2.02), lower baseline 28-joint Disease Activity Score with erythrocyte sedimentation rate (DAS28-ESR) (HR = 0.90, 95% CI = 0.82–0.99), and absence of methotrexate co-therapy (HR = 0.73, 95% CI = 0.55–0.97) predicted discontinuation. The lower baseline DAS28-ESR association potentially reflects successful courses toward intentional cessation following remission. Discontinuations were attributed to inadequate response (27.1%), non-adverse events (25.3%), and adverse events (17.3%). Conclusions: Tocilizumab and abatacept demonstrated the highest retention rates in biologic-naïve and switch cohorts, respectively. Early, individualized drug selection and dose optimization are crucial to maximizing long-term bDMARD effectiveness before switching.
Full article
(This article belongs to the Topic Drug Use and Patient Safety in Primary and Secondary Care Settings)
►▼
Show Figures

Figure 1
Open AccessSystematic Review
Effect of Subhypnotic Dose of Propofol on Respiratory Adverse Events Following Postoperative Tonsillectomy/Adenotosillecomy: A Systematic Review and Meta-Analysis
by
Noof Albannai, Abdullah Esmaeel, Dana Alsaif, Fajer Alabdulrazzaq, Salman Alshammari, Abdullah M. Alharran, Ebrahim Almulla and Shawkat Abdulrahman
J. Clin. Med. 2026, 15(5), 2074; https://doi.org/10.3390/jcm15052074 - 9 Mar 2026
Abstract
Background: Laryngospasm is defined as glottis closure due to reflex constriction of the laryngeal muscles. It is one of the most common complications following pediatric anesthesia that can lead to hypoxemia, bradycardia, or aspiration. Laryngospasm following tracheal extubation has different reasons: presence
[...] Read more.
Background: Laryngospasm is defined as glottis closure due to reflex constriction of the laryngeal muscles. It is one of the most common complications following pediatric anesthesia that can lead to hypoxemia, bradycardia, or aspiration. Laryngospasm following tracheal extubation has different reasons: presence of secretions, foreign body in the airway, or pain at the site of surgery. Propofol is usually used as an induction or maintenance agent. However, its use with the subhypnotic dose (0.5 mg/kg) is increasing nowadays for reducing the incidence of laryngospasm. This systematic review and meta-analysis aim to assess the efficacy of subhypnotic propofol in reducing the incidence of laryngospasm and respiratory complications in children following tonsillectomy or adenotonsillectomy and before extubation. Methods: We systematically searched the following databases: PubMed, Cochrane Library, Scopus, and Web of Science. Studies were included if they used propofol with a low dose (0.5 mg/kg) following tonsillectomy and before extubation. Both Randomized Controlled Trials (RCTs) and cohort studies published up until 27 December 2025 were included. We used the R software for statistical analysis. We employed a random-effects model for the analysis. Continuous outcomes were analyzed as mean differences (MD) and dichotomous data as risk ratios (RR), with 95% confidence intervals (CI). Heterogeneity was assessed using I2 statistics. Results: Our review included four RCTs and one prospective cohort study with 593 participants. Our analysis showed that propofol was significantly associated with a low incidence of laryngospasm (RR = 0.25, 95% CI 0.13–0.49), cough (RR = 0.08, 95% CI 0.01–0.62), and agitation (RR = 0.15, 95% CI 0.03–0.72) compared with the control group. However, there were no significant differences regarding laryngeal occlusion (RR = 0.70, 95% CI 0.20–2.46), cyanosis (RR = 1.13, 95% CI 0.14–9.43), stridor (RR = 1.38, 95% CI 0.76–2.50), and the duration of surgery (MD = 1.81, 95% CI −0.74 to 4.36). Conclusions: Our findings state that propofol had a lower significant incidence of laryngospasm than the control. Trial sequential analysis for laryngospasm indicated that evidence is conclusive. However, regarding the other outcomes, the evidence is still inconclusive, which suggests the need for future large-scale RCTs with larger sample sizes to validate these findings.
Full article
(This article belongs to the Section Otolaryngology)
►▼
Show Figures

Figure 1
Open AccessArticle
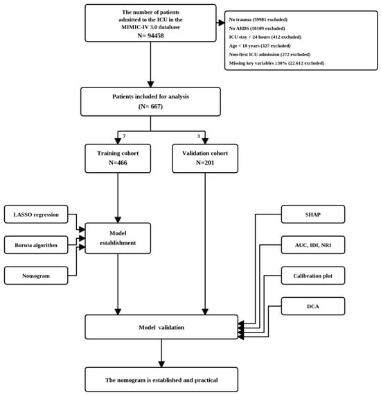
Development and Validation of a Multidimensional Predictive Model for 28-Day Mortality in Patients with Post-Traumatic Acute Respiratory Distress Syndrome
by
Piao Zhang, Chengcheng Sun, Renchao Zou, Li Zhou and Chunling Jiang
J. Clin. Med. 2026, 15(5), 2073; https://doi.org/10.3390/jcm15052073 - 9 Mar 2026
Abstract
Objective: To develop and validate a multidimensional nomogram for predicting 28-day all-cause mortality in patients with post-traumatic acute respiratory distress syndrome (ARDS). Methods: A retrospective analysis was conducted on 667 post-traumatic ARDS patients from the MIMIC-IV database, divided into training (n = 466)
[...] Read more.
Objective: To develop and validate a multidimensional nomogram for predicting 28-day all-cause mortality in patients with post-traumatic acute respiratory distress syndrome (ARDS). Methods: A retrospective analysis was conducted on 667 post-traumatic ARDS patients from the MIMIC-IV database, divided into training (n = 466) and validation (n = 201) cohorts (7:3). LASSO regression combined with the Boruta algorithm was used to screen variables and construct a nomogram. Model performance was evaluated by AUROC, calibration curves, and decision curve analysis (DCA) with SHAP analysis to identify core predictors. Results: Ten variables (e.g., lactate, platelet transfusion units, D-dimer) were selected and used to construct the nomogram model. The nomogram showed superior discriminative ability (AUROC = 0.848 in training set, 0.846 in validation set) compared with SOFA, APACHE II scores, and machine learning models (XGBoost, random forest). Calibration curves confirmed good agreement between predicted and actual risks, and DCA indicated better clinical net benefit. SHAP analysis identified lactate and platelet transfusion units as core risk factors and albumin and base excess trauma as protective factors. Conclusions: The nomogram has excellent predictive efficacy and interpretability, providing a reliable tool for clinical intervention in post-traumatic ARDS patients.
Full article
(This article belongs to the Section Respiratory Medicine)
►▼
Show Figures

Figure 1
Open AccessReview
Use of Intra-Operative EEG Monitoring for Nociception Balance Quantification—A Narrative Review
by
Crina-Elena Leahu, Sonia Luka, Cristina Petrisor, Sebastian Tranca, Simona Cocu and George Calin Dindelegan
J. Clin. Med. 2026, 15(5), 2072; https://doi.org/10.3390/jcm15052072 - 9 Mar 2026
Abstract
Introduction: Balancing hypnosis and antinociception during general anesthesia remains challenging, as traditional clinical and hemodynamic signs incompletely reflect cortical and nociceptive processing. Electroencephalogram (EEG)-derived indices such as qCON (hypnosis) and qNOX (nociception probability) (Quantium Medical, Barcelona, Spain), as well as their predecessors
[...] Read more.
Introduction: Balancing hypnosis and antinociception during general anesthesia remains challenging, as traditional clinical and hemodynamic signs incompletely reflect cortical and nociceptive processing. Electroencephalogram (EEG)-derived indices such as qCON (hypnosis) and qNOX (nociception probability) (Quantium Medical, Barcelona, Spain), as well as their predecessors IoC1 (Index of consciousness) and IoC2 (Angel-6000 A multi-parameter Anesthesia Monitor, Shenzen Weihao Kang Medical Technology Co., Ltd., Shenzen, Guangdong, China), have been developed to provide a dual assessment of anesthetic state. Their clinical role, technical limitations, and impact on drug titration, however, remain incompletely defined. Methods: A structured narrative review was conducted based on studies investigating IoC/qCON and qNOX in the context of anesthetic depth or nociception monitoring. Studies were grouped into three thematic domains: (1) validation against clinical or EEG standards, (2) use in guiding anesthetic or opioid administration, and (3) technical characteristics, including signal delay and pharmacodynamic modeling implications. Results: Sixteen studies met inclusion criteria. Eight validation studies demonstrated that IoC/qCON correlates strongly with clinical sedation scales and established EEG-derived indices such as BIS and entropy. Five interventional studies evaluating drug titration found limited impact of qCON-guided hypnosis control on anesthetic consumption but more consistent effects of qNOX/IoC2 guidance on opioid dosing and intraoperative stability. Three technical investigations showed that qCON exhibits processing delays on the order of tens of seconds that can be accounted for by incorporating monitor lag into pharmacodynamic analyses. Conclusions: qCON and qNOX provide complementary EEG-based indices of hypnosis and cortical nociceptive responsiveness. Evidence supports their validity as indicators of anesthetic brain state but highlights technical limitations, such as processing delay and susceptibility to physiologic factors. Their optimal clinical use lies in multimodal monitoring strategies that integrate EEG besides classic clinical and monitoring parameters.
Full article
(This article belongs to the Special Issue Advances in Clinical Anesthesia and Analgesia: Novel Approaches for Optimal Patient Safety and Comfort)
Open AccessArticle
Predictors of Complications in Prophylactic Mastectomy and Direct-to-Implant Breast Reconstruction: A Retrospective, Single-Center Study
by
Anna Wiesmeier, Lukas Prantl, Florian Zemann, Silvan Eisenmann, Vanessa Brebant, Dmytro Oliinyk, Philipp Unbehaun, Sophia Diesch, Marc Ruewe and Alexandra M. Anker
J. Clin. Med. 2026, 15(5), 2071; https://doi.org/10.3390/jcm15052071 - 9 Mar 2026
Abstract
Background/Objectives: Prophylactic mastectomy can significantly reduce the risk of breast cancer in patients carrying gene mutations such as BRCA1 and BRCA2. Patients who opt for breast removal are offered tailored reconstructive options based on their medical history and prior treatments, and in these
[...] Read more.
Background/Objectives: Prophylactic mastectomy can significantly reduce the risk of breast cancer in patients carrying gene mutations such as BRCA1 and BRCA2. Patients who opt for breast removal are offered tailored reconstructive options based on their medical history and prior treatments, and in these often young patients with limited autologous tissue reserves, implant-based reconstruction is frequently the option of choice. Complication rates of these procedures are relatively high and account for up to 30%. Subcutaneous mastectomy with primary implant reconstruction carries risks such as hematoma, seroma, skin necrosis, necrosis of the nipple–areola complex, and wound healing issues, which may necessitate revision surgery. This university-center retrospective analysis aims to improve outcomes by identifying patient- and surgery-related risk factors associated with postoperative complications in allogenic breast reconstruction following subcutaneous mastectomy. Methods: We analyzed 61 female patients and 122 breasts who underwent primary implant-based reconstruction after skin- or nipple-sparing subcutaneous mastectomy over three years between January 2021 and December 2023. Demographic and surgical variables were systematically collected and analyzed. Results: The mean patient age was 41.5 ± 10.3 years. A total of 13% of patients were active smokers, and 1.6% had diabetes mellitus. Overall, skin flap necrosis occurred in 27.9% of patients (22.1% of breasts), wound healing disorders in 19.7% of patients, wound infections in 9.8%, and revision surgery in 18.0%. A history of pregnancy was associated with skin flap necrosis (OR 10.07, 95% CI 1.79–190.06; p = 0.032); however, this finding must be interpreted with caution due to limited statistical power and model instability. Conclusions: This investigation revealed clinically relevant patterns suggesting potential risk factors for wound healing disorders and skin necrosis. Prospective studies are planned to further substantiate these findings and to help reduce overall complication rates associated with the procedure.
Full article
(This article belongs to the Special Issue Comprehensive Approaches in Plastic and Reconstructive Surgery)
►▼
Show Figures

Figure 1
Open AccessReview
Metabolic Myopathies and HyperCKemia in Adulthood: A Clinical Approach to Diagnosis and Management
by
Loai A. Shakerdi
J. Clin. Med. 2026, 15(5), 2070; https://doi.org/10.3390/jcm15052070 - 9 Mar 2026
Abstract
Background: HyperCKemia, defined as elevated serum creatine kinase, commonly reflects muscle injury but may also indicate underlying metabolic disease. Metabolic aetiologies, including glycogen storage disorders, fatty acid oxidation defects, mitochondrial cytopathies, and purine metabolism disorders, are clinically important owing to diagnostic complexity, therapeutic
[...] Read more.
Background: HyperCKemia, defined as elevated serum creatine kinase, commonly reflects muscle injury but may also indicate underlying metabolic disease. Metabolic aetiologies, including glycogen storage disorders, fatty acid oxidation defects, mitochondrial cytopathies, and purine metabolism disorders, are clinically important owing to diagnostic complexity, therapeutic implications, and potential reversibility. Objective: To summarise current evidence on metabolic causes of hyperCKemia in adults, with emphasis on disorders of carbohydrate, lipid, and purine metabolism and mitochondrial disease. Methods: Semi-systematic narrative review of pathophysiology, clinical features, diagnostic approaches, and management of metabolic disorders associated with hyperCKemia. Results: Metabolic myopathies often present with nonspecific or exercise-related symptoms, with creatine kinase levels ranging from mild-to-severe elevations. Conditions such as McArdle disease, carnitine palmitoyltransferase II deficiency, and mitochondrial cytopathies demonstrate characteristic metabolic vulnerabilities leading to episodic or persistent hyperCKemia. Medications, including statins and antiretrovirals, may precipitate symptoms in predisposed individuals. Diagnosis requires a structured, multidisciplinary approach incorporating biochemical testing, genetic analysis, functional studies, and muscle biopsy. Many causes are amenable to targeted therapy, including dietary modification, endocrine correction, and medication withdrawal. Conclusion: Metabolic causes of hyperCKemia are under-recognised but clinically significant. Early identification allows targeted treatment and prevention of complications.
Full article
(This article belongs to the Special Issue Clinical Advances in Musculoskeletal Disorders: 2nd Edition)
►▼
Show Figures

Figure 1
Open AccessSystematic Review
Multilevel Interventions to Improve Medication Adherence in Older Adults: A Systematic Review and Meta-Analysis of Cognitive, Digital, Behavioral, and Socioeconomic Strategies (2015–2025)
by
Olivia Mehany, Anna Artner, Szilvia Sebők, Balázs Hankó and Romána Zelkó
J. Clin. Med. 2026, 15(5), 2069; https://doi.org/10.3390/jcm15052069 - 9 Mar 2026
Abstract
Objectives: Medication adherence in elderly patients is shaped by cognitive, behavioral, systemic, and socioeconomic factors. This review aimed to identify determinants and effective strategies to improve adherence in older adults. Methods: A systematic search of PubMed, Scopus, and ScienceDirect (2015–2025) followed
[...] Read more.
Objectives: Medication adherence in elderly patients is shaped by cognitive, behavioral, systemic, and socioeconomic factors. This review aimed to identify determinants and effective strategies to improve adherence in older adults. Methods: A systematic search of PubMed, Scopus, and ScienceDirect (2015–2025) followed PRISMA 2020 guidelines. From 5116 records, 53 studies met inclusion criteria. Randomized controlled trials were meta-analyzed using standardized mean differences under a random-effects model. Risk of bias in the 10 pooled trials was assessed using the Cochrane RoB 2 tool, and certainty of evidence was evaluated using the GRADE framework. Results: Adherence ranged from 25.3% in institutionalized patients to 97.6% in pharmacist-led schizophrenia programs. Cognitive impairment and frailty reduced adherence (54.2%), while caregiver involvement improved rates, especially in dementia and schizophrenia (77.4–97.6%). Socioeconomic barriers, including medication cost, contributed to nonadherence but were mitigated by subsidies. Digital tools enhanced adherence in chronic disease, and machine learning models accurately predicted nonadherence (AUC up to 0.935). Effective interventions—caregiver support, digital platforms, and single-pill regimens—increased adherence by 25–59% and reduced cardiovascular events. The meta-analysis demonstrated a significant pooled effect (Standardized Mean Difference, SMD = 0.71, 95% CI: 0.11–1.54), although heterogeneity was high (I2 = 99%). The RoB 2 assessment of the 10 pooled trials identified 2 at low risk, 4 with some concerns, and 4 at high risk of bias; the GRADE certainty of evidence was rated Very Low. Conclusions: Multiple factors, including frailty, cognitive deficits, socioeconomic barriers, regimen complexity, and the level of caregiver support, appear to be consistently associated with medication adherence in older adults. Strategies such as caregiver engagement, digital health tools, regimen simplification, and mental health support may contribute to improved adherence, although effect sizes vary considerably across study contexts. Given the substantial heterogeneity, Very Low certainty of evidence (GRADE), and variable study quality, findings should be interpreted with caution. System-level reforms, financial assistance programs, and culturally tailored approaches may further support adherence, while the successful implementation of digital health solutions will require addressing literacy, accessibility, and integration challenges.
Full article
(This article belongs to the Section Pharmacology)
►▼
Show Figures

Figure 1
Open AccessCase Report
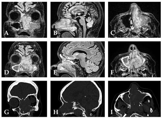
Sinonasal Mucosal Epithelioid Melanoma with Rapid Skull-Base and Orbital Progression
by
Vita Konopecka, Mārtiņš Blumbergs, Ingus Vilks, Gunta Seglina, Karina Biserova and Edgars Edelmers
J. Clin. Med. 2026, 15(5), 2068; https://doi.org/10.3390/jcm15052068 - 9 Mar 2026
Abstract
Background: Sinonasal mucosal melanoma is a rare and aggressive malignancy arising from the nasal cavity and paranasal sinuses, characterized by high local recurrence rates and poor survival. Skull-base and orbital progression can occur rapidly, particularly when preoperative imaging underestimates local extension. This
[...] Read more.
Background: Sinonasal mucosal melanoma is a rare and aggressive malignancy arising from the nasal cavity and paranasal sinuses, characterized by high local recurrence rates and poor survival. Skull-base and orbital progression can occur rapidly, particularly when preoperative imaging underestimates local extension. This paper reports a case of sinonasal mucosal epithelioid melanoma with fulminant postoperative skull-base breach and orbital invasion, highlighting its clinical course, management challenges, and histopathological features. Methods: A 60-year-old woman with progressive unilateral nasal obstruction, recurrent epistaxis, and headache underwent clinical evaluation, contrast-enhanced head MRI, CT, and PET-CT staging. Preoperative imaging demonstrated no intracranial or orbital invasion. Biopsy confirmed mucosal epithelioid melanoma with high proliferative activity (Ki-67 ~80–85%). The patient underwent extensive image-guided endoscopic resection with intraoperative cerebrospinal fluid leak repair. Results: Definitive histopathology confirmed pigmented epithelioid melanoma with extensive necrosis, bone invasion, and non-assessable resection margins due to specimen fragmentation (pT4a, Rx). Within two weeks postoperatively, CT and MRI demonstrated extensive local recurrence with cribriform plate destruction, anterior skull-base dural infiltration, and rapid orbital progression with optic nerve compression and loss of vision. Despite hemorrhage control and hypofractionated palliative radiotherapy (VMAT, 33 Gy in 11 fractions), the patient experienced progressive neurological decline, refractory pain, and recurrent tumour bleeding, and died approximately 4.5 months after initial presentation. Conclusions: In patients with sinonasal mucosal epithelioid melanoma, fulminant local progression with skull-base and orbital involvement may occur despite apparently limited preoperative imaging. When rapid vision loss, dural infiltration, and refractory nasal bleeding develop, structured palliation, hemorrhage control, and aggressive multimodal analgesia should be prioritized early alongside ongoing multidisciplinary decision-making.
Full article
(This article belongs to the Section Otolaryngology)
►▼
Show Figures

Figure 1
Open AccessArticle
Perinatal Mood Disorders in Polish Women: A Cross-Sectional Study
by
Mariola Mróz, Agnieszka Marcewicz, Malwina Rezwow, Kamila Ciastek-Majtyka, Mateusz Cybulski, Grażyna Iwanowicz-Palus and Beata Pięta
J. Clin. Med. 2026, 15(5), 2067; https://doi.org/10.3390/jcm15052067 - 9 Mar 2026
Abstract
Background: Mood disorders such as postpartum blues, anxiety disorders, perinatal depression and posttraumatic stress disorder are common and can take various forms. For this reason, the assessment of emotional disorders and quality of life in women should be an integral part of
[...] Read more.
Background: Mood disorders such as postpartum blues, anxiety disorders, perinatal depression and posttraumatic stress disorder are common and can take various forms. For this reason, the assessment of emotional disorders and quality of life in women should be an integral part of health monitoring, and this was therefore adopted as the aim of the present study. Methods: The study was conducted using a diagnostic survey with questionnaires based on the authors’ survey, the SF-36, and the Patient Health Questionnaire-9. The cross-sectional study was conducted among 400 women in Poland, including 172 pregnant and 228 postpartum women. Results: Negative correlations were found between the PHQ-9 and SF-36 in pregnant and postpartum women. Selected obstetric factors were shown to significantly influence SF-36 and PHQ-9 scores (p < 0.05). Conclusions: The risk of mood disorders is associated with the duration of attempts to conceive, the course of pregnancy, and the number of hospitalizations. The presence of depressive symptoms affects the quality of life of women during the perinatal period.
Full article
(This article belongs to the Special Issue Psychological Affliction in Pregnancy, Delivery and Postpartum Period: A Multidisciplinary Approach)
Open AccessArticle
Investigations of Effects of Radiotherapy, Sonic Activation and Root Canal Treatment on Fracture Resistance of Mandibular Anterior Teeth: An In Vitro Study
by
Fatma Tunc, Nihat Sahin, Ihsan Karslioglu, Sule Baz Cifci and Mustafa Ozgul
J. Clin. Med. 2026, 15(5), 2066; https://doi.org/10.3390/jcm15052066 - 9 Mar 2026
Abstract
Background and objectives: Head and neck cancer patients frequently undergo radiotherapy, which can affect the properties of dental hard tissues. This study aimed to evaluate the effects of root canal treatment, radiotherapy, and sonic activation during irrigation on the fracture resistance of
[...] Read more.
Background and objectives: Head and neck cancer patients frequently undergo radiotherapy, which can affect the properties of dental hard tissues. This study aimed to evaluate the effects of root canal treatment, radiotherapy, and sonic activation during irrigation on the fracture resistance of mandibular anterior teeth. Methods: 80 extracted mandibular anterior teeth were randomly divided into five groups: untreated control (Group I); root canal treatment without radiotherapy or sonic activation (Group II); root canal treatment without radiotherapy but with sonic activation (Group III); root canal treatment with 70 Gray (Gy) radiotherapy and sonic activation (Group IV); and root canal treatment with radiotherapy but without sonic activation (Group V). Radiotherapy was administered in fractionated doses (2 Gy/day, 5 days/week) over 7 weeks. Following instrumentation, root canal obturation was performed accordingly. Fracture resistance was measured using a universal testing apparatus with vertical loading until fracture. Statistical analyses included Shapiro–Wilk normality testing followed by appropriate non-parametric Kruskal–Wallis test followed by Dunn’s post hoc test with Bonferroni correction for multiple comparisons. Results: All root canal-treated groups exhibited significantly lower fracture resistance compared to the untreated control group [1572.3 (1217.0–1841.2) N, p < 0.05]. No statistically significant differences were observed between irradiated and non-irradiated groups (p > 0.05). Similarly, sonic activation during irrigation did not significantly affect the fracture resistance values (p > 0.05). Conclusions: Under the specific conditions of this in vitro protocol, fractionated radiotherapy and sonic activation did not demonstrate statistically significant effects on fracture resistance in mandibular anterior teeth, while endodontic procedures reduced fracture resistance.
Full article
(This article belongs to the Special Issue Endodontic Disease: Prevalence, Risk Factors, and Treatment Outcome)
►▼
Show Figures

Figure 1
Open AccessArticle
Sleep Disturbances and Sexual Dysfunction in Parkinson’s Disease: Sex Differences and Impact on Quality of Life in a Turkish Cohort
by
Burcu Gökçe Çokal, Bünyamin Tosunoğlu, Hatice Mediha Kına, Kübra Mehel Metin and Hafize Nalan Güneş
J. Clin. Med. 2026, 15(5), 2065; https://doi.org/10.3390/jcm15052065 - 9 Mar 2026
Abstract
Background: Sexual dysfunction (SD) and sleep disturbances are frequent but underrecognized non-motor symptoms in Parkinson’s disease (PD) and significantly affect quality of life. However, the relationships among sexual dysfunction, sleep quality, and excessive daytime sleepiness (EDS) and the possible sex-related differences remain
[...] Read more.
Background: Sexual dysfunction (SD) and sleep disturbances are frequent but underrecognized non-motor symptoms in Parkinson’s disease (PD) and significantly affect quality of life. However, the relationships among sexual dysfunction, sleep quality, and excessive daytime sleepiness (EDS) and the possible sex-related differences remain insufficiently investigated. Methods: In this cross-sectional case–control study, we evaluated these non-motor symptoms in 147 Turkish patients with PD and 160 age- and sex-matched healthy controls, and we assessed their associations and impact on quality of life, with particular attention to sex-specific patterns. Sexual function was assessed using the Arizona Sexual Experiences Scale (ASEX), sleep quality using the Pittsburgh Sleep Quality Index (PSQI), daytime sleepiness using the Epworth Sleepiness Scale (ESS), quality of life using the 39-item Parkinson’s Disease Questionnaire (PDQ-39), and disease severity using the Unified Parkinson’s Disease Rating Scale (UPDRS) and Hoehn and Yahr (H&Y) staging scale. Group comparisons, correlation analyses, and sex-stratified subgroup analyses were performed. Results: Patients with PD had significantly higher ASEX, PSQI, and ESS scores compared with controls (p < 0.01), and women with PD had significantly higher total ASEX scores than men, indicating greater sexual dysfunction. Sexual dysfunction was significantly associated with poor sleep quality and excessive daytime sleepiness but showed no significant association with the motor severity measures (UPDRS, H&Y stage). Sleep quality, as measured via PSQI scores, was worse in patients with PD, and poor sleep quality and excessive daytime sleepiness were both associated with significantly worse quality of life. Conclusions: According to our findings, sexual dysfunction and sleep disturbances are interrelated non-motor symptoms that significantly impair quality of life, largely independently of motor severity, and these associations were particularly pronounced among women. A combined evaluation of sleep and sexual function may therefore improve the recognition and management of the non-motor burden in PD.
Full article
(This article belongs to the Section Clinical Neurology)
►▼
Show Figures

Figure 1
Journal Menu
► ▼ Journal Menu-
- JCM Home
- Aims & Scope
- Editorial Board
- Reviewer Board
- Topical Advisory Panel
- Instructions for Authors
- Special Issues
- Topics
- Sections & Collections
- Article Processing Charge
- Indexing & Archiving
- Editor’s Choice Articles
- Most Cited & Viewed
- Journal Statistics
- Journal History
- Journal Awards
- Society Collaborations
- Conferences
- Editorial Office
Journal Browser
► ▼ Journal BrowserHighly Accessed Articles
Latest Books
E-Mail Alert
News
6 November 2025
MDPI Launches the Michele Parrinello Award for Pioneering Contributions in Computational Physical Science
MDPI Launches the Michele Parrinello Award for Pioneering Contributions in Computational Physical Science
5 March 2026
Journal of Clinical Medicine Webinar | Alzheimer’s Disease and Related Disorders: Recent Advances in Prevention, Diagnosis and Therapy, 12 March 2026
Journal of Clinical Medicine Webinar | Alzheimer’s Disease and Related Disorders: Recent Advances in Prevention, Diagnosis and Therapy, 12 March 2026
Topics
Topic in
AI, Applied Sciences, Bioengineering, Healthcare, IJERPH, JCM, Clinics and Practice, J. Imaging
Artificial Intelligence in Public Health: Current Trends and Future Possibilities, 2nd EditionTopic Editors: Daniele Giansanti, Giovanni CostantiniDeadline: 15 March 2026
Topic in
JFB, Materials, Prosthesis, IJMS, Oral, JCM
New Technological and Clinical Advances for Controlling Peri-Implantitis
Topic Editors: Javier Gil, Eugenio Velasco-Ortega, Aritza Brizuela-Velasco, Conrado AparicioDeadline: 31 March 2026
Topic in
Applied Sciences, Children, Dentistry Journal, JCM
Preventive Dentistry and Public Health
Topic Editors: Denis Bourgeois, Elena BardelliniDeadline: 30 April 2026
Topic in
Biology, JCM, Diagnostics, Dentistry Journal
Assessment of Craniofacial Morphology: Traditional Methods and Innovative Approaches
Topic Editors: Nikolaos Gkantidis, Carlalberta VernaDeadline: 1 June 2026
Conferences
Special Issues
Special Issue in
JCM
Clinical Advancements in Kidney Transplantation
Guest Editor: Louise BenningDeadline: 10 March 2026
Special Issue in
JCM
Bladder Cancer: Clinical Diagnosis and Treatment
Guest Editors: Răzvan Bardan, Bogdan PetrutDeadline: 10 March 2026
Special Issue in
JCM
Prevention, Diagnosis, and Clinical Treatment of Corneal Diseases
Guest Editors: Rossella Anna Maria Colabelli-Gisoldi, Fabio ScarinciDeadline: 10 March 2026
Special Issue in
JCM
Neurological Injury After Cardiac Arrest: Mechanisms, Prognostication, and Emerging Therapies
Guest Editors: Marco Mion, Nikos GorgoraptisDeadline: 10 March 2026
Topical Collections
Topical Collection in
JCM
Pediatric and Adolescent Gynecology
Collection Editor: Panagiotis Christopoulos



