Next Issue
Volume 15, October-2
Previous Issue
Volume 15, September-2
 
 

Diagnostics, Volume 15, Issue 19 (October-1 2025) – 135 articles

Cover Story (view full-size image): Aberrant DNA methylation contributes to cancer progression. Although global hypomethylation is common in many cancers, including OSCC, our study revealed increased 5-methylcytosine levels at the invasive front, inversely correlated with tumor differentiation. Treatment with the DNA methyltransferase inhibitor 5-Aza-dC enhanced epithelial differentiation-related gene expression while suppressing EMT-associated gene expression. Moreover, conditioned medium from cancer-associated fibroblasts enhanced methylation and promoted migration of OSCC cells. These findings suggest that localized DNA hypermethylation drives OSCC progression by modulating differentiation and EMT. View this paper
  • Issues are regarded as officially published after their release is announced to the table of contents alert mailing list.
  • You may sign up for e-mail alerts to receive table of contents of newly released issues.
  • PDF is the official format for papers published in both, html and pdf forms. To view the papers in pdf format, click on the "PDF Full-text" link, and use the free Adobe Reader to open them.
Order results
Result details
Section
Select all
Export citation of selected articles as:
9 pages, 778 KB  
Article
Factors Correlated with Post-Surgery Residual Carcinoma in Cases of Breast Cancer Incidentally Found via Vacuum-Assisted Excision: An Ultrasound Perspective
by Qiongchao Jiang, Simin Li, Guoxue Tang, Xiaofeng Guan, Wei Qin, Huan Wu, Haohu Wang and Xiaoyun Xiao
Diagnostics 2025, 15(19), 2549; https://doi.org/10.3390/diagnostics15192549 - 9 Oct 2025
Viewed by 1044
Abstract
Objectives: To identify factors correlated with post-surgery residue in cases of breast cancer incidentally found via vacuum-assisted excision (VAE). Methods: A total of 6083 patients were enrolled in a retrospective study. Ultrasound evaluation and ultrasound-guided VAE were performed on these patients. [...] Read more.
Objectives: To identify factors correlated with post-surgery residue in cases of breast cancer incidentally found via vacuum-assisted excision (VAE). Methods: A total of 6083 patients were enrolled in a retrospective study. Ultrasound evaluation and ultrasound-guided VAE were performed on these patients. According to the pathology of VAE, 53 patients with incidentally found breast cancer were included in the final analysis. Either breast-conserving surgery or mastectomy was performed. The maximal diameter, depth, location, BIRADS category, and Adler’s grade of all lesions before VAE was reviewed and recorded. VAE and post-surgery pathologies were used as gold standards. Either Pearson’s chi-square test or Fisher’s exact test was used for comparison of categorical variables. Results: The mean age of the enrolled patients was 49 years (IQR: 43–55 years). The mean maximal diameter of the lesions was 11.3 mm (IQR: 7–15 mm). There were twenty-eight ductal carcinomas in situ, twelve invasive ductal carcinomas, five lobular carcinomas in situ, two invasive lobular carcinomas, four intraductal papillary carcinomas, and two mucinous carcinomas. Post-surgery pathology showed 15 cases with residual cancer and 38 cases with no residual cancer. The maximal diameter, depth, and pathology derived via VAE were statistically correlated with post-surgery residue (p < 0.05). Conclusions: Small incidentally found noninvasive carcinomas located comparatively deep in the breast could be totally excised by ultrasound-guided vacuum-assisted excision. Both large and superficially invasive carcinomas were more likely to be associated with residue. Full article
(This article belongs to the Special Issue Diagnosis, Treatment, and Prognosis of Breast Cancer)
Show Figures

Figure 1

13 pages, 1350 KB  
Article
Salivary Molecular Testing for Periodontal Pathogen Monitoring: Clinical Performance of Flexible RT-PCR Platforms in Preventive Care Settings
by Fabiana D’Urso, Federica Paladini, Mauro Pollini and Francesco Broccolo
Diagnostics 2025, 15(19), 2548; https://doi.org/10.3390/diagnostics15192548 - 9 Oct 2025
Cited by 3 | Viewed by 1239
Abstract
Objective: This study aimed to validate the clinical utility of a salivary molecular platform (Oral Predict®) for periodontal pathogen detection across preventive, therapeutic, and maintenance settings. Methods: A longitudinal randomized study was conducted involving 78 adults who provided saliva samples at [...] Read more.
Objective: This study aimed to validate the clinical utility of a salivary molecular platform (Oral Predict®) for periodontal pathogen detection across preventive, therapeutic, and maintenance settings. Methods: A longitudinal randomized study was conducted involving 78 adults who provided saliva samples at baseline, one month, and three months after professional dental hygiene. Participants were randomized into two groups: control group (n = 39) and probiotic group with Oral Predict® probiotic supplementation (n = 39). Crude saliva was processed directly without nucleic acid extraction and analyzed by multiplex real-time PCR using either the compact Real-time PCR system or standard thermocyclers. Results: At baseline, Fusobacterium nucleatum was the most prevalent pathogen (84.6%), followed by Tannerella forsythia (53.8%) and Porphyromonas gingivalis (46.2%). The Total Pathogen Burden Score (TPBS) showed progressive increases with age, smoking, and poor oral hygiene, and was significantly higher in participants with gingival bleeding. Among individual pathogens, no significant associations were observed with periodontitis staging or grading. Professional hygiene induced mean reductions of 1–2 logs across all pathogens, with TPBS decreasing from 8.7 ± 3.2 to 4.1 ± 2.8 (p < 0.001). At three months, 69.2% of the control group experienced bacterial rebound, whereas 85% of probiotic users sustained or improved bacterial reductions. Conclusions: Salivary molecular testing provides a robust, non-invasive approach for periodontal pathogen detection, treatment monitoring, and long-term maintenance assessment. The flexibility of the Oral Predict® platform across point-of-care and laboratory settings, combined with automated interpretation, supports integration into preventive protocols and personalized periodontal care. These findings demonstrate the potential of saliva-based molecular diagnostics to shift periodontal management from reactive to predictive and precision-based strategies. Full article
(This article belongs to the Section Pathology and Molecular Diagnostics)
Show Figures

Figure 1

15 pages, 1797 KB  
Article
Exploring AI’s Potential in Papilledema Diagnosis to Support Dermatological Treatment Decisions in Rural Healthcare
by Jonathan Shapiro, Mor Atlas, Naomi Fridman, Itay Cohen, Ziad Khamaysi, Mahdi Awwad, Naomi Silverstein, Tom Kozlovsky and Idit Maharshak
Diagnostics 2025, 15(19), 2547; https://doi.org/10.3390/diagnostics15192547 - 9 Oct 2025
Viewed by 1310
Abstract
Background: Papilledema, an ophthalmic finding associated with increased intracranial pressure, is often induced by dermatological medications, including corticosteroids, isotretinoin, and tetracyclines. Early detection is crucial for preventing irreversible optic nerve damage, but access to ophthalmologic expertise is often limited in rural settings. [...] Read more.
Background: Papilledema, an ophthalmic finding associated with increased intracranial pressure, is often induced by dermatological medications, including corticosteroids, isotretinoin, and tetracyclines. Early detection is crucial for preventing irreversible optic nerve damage, but access to ophthalmologic expertise is often limited in rural settings. Artificial intelligence (AI) may enable the automated and accurate detection of papilledema from fundus images, thereby supporting timely diagnosis and management. Objective: The primary objective of this study was to explore the diagnostic capability of ChatGPT-4o, a general large language model with multimodal input, in identifying papilledema from fundus photographs. For context, its performance was compared with a ResNet-based convolutional neural network (CNN) specifically fine-tuned for ophthalmic imaging, as well as with the assessments of two human ophthalmologists. The focus was on applications relevant to dermatological care in resource-limited environments. Methods: A dataset of 1094 fundus images (295 papilledema, 799 normal) was preprocessed and partitioned into a training set and a test set. The ResNet model was fine-tuned using discriminative learning rates and a one-cycle learning rate policy. GPT-4o and two human evaluators (a senior ophthalmologist and an ophthalmology resident) independently assessed the test images. Diagnostic metrics including sensitivity, specificity, positive predictive value (PPV), negative predictive value (NPV), accuracy, and Cohen’s Kappa, were calculated for each evaluator. Results: GPT-4o, when applied to papilledema detection, achieved an overall accuracy of 85.9% with substantial agreement beyond chance (Cohen’s Kappa = 0.72), but lower specificity (78.9%) and positive predictive value (73.7%) compared to benchmark models. For context, the ResNet model, fine-tuned for ophthalmic imaging, reached near-perfect accuracy (99.5%, Kappa = 0.99), while two human ophthalmologists achieved accuracies of 96.0% (Kappa ≈ 0.92). Conclusions: This study explored the capability of GPT-4o, a large language model with multimodal input, for detecting papilledema from fundus photographs. GPT-4o achieved moderate diagnostic accuracy and substantial agreement with the ground truth, but it underperformed compared to both a domain-specific ResNet model and human ophthalmologists. These findings underscore the distinction between generalist large language models and specialized diagnostic AI: while GPT-4o is not optimized for ophthalmic imaging, its accessibility, adaptability, and rapid evolution highlight its potential as a future adjunct in clinical screening, particularly in underserved settings. These findings also underscore the need for validation on external datasets and real-world clinical environments before such tools can be broadly implemented. Full article
(This article belongs to the Special Issue AI in Dermatology)
Show Figures

Figure 1

24 pages, 2472 KB  
Article
Beyond Radiomics Alone: Enhancing Prostate Cancer Classification with ADC Ratio in a Multicenter Benchmarking Study
by Dimitrios Samaras, Georgios Agrotis, Alexandros Vamvakas, Maria Vakalopoulou, Marianna Vlychou, Katerina Vassiou, Vasileios Tzortzis and Ioannis Tsougos
Diagnostics 2025, 15(19), 2546; https://doi.org/10.3390/diagnostics15192546 - 9 Oct 2025
Viewed by 1492
Abstract
Background/Objectives: Radiomics enables extraction of quantitative imaging features to support non-invasive classification of prostate cancer (PCa). Accurate detection of clinically significant PCa (csPCa; Gleason score ≥ 3 + 4) is crucial for guiding treatment decisions. However, many studies explore limited feature selection, [...] Read more.
Background/Objectives: Radiomics enables extraction of quantitative imaging features to support non-invasive classification of prostate cancer (PCa). Accurate detection of clinically significant PCa (csPCa; Gleason score ≥ 3 + 4) is crucial for guiding treatment decisions. However, many studies explore limited feature selection, classifier, and harmonization combinations, and lack external validation. We aimed to systematically benchmark modeling pipelines and evaluate whether combining radiomics with the lesion-to-normal ADC ratio improves classification robustness and generalizability in multicenter datasets. Methods: Radiomic features were extracted from ADC maps using IBSI-compliant pipelines. Over 100 model configurations were tested, combining eight feature selection methods, fifteen classifiers, and two harmonization strategies across two scenarios: (1) repeated cross-validation on a multicenter dataset and (2) nested cross-validation with external testing on the PROSTATEx dataset. The ADC ratio was defined as the mean lesion ADC divided by contralateral normal tissue ADC, by placing two identical ROIs in each side, enabling patient-specific normalization. Results: In Scenario 1, the best model combined radiomics, ADC ratio, LASSO, and Naïve Bayes (AUC-PR = 0.844 ± 0.040). In Scenario 2, the top-performing configuration used Recursive Feature Elimination (RFE) and Boosted GLM (a generalized linear model trained with boosting), generalizing well to the external set (AUC-PR = 0.722; F1 = 0.741). ComBat harmonization improved calibration but not external discrimination. Frequently selected features were texture-based (GLCM, GLSZM) from wavelet- and LoG-filtered ADC maps. Conclusions: Integrating radiomics with the ADC ratio improves csPCa classification and enhances generalizability, supporting its potential role as a robust, clinically interpretable imaging biomarker in multicenter MRI studies. Full article
(This article belongs to the Special Issue AI in Radiology and Nuclear Medicine: Challenges and Opportunities)
Show Figures

Figure 1

15 pages, 872 KB  
Article
Incidence, Clinical Profile, and Cardiac Manifestations of MIS-C in Children in Kuwait
by Ozayr Mahomed, Adnan Alhadlaq, Khaled Alsaeid, Aisha Alsaqabi, Fouzeyah Othman, Saja Al-Shammari, Sarah Al-Yaqoub, Abdullah Al-Daihani, Abdulla Alfraij, Khalid Alafasy, Mafaza Al-Qallaf, Mariam Al-Hajeri, Nora Al-Mutairi, Alaa Alenezi, Shaimaa Mohammed, Adnan Al-Sarraf, Dalia Al-Abdulrazzaq and Hessa Al-Kandari
Diagnostics 2025, 15(19), 2545; https://doi.org/10.3390/diagnostics15192545 - 9 Oct 2025
Viewed by 1077
Abstract
Background/Objectives: Multisystem inflammatory syndrome in children (MIS-C), a rare but serious post-acute hyperinflammatory condition that occurs in children 2–6 weeks after Severe Acute Respiratory Syndrome Coronavirus 2 (SARS-CoV-2) infection or exposure, varies between countries. Despite its serious nature, most children recover without [...] Read more.
Background/Objectives: Multisystem inflammatory syndrome in children (MIS-C), a rare but serious post-acute hyperinflammatory condition that occurs in children 2–6 weeks after Severe Acute Respiratory Syndrome Coronavirus 2 (SARS-CoV-2) infection or exposure, varies between countries. Despite its serious nature, most children recover without any sequelae. The most frequently reported long-term sequelae are coronary artery aneurysms. This study aimed to describe the epidemiological profile, clinical characteristics (including cardiac manifestations), treatment, and outcomes of multisystem inflammatory syndrome in children (MIS-C) under 14 years of age with SARS-CoV-2 between February 2020 and November 2021 in Kuwait. Methods: Data on sociodemographic factors, co-morbidities, presenting signs and symptoms, as well as laboratory and echocardiography findings were retrieved from the Pediatric COVID registry (PCR-Q8 registry). Results: Of the one hundred and two patients with a provisional diagnosis of MIS-C, eighty-three patients fulfilled the WHO criteria of MIS-C. Thirty-nine of the MIS-C patients were admitted to the intensive care unit, and only one child died due to cardiogenic shock. Sixteen patients from the pediatric MIS-C cohort were diagnosed with cardiac abnormalities. Sixteen patients from the pediatric MIS-C cohort were diagnosed with cardiac abnormalities. Most (63% (10/16)) of the patients had coronary abnormalities, nine patients (56%) had myocardial dysfunction, and six patients (38%) had dual pathologies. Pericarditis occurred in three patients only, whilst six patients (38%) had dual pathologies. Pericarditis occurred in three patients only. Conclusions: MIS-C appears to affect younger children in Kuwait than in other countries; however, the clinical pattern is consistent with other countries. Further studies of an analytical nature are recommended to identify the risk factors associated with MIS-C and its cardiac sequalae to allow for proactive risk reduction. Full article
(This article belongs to the Section Clinical Diagnosis and Prognosis)
Show Figures

Figure 1

12 pages, 3785 KB  
Article
Differences in Vaginal Microbiota Composition Between Infertile and Fertile Patients: A Prospective Study
by Pei-Chen Chen, Shih-Fen Chen, Wei-Tung Hung, Yu-Ying Lin, Ling-Chun Lin, Jen-Hung Wang and Pao-Chu Chen
Diagnostics 2025, 15(19), 2544; https://doi.org/10.3390/diagnostics15192544 - 9 Oct 2025
Cited by 1 | Viewed by 1375
Abstract
Background/Objectives: Dysbiosis of the vaginal microbiota, particularly the loss of Lactobacillus spp. dominance, is linked to female infertility. While community state types (CSTs) I–III and V have been studied extensively, CST IV remains underexplored. The aim of this prospective study was to [...] Read more.
Background/Objectives: Dysbiosis of the vaginal microbiota, particularly the loss of Lactobacillus spp. dominance, is linked to female infertility. While community state types (CSTs) I–III and V have been studied extensively, CST IV remains underexplored. The aim of this prospective study was to compare vaginal microbiota composition—specifically CST IVA and IVB—between fertile and infertile women. Methods: Vaginal samples were collected from 22 women (15 infertile, 7 fertile) using cervical brushes and analyzed via 16S rRNA gene sequencing. DNA was extracted, and V3–V4 regions were sequenced using the Illumina MiSeq platform. Taxonomic classification was performed with QIIME 2 and the Greengenes database. Differences in microbial composition were assessed using the Wilcoxon rank-sum test (p < 0.05) in SPSS v21.0. Results: Infertile women showed lower relative abundances of Lactobacillus spp. (31.54% vs. 42.32%) and Oscillospira spp. relative to fertile women. CST IV was more frequent in the infertile group (29.75% vs. 21.61%). Within CST IV, CST IVA accounted for a higher proportion in infertile women (7.0% vs. 0.94%), with Prevotella spp. representing 95.18% of CST IVA in infertile subjects, as opposed to the figure of 69.77% in fertile counterparts. No clear differences in CST IVB were observed between groups. Conclusions: Increased prevalence of Prevotella spp. in CST IVA may contribute to an unfavorable vaginal environment in infertile women, potentially affecting sperm viability. The presence of Oscillospira spp. in fertile women suggests it is associated with a healthy vaginal microbiota profile. Full article
(This article belongs to the Special Issue New Insights into the Diagnosis of Gynecological Diseases)
Show Figures

Figure 1

10 pages, 1000 KB  
Article
Simplifying Knee OA Prognosis: A Deep Learning Approach Using Radiographs and Minimal Clinical Inputs
by Cheng-Tzu Wang, Kai-Ting Chang, Feipei Lai, Jwo-Luen Pao, Shang-Ming Lin and Chih-Hung Chang
Diagnostics 2025, 15(19), 2543; https://doi.org/10.3390/diagnostics15192543 - 9 Oct 2025
Cited by 1 | Viewed by 1586
Abstract
Objectives: To predict the progression of knee osteoarthritis (OA), a deep convolutional neural network model was developed and applied to basic images and clinical data. Design: A vision transformer-based model was trained using 5565 knee radiographs as baseline images from the osteoarthritis initiative [...] Read more.
Objectives: To predict the progression of knee osteoarthritis (OA), a deep convolutional neural network model was developed and applied to basic images and clinical data. Design: A vision transformer-based model was trained using 5565 knee radiographs as baseline images from the osteoarthritis initiative (OAI), including 578 testing images. Each knee had a corresponding Kellgren and Lawrence (KL) stage after 48 months of follow-up. Another 274 cases from the Far Eastern Memorial Hospital were used for external validation. The data included a combination of single/pairing images and full/essential clinical factors. Area under the receiver operating characteristics (AUROC), accuracy, sensitivity, specificity, odds ratio, and ability to discriminate surgical candidates were applied to evaluate model performance. Results: In cases with OA progression, the AUROC for identifying surgical candidates was 0.844, 0.804, 0.766, and 0.718 in the combination of a single image with essential factors, single image with full factors, pairing images with essential factors, and pairing images with full factors, respectively. In OAI testing using the simplest input, AUROC of identifying OA progression was 0.808, with 74.1% accuracy, 91.8% sensitivity, and 71% specificity. In external validation, AUROC of identifying OA progression was 0.709, with 71.2% accuracy, 72.2% sensitivity, and 70.3% specificity. Positive model prediction had an odds ratio of 23.87 (CI: 11.24~50.67) in OAI and 5.92 (CI: 3.50~10.03) in external validation. Conclusions: Our model provides reliable prediction results for knee OA cases with the advantages of simplicity and flexibility. The model performance was excellent in progression cases, potentially making early intervention in OA patients more efficient. Full article
(This article belongs to the Section Machine Learning and Artificial Intelligence in Diagnostics)
Show Figures

Figure 1

11 pages, 1913 KB  
Article
Prognostic Insights into Orbital Metastases: A Comprehensive Analysis of Clinical Features and Survival Outcomes
by Burak Ulas, Altan Atakan Ozcan, Feyza Alara Celikten, Omer Kaya and Ertugrul Bayram
Diagnostics 2025, 15(19), 2542; https://doi.org/10.3390/diagnostics15192542 - 9 Oct 2025
Viewed by 1285
Abstract
Background/Objectives: We aimed to evaluate the demographic characteristics, clinical findings, and survival outcomes of patients diagnosed with orbital metastasis, considering primary tumor type, age, and gender variables. Methods: In this observational study, demographic data, tumor localization, histopathological diagnoses, and survival times of 83 [...] Read more.
Background/Objectives: We aimed to evaluate the demographic characteristics, clinical findings, and survival outcomes of patients diagnosed with orbital metastasis, considering primary tumor type, age, and gender variables. Methods: In this observational study, demographic data, tumor localization, histopathological diagnoses, and survival times of 83 patients followed for secondary orbital metastasis at Çukurova University Ophthalmology Department between 2003 and 2023 were retrospectively reviewed. Subgroup analyses were performed according to age (<18 and ≥19), gender, and primary tumor groups. Results: The study included 83 patients (51 (61.4%) females and 32 (38.6%) males). The mean age at diagnosis was found to be 40.8 ± 24.6 years. A total of 24.1% of the cases were in the pediatric age group (mean age 5.9 years), and the most common tumor metastasizing to the orbit in this group was neuroblastoma (80%). In adult patients, the two most frequent tumors metastasizing to the orbit were breast cancer (33.3%) and lung cancer (14.3%). The most common clinical findings were proptosis (32.5%) and blurred vision (26.2%). Orbital metastases were observed more frequently in females than in males (61.4% vs. 38.6%). This ratio was similar in the pediatric age group (65.0% vs. 35.0%). The mean survival time after metastasis was calculated as 316.7 ± 68.6 days. Female patients had a significantly longer survival time after metastasis compared to males (mean 400.4 vs. 165.4 days; p = 0.037). The median survival after metastasis was 86 days for patients with breast cancer and 204 days for patients with neuroblastoma. Conclusions: The most common source of orbital metastases in females is breast cancer, while neuroblastoma is prominent in pediatric patients. Despite all available treatment options, the prognosis after orbital metastasis is poor; this highlights the importance of early diagnosis and a multidisciplinary approach. Full article
(This article belongs to the Section Clinical Diagnosis and Prognosis)
Show Figures

Figure 1

15 pages, 1245 KB  
Article
Influence of Scleral Contact Lenses on Optical Coherence Tomography Parameters in Keratoconus Patients
by Atılım Armağan Demirtaş, Aytül Arslan, Berna Yüce and Tuncay Küsbeci
Diagnostics 2025, 15(19), 2541; https://doi.org/10.3390/diagnostics15192541 - 9 Oct 2025
Viewed by 1449
Abstract
Background: This study aimed to evaluate the influence of scleral contact lens (SCL) wear on optical coherence tomography (OCT) scan quality and structural measurements in patients with keratoconus. Methods: This retrospective observational study included 28 eyes of 28 keratoconus patients. All [...] Read more.
Background: This study aimed to evaluate the influence of scleral contact lens (SCL) wear on optical coherence tomography (OCT) scan quality and structural measurements in patients with keratoconus. Methods: This retrospective observational study included 28 eyes of 28 keratoconus patients. All participants underwent a comprehensive ophthalmologic evaluation, including corneal topography and spectral-domain OCT (Optopol REVO 60). Two OCT measurement sessions were performed on the same day: one without SCLs and one after a 30–75 min adaptation period with Mini Misa® scleral lenses. Recorded parameters included corneal and epithelial thicknesses, ganglion cell–inner plexiform layer (GCIPL) thickness, retinal nerve fiber layer (RNFL) thickness, and device-reported quality index (QI). Correlation analyses between topographic values, age, and OCT parameters were also conducted. Results: The mean age of participants was 32.96 ± 13.72 years. SCL wear significantly decreased anterior segment QI (6.76 ± 1.73 vs. 5.57 ± 2.34, p = 0.019) but improved posterior segment QI in both the ganglion (2.52 ± 1.03 vs. 5.76 ± 2.17, p < 0.001) and disc (2.82 ± 0.94 vs. 4.39 ± 1.87, p < 0.001) modules. Central corneal thickness remained stable, while central epithelial thickness decreased slightly (50.53 ± 6.66 µm vs. 47.59 ± 7.20 µm, p = 0.007). RNFL and GCIPL thicknesses showed no significant changes, except for minor sectoral variations. Steeper keratometry values correlated with lower QI in both conditions. Conclusions: SCLs enhanced posterior OCT scan quality while reducing anterior segment image clarity. These findings suggest that SCLs not only provide visual rehabilitation but also facilitate more reliable posterior segment imaging in keratoconus patients, despite mild interference with anterior segment OCT metrics. Further prospective studies are warranted to validate these results. Full article
(This article belongs to the Special Issue Optical Coherence Tomography in Non-Invasive Diagnostic Imaging)
Show Figures

Figure 1

16 pages, 776 KB  
Case Report
An Account of Acute Myeloid Leukemia Complicating Pregnancy and Literature Review
by Georgiana Nemeti, Laura Jimbu, Oana Mesaros, Iulian Gabriel Goidescu, Cezara Moisa, Mihai Surcel, Cerasela Mihaela Goidescu, Dan Boitor-Borza, Gheorghe Cruciat, Ioana Cristina Rotar and Daniel Muresan
Diagnostics 2025, 15(19), 2540; https://doi.org/10.3390/diagnostics15192540 - 9 Oct 2025
Cited by 1 | Viewed by 1760
Abstract
Background and Clinical Significance: The occurrence of acute myeloid leukemia (AML) in pregnancy represents a diagnostic and management challenge in the attempt to balance and achieve both maternal and fetal wellbeing. Pregnancy-specific manifestations mimic the initial symptoms of leukemia and may lead to [...] Read more.
Background and Clinical Significance: The occurrence of acute myeloid leukemia (AML) in pregnancy represents a diagnostic and management challenge in the attempt to balance and achieve both maternal and fetal wellbeing. Pregnancy-specific manifestations mimic the initial symptoms of leukemia and may lead to a delay in diagnosis, especially during the first trimester of pregnancy. Decision-making strategies involve the patient and couples counseling with a multidisciplinary team of hematologists, obstetricians, neonatologists and psychologists. Maternal outcome depends on the disease subtype, progression and response to medication. Fetal outcome depends on other potential pregnancy complications, possible teratogenicity, gestational age at delivery and sometimes iatrogenic prematurity. Case Presentation: We present the case of a 38-year-old multiparous patient with a late first trimester, with an AML diagnosis presenting with hyperemesis gravidarum-like symptoms. Genetic testing revealed the presence of an Fms-like tyrosine kinase 3-internal tandem duplication mutation (FLT3-ITD). Following that, a repeatedly refused termination of pregnancy and rapid disease progression with azacitidine therapy was initiated. Elective cesarean delivery was performed at 34 weeks of gestation due to progressive leukocytosis, which persisted postpartum, requiring the use of first-, second-, and eventually third-line chemotherapy. Fetal outcome was favorable at 3 months postpartum. Conclusions: Cases of AML in pregnancy require a tailored approach according to guidelines, but also patient/couple preferences, while the choice of chemotherapy is limited considering its potential teratogenic effects. This is a case with a misleading first presentation and a challenging therapeutic choice due to its genetic subtype and maternal treatment postponement. Full article
(This article belongs to the Section Clinical Diagnosis and Prognosis)
Show Figures

Figure 1

11 pages, 2135 KB  
Article
Hyperreflective Dots on SD-OCT: Implications for Predicting Treatment Outcomes in Diabetic Macular Edema
by Siying Li, Muzi Li, Aimin Sun and Hongwei Zhang
Diagnostics 2025, 15(19), 2539; https://doi.org/10.3390/diagnostics15192539 - 9 Oct 2025
Cited by 1 | Viewed by 1524
Abstract
Objectives: To evaluate the relationship between hyperreflective dots (HRDs) observed on spectral-domain optical coherence tomography (SD-OCT) and the outcomes following treatment with intravitreal ranibizumab or dexamethasone injections in patients with diabetic macular edema (DME). Methods: This retrospective study focused on individuals suffering from [...] Read more.
Objectives: To evaluate the relationship between hyperreflective dots (HRDs) observed on spectral-domain optical coherence tomography (SD-OCT) and the outcomes following treatment with intravitreal ranibizumab or dexamethasone injections in patients with diabetic macular edema (DME). Methods: This retrospective study focused on individuals suffering from diabetic macular edema (DME) who underwent a sequence of three intravitreal ranibizumab injections. Based on treatment response, the eyes were categorized into two groups: responders and non-responders. The non-responder group subsequently received intravitreal dexamethasone (IVO) implants. Treatment results were evaluated by changes in BCVA, HRD number, and central macular thickness (CMT). Results: This research involved 112 eyes from 78 participants who had been diagnosed with DME. Seventy-three eyes (65%) were identified as ranibizumab responders and 39 eyes (35%) as ranibizumab non-responders. Of the 39 individuals who had suboptimal response to ranibizumab and subsequently received treatment with an intravitreal dexamethasone implant, 26 eyes (66.67%) exhibited a favorable response, while 13 eyes (33.33%) showed an insufficient response. IVR responders demonstrated significantly greater improvements in BCVA (0.54 ± 0.73 to 0.35 ± 0.40 logMAR vs. 0.52 ± 0.61 to 0.47 ± 0.38 logMAR) and CMT (456.53 ± 109.73 μm to 235.47 ± 49.13 μm vs. 468.99 ± 127.10 μm to 427.45 ± 52.91 μm) reduction. Baseline analysis revealed IVR non-responders had higher counts of both inner and outer retinal HRDs compared to responders (9.09 ± 3.38 vs. 7.07 ± 2.32 and 5.46 ± 2.03 vs. 4.27 ± 1.87, p < 0.05, respectively). Eyes with initially higher numbers of inner retinal HRDs, outer retinal HRDs, and subretinal HRDs demonstrated a significantly enhanced response to dexamethasone therapy (9.03 ± 3.18 vs. 7.55 ± 2.72, 6.55 ± 2.46 vs. 4.79 ± 1.88 and 0.27 ± 0.54 vs. 0.21 ± 0.47, p < 0.05, respectively). Conclusions: HRDs could potentially be used as a predictive biomarker to assess the effectiveness of anti-VEGF therapy in treating DME. Patients exhibiting a greater number of retinal HRDs tend to have less favorable reactions to anti-VEGF treatments but experience improved results with dexamethasone. Full article
(This article belongs to the Special Issue Imaging Biomarkers for Pachychoroid Spectrum Disease)
Show Figures

Figure 1

11 pages, 981 KB  
Article
Apparent Diffusion Coefficient as a Predictor of Microwave Ablation Response in Thyroid Nodules: A Prospective Study
by Mustafa Demir and Yunus Yasar
Diagnostics 2025, 15(19), 2538; https://doi.org/10.3390/diagnostics15192538 - 9 Oct 2025
Cited by 1 | Viewed by 860
Abstract
Background: Microwave ablation (MWA) is an effective, minimally invasive therapy for benign thyroid nodules; however, the treatment response varies considerably. Identifying imaging biomarkers that can predict volumetric outcomes may optimize patient selection. Diffusion-weighted MRI (DW-MRI) offers a noninvasive assessment of tissue microstructure through [...] Read more.
Background: Microwave ablation (MWA) is an effective, minimally invasive therapy for benign thyroid nodules; however, the treatment response varies considerably. Identifying imaging biomarkers that can predict volumetric outcomes may optimize patient selection. Diffusion-weighted MRI (DW-MRI) offers a noninvasive assessment of tissue microstructure through apparent diffusion coefficient (ADC) measurements, which may correlate with ablation efficacy. Methods: In this prospective study, 48 patients with 50 cytologically confirmed benign thyroid nodules underwent diffusion-weighted magnetic resonance imaging (DW-MRI) before minimally invasive ablation (MWA). Baseline ADC values were measured, and nodule volumes were assessed by ultrasound at baseline and 1, 3, and 6 months postprocedure. The volume reduction ratio (VRR) was calculated, and associations with baseline variables were analyzed via Pearson correlation and multivariable linear regression. ROC curve analysis was used to evaluate the diagnostic performance of ADC in predicting significant volume reduction (VRR ≥ 50%). Results: Lower baseline ADC values were strongly correlated with greater VRR at 3 months (r = −0.525, p < 0.001) and 6 months (r = −0.564, p < 0.001). Multivariable regression revealed that the baseline ADC was the sole independent predictor of the 6-month VRR (β = −19.52, p = 0.0004). ROC analysis demonstrated excellent discriminative performance (AUC = 0.915; 95% CI: 0.847–0.971), with an ADC cutoff of 2.20 × 10−3 mm2/s yielding 90.9% sensitivity and 83.3% specificity for predicting a favorable volumetric response. Conclusions: Baseline ADC values derived from DW-MRI strongly predict volumetric response following microwave ablation of benign thyroid nodules. Incorporating ADC assessment into preprocedural evaluation may enhance patient selection and improve therapeutic outcomes. Full article
(This article belongs to the Section Medical Imaging and Theranostics)
Show Figures

Figure 1

28 pages, 3942 KB  
Review
A Mutational Landscape in Acute Myeloid Leukemia: Overview and Prognostic Impacts
by Jeff Chen, Fares Hassan and Carlos A. Tirado
Diagnostics 2025, 15(19), 2537; https://doi.org/10.3390/diagnostics15192537 - 8 Oct 2025
Cited by 2 | Viewed by 4527
Abstract
Acute myeloid leukemia (AML) comprises 15−20% of pediatric leukemia and 35% of adult leukemia cases, requiring insights into prognostic factors of this disease to be an important aspect of diagnosis and treatment. A mutational profile of patients with AML is a crucial predictor [...] Read more.
Acute myeloid leukemia (AML) comprises 15−20% of pediatric leukemia and 35% of adult leukemia cases, requiring insights into prognostic factors of this disease to be an important aspect of diagnosis and treatment. A mutational profile of patients with AML is a crucial predictor of their outcome. Discernment of present mutations, co-mutation combinations, and variations in the mutations in a single gene requires proper research and analysis to determine their impact on a patient’s prognosis. Common and infrequent mutations are continuously investigated and analyzed in different patient cohorts, bringing new insights that lead to changes in classifications, treatments, and diagnoses. For instance, mutations in NPM1, FLT3, and DNMT3A, three frequent driver mutations, have high incident rates with differing prognoses and treatments in pediatric and adult patients. AML patients with MECOM face particularly dire outcomes, as well as those with ASXL1 and TP53, making their mutational analysis crucial for review in developing a prognosis. Full article
Show Figures

Figure 1

11 pages, 1181 KB  
Article
Performance of ChatGPT-4o in Determining Radiology–Pathology Concordance and Management Recommendations Following Image-Guided Breast Biopsies
by Albert Lee, Belinda Curpen and Afsaneh Alikhassi
Diagnostics 2025, 15(19), 2536; https://doi.org/10.3390/diagnostics15192536 - 8 Oct 2025
Viewed by 1265
Abstract
Background: Determining radiology–pathology concordance after breast biopsies is critical to ensuring appropriate patient management. However, expertise and multidisciplinary input are not universally accessible. Purpose: To evaluate the performance of a large language model, ChatGPT-4o, in determining the radiology–pathology concordance of breast biopsies and [...] Read more.
Background: Determining radiology–pathology concordance after breast biopsies is critical to ensuring appropriate patient management. However, expertise and multidisciplinary input are not universally accessible. Purpose: To evaluate the performance of a large language model, ChatGPT-4o, in determining the radiology–pathology concordance of breast biopsies and suggesting subsequent management steps. Methods: A retrospective single-center study analyzed 244 cases of image-guided breast biopsies of women. ChatGPT-4o assessed de-identified radiology and pathology reports for concordance and recommended management. Radiologist assessments served as the reference standard with final surgical pathology and 2-year imaging follow-up serving as gold standards when applicable. Concordance rates, management recommendations, and diagnostic agreement with the gold standard were compared using statistical tests, including McNemar’s, chi-square, Fisher–Freeman–Halton, and Cohen’s kappa. Results: ChatGPT-4o achieved a concordance rate of 98.8% vs. 98.0% for radiologists (p = 0.625) and demonstrated high diagnostic agreement with the gold standard (kappa = 0.947, p < 0.001). ChatGPT-4o favored imaging follow-up more than radiologists (49.2% vs. 41.8%, p < 0.001) and surgical management less frequently (41.8% vs. 46.7%). Conclusions: ChatGPT-4o demonstrated diagnostic performance comparable to radiologists with breast imaging subspecialities in evaluating breast biopsy concordance. Its slightly more conservative management approach may enhance shared decision-making in resource-limited settings. Full article
(This article belongs to the Special Issue Frontline of Breast Imaging)
Show Figures

Figure 1

13 pages, 3044 KB  
Case Report
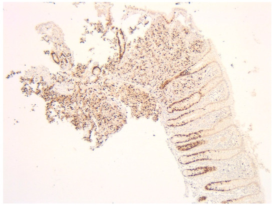
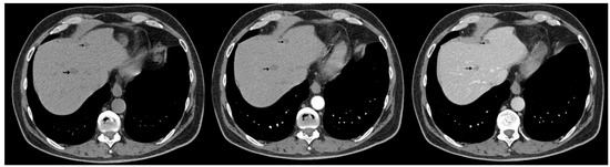
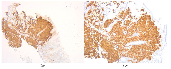
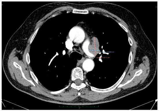
Synchronous Pulmonary and Cecal High-Grade Neuroendocrine Carcinomas Presenting as Hepatic Metastases: A Diagnostic Challenges and Literature Review
by Georgiana Elena Sârbu, Alina Ecaterina Jucan, Claudiu Vasile Mihai, Carmen Atodiresei, Madalina Ene, Carmen Ungureanu, Ioana Ruxandra Mihai, Otilia Nedelciuc, Mihaela Dranga, Cristina Cijevschi Prelipcean and Catalina Mihai
Diagnostics 2025, 15(19), 2535; https://doi.org/10.3390/diagnostics15192535 - 8 Oct 2025
Viewed by 820
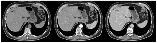
Abstract
Background and Clinical Significance: Neuroendocrine neoplasms (NENs) are a group of malignancies that may remain clinically silent for many years. The presence of hepatic metastases can be the first clue leading to diagnosis. Case Presentation: We report the case of a 67-year-old man [...] Read more.
Background and Clinical Significance: Neuroendocrine neoplasms (NENs) are a group of malignancies that may remain clinically silent for many years. The presence of hepatic metastases can be the first clue leading to diagnosis. Case Presentation: We report the case of a 67-year-old man with intermittent tiredness and suspicious hepatic nodules detected on routine abdominal ultrasound. Contrast-enhanced ultrasonography showed arterial hyperenhancement with early washout, suggestive of metastases. Synchronous high-grade neuroendocrine carcinomas (NECs) of the lung and cecum were identified. Although the liver lesions were initially presumed to arise from the cecal tumor, liver biopsy immunohistochemistry was TTF-1 positive/CDX2 negative, whereas the cecal lesion was TTF-1 negative/CDX2 positive. This mutually exclusive immunophenotype confirmed two separate primary carcinomas. Given the high-grade histology, the patient received platinum-based chemotherapy and achieved a partial response. Conclusions: This case illustrates the diagnostic complexity of synchronous lesions and highlights the “mirage of the first lesion” phenomenon, in which the initially detected tumor may not represent the true primary site. A comprehensive, multidisciplinary strategy is crucial for establishing the correct diagnosis and guiding optimal management. Full article
(This article belongs to the Special Issue Diagnosis and Management of Neuroendocrine Tumors)
Show Figures

Figure 1

15 pages, 1717 KB  
Article
Outcomes of Endoscopic Resection of Circumferential Colorectal Laterally Spreading Lesions: A Western Experience
by Gianluca Andrisani, Mattia Brigida, Giulio Antonelli, Cesare Hassan, Chiara Taffon, Andrea D’Amico, Virginia Gregorio, Giovanni Parente, Michele Cicala, Antonio Facciorusso and Francesco Maria Di Matteo
Diagnostics 2025, 15(19), 2534; https://doi.org/10.3390/diagnostics15192534 - 8 Oct 2025
Viewed by 1446
Abstract
Background: Circumferential or near-circumferential colorectal lesions are challenging to remove endoscopically; therefore, they are often surgically managed. There are limited data on the outcomes of endoscopic submucosal dissection (ESD) for these lesions, usually from Eastern settings, where ESD is more well established. [...] Read more.
Background: Circumferential or near-circumferential colorectal lesions are challenging to remove endoscopically; therefore, they are often surgically managed. There are limited data on the outcomes of endoscopic submucosal dissection (ESD) for these lesions, usually from Eastern settings, where ESD is more well established. Objective: The objective of the study was to retrospectively analyze the outcomes of circumferential colorectal ESD in a Western center. Methods: Consecutive patients referred for endoscopic resection of colorectal lesions between January 2015 and April 2025 were included if they had undergone ESD for colorectal laterally spreading tumors with ≥90% involvement of the luminal circumference. Results: Overall, 53 patients were enrolled (26 females, 49.1%; 70.6 ± 9.3 years). Mean lesion size was 91.8 ± 25.3 mm. The most frequent lesion location was the rectum (n = 36, 67.9%). Thirty-three lesions (62.3%) were circumferential, and twenty (37.7%) were near-circumferential. Median procedural time was 160.0 min (IQR 112.0–200.0 min). Histological analysis revealed high-grade dysplasia in 25/53 cases (47.2%) and adenocarcinoma in 28 patients (52.8%). Resection was en bloc in 51 cases (96.2%) and R0 in all cases (100%). Curative resection was achieved in 21 out of 28 adenocarcinoma patients (75%). Adverse events were intra-procedural major bleeding (n = 19, 18.9%), post-procedural bleeding (n = 2, 3.8%), delayed bleeding (n = 1, 1.9%), and intra-procedural perforation (n = 3, 5.7%). Post-ESD stricture was observed in 18.9% of cases (10/53); three of these (30%) were asymptomatic. All were successfully managed endoscopically. Patients who developed strictures had a longer median procedural time (206 min vs. 145 min, p = 0.0061) and a larger mean lesion size (110 mm vs. 90 mm, p = 0.035). Conclusions: ESD for colorectal circumferential and near-circumferential lesions was safe and effective in a Western expert center, supporting the use of this technique in this subset of lesions. Strictures are a common consequence that can be effectively managed endoscopically. Full article
(This article belongs to the Special Issue Advances in Gastrointestinal Endoscopy: From Diagnosis to Therapy)
Show Figures

Figure 1

15 pages, 4439 KB  
Review
Selective Angiographic Roadmap Analysis (SARA) of Hepatocellular Carcinoma Feeding Arteries for Transarterial Chemoembolization
by Sultan R. Alharbi
Diagnostics 2025, 15(19), 2533; https://doi.org/10.3390/diagnostics15192533 - 8 Oct 2025
Viewed by 1263
Abstract
Hepatocellular carcinoma (HCC) is a hypervascular malignancy commonly treated with transarterial chemoembolization (TACE), in which success relies on the accurate identification and embolization of tumor feeding arteries while sparing the nontumorous liver parenchyma. This review introduces the concept of selective angiographic roadmap analysis [...] Read more.
Hepatocellular carcinoma (HCC) is a hypervascular malignancy commonly treated with transarterial chemoembolization (TACE), in which success relies on the accurate identification and embolization of tumor feeding arteries while sparing the nontumorous liver parenchyma. This review introduces the concept of selective angiographic roadmap analysis (SARA), a systematic and stepwise approach to evaluating hepatic arterial supply in HCC, with the aim of standardizing angiographic planning and improving TACE outcomes. SARA emphasizes recognition of typical and variant hepatic arterial anatomy, systematic identification of accessory and extrahepatic feeders, and integration with intraprocedural cone-beam computed tomography (CBCT) to enhance feeder detection and reduce nontarget embolization. Although primarily applied in TACE, the principles of SARA are equally relevant to transarterial radioembolization (TARE) where precise arterial mapping is critical. Embolization strategies are discussed across different levels of selectivity, from lobar to superselective techniques. The complementary role of advanced imaging modalities, such as CT angiography (CTA), MR angiography (MRA), and artificial intelligence-assisted vessel tracking, is also explored. Adopting the SARA framework in conjunction with these technologies may improve technical success and tumor control and preserve liver function in patients undergoing intra-arterial therapies. Full article
(This article belongs to the Special Issue New Trends in Cardiovascular Imaging: 2nd Edition)
Show Figures

Figure 1

19 pages, 912 KB  
Article
Functional Independence Assessment in Children and Adolescents with Achondroplasia: A Multicenter Cross-Sectional Study Using the WeeFIM Scale
by Chung-Lin Lee, Hung-Hsiang Fang, Chih-Kuang Chuang, Dau-Ming Niu, Ju-Li Lin, Mei-Chyn Chao, Yen-Yin Chou, Pao Chin Chiu, Chia-Chi Hsu, Tzu-Hung Chu, Yin-Hsiu Chien, Huei-Ching Chiu, Ya-Hui Chang, Yuan-Rong Tu, Yun-Ting Lo, Hsiang-Yu Lin and Shuan-Pei Lin
Diagnostics 2025, 15(19), 2532; https://doi.org/10.3390/diagnostics15192532 - 7 Oct 2025
Viewed by 3157
Abstract
Background/Objectives: Achondroplasia is the most common skeletal dysplasia, affecting 1 in 25,000 births. Limited research exists on the assessment of functional independence using standardized tools in children and adolescents with achondroplasia. The WeeFIM scale provides a comprehensive evaluation of daily living skills across [...] Read more.
Background/Objectives: Achondroplasia is the most common skeletal dysplasia, affecting 1 in 25,000 births. Limited research exists on the assessment of functional independence using standardized tools in children and adolescents with achondroplasia. The WeeFIM scale provides a comprehensive evaluation of daily living skills across multiple functional domains. This study aimed to assess the functional independence levels in children and adolescents with achondroplasia using WeeFIM and analyze functional capabilities. Methods: This multicenter cross-sectional study included 46 participants aged 6–18 years with confirmed achondroplasia. Data were collected through standardized WeeFIM assessments from medical centers and online surveys (2021–2024). WeeFIM evaluates 18 functional items across 3 domains: self-care (8 items), mobility (5 items), and cognition (5 items), scored 1–7 (complete dependence to independence). Results: Participants included 26 males (56.5%) and 20 females (43.5%). Most (78.3%) were diagnosed during infancy. The mean functional scores were highest for cognition (34.0/35, 97.1%), followed by self-care (51.2/56, 91.4%) and mobility (31.5/35, 90.0%). Most participants achieved near-complete independence in cognitive functions. Mobility tasks, particularly stair climbing and bathtub transfers, showed the greatest challenges. Functional independence increased with age, with significant improvements during early childhood to adolescence transition. Conclusions: Children and adolescents with achondroplasia demonstrate high functional independence across daily activities, with cognitive abilities largely unaffected. Although specific mobility challenges exist, most participants achieve independence with appropriate accommodations. These findings provide valuable baseline data for clinical care planning and support optimistic functional outcomes for pediatric patients with achondroplasia. Full article
(This article belongs to the Section Clinical Diagnosis and Prognosis)
Show Figures

Figure 1

19 pages, 6029 KB  
Review
Beyond Nerve Entrapment: A Narrative Review of Muscle–Tendon Pathologies in Deep Gluteal Syndrome
by Yong Hyun Yoon, Ji Hyo Hwang, Ho won Lee, MinJae Lee, Chanwool Park, Jonghyeok Lee, Seungbeom Kim, JaeYoung Lee, Jeimylo C. de Castro, King Hei Stanley Lam, Teinny Suryadi and Kwan Hyun Youn
Diagnostics 2025, 15(19), 2531; https://doi.org/10.3390/diagnostics15192531 - 7 Oct 2025
Cited by 2 | Viewed by 11650
Abstract
Deep Gluteal Syndrome (DGS) has traditionally been defined as a clinical entity caused by sciatic nerve (SN) entrapment. However, recent anatomical and imaging studies suggest that muscle- and tendon-origin pathologies—including enthesopathy—may also serve as primary pain generators. This narrative review aims to broaden [...] Read more.
Deep Gluteal Syndrome (DGS) has traditionally been defined as a clinical entity caused by sciatic nerve (SN) entrapment. However, recent anatomical and imaging studies suggest that muscle- and tendon-origin pathologies—including enthesopathy—may also serve as primary pain generators. This narrative review aims to broaden the current understanding of DGS by integrating muscle and tendon pathologies into its diagnostic and therapeutic framework. The literature was selectively reviewed from PubMed, Cochrane Library, Google Scholar, PEDro, and Web of Science to identify clinically relevant studies illustrating evolving concepts in DGS pathophysiology, diagnosis, and management. We review clinical features and diagnostic tools including physical examination, MRI, and dynamic ultrasonography, with special attention to deep external rotator enthesopathy. Treatment strategies are summarized, including conservative therapy, ultrasound-guided injections, hydrodissection, and prolotherapy. This narrative synthesis underscores the importance of recognizing muscle-origin enthesopathy and soft-tissue pathologies as significant contributors to DGS. A pathophysiology-based, multimodal approach is essential for accurate diagnosis and effective treatment. Full article
Show Figures

Figure 1

15 pages, 867 KB  
Article
LVEF 53% as a Novel Mortality Predictor in Pediatric Heart Failure: A Multicenter Biomarker-Stratified Analysis
by Muhammad Junaid Akram, Jiajin Li, Asad Nawaz, Xu Qian, Haixin Huang, Jinpeng Zhang, Zahoor Elahi, Lingjuan Liu, Bo Pan, Yuxing Yuan and Tian Jie
Diagnostics 2025, 15(19), 2530; https://doi.org/10.3390/diagnostics15192530 - 7 Oct 2025
Cited by 1 | Viewed by 1123
Abstract
Background: Pediatric heart failure (PHF) remains a major contributor to morbidity and mortality, yet standardized diagnostic and prognostic frameworks–particularly those leveraging left ventricular ejection fraction (LVEF)–are not well-established. This study evaluates clinical profiles, therapeutic interventions, and mortality outcomes across LVEF thresholds while [...] Read more.
Background: Pediatric heart failure (PHF) remains a major contributor to morbidity and mortality, yet standardized diagnostic and prognostic frameworks–particularly those leveraging left ventricular ejection fraction (LVEF)–are not well-established. This study evaluates clinical profiles, therapeutic interventions, and mortality outcomes across LVEF thresholds while identifying an optimal cutoff to refine risk stratification in PHF. Methods: This multicenter retrospective cohort study analyzed 1449 PHF patients (aged 1–18 years) across 30 tertiary centers (2013–2022). LVEF stratification employed conventional thresholds (50%, 55%) and an ROC-optimized cutoff (53%, derived via Youden index maximization). The primary outcome was in-hospital all-cause mortality. Multivariable logistic regression models, adjusted for clinical covariates, evaluated mortality predictors. The discriminative performance of LVEF thresholds was compared using area under the curve (AUC) analysis. Results: Distinct clinical profiles, etiologies, and treatments were observed across LVEF strata (50% vs. 55%; p < 0.05). A data-driven optimized LVEF threshold of 53% was identified for mortality prediction, demonstrating superior diagnostic accuracy with enhanced sensitivity and specificity across age groups. Multivariate analysis revealed LVEF ≥ 55% as protective (OR = 0.81, 95% CI: 0.68–0.96, p = 0.003), while ≥50% was non-significant (OR = 0.91, 95% CI: 0.74–1.12, p = 0.06). Elevated BNP (OR = 2.78, p < 0.001) and NT-proBNP (OR = 2.34, p < 0.001) strongly correlated with mortality risk. Age and sex showed no significant association with outcomes. Conclusion: In conclusion, an LVEF of 53% emerged as the optimal pediatric threshold for mortality prediction, outperforming conventional cutoffs of 50% and 55%. The integration of LVEF with biomarkers (BNP/NT-proBNP) provides a robust prognostic framework, underscoring the necessity for pediatric-specific LVEF criteria and multidimensional risk assessment in PHF management. Full article
(This article belongs to the Special Issue Diagnosis and Prognosis of Heart Disease, 2nd Edition)
Show Figures

Figure 1

7 pages, 2382 KB  
Interesting Images
Endoscopic Repair of Tracheoesophageal Fistula with Vascular Embolization Plug
by Predrag Sabljak, Ognjan Skrobic, Milica Mitrovic-Jovanovic, Ivan Vukasinovic, Aleksandra Djuric-Stefanovic, Anja Zugic, Dario Potkonjak, Marija Đorđevic and Keramatollah Ebrahimi
Diagnostics 2025, 15(19), 2529; https://doi.org/10.3390/diagnostics15192529 - 7 Oct 2025
Viewed by 903
Abstract
Aerodigestive fistulas represent a major challenge in clinical practice. This problem is burdened with severe morbidity and mortality, despite recent advantages in endoscopic endoluminal repair techniques. Special problems are fistulas localized higher, engaging the proximal esophagus and trachea, which in adults most often [...] Read more.
Aerodigestive fistulas represent a major challenge in clinical practice. This problem is burdened with severe morbidity and mortality, despite recent advantages in endoscopic endoluminal repair techniques. Special problems are fistulas localized higher, engaging the proximal esophagus and trachea, which in adults most often result from post-intubation injury. Surgery is generally demanding and reserved for the patients in whom other, less invasive options fail. Hereby, we present a case of post-intubation tracheoesophageal fistula, successfully treated with endoscopic vascular plug placement. Full article
(This article belongs to the Section Medical Imaging and Theranostics)
Show Figures

Figure 1

20 pages, 12849 KB  
Review
Cosmic Signs in Radiology: A Pictorial Review
by Yara Jabbour, Raquelle El Alam, Sara Amro, Mutaz Kassas, Youssef Ghosn, Reve Chahine, Mihran Khdhir and Lara Nassar
Diagnostics 2025, 15(19), 2528; https://doi.org/10.3390/diagnostics15192528 - 7 Oct 2025
Cited by 1 | Viewed by 2843
Abstract
Pattern recognition remains a cornerstone of radiologic interpretation, as it facilitates a confident and comprehensive differential diagnosis. Certain pathologies present with specific and highly recognizable patterns on imaging modalities. These patterns can resemble familiar real-life phenomena, including cosmic bodies that surround us. We [...] Read more.
Pattern recognition remains a cornerstone of radiologic interpretation, as it facilitates a confident and comprehensive differential diagnosis. Certain pathologies present with specific and highly recognizable patterns on imaging modalities. These patterns can resemble familiar real-life phenomena, including cosmic bodies that surround us. We present in this article a compilation of radiologic signs across various modalities that take inspiration from cosmic phenomena. For each sign, we summarize its defining imaging appearance, typical clinical context, and common pitfalls; where available, we note diagnostic performance (e.g., sensitivity/specificity) to guide appropriate weighting in practice. By coupling memorable imagery with succinct clinical guidance, this pictorial review aims to support a faster, more accurate pattern recognition that is applicable in both low-resource and tertiary care settings, while recognizing that these signs function as educational aids rather than validated diagnostic tests. In familiarizing themselves with these classic signs, training radiologists can benefit from an engaging and memorable way of recognizing various pathological conditions. Full article
(This article belongs to the Special Issue An Update on Radiological Diagnosis in 2024)
Show Figures

Figure 1

12 pages, 1773 KB  
Article
Clinician Perspectives on Digital and Computational Pathology: Clinical Benefits, Concerns, and Willingness to Adopt
by Charu Aggarwal, Aakash Desai, Nicholas McConnell, Nicholas Cadirov, Gary Gustavsen, Arushi Agarwal, Nabil Chehab, Srividya Kotapati and Nikunj Patel
Diagnostics 2025, 15(19), 2527; https://doi.org/10.3390/diagnostics15192527 - 7 Oct 2025
Viewed by 2479
Abstract
Background/Objectives: Precision medicine has transformed how we manage cancer patients. As treatments and drug targets become more complex, the associated diagnostic technologies must also evolve to actualize the benefit of these therapeutic innovations. Digital and computational pathology (DP/CP) play a pivotal role [...] Read more.
Background/Objectives: Precision medicine has transformed how we manage cancer patients. As treatments and drug targets become more complex, the associated diagnostic technologies must also evolve to actualize the benefit of these therapeutic innovations. Digital and computational pathology (DP/CP) play a pivotal role in this evolution, offering enhanced analytical techniques and addressing workflow constraints in pathology labs. This study aims to understand clinicians’ awareness, utilization, and willingness to adopt DP/CP-based tools, as well as the role they perceive themselves playing in the adoption of CP-based tests. Methods: A double-blinded, online quantitative survey was conducted among 101 U.S.-based medical oncologists. Results: Awareness of DP/CP varied among clinicians, with only 17% identifying as very aware. Subsequently, the current utilization of CP-based tests is also low. Despite this, clinicians are optimistic about the potential benefits of DP/CP, including reduced turnaround times, improved therapy selection, and more consistent slide review. To achieve full adoption, clinicians recognize that barriers must be addressed, including cost, regulatory guidance and, to a lesser extent, concerns with the “black box” nature of CP algorithms. While the focus for the adoption of DP has centered on pathologists, clinicians anticipate playing a more significant role in the adoption of CP-based tests. Finally, clinicians demonstrated clear willingness to utilize a CP-based CDx, with 90% of respondents identifying as potential adopters. Conclusions: This study highlights a positive outlook for the adoption of DP/CP among clinicians, despite varied awareness and low current utilization. Clinicians recognize the potential benefits of DP/CP but also acknowledge barriers to adoption. Addressing these barriers through education, regulatory approval, and collaboration with pathologists and biopharma is essential for successfully integrating DP/CP technologies into clinical practice. Full article
(This article belongs to the Special Issue Latest News in Digital Pathology)
Show Figures

Figure 1

11 pages, 588 KB  
Article
Investigation of the Prevalence and Characteristics of the Retromolar Canal Using Cone-Beam Computed Tomography in a Turkish Sample
by Fatoş Can, Fahrettin Kalabalık and Emre Aytuğar
Diagnostics 2025, 15(19), 2526; https://doi.org/10.3390/diagnostics15192526 - 7 Oct 2025
Viewed by 1188
Abstract
Background: The aim of this study is to investigate the prevalence of the retromolar canal (RMC) and retromolar foramen (RMF) using cone-beam computed tomography (CBCT), and to evaluate the course and anatomical structure of the RMC. Methods: The study group consisted of CBCT [...] Read more.
Background: The aim of this study is to investigate the prevalence of the retromolar canal (RMC) and retromolar foramen (RMF) using cone-beam computed tomography (CBCT), and to evaluate the course and anatomical structure of the RMC. Methods: The study group consisted of CBCT images of 1008 subjects (541 females and 467 males). The prevalence and types of the RMC, as well as the frequency of the RMF, were analyzed according to age and sex. A significance level of 0.05 was accepted for all statistical analyses. Results: According to the findings, 575 (57.0%) RMCs and 298 (29.5%) RMFs were identified in 1008 subjects. Bilateral RMCs were observed in 327 subjects (32.4%), while unilateral RMCs were present in 248 subjects (24.6%). When 2016 retromolar regions were examined, a total of 902 RMCs and 400 RMFs were identified. No statistically significant difference was observed between the right and left retromolar regions or between sexes regarding the overall prevalence of RMCs (p > 0.05). The most frequently observed RMC type was Type A1, and a statistically significant difference was found between RMC types and sex. Conclusions: This study suggested that the RMC is a common anatomical variation that may have surgical relevance. Due to the presence of a neurovascular bundle passing through it, both the RMC and RMF should be considered in surgical and anesthetic procedures involving the retromolar region. CBCT is a reliable tool for detecting these structures and assessing their morphology. Full article
(This article belongs to the Section Medical Imaging and Theranostics)
Show Figures

Figure 1

16 pages, 3586 KB  
Article
Ultrasound Risk Stratification of Autonomously Functioning Thyroid Nodules: Cine Loop Video Sequences Versus Static Image Captures
by Larissa Rosenbaum, Martin Freesmeyer, Tabea Nikola Schmidt, Christian Kühnel, Falk Gühne and Philipp Seifert
Diagnostics 2025, 15(19), 2525; https://doi.org/10.3390/diagnostics15192525 - 6 Oct 2025
Viewed by 1512
Abstract
Background/Objectives: Autonomously functioning thyroid nodules (AFTNs) are most frequently diagnosed as benign. However, they show high ratings in ultrasound (US) risk stratification systems (RSSs) that utilize the current clinical standard methodology of conventional static image capture (SIC) documentation. The objective of this [...] Read more.
Background/Objectives: Autonomously functioning thyroid nodules (AFTNs) are most frequently diagnosed as benign. However, they show high ratings in ultrasound (US) risk stratification systems (RSSs) that utilize the current clinical standard methodology of conventional static image capture (SIC) documentation. The objective of this study was to evaluate the RSS ratings and respective fine needle cytology (FNC) recommendations of cine loop (CL) video sequences in comparison to SIC. Methods: 407 patients with 424 AFTNs were enrolled in this unicentric, retrospective study between 11/2015 and 11/2023. Recorded US CL and SIC were analyzed lesion-wise and compared regarding US features, Kwak and ACR TIRADS, ACR FNC recommendations, as well as assessment difficulties and artifacts. Statistical analyses were conducted using the Chi2 test and Spearman’s correlation coefficient in SPSS software. p-values < 0.05 were considered significant. Results: Strong to very strong correlations were observed for all US features, RSS ratings, and ACR FNC recommendations (Spearman’s correlation: each p < 0.001), comparing CL and SIC. For >60% of the AFTNs, ACR FNC recommendation was given. Kwak TIRADS were more consistent with the benign nature of AFTNs than the ACR ratings. CL captured significantly more “echogenic foci” than SIC (Chi2: p < 0.001). Artifacts (poor image quality, acoustic shadowing, sagittal incompletely displayed AFTN) were significantly more common on CL, affecting ~40% of AFTNs, compared to ~15% on SIC (Chi2: each p < 0.05). Weak correlation was observed for assessment confidence between CL and SIC, with SIC outperforming CL (Spearman’s correlation: each p < 0.001). Conclusions: A strong correlation was identified between CL and SIC in terms of RSS ratings and ACR FNC recommendations. Kwak is a superior representative of the benign character of AFTNs than ACR. However, CL provided more detailed information while being associated with decreased observer confidence and more artifacts. Specific operator training and technical improvements, including AI implementation, could improve image quality in future. Full article
(This article belongs to the Section Medical Imaging and Theranostics)
Show Figures

Figure 1

18 pages, 1360 KB  
Article
Mechanical Versus Restrictive Kinematic Alignment in Robotic-Assisted Total Knee Arthroplasty: A Randomized Controlled Trial
by Alexey V. Lychagin, Andrey A. Gritsyuk, Mikhail P. Elizarov, Andrey A. Gritsuk, Jr., Maxim Y. Gavlovsky, Konstantin K. Tomboidi, Eugene B. Kalinsky and Nahum Rosenberg
Diagnostics 2025, 15(19), 2524; https://doi.org/10.3390/diagnostics15192524 - 6 Oct 2025
Cited by 1 | Viewed by 3096
Abstract
Background: Lower limb malalignment is a hallmark of knee osteoarthritis, with surgical correction techniques evolving from traditional mechanical alignment (MA) to kinematic alignment (KA) approaches. Restrictive kinematic alignment (rKA) represents a hybrid strategy combining principles from both techniques. This study evaluated short-term [...] Read more.
Background: Lower limb malalignment is a hallmark of knee osteoarthritis, with surgical correction techniques evolving from traditional mechanical alignment (MA) to kinematic alignment (KA) approaches. Restrictive kinematic alignment (rKA) represents a hybrid strategy combining principles from both techniques. This study evaluated short-term functional outcomes following robotic-assisted total knee arthroplasty (RoTKA), comparing MA versus rKA alignment strategies. Methods: This prospective, randomized, single-center study enrolled 96 patients with grade 3–4 idiopathic knee osteoarthritis (Kellgren–Lawrence classification). Patients were randomized to MA (n = 49, mean age 67 ± 9 years) or rKA (n = 47, mean age 66 ± 7 years) groups. Preoperative hip–knee–ankle (HKA) angles were 172.6° ± 1.1° and 172.9° ± 0.9° for MA and rKA groups, respectively. Outcomes were assessed using Visual Analog Scale (VAS) pain scores, range of motion (ROM), Knee Society Score (KSS), Oxford Knee Score (OKS) (primary outcome), SF-36, and Forgotten Joint Score (FJS-12). Results: Postoperative HKA angles were 179.5° ± 1.2° (MA) and 176.0° ± 1.5° (rKA). At 14 days postoperatively, knee ROM increased by 20.5% in the MA group and 25.7% in the rKA group, with a statistically significant 5.2% intergroup difference, indicating faster postoperative recovery (p = 0.008). VAS pain scores decreased by 7% in the rKA group while increasing by 13% in the MA group (p < 0.001). At one-year follow-up, FJS-12 scores were significantly higher in the rKA group (94.8 ± 3.2 vs. 91.9 ± 2.2, p < 0.001). No significant differences were observed in KSS, OKS, or SF-36 score between groups. Conclusions: Restrictive kinematic alignment demonstrated superior early postoperative outcomes compared to mechanical alignment in RoTKA, with significantly reduced pain and improved ROM. While one-year functional outcomes were comparable between techniques, rKA may offer advantages in the immediate postoperative period, supporting its consideration as a viable alignment strategy in robotic-assisted knee arthroplasty. Full article
Show Figures

Figure 1

17 pages, 1814 KB  
Article
Right Ventricular Myocardial Metabolism and Cardiorespiratory Testing in Patients with Idiopathic Pulmonary Arterial Hypertension
by Natalia Goncharova, Aelita Berezina, Daria Ryzhkova, Irina Zlobina, Kirill Lapshin, Anton Ryzhkov, Aryana Malanova, Elizaveta Korobchenko-Andreeva and Olga Moiseeva
Diagnostics 2025, 15(19), 2523; https://doi.org/10.3390/diagnostics15192523 - 6 Oct 2025
Viewed by 859
Abstract
Background: Non-invasive diagnostic tools for the assessment of pulmonary arterial hypertension (PAH) are currently being intensively studied. Positron emission tomography (PET)/computed tomography (CT) with [18F]-fluorodeoxyglucose ([18F]-FDG) and [13N]-ammonia is the gold standard for assessing myocardial metabolism and perfusion. The relationship between right ventricle [...] Read more.
Background: Non-invasive diagnostic tools for the assessment of pulmonary arterial hypertension (PAH) are currently being intensively studied. Positron emission tomography (PET)/computed tomography (CT) with [18F]-fluorodeoxyglucose ([18F]-FDG) and [13N]-ammonia is the gold standard for assessing myocardial metabolism and perfusion. The relationship between right ventricle (RV) myocardial metabolism and perfusion and cardiopulmonary exercise testing (CPET) has not been studied. Objective: to evaluate correlations between the CPET parameters and RV perfusion and metabolism in IPAH patients. Methods: The study comprised 34 IPAH patients (34.2 ± 8.9 years, 4 males, 6 prevalent). Myocardial metabolism and perfusion were assessed using PET/CT with [18F]-FDG and [13N]-ammonia, respectively. CPET, cardiac MRI and invasive hemodynamics were also evaluated. Results: Significant negative correlations were registered between [18F]-FDG and [13N]-ammonia uptake by the RV (SUVmax RV/LV) and the oxygen consumption, oxygen pulse and positive correlation with the ratio of minute ventilation to carbon dioxide production. The low-risk IPAH patients significantly differed from the intermediate-to-high-risk group in CPET indices and in SUVmax RV/LV metabolism and SUVmax RV/LV perfusion parameters. No reliable differences in CPET indices and [18F]-FDG and [13N]-ammonia uptake by the RV were registered between intermediate- and high-risk patients. Conclusions: CPET is a reliable non-invasive diagnostic tool that could distinguish low-risk young IPAH patients without comorbidities from those at intermediate-to-high risk. Significant correlations between CPET parameters and RV myocardial metabolism and perfusion indices, MRI, and invasive hemodynamics confirm the high diagnostic value for CPET. Full article
Show Figures

Figure 1

11 pages, 216 KB  
Article
Feasibility and Safety of Primary Ureteroscopy with Single-Use Flexible Ureteroscope HU30M (6.3 Fr, HugeMed): An Initial Experience
by Benedikt Ebner, Iulia Blajan, Johannes Raphael Westphal, Iason Papadopoulos, Troya Ivanova, Deniz Karatas, Moritz Happe, Yannic Volz, Christian G. Stief, Maria Apfelbeck and Michael Chaloupka
Diagnostics 2025, 15(19), 2522; https://doi.org/10.3390/diagnostics15192522 - 5 Oct 2025
Viewed by 1306
Abstract
Background: The miniaturization of ureterorenoscopes increasingly enables atraumatic primary ureteroscopy, without ureteral dilation or presenting. This study aims to evaluate the feasibility and safety of primary ureteroscopy using the HU30M (6.3 Fr, HugeMed, Shenzhen HugeMed Medical Technical Development Co., Ltd., Shenzhen, China), the [...] Read more.
Background: The miniaturization of ureterorenoscopes increasingly enables atraumatic primary ureteroscopy, without ureteral dilation or presenting. This study aims to evaluate the feasibility and safety of primary ureteroscopy using the HU30M (6.3 Fr, HugeMed, Shenzhen HugeMed Medical Technical Development Co., Ltd., Shenzhen, China), the smallest currently available ureteroscope. Methods: We analyzed consecutive patients in whom primary ureteroscopy using the HU30M was performed or attempted, using prospectively collected in-hospital and 30-day follow-up data for retrospective evaluation. The primary outcome was the success rate of primary ostial intubation. Secondary outcomes included the stone-free rate (SFR) in patients with urolithiasis, incidence of in-hospital complications (Clavien–Dindo classification) and 30-day emergency readmission. Additionally, we conducted a propensity score-matched comparative analysis of the HU30M versus a contemporary 7.5 Fr digital single-use ureteroscope (PUSEN PU3033AH, Zhuhai Pusen Medical Technology Co., Ltd., Jinhua, China). Results: Between January and April 2025, primary ureteroscopy using the HU30M was performed or attempted in 34 patients, including four bilateral procedures. Primary ureteroscopy was defined as ureteroscopic access without prior stenting or dilation. Indications were diagnostic evaluation in 15 patients (44%), uretreroscopic stone treatment in 10 patients (29%) and endoscopic combined intrarenal surgery (ECIRS) in 9 patients (27%). Successful primary ostial intubation was achieved in 36 of 38 renal units (95%). Among urolithiasis cases, SFR was 17/19 (90%) in-hospital complications were limited to postoperative fever in two patients (6%) and no procedure-related 30-day emergency readmission occurred. In matched analyses, HU30M demonstrated significantly shorter operative times compared with the 7.5 Fr ureteroscope, while postoperative hemoglobin drop, inflammatory parameters and renal function were comparable. Conclusions: Primary ureteroscopy with HU30M is feasible and safe across diverse indications, achieving high success of atraumatic ostial access. Comparative analyses suggest procedural efficiency advantages and overall safety comparable to the current digital single-use ureteroscope standard. Full article
(This article belongs to the Section Clinical Diagnosis and Prognosis)
12 pages, 1706 KB  
Article
Reproducibility of AI in Cephalometric Landmark Detection: A Preliminary Study
by David Emilio Fracchia, Denis Bignotti, Stefano Lai, Stefano Cubeddu, Fabio Curreli, Massimiliano Lombardo, Alessio Verdecchia and Enrico Spinas
Diagnostics 2025, 15(19), 2521; https://doi.org/10.3390/diagnostics15192521 - 5 Oct 2025
Cited by 4 | Viewed by 2724
Abstract
Objectives: This study aimed to evaluate the reproducibility of artificial intelligence (AI) in identifying cephalometric landmarks, comparing its performance with manual tracing by an experienced orthodontist. Methods: A high-quality lateral cephalogram of a 26-year-old female patient, meeting strict inclusion criteria, was [...] Read more.
Objectives: This study aimed to evaluate the reproducibility of artificial intelligence (AI) in identifying cephalometric landmarks, comparing its performance with manual tracing by an experienced orthodontist. Methods: A high-quality lateral cephalogram of a 26-year-old female patient, meeting strict inclusion criteria, was selected. Eighteen cephalometric landmarks were identified using the WebCeph software (version 1500) in three experimental settings: AI tracing without image modification (AInocut), AI tracing with image modification (AI-cut), and manual tracing by an orthodontic expert. Each evaluator repeated the procedure 10 times on the same image. X and Y coordinates were recorded, and reproducibility was assessed using the coefficient of variation (CV) and centroid distance analysis. Statistical comparisons were performed using one-way ANOVA and Bonferroni post hoc tests, with significance set at p < 0.05. Results: AInocut achieved the highest reproducibility, showing the lowest mean CV values. Both AI methods demonstrated greater consistency than manual tracing, particularly for landmarks such as Menton (Me) and Pogonion (Pog). Gonion (Go) showed the highest variability across all groups. Significant differences were found for the Posterior Nasal Spine (PNS) point (p = 0.001), where AI outperformed manual tracing. Variability was generally higher along the X-axis than the Y-axis. Conclusions: AI demonstrated superior reproducibility in cephalometric landmark identification compared to manual tracing by an experienced operator. While certain points showed high consistency, others—particularly PNS and Go—remained challenging. These findings support AI as a reliable adjunct in digital cephalometry, although the use of a single radiograph limits generalizability. Broader, multi-image studies are needed to confirm clinical applicability. Full article
Show Figures

Figure 1

2 pages, 148 KB  
Editorial
Editorial for “Diagnosis, Classification, and Monitoring of Pulmonary Diseases”
by Paola Confalonieri, Francesco Salton and Barbara Ruaro
Diagnostics 2025, 15(19), 2520; https://doi.org/10.3390/diagnostics15192520 - 5 Oct 2025
Viewed by 649
Abstract
This Special Issue offers a comprehensive overview of recent advances and innovative approaches in the field of lung disease research, emphasizing the importance of technological and conceptual innovations that are shaping our understanding of respiratory conditions [...] Full article
(This article belongs to the Special Issue Diagnosis, Classification, and Monitoring of Pulmonary Diseases)
Previous Issue
Back to TopTop