Cosmic Signs in Radiology: A Pictorial Review
Abstract
1. Introduction
2. Cosmic Signs
2.1. Comet-Tail Artifact
2.1.1. On Ultrasound (US)
2.1.2. On Computed Tomography (CT)
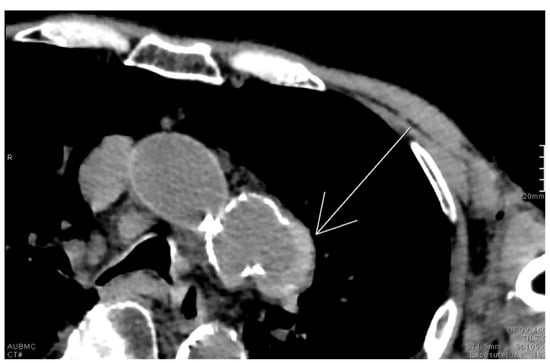
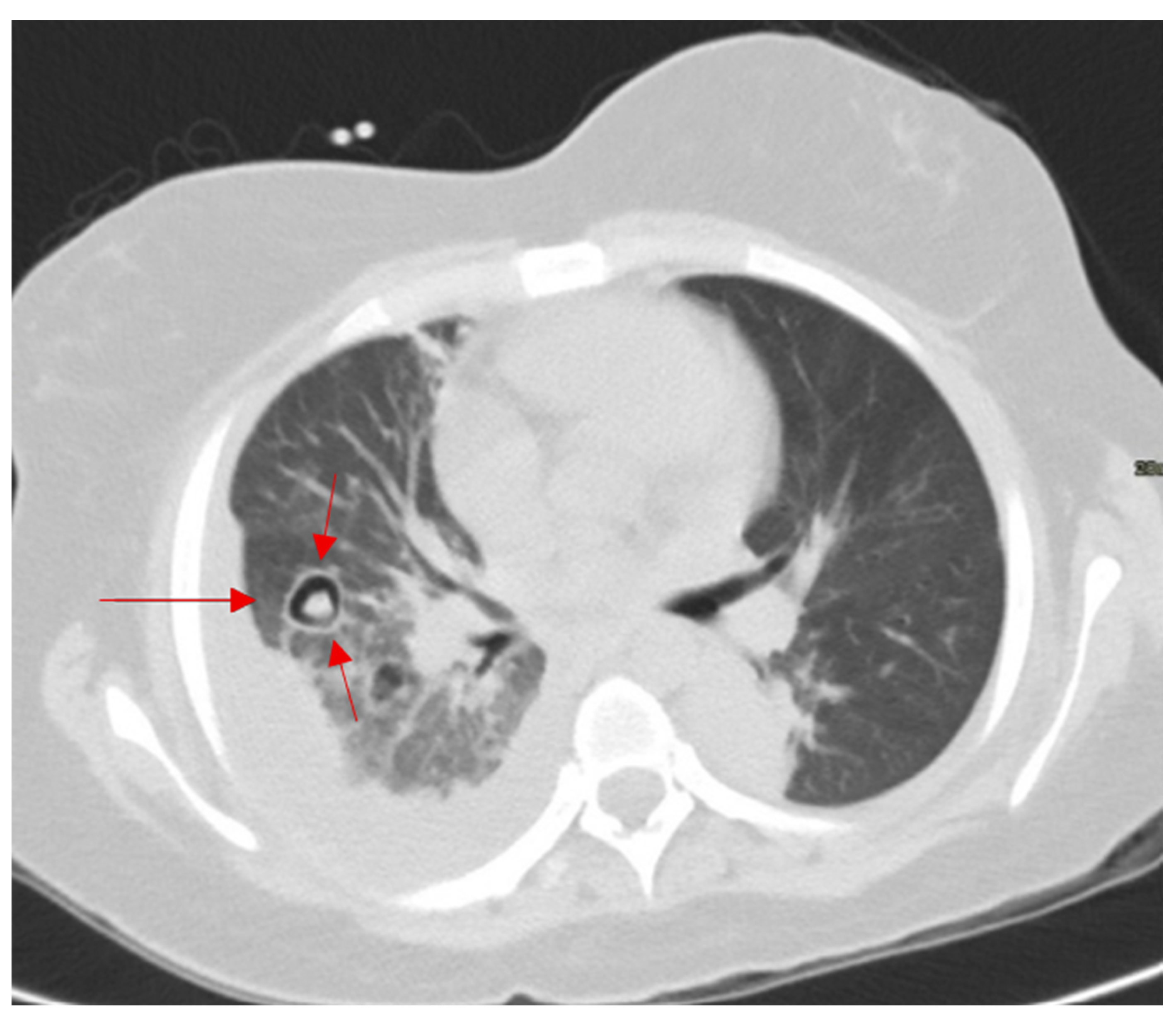
Chest
Abdomen and Pelvis
2.1.3. On Magnetic Resonance Imaging
2.2. Earth-Heart Sign
2.3. Galaxy Sign
2.4. Loss of Half-Moon Overlap Sign
2.5. Milky Way Sign
2.5.1. On Breast Imaging
2.5.2. In Neuroimaging
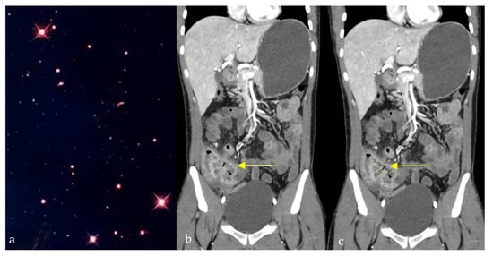
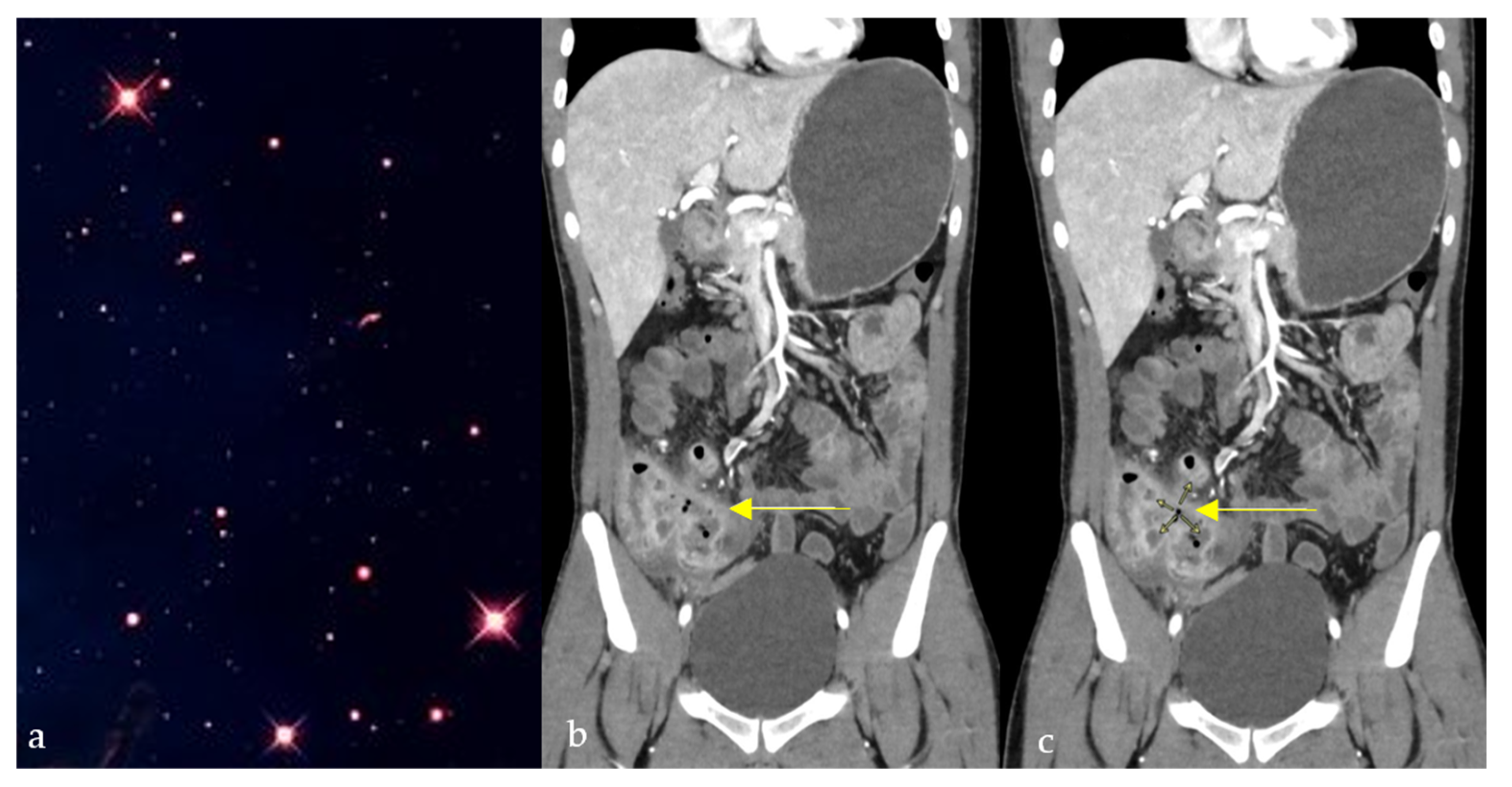
2.6. Starfield Pattern
2.7. Star Sign
2.8. Starry Sky Appearance
2.8.1. On Ultrasound
2.8.2. On MRI
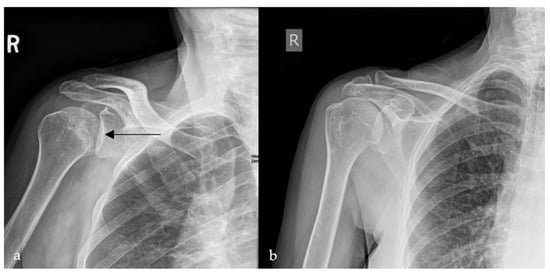
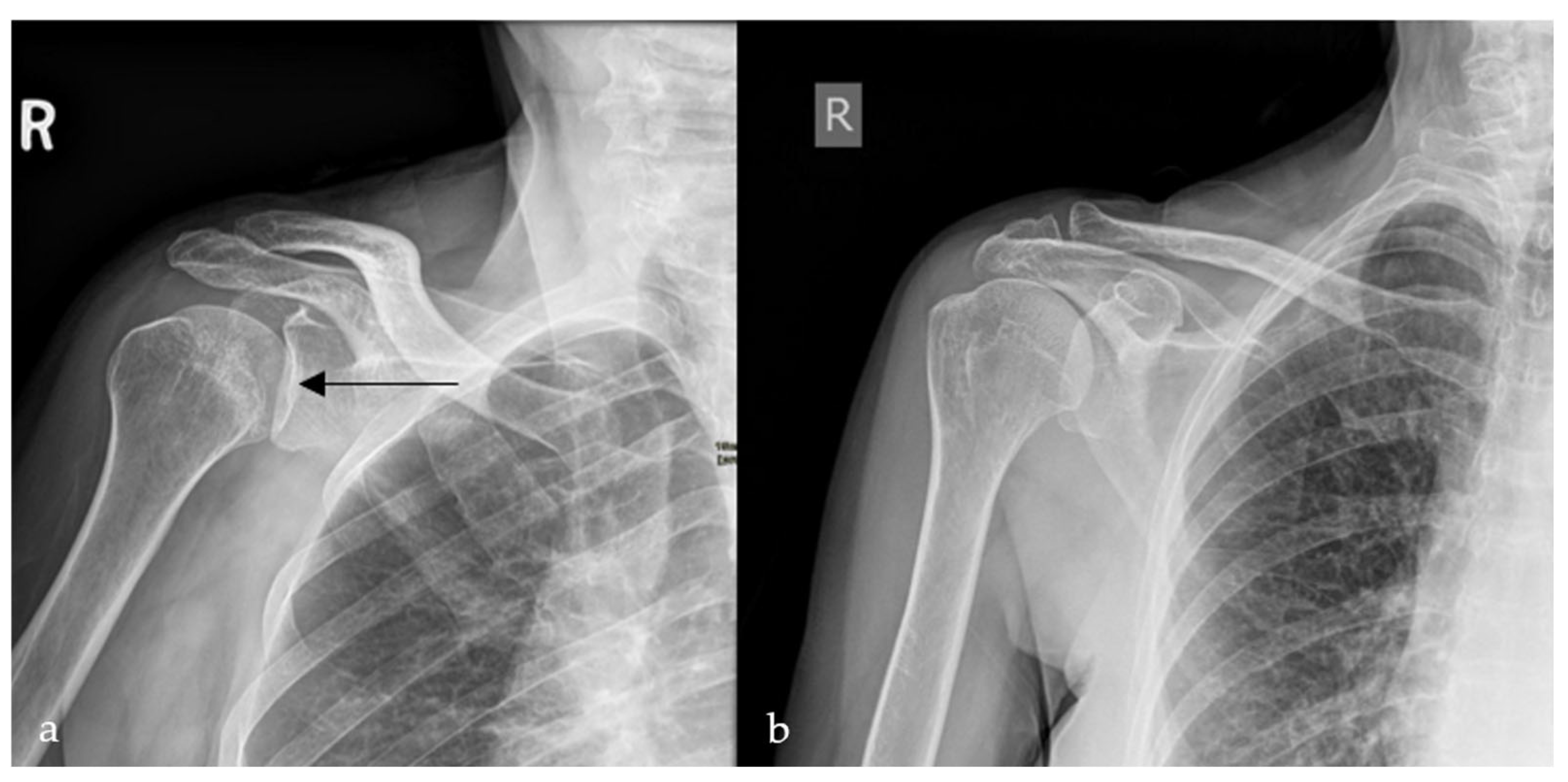
2.9. Sunburst Appearance and Sign
2.9.1. On Skeletal Imaging
2.9.2. In Neuroimaging
Meningioma
Agenesis of the Corpus Callosum
2.9.3. On Abdominal Imaging
2.10. Twinkling Artifact
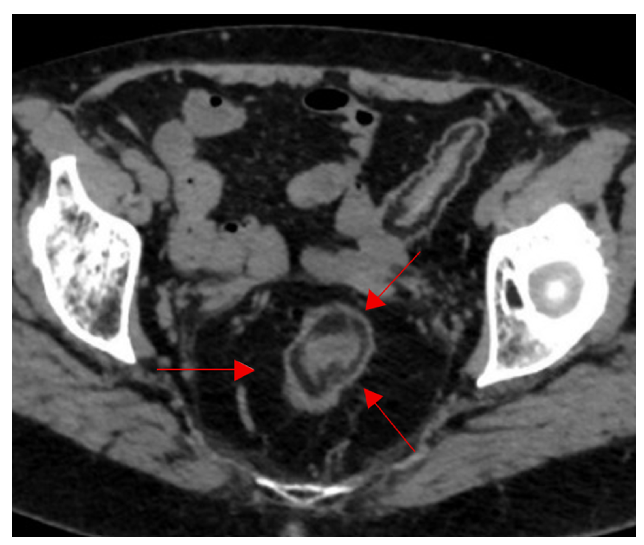
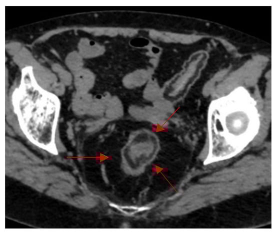
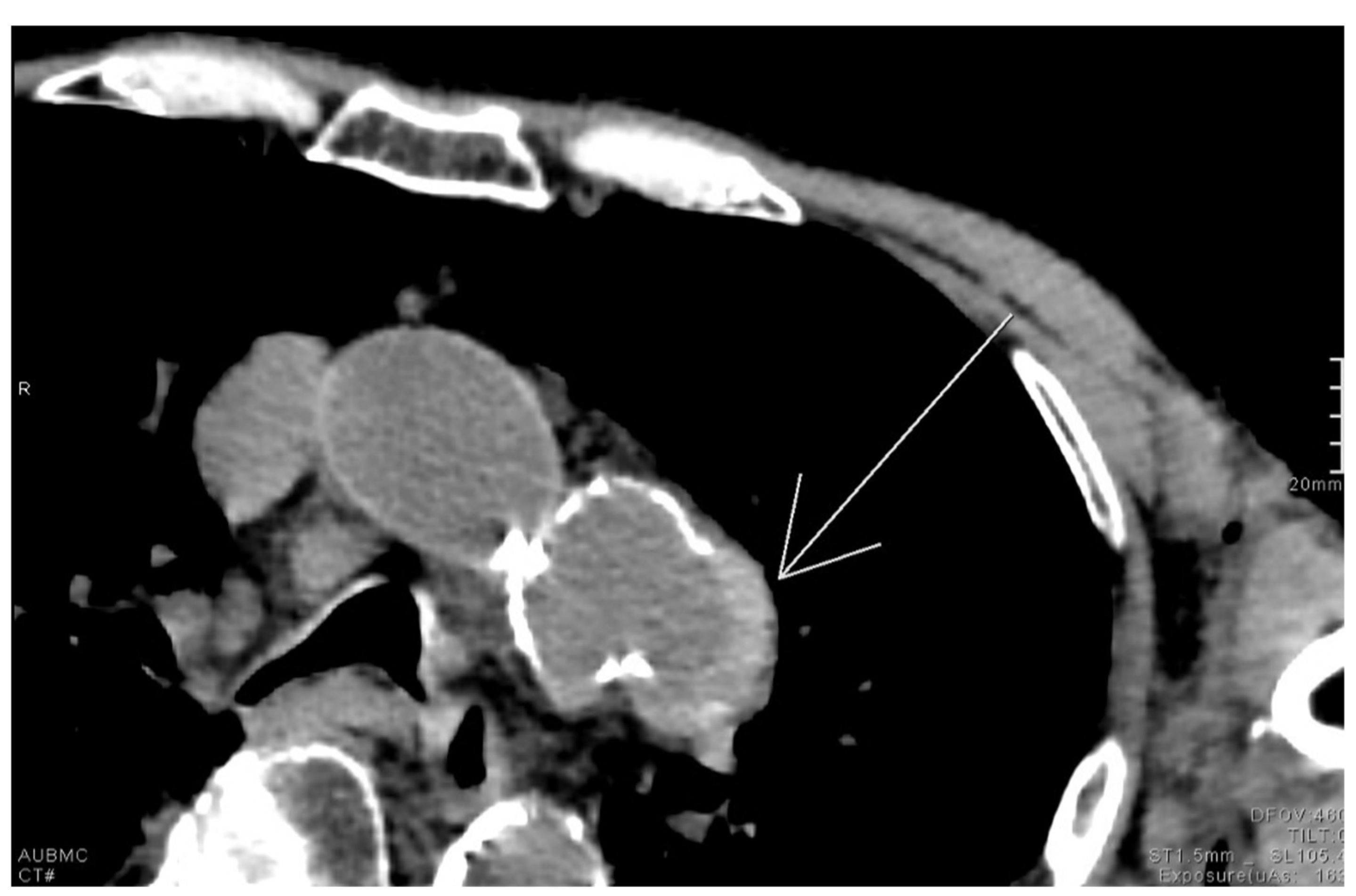
2.11. Crescent Sign
2.11.1. On Pyelography
2.11.2. On Conventional Radiographs
2.12. Hyperdense Cresent Sign
2.13. Lateral Crescent Sign
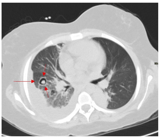
2.14. Air Crescent Sign
2.15. Halo Sign
2.15.1. On Ultrasound
2.15.2. On CT
2.16. Fat Halo Sign
2.17. Reversed Halo Sign (Atoll Sign)
3. Conclusions
Author Contributions
Funding
Institutional Review Board Statement
Informed Consent Statement
Data Availability Statement
Conflicts of Interest
References
- Dyer, B.; Chen, M.; Zagoria, R. Classic Signs in Uroradiology. Radiographics 2004, 24, S247–S280. [Google Scholar] [CrossRef]
- Ridley, L.; Xiang, H.; Han, J.; Ridley, W. Animal signs in Radiology: Method of creating a compendium. J. Med. Imaging Radiat. Oncol. 2018, 62, 7–11. [Google Scholar] [CrossRef]
- Hadnagy, L.; Tokes, B. The natural wonders of radiology—A pictorial review. Eur. Radiol. 2018. [Google Scholar] [CrossRef]
- Roche, C.; O’Keeffe, D.; Kit Lee, W.; Duddalwar, V.; Torreggiani, W.; Curtis, J. Selections from the Buffet of Food Signs in Radiology. Radiographics 2002, 22, 1369–1384. [Google Scholar] [CrossRef] [PubMed]
- Gibney, B.; Kassab, G.H.; Redmond, C.E.; Buckley, B.; MacMahon, P.J. Pareidolia in radiology education: A randomized controlled trial of metaphoric signs in medical student teaching. Acad. Radiol. 2021, 28, 1426–1432. [Google Scholar] [CrossRef] [PubMed]
- Shapiro, R.S.; Winsberg, F. Comet-tail artifact from cholesterol crystals: Observations in the postlithotripsy gallbladder and an in vitro model. Radiology 1990, 177, 153–156. [Google Scholar] [CrossRef]
- Oh, S.H.; Han, H.Y.; Kim, H.J. Comet tail artifact on ultrasonography: Is it a reliable finding of benign gallbladder diseases? Ultrasonography 2019, 38, 221. [Google Scholar] [CrossRef]
- Baad, M.; Feng Lu, Z.; Reiser, I.; Paushter, D. Clinical Significance of US Artifacts. Radiographics 2017, 37, 1408–1423. [Google Scholar] [CrossRef]
- Richards, J.; McGahan, J. Focused Assessment with Sonography in Trauma (FAST) in 2017: What Radiologists Can Learn. Radiology 2017, 283, 30–48. [Google Scholar] [CrossRef]
- Lichtenstein, D.; Meziere, G.; Biderman, P.; Gepner, A. The comet-tail artifact: An ultrasound sign ruling out pneumothorax. Intensive Care Med. 1999, 25, 383–388. [Google Scholar] [CrossRef]
- Lahel, R.S.; Mathur, S. Sonographic “Comet Tail” Artifacts in the Urinary Bladder in a Case of Type V Hyperlipidemia: A Previously Unreported Association. J. Med. Ultrasound 2024, 32, 334–336. [Google Scholar] [CrossRef]
- Partap, V. The Comet Tail Sign. Radiology 1999, 213, 553–554. [Google Scholar] [CrossRef] [PubMed]
- McHugh, K.; Blaquiere, R.M. CT Features of Rounded Atelectasis. AJR Am. J. Roentgenol. 1898, 153, 257–260. [Google Scholar] [CrossRef] [PubMed]
- Dalrymple, N.; Casford, B.; Raiken, D.; Elsass, K.; Pagan, R. Pearls and Pitfalls in the Diagnosis of Ureterolithiasis with Unenhanced Helical CT. Radiographics 2000, 20, 439–447. [Google Scholar] [CrossRef] [PubMed]
- Guest, A.; Cohan, R.; Korobkin, M.; Platt, J.; Bundschu, C.; Francis, I.; Gebramarium, A.; Murray, U. Assessment of the Clinical Utility of the Rim and Comet-Tail Signs in Differentiating Ureteral Stones from Phleboliths. AJR Am. J. Roentgenol. 2000, 177, 1285–1291. [Google Scholar] [CrossRef]
- Luk, A.C.; Cleaveland, P.; Olson, L.; Neilson, D.; Srirangam, S. Pelvic Phlebolith: A Trivial Pursuit for the Urologist? J. Endourol. 2017, 31, 342–347. [Google Scholar] [CrossRef]
- Mitsuya, K.; Nakasu, Y.; Narita, Y.; Nakasu, S.; Ohno, M.; Miyakita, Y.; Abe, M.; Ito, I.; Hayashi, N.; Endo, M. “Comet tail sign”: A pitfall of post-gadolinium magnetic resonance imaging findings for metastatic brain tumors. J. Neuro-Oncol. 2016, 127, 589–595. [Google Scholar] [CrossRef]
- Clancy, D.J.; Lane, A.S.; Flynn, P.W.; Seppelt, I.M. Tension pneumomediastinum: A literal form of chest tightness. J. Intensive Care Soc. 2017, 18, 52–56. [Google Scholar] [CrossRef]
- Carillo, G.A.O.; Caballero, G.B.; Carretero, M.Á.C. The Earth-Heart sign: A new diagnostic finding in a patient with tension pneumomediastinum. Lancet 2014, 383, 486. [Google Scholar] [CrossRef]
- Criado, E.; Sánchez, M.; Ramírez, J.; Arguis, P.; Caralt, T.; Perea, R.; Xaubet, A. Pulmonary Sarcoidosis: Typical and Atypical Manifestations at High- Resolution CT with Pathologic Correlation. Radiographics 2010, 30, 1567–1586. [Google Scholar] [CrossRef]
- Nakatsu, M.; Hatabu, H.; Morikawa, K.; Uematsu, H.; Ohno, Y.; Nishimura, K.; Nagai, S.; Izumi, T.; Konishi, J.; Itoh, H. Large Coalescent Parenchymal Nodules in Pulmonary Sarcoidosis: “Sarcoid Galaxy” Sign. AJR Am. J. Roentgenol. 2002, 178, 1389–1393. [Google Scholar] [CrossRef] [PubMed]
- Koide, T.; Saraya, T.; Tsukahara, Y.; Bonella, F.; Börner, E.; Ishida, M.; Ogawa, Y.; Hirukawa, I.; Oda, M.; Shimoda, M. Clinical significance of the “galaxy sign” in patients with pulmonary sarcoidosis in a Japanese single-center cohort. Sarcoidosis Vasc. Diffus. Lung Dis. 2016, 33, 247–252. [Google Scholar]
- Gor, D. The Trough Line Sign. Radiology 2002, 224, 485–486. [Google Scholar] [CrossRef] [PubMed]
- Sanders, T.; Jersey, S. Conventional Radiography of the Shoulder. Semin. Roentgenol. 2005, 40, 207–222. [Google Scholar] [CrossRef]
- Xu, Y.; Miyake, K.K.; Liu, Y.I.; Downey, J.R.; Lipson, J.A.; Allison, K.H.; Ikeda, D.M. The Milky Way Sign: A New Diagnostic Finding of Ductal Carcinoma in situ on Digital Breast Tomosynthesis. Breast J. 2016, 22, 349–351. [Google Scholar] [CrossRef]
- Harvey, J.; Nicholson, B.; Cohen, M. Finding Early Invasive Breast Cancers: A Practical Approach. Radiology 2008, 248, 61–76. [Google Scholar] [CrossRef]
- Giess, C.; Frost, E.; Birdwell, R. Interpreting One-View Mammo- graphic Findings: Minimizing Call- backs While Maximizing Cancer Detection. Radiographics 2014, 34, 928–940. [Google Scholar] [CrossRef]
- Wijburg, M.T.; Witte, B.I.; Vennegoor, A.; Roosendaal, S.D.; Sanchez, E.; Liu, Y.; Martins Jarnalo, C.O.; Uitdehaag, B.M.; Barkhof, F.; Killestein, J.; et al. MRI criteria differentiating asymptomatic PML from new MS lesions during natalizumab pharmacovigilance. J. Neurol. Neurosurg. Psychiatry 2016, 87, 1138–1145. [Google Scholar] [CrossRef]
- Alleg, M.; Solis, M.; Baloglu, S.; Cotton, F.; Kerschen, P.; Bourre, B.; Ahle, G.; Pruvo, J.P.; Leclerc, X.; Vermersch, P.; et al. Progressive multifocal leukoencephalopathy: MRI findings in HIV-infected patients are closer to rituximab- than natalizumab-associated PML. Eur. Radiol. 2020, 31, 2944–2955. [Google Scholar] [CrossRef]
- Brun-Vergara, M.L.; Montes, D. MRI of Cerebral Fat Embolism: Type 1 Starfield Pattern. Radiology 2020, 297, 303. [Google Scholar] [CrossRef]
- Parizel, P.; Demey, H.; Veeckmans, G.; Verstreken, F.; Cras, P.; Jorens, P.G.; De Schepper, A.M. Early Diagnosis of Cerebral Fat Embolism Syndrome by Diffusion-Weighted MRI (Starfield Pattern). Stroke 2001, 32, 2942–2944. [Google Scholar] [CrossRef]
- Guglielmo, F.F.; Anupindi, S.A.; Fletcher, J.G.; Al-Hawary, M.M.; Dillman, J.R.; Grand, D.J.; Bruining, D.H.; Chatterji, M.; Darge, K.; Fidler, J.L.; et al. Small Bowel Crohn Disease at CT and MR Enterography: Imaging Atlas and Glossary of Terms. Radiographics 2020, 40, 354–375. [Google Scholar] [CrossRef]
- Sinha, R.; Verma, R.; Verma, S.; Rajesh, A. MR enterography of Crohn disease: Part 2, imaging and pathologic findings. AJR Am. J. Roentgenol. 2011, 197, 80–85. [Google Scholar] [CrossRef]
- Giambelluca, D.; Interlicchia, F.; Capodieci, G. The “star sign” in Crohn’s disease. Abdom. Radiol. 2021, 46, 2987–2988. [Google Scholar] [CrossRef]
- Giorgio, A.; Amoroso, P.; Fico, P.; Lettieri, G.; Finelli, L.; de Stefano, C.; Pesce, G.; Scala, V.; Pierri, P.; Pierri, G. Ultrasound evaluation of uncomplicated and complicated acute viral hepatitis. J. Clin. Ultrasound 1986, 14, 675–679. [Google Scholar] [CrossRef]
- Abu-Judeh, H. The “Starry Sky” Liver with Right-Sided Heart Failure. AJR Am. J. Roentgenol. 2002, 178, 78. [Google Scholar] [CrossRef]
- Heller, M.T.; Tublin, M.E. The role of ultrasonography in the evaluation of diffuse liver disease. Radiol. Clin. N. Am. 2014, 52, 1163–1175. [Google Scholar] [CrossRef] [PubMed]
- Kurtz, A.; Rubin, C.; Cooper, H.; Nisenbaum, H.; Cole-Beuglet, C.; Medoff, J.; Goldberg, B. Ultrasound Findings in Hepatitis. Radiology 1980, 136, 717–723. [Google Scholar] [CrossRef] [PubMed]
- Bächler, P.; Baladron, M.; Menias, C.; Beddings, I.; Loch, R.; Zalaquett, E.; Vargas, M.; Connolly, S.; Bhalla, S.; Huete, A. Multimodality Imaging of Liver Infections: Differential Diagnosis and Potential Pitfalls. Radiographics 2016, 36, 1001–1023. [Google Scholar] [CrossRef] [PubMed]
- Bennett, H.; Middleton, W.; Bullock, A.; Teefey, S. Testicular Microlithiasis. Radiology 2001, 218, 359–363. [Google Scholar] [CrossRef]
- Jequier, A.; Phillips, N.; Yovich, J. Testicular Microlithiasis among Infertile Men: A Reason for Concern? Androl. Gynecol. Curr. Res. 2014, 2, 2. [Google Scholar]
- Taguchi, T.; Kohsaki, T. “Starry Sky” Appearance from Multiple Biliary Hamartomas. N. Engl. J. Med. 2020, 382, e33. [Google Scholar] [CrossRef]
- Hassan, M.A. Multiple biliary hamartomas “von Meyenberg complexes” in a newborn: A unique observation. Egypt. Liver J. 2020, 10, 44. [Google Scholar] [CrossRef]
- Van Dorpe, J.; Hackx, M. Typical US, CT and MR Findings in Multiple Biliary Hamartomas. J. Belg. Soc. Radiol. 2017, 101, 4. [Google Scholar] [CrossRef]
- Kakar, S.; Borhani, A.A.; Malik, S.M. A Liver Full of Stars: Hepatostellular! Gastroenterology 2017, 153, e8–e9. [Google Scholar] [CrossRef] [PubMed]
- Neki, N.S.; Shergill, G.S.; Singh, A.; Sidhu, P.B.; Kaur, A. Starry sky appearance in neurocysticercosis. Int. Arch. Intergrated Med. 2017, 4, 131–133. [Google Scholar]
- Kaushal, S.; Sharma, A.; Singh, B.; Kumar, V.; Sharma, V. Stars in the sky: Neurocysticercosis. Intern. Emerg. Med. 2012, 7 (Suppl. S2), S139–S140. [Google Scholar] [CrossRef][Green Version]
- Rana, R.S.; Wu, J.S.; Eisenberg, R.L. Periosteal reaction. AJR Am. J. Roentgenol. 2009, 193, W259–W272. [Google Scholar] [CrossRef]
- Murphey, M.; Senchak, L.; Mambalam, P.; Logie, C.; Klassen-Fischer, M.; Kransdorf, M. From the Radiologic Pathology Archives: Ewing Sarcoma Family of Tumors: Radiologic-Pathologic Correlation. Radiographics 2013, 33, 803–831. [Google Scholar] [CrossRef]
- Gomez, C.K.; Schiffman, S.R.; Bhatt, A.A. Radiological review of skull lesions. Insights Imaging 2018, 9, 857–882. [Google Scholar] [CrossRef]
- Sheetal, S.; Thomas, G. The Sunburst Sign. AMHS J. 2020, 8, 316–317. [Google Scholar] [CrossRef]
- Cakirer, S.; Cakirer, D.; Beser, M.; Demir, K. Cavernous Sinus Meningioma. Eurorad 2001. [Google Scholar] [CrossRef]
- Warren, M.E.; Cook, J.V. Case report: Agenesis of the corpus callosum. Br. J. Radiol. 1993, 66, 81–85. [Google Scholar] [CrossRef]
- Atlas, S.W.; Shkolnik, A.; Naidich, T.P. Sonographic Recognition of Agenesis of the Corpus Callosum. AJR Am. J. Roentgenol. 1985, 6, 369–375. [Google Scholar] [CrossRef] [PubMed]
- Tang, P.H.; Bartha, A.I.; Norton, M.E.; Barkovich, A.J.; Sherr, E.H.; Glenn, O.A. Agenesis of the corpus callosum: An MR imaging analysis of associated abnormalities in the fetus. AJNR Am. J. Neuroradiol. 2009, 30, 257–263. [Google Scholar] [CrossRef] [PubMed]
- Li, Y.-L.; Lee, K.-H.; Yu, M.-L.; Lau, V. The sunburst sign in renal angiomyolipoma. Abdom. Radiol. 2017, 43, 1279–1280. [Google Scholar] [CrossRef] [PubMed]
- Ozan, E.; Atac, G.K.; Gundogdu, S. Twinkling artifact on color Doppler ultrasound: An advantage or a pitfall? J. Med. Ultrason. (2001) 2016, 43, 361–371. [Google Scholar] [CrossRef] [PubMed]
- Nabheerong, P.; Kengkla, K.; Saokaew, S.; Naravejsakul, K. Diagnostic accuracy of Doppler twinkling artifact for identifying urolithiasis: A systematic review and meta-analysis. J. Ultrasound 2023, 26, 321–331. [Google Scholar] [CrossRef]
- LeVine, M.; Allen, A.; Stein, J.; Schwartz, S. The Crescent Sign. Radiology 1963, 81, 971–973. [Google Scholar] [CrossRef]
- Dunbar, J.; Nogrady, M. The Calyceal Crescent—A Roentgenographic Sign of Obstructive Hydronehrosis. AJR Am. J. Roentgenol. 1970, 110, 520–528. [Google Scholar] [CrossRef][Green Version]
- Pappas, J. The Musculoskeletal Crescent Sign. Radiology 2000, 217, 213–214. [Google Scholar] [CrossRef]
- Pang, W.; Karol, A.; Minault, Q.; Veillon, F.; Venkatasamy, A. The hyperdense crescent sign. Abdom. Radiol. 2019, 44, 376–378. [Google Scholar] [CrossRef]
- Burkhardt, J.; Arshanskiy, Y.; Munson, J.; Scholz, F. Diagnosis of Inguinal Region Hernias with Axial CT: The Lateral Crescent Sign and Other Key Findings. Radiographics 2011, 31, E1–E12. [Google Scholar] [CrossRef]
- Hasbahceci, M.; Erol, C. Usefulness of Computed Tomography for Differentiation of Primary Inguinal Hernia. Gazi Med. J. 2015, 26, 170–173. [Google Scholar]
- Chiarenza, A.; Esposto Ultimo, L.; Falsaperla, D.; Travali, M.; Foti, P.V.; Torrisi, S.E.; Schisano, M.; Mauro, L.A.; Sambataro, G.; Basile, A. Chest imaging using signs, symbols, and naturalistic images: A practical guide for radiologists and non-radiologists. Insights Imaging 2019, 10, 114. [Google Scholar] [CrossRef]
- Abramson, S. The Air Crescent Sign. Radiology 2001, 218, 230–232. [Google Scholar] [CrossRef] [PubMed]
- Sharma, S.; Dubey, S.K.; Kumar, N.; Sundriyal, D. ‘Monod’ and ‘air crescent’ sign in aspergilloma. BMJ Case Rep. 2013, 2013, bcr2013200936. [Google Scholar] [CrossRef] [PubMed]
- Tseng, Y.Y.; Chen, C.H. Air crescent sign: Not always due to fungal infection. QJM 2015, 108, 255–256. [Google Scholar] [CrossRef] [PubMed][Green Version]
- Wernecke, K.; Vassallo, P.; Bick, U.; Diederich, S.; Peters, P.E. The Distinction Between Benign and Malignant Liver Tumors on Sonography: Value of a Hypoechoic Halo. AJR Am. J. Roentgenol. 1992, 159, 1005–1009. [Google Scholar] [CrossRef]
- Marchal, G.; Pylyser, K.; Tshibwabwa-Tumba, E.; Verbeken, E.; Oyen, R.; Baert, A.; Lauweryns, J. Anechoic halo in solid liver tumors: Sonographic, microangiographic, and histologic correlation. Radiology 1985, 156, 479–483. [Google Scholar] [CrossRef]
- Schmidt, W. Role of ultrasound in the understanding and management of vasculitis. SAGE J. 2014, 6, 39–47. [Google Scholar] [CrossRef]
- Dejaco, C.; Ramiro, S.; Bond, M.; Bosch, P.; Ponte, C.; Mackie, S.L.; Bley, T.A.; Blockmans, D.; Brolin, S.; Bolek, E.C. EULAR recommendations for the use of imaging in large vessel vasculitis in clinical practice: 2023 update. Ann. Rheum. Dis. 2024, 83, 741–751. [Google Scholar] [CrossRef] [PubMed]
- Pinto, P. The CT Halo Sign. Radiology 2004, 230, 109–110. [Google Scholar] [CrossRef] [PubMed]
- Georgiadou, S.P.; Sipsas, N.V.; Marom, E.M.; Kontoyiannis, D.P. The diagnostic value of halo and reversed halo signs for invasive mold infections in compromised hosts. Clin. Infect. Dis. 2011, 52, 1144–1155. [Google Scholar] [CrossRef] [PubMed]
- Marchiori, E.; Penha, D.; Nobre, L.F.; Hochhegger, B.; Zanetti, G. Differences and similarities between the double halo sign, the chest CT target sign and the reversed halo sign in patients with COVID-19 pneumonia. Korean J. Radiol. 2021, 22, 672. [Google Scholar] [CrossRef] [PubMed]
- Ahualli, J. The Fat Halo Sign. Radiology 2007, 242, 945–946. [Google Scholar] [CrossRef]
- Venkatasamy, A.; Minault, Q.; Veillon, F. Fat halo sign. Abdom. Radiol. 2018, 43, 2533–2534. [Google Scholar] [CrossRef]
- Harisinghani, M.; Wittenberg, J.; Lee, W.; Chen, S.; Gutierrez, A.; Muller, P. Bowel Wall Fat Halo Sign in Patients Without Intestinal Disease. AJR Am. J. Roentgenol. 2003, 181, 781–784. [Google Scholar] [CrossRef]
- Küpeli, A.; Bulut, E.; Ünver, E.; Danişan, G. Evaluation of cardiovascular changes in patients with gastric wall fat halo sign. Turk. J. Med. Sci. 2022, 52, 1169–1176. [Google Scholar] [CrossRef]
- Hansell, D.M.; Bankier, A.A.; MacMahon, H.; McLoud, T.C.; Muller, N.L.; Remy, J. Fleischner Society: Glossary of terms for thoracic imaging. Radiology 2008, 246, 697–722. [Google Scholar] [CrossRef]
- Walsh, S.L.; Roberton, B.J. Images in thorax. The atoll sign. Thorax 2010, 65, 1029–1030. [Google Scholar] [CrossRef][Green Version]
- Marchiori, E.; Hochhegger, B.; Zanetti, G. The reversed halo sign in COVID-19. J. Bras. Pneumol. 2021, 47, e20210407. [Google Scholar] [CrossRef]

















| Sign | Modality | Typical Pathology | Specificity | Clinical Importance |
|---|---|---|---|---|
| Crescent Sign | Contrast-enhanced CT | Severe hydronephrosis | Moderately specific when seen in corticomedullary phase; transient | Indicates severe obstruction; must be correlated with other signs of hydronephrosis for confirmation. |
| AVN Crescent Sign | Radiograph/MRI | Stage III avascular necrosis of femoral head | Highly specific for subchondral collapse | Predicts imminent structural failure of femoral head; crucial for staging and surgical planning. |
| Hyperdense Crescent | Non-contrast CT | Abdominal aortic aneurysm (AAA) | High specificity for aneurysm wall instability | Reliable harbinger of impending rupture; mandates urgent vascular consultation. |
| Lateral Crescent | CT pelvis | Direct inguinal hernia | Specific for distinguishing direct vs. Indirect hernia | Helps guide surgical approach and repair strategy. |
| Air Crescent Sign | CT chest | Invasive pulmonary aspergillosis (IPA), cavitary lung disease | Seen in ~50% of IPA cases; not exclusive | Often coincides with neutrophil recovery in IPA, improving prognosis; must be interpreted with clinical and microbiological data. |
| Sign | Modality | Typical Pathology | Specificity | Clinical Importance |
|---|---|---|---|---|
| Halo Sign (CT chest) | CT (thorax) | Early invasive pulmonary aspergillosis, hemorrhagic metastases, vasculitis, COVID-19 pneumonia | Sensitive but not specific; overlaps with infection and inflammation | Recognized early markers in immunocompromised patients; prompts antifungal therapy but requires correlation with clinical/lab data. |
| Halo Sign (Ultrasound, GCA) | Ultrasound (temporal and axillary arteries) | Giant cell arteritis (arterial wall inflammation) | High specificity when intima-media thickening ≥ 1 mm (sensitivity 88%, specificity 96%) | First-line imaging finding for suspected GCA; can obviate need for temporal artery biopsy in many patients. |
| Fat Halo Sign | CT abdomen | Chronic inflammatory bowel disease (esp. Crohn’s, UC); also obesity, cytoreductive therapy | Low specificity; may also be seen in non-IBD contexts | Suggests chronicity of bowel inflammation; must be interpreted cautiously, not diagnostic on its own. |
| Reversed Halo (Atoll) Sign | CT chest | Organizing pneumonia; also vasculitis, fungal infections, COVID-19 pneumonia | Moderate specificity for organizing pneumonia | Expands differential diagnosis; important radiologic clue but requires clinical integration and follow-up imaging. |
Disclaimer/Publisher’s Note: The statements, opinions and data contained in all publications are solely those of the individual author(s) and contributor(s) and not of MDPI and/or the editor(s). MDPI and/or the editor(s) disclaim responsibility for any injury to people or property resulting from any ideas, methods, instructions or products referred to in the content. |
© 2025 by the authors. Licensee MDPI, Basel, Switzerland. This article is an open access article distributed under the terms and conditions of the Creative Commons Attribution (CC BY) license (https://creativecommons.org/licenses/by/4.0/).
Share and Cite
Jabbour, Y.; El Alam, R.; Amro, S.; Kassas, M.; Ghosn, Y.; Chahine, R.; Khdhir, M.; Nassar, L. Cosmic Signs in Radiology: A Pictorial Review. Diagnostics 2025, 15, 2528. https://doi.org/10.3390/diagnostics15192528
Jabbour Y, El Alam R, Amro S, Kassas M, Ghosn Y, Chahine R, Khdhir M, Nassar L. Cosmic Signs in Radiology: A Pictorial Review. Diagnostics. 2025; 15(19):2528. https://doi.org/10.3390/diagnostics15192528
Chicago/Turabian StyleJabbour, Yara, Raquelle El Alam, Sara Amro, Mutaz Kassas, Youssef Ghosn, Reve Chahine, Mihran Khdhir, and Lara Nassar. 2025. "Cosmic Signs in Radiology: A Pictorial Review" Diagnostics 15, no. 19: 2528. https://doi.org/10.3390/diagnostics15192528
APA StyleJabbour, Y., El Alam, R., Amro, S., Kassas, M., Ghosn, Y., Chahine, R., Khdhir, M., & Nassar, L. (2025). Cosmic Signs in Radiology: A Pictorial Review. Diagnostics, 15(19), 2528. https://doi.org/10.3390/diagnostics15192528

