Selective Angiographic Roadmap Analysis (SARA) of Hepatocellular Carcinoma Feeding Arteries for Transarterial Chemoembolization
Abstract
1. Introduction
2. Arterial Anatomy Mapping and Classification
- The number of feeding segmental arteries (single vs. multiple).
- The origin of the feeders (unilobar vs. bilobar).
- Lobar hepatic artery anatomy (normal vs. variant).
- The patency of mesenteric arteries (celiac and/or SMA).
- The presence of accessory feeders from the following:
- Hepatic arteries;
- Mesenteric arteries;
- Extra-mesenteric arteries.
3. Embolization Point Classification
4. Embolization of the Principal Feeding Artery
5. Accessory Arterial Supply
- (A)
- Tumor size, with >5 cm increasing the risk of ectopic arterial supply.
- (B)
- Tumor location:
- Exophytic: Larger tumor surface area exposed to adjacent organ arterial supply;
- Subcapsular: Near to the adjacent organ arterial supply;
- Perihilar: Near to multiple hepatic and mesenteric artery branches;
- Segments 4 and 1: Watershed areas between the right and left hepatic arteries.
- (C)
- Repeated TACE, which may occlude primary feeders and promote collateral formation.
- (D)
- Partial visualization of tumors on hepatic angiography, which may indicate accessory extrahepatic supply to non-visualized parts of the tumor.
- (A)
- Accessory hepatic arteries: Common hepatic artery variations include an accessory left hepatic artery from the left gastric artery, which may supply left liver lobe HCC, and an accessory right hepatic artery from the SMA, which may supply right liver lobe HCC. Segments 1 and 4 frequently receive dual supply from both lobar hepatic arteries. An accessory middle hepatic artery may arise from the left or right hepatic artery or from the hepatic proper artery as a trifurcation branching. Accessory middle hepatic arteries usually supply segment 4 but may contribute to the supply of right or left liver lobe HCC [36,40,61].
- (B)
- Accessory mesenteric arteries: HCC may be fed by mesenteric branches, such as the left gastric, gastroduodenal, superior mesenteric, and pancreaticoduodenal arteries. Left lobe tumors may recruit the left gastric or pancreaticoduodenal arteries, whereas right lobe tumors may be supplied by gastroduodenal and omental branches [62,63].
- (C)
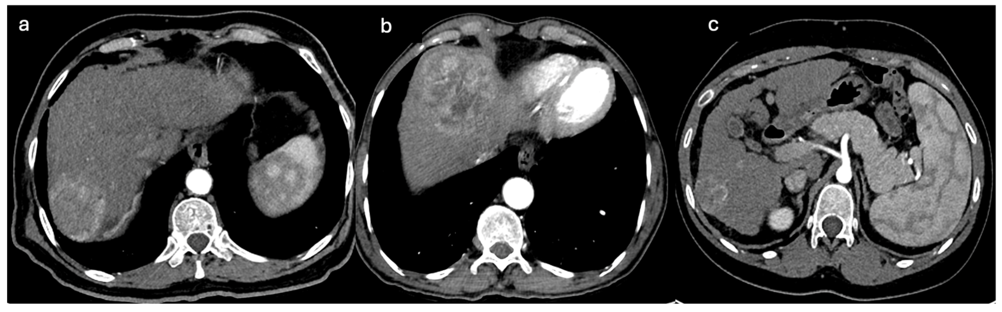
- Accessory extra-mesenteric arteries: Tumors that are located anteriorly at liver dome segments 2, 4A, and 8 may receive accessory supply from the internal mammary artery, a branch of the right subclavian artery. However, HCC located posteriorly at liver dome segments 8, 7, and 2 and the caudate may receive accessory supply from the inferior phrenic artery, a branch of the celiac trunk or directly originating from the abdominal aorta [64]. A subcapsular tumor near the ribs may receive accessory supply from intercostal arteries, as shown in Figure 5 [65].
6. Additive Role of Cone-Beam CT
7. Additive Role of Artificial Intelligence
8. Summary of Stepwise Workflow of SARA
- Automatically extract and reconstruct the hepatic arterial tree;
- Highlight potential tumor feeders, even when overlying vessels obscure direct visualization;
- Provide a “virtual roadmap” for catheter trajectory planning.
9. Conclusions
Funding
Institutional Review Board Statement
Informed Consent Statement
Data Availability Statement
Conflicts of Interest
Abbreviations
| HCC | Hepatocellular carcinoma |
| TACE | Transarterial chemoembolization |
| SARA | Selective angiographic roadmap analysis |
| CT | Computer tomography |
| MRI | Magnetic resonance imaging |
| CBCT | Cone-beam computed tomography |
| DSA | Digital substruction angiography |
| CA | Celiac artery |
| CHA | Common hepatic artery |
| PHR | Proper hepatic artery |
| LHA | Lobar hepatic artery |
| LLHA | Left lobar hepatic artery |
| RLHA | Right lobar hepatic artery |
| MHA | Middle hepatic artery |
| SHA | Segmental hepatic artery |
| SSHA | Subsegmental hepatic artery |
| LGA | Left gastric artery |
| IPA | Inferior phrenic artery |
| ICA | Intercostal artery |
| IMA | Internal mammary artery |
| GDA | Gastroduodenal artery |
| AMA | Accessory mesenteric artery |
| AHA | Accessory hepatic artery |
References
- Qiao, W.; Wang, Q.; Mei, T.; Wang, Q.; Wang, W.; Zhang, Y. External validation and improvement of the scoring system for predicting the prognosis in hepatocellular carcinoma after interventional therapy. Front. Surg. 2023, 10, 1045213. [Google Scholar] [CrossRef]
- Fang, C.; Luo, R.; Zhang, Y.; Wang, J.; Feng, K.; Liu, S.; Chen, C.; Yao, R.; Shi, H.; Zhong, C. Hepatectomy versus transcatheter arterial chemoembolization for resectable BCLC stage A/B hepatocellular carcinoma beyond Milan criteria: A randomized clinical trial. Front. Oncol. 2023, 13, 1101162. [Google Scholar] [CrossRef] [PubMed]
- Alharbi, S.R. Sultan’s score: A novel predictive score to predict complete response following drug-eluting bead chemoembolization. Cureus 2025, 17, e76822. [Google Scholar] [CrossRef] [PubMed]
- Altekruse, S.F.; McGlynn, K.A.; Reichman, M.E. Hepatocellular carcinoma incidence, mortality, and survival trends in the United States from 1975 to 2005. J. Clin. Oncol. 2009, 27, 1485–1491. [Google Scholar] [CrossRef] [PubMed]
- Qiu, S.; Yu, J.; Fang, F.; Tang, W.; Zhang, W.; Li, Y.; Wang, L. Trends in hepatocellular carcinoma mortality rates in the US and projections through 2040. JAMA Netw. Open 2024, 7, e2445525. [Google Scholar] [CrossRef]
- Hwang, S.Y.; Kim, B.K.; Han, K.H.; Kim, S.U. Hepatocellular carcinoma: Updates on epidemiology, surveillance, diagnosis and treatment. Clin. Mol. Hepatol. 2025, 31, S228–S254. [Google Scholar] [CrossRef]
- D’Avola, D.; Granito, A.; Torre-Aláez, M.; Piscaglia, F. The importance of liver functional reserve in the non-surgical treatment of hepatocellular carcinoma. J. Hepatol. 2022, 76, 1185–1198. [Google Scholar] [CrossRef]
- Tarao, K.; Takemiya, S.; Takahashi, H.; Tanaka, K.; Kumada, T. Real impact of liver cirrhosis on the development of hepatocellular carcinoma in various liver diseases—Meta-analytic assessment. Cancer Med. 2019, 8, 1054–1065. [Google Scholar] [CrossRef]
- Johnson, P.J.; Kalyuzhnyy, A.; Boswell, E.; Toyoda, H. Progression of chronic liver disease to hepatocellular carcinoma: Implications for surveillance and management. BJC Rep. 2024, 2, 39. [Google Scholar] [CrossRef]
- Bengtsson, B.; Widman, L.; Wahlin, S.; Stål, P.; Björkström, N.K.; Hagström, H. The risk of hepatocellular carcinoma in cirrhosis differs by etiology, age and sex: A Swedish nationwide population-based cohort study. United Eur. Gastroenterol. J. 2022, 10, 465–476. [Google Scholar] [CrossRef]
- Enomoto, H.; Akuta, N.; Hikita, H.; Suda, G.; Inoue, J.; Tamaki, N.; Ito, K.; Akahane, T.; Kawaoka, T.; Morishita, A.; et al. Etiological changes of liver cirrhosis and hepatocellular carcinoma-complicated liver cirrhosis in Japan: Updated nationwide survey from 2018 to 2021. Hepatol. Res. 2024, 54, 763–772. [Google Scholar] [CrossRef]
- Asayama, Y.; Yoshimitsu, K.; Nishihara, Y.; Irie, H.; Aishima, S.; Taketomi, A.; Honda, H. Arterial blood supply of hepatocellular carcinoma and histologic grading: Radiologic-pathologic correlation. Am. J. Roentgenol. 2008, 190, W28–W34. [Google Scholar] [CrossRef] [PubMed]
- Morse, M.A.; Sun, W.; Kim, R.; He, A.R.; Abada, P.B.; Mynderse, M.; Finn, R.S. The role of angiogenesis in hepatocellular carcinoma. Clin. Cancer Res. 2019, 25, 912–920. [Google Scholar] [CrossRef] [PubMed]
- Zhu, A.X.; Duda, D.G.; Sahani, D.V.; Jain, R.K. HCC and angiogenesis: Possible targets and future directions. Nat. Rev. Clin. Oncol. 2011, 8, 292–301. [Google Scholar] [CrossRef] [PubMed]
- Tümen, D.; Heumann, P.; Gülow, K.; Demirci, C.N.; Cosma, L.S.; Müller, M.; Kandulski, A. Pathogenesis and current treatment strategies of hepatocellular carcinoma. Biomedicines 2022, 10, 3202. [Google Scholar] [CrossRef]
- Pérez-López, A.; Martín-Sabroso, C.; Gómez-Lázaro, L.; Torres-Suárez, A.I.; Aparicio-Blanco, J. Embolization therapy with microspheres for the treatment of liver cancer: State-of-the-art of clinical translation. Acta Biomater. 2022, 149, 1–15. [Google Scholar] [CrossRef]
- Ayyub, J.; Dabhi, K.N.; Gohil, N.V.; Tanveer, N.; Hussein, S.; Pingili, S.; Makkena, V.K.; Jaramillo, A.P.; Awosusi, B.L.; Nath, T.S. Evaluation of the safety and efficacy of conventional transarterial chemoembolization (cTACE) and drug-eluting bead (DEB)-TACE in the management of unresectable hepatocellular carcinoma: A systematic review. Cureus 2023, 15, e41943. [Google Scholar] [CrossRef]
- Nakaura, T.; Awai, K.; Yanaga, Y.; Nakayama, Y.; Oda, S.; Funama, Y.; Yamashita, Y. Detection of early enhancement of hypervascular hepatocellular carcinoma using single breath-hold 3D pixel shift dynamic subtraction MDCT. Am. J. Roentgenol. 2008, 190, W13–W18. [Google Scholar] [CrossRef]
- Zhou, L.; Zhang, M.; Chen, S. Comparison of surgical resection and transcatheter arterial chemoembolization for large hepatocellular carcinoma: A systematic review and meta-analysis. Ann. Hepatol. 2023, 28, 100890. [Google Scholar] [CrossRef]
- Lanza, C.; Ascenti, V.; Amato, G.V.; Pellegrino, G.; Triggiani, S.; Tintori, J.; Intrieri, C.; Angileri, S.A.; Biondetti, P.; Carriero, S.; et al. All you need to know about TACE: A comprehensive review of indications, techniques, efficacy, limits, and technical advancement. J. Clin. Med. 2025, 14, 314. [Google Scholar] [CrossRef]
- Kotsifa, E.; Vergadis, C.; Vailas, M.; Machairas, N.; Kykalos, S.; Damaskos, C.; Garmpis, N.; Lianos, G.D.; Schizas, D. Transarterial chemoembolization for hepatocellular carcinoma: Why, when, how? J. Pers. Med. 2022, 12, 436. [Google Scholar] [CrossRef] [PubMed]
- Zhong, B.Y.; Jin, Z.C.; Chen, J.J.; Zhu, H.D.; Zhu, X.L. Role of transarterial chemoembolization in the treatment of hepatocellular carcinoma. J. Clin. Transl. Hepatol. 2023, 11, 480–489. [Google Scholar] [CrossRef] [PubMed]
- Piscaglia, F.; Ogasawara, S. Patient selection for transarterial chemoembolization in hepatocellular carcinoma: Importance of benefit/risk assessment. Liver Cancer 2018, 7, 104–119. [Google Scholar] [CrossRef] [PubMed]
- Reig, M.; Forner, A.; Rimola, J.; Ferrer-Fàbrega, J.; Burrel, M.; Garcia-Criado, Á.; Kelley, R.K.; Galle, P.R.; Mazzaferro, V.; Salem, R.; et al. BCLC strategy for prognosis prediction and treatment recommendation: The 2022 update. J. Hepatol. 2022, 76, 681–693. [Google Scholar] [CrossRef]
- Jin, Z.C.; Zhong, B.Z.; Chen, J.J.; Zhu, H.D.; Sun, J.H.; Yin, G.W.; Ge, N.J.; Juo, B.; Ding, W.B.; Li, W.H.; et al. Real-world efficacy and safety of TACE plus camrelizumab and apatinib in patients with HCC (CHANCE2211): A propensity score matching study. Eur. Radiol. 2023, 33, 8669–8681. [Google Scholar] [CrossRef]
- Lu, J.; Zhao, M.; Arai, Y.; Zhong, B.-Y.; Zhu, H.-D.; Qi, X.-L.; de Baere, T.; Pua, U.; Yoon, H.K.; Madoff, D.C.; et al. Clinical Practice of Transarterial Chemoembolization for Hepatocellular Carcinoma: Consensus Statement from an International Expert Panel of International Society of Multidisciplinary Interventional Oncology (ISMIO). Hepatobiliary Surg. Nutr. 2021, 10, 661–671. [Google Scholar] [CrossRef]
- Hyun, D. Transarterial Radioembolization for Hepatocellular Carcinoma in Korea: Current Clinical Practices, Facility Requirements, and Patient Selection. J. Korean Soc. Radiol. 2025, 86, 447–456. [Google Scholar] [CrossRef]
- Lin, J.; Li, J.; Kong, Y.; Yang, J.; Zhang, Y.; Zhu, G.; Yu, Z.; Xia, J. Construction of a Prognostic Model for Hepatocellular Carcinoma Patients Receiving Transarterial Chemoembolization Treatment Based on the Tumor Burden Score. BMC Cancer 2024, 24, 306. [Google Scholar] [CrossRef]
- Kasolowsky, V.; Gross, M.; Madoff, D.C.; Duncan, J.; Taddei, T.; Strazzabosco, M.; Jaffe, A.; Chapiro, J. Comparison of Prognostic Accuracy of HCC Staging Systems in Patients Undergoing TACE. Clin. Imaging 2025, 120, 110438. [Google Scholar] [CrossRef]
- Jia, K.; Yin, W.; Gao, Z.; Shen, W.; Wang, F.; Xie, S.; Li, M.; Lv, R. Recommendation of mHAP and ABCR Scoring Systems for the Decision-Making of the First and Subsequent TACE Session in HCC Patients. Eur. J. Gastroenterol. Hepatol. 2023, 35, 461–470. [Google Scholar] [CrossRef]
- Taiji, R.; Lin, Y.M.; Chintalapani, G.; Lin, E.Y.; Huang, S.Y.; Mahvash, A.; Avritscher, R.; Liu, C.A.; Lee, R.C.; Resende, V.; et al. A Novel Method for Predicting Hepatocellular Carcinoma Response to Chemoembolization Using an Intraprocedural CT Hepatic Arteriography-Based Enhancement Mapping: A Proof-of-Concept Analysis. Eur. Radiol. Exp. 2023, 7, 4. [Google Scholar] [CrossRef]
- Raoul, J.-L.; Forner, A.; Bolondi, L.; Cheung, T.T.; Kloeckner, R.; de Baere, T. Updated Use of TACE for Hepatocellular Carcinoma Treatment: How and When to Use It Based on Clinical Evidence. Cancer Treat. Rev. 2019, 72, 28–36. [Google Scholar] [CrossRef] [PubMed]
- Malviya, K.K.; Verma, A.; Nayak, A.K.; Mishra, A.; More, R.S. Unraveling Variations in Celiac Trunk and Hepatic Artery by CT Angiography to Aid in Surgeries of Upper Abdominal Region. Diagnostics 2021, 11, 2262. [Google Scholar] [CrossRef] [PubMed] [PubMed Central]
- Favelier, S.; Germain, T.; Genson, P.Y.; Cercueil, J.P.; Denys, A.; Krausé, D.; Guiu, B. Anatomy of Liver Arteries for Interventional Radiology. Diagn. Interv. Imaging 2014, 95, 775–785. [Google Scholar] [CrossRef] [PubMed]
- Boulin, M.; Delhom, E.; Pierredon-Foulongne, M.A.; Cercueil, J.P.; Guiu, B. Transarterial Chemoembolization for Hepatocellular Carcinoma: An Old Method, Now Flavor of the Day. Diagn. Interv. Imaging 2015, 96, 607–615. [Google Scholar] [CrossRef]
- Cazejust, J.; Bessoud, B.; Colignon, N.; Garcia-Alba, C.; Planché, O.; Menu, Y. Hepatocellular Carcinoma Vascularization: From the Most Common to the Lesser Known Arteries. Diagn. Interv. Imaging 2014, 95, 27–36. [Google Scholar] [CrossRef]
- Song, S.-Y.; Chung, J.W.; Yin, Y.H.; Jae, H.J.; Kim, H.-C.; Jeon, U.B.; Cho, B.H.; So, Y.H.; Park, J.H. Celiac Axis and Common Hepatic Artery Variations in 5002 Patients: Systematic Analysis with Spiral CT and DSA. Radiology 2010, 255, 278–288. [Google Scholar] [CrossRef]
- Choi, T.W.; Chung, J.W.; Kim, H.C.; Lee, M.; Choi, J.W.; Jae, H.J.; Hur, S. Anatomic Variations of the Hepatic Artery in 5625 Patients. Radiol. Cardiothorac. Imaging 2021, 3, e210007. [Google Scholar] [CrossRef]
- Cho, Y.; Choi, J.W.; Kwon, H.; Kim, K.Y.; Lee, B.C.; Chu, H.H.; Lee, D.H.; Lee, H.A.; Kim, G.M.; Oh, J.S.; et al. Research Committee of the Korean Liver Cancer Association. Transarterial Chemoembolization for Hepatocellular Carcinoma: 2023 Expert Consensus-Based Practical Recommendations of the Korean Liver Cancer Association. Korean J. Radiol. 2023, 24, 606–625. [Google Scholar] [CrossRef]
- Abou Khadrah, R.S.; Abedelmalik, M.H.; Alameldeen, M.A.E.; Elbarbary, A.A. Hepatocellular Carcinoma Vascularization: CT Angiography Variations Identifying Arteries Feeding the Tumour. Egypt. J. Radiol. Nucl. Med. 2023, 54, 183. [Google Scholar] [CrossRef]
- Bolintineanu, L.A.; Bolintineanu, S.L.; Iacob, N.; Zăhoi, D.-E. Clinical Consideration of Anatomical Variations in the Common Hepatic Arteries: An Analysis Using MDCT Angiography. Diagnostics 2023, 13, 1636. [Google Scholar] [CrossRef]
- Gietzen, C.; Janssen, J.P.; Görtz, L.; Kaya, K.; Gietzen, T.; Gertz, R.J.; Pennig, H.; Seuthe, K.; Maintz, D.; Rauen, P.S.; et al. Non-contrast-enhanced MR-angiography of the abdominal arteries: Intraindividual comparison between relaxation-enhanced angiography without contrast and triggering (REACT) and 4D contrast-enhanced MR-angiography. Abdom. Radiol. 2025, 50, 1887–1898. [Google Scholar] [CrossRef] [PubMed] [PubMed Central]
- Samuolyte, A.; Luksaite-Lukste, R.; Kvietkauskas, M. Anatomical variations of hepatic arteries: Implications for clinical practice. Front. Surg. 2025, 12, 1593800. [Google Scholar] [CrossRef] [PubMed] [PubMed Central]
- Cui, Z.; Shukla, P.A.; Habibollahi, P.; Park, H.S.; Fischman, A.; Kolber, M.K. A Systematic Review of Automated Feeder Detection Software for Locoregional Treatment of Hepatic Tumors. Diagn. Interv. Imaging 2020, 101, 439–449. [Google Scholar] [CrossRef] [PubMed]
- Chang, Y.; Jeong, S.W.; Jang, J.Y.; Kim, Y.J. Recent Updates of Transarterial Chemoembolization in Hepatocellular Carcinoma. Int. J. Mol. Sci. 2020, 21, 8165. [Google Scholar] [CrossRef] [PubMed]
- Kudo, M.; Han, K.H.; Ye, S.L.; Zhou, J.; Huang, Y.H.; Lin, S.M.; Wang, C.K.; Ikeda, M.; Chan, S.L.; Choo, S.P.; et al. A Changing Paradigm for the Treatment of Intermediate-Stage Hepatocellular Carcinoma: Asia-Pacific Primary Liver Cancer Expert Consensus Statements. Liver Cancer 2020, 9, 245–260. [Google Scholar] [CrossRef] [PubMed]
- Müller, L.; Stoehr, F.; Mähringer-Kunz, A.; Hahn, F.; Weinmann, A.; Kloeckner, R. Current Strategies to Identify Patients That Will Benefit from TACE Treatment and Future Directions—A Practical Step-by-Step Guide. J. Hepatocell. Carcinoma 2021, 8, 403–419. [Google Scholar] [CrossRef]
- Omata, M.; Cheng, A.L.; Kokudo, N.; Kudo, M.; Lee, J.M.; Jia, J.; Tateishi, R.; Han, K.H.; Chawla, Y.K.; Shiina, S.; et al. Asia-Pacific Clinical Practice Guidelines on the Management of Hepatocellular Carcinoma: A 2017 Update. Hepatol. Int. 2017, 11, 317–370. [Google Scholar] [CrossRef]
- Paul, S.B.; Gamanagatti, S.R.; Mukund, A.; Abbas, S.Z.; Acharya, S.K. Transarterial Chemoembolization for Hepatocellular Carcinoma: Significance of Extrahepatic Collateral Supply. Indian J. Cancer 2011, 48, 339–344. [Google Scholar] [CrossRef]
- Chou, C.T.; Huang, Y.C.; Lee, C.W.; Lee, K.W.; Chen, Y.L.; Chen, R.C. Efficacy of Transarterial Chemoembolization for Hepatocellular Carcinoma in Interlobar Watershed Zone of Liver: Comparison of Unilateral and Bilateral Chemoembolization. J. Vasc. Interv. Radiol. 2012, 23, 1036–1042. [Google Scholar] [CrossRef]
- Peng, C.W.; Teng, W.; Lui, K.W.; Hung, C.F.; Jeng, W.J.; Huang, C.H.; Chen, W.T.; Lin, C.C.; Lin, C.Y.; Lin, S.M.; et al. Complete Response at First Transarterial Chemoembolization Predicts Favorable Outcome in Hepatocellular Carcinoma. Am. J. Cancer Res. 2021, 11, 4956–4965. [Google Scholar]
- Miyayama, S.; Yamashiro, M.; Sugimori, N.; Ikeda, R.; Okimura, K.; Sakuragawa, N. Outcomes of Patients with Hepatocellular Carcinoma Treated with Conventional Transarterial Chemoembolization Using Guidance Software. J. Vasc. Interv. Radiol. 2019, 30, 10–18. [Google Scholar] [CrossRef]
- Iwazawa, J.; Ohue, S.; Hashimoto, N.; Mitani, T. Accuracy of Software-Assisted Detection of Tumour Feeders in Transcatheter Hepatic Chemoembolization Using Three Target Definition Protocols. Clin. Radiol. 2014, 69, 145–150. [Google Scholar] [CrossRef] [PubMed]
- Sakon, M.; Nagano, H.; Nakamori, S.; Dono, K.; Umeshita, K.; Murakami, T.; Nakamura, H.; Monden, M. Intrahepatic Recurrences of Hepatocellular Carcinoma after Hepatectomy: Analysis Based on Tumor Hemodynamics. Arch. Surg. 2002, 137, 94–99. [Google Scholar] [CrossRef] [PubMed]
- Teng, W.; Liu, K.W.; Lin, C.C.; Jeng, W.J.; Chen, W.T.; Sheen, I.S.; Lin, C.Y.; Lin, S.M. Insufficient Ablative Margin Determined by Early Computed Tomography May Predict the Recurrence of Hepatocellular Carcinoma after Radiofrequency Ablation. Liver Cancer 2015, 4, 26–38. [Google Scholar] [CrossRef] [PubMed]
- Miyayama, S.; Matsui, O. Superselective Conventional Transarterial Chemoembolization for Hepatocellular Carcinoma: Rationale, Technique, and Outcome. J. Vasc. Interv. Radiol. 2016, 27, 1269–1278. [Google Scholar] [CrossRef]
- Miyayama, S.; Yamashiro, M.; Shibata, Y.; Hashimoto, M.; Yoshida, M.; Tsuji, K.; Toshima, F.; Matsui, O. Comparison of Local Control Effects of Superselective Transcatheter Arterial Chemoembolization Using Epirubicin plus Mitomycin C and Miriplatin for Hepatocellular Carcinoma. Jpn. J. Radiol. 2012, 30, 263–270. [Google Scholar] [CrossRef]
- Sasaki, A.; Kai, S.; Iwashita, Y.; Hirano, S.; Ohta, M.; Kitano, S. Microsatellite Distribution and Indication for Locoregional Therapy in Small Hepatocellular Carcinoma. Cancer 2005, 103, 299–306. [Google Scholar] [CrossRef]
- Kim, H.C. Role of C-Arm Cone-Beam CT in Chemoembolization for Hepatocellular Carcinoma. Korean J. Radiol. 2015, 16, 114–124. [Google Scholar] [CrossRef]
- Kim, H.C.; Chung, J.W.; Lee, W.; Jae, H.J.; Park, J.H. Recognizing Extrahepatic Collateral Vessels That Supply Hepatocellular Carcinoma to Avoid Complications of Transcatheter Arterial Chemoembolization. RadioGraphics 2005, 25 (Suppl. 1), S25–S39. [Google Scholar] [CrossRef]
- Sun, Z.; Shi, Z.; Xin, Y.; Zhao, S.; Jiang, H.; Li, J.; Li, J.; Jiang, H. Contrast-Enhanced CT Imaging Features Combined with Clinical Factors to Predict the Efficacy and Prognosis for Transarterial Chemoembolization of Hepatocellular Carcinoma. Acad. Radiol. 2023, 30 (Suppl. 1), S81–S91. [Google Scholar] [CrossRef] [PubMed]
- Huang, D.; Chen, Y.; Zeng, Q.; Zhao, J.; Wu, X.; Wu, R.; Li, Y. Blood Supply Characteristics of Pedunculated Hepatocellular Carcinoma Prior to and Following Transcatheter Arterial Chemoembolization Treatment: An Angiographic Demonstration. Oncol. Lett. 2018, 15, 3383–3389. [Google Scholar] [CrossRef] [PubMed]
- Miyayama, S.; Matsui, O.; Akakura, Y.; Yamamoto, T.; Nishida, H.; Yoneda, K.; Kawai, K.; Nishijima, H. Hepatocellular Carcinoma with Blood Supply from Omental Branches: Treatment with Transcatheter Arterial Embolization. J. Vasc. Interv. Radiol. 2001, 12, 1285–1290. [Google Scholar] [CrossRef] [PubMed]
- Chen, G.W.; Song, B.; Li, Z.L.; Yuan, Y. Ectopic Blood Supply of Hepatocellular Carcinoma as Depicted by Angiography with Computed Tomography: Associations with Morphological Features and Therapeutic History. PLoS ONE 2013, 8, e71942. [Google Scholar] [CrossRef]
- Park, S.I.; Lee, D.Y.; Won, J.Y.; Lee, J.T. Extrahepatic Collateral Supply of Hepatocellular Carcinoma by the Intercostal Arteries. J. Vasc. Interv. Radiol. 2003, 14, 461–468. [Google Scholar] [CrossRef]
- Nakai, M.; Sato, M.; Kawai, N.; Minamiguchi, H.; Masuda, M.; Tanihata, H.; Takeuchi, T.; Terada, M.; Kishi, K. Hepatocellular Carcinoma: Involvement of the Internal Mammary Artery. Radiology 2001, 219, 147–152. [Google Scholar] [CrossRef]
- Kakeda, S.; Korogi, Y.; Ohnari, N.; Moriya, J.; Oda, N.; Nishino, K.; Miyamoto, W. Usefulness of Cone-Beam Volume CT with Flat Panel Detectors in Conjunction with Catheter Angiography for Transcatheter Arterial Embolization. J. Vasc. Interv. Radiol. 2007, 18, 1508–1516. [Google Scholar] [CrossRef]
- Iwazawa, J.; Ohue, S.; Mitani, T.; Abe, H.; Hashimoto, N.; Hamuro, M.; Nakamura, K. Identifying Feeding Arteries during TACE of Hepatic Tumors: Comparison of C-Arm CT and Digital Subtraction Angiography. Am. J. Roentgenol. 2009, 192, 1057–1063. [Google Scholar] [CrossRef]
- Pung, L.; Ahmad, M.; Mueller, K.; Rosenberg, J.; Stave, C.; Hwang, G.L.; Shah, R.; Kothary, N. The Role of Cone-Beam CT in Transcatheter Arterial Chemoembolization for Hepatocellular Carcinoma: A Systematic Review and Meta-Analysis. J. Vasc. Interv. Radiol. 2017, 28, 334–341. [Google Scholar] [CrossRef]
- Wang, X.; Yarmohammadi, H.; Cao, G.; Ji, X.; Hu, J.; Yarmohammadi, H.; Chen, H.; Zhu, X.; Yang, R.; Solomon, S.B. Dual Phase Cone-Beam Computed Tomography in Detecting <3 cm Hepatocellular Carcinomas during Transarterial Chemoembolization. J. Cancer Res. Ther. 2017, 13, 38–43. [Google Scholar] [CrossRef]
- Joo, S.M.; Kim, Y.P.; Yum, T.J.; Eun, N.L.; Lee, D.; Lee, K.H. Optimized Performance of FlightPlan during Chemoembolization for Hepatocellular Carcinoma: Importance of the Proportion of Segmented Tumor Area. Korean J. Radiol. 2016, 17, 771–778. [Google Scholar] [CrossRef]
- Bannangkoon, K.; Hongsakul, K.; Tubtawee, T. Impact of Cone-Beam Computed Tomography with Automated Feeder Detection Software on the Survival Outcome of Patients with Hepatocellular Carcinoma during Treatment with Conventional Transarterial Chemoembolization. BMC Gastroenterol. 2021, 21, 419. [Google Scholar] [CrossRef]
- De Baere, T.; Arai, Y.; Lencioni, R.; Geschwind, J.-F.; Rilling, W.; Salem, R.; Matsui, O.; Soulen, M.C. Treatment of Liver Tumors with Lipiodol TACE: Technical Recommendations from Experts Opinion. Cardiovasc. Interv. Radiol. 2016, 39, 334–343. [Google Scholar] [CrossRef]
- Zhong, B.Y.; Jia, Z.Z.; Zhang, W.; Liu, C.; Ying, S.-H.; Yan, Z.-P.; Ni, C.-F.; Clinical Guidelines Committee of Chinese College of Interventionalists. Application of Cone-Beam Computed Tomography in Interventional Therapies for Liver Malignancy: A Consensus Statement by the Chinese College of Interventionalists. J. Clin. Transl. Hepatol. 2024, 12, 886–891. [Google Scholar] [CrossRef]
- Chiaradia, M.; Izamis, M.-L.; Radaelli, A.; Prevoo, W.; Maleux, G.; Schlachter, T.; Mayer, J.; Luciani, A.; Kobeiter, H.; Tacher, V. Sensitivity and Reproducibility of Automated Feeding Artery Detection Software during Transarterial Chemoembolization of Hepatocellular Carcinoma. J. Vasc. Interv. Radiol. 2018, 29, 425–431. [Google Scholar] [CrossRef]
- Baere, T.; Ronot, M.; Chung, J.W.; Golfieri, R.; Kloeckner, R.; Park, J.W.; Gebauer, B.; Kibriya, N.; Ananthakrishnan, G.; Miyayama, S. Initiative on Superselective Conventional Transarterial Chemoembolization Results (INSPIRE). Cardiovasc. Interv. Radiol. 2022, 45, 1430–1440. [Google Scholar] [CrossRef]
- Miyayama, S.; Yamashiro, M.; Ikeda, R.; Matsumoto, J.; Ogawa, N.; Sakuragawa, N. Usefulness of Virtual Parenchymal Perfusion Software Visualizing Embolized Areas to Determine Optimal Catheter Position in Superselective Conventional Transarterial Chemoembolization for Hepatocellular Carcinoma. Hepatol. Res. 2021, 51, 313–322. [Google Scholar] [CrossRef] [PubMed]









| Type | Description |
|---|---|
| 1 | Single feeding artery branch of a single lobar hepatic artery |
| 2 | Multiple feeding arteries from a single lobar hepatic artery |
| 3 | Multiple feeding arteries from multiple lobar hepatic arteries |
| 4 | Multiple feeding arteries from lobar hepatic arteries plus accessory arteries |
| Type | Catheter Tip Location | Hepatic Parenchyma Affected |
|---|---|---|
| Lobar TACE (non-selective) | Lobar hepatic artery | Whole liver lobe |
| Selective TACE | Segmental hepatic artery | Liver segment |
| Superselective TACE | Subsegmental hepatic artery | Part of liver segment |
| Feeding HCC Artery | Embolization Point |
|---|---|
| Single feeding artery from single lobar artery | Superselective or selective (one point) |
| Multiple feeding arteries from one lobar artery | Lobar embolization point |
| Multiple feeding arteries from two lobar arteries | Superselective or selective (two points) |
| Scenario | Purpose |
|---|---|
| 1. No tumor blush or feeder artery seen in DSA | To detect subtle feeders and confirm subtle less vascular tumors |
| 2. Overlying multiple arteries | To ensure complete tumor coverage/guide selectivity |
| 3. Suspected accessory feeder arteries | To identify accessory or extrahepatic tumor supply |
| 4. Post-embolization | To verify devascularization and technical success |
Disclaimer/Publisher’s Note: The statements, opinions and data contained in all publications are solely those of the individual author(s) and contributor(s) and not of MDPI and/or the editor(s). MDPI and/or the editor(s) disclaim responsibility for any injury to people or property resulting from any ideas, methods, instructions or products referred to in the content. |
© 2025 by the author. Licensee MDPI, Basel, Switzerland. This article is an open access article distributed under the terms and conditions of the Creative Commons Attribution (CC BY) license (https://creativecommons.org/licenses/by/4.0/).
Share and Cite
Alharbi, S.R. Selective Angiographic Roadmap Analysis (SARA) of Hepatocellular Carcinoma Feeding Arteries for Transarterial Chemoembolization. Diagnostics 2025, 15, 2533. https://doi.org/10.3390/diagnostics15192533
Alharbi SR. Selective Angiographic Roadmap Analysis (SARA) of Hepatocellular Carcinoma Feeding Arteries for Transarterial Chemoembolization. Diagnostics. 2025; 15(19):2533. https://doi.org/10.3390/diagnostics15192533
Chicago/Turabian StyleAlharbi, Sultan R. 2025. "Selective Angiographic Roadmap Analysis (SARA) of Hepatocellular Carcinoma Feeding Arteries for Transarterial Chemoembolization" Diagnostics 15, no. 19: 2533. https://doi.org/10.3390/diagnostics15192533
APA StyleAlharbi, S. R. (2025). Selective Angiographic Roadmap Analysis (SARA) of Hepatocellular Carcinoma Feeding Arteries for Transarterial Chemoembolization. Diagnostics, 15(19), 2533. https://doi.org/10.3390/diagnostics15192533

