An Account of Acute Myeloid Leukemia Complicating Pregnancy and Literature Review
Abstract
1. Introduction
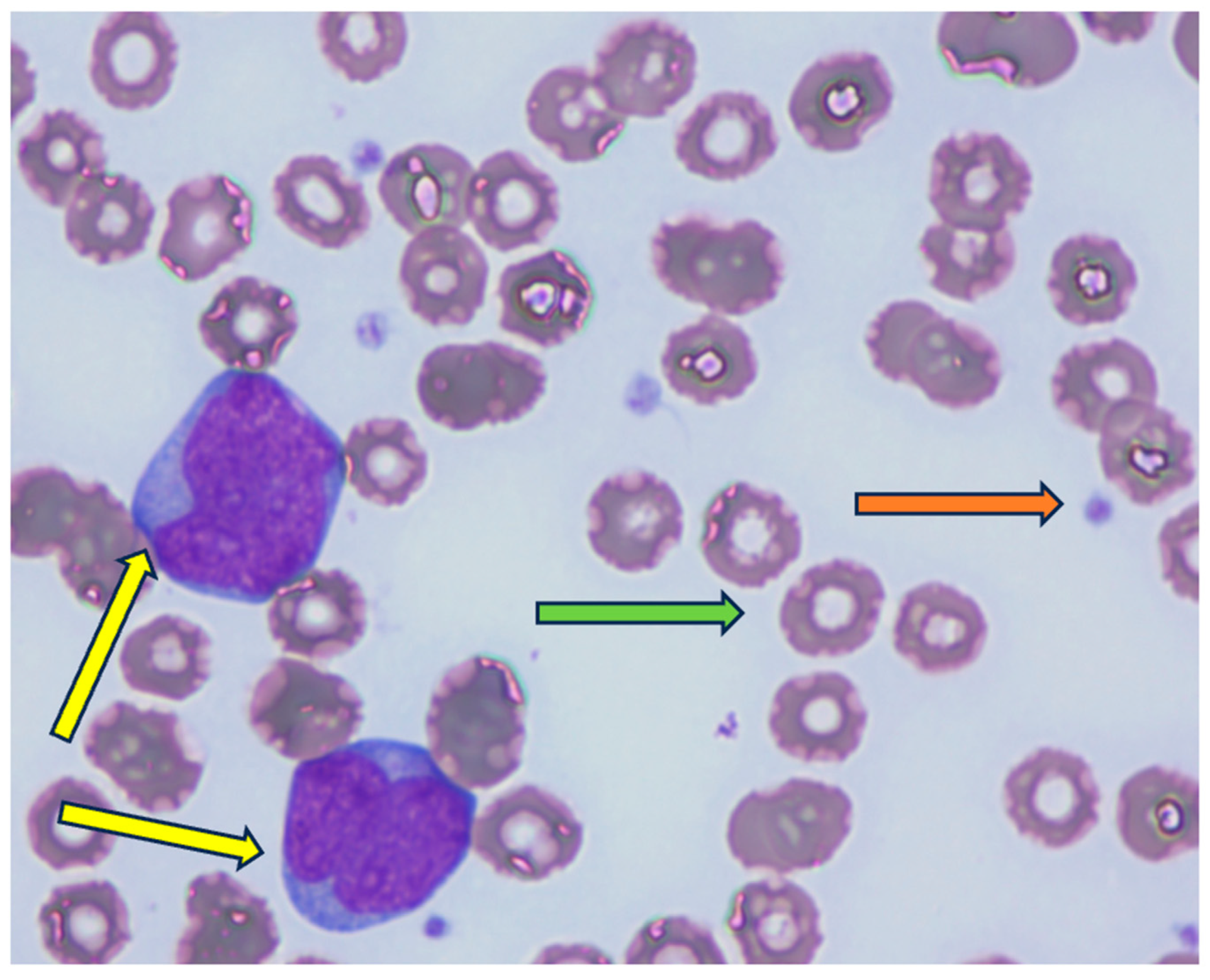
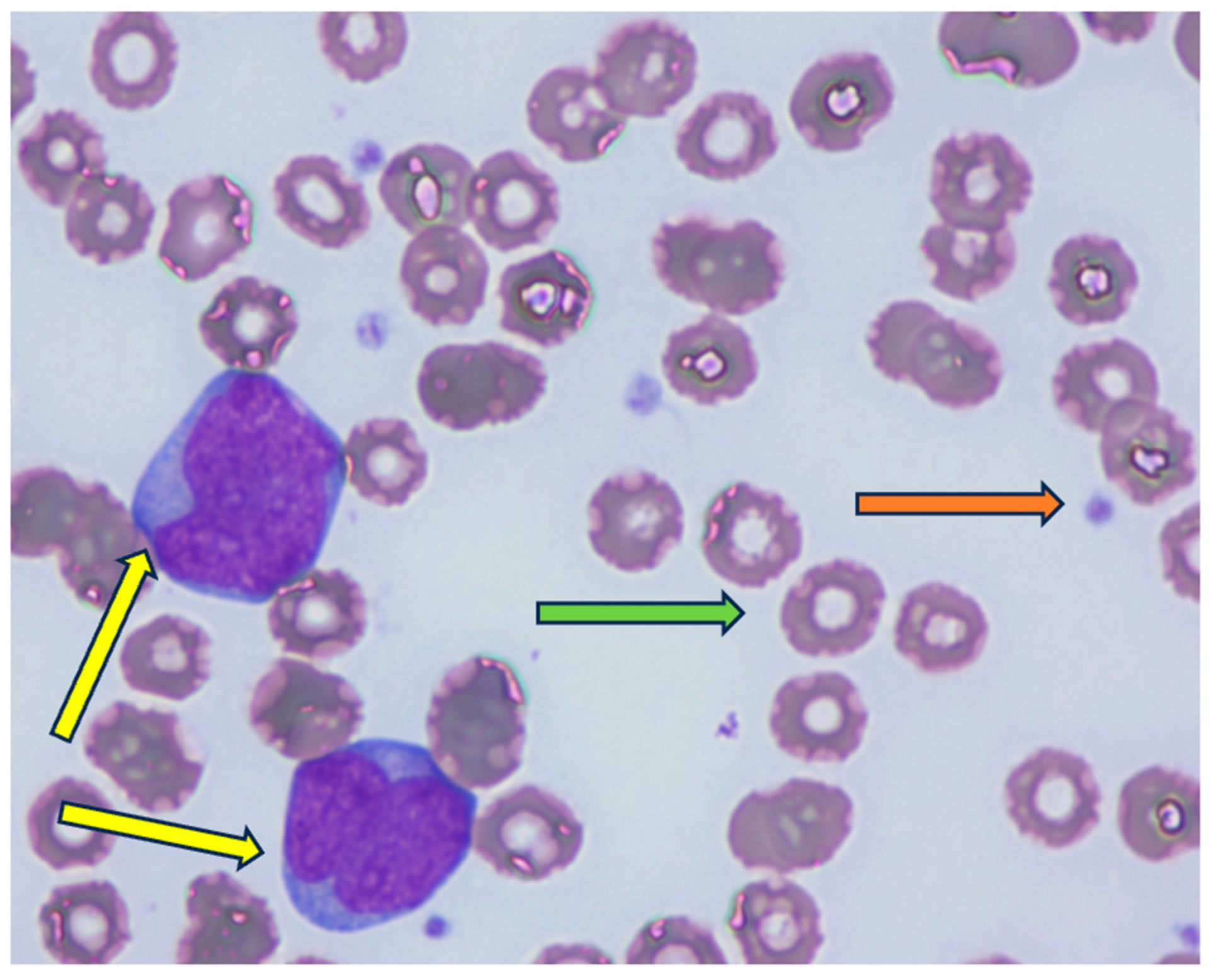
2. Case Report
3. Discussion
4. Conclusions
Author Contributions
Funding
Institutional Review Board Statement
Informed Consent Statement
Data Availability Statement
Conflicts of Interest
Abbreviations
AML | Acute myeloid leukemia |
FLT3-ITD | Fms-like tyrosine kinase 3-internal tandem duplication mutation |
WGs | Weeks of gestation |
NPM1 | Nucleophosmin 1 |
BCR-ABL | Balanced reciprocal translocation between the long arms of chromosomes 9 and 22 |
BCL2 | B-cell lymphoma 2 inhibitor |
OGTT | Oral glucose tolerance test |
CR | Complete remission |
FLAG-Ida | fludarabine, cytarabine, idarubicin, granulocyte colony-stimulating factor |
CEBPA | CCAAT enhancer binding protein alpha |
ELN | European Leukemia Net |
RUNX1 | Runt-related transcription factor 1 |
GATA2 | GATA binding protein 2 |
References
- Fracchiolla, N.S.; Sciumè, M.; Dambrosi, F.; Guidotti, F.; Ossola, M.W.; Chidini, G.; Gianelli, U.; Merlo, D.; Cortelezzi, A. Acute myeloid leukemia and pregnancy: Clinical experience from a single center and a review of the literature. BMC Cancer 2017, 17, 442. [Google Scholar] [CrossRef]
- Goidescu, I.G.; Nemeti, G.; Preda, A.; Kovacs, T.; Surcel, M.; Eniu, D.T.; Cruciat, G.; Mureșan, D. Krukenberg tumor in pregnancy: A rare case and review of the literature. J. Matern. Fetal Neonatal Med. 2022, 35, 7290–7295. [Google Scholar] [CrossRef] [PubMed]
- Hurley, T.J.; McKinnell, J.V.; Irani, M.S. Hematologic malignancies in pregnancy. Obstet. Gynecol. Clin. N. Am. 2005, 32, 595–614. [Google Scholar] [CrossRef]
- Brenner, B.; Avivi, I.; Lishner, M. Haematological cancers in pregnancy. Lancet 2012, 379, 580–587. [Google Scholar] [CrossRef]
- Khoury, J.D.; Solary, E.; Abla, O.; Akkari, Y.; Alaggio, R.; Apperley, J.F.; Bejar, R.; Berti, E.; Busque, L.; Chan, J.K.C.; et al. The 5th edition of the World Health Organization Classification of Haematolymphoid Tumours: Myeloid and Histiocytic/Dendritic Neoplasms. Leukemia 2022, 36, 1703–1719. [Google Scholar] [CrossRef]
- Arber, D.A.; Orazi, A.; Hasserjian, R.P.; Borowitz, M.J.; Calvo, K.R.; Kvasnicka, H.M.; Wang, S.A.; Bagg, A.; Barbui, T.; Branford, S.; et al. International Consensus Classification of Myeloid Neoplasms and Acute Leukemias: Integrating morphologic, clinical, and genomic data. Blood 2022, 140, 1200–1228. [Google Scholar] [CrossRef]
- Ali, S.; Jones, G.L.; Culligan, D.J.; Marsden, P.J.; Russell, N.; Embleton, N.D.; Craddock, C. Guidelines for the diagnosis and management of acute myeloid leukaemia in pregnancy. Br. J. Haematol. 2015, 170, 487–495. [Google Scholar] [CrossRef]
- Giannakaki, A.G.; Giannakaki, M.N.; Oikonomou, E.; Nikolettos, K.; Bothou, A.; Kotanidou, S.; Andreou, S.; Kritsotaki, N.; Nalmpanti, T.; Spanoudakis, E.; et al. Leukemia in pregnancy: Diagnosis and therapeutic approach (Review). Mol. Clin. Oncol. 2024, 21, 79. [Google Scholar] [CrossRef]
- Mills, G.; Shand, A.; Kennedy, D.; Lowe, S.; Bilsland, V.; Cutts, B.; McBride, B.; Brown, W.; Bolisetty, S.; Wegner, E.A.; et al. Position statement on the diagnosis and management of acute leukaemia and aggressive lymphomas in pregnancy. Lancet Haematol. 2025, 12, e151–e162. [Google Scholar] [CrossRef] [PubMed]
- Cassidy, L.; Shand, A.; Said, J.M.; Hobbs, K.; Kidson-Gerber, G.; Belinda, C.; Cutts, B.; Heath, S.; Anazodo, A.; King, K.; et al. Haematological malignancies during pregnancy: A systematic review of necessary services in the Australian context. Intern. Med. J. 2025, 55, 393–406. [Google Scholar] [CrossRef] [PubMed]
- Döhner, H.; Wei, A.H.; Appelbaum, F.R.; Craddock, C.; DiNardo, C.D.; Dombret, H.; Ebert, B.L.; Fenaux, P.; Godley, L.A.; Hasserjian, R.P.; et al. Diagnosis and management of AML in adults: 2022 recommendations from an international expert panel on behalf of the ELN. Blood 2022, 140, 1345–1377. [Google Scholar] [CrossRef] [PubMed]
- Milojkovic, D.; Apperley, J.F. How I treat leukemia during pregnancy. Blood 2014, 123, 974–984. [Google Scholar] [CrossRef]
- Ganju, N.; Panda, T.; Oberoi, G.; Agarwal, M.; Mahapatra, M. AML-083 AML in Pregnancy: Case Series. Clin. Lymphoma Myeloma Leuk. 2024, 24, S293. [Google Scholar] [CrossRef]
- Jimbu, L.; Valeanu, M.; Trifa, A.P.; Mesaros, O.; Bojan, A.; Dima, D.; Parvu, A.; Rus, I.C.; Tomuleasa, C.; Torok, T.; et al. A Survival Analysis of Acute Myeloid Leukemia Patients Treated with Intensive Chemotherapy: A Single Center Experience. Cureus 2023, 15, e43794. [Google Scholar] [CrossRef] [PubMed]
- Alrajhi, A.M.; Alhazzani, S.A.; Alajaji, N.M.; Alnajjar, F.H.; Alshehry, N.F.; Tailor, I.K. The use of 5-azacytidine in pregnant patient with Acute Myeloid Leukemia (AML): A case report. BMC Pregnancy Childbirth 2019, 19, 394. [Google Scholar] [CrossRef]
- Jen, E.Y.; Wang, X.; Li, M.; Li, H.; Lee, S.L.; Ni, N.; Przepiorka, D.; Vallejo, J.; Leong, R.; Ma, L.; et al. FDA Approval Summary: Oral Azacitidine for Continued Treatment of Adults with Acute Myeloid Leukemia Unable to Complete Intensive Curative Therapy. Clin. Cancer Res. 2022, 28, 2989–2993. [Google Scholar] [CrossRef]
- Yucebilgin, M.S.; Cagirgan, S.; Donmez, A.; Ozkinay, E.; Akercan, F.; Mgoyi, L.; Vural, F. Acute myeloblastic leukemia in pregnancy: A case report and review of the literature. Eur. J. Gynaecol. Oncol. 2004, 25, 126–128. [Google Scholar]
- Joseph, D.E.; Sagay, A.; Egesie, J. Acute myeloblastic leukaemia in pregnancy—Case reports. Highl. Med. Res. J. 2006, 3, 144–148. [Google Scholar] [CrossRef]
- Ticku, J.; Oberoi, S.; Friend, S.; Busowski, J.; Langenstroer, M.; Baidas, S. Acute lymphoblastic leukemia in pregnancy: A case report with literature review. Ther. Adv. Hematol. 2013, 4, 313–319. [Google Scholar] [CrossRef]
- Henig, I.; Vidal, L.; Henig, O.; Benyamini, N.; Avivi, I. Acute Myeloid Leukemia Diagnosed During Pregnancy: Facing Challenges. Systematic Review and Analysis of 174 Reported Cases. Blood 2013, 122, 1421. [Google Scholar] [CrossRef]
- Amiwero, C.; Izuegbuna, O.; Olowosulu, R. Acute Lymphoblastic Leukaemia in Pregnancy: A Case Report. Br. J. Med. Med. Res. 2014, 4, 3924–3932. [Google Scholar] [CrossRef]
- Boudry, L.; Lambrechts, S.; Lacquet, F.; Croes, R.; Scharpe, K. A case of acute myeloid leukemia during pregnancy presenting as acute appendicitis. J. Case Rep. Images Obstet. Gynecol. 2015, 1, 25–28. [Google Scholar] [CrossRef]
- Farhadfar, N.; Cerquozzi, S.; Hessenauer, M.R.; Litzow, M.R.; Hogan, W.J.; Letendre, L.; Patnaik, M.M.; Tefferi, A.; Gangat, N. Acute leukemia in pregnancy: A single institution experience with 23 patients. Leuk. Lymphoma 2017, 58, 1052–1060. [Google Scholar] [CrossRef]
- Seegars, M.B.; Powell, B.L.; Howard, D.S. Acute Myeloid Leukemia in Pregnancy. Blood 2017, 130 (Suppl. 1), 5035. [Google Scholar]
- Mabed, M.; Eisa, N.; El-Ashwah, S.; Talaab, M. Pregnancy associated acute leukemia: Single center experience. Cancer Treat. Res. Commun. 2018, 16, 53–58. [Google Scholar] [CrossRef]
- Horowitz, N.A.; Henig, I.; Henig, O.; Benyamini, N.; Vidal, L.; Avivi, I. Acute myeloid leukemia during pregnancy: A systematic review and meta-analysis. Leuk. Lymphoma 2018, 59, 610–616. [Google Scholar] [CrossRef] [PubMed]
- Pineda-Mateo, M.; Rodríguez-Pérez, A.; Rojo-Novo, S. Acute myeloid leukemia diagnosed during pregnancy. Case report. Ginecol. Obstet. México 2021, 89, 832–838. [Google Scholar]
- Zhu, D.; Tang, D.; Chai, X.; Zhang, G.; Wang, Y. Acute leukemia in pregnancy: A single institutional experience with 21 cases at 10 years and a review of the literature. Ann. Med. 2021, 53, 567–575. [Google Scholar] [CrossRef] [PubMed]
- Díaz, M.C.P.; Acosta, M.F.; Baltazar, M.G.; Gálvez, F.Á.; Amairani, C.R.A.; Torres, J.M.Z. Acute myelocytic leukemia in pregnancy case report and literature review: A case report. Int. J. Reprod. Contracept. Obstet. Gynecol. 2022, 11, 2012–2015. [Google Scholar] [CrossRef]
- Kumari, K. Acute myeloid leukemia in pregnancy: Difficult journey from diagnosis to Delivery and treatment. J. Clin. Case Rep. Med. Images Health Sci. 2022, 1, 4. [Google Scholar] [CrossRef]
- Kriouile, M.; Ameqrane, F.; Soradi, H.; Bennani, Z.; Hassouni, F.; Bargach, S. Acute Myeloid Leukemia and Pregnancy about a Case and Review of the Literature. Sch. Int. J. Obstet. Gynecol. 2022, 5, 285–287. [Google Scholar] [CrossRef]
- Ding, J.; Xiao, Y.; Fu, J.; Liu, G.; Huang, S.; Mo, X. Pregnancy and neonatal outcomes in 25 pregnant women diagnosed with new-onset acute myeloid leukemia during pregnancy. Arch. Gynecol. Obstet. 2024, 310, 783–791. [Google Scholar] [CrossRef]
- Imane, Z.; Hajar, E.; Leila, E.; Mohamed, J.; Amine, L.; Said, B. Acute Myeloblastic Leukemia Discovered in the 3rd Trimester of Pregnancy. J. Case Rep. Med. Hist. 2024, 4. [Google Scholar] [CrossRef]
- Kawtari, S.; Bassir, G.; Taouil, F.; Sahel, I.; Benchrifi, Y.; Ennachit, S.; Benhassou, M.; Elkerroumi, M. Acute Myeloblastic Leukaemia and Pregnancy: Case Report. Am. J. Surg. Clin. Case Rep. 2025, 9, 1–5. [Google Scholar]
- Ma, J.; Zhu, H.; Li, L.; Ma, H.; Zheng, B. Clinical Analysis and Literature Review of 26 Patients with Hematological Malignancies During Pregnancy. Womens Health Rep. 2025, 6, 147–154. [Google Scholar] [CrossRef]
- Shimony, S.; Stahl, M.; Stone, R.M. Acute Myeloid Leukemia: 2025 Update on Diagnosis, Risk-Stratification, and Management. Am. J. Hematol. 2025, 100, 860–891. [Google Scholar] [CrossRef] [PubMed]
- Tecik, M.; Adan, A. Emerging DNA Methylome Targets in FLT3-ITD-Positive Acute Myeloid Leukemia: Combination Therapy with Clinically Approved FLT3 Inhibitors. Curr. Treat. Options Oncol. 2024, 25, 719–751. [Google Scholar] [CrossRef]
- Döhner, H.; DiNardo, C.D.; Appelbaum, F.R.; Craddock, C.; Dombret, H.; Ebert, B.L.; Fenaux, P.; Godley, L.A.; Hasserjian, R.P.; Larson, R.A.; et al. Genetic risk classification for adults with AML receiving less-intensive therapies: The 2024 ELN recommendations. Blood 2024, 144, 2169–2173. [Google Scholar] [CrossRef] [PubMed]
- Nakao, M.; Yokota, S.; Iwai, T.; Kaneko, H.; Horiike, S.; Kashima, K.; Sonoda, Y.; Fujimoto, T.; Misawa, S. Internal tandem duplication of the flt3 gene found in acute myeloid leukemia. Leukemia 1996, 10, 1911–1918. [Google Scholar] [PubMed]
- Chang, A.; Patel, S. Treatment of acute myeloid leukemia during pregnancy. Ann. Pharmacother. 2015, 49, 48–68. [Google Scholar] [CrossRef]
- Wouters, B.J.; Delwel, R. Epigenetics and approaches to targeted epigenetic therapy in acute myeloid leukemia. Blood 2016, 127, 42–52. [Google Scholar] [CrossRef] [PubMed]
- Cheng, Y.; He, C.; Wang, M.; Ma, X.; Mo, F.; Yang, S.; Han, J.; Wei, X. Targeting epigenetic regulators for cancer therapy: Mechanisms and advances in clinical trials. Signal Transduct. Target. Ther. 2019, 4, 62. [Google Scholar] [CrossRef]
- Li, Y.; Yang, W.; Devidas, M.; Winter, S.S.; Kesserwan, C.; Yang, W.; Dunsmore, K.P.; Smith, C.; Qian, M.; Zhao, X.; et al. Germline RUNX1 variation and predisposition to childhood acute lymphoblastic leukemia. J. Clin. Investig. 2021, 131, e147898. [Google Scholar] [CrossRef]
- Rausch, C.; Rothenberg-Thurley, M.; Dufour, A.; Schneider, S.; Gittinger, H.; Sauerland, C.; Görlich, D.; Krug, U.; Berdel, W.E.; Woermann, B.J.; et al. Validation and refinement of the 2022 European LeukemiaNet genetic risk stratification of acute myeloid leukemia. Leukemia 2023, 37, 1234–1244. [Google Scholar] [CrossRef] [PubMed]
- Pratz, K.W.; Levis, M. How I treat FLT3-mutated AML. Blood 2017, 129, 565–571. [Google Scholar] [CrossRef] [PubMed]
- Chelghoum, Y.; Vey, N.; Raffoux, E.; Huguet, F.; Pigneux, A.; Witz, B.; Pautas, C.; de Botton, S.; Guyotat, D.; Lioure, B.; et al. Acute leukemia during pregnancy: A report on 37 patients and a review of the literature. Cancer 2005, 104, 110–117. [Google Scholar] [CrossRef]
- U.S. Food and Drug Administration. Idamycin® Idarubicin Hydrochloride for Injection, USP. 2021. Available online: https://www.accessdata.fda.gov/drugsatfda_docs/label/2021/050661s016lbl.pdf (accessed on 17 August 2025).
- U.S. Food and Drug Administration. Cytarabine Injection. Available online: https://www.accessdata.fda.gov/drugsatfda_docs/label/2020/071868s032lbl.pdf (accessed on 1 September 2025).
- Ahn, J.S.; Kim, H.J. FLT3 mutations in acute myeloid leukemia: A review focusing on clinically applicable drugs. Blood Res. 2022, 57, 32–36. [Google Scholar] [CrossRef]
- Rajan, A.; Ahmed, A.; Dehghan, Y.; Hsieh, J.C.; Moore, C. Cytarabine-Induced Hyperbilirubinemia in a Pregnant Patient with Acute Myeloid Leukemia. ACG Case Rep. J. 2025, 12, e01610. [Google Scholar] [CrossRef]
- Haumschild, R.; Kennerly-Shah, J.; Barbarotta, L.; Zeidan, A.M. Clinical activity, pharmacokinetics, and pharmacodynamics of oral hypomethylating agents for myelodysplastic syndromes/neoplasms and acute myeloid leukemia: A multidisciplinary review. J. Oncol. Pharm. Pract. 2024, 30, 721–736. [Google Scholar] [CrossRef]
- Lo-Coco, F.; Avvisati, G.; Vignetti, M.; Thiede, C.; Orlando, S.M.; Iacobelli, S.; Ferrara, F.; Fazi, P.; Cicconi, L.; Bona, E.D.; et al. Retinoic Acid and Arsenic Trioxide for Acute Promyelocytic Leukemia. N. Engl. J. Med. 2013, 369, 111–121. [Google Scholar] [CrossRef]
- Sun, T.F.; Diyaer, A.; Zhu, H.M.; Chen, X.J.; Wang, W.F.; Zhao, Y.B.; Liu, X.J.; Cheng, W.Y.; Shen, Y. Evolving of treatment paradigms and challenges in acute promyelocytic leukaemia: A real-world analysis of 1105 patients over the last three decades. Transl. Oncol. 2022, 25, 101522. [Google Scholar] [CrossRef]
- Puttirangsan, S.; Prasertkanchana, B.; Parapob, N.; Srichairatanakool, S.; Rattanathammethee, T. Successful management of acute promyelocytic leukemia in the third trimester of pregnancy: A case report and review of the literature. Front. Hematol. 2025, 4, 1553336. [Google Scholar] [CrossRef]
- Ni, W.; Deng, K.; Chen, Y.; Li, L.; Liu, J.; Ju, W.; Wang, L. Pregnant woman with acute promyelocytic leukemia delivers healthy twins and is cured successfully: A case report. Exp. Ther. Med. 2023, 25, 206. [Google Scholar] [CrossRef]
- Li, H.; Han, C.; Li, K.; Li, J.; Wang, Y.; Xue, F. New onset acute promyelocytic Leukemia during pregnancy: Report of 2 cases. Cancer Biol. Ther. 2019, 20, 397–401. [Google Scholar] [CrossRef]
- Nellessen, C.M.; Janzen, V.; Mayer, K.; Giovannini, G.; Gembruch, U.; Brossart, P.; Merz, W.M. Successful treatment of acute promyelocytic leukemia in pregnancy with single-agent all-trans retinoic acid. Arch. Gynecol. Obstet. 2018, 297, 281–284. [Google Scholar] [CrossRef] [PubMed]
- Droc, G.; Stancioaica, M.C.; Soare, C.G.; Stefan, M.-G.; Ingustu, D.; Martac, C.; Coriu, D.; Isac, S.; Suciu, N.; Andrei, S. Acute Promyelocytic Leukemia and Severe Differentiation Syndrome in Pregnancy—A Management Challenge. Life 2023, 13, 1141. [Google Scholar] [CrossRef] [PubMed]
- Cochet, C.; Simonet, M.; Cattin, J.; Metz, J.P.; Berceanu, A.; Deconinck, E.; Daguindau, E.; Schillinger, F.; Fenaux, P.; Mottet, N.; et al. Arsenic Trioxide Treatment during Pregnancy for Acute Promyelocytic Leukemia in a 22-Year-Old Woman. Case Rep. Hematol. 2020, 2020, 3686584. [Google Scholar] [CrossRef]
- Song, K.; Li, M. Pregnancy-induced hypertension caused by all-trans retinoic acid treatment in acute promyelocytic leukemia. Oncol. Lett. 2015, 10, 364–366. [Google Scholar] [CrossRef]
- Naithani, R.; Dayal, N.; Chopra, A.; Sundar, J. Fetal Outcome in Pregnancy with Acute Promyelocytic Leukemia. Indian J. Pediatr. 2016, 83, 752–753. [Google Scholar] [CrossRef]
- Agarwal, K.; Patel, M.; Agarwal, V. A Complicated Case of Acute Promyelocytic Leukemia in the Second Trimester of Pregnancy Successfully Treated with All-trans-Retinoic Acid. Case Rep. Hematol. 2015, 2015, 634252. [Google Scholar] [CrossRef]
- Sisnawati, I.A.; Salay, K.; Fadillah, L.N.; Jazilah, I.; Mintarjo, J.A.; Billah, A.; Putra, A.S.; Hersana, I.; Novita, C. A Life-Threatening Complication During the Fourth Pregnancy Due to Acute Promyelocytic Leukemia: A Case Report. Acta Med. Indons. 2024, 56, 76–83. [Google Scholar]
- Dang, C.C.; Guan, Y.K.; Lau, N.S.; Chan, S.Y. Two successful deliveries of healthy children by a young woman diagnosed and treated during induction and relapsed therapy for acute promyelocytic leukemia. J. Oncol. Pharm. Pract. 2020, 26, 2034–2037. [Google Scholar] [CrossRef] [PubMed]
- Maruyama, S.; Sato, Y.; Moriuchi, K.; Kanbayashi, S.; Ri, Y.; Taga, A.; Emoto, I.; Kim, T. Fetal death following idarubicin treatment for acute promyelocytic leukemia in pregnancy—A case report. Eur. J. Obstet. Gynecol. Reprod. Biol. 2017, 218, 140. [Google Scholar] [CrossRef]
- Khosla, H.; Jain, A.; Tatawadiya, S.; Prasad, P.; Nagpal, K.; Chaudhry, S.; Sharma, M.; Gupta, D.K.; Saluja, S.; Jain, A. First report of successful management of acute promyelocytic leukemia in a pregnant female with All-Trans-Retinoic Acid and Arsenic Trioxide-based induction regimen. Blood Cells Mol. Dis. 2020, 85, 102476. [Google Scholar] [CrossRef]
- Zhang, L.; Tomsula, J.; Garcia, A.; Wahed, A.; Nguyen, N.; Chen, L. Fatal Intracranial Hemorrhage in a Young Pregnant Patient with Acute Promyelocytic Leukemia. Ann. Clin. Lab. Sci. 2019, 49, 94–96. [Google Scholar]
- Siwatch, S.; Khastgir, G.; Sikka, P.; Sachdeva, M.U.S. Second trimester medical abortion in acute promyelocytic leukaemia. BMJ Case Rep. 2024, 17, e262299. [Google Scholar] [CrossRef]
- Nolan, S.; Czuzoj-Shulman, N.; Abenhaim, H.A. Pregnancy outcomes among leukemia survivors: A population-based study on 14.5 million births. J. Matern. Fetal Neonatal Med. 2021, 34, 2283–2289. [Google Scholar] [CrossRef] [PubMed]
- Shliakhtsitsava, K.; Romero, S.A.D.; Dewald, S.R.; Su, H.I. Pregnancy and child health outcomes in pediatric and young adult leukemia and lymphoma survivors: A systematic review. Leuk. Lymphoma 2018, 59, 381–397. [Google Scholar] [CrossRef]
- Lee, B.S.; Sathar, J.; Ong, T.C. Teratogenic effect of decitabine in a pregnant patient with acute myeloid leukemia: A case report. Hematol. Transfus. Cell Ther. 2022, 44, 429–432. [Google Scholar] [CrossRef]
- Wang, P.; Yang, Z.; Shan, M.; Lu, S.; Zhang, L.; Li, S.; Hu, S.; Tian, H.; Xu, Y.; Wu, D. Maternal and Fetal Outcomes of Acute Leukemia in Pregnancy: A Retrospective Study of 52 Patients. Front. Oncol. 2021, 11, 803994. [Google Scholar] [CrossRef]
- Loren, A.W. Fertility issues in patients with hematologic malignancies. Hematol. Am. Soc. Hematol. Educ. Program 2015, 2015, 138–145. [Google Scholar] [CrossRef] [PubMed]
- Loren, A.W.; Senapati, S. Fertility preservation in patients with hematologic malignancies and recipients of hematopoietic cell transplants. Blood 2019, 134, 746–760. [Google Scholar] [CrossRef] [PubMed]
Parameter | Normal Ranges | At Diagnosis (25 October 2024) | Before Starting 3+7 (17 June 2025) | Before Starting FLAG-Ida (15 July 2025) |
---|---|---|---|---|
Leukocytes (×103/μL) | 4.49–12.68 | 190.79 | 92.61 | 117.90 |
Hemoglobin (g/dL) | 11.9–14.6 | 6.8 | 7.2 | 9.9 |
Platelets (×103/μL) | 150–450 | 38 | 240 | 175 |
Peripheral Blasts (%) | 0 | 77 | 87 | 81 |
Author, Year | Study Type | Maternal Age at Diagnosis | GA at AML Diagnosis | Course of Pregnancy (TOP/WG at Delivery) | Chemotherapy Agents Used During Pregnancy | Fetal Outcome | Maternal Outcome |
---|---|---|---|---|---|---|---|
Yucebilgin 2004 [17] | Case report | 24 years | 29 WGs | Severe thrombocytopenia, acute fetal distress 33 GWs | IDA+ARA-C | Preterm delivery, Apgar score 2/6, favorable outcome | Alive, scheduled for remission–induction chemotherapy |
Joseph 2006 [18] | Case report, 2 patients | No full text available | No full text available | No full text available | No full text available | No full text available | No full text available |
Ticku 2013 [19] | Case report | 22 years | 26 WGs | Delivery 30 WGs, elective | HyperCVAD, postpartum several regimens changed | Premature delivery, ARDS | Alive, awaiting bone marrow transplant |
Henig 2013 [20] | Systematic review, 120 AML, 53 APL | 15–45 years | No distinct AML information | No distinct AML information | No distinct AML information | AGA weights, low incidence of malformations | Worse than non-pregnant individuals |
Amiwero 2014 [21] | Case report, 1 AML | 26 years | 22 WGs | Delivery 30 WGs, spontaneous | NA | Preterm delivery | Alive |
Boudry 2015 [22] | Case report, 1 AML | 23 years | 33 WGs | cesarean section, 33 WGs | NA | Preterm delivery | Death due to relapse 1 year later |
Farhadfar 2016 [23] | Case series, 14 patients with AML | 20–40 years | 1st trimester—6 | 2 TOPs | 1leukapheresis + busulfan 13—NA | Preterm delivery 1 SGA, ARDS 1 anemia Stillbirth 29 WGs | 11 deaths (2 pregnant) 2 alive 1 status unknown |
2nd trimester—4 | miscarriages 11 WGs, 17 WGs | ||||||
3rd trimester—4 | 9 deliveries, 8 preterm stillbirths 29 WGs | ||||||
Frachiolla 2017 [1] | Case series, 5 AML | 31–39 years | 1st trimester—1 | 1 TOP | NA | 3 preterm deliveries 1 stillbirth | 5 CRs |
2nd trimester—1 | |||||||
3rd trimester—3 | 4 preterm deliveries | ||||||
Seegars 2017 [24] | Case report, 1 AML | 26 years | 17 WGs | 35 WGs, induced delivery | DNR + ARA-C | Term delivery | No additional information |
Mabed 2018 [25] | Case series, 18 AML | 18–40 years | No distinct AML data | No distinct AML data | No distinct AML data | No distinct AML data | |
Horowitz 2018 [26] | Systematic review, 138 AML | No distinct AML data | No distinct AML data | No distinct AML data | No distinct AML data | No distinct AML data | |
Pineda-Mateo 2021 [27] | Case report, 1 AML | 33 years | 12+5 WGs | TOP | NA | - | Alive, awaiting bone marrow transplant |
Zhu 2021 [28] | Case series, 14 AML | 19–41 years | 1st trimester—4 | 1 TOP, 1 miscarriage, 2 dead | 2 DNR+Ara-C 4 DNR+Ara-C 1 IDA+Ara-C, NA | 1 preterm delivery IUGR Favorable outcome | 1 CR, 3 deaths |
2nd trimester—6 | 4 TOPs, 1 maternal death, 1 delivery | ||||||
3rd trimester—4 | 2 preterm/2 term deliveries | ||||||
Diaz 2022 [29] | Case report, 1 AML | 31 years | 27 WGs | Elective cesarean section, 30 WGs | None | IUGR, died of early neonatal sepsis | Poor response to chemotherapy |
Kumari 2022 [30] | Case report | 18 years | 33 WGs | Induced preterm delivery | Not reported | Preterm delivery Favorable outcome | Complete remission Relapse at 10 months and exitus during COVID-19 outbreak |
Kriouille 2022 [31] | Case report | 35 years | 32 WGs | Preterm cesarean section | NA | IUGR | Not reported |
Ding 2024 [32] | Case series, 25 AML | 18–41 years | 1st trimester—4 | 4 TOPs | 2 cases, ATRA+DNR 1 case ATRA 1 case ATRA+ATO | 13 deliveries 9 preterm/4 term 8 NICU admissions | 7 PPHs 1 DICs 1 prenatal infection |
2nd trimester—13 | 8 TOPs, 5 deliveries | ||||||
3rd trimester—8 | 8 deliveries | ||||||
Imane 2024 [33] | Case series, 1 AML | 25 years | 35 WGs | cesarean section, 36 WGs | NA | Good outcome | Complete remission |
Kawtari 2025 [34] | Case report | 25 years | 35 WGs | Preterm cesarean section | AML03 | Preterm delivery | CR |
Ma 2025 [35] | Case series, 7 AML | 19–37 years | 1st trimester—1 | 1 miscarriage | 2 IA 2 NA 2 HAA, hydroxyurea | 3 preterm/1 term delivery 1 stillbirth | 2 losses of follow-up 2 alive 3 deaths, 1 intrapartum |
2nd trimester—2 | 2 TOPs | ||||||
3rd trimester—4 | 3 deliveries, 1 maternal death | ||||||
Cassidy 2025 [10] | Systematic review, 5 AML | 31-39 years | 1 first trimester | TOP | DNR+Ara-C DNR+Ara-C, NA DNR+Ara-C, NA | - 1 preterm 1 preterm/1 stillbirth | 4 CRs, 1 death |
2 second trimester | 2 deliveries | ||||||
2 third trimester | 2 deliveries |
Author, Year | Study Type | Maternal Age at Diagnosis (Years) | GA at APL Diagnosis | Course of Pregnancy/ GA at Delivery | Treatment | Fetal Outcome | Maternal Outcome |
---|---|---|---|---|---|---|---|
Puttirangsan 2025 [54] | case report | 33 | 30 WGs | vaginal delivery, 34 WGs | ATRA+IDA (D2,4) | no complications | CR |
Ni 2023 [55] | case report | 31 | 13 WGs | cesarean section, 34 WGs | ATRA+ATO | no complications | CR |
Li 2018 [56] | case report | 24 | 25 WGs | maternal death, 25 WGs | ATRA+hydroxyurea | death | death |
37 | 34 WGs | vaginal delivery, 35 WGs | ATRA | no complications | CR | ||
Nellessen 2017 [57] | case report | 41 | 24 WGs | vaginal delivery, 34 WGs | ATRA before delivery and ATRA+ATO afterwards | no complications | CR |
Li 2020 [56] | case report | 28 | 28 | vaginal delivery, 39 WGs | ATRA+ATO switched to ATRA+dauno | no complications | CR |
Droc 2023 [58] | case report | 27 | 17 | stillbirth, unknown | ATRA+IDA | stillbirth | CR |
Cochet 2020 [59] | case report | 22 | 14 | vaginal delivery, 40 WGs | ATRA+ATO | no complications | CR |
Song 2015 [60] | case report | 23 | 26 | stillbirth, 28 WGs | ATRA | stillbirth | CR |
Naithani 2016 [61] | case report | 30 | 34 | cesarean section, 35 WGs | No treatment before delivery | no complications | death in CR |
Agarwal 2015 [62] | case report | 40 | 26 | cesarean section, 30 WGs | ATRA+IDA during pregnancy, ATRA+ATO post delivery | no complications | CR |
Sisnawati 2024 [63] | case report | 35 | 38–39 | cesarean section, 38–39 WGs | Supportive treatment | alive, 3200 g | death |
Dang 2020 [64] | case report | 22 | 20 | cesarean section, 32 WGs | ATRA+IDA | no complications | CR, later relapse |
25 | 25 | caesarean section, unknown | ATRA+IDA+ATO | ||||
Maruyama 2017 [65] | case report | 30 | 23 | death, 25 WG | ATRA+IDA | death, bilateral intraventricular hemorrhage | death |
Khosla 2020 [66] | case report | 23 | 35 | vaginal delivery, 38 WGs | ATRA+ATO | no complications | CR |
Zhang 2019 [67] | case report | 23 | 25 | cesarean section and death, unknown | ATRA | death | death |
Siwatch 2024 [68] | case report | +20 | unknown | Termination of pregnancy, unknown | ATRA+ATO | death | CR |
Disclaimer/Publisher’s Note: The statements, opinions and data contained in all publications are solely those of the individual author(s) and contributor(s) and not of MDPI and/or the editor(s). MDPI and/or the editor(s) disclaim responsibility for any injury to people or property resulting from any ideas, methods, instructions or products referred to in the content. |
© 2025 by the authors. Licensee MDPI, Basel, Switzerland. This article is an open access article distributed under the terms and conditions of the Creative Commons Attribution (CC BY) license (https://creativecommons.org/licenses/by/4.0/).
Share and Cite
Nemeti, G.; Jimbu, L.; Mesaros, O.; Goidescu, I.G.; Moisa, C.; Surcel, M.; Goidescu, C.M.; Boitor-Borza, D.; Cruciat, G.; Rotar, I.C.; et al. An Account of Acute Myeloid Leukemia Complicating Pregnancy and Literature Review. Diagnostics 2025, 15, 2540. https://doi.org/10.3390/diagnostics15192540
Nemeti G, Jimbu L, Mesaros O, Goidescu IG, Moisa C, Surcel M, Goidescu CM, Boitor-Borza D, Cruciat G, Rotar IC, et al. An Account of Acute Myeloid Leukemia Complicating Pregnancy and Literature Review. Diagnostics. 2025; 15(19):2540. https://doi.org/10.3390/diagnostics15192540
Chicago/Turabian StyleNemeti, Georgiana, Laura Jimbu, Oana Mesaros, Iulian Gabriel Goidescu, Cezara Moisa, Mihai Surcel, Cerasela Mihaela Goidescu, Dan Boitor-Borza, Gheorghe Cruciat, Ioana Cristina Rotar, and et al. 2025. "An Account of Acute Myeloid Leukemia Complicating Pregnancy and Literature Review" Diagnostics 15, no. 19: 2540. https://doi.org/10.3390/diagnostics15192540
APA StyleNemeti, G., Jimbu, L., Mesaros, O., Goidescu, I. G., Moisa, C., Surcel, M., Goidescu, C. M., Boitor-Borza, D., Cruciat, G., Rotar, I. C., & Muresan, D. (2025). An Account of Acute Myeloid Leukemia Complicating Pregnancy and Literature Review. Diagnostics, 15(19), 2540. https://doi.org/10.3390/diagnostics15192540