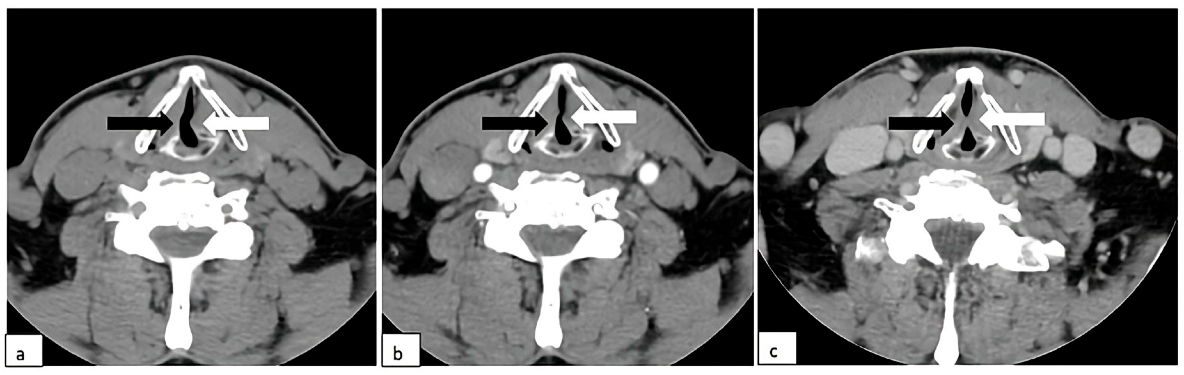
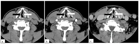
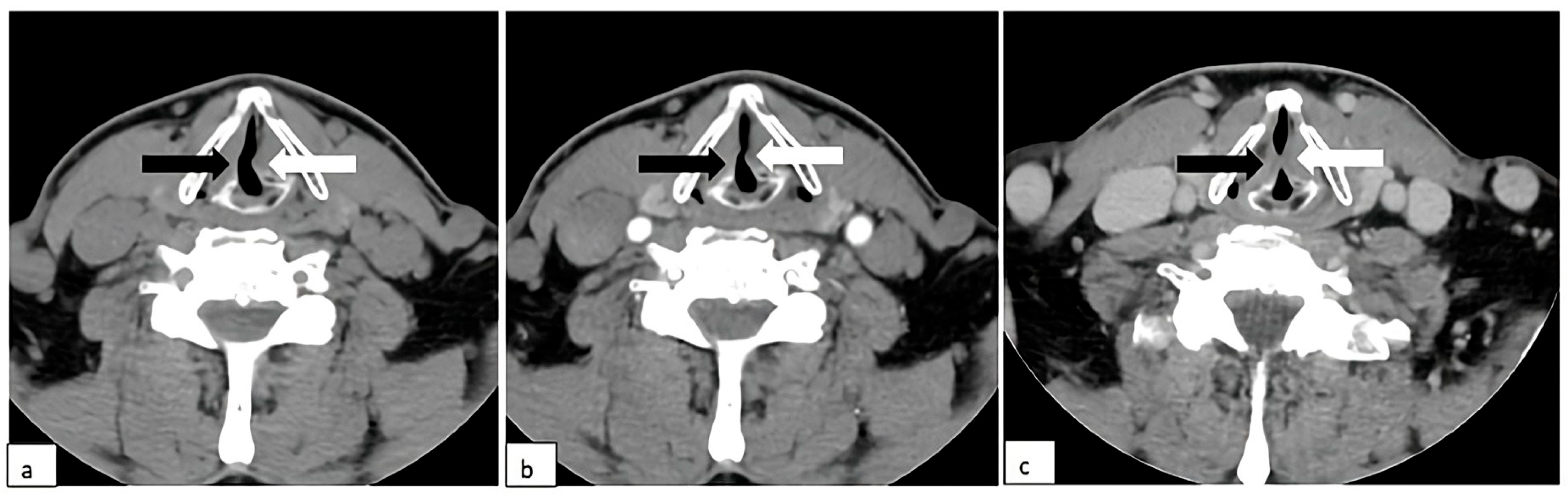
Unilateral Vocal Cord Paralysis Diagnosed with Dynamic Digital Radiography
Abstract


Supplementary Materials
Funding
Institutional Review Board Statement
Informed Consent Statement
Data Availability Statement
Conflicts of Interest
Abbreviations
| FL | Flexible Laryngoscopy |
| VCP | Vocal Cord Paralysis |
| DDR | Dynamic Digital Radiography |
References
- Shibuya, Y.; Hirano, K.; Machida, H.; Miyamoto, M.; Watabe, K.; Mitsuma, T.; Nakazato, Y.; Tachibana, K.; Tanaka, R.; Kondo, H. Bilateral recurrent laryngeal nerve paralysis diagnosed using dynamic digital radiography during the COVID-19 pandemic. Clin. Case Rep. 2022, 10, e6124. [Google Scholar] [CrossRef] [PubMed]
- Shibuya, Y.; Hirano, K.; Miyamoto, M.; Mitsuma, T.; Nakazato, Y.; Matsutani, N.; Tanaka, R.; Machida, H.; Kondo, H. Comparison of the diagnostic and prognostic abilities of flexible laryngoscopy and dynamic digital radiography for vocal cord paralysis: A prospective observational study. Head Neck 2024, 46, 1280–1293. [Google Scholar] [CrossRef] [PubMed]
- Ongkasuwan, J.; Ocampo, E.; Tran, B. Laryngeal ultrasound and vocal fold movement in the pediatric cardiovascular intensive care unit. Laryngoscope 2017, 127, 167–172. [Google Scholar] [CrossRef] [PubMed]
- Yamasaki, Y.; Kamitani, T.; Sagiyama, K.; Hino, T.; Kisanuki, M.; Tabata, K.; Isoda, T.; Kitamura, Y.; Abe, K.; Hosokawa, K.; et al. Dynamic Chest Radiography for Pulmonary Vascular Diseases: Clinical Applications and Correlation with Other Imaging Modalities. Jpn. J. Radiol. 2023, 42, 126–144. [Google Scholar] [CrossRef] [PubMed]
- Fyles, F.; FitzMaurice, T.S.; Robinson, R.E.; Bedi, R.; Burhan, H.; Walshaw, M.J. Dynamic chest radiography: A state-of-the-art review. Insights Into Imaging 2023, 14, 107. [Google Scholar] [CrossRef] [PubMed]
- Kamimura, G.; Ueda, K.; Takeda, A.; Miyata, R.; Aoki, M.; Nagata, T.; Sato, M. A case of a transient phrenic nerve paralysis after resection of a giant lymphangioma evaluated by dynamic digital radiography. Gen. Thorac. Cardiovasc. Surg. Cases 2023, 2, 27. [Google Scholar] [CrossRef] [PubMed]
- Hata, A.; Yamada, Y.; Tanaka, R.; Nishino, M.; Hida, T.; Hino, T.; Ueyama, M.; Yanagawa, M.; Kamitani, T.; Kurosaki, A.; et al. Dynamic Chest X-ray Using a Flat-Panel Detector System: Technique and Applications. Korean J. Radiol. 2021, 22, 634. [Google Scholar] [CrossRef] [PubMed]
- Cè, M.; Oliva, G.; Rabaiotti, F.L.; Macrì, L.; Zollo, S.; Aquila, A.; Cellina, M. Portable Dynamic Chest Radiography: Literature Review and Potential Bedside Applications. Med. Sci. 2024, 12, 10. [Google Scholar] [CrossRef] [PubMed]
- Yamada, Y.; Ueyama, M.; Abe, T.; Araki, T.; Abe, T.; Nishino, M.; Jinzaki, M.; Hatabu, H.; Kudoh, S. Time-Resolved Quantitative Analysis of the Diaphragms During Tidal Breathing in a Standing Position Using Dynamic Chest Radiography with a Flat Panel Detector System (“Dynamic X-ray Phrenicography”). Acad. Radiol. 2017, 24, 393–400. [Google Scholar] [CrossRef] [PubMed]
- Calabrò, E.; Lisnic, T.; Cè, M.; Macrì, L.; Rabaiotti, F.L.; Cellina, M. Dynamic Digital Radiography (DDR) in the Diagnosis of a Diaphragm Dysfunction. Diagnostics 2025, 15, 2. [Google Scholar] [CrossRef] [PubMed]
Disclaimer/Publisher’s Note: The statements, opinions and data contained in all publications are solely those of the individual author(s) and contributor(s) and not of MDPI and/or the editor(s). MDPI and/or the editor(s) disclaim responsibility for any injury to people or property resulting from any ideas, methods, instructions or products referred to in the content. |
© 2025 by the author. Licensee MDPI, Basel, Switzerland. This article is an open access article distributed under the terms and conditions of the Creative Commons Attribution (CC BY) license (https://creativecommons.org/licenses/by/4.0/).
Share and Cite
Cellina, M. Unilateral Vocal Cord Paralysis Diagnosed with Dynamic Digital Radiography. Diagnostics 2025, 15, 2502. https://doi.org/10.3390/diagnostics15192502
Cellina M. Unilateral Vocal Cord Paralysis Diagnosed with Dynamic Digital Radiography. Diagnostics. 2025; 15(19):2502. https://doi.org/10.3390/diagnostics15192502
Chicago/Turabian StyleCellina, Michaela. 2025. "Unilateral Vocal Cord Paralysis Diagnosed with Dynamic Digital Radiography" Diagnostics 15, no. 19: 2502. https://doi.org/10.3390/diagnostics15192502
APA StyleCellina, M. (2025). Unilateral Vocal Cord Paralysis Diagnosed with Dynamic Digital Radiography. Diagnostics, 15(19), 2502. https://doi.org/10.3390/diagnostics15192502
