Sign in to use this feature.

Years

Between: -

Subjects

remove_circle_outline
remove_circle_outline
remove_circle_outline
remove_circle_outline
remove_circle_outline
remove_circle_outline
remove_circle_outline
remove_circle_outline
remove_circle_outline

Journals

remove_circle_outline
remove_circle_outline
remove_circle_outline
remove_circle_outline
remove_circle_outline
remove_circle_outline
remove_circle_outline
remove_circle_outline
remove_circle_outline
remove_circle_outline
remove_circle_outline
remove_circle_outline
remove_circle_outline
remove_circle_outline
remove_circle_outline
remove_circle_outline
remove_circle_outline
remove_circle_outline
remove_circle_outline
remove_circle_outline
remove_circle_outline
remove_circle_outline
remove_circle_outline
remove_circle_outline
remove_circle_outline
remove_circle_outline
remove_circle_outline
remove_circle_outline

Article Types

Countries / Regions

remove_circle_outline
remove_circle_outline
remove_circle_outline
remove_circle_outline
remove_circle_outline
remove_circle_outline
remove_circle_outline
remove_circle_outline
remove_circle_outline
remove_circle_outline
remove_circle_outline

Search Results (4,713)

Search Parameters:
Keywords = antigen presentation

Order results
Result details
Results per page
Select all
Export citation of selected articles as:
13 pages, 653 KB  
Review
Immunotherapies for Breast Cancer: From Checkpoint Inhibition to Emerging Cellular Therapies
by Ismini Tsagkaraki, Isaac Gannon, Alexandros Rampotas, Devika Singh, Harriet Roddy, Diego Ottaviani and Claire Roddie
Cancers 2026, 18(6), 911; https://doi.org/10.3390/cancers18060911 - 11 Mar 2026
Abstract
Breast cancer remains a leading cause of cancer-related morbidity and mortality worldwide, with therapeutic response being shaped by the unique biology of each breast cancer subtype. Immunotherapy has emerged as a transformative approach in selected disease subtypes, with the most successful results being [...] Read more.
Breast cancer remains a leading cause of cancer-related morbidity and mortality worldwide, with therapeutic response being shaped by the unique biology of each breast cancer subtype. Immunotherapy has emerged as a transformative approach in selected disease subtypes, with the most successful results being found in relation to triple negative breast cancer (TNBC). Immune checkpoint inhibitors (ICIs) have transformed the management of many solid tumours. In breast cancer, they have demonstrated clinical benefit in TNBC when combined with chemotherapy, establishing a new standard of care in both early-stage and metastatic settings. However, the majority of breast cancers exhibit intrinsic or acquired resistance to checkpoint blockade, driven by low tumour immunogenicity and an immunosuppressive tumour microenvironment. Recent advances in cellular immunotherapy could represent the next frontier in the therapeutic landscape of breast cancer. Chimeric antigen receptor (CAR) T cell targeting antigens such as HER2, ROR1, MUC1, mesothelin, and B7-H3 are entering early-phase clinical evaluation with results eagerly awaited. Parallel approaches, including tumour-infiltrating lymphocyte (TIL) therapy, T cell receptor (TCR)-engineered T cells, and CAR-natural killer (CAR-NK) platforms, offer alternative mechanisms to overcome antigen presentation barriers and immune evasion. This review summarises current clinical evidence for immunotherapies in breast cancer, highlights emerging cellular strategies, and discusses key challenges including antigen specificity, off-tumour toxicity, and tumour microenvironment-mediated resistance. Future progress will likely depend on rational combination approaches and next-generation engineered immune cell platforms to achieve durable and personalised clinical benefit. Full article
(This article belongs to the Special Issue Clinical Treatment and Prognosis of Breast Cancer)
Show Figures

Figure 1

16 pages, 1953 KB  
Article
Calamagrostis arundinacea Extract Mitigates Testosterone Induced Prostatic Hyperplasia in Rats
by Poornima Kumbukgahadeniya, Eun-Bok Baek, Seung-Hoon Lee, Dae-In Ha, Eun-Ju Hong, Jun-Yeop Song, Won-Kee Yoon and Hyo-Jung Kwun
Pharmaceuticals 2026, 19(3), 453; https://doi.org/10.3390/ph19030453 - 11 Mar 2026
Abstract
Background: Benign prostatic hyperplasia (BPH) is an age-associated urological condition defined by abnormal multiplication of both stromal and epithelial components within the prostate. Calamagrostis arundinacea (CA), a species of perennial grass native to East Asia, has been recognized for its anti-inflammatory and [...] Read more.
Background: Benign prostatic hyperplasia (BPH) is an age-associated urological condition defined by abnormal multiplication of both stromal and epithelial components within the prostate. Calamagrostis arundinacea (CA), a species of perennial grass native to East Asia, has been recognized for its anti-inflammatory and antioxidant biological activities. The present study examined whether CA extract could attenuate prostatic enlargement induced by testosterone propionate (TP) in rats. Methodology: To establish the experimental model, rats received subcutaneous TP injections (3 mg/kg/day) for four consecutive weeks. During the same period, an extract of CA (150 mg/kg/day) was orally administered. Results: TP-treated animals developed significant prostatic enlargement, whereas CA supplementation markedly reduced prostate weight and significantly decreased circulating dihydrotestosterone (DHT) and testosterone levels. Microscopic analysis demonstrated that CA mitigated glandular epithelial thickening and suppressed hyperplastic alterations. In addition, CA reduced proliferating cell nuclear antigen (PCNA) expression and increased apoptotic cell numbers, as evidenced by TUNEL staining. Gene expression analysis further revealed significant downregulation of insulin-like growth factor-2 (Igf-2), transforming growth factor-β (Tgf-β), and vascular endothelial growth factor (Vegf), in CA-treated prostates. Moreover, CA inhibited activation of the PI3K/Akt/mTOR signaling cascades by reducing phosphorylation of Akt and mTOR. Conclusions: Overall, these results indicate that CA extract alleviates testosterone-induced BPH through suppression of growth-related signaling cascades and induction of apoptosis, suggesting its potent value as a phytotherapeutic strategy for BPH management. Full article
(This article belongs to the Special Issue Multi-Targeted Natural Products as Therapeutics, 2nd Edition)
Show Figures

Graphical abstract

8 pages, 2527 KB  
Conference Report
Conference Report on the 2025 Annual Review of the Essential Programme on Immunization in DR Congo: Dealing with Complexity
by Audry Mulumba, Franck Mboussou, Pablito Nasaka, Augustin Milabyo Byamwitenga, Aimé Cikomola, Cyril Nogier, Thomas Noel Gaha, Mymy Mwika, Benedict Taa Nguimbis, Bridget Farham, Anne Ancia and Benido Impouma
Vaccines 2026, 14(3), 257; https://doi.org/10.3390/vaccines14030257 - 11 Mar 2026
Abstract
Background: At the end of each year, stakeholders of the Essential Immunization Programme (EPI) in the DR Congo meet to review progress made and lessons learned from the implementation of the Annual Operational Plan (AOP) and to set priorities for the following year. [...] Read more.
Background: At the end of each year, stakeholders of the Essential Immunization Programme (EPI) in the DR Congo meet to review progress made and lessons learned from the implementation of the Annual Operational Plan (AOP) and to set priorities for the following year. This paper presents a conference report that summarizes the main outcomes of the 2025 annual review meeting, which took place from 15 to 20 December 2025, and attracted 76 participants. Conference takeaways: While the 2024 WUENIC data show that the DR Congo is off-track for the 2030 Immunization agenda targets for all antigens, the administrative coverages were reported as optimal in 2025. EPI activities are planned based on administrative coverages, likely overestimated. In 2025, 47% of health zones in North-Kivu, South-Kivu and Ituri (49 out of 104) were fully or partially controlled by armed groups, leading to partial disruptions of immunization service delivery. In 2025, the DR Congo successfully launched the measles–rubella vaccine introduction preceded by a catch-up vaccination campaign in children aged from 6 months to 14 years old and continued to roll out malaria vaccines using a phased approach. Conclusions: Learning from the implementation of the 2025 AOP, the EPI stakeholders adopted a set of priority actions for the immunization programme in 2026. Full article
(This article belongs to the Special Issue Global Immunization Inequities-Challenges and Solutions)
Show Figures

Figure 1

17 pages, 1038 KB  
Review
SARS-CoV-2 Infection and Vaccination, Immune Dysregulation, and Cancer
by Dace Pjanova and Aysha Rafeeque
Vaccines 2026, 14(3), 255; https://doi.org/10.3390/vaccines14030255 - 11 Mar 2026
Abstract
Severe Acute Respiratory Syndrome Coronavirus 2 (SARS-CoV-2) infection induces heterogeneous immune responses that influence both acute disease severity and long-term immune remodeling. A key question in the context of infection and vaccination is whether SARS-CoV-2 exerts direct oncogenic effects or instead acts as [...] Read more.
Severe Acute Respiratory Syndrome Coronavirus 2 (SARS-CoV-2) infection induces heterogeneous immune responses that influence both acute disease severity and long-term immune remodeling. A key question in the context of infection and vaccination is whether SARS-CoV-2 exerts direct oncogenic effects or instead acts as a transient immunological stressor capable of reinforcing tumor-permissive pathways. Current evidence does not support classical viral oncogenesis. Rather, severe infection is characterized by early interferon (IFN) imbalance followed by NF-κB-dominant inflammatory amplification, promoting sustained IL-6/JAK–STAT3 and MAPK signaling, chronic cytokine production, metabolic reprogramming, and impaired antitumor immune surveillance. At the molecular level, viral structural proteins modulate host signaling networks. The spike (S1) protein engages TLR2/TLR4–MyD88 pathways, activating NF-κB and MAPK cascades, while the membrane (M) protein reinforces NF-κB–STAT3 circuits linked to epithelial–mesenchymal transition and inflammatory gene expression. These mechanisms intensify pre-existing oncogenic signaling without initiating malignant transformation. Tissue-specific responses are further shaped by IFN competence, renin–angiotensin system balance, and metabolic context. In parallel, immune evasion programs shared by chronic viral infection and cancer, including checkpoint upregulation, impaired antigen presentation, and suppressive myeloid expansion, may be transiently reinforced following severe infection. In contrast, SARS-CoV-2 vaccination induces spatially restricted, self-limited innate activation without sustained inflammatory signaling or persistent antigen exposure. By preventing severe disease and chronic immune dysregulation, vaccination interrupts pathways hypothesized to intersect with cancer biology, with no evidence of increased cancer incidence. Ongoing longitudinal studies are required to clarify the long-term oncologic implications of post-infectious immune remodeling. Full article
(This article belongs to the Special Issue Chronic Viral Infections and Cancer: Openings for Vaccines and Cure)
Show Figures

Figure 1

22 pages, 1851 KB  
Review
Invariant Natural Killer T Cells in Cancer Immunotherapy: Lipid-Based Modulation, Nanotechnology, and Translational Advances
by Abdulaziz A. Aloliqi, Abdullah M. Alnuqaydan, Mohammad Alshebremi, Arif Khan and Masood Alam Khan
Int. J. Mol. Sci. 2026, 27(6), 2528; https://doi.org/10.3390/ijms27062528 - 10 Mar 2026
Abstract
Invariant natural killer T (iNKT) cells are a unique lymphocyte subset that bridge innate and adaptive immunity through recognition of glycolipid antigens presented by CD1d. Upon activation by ligands such as α-galactosylceramide (α-GalCer), iNKT cells rapidly secrete cytokines, including IFN-γ and TNF-α, thereby [...] Read more.
Invariant natural killer T (iNKT) cells are a unique lymphocyte subset that bridge innate and adaptive immunity through recognition of glycolipid antigens presented by CD1d. Upon activation by ligands such as α-galactosylceramide (α-GalCer), iNKT cells rapidly secrete cytokines, including IFN-γ and TNF-α, thereby activating dendritic cells, natural killer (NK) cells, and cytotoxic T lymphocytes (CTLs) to promote antitumor immunity. Despite their therapeutic promise, clinical translation has been limited by rapid α-GalCer clearance, induction of iNKT cell anergy following repeated stimulation, and the immunosuppressive tumor microenvironment (TME). Recent advances in lipid-engineered nanoparticle systems offer solutions to these challenges by improving ligand stability, enhancing antigen-presenting cell targeting, and enabling controlled release that sustains Th1-biased activation while reducing anergy. Liposomal and polymer-based nano-formulations enhance bioavailability and promote more durable IFN-γ-mediated responses. In parallel, chimeric antigen receptor (CAR)-engineered iNKT cells provide antigen-specific tumor targeting while preserving intrinsic CD1d-restricted immunomodulatory functions, demonstrating encouraging safety and efficacy in early-phase studies. Combination strategies further strengthen iNKT-based immunotherapy. Integration with chemotherapy, immune checkpoint inhibitors such as anti-PD-1 and anti-CTLA-4, and cytokine support enhances effector activation, counteracts TME-induced suppression, and improves therapeutic outcomes. However, challenges remain, including optimization of dosing, control of off-target immune activation, scalable manufacturing, and long-term safety evaluation. Collectively, the convergence of nanotechnology, CAR engineering, and rational combination approaches establishes iNKT cell-based therapy as a promising next-generation immunotherapeutic strategy. Continued refinement of delivery systems, genetic engineering platforms, and translational protocols may enable durable immune reprogramming and improved clinical outcomes in resistant and immunosuppressive cancers. Full article
(This article belongs to the Special Issue The Role of Lipids in Health and Diseases)
Show Figures

Figure 1

21 pages, 2335 KB  
Article
Tissue-Based Transcriptomic Profiling of Gastrointestinal Graft Versus Host Disease Reveals Immune and MicroRNA Dysregulation
by Sakhila Ghimire, Jean Norden, Rihab Gam, Clare Lendrem, Ernst Holler, Anne M. Dickinson and Rachel E. Crossland
Int. J. Mol. Sci. 2026, 27(5), 2513; https://doi.org/10.3390/ijms27052513 - 9 Mar 2026
Abstract
Gastrointestinal acute graft-versus-host disease (GI aGvHD) remains a leading cause of non-relapse mortality after allogeneic hematopoietic stem cell transplantation (HSCT). Current diagnostic methods rely on invasive procedures with limited sensitivity. While circulating biomarkers have been proposed, little is known about the local transcriptomic [...] Read more.
Gastrointestinal acute graft-versus-host disease (GI aGvHD) remains a leading cause of non-relapse mortality after allogeneic hematopoietic stem cell transplantation (HSCT). Current diagnostic methods rely on invasive procedures with limited sensitivity. While circulating biomarkers have been proposed, little is known about the local transcriptomic landscape within inflamed GI tissue. We performed integrated profiling of mRNA and microRNA expression in colonoscopically resected GI biopsies from n = 8 HSCT patients, including n = 3 with histologically confirmed GI aGvHD and n = 5 without. Using NanoString nCounter technology, we quantified 770 immune-related mRNAs and 799 mature human microRNAs. Differential expression analysis, pathway enrichment, cell type deconvolution, and machine learning–based biomarker prioritisation were conducted to define disease-specific molecular signatures. GI aGvHD was marked by upregulation of inflammatory genes (e.g., IL1B, IL17RA, HLA-DRA) and immune-regulatory microRNAs (e.g., miR-155-3p, miR-223-3p), alongside downregulation of epithelial and anti-inflammatory markers (ST6GAL1, THBS1, miR-1915-3p, miR-145-5p). Enrichment analyses revealed activation of IL2/STAT5, JAK/STAT3, TCR signalling, and antigen presentation pathways. Machine learning identified LCN2, CXCL13, and miR-1269b as top-ranked biomarker candidates. Cell deconvolution showed increased M0 macrophage and decreased dendritic cell signatures in aGvHD tissue. This is the first study to integrate mRNA and microRNA profiling in GI tissue using NanoString technology to characterise the immune and epithelial transcriptomic landscape of aGvHD. Our findings reveal dysregulated immune pathways, altered myeloid cell populations, and novel biomarker candidates, offering tissue-specific insights into disease pathogenesis and potential diagnostic targets. Larger validation studies and functional assays are warranted to confirm clinical utility. Full article
(This article belongs to the Special Issue Non-Coding RNAs as Key Regulators in Human Disease Processes)
Show Figures

Figure 1

13 pages, 1843 KB  
Article
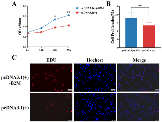
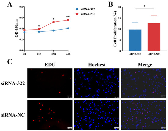
Beta-2-Microglobulin Regulates Sheep Susceptibility to Escherichia coliF17b in Intestinal Epithelial Cells
by Xinyu Gu, Weihao Chen, Hadeer M. Aboshady, Ahmed A. Saleh, Yuxuan Song, Xiyun Zhang, Hossam E. Rushdi and Wei Sun
Vet. Sci. 2026, 13(3), 252; https://doi.org/10.3390/vetsci13030252 - 9 Mar 2026
Viewed by 42
Abstract
Beta-2-microglobulin (B2M) is a key component protein in the processing and presentation of major histocompatibility complex (MHC)-I antigens and plays an important role in the immune system regulation. Previous studies have shown that B2M is significantly overexpressed in the intestinal tissues of sheep [...] Read more.
Beta-2-microglobulin (B2M) is a key component protein in the processing and presentation of major histocompatibility complex (MHC)-I antigens and plays an important role in the immune system regulation. Previous studies have shown that B2M is significantly overexpressed in the intestinal tissues of sheep that are resistant to E. coli F17b infection (defined by milder clinical symptoms post-challenge) compared to those that are susceptible (exhibiting severe diarrhea). Based on this finding, this study aimed to investigate whether B2M influences the adhesion of E. coli F17b to sheep intestinal epithelial cells (IECs) and to assess its role in regulating IEC proliferation and migration. We tested this by overexpressing and knocking down B2M in IECs, and then measured bacterial adhesion through colony counts and fimbrial gene expression (RT-qPCR). Moreover, cell health was assessed using proliferation (CCK-8 and EdU) and migration (scratch) assays. The results showed that upregulation of B2M expression inhibited E. coli F17b adhesion and promoted IEC proliferation and migration. Silencing B2M increased bacterial adhesion and impaired cell function. In summary, B2M helps protect sheep IECs from E. coli F17b by strengthening the epithelial barrier through improved cell growth, proliferation, and migration. These findings elucidate part of the host defense mechanism against E. coli F17b, providing a basis for further research. Full article
Show Figures

Figure 1

26 pages, 1099 KB  
Review
Connecting the Dots: Milestones in the History of Extracellular Vesicle Research
by Joanna Guzowska, Szymon Kowalski, Iga Schachta, Natalia Piekuś-Słomka and Artur Słomka
Int. J. Mol. Sci. 2026, 27(5), 2470; https://doi.org/10.3390/ijms27052470 - 7 Mar 2026
Viewed by 179
Abstract
The field of extracellular vesicle (EV) research offers a compelling example of a biological concept refined through continuous methodological innovation. This review traces the historical trajectory of the discipline chronologically, beginning with early observations in haemostasis, from Malpighi’s descriptions of blood clots and [...] Read more.
The field of extracellular vesicle (EV) research offers a compelling example of a biological concept refined through continuous methodological innovation. This review traces the historical trajectory of the discipline chronologically, beginning with early observations in haemostasis, from Malpighi’s descriptions of blood clots and Chargaff and West’s identification of a procoagulant sedimentable plasma fraction, to Wolf’s “platelet dust,” Crawford’s microparticles characterised by electron microscopy, and the seminal work by Stahl and Johnstone demonstrating regulated vesicle biogenesis during reticulocyte maturation via multivesicular bodies. We highlight a pivotal conceptual shift, from viewing EVs as cellular debris to recognising them as regulated “communicasomes,” catalysed by Raposo’s discovery of antigen-presenting exosomes and subsequent evidence for EV-mediated transfer of functional receptors and nucleic acids, including the influential and sometimes debated model proposed by Ratajczak. By integrating findings from matrix vesicles, plant-derived vesicles, and diverse tissue contexts, we frame EV release as an evolutionarily conserved process with profound implications for immunity, regeneration, oncology, and cardiovascular pathology. A second central aim of this review is practical and methodological. We map how the expansion of biological claims has driven urgent standardisation efforts, notably through the establishment of the International Society for Extracellular Vesicles (ISEV) and the successive MISEV guidelines (2014, 2018, 2023). These are complemented by community resources such as EV-TRACK, MIFlowCyt-EV, and the databases ExoCarta and Vesiclepedia. We summarise core experimental choices across isolation and characterisation techniques, including ultracentrifugation, size exclusion chromatography, density gradients, flow cytometry, nanoparticle tracking analysis, and electron microscopy, while outlining persistent bottlenecks in purity, standardised nomenclature, and experimental reproducibility. Finally, we provide concise biographical sketches of key contributors and an overview of major EV-focused journals and ISEV meetings that anchor consensus-building and the translation of fundamental knowledge into clinical and industrial applications. Full article
Show Figures

Figure 1

22 pages, 16766 KB  
Article
Construction of a DNA Methylation Map of Argali Hybrid Sheep During Mo Infection
by Qinchuan Zhang, Shiyi Li, Guojie Cheng, Guangxin Zhao, Yudie Zhou, Yanming Sun and Yanbing Zhang
Microorganisms 2026, 14(3), 597; https://doi.org/10.3390/microorganisms14030597 - 6 Mar 2026
Viewed by 169
Abstract
The DNA methylation landscape in the lungs of argali hybrid sheep infected with Mycoplasma ovipneumoniae (Mo) remains poorly characterized. This study aimed to profile genome-wide DNA methylation using reduced representation bisulfite sequencing (RRBS) and to validate key genes using bisulfite sequencing [...] Read more.
The DNA methylation landscape in the lungs of argali hybrid sheep infected with Mycoplasma ovipneumoniae (Mo) remains poorly characterized. This study aimed to profile genome-wide DNA methylation using reduced representation bisulfite sequencing (RRBS) and to validate key genes using bisulfite sequencing PCR (BSP), methylation-specific PCR (MSP), and quantitative MSP (QMSP). The results revealed a significant increase in global mCG methylation in -infected lungs. RRBS identified 3691 differentially methylated regions (DMRs), 66.2% of which were hypermethylated. Methylation levels were highest in gene bodies/downstream regions and lowest in promoters/5′ untranslated regions. Differentially methylated genes (DMGs) were enriched in immune–inflammatory pathways (e.g., antigen presentation, B-cell receptor signaling, Th17 differentiation) and, to a lesser extent, neural signaling pathways. BSP confirmed the methylation status of hypermethylated (KHDC3L, GILT, OVAR-DRB1, SGK1, ADAM17) and hypomethylated (EFCAB11, AP1B1, TATDN1) DMGs. Independent validation by MSP and QMSP further supported the hypermethylation of SGK1 and GILT in both lung tissue and alveolar macrophages. Quantitative reverse-transcription PCR showed that promoter hypermethylation of KHDC3L, GILT, SGK1, and ADAM17 was associated with transcriptional downregulation, while hypomethylation of AP1B1 correlated with upregulation. In summary, Mo infection induces genome-wide hypermethylation reprogramming that dysregulates key immune-related genes, highlighting potential epigenetic mechanisms in the pathogenesis of mycoplasmal pneumonia. Full article
(This article belongs to the Section Veterinary Microbiology)
Show Figures

Figure 1

19 pages, 347 KB  
Review
Decoding Immunotherapy Response in Colorectal Cancer: Translational Insights Beyond MSI
by Chiara Cataldi, Beliz Bahar Karaoğlan, Elena Liotta and Sara De Dosso
Cancers 2026, 18(5), 852; https://doi.org/10.3390/cancers18050852 - 6 Mar 2026
Viewed by 157
Abstract
Background/Objectives: Immune checkpoint inhibitors (ICIs) are among the transformative and manageable systemic therapies for several cancer types, including colorectal cancer (CRC). Nevertheless, their clinical benefit is limited to mismatch-deficient or microsatellite instability-high diseases, which represent only a small percentage of cases. Despite [...] Read more.
Background/Objectives: Immune checkpoint inhibitors (ICIs) are among the transformative and manageable systemic therapies for several cancer types, including colorectal cancer (CRC). Nevertheless, their clinical benefit is limited to mismatch-deficient or microsatellite instability-high diseases, which represent only a small percentage of cases. Despite this initial major and stringent selection, primary and acquired resistance remain clinically relevant. Therefore, the identification of additional biomarkers is essential to refine patient selection and guide rational combinational strategies. This review aims to summarize the current evidence regarding established and emerging biomarkers of response and resistance to ICIs in CRC. Methods: This narrative review identified and synthesized relevant clinical trials, translational studies, and reviews through a literature search of emerging biomarkers of immunotherapy response in colorectal cancer. Results: Deficient mismatch repair/high microsatellite instability remains the most reliable predictive biomarker of ICI response, emphasized by high tumor mutational burden, POLE/POLD mutations, and specific tumor microenvironment features. Emerging indicators, including molecular alterations, antigen presentation machinery integrity, PD-L1-mediated signaling, microbiome connections, and circulating tumor DNA kinetics, have demonstrated significant potential as sources for therapeutic response prediction and have informed the development of innovative combination strategies in both MSI-H and MSS CRCs. Conclusions: Immunotherapy response in CRC is determined by a complex interplay between tumor-intrinsic, immune, microenvironmental, and systemic factors. Integrating multiple biomarkers may provide superior stratification and guide therapeutic strategies. Prospective validation and standardized biomarker assessment will be imperative to translate these insights into clinical practice. Full article
19 pages, 3142 KB  
Article
Cattle Immunization with T7 Phage-Displayed Whole-Tick Antigens Reduces Amblyomma americanum Feeding Efficiency and Blocks Larval Tick Hatching
by Moiz Ashraf Ansari, Alex Kiarie Gaithuma, Thu-Thuy Nguyen, William Tae Heung Kim, Emily Bencosme-Cuevas, Jacquie Berry, Jennifer Fridley, Kimberly Lohmeyer, Marie-Eve Koziol and Albert Mulenga
Pathogens 2026, 15(3), 281; https://doi.org/10.3390/pathogens15030281 - 5 Mar 2026
Viewed by 358
Abstract
This study demonstrates the feasibility of using a T7 phage display platform to deliver a library of tick antigens as a vaccine to disrupt tick feeding in cattle. Cattle were vaccinated at three-week intervals via intradermal and intramuscular routes with a cocktail of [...] Read more.
This study demonstrates the feasibility of using a T7 phage display platform to deliver a library of tick antigens as a vaccine to disrupt tick feeding in cattle. Cattle were vaccinated at three-week intervals via intradermal and intramuscular routes with a cocktail of male and female Amblyomma americanum T7 phage display cDNA libraries, with and without adjuvant. ELISA and Western blot analyses confirmed that vaccinated cattle mounted immune responses directed against phage-displayed tick proteins rather than the T7 phage backbone. Vaccine-induced antibodies recognized both native tick salivary gland proteins and selected recombinant salivary proteins, indicating effective antigen presentation and biologically relevant immunity with binding to native tick saliva proteins. The adjuvanted formulation elicited significantly stronger immune responses than phage-only immunization. Immunized cattle exhibited robust immune memory, evidenced by a pronounced anamnestic response following tick infestation. This immunity translated into measurable anti-tick effects, including reduced tick feeding efficiency and blood ingestion. Tick reproductive success was severely compromised, with larval hatching declining from 54% in ticks fed on control cattle to 4% in ticks fed on immunized cattle. This study establishes a practical and scalable T7 phage-displayed whole-tick antigen platform capable of inducing durable anti-tick immunity in cattle. Full article
Show Figures

Graphical abstract

13 pages, 658 KB  
Article
Monitoring of RSV-A and RSV-B Circulation in Poland Across Three Post-Pandemic Seasons (2022–2025)
by Katarzyna Łuniewska, Piotr Rzymski, Barbara Poniedziałek, Karol Szymański, Katarzyna Kondratiuk, Emilia Czajkowska, Bartosz Mańkowski and Lidia B. Brydak
Viruses 2026, 18(3), 321; https://doi.org/10.3390/v18030321 - 4 Mar 2026
Viewed by 258
Abstract
Respiratory syncytial virus (RSV) is a significant cause of respiratory infections across all ages. However, data on the circulation of its antigenic subgroups, RSV-A and RSV-B, remain limited in certain regions, including Poland. Therefore, this study provides the first molecular insight into the [...] Read more.
Respiratory syncytial virus (RSV) is a significant cause of respiratory infections across all ages. However, data on the circulation of its antigenic subgroups, RSV-A and RSV-B, remain limited in certain regions, including Poland. Therefore, this study provides the first molecular insight into the post-pandemic circulation of RSV subgroups in Poland. We analyzed 377 RSV-positive respiratory samples collected across Poland during three consecutive seasons (2022/23, 2023/24, and 2024/25) using qRT-PCR to determine subgroup distribution. An equal prevalence of RSV-A and RSV-B was observed in 2022/23, followed by RSV-A predominance in 2023/24 and a shift to RSV-B dominance in 2024/25. Individuals infected with RSV-A were significantly younger than those infected with RSV-B, a pattern evident in the latter two seasons but not in 2022/23. In general, adults (≥18 years) had higher odds of RSV-B infection (OR = 2.35, 95% CI: 1.44–3.84; p = 0.006). Coinfections with both subgroups increased from 5% in 2022/23 to approximately 15% in later seasons, and were more frequent in women. Coinfections with influenza viruses or SARS-CoV-2 were infrequent and showed no statistically significant differences between seasons. The findings of the present study highlight dynamic, region-specific RSV epidemiology and underscore the importance of sustained molecular surveillance to inform public health preparedness and guide emerging RSV immunization strategies in Poland. Full article
(This article belongs to the Special Issue RSV Epidemiological Surveillance: 3rd Edition)
Show Figures

Figure 1

16 pages, 1854 KB  
Article
Deleterious NKAP Mutations Are Associated with Musculoskeletal Abnormalities in Hemizygous Males and Skewed X Chromosome Inactivation in Heterozygous Females
by Einat Avishai, Rima Dardik, Linda Rubinstein, Ivan Budnik, Yair Ben Gera, Rachel Twitto-Greenberg, Gili Kenet, Tami Livnat and Sarina Levy-Mendelovich
Int. J. Mol. Sci. 2026, 27(5), 2330; https://doi.org/10.3390/ijms27052330 - 2 Mar 2026
Viewed by 208
Abstract
NKAP (NF-kappa-B-activating protein) is a ubiquitously expressed nuclear protein involved in multiple biological processes. Males with missense NKAP mutations have been reported to present with marfanoid features and behavioral and musculoskeletal abnormalities. We have previously reported that a disruptive NKAP mutation resulted in [...] Read more.
NKAP (NF-kappa-B-activating protein) is a ubiquitously expressed nuclear protein involved in multiple biological processes. Males with missense NKAP mutations have been reported to present with marfanoid features and behavioral and musculoskeletal abnormalities. We have previously reported that a disruptive NKAP mutation resulted in extremely skewed X chromosome inactivation (XCI), leading to phenotypic manifestation of hemophilia A (HA) in a HA carrier. In this study, with the aim of exploring the phenotypic manifestations of deleterious NKAP mutations in males, as well as their involvement in the mechanism of XCI regulation in females, we generated NKAP mutant mice using CRISPR/Cas9 technology. Gait analysis studies conducted in male mice hemizygous for mutant NKAP by the CatWalk XT system revealed significant alterations in gait parameters, consistent with hypotonia reported in human mutant NKAP patients. By breeding mutant NKAP mice with HA mice, we generated a double heterozygous mutant NKAP/HA mouse model, i.e., female mice carrying mutant NKAP with a WT F8 copy on one X chromosome, and WT NKAP with a mutant F8 copy on the other X chromosome. XCI pattern analysis using methylation-sensitive restriction enzymes demonstrated that mutant NKAP/HA females exhibited significant XCI skewing of the X chromosome bearing the mutant NKAP copy. Furthermore, these females exhibited significantly reduced F8 mRNA levels and FVIII (factor VIII) antigen levels, as demonstrated by quantitative RT-PCR and ELISA, respectively. Murine embryonic fibroblasts (MEFs) derived from a hemizygous mutant NKAP embryo exhibited markedly reduced proliferation rate and increased senescence compared to WT NKAP MEFs, suggesting that XCI skewing induced by mutant NKAP results from secondary selection against cells with an active X chromosome bearing the mutant NKAP copy. Full article
Show Figures

Figure 1

16 pages, 1530 KB  
Review
Structural Determinants and Repair of Membrane Microdomains in Dendritic Cell-Mediated Antitumor Immunity: An Integrative Mechanistic Synthesis
by Ramón Gutiérrez-Sandoval, Francisco Gutiérrez-Castro, Natalia Muñoz-Godoy, Ider Rivadeneira, Andy Lagos, Jordan Iturra, Francisco Krakowiak, Cristián Peña-Vargas, Matías Vidal and Andrés Toledo
Int. J. Mol. Sci. 2026, 27(5), 2305; https://doi.org/10.3390/ijms27052305 - 28 Feb 2026
Viewed by 222
Abstract
Durable responses to cancer immunotherapy remain restricted to a subset of patients, highlighting persistent gaps in understanding immune failure mechanisms. Dendritic cells (DCs) serve as the critical bridge between antigen recognition and adaptive immune activation, yet conventional molecular models centered on discrete components [...] Read more.
Durable responses to cancer immunotherapy remain restricted to a subset of patients, highlighting persistent gaps in understanding immune failure mechanisms. Dendritic cells (DCs) serve as the critical bridge between antigen recognition and adaptive immune activation, yet conventional molecular models centered on discrete components fail to fully explain heterogeneous therapeutic outcomes. This integrative mechanistic synthesis proposes that DC-mediated antitumor immunity is governed by higher-order structural determinants, including membrane microdomain organization, spatial compartmentalization of signaling, and temporal integration of antigenic and co-stimulatory cues. These features determine whether antigen presentation leads to effective T-cell priming or dysfunctional states such as exhaustion or anergy within the tumor microenvironment. By reanalyzing our validated 2025 experimental pipeline alongside high-impact contextual literature, we identify emergent properties of immune competence that transcend linear molecular interactions. The resulting framework distinguishes structurally mediated failure modes from classical resistance paradigms, providing a coherent non-reductionist explanation for variability in immunotherapy efficacy. Membrane raft repair is positioned as a key promising structural condition for effective immune integration, with direct relevance to translational and regulatory contexts involving non-pharmacodynamic platforms and New Approach Methodologies (NAM)-aligned evaluation strategies. This work proposes an integrative mechanistic framework to guide future hypothesis-driven studies and clinical advancement of DC-based approaches. Full article
(This article belongs to the Special Issue Advances in Dendritic Cell-Based Immunotherapy of Cancer)
Show Figures

Figure 1

20 pages, 763 KB  
Review
Vaccine-Induced Immune Thrombotic Thrombocytopenia (VITT): An Immunopathogenic Model of Dysregulated Vaccine-Triggered Immunity
by Carmine Siniscalchi, Manuela Basaglia, Antonella Tufano, Egidio Imbalzano and Pierpaolo Di Micco
Vaccines 2026, 14(3), 225; https://doi.org/10.3390/vaccines14030225 - 28 Feb 2026
Viewed by 293
Abstract
Background/Objectives: Vaccine-induced immune thrombotic thrombocytopenia (VITT) is a rare but severe immune-mediated adverse event associated with adenoviral vector-based SARS-CoV-2 vaccines. Beyond its clinical relevance, VITT provides a unique human model of vaccine-triggered autoimmunity and immune-thrombosis. This review critically reassesses the immunopathogenic framework of [...] Read more.
Background/Objectives: Vaccine-induced immune thrombotic thrombocytopenia (VITT) is a rare but severe immune-mediated adverse event associated with adenoviral vector-based SARS-CoV-2 vaccines. Beyond its clinical relevance, VITT provides a unique human model of vaccine-triggered autoimmunity and immune-thrombosis. This review critically reassesses the immunopathogenic framework of VITT in light of recent evidence. Methods: We conducted a structured narrative review of studies published between 2021 and 2025, focusing on clinical, epidemiological, and mechanistic data relevant to PF4 immunogenicity, platelet activation, and long-term outcomes. Results: Current evidence supports a multistep model in which adenoviral vector components form immunogenic PF4–polyanion complexes that induce high-affinity anti-PF4 IgG antibodies. These antibodies activate platelets via FcγRIIa, amplify complement signaling, promote neutrophil extracellular trap formation, and drive endothelial perturbation, establishing a self-sustaining thrombo-inflammatory loop. Recent longitudinal studies refine earlier interpretations by distinguishing persistent anti-PF4 seropositivity from sustained platelet-activating capacity. Epidemiological data support platform-enriched risk rather than absolute platform exclusivity, with a proposed mechanistic “border zone” for incomplete phenotypes. Conclusions: VITT represents a tractable human model of vaccine-induced autoimmunity in which innate immune activation and multivalent antigen presentation converge to break tolerance. Updated evidence clarifies antibody persistence, platform enrichment, and translational implications, while highlighting unresolved questions regarding host susceptibility and long-term immune regulation. Full article
Show Figures

Figure 1

Back to TopTop