Journal Description
Brain Sciences
Brain Sciences
is an international, peer-reviewed, open access journal on neuroscience published monthly online by MDPI. The British Neuro-Oncology Society (BNOS) and Panhellenic Federation of Alzheimer's Disease and Related Disorders (PFADRD) are affiliated with Brain Sciences and their members receive a discount on article processing charges.
- Open Access— free for readers, with article processing charges (APC) paid by authors or their institutions.
- High Visibility: indexed within Scopus, SCIE (Web of Science), PubMed, PMC, Embase, PSYNDEX, PsycInfo, CAPlus / SciFinder, and other databases.
- Rapid Publication: manuscripts are peer-reviewed and a first decision is provided to authors approximately 16.2 days after submission; acceptance to publication is undertaken in 1.9 days (median values for papers published in this journal in the first half of 2025).
- Recognition of Reviewers: reviewers who provide timely, thorough peer-review reports receive vouchers entitling them to a discount on the APC of their next publication in any MDPI journal, in appreciation of the work done.
- Journal Cluster of Neurosciences: Brain Sciences, Neurology International, NeuroSci, Clinical and Translational Neuroscience, Neuroglia, Psychiatry International, Clocks & Sleep and Journal of Dementia and Alzheimer's Disease.
Impact Factor:
2.8 (2024);
5-Year Impact Factor:
3.1 (2024)
Latest Articles
Confusion Assessment Protocol: Italian Cross-Cultural Adaptation and Validation
Brain Sci. 2025, 15(10), 1102; https://doi.org/10.3390/brainsci15101102 (registering DOI) - 13 Oct 2025
Abstract
Background: This study validated the Italian version of the Confusion Assessment Protocol (CAP), a tool designed to assess Post-Traumatic Confusional State (PTCS) in patients with severe acquired brain injury (sABI) who are not evaluable with standard neuropsychological evaluations. Objectives: The primary aim
[...] Read more.
Background: This study validated the Italian version of the Confusion Assessment Protocol (CAP), a tool designed to assess Post-Traumatic Confusional State (PTCS) in patients with severe acquired brain injury (sABI) who are not evaluable with standard neuropsychological evaluations. Objectives: The primary aim of this study was to promote the CAP as a tool for assessing patients who are not still eligible for standard neuropsychological evaluation and to adapt it to Italian-speaking sABI patients by translating it into Italian and conducting a cross-cultural adaptation and evaluating its psychometric properties. The secondary objective was to correlate the CAP scores with broader functional scales, such as the Levels of Cognitive Functioning Assessment Scale (LCF) and Disability Rating Scale (DRS). Methods: A total of 42 sABI patients were enrolled at IRCCS Fondazione Santa Lucia. The CAP was translated and culturally adapted using international back-translation guidelines. Cross-cultural validity was assessed in 20 patients. The final version was administered by three trained raters over two days to evaluate inter- and intra-rater reliability. Results: The Italian version of the CAP demonstrated high internal consistency and substantial inter-rater reliability for key symptoms, including night-time sleep disturbances, decreased daytime arousal, and psychotic-type symptoms. Cognitive impairment showed moderate inter-rater agreement, likely due to symptom fluctuations typical of this recovery phase. The convergent validity of the CAP was confirmed through its correlations with the Levels of Cognitive Functioning (LCF) and the Disability Rating Scale (DRS), demonstrating its clinical utility in integrating cognitive and behavioral symptom assessments. Conclusions: The Italian version of the CAP is a reliable and valid tool for assessing PTCS in sABI. Future developments should address limitations related to symptom intensity, behavioral domains, and differential symptom weighting.
Full article
(This article belongs to the Special Issue At the Frontiers of Neurorehabilitation: 3rd Edition)
►
Show Figures
Open AccessReview
Therapeutic Advances in Targeting the Amyloid-β Pathway for Alzheimer’s Disease
by
Beiyu Zhang, Yunan Li, Huan Li, Xinai Shen and Zheying Zhu
Brain Sci. 2025, 15(10), 1101; https://doi.org/10.3390/brainsci15101101 - 13 Oct 2025
Abstract
Alzheimer’s disease (AD) is the most common cause of dementia, characterized by progressive cognitive decline and neuropathological hallmarks, including amyloid-β (Aβ) plaques, neurofibrillary tangles (NFTs), and neurodegeneration. Since the amyloid cascade hypothesis was proposed, Aβ has remained a central therapeutic target, with interventions
[...] Read more.
Alzheimer’s disease (AD) is the most common cause of dementia, characterized by progressive cognitive decline and neuropathological hallmarks, including amyloid-β (Aβ) plaques, neurofibrillary tangles (NFTs), and neurodegeneration. Since the amyloid cascade hypothesis was proposed, Aβ has remained a central therapeutic target, with interventions aiming to reduce Aβ production, aggregation, or downstream toxicity. This review first outlines the historical development of the Aβ hypothesis and the two major APP processing pathways (α-cleavage and β-cleavage), highlighting the role of biomarkers in early diagnosis, patient stratification, and regulatory approval. We then summarize the development and clinical outcomes of anti-Aβ small-molecule drugs, including β-secretase inhibitors, γ-secretase modulators, Aβ aggregation inhibitors, receptor/synapse modulators, and metabolic or antioxidant modalities. We further review the progression of biologic therapies, with a particular focus on monoclonal antibodies, vaccines, and emerging gene-silencing strategies, such as small interfering RNA (siRNA) and antisense oligonucleotides. Finally, we discuss future perspectives, including next-generation biologics, multi-target approaches, optimized delivery platforms, and early-prevention strategies. Collectively, these efforts underscore both the challenges and opportunities in translating anti-Aβ therapies into meaningful clinical benefits for patients with AD.
Full article
(This article belongs to the Section Neurodegenerative Diseases)
Open AccessArticle
Difficulty in Attention Switching and Its Neural Basis in Problematic Smartphone Use
by
Nanase Kobayashi, Daisuke Jitoku, Toshitaka Hamamura, Masaru Honjo, Yusei Yamaguchi, Masaaki Shimizu, Shunsuke Takagi, Junya Fujino, Genichi Sugihara and Hidehiko Takahashi
Brain Sci. 2025, 15(10), 1100; https://doi.org/10.3390/brainsci15101100 - 13 Oct 2025
Abstract
Background: Problematic smartphone use (PSU) involves excessive smartphone engagement that disrupts daily functioning and is linked to attentional control deficits and altered reward processing. The nucleus accumbens (NAcc), a key structure in the reward system, may contribute to difficulty disengaging from rewarding
[...] Read more.
Background: Problematic smartphone use (PSU) involves excessive smartphone engagement that disrupts daily functioning and is linked to attentional control deficits and altered reward processing. The nucleus accumbens (NAcc), a key structure in the reward system, may contribute to difficulty disengaging from rewarding digital content. This study examined relationships between NAcc volume, attentional switching, and objectively measured nighttime screen time in individuals with PSU. Methods: Fifty-three participants (aged ≥ 13 years) from an outpatient internet dependency clinic completed psychological assessments, brain MRI, and smartphone logging. PSU was diagnosed by two psychiatrists. Attentional switching was measured via the Autism Spectrum Quotient subscale. Nighttime screen time (00:00–06:00) was recorded via smartphone. MRI-derived NAcc volumes were normalized to total gray matter volume. Correlations, multiple regression (controlling for ASD and ADHD), and mediation analyses were conducted. Results: Difficulty in attention switching correlated with larger right NAcc volume (r = 0.45, p = 0.012) and increased nighttime screen time (r = 0.44, p = 0.014). Right NAcc volume also correlated with nighttime screen time (r = 0.46, p = 0.012). Regression showed right NAcc volume predicted nighttime screen time (β = 0.33, p = 0.022), whereas attentional switching was not significant. Mediation was unsupported. Sensitivity analyses confirmed associations. Conclusions: Larger right NAcc volume independently predicts prolonged nighttime smartphone use and is associated with impaired attentional switching in PSU. Structural variations in reward-related regions may underlie difficulty disengaging from digital content. Integrating neurobiological, cognitive, and behavioral measures offers a framework for understanding PSU.
Full article
(This article belongs to the Special Issue The Latest Exploration of Gaming Disorders and Related Mental Health Issues)
►▼
Show Figures

Figure 1
Open AccessArticle
When Time Equals Vision: The Neuro-Ophthalmic Outcomes of Patients with Fulminant Idiopathic Intracranial Hypertension Undergoing Emergent Cerebral Transverse Venous Stenting
by
Assaf Kratz, Eyal Walter, Asaf Honig, Alexander Chorny, Gal Ben-Arie, Erez Tsumi, Tamir Regev and Anat Horev
Brain Sci. 2025, 15(10), 1099; https://doi.org/10.3390/brainsci15101099 - 13 Oct 2025
Abstract
Background: Fulminant idiopathic intracranial hypertension (IIH) is a rare and vision-threatening variant of IIH, characterized by rapid visual deterioration and a high risk of irreversible blindness. Urgent intervention is required to prevent permanent optic nerve damage. Cerebral transverse venous stenting (CTVS) has emerged
[...] Read more.
Background: Fulminant idiopathic intracranial hypertension (IIH) is a rare and vision-threatening variant of IIH, characterized by rapid visual deterioration and a high risk of irreversible blindness. Urgent intervention is required to prevent permanent optic nerve damage. Cerebral transverse venous stenting (CTVS) has emerged as an effective treatment for medically refractory IIH, but data on its use in fulminant cases remain limited. Methods: A retrospective consecutive cohort study was conducted at a tertiary center and included all patients with fulminant IIH diagnosed by modified Dandy criteria, with bilateral transverse sinus stenosis > 50% and a trans-stenotic pressure gradient ≥ 8 mmHg on venography. Before stenting, patients received high-dose acetazolamide (up to 3000 mg/day) and IV methylprednisolone (1000 mg/day × 3). Neuro-ophthalmic assessment included BCVA, Ishihara color vision, pupillary exam, disc edema grading, Humphrey visual fields, and optical coherence tomography (OCT). Follow-up occurred at baseline (admission), 1 week, 1 month, 3 months, and 12 months. Results: Five young female patients underwent successful CTVS without peri- or post-procedural complications. Significant improvement in headache and stabilization or recovery of visual function were observed in all patients. OCT revealed early retinal nerve fiber layer thinning within one week, preceding clinical resolution of papilledema. Conclusions: Emergent CTVS appears to be a safe and effective vision-preserving procedure in fulminant IIH, offering rapid intracranial pressure reduction and early neuro-ophthalmologic improvement. OCT may serve as a useful early predictor of treatment success, supporting its role in post-procedural monitoring. Larger prospective studies are warranted.
Full article
(This article belongs to the Special Issue The Eye as the Window to Brain Science: Fields of Neuroscience Created from Eye Research)
►▼
Show Figures

Figure 1
Open AccessCorrection
Correction: Marchant et al. Ankle Somatosensation and Lower-Limb Neuromuscular Function on a Lunar Gravity Analogue. Brain Sci. 2025, 15, 443
by
Ashleigh Marchant, Nick Ball, Jeremy Witchalls, Sarah B. Wallwork and Gordon Waddington
Brain Sci. 2025, 15(10), 1098; https://doi.org/10.3390/brainsci15101098 - 13 Oct 2025
Abstract
This update pertains to the article previously published by Marchant et al [...]
Full article
Open AccessReview
Sex-Related Differences in Lifestyle Factors Affecting Multiple Sclerosis Susceptibility and Disease Progression
by
Elena Barbuti, Claudia Piervincenzi, Serena Ruggieri and Maria Petracca
Brain Sci. 2025, 15(10), 1097; https://doi.org/10.3390/brainsci15101097 - 11 Oct 2025
Abstract
Multiple sclerosis (MS) is a chronic autoimmune disease of the central nervous system that affects women more frequently than men. This sex gap has widened over the past century, and appears to be shaped by lifestyle factors more than biological factors. This narrative
[...] Read more.
Multiple sclerosis (MS) is a chronic autoimmune disease of the central nervous system that affects women more frequently than men. This sex gap has widened over the past century, and appears to be shaped by lifestyle factors more than biological factors. This narrative review examines the evidence for sex-specific differences in lifestyle risk factors and their impact on both MS susceptibility and disease progression, with implications for diagnosis, monitoring, and treatment. Smoking, obesity, vitamin D deficiency, ultraviolet radiation exposure, and Epstein–Barr virus infection all interact with sex-related biological pathways to influence MS risk. Women appear to be more vulnerable to the pathogenic effects of smoking and obesity, both independently and in synergy with genetic risk alleles, while vitamin D and UV exposure confer stronger protective effects in females than in males. EBV infection also exhibits sex-dependent immune responses, shaped by hormonal regulation and host–virus genetic interactions. Sex-related lifestyle factors also modulate MS progression. Women experience more inflammatory activity and relapses, whereas men more often develop a progressive phenotype with greater neurodegeneration. Hormonal changes during female reproductive phases, such as pregnancy, breastfeeding, menopause, and hormone-based therapies, critically influence disease activity and progression in MS. Obesity, smoking, vitamin D status, diet, and gut microbiota further interact with sex hormones and genetic background, contributing to variable disease trajectories, also modulated by social determinants such as education level. These findings underscore the need to integrate into clinical practice the evaluation of lifestyle factors in a sex-specific way for diagnosis, monitoring, and treatment of MS.
Full article
(This article belongs to the Special Issue Lifestyle and Risk Factors for Multiple Sclerosis)
Open AccessArticle
Regional Brain Volume Changes Across Adulthood: A Multi-Cohort Study Using MRI Data
by
Jae Hyuk Shim, Hyeon-Man Baek and Jung Hoon
Brain Sci. 2025, 15(10), 1096; https://doi.org/10.3390/brainsci15101096 - 11 Oct 2025
Abstract
Background/Objectives: Age-related structural changes in the human brain provide essential insights into cognitive aging and the onset of neurodegenerative diseases. This study aimed to comprehensively characterize age-related volumetric changes across multiple brain regions in a large, diverse, cognitively healthy cohort spanning adulthood (ages
[...] Read more.
Background/Objectives: Age-related structural changes in the human brain provide essential insights into cognitive aging and the onset of neurodegenerative diseases. This study aimed to comprehensively characterize age-related volumetric changes across multiple brain regions in a large, diverse, cognitively healthy cohort spanning adulthood (ages 21–90), integrating Korean, Information eXtraction from Images (IXI), and Alzheimer’s Disease Neuroimaging Initiative (ADNI) MRI datasets of cognitively healthy participants to characterize normative volumetric changes across adulthood using demographically diverse datasets. Methods: High resolution 3T T1-weighted MRI images from three distinct cohorts (totaling 1833 subjects) were processed through an optimized neuroimaging pipeline, combining advanced preprocessing with neural network-based segmentation. Volumetric data for 95 brain structures were segmented and analyzed across seven age bins (21–30 through 81–90). Pipeline reliability was validated against FreeSurfer using intraclass correlation coefficients (ICC) and coefficients of variation (CoV). Regression-based correction was used to correct for sex and cohort effects on brain region volume. Then, percentage change in each mean bilateral volumes of regions across the lifespan were computed to describe volumetric changes across life spans. Results: The segmentation pipeline demonstrated excellent agreement with FreeSurfer (mean ICC: 0.9965). Drastic volumetric expansions were observed in white matter hypointensities (122.6%), lateral ventricles (115.9%), and inferior lateral ventricles (116.8%). Moderate-to-notable shrinkage was found predominantly in the frontal lobe (pars triangularis: 21.5%), parietal lobe (inferior parietal: 20.4%), temporal lobe (transverse temporal: 21.6%), and cingulate cortex (caudal anterior cingulate: 16.1%). Minimal volume changes occurred in regions such as the insula (3.7%) and pallidum (2.6%). Conclusions: This study presents a comprehensive reference of normative regional brain volume changes across adulthood, highlighting substantial inter-regional variability. The findings can provide an essential foundation for differentiating normal aging patterns from early pathological alterations.
Full article
(This article belongs to the Section Developmental Neuroscience)
►▼
Show Figures

Figure 1
Open AccessEditorial
Recent Advances in Assessment and Rehabilitation of Individuals with Communication and Language Disorders
by
Dionysios Tafiadis, Angelos Papadopoulos, Louiza Voniati and Nafsika Ziavra
Brain Sci. 2025, 15(10), 1095; https://doi.org/10.3390/brainsci15101095 - 11 Oct 2025
Abstract
Currently, in the field of rehabilitation, there is a need for researchers and clinicians to stay updated on recent knowledge worldwide [...]
Full article
(This article belongs to the Special Issue Recent Advances in Assessment and Rehabilitation of Individuals with Communication and Language Disorders)
Open AccessSystematic Review
Driving Performance in Schizophrenia: The Role of Neurocognitive Correlates—A Systematic Review
by
Georgia Karakitsiou, Spyridon Plakias, Aikaterini Arvaniti, Magdalini Katsikidou, Katerina Kedraka and Maria Samakouri
Brain Sci. 2025, 15(10), 1094; https://doi.org/10.3390/brainsci15101094 - 10 Oct 2025
Abstract
Background/Objectives: Schizophrenia is associated with cognitive deficits that may compromise everyday functioning, including driving. This review systematically examined recent original research (2015–2025) on driving performance in individuals with schizophrenia with a focus on neuropsychological factors, applying a narrative synthesis given the heterogeneity
[...] Read more.
Background/Objectives: Schizophrenia is associated with cognitive deficits that may compromise everyday functioning, including driving. This review systematically examined recent original research (2015–2025) on driving performance in individuals with schizophrenia with a focus on neuropsychological factors, applying a narrative synthesis given the heterogeneity of designs and outcomes, while no quantitative meta-analysis was feasible. Methods: Following the PRISMA (Preferred Reporting Items for Systematic Reviews and Meta-Analyses) guidelines, a structured search of PubMed and Scopus was conducted on 4 May 2025. The inclusion criteria were original studies involving individuals diagnosed with schizophrenia, published between 2015 and 2025. Studies on animals, other psychiatric or neurological conditions, and healthy populations were also excluded. Critical appraisal was performed using the Joanna Briggs Institute (JBI) tools. Extracted data included sample demographics, cognitive deficits, neuropsychological assessments, brain imaging, and the main findings. A narrative synthesis was then performed. Results: Six high-quality studies met the inclusion criteria. Findings were grouped into three categories: (1) driving behavior: fitness to drive varied widely across individuals, (2) cognitive deficits and brain activity: poorer driving-related performance was consistently associated with specific impairments in cognition and brain structure, and (3) medication effects: individuals taking certain atypical antipsychotics demonstrated better driving performance compared to those on other types of medication, while extrapyramidal symptoms negatively influenced driving fitness. Conclusions: Driving in schizophrenia is shaped by cognitive, clinical, and pharmacological factors. These findings highlight the clinical relevance of individualized evaluations, integration into personalized care and targeted rehabilitation to promote driving autonomy and community inclusion. This area remains under-researched, as only six studies met the inclusion criteria, which restricts the robustness and generalizability of the conclusions. Funding: This review received no funding from any external sources. Registration: The review protocol was submitted to PROSPERO (International Prospective Register of Systematic Reviews) under registration number CRD420251060580.
Full article
(This article belongs to the Special Issue Optimizing Driving Safety: Neurocognitive Insights, Health-Promoting Strategies, and Policy Innovation)
►▼
Show Figures

Figure 1
Open AccessArticle
Obsessive Beliefs, Metacognitive Beliefs, and Rumination in Parents of Adolescents with and Without Obsessive–Compulsive Disorder: A Linear Mixed-Effects Model
by
Emre Mısır and Mutlu Muhammed Özbek
Brain Sci. 2025, 15(10), 1093; https://doi.org/10.3390/brainsci15101093 - 10 Oct 2025
Abstract
Background: Parental cognitive characteristics may represent environmental risk factors in obsessive–compulsive disorder (OCD). This study compared obsessive beliefs, metacognitions, and ruminative thinking in parents of adolescents with OCD and healthy controls (HCs), and examined links with clinical features in patients. Methods: Participants were
[...] Read more.
Background: Parental cognitive characteristics may represent environmental risk factors in obsessive–compulsive disorder (OCD). This study compared obsessive beliefs, metacognitions, and ruminative thinking in parents of adolescents with OCD and healthy controls (HCs), and examined links with clinical features in patients. Methods: Participants were 45 adolescents with OCD, 45 HCs, and both their mothers and fathers. The Children’s Yale-Brown Obsessive Compulsive Scale (CY-BOCS) assessed symptom severity in adolescents. Parents completed the Obsessive Beliefs Questionnaire (OBQ), Ruminative Thought Style Questionnaire (RTSQ), 30-item Metacognitions Questionnaire (MCQ-30), and Patient Health Questionnaire-9 (PHQ-9). Data were analyzed using linear mixed-effects models, followed by correlation and regression analyses. Results: Parents of patients had higher scores on the importance/control of thoughts, the need to control thoughts, and cognitive self-consciousness (MCQ-CSC). Mothers of adolescents with OCD had the highest scores on inflated responsibility/threat estimation (OBQ-RTE), perfectionism/intolerance of uncertainty (OBQ-PIU), rumination, and cognitive confidence (MCQ-CC). Regression analyses showed that lower maternal MCQ-CC predicted earlier OCD onset, while higher rumination predicted later onset. Obsession severity in adolescents was linked to higher maternal MCQ-CSC, obsessive slowness to maternal OBQ-PIU, and pathological doubt to greater maternal rumination. Children’s indecisiveness correlated with paternal OBQ-RTE and OBQ-PIU. Conclusions: Our findings revealed elevated cognitive vulnerabilities for OCD in mothers of affected adolescents and identified specific associations between parental cognitive characteristics and their children’s symptom profiles. Future longitudinal studies using dyadic parental design with larger samples may further elucidate the role of parental cognitive patterns in the development and course of OCD.
Full article
(This article belongs to the Section Neuropsychiatry)
Open AccessArticle
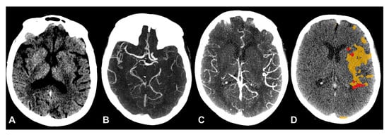
Collateral Status Evaluation Using CT Angiography and Perfusion Source Images in Acute Stroke Patients
by
Heitor C. B. R. Alves, Bruna G. Dutra, Vivian Gagliardi, Rubens J. Gagliardi, Felipe T. Pacheco, Antonio C. M. Maia, Jr. and Antônio J. da Rocha
Brain Sci. 2025, 15(10), 1092; https://doi.org/10.3390/brainsci15101092 - 9 Oct 2025
Abstract
Background/Objectives: Single-phase CT angiography (sCTA) is widely used to assess collateral circulation in acute ischemic stroke, but its static nature can lead to an underestimation of collateral flow. Our study aimed to develop and validate a direct, qualitative dynamic CTA (dCTA) collateral score
[...] Read more.
Background/Objectives: Single-phase CT angiography (sCTA) is widely used to assess collateral circulation in acute ischemic stroke, but its static nature can lead to an underestimation of collateral flow. Our study aimed to develop and validate a direct, qualitative dynamic CTA (dCTA) collateral score based on CTP source images, without the need for post-processing software, to provide a more accurate prognostic tool. Methods: We retrospectively analyzed 112 patients with anterior circulation ischemic stroke from a prospective registry who underwent non-contrast CT, sCTA, and CTP within 8 h of onset. Collateral circulation was graded using a 4-point sCTA score and our novel 4-point dCTA score, which incorporates temporal filling patterns. We used linear regression to compare the association of both scores with CTP-derived core/hypoperfusion volumes, infarct growth, and final infarct volume. Results: The dCTA method frequently reclassified patients with poor collaterals on sCTA to good collaterals on dCTA (n = 23), while the reverse was rare (n = 5). A better collateral score was significantly associated with smaller core volume for both sCTA and dCTA, but the dCTA score demonstrated a superior model fit (R2 = 0.36 vs. 0.32). Similar superior correlations for dCTA were observed for hypoperfusion, infarct growth, and final infarct volumes. Critically, only the dCTA score significantly modified the association between core volume and time since stroke onset (p for interaction = 0.04). Conclusions: A collateral score derived from CTP source images (dCTA) offers a more reliable prediction of infarct lesion sizes and progression than conventional sCTA. By incorporating temporal resolution without requiring extra software, dCTA provides a robust correlation with stroke temporal evolution and represents a readily implementable tool to enhance patient selection in acute stroke.
Full article
(This article belongs to the Special Issue Stroke: Epidemiology, Diagnosis, Etiology, Treatment, and Prevention)
►▼
Show Figures

Figure 1
Open AccessArticle
Multi-Omics Integration Reveals PBDE-47 as an Environmental Risk Factor for Intracranial Aneurysm via F2R-Mediated Metabolic and Epigenetic Pathways
by
Hongjun Liu, Jinliang You, Junsheng Bai, Dilaware Khan and Sajjad Muhammad
Brain Sci. 2025, 15(10), 1091; https://doi.org/10.3390/brainsci15101091 - 9 Oct 2025
Abstract
Background: Intracranial aneurysm (IA) rupture is a life-threatening cerebrovascular event with a mortality rate of up to 40%, affecting approximately 500,000 people globally each year. Although environmental pollutants such as 2,2′,4,4′-tetrabromodiphenyl ether (PBDE-47) have been implicated in the pathogenesis of IA, the causal
[...] Read more.
Background: Intracranial aneurysm (IA) rupture is a life-threatening cerebrovascular event with a mortality rate of up to 40%, affecting approximately 500,000 people globally each year. Although environmental pollutants such as 2,2′,4,4′-tetrabromodiphenyl ether (PBDE-47) have been implicated in the pathogenesis of IA, the causal relationship and underlying mechanisms remain unclear. This study aims to systematically explore the potential causal role of PBDE-47 in the development of IA by integrating multi-omics approaches. Methods: We utilized the UK Biobank Drug Proteomics Project (UKB-PPP) genome-wide association study (GWAS) data, including 2940 plasma proteins and 1400 metabolites, along with IA genetic data from 456,348 individuals, to perform a two-sample Mendelian randomization (MR) analysis. Instrumental variables were selected based on genome-wide significance (p < 5 × 10−8) or suggestive thresholds (p < 5 × 10−5). Analytical methods included inverse variance weighting (IVW), MR-Egger, weighted median, MR-PRESSO, and Steiger filtering for sensitivity analysis. Molecular docking and 100-nanosecond molecular dynamics simulations were used to evaluate interactions between PBDE-47 and proteins. Mediation analysis assessed the roles of plasma metabolites and miRNAs, and SMR-HEIDI tests were used to verify causal relationships. Results: MR analysis identified 93 plasma proteins potentially causally associated with IA, including 53 protective factors and 40 risk factors. By integrating PBDE-47 targets, IA-related genes, and metabolite-related genes, we identified 15 hub genes. Molecular docking revealed potential binding between PBDE-47 and F2R (binding energy: −5.516 kcal/mol), and SMR-HEIDI testing supported F2R as a potential causal risk factor for IA. Molecular dynamics simulations indicated the stability of the complex structure. Mediation analysis suggested that F2R may influence IA risk through eight plasma metabolites, and miR-130b-3p may indirectly promote IA development by upregulating F2R. Conclusions: Our findings suggest that exposure to PBDE-47 may have a potential causal relationship with IA risk, potentially mediated through the “PBDE–47–F2R–metabolite–miRNA” regulatory axis. These results provide preliminary evidence for early diagnostic biomarkers and targeted interventions for IA. The multi-omics analytical framework established in this study offers new insights into environmental determinants of neurovascular diseases, although further validation is needed to address potential limitations.
Full article
(This article belongs to the Section Environmental Neuroscience)
►▼
Show Figures

Figure 1
Open AccessArticle
Accuracy of Speech-to-Text Transcription in a Digital Cognitive Assessment for Older Adults
by
Ariel M. Gordon and Peter E. Wais
Brain Sci. 2025, 15(10), 1090; https://doi.org/10.3390/brainsci15101090 - 9 Oct 2025
Abstract
Background/Objectives: Neuropsychological assessments are valuable tools for evaluating the cognitive performance of older adults. Limitations associated with these in-person paper-and-pencil tests have inspired efforts to develop digital assessments, which would expand access to cognitive screening. Digital tests, however, often lack validity relative to
[...] Read more.
Background/Objectives: Neuropsychological assessments are valuable tools for evaluating the cognitive performance of older adults. Limitations associated with these in-person paper-and-pencil tests have inspired efforts to develop digital assessments, which would expand access to cognitive screening. Digital tests, however, often lack validity relative to gold-standard paper-and-pencil versions that have been robustly validated. Speech-to-text (STT) technology has the potential to improve the validity of digital tests through its ability to capture verbal responses, yet the effect of its performance on standardized scores used for cognitive characterization is unknown. Methods: The present study evaluated the accuracy of Apple’s STT engine relative to ground-truth transcriptions (RQ1), as well as the effect of the engine’s transcription errors on resulting standardized scores (RQ2). Our study analyzed data from 223 older adults who completed a digital assessment on an iPad that used STT to transcribe and score task responses. These automated transcriptions were then compared against ground-truth transcriptions that were human-corrected via external recordings. Results: Results showed differences between STT and ground-truth transcriptions (RQ1). Nevertheless, these differences were not large enough to practically affect standardized measures of cognitive performance (RQ2). Conclusions: Our results demonstrate the practical utility of Apple’s STT engine for digital neuropsychological assessment and cognitive characterization. These findings support the possibility that speech-to-text, with its ability to capture and process verbal responses, will be a viable tool for increasing the validity of digital neuropsychological assessments.
Full article
(This article belongs to the Special Issue Perspectives of Artificial Intelligence (AI) in Aging Neuroscience)
►▼
Show Figures

Figure 1
Open AccessArticle
Quantification of High-Resolution Contrast-Enhanced T1-Weighted Vessel Wall MRI for Predicting Disease Progression in Moyamoya Disease
by
Kateryna Goloshchapova, Patrick Haas, Daniel Vogl, Lucas Wiggenhauser, Helene Hurth, Florian Hennersdorf, Benjamin Bender, Till-Karsten Hauser, Marcos Tatagiba, Nadia Khan and Constantin Roder
Brain Sci. 2025, 15(10), 1089; https://doi.org/10.3390/brainsci15101089 - 9 Oct 2025
Abstract
Objective: In moyamoya disease (MMD), the internal carotid and proximal cerebral arteries narrow, potentially leading to stroke or hemorrhage from fragile collaterals. Disease activity and progression may be detected by contrast-enhanced (CE) high-resolution (HR) vessel wall imaging (CE-VWI) on T1-weighted MRI. However,
[...] Read more.
Objective: In moyamoya disease (MMD), the internal carotid and proximal cerebral arteries narrow, potentially leading to stroke or hemorrhage from fragile collaterals. Disease activity and progression may be detected by contrast-enhanced (CE) high-resolution (HR) vessel wall imaging (CE-VWI) on T1-weighted MRI. However, this imaging approach needs standardization for the evaluation of signal intensity and longitudinal reproducibility. Methods: MMD patients with at least two separate CE-VWI examinations on the same and on different scanners were included. Signal intensity of the vessel wall, pituitary stalk, and temporal lobe white matter were measured and normalized using manually selected regions of interest. Intraindividual longitudinal reproducibility of MRI was analyzed and the clinical course was correlated with vessel wall enhancement data. Results: Eighty-seven patients were analyzed. Primary analysis included 60 patients with two or more CE-VWI measurements (n = 129) with median 14.8 months between examinations (range: 2–36 months) on the same scanner. Intraindividual variation in pituitary stalk enhancement (positive control) and temporal lobe white matter enhancement (negative control) showed median signal variability of 20.5% and 17.5%, respectively. The pituitary-to-temporal lobe signal intensity ratio remained stable over time (p = 0.843) with 9.4% median variability. Correlation analysis revealed a significant positive association between pituitary and temporal lobe signal changes (ρ = 0.717, p < 0.001). A total of 75% of patients showed vessel wall contrast enhancement with fluctuating signal intensity over approximately 15.9 months, likely depicting disease activity. Conclusions: CE-VWI is important for screening disease activity in moyamoya patients. Our findings demonstrate longitudinal intraindividual reproducibility when normalized to pituitary stalk, enabling quantified evaluation of disease progression through longitudinal vessel wall contrast-enhancement changes.
Full article
(This article belongs to the Section Neurosurgery and Neuroanatomy)
►▼
Show Figures

Figure 1
Open AccessReview
Quantitative MRI in Neuroimaging: A Review of Techniques, Biomarkers, and Emerging Clinical Applications
by
Gaspare Saltarelli, Giovanni Di Cerbo, Antonio Innocenzi, Claudia De Felici, Alessandra Splendiani and Ernesto Di Cesare
Brain Sci. 2025, 15(10), 1088; https://doi.org/10.3390/brainsci15101088 - 8 Oct 2025
Abstract
Quantitative magnetic resonance imaging (qMRI) denotes MRI methods that estimate physical tissue parameters in units, rather than relative signal. Typical readouts include T1/T2 relaxation (ms; or R1/R2 in s−1), proton density (%), diffusion metrics (e.g., ADC in mm2/s, FA),
[...] Read more.
Quantitative magnetic resonance imaging (qMRI) denotes MRI methods that estimate physical tissue parameters in units, rather than relative signal. Typical readouts include T1/T2 relaxation (ms; or R1/R2 in s−1), proton density (%), diffusion metrics (e.g., ADC in mm2/s, FA), magnetic susceptibility (χ, ppm), perfusion (e.g., CBF in mL/100 g/min; rCBV; Ktrans), and regional brain volumes (cm3; cortical thickness). This review synthesizes brain qMRI across T1/T2 relaxometry, myelin/MT (MWF, MTR/MTsat/qMT), diffusion (DWI/DTI/DKI/IVIM), susceptibility imaging (SWI/QSM), perfusion (DSC/DCE/ASL), and volumetry using a unified framework: physics and signal model, acquisition and key parameters, outputs and units, validation/repeatability, clinical applications, limitations, and future directions. Our scope is the adult brain in neurodegenerative, neuro-inflammatory, neuro-oncologic, and cerebrovascular disease. Representative utilities include tracking demyelination and repair (T1, MWF/MTsat), grading and therapy monitoring in gliomas (rCBV, Ktrans), penumbra and tissue-at-risk assessment (DWI/DKI/ASL), iron-related pathology (QSM), and early dementia diagnosis with normative volumetry. Persistent barriers to routine adoption are protocol standardization, vendor-neutral post-processing/QA, phantom-based and multicenter repeatability, and clinically validated cut-offs. We highlight consensus efforts and AI-assisted pipelines, and outline opportunities for multiparametric integration of complementary qMRI biomarkers. As methodological convergence and clinical validation mature, qMRI is poised to complement conventional MRI as a cornerstone of precision neuroimaging.
Full article
(This article belongs to the Special Issue Application of MRI in Brain Diseases)
►▼
Show Figures

Figure 1
Open AccessArticle
Do Lactating Mothers’ Descriptions of Breastfeeding Pain Align with a Biopsychosocial Pain Reasoning Tool? A Qualitative Study
by
Lester E. Jones, Lisa H. Amir, Nicole Shi En Chew, Shi Yun Low, Victoria Yu Ting Woo, Doris Fok, Yvonne Peng Mei Ng and Zubair Amin
Brain Sci. 2025, 15(10), 1087; https://doi.org/10.3390/brainsci15101087 - 8 Oct 2025
Abstract
Background/Objectives: Despite the intent of most mothers to breastfeed their children, breast or nipple pain can be the reason for early cessation of breastfeeding. Current understanding about lactation-related pain revolves around mechanical or pathological causes, discounting the role of psychosocial factors which can
[...] Read more.
Background/Objectives: Despite the intent of most mothers to breastfeed their children, breast or nipple pain can be the reason for early cessation of breastfeeding. Current understanding about lactation-related pain revolves around mechanical or pathological causes, discounting the role of psychosocial factors which can influence management of pain. The Breastfeeding Pain Reasoning Model is a clinical reasoning tool developed to support those evaluating women’s lactation-related pain. We aimed to explore perspectives of breastfeeding women on lactation-associated pain and determine how they align with the Breastfeeding Pain Reasoning Model (BPRM). Methods: We conducted a qualitative descriptive study using phenomenological approach in Singapore. Eighteen women with recent breast and/or nipple pain during lactation underwent individual semi-structured interviews in 2022. Thematic analysis was performed. Results: Deductive analysis showed that lactation-associated pain was aligned with BPRM’s domains (i.e., local stimulation, external influences, and central modulation). Psychosocial factors likely influencing central processing of pain were not recognised by most of the participants. Participants described severe breastfeeding pain often accompanied by feelings of vulnerability, injustice, and uncertainty. Inductive analysis identified two additional themes of motivation and expectations. Conclusions: Greater awareness of the interplay between the broad influences on pain is needed. Using an interoceptive lens could help to illustrate how signals from the breast inform the brain, and how social, emotional, and cognitive factors influence the individuals’ perception of painful experiences. Educating breastfeeding women and healthcare personnel about the biopsychosocial nature of pain may empower women to better navigate the challenges of breastfeeding and improve breastfeeding outcomes.
Full article
(This article belongs to the Special Issue Interoception and Women’s Health)
►▼
Show Figures

Figure 1
Open AccessArticle
MAMVCL: Multi-Atlas Guided Multi-View Contrast Learning for Autism Spectrum Disorder Classification
by
Zuohao Yin, Feng Xu, Yue Ma, Shuo Huang, Kai Ren and Li Zhang
Brain Sci. 2025, 15(10), 1086; https://doi.org/10.3390/brainsci15101086 - 8 Oct 2025
Abstract
Background: Autism spectrum disorder (ASD) is a neurodevelopmental condition characterized by significant neurological plasticity in early childhood, where timely interventions like behavioral therapy, language training, and social skills development can mitigate symptoms. Contributions: We introduce a novel Multi-Atlas Guided Multi-View Contrast Learning (MAMVCL)
[...] Read more.
Background: Autism spectrum disorder (ASD) is a neurodevelopmental condition characterized by significant neurological plasticity in early childhood, where timely interventions like behavioral therapy, language training, and social skills development can mitigate symptoms. Contributions: We introduce a novel Multi-Atlas Guided Multi-View Contrast Learning (MAMVCL) framework for ASD classification, leveraging functional connectivity (FC) matrices from multiple brain atlases to enhance diagnostic accuracy. Methodology: The MAMVCL framework integrates imaging and phenotypic data through a population graph, where node features derive from imaging data, edge indices are based on similarity scoring matrices, and edge weights reflect phenotypic similarities. Graph convolution extracts global field-of-view features. Concurrently, a Target-aware attention aggregator processes FC matrices to capture high-order brain region dependencies, yielding local field-of-view features. To ensure consistency in subject characteristics, we employ a graph contrastive learning strategy that aligns global and local feature representations. Results: Experimental results on the ABIDE-I dataset demonstrate that our model achieves an accuracy of 85.71%, outperforming most existing methods and confirming its effectiveness. Implications: The proposed model demonstrates superior performance in ASD classification, highlighting the potential of multi-atlas and multi-view learning for improving diagnostic precision and supporting early intervention strategies.
Full article
(This article belongs to the Special Issue Advances in Emotion Processing and Cognitive Neuropsychology)
►▼
Show Figures

Figure 1
Open AccessArticle
The Modulatory Effect of tDCS Onset Timing in Alleviating Vigilance Decrement
by
Zelin Pan, Yang Chen, Shanghong Wu and Tiansheng Xia
Brain Sci. 2025, 15(10), 1085; https://doi.org/10.3390/brainsci15101085 - 8 Oct 2025
Abstract
Vigilance refers to a sustained attentional state enabling the detection of specific but unpredictable changes in the external environment. This state typically declines rapidly over time. A deterioration in vigilance can lead to serious errors or accidents in both occupational and special scenarios,
[...] Read more.
Vigilance refers to a sustained attentional state enabling the detection of specific but unpredictable changes in the external environment. This state typically declines rapidly over time. A deterioration in vigilance can lead to serious errors or accidents in both occupational and special scenarios, rendering vigilance intervention a critical area of interest for researchers. Transcranial direct current stimulation (tDCS) has shown promise in mitigating vigilance decrement. However, the timing of such interventions may yield differential effects, a question that remains unresolved in the literature. The present study examines the possibility of using the average power in the low alpha frequency band (alpha-1) as an Electroencephalography-based index of vigilance to identify a candidate entry point for tDCS application that may enhance efficacy, and further explores how the timing of tDCS influences vigilance outcomes. In the pilot experiment, we determined the timing for guiding tDCS based on the average power of the low alpha frequency band (alpha-1) from five participants, which was identified as the third stage of the experiment. The validity of this timing has been verified in subsequent independent samples with a larger size. In the formal experiment, ninety-nine participants were randomly assigned to three groups, receiving early intervention, late intervention, or a no-stimulus control, and completed a 20 min visual modification of the Bakan Task. The early-stimulated group (n = 33) received anodal stimulation (2 mA) on the right posterior parietal cortex during the first 8 min of the test (0–8 min), the late-stimulated group (n = 33) received stimulation on the same location during the middle 8 min of the test (8–16 min), while the blank control group (n = 33) received no stimulation. Results indicated that the late-stimulated group (8–16 min of stimulation), for which alpha-1 power guided the tDCS onset timing, was associated with a greater attenuation of vigilance decrement compared to the early-stimulated group (0–8 min of stimulation). Both groups demonstrated significant differences in vigilance during the first stage following stimulation.
Full article
(This article belongs to the Special Issue Neuroimaging and Biomarker-Guided Neuromodulation: Advances in Personalized Brain and Autonomic Stimulation)
►▼
Show Figures

Figure 1
Open AccessReview
Mobile Typing as a Window into Sensorimotor and Cognitive Function
by
Lorenzo Viviani, Alba Liso and Laila Craighero
Brain Sci. 2025, 15(10), 1084; https://doi.org/10.3390/brainsci15101084 - 7 Oct 2025
Abstract
The rapid evolution of human–technology interaction necessitates continuous sensorimotor adaptation to new digital interfaces and tasks. Mobile typing, defined as text entry on smartphone touchscreens, offers a compelling example of this process, requiring users to adapt fine motor control and coordination to a
[...] Read more.
The rapid evolution of human–technology interaction necessitates continuous sensorimotor adaptation to new digital interfaces and tasks. Mobile typing, defined as text entry on smartphone touchscreens, offers a compelling example of this process, requiring users to adapt fine motor control and coordination to a constrained virtual environment. Aligned with the embodied cognition framework, understanding these digital sensorimotor experiences is crucial. A key theoretical question is whether these skills primarily involve adaptation of existing motor patterns or necessitate de novo learning, a distinction particularly relevant across generations with differing early sensorimotor experiences. This narrative review synthesizes current understanding of the sensorimotor aspects of smartphone engagement and typing skill evaluation methods. It examines touchscreen competence, skill acquisition, diverse strategies employed, and the influence of interface constraints on motor performance, while also detailing various sophisticated performance metrics and analyzing different data collection methodologies. Research highlights that analyzing typing behaviors and their underlying neural correlates increasingly serves as a potential source of behavioral biomarkers. However, while notable progress has been made, the field is still developing, requiring stronger methodological foundations and crucial standardization of metrics and protocols to fully capture and understand the dynamic sensorimotor processes involved in digital interactions. Nevertheless, mobile typing emerges as a compelling model for advancing our understanding of human sensorimotor learning and cognitive function, offering a rich, ecologically valid platform for investigating human-world interaction.
Full article
(This article belongs to the Section Sensory and Motor Neuroscience)
►▼
Show Figures

Figure 1
Open AccessArticle
Region-Specific Long-Term Transcriptional Changes in the Plasminogen Activation System and Neuroinflammation in the Rat Brain After Status Epilepticus: Association with Depressive-like Behavior
by
Anna Karan, Elizaveta Selivanova, Yulia Spivak and Elena Suleymanova
Brain Sci. 2025, 15(10), 1083; https://doi.org/10.3390/brainsci15101083 - 7 Oct 2025
Abstract
Background/Objectives: Growing evidence implicates that processes mediated by cytokines, growth factors, and the plasminogen activation (PA) system play crucial roles in the pathogenesis of epilepsy and its comorbidities. Methods: This study was carried out on the lithium–pilocarpine rat model of status
[...] Read more.
Background/Objectives: Growing evidence implicates that processes mediated by cytokines, growth factors, and the plasminogen activation (PA) system play crucial roles in the pathogenesis of epilepsy and its comorbidities. Methods: This study was carried out on the lithium–pilocarpine rat model of status epilepticus (SE). We investigated mRNA expression patterns of PA system components (tPA/PAI-1/uPAR), pro-inflammatory cytokines (IL-1β/TNF-α), and TGF-β1 in the hippocampus and cortex 7 days (latent period) and 5 months (chronic period) after SE. In the chronic period, rats were subjected to the sucrose preference test for the evaluation of depressive-like behavior. Results: Our results revealed region-specific dysregulation of the PA system that persisted into the chronic period, with tPA (Plat) transiently upregulated in the dorsal hippocampus during the latent phase while uPAR (Plaur) exhibited sustained elevation in the entorhinal cortex into the chronic period. TGF-β1 (Tgfb1) exhibited widespread upregulation across all examined brain regions during the latent period, remaining elevated in the ventral hippocampus 5 months after SE. Notably, latent-phase neuroinflammation showed cortical specificity, with IL-1β (Il1b) expression increased in the frontal cortex while the hippocampal expression remained unchanged. The subgroup of rats displaying anhedonia (reduced sucrose preference) after SE exhibited higher Tgfb1 and Tnf expression in the ventral hippocampus and entorhinal cortex compared to non-anhedonic subgroup of rats and the control group (no SE) in the chronic period. Conclusions: Our findings demonstrate persistent, region-specific transcriptional changes in the PA system following SE, with higher expression of Tgfb1 and Tnf in a subgroup of rats with more severe functional outcome in the chronic period after SE.
Full article
(This article belongs to the Section Molecular and Cellular Neuroscience)
►▼
Show Figures

Figure 1

Journal Menu
► ▼ Journal Menu-
- Brain Sciences Home
- Aims & Scope
- Editorial Board
- Reviewer Board
- Topical Advisory Panel
- Instructions for Authors
- Special Issues
- Topics
- Sections & Collections
- Article Processing Charge
- Indexing & Archiving
- Editor’s Choice Articles
- Most Cited & Viewed
- Journal Statistics
- Journal History
- Journal Awards
- Society Collaborations
- Conferences
- Editorial Office
Journal Browser
► ▼ Journal BrowserHighly Accessed Articles
Latest Books
E-Mail Alert
News
Topics
Topic in
Brain Sciences, Neurology International, NeuroSci
Management of Multiple Sclerosis: Past, Present and Promise
Topic Editors: Salvatore Iacono, Paolo RagoneseDeadline: 5 November 2025
Topic in
Brain Sciences, CIMB, Epigenomes, Genes, IJMS, DNA
Genetics and Epigenetics of Substance Use Disorders
Topic Editors: Aleksandra Suchanecka, Anna Maria Grzywacz, Kszysztof ChmielowiecDeadline: 15 November 2025
Topic in
Brain Sciences, Neurology International, NeuroSci
The Interplay of the Brain, Behavior, and Immunity: Insights and Innovations
Topic Editors: Marinella Coco, Ashutosh TripathiDeadline: 10 December 2025
Topic in
Brain Sciences, Neurology International, NeuroSci
Language: From Hearing to Speech and Writing
Topic Editors: Ana Paula Soares, David ToméDeadline: 31 December 2025

Conferences
Special Issues
Special Issue in
Brain Sciences
Innovations in Pediatric Functional Neurosurgery
Guest Editors: Samuel Tomlinson, Benjamin C. KennedyDeadline: 15 October 2025
Special Issue in
Brain Sciences
Noninvasive Neuromodulation Applications in Research and Clinics
Guest Editors: Mehran Emadi Andani, Fatemeh YavariDeadline: 15 October 2025
Special Issue in
Brain Sciences
New Horizons in Dystonia Research
Guest Editor: Nicoletta ManzoDeadline: 15 October 2025
Special Issue in
Brain Sciences
Diagnosis, Treatment, and Prognosis of Neuromuscular Disorders
Guest Editors: Vincenzo Di Stefano, Claudia VinciguerraDeadline: 15 October 2025
Topical Collections
Topical Collection in
Brain Sciences
Editorial Board Members’ Collection Series: Autism Spectrum Conditions from Childhood to Adulthood—Current Situation and Prospects
Collection Editors: Barbara Carpita, Gerry Leisman
Topical Collection in
Brain Sciences
Primary Progressive Aphasia and Apraxia of Speech
Collection Editors: Jordi A. Matias-Guiu, Robert Jr Laforce, Rene L. Utianski
Topical Collection in
Brain Sciences
Collection on Systems Neuroscience
Collection Editor: Konstantin V. Slavin
Topical Collection in
Brain Sciences
Insula: Rediscovering the Hidden Lobe of the Brain
Collection Editors: Dang Khoa Nguyen, Boucher Olivier