Journal Description
Antioxidants
Antioxidants
is an international, peer-reviewed, open access journal, and is published monthly online by MDPI. The International Coenzyme Q10 Association (ICQ10A), Israel Society for Oxygen and Free Radical Research (ISOFRR) and European Academy for Molecular Hydrogen Research (EAMHR) are affiliated with Antioxidants and their members receive discounts on the article processing charge.
- Open Access— free for readers, with article processing charges (APC) paid by authors or their institutions.
- High Visibility: indexed within Scopus, SCIE (Web of Science), PubMed, PMC, FSTA, PubAg, CAPlus / SciFinder, and other databases.
- Journal Rank: JCR - Q1 (Chemistry, Medicinal) / CiteScore - Q1 (Food Science)
- Rapid Publication: manuscripts are peer-reviewed and a first decision is provided to authors approximately 17.4 days after submission; acceptance to publication is undertaken in 2.4 days (median values for papers published in this journal in the first half of 2025).
- Recognition of Reviewers: reviewers who provide timely, thorough peer-review reports receive vouchers entitling them to a discount on the APC of their next publication in any MDPI journal, in appreciation of the work done.
- Testimonials: See what our editors and authors say about Antioxidants.
- Companion journal: Oxygen.
Impact Factor:
6.6 (2024);
5-Year Impact Factor:
7.3 (2024)
Latest Articles
Nanoparticle-Based Assays for Antioxidant Capacity Determination
Antioxidants 2025, 14(12), 1506; https://doi.org/10.3390/antiox14121506 (registering DOI) - 15 Dec 2025
Abstract
Thanks to both endogenous and exogenous antioxidants (AOs), the antioxidant defense system ensures redox homeostasis, which is crucial for protecting the body from oxidative stress and maintaining overall health. The food industry also exploits the antioxidant properties to prevent or delay the oxidation
[...] Read more.
Thanks to both endogenous and exogenous antioxidants (AOs), the antioxidant defense system ensures redox homeostasis, which is crucial for protecting the body from oxidative stress and maintaining overall health. The food industry also exploits the antioxidant properties to prevent or delay the oxidation of other molecules during processing and storage. There are many classical methods for assessing antioxidant capacity/activity, which are based on mechanisms such as hydrogen atom transfer (HAT), single electron transfer (SET), electron transfer with proton conjugation (HAT/SET mixed mode assays) or the chelation of selected transition metal ions (e.g., Fe2+ or Cu1+). The antioxidant capacity (AOxC) index value can be expressed in terms of standard AOs (e.g., Trolox or ascorbic acid) equivalents, enabling different products to be compared. However, there is currently no standardized method for measuring AOxC. Nanoparticle sensors offer a new approach to assessing antioxidant status and can be used to analyze environmental samples, plant extracts, foodstuffs, dietary supplements and clinical samples. This review summarizes the available information on nanoparticle sensors as tools for assessing antioxidant status. Particular attention has been paid to nanoparticles (with a size of less than 100 nm), including silver (AgNPs), gold (AuNPs), cerium oxide (CeONPs) and other metal oxide nanoparticles, as well as nanozymes. Nanozymes belong to an advanced class of nanomaterials that mimic natural enzymes due to their catalytic properties and constitute a novel signal transduction strategy in colorimetric and absorption sensors based on the localized surface plasmon resonance (LSPR) band. Other potential AOxC sensors include quantum dots (QDs, <10 nm), which are particularly useful for the sensitive detection of specific antioxidants (e.g., GSH, AA and baicalein) and can achieve very good limits of detection (LOD). QDs and metallic nanoparticles (MNPs) operate on different principles to evaluate AOxC. MNPs rely on optical changes resulting from LSPR, which are monitored as changes in color or absorbance during synthesis, growth or aggregation. QDs, on the other hand, primarily utilize changes in fluorescence. This review aims to demonstrate that, thanks to its simplicity, speed, small sample volumes and relatively inexpensive instrumentation, nanoparticle-based AOxC assessment is a useful alternative to classical approaches and can be tailored to the desired aim and analytes.
Full article
(This article belongs to the Special Issue Bioactive Antioxidants: Structural Characterization, Synthetic Pathways, and Clinical Applications)
Open AccessArticle
Revealing Missing Links in the Downsizing of the Photosystem II Antenna in Higher Plants Under Stress Conditions
by
Anatoly A. Nikolaev, Natalia N. Rudenko, Natalia S. Novichkova, Daria V. Vetoshkina and Maria M. Borisova-Mubarakshina
Antioxidants 2025, 14(12), 1505; https://doi.org/10.3390/antiox14121505 - 15 Dec 2025
Abstract
Chloroplast-to-nucleus ROS retrograde signaling is essential for acclimation of the photosynthetic apparatus to environmental stresses. One of the key mechanisms is the regulation of the photosystem II antenna size depending on light conditions and other environmental factors. However, the molecular components linking chloroplast
[...] Read more.
Chloroplast-to-nucleus ROS retrograde signaling is essential for acclimation of the photosynthetic apparatus to environmental stresses. One of the key mechanisms is the regulation of the photosystem II antenna size depending on light conditions and other environmental factors. However, the molecular components linking chloroplast redox status to nuclear gene regulation remain poorly defined. Here, we demonstrate that H2O2, generated in chloroplasts, in particular with involvement of the plastoquinone pool components, enhances the protease activity in the chloroplast envelope. As it is known, protease activity leads to the processing of the chloroplast envelope-bound transcription factor PTM, enabling its relocation to the nucleus, where it induces ABI4 expression. ABI4, in turn, represses transcription of lhcb genes, resulting in downsizing of the PS II antenna. Gene expression analysis confirms the coordinated upregulation of ABI4, and PTM, as well as metallo-ASP and serine SPPA1 envelope proteases in high light. We further show that H2O2 at physiologically relevant concentrations specifically stimulates the serine protease activity, since this activation is inhibited by PMSF. Our findings indicate a link between redox changes in the plastoquinone pool and the H2O2 level in chloroplasts with protease-mediated signaling cascades. Therefore, the obtained data reveal the connection between chloroplast and nuclear control of photosynthetic light harvesting, highlighting a signaling strategy for the photosystem II antenna size regulation in higher plants.
Full article
(This article belongs to the Collection Feature Papers in ROS, RNS, RSS)
Open AccessReview
Extracellular Vesicle-Mediated Delivery of Antioxidant Enzymes: Emerging Insights and Translational Opportunities
by
Junyu Wang, Yakun Li, Robin P. F. Dullaart, Peter Olinga and Han Moshage
Antioxidants 2025, 14(12), 1504; https://doi.org/10.3390/antiox14121504 - 14 Dec 2025
Abstract
Oxidative stress is a key contributor to the onset and progression of diverse pathological conditions, including metabolic dysfunction-associated steatotic liver disease (MASLD), neurodegeneration, cardiovascular disorders, and cancer. Conventional antioxidant therapies, such as small-molecule scavengers or systemic enzyme administration, are limited by poor stability,
[...] Read more.
Oxidative stress is a key contributor to the onset and progression of diverse pathological conditions, including metabolic dysfunction-associated steatotic liver disease (MASLD), neurodegeneration, cardiovascular disorders, and cancer. Conventional antioxidant therapies, such as small-molecule scavengers or systemic enzyme administration, are limited by poor stability, inefficient delivery, and off-target effects. Extracellular vesicles (EVs), particularly exosomes, are increasingly recognized as natural carriers of antioxidant enzymes (AOEs), including catalase, superoxide dismutases, glutathione peroxidases, peroxiredoxins, and thioredoxin. These vesicles not only protect enzymes from degradation but also enable targeted delivery to recipient cells, where they can actively modulate redox homeostasis. In this review, we summarize current evidence for AOEs as bona fide EV cargo, outline mechanisms that govern their selective packaging and transfer, and highlight their roles in intercellular communication under physiological and pathological conditions. We also discuss emerging therapeutic applications of both natural and engineered EVs for redox modulation, along with the challenges of quantifying enzymatic activity, ensuring reproducibility, and scaling clinical translation. By integrating insights from cell biology, redox signaling, and translational research, we propose that EV-mediated AOE delivery represents a promising next-generation strategy for combating oxidative stress-related diseases.
Full article
(This article belongs to the Section Antioxidant Enzyme Systems)
►▼
Show Figures

Figure 1
Open AccessArticle
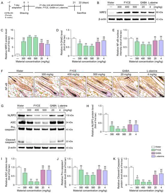
Fermented Yeast Complex Extract Promotes Hair Regrowth by Decreasing Oxidative Stress
by
Kyung-A Byun, Chang Hu Choi, Seyeon Oh, Jimin Hyun, Kuk Hui Son and Kyunghee Byun
Antioxidants 2025, 14(12), 1503; https://doi.org/10.3390/antiox14121503 - 14 Dec 2025
Abstract
Hair growth is orchestrated by a complex cycle comprising the anagen, catagen, telogen, and exogen phases that are largely regulated by dermal papilla cells (DPCs). The disruption of oxidative balance and inflammation impairs follicle function and regeneration. Fermented yeast complex extract (FYCE) is
[...] Read more.
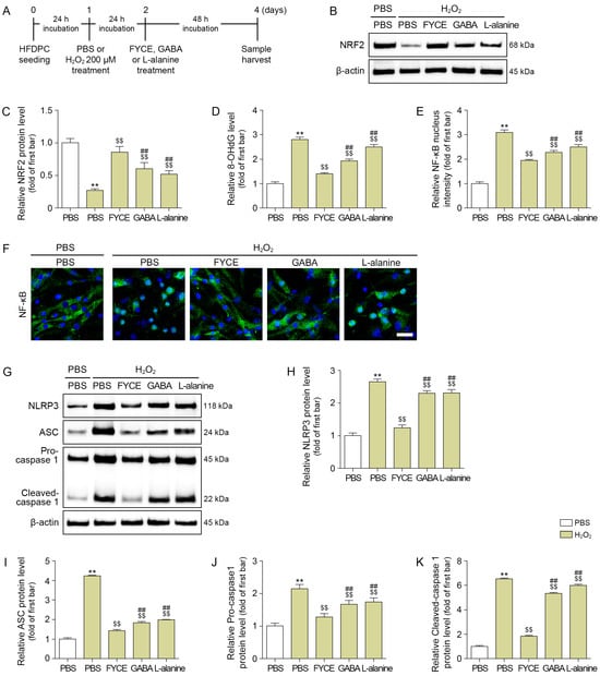
Hair growth is orchestrated by a complex cycle comprising the anagen, catagen, telogen, and exogen phases that are largely regulated by dermal papilla cells (DPCs). The disruption of oxidative balance and inflammation impairs follicle function and regeneration. Fermented yeast complex extract (FYCE) is a bioactive material derived from enzymatically hydrolyzed yeast and collagen substrates through a two-step fermentation with Lactobacillus brevis and Lactobacillus plantarum, enriched in antioxidant amino acids such as γ-aminobutyric acid (GABA) and L-alanine. In this study, we evaluated the effect of FYCE on hair regrowth, with a focus on its modulation of oxidative stress and inflammatory pathways in hydrogen peroxide (H2O2)-treated DPCs. FYCE treatment significantly enhanced NRF2 expression (3.2-fold compared to H2O2-treated DPCs), a central transcription factor controlling antioxidant defense, and concomitantly suppressed NF-κB activity (0.6-fold compared to H2O2-treated DPCs), a key mediator of inflammation. Importantly, FYCE also attenuated the activation of the NLRP3 inflammasome, as evidenced by the decreased expression levels of its molecular components. Complementary studies showed that FYCE increased IGF-1 (5.4-fold compared to H2O2-treated DPCs), Wnt10b (1.8-fold compared to H2O2-treated DPCs), and Wnt3a (2.9-fold compared to H2O2-treated DPCs), and stabilized β-catenin (2.8-fold compared to H2O2-treated DPCs). FYCE also showed these changes in the shaved animal skin, which was associated with increased hair follicle number (1.6-fold compared to the water-administered control group) and the anagen phase (3.0-fold compared to the water-administered control group). Collectively, our results suggest that FYCE promotes hair regrowth through the dual modulation of antioxidative and anti-inflammatory pathways, specifically by activating NRF2, inhibiting NF-κB signaling, and downregulating the NLRP3 inflammasome. These findings support FYCE as a promising candidate for further investigation as a treatment to prevent or reverse hair loss, with in vivo and clinical studies substantiating its efficacy and safety.
Full article
(This article belongs to the Section Health Outcomes of Antioxidants and Oxidative Stress)
►▼
Show Figures

Figure 1
Open AccessArticle
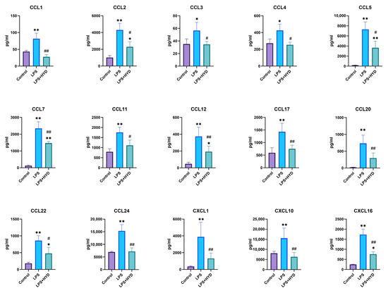
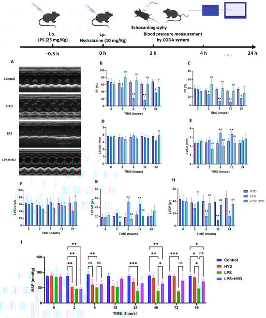
Hydralazine Attenuates Lipopolysaccharide-Induced Murine Myocardial Dysfunction by Inhibition of Semicarbazide-Sensitive Amine Oxidase
by
Zejian Kuang, Hongjun Luo, Hui Li, Yongying Zhou, Zhexuan Lin and Wenhong Luo
Antioxidants 2025, 14(12), 1502; https://doi.org/10.3390/antiox14121502 - 14 Dec 2025
Abstract
►▼
Show Figures
Sepsis-induced myocardial dysfunction (SIMD) is a fatal complication with limited therapeutic options. Semicarbazide-sensitive amine oxidase (SSAO) contributes to oxidative stress and leukocyte recruitment, yet its role in SIMD remains unexplored. This study investigates whether hydralazine, a potent SSAO inhibitor, protects against SIMD by
[...] Read more.
Sepsis-induced myocardial dysfunction (SIMD) is a fatal complication with limited therapeutic options. Semicarbazide-sensitive amine oxidase (SSAO) contributes to oxidative stress and leukocyte recruitment, yet its role in SIMD remains unexplored. This study investigates whether hydralazine, a potent SSAO inhibitor, protects against SIMD by evaluating the involvement of SSAO inhibition. Using a murine model of LPS-induced sepsis, hydralazine was administered 30 min post-injection. Over a 7-day observation period, survival rates, cardiac function (assessed by echocardiography), and myocardial injury (evaluated via plasma biomarkers including CK, CK-MB, LDH, and AST, alongside histopathology) were monitored. Additional analyses included measurements of oxidative stress markers (T-AOC, GSH-PX, SOD, MDA, GSH), inflammatory chemokine levels using a Luminex panel, and myocardial SSAO activity via HPLC. The results demonstrated that hydralazine at doses of 5 and 10 mg/kg significantly improved 7-day survival rates from 20% to 90% and enhanced cardiac function in septic mice. It also reduced myocardial injury and histological damage while attenuating systemic inflammation through suppression of chemokine elevation. Furthermore, hydralazine boosted systemic and myocardial antioxidant capacity and normalized the sepsis-induced increase in myocardial SSAO activity, suggesting a potential mechanism for its protective effects. In conclusion, hydralazine shows robust cardioprotection in experimental sepsis by decreasing oxidative stress and inflammatory cell infiltration. The inhibition of SSAO activity may be a pivotal underlying molecular mechanism.
Full article

Figure 1
Open AccessArticle
An Antioxidative Exopolysaccharide–Protein Complex of Cordyceps Cs-HK1 Fungus and Its Epithelial Barrier-Protective Effects in Caco-2 Cell Culture
by
Yan Yu Zhu, Margaret M. H. Wu, Zi Chen Zhao, Fang Ting Gu, Lin Xi Huang, Kevin W. H. Kwok and Jian Yong Wu
Antioxidants 2025, 14(12), 1501; https://doi.org/10.3390/antiox14121501 - 14 Dec 2025
Abstract
The exopolysaccharides (EPS) from the mycelial fermentation of Cordyceps sinensis Cs-HK1, especially the low-molecular weight, protein-rich exopolysaccharide fractions (EPS-LM), have previously exhibited significant antioxidant activity. This study further investigated the antioxidant and protective effects of EPS-LM on intestinal epithelial barrier integrity in Caco-2
[...] Read more.
The exopolysaccharides (EPS) from the mycelial fermentation of Cordyceps sinensis Cs-HK1, especially the low-molecular weight, protein-rich exopolysaccharide fractions (EPS-LM), have previously exhibited significant antioxidant activity. This study further investigated the antioxidant and protective effects of EPS-LM on intestinal epithelial barrier integrity in Caco-2 monolayers challenged with hydrogen peroxide (H2O2, 550 μM). EPS-LM contained two major molecular-weight fractions, 25 kDa and 1.7 kDa, with 19.3% total carbohydrate and 28.7% protein content (w/w). Treatment of the cells with EPS-LM (50–200 μg/mL) showed concentration-dependent protective effects against ROS-induced losses of cell viability and epithelial barrier integrity. EPS-LM treatment enhanced the activities of major antioxidant enzymes (SOD, GSH-Px, and CAT) and modulated NRF2 and its downstream target NQO1, consistent with alleviated oxidative stress. It also improved several indicators of intestinal barrier function, including increased transepithelial electrical resistance and upregulation of tight junction proteins (Occludin, ZO-1, and Claudin-1). These results provide new experimental evidence and theoretical basis for the nutraceutical potential of EPS-LM to mitigate oxidative stress and preserve intestinal epithelial barrier integrity.
Full article
(This article belongs to the Section Health Outcomes of Antioxidants and Oxidative Stress)
►▼
Show Figures

Figure 1
Open AccessArticle
Hepatoprotective, Antioxidant, and Anti-Hyperlipidemic Effects of Kefir Milk in High-Fat Diet-Induced Obesity: Insights from Gas Chromatography-Mass Spectrometry Profiling, Molecular Docking of Kefiran, and Liver Function Restoration
by
Imen Hammami, Sonia Ben Younes, Ridha Ben Ali, Fatma Arrari, Afef Nahdi, Michèle Véronique El May, Rym Baati, Eduardo Alberto López-Maldonado and Abada Mhamdi
Antioxidants 2025, 14(12), 1500; https://doi.org/10.3390/antiox14121500 - 14 Dec 2025
Abstract
The prevalence of chronic diseases, including obesity and related endocrine disorders, has risen significantly in recent decades. As a result, there has been growing interest in fermented foods with probiotic properties, such as kefir, which have potential health benefits. This study aimed to
[...] Read more.
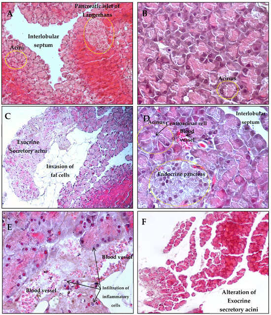
The prevalence of chronic diseases, including obesity and related endocrine disorders, has risen significantly in recent decades. As a result, there has been growing interest in fermented foods with probiotic properties, such as kefir, which have potential health benefits. This study aimed to evaluate the hepatoprotective and antioxidant effects of kefir milk (KM) in a high-fat diet (HFD)-induced obesity rat model, complemented by in silico molecular docking studies with antioxidant enzymes. Twenty-four adult rats were divided into four groups: control (1 mL/100 g bw semi-skimmed cow milk), KM (1 mL/100 g bw kefir milk), HFD (1 mL/100 g bw semi-skimmed cow milk + high-fat diet), and KM/HFD (1 mL/100 g bw kefir milk + high-fat diet). After 60 days of treatment, biochemical assays and histological examinations were performed to assess the effects on lipid profiles and organ health. Kefir milk demonstrated significant antioxidant activity, with increased total phenolic content and enhanced DPPH, ABTS, and FRAP radical scavenging activities compared to commercial milk. Furthermore, KM administration protected against liver metabolic disruptions (ALT, AST, and LDH) induced by the high-fat diet and reduced lipid peroxidation in liver and testis tissues. KM supplementation also increased the activity of key antioxidant enzymes, including superoxide dismutase (SOD), catalase (CAT), and glutathione peroxidase (GPx). Additionally, KM improved the fatty acid composition and decreased the de novo lipogenesis (DNL) index, as well as enzyme activities (SCD and Elovl6) associated with the high-fat diet. Histological analysis of liver, pancreas, and heart tissues revealed that kefir milk attenuated structural damage caused by the high-fat diet, suggesting its protective role in oxidative stress regulation and organ function. These findings underscore the potential of kefir milk as a functional food for preventing metabolic disturbances and liver damage associated with obesity.
Full article
(This article belongs to the Special Issue Phenolic Antioxidants in Functional Foods and Nutraceuticals)
►▼
Show Figures

Figure 1
Open AccessArticle
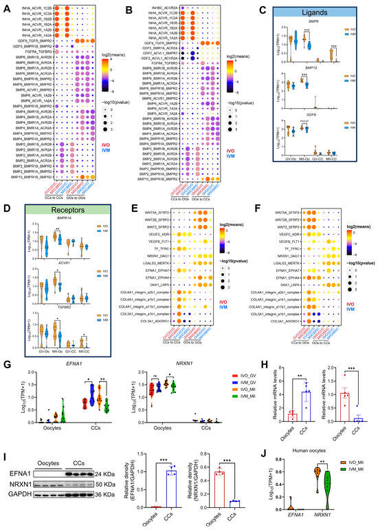
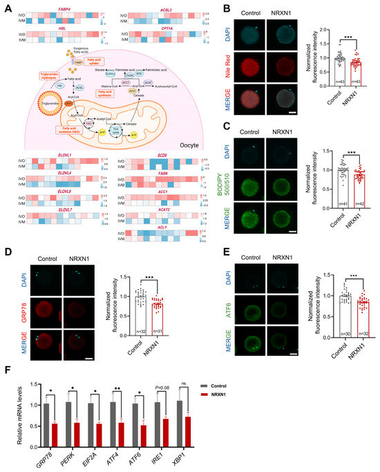
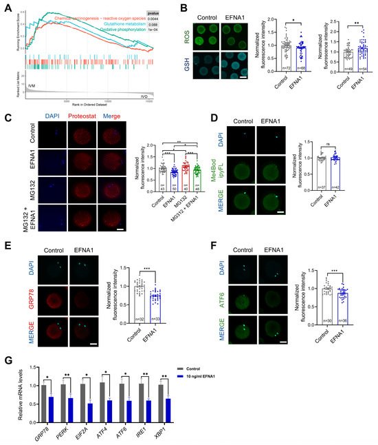
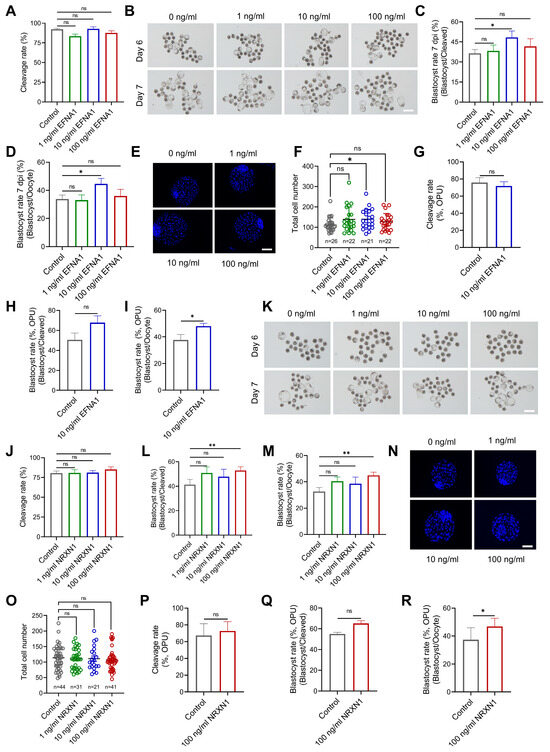
Cross-Species Insights into In Vitro Maturation Defects of the Oocyte and Identification of Crucial Regulators for Sheep Oocyte Maturation
by
Jian Cui, Xiurong Zhao, Jia Hao, Xingyuan Liu, Wenjing Wang, Lixia He, Yubing Wang, Jinfu Rong, Chunjuan Qiu, Dayong Chen, Lei Cheng, Jianhui Tian, Jiaxin Zhang and Guangyin Xi
Antioxidants 2025, 14(12), 1499; https://doi.org/10.3390/antiox14121499 - 13 Dec 2025
Abstract
The poor quality of oocytes matured in vitro seriously hinders the application in mammalian assisted reproductive technology (ART). Exploring the regulators and mechanisms influencing oocyte maturation is critical to improve the developmental competence of in vitro matured oocytes and the efficiency of ART.
[...] Read more.
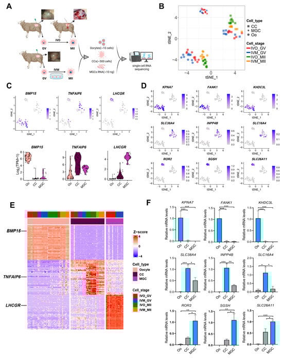
The poor quality of oocytes matured in vitro seriously hinders the application in mammalian assisted reproductive technology (ART). Exploring the regulators and mechanisms influencing oocyte maturation is critical to improve the developmental competence of in vitro matured oocytes and the efficiency of ART. Here, through comparative cross-species transcriptomic analyses, we reveal that impaired autocrine/paracrine signaling and disruption of ubiquitin-dependent protein catabolic process, which are often accompanied by severe endoplasmic reticulum stress, represent common potential defects during in vitro oocyte maturation. Moreover, we identified two previously unrecognized key factors missing in the current IVM system by ligand screening. We further determined that EFNA1 and NRXN1 alleviated the excessive accumulation of protein aggregates and endoplasmic reticulum stress by enhancing the oocyte antioxidant defense and maintaining lipid homeostasis, thereby improving the oocyte developmental potential. Our findings identified critical extrinsic regulators of oocyte developmental competence and provided a practical strategy to improve IVM efficiency in ART.
Full article
(This article belongs to the Special Issue Redox Regulation in Animal Reproduction)
►▼
Show Figures

Figure 1
Open AccessReview
Effectiveness of Common Extraction Solvents in Obtaining Antioxidant Compounds from African Medicinal Plants
by
Khayelihle Ncama, Joseph Malele, Dhiren Munsami Govender, Thagen Anumanthoo and Mack Moyo
Antioxidants 2025, 14(12), 1498; https://doi.org/10.3390/antiox14121498 - 13 Dec 2025
Abstract
The efficacy of phytoextracts is equally affected by the extraction solvent and the extraction method. Details of the solvent type, concentration, density, and other characteristics are associated with the quality of the resultant extract. Some solvents have been found to be effective only
[...] Read more.
The efficacy of phytoextracts is equally affected by the extraction solvent and the extraction method. Details of the solvent type, concentration, density, and other characteristics are associated with the quality of the resultant extract. Some solvents have been found to be effective only on specific parts of plants. Industry has shown a growing interest in eco-friendly plant extracts for the formulation of medication, food additives, cosmetics, and agricultural products. This interest is aligned with the proven necessity of sustainability, marketability, and regulation of manufactured products in value chains. In this review, the literature on antioxidant compounds and activity of extracts from African medicinal plants is reviewed. Findings indicate that the use of ethanol, methanol, water, and to a lesser extent, acetone as solvents for the extraction of antioxidant compounds is common. The use of these solvents is supported by decisive selection of procedure, ideal temperature, duration, solvent pH, and the extracted plant parts. Fermentation enhances the antioxidant activity of aqueous extracts but reduces that of alcohol extracts. This is particularly essential in continents such as Africa, where water is available but alcohol is scarce. “Green” extraction technologies are not as successful as solvent extractions for use with African medicinal plants. There is a financial hurdle that results in a mismatch between academic research innovations and societal transmission to new technologies, as most communities are dominated by small-to-medium enterprises. Further studies on the extraction of antioxidants from African medicinal plants are recommended to guide the research and link it to ordinary African societies.
Full article
(This article belongs to the Special Issue Bioactive Compounds from Natural Sources with Antioxidant and Anti-Inflammatory Potential)
Open AccessArticle
Caffeine Protects Against Hyperoxia-Induced Structural Lung Injury and Restores Alveolar Development in Neonatal Rats
by
Stefanie Endesfelder and Christoph Bührer
Antioxidants 2025, 14(12), 1497; https://doi.org/10.3390/antiox14121497 - 12 Dec 2025
Abstract
In the developing lung, oxidative stress caused by relative hyperoxia constitutes a central pathogenic mechanism of neonatal lung injury resulting in bronchopulmonary dysplasia (BPD). The immature postnatal lung is highly susceptible to oxidative damage due to incomplete antioxidant defenses and ongoing alveolar and
[...] Read more.
In the developing lung, oxidative stress caused by relative hyperoxia constitutes a central pathogenic mechanism of neonatal lung injury resulting in bronchopulmonary dysplasia (BPD). The immature postnatal lung is highly susceptible to oxidative damage due to incomplete antioxidant defenses and ongoing alveolar and vascular maturation. In a postnatal high-oxygen-induced rat model of BPD-associated lung injury, three or five days of exposure to 80% oxygen was found to disrupt developmental signaling pathways, downregulating genes essential for alveolarization and angiogenesis while inducing profibrotic mediators and collagen expression (Sirius Red staining). These changes resulted in simplified alveolar architecture, as quantified by toluidine blue staining and mean linear intercept analysis of normalized volumes of parenchyma, non-parenchyma, airspaces, septa, and edema. Acting as a multifunctional antioxidant with antifibrotic activity, caffeine mitigated structural lung damage and normalized the transcription of angiogenic and fibrotic genes. It counteracted TGF-β/CTGF-driven fibrogenic signaling and promoted recovery of normal lung morphology following hyperoxic injury. Under normoxic conditions, however, caffeine transiently upregulated profibrotic mediators. Overall, caffeine mitigates hyperoxia-induced lung injury and may actively promote physiological lung maturation, warranting future studies to define optimal dosing windows, clarify context-dependent fibrotic signaling, and translate gene-level effects into long-term clinical outcomes.
Full article
(This article belongs to the Special Issue Oxidative Stress in the Newborn)
Open AccessReview
Redox Modulation in Therapy of Cancer: Some Pros and Cons
by
Ljubava D. Zorova, Dmitry S. Semenovich, Savva D. Zorov, Ilya P. Oleynikov, Anastasia S. Kargapoltceva, Dmitry V. Prutskikh, Polina A. Abramicheva, Irina B. Pevzner, Gennady T. Sukhikh and Dmitry B. Zorov
Antioxidants 2025, 14(12), 1496; https://doi.org/10.3390/antiox14121496 - 12 Dec 2025
Abstract
Redox potential controls a vast array of biochemical reactions, and its changes influence the transition from normal to pathological states. However, cellular redox potential is primarily assessed after extraction of water-soluble components (reduced and oxidized) from biological material, particularly glutathione, which, due to
[...] Read more.
Redox potential controls a vast array of biochemical reactions, and its changes influence the transition from normal to pathological states. However, cellular redox potential is primarily assessed after extraction of water-soluble components (reduced and oxidized) from biological material, particularly glutathione, which, due to its abundance, determines intracellular redox potential. This process involves mechanistic averaging of redox potential values across tissue or cell, although existing data suggest, and sometimes directly indicate, heterogeneity in redox potential both within cells and within tissue. We argue that mitochondria determine cellular redox state, in particular through changes in the state of the mitochondrial reticulum caused by various internal and external factors. We describe the possibilities for regulation of redox status of the cell and organ as a potential therapy for various pathologies, particularly cancer, and propose intensifying efforts to utilize intrinsic redox indicators. We specifically examine the possibility of changes the redox potential in cancer cells through the use of oxidative phosphorylation uncouplers and propose mechanisms by which cancer cells may be killed using uncouplers. Particular attention is paid to the mitochondrial membrane potential as a powerful regulator of cellular metabolism, possibly unrelated to the regulation of reactive oxygen species levels, with the possible existence of a membrane potential sensor in cells.
Full article
(This article belongs to the Special Issue Redox Signaling in Cancer: Mechanisms and Therapeutic Opportunities)
Open AccessArticle
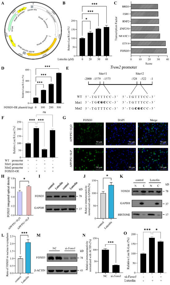
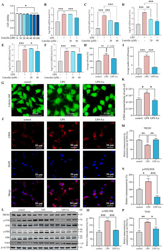
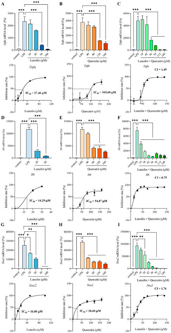
Luteolin in Safflower Leaves Suppresses Microglial Inflammation Through FOXO3-Mediated Trem2 Transcription
by
Tiantian Zhang, Shuangxi Zhang, Jiayang Ma, Dmitrii Atiakshin, Shujun Han, Mami Noda, Midori Hiramatsu, Jiankang Liu, Yunhua Peng and Jiangang Long
Antioxidants 2025, 14(12), 1495; https://doi.org/10.3390/antiox14121495 - 12 Dec 2025
Abstract
Neuroinflammation driven by microglial activation is a hallmark of Alzheimer’s disease (AD). Triggering receptor expressed on myeloid cells 2 (TREM2) is a key regulator of microglial inflammation, yet strategies to modulate its expression remain limited. Safflower leaves, a vegetable rich in flavonoids—particularly luteolin—were
[...] Read more.
Neuroinflammation driven by microglial activation is a hallmark of Alzheimer’s disease (AD). Triggering receptor expressed on myeloid cells 2 (TREM2) is a key regulator of microglial inflammation, yet strategies to modulate its expression remain limited. Safflower leaves, a vegetable rich in flavonoids—particularly luteolin—were previously shown to attenuate neuroinflammation, reduce oxidative stress, and ameliorate cognitive impairment in APP/PS1 mice. Here, we demonstrated that safflower leaves inhibit microglial inflammation and upregulate TREM2 in APP/PS1 mice. Luteolin, the major active flavonoid in safflower leaves, exerted anti-inflammatory effects in lipopolysaccharides (LPS)-activated microglia. Mechanistically, luteolin enhanced Trem2 transcription by activating forkhead box protein O3 (FOXO3), a novel transcriptional regulator of Trem2 identified through promoter analysis. FOXO3 binding to the Trem2 promoter was essential for this regulation, and luteolin further promoted FOXO3 nuclear translocation. Crucially, Trem2 knockdown attenuated luteolin’s anti-inflammatory effects, confirming TREM2 as a key mediator. Overall, our study reveals the FOXO3-TREM2 axis as a potential therapeutic target for neuroinflammation and highlights luteolin present in safflower leaves as a candidate dietary intervention for AD, providing new mechanistic insights into the anti-inflammatory activity of this natural antioxidant.
Full article
(This article belongs to the Special Issue Natural Products: Biological, Antioxidant Properties and Health Effects—4th Edition)
►▼
Show Figures

Graphical abstract
Open AccessReview
Oxidative Stress in Liver Metabolic Dysfunction and Diseases, with a Focus on Hepatogenic Diabetes: Effect of Alcohol Consumption
by
Martha Lucinda Contreras-Zentella, Lorena Carmina Hernández-Espinosa and Rolando Hernández-Muñoz
Antioxidants 2025, 14(12), 1494; https://doi.org/10.3390/antiox14121494 - 12 Dec 2025
Abstract
Metabolic dysfunction–associated fatty liver disease (MASLD) is associated with severe forms of liver injury, including fibrosis and cirrhosis. The main risk factors for MASLD—obesity, type 2 diabetes mellitus (T2DM), dyslipidemia, and insulin resistance (IR)—contribute to metabolic disturbances that initiate hepatic steatosis. Metabolic and
[...] Read more.
Metabolic dysfunction–associated fatty liver disease (MASLD) is associated with severe forms of liver injury, including fibrosis and cirrhosis. The main risk factors for MASLD—obesity, type 2 diabetes mellitus (T2DM), dyslipidemia, and insulin resistance (IR)—contribute to metabolic disturbances that initiate hepatic steatosis. Metabolic and alcohol-related liver disease (MetALD) describes patients with MASLD who also present alcohol-associated hepatic injury. Chronic oxidative and inflammatory stress promotes the progression of steatosis in both conditions. T2DM and chronic alcohol consumption are independent lifestyle-related risk factors for cirrhosis within the spectrum of metabolic dysfunction–related liver disease (MASLD and MetALD). The coexistence of both conditions may exacerbate hepatic pathological alterations. IR, which is frequently observed in patients with cirrhosis, can lead to the development of a condition known as hepatogenic diabetes (HD). HD is characterized by hyperinsulinemia, IR, and β-cell dysfunction occurring during the onset of cirrhosis and is associated with hepatic inflammation even in the absence of traditional metabolic risk factors such as obesity or a prior history of T2DM. In this context, alcohol intake enhances lipolysis in peripheral tissues, promotes hepatic steatosis, and aggravates metabolic dysfunction, ultimately contributing to excessive mitochondrial production of reactive oxygen species (ROS). Therefore, the present review examines the role of oxidative stress—both alcohol-related and non-alcohol–related—in the pathogenesis of HD, with particular emphasis on ethanol metabolism, oxidative stress, and their interactions in conditions such as T2DM and MetALD.
Full article
(This article belongs to the Special Issue Alcohol-Induced Oxidative Stress in Health and Disease, 2nd Edition)
►▼
Show Figures

Figure 1
Open AccessArticle
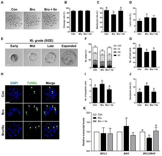
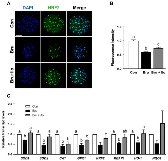
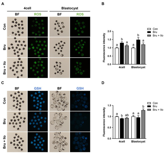
Iloprost, a Prostacyclin Analogue, Alleviates Oxidative Stress and Improves Development of Parthenogenetic Porcine Embryos via Nrf2/Keap1 Signaling
by
Eun Young Choi, Kyungjun Uh, Seol-Bin Lee, Pil-Soo Jeong, Hyo-Gu Kang, Se-Been Jeon, Ji Hyeon Yun, Hee-Chang Son, Kyung-Seob Lim, You Jeong An, Sun-Uk Kim, Seong-Keun Cho and Bong-Seok Song
Antioxidants 2025, 14(12), 1493; https://doi.org/10.3390/antiox14121493 - 12 Dec 2025
Abstract
►▼
Show Figures
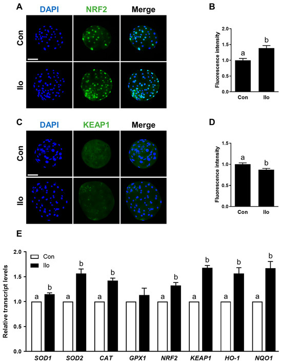
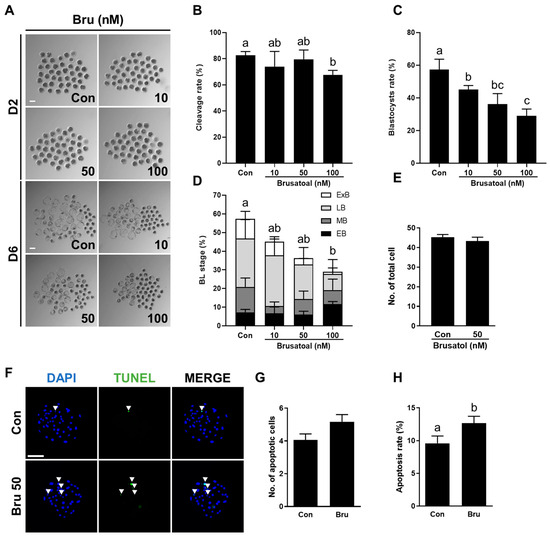
Background: Prostacyclin (PGI2), an abundantly produced bioactive lipid by oviductal epithelial cells, supports preimplantation embryo development by buffering oxidative stress. However, the mechanism linking PGI2 signaling to embryonic redox control remains unclear. We investigated whether Iloprost (Ilo), a stable PGI
[...] Read more.
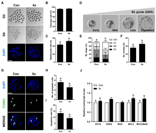
Background: Prostacyclin (PGI2), an abundantly produced bioactive lipid by oviductal epithelial cells, supports preimplantation embryo development by buffering oxidative stress. However, the mechanism linking PGI2 signaling to embryonic redox control remains unclear. We investigated whether Iloprost (Ilo), a stable PGI2 analogue, enhances preimplantation embryo development by alleviating oxidative stress via activation of the Nrf2/Keap1 pathway, and whether these effects depend on Nrf2 activity using the inhibitor brusatol. Methods: Porcine embryos were treated with Ilo to model oviductal PGI2 signaling during in vitro culture. Developmental competence was evaluated by cleavage and blastocyst formation rates, and blastocyst quality by total cell number and TUNEL assays. Oxidative status was quantified by fluorescence detection of reactive oxygen species (ROS), and Nrf2 activation was assessed by nuclear localization and antioxidant-related gene expression. Results: Embryos treated with Ilo showed significantly increased blastocyst formation, reduced ROS, and upregulated antioxidant genes. Immunofluorescence confirmed increased nuclear translocation of Nrf2, indicating activation of the Nrf2/Keap1 signaling pathway. In contrast, embryos treated with brusatol showed reduced blastocyst formation, increased ROS, and downregulated antioxidant-related gene expression, whereas co-treatment with Ilo reversed these effects. Conclusions: This study demonstrates that PGI2 protects embryos by activating Nrf2/Keap1 signaling, establishing this axis as a key antioxidant defense during embryonic development and highlighting its potential to improve embryo culture systems.
Full article

Figure 1
Open AccessArticle
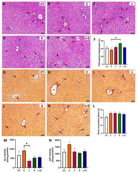
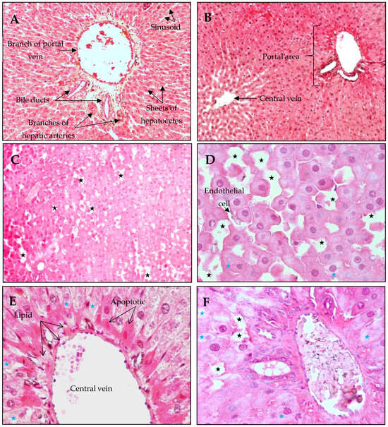
Synergistic Effect of Liraglutide and Strength–Endurance Exercise Training on Hepatic Oxidative Stress and Lipid Metabolism in Middle-Aged Male Rats
by
Dragana Vlahović, Svetlana Trifunović, Slavica Borković-Mitić, Slađan Pavlović, Ivona Gizdović, Dieter Lütjohann, Branko Filipović, Ljiljana Marina and Branka Šošić-Jurjević
Antioxidants 2025, 14(12), 1492; https://doi.org/10.3390/antiox14121492 - 12 Dec 2025
Abstract
Glucagon-like peptide-1 receptor agonists and lifestyle interventions effectively treat overt obesity, but the benefits/risks of their combined early intervention during middle age remain unclear. This study investigated whether submaximal-dose liraglutide combined with strength–endurance training improves metabolic and liver health, focusing on hepatic oxidative
[...] Read more.
Glucagon-like peptide-1 receptor agonists and lifestyle interventions effectively treat overt obesity, but the benefits/risks of their combined early intervention during middle age remain unclear. This study investigated whether submaximal-dose liraglutide combined with strength–endurance training improves metabolic and liver health, focusing on hepatic oxidative stress and lipid metabolism. Male Wistar rats (16 months old) received liraglutide (L; 0.186 mg/kg/day, s.c.), training (ladder climbing with weights, 3 times/week), both (L+E) or saline for control middle-aged (C) and young adults (CY; 3–4 months old) for 7 weeks (n = 8/group). Middle-aged rats exhibited age-related changes including higher body and visceral fat, increased hepatic and serum cholesterol, hepatic ALT and glutathione imbalance, and decreased soleus muscle (p < 0.05, vs. CY). Exercise increased hepatic glycogen and oxidative stress markers and downregulated lipogenic genes, consistent with liver adaptation to training. L+E synergistically reduced body and visceral fat, hepatic and serum triglycerides, and the triglyceride–glucose index, while reducing oxidative stress (p < 0.05 vs. E, C) and lipogenic gene expression (p < 0.05 vs. C), without affecting pancreas histopathology and function parameters, muscle mass or exercise load volume. In conclusion, submaximal liraglutide safely synergized with training to enhance metabolic health, improve hepatic redox balance and triglyceride metabolism in middle-aged rats, without mitigating cholesterol rise.
Full article
(This article belongs to the Special Issue Antioxidant Therapy for Obesity-Related Diseases)
►▼
Show Figures

Figure 1
Open AccessArticle
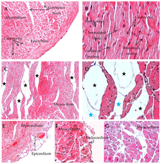
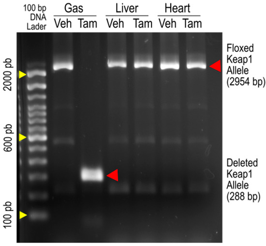
Lifetime Deletion of Skeletal Muscle Keap1 Attenuates Aging-Induced Cardiac Dysfunction via an Nrf2–Antioxidant Mechanism
by
Kanika Sharma, Sarah Pribil Pardun, Neha Dhyani, Irving H. Zucker, Bipin G. Nair, Sudarslal Sadasivan Nair, Vikas Kumar and Lie Gao
Antioxidants 2025, 14(12), 1491; https://doi.org/10.3390/antiox14121491 - 12 Dec 2025
Abstract
Background: Aging elevates reactive oxygen species (ROS) and weakens antioxidant defenses, contributing to cardiac dysfunction. The objective of this study was to determine whether sustained activation of skeletal muscle (SkM) Nrf2 preserves cardiac function during aging and to explore the underlying mechanisms,
[...] Read more.
Background: Aging elevates reactive oxygen species (ROS) and weakens antioxidant defenses, contributing to cardiac dysfunction. The objective of this study was to determine whether sustained activation of skeletal muscle (SkM) Nrf2 preserves cardiac function during aging and to explore the underlying mechanisms, focusing on myocardial antioxidant pathways. Methods: Tamoxifen-induced SkM-specific Keap1 knockout male mice (iMS-Keap1flox/flox; SkM-Nrf2 overexpression) were divided into young wild-type (Y-WT), aged wild-type (A-WT), and aged knockout (A-KO) groups. Cardiac performance was evaluated by echocardiography and invasive hemodynamics. Myocardial proteomics identified differentially expressed proteins (DEPs) and enriched biological pathways. Results: Compared with Y-WT, A-WT mice showed impaired left ventricular function, including reduced ejection fraction, prolonged isovolumic relaxation time, blunted inotropic response to dobutamine, and elevated Tau index. These age-related deficits were partially reversed in A-KO mice. Proteomic analysis revealed 561 DEPs between A-WT and Y-WT, and 741 DEPs between A-KO and A-WT, enriched in calcium signaling, Nrf2-mediated oxidative stress response, oxidative phosphorylation, ROS detoxification, and cardiac-specific processes, such as hypertrophy, conduction, and dilated cardiomyopathy. Conclusions: Lifelong SkM-Nrf2 activation strengthens myocardial antioxidant capacity and alleviates age-related cardiac dysfunction. These data support an antioxidant crosstalk between skeletal muscle and the heart, highlighting a potential therapeutic target for aging-associated heart failure.
Full article
(This article belongs to the Special Issue Nrf2 and Cardiovascular Function, Diseases, and Therapeutic Targets)
►▼
Show Figures

Graphical abstract
Open AccessReview
Antidiabetic Agents as Antioxidant and Anti-Inflammatory Therapies in Neurological and Cardiovascular Diseases
by
Snehal Raut and Luca Cucullo
Antioxidants 2025, 14(12), 1490; https://doi.org/10.3390/antiox14121490 - 12 Dec 2025
Abstract
Neurological disorders and cardiovascular disease (CVD) remain leading causes of global morbidity and mortality and often coexist, in part through shared mechanisms of chronic inflammation and oxidative stress. Neuroinflammatory signaling, including microglial activation, cytokine release, and impaired autonomic regulation, contributes to endothelial dysfunction,
[...] Read more.
Neurological disorders and cardiovascular disease (CVD) remain leading causes of global morbidity and mortality and often coexist, in part through shared mechanisms of chronic inflammation and oxidative stress. Neuroinflammatory signaling, including microglial activation, cytokine release, and impaired autonomic regulation, contributes to endothelial dysfunction, atherosclerosis, hypertension, and stroke, while cardiac and metabolic disturbances can reciprocally exacerbate brain pathology. Increasing evidence shows that several antidiabetic agents exert pleiotropic anti-inflammatory and antioxidant effects that extend beyond glycemic control. Metformin, SGLT2 inhibitors, DPP-4 inhibitors, and GLP-1 receptor agonists modulate key pathways such as AMPK, NF-κB, Nrf2 activation, and NLRP3 inflammasome suppression, with demonstrated vascular and neuroprotective actions in preclinical models. Clinically, GLP-1 receptor agonists and SGLT2 inhibitors reduce major cardiovascular events, improve systemic inflammatory markers, and show emerging signals for cognitive benefit, while metformin and DPP-4 inhibitors exhibit supportive but less robust evidence. This review synthesizes molecular, preclinical, and clinical data across drug classes, with particular emphasis on GLP-1 receptor agonists, and highlights outstanding translational questions including blood–brain barrier penetration, biomarker development, optimal patient selection, and timing of intervention. We propose a unified framework to guide future trials aimed at leveraging antidiabetic therapies such as DDP-4 anti-inflammatory and antioxidant interventions for neurological and cardiovascular diseases.
Full article
(This article belongs to the Special Issue Free Radicals, Antioxidants, and Oxidative Stress in Aging and Age-Related Diseases—2nd Edition)
►▼
Show Figures

Figure 1
Open AccessArticle
Supplementation with Polyphenols (Olive and Grape Extracts) Improves Pregnancy Outcomes in Underfed Sheep
by
José Luis Pesántez, Paula Martínez-Ros, Antonio González-Bulnes, M. Carmen López-Mendoza, Francisco Sales, Nesrein M. Hashem, Mónica De los Reyes, Luis A. Raggi, Natalia Yeste-Vizcaíno and Víctor H. Parraguez
Antioxidants 2025, 14(12), 1489; https://doi.org/10.3390/antiox14121489 - 12 Dec 2025
Abstract
Our study aimed to test the hypothesis that supplementation with a combination of dry grape extracts (DGS) and olive-originated hydroxityrosol (HxT) polyphenols during ovine gestation under moderate nutritional restriction allows for the improvement of the birth weight and size of newborn lambs, especially
[...] Read more.
Our study aimed to test the hypothesis that supplementation with a combination of dry grape extracts (DGS) and olive-originated hydroxityrosol (HxT) polyphenols during ovine gestation under moderate nutritional restriction allows for the improvement of the birth weight and size of newborn lambs, especially in more demanding pregnancies such as twins. Twenty-six pregnant ewes (fourteen ewes with singleton pregnancies and twelve ewes with twin pregnancies) were divided in two equal groups, treated or not with the polyphenols, and involved in the study. The results indicate that supplementation with the combination of polyphenols, without modifying maternal body weight and body condition score, increased the maternal total antioxidant capacity (p < 0.05) and, interacting with pregnancy rank, improved maternal metabolic status by reducing β-hydroxybutyrate and non-esterified fatty acids (p < 0.05). Afterwards, supplementation improved birth weight and size of newborns in the most compromised pregnancies (i.e., twin pregnancies; twins lambs born to supplemented ewes were significantly heavier than those born to control ewes (3.3 ± 0.13 vs. 2.8 ± 0.23 kg, respectively; p < 0.05).
Full article
(This article belongs to the Special Issue Novel Antioxidants for Animal Nutrition—2nd Edition)
►▼
Show Figures

Figure 1
Open AccessArticle
Southern Chilean Native Plants as Novel Sources of Antioxidant and Antibacterial Extracts
by
Jesús Hernández, Yihajara Fuentes, Eduardo Muñoz-Carvajal, Mario Faúndez, Miguel Gómez, Ady Giordano and Gloria Montenegro
Antioxidants 2025, 14(12), 1488; https://doi.org/10.3390/antiox14121488 - 11 Dec 2025
Abstract
The temperate rainforests of southern Chile host a rich diversity of plants traditionally used in medicine, yet their bioactive potential remains underexplored. This study evaluated the chemical composition, antioxidant capacity, antibacterial activity, and cell viability of ethanolic leaf extracts from Cissus striata (CS),
[...] Read more.
The temperate rainforests of southern Chile host a rich diversity of plants traditionally used in medicine, yet their bioactive potential remains underexplored. This study evaluated the chemical composition, antioxidant capacity, antibacterial activity, and cell viability of ethanolic leaf extracts from Cissus striata (CS), Mitraria coccinea (MC), and Raukaua laetevirens (RL), compared with Buddleja globosa (BG), a well-known medicinal shrub. Extracts were obtained using 70% ethanol, ensuring high recovery of polyphenolic compounds while avoiding thermal degradation. The total phenolic content (TPC) was highest in CS, exceeding values reported for green tea, while MC exhibited the greatest total flavonoid content (TFC). HPLC–MS/MS analysis showed that RL was rich in rutin, while CS exhibited a higher quercetin content. Antioxidant activity assessed through ABTS, DPPH, and FRAP assays, was correlated with polyphenolic composition. CS showed the highest antioxidant potential, surpassing green tea by ~39%, as determined via FRAP, while MC and RL displayed capacities comparable to BG. Antibacterial activity assays demonstrated that MC inhibited Escherichia coli with a minimum inhibitory concentration (MIC) of 12.5 mg/mL, lower than that of ampicillin, whereas CS was highly active against Staphylococcus aureus, with an MIC of 0.39 mg/mL, equivalent to the activity exhibited by tetracycline. Cytotoxicity assays confirmed that the extracts did not reduce human cell viability, supporting the potential of Chilean native shrubs as safe, natural sources of antioxidants and antimicrobials for food and pharmaceutical applications.
Full article
(This article belongs to the Special Issue Plant Polyphenols in Human Health: Emerging Insights for Future Therapeutic Strategies)
►▼
Show Figures

Figure 1
Open AccessArticle
ABCA1 Transporter Is Involved in the Secretion of CuZn Superoxide Dismutase (SOD)-1 by Activated Human T Lymphocytes
by
Flavia Carriero, Giuliana La Rosa, Luca Pipicelli, Mariarosaria Cammarota, Anna Palmiero, Giovanna Vitolo, Simona Damiano, Mariarosaria Santillo, Francesca Boscia, Giuseppe Terrazzano, Giuseppina Ruggiero, Paolo Mondola and Valentina Rubino
Antioxidants 2025, 14(12), 1487; https://doi.org/10.3390/antiox14121487 - 11 Dec 2025
Abstract
The pivotal role of reactive oxygen species (ROS), especially peroxides, in multiple cell signalling pathways has been well-established. Superoxide dismutase 1 (SOD-1) represents a major intracellular source of hydrogen peroxide. Antigen-dependent activation of human T lymphocytes has been previously described by us to
[...] Read more.
The pivotal role of reactive oxygen species (ROS), especially peroxides, in multiple cell signalling pathways has been well-established. Superoxide dismutase 1 (SOD-1) represents a major intracellular source of hydrogen peroxide. Antigen-dependent activation of human T lymphocytes has been previously described by us to induce both SOD-1 production and secretion by T cells. SOD-1 mediated pathways have also been described to deliver proinflammatory signals and to affect the differentiation of immune-suppressor subsets (Treg). The mechanisms underlying extracellular SOD-1 export by activated T cells remain largely undefined. Indeed, SOD-1, like the leaderless proteins, is unable to exploit the conventional trans-Golgi vesicular secretion pathway. Here, we propose that ABCA1 transporters play a role in the mechanisms underlying SOD-1 secretion by activated T cells. Indeed, ABC transporter inhibition by using glyburide significantly decreases SOD-1 secretion by antigen-triggered human T cells in vitro. The effect has been confirmed by using four different detection techniques, as represented by Western blotting, ELISA, flow cytometry and confocal microscopy. Collectively, our findings indicate that ABCA1 transporter-dependent secretion supports the vesicular secretory machinery and might contribute to the extracellular release of SOD-1 by activated T cells. This mechanism highlights ABCA1 as a promising molecular target for therapeutic modulation of deranged immune activation.
Full article
(This article belongs to the Special Issue Super Oxide Dismutase (SOD) Isoenzymes and Reactive Oxygen Species (ROS) in Immuno-Pathophysiology)
►▼
Show Figures

Figure 1
Journal Menu
► ▼ Journal Menu-
- Antioxidants Home
- Aims & Scope
- Editorial Board
- Reviewer Board
- Topical Advisory Panel
- Instructions for Authors
- Special Issues
- Topics
- Sections & Collections
- Article Processing Charge
- Indexing & Archiving
- Editor’s Choice Articles
- Most Cited & Viewed
- Journal Statistics
- Journal History
- Journal Awards
- Society Collaborations
- Conferences
- Editorial Office
Journal Browser
► ▼ Journal BrowserHighly Accessed Articles
Latest Books
E-Mail Alert
News
Topics
Topic in
Antioxidants, Chemistry, IJMS, Molecules, Pharmaceutics
Natural Bioactive Compounds as a Promising Approach to Mitigating Oxidative Stress
Topic Editors: Andrea Ragusa, Filomena CorboDeadline: 31 December 2025
Topic in
Antioxidants, Cancers, Gastroenterology Insights, Life, Nutrients
Oxidative Stress and Diet: The Health Implications of Advanced Glycation and Lipid Oxidation End-Products
Topic Editors: Joseph Kanner, Ron KohenDeadline: 31 March 2026
Topic in
Antioxidants, Molecules, Nutraceuticals, Nutrients, Plants
Memory-Enhancing Activity of Bioactive Compounds: From Natural Sources to Brain, 2nd Edition
Topic Editors: Lucian Hritcu, Simone CarradoriDeadline: 30 April 2026
Topic in
Antioxidants, Dietetics, Foods, Nutrients, Plants
Exploring Nutritional, Antioxidant and Functional Potential of Plant-Based Food and Plant Bioactive Compounds in Human Health
Topic Editors: Gianluca Rizzo, Andrea ArmaniDeadline: 31 May 2026
Conferences
Special Issues
Special Issue in
Antioxidants
Harnessing Antioxidants: Pioneering Approaches in Cardiovascular Disease Prevention and Therapy
Guest Editors: Lanrong Bi, Guim KwonDeadline: 15 December 2025
Special Issue in
Antioxidants
Applications of Antioxidant Nanoparticles, 2nd Edition
Guest Editors: Rita Cortesi, Maddalena SguizzatoDeadline: 15 December 2025
Special Issue in
Antioxidants
Phytochemical Analysis and Evaluation of Antioxidant Properties in Medicinal Plants
Guest Editors: Magdalena Jeszka-Skowron, Agnieszka Zgoła-Grześkowiak, Tomasz Grześkowiak, Robert FrankowskiDeadline: 20 December 2025
Special Issue in
Antioxidants
The Use of Antioxidant-Rich Foods and Supplements in Disease Prevention
Guest Editors: Abraham Wall Medrano, Escobar-Puentes Alberto A., Gustavo Adolfo González-ÁguilarDeadline: 20 December 2025
Topical Collections
Topical Collection in
Antioxidants
Advances in Antioxidant Ingredients from Natural Products
Collection Editors: Carla Susana Correia Pereira, Lillian Barros



