-
Biomarkers Characterizing the Onset of Dietary-Induced Hepatocellular Injury and Visceral Obesity in a Rat Experimental Model -
Deciphering the Role of Different Ceramide Synthases in the Human Cardiomyocyte Hypertrophic Response -
The Effect of 9-Week Dietary Intervention on Anthropometric Parameters and Blood Pressure in Children with Excessive Body Weight -
NMR-Based Metabolomic Profiling Highlights Functional Nutritional Gaps Between Human Milk, Infant Formulas, and Animal Milks
Journal Description
Metabolites
Metabolites
is an international, peer-reviewed, open access journal of metabolism and metabolomics, published monthly online by MDPI.
- Open Access— free for readers, with article processing charges (APC) paid by authors or their institutions.
- High Visibility: indexed within Scopus, SCIE (Web of Science), PubMed, PMC, Embase, CAPlus / SciFinder, and other databases.
- Journal Rank: JCR - Q2 (Biochemistry and Molecular Biology) / CiteScore - Q2 (Endocrinology, Diabetes and Metabolism)
- Rapid Publication: manuscripts are peer-reviewed and a first decision is provided to authors approximately 14.4 days after submission; acceptance to publication is undertaken in 3.6 days (median values for papers published in this journal in the first half of 2025).
- Recognition of Reviewers: reviewers who provide timely, thorough peer-review reports receive vouchers entitling them to a discount on the APC of their next publication in any MDPI journal, in appreciation of the work done.
Impact Factor:
3.7 (2024);
5-Year Impact Factor:
4.1 (2024)
Latest Articles
The Metabolic Aftershock: COVID-19 and Metabolic Disease Risk Among U.S. Active-Duty Military Personnel
Metabolites 2025, 15(12), 795; https://doi.org/10.3390/metabo15120795 (registering DOI) - 14 Dec 2025
Abstract
Background: The post-acute sequelae of SARS-CoV-2 infection represent a growing public health concern. While associations between COVID-19 and metabolic disorders have been reported, less is known about this risk in young, healthy populations. This study aimed to quantify the risk of developing new-onset
[...] Read more.
Background: The post-acute sequelae of SARS-CoV-2 infection represent a growing public health concern. While associations between COVID-19 and metabolic disorders have been reported, less is known about this risk in young, healthy populations. This study aimed to quantify the risk of developing new-onset metabolic disorders following SARS-CoV-2 infection among U.S. active-duty service members. Methods: We conducted a propensity score-matched cohort study using U.S. Military Health System data between July 2020 and June 2021 of active-duty service members (ADSM) aged 18 to 65 years old. COVID-19 infections were identified through ICD-10 codes or laboratory results. A 1:2 matched cohort compared 103,789 COVID-19 exposed individuals with 207,578 controls. Outcomes included incident diagnoses of type 2 diabetes mellitus (T2DM), hypertension (HTN), hyperlipidemia (HLD), metabolic dysfunction-associated steatotic liver disease (MASLD), and metabolic syndrome (MetS) within one year. Cox proportional hazards models calculated adjusted hazard ratios (aHR) while controlling for obesity and overweight status. Results: The median age for both those with and without COVID-19 infection was 26 years (interquartile range 22–33 years), with males comprising the majority of participants (81.1% male, 18.9% female). COVID-19 infection was associated with significantly increased hazards for incident HTN (aHR 1.09; 95% CI, 1.01–1.18), HLD (aHR 1.30; 95% CI, 1.10–1.54), and MASLD (aHR 1.36; 95% CI, 1.15–1.60). However, no significant increased risk was observed for T2DM or MetS. Conclusions: COVID-19 infection was associated with significantly increased risk of developing HTN, HLD, and MASLD, highlighting important long-term metabolic consequences in a young, healthy population.
Full article
(This article belongs to the Section Endocrinology and Clinical Metabolic Research)
►
Show Figures
Open AccessArticle
Effects of Physiologically Relevant Species of Organic Mercury on Mesenchymal Stem Cells and Neural Precursor Cells
by
Juliane Hostert, Nathalia Kirsten, Larissa Lührs, Ana Carolina Irioda, Izonete Cristina Guiloski, Katherine Athayde Teixeira de Carvalho and Cláudia Sirlene Oliveira
Metabolites 2025, 15(12), 794; https://doi.org/10.3390/metabo15120794 (registering DOI) - 14 Dec 2025
Abstract
Background/Objectives: Methylmercury (MeHg) is a well-known environmental neurotoxic agent with significant detrimental effects on human health, particularly targeting the central nervous system. This study aimed to evaluate the impact of physiologically relevant species of MeHg, specifically MeHg–cysteine and MeHg–glutathione, on mesenchymal stem cells
[...] Read more.
Background/Objectives: Methylmercury (MeHg) is a well-known environmental neurotoxic agent with significant detrimental effects on human health, particularly targeting the central nervous system. This study aimed to evaluate the impact of physiologically relevant species of MeHg, specifically MeHg–cysteine and MeHg–glutathione, on mesenchymal stem cells (MSCs) and neural precursor cells (NPCs). Methods: The NPCs were differentiated from the MSCs after being seeded on a natural functional biopolymer matrix. The cells were exposed to 0, 0.01, 0.5, 1.5, and 2.0 µM MeHgCl or its physiologically relevant species. Biochemical markers, including superoxide dismutase (SOD), glutathione peroxidase (GPx), glutathione S-transferase (GST), and reduced glutathione (GSH), were analyzed. Results: MeHgCl and its physiological species did not affect MSC viability. However, 1.5 and 2.0 µM MeHgCl caused a significant reduction (~25%) in NPC viability. SOD activity and GSH levels were not significantly altered in either MSCs or NPCs. In contrast, MeHg–glutathione (2.0 µM) significantly decreased GPx activity in both MSCs (~62%) and NPCs (~78%). GST activity remained unchanged in MSCs, but NPCs showed a significant decrease (~50%) after exposure to 1.5 and 2.0 µM MeHg–glutathione. Conclusions: The results indicate that MSCs are more resistant to MeHg toxicity, whereas NPCs display markedly susceptibility. These findings highlight the distinct cellular responses to MeHg exposure. The disruption of antioxidant defenses, particularly in NPCs, may promote oxidative stress and ultimately lead to cell death.
Full article
(This article belongs to the Special Issue The Impact of Environmental Contaminants on Neurodevelopment and Human Metabolism)
►▼
Show Figures

Figure 1
Open AccessReview
Glucose Metabolism Modulation as a Strategy to Enhance Cancer Radiotherapy
by
Shuaining Gao, Xiaochang Liu, Shi Chen and Pingkun Zhou
Metabolites 2025, 15(12), 793; https://doi.org/10.3390/metabo15120793 (registering DOI) - 12 Dec 2025
Abstract
A systematic literature review of the PubMed database, filtering for publication dates up to and including October 2025, was conducted to identify relevant studies on glucose metabolism and radiotherapy. Radioresistance poses a major therapeutic challenge, in which tumor-associated glucose metabolic reprogramming, characterized by
[...] Read more.
A systematic literature review of the PubMed database, filtering for publication dates up to and including October 2025, was conducted to identify relevant studies on glucose metabolism and radiotherapy. Radioresistance poses a major therapeutic challenge, in which tumor-associated glucose metabolic reprogramming, characterized by the Warburg effect, supports cellular energy requirements and contributes to radioresistance by facilitating DNA repair and promoting survival pathways. Targeting pivotal glycolytic enzymes, such as hexokinase (HK) and pyruvate kinase M2 (PKM2), and integrating radiotherapy with metabolic modulators have been shown to improve radiosensitivity. Special emphasis is placed on how these interventions remodel the tumor microenvironment and modulate antitumor immunity—emerging factors that influence therapeutic efficacy. This review highlights mechanistic insights and potential therapeutic targets for the development of effective radiosensitization strategies.
Full article
(This article belongs to the Section Endocrinology and Clinical Metabolic Research)
►▼
Show Figures

Figure 1
Open AccessReview
Diagnosis and Management of Pediatric Non-Alcoholic Fatty Liver Disease: An Overview
by
Dalia Dop, Vlad Pădureanu, Rodica Pădureanu, Carmen Elena Niculescu, Ștefan Adrian Niculescu and Iulia Rahela Marcu
Metabolites 2025, 15(12), 792; https://doi.org/10.3390/metabo15120792 - 12 Dec 2025
Abstract
Non-alcoholic fatty liver disease (NAFLD) is the most common pediatric chronic liver disease worldwide, with an increasing prevalence, mainly due to the increase in childhood obesity and sedentary lifestyle. The pathogenesis of NAFLD is multifactorial, but the mechanisms by which the factors involved,
[...] Read more.
Non-alcoholic fatty liver disease (NAFLD) is the most common pediatric chronic liver disease worldwide, with an increasing prevalence, mainly due to the increase in childhood obesity and sedentary lifestyle. The pathogenesis of NAFLD is multifactorial, but the mechanisms by which the factors involved, namely the genetic, intrauterine and environmental factors responsible for its onset and progression to NASH, are not fully known. Children with NAFLD are usually asymptomatic or show nonspecific symptoms, and NAFLD is generally diagnosed incidentally by screening tests in overweight or obese children. NAFLD is associated with severe metabolic deficiencies that may progress to cirrhosis and hepatocellular carcinoma, with the consequent need for liver transplantation. Current treatment of NAFLD in children consists of lifestyle changes to decrease caloric intake and increase physical activity, with no currently approved pharmacological medication for the pediatric population. Although pediatric studies that focus on alternative treatments targeting key pathogenic factors are promising, no pharmacological agent is currently approved for children, validated non-invasive fibrosis biomarkers remain limited, and long-term outcome data are scarce. Further validation through large prospective pediatric cohorts and phase III trials is urgently needed.
Full article
(This article belongs to the Special Issue Metabolic Syndrome and Non-Alcoholic Liver Disease—Second Edition)
►▼
Show Figures

Figure 1
Open AccessArticle
Assessing the Feasibility of In Vitro Assays in Combination with Biological Matrices to Screen for Endogenous CYP450 Phenotype Biomarkers Using an Untargeted Metabolomics Approach—A Proof of Concept Study
by
Yannick Wartmann, Lana Brockbals, Thomas Kraemer and Andrea E. Steuer
Metabolites 2025, 15(12), 791; https://doi.org/10.3390/metabo15120791 - 12 Dec 2025
Abstract
Background/Objectives: Cytochrome P450 (CYP) enzymes are crucial for drug metabolism, yet inter-individual variability in their activity remains a significant clinical challenge. Current phenotyping methods are often impractical or even impossible, particularly in forensic toxicology and vulnerable populations. This proof-of-concept study investigated the feasibility
[...] Read more.
Background/Objectives: Cytochrome P450 (CYP) enzymes are crucial for drug metabolism, yet inter-individual variability in their activity remains a significant clinical challenge. Current phenotyping methods are often impractical or even impossible, particularly in forensic toxicology and vulnerable populations. This proof-of-concept study investigated the feasibility of using in vitro assays with human liver microsomes (HLM) and recombinant CYP enzymes (isoenzymes), combined with untargeted metabolomics, to identify potential endogenous biomarker candidates indicative of CYP phenotype. Methods: This study uses in vitro incubations of HLM and isoenzymes in tandem with targeted and untargeted LC-(HR)MS and metabolomics techniques as well as statistical processing. Results: We demonstrate that HLM and isoenzymes maintain activity in the presence of complex biological matrices (blood/plasma), enabling metabolomic profiling. Untargeted analysis of assays in plasma revealed numerous potential biomarkers, with several showing significant correlations to enzyme activity. Conclusions: While identification remains the major challenge, this approach offers a promising avenue for developing accessible and efficient methods for indirect CYP phenotyping, potentially facilitating investigations in scenarios where traditional approaches are limited. This work provides a foundation for future studies focused on further developing in vitro assays and validating the proposed biomarkers, as well as establishing their utility in clinical and forensic settings.
Full article
(This article belongs to the Section Pharmacology and Drug Metabolism)
►▼
Show Figures

Graphical abstract
Open AccessArticle
Association of Oxidative Stress Biomarkers with Metabolic Parameters in Dairy Goats During the Periparturient Period
by
Giovanna Meli, Valentina Fumo, Wenning Chen, Giovanni Savoini and Guido Invernizzi
Metabolites 2025, 15(12), 790; https://doi.org/10.3390/metabo15120790 - 11 Dec 2025
Abstract
Objective: This study aimed at detecting changes in redox balance (reactive oxygen species (ROS), serum antioxidant capacity (SAC) and oxidative stress index (OSi)) during the peripartum period in dairy goats and evaluating the relationship between oxidative biomarkers (ROS, SAC and OSi) and selected
[...] Read more.
Objective: This study aimed at detecting changes in redox balance (reactive oxygen species (ROS), serum antioxidant capacity (SAC) and oxidative stress index (OSi)) during the peripartum period in dairy goats and evaluating the relationship between oxidative biomarkers (ROS, SAC and OSi) and selected metabolic biomarkers (total cholesterol, triglycerides, beta-hydroxybutyrate (BHB) and non-esterified fatty acids (NEFAs)). Materials and Methods: Blood samples were collected from 32 secondiparous Alpine dairy goats (average daily milk production: 3.93 ± 1.23 L) from the same commercial herd at dry-off, kidding and 30 days in milk (DIM). Results: Fatty acids at dry-off and BHB at kidding (rho: 0.56; p < 0.01) and 30 DIM (rho: 0.54; p < 0.01) were positively correlated, suggesting a potential role of pre-partum NEFA concentrations on the metabolic status of dairy goats during early lactation. Parturition was associated with the highest values of ROS (183.13 ± 6.99 Carr. U; p < 0.05) and OSi (0.50 ± 0.03 Carr. U/umol HCLO/mL; p < 0.05) probably due to the stress typical of this period. As expected, OSi exhibited a positive correlation with ROS (rho: 0.405, p < 0.01) and a negative correlation with SAC (rho: −0.707, p < 0.01). Furthermore, NEFAs showed a tendency to be positively correlated with ROS (rho: 0.191 p < 0.06) and were positively correlated with OSi (rho: 0.219 p < 0.03), suggesting a potential role of this metabolic parameter on oxidant status. Conclusions: The knowledge of the interplay between oxidative stress and metabolic changes during the peripartum period could potentially facilitate the development of strategies for the early detection and management of metabolic disorders in dairy goats.
Full article
(This article belongs to the Special Issue Metabolic Research in Animal Nutrition and Production)
Open AccessArticle
Dietary Inorganic Nitrate Accelerates Cardiac Parasympathetic Recovery After Exercise in Older Women With Hypertension: A Secondary Analysis of A Randomised Crossover Study
by
Jonas Benjamim, Leonardo Santos Lopes da Silva, Yaritza Brito Alves Sousa, Leonardo da Silva Gonçalves, Guilherme da Silva Rodrigues, Macário Arosti Rebelo, José E. Tanus-Santos, Vitor Engrácia Valenti and Carlos R. Bueno, Júnior
Metabolites 2025, 15(12), 789; https://doi.org/10.3390/metabo15120789 - 10 Dec 2025
Abstract
Background/Objectives: Dietary inorganic nitrate (NO3−), primarily sourced from vegetables such as beetroot, has been shown to enhance nitric oxide (NO) bioavailability, with emerging evidence suggesting its potential to modulate autonomic function. However, the effects of NO3
[...] Read more.
Background/Objectives: Dietary inorganic nitrate (NO3−), primarily sourced from vegetables such as beetroot, has been shown to enhance nitric oxide (NO) bioavailability, with emerging evidence suggesting its potential to modulate autonomic function. However, the effects of NO3− supplementation on cardiac autonomic recovery post-exercise in hypertensive postmenopausal women remain poorly understood. Using data from a previously conducted randomised controlled trial, this study investigated the effects of acute (800 mg) and seven-day (400 mg/day) beetroot juice NO3− supplementation on ultra-short-term post-exercise cardiac parasympathetic recovery in hypertensive older women. Methods: In a triple-blind, placebo-controlled crossover design, fourteen postmenopausal women (59 ± 4 y) with hypertension completed two intervention arms (NO3− and placebo). Ultra-short-term heart rate variability (HRV) indices (SDNN, RMSSD, HF) were assessed across 5 min post-exercise recovery using 60 s windows. Plasma NO2− and NO3− concentrations were measured via chemiluminescence. Results: Both acute and seven-day NO3− supplementation significantly increased plasma NO2− and NO3− concentrations compared to placebo (p < 0.001). Cardiac vagal recovery, assessed via SDNN and RMSSD, was significantly enhanced in both conditions, with greater and more sustained improvements observed after the seven-day protocol. HF power was significantly higher, but only after seven-day supplementation (p = 0.009). Conclusion: Inorganic NO3− supplementation enhances post-exercise cardiac parasympathetic reactivation in hypertensive postmenopausal women. Notably, the seven-day intake (400 mg/day) protocol elicited superior autonomic benefits compared to an acute high dose. These findings highlight the potential of NO3− as a non-pharmacological strategy for improving cardiovascular autonomic recovery in high-risk populations.
Full article
(This article belongs to the Special Issue Connections Between Nutrition, Epidemiology, and Metabolism)
►▼
Show Figures

Graphical abstract
Open AccessArticle
Pathological Characteristics of a Quail Model with Hyperuricemia Combined with Hyperlipidemia
by
Shujia Liu, Xinyu Feng, Xinlong Liu, Yan Lin, Bing Zhang, Zhijian Lin and Yu Wang
Metabolites 2025, 15(12), 788; https://doi.org/10.3390/metabo15120788 - 10 Dec 2025
Abstract
Objective: To explore the association between uric acid and the prevalence of hyperlipidemia via the NHANES database, a combined hyperuricemia–hyperlipidemia (HUA-HLP) quail model was subsequently established to investigate the pathological characteristics of the model. Methods: In the NHANES database, information on patients with
[...] Read more.
Objective: To explore the association between uric acid and the prevalence of hyperlipidemia via the NHANES database, a combined hyperuricemia–hyperlipidemia (HUA-HLP) quail model was subsequently established to investigate the pathological characteristics of the model. Methods: In the NHANES database, information on patients with hyperuricemia is collected, and the association between serum uric acid levels and the prevalence of hyperlipidemia is analyzed by adjusting for confounding variables. A high-purine and high-fat diet was prepared with a ratio of regular feed–yeast extract powder–lard = 15:2:3. By measuring uric acid and blood lipid levels, and observing the activities of uric acid-producing enzymes and enzymes related to lipid metabolism synthesis and decomposition, the metabolic disorder and pathological characteristics of the model were evaluated. Results: By adjusting for confounding variables, it is found that as serum uric acid levels increase, the prevalence of hyperlipidemia rises significantly. The high-purine and high-fat diet successfully induced a quail model of hyperuricemia combined with hyperlipidemia. During the first week, serum uric acid, triglyceride, total cholesterol, and low-density lipoprotein cholesterol levels were significantly elevated and remained high until the end of the experiment. Serum free fatty acid levels were significantly increased from the second week and remained at a high level. Serum high-density lipoprotein cholesterol levels were significantly reduced from the third week and remained stable thereafter. In addition, the enzymes involved in uric acid synthesis as well as those related to lipid metabolism (including synthesis and decomposition) also exhibited significant abnormalities. Conclusions: In the human body, uric acid and lipid metabolism interact with each other and exacerbate one another’s abnormalities. A high-purine and high-fat diet can induce a quail model of hyperuricemia combined with hyperlipidemia. Uric acid and lipid metabolism are simultaneously disturbed, and the activities of uric acid-producing enzymes as well as enzymes related to lipid metabolism synthesis and decomposition are also altered.
Full article
(This article belongs to the Section Endocrinology and Clinical Metabolic Research)
►▼
Show Figures

Graphical abstract
Open AccessArticle
Osmolytes vs. Anabolic Reserves: Contrasting Gonadal Metabolomes in Two Sympatric Mediterranean Sea Urchins
by
Estela Carbonell-Garzón, Ricardo Ibanco-Cañete, Pablo Sanchez-Jerez and Frutos C. Marhuenda Egea
Metabolites 2025, 15(12), 787; https://doi.org/10.3390/metabo15120787 - 10 Dec 2025
Abstract
Background an Objectives: The Mediterranean sea urchins Paracentrotus lividus and Arbacia lixula co-occur on shallow rocky reefs but display contrasting ecological and physiological traits. We compared their gonadal metabolomes to identify species-specific metabolic strategies. Methods: High-resolution magic angle spinning nuclear magnetic resonance (HR-MAS
[...] Read more.
Background an Objectives: The Mediterranean sea urchins Paracentrotus lividus and Arbacia lixula co-occur on shallow rocky reefs but display contrasting ecological and physiological traits. We compared their gonadal metabolomes to identify species-specific metabolic strategies. Methods: High-resolution magic angle spinning nuclear magnetic resonance (HR-MAS NMR) spectroscopy to intact gonadal tissues, combining multivariate chemometric modelling with targeted integration, boxplot-based univariate analysis and pathway analysis. Results:A. lixula showed an osmolyte- and redox-oriented phenotype with elevated betaine, taurine, sarcosine, trimethylamine (TMA), trimethylamine N-oxide (TMAO), carnitine, creatine, malonate, methylmalonate, uridine and xanthine. In contrast, P. lividus exhibited an amino-acid-enriched anabolic profile dominated by lysine, glycine and glutamine, together with higher levels of formaldehyde, methanol and 3-carboxypropyl-trimethylammonium. Pathway analysis indicated that A. lixula metabolites mapped onto glycine/serine–threonine metabolism and the folate-linked one-carbon pool, whereas P. lividus metabolites were enriched in glyoxylate/dicarboxylate, nitrogen and amino-acid pathways. These contrasting osmolyte–C1 versus nitrogen–amino-acid strategies are compatible with species-specific host–microbiota metabolic interactions inferred from published microbiome data. Conclusions: Overall, our results support a framework in which A. lixula adopts a resilience-oriented osmolyte strategy and P. lividus an efficiency-oriented anabolic strategy, highlighting HR-MAS NMR metabolomics as a powerful approach to investigate adaptive biochemical diversity in marine invertebrates.
Full article
(This article belongs to the Collection Advances in Metabolomics)
►▼
Show Figures

Figure 1
Open AccessCase Report
Multi-Omics Characterization of a Novel SSR4 Variant in Congenital Disorders of Glycosylation
by
Nurulamin Abu Bakar, Nurul Izzati Hamzan, Elyssa Milus Majawit, Siti Nurwani Ahmad Ridzuan, Noor Hafizah Hassan, Anasufiza Habib and Lock-Hock Ngu
Metabolites 2025, 15(12), 786; https://doi.org/10.3390/metabo15120786 - 8 Dec 2025
Abstract
Background: Congenital disorders of glycosylation (CDG) are rare inborn errors of metabolism with multisystemic manifestations. SSR4-CDG is an ultra-rare X-linked subtype caused by pathogenic variants in SSR4, a component of the translocon-associated protein (TRAP) complex essential for protein translocation and N-glycosylation.
[...] Read more.
Background: Congenital disorders of glycosylation (CDG) are rare inborn errors of metabolism with multisystemic manifestations. SSR4-CDG is an ultra-rare X-linked subtype caused by pathogenic variants in SSR4, a component of the translocon-associated protein (TRAP) complex essential for protein translocation and N-glycosylation. Case presentation: We report a two-year-old Malaysian male presenting with global developmental delay, central hypotonia, microcephaly with complete agenesis of the corpus callosum, recurrent infections, bilateral vesicoureteral reflux, and failure to thrive. Growth parameters (weight, length, and head circumference) were persistently below the expected percentiles, indicating postnatal growth restriction. Initial metabolic and biochemical investigations for global developmental delay were unremarkable, apart from mild hyperammonemia. Transferrin isoform analysis demonstrated a type I CDG pattern, raising suspicion of a glycosylation defect. Results: Transferrin glycopeptide LC–MS/MS showed impaired N-glycan occupancy at both glycosylation sites (Asn432 and Asn630), with reduced fully sialylated glycoforms and increased non-glycosylated peptides. Targeted metabolomics using triple quadrupole LC–MS/MS revealed systemic abnormalities, including elevated arginine and phenylalanine, reduced glutamate, increased lysophosphatidylcholine (C24:0-LPC), and generalized depletion of free and acylcarnitines. Whole-exome sequencing identified a novel hemizygous SSR4 variant (c.98del; p.Pro33LeufsTer23) on the X chromosome, predicted to produce a truncated, nonfunctional protein. Conclusions: This is the first Malaysian patient with SSR4-CDG, comprehensively characterized using a multi-omics diagnostic workflow. The integration of glycoproteomics, metabolomics, and exome sequencing provided a detailed biochemical fingerprint that expands the clinical, genetic, and metabolic spectrum of SSR4-CDG and demonstrates the diagnostic and translational value of multi-omics approaches in inborn errors of metabolism.
Full article
(This article belongs to the Special Issue Advances in Metabolomics and Multi-Omics Integration)
►▼
Show Figures

Figure 1
Open AccessArticle
Investigation of Volatile Compounds in Varied Types of Gardenia White Teas Utilizing HS–SPME–GC–MS and Multivariate Analysis
by
Shenghong Zheng, Chunju Peng, Qi Huang, Ke Zhang, Zhengwen Niu, Guanghui Zeng, Huajing Kang and Hongling Chai
Metabolites 2025, 15(12), 785; https://doi.org/10.3390/metabo15120785 - 5 Dec 2025
Abstract
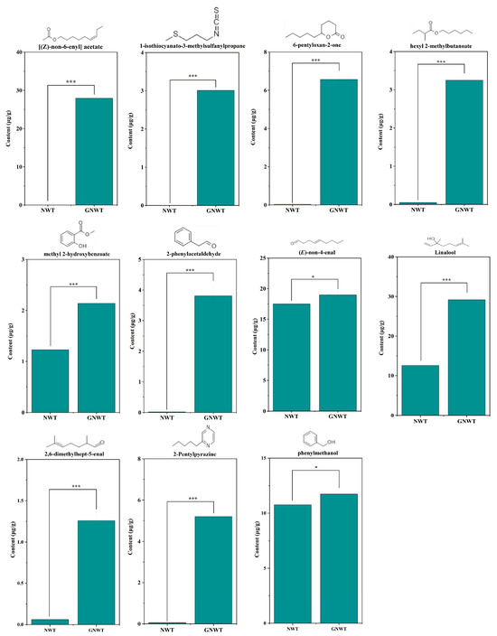
Gardenia tea is esteemed for its delicate and fragrant aroma. Background: However, there is a scarcity of studies focused on the aromatic properties of gardenia-scented white tea, particularly regarding how these aroma profiles evolve over different storage durations. Methods: This research
[...] Read more.
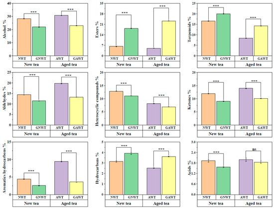
Gardenia tea is esteemed for its delicate and fragrant aroma. Background: However, there is a scarcity of studies focused on the aromatic properties of gardenia-scented white tea, particularly regarding how these aroma profiles evolve over different storage durations. Methods: This research sought to analyze the volatile compounds present in gardenia white tea through headspace solid-phase microextraction gas chromatography–mass spectrometry (HS-SPME-GC-MS) alongside multivariate analysis techniques. Results: Findings indicated that the main chemical categories found in newly white tea (NWT), aged white tea (AWT), gardenia newly white tea (GNWT), and gardenia aged white tea (GAWT) included esters, terpenoids and ketones. The multivariate analysis pinpointed 11 significant volatile compounds (such as linalool, [(Z)-non-6-enyl] acetate, and (E)-non-4-enal) and an 10 additional key volatile compounds (including linalool, [(Z)-non-6-enyl] acetate, and 1-isothiocyanato-3-(methylthio)-2-Propane) that had variable importance in projection (VIP) values exceeding 2 and odor activity values (OAVs) greater than 1. These compounds effectively distinguished the aroma profiles of GNWT from NWT and GAWT from AWT. Notably, the levels of these compounds were significantly elevated in GNWT and GAWT compared to their NWT and AWT counterparts. Additionally, three volatile compounds in GNWT and six in GAWT showed a decline in concentration relative to NWT and AWT. Conclusions: These compositional differences are suggested to clarify the aromatic distinctions between gardenia-scented white tea and its white tea base. The outcomes of this study will contribute to a deeper chemical understanding of the unique aroma of gardenia white tea, providing a theoretical basis for assessing quality and developing products based on different storage periods.
Full article
(This article belongs to the Section Plant Metabolism)
►▼
Show Figures

Figure 1
Open AccessReview
Ultra-Processed Foods and Metabolic Dysfunction: A Narrative Review of Dietary Processing, Behavioral Drivers and Chronic Disease Risk
by
Tyler J. Godsey, Travis Eden and Sam R. Emerson
Metabolites 2025, 15(12), 784; https://doi.org/10.3390/metabo15120784 - 5 Dec 2025
Abstract
Background/Objectives: Ultra-processed foods (UPFs) have become a dominant component of the modern diet, paralleling the rise in obesity and chronic disease prevalence worldwide. This narrative review aims to synthesize evidence on how dietary processing and UPF consumption interacts with dietary quality, energy balance,
[...] Read more.
Background/Objectives: Ultra-processed foods (UPFs) have become a dominant component of the modern diet, paralleling the rise in obesity and chronic disease prevalence worldwide. This narrative review aims to synthesize evidence on how dietary processing and UPF consumption interacts with dietary quality, energy balance, and biological pathways to influence metabolic health. Methods: We performed a targeted literature search of peer-reviewed articles and authoritative reports examining UPF definition (via the NOVA classification), global consumption patterns, behavioral drivers of overconsumption, nutrient composition, and mechanistic links to metabolic dysfunction. Emphasis was placed on recent human and animal research relating UPFs to obesity, cardiometabolic outcomes, inflammation and gut microbiome alterations. Results: High UPF intake is consistently associated with reduced diet quality (higher saturated fat, sugar, sodium; lower fiber and micronutrients), increased energy density, faster eating rates and activation of reward pathways. These factors facilitate excessive energy intake and adiposity, promoting metabolic dysregulation, chronic low-grade inflammation, hormonal disturbances and gut microbiome shifts. While cross-sectional and cohort evidence is extensive, causal intervention trials and mechanistic human work remain limited. Conclusions: The accumulated evidence suggests that UPFs may influence chronic disease risk through their unbalanced nutrient profiles and through additional effects introduced by industrial processing. To translate these insights into public health strategies, future work should prioritize real-world intervention studies to reduce UPF consumption and examine resulting effects on energy balance, inflammation and gut health.
Full article
(This article belongs to the Special Issue Effects of Nutrition and Exercise on Cardiometabolic Health)
►▼
Show Figures

Graphical abstract
Open AccessArticle
Untargeted Metabolomics Reveals Distinct Soil Metabolic Profiles Across Land Management Practices
by
Zane A. Vickery, Hector F. Castro, Stephen P. Dearth, Eric D. Tague, Aimée T. Classen, Jessica A. Moore, Michael S. Strickland and Shawn R. Campagna
Metabolites 2025, 15(12), 783; https://doi.org/10.3390/metabo15120783 - 4 Dec 2025
Abstract
Background/Objectives: Land management practices strongly influence soil biochemical processes, yet conventional soil measurements often overlook dynamic small-molecule variation underlying nutrient cycling and microbial activity. This study aimed to evaluate whether MS1-based untargeted metabolomics can resolve meaningful biochemical differences among soil systems
[...] Read more.
Background/Objectives: Land management practices strongly influence soil biochemical processes, yet conventional soil measurements often overlook dynamic small-molecule variation underlying nutrient cycling and microbial activity. This study aimed to evaluate whether MS1-based untargeted metabolomics can resolve meaningful biochemical differences among soil systems under distinct land management practices. Methods: Soils from six land-use types—conventional cultivation, organic cultivation, pasture, white pine, tulip poplar, and hardwood forest—were analyzed using ultra-high-performance liquid chromatography coupled with high-resolution mass spectrometry (UHPLC-HRMS). Multivariate analyses, including PLS-DA, were performed to evaluate metabolic variation across systems. Both identified metabolites and unknown spectral features (MSI Level 4) were assessed, and biosynthetic class assignment of unknown features was performed using NPClassifier. Results: Metabolic features revealed clear separation between land management systems, demonstrating distinct chemical fingerprints across ecosystems. While conventional elemental ratios (e.g., C/N) showed minimal differentiation, phosphorus-related stoichiometric ratios (C/P and N/P) displayed strong land-use-dependent differences. NPClassifier superclasses highlighted unique chemical patterns, with forest soils enriched in diverse secondary metabolites, cultivated soils characterized by simplified profiles, and pasture soils dominated by microbial membrane lipids and alkaloids. Conclusions: Untargeted MS1-based metabolomics effectively distinguished soil systems under different land-use practices and revealed ecologically meaningful variation even without complete structural identification. This study demonstrates that an MS1-only workflow leveraging unknown spectral features can robustly distinguish soil systems, underscoring their value in untargeted metabolomics analyses.
Full article
(This article belongs to the Section Environmental Metabolomics)
►▼
Show Figures

Graphical abstract
Open AccessArticle
Integrative Network Pharmacology and Multi-Omics Analysis Reveal Key Targets and Mechanisms of Saikosaponin B1 Against Acute Lung Injury
by
Yuanfei Niu, Meiting Liu, Shuang Cui, Kaiyang Liu, Mengyuan Yang, Xiaozhen Hu, Changhui Zheng, Lianmei Wang and Junling Cao
Metabolites 2025, 15(12), 782; https://doi.org/10.3390/metabo15120782 - 4 Dec 2025
Abstract
Background/Objectives: Acute lung injury (ALI) is a severe condition driven largely by inflammation and has limited therapeutic options. Although saikosaponin B1 (SSB1), a primary bioactive saponin from Bupleurum Radix, has demonstrated anti-inflammatory properties, its efficacy against ALI and its corresponding molecular mechanisms
[...] Read more.
Background/Objectives: Acute lung injury (ALI) is a severe condition driven largely by inflammation and has limited therapeutic options. Although saikosaponin B1 (SSB1), a primary bioactive saponin from Bupleurum Radix, has demonstrated anti-inflammatory properties, its efficacy against ALI and its corresponding molecular mechanisms remain largely unexplored. This study employed an integrated approach combining network pharmacology, transcriptomics, and metabolomics to decipher the protective mechanisms of SSB1 against ALI. Methods: Potential targets were identified via network pharmacology, and core targets were validated through molecular docking, dynamics simulations, and independent GEO transcriptomic datasets. Experimental validation was performed in an LPS-induced murine ALI model, combining histopathology, ELISA, and integrated transcriptomic and metabolomic analyses. Results: Integrated analyses identified IL1B, TNF, and IL6 as core targets through which SSB1 exerts its anti-ALI effects. These targets were validated by high-affinity binding in simulations, confirmed in independent GEO transcriptomic datasets, and shown to be normalized by SSB1 treatment in vivo. Mechanistically, SSB1 appears to modulate the NOD-like receptor and cGAS-STING signaling pathways and rectify the key metabolic pathways orchestrated by these targets, including glycerophospholipid, arachidonic acid, and linoleic acid metabolism. Conclusions: This study systematically investigates the therapeutic effects of SSB1 against ALI by identifying its potential targets and underlying pathways. These results provide crucial mechanistic insights and robust experimental support, thereby paving the way for the clinical translation of SSB1.
Full article
(This article belongs to the Section Pharmacology and Drug Metabolism)
►▼
Show Figures

Figure 1
Open AccessArticle
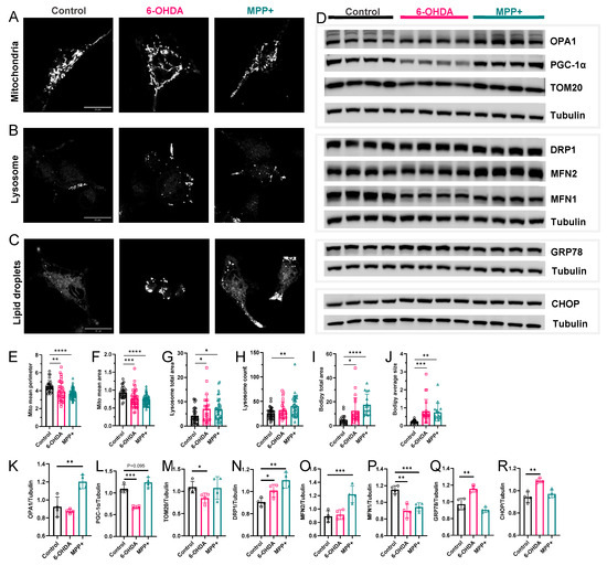
Multi-Omics Analysis Reveals Distinct Lipid Remodelling and Mitochondrial Stress in SH-SY5Y Cells Modelling Parkinson’s Disease
by
Shu Wang, Zhen Ni, Gaoge Wang, Jingzheng Zhang, Yunfu Tan, Enliang Hong, Yunting Wang, Huan Chen, Hongwei Hou and Qingyuan Hu
Metabolites 2025, 15(12), 781; https://doi.org/10.3390/metabo15120781 - 4 Dec 2025
Abstract
Background: Neurotoxin-based in vitro models are commonly used to replicate the mitochondrial dysfunction and oxidative stress associated with Parkinson’s disease (PD). While these models reproduce similar hallmark features of PD pathology, their capacity to capture lipid dysregulation remains less well defined. In
[...] Read more.
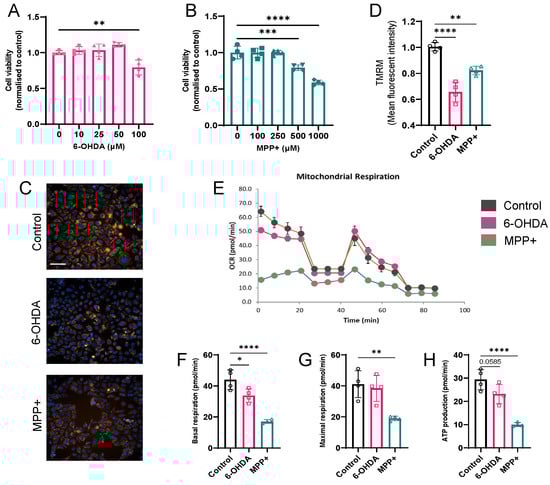
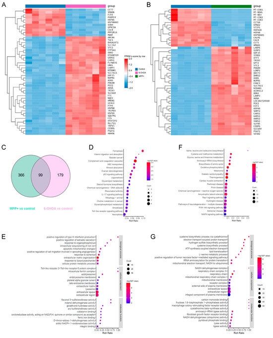
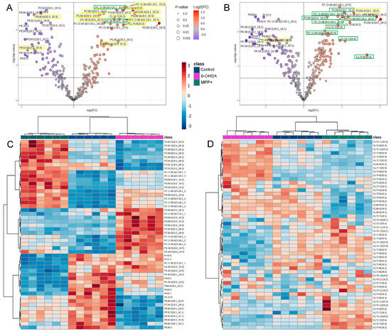
Background: Neurotoxin-based in vitro models are commonly used to replicate the mitochondrial dysfunction and oxidative stress associated with Parkinson’s disease (PD). While these models reproduce similar hallmark features of PD pathology, their capacity to capture lipid dysregulation remains less well defined. In particular, it is unclear whether different neurotoxins induce distinct glycerophospholipid (GPL) alterations that reflect upstream mechanisms driving mitochondrial impairment. Methods: We conducted a comparative multi-omics analysis in SH-SY5Y cells treated with either 6-hydroxydopamine (6-OHDA) or 1-methyl-4-phenylpyridinium (MPP+). Lipidomic profiling focused on GPL composition, while transcriptomic changes and organelle stress responses were assessed in parallel, including mitochondrial morphology and lipid droplet accumulation. Results: A total of 389 GPL species were identified. MPP+ suppressed the expression of mitochondrial genome-encoded respiratory genes and increased polyunsaturated 20:4 GPL species, while selectively depleting odd-chain lipids. In contrast, 6-OHDA activated pathways related to ferroptosis and endoplasmic reticulum stress, along with an accumulation of 20:3 enriched GPLs. In addition, GPL profiles in MPP+-treated cells showed a stronger similarity to previously reported alterations in PD patient brain tissue. Despite inducing some shared phenotypes such as lipid droplet accumulation and mitochondrial fragmentation, the two models displayed divergent molecular responses. Conclusions: Our findings reveal that MPP+ and 6-OHDA drive fundamentally different patterns of GPL remodelling and cellular stress. These results highlight lipid remodelling as a mechanistic indicator of neurotoxin-induced mitochondrial dysfunction and suggest that the MPP+ model may provide greater relevance for investigating GPL-related processes in PD.
Full article
(This article belongs to the Special Issue Metabolomics in Neurodegenerative Diseases, 2nd Edition)
►▼
Show Figures

Figure 1
Open AccessArticle
Plasma Metabolite Profiles of Children with Autism Spectrum Disorder
by
Benjamin H. Mullin, Madeleine Stuckey, Suzanne J. Brown, Shelby Mullin, Purdey J. Campbell, Frank Dudbridge, Cristina Menni, John P. Walsh, Andrew J. O. Whitehouse and Scott G. Wilson
Metabolites 2025, 15(12), 780; https://doi.org/10.3390/metabo15120780 - 4 Dec 2025
Abstract
Background/Objectives: Autism spectrum disorder (ASD), a neurodevelopmental condition characterised by social and communication differences, is complex and aetiologically heterogeneous. Untargeted metabolomics is emerging as a tool in screening for biochemical abnormalities. This research was conducted using the Australian Autism Biobank resource and involved
[...] Read more.
Background/Objectives: Autism spectrum disorder (ASD), a neurodevelopmental condition characterised by social and communication differences, is complex and aetiologically heterogeneous. Untargeted metabolomics is emerging as a tool in screening for biochemical abnormalities. This research was conducted using the Australian Autism Biobank resource and involved analysis of plasma metabolites to characterise metabolite differences between autistic children and controls. Methods: We sought to identify molecular signatures in the plasma of study subjects using mass-spectrometry methods. We included 955 untargeted plasma metabolites from autistic children (n = 491; 2–18 years; 78% male) and control subjects (n = 97; 2–17 years of age; 51% male). Statistical analyses were performed using questionnaire data for both groups, including standardised scores from the Autism Diagnostic Observation Schedule—Second Edition (ADOS-2), which measures the severity of autism-related behaviours. We also evaluated intellectual disability by examining the relationships between metabolites and clinical phenotypes. Results: After controlling the false discovery rate at 5%, we identified significant negative associations between the uncharacterised metabolites X-21383 and X-24970 and ASD status (p = 1.85 × 10−6 and p = 1.92 × 10−5 respectively). X-21383 was also found to be significantly reduced in autistic children with coexisting intellectual disability when compared with controls (p = 6.06 × 10−6). No significant associations were identified between the metabolite data and ADOS-2 scores. However, greater levels of X-16938, N1-methyladenosine, and 2-oxoarginine were found to be suggestively associated with higher ADOS-2 scores (p = 2.95 × 10−4–9.6 × 10−5). Conclusion: This metabolomics study in the Australian Autism Biobank has identified several novel metabolites associated with core autism diagnostic behaviours.
Full article
(This article belongs to the Section Endocrinology and Clinical Metabolic Research)
►▼
Show Figures

Figure 1
Open AccessArticle
Untargeted Metabolomics for Profiling of Cascara, Senna, Rhubarb, and Frangula Metabolites
by
Paola Nezi, Alessia Lucia Prete, Filippo Costanti, Vittoria Cicaloni, Mattia Cicogni, Laura Tinti, Laura Salvini and Monica Bianchini
Metabolites 2025, 15(12), 779; https://doi.org/10.3390/metabo15120779 - 3 Dec 2025
Abstract
Background/Objectives: Natural products containing hydroxyanthracene derivatives (HADs) such as Cascara (Rhamnus purshiana), Frangula (Rhamnus frangula), Rhubarb (Rheum palmatum), and Senna (Cassia angustifolia) have long been used for their laxative properties, but also raise safety concerns
[...] Read more.
Background/Objectives: Natural products containing hydroxyanthracene derivatives (HADs) such as Cascara (Rhamnus purshiana), Frangula (Rhamnus frangula), Rhubarb (Rheum palmatum), and Senna (Cassia angustifolia) have long been used for their laxative properties, but also raise safety concerns due to reported genotoxic and carcinogenic potential. Most studies have focused on quantifying HADs, whereas the broader secondary metabolite landscape of these herbal drugs remains underexplored. We aimed to generate an untargeted metabolomic fingerprint of these four species and to explore their chemical diversity using AI-based structural classification. Methods: Four commercial botanical raw materials were extracted with 60% methanol and analysed by UPLC–HRMS/MS in positive and negative ion modes. Features were processed in Compound Discoverer and annotated by accurate mass and MS/MS matching against spectral databases, then assigned to structural classes using a graph neural network classifier. Multivariate analyses (PCA, HCA) were used to compare metabolic patterns across species. Results: In total, 93, 83, 83 and 51 metabolites were annotated in cascara, frangula, rhubarb, and senna, respectively, spanning flavonoids, anthraquinones, phenylpropanoids and other classes. Only four flavonoids were shared by all species, indicating marked biochemical divergence. Several putatively species-enriched features were observed, including pavine in cascara and frangula, vicenin-2 in senna, and piceatannol in rhubarb. Senna displayed the most distinct metabolic profile, whereas cascara and frangula clustered closely. Conclusions: This work provides a chemistry-centred metabolomic fingerprint of four HAD-containing herbal drugs using graph-based neural networks for natural product classification, supporting future studies on the pharmacological potential, bioavailability and safety of their metabolites.
Full article
(This article belongs to the Special Issue Metabolism of Bioactives and Natural Products: 2nd Edition)
►▼
Show Figures

Figure 1
Open AccessReview
Innovative Detection and Mitigation of Ergot Alkaloids in Cereals: Advancing Food Safety
by
Maria Balatsou, Aikaterini Koutsaviti, Yiannis Sarigiannis and Christos C. Petrou
Metabolites 2025, 15(12), 778; https://doi.org/10.3390/metabo15120778 - 3 Dec 2025
Abstract
Background/Objectives: Ergot alkaloids are mycotoxins produced mainly by fungi of the genus Claviceps, infecting a wide variety of plants, especially cereals. These toxins usually manifest as black, hardened sclerotia (ergots), though they may also be invisible when dispersed in grain. They
[...] Read more.
Background/Objectives: Ergot alkaloids are mycotoxins produced mainly by fungi of the genus Claviceps, infecting a wide variety of plants, especially cereals. These toxins usually manifest as black, hardened sclerotia (ergots), though they may also be invisible when dispersed in grain. They pose a significant risk to animals and humans when present in contaminated cereals. They can cause ergotism, with vasoconstriction, ischemia, hallucinations, and in severe cases gangrene. This study was carried out in response to the European legislative actions which determine the permissible levels of ergot alkaloids in cereals. Historically, consumers manually removed visible sclerotia from grain, and farmers applied fertilizers or timed harvests to specific periods to mitigate contamination. However, these traditional methods have proven insufficient. We therefore explored advanced techniques for detecting and quantifying ergot-contaminated cereals, as well as methods for reducing ergot alkaloid concentrations. Methods: Searches were conducted in scientific databases including Google Scholar, PubMed, and Scopus to identify research articles, reviews, and experimental studies published mainly between 2012 and August 2025, including accepted or in-press manuscripts, with special attention to works from 2021 onward to capture the most recent advancements. Results/Conclusions: Ultra-high-performance liquid chromatography–tandem mass spectrometry (UHPLC-MS/MS) is the reference method for confirmatory, epimer-aware quantification of ergot alkaloids, and is already standardized. Recent QuEChERS-UHPLC-MS/MS workflows in cereal matrices, including oat-based products, routinely achieve limits of quantification of about 0.5–1.0 µg/kg with single-run analysis times of about 5–15 min. Rapid screening options complement, rather than replace, confirmatory mass spectrometry: magnetic bead-based immunoassays that use magnetic separation and a smartphone-linked potentiostat provide sub-hour turnaround and field portability for trained quality-assurance staff, although external validation and calibration traceable to LC-MS/MS remain prerequisites for routine use. In practice, operators are adopting tiered, orthogonal workflows (e.g., immunoassay or electronic-nose triage at intake followed by DNA-based checks on grain washings and LC–MS/MS confirmation, or hydrazinolysis “sum parameter” screening followed by targeted MS speciation). Such combinations reduce turnaround time while preserving analytical rigor. Biotechnology also offers potential solutions for reducing ergot alkaloid concentrations at the source. Finally, to enhance consumer safety, artificial intelligence and blockchain-based food traceability appear highly effective. These systems can connect all stakeholders from producers to consumers, allowing for real-time updates on food safety and rapid responses to contamination issues. This review primarily synthesizes advances in analytical detection of ergot alkaloids, while mitigation strategies and supply chain traceability are covered concisely as supporting context for decision making.
Full article
(This article belongs to the Special Issue Analysis of Specialized Metabolites in Natural Products)
►▼
Show Figures

Graphical abstract
Open AccessArticle
Measurement of δ1-Pyrroline-5-Carboxylic Acid in Plant Extracts for Physiological and Biochemical Studies
by
Giuseppe Forlani and Flavia Trupia
Metabolites 2025, 15(12), 777; https://doi.org/10.3390/metabo15120777 - 2 Dec 2025
Abstract
Background/Objectives: δ1-Pyrroline-5-carboxylic acid (P5C) is a key intermediate in both the pathways leading in plants to proline synthesis, as well as in the proline catabolic route that takes place in the mitochondrion. Instead of being further oxidized, the P5C released in
[...] Read more.
Background/Objectives: δ1-Pyrroline-5-carboxylic acid (P5C) is a key intermediate in both the pathways leading in plants to proline synthesis, as well as in the proline catabolic route that takes place in the mitochondrion. Instead of being further oxidized, the P5C released in the latter process could be transferred to the cytosol and reduced back to proline in an apparently futile proline–P5C cycle, which seems to play a role in the plant response to pathogen attack. To date, studies on this cycle and the enzymes involved have been hampered by the lack of an efficient protocol to measure P5C in plant extracts. Methods: The experimental conditions allowing P5C to be extracted from plant tissues, stabilized, concentrated by cation-exchange chromatography, and quantified by reaction with o-aminobenzaldehyde were set up and validated. Results: The optimized protocol was shown to be capable of detecting P5C accumulation in tissues of a proline-treated Arabidopsis thaliana p5cdh knock-out mutant, as well as allowing the measurement of proline dehydrogenase activity in partially purified extracts from plant cultured cells. Conclusions: The method herein described overcomes current limitations in detecting and quantifying P5C and will facilitate the study of the related enzymes and the elucidation of its debated role in plant metabolism.
Full article
(This article belongs to the Section Plant Metabolism)
►▼
Show Figures

Figure 1
Open AccessArticle
Distinct Circulating Biomarker Profiles Associated with Type 2 Diabetes in a Regional Cohort—A Cross-Sectional Study
by
Abdullah Alsrhani, Muhammad Atif and Aisha Farhana
Metabolites 2025, 15(12), 776; https://doi.org/10.3390/metabo15120776 - 30 Nov 2025
Abstract
Background: The prevalence of Type 2 diabetes mellitus (T2DM) has significantly increased in Saudi Arabia, rising from 16.8% in 2018 to 28% in 2023. This study aimed to identify and quantify the key biochemical factors associated with T2DM patients in the Aljouf region
[...] Read more.
Background: The prevalence of Type 2 diabetes mellitus (T2DM) has significantly increased in Saudi Arabia, rising from 16.8% in 2018 to 28% in 2023. This study aimed to identify and quantify the key biochemical factors associated with T2DM patients in the Aljouf region by comparing a comprehensive panel of biomarkers between T2DM and healthy individuals and to identify key risk factors in the regional population. Materials and Methods: A cross-sectional study was conducted by enrolling 114 T2DM patients and 91 healthy controls recruited from tertiary care centers in the Aljouf region, Saudi Arabia. We analyzed lipid profiles, vitamin levels (B12 and D), liver profile, and renal function markers. Statistical analyses included independent t-test, Pearson’s correlation, and binary logistic regression to calculate the Odds Ratio (OR) with 95% confidence intervals (CI). Results: T2DM patients showed significantly altered metabolic profiles including elevated triglycerides (p = 0.041), LDL cholesterol (p = 0.017), and serum uric acid (p < 0.001) in addition to deficient levels of vitamin B12 (p < 0.001) and vitamin D (p < 0.001). In logistic regression analysis, hyperuricemia (OR = 4.85, 95% CI: 2.45–9.61) and vitamin D deficiency (OR = 3.62, 95% CI: 1.98–6.62) were the strongest independent predictors of T2DM, after adjusting for potential confounders. Conclusions: Our findings confirm a distinct biochemical phenotype in T2DM patients from the Aljouf region. The potent associations of hyperuricemia and vitamin D deficiency with T2DM suggest their utility as key biomarkers providing a regional context. These findings highlight their potential relevance for prioritizing public health and clinical interventions in the studied population.
Full article
(This article belongs to the Special Issue Metabolic Biomarkers in Type 2 Diabetes: From Discovery to Application)
►▼
Show Figures

Figure 1
Journal Menu
► ▼ Journal Menu-
- Metabolites Home
- Aims & Scope
- Editorial Board
- Reviewer Board
- Topical Advisory Panel
- Instructions for Authors
- Special Issues
- Topics
- Sections & Collections
- Article Processing Charge
- Indexing & Archiving
- Editor’s Choice Articles
- Most Cited & Viewed
- Journal Statistics
- Journal History
- Journal Awards
- Conferences
- Editorial Office
Journal Browser
► ▼ Journal BrowserHighly Accessed Articles
Latest Books
E-Mail Alert
News
Topics
Topic in
Cells, IJMS, Metabolites, Physiologia, Life
Animal Models of Human Disease 3.0
Topic Editors: Sigrun Lange, Jameel M. InalDeadline: 31 December 2025
Topic in
Applied Microbiology, Metabolites, Nutrients, Microorganisms
Microbiome Changes in Perimenopause: New Marker and Therapy Targets
Topic Editors: Dimitri Barski, Patrick FinzerDeadline: 31 March 2026
Topic in
Foods, Molecules, Nutrients, Metabolites
Omics Technologies and Other Quality and Safety Methodologies in Nutrition and Health
Topic Editors: Xianjiang Li, Wen MaDeadline: 1 June 2026
Topic in
Biomedicines, Cancers, Diagnostics, JCM, Metabolites, Targets
Biomarkers of Disease: Discovery and Clinical Applications
Topic Editors: Ioannis Kanakis, Andreas TsakalofDeadline: 30 June 2026
Conferences
Special Issues
Special Issue in
Metabolites
Metabolite Profiles in Inflammatory Diseases
Guest Editors: Rodica Pădureanu, Ionut DonoiuDeadline: 15 December 2025
Special Issue in
Metabolites
Expanding Boundaries in Spatial Metabolomics and Lipidomics: Advances in Mass Spectrometry Imaging
Guest Editors: Vanna Denti, Simone SerraoDeadline: 15 December 2025
Special Issue in
Metabolites
Metabolomics in Plant Natural Products Research, 2nd Edition
Guest Editor: Junsong WangDeadline: 30 December 2025
Special Issue in
Metabolites
Lipid Metabolism Disorders in Obesity
Guest Editors: Klaudia Sztolsztener, Elzbieta SupruniukDeadline: 31 December 2025
Topical Collections
Topical Collection in
Metabolites
Feature Papers Related to Metabolomic Profiling Technology
Collection Editor: Thusitha Rupasinghe
Topical Collection in
Metabolites
Feature Papers in Assessing Environmental Health and Function
Collection Editor: David J. Beale
Topical Collection in
Metabolites
Advances in Metabolomics
Collection Editors: Leonardo Tenori, Edoardo Saccenti


