Journal Description
Current Oncology
Current Oncology
is an international, peer-reviewed, open access journal that since 1994 represents a multidisciplinary medium for clinical oncologists to report and review progress in the management of this disease, and published monthly online by MDPI (from Volume 28, Issue 1 - 2021). The Canadian Association of Medical Oncologists (CAMO), Canadian Association of Psychosocial Oncology (CAPO), Canadian Association of General Practitioners in Oncology (CAGPO), Cell Therapy Transplant Canada (CTTC) and others are affiliated with Current Oncology and their members receive discounts on the article processing charges.
- Open Access— free for readers, with article processing charges (APC) paid by authors or their institutions.
- High Visibility: indexed within Scopus, SCIE (Web of Science), PubMed, MEDLINE, PMC, Embase, and other databases.
- Journal Rank: JCR - Q2 (Oncology)
- Rapid Publication: manuscripts are peer-reviewed and a first decision is provided to authors approximately 22.8 days after submission; acceptance to publication is undertaken in 2.6 days (median values for papers published in this journal in the second half of 2025).
- Recognition of Reviewers: APC discount vouchers, optional signed peer review, and reviewer names published annually in the journal.
- Journal Clusters of Oncology: Cancers, Current Oncology, Onco and Targets.
Impact Factor:
3.4 (2024);
5-Year Impact Factor:
3.3 (2024)
Latest Articles
Estrogen Receptor-Low Positive (ER-Low) Breast Cancer: A Unique Clinical and Pathological Entity
Curr. Oncol. 2026, 33(2), 122; https://doi.org/10.3390/curroncol33020122 - 18 Feb 2026
Abstract
ER-low breast cancer (1–9% ER expression) represents a biologically and clinically distinct entity at the interface between ER-positive and ER-negative disease. Although traditionally managed as hormone receptor-positive, mounting evidence indicates that ER-low tumors share molecular signatures, aggressive behavior, and chemotherapeutic responsiveness with triple-negative
[...] Read more.
ER-low breast cancer (1–9% ER expression) represents a biologically and clinically distinct entity at the interface between ER-positive and ER-negative disease. Although traditionally managed as hormone receptor-positive, mounting evidence indicates that ER-low tumors share molecular signatures, aggressive behavior, and chemotherapeutic responsiveness with triple-negative breast cancer. Accurate ER assessment is hindered by methodological variability and interpretative challenges, leading to potential misclassification and suboptimal treatment choices. While the benefit of endocrine therapy remains uncertain, ER-low tumors consistently show sensitivity to chemotherapy and promising responses to neoadjuvant chemo-immunotherapy, paralleling outcomes observed in triple-negative breast cancer cohorts. Emerging artificial intelligence tools, including digital pathology and multimodal deep learning, may enhance ER quantification, reduce observer variability, and enable more precise patient stratification. This review synthesizes current pathological and clinical insights into ER-low breast cancer and highlights evolving therapeutic strategies, with a forward-looking perspective on AI-driven approaches to optimize personalized treatment for this challenging subtype.
Full article
(This article belongs to the Special Issue Estrogen-Receptor Low Positive (ER-Low) Breast Cancer: A New (or Old?) World to Discover)
►
Show Figures
Open AccessReview
Multimodal Cancer Therapy and Accelerated Brain Aging: Mechanisms, Biomarkers, and Clinical Consequences
by
Mark Voynov, Maria Pospelova, Alexandra Nikolaeva, Varvara Krasnikova, Albina Makhanova, Olga Fionik, Konstantin Samochernykh, Tatyana Alekseeva, Stephanie E. Combs and Maxim Shevtsov
Curr. Oncol. 2026, 33(2), 121; https://doi.org/10.3390/curroncol33020121 - 18 Feb 2026
Abstract
►▼
Show Figures
Advances in cancer therapy have markedly improved survival rates; however, long-term neurological sequelae represent a significant clinical challenge. Cancer treatment-related cognitive impairment (CRCI), commonly referred to as “chemobrain”, affects a substantial proportion of cancer survivors and encompasses a broad spectrum of neuropsychiatric and
[...] Read more.
Advances in cancer therapy have markedly improved survival rates; however, long-term neurological sequelae represent a significant clinical challenge. Cancer treatment-related cognitive impairment (CRCI), commonly referred to as “chemobrain”, affects a substantial proportion of cancer survivors and encompasses a broad spectrum of neuropsychiatric and cognitive symptoms, including anxiety, depression, fatigue, balance disturbances, and deficits in attention, memory, processing speed, and executive function. Increasing evidence suggests that these manifestations reflect accelerated biological aging of the brain, rather than merely transient toxic effects. This review synthesizes current clinical, molecular, and neuroimaging evidence supporting the concept of accelerated brain aging associated with multimodal cancer therapy. We summarize key molecular and cellular mechanisms including oxidative stress, neuroinflammation, blood–brain barrier dysfunction, mitochondrial impairment, cellular senescence with a senescence-associated secretory phenotype, and epigenetic remodeling that overlap with physiological brain aging hallmarks. Particular attention is given to circulating molecular biomarkers of accelerated aging, such as inflammatory mediators, senescence markers, endothelial and neuronal injury indicators, and epigenetic age acceleration, and their potential translational relevance. We discuss clinical and neuropsychological data alongside structural and functional magnetic resonance imaging findings demonstrating cortical thinning, altered gyrification, white matter microstructural changes, disrupted functional connectivity, and increased brain age estimates following cancer therapy. Framing CRCI within an accelerated brain aging paradigm may improve risk stratification, guide biomarker development, and inform personalized survivorship care.
Full article

Graphical abstract
Open AccessGuidelines
Romanian Consensus Statement for Hormone Receptor-Positive and Human Epidermal Growth Factor Receptor 2-Negative Metastatic Breast Cancer (HR+/HER2– mBC) and Triple-Negative Metastatic Breast Cancer (mTNBC)
by
Mircea Dragoș Median, Nicoleta Zenovia Antone, Simona Volovăț, Laura Mazilu, Șerban Mircea Negru, Răzvan Ovidiu Curcă, Amedeia Niță, Raluca Ileana Pătru, Andrei Ungureanu, Vlad Lupu and Cristina Marinela Oprean
Curr. Oncol. 2026, 33(2), 120; https://doi.org/10.3390/curroncol33020120 - 17 Feb 2026
Abstract
Breast cancer (BC) is the most common malignant disease in women in Romania, with incidence and mortality rates among the highest in Europe. This consensus statement aims to ensure equitable access to care for human epidermal growth factor receptor 2-negative metastatic BC (HR+/HER2–
[...] Read more.
Breast cancer (BC) is the most common malignant disease in women in Romania, with incidence and mortality rates among the highest in Europe. This consensus statement aims to ensure equitable access to care for human epidermal growth factor receptor 2-negative metastatic BC (HR+/HER2– mBC) and triple-negative mBC (mTNBC) in Romania. Between December 2024 and June 2025, a scientific board of 11 oncologists, in collaboration with the Romanian National Society for Medical Oncology (SNOMR), developed national recommendations based on ESMO/NCCN/ABC guidelines, clinical expertise, and local conditions. A modified Delphi survey was conducted among medical oncologists to evaluate acceptance of recommendations with greatest clinical impact. Key recommendations included: mandatory biopsy at metastasis with ER/PgR/HER2 retesting, HER2-low assessment, and molecular profiling (BRCA, PIK3CA, AKT1/PTEN, ESR1, plus PD-L1 testing in mTNBC); for HR+/HER2– mBC, first-line endocrine therapy plus CDK4/6 inhibitor, followed by targeted agents, chemotherapy, or antibody–drug conjugates based on progression and visceral crisis; for mTNBC, first-line immune checkpoint inhibitor plus chemotherapy in PD-L1-positive, PARP inhibitors in BRCA-positive patients, and sacituzumab-govitecan or trastuzumab-deruxtecan later; systematic toxicity monitoring; and integrated supportive and palliative care. Sixty-one oncologists completed the survey, with >90% overall agreement, suggesting broad acceptance of recommendations as Romania’s national standard for mBC care.
Full article
(This article belongs to the Section Breast Cancer)
►▼
Show Figures

Figure 1
Open AccessArticle
DXA-Derived Visceral and Subcutaneous Adipose Tissue and Postmenopausal Breast Cancer Mortality
by
Jennifer W. Bea, Shelby G. Ziller, Dylan Decker, Denise J. Roe, Andrew O. Odegaard, Heather M. Ochs-Balcom, Sarah M. Lima, Bette Caan, Jean Wactawski-Wende, Margaret S. Pichardo, Holly Harris and Zhao Chen
Curr. Oncol. 2026, 33(2), 119; https://doi.org/10.3390/curroncol33020119 - 17 Feb 2026
Abstract
Background: Elevated abdominal adipose tissue at time of diagnosis is associated with breast cancer mortality. We sought to understand the association between abdominal adipose tissue (subcutaneous, SAT and visceral, VAT) assessed via dual-energy X-ray absorptiometry (DXA) and breast cancer mortality in the prevention
[...] Read more.
Background: Elevated abdominal adipose tissue at time of diagnosis is associated with breast cancer mortality. We sought to understand the association between abdominal adipose tissue (subcutaneous, SAT and visceral, VAT) assessed via dual-energy X-ray absorptiometry (DXA) and breast cancer mortality in the prevention setting. Methods: Women enrolled in the Women’s Health Initiative study with baseline whole-body DXA scans were included in the study (n = 9767). Causes of death were adjudicated up to 27 years of follow-up. Competing risk models were used to examine independent associations between baseline VAT, SAT, per 100 cm2, and breast cancer-specific deaths; findings were reported as sub-hazard ratios (SHR) and confidence intervals (CI). Time-varying analyses additionally included DXA at years 3 and 6. Covariates included demographic, lifestyle, and tumor factors. Results: Baseline VAT and SAT ranged from undetectable to 616.25 cm2 and 55.26–952.46 cm2, respectively. There were 738 incident breast cancer cases post-enrollment, and 87 breast cancer-related deaths. Median age at diagnosis was 62 years. In adjusted models, higher baseline VAT and SAT were significantly associated with higher risk breast cancer mortality (49% and 40%, respectively); time-varying models were similar. Conclusions: Higher VAT and SAT were similarly associated with breast cancer mortality in this group of postmenopausal women.
Full article
(This article belongs to the Section Breast Cancer)
►▼
Show Figures

Figure 1
Open AccessArticle
Preoperative Cognitive Function and Physical Frailty Predict Decision Satisfaction and Postoperative Adherence in Older Gynecologic Oncology Patients: A Prospective Observational Study
by
Celal Akdemir, Merve Konal, Mücahit Furkan Balcı, Gülin Özuyar Şimşek, Zeliha Öcal, Fatih Yıldırım, Zeynep Gül Dağlar, Serkan Karaoğlu and Muzaffer Sancı
Curr. Oncol. 2026, 33(2), 118; https://doi.org/10.3390/curroncol33020118 - 17 Feb 2026
Abstract
With increasing life expectancy, a growing proportion of patients undergoing surgery for gynecologic cancers are older adults, underscoring the need for reliable predictors of postoperative recovery and patient engagement. Cognitive function and physical frailty are recognized determinants of surgical outcomes, yet their relative
[...] Read more.
With increasing life expectancy, a growing proportion of patients undergoing surgery for gynecologic cancers are older adults, underscoring the need for reliable predictors of postoperative recovery and patient engagement. Cognitive function and physical frailty are recognized determinants of surgical outcomes, yet their relative impact on patient centered outcomes remains insufficiently explored. This prospective observational study included 68 women aged 65 years and older who underwent abdominal surgery for gynecologic malignancies. Preoperative cognitive function was assessed using the Montreal Cognitive Assessment, and physical frailty was evaluated with the Clinical Frailty Scale. Postoperative outcomes included early recovery parameters, complications, surgical decision satisfaction, and home-based adherence. Higher cognitive scores were associated with earlier mobilization, shorter hospital stay, better postoperative adherence, and greater decision satisfaction, whereas higher frailty scores were associated with delayed recovery and increased complication risk. In regression analyses, preoperative cognitive function was significantly associated with both postoperative adherence and surgical decision satisfaction, whereas physical frailty was not. These findings indicate that preoperative cognitive screening may have predictive value for patient centered recovery behaviors and decision satisfaction in this setting; however, the prediction estimates should be considered exploratory and warrant validation in larger, multicenter cohorts.
Full article
(This article belongs to the Special Issue Advances in Geriatric Oncology: Toward Optimized Cancer Care)
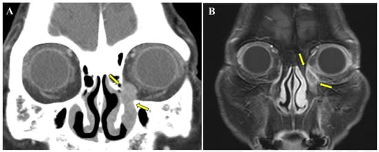
Open AccessCase Report
Primary Malignant Melanoma of the Nasolacrimal Duct Presenting Without Hemolacria: A Case Report and Literature Review
by
Won Gun Kwack and Hong Jun Kim
Curr. Oncol. 2026, 33(2), 117; https://doi.org/10.3390/curroncol33020117 - 17 Feb 2026
Abstract
Primary malignant melanoma of the nasolacrimal duct is a rare and aggressive mucosal neoplasm. Its diagnosis is frequently delayed because early symptoms often mimic benign inflammatory conditions like chronic dacryocystitis. While hemolacria is considered a hallmark sign, it is not universally present. We
[...] Read more.
Primary malignant melanoma of the nasolacrimal duct is a rare and aggressive mucosal neoplasm. Its diagnosis is frequently delayed because early symptoms often mimic benign inflammatory conditions like chronic dacryocystitis. While hemolacria is considered a hallmark sign, it is not universally present. We present a case of a 78-year-old woman with a 1-year history of persistent epiphora and discharge from the left eye, without hemolacria. Initial lacrimal irrigation suggested obstruction. Computed tomography (CT) revealed a soft tissue lesion with widening of the lacrimal bony canal but without gross destruction. An incisional biopsy confirmed malignant melanoma. The patient underwent wide surgical resection, including medial maxillectomy, followed by adjuvant intensity-modulated radiotherapy (50 Gy). The tumor was BRAF wild-type. At 24 months post-treatment, the patient remains disease-free with no evidence of recurrence or metastasis. This case highlights that the absence of hemolacria should not preclude the suspicion of malignancy in refractory lacrimal obstruction. Early cross-sectional imaging and biopsy are essential for accurate diagnosis. Furthermore, this case suggests that a multimodal approach combining wide surgical excision and adjuvant radiotherapy may contribute to durable local control in selected patients.
Full article
(This article belongs to the Section Dermato-Oncology)
►▼
Show Figures

Figure 1
Open AccessArticle
Characteristics, Prognosis and Reasons for Opting-Out of Treatment in Patients with Untreated Pancreatic Cancer
by
Morten Ladekarl and Mogens Tornby Stender
Curr. Oncol. 2026, 33(2), 116; https://doi.org/10.3390/curroncol33020116 - 16 Feb 2026
Abstract
Background: About 40% of patients with pancreatic cancer (PC) are left untreated. Identification of the modifiable factors for opting out could increase the number eligible for treatment. Methods: We first assessed the completeness of registration. Next, we identified patients residing in the North
[...] Read more.
Background: About 40% of patients with pancreatic cancer (PC) are left untreated. Identification of the modifiable factors for opting out could increase the number eligible for treatment. Methods: We first assessed the completeness of registration. Next, we identified patients residing in the North Denmark Region, included 2023/24 in the Danish Pancreas Cancer Database (DPCD), registered as “no treatment”. We supplemented register data with health record data, including reasons for opting out of treatment. Results: Registration in DPCD was complete compared to the National Clinical Cancer Database, except for one patient. Six patients had other tumors. Of a total of 91 patients, 79% were >75 years old, 2/3 were in performance status (PS) > 2, more than half were socially or physically fragile, while 42% had significant comorbidity. Only 20% were referred to an oncologist. The median overall survival was 2 months, and the 1-year survival was 6%. Clinical stage and PS were prognostic in multivariable analysis. In 70%, poor PS was a reason for opting out of treatment, while 11% declined treatment without objective reasons. Conclusions: Poor PS, frailty, or patients’ wishes explained 89% opting out of treatment. On a patient level, modifiable factors seem limited in this population.
Full article
(This article belongs to the Section Gastrointestinal Oncology)
►▼
Show Figures

Figure 1
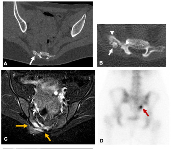
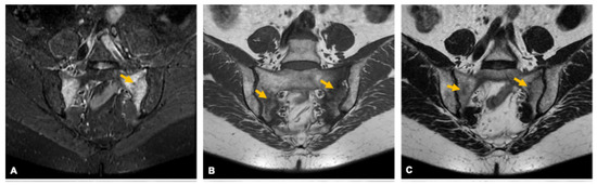
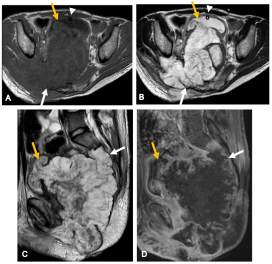
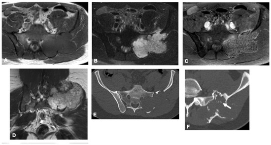
Open AccessReview
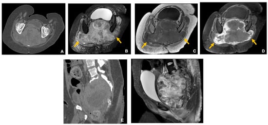
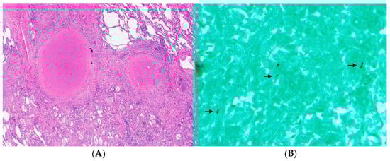
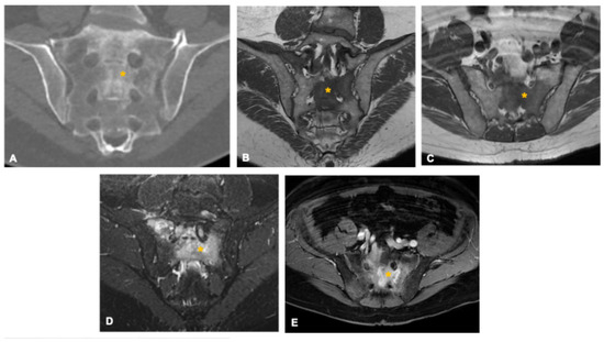
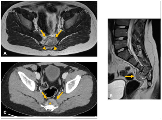
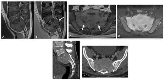
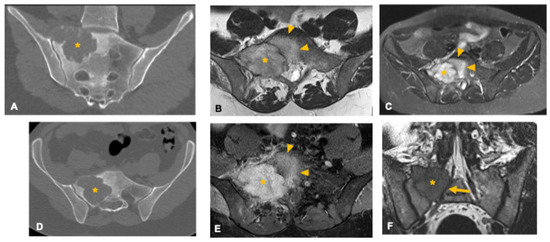
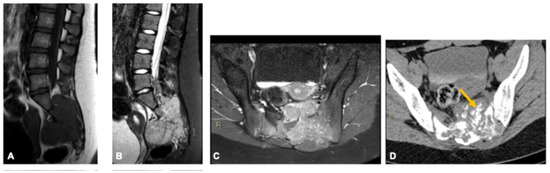
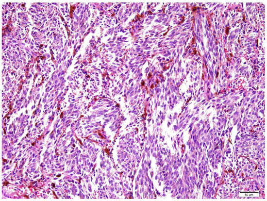
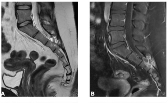
Beyond Chordoma: A Comprehensive Review of Sacral Lesions
by
Leonor Garbin Savarese, Nicolas Papalexis, Mateus de Andrade Hernandes, Giancarlo Facchini, Marco Miceli and Marcello Henrique Nogueira-Barbosa
Curr. Oncol. 2026, 33(2), 115; https://doi.org/10.3390/curroncol33020115 - 15 Feb 2026
Abstract
The sacrum is a common site for a wide range of pathological processes, including benign and malignant tumors as well as non-neoplastic conditions. Accurate diagnosis of sacral lesions remains challenging due to overlapping imaging features and the anatomical complexity of the region. This
[...] Read more.
The sacrum is a common site for a wide range of pathological processes, including benign and malignant tumors as well as non-neoplastic conditions. Accurate diagnosis of sacral lesions remains challenging due to overlapping imaging features and the anatomical complexity of the region. This review provides a comprehensive overview of sacral lesions, with emphasis on imaging characteristics, diagnostic challenges, and clinical implications. Key imaging findings are highlighted to help narrow the differential diagnosis. While certain imaging patterns may suggest specific etiologies, image-guided biopsy is often necessary for definitive diagnosis. Familiarity with the spectrum of sacral pathologies is essential for radiologists to effectively contribute to diagnosis, patient management, and multidisciplinary care.
Full article
(This article belongs to the Section Bone and Soft Tissue Oncology)
►▼
Show Figures

Figure 1
Open AccessSystematic Review
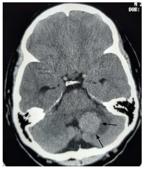
Risk Factors for Delayed Leptomeningeal Dissemination in Choroid Plexus Papillomas: A Systematic Review and Illustrative Case
by
Orlando De Jesus, Ricardo J. Fernández-de Thomas, Cesar Carballo-Cuello and Bryan Clampitt
Curr. Oncol. 2026, 33(2), 114; https://doi.org/10.3390/curroncol33020114 - 13 Feb 2026
Abstract
Purpose: Choroid plexus papilloma (CPP) is a rare, benign intraventricular tumor that typically has an excellent long-term survival rate after gross total resection. Nevertheless, some patients develop delayed leptomeningeal dissemination (LMD) years after the initial diagnosis, a phenomenon that remains poorly understood. The
[...] Read more.
Purpose: Choroid plexus papilloma (CPP) is a rare, benign intraventricular tumor that typically has an excellent long-term survival rate after gross total resection. Nevertheless, some patients develop delayed leptomeningeal dissemination (LMD) years after the initial diagnosis, a phenomenon that remains poorly understood. The authors encountered a case of CPP with delayed LMD 14 years after resection, which prompted this systematic review to identify potential risk factors. Methods: A systematic review was conducted according to PRISMA guidelines to identify CPP reports with subsequent delayed LMD. Studies of atypical CPP, choroid plexus carcinoma, or concurrent LMD at diagnosis were excluded. Extracted variables included demographics, tumor location, extent of resection, recurrence, proliferative index, and latency to dissemination. Results: Thirty patients developed delayed LMD after initial diagnosis. Seventeen patients underwent gross total resection, ten underwent subtotal resection, and three were unreported. Delayed LMD occurred with tumor recurrence in 14 patients. Histological transformation was observed in nine patients: eight progressed to aCPP and one to CPC. The extent of resection, recurrence, and tumor transformation were not significantly associated with delayed LMD. Conclusions: The pathogenesis and optimal treatment strategy of this phenomenon remain unclear. No significant risk factors for delayed LMD development in CPP were identified. Future studies incorporating molecular characterization are needed to clarify the mechanisms of LMD in patients with CPP and to improve risk stratification, underscoring the importance of lifelong surveillance and the integration of molecular profiling in clinical management.
Full article
(This article belongs to the Section Neuro-Oncology)
►▼
Show Figures

Figure 1
Open AccessArticle
Canada Cancer Clinicians’ Perceptions of Palliative Care in Pancreatic Cancer: A National Survey
by
Kamesha Valoo, Brigitte N. Durieux, Kajamathy Subramaniam, Ting Du, Samara Perez, James Downar, Karin Fink and Justin J. Sanders
Curr. Oncol. 2026, 33(2), 113; https://doi.org/10.3390/curroncol33020113 - 13 Feb 2026
Abstract
(1) Background: Pancreatic cancer causes significant morbidity and mortality, and guidelines recommend early integration of palliative care alongside active treatment. As access to palliative care is often mediated by oncology clinicians, this survey sought to understand these clinicians’ perspectives on barriers and facilitators
[...] Read more.
(1) Background: Pancreatic cancer causes significant morbidity and mortality, and guidelines recommend early integration of palliative care alongside active treatment. As access to palliative care is often mediated by oncology clinicians, this survey sought to understand these clinicians’ perspectives on barriers and facilitators to clinician palliative care referral and patient palliative care access. (2) Methods: An online survey was distributed via community and academic institutions across Canada to oncology clinicians who were able to refer a pancreatic cancer patient to palliative care (e.g., oncology nurses, medical oncologists). (3) Results: Of 134 clinicians from ten provinces, almost all (97%) believe that palliative care is ‘very important’ in pancreatic cancer care. The greatest perceived barriers to patient palliative care access included patient-family reluctance to accept palliative care (73%), lack of knowledge about services (50%), and lack of support from other healthcare professionals (40%). Perceived barriers to referring included patient-family reluctance to accept palliative care (57%) and lack of available specialist services (58%). Most providers suggested patient education as a strategy to overcome barriers (85%). (4) Conclusions: Perceptions about public acceptance may preclude oncology clinicians from referring to palliative care, despite nearly universal belief in its importance. The findings highlight service and education gaps for future intervention.
Full article
(This article belongs to the Section Palliative and Supportive Care)
Open AccessGuidelines
Guidance for Canadian Breast Cancer Practice: National Consensus Recommendations for the Systemic Treatment of Patients with HR+/HER2− Early Breast Cancer 2025
by
Sandeep Sehdev, Anil Abraham Joy, Jean-François Boileau, Nathaniel Bouganim, Christine Brezden-Masley, Jeffrey Q. Cao, David W. Cescon, Stephen Chia, Scott Edwards, Karen A. Gelmon, Katarzyna J. Jerzak, Aalok Kumar, Kara Laing, Nathalie LeVasseur, Christine Simmons, Marc Webster, Mita Manna and on behalf of Patient Advocacy, Breast Cancer Canada
Curr. Oncol. 2026, 33(2), 112; https://doi.org/10.3390/curroncol33020112 - 12 Feb 2026
Abstract
Hormone receptor-positive, human epidermal growth factor receptor 2-negative (HR+/HER2−) early breast cancer (EBC) is the most common breast cancer subtype and encompasses a biologically heterogeneous group of tumours. Endocrine therapy (ET) remains the cornerstone of treatment, but decisions regarding chemotherapy, cyclin-dependent kinase 4
[...] Read more.
Hormone receptor-positive, human epidermal growth factor receptor 2-negative (HR+/HER2−) early breast cancer (EBC) is the most common breast cancer subtype and encompasses a biologically heterogeneous group of tumours. Endocrine therapy (ET) remains the cornerstone of treatment, but decisions regarding chemotherapy, cyclin-dependent kinase 4 and 6 (CDK4/6) inhibitors, and bone-modifying agents must be tailored to tumour biology, clinical stage, and menopausal status. REAL Canadian Breast Cancer Alliance (REAL Alliance), a pan-Canadian group of breast cancer specialists, convened to develop national clinical consensus recommendations for the systemic management of HR+/HER2− EBC. Using a structured consensus process, 28 recommendations were endorsed, spanning neoadjuvant and adjuvant systemic therapy, surgical considerations, and use of bisphosphonates. Key recommendations include the selective use of neoadjuvant chemotherapy for high-risk or locally advanced disease; genomic testing to guide chemotherapy decisions, particularly in postmenopausal patients; ET as the foundation of adjuvant therapy with intensification using CDK4/6 inhibitors in higher-risk patients; and adjuvant bisphosphonates in postmenopausal women to reduce recurrence and improve survival. These consensus recommendations provide practical, evidence-based guidance to support individualized, patient-centred management of HR+/HER2− EBC in the Canadian context.
Full article
(This article belongs to the Special Issue REAL Canadian Breast Cancer Alliance Collection)
Open AccessArticle
Primary Tumor Size and Tumor–Vessel Interface Following Capecitabine and Temozolomide for Pancreatic Neuroendocrine Tumor
by
Jin Guo, Kever A. Lewis, Laura Prakash, Priya Bhosale, Ajaykumar Morani, Matthew H. G. Katz, Ching-Wei D. Tzeng, Naruhiko Ikoma, Rebecca Snyder, Michael P. Kim, Chandrikha Chandrasekharan, Arvind Dasari, James C. Yao, Jeffrey E. Lee, Jessica E. Maxwell and Daniel M. Halperin
Curr. Oncol. 2026, 33(2), 111; https://doi.org/10.3390/curroncol33020111 - 12 Feb 2026
Abstract
Capecitabine/temozolomide (CAPTEM) is an established regimen for patients with metastatic pancreatic neuroendocrine tumors (PanNET) that is being increasingly used for tumor volume reduction in patients with borderline anatomically resectable disease. We sought to understand the response of the primary tumor, defined as changes
[...] Read more.
Capecitabine/temozolomide (CAPTEM) is an established regimen for patients with metastatic pancreatic neuroendocrine tumors (PanNET) that is being increasingly used for tumor volume reduction in patients with borderline anatomically resectable disease. We sought to understand the response of the primary tumor, defined as changes in the tumor–vascular interface (TVI). This is a retrospective, single-institution study of patients with locally advanced or metastatic PanNET treated with CAPTEM between 2010 and 2020. RECISTv1.1 measurements and TVI assessments of the primary tumor were performed on pre- and post-therapy images. Patients with locally advanced or metastatic PanNET at presentation (n = 47) were included. CAPTEM was given for a median of 11 cycles. The most common site of metastatic disease was the liver (n = 38). An objective radiographic response in the primary tumor was observed in 6.4% (95% CI 1.7–18.6%) with clinical benefit in 70.2% (95% CI 54.9–82.2%). TVI was modified from >180° to ≤180° in 16.2% (95% CI 6.0–45.5%). Paired analysis of patients pre- and post-CAPTEM did not demonstrate a statistically significant shift in TVI with treatment (p = 0.134). A total of four patients had a change from an unresectable primary tumor to an anatomically resectable tumor following CAPTEM. In patients with locally advanced or metastatic PanNET, treatment with CAPTEM is associated with low radiographic response rates and changes in TVI. The degree to which these changes may correlate with surgical resection rates or R0 resections is not known. Extending these investigations in a cohort of PanNET patients offered CAPTEM for neoadjuvant intent could be helpful to understand whether these phenomena persist in that context.
Full article
(This article belongs to the Special Issue Surgical Management of Patients with Hepatobiliary and Pancreatic Malignancies)
►▼
Show Figures

Figure 1
Open AccessArticle
Understanding Patients’ Preferences for Discussing Sexuality After Surgery—A Qualitative Study of Sexuality and Body Image in Women with Ovarian Cancer
by
Julia Rosa Stöckl, Marlene M. Lee, Jalid Sehouli and Adak Pirmorady-Sehouli
Curr. Oncol. 2026, 33(2), 110; https://doi.org/10.3390/curroncol33020110 - 12 Feb 2026
Abstract
Background: Aspects of sexuality are often deprioritized or overlooked during the treatment of women with ovarian cancer, despite the profound physical and psychosocial impact of surgical and oncological therapies. This study aimed to explore experiences of sexuality and body image in women with
[...] Read more.
Background: Aspects of sexuality are often deprioritized or overlooked during the treatment of women with ovarian cancer, despite the profound physical and psychosocial impact of surgical and oncological therapies. This study aimed to explore experiences of sexuality and body image in women with ovarian cancer during the peri- and postoperative period. Methods: This qualitative exploratory study was based on twelve semi-structured, in-depth interviews with women aged ≥18 years diagnosed with ovarian cancer. Interviews were conducted in person or by telephone, transcribed verbatim, and analyzed using qualitative content analysis according to Kuckartz with MAXQDA 24.11. Results: Participants described substantial changes in sexuality and body image throughout their disease trajectory. Participants emphasized a lack of attention to sexual health and well-being in ovarian cancer care and expressed a need for timely and sensitive dialogue with medical professionals, social support systems, and with themselves regarding sexuality and intimacy. Conclusions: Sexuality emerged as a key factor for overall well-being and empowerment in women with ovarian cancer, regardless of age or relationship status. The findings suggest that sexuality-related concerns are oftentimes overlooked in clinical care and may negatively influence recovery. Greater awareness and a holistic, patient-centered perspective may help support sexual health and well-being throughout the disease trajectory.
Full article
Open AccessArticle
Immune-Related Thyroid Dysfunction in PD-L1 High Non-Oncogene-Addicted NSCLC Treated with First-Line Pembrolizumab: Incidence, Timing, and Predictive Impact
by
Filip Marković, Mihailo Stjepanović and Milica Kontić
Curr. Oncol. 2026, 33(2), 109; https://doi.org/10.3390/curroncol33020109 - 12 Feb 2026
Abstract
In metastatic NSCLC with high PD-L1 expression (TPS ≥ 50%), pembrolizumab monotherapy yields durable benefit in a subset of patients. Immune-related thyroid dysfunction (irTD) is common during PD-1/PD-L1 blockade, but its predictive value remains uncertain. We conducted a retrospective, single-center study including 363
[...] Read more.
In metastatic NSCLC with high PD-L1 expression (TPS ≥ 50%), pembrolizumab monotherapy yields durable benefit in a subset of patients. Immune-related thyroid dysfunction (irTD) is common during PD-1/PD-L1 blockade, but its predictive value remains uncertain. We conducted a retrospective, single-center study including 363 patients with metastatic NSCLC, PD-L1 TPS ≥ 50%, and no actionable oncogenic drivers treated with first-line pembrolizumab. Thyroid function tests were performed at baseline and every six weeks. irTD was defined based on laboratory abnormalities with or without clinical symptoms and classified as early onset (≤90 days) or late onset (>90 days). Progression-free survival (PFS) was estimated using Kaplan–Meier methods and compared using log-rank tests. Cox proportional hazards models included irTD as a time-varying covariate. Landmark analyses at 3 and 6 months reduced immortal-time bias. Events were graded according to CTCAE v5.0. Among 363 eligible patients, irTD occurred in 110 (30.3%); median onset was 114 days (range 21–550). Median cohort PFS was 9.8 months (95% CI 7.26–12.34). Patients with irTD had significantly longer PFS than those without irTD: 26.33 (95% CI 19.09–33.57) vs. 6.16 months (95% CI 4.70–7.63), with an HR of 0.378 (95% CI 0.280–0.511; p < 0.001). Landmark analyses confirmed benefit at 3 months (28.4 vs. 13.7 months; HR 0.490, p < 0.001) and 6 months (29.0 vs. 20.5 months; HR 0.587, p < 0.001). PFS did not differ by irTD timing (early vs. late; HR 0.926, p = 0.682). Poor ECOG PS (≥2) was associated with worse outcomes and a lower incidence of irTD. We found that irTD is common, clinically manageable, and strongly associated with improved PFS in PD-L1-high metastatic NSCLC treated with pembrolizumab. Thyroid dysfunction may serve as a feasible on-treatment biomarker of effective immune activation, warranting further prospective validation.
Full article
(This article belongs to the Section Thoracic Oncology)
►▼
Show Figures

Figure 1
Open AccessCase Report
A Novel Three-Dimension Printed Individualized Curved-Needle-Based Interstitial Brachytherapy for Re-Irradiation in Uterine Fundus-Involving Recurrent Cervical Cancer: A Case Report
by
Yangyi Zhang, Jie Zhang, Meiling Zhong, Lang Yu, Chunli Luo, Junfang Yan and Ke Hu
Curr. Oncol. 2026, 33(2), 108; https://doi.org/10.3390/curroncol33020108 - 12 Feb 2026
Abstract
Background: Re-irradiation in recurrent cervical cancer presents significant therapeutic challenges, particularly in those with a short interval since prior treatment. Brachytherapy is an ideal re-irradiation method, but regular intracavitary brachytherapy combined with interstitial brachytherapy (ISBT) is restricted by some challenging tumor anatomical locations,
[...] Read more.
Background: Re-irradiation in recurrent cervical cancer presents significant therapeutic challenges, particularly in those with a short interval since prior treatment. Brachytherapy is an ideal re-irradiation method, but regular intracavitary brachytherapy combined with interstitial brachytherapy (ISBT) is restricted by some challenging tumor anatomical locations, which can be optimized through a three-dimensional (3D)-printed curved-needle ISBT system. Case Presentation: A 41-year-old woman diagnosed with cervical mucinous adenocarcinoma developed central pelvic relapse, with tumor extension to the uterine fundus, within two years after completing standard concurrent chemoradiotherapy (CCRT). The patient subsequently received 3D-printed individualized curved-needle-based, MRI-guided adaptive ISBT, in combination with external beam radiotherapy (EBRT) and chemotherapy. This comprehensive treatment approach achieved 45 months of overall survival (OS), 37 months of local control (LC) and progression-free survival (PFS) with grade 3 proctitis and grade 3 cystitis and no fistulation or perforation. Conclusions: The 3D-printed individualized curved-needle ISBT is a re-irradiation option that provides satisfactory LC and prolonged survival with acceptable adverse effects for recurrent tumors located in the distal uterine fundus in cervical cancer. This technique is particularly valuable when intracavitary and traditional interstitial applicators are unsuitable due to the unique location of the tumor.
Full article
(This article belongs to the Section Gynecologic Oncology)
►▼
Show Figures

Figure 1
Open AccessSystematic Review
SMARCA4-Deficient Carcinomas of the Small Intestine: A Systematic Review
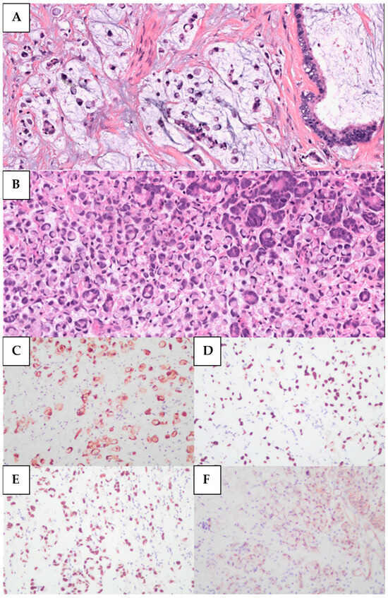
by
Aaqid Syed, Yanis Boumber and Midhun Malla
Curr. Oncol. 2026, 33(2), 107; https://doi.org/10.3390/curroncol33020107 - 10 Feb 2026
Abstract
Purpose: SMARCA4-deficient carcinomas are rare, aggressive malignancies characterized by loss of BRG1, a core component of the SWI/SNF chromatin remodeling complex. These typically arise in the chest, but recent case reports suggest rare involvement of the gastrointestinal tract, particularly the small intestine.
[...] Read more.
Purpose: SMARCA4-deficient carcinomas are rare, aggressive malignancies characterized by loss of BRG1, a core component of the SWI/SNF chromatin remodeling complex. These typically arise in the chest, but recent case reports suggest rare involvement of the gastrointestinal tract, particularly the small intestine. This review aims to consolidate the available literature on SMARCA4-deficient carcinomas of the small intestine, highlighting their clinical, histopathological, molecular, and therapeutic features. Design: A systematic review of PubMed was conducted through March 2025 to identify all published cases of primary SMARCA4-deficient carcinomas of the small intestine. Inclusion criteria required immunohistochemical or molecular confirmation of SMARCA4/BRG1 loss. Studies describing metastases, non-small intestine primaries, or lacking molecular data were excluded. Ten eligible cases were analyzed in detail. Results: Patients were predominantly male (9 out of 10) with a median age of 54 years. Most carcinomas arose in the duodenum and patients frequently presented with nonspecific symptoms and advanced-stage disease. Histologically, tumors demonstrated undifferentiated or rhabdoid features with high mitotic activity and extensive necrosis. Immunohistochemistry confirmed loss of SMARCA4, while several cases also showed SMARCA2 loss. Molecular profiling revealed congruent mutations in TP53 and CTNNB1, among oncogenic drivers. While some patients with localized disease achieved prolonged survival after surgery and adjuvant chemotherapy, those with metastatic disease had limited responses to immune checkpoint inhibitors, despite PD-L1 positivity in a subset. Overall survival ranged from 2 to 29 months. Conclusions: SMARCA4-deficient carcinomas of the small intestine represent a distinct, high-grade malignancy with poor prognosis and limited therapeutic options. Prompt recognition, SMARCA4 testing, and referral to specialized centers are essential. Prospective studies are needed to guide therapy and explore targeted approaches in this challenging carcinoma subtype.
Full article
(This article belongs to the Topic Cancer Genomics: Emerging Trends and Technological Advances)
►▼
Show Figures

Figure 1
Open AccessGuidelines
Guidance for Canadian Breast Cancer Practice: National Consensus Recommendations for the Systemic Treatment of Patients with HR+/HER2− Metastatic Breast Cancer 2025
by
Katarzyna J. Jerzak, Aalok Kumar, Jean-François Boileau, Nathaniel Bouganim, Christine Brezden-Masley, Jeffrey Q. Cao, David W. Cescon, Stephen Chia, Scott Edwards, Anil Abraham Joy, Kara Laing, Nathalie LeVasseur, Sasha Lupichuk, Sandeep Sehdev, Christine Simmons, Marc Webster, Karen A. Gelmon, Mita Manna and on behalf of patient advocacy, Breast Cancer Canada
Curr. Oncol. 2026, 33(2), 106; https://doi.org/10.3390/curroncol33020106 - 9 Feb 2026
Abstract
Hormone receptor positive (HR+), human epidermal growth factor receptor 2-negative (HER2–) breast cancer accounts for approximately two-thirds of all breast cancers. The treatment landscape for HR+/HER2− metastatic breast cancer has evolved in recent years, with multiple new therapies demonstrating clinical efficacy and improved
[...] Read more.
Hormone receptor positive (HR+), human epidermal growth factor receptor 2-negative (HER2–) breast cancer accounts for approximately two-thirds of all breast cancers. The treatment landscape for HR+/HER2− metastatic breast cancer has evolved in recent years, with multiple new therapies demonstrating clinical efficacy and improved patient outcomes. To provide evidence-informed guidance on best practices in the management of patients with HR+/HER2− metastatic breast cancer in Canada, consensus recommendations were developed by Research Excellence, Active Leadership Canadian Breast Cancer Alliance (REAL Alliance), a standing nucleus committee with both clinical–academic oncologists from across Canada and representatives from Breast Cancer Canada, a patient advocacy organization. Recommendations were generated using a modified Delphi approach involving up to three anonymous voting rounds, with a predefined consensus threshold of 75%. These consensus recommendations offer guidance on optimal therapeutic strategies for HR+/HER2− metastatic breast cancer within the Canadian landscape, including integration of precision oncology and targeted therapies, optimal sequencing of therapies, and the importance of balancing the benefits of treatments with patient quality of life and preferences.
Full article
(This article belongs to the Special Issue REAL Canadian Breast Cancer Alliance Collection)
►▼
Show Figures

Figure 1
Open AccessCase Report
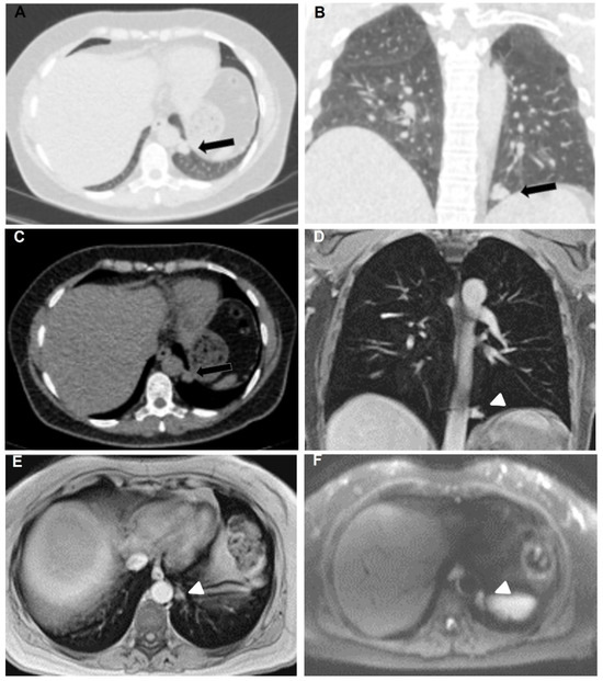
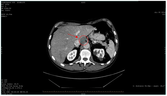
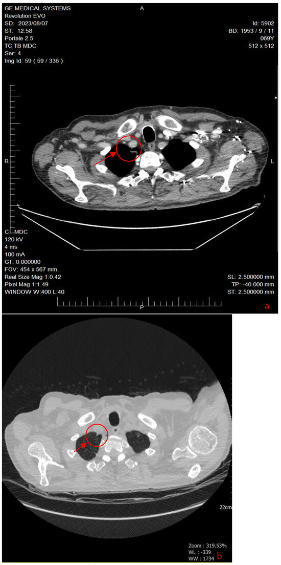
Primary Renal Neuroendocrine Tumor: Diagnostic Challenges in a Rare Entity—A Case Report
by
Raphaela D. Lewetag, Katharina Kluthe, Nils F. Trautwein, Ulrich M. Lauer, Christian la Fougère, Bence Sipos, Lars Zender, Clemens Hinterleitner, Stephan Singer and Martina Hinterleitner
Curr. Oncol. 2026, 33(2), 105; https://doi.org/10.3390/curroncol33020105 - 6 Feb 2026
Abstract
Neuroendocrine neoplasms (NENs) represent a rare, heterogeneous group of malignancies. Within this tumor entity, primary renal neuroendocrine tumors (PRNETs) are exceedingly rare, with only 160 cases reported worldwide. Due to the absence of native neuroendocrine cells in the renal parenchyma, their cellular origin
[...] Read more.
Neuroendocrine neoplasms (NENs) represent a rare, heterogeneous group of malignancies. Within this tumor entity, primary renal neuroendocrine tumors (PRNETs) are exceedingly rare, with only 160 cases reported worldwide. Due to the absence of native neuroendocrine cells in the renal parenchyma, their cellular origin remains unclear. Clinical and diagnostic challenges are reflected by the low incidence, non-specific clinical presentation, resemblance to common renal neoplasms, and the need for specialized histopathological diagnostic examination. Here, we present the case of a 61-year-old female with an incidentally diagnosed left-sided PRNET in September 2024. This case highlights the diagnostic complexity of PRNET and, importantly, underscores its genomic heterogeneity. It demonstrates a lack of typical renal cell carcinoma (RCC) or common NEN-associated gene alterations, emphasizing their unique molecular landscape.
Full article
(This article belongs to the Section Genitourinary Oncology)
►▼
Show Figures

Figure 1
Open AccessArticle
Brain Tumor Care in Relation to Patient Age—An Observational Study Between Years 2016 and 2022 in a Nationwide Cohort in Germany
by
Frederic Bold, Gerardo Rico Gonzalez, Rüdiger Gerlach, Oliver Heese, Steffen K. Rosahl, Michael Stoffel, Juraj Kukolja, Frederick Palm, Emilia Machado Musri, Ali Allam, Ralf Kuhlen, Julius Dengler, Sven Hohenstein, Andreas Bollmann and Nora F. Dengler
Curr. Oncol. 2026, 33(2), 104; https://doi.org/10.3390/curroncol33020104 - 5 Feb 2026
Abstract
As societies continue to age, brain tumors increasingly affect older patients. Still, large-scale evidence on whether the relationship between age and brain tumor has been evolving over time is scarce. We examined longitudinal trends among different age groups of patients with brain tumors
[...] Read more.
As societies continue to age, brain tumors increasingly affect older patients. Still, large-scale evidence on whether the relationship between age and brain tumor has been evolving over time is scarce. We examined longitudinal trends among different age groups of patients with brain tumors at 78 German hospitals. Two time periods were compared as follows: phase 1 (1 January 2016–31 December 2019; pre-pandemic) and phase 2 (1 January 2020–31 December 2022; pandemic). Patients were categorized as non-elderly (<65 years) or elderly (≥65 years), and according to 10-year age brackets. The clinical condition was quantified using the Elixhauser Comorbidity Index (ECI) and the Hospital Frailty Risk Score (HFRS). Among the 20,005 patients included, changes in characteristics of non-elderly/elderly patients over time behaved similarly, with improvements in ECI (19.3 to 18.4/15.2 to 14.3; each p < 0.01) and HFRS (2.1 to 1.6/4.7 to 4.1; each p < 0.01), and increases in rates of brain tumor resection (26.1% to 31.8%/22.7% to 27.8%; each p < 0.01). Only patients aged 75–84 years did not follow any of those trends. Over the examined 7-year period, general trends in brain tumor care in elderly subjects resembled those observed in non-elderly patients, except for those aged 75–84 years.
Full article
(This article belongs to the Special Issue Advances in Geriatric Oncology: Toward Optimized Cancer Care)
►▼
Show Figures

Figure 1
Open AccessReview
Predictors of Response and Mechanisms of Resistance to Antibody Drug Conjugates in Urothelial Carcinoma
by
Jing Huang, Ademola Ojo and Bobby Liaw
Curr. Oncol. 2026, 33(2), 103; https://doi.org/10.3390/curroncol33020103 - 5 Feb 2026
Abstract
Antibody–drug conjugates (ADCs) have reshaped the treatment landscape of urothelial carcinoma (UC) by enabling selective delivery of highly potent cytotoxic agents to tumor cells. Enfortumab vedotin, sacituzumab govitecan, and HER2-directed ADCs have demonstrated meaningful clinical activity across metastatic and earlier disease settings, with
[...] Read more.
Antibody–drug conjugates (ADCs) have reshaped the treatment landscape of urothelial carcinoma (UC) by enabling selective delivery of highly potent cytotoxic agents to tumor cells. Enfortumab vedotin, sacituzumab govitecan, and HER2-directed ADCs have demonstrated meaningful clinical activity across metastatic and earlier disease settings, with enfortumab vedotin plus pembrolizumab now established as a first-line standard of care. Despite these advances, therapeutic responses remain heterogeneous, and resistance frequently limits durability. This review summarizes current knowledge on predictors of response and mechanisms of resistance to ADCs in UC, highlighting the roles of target antigen expression and heterogeneity, genomic alterations, payload sensitivity, drug efflux transporters, and tumor microenvironmental factors. We discuss emerging biomarkers beyond antigen abundance, patterns of cross-resistance and treatment sequencing, and evolving strategies to overcome resistance, including next-generation ADC design and rational combination therapies. Advancing biomarker-driven patient selection and addressing mechanisms of resistance will be critical to maximizing the durability and clinical impact of ADCs in urothelial carcinoma.
Full article
(This article belongs to the Special Issue Recent Advances in Immune Checkpoint Inhibition and Antibody Drug Conjugates in Urothelial Carcinoma)
►▼
Show Figures

Graphical abstract
Journal Menu
► ▼ Journal Menu-
- Current Oncology Home
- Aims & Scope
- Editorial Board
- Reviewer Board
- Topical Advisory Panel
- Instructions for Authors
- Special Issues
- Topics
- Sections & Collections
- Article Processing Charge
- Indexing & Archiving
- Editor’s Choice Articles
- Most Cited & Viewed
- Journal Statistics
- Journal History
- Journal Awards
- Society Collaborations
- Conferences
- Editorial Office
Journal Browser
► ▼ Journal Browser-
arrow_forward_ios
Forthcoming issue
arrow_forward_ios Current issue - Volumes not published by MDPI
Highly Accessed Articles
Latest Books
E-Mail Alert
News
Topics
Topic in
Cancers, IJMS, Pharmaceuticals, Pharmaceutics, Sci. Pharm., Current Oncology, Molecules
Recent Advances in Anticancer Strategies, 2nd Edition
Topic Editors: Hassan Bousbaa, Zhiwei HuDeadline: 31 March 2026
Topic in
Brain Sciences, Cancers, JCM, Neurology International, Diagnostics, Therapeutics, Current Oncology
Innovations in Brain Tumor Surgery: Techniques and Outcomes
Topic Editors: Maria Caffo, Teresa SommaDeadline: 30 June 2026
Topic in
Cancers, Current Oncology, JCM, Medicina, Onco
Cancer Biology and Radiation Therapy: 2nd Edition
Topic Editors: Chang Ming Charlie Ma, Ka Yu Tse, Ming-Yii Huang, Mukund SeshadriDeadline: 25 July 2026
Topic in
Cancers, Diagnostics, Gastrointestinal Disorders, JCM, Current Oncology
Metastatic Colorectal Cancer: From Laboratory to Clinical Studies, 2nd Edition
Topic Editors: Ioannis Ntanasis-Stathopoulos, Diamantis I. TsilimigrasDeadline: 20 August 2026
Conferences
Special Issues
Special Issue in
Current Oncology
Bridging Borders: A Global Perspective on Colorectal Cancer Research and Prevention
Guest Editor: Laith AlrubaiyDeadline: 28 February 2026
Special Issue in
Current Oncology
Clinical Outcomes and New Treatments in Pediatric Brain Tumors
Guest Editors: Sébastien Perreault, Craig ErkerDeadline: 28 February 2026
Special Issue in
Current Oncology
Immunotherapy for Head and Neck Cancer: Biomarkers, Trials, and Transformative Outcomes
Guest Editor: Jong Chul ParkDeadline: 28 February 2026
Special Issue in
Current Oncology
Future Perspectives for Treatment and Diagnosis of Acute Myeloid Leukemia (AML)
Guest Editors: Mitchell Sabloff, Brian LeberDeadline: 1 March 2026
Topical Collections
Topical Collection in
Current Oncology
New Insights into Prostate Cancer Diagnosis and Treatment
Collection Editor: Sazan Rasul
Topical Collection in
Current Oncology
New Insights into Breast Cancer Diagnosis and Treatment
Collection Editors: Filippo Pesapane, Matteo Suter
Topical Collection in
Current Oncology
Editorial Board Members’ Collection Series in "Exercise and Cancer Management"
Collection Editors: Linda Denehy, Ravi Mehrotra, Nicole Culos-Reed
Topical Collection in
Current Oncology
Editorial Board Members’ Collection Series: Contemporary Perioperative Concepts in Cancer Surgery
Collection Editors: Vijaya Gottumukkala, Jörg Kleeff


