Patients with a Short Distance Between the Prostate and the Rectum Are Appropriate Candidates for Hydrogel Spacer Placement to Prevent Short-Term Rectal Hemorrhage After External-Beam Radiotherapy for Prostate Cancer
Simple Summary
Abstract
1. Introduction
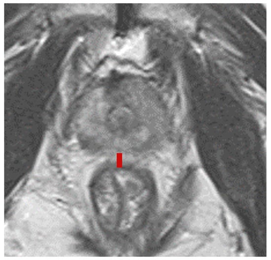
2. Patients and Methods
3. Results
4. Discussion
5. Conclusions
Supplementary Materials
Author Contributions
Funding
Institutional Review Board Statement
Informed Consent Statement
Data Availability Statement
Acknowledgments
Conflicts of Interest
Abbreviations
| HS | hydrogel spacer |
| EBRT | external-beam radiation therapy |
| DPR | distance between prostate and rectum |
| mDPR | median distance at midpoint between the prostate and rectum |
| IMRT | intensity-modulated radiation therapy |
| RV100 | rectal volume receiving 100% of prescribed dose |
| V60 Gy/V70 Gy | rectal volume receiving ≥60 or ≥70 Gy |
| D90 | dose received by 90% of the target volume |
| HT | hormonal therapy |
References
- Sasaki, T.; Higashi, T.; Inoue, T. Urological cancer statistics on incidence from 1975 to 2019 and mortality from 1958 to 2022 in Japan. Int. J. Clin. Oncol. 2024, 29, 1088–1095. [Google Scholar] [CrossRef] [PubMed]
- Ito, K.; Saito, S.; Yorozu, A.; Kojima, S.; Kikuchi, T.; Higashide, S.; Aoki, M.; Koga, H.; Satoh, T.; Ohashi, T.; et al. Nationwide Japanese Prostate Cancer Outcome Study of Permanent Iodine-125 Seed Implantation (J-POPS): First analysis on survival. Int. J. Clin. Oncol. 2018, 23, 1148–1159. [Google Scholar] [CrossRef] [PubMed]
- Nakamura, K.; Nihei, K.; Saito, Y.; Shikama, N.; Noda, S.-E.; Hara, R.; Imagumbai, T.; Mizowaki, T.; Akiba, T.; Kunieda, E.; et al. A Japanese multi-institutional phase II study of moderate hypofractionated intensity-modulated radiotherapy with image-guided technique for prostate cancer. Int. J. Clin. Oncol. 2024, 29, 847–852. [Google Scholar] [CrossRef]
- Aizawa, R.; Nakamura, K.; Norihisa, Y.; Ogata, T.; Inoue, T.; Yamasaki, T.; Kobayashi, T.; Akamatsu, S.; Ogawa, O.; Mizowaki, T. Long-term safety of high-dose whole pelvic IMRT for high-risk localized prostate cancer through 10-year follow-up. Int. J. Clin. Oncol. 2021, 26, 2113–2122. [Google Scholar] [CrossRef]
- Karsh, L.I.; Gross, E.T.; Pieczonka, C.M.; Aliotta, P.J.; Skomra, C.J.; Ponsky, L.E.; Nieh, P.T.; Han, M.; Hamstra, D.A.; Shore, N.D. Absorbable hydrogel spacer use in prostate radiotherapy: A comprehensive review of phase 3 clinical trial published data. Urology 2018, 115, 39–44. [Google Scholar] [CrossRef] [PubMed]
- Imai, K.; Sakamoto, H.; Akahane, M.; Nakashima, M.; Fujimoto, T.; Aoyama, T. Spontaneous remission of rectal ulcer associated with SpaceOAR® hydrogel insertion in radiotherapy for prostate cancer. IJU Case Rep. 2020, 3, 257–260. [Google Scholar] [CrossRef]
- Azhar, U.; Lin, J.; Sayed, R.; Masoud, Z.; Zamarud, A.; Kaler, R. Perineal abscess following SpaceOAR insertion. Cureus 2023, 15, e51050. [Google Scholar] [CrossRef]
- Freites-Martinez, A.; Santana, N.; Arias-Santiago, S.; Viera, A. CTCAE versión 5.0. Evaluación de la gravedad de los eventos adversos dermatológicos de las terapias antineoplásicas. Actas Dermo-Sifiliográficas 2021, 112, 90–92. [Google Scholar] [CrossRef]
- Kanda, Y. Investigation of the freely available easy-to-use software ‘EZR’ for medical statistics. Bone Marrow Transpl. 2013, 48, 452–458. [Google Scholar] [CrossRef]
- Serrano, N.A.; Kalman, N.S.; Anscher, M.S. Reducing rectal injury in men receiving prostate cancer radiation therapy: Current perspectives. Cancer Manag. Res. 2017, 28, 339–350. [Google Scholar] [CrossRef]
- Ferini, G.; Pergolizzi, S. A ten-year-long update on radiation proctitis among prostate cancer patients treated with curative external beam radiotherapy. In Vivo 2021, 35, 1379–1391. [Google Scholar] [CrossRef] [PubMed]
- Ishizawa, M.; Miyasaka, Y.; Souda, H.; Ono, T.; Chai, H.; Sato, H.; Iwai, T. Rectal Gas-Induced Dose Changes in Carbon Ion Radiation Therapy for Prostate Cancer: An In Silico Study. Int. J. Part. Ther. 2024, 15, 100637. [Google Scholar] [CrossRef]
- Wachter, S.; Gerstner, N.; Dorner, D.; Goldner, G.; Colotto, A.; Wambersie, A.; Pötter, R. The influence of a rectal balloon tube as internal immobilization device on variations of volumes and dose-volume histograms during treatment course of conformal radiotherapy for prostate cancer. Int. J. Radiat. Oncol. Biol. Phys. 2002, 52, 91–100. [Google Scholar] [CrossRef]
- McNair, H.A.; Wedlake, L.; McVey, G.P.; Thomas, K.; Andreyev, J.; Dearnaley, D.P. Can diet combined with treatment scheduling achieve consistency of rectal filling in patients receiving radiotherapy to the prostate? Radiother. Oncol. 2011, 101, 471–478. [Google Scholar] [CrossRef]
- Fuchs, F.; Habl, G.; Devečka, M.; Kampfer, S.; Combs, S.E.; Kessel, K.A. Interfraction variation and dosimetric changes during image-guided radiation therapy in prostate cancer patients. Radiat. Oncol. J. 2019, 37, 127–133. [Google Scholar] [CrossRef] [PubMed]
- Ferini, G.; Tripoli, A.; Molino, L.; Cacciola, A.; Lillo, S.; Parisi, S.; Umina, V.; Illari, S.I.; Marchese, V.A.; Cravagno, I.R.; et al. How much daily image-guided volumetric modulated arc therapy is useful for proctitis prevention with respect to static intensity modulated radiotherapy supported by topical medications among localized prostate cancer patients? Anticancer Res. 2021, 41, 2101–2110. [Google Scholar] [CrossRef] [PubMed]
- Mariados, N.; Sylvester, J.; Shah, D.; Karsh, L.; Hudes, R.; Beyer, D.; Kurtzman, S.; Bogart, J.; Hsi, R.A.; Kos, M.; et al. Hydrogel Spacer Prospective Multicenter Randomized Controlled Pivotal Trial: Dosimetric and Clinical Effects of Perirectal Spacer Application in Men Undergoing Prostate Image Guided Intensity Modulated Radiation Therapy. Int. J. Radiat. Oncol. Biol. Phys. 2015, 92, 971–977. [Google Scholar] [CrossRef]
- Abdelhakiem, M.K.; Keller, A.; Bajpai, R.R.; Smith, R.P.; Beriwal, S.; Benoit, R. Cs-131 prostate brachytherapy boost and effect of hydrogel rectal spacer on long-term patient-reported rectal bleeding and bowel quality of life. Brachytherapy 2023, 22, 808–821. [Google Scholar] [CrossRef]
- Nehlsen, A.D.; Sindhu, K.K.; Moshier, E.; Sfakianos, J.P.; Stock, R.G. The impact of a rectal hydrogel spacer on dosimetric and toxicity outcomes among patients undergoing combination therapy with external beam radiotherapy and low-dose-rate brachytherapy. Brachytherapy 2021, 20, 296–301. [Google Scholar] [CrossRef]
- Zelefsky, M.J.; Yamada, Y.; Cohen, G.A.N.; Sharma, N.; Shippy, A.M.; Fridman, D.; Zaider, M. Intraoperative real-time planned conformal prostate brachytherapy: Post-implantation dosimetric outcome and clinical implications. Radiother. Oncol. 2007, 84, 185–189. [Google Scholar] [CrossRef]
- Kang, M.H.; Yu, Y.D.; Shin, H.S.; Oh, J.J.; Park, D.S. Difference in the rate of rectal complications following prostate brachytherapy based on the prostate-rectum distance and the prostate longitudinal length among early prostate cancer patients. Korean J. Urol. 2015, 56, 637–643. [Google Scholar] [CrossRef]
- Shiraishi, Y.; Yorozu, A.; Ohashi, T.; Toya, K.; Seki, S.; Yoshida, K.; Kaneda, T.; Saito, S.; Nishiyama, T.; Hanada, T.; et al. Dose constraint for minimizing grade 2 rectal bleeding following brachytherapy combined with external beam radiotherapy for localized prostate cancer: Rectal dose-volume histogram analysis of 457 patients. Int. J. Radiat. Oncol. Biol. Phys. 2011, 81, e127–e133. [Google Scholar] [CrossRef] [PubMed]
- Song, D.Y.; Herfarth, K.K.; Uhl, M.; Eble, M.J.; Pinkawa, M.; Van Triest, B.; Kalisvaart, R.; Weber, D.C.; Miralbell, R.; Deweese, T.L.; et al. A multi-institutional clinical trial of rectal dose reduction via injected polyethylene-glycol hydrogel during intensity modulated radiation therapy for prostate cancer: Analysis of dosimetric outcomes. Int. J. Radiat. Oncol. Biol. Phys. 2013, 87, 81–87. [Google Scholar] [CrossRef] [PubMed]
- Poli, A.P.D.F.; Dias, R.S.; Giordani, A.J.; Segreto, H.R.C.; Segreto, R.A. Strategies to evaluate the impact of rectal volume on prostate motion during three-dimensional conformal radiotherapy for prostate cancer. Radiol. Bras. 2016, 49, 17–20. [Google Scholar] [CrossRef]
- Ten Haken, R.K.; Forman, J.D.; Heimburger, D.K.; Gerhardsson, A.; McShan, D.L.; Perez-Tamayo, C.; Schoeppel, S.L.; Lichter, A.S. Treatment planning issues related to prostate movement in response to differential filling of the rectum and bladder. Int. J. Radiat. Oncol. Biol. Phys. 1991, 20, 1317–1324. [Google Scholar] [CrossRef]
- Wahl, M.; Descovich, M.; Shugard, E.; Pinnaduwage, D.; Sudhyadhom, A.; Chang, A.; Roach, M.; Gottschalk, A.; Chen, J. Interfraction anatomical variability can lead to significantly increased rectal dose for patients undergoing stereotactic body radiotherapy for prostate cancer. Technol. Cancer Res. Treat. 2017, 16, 178–187. [Google Scholar] [CrossRef]
- Devlin, L.; Dodds, D.; Sadozye, A.; McLoone, P.; MacLeod, N.; Lamb, C.; Currie, S.; Thomson, S.; Duffton, A. Dosimetric impact of organ at risk daily variation during prostate stereotactic ablative radiotherapy. Br. J. Radiol. 2020, 93, 20190789. [Google Scholar] [CrossRef]
- Heemsbergen, W.D.; Hoogeman, M.S.; Hart, G.A.M.; Lebesque, J.V.; Koper, P.C.M. Gastrointestinal toxicity and its relation to dose distributions in the anorectal region of prostate cancer patients treated with radiotherapy. Int. J. Radiat. Oncol. Biol. Phys. 2005, 61, 1011–1018. [Google Scholar] [CrossRef] [PubMed]
- Nakai, Y.; Tanaka, N.; Asakawa, I.; Ohnishi, K.; Miyake, M.; Yamaki, K.; Torimoto, K.; Fujimoto, K. Efficacy of a hydrogel spacer for improving quality of life in patients with prostate cancer undergoing low-dose-rate brachytherapy alone or in combination with intensity-modulated radiotherapy: An observational study using propensity score matching. Prostate 2024, 84, 1104–1111. [Google Scholar] [CrossRef]
- Zelefsky, M.J.; Levin, E.J.; Hunt, M.; Yamada, Y.; Shippy, A.M.; Jackson, A.; Amols, H.I. Incidence of late rectal and urinary toxicities after three-dimensional conformal radiotherapy and intensity-modulated radiotherapy for localized prostate cancer. Int. J. Radiat. Oncol. Biol. Phys. 2008, 70, 1124–1129. [Google Scholar] [CrossRef]
- Kucway, R.; Vicini, F.; Huang, R.; Stromberg, J.; Gonzalez, J.; Martinez, A. Prostate volume reduction with androgen deprivation therapy before interstitial brachytherapy. J. Urol. 2002, 167, 2443–2447. [Google Scholar] [CrossRef] [PubMed]
- Samper, P.M.; López Carrizosa, M.C.; Pérez Casas, A.; Vallejo, C.; Rubio Rodríguez, M.C.; Pérez Vara, C.; Melchor Iñiguez, M. Impact of neoadjuvant hormonal therapy on dose-volume histograms in patients with localized prostate cancer under radical radiation therapy. Clin. Transl. Oncol. 2006, 8, 599–605. [Google Scholar] [CrossRef] [PubMed]
- Wong, C.H.-M.; Ko, I.C.-H.; Leung, D.K.-W.; Yuen, S.K.-K.; Siu, B.; Yuan, C.; Teoh, J.Y.-C. Does biodegradable peri-rectal spacer mitigate treatment toxicities in radiation therapy for localised prostate cancer—A systematic review and meta-analysis. Prostate Cancer Prostatic Dis. 2025. [Google Scholar] [CrossRef] [PubMed]
- Ferini, G.; Zagardo, V.; Valenti, V.; Aiello, D.; Federico, M.; Fazio, I.; Harikar, M.M.; Marchese, V.A.; Illari, S.I.; Viola, A.; et al. Towards Personalization of Planning Target Volume Margins Fitted to the Abdominal Adiposity in Localized Prostate Cancer Patients Receiving Definitive or Adjuvant/Salvage Radiotherapy: Suggestive Data from an ExacTrac vs. CBCT Comparison. Anticancer Res. 2023, 43, 4077–4088. [Google Scholar] [CrossRef] [PubMed]
- Ndjembidouma, B.C.M.; James, L.G.; Meye, P.O.; Loembamouandza, S.Y.; Belembaogo, E.; Ben-Bolie, G.H. Assessment of rectal toxicities after radiation therapy for localized prostate cancer: Experience of the Akanda Cancer Institute in Gabon. Rep. Pract. Oncol. Radiother. 2023, 28, 636–645. [Google Scholar] [CrossRef]
- Hamstra, D.A.; Stenmark, M.H.; Ritter, T.; Litzenberg, D.; Jackson, W.; Johnson, S.; Albrecht-Unger, L.; Donaghy, A.; Phelps, L.; Blas, K.; et al. Age and comorbid illness are associated with late rectal toxicity following dose-escalated radiation therapy for prostate cancer. Int. J. Radiat. Oncol. Biol. Phys. 2013, 85, 1246–1253. [Google Scholar] [CrossRef]
- Kitamura, K.; Shirato, H.; Suzuki, K.; Shinohara, N.; Demura, T.; Harabayashi, T.; Nishioka, T.; Kagei, K.; Takayama, N.; Shinno, Y.; et al. The relationship between technical parameters of external beam radiation therapy and complications for localized prostate cancer. Jpn. J. Clin. Oncol. 2000, 30, 225–229. [Google Scholar] [CrossRef]
- Lasorsa, F.; Biasatti, A.; Orsini, A.; Bignante, G.; Farah, G.M.; Pandolfo, S.D.; Lambertini, L.; Reddy, D.; Damiano, R.; Ditonno, P.; et al. Focal Therapy for Prostate Cancer: Recent Advances and Insights. Curr. Oncol. 2024, 32, 15. [Google Scholar] [CrossRef]




| HS | Non HS | |
|---|---|---|
| Number of patients | 204 | 226 |
| Median (IQR) age, years | 72 (68–76) | 71.5 (67–75) |
| Prostate volume, cc, (IQR) | 24.0 (18.2–31.5) | 26.9 (19.1–37.0) |
| Clinical T stage at diagnosis, n (%) | ||
| T1/T2/T3a/T3b/T4 | 37/132/22/11/2 (18.1/64.7/10.8/5.4/1.0) | 82/105/22/9/8 (36.3/46.5/9.7/4.0/3.5) |
| Biopsy grade group, n (%) | ||
| 1/2/3/4/5 | 68/50/38/24/24 (33.3/24.5/18.6/11.8/11.8) | 100/49/33/25/19 (44.2/21.7/14.6/11.1/8.4) |
| NCCN risk group, n (%) | ||
| Very low | 4 (2.0) | 9 (4.0) |
| Low | 41 (20.1) | 74 (32.7) |
| Favorable intermediate | 41 (20.1) | 50 (22.1) |
| Unfavorable intermediate | 54 (26.5) | 33 (14.6) |
| High | 47 (23.0) | 39 (17.3) |
| Very high | 17 (8.3) | 21 (9.3) |
| Radiation therapy type, n (%) | ||
| EBRT (IMRT) | 110 (53.9) | 96 (42.5) |
| Brachytherapy alone | 58 (28.4) | 104 (46.0) |
| Brachytherapy + EBRT | 29 (14.2) | 22 (9.7) |
| Brachytherapy + EBRT + hormonal therapy | 7 (3.4) | 4 (1.8) |
| Dose evaluation, median | ||
| EBRT (IMRT), % (IQR) | ||
| EBRT rectum V70 Gy | 0.00 (0.00–0.00) | 0.69 (0.13–2.15) |
| EBRT bladder V70 Gy | 8.43 (4.66–11.59) | 15.25 (8.42–19.74) |
| Brachytherapy alone | ||
| RV100, mL (IQR) | 0.230 (0.103–0.425) | 0.120 (0.038–0.263) |
| D90, % (IQR) | 110.1 (107.0–112.8) | 113.9 (109.4–117.6) |
| Brachytherapy + EBRT | ||
| RV100, mL (IQR) | 0.310 (0.170–0.560) | 0.160 (0.025–0.338) |
| D90, % (IQR) | 113.6 (109.1–117.1) | 113.4 (110.2–116.9) |
| EBRT rectum V40 Gy, % (IQR) | 0.01 (0.0–6.72) | 19.64 (14.03–24.41) |
| EBRT bladder V40 Gy, % (IQR) | 13.08 (8.19–16.99) | 19.38 (13.22–26.41) |
| Brachytherapy + EBRT + hormonal therapy | ||
| RV100, mL (IQR) | 0.110 (0.060–0.160) | 0.295 (0.198–0.405) |
| D90, % (IQR) | 111.0 (108.9–112.4) | 108.0 (107.5–110.7) |
| EBRT rectum V40 Gy, % (IQR) | 0.00 (0.00–0.07) | 49.86 (39.23–58.00) |
| EBRT bladder V40 Gy, % (IQR) | 10.96 (7.40–12.27) | 36.01 (29.99–44.26) |
| EBRT (IMRT; 74 Gy/34 fr) | |
| Very low/low Favorable intermediate | EBRT only |
| Unfavorable intermediate | 6 months to 1 year HT + EBRT |
| High/very high | 6 months to 1 year HT + EBRT + 2-year HT |
| Brachytherapy | |
| Very low/low Favorable intermediate | Brachytherapy only |
| Unfavorable intermediate | Brachytherapy + EBRT (45 Gy/20 fr) |
| High/very high | 6 months HT + brachytherapy + EBRT (45 Gy/20 fr) + 2 years HT |
| Factor | Univariate | Multivariate | ||||
|---|---|---|---|---|---|---|
| OR | 95% CI | p Value | OR | 95% CI | p Value | |
| cT (≥cT3 vs. ≤cT2) | 2.02 | 0.90–4.51 | 0.09 | - | - | - |
| mDPR ≥ 1.62 | 0.36 | 0.16–0.84 | 0.02 | 0.36 | 0.15–0.88 | 0.02 |
| HS vs. non-HS | 0.24 | 0.10–0.60 | <0.01 | 0.32 | 0.12–0.86 | 0.02 |
| Rectum V70 Gy (%) | 1.30 | 1.04–1.61 | 0.02 | 1.16 | 0.90–1.50 | 0.24 |
| Gleason Grade (≥4 vs. ≤3) | 1.70 | 0.76–3.78 | 0.20 | - | - | - |
| PSA | 1.01 | 1.00–1.01 | 0.09 | - | - | - |
| NCCN risk | 1.58 | 0.80–3.12 | 0.19 | - | - | - |
| Prostate volume | 1.01 | 0.98–1.03 | 0.53 | - | - | - |
| Age | 1.00 | 0.93–1.09 | 0.91 | - | - | - |
Disclaimer/Publisher’s Note: The statements, opinions and data contained in all publications are solely those of the individual author(s) and contributor(s) and not of MDPI and/or the editor(s). MDPI and/or the editor(s) disclaim responsibility for any injury to people or property resulting from any ideas, methods, instructions or products referred to in the content. |
© 2025 by the authors. Licensee MDPI, Basel, Switzerland. This article is an open access article distributed under the terms and conditions of the Creative Commons Attribution (CC BY) license (https://creativecommons.org/licenses/by/4.0/).
Share and Cite
Owa, S.; Sasaki, T.; Taniguchi, A.; Omori, K.; Nishikawa, T.; Kato, M.; Higashi, S.; Sugino, Y.; Toyomasu, Y.; Takada, A.; et al. Patients with a Short Distance Between the Prostate and the Rectum Are Appropriate Candidates for Hydrogel Spacer Placement to Prevent Short-Term Rectal Hemorrhage After External-Beam Radiotherapy for Prostate Cancer. Curr. Oncol. 2025, 32, 385. https://doi.org/10.3390/curroncol32070385
Owa S, Sasaki T, Taniguchi A, Omori K, Nishikawa T, Kato M, Higashi S, Sugino Y, Toyomasu Y, Takada A, et al. Patients with a Short Distance Between the Prostate and the Rectum Are Appropriate Candidates for Hydrogel Spacer Placement to Prevent Short-Term Rectal Hemorrhage After External-Beam Radiotherapy for Prostate Cancer. Current Oncology. 2025; 32(7):385. https://doi.org/10.3390/curroncol32070385
Chicago/Turabian StyleOwa, Shunsuke, Takeshi Sasaki, Akito Taniguchi, Kazuki Omori, Taketomo Nishikawa, Momoko Kato, Shinichiro Higashi, Yusuke Sugino, Yutaka Toyomasu, Akinori Takada, and et al. 2025. "Patients with a Short Distance Between the Prostate and the Rectum Are Appropriate Candidates for Hydrogel Spacer Placement to Prevent Short-Term Rectal Hemorrhage After External-Beam Radiotherapy for Prostate Cancer" Current Oncology 32, no. 7: 385. https://doi.org/10.3390/curroncol32070385
APA StyleOwa, S., Sasaki, T., Taniguchi, A., Omori, K., Nishikawa, T., Kato, M., Higashi, S., Sugino, Y., Toyomasu, Y., Takada, A., Nishikawa, K., Nomoto, Y., & Inoue, T. (2025). Patients with a Short Distance Between the Prostate and the Rectum Are Appropriate Candidates for Hydrogel Spacer Placement to Prevent Short-Term Rectal Hemorrhage After External-Beam Radiotherapy for Prostate Cancer. Current Oncology, 32(7), 385. https://doi.org/10.3390/curroncol32070385

