PDL1 Gene Gain Predicts an Unfavorable Prognosis in HIV-Positive Primary Central Nervous System Lymphoma
Simple Summary
Abstract
1. Introduction
2. Materials and Methods
2.1. Patients and Tumour Samples
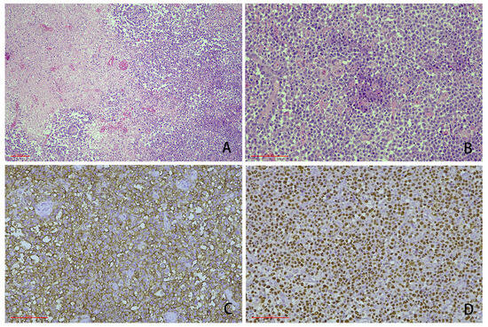
2.2. Immunohistochemistry (IHC) and In Situ Hybridization
2.3. Statistical Analysis
3. Results
3.1. PDL1 Protein Expression
3.2. PDL1 Copy Number Alteration
3.3. Survival Analysis
4. Discussion
Supplementary Materials
Author Contributions
Funding
Institutional Review Board Statement
Informed Consent Statement
Data Availability Statement
Conflicts of Interest
References
- Grommes, C.; DeAngelis, L.M. Primary CNS Lymphoma. J. Clin. Oncol. 2017, 35, 2410–2418. [Google Scholar] [CrossRef] [PubMed]
- Choi, Y.S. Recent advances in the management of primary central nervous system lymphoma. Blood Res. 2020, 55, S58–S62. [Google Scholar] [CrossRef] [PubMed]
- Xiao, Q.; Liu, Y.; Shu, X.; Li, Y.; Zhang, X.; Wang, C.; He, S.; Li, J.; Li, T.; Liu, T.; et al. Molecular mechanisms of viral oncogenesis in haematological malignancies: Perspectives from metabolic reprogramming, epigenetic regulation and immune microenvironment remodeling. Exp. Hematol. Oncol. 2025, 14, 69. [Google Scholar] [CrossRef] [PubMed]
- Xiao, Q.; Liu, Y.; Li, T.; Wang, C.; He, S.; Zhai, L.; Yang, Z.; Zhang, X.; Wu, Y.; Liu, Y. Viral oncogenesis in cancer: From mechanisms to therapeutics. Signal Transduct. Target. Ther. 2025, 10, 151. [Google Scholar] [CrossRef]
- Hai, L.; Friedel, D.; Hinz, F.; Hoffmann, D.C.; Doubrovinskaia, S.; Rohdjess, H.; Weidenauer, K.; Denisova, E.; Scheffler, G.T.; Kessler, T.; et al. Distinct epigenetic and transcriptional profiles of Epstein-Barr virus-positive and negative primary CNS lymphomas. Neuro-Oncology 2025, 27, 979–992. [Google Scholar] [CrossRef]
- Kaulen, L.D.; Denisova, E.; Hinz, F.; Hai, L.; Friedel, D.; Henegariu, O.; Hoffmann, D.C.; Ito, J.; Kourtesakis, A.; Lehnert, P.; et al. Integrated genetic analyses of immunodeficiency-associated Epstein-Barr virus- (EBV) positive primary CNS lymphomas. Acta Neuropathol. 2023, 146, 499–514. [Google Scholar] [CrossRef]
- Gandhi, M.K.; Hoang, T.; Law, S.C.; Brosda, S.; O’Rourke, K.; Tobin, J.W.D.; Vari, F.; Murigneux, V.; Fink, L.; Gunawardana, J.; et al. EBV-associated primary CNS lymphoma occurring after immunosuppression is a distinct immunobiological entity. Blood 2021, 137, 1468–1477. [Google Scholar] [CrossRef]
- Chen, J.; Sun, L.; Dai, Y.; Zhang, L.; Yang, K.; Han, X.; Ding, X.; Gao, H.; Zhou, X.; Wang, P. Clinical pathology of primary central nervous system lymphoma in HIV-positive patients-a 41 Chinese patients retrospective study. Ann. Diagn. Pathol. 2023, 63, 152108. [Google Scholar] [CrossRef]
- Greenwald, R.J.; Freeman, G.J.; Sharpe, A.H. The B7 family revisited. Annu. Rev. Immunol. 2005, 23, 515–548. [Google Scholar] [CrossRef]
- Chapuy, B.; Roemer, M.G.; Stewart, C.; Tan, Y.; Abo, R.P.; Zhang, L.; Dunford, A.J.; Meredith, D.M.; Thorner, A.R.; Jordanova, E.S.; et al. Targetable genetic features of primary testicular and primary central nervous system lymphomas. Blood 2016, 127, 869–881. [Google Scholar] [CrossRef]
- Wang, X.; Teng, F.; Kong, L.; Yu, J. PD-L1 expression in human cancers and its association with clinical outcomes. Onco Targets Ther. 2016, 9, 5023–5039. [Google Scholar] [CrossRef] [PubMed]
- Twa, D.D.; Mottok, A.; Chan, F.C.; Ben-Neriah, S.; Woolcock, B.W.; Tan, K.L.; Mungall, A.J.; McDonald, H.; Zhao, Y.; Lim, R.S.; et al. Recurrent genomic rearrangements in primary testicular lymphoma. J. Pathol. 2015, 236, 136–141. [Google Scholar] [CrossRef]
- Alaggio, R.; Amador, C.; Anagnostopoulos, I.; Attygalle, A.D.; Araujo, I.B.O.; Berti, E.; Bhagat, G.; Borges, A.M.; Boyer, D.; Calaminici, M.; et al. The 5th edition of the World Health Organization Classification of Haematolymphoid Tumours: Lymphoid Neoplasms. Leukemia 2022, 36, 1720–1748. [Google Scholar] [CrossRef] [PubMed]
- Pérottet, J.; Le Goff, E.; Legoupil, D.; Quéré, G.; Schick, U.; Marcorelles, P.; Uguen, A. PD-L1 Copy Number Variation Does Not Correlate With PD-L1 Expression or Response to Anti-PD-1 Immunotherapy In Patients With Advanced Melanomas. Appl. Immunohistochem. Mol. Morphol. 2020, 28, 161–165. [Google Scholar] [CrossRef]
- Moulignier, A.; Lamirel, C.; Picard, H.; Lebrette, M.G.; Amiel, C.; Hamidi, M.; Polivka, M.; Mikol, J.; Cochereau, I.; Pialoux, G. Long-term AIDS-related PCNSL outcomes with HD-MTX and combined antiretroviral therapy. Neurology 2017, 89, 796–804. [Google Scholar] [CrossRef]
- Alsaab, H.O.; Sau, S.; Alzhrani, R.; Tatiparti, K.; Bhise, K.; Kashaw, S.K.; Iyer, A.K. PD-1 and PD-L1 Checkpoint Signaling Inhibition for Cancer Immunotherapy: Mechanism, Combinations, and Clinical Outcome. Front. Pharmacol. 2017, 8, 561. [Google Scholar] [CrossRef]
- Koh, Y.W.; Lee, S.J.; Han, J.H.; Haam, S.; Jung, J.; Lee, H.W. PD-L1 protein expression in non-small-cell lung cancer and its relationship with the hypoxia-related signaling pathways: A study based on immunohistochemistry and RNA sequencing data. Lung Cancer 2019, 129, 41–47. [Google Scholar] [CrossRef]
- Saito, H.; Kono, Y.; Murakami, Y.; Shishido, Y.; Kuroda, H.; Matsunaga, T.; Fukumoto, Y.; Osaki, T.; Ashida, K.; Fujiwara, Y. Highly Activated PD-1/PD-L1 Pathway in Gastric Cancer with PD-L1 Expression. Anticancer Res. 2018, 38, 107–112. [Google Scholar] [CrossRef] [PubMed]
- Billon, E.; Finetti, P.; Bertucci, A.; Niccoli, P.; Birnbaum, D.; Mamessier, E.; Bertucci, F. PDL1 expression is associated with longer postoperative, survival in adrenocortical carcinoma. Oncoimmunology 2019, 8, e1655362. [Google Scholar] [CrossRef]
- Zhang, C.; Zhang, G.; Xue, L.; Zhang, Z.; Zeng, Q.; Wu, P.; Wang, L.; Yang, Z.; Zheng, B.; Tan, F.; et al. Patterns and prognostic values of programmed cell death-ligand 1 expression and CD8+ T-cell infiltration in small cell carcinoma of the esophagus: A retrospective analysis of 34 years of National Cancer Center data in China. Int. J. Surg. 2024, 110, 4297–4309. [Google Scholar] [CrossRef]
- Cottrell, T.R.; Duong, A.T.; Gocke, C.D.; Xu, H.; Ogurtsova, A.; Taube, J.M.; Belchis, D.A. PD-L1 expression in inflammatory myofibroblastic tumors. Mod. Pathol. 2018, 31, 1155–1163. [Google Scholar] [CrossRef] [PubMed]
- Berghoff, A.S.; Ricken, G.; Widhalm, G.; Rajky, O.; Hainfellner, J.A.; Birner, P.; Raderer, M.; Preusser, M. PD1 (CD279) and PD-L1 (CD274, B7H1) expression in primary central nervous system lymphomas (PCNSL). Clin. Neuropathol. 2014, 33, 42–49. [Google Scholar] [CrossRef] [PubMed]
- Georgiou, K.; Chen, L.; Berglund, M.; Ren, W.; de Miranda, N.F.; Lisboa, S.; Fangazio, M.; Zhu, S.; Hou, Y.; Wu, K.; et al. Genetic basis of PD-L1 overexpression in diffuse large B-cell lymphomas. Blood 2016, 127, 3026–3034. [Google Scholar] [CrossRef]
- Kiyasu, J.; Miyoshi, H.; Hirata, A.; Arakawa, F.; Ichikawa, A.; Niino, D.; Sugita, Y.; Yufu, Y.; Choi, I.; Abe, Y.; et al. Expression of programmed cell death ligand 1 is associated with poor overall survival in patients with diffuse large B-cell lymphoma. Blood 2015, 126, 2193–2201. [Google Scholar] [CrossRef] [PubMed]
- Menter, T.; Bodmer-Haecki, A.; Dirnhofer, S.; Tzankov, A. Evaluation of the diagnostic and prognostic value of PDL1 expression in Hodgkin and B-cell lymphomas. Hum. Pathol. 2016, 54, 17–24. [Google Scholar] [CrossRef]
- Xu-Monette, Z.Y.; Zhou, J.; Young, K.H. PD-1 expression and clinical PD-1 blockade in B-cell lymphomas. Blood 2018, 131, 68–83. [Google Scholar] [CrossRef]
- Manso, R.; Rodríguez-Perales, S.; Torres-Ruiz, R.; Santonja, C.; Rodríguez-Pinilla, S.M. PD-L1 expression in peripheral T-cell lymphomas is not related to either PD-L1 gene amplification or rearrangements. Leuk. Lymphoma 2021, 62, 1648–1656. [Google Scholar] [CrossRef]
- Gamaleldin, M.A.; Ghallab, O.M.; Nadwan, E.A.; Abo Elwafa, R.A. PD-1 and PD-L1 gene expressions and their association with Epstein-Barr virus infection in chronic lymphocytic leukemia. Clin. Transl. Oncol. 2021, 23, 2309–2322. [Google Scholar] [CrossRef]
- Rotman, J.; den Otter, L.A.S.; Bleeker, M.C.G.; Samuels, S.S.; Heeren, A.M.; Roemer, M.G.M.; Kenter, G.G.; Zijlmans, H.; van Trommel, N.E.; de Gruijl, T.D.; et al. PD-L1 and PD-L2 Expression in Cervical Cancer: Regulation and Biomarker Potential. Front. Immunol. 2020, 11, 596825. [Google Scholar] [CrossRef]
- Goldmann, T.; Marwitz, S.; Nitschkowski, D.; Krupar, R.; Backman, M.; Elfving, H.; Thurfjell, V.; Lindberg, A.; Brunnström, H.; La Fleur, L.; et al. PD-L1 amplification is associated with an immune cell rich phenotype in squamous cell cancer of the lung. Cancer Immunol. Immunother. 2021, 70, 2577–2587. [Google Scholar] [CrossRef]
- Inoue, Y.; Yoshimura, K.; Mori, K.; Kurabe, N.; Kahyo, T.; Mori, H.; Kawase, A.; Tanahashi, M.; Ogawa, H.; Inui, N.; et al. Clinical significance of PD-L1 and PD-L2 copy number gains in non-small-cell lung cancer. Oncotarget 2016, 7, 32113–32128. [Google Scholar] [CrossRef] [PubMed]
- Straub, M.; Drecoll, E.; Pfarr, N.; Weichert, W.; Langer, R.; Hapfelmeier, A.; Götz, C.; Wolff, K.D.; Kolk, A.; Specht, K. CD274/PD-L1 gene amplification and PD-L1 protein expression are common events in squamous cell carcinoma of the oral cavity. Oncotarget 2016, 7, 12024–12034. [Google Scholar] [CrossRef]
- Gerhard-Hartmann, E.; Goergen, H.; Bröckelmann, P.J.; Mottok, A.; Steinmüller, T.; Grund, J.; Zamò, A.; Ben-Neriah, S.; Sasse, S.; Borchmann, S.; et al. 9p24.1 alterations and programmed cell death 1 ligand 1 expression in early stage unfavourable classical Hodgkin lymphoma: An analysis from the German Hodgkin Study Group NIVAHL trial. Br. J. Haematol. 2022, 196, 116–126. [Google Scholar] [CrossRef]
- Twa, D.D.; Chan, F.C.; Ben-Neriah, S.; Woolcock, B.W.; Mottok, A.; Tan, K.L.; Slack, G.W.; Gunawardana, J.; Lim, R.S.; McPherson, A.W.; et al. Genomic rearrangements involving programmed death ligands are recurrent in primary mediastinal large B-cell lymphoma. Blood 2014, 123, 2062–2065. [Google Scholar] [CrossRef] [PubMed]
- Camus, V.; Viailly, P.J.; Drieux, F.; Veresezan, E.L.; Sesques, P.; Haioun, C.; Durot, E.; Patey, M.; Rossi, C.; Martin, L.; et al. High PDL1/PDL2 gene expression correlates with worse outcome in primary mediastinal large B-cell lymphoma. Blood Adv. 2023, 7, 7331–7345. [Google Scholar] [CrossRef]
- Gerbe, A.; Alame, M.; Dereure, O.; Gonzalez, S.; Durand, L.; Tempier, A.; De Oliveira, L.; Tourneret, A.; Costes-Martineau, V.; Cacheux, V.; et al. Systemic, primary cutaneous, and breast implant-associated ALK-negative anaplastic large-cell lymphomas present similar biologic features despite distinct clinical behavior. Virchows Arch. 2019, 475, 163–174. [Google Scholar] [CrossRef]
- Green, M.R.; Monti, S.; Rodig, S.J.; Juszczynski, P.; Currie, T.; O’Donnell, E.; Chapuy, B.; Takeyama, K.; Neuberg, D.; Golub, T.R.; et al. Integrative analysis reveals selective 9p24.1 amplification, increased PD-1 ligand expression, and further induction via JAK2 in nodular sclerosing Hodgkin lymphoma and primary mediastinal large B-cell lymphoma. Blood 2010, 116, 3268–3277. [Google Scholar] [CrossRef]
- Wang, L.A.; Wei, X.; Li, Q.; Chen, L. The prediction of survival of patients with gastric cancer with PD-L1 expression using contrast-enhanced ultrasonography. Tumour Biol. 2016, 37, 7327–7332. [Google Scholar] [CrossRef] [PubMed]
- Weissferdt, A.; Fujimoto, J.; Kalhor, N.; Rodriguez, J.; Bassett, R.; Wistuba, I.I.; Moran, C.A. Expression of PD-1 and PD-L1 in thymic epithelial neoplasms. Mod. Pathol. 2017, 30, 826–833. [Google Scholar] [CrossRef]
- Cheng, Z.; Dai, Y.; Wang, J.; Shi, J.; Ke, X.; Fu, L. High PD-L1 expression predicts poor prognosis in diffuse large B-cell lymphoma. Ann. Hematol. 2018, 97, 1085–1088. [Google Scholar] [CrossRef]
- Wang, Y.; Wenzl, K.; Manske, M.K.; Asmann, Y.W.; Sarangi, V.; Greipp, P.T.; Krull, J.E.; Hartert, K.; He, R.; Feldman, A.L.; et al. Amplification of 9p24.1 in diffuse large B-cell lymphoma identifies a unique subset of cases that resemble primary mediastinal large B-cell lymphoma. Blood Cancer J. 2019, 9, 73. [Google Scholar] [CrossRef] [PubMed]
- Zhang, W.; Bai, J.F.; Zuo, M.X.; Cao, X.X.; Chen, M.; Zhang, Y.; Han, X.; Zhong, D.R.; Zhou, D.B. PD-1 expression on the surface of peripheral blood CD4+ T cell and its association with the prognosis of patients with diffuse large B-cell lymphoma. Cancer Med. 2016, 5, 3077–3084. [Google Scholar] [CrossRef] [PubMed]
- Loharamtaweethong, K.; Vinyuvat, S.; Thammasiri, J.; Chitpakdee, S.; Supakatitham, C.; Puripat, N. Impact of antiretroviral drugs on PD-L1 expression and copy number gains with clinical outcomes in HIV-positive and -negative locally advanced cervical cancers. Oncol. Lett. 2019, 18, 5747–5758. [Google Scholar] [CrossRef] [PubMed]
- Bari, S.; Muzaffar, J.; Chan, A.; Jain, S.R.; Haider, A.M.; Adams Curry, M.; Hostler, C.J. Corrigendum to “Outcomes of Programmed Cell Death Protein 1 (PD-1) and Programmed Death-Ligand 1 (PD-L1) Inhibitor Therapy in HIV Patients with Advanced Cancer”. J. Oncol. 2019, 2019, 7921582. [Google Scholar] [CrossRef]




| PDL1 Protein Expression | |||||||||||
|---|---|---|---|---|---|---|---|---|---|---|---|
| TPS | CPS | ||||||||||
| 0 | 1–20% | 21–50% | >50% | p Value | 0–19 | 20–49 | 50–100 | >100 | p-Value | ||
| PDL1 gene | Gain | 0 | 2 | 2 | 18 | p = 0.004 * | 1 | 2 | 4 | 15 | p = 0.062 |
| Nogain | 1 | 7 | 5 | 4 | 5 | 3 | 4 | 5 | |||
| Characteristic | Univariate Analysis | Multivariate Analysis | |||
|---|---|---|---|---|---|
| HR (95% CI) | p Value | HR (95% CI) | p Value | ||
| PDL1 FISH | 3.942 (1.094–14.209) | 0.036 | 3.820 (1.043–13.983) | 0.043 | |
| CSF sugar | 0.301 (0.102–0.884) | 0.029 | — | — | |
Disclaimer/Publisher’s Note: The statements, opinions and data contained in all publications are solely those of the individual author(s) and contributor(s) and not of MDPI and/or the editor(s). MDPI and/or the editor(s) disclaim responsibility for any injury to people or property resulting from any ideas, methods, instructions or products referred to in the content. |
© 2025 by the authors. Licensee MDPI, Basel, Switzerland. This article is an open access article distributed under the terms and conditions of the Creative Commons Attribution (CC BY) license (https://creativecommons.org/licenses/by/4.0/).
Share and Cite
Chen, J.; Kang, X.; Ding, X.; Dai, Y.; Sun, L.; Li, M.; Liu, T.; Feng, E.; Zhou, X. PDL1 Gene Gain Predicts an Unfavorable Prognosis in HIV-Positive Primary Central Nervous System Lymphoma. Curr. Oncol. 2025, 32, 378. https://doi.org/10.3390/curroncol32070378
Chen J, Kang X, Ding X, Dai Y, Sun L, Li M, Liu T, Feng E, Zhou X. PDL1 Gene Gain Predicts an Unfavorable Prognosis in HIV-Positive Primary Central Nervous System Lymphoma. Current Oncology. 2025; 32(7):378. https://doi.org/10.3390/curroncol32070378
Chicago/Turabian StyleChen, Jiamin, Xiaoman Kang, Xinghuan Ding, Yuyang Dai, Lei Sun, Man Li, Ting Liu, Enshan Feng, and Xingang Zhou. 2025. "PDL1 Gene Gain Predicts an Unfavorable Prognosis in HIV-Positive Primary Central Nervous System Lymphoma" Current Oncology 32, no. 7: 378. https://doi.org/10.3390/curroncol32070378
APA StyleChen, J., Kang, X., Ding, X., Dai, Y., Sun, L., Li, M., Liu, T., Feng, E., & Zhou, X. (2025). PDL1 Gene Gain Predicts an Unfavorable Prognosis in HIV-Positive Primary Central Nervous System Lymphoma. Current Oncology, 32(7), 378. https://doi.org/10.3390/curroncol32070378

