- Review
Development of Functional Fruit, Vegetable, and Herbal Beverages Enriched with Gamma-Aminobutyric Acid and Polyphenols: Is It Feasible?
- Petko Denev,
- Daniela Pencheva,
- Desislava Teneva,
- Manol Ognyanov and
- Zornica Todorova
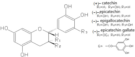
Polyphenols and gamma-aminobutyric acid (GABA) are diet-derived bioactive compounds with distinct yet complementary health benefits. Polyphenols exert strong antioxidant and anti-inflammatory effects, whereas GABA serves as an inhibitory neurotransmi...

