Next Issue
Volume 14, December-1
Previous Issue
Volume 14, November-1
 
 
jcm-logo

Journal Browser

Journal Browser

J. Clin. Med., Volume 14, Issue 22 (November-2 2025) – 369 articles

Cover Story (view full-size image): Topical tretinoin is a first-generation retinoid with well-established efficacy in acne and photoaging. Its pleiotropic actions on epidermal differentiation, inflammation, pigmentation and collagen remodeling support a broad range of dermatologic uses. This review summarizes evidence from clinical trials and prospective studies published between 2000 and 2025, including FDA-approved indications and expanding off-label applications. Beyond acne and photoaging, tretinoin shows potential benefits in melasma, post-inflammatory hyperpigmentation, acanthosis nigricans, striae distensae, scarring, flat warts, alopecia, actinic keratosis and field cancerization. Overall, tretinoin remains a versatile, well-tolerated therapy with growing relevance in modern dermatology. View this paper
  • Issues are regarded as officially published after their release is announced to the table of contents alert mailing list.
  • You may sign up for e-mail alerts to receive table of contents of newly released issues.
  • PDF is the official format for papers published in both, html and pdf forms. To view the papers in pdf format, click on the "PDF Full-text" link, and use the free Adobe Reader to open them.
Order results
Result details
Section
Select all
Export citation of selected articles as:
18 pages, 974 KB  
Review
Anemia and Iron Deficiency in Cardiac Surgery Patients: Prevalence, Implications, and Therapeutic Considerations
by Isabelle Frei, Annika Léonie Gogniat, Andreas Buser and Daniel Bolliger
J. Clin. Med. 2025, 14(22), 8261; https://doi.org/10.3390/jcm14228261 - 20 Nov 2025
Viewed by 652
Abstract
Preoperative anemia and non-anemic iron deficiency are common in cardiac surgery patients. Both are frequently caused by absolute iron deficiency or are associated with chronic diseases and inflammation. Multiple studies have shown an association between preoperative anemia and increased RBC transfusion, prolonged intensive [...] Read more.
Preoperative anemia and non-anemic iron deficiency are common in cardiac surgery patients. Both are frequently caused by absolute iron deficiency or are associated with chronic diseases and inflammation. Multiple studies have shown an association between preoperative anemia and increased RBC transfusion, prolonged intensive care unit and hospital length of stay, and higher postoperative morbidity and mortality. The impact of preoperative non-anemic iron deficiency on postoperative adverse outcome is less clear, but worsened postoperative outcomes have been suggested. Accordingly, treatment for anemia and iron deficiency is a primary goal in preoperative optimization in cardiac surgery patients. Several guidelines recommend timely supplementation with modern oral iron formulation as first-line intervention, followed by intravenous iron administration in case of patient intolerance or time restriction. In patients with non-pure iron deficiency or in ultra-short treatment strategies, the combined therapy of intravenous iron and erythropoiesis-stimulating agents seems safe and most efficacious to increase red blood mass before surgery. However, the positive effects of preoperative interventions in anemic or iron-deficient patients were mostly limited to reduced transfusion of red blood cells, whereas lower morbidity and mortality were shown in limited studies only. It is also important to note that allogeneic blood products are a limited resource, and preoperative oral iron supplementation showed the best cost-effectiveness. Full article
(This article belongs to the Special Issue Preoperative Optimization in Cardiac Surgery)
Show Figures

Figure 1

15 pages, 640 KB  
Perspective
Upper Gastrointestinal Crohn’s Disease: Shedding Light on the Obscure L4 Classification Meaning
by Francesca Lusetti, Cristina Bezzio, Alice De Bernardi, Michele Puricelli, Gianpiero Manes and Simone Saibeni
J. Clin. Med. 2025, 14(22), 8260; https://doi.org/10.3390/jcm14228260 - 20 Nov 2025
Viewed by 641
Abstract
Background/Objectives: Upper gastrointestinal Crohn’s disease (UGI-CD) is inconsistently defined and often underrecognized, obscuring epidemiology, complicating diagnosis, and delaying tailored care. The absence of a unified, operational definition with segment-specific criteria hinders reproducibility and comparability across studies. Methods: We performed a narrative [...] Read more.
Background/Objectives: Upper gastrointestinal Crohn’s disease (UGI-CD) is inconsistently defined and often underrecognized, obscuring epidemiology, complicating diagnosis, and delaying tailored care. The absence of a unified, operational definition with segment-specific criteria hinders reproducibility and comparability across studies. Methods: We performed a narrative synthesis of adult and pediatric studies and major guidelines, examining definitions, prevalence, diagnosis, and management. Where possible, findings were mapped to upper GI segments (esophagus, stomach, duodenum, proximal small bowel). Results: Definitions of UGI-CD are heterogeneous. Prevalence varies widely and rises with systematic foregut assessment; isolated upper GI disease without ileocolonic involvement is rare. Diagnosis relies on esophagogastroduodenoscopy with biopsies, complemented by cross-sectional imaging and enteroscopy. Management should extend beyond standard ileocolonoscopy, with segment-tailored monitoring. Anti-TNF agents show the most consistent efficacy in esophagogastroduodenal disease, whereas benefits are attenuated in proximal small bowel involvement. For stricturing disease, endoscopic balloon dilation is suitable for short, non-penetrating strictures but often requires repetition; surgery is preferred for complex anatomy or failed dilation. A short summary of the article’s main findings is provided. Conclusions: UGI-CD remains poorly standardized across definition, epidemiology, and management. We propose a pragmatic diagnostic and monitoring pathway and highlight priorities for research: segment-based reporting, inclusion of upper GI-only cohorts, and validation of treatment targets aligned with treat-to-target care—steps essential to improve early recognition and patient outcomes. Full article
(This article belongs to the Section Gastroenterology & Hepatopancreatobiliary Medicine)
Show Figures

Figure 1

12 pages, 535 KB  
Article
Real-World Visual and Refractive Results of Two Different Presbyopia Correcting Intraocular Lenses
by Sarah Hinterberger, Cornelia Artmayr, Karanpreet Multani, Kamran M. Riaz, Seth M. Pantanelli, Klemens P. Kaiser, Achim Langenbucher, Matthias Bolz and Jascha A. Wendelstein
J. Clin. Med. 2025, 14(22), 8259; https://doi.org/10.3390/jcm14228259 - 20 Nov 2025
Viewed by 382
Abstract
Background/Objectives: To investigate visual acuity, refractive outcomes and the predictive accuracy of modern intraocular lens (IOL) power calculation formulas in eyes implanted with two presbyopia-correcting IOLs: trifocal Zeiss AT LISA TRI and the nondiffractive EDOF Teleon Comfort. Methods: This retrospective consecutive [...] Read more.
Background/Objectives: To investigate visual acuity, refractive outcomes and the predictive accuracy of modern intraocular lens (IOL) power calculation formulas in eyes implanted with two presbyopia-correcting IOLs: trifocal Zeiss AT LISA TRI and the nondiffractive EDOF Teleon Comfort. Methods: This retrospective consecutive chart review included 115 patients who underwent uncomplicated bilateral cataract surgery and received either the LISA TRI (n = 56) or Comfort (n = 59). Biometric measurements were obtained preoperatively, and refractive outcomes were assessed 1, 3, and 6 months postoperatively. Postoperative spherical equivalent (SEQ) was compared to predicted SEQ using the ESCRS calculator and IOLCON platform. Outcome measures included mean prediction error and mean absolute error (MAE). Distance-corrected visual acuity (VA), uncorrected VA, defocus curves, preferred viewing distances, contrast sensitivity, and photopic reading speed were also analyzed. Results: All formulas performed better in the LISA TRI group, with significantly lower MAE and higher proportions of eyes within ±0.50 diopters (D). Systematic prediction error offsets were observed for three formulas (K6, Castrop, Hoffer QST) in the LISA TRI group and for all five formulas in the MF15 group. Refractive stability was achieved by 3 months for the LISA TRI, while 20% of Comfort eyes continued to show SEQ shifts > 0.50 D at 3 months. Defocus equivalent (DEQ) had lower proportions of eyes within ±0.50 D than SEQ. Conclusions: The LISA TRI demonstrated superior predictive accuracy, faster refractive stabilization, and stronger near performance than the Comfort. These findings support the importance of IOL-specific constant optimization and highlight the need for incorporating DEQ into routine refractive outcome evaluation. Full article
(This article belongs to the Special Issue Clinical Advancements in Intraocular Lens Power Calculation Methods)
Show Figures

Figure 1

19 pages, 1058 KB  
Article
Associations Between Health-Related Quality of Life and Clinical Factors in Lumbar Disc Herniation: Evidence from a Romanian Cohort Using the SF-36
by Mădălina Duceac (Covrig), Salim Camer, Irina Luciana Gurzu, Alina Pleșea-Condratovici, Liviu Stafie, Letiția Doina Duceac, Lucian Eva, Bogdan Gurzu, Mădălina Nicoleta Matei, Ciprian Adrian Dinu, Cristian Guțu and Doina Carina Voinescu
J. Clin. Med. 2025, 14(22), 8258; https://doi.org/10.3390/jcm14228258 - 20 Nov 2025
Viewed by 379
Abstract
Background: Lumbar disc herniation (LDH) has a substantial impact on health-related quality of life (HRQoL), mainly through pain, reduced mobility, and functional limitations. To better reflect these outcomes, we utilized the SF-36 survey, a well-established tool commonly used in both clinical and [...] Read more.
Background: Lumbar disc herniation (LDH) has a substantial impact on health-related quality of life (HRQoL), mainly through pain, reduced mobility, and functional limitations. To better reflect these outcomes, we utilized the SF-36 survey, a well-established tool commonly used in both clinical and population research. The purpose was twofold: to evaluate HRQoL and to explore the main factors linked with activity limitation in a community-based group of Romanian patients. Methods: This cross-sectional study included 120 participants with LDH who completed the SF-36 questionnaire. Internal consistency was high (Cronbach’s α = 0.922). Descriptive statistics, Chi-square tests, t-tests, and multivariate regressions were performed using SPSS 18.0. Results: Of the respondents, 53.3% were female and 58.4% were over 60 years old. While 55% reported good or very good health, 26.7% had severe Daily Activity Limitation (DAL) based on the SF-36 physical function score, and 62.5% scored in the poorer range (33–45) of the Physical and Emotional Status (PES) composite derived from the SF-36. Female sex and age over 60 were each associated with nearly a twofold-higher risk of moderate-to-severe DAL (OR = 2.20, 95% CI: 1.04–4.65), while reporting severe or very severe pain increased this risk more than fourfold (OR = 4.64, 95% CI: 1.89–24.21). Conclusions: In patients with LDH, poor self-rated health, older age, female sex, and high pain intensity were significantly associated with reduced functional capacity. The SF-36 proved to be a valuable tool for identifying vulnerable subgroups that require targeted rehabilitation and psychosocial support. From a public health perspective, these findings also support the use of SF-36 in community screening and in guiding resource allocation for multidisciplinary rehabilitation programs. Full article
(This article belongs to the Section Orthopedics)
Show Figures

Figure 1

8 pages, 2048 KB  
Case Report
Anesthesia Management in Sternal Resection for Chondrosarcoma: A Multidisciplinary Successful Approach with Thoracic Epidural and Parasternal Block for Acute and Long-Term Pain Control
by Ouanes Amine Ben Saad, Benoit Rouiller, Corinne Grandjean, Sina Grogg, Jon Andri Lutz and Chloe Mimouni
J. Clin. Med. 2025, 14(22), 8257; https://doi.org/10.3390/jcm14228257 - 20 Nov 2025
Viewed by 330
Abstract
Background: Although rarely performed, sternal resection for chondrosarcoma presents considerable anesthetic challenges, particularly in both immediate and long-term pain management. Method: This case study details the anesthetic protocol adopted for a 61-year-old male who underwent a sternal resection, chest wall reconstruction and muscle [...] Read more.
Background: Although rarely performed, sternal resection for chondrosarcoma presents considerable anesthetic challenges, particularly in both immediate and long-term pain management. Method: This case study details the anesthetic protocol adopted for a 61-year-old male who underwent a sternal resection, chest wall reconstruction and muscle flap coverage due to chondrosarcoma. To optimize perioperative analgesia, a thoracic epidural catheter was placed preoperatively, combined intraoperatively with bilateral parasternal blocks targeting intercostal nerves at the resection margin. General anesthesia was tailored and paired with fluid restriction and minimal vasopressor doses to stabilize hemodynamics. Result: Postoperative recovery was marked by minimal discomfort, no need for systemic opioids, and early initiation of physiotherapy. At 12 months post-surgery, the absence of persistent pain or physical dysfunction suggested that the synergistic use of thoracic epidural and parasternal blocks offers effective control over both short-term and chronic pain following major chest wall surgery. The holistic integration of psychological support and an active rehabilitation regimen exemplified a biopsychosocial strategy, instrumental to the patient’s positive trajectory. Conclusions: This experience underscores the advantage of supplementing epidural anesthesia with parasternal nerve blocks in sternal resections, facilitating better outcomes and reducing systemic opioid use. Further studies involving broader patient populations are necessary to validate and refine this promising approach in preventing chronic pain in complex thoracic surgeries. Full article
(This article belongs to the Section Anesthesiology)
Show Figures

Figure 1

14 pages, 1338 KB  
Review
Mechanisms of Intracranial Aneurysm Rupture: An Integrative Review of Experimental and Clinical Evidence
by Masahiko Itani and Tomohiro Aoki
J. Clin. Med. 2025, 14(22), 8256; https://doi.org/10.3390/jcm14228256 - 20 Nov 2025
Viewed by 814
Abstract
Background: Intracranial aneurysm (IA) rupture is a devastating event in neurosurgery and a leading cause of subarachnoid hemorrhage. Although aneurysm size has been traditionally emphasized, recent research has highlighted multifactorial mechanisms involving hemodynamic stress, wall degeneration, inflammation, and genetic predisposition. Methods: [...] Read more.
Background: Intracranial aneurysm (IA) rupture is a devastating event in neurosurgery and a leading cause of subarachnoid hemorrhage. Although aneurysm size has been traditionally emphasized, recent research has highlighted multifactorial mechanisms involving hemodynamic stress, wall degeneration, inflammation, and genetic predisposition. Methods: Evidence from animal models, human pathological studies, computational fluid dynamics analyses, genetic association studies, and advanced imaging research was reviewed to provide an integrated view of rupture mechanisms. Results: Morphological and hemodynamic studies have shown that high aspect and size ratios, coupled with low wall shear stress and an elevated oscillatory shear index, contribute to focal wall weakening. Histopathological analyses of ruptured aneurysms consistently reveal endothelial loss, smooth-muscle-cell depletion, extracellular matrix degradation, and intense inflammatory cell infiltration, with patterns such as extremely thin, hypocellular, thrombosis-lined walls. Experimental studies have identified active inflammatory pathways, including neutrophil-driven cascades via CXCL1 signaling and complement C5a–C5aR1 activation, as direct triggers of wall failure. High-resolution vessel-wall magnetic resonance imaging correlates contrast enhancement with histological evidence of inflammation and neovascularization, suggesting its utility as a biomarker of instability. Conclusions: IA rupture is driven by a dynamic interplay between adverse hemodynamic environments, inflammatory degeneration, genetic susceptibility, and pathological vascular remodeling. Integrating these mechanistic insights may improve risk stratification and guide the development of targeted preventive strategies. Full article
(This article belongs to the Special Issue Intracranial Aneurysms: Diagnostics and Current Treatment)
Show Figures

Figure 1

31 pages, 4467 KB  
Review
Are Image-Based Deep Learning Algorithms of Kidney Volume in Polycystic Kidney Disease Ready for Clinical Deployment? A Systematic Review and Meta-Analysis
by Emil Colliander, Sebastian Tupper, Mira Lansner Kielberg, Marie Louise Liu, Enrique Almar-Munoz, Agnes Mayr and Rebeca Mirón Mombiela
J. Clin. Med. 2025, 14(22), 8255; https://doi.org/10.3390/jcm14228255 - 20 Nov 2025
Viewed by 381
Abstract
Objectives: In patients with autosomal dominant polycystic kidney disease (ADPKD), total kidney volume (TKV) is the gold standard biomarker for assessing the risk of progression and the need for drug therapy. However, it is a time-consuming process. In this systematic review and meta-analysis, [...] Read more.
Objectives: In patients with autosomal dominant polycystic kidney disease (ADPKD), total kidney volume (TKV) is the gold standard biomarker for assessing the risk of progression and the need for drug therapy. However, it is a time-consuming process. In this systematic review and meta-analysis, we evaluate the current state of deep learning (DL) algorithms for automatic kidney volume segmentation. Methods: All original research, including the search terms ADPKD, diagnostic imaging, DL, and TKV, was identified in PubMed, Embase, and Ovid MEDLINE databases from January 2000 to 13 October 2024. Articles with insufficient information to assess methodological quality were excluded. Quality was assessed using the “Quality Assessment of Diagnostic Accuracy Studies, Version 2” (QUADAS-2) and Checklist for Artificial Intelligence in Medical Imaging (CLAIM) tools. We focused on the Dice Similarity Coefficient (DSC), bias differences, and time efficiency as outcomes. Results: Nineteen studies were included, with an overall low risk of bias; however, the mean adherence to the CLAIM checklist was 64%. The pooled DSC under the random-effects model was 0.953 (95% CI: 0.9380.969) with relatively low bias for TKV in 5622 ADPKD patients (mean age, 46.1 years; 45% male) and 9180 scans (79% MRI). The average segmentation time was decreased by 75% compared to the ground truth. Performance differences were evident among imaging modalities, MRI sequences, and 3D vs. 2D models, but not among imaging planes. The between-study heterogeneity was low (I2=0%), and no statistically significant evidence of small-study effects or publication bias was detected. Conclusions: DL models for TKV in ADPKD patients demonstrated high precision compared to manual segmentation in a large, pooled sample with heterogeneous study designs and methods. While clinical implementation is not yet feasible, the current work demonstrates the technical and diagnostic efficacy of image-based DL segmentation models. Full article
(This article belongs to the Section Nephrology & Urology)
Show Figures

Figure 1

20 pages, 940 KB  
Review
From Mesh to Modern Therapies: An Updated Narrative Review on Urogenital Prolapse
by Diana Pop-Lodromanean, Radu Chicea, Dan-Georgian Bratu, Livia-Mirela Popa, Paula Anderco, Nicolae Grigore and Adrian Hașegan
J. Clin. Med. 2025, 14(22), 8254; https://doi.org/10.3390/jcm14228254 - 20 Nov 2025
Viewed by 816
Abstract
Urogenital prolapse (UP), a manifestation of pelvic organ prolapse (POP), is prevalent and burdensome, impairing urinary, bowel, sexual and psychosocial health. This review synthesizes evidence on epidemiology, mechanisms, clinical evaluation and treatment, with an emphasis on mesh use. POP results from failure of [...] Read more.
Urogenital prolapse (UP), a manifestation of pelvic organ prolapse (POP), is prevalent and burdensome, impairing urinary, bowel, sexual and psychosocial health. This review synthesizes evidence on epidemiology, mechanisms, clinical evaluation and treatment, with an emphasis on mesh use. POP results from failure of muscular and fascial support, most consistently associated with childbirth and aging; imaging links levator ani avulsion and hiatal overstretching to onset and recurrence. Diagnosis is chiefly clinical, using standardized pelvic examination, with selective adjuncts such as urodynamics, cystoscopy, pelvic floor ultrasound and defecography. Conservative care includes education, lifestyle measures, pelvic floor muscle training and pessaries. Surgery is considered for bothersome prolapse and individualized by compartment, symptoms, sexual goals, comorbidities and preference. Options span native-tissue vaginal repairs with apical suspension, obliterative procedures for non-sexually active patients and sacrocolpopexy. Sacrocolpopexy remains the durability benchmark for apical support but carries mesh-related risks that accumulate over time. Regulatory scrutiny followed rising complications, culminating in withdrawal of transvaginal mesh kits for anterior prolapse, while mesh for sacrocolpopexy persists. Quality-of-life outcomes are central to assessment. Pain after mesh may reflect placement or evolution (erosion, proximity) or persist despite normal findings, implicating neuroplastic mechanisms. Individualized, shared decision-making is essential to balance durability, safety and function. Full article
(This article belongs to the Section Nephrology & Urology)
Show Figures

Figure 1

21 pages, 2026 KB  
Article
Early Detection of Acute Kidney Injury After Congenital Heart Surgery—Using Urine Proteomics to Identify New Biomarker Candidates: A Prospective Clinical Study
by Raphael Seiler, Alexa Leona Herre, Marieluise Kirchner, Matthias Ziehm, Philipp Mertins, Felix Berger, Joachim Photiadis, Giang Tong, Liliya Brankova, Katharina R. L. Schmitt and Jana Lücht
J. Clin. Med. 2025, 14(22), 8253; https://doi.org/10.3390/jcm14228253 - 20 Nov 2025
Viewed by 390
Abstract
Background: Acute kidney injury (AKI) is a frequent complication following congenital heart surgery and is associated with increased morbidity and mortality. Early recognition is crucial, yet standard clinical biomarkers result in delayed detection. Urine, which can be collected non-invasively, offers unique insights into [...] Read more.
Background: Acute kidney injury (AKI) is a frequent complication following congenital heart surgery and is associated with increased morbidity and mortality. Early recognition is crucial, yet standard clinical biomarkers result in delayed detection. Urine, which can be collected non-invasively, offers unique insights into kidney function and systemic responses. Methods: This prospective clinical study aimed to identify novel urinary biomarkers for the early detection of AKI, using high-accuracy proteome profiling. Patients with congenital heart disease undergoing cardiac surgery at Deutsches Herzzentrum der Charité were included in the study. Urine samples were collected at four timepoints: preoperatively and immediately postoperatively, and then again at six and 24 h post-surgery. Samples were analyzed using high-accuracy mass spectrometry. Linear models were applied to identify proteins associated with AKI. Results: A total of 67 patients with a median age of two years were included, of whom thirteen (19%) developed an AKI. Fifteen potential urinary biomarkers were identified. The most promising early indicators of AKI directly after surgery across all age groups were Chitotriosidase-1 (AUC 0.79; 95% CI:0.64–0.94), Kallikrein-1 (AUC 0.76; 95% CI:0.76–0.89), and Carbonic anhydrase 3 (AUC 0.73; 95% CI:0.6–0.87). Conclusions: High-accuracy mass spectrometry urine proteome profiling enabled the identification of potential new AKI biomarkers directly after congenital heart surgery. Utilization of the urinary markers Chitotriosidase-1, Kallikrein-1 and Carbonic anhydrase 3 has the potential to enable earlier detection of patients at risk for AKI. Further validation in larger, age-stratified pediatric cohorts is required to confirm the diagnostic utility of the identified urinary biomarker candidates. Full article
(This article belongs to the Special Issue Management of Congenital Heart Disease (CHD))
Show Figures

Graphical abstract

20 pages, 630 KB  
Article
The Role of C-Reactive Protein as a Biomarker for Postoperative Delirium Following Cardiac and Neurosurgical Surgery: A Retrospective Analysis
by Mateusz Szczupak, Jacek Kobak, Anna Ingielewicz, Jakub Wiśniewski and Sabina Krupa-Nurcek
J. Clin. Med. 2025, 14(22), 8252; https://doi.org/10.3390/jcm14228252 - 20 Nov 2025
Viewed by 405
Abstract
Background/Objectives: The increasing number and complexity of cardiac and neurosurgical procedures underscore the importance of effective perioperative care. One of the most serious postoperative complications is delirium, which prolongs hospitalization, increases treatment costs, worsens rehabilitation outcomes, and increases mortality. Identifying biomarkers that [...] Read more.
Background/Objectives: The increasing number and complexity of cardiac and neurosurgical procedures underscore the importance of effective perioperative care. One of the most serious postoperative complications is delirium, which prolongs hospitalization, increases treatment costs, worsens rehabilitation outcomes, and increases mortality. Identifying biomarkers that predict delirium can improve patient outcomes. The aim of this study was to assess the relationship between C-reactive protein (CRP) levels and the incidence of postoperative delirium in patients after cardiac and neurosurgical procedures hospitalized in the intensive care unit. Methods: A retrospective study was conducted on 408 patients (202 undergoing cardiac surgery and 206 undergoing neurosurgery) who underwent surgery between April 2024 to the end of August 2024. Medical records were reviewed for the occurrence of delirium assessed using the Confusion Assessment Method-Intensive Care Unit scale (CAM-ICU), its severity assessed using the Confusion Assessment Method–Intensive Care Unit 7 (CAM-ICU-7), and laboratory test results, with particular emphasis on C-reactive protein levels. CRP levels were measured on postoperative days 1 and 2. Results: Postoperative delirium was noted in both groups, more frequently in patients with elevated CRP levels, indicating an active inflammatory process. In the neurosurgical group, episodes of severe delirium occurred primarily after laminectomy, whereas in the cardiac surgery group, they were most common after coronary artery bypass grafting (CABG). Conclusions: Elevated CRP levels are associated with a higher risk of postoperative delirium. Monitoring inflammatory parameters and implementing early preventive measures may improve treatment outcomes and shorten hospital stays. Further prospective studies using standardized diagnostic tools are necessary. Full article
(This article belongs to the Special Issue Clinical Management and Long-Term Prognosis in Intensive Care)
Show Figures

Figure 1

14 pages, 3177 KB  
Article
Effects of Subcutaneous Administration of Glucocorticoids by Pellets on a Mouse Model of Ligature-Induced Periodontal Disease
by Rintaro Kato, Takuma Sato, Shunsuke Kako, Masako Tabuchi, Yuki Aoki, Kai Kataoka, Sho Okuni, Yoshihiko Sugita, Hatsuhiko Maeda and Ken Miyazawa
J. Clin. Med. 2025, 14(22), 8251; https://doi.org/10.3390/jcm14228251 - 20 Nov 2025
Viewed by 270
Abstract
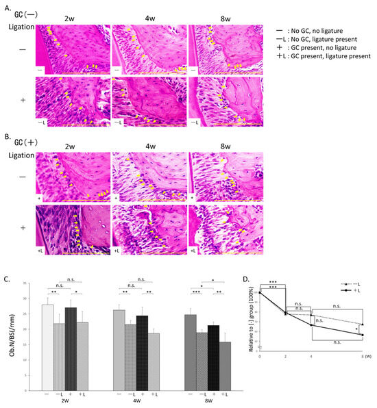
Background/Objective: Glucocorticoids (GC) have anti-inflammatory effects, but long-term use can suppress bone formation and cause osteoporosis. The impact of inflammatory environments, such as periodontitis, on alveolar bone metabolism remains insufficiently understood. Methods: We used wild-type (C57BL/6J, n = 47) mice to compare glucocorticoid [...] Read more.
Background/Objective: Glucocorticoids (GC) have anti-inflammatory effects, but long-term use can suppress bone formation and cause osteoporosis. The impact of inflammatory environments, such as periodontitis, on alveolar bone metabolism remains insufficiently understood. Methods: We used wild-type (C57BL/6J, n = 47) mice to compare glucocorticoid (GC) effects with and without sustained-release GC pellets. Mice were divided into GC-administered (2 weeks: n = 8; 4 weeks: n = 8; 8 weeks: n = 7) and non-GC-administered groups (2 weeks: n = 8; 4 weeks: n = 8; 8 weeks: n = 8). A ligature wire was placed around the left first molar of all mice to induce periodontal disease, while the right first molar served as a control. Femur and alveolar bone changes were assessed at 2, 4, and 8 weeks using μCT, HE staining, tartrate-resistant acid phosphatase (TRAP) staining, and immunohistochemistry (TNF-α). Anonymized evaluators performed histological analyses, and statistical analyses. One-way ANOVA with the Tukey post hoc test and t tests. Results: GC administration significantly reduced femoral bone mass at 2, 4, and 8 weeks. In mice without ligature, GC administration did not significantly affect alveolar bone mass or osteoblast number at 2 or 4 weeks, but a reduction was noted at 8 weeks post-treatment. No significant differences in osteoclast numbers or TNF-α levels were observed after GC administration. In a periodontal disease mouse model, GC administration led to greater bone loss, fewer osteoblasts, and increased osteoclasts and TNF-α levels. Conclusions: GC use in periodontal disease risks abnormal bone metabolism and progressive alveolar bone resorption. Full article
(This article belongs to the Special Issue Advances in Periodontitis and Other Periodontal Diseases)
Show Figures

Figure 1

14 pages, 3589 KB  
Article
Algorithm-Guided Management of Thumb Amputation: A 20-Year Retrospective Review and Outcome Analysis
by Maja Smorąg, Piotr Węgrzyn, Marta Jagosz, Michał Chęciński, Szymon Manasterski, Jędrzej Króliński, Marcin Syrko, Patryk Ostrowski, Katarzyna Kościelska-Kasprzak, Dorota Kamińska and Ahmed Elsaftawy
J. Clin. Med. 2025, 14(22), 8250; https://doi.org/10.3390/jcm14228250 - 20 Nov 2025
Viewed by 960
Abstract
Background: The thumb accounts for 40–50% of hand function. Traumatic amputation of the thumb results in significant disability and necessitates a structured approach to management. Methods: We conducted a retrospective review of 144 patients treated for thumb amputations between 2004 and 2025 at [...] Read more.
Background: The thumb accounts for 40–50% of hand function. Traumatic amputation of the thumb results in significant disability and necessitates a structured approach to management. Methods: We conducted a retrospective review of 144 patients treated for thumb amputations between 2004 and 2025 at a specialist hand surgery unit. Over 21 years, an institutional algorithm was developed and refined to guide treatment decisions based on amputation level, injury mechanism and patient factors. Results: Out of the 144 cases, 118 patients underwent replantation, achieving an 82% success rate. Alternative reconstructive procedures included toe-to-thumb transfers (eight cases), index finger pollicisation (six cases) and fourth finger pollicisation (five cases). Functional outcomes showed that 90% of patients returned to work, 83% regained temperature and touch sensation, and 94% could lift a 0.5 L bottle. Conclusions: Implementing a structured treatment algorithm facilitates personalised care and leads to favourable functional outcomes in patients with traumatic thumb amputations. Full article
Show Figures

Figure 1

12 pages, 2238 KB  
Article
Ultrasound-Guided Supraclavicular Nerves Block for Acute Pain Management in Clavicular Fractures—A Pragmatic Randomized Trial
by Eckehart Schöll, Mark Ulrich Gerbershagen, Werner Vach, Maria Rösli and Rainer Jürgen Litz
J. Clin. Med. 2025, 14(22), 8249; https://doi.org/10.3390/jcm14228249 - 20 Nov 2025
Viewed by 468
Abstract
Background/Objectives: This pragmatic randomized controlled trial evaluated the efficacy of ultrasound-guided supraclavicular nerve (SCLN) block compared to standard pain management in patients with acute displaced clavicle fractures (CFs) in an emergency department (ED) setting. Secondary outcomes included time to first request for analgesics, [...] Read more.
Background/Objectives: This pragmatic randomized controlled trial evaluated the efficacy of ultrasound-guided supraclavicular nerve (SCLN) block compared to standard pain management in patients with acute displaced clavicle fractures (CFs) in an emergency department (ED) setting. Secondary outcomes included time to first request for analgesics, opioid consumption, and patient satisfaction. Methods: Forty-one patients with acute displaced CFs were randomized to receive either an SCLN block (n = 19) or routine pain management (n = 22). Pain intensity was recorded at admission and at 1, 2, 4, 6, 12, and 24 h. Patient satisfaction was assessed after 24 h. Analgesic use, adverse reactions, and adverse events were documented for 24 h. Results: Pain intensity, measured by the numeric rating scale (NRS), was significantly lower in the SCLN group at all time points within the first 12 h (p < 0.001). After one hour, 68% of patients in the SCLN group reported an NRS of 0–2, compared to 19% in the control group. The time to first request for analgesics was markedly longer in the SCLN group (9.1 h vs. 0.7 h). In two patients, SCLN visualization was insufficient, and a cervical plexus block was performed instead. Four patients in the SCLN block group reported adverse reactions. Patient satisfaction after 24 h was significantly higher in the SCLN group (p < 0.001), with 85% indicating they would choose the block again. Conclusions: Ultrasound-guided selective SCLN block appears to be an effective and well-tolerated method for acute analgesia in patients with displaced CFs, with the most pronounced benefit observed during the first 12 h. Patient acceptance of the procedure was high. Full article
(This article belongs to the Special Issue Acute Care for Traumatic Injuries and Surgical Outcomes: 2nd Edition)
Show Figures

Figure 1

13 pages, 628 KB  
Article
Artificial Intelligence-Based Evaluation of Post-Procedural Electrocardiographic Parameters to Identify Patients at Risk of Atrial Fibrillation Recurrence After Transcatheter Ablation
by Gennaro De Rosa, Marco Giuggia, Mattia Peyracchia, Martina Peddis, Roberto Di Summa, Elisa Pelissero, Giuseppe Trapani, Davide De Los Rios, Fabio Ugliano, Plinio Cirillo and Gaetano Senatore
J. Clin. Med. 2025, 14(22), 8248; https://doi.org/10.3390/jcm14228248 - 20 Nov 2025
Viewed by 322
Abstract
Background/Objectives: Arrhythmic recurrence is a common issue affecting a significant percentage of patients undergoing transcatheter ablation (TCA) of Atrial Fibrillation (AF). The use of artificial intelligence (AI) for the identification of electrocardiographic predictors of post-ablation recurrence may offer a valuable and cost-effective approach [...] Read more.
Background/Objectives: Arrhythmic recurrence is a common issue affecting a significant percentage of patients undergoing transcatheter ablation (TCA) of Atrial Fibrillation (AF). The use of artificial intelligence (AI) for the identification of electrocardiographic predictors of post-ablation recurrence may offer a valuable and cost-effective approach to improve risk stratification and optimize follow-up. This study aims to investigate the relationship between post-procedural electrocardiographic (ECG) P-wave parameters, measured using AI, and AF recurrence in patients undergoing transcatheter ablation (TCA). Methods: Seventy-four patients (age 62.36 ± 10.4 years) with a diagnosis of AF were retrospectively analyzed. ECGs were processed using AI software to analyze P-wave-related variables. All patients had either an implantable loop recorder (ILR) or another form of cardiac implantable electronic device (CIED). Results: Post-procedural P-wave amplitude in lead II (PwA in lead II) showed a significant association with AF recurrence, defined as an average arrhythmic burden >6% at one-year follow-up. Conclusions: These findings underscore the potential of PwA in lead II as a biomarker for the follow-up of patients undergoing TCA and highlight the contribution of AI in the analysis of electrocardiographic parameters predictive of AF recurrence. Together, these results may contribute to the development of early risk-stratification strategies following catheter ablation. Full article
(This article belongs to the Section Cardiology)
Show Figures

Figure 1

37 pages, 900 KB  
Review
The Development of Novel Therapies for Chronic Lymphocytic Leukaemia in the Era of Targeted Drugs
by Tadeusz Robak, Elżbieta Iskierka-Jażdżewska, Anna Puła, Pawel Robak and Bartosz Puła
J. Clin. Med. 2025, 14(22), 8247; https://doi.org/10.3390/jcm14228247 - 20 Nov 2025
Viewed by 1101
Abstract
Over the past decade, chronic lymphocytic leukaemia (CLL) treatment has shifted from chemoimmunotherapy to targeted oral agents, predominantly Bruton’s tyrosine kinase inhibitors (BTKis) and the BCL-2 inhibitor venetoclax. These therapies have significantly improved outcomes and are now established as first-line treatment options. However, [...] Read more.
Over the past decade, chronic lymphocytic leukaemia (CLL) treatment has shifted from chemoimmunotherapy to targeted oral agents, predominantly Bruton’s tyrosine kinase inhibitors (BTKis) and the BCL-2 inhibitor venetoclax. These therapies have significantly improved outcomes and are now established as first-line treatment options. However, CLL remains incurable, and resistance or intolerance to both drug classes (double-refractory disease) is an emerging challenge. This has driven the development of novel therapeutic strategies, including non-covalent BTKis such as pirtobrutinib and nemtabrutinib, which retain activity in BTK C481-mutated disease. Next-generation BCL-2 inhibitors (sonrotoclax, lisaftoclax) and BTK degraders are promising in early clinical trials. Immunotherapeutic approaches, such as bispecific T-cell engagers, CD20/CD3 antibodies, and CAR-T cell therapies, provide additional options for high-risk patients. Although PI3K inhibitors remain under investigation, their role is yet to be defined due to safety concerns. Minimal residual disease (MRD)-guided, fixed-duration regimens represent a significant paradigm shift toward personalised treatment and potentially deeper remissions. Ongoing clinical studies are expected to introduce new effective therapies that may further transform the management of CLL in the coming years. Full article
(This article belongs to the Special Issue Advances in the Management of Chronic Lymphocytic Leukemia)
Show Figures

Figure 1

12 pages, 4149 KB  
Review
Projected Augmented Reality in Surgery: History, Validation, and Future Applications
by Nikhil Dipak Shah, Lohrasb Sayadi, Peyman Kassani and Raj Vyas
J. Clin. Med. 2025, 14(22), 8246; https://doi.org/10.3390/jcm14228246 - 20 Nov 2025
Viewed by 565
Abstract
Background/Objectives: Projected augmented reality (PAR) enables real-time projection of digital surgical information directly onto the operative field. This offers a hands-free, headset-free platform that is universally visible to all members of the surgical team. Compared to head-mounted display systems, which are limited by [...] Read more.
Background/Objectives: Projected augmented reality (PAR) enables real-time projection of digital surgical information directly onto the operative field. This offers a hands-free, headset-free platform that is universally visible to all members of the surgical team. Compared to head-mounted display systems, which are limited by restricted fields of view, ergonomic challenges, and user exclusivity, PAR provides a more intuitive and collaborative surgical interface. When paired with artificial intelligence (AI), PAR has the potential to automate aspects of surgical planning and deliver high-precision guidance in both high-resource and global health settings. Our team is working on the development and validation of a PAR platform to dynamically project surgical and anatomic markings directly onto the patients intraoperatively. Methods: We developed a PAR system using a structured light scanner and depth camera to generate digital 3D surface reconstructions of a patient’s anatomy. Surgical markings were then made digitally, and a projector was used to precisely project these points directly onto the patient’s skin. We also developed a trained machine learning model that detects cleft lip landmarks and automatically designs surgical markings, with the plan to integrate this into our PAR system. Results: The PAR system accurately projected surgeon and AI-generated surgical markings onto anatomical models with sub-millimeter precision. Projections remained aligned during movement and were clearly visible to the entire surgical team without requiring wearable hardware. Conclusions: PAR integrated with AI provides accurate, real-time, and shared intraoperative guidance. This platform improves surgical precision and has broad potential for remote mentorship and global surgical training. Full article
(This article belongs to the Special Issue Plastic Surgery: Challenges and Future Directions)
Show Figures

Figure 1

16 pages, 2557 KB  
Article
Cochlear Implantation in Children with Inner Ear Malformations: Auditory Outcomes, Safety and the Role of Anatomical Severity
by Miriam González-García, Cristina Alonso-González, Francisco Ropero-Romero, Estefanía Berrocal-Postigo, Francisco Javier Aguilar-Vera, Concepción Gago-Torres, Leyre Andrés-Ustárroz, Manuel Lazo-Maestre, M. Amparo Callejón-Leblic and Serafín Sánchez-Gómez
J. Clin. Med. 2025, 14(22), 8245; https://doi.org/10.3390/jcm14228245 - 20 Nov 2025
Viewed by 491
Abstract
Background/Objectives: Cochlear implantation (CI) has been shown to be effective in children with inner ear malformations (IEMs). However, outcomes vary with malformation type and anatomical complexity. Advances in radiological classification may improve the understanding of such variability to better guide patient counseling. [...] Read more.
Background/Objectives: Cochlear implantation (CI) has been shown to be effective in children with inner ear malformations (IEMs). However, outcomes vary with malformation type and anatomical complexity. Advances in radiological classification may improve the understanding of such variability to better guide patient counseling. We aimed to assess one-year post-implant auditory outcomes in children with IEMs using radiology-based classifications, and to explore genetic and perinatal predictors. We also propose a preliminary severity score derived from the INCAV system. Methods: Out of 303 pediatric CI recipients assessed at a tertiary center, we retrospectively analyzed 41 children (82 ears) diagnosed with IEMs. Malformations were categorized with the Sennaroğlu system and re-coded using INCAV, from which a severity score was derived. Postoperative outcomes were assessed in 56 implanted ears, including pure-tone average (PTA), word recognition score (WRS), and post-surgical complications. Statistical analyses included Spearman’s correlation, linear regression, and exploratory discriminant MANOVA. Results: The most frequent malformation was enlarged vestibular aqueduct (33%), followed by incomplete partition type II (22%). CI was performed in 56 malformed ears with a complication rate of 10.7%. PTA and WRS correlated with the INCAV-derived severity score, with higher severity linked to poorer thresholds and lower WRS. Linear regression showed severity explained ~20% of PTA variance, with outcomes more frequently impaired in ears with scores > 3. Exploratory analysis revealed inter-subject variability, with partial separation of mild versus moderate/severe groups mainly driven by PTA and WRS. Conclusions: CI in pediatric IEMs is safe and consistently improves hearing thresholds. PTA was the most robust predictor of performance, while the INCAV-derived severity score, though exploratory, may provide additional value for anatomical stratification, prognostic counseling, and rehabilitation planning. Full article
(This article belongs to the Special Issue The Challenges and Prospects in Cochlear Implantation)
Show Figures

Figure 1

16 pages, 1137 KB  
Article
To Breathe or Not to Breathe: Spontaneous Ventilation During Thoracic Surgery in High-Risk COPD Patients—A Feasibility Study
by Matyas Szarvas, Csongor Fabo, Gabor Demeter, Adam Oszlanyi, Stefan Vaida, Jozsef Furak and Zsolt Szabo
J. Clin. Med. 2025, 14(22), 8244; https://doi.org/10.3390/jcm14228244 - 20 Nov 2025
Viewed by 504
Abstract
Background: Spontaneous ventilation with intubation (SVI) during video-assisted thoracoscopic surgery (VATS) has been introduced as a hybrid technique that combines the physiological benefits of spontaneous breathing with the safety of a secured airway. However, its application in patients with chronic obstructive pulmonary [...] Read more.
Background: Spontaneous ventilation with intubation (SVI) during video-assisted thoracoscopic surgery (VATS) has been introduced as a hybrid technique that combines the physiological benefits of spontaneous breathing with the safety of a secured airway. However, its application in patients with chronic obstructive pulmonary disease (COPD) remains controversial due to concerns about hypercapnia, hypoxemia, and dynamic hyperinflation. To date, no study has directly compared COPD and non-COPD patients undergoing VATS lobectomy under SVI using identical anesthetic and surgical protocols. Methods: A prospective observational study was conducted between January 2022 and December 2024 at a single tertiary thoracic surgery center. A total of 36 patients undergoing elective VATS lobectomy with SVI were included and divided into two groups: COPD (n = 17) and non-COPD (n = 19), based on GOLD criteria. All patients were intubated with a double-lumen tube and allowed to maintain spontaneous ventilation during one-lung ventilation (OLV) after recovery from neuromuscular blockade. Arterial blood gas (ABG) samples were collected at four predefined time points (T1–T4), and intraoperative respiratory parameters, hemodynamics, spontaneous ventilation time, and spontaneous ventilation fraction (SpVent%) were recorded. Postoperative outcomes, including ICU stay, complications, and conversion to controlled ventilation, were analyzed. Statistical comparisons were performed using t-test, Mann–Whitney U test, chi-square test, and ANCOVA with adjustment for age, sex, BMI, and FEV1%. Results: All 36 procedures were successfully completed under SVI without conversion to controlled mechanical ventilation or thoracotomy. Baseline demographics were comparable between COPD and non-COPD patients regarding age (68.4 ± 6.9 vs. 67.8 ± 7.1 years; p = 0.78) and BMI (27.1 ± 4.6 vs. 26.3 ± 4.2 kg/m2; p = 0.56), while pulmonary function was significantly lower in COPD patients (FEV1/FVC 53.8% (IQR 47.5–59.9) vs. 82.4% (78.5–85.2); p < 0.001). The duration of spontaneous ventilation was significantly longer in the COPD group (82 ± 14 min vs. 58 ± 16 min; p < 0.001), and remained significant after ANCOVA adjustment (β = +23.7 min; p = 0.001). The SpontVent% was higher in COPD patients (80% [70–90] vs. 60% [45–80]), showing a trend toward significance (p = 0.11). Intraoperative permissive hypercapnia was well tolerated: peak PaCO2 levels at T3 were higher in COPD (52 ± 6 mmHg) than in non-COPD patients (47 ± 5 mmHg; p = 0.06), without pH dropping below 7.25 in either group. No significant differences were observed in mean arterial pressure, oxygen saturation, ICU stay (1.1 ± 0.4 vs. 1.0 ± 0.5 days; p = 0.48), or postoperative complication rates (p = 0.67). All patients were extubated in the operating room. Conclusions: Intubated spontaneous ventilation during VATS lobectomy is feasible and safe in both COPD and non-COPD patients when performed by experienced teams. COPD patients, despite impaired baseline lung function, were able to maintain spontaneous breathing for significantly longer periods without developing severe hypercapnia, acidosis, or hemodynamic instability. These findings suggest that SVI may represent a lung-protective alternative to fully controlled one-lung ventilation, particularly in hypercapnia-adapted COPD patients. Further multicenter studies are warranted to validate these results and define standardized thresholds for CO2 tolerance, patient selection, and intraoperative monitoring during SVI. Full article
(This article belongs to the Special Issue Recent Advances and Challenges in Cardiothoracic Surgery)
Show Figures

Figure 1

16 pages, 826 KB  
Article
Recurrence Patterns in Breast Cancer: A Single-Center Retrospective Analysis
by Cristina Marinela Oprean, Teodora Hoinoiu, Larisa Maria Badau, Radu Vidra, Tiberiu Dragomir, Gabriel-Mugurel Dragomir, Daniel Piț, Alexandru Catalin Motofelea, Nadica Motofelea, Alis Dema and Daciana Grujic
J. Clin. Med. 2025, 14(22), 8243; https://doi.org/10.3390/jcm14228243 - 20 Nov 2025
Viewed by 624
Abstract
Background: Breast cancer mortality and long-term survival are influenced by the unpredictability of recurrences, which cause significant diagnostic and therapeutic challenges for oncology teams. The risk of local and distant recurrence is higher in advanced stages and in the first two years following [...] Read more.
Background: Breast cancer mortality and long-term survival are influenced by the unpredictability of recurrences, which cause significant diagnostic and therapeutic challenges for oncology teams. The risk of local and distant recurrence is higher in advanced stages and in the first two years following initial treatment. Accurate staging and continuous monitoring of recurrence are crucial for effective therapy planning. Indicators of recurrence, such as luminal subtype, disease stage, age, and treatment choice, can provide new knowledge and improve patient disease-free and overall survival rates. Methods: We conducted a retrospective cohort study of patients with stage I-III invasive breast cancer at a regional-based institution. The study population consisted of 98 patients with distant and locoregional recurrences from a large cohort of 744 patients diagnosed and treated at our institution between 2007 and 2024. Data on previous treatment for breast cancer, disease stage, molecular subtype, initial size and location of the tumor in the breast, lymph node status, living environment, and type of recurrence were recorded retrospectively. Results: The recurrence patterns in 98 patients included local recurrence in 25 (25.5%), distant recurrence in 70 (71.4%), and both local and distant recurrence in three (3.1%). Our study showed that patients diagnosed with stage II (40.8%) or stage III (55.1%) breast cancer, as well as those with the luminal B subtype (43.87%), were more likely to experience recurrence. The majority of patients affected by recurrent disease were postmenopausal women aged between 51 and 70 years (32 cases aged 51–60 years and 34 cases aged 61–70 years). Tumors measuring between 2 and 5 cm were more likely to produce distant single-organ recurrence (26 cases). More cases were associated with urban areas (77 cases). Conclusions: In menopausal women, most causes of local breast cancer recurrence are related to advanced stage at diagnosis and luminal B subtype. Patient age, primary tumor location in the CSE, and previous adjuvant treatment with aromatase inhibitors may affect the risk of recurrence. Comprehensive studies on recurrence in postmenopausal women can provide a more precise understanding of the extent of disease in such patients. Full article
(This article belongs to the Special Issue Advances and Perspectives in Cancer Diagnostics and Treatment)
Show Figures

Figure 1

12 pages, 5453 KB  
Article
Comparative Evaluation of Sagittal Alignment in Total Knee Arthroplasty: Robot Sensor Versus Surgeon’s Eye and Influencing Factors
by Dong Nyoung Lee, Chang Hyun Nam, Ji-Hoon Baek, Suengryol Ryu, Juneyoung Heo, Ji Hyun Kim, Su Chan Lee and Sang Won Lee
J. Clin. Med. 2025, 14(22), 8242; https://doi.org/10.3390/jcm14228242 - 20 Nov 2025
Viewed by 254
Abstract
Background: Postoperative sagittal imbalance, including hyperextension and flexion contracture after total knee arthroplasty (TKA), adversely affects long-term outcomes. Conventional techniques depend on surgeons’ visual estimation, which may vary with patient anatomy. This study compared the accuracy of sagittal alignment assessment between a [...] Read more.
Background: Postoperative sagittal imbalance, including hyperextension and flexion contracture after total knee arthroplasty (TKA), adversely affects long-term outcomes. Conventional techniques depend on surgeons’ visual estimation, which may vary with patient anatomy. This study compared the accuracy of sagittal alignment assessment between a robot-assisted system and surgeons’ visual evaluation and analyzed the influence of body mass index (BMI) and anatomic factors on concordance. Methods: Sixty unilateral TKAs performed between October 2023 and May 2024 using the MAKO system were retrospectively reviewed. Sagittal mechanical axis angles were obtained from the robotic system (M group) and visually estimated by two blinded orthopedic surgeons from intraoperative lateral photographs (S group) for 9, 10, and 11 mm trial inserts. Final alignment was verified by C-arm radiographs. Inter-observer reliability was analyzed using Cohen’s κ and ICC, and correlations with BMI, thigh circumference, and limb proportions were assessed. Results: In patients with overweight/obesity, the S group significantly underestimated sagittal alignment (p < 0.001), whereas the M group maintained consistent accuracy regardless of BMI. With thinner inserts (9 mm), hyperextension was often overestimated (mismatch 55%, p < 0.0001), and with thicker inserts (11 mm), flexion contracture was underestimated (mismatch 46.7%, p = 0.001). Inter-observer reliability was good (κ = 0.717, ICC = 0.816). Conclusions: Visual assessment may underestimate sagittal alignment, especially in patients with obesity or those with abundant soft tissue. The MAKO robotic system provided consistent, objective alignment evaluation regardless of body habitus. Robotic-assisted quantitative assessment enables more accurate and reproducible sagittal alignment, supporting safer and more reliable TKA outcomes. Full article
(This article belongs to the Section Orthopedics)
Show Figures

Figure 1

17 pages, 1021 KB  
Review
Recent Advancements in the Clinical Pathway of Respiration-Synchronized Hypoglossal Nerve Stimulation Therapy for Obstructive Sleep Apnea
by Dorine Van Loo, Eldar Tukanov, Marijke Dieltjens, Sara Op de Beeck, Eli Van de Perck, Johan Verbraecken and Olivier M. Vanderveken
J. Clin. Med. 2025, 14(22), 8241; https://doi.org/10.3390/jcm14228241 - 20 Nov 2025
Viewed by 938
Abstract
Background: Respiration-synchronized hypoglossal nerve stimulation (HGNS) is an effective treatment option for selected patients with obstructive sleep apnea (OSA). While literature on the standardization of the post-implant care pathway for patients treated with HGNS therapy remains limited, the growing global use of [...] Read more.
Background: Respiration-synchronized hypoglossal nerve stimulation (HGNS) is an effective treatment option for selected patients with obstructive sleep apnea (OSA). While literature on the standardization of the post-implant care pathway for patients treated with HGNS therapy remains limited, the growing global use of HGNS has made structured post-implant care management increasingly important. Methods: This narrative review summarizes the advancements related to the clinical pathway for respiration-synchronized HGNS therapy over the past 5 years, with a special focus on post-implant care management. Results: Selection criteria for respiration-synchronized HGNS are changing as new clinical findings emerge, including both anatomical and non-anatomical markers. Evidence suggests that adopting single-amplitude, full-night sleep testing may provide a more reliable assessment of HGNS treatment efficacy. Several studies have described optimization strategies for patients with suboptimal HGNS therapy response or therapy-related discomfort, including the use of awake endoscopy and drug-induced sleep endoscopy for advanced HGNS programming and the use of combination therapy, although data remains limited. Conclusions: The clinical care pathway for respiration-synchronized HGNS continues to evolve, including patient selection, evaluation of treatment success, and strategies for managing incomplete responders or patients with therapy-related discomfort. Nonetheless, addressing insufficient treatment responses remains a significant challenge and a key area for future research and clinical optimization. Full article
(This article belongs to the Special Issue Obstructive Sleep Apnea: Latest Advances and Prospects)
Show Figures

Figure 1

16 pages, 1061 KB  
Article
Profile of Patients with Primary Biliary Cholangitis and Evaluation of Response to Ursodeoxycholic Acid in a Romanian Center—Retrospective Study
by Matei Mandea, Speranta M. Iacob, Mihaela C. Ghioca, Cristian Gheorghe and Liliana S. Gheorghe
J. Clin. Med. 2025, 14(22), 8240; https://doi.org/10.3390/jcm14228240 - 20 Nov 2025
Viewed by 571
Abstract
Background: Primary Biliary Cholangitis (PBC) is a chronic autoimmune liver disease, characterized by cholestasis and fibrosis. Ursodeoxycholic acid (UDCA) is the first-line treatment for normalizing markers, slowing progression, and improving outcomes. Various criteria, including Paris II, POISE, and Barcelona, along with scores [...] Read more.
Background: Primary Biliary Cholangitis (PBC) is a chronic autoimmune liver disease, characterized by cholestasis and fibrosis. Ursodeoxycholic acid (UDCA) is the first-line treatment for normalizing markers, slowing progression, and improving outcomes. Various criteria, including Paris II, POISE, and Barcelona, along with scores like GLOBE, UK-PBC, and URS, help assess response and prognosis. The aim of our study was to evaluate the patient’s profile and assess treatment response to UDCA. Methods: We conducted a retrospective study of 276 patients diagnosed with PBC, evaluated between 2011 and 2024 at Fundeni Clinical Institute in Bucharest. Of these, 117 patients were assessed for UDCA response at 12 months. Demographic, clinical, and biochemical data were collected. Treatment response was evaluated using established criteria and prognostic scores. Logistic regression analysis was used to identify significant predictors of treatment response, while ROC curves assessed predictive capabilities for liver-related outcomes (LRO) and UDCA biochemical response. Results: The cohort primarily consisted of women (95.28%) with a mean age at diagnosis of 53.89 years (95% CI, 52.43–55.34). 40.5% of patients developed liver cirrhosis during follow-up. At 12 months, the response rates to UDCA therapy were 44.44%, 41.88%, and 52.14% according to the Paris II, POISE, and Barcelona criteria, respectively. Biochemical improvement was significant, particularly the reduction of alkaline phosphatase (ALP) below 1.67× the upper limit of normal, which was observed in 62.39% of patients. ROC analysis demonstrated robust predictive capabilities, with UK-PBC (AUROC 0.899) and GLOBE (AUROC 0.867) scores accurately predicting LRO. A lower age at diagnosis, higher ALP values at diagnosis, and absence of sp100 were factors associated with non-response. Conclusions: This study is one of the first detailed analyses of PBC patients in Romania, examining population-specific characteristics and UDCA response rates. Low response rates at 12 months highlight the need for longer follow-up and the exploration of second-line therapies. Full article
(This article belongs to the Special Issue Current and Emerging Treatment Options in Chronic Liver Diseases)
Show Figures

Figure 1

20 pages, 1300 KB  
Systematic Review
Diagnostic Applications of Ultrasound Imaging in Dental Implantology: A Systematic Review
by Carlo Barausse, Subhi Tayeb, Martina Sansavini, Gerardo Pellegrino and Pietro Felice
J. Clin. Med. 2025, 14(22), 8239; https://doi.org/10.3390/jcm14228239 - 20 Nov 2025
Viewed by 448
Abstract
Background/Objectives: Conventional radiographic methods, although considered the gold standard for dental implantology, are not exempt from certain limitations, including their two-dimensional nature, the exposure to ionizing radiation and the inability to assess soft tissues. Ultrasonography (US) has recently emerged as a promising [...] Read more.
Background/Objectives: Conventional radiographic methods, although considered the gold standard for dental implantology, are not exempt from certain limitations, including their two-dimensional nature, the exposure to ionizing radiation and the inability to assess soft tissues. Ultrasonography (US) has recently emerged as a promising diagnostic tool due to its non-invasive and radiation-free properties. This systematic review aimed to evaluate the clinical applications of ultrasonography in implant dentistry, focusing on both preoperative planning and postoperative monitoring and to compare its diagnostic performance with conventional imaging modalities. Methods: A comprehensive search was performed in PubMed, Scopus, Web of Science, and Cochrane databases (2005–2025) to identify clinical studies evaluating the diagnostic applications of ultrasonography in implant dentistry. The review included randomized controlled trials, diagnostic accuracy studies, case series and case reports. Risk of bias was assessed using the RoB-2 tool for RCTs, QUADAS-2 for diagnostic studies and the JBI checklist for case reports and series. Results: 17 eligible studies were included in this review, comprising 4 RCTs, 10 diagnostic accuracy studies, 2 case report and 1 case series, for a total of 371 patients evaluated. Ultrasonography proved effective in the preoperative setting for evaluating mucosal thickness, keratinized mucosa, tissue phenotype, ridge width and bone morphology, often showing high agreement with CBCT and clinical measurements. In the postoperative phase, US enabled monitoring of soft tissue healing, vascular perfusion, graft maturation and detection of peri-implant pathology, with some studies showing correlations between early ultrasonographic findings and long-term clinical outcomes. Comparative studies revealed strong concordance with CBCT (mean deviations < 0.5–1 mm) and superior performance in both soft tissue visualization and cases affected by radiographic artifacts. Conclusions: Ultrasonography represents a promising adjunctive tool in implant dentistry, capable of complementing or, in selected scenarios, replacing conventional radiographic methods. While current evidence highlights its diagnostic potential across different stages of implant therapy, further standardized, large-scale clinical studies are required before routine integration into daily practice. Full article
Show Figures

Figure 1

15 pages, 6091 KB  
Article
Could Different Doses of Dexmedetomidine Be as Effective as Amifostine Against Radiotherapy-Induced Liver Injury in Rats? Evidence from Mitotic, Apoptotic, Oxidative, and Neurogenic Insights
by Hatice Beyazal Polat, Hamit Yilmaz, Kasım Demir, Kagan Kilinc, Belemir Gülhan, Sema Yilmaz Rakici and Levent Tumkaya
J. Clin. Med. 2025, 14(22), 8238; https://doi.org/10.3390/jcm14228238 - 20 Nov 2025
Viewed by 250
Abstract
Background/Objectives: Radiotherapy (RT) induces oxidative stress and structural damage in solid tissues, including the liver. This study aimed to investigate the histological and immunohistochemical effects of dexmedetomidine (DEX) and amifostine on their potential protective and regenerative properties against liver injury induced by [...] Read more.
Background/Objectives: Radiotherapy (RT) induces oxidative stress and structural damage in solid tissues, including the liver. This study aimed to investigate the histological and immunohistochemical effects of dexmedetomidine (DEX) and amifostine on their potential protective and regenerative properties against liver injury induced by radiation therapy. Methods: This study consisted of five randomized groups: control, RT, RT-D100, RT-D200, and RT-A (Amifostine). A total of 100 µg/kg DEX, 200 µg/kg DEX, and 200 µg/kg amifostine were administered before radiotherapy as per the experimental design. After RT, liver specimens were analyzed for histological alterations, including periportal and perisinusoidal fibrosis, vacuolization, and pyknotic nuclei. Furthermore, immunohistochemistry investigations were conducted to evaluate apoptosis, mitosis, oxidative stress, and neural regeneration in non-neuronal liver tissue following radiotherapy and subsequent treatment. Results: The control group’s liver tissue exhibited standard histological architecture, whereas the RT group displayed severe cellular degeneration, periportal and perisinusoidal fibrosis, cytoplasmic vacuolization, and an increase in pyknotic nuclei. The apoptotic index was markedly reduced in the RT-D100 and RT-D200 groups relative to the RT group. Furthermore, caspase-3 immunoactivity was negligible in the control group, while a significant increase was observed in the RT group. The administration of amifostine significantly increased GAP-43 levels. Conclusions: DEX mitigates RT-induced hepatic injury chiefly through antioxidant and anti-apoptotic pathways, whereas amifostine promotes hepatic regeneration by modulating GAP-43. Full article
(This article belongs to the Section Gastroenterology & Hepatopancreatobiliary Medicine)
Show Figures

Figure 1

18 pages, 2000 KB  
Article
Perioperative Patient Blood Management in Primary Knee and Hip Arthroplasty—Nonsense or Necessity?
by Johannes Neugebauer, Clemens Strassegger, David Putzer, Melanie Schindler, Adriana Palacio-Giraldo, Markus Neubauer, Gianpaolo Leone, Herbert Koinig and Dietmar Dammerer
J. Clin. Med. 2025, 14(22), 8237; https://doi.org/10.3390/jcm14228237 - 20 Nov 2025
Viewed by 360
Abstract
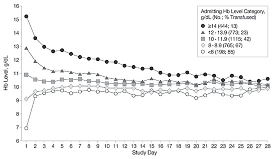
Background/Objectives: The perioperative management of a patient’s blood values involves the optimization of anemia management in the pre-, intra-, and postoperative periods to avoid blood transfusions. The purpose of this study was to determine the prevalence of pre- and postoperative anemia in patients [...] Read more.
Background/Objectives: The perioperative management of a patient’s blood values involves the optimization of anemia management in the pre-, intra-, and postoperative periods to avoid blood transfusions. The purpose of this study was to determine the prevalence of pre- and postoperative anemia in patients undergoing elective knee and hip arthroplasty, and explore the change in hemoglobin levels in transfused and non-transfused patients over the course of their hospital stay. Methods: In this retrospective study, data on anemia-influencing factors were collected and examined using multiple regression analysis (OLS model) to determine if they are associated with the average hemoglobin change in 801 patients who underwent a primary knee or hip arthroplasty. The study group was screened for the prevalence of preoperative anemia, and the incidence of postoperative anemia was examined. Results: A total of 801 patients were retrospectively investigated. The length of stay for the two different procedures was significantly different (p < 0.001). There was a markedly higher transfusion rate in the cases requiring longer-than-usual hospital stays. In total, 37 patients (5%) received perioperative erythrocyte transfusions. Total hip replacement (THR) was associated with significantly more erythrocyte transfusions (8%) in comparison with total knee replacement (TKR) (2%) (p < 0.001). Conclusions: Satisfactory results for the prevalence and incidence of anemia in the context of primary knee or hip arthroplasties were obtained in this study. The collected values indicate the need for better implementation and awareness of the importance of adequate patient blood management. Full article
(This article belongs to the Section Orthopedics)
Show Figures

Figure 1

16 pages, 2979 KB  
Case Report
Mitochondrial Macular Dystrophy—A Case Report and Mini Review of Retinal Dystrophies
by Grzegorz Rotuski, Katarzyna Paczwa, Justyna Mędrzycka, Radosław Różycki and Joanna Gołębiewska
J. Clin. Med. 2025, 14(22), 8236; https://doi.org/10.3390/jcm14228236 - 20 Nov 2025
Viewed by 538
Abstract
Background: Retinal dystrophies are often challenging to diagnose. At early stages, they may resemble benign retinal pigment epithelium alterations and drusen present in otherwise healthy individuals. With the increased incidence of autoimmunity-related disorders and new treatments for retinal dystrophies on the horizon, [...] Read more.
Background: Retinal dystrophies are often challenging to diagnose. At early stages, they may resemble benign retinal pigment epithelium alterations and drusen present in otherwise healthy individuals. With the increased incidence of autoimmunity-related disorders and new treatments for retinal dystrophies on the horizon, thorough investigations and making the correct diagnosis in time are particularly important for these patients. Case report: A 44-year-old myopic female was admitted to the Ophthalmology Department with a 3-week history of painless blurred vision in her right eye. Fundoscopic examination revealed the presence of optic disc edema in this eye with pigmentary and atrophic changes in the macular regions of both eyes. She had no prior ophthalmic history nor systemic comorbidities known at the time. Marked hyperglycemia and renal angiomyolipoma were discovered subsequently. Ultimately, a diagnosis of Maternally Inherited Diabetes and Deafness was made. Discussion and Conclusion: Maternally Inherited Diabetes and Deafness is a rare mitochondrial disorder that should be considered in the differential diagnosis of retinal dystrophies, particularly due to multi-organ syndromes they can occur with, requiring collaborative medical care of several specialists. Integrating the findings and comparing them with other online sources facilitates clinical differential and treatment selection, eventually promoting faster accurate diagnosis of patients. It is especially important because of a long waiting time for results of genetic testing, while ophthalmic pathology can be the first sign of the disease. Full article
(This article belongs to the Special Issue Retinal Dystrophies—Structure and Function Relationship)
Show Figures

Figure 1

11 pages, 485 KB  
Article
Male Gender and Normal Trochlear Anatomy Are Associated with a Higher Risk of Osteochondral Fracture Following Patellar Dislocation: A Retrospective Review of 261 Skeletally Mature Patients
by Johannes Rüther, Markus Geßlein, Michael Millrose, Maximilian Willauschus, Jonas Beck, Niklas Engel, Andreas Kopf, Hermann Josef Bail and Lotta Hielscher
J. Clin. Med. 2025, 14(22), 8235; https://doi.org/10.3390/jcm14228235 - 20 Nov 2025
Viewed by 257
Abstract
Background: Osteochondral fractures (OCFs) following acute patellar dislocation significantly influence treatment decisions and long-term prognosis, yet reliable risk stratification remains elusive. This study aimed to identify demographic and trochlear morphology predictors of fracture occurrence in a large patient cohort. Methods: This [...] Read more.
Background: Osteochondral fractures (OCFs) following acute patellar dislocation significantly influence treatment decisions and long-term prognosis, yet reliable risk stratification remains elusive. This study aimed to identify demographic and trochlear morphology predictors of fracture occurrence in a large patient cohort. Methods: This retrospective analysis included 261 skeletally mature patients with acute patellar dislocation from 2000 to 2024 (mean age 24 ± 10 years, 59% male), excluding those with previous knee surgery, additional injuries, or skeletal immaturity. A comprehensive MRI assessment evaluated trochlear morphology (Dejour classification, sulcus angle, trochlear groove depth, and facet measurements) and patellofemoral alignment parameters (TT-TG distance, Q-angle, and congruence angle). Multivariate logistic regression identified independent risk factors for the development of osteochondral fractures. Results: Osteochondral fractures occurred in 133 patients (51% [of those undergoing MRI evaluation]). Male gender emerged as the strongest predictor (OR 2.38, 95% CI: 1.30–4.42, p = 0.005), followed by right-sided dislocation (OR 2.33, 95% CI: 1.21–4.58, p = 0.013). Notably, higher-grade trochlear dysplasia (Dejour Grades 3–4) was associated with lower fracture rates, being more common in non-fracture patients (27% vs. 10%, p = 0.003). Trochlear condyle asymmetry was also significant (OR 1.14, p = 0.004). Most patellofemoral alignment parameters, including TT-TG distance and Q-angle, showed no significant predictive value. Conclusions: Male gender and right-sided dislocation are associated with higher rates of osteochondral fracture after patellar dislocation. Patients with normal trochlear anatomy have higher fracture rates than those with severe dysplasia. These findings suggest that demographic factors and trochlear morphology should be considered in the diagnostic workup of acute patellar dislocations, though prospective validation is needed before implementing screening protocols. Full article
(This article belongs to the Section Orthopedics)
Show Figures

Figure 1

13 pages, 1793 KB  
Systematic Review
Balancing Safety and Efficacy: Factor XIa INHIBITORS vs. DOACs in Patients with Atrial Fibrillation: A Systematic Review and Meta-Analysis of Randomized Controlled Trials
by Jacinthe Khater, Marco Frazzetto, Shamin Hayat Mahmud, Ashkan Yahyavi, Sara Malakouti, Bharat Khialani and Bernardo Cortese
J. Clin. Med. 2025, 14(22), 8234; https://doi.org/10.3390/jcm14228234 - 20 Nov 2025
Viewed by 760
Abstract
Background: Current ESC guidelines recommend the use of oral anticoagulant therapy in patients with atrial fibrillation to reduce the risk of arterial embolization. Recently, Factor XIa inhibitors were investigated as an alternative to the commonly used DOACs. Aims: This systematic review and [...] Read more.
Background: Current ESC guidelines recommend the use of oral anticoagulant therapy in patients with atrial fibrillation to reduce the risk of arterial embolization. Recently, Factor XIa inhibitors were investigated as an alternative to the commonly used DOACs. Aims: This systematic review and meta-analysis aim to assess whether Factor XIa inhibitors lead to lower risks of bleeding compared to DOACs in patients with atrial fibrillation. Methods: PubMed, Cochrane, and EMBASE were searched. The primary endpoint was the occurrence of a composite of Major or clinically relevant non-major bleeding. Secondary endpoints included death from any cause, cardiovascular death, any adverse effects, any serious adverse effects, minor bleeding, stroke, or systemic embolism. Results: A total of 3 studies met the inclusion criteria and were included in the qualitative and quantitative analysis, comprising 16,772 patients. Factor XIa inhibitors were associated with significantly fewer major or clinically relevant non-major bleedings than DOACs (RR = 0.40 [95% CI [0.32, 0.51]), I2 = 3%, p < 0.00001). There were no differences between Factor XIa inhibitors and DOACs regarding the occurrence of death (RR = 0.83 [95% CI 0.63, 1.08]), I2 = 0%, (p = 0.15) and cardiovascular death (RR = 1.09 [95% CI 0.74, 1.63]), I2 = 0%, (p = 0.65). Interestingly, the risk of stroke and systemic embolism was higher among the patients exposed to factor XIa inhibitors compared to the DOACs group RR = 6.05 [95% CI [1.02, 35.94]), I2 = 5%, (p = 0.05). Conclusions: Factor XIa inhibitors are superior to DOACs in terms of bleeding complications. However, this meta-analysis shows a significantly higher risk of stroke or systemic embolism as compared to commonly used DOACs. Full article
(This article belongs to the Section Cardiology)
Show Figures

Figure 1

17 pages, 726 KB  
Article
The Impact of OXTR, COMT, and GRIN2B Polymorphisms on Brain Development in Preterm Infants
by Eon Yak Kim, Hyuna Kim, Yong Hun Jang, Woochang Hwang, Junho K Hur, Young-Eun Kim, Sungmin Lim, Dong-Hye Ye and Hyun Ju Lee
J. Clin. Med. 2025, 14(22), 8233; https://doi.org/10.3390/jcm14228233 - 20 Nov 2025
Viewed by 344
Abstract
Background/Objectives: Preterm infants are at risk for developmental delays due to immature brain development and increased sensitivity to environmental stress. Genetic factors, such as polymorphisms in *OXTR* rs2268490, *COMT* rs4818, and *GRIN2B*, may influence these vulnerabilities [...] Read more.
Background/Objectives: Preterm infants are at risk for developmental delays due to immature brain development and increased sensitivity to environmental stress. Genetic factors, such as polymorphisms in *OXTR* rs2268490, *COMT* rs4818, and *GRIN2B*, may influence these vulnerabilities and affect neurodevelopment. Methods: We recruited 91 preterm infants (<35 weeks gestation) admitted to the NICU at Hanyang University Seoul Hospital between January 2020 and December 2022. Brain MRIs were conducted at term-equivalent age, and DNA samples were analyzed for SNPs. Neurodevelopmental assessments were performed at 18 months corrected age using the Korean Developmental Screening Test (K-DST) and Bayley Scales of Infant Development, Third Edition (BSID-III). Results: Carriers of the minor alleles in *OXTR* rs2268490 showed significantly lower language and adaptive behavior, and *COMT* rs4818, rs740603 showed significantly lower social–emotional scores on BSID-III. *OXTR* rs2268490 was also associated with altered brain network metrics, including decreased small-worldness (p = 0.012) and increased global (p = 0.038) and local efficiency (p = 0.042). Conclusions: Polymorphisms in the *OXTR* genes are associated with differences in brain network organization and neurodevelopmental outcomes in preterm infants. These variants may influence how environmental factors affect early brain development, highlighting the importance of genetic screening and early intervention. Full article
(This article belongs to the Section Obstetrics & Gynecology)
Show Figures

Figure 1

14 pages, 3673 KB  
Case Report
Progressive Spastic Paraparesis as the Dominant Manifestation of Adolescent-Onset Alexander Disease: Case Report and Literature Review
by Katarzyna Anna Smółka, Leon Smółka, Wiesław Guz, Emilia Chaber and Lidia Perenc
J. Clin. Med. 2025, 14(22), 8232; https://doi.org/10.3390/jcm14228232 - 20 Nov 2025
Viewed by 373
Abstract
Objectives: Alexander disease (AxD) is a rare neurodegenerative disorder that represents a group of leukodystrophies with severe disability and premature death, mostly with an infancy/childhood onset. In rare cases of late-onset phenotypes, symptoms are often milder and difficult to diagnose. We present [...] Read more.
Objectives: Alexander disease (AxD) is a rare neurodegenerative disorder that represents a group of leukodystrophies with severe disability and premature death, mostly with an infancy/childhood onset. In rare cases of late-onset phenotypes, symptoms are often milder and difficult to diagnose. We present a diagnostic journey of a teenage male patient with a progressive gait disorder starting at the age of 13 years, with a final diagnosis of Alexander disease. Early in the course of the disease, the boy exhibited distinctive cognitive involvement and neuropsychological deterioration characterized by selective impairment of visual and long-term auditory memory, along with a decline in IQ but preserved reasoning abilities. Methods: The patient underwent an extensive neurological diagnostic workup, which included magnetic resonance imaging (MRI) of the brain, spine, and abdomen, as well as electrophysiological, metabolic, and biochemical tests. Numerous specialist consultations were conducted, including genetic, cardiology, ophthalmology, pulmonology, oncohematology, psychological, and speech–language pathology consultations. In addition, a focused literature review was performed using PubMed, Scopus, Web of Science, and Google Scholar with the search terms “Alexander disease,” “GFAP gene,” “late-onset,” “spastic paraplegia” and “GFAP variant p/Gly18Val”. Results: Whole exome sequencing revealed an extremely rare missense GFAP heterozygous variant NM_002055.5: c.54G>T (p/Gly18Val), confirming the diagnosis of AxD. Conclusions: The presented case highlights the importance of whole-exome sequencing in the diagnosis of unexplained otherwise neurological symptoms, such as progressive spastic paraplegia. Full article
(This article belongs to the Section Clinical Neurology)
Show Figures

Figure 1

Previous Issue
Back to TopTop