Could Different Doses of Dexmedetomidine Be as Effective as Amifostine Against Radiotherapy-Induced Liver Injury in Rats? Evidence from Mitotic, Apoptotic, Oxidative, and Neurogenic Insights
Abstract
1. Introduction
2. Materials and Methods
2.1. Experimental Designs, Rats, and Ethical Approval
2.2. Radiotherapy
2.3. Paraffin Sections, Tissue Processing, and Scoring
2.4. Biochemical Analyses
2.5. Immunohistochemical Analyses
2.6. Statistics
3. Results
3.1. Histopathological Scoring: Histopathological Evaluation
3.2. Biochemical Findings
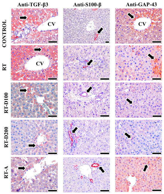
3.3. Immunohistochemical Analyses
3.4. Apoptotic and Mitotic Index
4. Discussion
5. Conclusions
Author Contributions
Funding
Institutional Review Board Statement
Informed Consent Statement
Data Availability Statement
Acknowledgments
Conflicts of Interest
Abbreviations
| A | Amifostine |
| AI | Apoptotic index |
| ALT | Alanine aminotransferase |
| DEX | Dexmedetomidine |
| GAP-43 | Growth-Associated Protein 43 |
| IR | Ischemia–reperfusion |
| LDH | Lactate Dehydrogenase |
| MI | Mitotic index |
| PTEN | Phosphatase and tensin homolog |
| RT | Radiotherapy |
| TT | Total Thiol |
| TBARS | Thiobarbituric Acid Reactive Substances. |
References
- Batcik, S.; Tumkaya, L.; Dil, E.; Kazancioglu, L.; Gaygusuz, E.; Yazici, Z.A.; Ozden, Z.; Kilinc, K.; Mercantepe, T. Protective Effects of Dexmedetomidine and Amifostine Against Radiotherapy-Induced Kidney Injury. Life 2025, 15, 897. [Google Scholar] [CrossRef] [PubMed]
- Mansoorian, S.; Hering, S.; Hofmaier, J.; Xiong, Y.; Weingandt, H.; Rottler, M.; Walter, F.; Rogowski, P.; Seidensticker, M.; Ricke, J.; et al. Comparative analysis of target volume coverage and liver exposure in high-dose-rate interstitial brachytherapy and in silico MR LINAC-based stereotactic body radiotherapy plans for colorectal liver metastases. Clin. Transl. Radiat. Oncol. 2025, 56, 101030. [Google Scholar] [CrossRef]
- Xie, Y.; Guo, C.; Liu, Y.; Shi, L.; Yu, J. Dexmedetomidine activates the PI3K/Akt pathway to inhibit hepatocyte apoptosis in rats with obstructive jaundice. Exp. Ther. Med. 2019, 18, 4461–4466. [Google Scholar]
- Ciftel, S.; Mercantepe, T.; Aktepe, R.; Pinarbas, E.; Ozden, Z.; Yilmaz, A.; Mercantepe, F. Protective Effects of Trimetazidine and Dexmedetomidine on Liver Injury in a Mesenteric Artery Ischemia-Reperfusion Rat Model via Endoplasmic Reticulum Stress. Biomedicines 2024, 12, 2299. [Google Scholar] [CrossRef]
- Qu, Y.; Xiong, W.; Zhou, R.; Song, N.; Qian, J. Dexmedetomidine mitigates oxidative stress in H9C2 cardiac myoblasts under a high-glucose environment via the PI3K/AKT signaling pathway. Mol. Med. Rep. 2025, 32, 251. [Google Scholar] [CrossRef] [PubMed]
- Guo, J.; Liu, W.; Zeng, Z.; Lin, J.; Zhang, X.; Chen, L. Tgfb3 and Mmp13 regulated the initiation of liver fibrosis progression as dynamic network biomarkers. J. Cell Mol. Med. 2021, 25, 867–879. [Google Scholar]
- Yue, L.H.; Wang, L.N.; Zhu, X.C.; Peng, Y.H. The promotion of liver regeneration in mice after a partial hepatectomy as a result of the modulation of macrophage activation by dexmedetomidine. Transpl. Immunol. 2022, 72, 101577. [Google Scholar] [CrossRef]
- Schlossberg, H.; Zhang, Y.; Dudus, L.; Engelhardt, J.F. Expression of c-fos and c-jun during hepatocellular remodeling following ischemia/reperfusion in mouse liver. Hepatology 1996, 23, 1546–1555. [Google Scholar]
- Kandilis, A.N.; Koskinas, J.; Vlachos, I.; Skaltsas, S.; Karandrea, D.; Karakitsos, P.; Pantopoulou, A.; Palaiologou, M.; Nikiteas, N.; Tiniakos, D.G.; et al. Liver regeneration: Immunohistochemical study of intrinsic hepatic innervation after partial hepatectomy in rats. BMC Gastroenterol. 2014, 14, 202. [Google Scholar] [CrossRef] [PubMed]
- Baik, S.J.; Kim, T.H.; Yoo, K.; Moon, I.H.; Choi, J.Y.; Chung, K.W.; Song, D.E. Decreased S100B expression in chronic liver diseases. Korean J. Intern. Med. 2017, 32, 269–276. [Google Scholar] [CrossRef] [PubMed][Green Version]
- Safak, G.; Celiker, M.; Tumkaya, L.; Mercantepe, T.; Rakici, S.; Cinar, S.; Yilmaz, A.; Terzi, S.; Demir, E.; Celebi Erdivanli, O.; et al. Comparison of effects of dexmedetomidine and amifostine against X-ray radiation-induced parotid damage. Radiat. Environ. Biophys. 2022, 61, 241–253. [Google Scholar] [CrossRef]
- Kutanis, D.; Erturk, E.; Besir, A.; Demirci, Y.; Kayir, S.; Akdogan, A.; Vanizor Kural, B.; Bahat, Z.; Canyilmaz, E.; Kara, H. Dexmedetomidine acts as an oxidative damage prophylactic in rats exposed to ionizing radiation. J. Clin. Anesth. 2016, 34, 577–585. [Google Scholar] [CrossRef] [PubMed]
- Ohkawa, H.; Ohishi, N.; Yagi, K. Assay for lipid peroxides in animal tissues by thiobarbituric acid reaction. Anal. Biochem. 1979, 95, 351–358. [Google Scholar] [CrossRef]
- Li, G.; Wang, J.; Hu, W.; Zhang, Z. Radiation-Induced Liver Injury in Three-Dimensional Conformal Radiation Therapy (3D-CRT) for Postoperative or Locoregional Recurrent Gastric Cancer: Risk Factors and Dose Limitations. PLoS ONE 2015, 10, e0136288. [Google Scholar] [CrossRef] [PubMed]
- Zhang, C.; Ren, L.; Zou, M.; Xu, W.; Zhang, W.; Liu, G.; Zhu, B.; Xu, H.; Meng, X.; Li, X.; et al. Dexmedetomidine Attenuates Total Body Radiation-Induced Acute Liver Injury in Mice Through the Nrf2/HO-1 Pathway. Clin. Lab. 2022, 68, 1728. [Google Scholar] [CrossRef] [PubMed]
- Beyazal Polat, H.; Yilmaz, H.; Kilinc, K.; Gulhan, B.; Yilmaz Rakici, S.; Tumkaya, L. A Dose-Dependent Study Examining Dexmedetomidine’s Possible Effects Against Oxidative, Fibrotic, and Apoptotic Damage Induced by Radiation Exposure in Spleen Tissue. Life 2025, 15, 1430. [Google Scholar] [CrossRef]
- Wang, X.; Li, Y.R.; Shi, Y.; Li, X.; Luo, J.; Zhang, Y.; Qi, B.; Wu, F.; Sun, Y.; Pan, Z.; et al. Dexmedetomidine ameliorates liver injury and maintains liver function in patients with hepatocellular carcinoma after hepatectomy: A retrospective cohort study with propensity score matching. Front. Oncol. 2023, 13, 1108559. [Google Scholar] [CrossRef]
- Elmore, S. Apoptosis: A review of programmed cell death. Toxicol. Pathol. 2007, 35, 495–516. [Google Scholar] [CrossRef]
- Zhang, Y.; Chen, L.H.; Wang, L.; Wang, H.M.; Zhang, Y.W.; Shi, Y.S. Radiation-inducible PTEN expression radiosensitises hepatocellular carcinoma cells. Int. J. Radiat. Biol. 2010, 86, 964–974. [Google Scholar] [CrossRef]
- Wen, H.; Wu, Z.; Hu, H.; Wu, Y.; Yang, G.; Lu, J.; Yang, G.; Guo, G.; Dong, Q. The anti-tumor effect of pachymic acid on osteosarcoma cells by inducing PTEN and Caspase 3/7-dependent apoptosis. J. Nat. Med. 2018, 72, 57–63. [Google Scholar] [CrossRef]
- Zou, W.W.; Xu, S.P. Galangin inhibits the cell progression and induces cell apoptosis through activating PTEN and Caspase-3 pathways in retinoblastoma. Biomed. Pharmacother. 2018, 97, 851–863. [Google Scholar] [CrossRef]
- Mitra, M.S.; Halpern, W.; Lepherd, M.; Corpuz, J.; Adedeji, A.O.; Yadav, R.; Duarte, I.; Sun, T.; Arron, J.R.; Turley, S.J.; et al. Dual inhibition of TGFbeta2,3 is severely toxic, whereas selective inhibition of TGFbeta1, 2, or 3 and dual inhibition of TGFbeta1,2 is generally tolerated in mouse and cynomolgus monkey toxicology studies. Toxicol. Sci. 2025, 206, 445–455. [Google Scholar] [CrossRef] [PubMed]
- Shaulian, E.; Karin, M. AP-1 as a regulator of cell life and death. Nat. Cell Biol. 2002, 4, E131–E136. [Google Scholar] [CrossRef]
- Nakajima, T.; Ninomiya, Y.; Nenoi, M. Radiation-Induced Reactions in The Liver—Modulation of Radiation Effects by Lifestyle-Related Factors. Int. J. Mol. Sci. 2018, 19, 3855. [Google Scholar] [CrossRef] [PubMed]
- Das, U.; Manna, K.; Sinha, M.; Datta, S.; Das, D.K.; Chakraborty, A.; Ghosh, M.; Saha, K.D.; Dey, S. Role of ferulic acid in the amelioration of ionizing radiation induced inflammation: A murine model. PLoS ONE 2014, 9, e97599. [Google Scholar] [CrossRef]
- Svobodova, A.R.; Galandakova, A.; Sianska, J.; Dolezal, D.; Ulrichova, J.; Vostalova, J. Acute exposure to solar simulated ultraviolet radiation affects oxidative stress-related biomarkers in skin, liver and blood of hairless mice. Biol. Pharm. Bull. 2011, 34, 471–479. [Google Scholar] [CrossRef]
- Al-Khayat, N.; Cates, L.N.; Valenti, B.R.; Hudson, M.P.; Yang, C.C.; Khaing, Z.Z. Acute Chemodenervation of the Bladder With Botulinum Toxin After Spinal Cord Injury Resulted in Preserved Bladder Function in Rodents. Neurourol. Urodyn. 2025, 44, 1704–1712. [Google Scholar] [CrossRef]
- Tu, Y.; Liang, Y.; Xiao, Y.; Lv, J.; Guan, R.; Xiao, F.; Xie, Y.; Xiao, Q. Dexmedetomidine attenuates the neurotoxicity of propofol toward primary hippocampal neurons in vitro via Erk1/2/CREB/BDNF signaling pathways. Drug Des. Dev. Ther. 2019, 13, 695–706. [Google Scholar] [CrossRef] [PubMed]






| Periportal Fibrosis Statistical data regarding periportal fibrosis are shown. | |||||
| Control | RT | RT-D100 | RT-D200 | RT-A | |
| Minimum | 0.0 | 0.0 | 0.0 | 0.0 | 1 |
| 25% Percentile | 0.25 | 0.0 | 0.0 | 0.0 | 1.25 |
| Median | 1 | 0.0 | 1 | 1 | 2.5 |
| 75% Percentile | 1 | 0.75 | 1.75 | 1 | 3 |
| Maximum | 1 | 1 | 2 | 2 | 3 |
| Std. Error of Mean | 0.1637 | 0.1637 | 0.295 | 0.25 | 0.3134 |
| Lower 95% CI | 0.3630 | −0.1370 | 0.1773 | 0.1588 | 1.509 |
| Upper 95% CI | 1.137 | 0.6370 | 1.573 | 1.341 | 2.991 |
| Perisinusoidal Fibrosis Statistical data regarding perisinusoidal fibrosis are shown. | |||||
| Control | RT | RT-D100 | RT-D200 | RT-A | |
| Minimum | 0.0 | 0.0 | 2 | 0.0 | 0.0 |
| 25% Percentile | 0.25 | 0.0 | 2 | 0.0 | 1 |
| Median | 1 | 1 | 2.5 | 1 | 1.5 |
| 75% Percentile | 1 | 1 | 3 | 1 | 2 |
| Maximum | 1 | 2 | 3 | 2 | 2 |
| Mean | 0.75 | 0.75 | 2.5 | 0.75 | 1.375 |
| Std. Deviation | 0.4629 | 0.7071 | 0.5345 | 0.7071 | 0.7440 |
| Std. Error of Mean | 0.1637 | 0.25 | 0.189 | 0.25 | 0.2631 |
| Lower 95% CI | 0.363 | 0.1588 | 2.053 | 0.1588 | 0.753 |
| Upper 95% CI | 1.137 | 1.341 | 2.947 | 1.341 | 1.997 |
| Vacuolization Statistical data regarding vacuolization are shown. | |||||
| Control | RT | RT-D100 | RT-D200 | RT-A | |
| Minimum | 0.0 | 0.0 | 2 | 0.0 | 0.0 |
| 25% Percentile | 0.25 | 0.0 | 2 | 0.0 | 1 |
| Median | 1 | 1 | 2.5 | 1 | 1.5 |
| 75% Percentile | 1 | 1 | 3 | 1 | 2 |
| Maximum | 1 | 2 | 3 | 2 | 2 |
| Mean | 0.75 | 0.75 | 2.5 | 0.75 | 1.375 |
| Std. Deviation | 0.4629 | 0.7071 | 0.5345 | 0.7071 | 0.744 |
| Std. Error of Mean | 0.1637 | 0.25 | 0.189 | 0.25 | 0.2631 |
| Lower 95% CI | 0.363 | 0.1588 | 2.053 | 0.1588 | 0.753 |
| Upper 95% CI | 1.137 | 1.341 | 2.947 | 1.341 | 1.997 |
| Pyknotic nuclei Statistical data regarding pyknotic nuclei are shown. | |||||
| Control | RT | RT-D100 | RT-D200 | RT-A | |
| Minimum | 1 | 2 | 1 | 0.0 | 0.0 |
| 25% Percentile | 1 | 2 | 2 | 1 | 0.0 |
| Median | 1 | 3 | 2 | 1 | 0.5 |
| 75% Percentile | 1.75 | 3 | 3 | 2 | 1 |
| Maximum | 3 | 3 | 3 | 2 | 1 |
| Mean | 1.375 | 2.625 | 2.25 | 1.25 | 0.5 |
| Std. Deviation | 0.744 | 0.5175 | 0.7071 | 0.7071 | 0.5345 |
| Std. Error of Mean | 0.2631 | 0.183 | 0.25 | 0.25 | 0.189 |
| Lower 95% CI | 0.753 | 2.192 | 1.659 | 0.6588 | 0.05313 |
| Upper 95% CI | 1.997 | 3.058 | 2.841 | 1.841 | 0.9469 |
Disclaimer/Publisher’s Note: The statements, opinions and data contained in all publications are solely those of the individual author(s) and contributor(s) and not of MDPI and/or the editor(s). MDPI and/or the editor(s) disclaim responsibility for any injury to people or property resulting from any ideas, methods, instructions or products referred to in the content. |
© 2025 by the authors. Licensee MDPI, Basel, Switzerland. This article is an open access article distributed under the terms and conditions of the Creative Commons Attribution (CC BY) license (https://creativecommons.org/licenses/by/4.0/).
Share and Cite
Beyazal Polat, H.; Yilmaz, H.; Demir, K.; Kilinc, K.; Gülhan, B.; Rakici, S.Y.; Tumkaya, L. Could Different Doses of Dexmedetomidine Be as Effective as Amifostine Against Radiotherapy-Induced Liver Injury in Rats? Evidence from Mitotic, Apoptotic, Oxidative, and Neurogenic Insights. J. Clin. Med. 2025, 14, 8238. https://doi.org/10.3390/jcm14228238
Beyazal Polat H, Yilmaz H, Demir K, Kilinc K, Gülhan B, Rakici SY, Tumkaya L. Could Different Doses of Dexmedetomidine Be as Effective as Amifostine Against Radiotherapy-Induced Liver Injury in Rats? Evidence from Mitotic, Apoptotic, Oxidative, and Neurogenic Insights. Journal of Clinical Medicine. 2025; 14(22):8238. https://doi.org/10.3390/jcm14228238
Chicago/Turabian StyleBeyazal Polat, Hatice, Hamit Yilmaz, Kasım Demir, Kagan Kilinc, Belemir Gülhan, Sema Yilmaz Rakici, and Levent Tumkaya. 2025. "Could Different Doses of Dexmedetomidine Be as Effective as Amifostine Against Radiotherapy-Induced Liver Injury in Rats? Evidence from Mitotic, Apoptotic, Oxidative, and Neurogenic Insights" Journal of Clinical Medicine 14, no. 22: 8238. https://doi.org/10.3390/jcm14228238
APA StyleBeyazal Polat, H., Yilmaz, H., Demir, K., Kilinc, K., Gülhan, B., Rakici, S. Y., & Tumkaya, L. (2025). Could Different Doses of Dexmedetomidine Be as Effective as Amifostine Against Radiotherapy-Induced Liver Injury in Rats? Evidence from Mitotic, Apoptotic, Oxidative, and Neurogenic Insights. Journal of Clinical Medicine, 14(22), 8238. https://doi.org/10.3390/jcm14228238

