Next Issue
Volume 14, December-2
Previous Issue
Volume 14, November-2
 
 
jcm-logo

Journal Browser

Journal Browser

J. Clin. Med., Volume 14, Issue 23 (December-1 2025) – 354 articles

Cover Story (view full-size image): Pulmonary arterial hypertension (PAH) is a life-threatening cardiovascular disease with a significant burden of morbidity and mortality. While existing clinical risk assessment tools provide valuable guidance, the precise role of individual clinical parameters in predicting survival remains unclear. This study aims to enhance our understanding of these parameters by leveraging machine learning techniques to identify and rank their importance in predicting mortality among PAH patients. Using the Database of Pulmonary Hypertension in the Polish Population registry dataset and explainable AI methods, this research highlights the potential of artificial intelligence to complement traditional risk assessment approaches, offering clinicians a personalized tool for improved decision-making and patient management. View this paper
  • Issues are regarded as officially published after their release is announced to the table of contents alert mailing list.
  • You may sign up for e-mail alerts to receive table of contents of newly released issues.
  • PDF is the official format for papers published in both, html and pdf forms. To view the papers in pdf format, click on the "PDF Full-text" link, and use the free Adobe Reader to open them.
Order results
Result details
Section
Select all
Export citation of selected articles as:
19 pages, 372 KB  
Review
Spinal Cord Stimulation: Mechanisms of Action, Indications, Types, Complications
by Chrysoula Vlachou, Despoina Sarridou, Vasilios Grosomanidis, Ilias Voulgaris, Helena Argiriadou and Aikaterini Amaniti
J. Clin. Med. 2025, 14(23), 8615; https://doi.org/10.3390/jcm14238615 - 4 Dec 2025
Cited by 2 | Viewed by 2588
Abstract
Recent advances in neuromodulation are opening new pathways for treating chronic pain, with spinal cord stimulation (SCS) poised for substantial transformation in the coming years. Evolving technologies and a deeper understanding of pain mechanisms are driving a move away from traditional, standardized stimulation [...] Read more.
Recent advances in neuromodulation are opening new pathways for treating chronic pain, with spinal cord stimulation (SCS) poised for substantial transformation in the coming years. Evolving technologies and a deeper understanding of pain mechanisms are driving a move away from traditional, standardized stimulation models toward more precise and personalized interventions. This shift reflects not only technical progress but also a growing emphasis on tailoring treatment to individual patient profiles. Advances in neuromodulation have introduced new stimulation patterns such as high-frequency, burst and dorsal root ganglion stimulation, which developed to address the limitations of conventional tonic SCS, especially declining long-term efficacy and the need for paresthesia. Early studies show promising results for these newer modalities, but findings are inconsistent and long-term data remain limited. In this article, we explore the current landscape of SCS innovation, highlight emerging clinical approaches and discuss the conceptual and technological trends that are likely to redefine the role of neuromodulation in chronic pain management. Full article
(This article belongs to the Section Clinical Neurology)
Show Figures

Figure 1

25 pages, 4580 KB  
Review
Controversies in Cavernous Malformation Management: A Comprehensive Review of Current Literature
by Erika Carrassi, Edoardo Mazzucchi, Laura Raus, Mario Lecce, Laura Marucci, Alessia Farneti and Stefano Telera
J. Clin. Med. 2025, 14(23), 8614; https://doi.org/10.3390/jcm14238614 - 4 Dec 2025
Cited by 2 | Viewed by 1792
Abstract
Intracranial cavernous malformations (CMs) are angiographically occult, slow-flow vascular lesions composed of dilated, mulberry-like capillary clusters lacking intervening brain parenchyma. CMs typically have a low annual hemorrhage risk and are often discovered incidentally. Most patients are asymptomatic or exhibit mild neurological symptoms at [...] Read more.
Intracranial cavernous malformations (CMs) are angiographically occult, slow-flow vascular lesions composed of dilated, mulberry-like capillary clusters lacking intervening brain parenchyma. CMs typically have a low annual hemorrhage risk and are often discovered incidentally. Most patients are asymptomatic or exhibit mild neurological symptoms at the time of diagnosis. Despite decades of investigation, the optimal management of CMs remains controversial. Key clinical dilemmas include identifying which lesions warrant active treatment and when, selecting the best therapeutic approach based on patient age and lesion location (eloquent vs. non-eloquent areas), and determining how to address the hemosiderin rim often found surrounding the malformation. Additional questions involve the role of radiosurgery and appropriate management strategies during pregnancy. This review critically evaluates current literature concerning the natural history and treatment strategies for CMs, emphasizing evidence-based approaches to these unresolved issues. By summarizing and interpreting recent findings, we aim to provide a concise yet comprehensive overview to support clinicians in tailoring patient-specific management plans for this complex neurovascular pathology. Full article
(This article belongs to the Special Issue Neurovascular Diseases: Clinical Advances and Challenges)
Show Figures

Figure 1

11 pages, 608 KB  
Article
Multiplex PCR in Donor and Recipient Bronchoalveolar Lavage to Guide Early Antibiotic Prophylaxis Adaptation in Lung Transplantation: A Single-Center Cohort Study
by Damien Barrau, Geoffrey Brioude, Alban Todesco, Erwan Mesdon, Benjamin Coiffard, Christophe Guervilly, Geoffray Agard, Florence Daviet, Benoit D'Journo, Jean-Marie Forel, Marc Leone, Pierre Mora and Sami Hraiech
J. Clin. Med. 2025, 14(23), 8613; https://doi.org/10.3390/jcm14238613 - 4 Dec 2025
Viewed by 473
Abstract
Background/Objectives: International guidelines recommend the use of antibiotic prophylaxis for lung transplantation (LT). Although multiplex PCR (mPCR) has been shown to hasten antibiotic adaptation during pneumonia, its use to guide antibiotic prophylaxis in patients undergoing LT has not been described. We aimed [...] Read more.
Background/Objectives: International guidelines recommend the use of antibiotic prophylaxis for lung transplantation (LT). Although multiplex PCR (mPCR) has been shown to hasten antibiotic adaptation during pneumonia, its use to guide antibiotic prophylaxis in patients undergoing LT has not been described. We aimed to determine whether mPCR in bronchoalveolar lavage (BAL) in donor and recipient allows the early adaptation of antibiotic prophylaxis during LT. Methods: a retrospective, single-center study to evaluate the proportion of patients for whom mPCR (FilmArray Pneumonia Plus Panel®, Biomérieux (FAPP)) in the donor and recipient BAL resulted in an early modification of antibiotic prophylaxis. We also compared the time to results using mPCR and standard microbiology and the time spent with inadequate antibiotic prophylaxis. Results: Forty-one patients were included. Donor and recipient mPCR resulted in the early adaptation of antibiotic prophylaxis in 10 (24%) patients. Standard microbiology confirmed the results of mPCR in 90% of them. FAPP resulted in an antibiotic escalation based on donor (9/10) or recipient (1/10) BAL identification, mainly Group 3 Enterobacterales and non-fermenting Gram-negative bacilli. The time to results was 1.7 (1.5–2.4) h for mPCR vs. 74.3 (41.5–92.7) h for standard microbiology (p < 0.001) on donor BAL and 1.7 (1.5–2.4) h vs. 92.8 (48.4–112.9) h (p < 0.001) on recipient BAL. Patients with mPCR-based adaptation had a 71.9 (30.7–92.1) h reduction in the duration of inadequate antibiotic prophylaxis. Conclusions: mPCR in donor and recipient BAL during LT might lead to faster adaptation and a reduction in the time spent with inadequate antibiotic prophylaxis. Full article
Show Figures

Figure 1

14 pages, 992 KB  
Article
Feasibility and Preliminary Effects of Ballet-Based Group Dance Intervention in Relapsing–Remitting Multiple Sclerosis: A Pilot Study
by Daniela Ivaldi, Roberta Lombardo, Gabriele Triolo, Giovanni Restuccia, Carla Susinna, Lilla Bonanno, Carmela Rifici, Giangaetano D'Aleo, Edoardo Sessa, Angelo Quartarone and Viviana Lo Buono
J. Clin. Med. 2025, 14(23), 8612; https://doi.org/10.3390/jcm14238612 - 4 Dec 2025
Viewed by 579
Abstract
Background: Group-based dance interventions (GBDIs) have emerged as a promising approach to rehabilitation for neurological disorders. This pilot study evaluated the feasibility and preliminary effects of a GBDI on motor function, cognition, fatigue, and quality of life in individuals with Relapsing–Remitting Multiple Sclerosis [...] Read more.
Background: Group-based dance interventions (GBDIs) have emerged as a promising approach to rehabilitation for neurological disorders. This pilot study evaluated the feasibility and preliminary effects of a GBDI on motor function, cognition, fatigue, and quality of life in individuals with Relapsing–Remitting Multiple Sclerosis (RRMS). Methods: The intervention consisted of two 60-min ballet sessions per week over 10 weeks, structured as 10 min of warm-up, 40 min of ballet exercises, and 10 min of stretching. Assessments were conducted at baseline (T0) and post-intervention (T1). Concerning motor measures, balance was assessed using the Mini-BESTest; gait performance was evaluated through the 6-min walk test (6MWT), four square step test (FSST), and figure-of-8 walk test (F8WT); upper limb motor functions were assessed using the box and block test (BBT) and 9-hole peg test (9HPT). Regarding cognitive functions, the Rey auditory verbal learning test (RAVLT), symbol digit modalities test (SDMT), and trail making test A and B (TMT-A/B) were administered, while fatigue and quality of life were assessed using the modified fatigue impact scale (MFIS) and the Short Form survey-36 (SF-36), respectively. Results: At T1, participants improved in Mini-BESTest (+17.5%), 6MWT (+7.3%), and BBT dominant hand (+6.9%). Performance also improved on the following cognitive tests: RAVLT Immediate Recall (+5.9%), RAVLT Delayed Recall (+20.3%), SDMT (+47.4%), TMT-A (−21.2%), and (TMT-B −24.5%). Conclusions: The very small sample size (n = 4) and the lack of a control group probably restrict the generalizability of the findings. Consequently, the results obtained by this pilot study should be considered exploratory and hypothesis-generating rather than definitive evidence of a robust benefit. Future studies should confirm these findings by enlarging the intervention cohorts and adopting a randomized controlled design. In this sense, a 10-week GBDI may provide a solid base for a safe and promising dance-based rehabilitation program that could lead to improvements in motor, cognition, and psychosocial spheres in people with RRMS. Full article
(This article belongs to the Section Clinical Neurology)
Show Figures

Figure 1

11 pages, 521 KB  
Article
Outcome of Fontan Patients After Reaching Adolescence: The Impact of Hypoplastic Left Heart Syndrome
by Pinar Bambul Heck, Andreas Schüttler, Alfred Hager, Masamichi Ono, Jürgen Hörer, Peter Ewert and Oktay Tutarel
J. Clin. Med. 2025, 14(23), 8611; https://doi.org/10.3390/jcm14238611 - 4 Dec 2025
Viewed by 780
Abstract
Background/Objectives: Data on the long-term outcomes of hypoplastic left heart syndrome (HLHS) patients compared to other single-ventricle patients reaching adolescence after Fontan surgery is limited. This study analyzes the outcomes of HLHS patients compared to non-HLHS patients following total cavopulmonary connection (TCPC) [...] Read more.
Background/Objectives: Data on the long-term outcomes of hypoplastic left heart syndrome (HLHS) patients compared to other single-ventricle patients reaching adolescence after Fontan surgery is limited. This study analyzes the outcomes of HLHS patients compared to non-HLHS patients following total cavopulmonary connection (TCPC) from the same era at a large single center. Methods: This study included patients aged ≥ 12 years at the last follow-up who underwent TCPC surgery between 05/2001 and 12/2009, with follow-up data available from 05/2012 to 01/2024. The primary endpoint (Fontan-specific major adverse cardiovascular events, MACEs) included all-cause death, cardiac transplantation or listing, heart failure hospitalizations, ventricular arrhythmias, third-degree AV block, or resuscitation. Results: A total of 130 patients were included, with 39 (30.0%) having HLHS. Among non-HLHS patients, 18 (13.8%) had a systemic right ventricle, and 73 (56.2%) had a systemic left ventricle. The mean age at the last follow-up was 18.6 ± 3.2 years, with no significant age difference between groups (p = 0.195). HLHS patients experienced significantly more MACEs (p = 0.019), had reduced ventricular function (p = 0.009), and exhibited higher NT-proBNP levels (p = 0.004) compared to non-HLHS patients. Conclusions: While long-term outcomes for adolescents with TCPC are generally encouraging, HLHS patients are at higher risk of adverse cardiovascular events. These findings highlight the need for targeted follow-up and interventions to improve long-term prognosis in this high-risk group. Full article
(This article belongs to the Section Cardiology)
Show Figures

Figure 1

21 pages, 2057 KB  
Systematic Review
Systemic Inflammatory Biomarkers (Interleukin-6, High-Sensitivity C-Reactive Protein, and Neutrophil-to-Lymphocyte Ratio) and Prognosis in Heart Failure: A Meta-Analysis of Prospective Cohort Studies
by Ana-Maria Pah, Stefania Serban, Diana-Maria Mateescu, Ioana-Georgiana Cotet, Camelia-Oana Muresan, Adrian-Cosmin Ilie, Florina Buleu, Maria-Laura Craciun, Simina Crisan and Adina Avram
J. Clin. Med. 2025, 14(23), 8610; https://doi.org/10.3390/jcm14238610 - 4 Dec 2025
Cited by 2 | Viewed by 1638
Abstract
Background: Systemic inflammation plays a pivotal role in heart failure (HF) progression, yet no meta-analysis has synthesized prospective cohort data on interleukin-6 (IL-6), high-sensitivity C-reactive protein (hs-CRP), and neutrophil-to-lymphocyte ratio (NLR) as prognostic biomarkers. Objectives: To quantify the independent prognostic value of IL-6, [...] Read more.
Background: Systemic inflammation plays a pivotal role in heart failure (HF) progression, yet no meta-analysis has synthesized prospective cohort data on interleukin-6 (IL-6), high-sensitivity C-reactive protein (hs-CRP), and neutrophil-to-lymphocyte ratio (NLR) as prognostic biomarkers. Objectives: To quantify the independent prognostic value of IL-6, hs-CRP, and NLR for mortality and HF-related outcomes across HF phenotypes. Methods: Following PRISMA and MOOSE guidelines, we searched PubMed, Embase, Scopus, Web of Science, and CENTRAL from January 2014 to October 2025 for prospective cohorts reporting adjusted hazard ratios (HRs). Random-effects meta-analysis pooled HRs; heterogeneity was assessed via I2 statistic, with subgroup and sensitivity analyses for robustness. Quality was evaluated using Newcastle–Ottawa Scale (NOS) and GRADE. Results: Thirteen cohorts (n ≈ 19,000) were included. Elevated IL-6 (five studies) was associated with increased all-cause mortality and composite outcomes (low-moderate heterogeneity, I2 < 35%). hs-CRP (five studies) showed similar prognostic strength, with trajectories amplifying risk. NLR (three studies) independently predicted adverse events with negligible heterogeneity. Associations persisted across HFrEF and HFpEF, acute/chronic settings, and geographic regions, independent of natriuretic peptides and comorbidities (NOS median 8/9; GRADE moderate-to-high). Conclusions: IL-6, hs-CRP, and NLR are robust, independent prognostic biomarkers in HF, supporting their integration into clinical risk stratification and inflammation-targeted therapies. PROSPERO: CRD420251207035. Full article
(This article belongs to the Special Issue Therapies for Heart Failure: Clinical Updates and Perspectives)
Show Figures

Figure 1

14 pages, 3521 KB  
Review
Noninvasive Ventilation Effectiveness in Amyotrophic Lateral Sclerosis
by Jesús Sancho, Santos Ferrer and Jaime Signes-Costa
J. Clin. Med. 2025, 14(23), 8609; https://doi.org/10.3390/jcm14238609 - 4 Dec 2025
Viewed by 1368
Abstract
Amyotrophic lateral sclerosis (ALS) is a progressive neurodegenerative disease that affects motor neurons; respiratory problems are the leading cause of death and hospital admissions and are secondary to progressive weakness of the respiratory muscles and upper airway. Noninvasive ventilation (NIV) can increase survival, [...] Read more.
Amyotrophic lateral sclerosis (ALS) is a progressive neurodegenerative disease that affects motor neurons; respiratory problems are the leading cause of death and hospital admissions and are secondary to progressive weakness of the respiratory muscles and upper airway. Noninvasive ventilation (NIV) can increase survival, alleviate symptoms, reduce hospital admissions, and improve the quality of life of these patients. The key factor in respiratory management of patients with ALS is achieving effective NIV; ineffective NIV has a negative impact on survival, with a reduction of up to 50% compared to patients with an effective technique. The most common cause of ineffective NIV is air leaks; other causes include upper airway obstruction events, residual hypoventilation, hyperventilation, and upper airway obstruction secondary to an oronasal mask. Regular monitoring of the effectiveness of NIV is essential given its impact on survival; the key tools that detect the main problems are the presence of hypoventilation symptoms, arterial blood gases, nocturnal oximetry and capnography, and built-in ventilator software. Different measures have been proposed to address the ineffectiveness of NIV, such as fitting the mask to reduce air leaks, increasing ventilatory support for residual hypoventilation, decreasing ventilatory support for hyperventilation, or a trial with a nasal mask to address oronasal interface effects. In the case of obstruction, the most common measure is to increase positive expiratory pressure during NIV. These measures enable NIV to be effective in 58% of cases, achieving a survival rate similar to that of patients who have effective NIV from the outset. Full article
(This article belongs to the Section Respiratory Medicine)
Show Figures

Figure 1

25 pages, 4285 KB  
Review
Basic Optics Underlying Current Intraocular Lenses
by Yengwoo Son, Seung Pil Bang and Choul Yong Park
J. Clin. Med. 2025, 14(23), 8608; https://doi.org/10.3390/jcm14238608 - 4 Dec 2025
Viewed by 1650
Abstract
As surgeries using multifocal intraocular lenses (IOLs) to correct both cataracts and presbyopia have become common, it has become essential for clinicians to understand their basic optical characteristics to select the optimal lens for their patients. However, there are relatively few review articles [...] Read more.
As surgeries using multifocal intraocular lenses (IOLs) to correct both cataracts and presbyopia have become common, it has become essential for clinicians to understand their basic optical characteristics to select the optimal lens for their patients. However, there are relatively few review articles on optics that are directly useful to clinicians who perform surgery on patients. In this paper, we systematically review fundamental concepts, from the basic properties of light, geometric optics, and Gaussian approximation to lens performance metrics like the point spread function and modulation transfer function (MTF), and the clinical implications of spherical and chromatic aberrations. Based on these principles, the mechanisms of major multifocal technologies are explained. We also explore the refractive extended depth of focus lenses, which expand the range of focus by precisely controlling higher-order spherical aberrations. In contrast, diffractive lenses use diffractive kinoforms to split light into multiple foci, and they may also leverage higher diffraction orders to correct chromatic aberration. However, this multifocality involves an optical compromise, often resulting in a reduced overall MTF compared to monofocal IOLs and photic phenomena such as glare and halo. In conclusion, while multifocal IOLs are groundbreaking technology that significantly enhances quality of life by reducing spectacle dependence, this comes at the cost of sacrificing optimal image quality. Therefore, a thorough understanding of these optical principles by ophthalmologists is crucial for selecting the optimal lens according to each patient’s ocular condition and for managing postoperative outcomes. Full article
Show Figures

Figure 1

13 pages, 540 KB  
Article
Involvement of Iliofemoral Arteries in PET/CT Is Associated with Atherosclerotic Risk Factors in Takayasu’s Arteritis
by Sema Kaymaz-Tahra, Salih Ozguven, Aysegul Avcu, Nuh Filizoglu, Ali Ugur Unal, Tunc Ones, Tanju Yusuf Erdil, Fatma Alibaz-Oner and Haner Direskeneli
J. Clin. Med. 2025, 14(23), 8607; https://doi.org/10.3390/jcm14238607 - 4 Dec 2025
Viewed by 567
Abstract
Background/Objectives: Takayasu’s arteritis (TAK) is an inflammatory vascular disease, but atherosclerotic mechanisms may also contribute to vascular injury in TAK. This study aimed to evaluate the clinical and imaging characteristics of TAK patients with and without iliofemoral artery involvement on FDG-PET/CT, focusing [...] Read more.
Background/Objectives: Takayasu’s arteritis (TAK) is an inflammatory vascular disease, but atherosclerotic mechanisms may also contribute to vascular injury in TAK. This study aimed to evaluate the clinical and imaging characteristics of TAK patients with and without iliofemoral artery involvement on FDG-PET/CT, focusing on the association with classical atherosclerotic risk factors. Methods: Patients fulfilling the 1990 ACR classification criteria for TAK who underwent FDG-PET/CT imaging during follow-up were retrospectively analyzed. Demographic, clinical, and laboratory data were recorded, including traditional cardiovascular risk factors: diabetes, hypertension, hyperlipidemia, smoking, obesity (BMI ≥ 30 kg/m2), and family history of cardiovascular disease. PET vascular activity score (PETVAS) and visual analysis were used to assess vascular inflammation. Results: PET/CT scans of 77 TAK patients (F/M = 63/14) were evaluated. The mean age was 43.0 ± 12.9 years, and the mean disease duration was 120.1 ± 88.8 months. Iliofemoral artery involvement was observed in nine (12%) patients. Compared to those without such involvement, these patients were older (52.5 ± 17.4 vs. 41.3 ± 12.1 years, p = 0.098), more frequently male (44% vs. 6%, p = 0.015), and had higher CRP levels (38.5 mg/L vs. 10.7 mg/L, p = 0.026). Smoking (77% vs. 40%, p = 0.045) and chronic kidney disease (22% vs. 4%, p = 0.046) were also more prevalent. PET activity according to visual analysis was higher among those with iliofemoral involvement (67% vs. 27%, p = 0.015). In multivariate analysis, older age (OR = 1.07, p = 0.044) and male sex (OR = 6.68, p = 0.039) were independently associated with iliofemoral artery involvement. Conclusions: Iliofemoral artery involvement on PET/CT in TAK patients was associated with traditional atherosclerotic risk factors—particularly older age, male sex and smoking. These findings suggest that atherosclerotic mechanisms may coexist with or amplify vascular inflammation in TAK. Aggressive management of cardiovascular risk factors should therefore be emphasized in this subgroup of TAK patients. Full article
(This article belongs to the Special Issue Cardiovascular Risks in Autoimmune and Inflammatory Diseases)
Show Figures

Figure 1

20 pages, 337 KB  
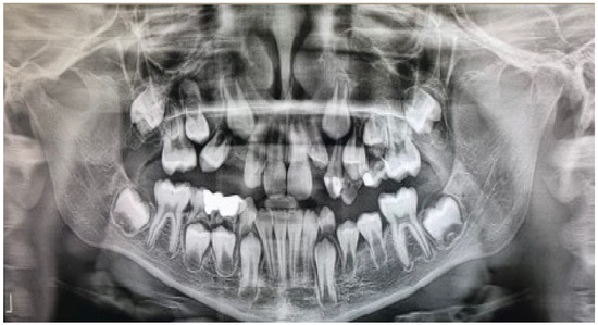
Article
Associations Between Anteroposterior Occlusal Class, Musculoskeletal Pain Patterns, and Temporomandibular Disorders in Young Adults: A Cross-Sectional Study
by Monika Nowak, Joanna Golec, Jędrzej Golec and Aneta Wieczorek
J. Clin. Med. 2025, 14(23), 8606; https://doi.org/10.3390/jcm14238606 - 4 Dec 2025
Viewed by 802
Abstract
Background: The relationship between sagittal malocclusion, temporomandibular disorders (TMD), and musculoskeletal pain remains uncertain. Methods: Cross-sectional study (April 2020–August 2021) in Małopolska, Poland. Ninety participants (ages 19–35) were classified into Angle Classes I–III (n = 30 each) and examined using RDC/TMD (Axis I/II). [...] Read more.
Background: The relationship between sagittal malocclusion, temporomandibular disorders (TMD), and musculoskeletal pain remains uncertain. Methods: Cross-sectional study (April 2020–August 2021) in Małopolska, Poland. Ninety participants (ages 19–35) were classified into Angle Classes I–III (n = 30 each) and examined using RDC/TMD (Axis I/II). A proprietary, nonvalidated, piloted whole-body pain-map questionnaire, presented in anterior and posterior views and subdividing the body into predefined craniofacial, spinal, and limb regions, was used to capture pain presence, Numerical Rating Scale (NRS, 0–10) scores by region, and the total number of painful sites. Group differences were analyzed using χ2 and Kruskal–Wallis tests with corresponding effect sizes (measures of association strength). For NRS outcomes, a minimal clinically important difference (MCID)—defined as the smallest difference in NRS considered clinically relevant—was prespecified as approximately 1 point. Results: Occlusal class was not associated with TMD Axis I prevalence. However, sagittal malocclusion—particularly Class III—was linked to a less favorable pain profile. Left temporal pain was more frequent in Class III than in Classes I–II (p = 0.024, Cramér’s V = 0.31, medium effect), and cervical spine pain occurred more often in malocclusion groups than in Class I (p = 0.043, Cramér’s V = 0.26, small effect), indicating statistically significant associations. Cervical pain intensity was higher in Classes II–III than in Class I, with a pooled mean difference—defined as the difference in mean NRS between the combined Classes II–III and Class I—of 1.23 NRS points (95% CI 0.38–2.08), exceeding the ≈1-point MCID and suggesting a clinically important burden. The total number of painful sites was also greater in Class III than in Class I (p = 0.023, η2 = 0.09; Δ = 1.40 sites, 95% CI 0.39–2.41), which indicates a statistically significant association with a medium effect size and a higher overall pain burden. Conclusions: Sagittal occlusal class was not associated with TMD diagnosis, but malocclusion—especially Class III—was associated with a more unfavorable craniofacial pain pattern and higher cervical pain burden (p ≤ 0.05), with effects of potential clinical relevance. Full article
18 pages, 794 KB  
Systematic Review
From Living Room to Operating Room for Patients with Pulmonary Surgeries: A Systematic Review of Literature
by Fatma Öztürk, Zeynep İclal Sağ, Ömer Bayrak and Esra Pehlivan
J. Clin. Med. 2025, 14(23), 8605; https://doi.org/10.3390/jcm14238605 - 4 Dec 2025
Viewed by 667
Abstract
Introduction: This systematic review aimed to evaluate the effectiveness of preoperative home-based exercise training on clinical outcomes in patients undergoing pulmonary surgery. Methods: A comprehensive literature search was conducted on 25 October 2024, in PubMed, Scopus, PEDro, and Cochrane databases for English-language studies [...] Read more.
Introduction: This systematic review aimed to evaluate the effectiveness of preoperative home-based exercise training on clinical outcomes in patients undergoing pulmonary surgery. Methods: A comprehensive literature search was conducted on 25 October 2024, in PubMed, Scopus, PEDro, and Cochrane databases for English-language studies published between 2014 and 2024. Randomized controlled trials, non-randomized trials, feasibility studies, and cohort studies involving adults scheduled for pulmonary surgery and receiving home-based prehabilitation were included. Methodological quality was assessed using the PEDro Quality Assessment scale and i-CONTENT tool. Results: Six studies involving patients undergoing pulmonary surgery were included, of which three were randomized controlled trials. Two studies were rated as excellent quality, one as good, two as moderate, and one as poor. Interventions ranged from 2 to 12 weeks and generally included aerobic or functional training. Compared to usual care, participants in home-based exercise groups showed improvements in physical capacity (e.g., 6-min walk test, sit-to-stand), enhanced quality of life, and reduced hospital length of stay. Conclusions: Preoperative home-based exercise training appears to be a feasible and effective approach to improve functional outcomes and reduce hospitalization after pulmonary surgery. However, heterogeneity in study design and quality limits generalizability, highlighting the need for further high-quality trials. Full article
(This article belongs to the Section Clinical Rehabilitation)
Show Figures

Figure 1

12 pages, 1782 KB  
Article
Real-World Clinical Outcomes and Biopsy Patterns of Older Patients with Unresected Non-Small-Cell Lung Cancer Treated with Primary Stereotactic Body Radiotherapy
by Pragya Rai, Su Zhang, Yan Song, Chi Gao, Anya Jiang, Jiayang Li, Peixi Jiang, James Signorovitch, Ashwini Arunachalam, Andrew Song, Ayman Samkari and Megan E. Daly
J. Clin. Med. 2025, 14(23), 8604; https://doi.org/10.3390/jcm14238604 - 4 Dec 2025
Viewed by 561
Abstract
Background/Objectives: We describe the real-world survival and utilization of lung biopsy in Medicare patients with unresected stage I-IIB (N0) non-small-cell lung cancer (NSCLC) receiving primary stereotactic body radiotherapy (SBRT) in the US. Methods: Patients (aged ≥66 years) with unresected stage I-IIB [...] Read more.
Background/Objectives: We describe the real-world survival and utilization of lung biopsy in Medicare patients with unresected stage I-IIB (N0) non-small-cell lung cancer (NSCLC) receiving primary stereotactic body radiotherapy (SBRT) in the US. Methods: Patients (aged ≥66 years) with unresected stage I-IIB (N0) NSCLC who received primary SBRT were identified in the SEER-Medicare database (2007–2020) and followed from SBRT initiation until death/data end. Outcomes included overall and disease-stage-specific real-world event-free survival (rwEFS), overall survival (OS), lung cancer-specific cumulative incidence of death, and time to death or distant metastasis (TDDM). rwEFS, OS, and TDDM were described using Kaplan–Meier analysis. Median times from lung biopsy to SBRT were summarized. Results: Of 3014 patients (median follow-up: 2.9 years), 2302 (76.4%), 454 (15.1%), 168 (5.6%), and 90 (3.0%) had stage IA, IB, IIA, and IIB disease, respectively. The mean age at diagnosis was 77.3 years, 37.7% were male, and 86.9% were White. Overall, the 5-year rwEFS rate was 23.8% (median 26.2 months), the 5-year OS rate was 42.3% (median 48.9 months), and the 5-year lung cancer-specific cumulative incidence of death was 25.3%. rwEFS and OS rates declined with more advanced disease stage at diagnosis. Most patients (90.1%) underwent lung biopsy within 12 months before SBRT. Conclusions: Among older US patients with unresected NSCLC receiving SBRT, prognosis remains limited, with many deaths due to non-lung cancer causes. Recurrence and survival were lower among subgroups with more advanced disease. These findings benchmark real-world outcomes for future studies assessing novel strategies in this patient population. Full article
Show Figures

Figure 1

12 pages, 754 KB  
Article
Time to Death and Nursing Home Admission in Older Adults with Hip Fracture: A Retrospective Cohort Study
by Yoichi Ito, Norio Yamamoto, Yosuke Tomita, Kotaro Adachi, Masaaki Konishi and Kunihiko Miyazawa
J. Clin. Med. 2025, 14(23), 8603; https://doi.org/10.3390/jcm14238603 - 4 Dec 2025
Cited by 1 | Viewed by 1151
Abstract
Background: Hip fractures in older adults are sentinel events linked to high mortality and functional decline. Few studies have quantified long-term survival probabilities, standardized mortality ratios (SMRs), and risks of new nursing home admission alongside patient-related predictors. Methods: We retrospectively analyzed [...] Read more.
Background: Hip fractures in older adults are sentinel events linked to high mortality and functional decline. Few studies have quantified long-term survival probabilities, standardized mortality ratios (SMRs), and risks of new nursing home admission alongside patient-related predictors. Methods: We retrospectively analyzed 355 patients aged ≥ 60 years who underwent hip fracture surgery at a general hospital in Japan (2020–2024). Primary outcomes were mortality and new nursing home admission. Survival probabilities and remaining life expectancy were estimated, and SMRs were calculated using age- and sex-matched national data. Cox regression identified independent predictors. Results: Mean age was 84 years; 76% were female. Mortality probabilities at 1, 2, and 3 years were 23%, 41%, and 60%, respectively; SMRs consistently exceeded 9. Median remaining life expectancy was 260 days. New nursing home admissions occurred in 42%, with cumulative probabilities of 16%, 27%, and 35% at 1, 2, and 3 years, respectively, showing a rapid rise within 9 months. Independent predictors of mortality were delayed surgery, higher Charlson Comorbidity Index, and low Geriatric Nutritional Risk Index. Older age and failure to regain ambulatory ability at 3 months predicted institutionalization. Conclusions: Older adults with hip fractures face persistently high mortality and institutionalization risks, comparable to advanced malignancies or neurodegenerative diseases. Surgical timing, comorbidities, nutrition, and functional recovery critically influence prognosis and should guide perioperative care and discharge planning. Full article
Show Figures

Figure 1

15 pages, 410 KB  
Review
Physical Activity and Education in the Care of IBD: The Role of the Physiotherapist—A Narrative Review
by Zita Kovács, Péter Bacsur, Blanka Bernadett Kasza, Tamás Molnár and Andrea Domján
J. Clin. Med. 2025, 14(23), 8602; https://doi.org/10.3390/jcm14238602 - 4 Dec 2025
Viewed by 1580
Abstract
Inflammatory bowel diseases (IBD), including Crohn’s disease (CD) and ulcerative colitis (UC), are chronic, immune-mediated conditions that significantly affect quality of life (QoL). The disease can cause extraintestinal manifestations, the most common of which is musculoskeletal involvement, which can lead to reduced physical [...] Read more.
Inflammatory bowel diseases (IBD), including Crohn’s disease (CD) and ulcerative colitis (UC), are chronic, immune-mediated conditions that significantly affect quality of life (QoL). The disease can cause extraintestinal manifestations, the most common of which is musculoskeletal involvement, which can lead to reduced physical activity (PA) and further impair QoL. In this narrative review, the literature was studied regarding the effects of PA types and patient education in IBD. There is growing evidence that regular PA and an active lifestyle have a positive impact on patients’ QoL, reduce symptoms, and contribute to maintaining remission. Aerobic and resistance training programs, when properly dosed, have been shown to be safe, improve physical condition, and have an impact on psychological well-being, while not increasing disease activity. On the other hand, there is no consensus on the safety of high-intensity training, so individualized, gradual training programs are recommended. The lack of PA and low levels of PA among IBD patients are partly due to fatigue, fear of symptoms, and joint pain, which may be caused by a lack of adequate education. A multidisciplinary approach and the involvement of physiotherapists are often lacking. Available data show that structured, patient-centered education programs and personalized exercise therapies can help increase PA and improve QoL. Overall, regular PA should be an important therapeutic adjunct to IBD treatment, but further research is needed to investigate training programs of appropriate intensity and frequency that can be used safely, and we also recommend assessing the need for patient education. Full article
(This article belongs to the Section Gastroenterology & Hepatopancreatobiliary Medicine)
Show Figures

Figure 1

16 pages, 2338 KB  
Article
Body Weight Distribution and Balance in Patients with Valgus or Varus Knee Deformity Treated with Hemiepiphysiodesis
by Paweł Leyko, Monika Zaborska, Agnieszka Walczak, Łukasz Tomczyk, Marcin Pelc, Aleksander Mnich, Igor Kowal and Piotr Morasiewicz
J. Clin. Med. 2025, 14(23), 8601; https://doi.org/10.3390/jcm14238601 - 4 Dec 2025
Viewed by 528
Abstract
Background: Biomechanical disorders may result from joint deformities. The purpose of this prospective research was to assess total load distribution over the lower limbs and balance in individuals before and after an hemiepiphysiodesis procedure performed due to valgus or varus knee deformity. Methods: [...] Read more.
Background: Biomechanical disorders may result from joint deformities. The purpose of this prospective research was to assess total load distribution over the lower limbs and balance in individuals before and after an hemiepiphysiodesis procedure performed due to valgus or varus knee deformity. Methods: Thirty-five patients, mean age 12 years, who underwent hemiphysiodesis for valgus or varus deformity of the knee were evaluated in comparison to a healthy control group. In patients, the percentage distribution of weight-bearing capacity between the operated and unoperated limbs was analyzed before and after surgery. Balance was assessed based on CoG (center of gravity) sway area and the CoG path length. Results were collected using the FreeMED MAXI pedobarographic platform. Results: Before surgery, statistically significant lower load on the entire affected limb was noted compared to unaffected limb. The values of path of center of gravity improved statistically significantly after surgery, compared to the values before surgery. There were no differences in the load on the treated lower limb in the study group and the non-dominant limb in the control group. There were no differences between the load on the non-operated limb in the study group and the load on the dominant limb in the control group. In the hemiepiphysiodesis group there were no significant differences between the mean total load on the treated and untreated limb after surgery. The median CoG sway area and path length in the group of patients after hemiphysiodesis and in the healthy control group did not differ. Conclusions: After hemiphysiodesis, the percentage load distribution did not differ between the operated and non-operated lower limb. Hemiepiphysiodesis allows for achieving balance similar to the healthy control group. Performing hemiepiphysiodesis allows for the improvement of balance parameters and load distribution in the lower limbs. Full article
Show Figures

Figure 1

22 pages, 481 KB  
Review
Artificial Intelligence for Predicting Difficult Airways: A Review
by Meruyert Alatau, Johann Bauer and Vitaliy Sazonov
J. Clin. Med. 2025, 14(23), 8600; https://doi.org/10.3390/jcm14238600 - 4 Dec 2025
Cited by 2 | Viewed by 1524
Abstract
Background: Accurately predicting difficult airways is essential to ensuring patient safety in anesthesiology and emergency medicine. However, traditional assessment tools often lack sufficient sensitivity and specificity, particularly in high-pressure or resource-limited settings. Artificial intelligence (AI) and machine learning (ML) have emerged as [...] Read more.
Background: Accurately predicting difficult airways is essential to ensuring patient safety in anesthesiology and emergency medicine. However, traditional assessment tools often lack sufficient sensitivity and specificity, particularly in high-pressure or resource-limited settings. Artificial intelligence (AI) and machine learning (ML) have emerged as promising tools for enhancing airway assessment. Objective: This review evaluates the performance of AI- and ML-based models for predicting difficult airways and compares them with traditional clinical methods. The review also analyzes the models’ methodological robustness, clinical applicability, and ethical considerations. Methods: A comprehensive literature search was conducted across PubMed, Web of Science, and Scopus to identify studies published between 2020 and 2025 that employed AI/ML models to predict difficult airways. Both original research and review articles were included. Key metrics, such as the area under the curve (AUC), sensitivity, and specificity, were extracted and compared. A qualitative analysis was performed to focus on dataset characteristics, validation strategies, model interpretability, and clinical relevance. Results: AI models demonstrated superior performance compared to traditional assessment tools. The MixMatch semi-supervised deep learning (DL) model achieved the highest performance (area under the curve [AUC] of 0.9435, sensitivity of 89.58%, and specificity of 90.13%). Models that used facial imaging combined with deep learning consistently outperformed those that relied solely on clinical parameters. However, methodological heterogeneity, a lack of standardized evaluation metrics, and limited population diversity impeded cross-study comparability. Few studies incorporated interpretability frameworks or addressed ethical challenges related to data privacy and algorithmic bias. Conclusions: AI and ML models have the potential to transform the assessment of difficult airways by improving diagnostic accuracy and enabling real-time clinical decision support. Full article
(This article belongs to the Special Issue Airway Management: From Basic Techniques to Innovative Technologies)
Show Figures

Figure 1

14 pages, 590 KB  
Review
Chronic Hydroxyurea Therapy in Children with Sickle Cell Anemia: Mechanisms of Action, Systemic Effects, and Long-Term Safety
by Federica Fogliazza, Martina Berzieri, Giulia Carbone, Davide Ciriaco and Susanna Esposito
J. Clin. Med. 2025, 14(23), 8599; https://doi.org/10.3390/jcm14238599 - 4 Dec 2025
Viewed by 1360
Abstract
Sickle cell disease (SCD) is the most common monogenic disorder worldwide and remains a major cause of morbidity and mortality. Sickle cell anemia (SCA), the homozygous HbSS genotype, represents the most severe and frequent form within the spectrum of SCD. Hydroxyurea (HU), a [...] Read more.
Sickle cell disease (SCD) is the most common monogenic disorder worldwide and remains a major cause of morbidity and mortality. Sickle cell anemia (SCA), the homozygous HbSS genotype, represents the most severe and frequent form within the spectrum of SCD. Hydroxyurea (HU), a ribonucleotide reductase inhibitor, represents the first and most widely used disease-modifying therapy for SCA. This review summarizes current evidence on the mechanisms of action, clinical efficacy, systemic effects, and long-term safety of chronic HU therapy in patients with SCA. A comprehensive literature search was conducted in PubMed up to 2025 using the terms “sickle cell disease,” “sickle cell anemia”, “hydroxyurea,” and “children” or “paediatric.” Eligible studies included randomized controlled trials, cohort studies, and systematic reviews evaluating HU therapy in SCA. Literature analysis showed that HU exerts pleiotropic effects by inducing fetal hemoglobin (HbF) synthesis, improving red blood cell deformability, reducing leukocyte and platelet counts, and enhancing nitric oxide bioavailability. These mechanisms lead to decreased vaso-occlusive crises, acute chest syndrome, transfusion requirements, and overall mortality. Beyond hematologic improvement, HU confers neuroprotective benefits, modulates inflammatory and immune pathways, and supports normal growth and endocrine development in children. Adverse events, primarily mild bone marrow suppression, are dose-dependent and reversible with appropriate monitoring. No evidence supports an increased risk of malignancy with long-term use. In conclusion, chronic HU therapy is a safe, effective, and multifaceted treatment that substantially improves survival and quality of life in patients with SCA. Early initiation and individualized dosing maximize its therapeutic benefits and help prevent irreversible organ damage. Full article
(This article belongs to the Special Issue Clinical Trends and Prospects in Laboratory Hematology)
Show Figures

Figure 1

15 pages, 3892 KB  
Article
Cosmetic Benefits of Medium-Depth Chemical Peels for Moderate Acne Lesions and Atrophic Acne Scars: A Single-Arm Clinical Trial in Young Adults
by Anna Deda, Magdalena Hartman-Petrycka, Marta Gędoś, Martyna Wojciechowska and Dominika Wcisło-Dziadecka
J. Clin. Med. 2025, 14(23), 8598; https://doi.org/10.3390/jcm14238598 - 4 Dec 2025
Viewed by 2458
Abstract
Background: Acne vulgaris is a common inflammatory disorder with significant clinical and psychosocial impacts. Medium-depth chemical peels are increasingly used to manage both active acne lesions and atrophic acne scars. This study aimed to quantitatively assess the clinical effectiveness of a novel multimodal [...] Read more.
Background: Acne vulgaris is a common inflammatory disorder with significant clinical and psychosocial impacts. Medium-depth chemical peels are increasingly used to manage both active acne lesions and atrophic acne scars. This study aimed to quantitatively assess the clinical effectiveness of a novel multimodal medium-depth chemical peel regimen, yellow peel, in improving acne severity and scar depth, as well as skin hydration and sebum production in patients with mild to moderate facial acne. Methods: Twenty patients (17 women and 3 men) aged 20–25 with mild to moderate acne vulgaris underwent two sessions of yellow peel treatment at four-week intervals. The peel protocol combined glycolic acid, salicylic acid, and a multi-acid mask containing retinol, azelaic, phytic, kojic, and salicylic acids. Clinical outcomes were evaluated at baseline, four weeks after the first peel, and two months after the second peel. Assessments included the Investigators Global Assessment (IGA), inflammatory lesion count, 3D scar depth analysis, skin hydration (corneometer), and sebum secretion (sebumeter). Results: Yellow peel treatment significantly reduced acne severity, with an 85% decrease in inflammatory lesion counts and over 20% reduction in scar depth. Skin hydration improved significantly across all facial regions, and sebum secretion decreased substantially, enhancing skin barrier function and seboregulation. Statistical analysis confirmed the treatment’s efficacy with sustained improvements two months post-final peel. Conclusions: The yellow peel protocol is an effective and well-tolerated adjunct therapy for managing mild to moderate acne and atrophic acne scars. By combining exfoliative, anti-inflammatory, antibacterial, sebostatic, and depigmenting agents, this multimodal approach delivers comprehensive skin improvement. Further large-scale, controlled studies are recommended to confirm long-term safety and efficacy. Full article
(This article belongs to the Special Issue New Insights into Acne Vulgaris Treatment and Management Strategies)
Show Figures

Figure 1

17 pages, 2274 KB  
Article
ZTE MRI for Rotator Cuff Tear Arthropathy: Integrated Bone–Muscle Analysis and Its Association with Pseudoparesis
by Engin Türkay Yılmaz, Serkan İbik, Vedat Yaman, Şeyda Betül Fındık, Üstün Aydıngöz and Gazi Huri
J. Clin. Med. 2025, 14(23), 8597; https://doi.org/10.3390/jcm14238597 - 4 Dec 2025
Viewed by 763
Abstract
Background/Objectives: Evaluating glenoid changes in rotator cuff tear arthropathy (RCTA) is crucial for preoperative planning. MRI with zero echo time (ZTE) sequence, which produces CT-like images, allows for the assessment of osseous morphology as well as factors contributing to pseudoparesis in RCTA patients. [...] Read more.
Background/Objectives: Evaluating glenoid changes in rotator cuff tear arthropathy (RCTA) is crucial for preoperative planning. MRI with zero echo time (ZTE) sequence, which produces CT-like images, allows for the assessment of osseous morphology as well as factors contributing to pseudoparesis in RCTA patients. Methods: In this retrospective study, using 3T MRI, glenoid version, glenoid vault depth, humeral subluxation index, humeral head medialization, critical shoulder angle, glenoid best-fit circle width, glenoid best-fit circle bone loss ratio (GBLR), and anterior, central, and posterior glenoid bone loss were measured on reformatted 3D ZTE images in 43 shoulders independently by three observers. The same measurements were repeated by one observer after 10 days. Muscle cross-sectional areas were measured. Patients’ active ROMs, American Shoulder and Elbow Surgeons (ASES), and Constant–Murley scores were recorded. Patients unable to perform 90° forward elevation were classified as the pseudoparesis group. Results: Interobserver agreements were good to excellent, except for glenoid vault depth, anterior bone loss, and GBLR. Intraobserver agreements were good to excellent. The pseudoparesis group showed significantly less subscapularis muscle cross-sectional area (p = 0.006). Moderate correlations were found between subscapularis cross-sectional area and forward elevation, abduction, and internal rotation ([r = 0.471, p = 0.001]; [r = 0.447, p = 0.003]; [r = 0.464, p = 0.002], respectively). Moderate negative correlations were found between anterior glenoid loss and forward elevation (r = −0.411, p = 0.006) and abduction (r = −0.475, p = 0.001). Conclusions: MRI with ZTE sequence demonstrated good reliability for assessing osseous morphology in shoulders with RCTA. Glenoid anterior bone loss and loss of subscapularis muscle are both associated with pseudoparesis. Full article
(This article belongs to the Section Orthopedics)
Show Figures

Figure 1

15 pages, 582 KB  
Article
The Role of the Lymphocyte Transformation Test in Immune-Related Adverse Events from Immune Checkpoint Inhibitors: A Case Series
by Fiorela C. Dueñas Lopez, Zoraida del Solar Moreno, Daniela Aguilar-Concepción, Carmen Ruiz-Fernández, Ibtissam Akatbach-Bousaid, Olga Rogozina, Susana Martín-López, Ana Martínez Feito, Miguel González-Muñoz and Elena Ramírez
J. Clin. Med. 2025, 14(23), 8596; https://doi.org/10.3390/jcm14238596 - 4 Dec 2025
Viewed by 547
Abstract
Background: Immune-related adverse events (irAEs) represent a considerable complication associated with the use of immune checkpoint inhibitors (ICIs) in oncology patients. Assessing causality is particularly challenging in patients administered multiple therapeutic agents. The Lymphocyte Transformation Test (LTT) may aid in causality analysis, [...] Read more.
Background: Immune-related adverse events (irAEs) represent a considerable complication associated with the use of immune checkpoint inhibitors (ICIs) in oncology patients. Assessing causality is particularly challenging in patients administered multiple therapeutic agents. The Lymphocyte Transformation Test (LTT) may aid in causality analysis, although its clinical utility remains investigational. Objectives: To evaluate the potential utility of the Lymphocyte Transformation Test (LTT) in the causality analysis of irAEs in cancer patients and to assist clinicians in the decision-making process regarding ICI rechallenge. Methodology: We present a case series of seventeen cancer patients who developed irAEs during ICI therapy. Causality was assessed using the Spanish Pharmacovigilance System, and LTT was performed for both ICIs and co-medications. Results: Events primarily affect hepatic, respiratory, and renal functions. Five patients showed a positive LTT to ICIs (range 3.9–13.6), all with high-grade irAEs, and none underwent rechallenge. Six patients were positive for concomitant drugs: three tested positive for both. The initial high-grade irAEs rate was 53.9%. After rechallenging, 81.8% had all-grade and 45.5% had high-grade irAEs, predominantly pneumonitis. Conclusions: LTT may provide supportive evidence in complex irAE cases and assist clinicians in decision-making regarding ICI rechallenge. More prospective studies are needed. Full article
(This article belongs to the Special Issue Clinical Pharmacology: Adverse Drug Reactions)
Show Figures

Figure 1

18 pages, 1001 KB  
Article
Artificial Intelligence Physician Avatars for Patient Education: A Pilot Study
by Syed Ali Haider, Srinivasagam Prabha, Cesar Abraham Gomez-Cabello, Ariana Genovese, Bernardo Collaco, Nadia Wood, Mark A. Lifson, Sanjay Bagaria, Cui Tao and Antonio Jorge Forte
J. Clin. Med. 2025, 14(23), 8595; https://doi.org/10.3390/jcm14238595 - 4 Dec 2025
Viewed by 2159
Abstract
Background: Generative AI and synthetic media have enabled realistic human Embodied Conversational Agents (ECAs) or avatars. A subset of this technology replicates faces and voices to create realistic likenesses. When combined with avatars, these methods enable the creation of “digital twins” of physicians, [...] Read more.
Background: Generative AI and synthetic media have enabled realistic human Embodied Conversational Agents (ECAs) or avatars. A subset of this technology replicates faces and voices to create realistic likenesses. When combined with avatars, these methods enable the creation of “digital twins” of physicians, offering patients scalable, 24/7 clinical communication outside the immediate clinical environment. This study evaluated surgical patient perceptions of an AI-generated surgeon avatar for postoperative education. Methods: We conducted a pilot feasibility study with 30 plastic surgery patients at Mayo Clinic, USA (July–August 2025). A bespoke interactive surgeon avatar was developed in Python using the HeyGen IV model to reproduce the surgeon’s likeness. Patients interacted with the avatar through natural voice queries, which were mapped to predetermined, pre-recorded video responses covering ten common postoperative topics. Patient perceptions were assessed using validated scales of usability, engagement, trust, eeriness, and realism, supplemented by qualitative feedback. Results: The avatar system reliably answered 297 of 300 patient queries (99%). Usability was excellent (mean System Usability Scale score = 87.7 ± 11.5) and engagement high (mean 4.27 ± 0.23). Trust was the highest-rated domain, with all participants (100%) finding the avatar trustworthy and its information believable. Eeriness was minimal (mean = 1.57 ± 0.48), and 96.7% found the avatar visually pleasing. Most participants (86.6%) recognized the avatar as their surgeon, although many still identified it as artificial; voice resemblance was less convincing (70%). Interestingly, participants with prior exposure to deepfakes demonstrated consistently higher acceptance, rating usability, trust, and engagement 5–10% higher than those without prior exposure. Qualitative feedback highlighted clarity, efficiency, and convenience, while noting limitations in realism and conversational scope. Conclusions: The AI-generated physician avatar achieved high patient acceptance without triggering uncanny valley effects. Transparency about the synthetic nature of the technology enhanced, rather than diminished, trust. Familiarity with the physician and institutional credibility likely played a key role in the high trust scores observed. When implemented transparently and with appropriate safeguards, synthetic physician avatars may offer a scalable solution for postoperative education while preserving trust in clinical relationships. Full article
Show Figures

Figure 1

25 pages, 932 KB  
Review
Mavacamten for Obstructive Hypertrophic Cardiomyopathy: Targeting Sarcomeric Hypercontractility with Demonstrated Long-Term Safety and Efficacy—A Narrative Review
by Ghaith K. Mansour, Ali F. Altebainawi, Ahmad W. Hajjar, Sabry Babiker H. Sayed, Fares A. Alazem and Muhammad Raihan Sajid
J. Clin. Med. 2025, 14(23), 8594; https://doi.org/10.3390/jcm14238594 - 4 Dec 2025
Viewed by 2710
Abstract
Hypertrophic cardiomyopathy (HCM) is the most prevalent hereditary cardiovascular disorder characterized by unexplained left ventricular hypertrophy, sarcomeric hypercontractility, and dynamic left ventricular outflow tract (LVOT) obstruction in approximately 70% of patients. Current therapies predominantly offer symptomatic relief through indirect modulation of cardiac function, [...] Read more.
Hypertrophic cardiomyopathy (HCM) is the most prevalent hereditary cardiovascular disorder characterized by unexplained left ventricular hypertrophy, sarcomeric hypercontractility, and dynamic left ventricular outflow tract (LVOT) obstruction in approximately 70% of patients. Current therapies predominantly offer symptomatic relief through indirect modulation of cardiac function, leaving the underlying molecular pathophysiology unaddressed. Mavacamten, a first-in-class, selective allosteric inhibitor of β-cardiac myosin ATPase, exemplifies a precision pharmacological approach by directly targeting the sarcomeric hypercontractility fundamental to obstructive HCM (oHCM). This review synthesizes extensive clinical and preclinical evidence delineating mavacamten’s mechanism of action, pharmacokinetics influenced by CYP2C19 genotype variability, and its demonstrated efficacy and long-term safety in improving functional capacity, symptom burden, and cardiac remodeling. Landmark trials, including EXPLORER-HCM and MAVERICK-HCM, underscore mavacamten’s ability to reduce LVOT gradients, enhance diastolic function, and lower cardiac biomarkers, heralding a paradigm shift from symptomatic management to disease-modifying therapy. Despite current knowledge gaps in long-term outcomes and diverse population responses, mavacamten establishes a critical foundation for molecularly targeted therapeutics in HCM and broader cardiomyopathies. Full article
(This article belongs to the Section Cardiovascular Medicine)
Show Figures

Figure 1

12 pages, 1073 KB  
Article
Clinical Characteristics of Patients with Neovascular Age-Related Macular Degeneration and Responses to Anti-VEGF Therapy: Four-Group Stratification Based on Drusen and Punctate Hyperfluorescence
by Hiroyuki Kamao, Katsutoshi Goto, Kenichi Mizukawa, Ryutaro Hiraki, Atsushi Miki and Shuhei Kimura
J. Clin. Med. 2025, 14(23), 8593; https://doi.org/10.3390/jcm14238593 - 4 Dec 2025
Viewed by 533
Abstract
Background/Objectives: Different disease subtypes in neovascular age-related macular degeneration (nAMD) influence treatment burden, yet existing classifications such as the pachychoroid neovasculopathy (PNV)/non-PNV dichotomy may not fully capture clinical heterogeneity. This study aimed to compare the 12-month outcomes of intravitreal aflibercept (IVA) in [...] Read more.
Background/Objectives: Different disease subtypes in neovascular age-related macular degeneration (nAMD) influence treatment burden, yet existing classifications such as the pachychoroid neovasculopathy (PNV)/non-PNV dichotomy may not fully capture clinical heterogeneity. This study aimed to compare the 12-month outcomes of intravitreal aflibercept (IVA) in treatment-naïve patients with unilateral nAMD stratified by the presence or absence of drusen and punctate hyperfluorescence (PH). Methods: This retrospective study included 130 eyes of 130 patients categorized into the Drusen−/PH−, Drusen+/PH−, Drusen−/PH+, and Drusen+/PH+ groups. Their best-corrected visual acuity, retinal thickness, choroidal thickness, number of injections, no-retinal fluid rate during the loading dose regimen, and 12-month retreatment rate following treatment initiation were determined. The primary outcome was 12-month retreatment rate for the four groups, which was determined using Kaplan–Meier curves and log-rank tests. Exploratory metric multidimensional scaling (MDS) was used to visualize the baseline profiles. Results: The 12-month retreatment rates of the groups were significantly different. The Drusen+/PH− group had a higher retreatment rate and required more injections than the Drusen−/PH+ and Drusen+/PH+ groups. The Drusen+/PH− group was older than the Drusen−/PH+ and Drusen−/PH− groups. The Drusen−/PH+ group had a thicker choroid than the Drusen+/PH− group. The MDS results clear separation of the groups, consistent with the older age of the Drusen+/PH− group and the thicker choroid of the Drusen−/PH+ group. Conclusions: nAMD stratified based on drusen and PH differed in age, choroidal thickness, and IVA outcomes. The four-category framework provides greater pathophysiologic and therapeutic resolution than the simple PNV/non-PNV dichotomy and may help anticipate injection demand to guide individualized dosing strategies. Full article
(This article belongs to the Special Issue An Update on Retinal Diseases: From Diagnosis to Treatment)
Show Figures

Figure 1

10 pages, 472 KB  
Article
Practice Patterns and Trends in Temperature Control After Cardiac Arrest: A Multi-Specialty Survey
by Casey T. Carr, Melody B. Eckert, Nilan Bhakta, Faheem W. Guirgis, Charlotte Hopson, Carolina B. Maciel and Torben K. Becker
J. Clin. Med. 2025, 14(23), 8592; https://doi.org/10.3390/jcm14238592 - 4 Dec 2025
Viewed by 630
Abstract
Background/Objectives: Temperature control after cardiac arrest remains a recommended component of post-cardiac arrest care, yet substantial practice variability persists. Conflicting evidence regarding optimal temperature targets and mixed interpretations of recent trials, such as TTM2, may contribute to inconsistent bedside implementation. Understanding physician knowledge, [...] Read more.
Background/Objectives: Temperature control after cardiac arrest remains a recommended component of post-cardiac arrest care, yet substantial practice variability persists. Conflicting evidence regarding optimal temperature targets and mixed interpretations of recent trials, such as TTM2, may contribute to inconsistent bedside implementation. Understanding physician knowledge, attitudes, and practice patterns is essential for aligning post-cardiac arrest management with evolving evidence. This study aimed to characterize international physician perceptions of temperature control, patterns of use, understanding of neurologic injury, and the influence of emerging literature. Methods: A 39-item web-based survey was developed through iterative expert review and pilot testing and disseminated to members of critical care, neurology, and emergency medicine societies between September 2021 and January 2022. The instrument assessed demographics, temperature control practices, interpretation of new literature, and post-cardiac arrest management. Responses were analyzed using descriptive statistics in R Studio, with proportions reported for categorical variables and mode responses for ranked questions. Results: Among 501 respondents, 471 (94%) completed the survey. Most were attending-level physicians (73%), primarily practicing intensive care medicine (75%), and based in academic centers (60%). Targeted temperature management (TTM) was commonly initiated by the admitting intensivist (66%), most often because guidelines recommended it (67%). The most influential factors driving initiation were institutional protocols (21%), perceived neurologic prognosis (17%), and arrest etiology (14%). The most frequently selected temperature target was 36 °C (44%). Awareness of the TTM2 trial was high (70%), though only 31% reported altering their practice in response. Neurologists were more likely to individualize temperature targets and select lower temperatures, while physicians caring for higher cardiac arrest volumes also favored lower targets. Community clinicians more commonly selected lower temperature targets compared with those in academic settings. Conclusions: Substantial heterogeneity exists in the practice and rationale for temperature control after cardiac arrest. Physician specialty, cardiac arrest volume, and local practice environment influence the temperature target selection and attitudes toward emerging evidence. Despite awareness of new data, institutional protocols remain the dominant factor guiding implementation. Standardized, evidence-based institutional pathways may help reduce practice variability and promote consistent post-cardiac arrest care. Full article
(This article belongs to the Section Cardiology)
Show Figures

Figure 1

9 pages, 3013 KB  
Case Report
A Healthy Pregnancy During Treatment of Metastatic Melanoma with Immune Checkpoint Inhibitors: A Case Report
by Corinna Schneider, Melánia Pozsgai, Csongor Németh, Zita Battyáni and Zsuzsanna Lengyel
J. Clin. Med. 2025, 14(23), 8591; https://doi.org/10.3390/jcm14238591 - 4 Dec 2025
Viewed by 612
Abstract
Background/Objectives: With the increasing use of immune checkpoint inhibitors (ICIs), their administration in pregnant patients is expected to become more frequent. Although immunotherapy has transformed melanoma treatment, its use during pregnancy remains complex and controversial. Methods: We present the case of [...] Read more.
Background/Objectives: With the increasing use of immune checkpoint inhibitors (ICIs), their administration in pregnant patients is expected to become more frequent. Although immunotherapy has transformed melanoma treatment, its use during pregnancy remains complex and controversial. Methods: We present the case of a young female patient diagnosed with advanced melanoma in whom combination ICI therapy was initiated. Results: During maintenance nivolumab treatment, a routine staging CT scan revealed an incidental pregnancy. Immunotherapy was discontinued upon pregnancy detection. The pregnancy proceeded without significant complications related to melanoma or the immunotherapy. During follow-up, the patient remained in remission and delivered a healthy male infant at 38 weeks of gestation. Conclusions: The most frequently reported side effects of ICIs during in utero exposure include fetal growth restriction, premature delivery, fetal distress syndrome, and occasional congenital abnormalities such as hypothyroidism and hand malformations. While existing evidence highlights potential risks, isolated case reports—including the present case—demonstrate that favorable pregnancy and neonatal outcomes are possible with careful monitoring and multidisciplinary care. Given the limited literature on ICI use during pregnancy, our case adds meaningful clinical insights to the field and underscores the need for further research and data collection to establish definitive guidelines, with an emphasis on individualized risk assessment and multidisciplinary care. Full article
(This article belongs to the Section Dermatology)
Show Figures

Figure 1

23 pages, 393 KB  
Review
Rehabilitation in Amyotrophic Lateral Sclerosis: Recommendations for Clinical Practice and Further Research
by Andreas Gratzer, Natalie Gdynia, Nadine Sasse, Rainer Beese, Cordula Winterholler, Yvonne Bauer, Carsten Schröter and Hans-Jürgen Gdynia
J. Clin. Med. 2025, 14(23), 8590; https://doi.org/10.3390/jcm14238590 - 4 Dec 2025
Viewed by 3005
Abstract
Amyotrophic lateral sclerosis (ALS) is a progressive neurodegenerative condition characterized by the degeneration of upper and lower motor neurons. This degeneration leads to a gradual muscle weakness, dysarthria, dysphagia, respiratory insufficiency, and, in some patients, alterations in cognitive and behavioral performance. Regardless of [...] Read more.
Amyotrophic lateral sclerosis (ALS) is a progressive neurodegenerative condition characterized by the degeneration of upper and lower motor neurons. This degeneration leads to a gradual muscle weakness, dysarthria, dysphagia, respiratory insufficiency, and, in some patients, alterations in cognitive and behavioral performance. Regardless of advancements made in pharmacological and gene-targeted interventions, a definitive curative treatment remains elusive. Consequently, rehabilitation plays a pivotal role in preserving autonomy, participation, and overall quality of life. This review outlines the current evidence and clinical approaches related to multidisciplinary rehabilitation in ALS. It covers physical and occupational therapy, respiratory, speech and language, psychological, and palliative care domains. Evidence supports moderate tailored exercise programs, early respiratory therapy, and structured management of mobility deficits, spasticity, pain, dysphagia, and communication impairments as key elements of symptomatic treatment. Psychological and social support, which includes the involvement of caregivers and relatives, enhances emotional well-being and coping resilience. Even with progressive development of gene-targeted and disease-modifying therapies, rehabilitation will stay relevant for maintaining long-term motor function. This review highlights the need for standardized, evidence-based rehabilitation protocols and intensified neurorehabilitation research to strengthen clinical outcomes and quality of life as key therapeutic goals in ALS management. Full article
(This article belongs to the Special Issue Clinical Care and Rehabilitation for Neuromuscular Diseases)
14 pages, 370 KB  
Review
The Role of Complement Activation in Diabetic Nephropathy: Current Insights and Future Directions
by Nikolaos Kotsalas, Ariadni Fouza and Maria Daoudaki
J. Clin. Med. 2025, 14(23), 8589; https://doi.org/10.3390/jcm14238589 - 4 Dec 2025
Cited by 3 | Viewed by 1086
Abstract
Diabetic nephropathy (DN) is a leading cause of end-stage renal disease (ESRD) globally. Beyond metabolic and haemodynamic stress, the complement system has emerged as a contributor to glomerular and tubulointerstitial injury. In type 1 diabetes mellitus (T1DM), complement proteins contribute through autoimmune mechanisms, [...] Read more.
Diabetic nephropathy (DN) is a leading cause of end-stage renal disease (ESRD) globally. Beyond metabolic and haemodynamic stress, the complement system has emerged as a contributor to glomerular and tubulointerstitial injury. In type 1 diabetes mellitus (T1DM), complement proteins contribute through autoimmune mechanisms, while in type 2 diabetes mellitus (T2DM) they are linked to insulin resistance. In both, complement activation promotes micro- and macrovascular complications through inflammatory pathways that accelerate DN progression. This review summarises the current evidence on the role of complement activation in diabetic nephropathy (DN). First, we outline the mechanisms by which the complement system is activated through the lectin pathway (in which mannoses bind to modified glycosylation structures), the classical pathway (in which C1q recognises immune complexes/damaged self), and the alternative pathway (in which C3 ticks over and amplifies on damaged renal surfaces). Next, we consider the roles of their effector molecules (C3a, C5a, and C5b-9/MAC), and the consequences of regulatory dysfunction (e.g., CD59 dysfunction). When integrated with findings from renal histology, blood and urine biomarkers enable us to evaluate the correlation between prognosis, disease severity, and progression. We will also discuss therapeutic implications, including the rationale behind selective complement inhibition and future intervention strategies. Full article
Show Figures

Figure 1

19 pages, 345 KB  
Article
The Mediating Role of Self-Esteem in the Relationship Between Loneliness and Phubbing: Evidence from a Cross-Sectional Study
by Joanna Furmańska, Magdalena Dworakowska, Maja Gębarowska, Aleksandra Grzanka and Małgorzata Szcześniak
J. Clin. Med. 2025, 14(23), 8588; https://doi.org/10.3390/jcm14238588 - 4 Dec 2025
Viewed by 1460
Abstract
Background/Objectives: In today’s reality, the mobile phone accompanies people in almost every area of life. Technological progress offers a range of conveniences, facilities, and opportunities. At the same time, researchers observe new phenomena such as phubbing, which is defined as ignoring others [...] Read more.
Background/Objectives: In today’s reality, the mobile phone accompanies people in almost every area of life. Technological progress offers a range of conveniences, facilities, and opportunities. At the same time, researchers observe new phenomena such as phubbing, which is defined as ignoring others in favor of one’s smartphone and is increasingly being perceived as a normative behavior. Methods: The study was conducted using an online survey. A total of 201 adults aged between 18 and 75 participated. The research employed a proprietary questionnaire designed to collect data on phone and social media use, as well as the Revised UCLA Loneliness Scale (R-UCLA), the Generic Scale of Phubbing (GSP), and the Self-Esteem Scale (SES). Results: The results showed a positive relationship between loneliness and phubbing, and a negative relationship between loneliness and self-esteem. Additionally, a negative relationship was found between self-esteem and phubbing behavior. In line with the main objective of the study, it was demonstrated that self-esteem acts as a mediating factor in the relationship between loneliness and phubbing behavior. Conclusions: Individuals experiencing loneliness may have lower self-esteem, which in turn may lead them to engage in phubbing behavior more frequently. Identifying factors related to phubbing behavior helps expand knowledge about this new, yet increasingly common phenomenon, which carries psychosocial consequences. At the same time, the topic highlights the need for further research to deepen our understanding of the phenomena of loneliness and phubbing. Full article
(This article belongs to the Special Issue Treatment Personalization in Clinical Psychology and Psychotherapy)
13 pages, 664 KB  
Article
Ultrasound-Based Assessment of Posterior Vitreous Detachment in Healthy Eyes: Clinical and Biometric Factors Associated with More Advanced PVD
by Cristina Rodriguez-Vidal, Nerea M. Alday, María José Blanco Teijeiro and Manuel Bande
J. Clin. Med. 2025, 14(23), 8587; https://doi.org/10.3390/jcm14238587 - 4 Dec 2025
Viewed by 934
Abstract
Background/Objectives: Posterior vitreous detachment (PVD) is an age-related physiological process, yet the clinical and biometric factors influencing its progression remain incompletely characterized in adults undergoing routine ophthalmic evaluation at a tertiary center. Characterizing expected vitreous patterns is essential for interpreting vitreoretinal interface [...] Read more.
Background/Objectives: Posterior vitreous detachment (PVD) is an age-related physiological process, yet the clinical and biometric factors influencing its progression remain incompletely characterized in adults undergoing routine ophthalmic evaluation at a tertiary center. Characterizing expected vitreous patterns is essential for interpreting vitreoretinal interface changes in disease. This study aimed to identify independent clinical and biometric factors associated with more advanced PVD stages in adults without macular pathology. Methods: In this cross-sectional observational study, 340 eyes from 198 consecutive adults undergoing routine ophthalmological evaluation at a tertiary hospital (March 2022–April 2023) were analyzed. Eyes with current or past macular disease were excluded. Demographic variables, systemic comorbidities and ocular history were recorded. Axial length was measured using optical biometry IOLMaster 700 (Carl Zeiss Meditec, Jena, Germany). Vitreous status was assessed with 10-MHz B-scan ultrasonography and classified as no PVD, partial PVD or complete PVD. Analyses were performed at the eye level. Given its cross-sectional design, this study evaluates associations and cannot establish causal relationships. Bivariate comparisons examined associations between clinical variables and PVD grade. Multivariable modeling was conducted using a clustered generalized estimating equations (GEE) ordinal logit model as the primary analysis, and a secondary independent-eye ordinal logistic regression model was used to evaluate the proportional-odds assumption and model robustness. Results: Mean age was 55.6 ± 18.3 years, and 68.5% of eyes were from female participants. No PVD, partial PVD and complete PVD were present in 30.9%, 43.5% and 25.6% of eyes, respectively. In the primary GEE model, axial length (OR 1.35; p < 0.001), systemic hypertension (OR 7.13; p < 0.001), and prior cataract surgery (OR 2.13; p = 0.020) were independently associated with more advanced PVD stages. Age showed a modest but significant association with increasing PVD severity (OR 1.03; p = 0.012). Sex and diabetes mellitus were not associated with PVD grade. The independent-eye ordinal model yielded consistent effect directions. Conclusions: In adults without macular disease, more advanced PVD stages are independently associated with axial elongation, systemic hypertension, and previous cataract surgery, while age shows a mild but significant association. These findings provide clinically useful contextual reference information for interpreting vitreoretinal interface changes in health and disease. These associations should not be interpreted as causal due to the cross-sectional nature of the study. Full article
(This article belongs to the Section Ophthalmology)
Show Figures

Figure 1

14 pages, 1812 KB  
Systematic Review
Lower Limb Deformity in Different Types of Rickets
by Anahita Mayr, Benjamin Kraler, Catharina Chiari, Gabriele Hartmann, Adalbert Raimann and Gabriel T. Mindler
J. Clin. Med. 2025, 14(23), 8586; https://doi.org/10.3390/jcm14238586 - 4 Dec 2025
Cited by 1 | Viewed by 982
Abstract
Background/Objectives: Rickets is a pediatric disorder caused by impaired mineralization of the growth plate, primarily due to deficiencies in vitamin D, calcium, or phosphate. Lower limb deformities are among the most clinically relevant skeletal manifestations, significantly affecting quality of life. This review aims [...] Read more.
Background/Objectives: Rickets is a pediatric disorder caused by impaired mineralization of the growth plate, primarily due to deficiencies in vitamin D, calcium, or phosphate. Lower limb deformities are among the most clinically relevant skeletal manifestations, significantly affecting quality of life. This review aims to summarize and compare lower limb deformities associated with different etiologies of rickets, specifically hypophosphatemic (HPR) and calcipenic (CR) forms. Methods: A systematic PubMed search was performed according to PRISMA (Preferred Reporting Items for Systematic Reviews and Meta-Analyses) 2020 guidelines. Of 2056 screened records, 126 studies including 21,568 patients met the inclusion criteria. Data on study characteristics, deformity types, and diagnostic methods were extracted and analyzed descriptively, with subgroup comparison between HPR and CR. Results: Among 2924 patients with reported with deformities (1537 CR, 1387 HPR), genu varum and genu valgum predominated, while windswept deformities were less frequent. Sagittal and torsional deformities, particularly femoral and tibial maltorsion or procurvatum, were mainly described in HPR but rarely reported in CR. Only a minority of studies met predefined quality standards regarding radiological assessment and deformity definition. Conclusions: Lower limb deformities are prevalent in both HPR and CR but differ significantly in type and documentation quality. While coronal plane deformities are common across both types, axial and sagittal deformities appear under-reported in rickets, particularly in CR. The results highlight the need for standardized diagnostic criteria and improved reporting in order to enhance comparability and clinical management of rickets-related deformities. Full article
(This article belongs to the Section Clinical Pediatrics)
Show Figures

Figure 1

Previous Issue
Back to TopTop