Next Issue
Volume 17, November-2
Previous Issue
Volume 17, October-2
 
 
nutrients-logo

Journal Browser

Journal Browser

Nutrients, Volume 17, Issue 21 (November-1 2025) – 182 articles

Cover Story (view full-size image): This study compared the short-term bioavailability of vitamin C from raw fruits and vegetables, their freshly prepared juices, and supplements in a randomized crossover trial involving healthy adults. Each participant consumed equivalent doses of vitamin C from these sources, and plasma and urinary vitamin C levels, related metabolites, and antioxidant activity were monitored over 24 h. Plasma vitamin C peaked two hours after intake, with juice demonstrating the highest absorption efficiency and area under the curve. Metabolomic profiling indicated shifts in urinary metabolites, suggesting microbiome-related metabolic responses. Although all sources contributed antioxidant benefits, freshly prepared juices provided more efficient vitamin C uptake compared with whole foods or supplements. View this paper
  • Issues are regarded as officially published after their release is announced to the table of contents alert mailing list.
  • You may sign up for e-mail alerts to receive table of contents of newly released issues.
  • PDF is the official format for papers published in both, html and pdf forms. To view the papers in pdf format, click on the "PDF Full-text" link, and use the free Adobe Reader to open them.
Order results
Result details
Section
Select all
Export citation of selected articles as:
22 pages, 3177 KB  
Review
The Emerging Role of Citrulline and Theanine in Health and Disease: A Comprehensive Review
by Xiaokang Lv, Chao Chen, Yan Liang, Yating Song, Jie Liu, Wenxun Chen and Hao Li
Nutrients 2025, 17(21), 3496; https://doi.org/10.3390/nu17213496 - 6 Nov 2025
Viewed by 1594
Abstract
Non-proteinogenic amino acids, such as L-citrulline and L-theanine, have garnered attention for their potential health benefits, including enhanced immunity, antioxidant activity, and cardiovascular support. The application of natural amino acids in disease treatment and health supplementation is and will remain a research hotspot [...] Read more.
Non-proteinogenic amino acids, such as L-citrulline and L-theanine, have garnered attention for their potential health benefits, including enhanced immunity, antioxidant activity, and cardiovascular support. The application of natural amino acids in disease treatment and health supplementation is and will remain a research hotspot in pharmaceutics. Plant-derived L-citrulline and L-theanine have demonstrated multifaceted benefits, primarily through mechanisms involving nitric oxide (NO) bioavailability (for L-citrulline) and mitochondrial regulation or immune modulation (for both). Critical gaps are identified: (1) the role of D-amino acids (e.g., D-citrulline and D-theanine) in health and metabolism remains underexplored, particularly regarding chiral-specific bioactivity; (2) derivatives and co-administration strategies of L-forms warrant systematic evaluation for drug. However, while these compounds show promise, evidence is predominantly from animal and cell studies, with limited long-term human data on efficacy and safety. Potential side effects, dosing limitations, and sourcing challenges are discussed. This review emphasizes the need for cautious interpretation of their benefits, acknowledging that while promising, some effects, such as those on muscle protein synthesis, require further validation compared to established nutrients like branched-chain amino acids. By bridging mechanistic insights with translational challenges, this work aims to guide future research toward sustainable nutraceutical production. Full article
Show Figures

Figure 1

40 pages, 1037 KB  
Review
Can Dietary Supplements Support Muscle Function and Physical Activity? A Narrative Review
by Louise Brough, Gail Rees, Lylah Drummond-Clarke, Jennifer E. McCallum, Elisabeth Taylor, Oleksii Kozhevnikov and Steven Walker
Nutrients 2025, 17(21), 3495; https://doi.org/10.3390/nu17213495 - 6 Nov 2025
Viewed by 3993
Abstract
Dietary supplementation is commonly used by athletes to gain muscle mass, enhance performance, and improve recovery. Most adults engage in insufficient physical activity. Yet healthy muscles are also critical for activities of daily living (ADLs), maintaining a good quality of life and positive [...] Read more.
Dietary supplementation is commonly used by athletes to gain muscle mass, enhance performance, and improve recovery. Most adults engage in insufficient physical activity. Yet healthy muscles are also critical for activities of daily living (ADLs), maintaining a good quality of life and positive ageing. There is growing interest in whether dietary supplementation is of value, particularly among subgroups such as the occasionally active, the ill and elderly, and peri- and menopausal women. By focusing on function, performance, mass and strength, ADLs, exercise-induced muscle damage and delayed onset muscle soreness, this review sought to examine muscle health through a nutritional lens. Further, to look at the potential benefits and harms of some commonly proposed dietary supplements in non-athlete adults, while exploring the emerging role of the gut–muscle axis. Inflammation appears central to cellular events. Several supplements were identified that, alone or in combination, may help optimise muscle health, particularly when combined with exercise or where a deficit may exist. Although supportive evidence is emerging, real-world clinical benefits remain to be substantiated. Though dietary supplements are generally safe, their regulation is less stringent than for medicines. Adherence to recommended dosage, seeking medical advice regarding possible side effects/interactions, and obtaining supplies from reliable sources are recommended. Full article
Show Figures

Figure 1

11 pages, 414 KB  
Review
A Growing Triple Burden of Malnutrition in South Asia Due to the Cumulative Effect of Double Burden of Malnutrition and Parasitic Infections in South Asian Low- and Middle-Income Countries: A Scoping Review
by Rameshwor Parajuli and Wilna Oldewage-Theron
Nutrients 2025, 17(21), 3494; https://doi.org/10.3390/nu17213494 - 6 Nov 2025
Viewed by 932
Abstract
Background and Aims: In recent decades, lifestyle patterns have undergone significant transformations, particularly in low- and middle-income countries (LMICs). These changes have contributed to a dual nutritional crisis characterized by the coexistence of undernutrition and overweight/obesity, commonly referred to as the Double [...] Read more.
Background and Aims: In recent decades, lifestyle patterns have undergone significant transformations, particularly in low- and middle-income countries (LMICs). These changes have contributed to a dual nutritional crisis characterized by the coexistence of undernutrition and overweight/obesity, commonly referred to as the Double Burden of Malnutrition (DBM). Compounding this issue is the persistent prevalence of parasitic infections, due to poor personal hygiene and sanitation practices which further exacerbate nutritional imbalances, creating what is now recognized as the Triple Burden of Malnutrition (TBM). This review aims to explore the evolving lifestyle factors that have contributed to the emergence of the DBM and to examine its intersection with parasitic infections. The focus is particularly on South Asian low- and middle-income countries, where these overlapping burdens present a significant public health challenge. By highlighting the interconnectedness of malnutrition, obesity, and parasitic diseases, this study seeks to provide a comprehensive understanding of the current nutritional landscape in South Asian LMICs and to inform future health interventions and policies. Methods: This study was conducted using published and unpublished secondary data that are available on websites and other printed materials. One of the main requirements is date, with 2013 being regarded as the initiative’s landmark. Another crucial factor is the availability of the entire article. For this study, only research publications published in English were taken into consideration. Zotero was used for compilation. The majority of the analysis was performed using percentages and ratios. A thorough evaluation of all the studies’ methodology, design, execution, and reporting was performed in order to spot any systematic flaws in this study. Results: Only 45 of the 105 full-text papers that were screened met the requirements for inclusion. Of these studies, 15 satisfied the inclusion and exclusion requirements. The results show that China, with a comparatively higher income level status, has more prevalence of overweight and obesity among children (11.5%) and women (34.6%) than India (2.1% of OWOB among children and 20.6% among women). Nepal stands behind China and India with 1.2% of OWOB among children and between them with 22.2% OWOB among women. Interestingly, among the three South Asian nations, India has the highest stunting, wasting, and underweight among children (38.4%, 21%, and 35.7%, respectively) followed by Nepal (35.8%, 9.7%, and 27%) and China (8.1%, 2%, and 2.5%). This study finds no significant difference in the prevalence of intestinal parasitic infections among OWOB and underweight populations. This review finds that the DBM along with parasitic infections has resulted in a Triple Burden of Malnutrition, which is currently a major public health issue in low- and middle-income countries in South Asia. Discussion: The various types of malnutrition were once thought of and treated as distinct public health problems, but the new understanding is that undernutrition and overnutrition are linked, and that in order for policy solutions to be successful, double-duty measures that simultaneously address multiple dimensions must be put in place. When the DBM is combined with parasite illnesses, it becomes the Triple Burden of Malnutrition, which is the primary cause of the financial burden in LMICs. China has the worst obesity problem, yet it also has more obesity-related laws and intervention programs than India and Nepal combined. All three nations, however, have failed to stop or deal with the dramatic increase in OWOB over the last 20 years. For effective implementation and results, genetic and psychological factors must also be taken into account when developing policies and programs to tackle the obesity epidemic, undernutrition, and parasite diseases. Conclusions: The prevalence of the DBM has been rising globally, with South Asia seeing a faster rate of increase. A growing DBM is favorably correlated with national economic development. In South Asian LMICs, the DBM combined with parasite diseases has resulted in a Triple Burden of Malnutrition, a debilitating illness. Full article
(This article belongs to the Section Nutritional Epidemiology)
Show Figures

Figure 1

20 pages, 2071 KB  
Review
The Diet–Obesity–Brain Axis: Metabolic, Epigenetic, and DNA-Repair Pathways Linking Eating Patterns to Cognitive Aging, with an AI-Enabled Translational Perspective
by Manish Loomba, Sanjeev Bansal, Krishna Kumar Singh, Pradeep Kumar Mishra, Shampa Ghosh, Manchala Raghunath, Awdhesh Kumar Mishra and Jitendra Kumar Sinha
Nutrients 2025, 17(21), 3493; https://doi.org/10.3390/nu17213493 - 6 Nov 2025
Viewed by 1445
Abstract
Diet influences brain health through many connected metabolic and molecular pathways, and these effects are stronger in obesity. This review links diet quality with cognitive decline and dementia risk. Ultra-processed, high-fat, high-sugar diets drive weight gain, insulin resistance, and chronic inflammation. These changes [...] Read more.
Diet influences brain health through many connected metabolic and molecular pathways, and these effects are stronger in obesity. This review links diet quality with cognitive decline and dementia risk. Ultra-processed, high-fat, high-sugar diets drive weight gain, insulin resistance, and chronic inflammation. These changes trigger brain oxidative stress, reduce DNA repair, deplete NAD+, disturb sirtuin/PARP balance, and alter epigenetic marks. Gut dysbiosis and leaky gut add inflammatory signals, weaken the blood–brain barrier, and disrupt microglia. Mediterranean and MIND diets, rich in plants, fiber, polyphenols, and omega-3 fats, slow cognitive decline and lower dementia risk. Trials show extra benefit when diet improves alongside exercise and vascular risk control. Specific nutrients can help in certain settings. DHA and EPA support brain health in people with low omega-3 status or early disease. B-vitamins slow brain shrinkage in mild cognitive impairment when homocysteine is high. Vitamin D correction is beneficial when levels are low. A practical plan emphasizes healthy eating and good metabolic control. It includes screening for deficiencies and supporting the microbiome with fiber and fermented foods. Mechanism-based add-ons, such as NAD+ boosters, deserve testing in lifestyle-focused trials. Together, these measures may reduce diet-related brain risk across the life span. At the same time, artificial intelligence can integrate diet exposures, adiposity, metabolic markers, multi-omics, neuroimaging, and digital phenotyping. This can identify high-risk phenotypes, refine causal links along the diet–obesity–brain axis, and personalize nutrition-plus-lifestyle interventions. It can also highlight safety, equity, and privacy considerations. Translationally, a pattern-first strategy can support early screening and personalized risk reduction by integrating diet quality, adiposity, vascular risk, micronutrient status, and microbiome-responsive behaviors. AI can aid measurement and risk stratification when developed with privacy, equity, and interpretability safeguards, but clinical decisions should remain mechanism-aligned and trial-anchored. Full article
Show Figures

Figure 1

18 pages, 6752 KB  
Article
Neonatal Outcomes Following a Preconception Lifestyle Intervention in People at Risk of Gestational Diabetes: Secondary Findings from the BEFORE THE BEGINNING Randomized Controlled Trial
by Md Abu Jafar Sujan, Hanna Skarstad, Guro Rosvold, Stine Lyngvi Fougner, Turid Follestad, Siri Ann Nyrnes, Kjell Salvesen and Trine Moholdt
Nutrients 2025, 17(21), 3492; https://doi.org/10.3390/nu17213492 - 6 Nov 2025
Viewed by 903
Abstract
Objectives: Gestational diabetes mellitus (GDM), particularly when combined with overweight or obesity, is associated with adverse neonatal outcomes such as high birth weight and increased adiposity. We determined the effect of a preconception lifestyle intervention initiated before and continued throughout pregnancy on neonatal, [...] Read more.
Objectives: Gestational diabetes mellitus (GDM), particularly when combined with overweight or obesity, is associated with adverse neonatal outcomes such as high birth weight and increased adiposity. We determined the effect of a preconception lifestyle intervention initiated before and continued throughout pregnancy on neonatal, birth-related, and body composition outcomes at birth and 6–8 weeks of age in children of participants in the BEFORE THE BEGINNING randomized controlled trial. Methods: People (N = 167) at increased risk of GDM and planning pregnancy were randomly allocated 1:1 to intervention or control. The intervention included time-restricted eating and exercise training. Time-restricted eating involved consuming all energy within ≤10 h/day, ≥5 days per week, and the amount of exercise was set using a heart rate-based physical activity metric (Personal Activity Intelligence, PAI), with the goal of ≥100 weekly PAI points. The main outcome of interest in this report was the proportion of infants with birth weight > 4.0 kg. Results: Among 106 live births, 21% (11/53) of infants in the intervention group and 28% (15/53) in the control group had birth weight > 4 kg (p = 0.367). Mean birth weight did not differ significantly between groups (mean difference −159.3 g, 95% confidence interval −375.7 to 57.2, p = 0.148). No significant between-group differences were found for additional neonatal, birth-related, or early postnatal body composition outcomes. Conclusions: In this secondary analysis, we found no evidence of effects of a preconception lifestyle intervention on the risk of macrosomia or neonatal body composition. Full article
(This article belongs to the Special Issue Personalized Nutrition and Metabolic Health in Gestational Diabetes)
Show Figures

Figure 1

19 pages, 312 KB  
Review
Dietary Interventions in Metabolic Dysfunction-Associated Steatotic Liver Disease: A Narrative Review of Evidence, Mechanisms, and Translational Challenges
by Alejandra Paredes-Marin, Yulu He and Xiaotao Zhang
Nutrients 2025, 17(21), 3491; https://doi.org/10.3390/nu17213491 - 6 Nov 2025
Viewed by 2147
Abstract
Background/Objectives: Metabolic dysfunction-associated steatotic liver disease (MASLD) is rapidly attracting growing concern around the world. While there has been progress in the development of pharmacologic treatments, lifestyle and dietary interventions remain as the first-line approach for management. This scoping review aimed to [...] Read more.
Background/Objectives: Metabolic dysfunction-associated steatotic liver disease (MASLD) is rapidly attracting growing concern around the world. While there has been progress in the development of pharmacologic treatments, lifestyle and dietary interventions remain as the first-line approach for management. This scoping review aimed to identify dietary strategies for managing MASLD and to highlight current research gaps and challenges. Methods: A systematic search of PubMed and Science Direct was conducted up to 10 July 2025, for relevant studies on dietary modifications and MASLD. Data extracted included types of interventions, outcomes related to liver health, and research limitations. Results: Dietary interventions were shown to consistently improve hepatic and metabolic outcomes. In a randomized controlled trial of 12 weeks (n = 259), a Mediterranean diet reduced hepatic steatosis by 39% and improved insulin sensitivity. A calorie-restricted lifestyle program in adults with MASLD (n = 196) reduced liver fat by 25% over 52 weeks. Resistant starch supplementation (n = 200) lowered intrahepatic triglyceride content by 8% through gut microbiome modulation. A pilot RCT of medically tailored meals in cirrhosis (n = 40) reduced ascites symptoms and improved quality of life. Finally, prebiotic supplementation in MASLD (n = 200) lowered systemic inflammation and increased immune-regulating microbes. In contrast, Western dietary patterns and ultra-processed foods were consistently linked to lipotoxicity and inflammation. Conclusions: Dietary interventions remain critical for the management of chronic liver disease and continue to play a vital role even as pharmacotherapy options emerge. Further research should explore precision nutrition and microbiome-based therapies while also addressing the methodological limitations like the underutilization of causal inference frameworks. Finally, it is also important to consider culturally tailored interventions to account for barriers in access and equity in underserved populations. Full article
(This article belongs to the Special Issue The Impact of Dietary and Lifestyle Interventions on Liver Diseases)
32 pages, 3371 KB  
Review
Intersection of Nutrition, Food Science, and Restaurant Research
by Christine Bergman, Yan Cao and Eunmin Hwang
Nutrients 2025, 17(21), 3490; https://doi.org/10.3390/nu17213490 - 6 Nov 2025
Viewed by 856
Abstract
Background/Objectives: Research on restaurants has traditionally emphasized business operations. Considering restaurants’ growing role in shaping dietary patterns and public health outcomes, this study aimed to map the scope, trends, and gaps in scholarly research addressing food-related aspects of restaurants, excluding business-oriented topics. Methods: [...] Read more.
Background/Objectives: Research on restaurants has traditionally emphasized business operations. Considering restaurants’ growing role in shaping dietary patterns and public health outcomes, this study aimed to map the scope, trends, and gaps in scholarly research addressing food-related aspects of restaurants, excluding business-oriented topics. Methods: A bibliometric analysis was conducted using the Web of Science and Scopus databases. Search terms encompassed multiple restaurant categories, including fast food, fast casual, casual dining, and fine dining. After screening, 956 peer-reviewed English-language journal articles were included. Descriptive performance metrics were calculated, and keyword co-occurrence analysis was conducted. Results: Findings revealed that nutrition-related studies dominate the literature, particularly research linking fast food consumption to obesity and the impact of menu labeling policies on consumer behavior. Food science research was comparatively limited and concentrated primarily on food safety and uses for degraded frying oil. The analysis also highlighted a strong research focus on fast food, while fast casual and fine dining restaurants were notably underrepresented. Conclusions: Future studies should move beyond short-term, cross-sectional designs and incorporate longitudinal approaches to better capture how policy interventions, such as menu labeling and reformulation incentives affect consumer food choices and restaurant offerings over time. Understanding how to reduce restaurants’ contribution to the incidence of diet-related noncommunicable disease risk factors such as obesity and hypertension will require research trials that jointly manipulate key factors such as economic (prices and incentives), structural (recipes, assortment, and operations), and behavioral (choice architecture). Research could also investigate strategies to reduce allergen risks by evaluating standardized training programs and integrated menu/POS disclosure systems. In addition, examination of consumer acceptance of sustainable ingredient substitutions and packaging methods is needed. Full article
Show Figures

Figure 1

21 pages, 552 KB  
Systematic Review
Effects of Artificial Sweeteners on the Musculoskeletal System: A Systematic Review of Current Evidence
by Xiaoxu Xu, Qianjin Wang, Baoqi Li, Chaoran Liu, Can Cui, Ming Yi, Liting Zhai, Ronald Man Yeung Wong, Ning Zhang and Wing Hoi Cheung
Nutrients 2025, 17(21), 3489; https://doi.org/10.3390/nu17213489 - 6 Nov 2025
Viewed by 1477
Abstract
Background: FDA-approved artificial sweeteners (ASs) are widely used in food products due to their low-calorie content and high sweetness. However, growing evidence links them to adverse metabolic effects, including stroke and coronary heart disease. The musculoskeletal system, as a key metabolic target organ, [...] Read more.
Background: FDA-approved artificial sweeteners (ASs) are widely used in food products due to their low-calorie content and high sweetness. However, growing evidence links them to adverse metabolic effects, including stroke and coronary heart disease. The musculoskeletal system, as a key metabolic target organ, has gradually gained attention, but the potential impact of ASs on its health remains unclear. Objective: This systematic review aims to assess the effects of ASs on bone and muscle, explore the underlying biological mechanisms and provide guidance for future research. Methods: A comprehensive literature search was conducted in PubMed, Embase, and Web of Science using relevant keywords from inception to 25 June 2025. Studies written in English, available in full text, and investigating FDA-approved ASs in relation to the musculoskeletal system were included. Two independent reviewers screened and selected the eligible studies. The findings were summarized using a narrative synthesis approach. Results: A total of 15 studies (12 preclinical, 3 clinical), covering aspartame, acesulfame potassium, sucralose, and saccharin were included from an initial pool of 662 articles identified across PubMed (168), Embase (368), and Web of Science (126). Among them, twelve studies focused on skeletal effects, four on muscles, and two on joints; three studies reported multiple outcomes. No studies investigated ligaments or tendons. Conclusions: Based on our search, this review provides a narrative synthesis of the available evidence on ASs influencing skeletal structure, development, biomechanical strength, and skeletal muscle metabolism. Potential mechanisms involve gut microbiota, oxidative stress, and signaling pathways such as SIRT1/FOXO3a and PGC-1α/UCP3. Further research is warranted to clarify these mechanisms and to assess the chronic health effects of long-term AS exposure on the musculoskeletal system in human populations. Full article
(This article belongs to the Section Carbohydrates)
Show Figures

Figure 1

17 pages, 534 KB  
Systematic Review
A Scoping Review on Nutrition Knowledge and Nutrition Literacy Among Pregnant Women and the Prevalence of Pregnancy Complications and Adverse Pregnancy Outcomes
by Tinuola Oladebo, Faith Bobholz, Kevin Folivi, Julia Dickson-Gomez, Ronald Anguzu, Alexa A. Lopez, Idayat Akinola, Jessica Olson and Anna Palatnik
Nutrients 2025, 17(21), 3488; https://doi.org/10.3390/nu17213488 - 6 Nov 2025
Viewed by 919
Abstract
Background: Proper nutrition supports maternal and fetal health. Gaps in nutritional knowledge (NK) and nutritional literacy (NL) can affect maternal and fetal health. NK refers to knowing facts and processes about nutrition, while NL is a broader component that includes competencies and [...] Read more.
Background: Proper nutrition supports maternal and fetal health. Gaps in nutritional knowledge (NK) and nutritional literacy (NL) can affect maternal and fetal health. NK refers to knowing facts and processes about nutrition, while NL is a broader component that includes competencies and skills needed to obtain, understand, and apply nutrition information to make dietary decisions. NL and NK limitations may contribute to adverse maternal and neonatal outcomes. This scoping review aims to understand the relationship between NK, NL, and pregnancy outcomes, offering insights into areas for future nutrition-based interventions. Methods: Seven databases were searched for studies assessing NK and NL among pregnant women. A total of 5080 articles were identified, with 4249 retained after removing duplicates. Following title and abstract screening, 18 articles underwent full-text review, and 11 met the inclusion criteria. Data were extracted, analyzed, and categorized into nine key themes. Results: All eleven studies employed survey-based methods; ten focused on NK and one on NL. Overall, NK was generally low. The evidence for an association between NK or NL and pregnancy outcomes was limited. Education, income, occupation, and family influence were identified as key factors influencing the NK and NL of pregnant women. Education and income levels were identified as having the most significant impact on NK overall. Only one study accessed the relationship between NK and adverse birth and neonatal outcomes, and this only included HDP and preterm labor. Also, only one out of the eleven studies was conducted in the US. Conclusions: In this review, we found that NK and NL among pregnant women was generally low, with limited evidence linking it to pregnancy outcomes; education and income emerged as the most influential factors of NK and NL. Future studies in high-income countries are recommended to assess the association between NL and adverse maternal outcomes, especially GDM. Full article
Show Figures

Figure 1

19 pages, 2450 KB  
Article
Who Likes Sweets? Sweet Patterns: Influence of Sex, Age, Body Mass Index, Smoking and Olfactory Efficiency on the Consumption of Sweet Products
by Agata Lebiedowska, Magdalena Kamińska, Beata Krusiec-Świdergoł, Barbara Błońska-Fajfrowska and Magdalena Hartman-Petrycka
Nutrients 2025, 17(21), 3487; https://doi.org/10.3390/nu17213487 - 6 Nov 2025
Viewed by 763
Abstract
Background: Sugars, also known as saccharides or carbohydrates, are essential organic compounds that ensure the human body functions properly. They are used as sources of energy, as structural elements and reserve materials. Excessive sugar consumption is prevalent in many countries and has negative [...] Read more.
Background: Sugars, also known as saccharides or carbohydrates, are essential organic compounds that ensure the human body functions properly. They are used as sources of energy, as structural elements and reserve materials. Excessive sugar consumption is prevalent in many countries and has negative health consequences. Methods: A total of 283 people living in Poland took part in the study. An interview and olfactory tests (dynamic olfactometry method) were conducted together with assessments of food preferences from 25 types of food products. Aim: To assess the impact of olfactory efficiency and individual characteristics, such as sex, age, body weight and tobacco addiction, on preferences for various sweet products. Another important objective of this study was to examine the patterns in preferences for different sweet foods. Result and Conclusions: Of all the types of sweet products analysed in the study, desserts and fruit were the most popular. Preferences varied depending on the type of sweet food or drink as well as on other factors. In terms of declared enjoyment, desserts, chocolate and sweets, including jellies and bread, formed a common group (Factor Three: ‘sweet products’); while sweet, carbonated drinks formed the group—Factor One (‘junk food’); and fruit, together with vegetables, salads, cheese and spicy dishes, formed the group—Factor Four. The most important factors influencing the preference for sweet foods and drinks were the severity of tobacco addiction, age and sex. There was no significant influence from olfactory efficiency or body mass index on the preference for any of the sweet products in the study. Full article
(This article belongs to the Section Nutrition and Public Health)
Show Figures

Figure 1

23 pages, 291 KB  
Article
Associations Between Energy Balance-Related Behaviours and Childhood Obesity Among Vulnerable Populations in Greece: Implications for Public Health Policy and Intervention Development
by George Moschonis, Anela Halilagic, Matzourana Argyropoulou, Theodora Balafouti, Renos Roussos, Vaios Svolos, Pauline Dacaya, Odysseas Androutsos, Theodora Mouratidou and Yannis Manios
Nutrients 2025, 17(21), 3486; https://doi.org/10.3390/nu17213486 - 6 Nov 2025
Viewed by 632
Abstract
Background/Objectives: Childhood obesity remains a critical public health concern in Greece, particularly among socioeconomically vulnerable groups. This study conducted a secondary analysis of five large-scale epidemiological datasets to examine the association between energy balance-related behaviours (EBRBs) and obesity in children in need. [...] Read more.
Background/Objectives: Childhood obesity remains a critical public health concern in Greece, particularly among socioeconomically vulnerable groups. This study conducted a secondary analysis of five large-scale epidemiological datasets to examine the association between energy balance-related behaviours (EBRBs) and obesity in children in need. Methods: Data were compiled from five nationally or regionally representative studies (Genesis, ToyBox, Healthy Growth, ENERGY, and Feel4Diabetes) involving children aged 1–12 years. Stratified and subgroup analyses were performed to examine associations between weight status and EBRBs, including dietary habits, physical activity, and sedentary behaviour. Determinants of EBRBs were also analysed using the socio-ecological model framework. Results: Children in need demonstrated a higher prevalence of overweight and obesity compared to the general child population. Key risk factors for EBRBs included frequent consumption of sugar-sweetened beverages, sweet snacks, and high screen time. Protective behaviours associated with lower obesity risk included regular breakfast consumption, adequate sleep duration, and physical activity. Determinants of high-risk EBRBs were primarily interpersonal and, to a lesser extent, individual and community-level factors. Conclusions: These findings highlight the disproportionate burden of childhood obesity among vulnerable populations and identify modifiable behaviours and determinants that can inform targeted interventions. These results provide a robust evidence base to guide national public health policies, including the development of school- and community-based obesity prevention programmes aligned with the goals of Greece’s National Action Against Childhood Obesity. Prioritising children in need in such initiatives is essential to reduce health inequities and improve long-term health outcomes. Full article
(This article belongs to the Section Pediatric Nutrition)
17 pages, 284 KB  
Article
Association Between Food Insecurity and Mental Health Among College Students in the Bronx, New York (NY)
by Collette M. Brown, Peter C. Nwakeze, Aditi Puri, Chesley Sanchez, Latoya Callender, Emily V. Williams and William Suarez
Nutrients 2025, 17(21), 3485; https://doi.org/10.3390/nu17213485 - 6 Nov 2025
Viewed by 998
Abstract
Background/Objectives: Food insecurity and mental health are two important issues affecting college students, and their incidence have increased since the coronavirus disease (COVID-19) pandemic. The objective of this study was to examine the association between food insecurity and the mental health outcomes [...] Read more.
Background/Objectives: Food insecurity and mental health are two important issues affecting college students, and their incidence have increased since the coronavirus disease (COVID-19) pandemic. The objective of this study was to examine the association between food insecurity and the mental health outcomes among college students in the Bronx, NY. Methods: The study utilized a cross-sectional design. Data were collected from 710 undergraduate students, using a self-administered survey with a quick response (QR) code. The survey consisted of sociodemographic questions, the US Household Food Security Survey Module (ten-item questionnaire), and the Depression, Anxiety, and Stress Scale (DASS-21). Data were analyzed using Statistical Package for the Social Sciences (SPSS), Version 29. Results: Results of the study indicated that 53% of the participants were food insecure, 47.4% had high depressive symptoms, 46.2% had high anxiety, and 50.6% had high stress levels. Multiple logistic regression revealed the reciprocal association between food insecurity and mental health. Students who were stressed (p = 0.022) were likely to experience food insecurity, while those who were food insecure were more likely to experience stress (p = 0.007) and depression (p < 0.021). Students who identified as Black (p = 0.021) and had lower income (p = 0.031) were more likely to be food insecure. Conclusions: This research shows that food insecurity worsens mental health, and mental health worsens food insecurity. However, it was not possible for us to establish causality between the two variables. Full article
(This article belongs to the Section Nutrition and Public Health)
20 pages, 19335 KB  
Article
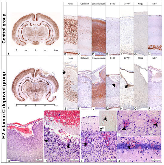
Neurodevelopmental Changes in the Guinea Pig Brain Caused by Time-Limited Complete Vitamin C Deprivation
by Ivan Čapo, Ilija Andrijević, Nataša Čapo, Milan Popović, Ivan Milenković, Radomir Ratajac, Dejan Vranješ, Dragana Milutinović, Dragana Simin and Slobodan Sekulić
Nutrients 2025, 17(21), 3484; https://doi.org/10.3390/nu17213484 - 6 Nov 2025
Viewed by 613
Abstract
Background/Objectives: The guinea pig is a unique experimental model because of the evolutionary loss of the GULO gene, which encodes an enzyme involved in vitamin C synthesis. Since vitamin C plays an essential role in collagen biochemistry, numerous studies have investigated the effects [...] Read more.
Background/Objectives: The guinea pig is a unique experimental model because of the evolutionary loss of the GULO gene, which encodes an enzyme involved in vitamin C synthesis. Since vitamin C plays an essential role in collagen biochemistry, numerous studies have investigated the effects of pre- and postnatal vitamin C deficiency. However, only a few studies, including ours, have indicated a possible link between vitamin C deprivation and potential weakening of the basement membrane, which may lead to significant alterations in brain structure. Methods: The experiment included guinea pig foetuses completely deprived from the 10th (E2 group) and the 20th (E1 group) to the 50th day of intrauterine life. Tissue samples from the cerebrum and cerebellum were taken for biochemical, molecular, and immunohistochemical analyses. Results: In the E2 group alone, we found marked gross changes: cerebral bleeding, porencephaly, and a lissencephalic cerebellar surface. Microscopic examination revealed diffuse bleeding in the cerebrum along with a loss of neurons in the area of the defect, specifically in the E2 group. The complete maturation of ectopic neurons characterised dysplastic changes in the cerebellum. Hydroxyproline analysis of both the cerebrum and cerebellum showed no significant differences among the E1, E2, and control groups. However, decreased expression of COL1, COL4A1, and SLC23A1 was observed solely in the cerebellar tissue of the E1 group. Conclusions: The morphological, biochemical, and molecular results represent preliminary associations with vitamin C deficiency, but require further validation. Full article
(This article belongs to the Special Issue Nutrition Research in Brain and Neuroscience)
Show Figures

Figure 1

16 pages, 748 KB  
Article
Red Blood Cell Fatty Acid Patterns and Cognitive Functions in Adolescents: A Pooled Analyses with Two Cohort Study Data Sets
by Nicolas Ayala-Aldana, Ariadna Pinar-Martí, Marina Ruiz-Rivera, Iolanda Lázaro, Aleix Sala-Vila, Darren R. Healy, Oren Contreras-Rodriguez, Jordi Casanova, Nuria Sola-Valls, Martine Vrijheid and Jordi Julvez
Nutrients 2025, 17(21), 3483; https://doi.org/10.3390/nu17213483 - 5 Nov 2025
Viewed by 650
Abstract
Objective: Fatty acids (FAs) play a pivotal role in brain development and cognitive functions during adolescence. We aimed to investigate the association of red blood cell (RBC) FA patterns and several high order neuropsychological functions in adolescents. Methods: The study followed a cross-sectional [...] Read more.
Objective: Fatty acids (FAs) play a pivotal role in brain development and cognitive functions during adolescence. We aimed to investigate the association of red blood cell (RBC) FA patterns and several high order neuropsychological functions in adolescents. Methods: The study followed a cross-sectional design. Principal component analysis was applied to 22 FA species previously measured in RBC membranes (exposure variable) to identify FA principal components (PCs) from two cohorts of adolescents in Catalonia, Spain (mean age = 14.53 years). Multiple linear regression was then used to examine associations between PC FAs and cognitive outcomes—working memory, fluid intelligence, and risky decision-making (gain and loss domains). Regression models were adjusted for child sex, age, body mass index, maternal education, and cohort enrollment. Results: Three FA PCs (eigenvalues > 2.0) were retained for the current study: a very-long chain FAs PC, a long-chain omega-6 FA PC and an omega-3 FA PC. The omega-3 FA PC showed a positive association with scores of fluid intelligence (β1 = 0.14, CI = 0.05, 0.24, p for trend = 0.003) and risky decision-making (loss domain) (β1 = 0.27, CI = 0.03, 0.52, p for trend = 0.030). The very-long chain FAs and long-chain omega-6 FAs patterns showed no significant associations with any cognitive outcome. The PC of omega-3 FA and fluid intelligence associations remained significant after multiple testing corrections. Conclusions: After applying an agnostic approach of multiple FAs in RBC, we found omega-3 FA patterns were positively associated with fluid intelligence among adolescents. Full article
Show Figures

Figure 1

16 pages, 540 KB  
Article
Assessment of Eating Attitudes and Body Image Among 17–20-Year-Olds Engaged in Regular Sports Activity
by Martyna Biedroń, Sylwia Jaruga-Sękowska, Martyna Kłoda, Wiktoria Staśkiewicz-Bartecka and Joanna Woźniak-Holecka
Nutrients 2025, 17(21), 3482; https://doi.org/10.3390/nu17213482 - 5 Nov 2025
Viewed by 560
Abstract
Background/Objectives: Eating disorders (EDs) and body image disturbances are increasingly recognized as important health issues among young athletes. Sports participation may both support healthy development and simultaneously increase vulnerability to disordered eating due to performance pressures and cultural ideals. The aim of this [...] Read more.
Background/Objectives: Eating disorders (EDs) and body image disturbances are increasingly recognized as important health issues among young athletes. Sports participation may both support healthy development and simultaneously increase vulnerability to disordered eating due to performance pressures and cultural ideals. The aim of this study was to assess the risk of eating disorders and body image among 17–20-year-old athletes. Methods: The study included 428 participants (215 women and 213 men) actively engaged in sports. Standardized psychometric tools were applied, including the Eating Attitudes Test (EAT-26) and the Body Esteem Scale (BES). Statistical analyses examined differences across gender, BMI categories, and sports disciplines, as well as predictors of ED risk. Results: The analysis showed that 32.9% (n = 141; 95% CI: 28.3–37.8%) of respondents were at risk of developing eating disorders, with women being significantly more vulnerable than men (p < 0.001; V = 0.27). Underweight athletes demonstrated a higher risk compared with those of normal weight (OR = 2.86, 95% CI: 1.48–5.55, p < 0.001). The type of sport was also associated with risk (p < 0.001, V = 0.323); the highest prevalence of ED risk occurred among dancers (48.1%) and swimmers (38.9%). Body esteem differed markedly between groups: participants at risk scored lower in Weight Control (p < 0.001, Cohen’s d = 0.94) and Physical Attractiveness (p = 0.072) but higher in Physical Condition (p < 0.001). Regression analyses indicated that gender (β = −3.35, p < 0.001) and Body Esteem—Weight Control (β = −0.45, p < 0.001) were the strongest predictors of EAT-26 scores. Conclusions: The findings confirm the multidimensional nature of eating disorder risk among young athletes, highlighting the role of body image imbalance and gender differences. Early screening, preventive interventions, and multidisciplinary support are essential to protect both the physical and mental health of young athletes. Future research should include objective physiological measures and broader samples to improve generalizability. Full article
Show Figures

Figure 1

18 pages, 356 KB  
Article
Prevalence and Determinants of Energy Drink Consumption Among Chilean Adolescents
by Sandra López-Arana and Edson Bustos-Arriagada
Nutrients 2025, 17(21), 3481; https://doi.org/10.3390/nu17213481 - 5 Nov 2025
Viewed by 823
Abstract
Background: Energy drink (ED) consumption has increased significantly among adolescents worldwide, constituting a high-risk behavior with important public health implications. These beverages are associated with cardiovascular disturbances, sleep disorders, anxiety symptoms, and risky behaviors, especially when combined with alcohol. In Chile, monthly per [...] Read more.
Background: Energy drink (ED) consumption has increased significantly among adolescents worldwide, constituting a high-risk behavior with important public health implications. These beverages are associated with cardiovascular disturbances, sleep disorders, anxiety symptoms, and risky behaviors, especially when combined with alcohol. In Chile, monthly per capita ED consumption among individuals aged 14 to 30 increased ninefold between 2010 and 2020. Objectives: To examine the prevalence of ED consumption and its associated determinants among Chilean adolescents enrolled in grade eight through grade twelve. Methods: Data were drawn from the national representative survey 2023 entitled Fifteenth National Study on the School Population of Chile (ENPE). The final sample included 45,042 adolescents. Besides descriptive analyses, both bivariate and multivariate logistic regression models were used to examine associations between sociodemographic characteristics, parental presence, monitoring, and ED consumption outcomes. Results: Lifetime prevalence of ED consumption was 71.0%, with higher rates in females (72.8%) than males (69.4%). Past-month consumption was reported by 46.2%, with a higher prevalence in males (48.3%) than females (43.9%). Lifetime consumption of ED mixed with alcohol (AmED) was 23.2%, being more frequent among females (26.4%) than males (19.9%). Age, grade level, and indigenous identity were consistently associated with higher odds of consumption. Parental monitoring and involvement indicators were inversely associated with both ED and AmED consumption. Conclusions: This study reveals a high prevalence of ED consumption among Chilean adolescents, with notable gender differences. Family protective factors, particularly parental monitoring and cohesion, emerge as key determinants of this risky behavior and warrant prioritization in public health prevention efforts. Full article
(This article belongs to the Special Issue Caffeinated Beverage Consumption: Health Benefits and Risks)
Show Figures

Figure 1

16 pages, 249 KB  
Article
An Analysis of the Affordability of Harvard, Mediterranean and DASH Eating Patterns for Individuals Enrolled in the Supplementary Nutrition Assistance Program (SNAP)
by Daniel C. Knudsen, Angela M. Babb, McKenna R. Conway and Danni L. Beck
Nutrients 2025, 17(21), 3480; https://doi.org/10.3390/nu17213480 - 5 Nov 2025
Viewed by 996
Abstract
Background/Objectives: In FY 2024, 12.3% of the U.S. population was enrolled in the Supplementary Nutrition Assistance Program or SNAP, the principal food and nutrition program of the U.S. government. Herein, we analyze the cost of the Harvard (HHEP), Mediterranean (MED) and Dietary Approaches [...] Read more.
Background/Objectives: In FY 2024, 12.3% of the U.S. population was enrolled in the Supplementary Nutrition Assistance Program or SNAP, the principal food and nutrition program of the U.S. government. Herein, we analyze the cost of the Harvard (HHEP), Mediterranean (MED) and Dietary Approaches to Stop Hypertension (DASH) eating patterns (EPs) to ascertain if they are affordable with the maximum allowable SNAP benefit. Methods: We utilize the 2021 Thrifty Food Plan (TFP) framework to analyze the cost of each of these alternative EPs across 15 age/sex groups. Results: We find that the MED and DASH EPs’ costs typically exceed the daily maximum SNAP benefit for those consuming more than 2100 calories. Conclusions: Our result suggests that reliance on fluid milk, allowance of more refined grains, starchy vegetables, red meat, added sugar and sodium and indifference toward food quality and freshness when calculating the maximum SNAP benefit reduces its cost in comparison to diets less reliant on fluid milk and more reliant on whole grains, fish, nuts, and fresh fruits and vegetables, a commonality shared by the HHEP, MED and DASH EPs. Health-centered alternative diets such as MED and DASH cannot be purchased with maximum allowable allocations of SNAP benefits, meaning that a poverty tax is placed on SNAP beneficiaries. Full article
(This article belongs to the Special Issue Nutrients: 15th Anniversary)
29 pages, 1167 KB  
Systematic Review
A Systematic Review of the Correlation Between Micronutrient Levels and Perinatal Depression
by Nabilah Islam, Annalese Semmler, Jean Starling and Joanne Voisey
Nutrients 2025, 17(21), 3479; https://doi.org/10.3390/nu17213479 - 5 Nov 2025
Viewed by 863
Abstract
Background: Depression is a significant complication of the peripartum period that can result in profound long-term detrimental implications for the affected woman, her child, and her family. It is possible that micronutrient imbalances could contribute to the development of perinatal depression through their [...] Read more.
Background: Depression is a significant complication of the peripartum period that can result in profound long-term detrimental implications for the affected woman, her child, and her family. It is possible that micronutrient imbalances could contribute to the development of perinatal depression through their roles in neurotransmitter synthesis and neuroendocrine and neuroimmune pathways. Micronutrient imbalances are more likely during the perinatal period due to the additional physiological demands on the body during this time. The objective of this systematic review was to review and summarise the existing evidence regarding the association between micronutrient levels and perinatal depression. Methods: MEDLINE, EMBASE, PsycINFO, CINAHL, Scopus, and Web of Science were searched for studies examining blood levels of micronutrients and assessment of depression within the peripartum period using validated rating tools. Results: A total of 58 studies met the eligibility criteria and were included in this review. Of these, 31 studies reported a significant inverse association between perinatal depression and at least one of the following: vitamin D, iron status, vitamin B12, folate, or zinc. Vitamin D was the most frequently investigated nutrient, examined in 28 of the 58 articles. The remaining 27 did not demonstrate a significant association. Conclusion: This review found that vitamin D deficiency has the greatest evidence of an association with perinatal depression. The evidence for other micronutrients is mixed, inconclusive, or limited. Further research is required to determine the significance of these micronutrients in the development of perinatal depression. Full article
(This article belongs to the Section Nutrition in Women)
Show Figures

Figure 1

14 pages, 581 KB  
Systematic Review
Nutritional Strategies to Address Malnutrition in Dialyses Patients: A Systematic Review
by Paula Arroyo-Serrano, Rosario Alonso-Dominguez, Sebastián Mas-Fontao, Emilio Gonzalez-Parra and María Luz Sánchez-Tocino
Nutrients 2025, 17(21), 3478; https://doi.org/10.3390/nu17213478 - 5 Nov 2025
Viewed by 1088
Abstract
Background/Objectives: Protein–energy wasting (PEW) is a common complication in patients with chronic kidney disease (CKD) receiving renal replacement therapy by dialyses. This condition is associated with higher morbidity, mortality, and poorer quality of life. The aim of this systematic review was to evaluate [...] Read more.
Background/Objectives: Protein–energy wasting (PEW) is a common complication in patients with chronic kidney disease (CKD) receiving renal replacement therapy by dialyses. This condition is associated with higher morbidity, mortality, and poorer quality of life. The aim of this systematic review was to evaluate the effectiveness of different nutritional strategies—such as oral nutritional supplements and intra-dialytic parenteral nutrition—in improving the nutritional status of these patients. Methods: A systematic review was carried out in accordance with the PRISMA statement. Searches were performed in PubMed, BVS, and Scopus between January and March 2025. Randomised or controlled clinical trials published in English or Spanish, available in full text, involving adults on haemodialysis (HD) or peritoneal dialyses (PD) were included. Fourteen studies met the inclusion criteria. Results: The nutritional interventions assessed produced consistent benefits in biochemical markers (e.g., serum albumin), muscle mass, inflammatory indices, and perceived quality of life. Intra-dialytic supplementation and multidisciplinary management were particularly effective in patients with moderate-to-severe malnutrition. Conclusions: Malnutrition is frequent and clinically significant in dialyses patients. Nutritional strategies—including oral supplementation, IDPN, and personalised counselling—effectively prevent and treat PEW. Early, tailored, evidence-based, and multidisciplinary implementation could decisively improve clinical prognosis and quality of life in this population. Full article
(This article belongs to the Section Nutrition and Public Health)
Show Figures

Figure 1

14 pages, 1146 KB  
Article
The Effect of mHealth on Exclusive Breastfeeding and Its Associated Factors Among Women in South Ethiopia: A Cluster Randomized Controlled Trial
by Girma Gilano, Andre Dekker and Rianne Fijten
Nutrients 2025, 17(21), 3477; https://doi.org/10.3390/nu17213477 - 5 Nov 2025
Viewed by 645
Abstract
Introduction: Exclusive breastfeeding (EBF) is vital for optimal infant health, reducing the risk of infections and enhancing cognitive development. Despite WHO’s recommendation of EBF for the first six months of life, global adherence remains suboptimal, particularly in low-resource settings. This study evaluates the [...] Read more.
Introduction: Exclusive breastfeeding (EBF) is vital for optimal infant health, reducing the risk of infections and enhancing cognitive development. Despite WHO’s recommendation of EBF for the first six months of life, global adherence remains suboptimal, particularly in low-resource settings. This study evaluates the impact of mobile health (mHealth) interventions on exclusive breastfeeding (EBF) among mothers in South Ethiopia. Methods: A cluster randomized controlled trial was conducted in the Gamo Gofa zones, South Ethiopia, involving 20 health facilities (10 intervention and 10 control). The study included 680 pregnant mothers recruited using simple random sampling from antenatal care (ANC) registers and family folders. Mothers in the intervention group received mHealth support, including breastfeeding information and reminders, while the control group received standard care. Participants were followed from the second trimester to six months postpartum. Multilevel survival analysis was applied to assess EBF duration, and multilevel logistic regression was used to evaluate complementary feeding within the first month. Results: The intervention group had a significantly higher probability of maintaining EBF at six months than the control group (AHR = 0.40, 95% CI: 0.26–0.62, p < 0.001). The secondary outcome also shows higher odds of early breastfeeding initiation in the intervention group (AOR = 4.71, 95% CI: 3.10–7.16, p < 0.001). ANC frequency was associated with a lower hazard of stopping EBF (AHR = 0.87, 95% CI: 0.79–0.97, p <0.05). The presence of diarrhea was associated with a high hazard of EBF (AHR = 1.47, 95% CI: 1.07–2.02, p < 0.05). College and above partner education was associated with high hazards of EBF (AHR = 2.41, 95% CI: 1.01–5.78, p < 0.05). The random effects variance (Var = 0.10, 95% CI: 0.01–0.07) indicated significantly lowered cluster-level variability. Conclusion and Recommendations: The mHealth intervention significantly improved EBF adherence and early breastfeeding initiation among mothers in South Ethiopia. Early breastfeeding, ANC frequency, and family size were protective factors, while high partner education and diarrhea disease increased the risk of early cessation of EBF. These findings highlight the potential of mHealth in addressing key barriers to EBF. Scaling up similar interventions, focusing on high-risk groups, could enhance adherence to WHO’s breastfeeding recommendations and improve maternal and child health outcomes in resource-limited settings. Full article
(This article belongs to the Section Pediatric Nutrition)
Show Figures

Figure 1

17 pages, 2246 KB  
Systematic Review
Effects of Acute Caffeine Ingestion on Repeated Sprint Ability: A Systematic Review and Meta-Analysis
by Yunteng Wang, Wantang Su, Shiyan Zhang, Li Zhao, Yuanyuan Lv, Boya Gu and Laikang Yu
Nutrients 2025, 17(21), 3475; https://doi.org/10.3390/nu17213475 - 5 Nov 2025
Viewed by 2636
Abstract
Background/Objectives: Caffeine is widely recognized as an ergogenic aid, yet evidence regarding its acute effects on repeated sprint ability (RSA) remains inconsistent. This systematic review and meta-analysis aimed to evaluate the effects of acute caffeine ingestion on RSA across different populations, exercise [...] Read more.
Background/Objectives: Caffeine is widely recognized as an ergogenic aid, yet evidence regarding its acute effects on repeated sprint ability (RSA) remains inconsistent. This systematic review and meta-analysis aimed to evaluate the effects of acute caffeine ingestion on RSA across different populations, exercise modalities, and dosage levels. Methods: A comprehensive literature search was conducted in the PubMed, EBSCO, Cochrane Library, Web of science, and Scopus databases. Data were pooled using the weighted mean difference (WMD) with 95% confidence interval (CI). Results: Thirteen studies met the inclusion criteria. Acute caffeine ingestion significantly enhanced RSA peak power output (PPO) compared with placebo (WMD, 5.28; 95% CI, 2.49 to 8.07; p = 0.0002). Subgroup analyses revealed significant improvements in both males (WMD, 13.11; 95% CI, 5.63 to 20.59; p = 0.0006) and females (WMD, 4.03; 95% CI, 1.10 to 6.97; p = 0.007). A caffeine dose of ≥6 mg/kg body weight (BW) produced greater ergogenic benefits (WMD, 6.67; 95% CI, 3.32 to 10.02; p < 0.0001) than lower doses (WMD, 2.16; 95% CI, −2.87 to 7.19; p = 0.40). Moreover, a more pronounced enhancement was observed in cycling-based RSA (WMD, 8.77; 95% CI, 1.98 to 15.56; p = 0.01) compared with running-based protocols (WMD, 4.56; 95% CI, 1.58 to 7.55; p = 0.003). Conclusions: Acute caffeine ingestion significantly enhances RSA, particularly at doses ≥6 mg/kg BW. This effect is consistent across both male and female participants, with no statistically significant sex difference observed in the pooled analysis. These findings reinforce caffeine’s role as an effective ergogenic aid for optimizing high-intensity intermittent performance, with the strongest benefits evident in cycling exercise. Full article
(This article belongs to the Special Issue The Ergogenic Effects of Caffeine Intake in Sport)
Show Figures

Figure 1

15 pages, 1426 KB  
Article
Dietary Patterns, Not Gut Microbiome Composition, Are Associated with Behavioral Challenges in Children with Autism: An Observational Study
by Genna Di Benedetto, Germana Sorge, Marco Sarchiapone and Luca Di Martino
Nutrients 2025, 17(21), 3476; https://doi.org/10.3390/nu17213476 - 4 Nov 2025
Viewed by 1029
Abstract
Background/Objectives: Autism Spectrum Disorder (ASD) is a complex neurodevelopmental condition characterized by persistent social communication difficulties and restricted, repetitive behaviors, with prevalence estimates continuing to rise worldwide. The gut–brain axis has been proposed as a potential contributor to ASD, yet human studies [...] Read more.
Background/Objectives: Autism Spectrum Disorder (ASD) is a complex neurodevelopmental condition characterized by persistent social communication difficulties and restricted, repetitive behaviors, with prevalence estimates continuing to rise worldwide. The gut–brain axis has been proposed as a potential contributor to ASD, yet human studies yield inconsistent findings, partly due to confounding effects of diet and behavior. Methods: Here, we investigated the gut bacteriome and mycobiome of children with ASD (n = 17) compared with their non-ASD siblings (n = 9) and parents without ASD (n = 27), alongside detailed assessment of dietary intake (n = 79) using 7-day food diaries. Results: Multi-kingdom microbiome profiling revealed no significant differences in α- or β- diversity across ASD, sibling, and parental groups, with only minor taxonomic variation observed. Similarly, fungal community composition showed negligible group-level differences. By contrast, dietary patterns strongly differentiated ASD from non-ASD participants: children with ASD consumed higher levels of sweets and sugary foods, lower portions of vegetables, and exhibited reduced overall dietary diversity. Statistical analyses confirmed that dietary factors, rather than microbial composition, explained variation in ASD diagnosis. Conclusions: These findings suggest that selective and repetitive eating behaviors are characteristic of ASD shape dietary intake, which in turn influences gut microbial diversity. Thus, in humans, the directionality may run primarily from behavior to diet to microbiome, rather than from microbiome to behavior. Our results underscore the importance of incorporating dietary variables into microbiome research and highlight the need for targeted nutritional interventions to improve health outcomes in individuals with ASD. Full article
Show Figures

Figure 1

17 pages, 2025 KB  
Article
Safety Assessment and Probiotic Potential of a Novel Species Lactobacillus xujianguonis
by Xiaoying Lin, Xiaohui Zhou, Yao Lu, Zheyu Yuan, Ruiting Lan, Ying Du, Liyun Liu and Jianguo Xu
Nutrients 2025, 17(21), 3474; https://doi.org/10.3390/nu17213474 - 4 Nov 2025
Viewed by 673
Abstract
Background: Some lactobacilli strains have been documented to cause bacteremia and sepsis in immunocompromised or critically ill hospitalized patients, challenging the universally presumed safety of lactobacilli. Therefore, strain-specific risk assessments are required for the use of Lactobacillus as a probiotic. Lactobacillus xujianguonis [...] Read more.
Background: Some lactobacilli strains have been documented to cause bacteremia and sepsis in immunocompromised or critically ill hospitalized patients, challenging the universally presumed safety of lactobacilli. Therefore, strain-specific risk assessments are required for the use of Lactobacillus as a probiotic. Lactobacillus xujianguonis, a novel Lactobacillus species isolated from Marmota himalayana, has probiotic potential but lacks safety data. Objective: To evaluate the preclinical safety of L. xujianguonis for food-grade use. Methods: Systematic safety assessment includes in vitro studies and oral toxicity studies. In vitro studies encompassed gastrointestinal tolerance, auto-aggregation and pathogen inhibition, antibiotic susceptibility, and hemolysis/gelatinase activity assays. Oral toxicity studies contained acute single-dose and repeated-dose 28-day oral toxicity studies in mice based on the OECD toxicity study guidelines. Results: L. xujianguonis strains HT111-2 and 06-2 demonstrated certain probiotic traits, including high acid/bile tolerance, strong auto-aggregation, and antimicrobial activity against common human gastrointestinal pathogens. In vitro safety assessments showed susceptibility to nine antibiotics and absence of hemolytic/gelatinase activity. Acute oral exposure (1 × 1011 CFU/kg) induced no mortality, clinical abnormalities, or organ toxicity. Subchronic 28-day administration (multiple doses) showed absence of adverse clinical signs with body weight stability and no hematological, biochemical, or histopathological deviations in C57BL/6 mice. Inflammatory and immunological markers remained unaffected. Histological staining results and transcriptional level validation revealed no evidence of intestinal tissue damage. Conclusions: This study provides preliminary evidence of the safety of L. xujianguonis, supporting its advancement to functional research. Full article
(This article belongs to the Section Prebiotics and Probiotics)
Show Figures

Figure 1

12 pages, 854 KB  
Article
Assessing the Impact of Composite Dietary Antioxidant Index on Gastric Cancer Risk: A Case–Control Study in Southeast China
by Xinyu Chen, Qingying Wang, Fengqin Zou, Yaqing Wu, Sifang Li, Wanling Zeng and Yulan Lin
Nutrients 2025, 17(21), 3473; https://doi.org/10.3390/nu17213473 - 4 Nov 2025
Viewed by 464
Abstract
Objective: To examine the association between the composite dietary antioxidant index (CDAI) and gastric cancer (GC) risk among adults in Southeast China, and to provide evidence for region-specific nutritional interventions. Methods: In this case–control study (July 2023–November 2024), 336 newly diagnosed [...] Read more.
Objective: To examine the association between the composite dietary antioxidant index (CDAI) and gastric cancer (GC) risk among adults in Southeast China, and to provide evidence for region-specific nutritional interventions. Methods: In this case–control study (July 2023–November 2024), 336 newly diagnosed GC patients were recruited from a hospital in Southeast China, and 336 sex-matched healthy controls were selected from local communities. Dietary data from a validated food frequency questionnaire were used to calculate CDAI scores. Results: A total of 672 participants (56.5% male) were included. The mean CDAI value was 0.47 ± 4.23 in cases versus −0.04 ± 4.61 in controls (p = 0.134), but CDAI quartile distribution differed significantly (p = 0.009). In multivariable analysis of individual CDAI components, vitamin C intake demonstrated a significant inverse association with GC risk, with the strongest protective effect observed in the highest quartile (OR = 0.48, 95% CI: 0.30–0.77, p = 0.002). Selenium intake also showed significant protective effects in the second (OR = 0.52, 95% CI: 0.32–0.83, p = 0.006) and third quartiles (OR = 0.50, 95% CI: 0.30–0.82, p = 0.006). Compared with the lowest quartile, adjusted odds ratios (95% CI) for GC in the second, third, and fourth CDAI quartiles were 0.56 (0.36–0.87), 0.59 (0.38–0.90), and 0.60 (0.39–0.92), respectively. The inverse association was stronger in participants aged >55 years, unmarried, and nonsmokers. Restricted cubic spline analysis revealed a significant nonlinear dose–response relationship. Conclusions: Higher dietary antioxidant intake is associated with lower GC risk. Personalized dietary strategies to enhance antioxidant intake may be particularly beneficial in high-risk populations. Full article
(This article belongs to the Section Nutritional Epidemiology)
Show Figures

Figure 1

16 pages, 291 KB  
Review
Nutrition Strategies for the Preterm Infant with Bronchopulmonary Dysplasia
by Gabriela S. Trindade, Bianca C. Benincasa, Guilherme S. Procianoy, Rita C. Silveira and Renato S. Procianoy
Nutrients 2025, 17(21), 3472; https://doi.org/10.3390/nu17213472 - 4 Nov 2025
Viewed by 805
Abstract
Background/Objectives: Bronchopulmonary dysplasia (BPD) is a common chronic complication of prematurity, associated with significant morbidity. Nutrition is a key modifiable factor influencing lung growth, repair, and overall development. This review summarizes current evidence on nutritional strategies for BPD prevention and management. Methods: Narrative [...] Read more.
Background/Objectives: Bronchopulmonary dysplasia (BPD) is a common chronic complication of prematurity, associated with significant morbidity. Nutrition is a key modifiable factor influencing lung growth, repair, and overall development. This review summarizes current evidence on nutritional strategies for BPD prevention and management. Methods: Narrative review was conducted with literature search in major databases using relevant keywords. Results: Early nutritional deficits are strongly associated with BPD. Higher early protein (3.5–4 g/kg/day) and energy intake (>60 kcal/kg/day in the first week, with progressive increases) reduce ventilator dependence. Lipids are essential to achieve caloric goals. Fluid restriction may reduce BPD risk but often results in undernutrition. Nutrient density, rather than fluid volume, is critical. Enteral nutrition, particularly mother’s own milk, consistently reduces BPD risk, whereas formula feeding is linked to higher BPD incidence. In established BPD, nutritional requirements are substantially increased. Feeding is frequently complicated by fluid restriction, gastroesophageal reflux, and poor oral coordination. Management strategies include higher energy intake (130–150 kcal/kg/day), adequate protein provision (3.5–4 g/kg/day), and careful use of lipid-based energy sources. Fortified human milk or enriched preterm formulas are essential, with individualized fortification improving growth. Micronutrient support is critical, and long-term follow-up is required, as post-discharge growth remains vulnerable and predicts later outcomes. Conclusions: Nutritional strategies to mitigate BPD should focus on early optimization of protein and energy intake, prioritization of nutrient density and promotion of human milk feeding. Targeted micronutrient support, individualized fortification and multidisciplinary care are essential to improve pulmonary and neurodevelopmental outcomes. Full article
(This article belongs to the Special Issue Effects of Early Nutrition on Premature Infants (2nd Edition))
15 pages, 1027 KB  
Review
Food in Migraine Management: Dietary Interventions in the Pathophysiology and Prevention of Headaches—A Narrative Review
by Tomasz Poboży, Kacper Janowski, Klaudia Michalak, Kamil Poboży, Julia Domańska-Poboża, Wojeciech Konarski and Iga Chuść
Nutrients 2025, 17(21), 3471; https://doi.org/10.3390/nu17213471 - 4 Nov 2025
Viewed by 1566
Abstract
Background: Migraine is a common, disabling neurological disorder with substantial genetic and environmental contributions. Dietary exposures are widely discussed by patients and clinicians as potential triggers or modifiers of attack frequency and severity. We synthesized contemporary evidence on dietary patterns, specific nutrients, [...] Read more.
Background: Migraine is a common, disabling neurological disorder with substantial genetic and environmental contributions. Dietary exposures are widely discussed by patients and clinicians as potential triggers or modifiers of attack frequency and severity. We synthesized contemporary evidence on dietary patterns, specific nutrients, and elimination strategies relevant to migraine prevention and management. Methods: We performed a narrative review of PubMed and Google Scholar (inception–August 2025) using combinations of “migraine”, “diet”, “nutrition”, “ketogenic”, “Mediterranean”, “omega-3”, and “gluten”. We prioritized randomized/controlled studies, recent systematic reviews/meta-analyses, and representative observational studies; evidence quality and applicability were appraised descriptively. Results: Higher adherence to a Mediterranean-style diet is associated with lower migraine frequency and disability in observational cohorts. Very low-calorie ketogenic diets significantly reduced monthly migraine attack frequency compared with isocaloric non-ketogenic comparators in an adult randomized controlled trial of participants with overweight or obesity (≥50% responder rate: 74% vs. 6%). Additional supportive evidence from uncontrolled studies, including those involving medium-chain triglyceride supplementation, further corroborates these findings. Omega-3 fatty acids (EPA/DHA) show prophylactic benefit in randomized trials and network meta-analyses, with favorable tolerability. Gluten-free diets may improve headaches in celiac disease and may help selected non-celiac patients. Alcohol (especially red wine) and high, irregular caffeine intake are frequently reported triggers, while evidence for specific foods/additives remains inconsistent. Weight loss and regular physical activity may further reduce burden in people with obesity. Conclusions: Current evidence supports recommending Mediterranean-style eating, consideration of omega-3 supplementation, and selective trials of ketogenic or elimination approaches in appropriate patients, alongside weight management and lifestyle optimization. High-quality, longer-duration RCTs using standardized dietary protocols and adherence biomarkers are needed to define dose–response relationships and enable personalized nutrition in migraine. Full article
(This article belongs to the Special Issue Nutrition Research in Brain and Neuroscience)
Show Figures

Figure 1

18 pages, 736 KB  
Article
Changes in Difficulties in Emotion Regulation Following Eating Disorders Treatment: Relevant Prospective Implications for Treatment Outcome
by Tânia F. Rodrigues, Lucero Munguía, Roser Granero, Isabel Sánchez, Jessica Sánchez-González, Jessica Jimenez-de Toro, Laura Galvez, Cristina Artero, Susana Jiménez-Murcia, Paulo P. P. Machado and Fernando Fernández-Aranda
Nutrients 2025, 17(21), 3470; https://doi.org/10.3390/nu17213470 - 3 Nov 2025
Viewed by 811
Abstract
Background: Difficulties in emotion regulation (ER) are commonly described in eating disorders (ED), but few studies report its impact on ED treatment outcome. The main goal of this study was to investigate the patterns of change in difficulties in ER among ED-diagnosed [...] Read more.
Background: Difficulties in emotion regulation (ER) are commonly described in eating disorders (ED), but few studies report its impact on ED treatment outcome. The main goal of this study was to investigate the patterns of change in difficulties in ER among ED-diagnosed female patients who received a Cognitive Behavioral Therapy (CBT) treatment. Methods: Participants (N = 74; Mage = 29.2; SD = 11.5) completed pre- and post-treatment questionnaires to assess difficulties in ER, disordered eating symptoms, general psychopathology, and personality traits. Results: Considering ED treatment outcome status, 24.3% of patients displayed a poor outcome, while 28.4% achieved partial remission, and 47.3% achieved full remission. Most of the patients who achieved full remission (80%) reported decreases in difficulties in ER, while only 55.6% of the participants displaying poor outcomes reported improvements in ER. The results from the structural equation modeling (SEM) suggest that the risk of poor outcome was directly related to increased post-treatment difficulties in ER, while improvements in the severity index of global psychopathology was related to increased pre-treatment difficulties in ER. Conclusions: Better ED treatment outcomes are associated with higher levels of ER improvements. Future prospective studies are warranted to establish which ER components may positively influence the recovery of ED-diagnosed patients. Full article
Show Figures

Figure 1

79 pages, 1259 KB  
Review
Impact of Diverse Dietary Patterns on Cognitive Health: Cumulative Evidence from Prospective Cohort Studies
by Youngyo Kim, Minkyung Je, Kyeonghoon Kang and Yoona Kim
Nutrients 2025, 17(21), 3469; https://doi.org/10.3390/nu17213469 - 3 Nov 2025
Viewed by 1545
Abstract
Background/Objectives: The aging population is associated with an increased incidence of dementia, which deteriorates the quality of life of adults, leading to an elevated socioeconomic burden. This review aimed to extensively examine which dietary patterns favorably influence cognitive outcomes based on prospective cohort [...] Read more.
Background/Objectives: The aging population is associated with an increased incidence of dementia, which deteriorates the quality of life of adults, leading to an elevated socioeconomic burden. This review aimed to extensively examine which dietary patterns favorably influence cognitive outcomes based on prospective cohort studies of adults. Methods: A literature search was performed in the PubMed®/MEDLINE® database up to 30 October 2024. Results: One hundred and eighteen publications were included. In a comparison of high and low categories, the Mediterranean-Dietary Approaches to Stop Hypertension Intervention for Neurodegenerative Delay (MIND) diet increased cognitive function and reduced the risk of cognitive impairment. The Mediterranean (MED) diet improved cognitive function but showed no beneficial effects on cognitive impairment or dementia. The Dietary Approaches to Stop Hypertension (DASH) diet lowered the risk of cognitive impairment but showed no alteration in either cognitive function or dementia. The Healthy Eating Index (HEI) did not alter cognitive function, cognitive impairment, or dementia. The healthy plant-based dietary index (hPDI) decreased the risk of cognitive impairment and dementia, whereas the unhealthy plant-based dietary index (uPDI) elevated the risk of cognitive impairment. The Western dietary pattern (WDP) decreased cognitive function. Conclusions: The MIND diet and hPDI appeared to be effective, while the WDP appeared to be detrimental for cognitive health. Further prospective cohort studies of healthy and unhealthy dietary patterns are required to confirm the association between diverse diets and cognitive health. Full article
Show Figures

Figure 1

20 pages, 339 KB  
Review
Peptide YY in Type 2 Diabetes: A Complementary Gut Hormone with Therapeutic Potential Beyond GLP-1
by Nhi Thi Nguyen and Jae-Hyung Park
Nutrients 2025, 17(21), 3468; https://doi.org/10.3390/nu17213468 - 3 Nov 2025
Viewed by 1188
Abstract
Type 2 diabetes (T2D) is a complex metabolic disease characterized by insulin resistance, progressive β-cell dysfunction, and persistent hyperglycemia. While GLP-1 receptor agonists have revolutionized the management of T2D by improving glycemic control and reducing body weight, their insulinotropic effects increase the workload [...] Read more.
Type 2 diabetes (T2D) is a complex metabolic disease characterized by insulin resistance, progressive β-cell dysfunction, and persistent hyperglycemia. While GLP-1 receptor agonists have revolutionized the management of T2D by improving glycemic control and reducing body weight, their insulinotropic effects increase the workload on pancreatic β-cells, which may hasten β-cell decline in certain individuals. Peptide YY (PYY), a gut-derived hormone secreted alongside glucagon-like peptide-1 (GLP-1) from L-cells, presents a unique and complementary therapeutic approach. In contrast to GLP-1, PYY does not directly induce insulin release but confers metabolic advantages by suppressing appetite through Y2 receptor pathways, enhancing insulin sensitivity via peripheral Y1/Y4 receptors, and slowing gastric emptying to minimize postprandial glucose surges. Notably, recent research suggests PYY supports the preservation and restoration of pancreatic islets by improving their structure and function without increasing the secretory demand. PYY levels are substantially increased after bariatric surgery, where it plays a pivotal role in weight-loss-independent improvements in glycemic regulation and islet hormone dynamics. These attributes position PYY as a strong candidate for use in combination with GLP-1 analogs, especially in individuals with advanced β-cell impairment or those who respond inadequately to GLP-1 monotherapy. This review discusses PYY’s physiological functions, mechanistic actions, and therapeutic opportunities in T2D, highlighting its potential as a valuable adjunct or alternative in gut-hormone-oriented treatment strategies. Full article
(This article belongs to the Collection Bioactive Peptides: Challenges and Opportunities)
11 pages, 843 KB  
Article
Association Between Dietary Tomato Intake and Blood Eosinophil Count in Middle-Aged and Older Japanese Individuals: A Population-Based Cross-Sectional Study
by Akinori Hara, Hiromasa Tsujiguchi, Rio Fukuchi, Masaharu Nakamura, Jam Camara, Marama Talica, Jiaye Zhao, Chie Takazawa, Fumihiko Suzuki, Haruhiko Ogawa, Takayuki Kannon, Takehiro Sato, Atsushi Tajima and Hiroyuki Nakamura
Nutrients 2025, 17(21), 3467; https://doi.org/10.3390/nu17213467 - 3 Nov 2025
Viewed by 1204
Abstract
Background/Objectives: Although tomato consumption has been associated with positive health outcomes, it remains unclear whether it can prevent or exacerbate allergic diseases by regulating eosinophils. We explored the association between dietary tomato intake and blood eosinophil counts in Japanese individuals. Methods: [...] Read more.
Background/Objectives: Although tomato consumption has been associated with positive health outcomes, it remains unclear whether it can prevent or exacerbate allergic diseases by regulating eosinophils. We explored the association between dietary tomato intake and blood eosinophil counts in Japanese individuals. Methods: This population-based, cross-sectional study included 1013 participants aged ≥ 40 years. The dietary intake of tomatoes was assessed using a validated, self-administered diet history questionnaire. The peripheral blood eosinophil count was measured, and an elevated blood eosinophil count was defined as a value that exceeded the ≥75th percentile. Results: The mean age of the participants was 62.5 ± 11.2 years, with 474 (46.8%) being male. Overall, 252 participants exhibited elevated blood eosinophil counts (≥204/μL). In the multivariable logistic regression model with adjustment for potential confounders, an increase in tomato intake of 10 g was inversely associated with an elevated blood eosinophil count (odds ratio [OR], 0.895; 95% confidence interval [CI], 0.834–0.961). Except for chronic kidney disease, the baseline participant characteristics did not influence this association. Conclusions: Low dietary tomato intake was associated with an elevated blood eosinophil count in middle-aged and older Japanese individuals. These results may provide insight into the dietary management of eosinophil-related allergic and type 2 inflammatory diseases. Full article
(This article belongs to the Special Issue Antioxidant-Rich Natural Fruit and Vegetable Foods and Human Health)
Show Figures

Figure 1

Previous Issue
Back to TopTop