You are currently viewing a new version of our website. To view the old version click .

48 Results Found

  • Article
  • Open Access
4 Citations
3,402 Views
12 Pages

Skull Vibration-Induced Nystagmus Test in a Human Model of Horizontal Canal Plugging

  • Georges Dumas,
  • Christol Fabre,
  • Anne Charpiot,
  • Lea Fath,
  • Hella Chaney-Vuong,
  • Philippe Perrin and
  • Sébastien Schmerber

24 June 2021

Background/Aim: the aim of this study was to assess the skull vibration-induced nystagmus test (SVINT) results and vestibular residual function after horizontal semicircular canal (HSCC) plugging. Methods: In this retrospective chart review performed...

  • Article
  • Open Access
9 Citations
6,291 Views
10 Pages

Apogeotropic Horizontal Canal Benign Paroxysmal Positional Vertigo: Zuma e Maia Maneuver versus Appiani Variant of Gufoni

  • Marta Alvarez de Linera-Alperi,
  • Octavio Garaycochea,
  • Diego Calavia,
  • David Terrasa,
  • Nicolas Pérez-Fernández and
  • Raquel Manrique-Huarte

19 June 2022

Benign paroxysmal positional vertigo (BPPV) is one of the most common disorders that causes dizziness. The incidence of horizontal semicircular canal (HSC) BPPV ranges from 5% to 40.5% of the total number of BPPV cases diagnosed. Several studies have...

  • Article
  • Open Access
10 Citations
4,622 Views
10 Pages

Early Diagnosis of Central Disorders Mimicking Horizontal Canal Cupulolithiasis

  • Paula Peña Navarro,
  • Sofía Pacheco López,
  • Cristina Nicole Almeida Ayerve,
  • Susana Marcos Alonso,
  • José Manuel Serradilla López,
  • Santiago Santa Cruz Ruiz,
  • José Carlos Gómez Sánchez,
  • Diego Kaski and
  • Ángel Batuecas Caletrío

Background: Horizontal Canal Cupulolithiasis (hc-BPPV-cu) can mimic a pathology of central origin, so a careful examination is essential to prevent misdiagnosis. Methods: Retrospective cross-sectional cohort study of 45 patients suffering from suspec...

  • Article
  • Open Access
2 Citations
253 Views
12 Pages

28 February 2019

OKN corresponding to the motion of the fixating area occurs when a stimulus has two areas separated in depth containing motion in different directions. However, when attention and vergence are separately directed to areas with different motions and d...

  • Article
  • Open Access
7 Citations
3,989 Views
11 Pages

Deep Learning-Based Nystagmus Detection for BPPV Diagnosis

  • Sae Byeol Mun,
  • Young Jae Kim,
  • Ju Hyoung Lee,
  • Gyu Cheol Han,
  • Sung Ho Cho,
  • Seok Jin and
  • Kwang Gi Kim

26 May 2024

In this study, we propose a deep learning-based nystagmus detection algorithm using video oculography (VOG) data to diagnose benign paroxysmal positional vertigo (BPPV). Various deep learning architectures were utilized to develop and evaluate nystag...

  • Article
  • Open Access
1 Citations
2,023 Views
12 Pages

Nystagmus During a Vertigo Crisis in Menière’s Disease—Direction of Nystagmus, Contribution of a Mobile Phone and Therapeutic Implications

  • Valéria Ionescu,
  • Tamadhor Alzarqaa,
  • Saad Albalawi,
  • Yann Lelonge,
  • Pierre Reynard,
  • Alexandre Karkas and
  • Pierre Bertholon

12 December 2024

Background/Objectives: Spontaneous nystagmus during vertigo attacks of Menière’s disease has been essentially described as horizontal, beating ipsilaterally (irritative type) or contralaterally (deficit type) to the hearing loss. Our mai...

  • Article
  • Open Access

Lying Down Nystagmus in Lateral Canal Paroxysmal Positional Vertigo

  • Mauro Gufoni,
  • Nicola Ducci,
  • Davide Bernacca,
  • Luigi Califano and
  • Augusto Pietro Casani

Introduction: The aim of this study was to determine the position of otoconial debris in lateral ampullar or non-ampullar canalolithiasis, based on two parameters: (1) the direction of the nystagmus appearing when the patient lies down, if present, a...

  • Article
  • Open Access
54 Citations
7,158 Views
10 Pages

Developing a Diagnostic Decision Support System for Benign Paroxysmal Positional Vertigo Using a Deep-Learning Model

  • Eun-Cheon Lim,
  • Jeong Hye Park,
  • Han Jae Jeon,
  • Hyung-Jong Kim,
  • Hyo-Jeong Lee,
  • Chang-Geun Song and
  • Sung Kwang Hong

Background: Diagnosis of benign paroxysmal positional vertigo (BPPV) depends on the accurate interpretation of nystagmus induced by positional tests. However, difficulties in interpreting eye-movement often can arise in primary care practice or emerg...

  • Article
  • Open Access
10 Citations
1,464 Views
4 Pages

Enlarged vestibular aqueduct (EVA) is one of the commonly identified congenital temporal bone abnormalities associated with sensorineural hearing loss. Hearing loss may be unilateral or bilateral, and typically presents at birth or in early childhood...

  • Review
  • Open Access
9 Citations
4,402 Views
15 Pages

The Light Cupula Phenomenon: A Scoping Review

  • Dong-Han Lee,
  • Tae Hee Kim,
  • Minho Jang and
  • Chang-Hee Kim

23 December 2023

Direction-changing positional nystagmus (DCPN), which refers to the change in the direction of nystagmus with different head positions, is a well-known characteristic of horizontal semicircular canal BPPV. The supine head roll test is commonly used t...

  • Article
  • Open Access
4 Citations
5,923 Views
6 Pages

26 February 2021

Background: There have been several studies about head-shaking nystagmus (HSN) in posterior canal benign paroxysmal positional vertigo (PC-BPPV). The purpose of the study was to determine the characteristics of HSN and its relationship with head-bend...

  • Case Report
  • Open Access
1 Citations
2,830 Views
10 Pages

Paroxysmal Positional Nystagmus in Acoustic Neuroma Patients

  • Francesco Comacchio,
  • Paola Magnavita and
  • Barbara Bellemo

13 April 2023

The association between acoustic neuroma and positional vertigo with paroxysmal positional nystagmus is relatively rare, but, when present, it certainly represents a challenge for the otoneurologist. There are few reports in the literature on this pa...

  • Article
  • Open Access
1 Citations
2,413 Views
15 Pages

Bone-Anchored Hearing Aid Effects on Vestibular Function: A Preliminary Report

  • Federica Pollastri,
  • Beatrice Giannoni,
  • Vincenzo Marcelli,
  • Giulia Spadavecchia and
  • Rudi Pecci

20 April 2024

Objective: Cochlear receptors are sensitive to vibratory stimuli. Based on this sensibility, bone-anchored hearing aids have been introduced to correct unilateral or bilateral conductive or mixed hearing loss and unilateral deafness. The vestibular s...

  • Article
  • Open Access
2,128 Views
12 Pages

Simplifying the Diagnosis of Pediatric Nystagmus with Fundus Photography

  • Noa Cohen-Sinai,
  • Inbal Man Peles,
  • Basel Obied,
  • Noa Netzer,
  • Noa Hadar,
  • Alon Zahavi and
  • Nitza Goldenberg-Cohen

11 February 2025

Background/Objectives: To simplify diagnosing congenital and acquired nystagmus using fundus photographs. Methods: A retrospective study included patients with congenital or childhood-acquired nystagmus examined at a hospital-based ophthalmology clin...

  • Article
  • Open Access
914 Views
16 Pages

Transformer-Based Detection and Clinical Evaluation System for Torsional Nystagmus

  • Ju-Hyuck Han,
  • Yong-Suk Kim,
  • Jong Bin Lee,
  • Hantai Kim,
  • Jong-Yeup Kim and
  • Yongseok Cho

28 June 2025

Motivation: Benign paroxysmal positional vertigo (BPPV) is characterized by torsional nystagmus induced by changes in head position, where accurate quantitative assessment of subtle torsional eye movements is essential for precise diagnosis. Conventi...

  • Article
  • Open Access
6 Citations
2,131 Views
9 Pages

Optical Coherence Tomography as a Biomarker for Differential Diagnostics in Nystagmus: Ganglion Cell Layer Thickness Ratio

  • Khaldoon O. Al-Nosairy,
  • Elisabeth V. Quanz,
  • Julia Biermann and
  • Michael B. Hoffmann

23 August 2022

In albinism, with the use of optical coherence tomography (OCT), a thinning of the macular ganglion cell layer was recently reported. As a consequence, the relevant OCT measure, i.e., a reduction of the temporal/nasal ganglion cell layer thickness qu...

  • Article
  • Open Access
18 Citations
1,820 Views
4 Pages

Apogeotropic variant of horizontal semicircular canal benign paroxysmal positional vertigo: Where are the particles?

  • Bernardo Faria Ramos,
  • Renato Cal,
  • Camila Martins Brock,
  • Pedro Luiz Mangabeira Albernaz and
  • Francisco Zuma e Maia

The apogeotropic variant of horizontal semicircular canal benign paroxysmal positional vertigo (HC-BPPV) is attributed to free floating particles in the anterior arm of the lateral semicircular canal – particles attached to the cupula facing the cana...

  • Review
  • Open Access
1 Citations
2,696 Views
8 Pages

Dr. Epley has been instrumental in defining the mechanisms and treatment of BPPV variants, including those of the horizontal canals. Cupulolithiasis is a horizontal canal BPPV variant usually defined as direction-changing apogeotropic nystagmus. In r...

  • Article
  • Open Access
3 Citations
2,986 Views
10 Pages

Visual Fixation of Skull-Vibration-Induced Nystagmus in Patients with Peripheral Vestibulopathy

  • Melissa Blanco,
  • Chiara Monopoli-Roca,
  • Marta Álvarez de Linera-Alperi,
  • Pablo Menéndez Fernández-Miranda,
  • Bárbara Molina,
  • Angel Batuecas-Caletrío and
  • Nicolás Pérez-Fernández

24 June 2024

Nystagmus induced by applying an intense vibratory stimulus to the skull (SVIN) indicates vestibular functional asymmetry. In unilateral vestibular loss, a 100 Hz bone-conducted vibration given to either mastoid immediately causes a primarily horizon...

  • Article
  • Open Access
3 Citations
2,547 Views
11 Pages

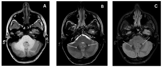
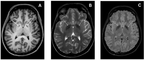
Clinical and Video-Oculographic Characteristics of Spinocerebellar Ataxia Type 27B (GAA-FGF14 Ataxia): A Single-Center Retrospective Study

  • Evgenii Nuzhnyi,
  • Natalia Abramycheva,
  • Arina Protsenko,
  • Alexandra Belyakova-Bodina,
  • Ekaterina Larina,
  • Ekaterina Fedotova,
  • Sergey Klyushnikov and
  • Sergey Illarioshkin

An intronic GAA repeat expansion in the FGF14 gene was recently identified as a common cause of autosomal dominant GAA-FGF14 ataxia (SCA27B). We aimed to characterize in detail the clinical and video-oculographic features in our cohort of SCA27B pati...

  • Article
  • Open Access
3 Citations
3,105 Views
12 Pages

10 February 2023

Based on the current state of the BPPV field, there are no guidelines that specify an angular head movement’s velocity (AHMV) during diagnostic maneuvers of BPPV. The aim of this study was to evaluate the impact of AHMV during diagnostic maneuv...

  • Article
  • Open Access
6 Citations
3,453 Views
10 Pages

Skull Vibration-Induced Nystagmus and High Frequency Ocular Vestibular-Evoked Myogenic Potentials in Superior Canal Dehiscence

  • Ángel Batuecas-Caletrío,
  • Alejandra Jara,
  • Victor Manuel Suarez-Vega,
  • Susana Marcos-Alonso,
  • Hortensia Sánchez-Gómez and
  • Nicolas Pérez-Fernández

14 April 2022

Background: Although diagnostic criteria have been established for superior canal dehiscence syndrome, cases in which the diagnosis is not easy are frequent. On those occasions, some tests such as vibration-induced nystagmus or vestibular-evoked myog...

  • Case Report
  • Open Access
3 Citations
744 Views
3 Pages

Yet Another Atypical Presentation of Anti-GQ1b Antibody Syndrome

  • Raed Alroughani,
  • Anil Thussu and
  • Raouf T. Guindi

24 September 2015

Variants of Guillain-Barre syndrome such as Bickerstaff encephalitis and Miller-Fisher syndrome have been reported. We report a 15-year-old boy who presented, after a prodromal illness, with 3-day progressive limb weakness, diplopia, and acute urinar...

  • Article
  • Open Access
4 Citations
268 Views
8 Pages

20 October 2020

While many studies have characterized the eye movements during visual fixation, including microsaccades, in most cases only horizontal and vertical components have been recorded and analyzed. Thus, little is known about the torsional component of mic...

  • Feature Paper
  • Article
  • Open Access
7 Citations
3,961 Views
11 Pages

Skull Vibration Induced Nystagmus Test: Correlations with Semicircular Canal and Otolith Asymmetries

  • Christol Fabre,
  • Haoyue Tan,
  • Georges Dumas,
  • Ludovic Giraud,
  • Philippe Perrin and
  • Sébastien Schmerber

15 November 2021

Background: To establish in patients with peripheral vestibular disorders relations between skull vibration-induced nystagmus (SVIN) different components (horizontal, vertical, torsional) and the results of different structurally related vestibular t...

  • Review
  • Open Access
1 Citations
2,013 Views
9 Pages

28 November 2024

Introduction and Objectives: Skull vibration-induced nystagmus (SVIN) has become a validated tool for evaluating the vestibular function. The presence of SVIN is a useful indicator of the asymmetry of vestibular function between the two ears. In unil...

  • Article
  • Open Access
15 Citations
5,391 Views
9 Pages

Monoclonal Antibodies Targeting CGRP: A Novel Treatment in Vestibular Migraine

  • Andrea Lovato,
  • Caterina Disco,
  • Andrea Frosolini,
  • Daniele Monzani and
  • Francesco Perini

28 August 2023

Background. Monoclonal antibodies (mAbs) directed against the calcitonin gene-related peptide (CGRP) or its receptor represented the first targeted and specialized approach to migraine prophylaxis. Nevertheless, they have been rarely considered in th...

  • Article
  • Open Access
1 Citations
1,065 Views
11 Pages

Telemedicine: Inter-Method Agreement Between In-Person Consultations and Video Recordings When Diagnosing Benign Paroxysmal Positional Vertigo

  • Ali A. Melliti,
  • Rajneesh Bhandari,
  • Anita Bhandari,
  • Mustafa Karabulut,
  • Ellen Rikers,
  • Sophie Paredis,
  • Sophie Vanbelle and
  • Raymond van de Berg

6 April 2025

Objective: To investigate the inter-method agreement between in-person consultations and video recordings when diagnosing BPPV. Methods: Two experienced vestibular clinicians (clinician A and B) evaluated patients for the presence and type of BPPV, u...

  • Review
  • Open Access
7 Citations
3,320 Views
20 Pages

Skull Vibration-Induced Nystagmus in Superior Semicircular Canal Dehiscence: A New Insight into Vestibular Exploration—A Review

  • Georges Dumas,
  • Ian Curthoys,
  • Andrea Castellucci,
  • Laurent Dumas,
  • Laetitia Peultier-Celli,
  • Enrico Armato,
  • Pasquale Malara,
  • Philippe Perrin and
  • Sébastien Schmerber

22 January 2024

The third window syndrome, often associated with the Tullio phenomenon, is currently most often observed in patients with a superior semicircular-canal dehiscence (SCD) but is not specific to this pathology. Clinical and vestibular tests suggestive o...

  • Article
  • Open Access
7 Citations
3,094 Views
7 Pages

Vestibular Disorders after Kidney Transplantation: Focus on the Pathophysiological Mechanisms Underlying the Vertical Nystagmus Associated with Tacrolimus-Related Hypomagnesamia

  • Pasquale Viola,
  • Vincenzo Marcelli,
  • Domenico Sculco,
  • Davide Pisani,
  • Alfredo Caglioti,
  • Filippo Ricciardiello,
  • Alfonso Scarpa,
  • Alessia Astorina,
  • Giuseppe Tortoriello and
  • Luca Gallelli
  • + 2 authors

The purpose of this paper is to present the case of a patient undergoing kidney transplantation who developed limb tremor dizziness and vertical nystagmus (ny) during Tacrolimus (TAC) therapy and to investigate the pathophysiological mechanisms under...

  • Article
  • Open Access
8 Citations
5,233 Views
8 Pages

Benign Positional Paroxysmal Vertigo in Children

  • Cristiano Balzanelli,
  • Daniele Spataro and
  • Luca Oscar Redaelli de Zinis

1 February 2021

The aim of this study was to assess the prevalence and analyze clinical parameters of benign positional paroxysmal vertigo (BPPV) in a pediatric age. A cohort of 423 children under the age of 15 (median age 11. interquartile range 9–13) was submitted...

  • Article
  • Open Access
2 Citations
3,430 Views
14 Pages

Applicability of Oculomotor Tests for Predicting Central Vestibular Disorder Using Principal Component Analysis

  • Ching-Nung Wu,
  • Sheng-Dean Luo,
  • Shu-Fang Chen,
  • Chi-Wei Huang,
  • Pi-Ling Chiang,
  • Chung-Feng Hwang,
  • Chao-Hui Yang,
  • Chun-Hsien Ho,
  • Wei-De Cheng and
  • Chung-Ying Lin
  • + 1 author

2 February 2022

The videonystagmography oculomotor test battery is considered useful method for diagnosing vertigo. However, its role in diagnosing central vestibular disorder has not been clarified due to variations in interpretation. Patients (n = 103) with vertig...

  • Article
  • Open Access
2,087 Views
9 Pages

A New Case of Mitochondrial RNA Helicase SUPV3L1-Associated Neurodegenerative Disease: Ataxia, Spasticity, Optic Atrophy, and Skin Hypopigmentation (ASOASH)

  • Polina Tsygankova,
  • Denis Chistol,
  • Tatiana Krylova,
  • Igor Bychkov,
  • Vyacheslav Tabakov,
  • Tatiana Markova,
  • Elena Dadali and
  • Ekaterina Zakharova

30 October 2024

Background: The SUPV3L1 gene encodes ATP-dependent RNA helicase SUPV3L1, which is a part of the mitochondrial degradosome complex or SUV3. SUPV3L1 unwinds secondary structures of mitochondrial RNA (mtRNA) and facilitates the degradation of mtRNA mole...

  • Article
  • Open Access
6 Citations
2,935 Views
6 Pages

Is Skull Vibration-Induced Nystagmus Useful in Vestibular Neuritis Follow Up?

  • Ma Piedad García Díaz,
  • Lidia Torres-García,
  • Enrique García Zamora,
  • Ana Belén Castilla Jiménez and
  • Vanesa Pérez Guillén

26 February 2022

The aim of this study was to evaluate the vestibulo-ocular reflex (VOR) gain and the saccade regrouping pattern PR score of the Video Head Impulse Test (vHIT) and its relationship with the slow-phase velocity (SPV) of skull vibration-induced nystagmu...

  • Case Report
  • Open Access
5 Citations
3,192 Views
11 Pages

Papillary Tumor of the Pineal Region Rare Pediatric CNS Tumor Case Series Treated in King Fahad Medical City (KFMC)

  • Nahla A. Mobark,
  • Musa Alharbi,
  • Fahad Alotabi,
  • Azhar Alshoumer,
  • Wafa Al Shakweer,
  • Zaid G. AlNaqib,
  • Abdulaziz N. AlSaad,
  • Ali O. Balbaid,
  • Ebtehal Alsolme and
  • Malak S. Abedalthagafi

10 October 2022

The clinical behaviors, prognosis, and appropriate treatments of papillary tumors of the pineal region (PTPR) are not fully defined due to the rarity of these tumors. At diagnosis, PTPR may present with clinical symptoms, including headache with obst...

  • Study Protocol
  • Open Access
5 Citations
3,004 Views
12 Pages

18 October 2023

Background: Severe truncal ataxia associated with an inability to sit up without assistance (STA grade 3) is frequent in patients with central acute vestibular syndrome (AVS) involving the brainstem or cerebellum. When these patients have nystagmus,...

  • Article
  • Open Access
11 Citations
605 Views
15 Pages

Robust Head Mounted Wearable Eye Tracking System for Dynamical Calibration

  • Antonio Lanata,
  • Alberto Greco,
  • Gaetano Valenza and
  • Enzo Pasquale Scilingo

3 November 2015

In this work, a new head mounted eye tracking system is presented. Based on computer vision techniques, the system integrates eye images and head movement, in real time, performing a robust gaze point tracking. Nystagmus movements due to vestibulo-oc...

  • Article
  • Open Access
10 Citations
3,857 Views
10 Pages

6 July 2022

Objectives. The aim was to analyze and compare the compensatory process, vestibular dysfunction, postural control, and perceived disability in a population of patients with vestibular neuritis (VN). Material and Methods. This is a prospective and lon...

  • Case Report
  • Open Access
2 Citations
4,366 Views
10 Pages

GNB1 Encephalopathy: Clinical Case Report and Literature Review

  • Matas Nasvytis,
  • Julija Čiauškaitė and
  • Giedrė Jurkevičienė

1 April 2024

GNB1 encephalopathy is a rare genetic disease caused by pathogenic variants in the G Protein Subunit Beta 1 (GNB1) gene, with only around 68 cases documented worldwide. Although most cases had been caused by de novo germline mutations, in this case,...

  • Article
  • Open Access
8 Citations
3,286 Views
13 Pages

Dispelling Mist That Obscures Positional Vertigo in Vestibular Migraine

  • E Tian,
  • Fei Li,
  • Dan Liu,
  • Jun Wang,
  • Zhaoqi Guo,
  • Jingyu Chen,
  • Jiaqi Guo and
  • Sulin Zhang

20 October 2023

(1) Background: Patients with vestibular migraine (VM) often present with positional vertigo. A portion of these patients have features of benign paroxysmal positional vertigo (BPPV). It is a challenge to rapidly identify the BPPV component of VM ass...

  • Brief Report
  • Open Access
18 Citations
8,134 Views
5 Pages

Benign Paroxysmal Positional Vertigo (BPPV) in COVID-19

  • Pasqualina Maria Picciotti,
  • Giulio Cesare Passali,
  • Bruno Sergi and
  • Eugenio De Corso

13 August 2021

Objective: The purpose of this article is to describe BPPV in COVID-19 patients by discussing the possible mechanisms underlying the onset of this vertigo. Methods: We studied eight patients (4 F, 4 M, aged between 44 and 69 years) with COVID-19 infe...

  • Case Report
  • Open Access
4 Citations
2,398 Views
7 Pages

21 February 2023

A 13-year-old neutered, blue-eyed female Siamese cat with a bodyweight of 4.8 kg was admitted for enucleation of the right eye. An ultrasound guided retrobulbar block with 1 mL of ropivacaine was performed under general anaesthesia. When the tip of t...

  • Article
  • Open Access
2 Citations
3,047 Views
10 Pages

Comparative Study of Clinical Features of Patients with Different Types of Benign Paroxysmal Positional Vertigo

  • Marlena Ziemska-Gorczyca,
  • Karolina Dżaman,
  • Dana Pavlovschi,
  • Ireneusz Kantor and
  • Andrzej Wojdas

12 August 2024

Objectives: Even though BPPV is one of the most common causes of vertigo, it is often underdiagnosed and omitted in the diagnosis of patients reporting vertigo. The aim of the study was to establish a diagnostic pattern useful in patients admitted du...

  • Article
  • Open Access
2 Citations
3,273 Views
13 Pages

23 November 2022

Studies on contrast sensitivity (CS) testing using optokinetic nystagmus (OKN) proposed adjusting the stimulus presentation duration based on its contrast, to increase the time efficiency of such measurement. Furthermore, stimulus-specific limits of...

  • Article
  • Open Access
10 Citations
3,432 Views
9 Pages

26 November 2022

This retrospective study completed at a tertiary care center aimed to assess the monothermal caloric test (MCT) as a screening test, using the bithermal caloric test (BCT) as a reference. Additionally, it attempts to measure the sensitivity, specific...

  • Article
  • Open Access
5 Citations
3,704 Views
20 Pages

Characterization of the Frmd7 Knock-Out Mice Generated by the EUCOMM/COMP Repository as a Model for Idiopathic Infantile Nystagmus (IIN)

  • Ahmed Salman,
  • Samuel B. Hutton,
  • Tutte Newall,
  • Jennifer A. Scott,
  • Helen L. Griffiths,
  • Helena Lee,
  • Diego Gomez-Nicola,
  • Andrew J. Lotery and
  • Jay E. Self

30 September 2020

In this study, we seek to exclude other pathophysiological mechanisms by which Frmd7 knock-down may cause Idiopathic Infantile Nystagmus (IIN) using the Frmd7.tm1a and Frmd7.tm1b murine models. We used a combination of genetic, histological and visua...

  • Article
  • Open Access
1,254 Views
12 Pages

Riboflavin Transporter Deficiency as a Cause of Progressive Encephalopathy

  • Justyna Paprocka,
  • Julia Karpierz,
  • Michał Hutny,
  • Jagoda Hofman-Hutna and
  • Artur Dobosz

24 October 2025

Background/Objective: Riboflavin transporter deficiency (RTD) is a rare neurodegenerative disease, with under 500 cases genetically confirmed since the early 2000s. Thus far, three separate subtypes of RTD2 are described—type 1, 2 and 3—b...

  • Article
  • Open Access
356 Views
3 Pages

Microsaccades are at the interface between basic oculomotor phenomena and complex processes of cognitive functioning, and they also have been a challenge for subtle experimentation and adequate statistical analysis. In the second part of the special...