Next Issue
Volume 19, January
Previous Issue
Volume 18, November
 
 

Pharmaceuticals, Volume 18, Issue 12 (December 2025) – 139 articles

Cover Story (view full-size image): Platelet-derived growth factor receptor beta (PDGFRβ) plays a central role in fibrogenesis and is increasingly recognized as a key marker of pathological tissue remodeling after myocardial infarction. Non-invasive assessment of PDGFRβ expression may therefore offer a powerful tool to identify active fibrosis at an early stage, when patients remain at elevated risk despite successful reperfusion therapy. In this work, we introduce a GMP-compliant PDGFRβ-targeted PET radiopharmaceutical, [68Ga]Ga-ATH001, and present its preclinical validation in mouse and human myocardial tissue together with first-in-human imaging in STEMI patients. View this paper
  • Issues are regarded as officially published after their release is announced to the table of contents alert mailing list.
  • You may sign up for e-mail alerts to receive table of contents of newly released issues.
  • PDF is the official format for papers published in both, html and pdf forms. To view the papers in pdf format, click on the "PDF Full-text" link, and use the free Adobe Reader to open them.
Order results
Result details
Section
Select all
Export citation of selected articles as:
19 pages, 3030 KB  
Article
Antibacterial and Antifungal Properties of Ocotea indecora Essential Oil and Its Nanoemulsion
by Francisco Paiva Machado, Julia C. Scaffo, Leonardo A. Pinto, Renata F. A. Pereira, Sorele Fiaux, Luiz Antonio M. Keller, Eduardo Ricci-Júnior, Ana Paula dos Santos Matos, Fabio Aguiar-Alves, Caio P. Fernandes, Jorge A. D. Duarte and Leandro Rocha
Pharmaceuticals 2025, 18(12), 1909; https://doi.org/10.3390/ph18121909 - 18 Dec 2025
Viewed by 285
Abstract
Background: Antimicrobial resistance and fungal contamination remain major threats to public health and agriculture, emphasizing the need for innovative alternatives. Plant-derived products are a promising alternative, and nanoformulations may further enhance their activity. Objective: This study investigated the antimicrobial potential of Ocotea indecora [...] Read more.
Background: Antimicrobial resistance and fungal contamination remain major threats to public health and agriculture, emphasizing the need for innovative alternatives. Plant-derived products are a promising alternative, and nanoformulations may further enhance their activity. Objective: This study investigated the antimicrobial potential of Ocotea indecora essential oil and its nanoemulsion. Methods/Results: The essential oil chemical characterization by GC-MS revealed sesquirosefuran (91.61%) as the main constituent. A factorial design guided the selection of an optimized nanoemulsion, which exhibited spherical nanometric droplets (79 nm and 0.029 PdI) with long-term stability. The essential oil inhibited the growth of Gram-positive and Gram-negative strains at 1 to 2 mg/mL, while the nanoemulsion enhanced bactericidal activity against Staphylococcus aureus. In contrast, antifungal assays revealed a more pronounced effect, with the nanoemulsion lowering the minimum inhibitory concentrations (625 µg/mL) against Thielaviopsis ethacetica, thereby enhancing the inhibitory activity of the essential oil (2.5 mg/mL). Morphological alterations, including thinner hyphae and impaired sporulation, were also detected, suggesting a reduction in fungal virulence. Conclusions: In summary, O. indecora essential oil shows promising antimicrobial potential, and nanoemulsification proved particularly effective in potentiating fungistatic activity while offering limited enhancement of bactericidal effects. The results support the potential of O. indecora derivatives as natural candidates for the development of novel antimicrobial strategies. Full article
(This article belongs to the Special Issue Essential Oil-Based Nanoemulsions)
Show Figures

Graphical abstract

17 pages, 1137 KB  
Article
MicroRNA Signatures and Machine Learning Models for Predicting Cardiotoxicity in HER2-Positive Breast Cancer Patients
by Maria Anastasiou, Evangelos Oikonomou, Panagiotis Theofilis, Maria Gazouli, George-Angelos Papamikroulis, Athina Goliopoulou, Vasiliki Tsigkou, Vasiliki Skandami, Angeliki Margoni, Kyriaki Cholidou, Amanda Psyrri, Konstantinos Tsioufis, Flora Zagouri, Gerasimos Siasos and Dimitris Tousoulis
Pharmaceuticals 2025, 18(12), 1908; https://doi.org/10.3390/ph18121908 - 18 Dec 2025
Viewed by 413
Abstract
Background: HER2-positive breast cancer patients receiving chemotherapy and targeted therapy (including anthracyclines and trastuzumab) face an elevated risk of cardiotoxicity, which can lead to long-term cardiovascular complications. Identifying predictive biomarkers is essential for early intervention. Circulating microRNAs (miRNAs), known regulators of gene expression [...] Read more.
Background: HER2-positive breast cancer patients receiving chemotherapy and targeted therapy (including anthracyclines and trastuzumab) face an elevated risk of cardiotoxicity, which can lead to long-term cardiovascular complications. Identifying predictive biomarkers is essential for early intervention. Circulating microRNAs (miRNAs), known regulators of gene expression and cardiovascular function, have emerged as potential indicators of cardiotoxicity. This study aims to evaluate the differential expression of circulating miRNAs in HER2-positive breast cancer patients undergoing chemotherapy and to assess their prognostic ability for therapy-induced cardiotoxicity using machine learning models. Methods: Forty-seven patients were assessed for cardiac toxicity at baseline and every 3 months, up to 15 months. Blood samples were collected at baseline. MiRNA expression profiling for 84 microRNAs was performed using the miRCURY LNA miRNA PCR Panel. Differential expression was calculated via the 2−∆∆Ct method. The five most upregulated and five most downregulated miRNAs were further assessed using univariate logistic regression and receiver operating characteristic (ROC) analysis. Five machine learning models (Decision Tree, Random Forest (RF), Support Vector Machine (SVM), Gradient Boosting Machine (GBM), k-Nearest Neighbors (KNN)) were developed to classify cardiotoxicity based on miRNA expression. Results: Forty-five miRNAs showed significant differential expression between cardiac toxic and non-toxic groups. ROC analysis identified hsa-miR-155-5p (AUC 0.76, p = 0.006) and hsa-miR-124-3p (AUC 0.75, p = 0.007) as the strongest predictors. kNN, SVM, and RF models demonstrated high prognostic accuracy. The decision tree model identified hsa-miR-17-5p and hsa-miR-185-5p as key classifiers. SVM and RF highlighted additional miRNAs associated with cardiotoxicity (SVM: hsa-miR-143-3p, hsa-miR-133b, hsa-miR-145-5p, hsa-miR-185-5p, hsa-miR-199a-5p, RF: hsa-miR-185-5p, hsa-miR-145-5p, hsa-miR-17-5p, hsa-miR-144-3p, and hsa-miR-133a-3p). Performance metrics revealed that SVM, kNN, and RF models outperformed the decision tree in overall prognostic accuracy. Pathway enrichment analysis of top-ranked miRNAs demonstrated significant involvement in apoptosis, p53, MAPK, and focal adhesion pathways, all known to be implicated in chemotherapy-induced cardiac stress and remodeling. Conclusions: Circulating miRNAs show promise as biomarkers for predicting cardiotoxicity in breast cancer patients. Machine learning approaches may enhance miRNA-based risk stratification, enabling personalized monitoring and early cardioprotective interventions. Full article
(This article belongs to the Special Issue Chemotherapeutic and Targeted Drugs in Antitumor Therapy)
Show Figures

Graphical abstract

17 pages, 1421 KB  
Article
Bassia indica Attenuates Cardiotoxicity in a Rat Model via Anti-Inflammatory, Antioxidant, and Keap1/Nrf2 Modulation
by Fayyaz Anjum, Saad Touqeer, QurratUlAin Jamil, Ayesha Rida, Hafiz Muhammad Zubair, Adeel Sarfraz, Saleh Alfuraih, Waad Alrohily, Ali F. Almutairy, Ashfaq Ahmad, Mohammed Aufy and Shahid Muhammad Iqbal
Pharmaceuticals 2025, 18(12), 1907; https://doi.org/10.3390/ph18121907 - 18 Dec 2025
Viewed by 236
Abstract
Background: Drug-induced cardiotoxicity is a primary concern in clinical practice, especially in the context of oxidative stress induced by anti-cancer, antiviral, and antidiabetic drugs. Several strategies are devised to limit cardiotoxicity, which are supportive and provide symptomatic relief. This highlights the need [...] Read more.
Background: Drug-induced cardiotoxicity is a primary concern in clinical practice, especially in the context of oxidative stress induced by anti-cancer, antiviral, and antidiabetic drugs. Several strategies are devised to limit cardiotoxicity, which are supportive and provide symptomatic relief. This highlights the need to develop cardioprotective agents that circumvent the oxidative stress. Bassia indica is a cardiotonic plant with antioxidant properties traditionally used in Africa, South Asia, and China. We investigated its cardioprotective effects against doxorubicin-induced cardiotoxicity (DIC). Methods: B. indica extract (BiE) was analyzed by GC-MS and HPLC. Several antioxidant assays, including DPPH, FRAP, CUPRAC, NO, and H2O2 scavenging, were performed. In vivo attenuation of DIC was assessed in a rat model. Results: BiE contained several bioactive flavonoids, including 2-methoxy-4-vinylphenol, ferulic acid, gallic acid, kaempferol, and coumaric acid. Antioxidant assays demonstrated potent free-radical scavenging and antioxidant activity of BiE, providing mechanistic evidence for its in vivo amelioration of DIC. BiE treatment reduced myocardial oxidative stress by increasing endogenous antioxidant levels (p < 0.01), including SOD, CAT, and GSH. It upregulated Nrf2 and lowered Keap1 levels. This was also reflected in the restoration of cardiac tissue architecture and modulation of inflammatory markers, including IL-1β and TNF-α (p < 0.01). Cardiac tissue biomarkers were also improved. Conclusions: These findings conclude that BiE exerts cardiac protection by reducing oxidative stress and inflammation through modulation of the Keap1/Nrf2 pathway and decreasing the expression of IL-1β and TNF-α. Full article
Show Figures

Figure 1

35 pages, 3818 KB  
Article
Machine Learning-Based QSAR Screening of Colombian Medicinal Flora for Potential Antiviral Compounds Against Dengue Virus: An In Silico Drug Discovery Approach
by Sergio Andrés Montenegro-Herrera, Anibal Sosa, Isabella Echeverri-Jiménez, Rafael Santiago Castaño-Valencia and Alejandra María Jerez-Valderrama
Pharmaceuticals 2025, 18(12), 1906; https://doi.org/10.3390/ph18121906 - 18 Dec 2025
Viewed by 295
Abstract
Background/Objectives: Colombia harbors exceptional plant diversity, comprising over 31,000 formally identified species, of which approximately 6000 are classified as useful plants. Among these, 2567 species possess documented food and medicinal applications, with several traditionally utilized for managing febrile illnesses. Despite the global [...] Read more.
Background/Objectives: Colombia harbors exceptional plant diversity, comprising over 31,000 formally identified species, of which approximately 6000 are classified as useful plants. Among these, 2567 species possess documented food and medicinal applications, with several traditionally utilized for managing febrile illnesses. Despite the global burden of dengue virus infection affecting millions annually, no specific antiviral therapy has been established. This study aimed to identify potential anti-dengue compounds from Colombian medicinal flora through machine learning-based quantitative structure–activity relationship (QSAR) modeling. Methods: An optimized XGBoost algorithm was developed through Bayesian hyperparameter optimization (Optuna, 50 trials) and trained on 2034 ChEMBL-derived activity records with experimentally validated anti-dengue activity (IC50/EC50). The model incorporated 887 molecular features comprising 43 physicochemical descriptors and 844 ECFP4 fingerprint bits selected via variance-based filtering. IC50 and EC50 endpoints were modeled independently based on their pharmacological distinction and negligible correlation (r = −0.04, p = 0.77). Through a systematic literature review, 2567 Colombian plant species from the Humboldt Institute’s official checklist were evaluated (2501 after removing duplicates and infraspecific taxa), identifying 358 with documented antiviral properties. Phytochemical analysis of 184 characterized species yielded 3267 unique compounds for virtual screening. A dual-endpoint classification strategy categorized compounds into nine activity classes based on combined potency thresholds (Low: pActivity ≤ 5.0, Medium: 5.0 < pActivity ≤ 6.0, High: pActivity > 6.0). Results: The optimized model achieved robust performance (Matthews correlation coefficient: 0.583; ROC-AUC: 0.896), validated through hold-out testing (MCC: 0.576) and Y-randomization (p < 0.01). Virtual screening identified 276 compounds (8.4%) with high predicted potency for both endpoints (“High-High”). Structural novelty analysis revealed that all 276 compounds exhibited Tanimoto similarity < 0.5 to the training set (median: 0.214), representing 145 unique Murcko scaffolds of which 144 (99.3%) were absent from the training data. Application of drug-likeness filtering (QED ≥ 0.5) and applicability domain assessment identified 15 priority candidates. In silico ADMET profiling revealed favorable pharmaceutical properties, with Incartine (pIC50: 6.84, pEC50: 6.13, QED: 0.83), Bilobalide (pIC50: 6.78, pEC50: 6.07, QED: 0.56), and Indican (pIC50: 6.73, pEC50: 6.11, QED: 0.51) exhibiting the highest predicted potencies. Conclusions: This systematic computational screening of Colombian medicinal flora demonstrates the untapped potential of regional biodiversity for anti-dengue drug discovery. The identified candidates, representing structurally novel chemotypes, are prioritized for experimental validation. Full article
Show Figures

Figure 1

22 pages, 2225 KB  
Article
Wound-Healing Efficacy of Daucus carota Bioactive Compounds: Targeting Oxidative Stress, Inflammation, and Apoptosis
by Krishnaraju Venkatesan, Khalid A. Asseri, Pooja Muralidharan, Nizar Sirag, Rehab Ahmed, Hassabelrasoul Elfadil, Mahmoud Elodemi, Shaimaa Elsayed Ramadan Genena, Durgaramani Sivadasan, Malarkodi Velraj, Premalatha Paulsamy, Velmurugan Vadivel, Kousalya Prabahar and Kalpana Krishnaraju
Pharmaceuticals 2025, 18(12), 1905; https://doi.org/10.3390/ph18121905 - 17 Dec 2025
Viewed by 359
Abstract
Background/Objectives: Carrot seed essential oil (CSEO) from Daucus carota is rich in sesquiterpenoids and oxygenated sesquiterpenoids known for anti-inflammatory and antioxidant activities. This study evaluated the wound-healing potential of chemically validated CSEO in albino rats and examined its effects on oxidative stress, [...] Read more.
Background/Objectives: Carrot seed essential oil (CSEO) from Daucus carota is rich in sesquiterpenoids and oxygenated sesquiterpenoids known for anti-inflammatory and antioxidant activities. This study evaluated the wound-healing potential of chemically validated CSEO in albino rats and examined its effects on oxidative stress, inflammation, and apoptosis. Methods: CSEO was chemically characterized using GC–MS with retention-index validation. Eighteen constituents (>1% peak area) were identified. An excision wound model in albino rats was used to assess wound closure, physiological parameters, inflammatory cytokines (IL-1β, TNF-α), antioxidant status (SOD, GSH, ROS, MDA), and histological markers of tissue repair. Apoptosis was evaluated through caspase-3 immunohistochemistry to determine its role in tissue remodeling. Results: CSEO exhibited an oxygenated sesquiterpene–rich chemotype with oxygenated sesquiterpenes (~36%) and sesquiterpene hydrocarbons (~29%) as major groups. In vivo, CSEO significantly accelerated wound closure, achieving closure on Day 16 (p < 0.01) and complete closure by Day 21 (p < 0.001), compared with the Reference and Control groups. CSEO significantly improved body weight from Day 4 to Day 21 (p < 0.001) and showed consistently higher feed intake (p < 0.001) relative to other groups. Inflammatory markers were markedly reduced, with TNF-α and IL-1β significantly lower than in the Control group (p < 0.001). CD68 levels were also significantly decreased (p < 0.001). CSEO significantly lowered ROS and MDA (p < 0.001) while enhancing GSH and SOD levels (p < 0.001). Caspase-3 IHC revealed restored physiological apoptotic activity, supporting regulated tissue remodeling. Conclusions: CSEO modulates inflammation, oxidative stress, and apoptosis to promote efficient wound healing, supporting its relevance as a promising therapeutic candidate for wound management. Full article
(This article belongs to the Special Issue Natural Products as an Alternative for Treatment of Human Diseases)
Show Figures

Figure 1

19 pages, 3365 KB  
Review
Potential of Artemisia annua Bioactives as Antiviral Agents Against SARS-CoV-2 and Other Health Complications
by Nehad A. Shaer, Amal A. Mohamed and Ewald Schnug
Pharmaceuticals 2025, 18(12), 1904; https://doi.org/10.3390/ph18121904 - 17 Dec 2025
Viewed by 753
Abstract
This review highlights Artemisia annua, a medicinal plant which grows in the Kingdom of Saudi Arabia, known for its abundant therapeutic properties. A. annua serves as a rich source of various bioactive compounds, including sesquiterpenoid lactones, flavonoids, phenolic acids, and coumarins. Among [...] Read more.
This review highlights Artemisia annua, a medicinal plant which grows in the Kingdom of Saudi Arabia, known for its abundant therapeutic properties. A. annua serves as a rich source of various bioactive compounds, including sesquiterpenoid lactones, flavonoids, phenolic acids, and coumarins. Among these, artemisinin and its derivatives are most extensively studied due to their potent antimalarial properties. Extracts and isolates of A. annua have demonstrated a range of therapeutic effects, such as antioxidant, anticancer, anti-inflammatory, antimicrobial, antimalarial, and antiviral properties. Given its significant antiviral activity, A. annua could be investigated for the development of new nutraceutical bioactive compounds to combat SARS-CoV-2. Artificial Intelligence (AI) can assist in drug discovery by optimizing the selection of more effective and safer natural bioactives, including artemisinin. It can also predict potential clinical outcomes through in silico modeling of protein–ligand interactions. In silico studies have reported that artemisinin and its derivatives possess a strong ability to bind with the Lys353 and Lys31 hotspots of the SARS-CoV-2 spike protein, demonstrating their effective antiviral effects against COVID-19. This integrated approach may accelerate the identification of effective and safer natural antiviral agents against COVID-19. Full article
(This article belongs to the Section Natural Products)
Show Figures

Figure 1

19 pages, 1086 KB  
Article
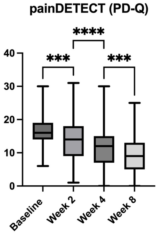
Efficacy and Safety of Acmella oleracea and Boswellia serrata Extract as Add-On Therapy for Chronic Low Back Pain: An Observational, Real-World Cohort Study
by Mariateresa Giglio, Consalvo Mattia, Pasquale Sansone, Gabriele Finco, Salvatore Sardo, Michele Sofia, Dario Gaetano, Giuseppe Trivelli, Maria Caterina Pace, Fabio Turco, Vincenzo Desiderio, Alberto Corriero, Fara Fornarelli, Antonella Paladini, Sabatino Maione, Livio Luongo and Filomena Puntillo
Pharmaceuticals 2025, 18(12), 1903; https://doi.org/10.3390/ph18121903 - 17 Dec 2025
Viewed by 476
Abstract
Introduction: Chronic low back pain (CLBP) with neuropathic components poses a therapeutic challenge due to the limited efficacy and tolerability of conventional pharmacologic options. Botanical extracts such as Acmella oleracea and Boswellia serrata have demonstrated anti-inflammatory and analgesic properties. This study aimed to [...] Read more.
Introduction: Chronic low back pain (CLBP) with neuropathic components poses a therapeutic challenge due to the limited efficacy and tolerability of conventional pharmacologic options. Botanical extracts such as Acmella oleracea and Boswellia serrata have demonstrated anti-inflammatory and analgesic properties. This study aimed to explore the role of a food supplement containing a standard formulation of these extracts as an adjunct to standard care in patients with CLBP. Methods: In this prospective, multicenter, observational, real-world, cohort study, 103 patients with CLBP and neuropathic pain received a standardized A. oleracea and B. serrata extract for 8 weeks as an add-on to ongoing therapy. Neuropathic pain was assessed using the painDETECT (PD-Q) and Neuropathic Pain Symptom Inventory (NPSI). General pain intensity (NRS), disability (ODI), quality of life (SF-12), concomitant analgesic use, and safety were also monitored at baseline, and at Weeks 2, 4, and 8. Results: PD-Q scores significantly decreased by 13.4% at Week 2, 25.5% at Week 4, and 37.1% at Week 8 and NPSI scores decreased by 15.8%, 24.4%, and 36.9%, respectively (all p < 0.0001 vs. baseline). NRS pain intensity improved by 28.0% by Week 8 (p < 0.0001). ODI scores reduced by 20.8% (p < 0.0001) and SF-12 scores improved by 4.1% (p < 0.001) compared to baseline. Use of NSAIDs and gabapentinoids decreased by 23.7%, and 22.2%, respectively (p < 0.05). No serious adverse events occurred; mild and transient effects were reported in 8.7% of patients. Conclusions: The A. oleracea and B. serrata extract as adjunctive therapy resulted in significant improvements in neuropathic pain, functional disability, and reduced medication use, with good tolerability. While these findings suggest a potential role for this botanical combination in managing CLBP with neuropathic components, the absence of a control group limits causal inference. Randomized controlled trials are needed to establish efficacy and confirm these preliminary observations. Full article
(This article belongs to the Section Natural Products)
Show Figures

Graphical abstract

23 pages, 5395 KB  
Article
Investigating the Role of Glycolysis in Xuefu Zhuyu Capsule-Promoted Angiogenesis in Endothelial Cells: A Study Based on Network Pharmacology, Molecular Docking, and In Vitro Validation
by Fan Lin, Zhifeng Yao, Jiaming Yu, Xiaoqi Chen, Xinlei Chen, Yuxia Li, Juanli Fu, Ye Cheng, Junting Li, Chang Fang, Yizheng Wang, He Wang and Jing Cai
Pharmaceuticals 2025, 18(12), 1902; https://doi.org/10.3390/ph18121902 - 17 Dec 2025
Viewed by 328
Abstract
Background: Peripheral artery disease (PAD) represents a major global cause of mortality and disability. A primary therapeutic strategy involves promoting angiogenesis in ischemic limbs. The Xuefu Zhuyu Capsule (XFZYC) is widely used in China for treating PAD and demonstrates therapeutic potential; however, [...] Read more.
Background: Peripheral artery disease (PAD) represents a major global cause of mortality and disability. A primary therapeutic strategy involves promoting angiogenesis in ischemic limbs. The Xuefu Zhuyu Capsule (XFZYC) is widely used in China for treating PAD and demonstrates therapeutic potential; however, the mechanism underlying its pro-angiogenic effect remains unclear. Methods: The components of XFZYC were identified via TCMSP and HERB databases, with network pharmacology and molecular docking predicting its potential targets and pathways. For in vitro validation, drug-containing serum and blank control serum were prepared. Human Microvascular Endothelial Cells (HMEC-1) cells were treated with 1.25%, 2.5%, or 5% serum to determine the optimal concentration using tube formation assays and Western blot (WB) analysis of HIF-1α, HK2, and PFKFB3. The efficacy of XFZYC was further assessed through CCK-8, scratch wound healing, cell adhesion, and tube formation assays. Glycolytic metabolite levels and enzyme activities were measured by colorimetric assays and WB. Results: Network pharmacology screening identified 167 active components in XFZYC and 2967 potential targets. GO functional and KEGG pathway enrichment analyses suggested that XFZYC likely promotes the glycolytic pathway via the HIF-1 signaling pathway, specifically mediated by HK2 and PFKFB3. In vitro experiments confirmed that XFZYC enhanced HMEC-1 cell viability, migration, adhesion, and tube formation. Concurrently, it augmented the glycolytic capacity of HMEC-1 cells, manifested by increased glucose consumption, lactate production, enhanced activity of key glycolytic enzymes (HK, PFK, and PK), and upregulated protein expression of PFKFB3. Treatment with 3PO, a glycolytic inhibitor, significantly suppressed these drug-induced effects. Conclusions: XFZYC promotes angiogenesis in endothelial cells by modulating the glycolytic pathway, an effect primarily mediated through the upregulation of PFKFB3 expression. This study offers a preliminary exploration of the underlying mechanisms by which XFZYC may act in the treatment of PAD, thereby providing a new scientific perspective for further understanding its therapeutic effects. Full article
(This article belongs to the Special Issue Novel Therapeutic Targets in the Cardiovascular Treatment Landscape)
Show Figures

Figure 1

24 pages, 2507 KB  
Article
Equisetum hyemale L. Extracts: Phytochemistry, Biological Performance, ADMET Profiling, and Toxicity Predictions
by Yulianna Minutti-Calva, Karen Schürenkämper-Carrillo, Edwin E. Reza-Zaldívar, Oscar E. Del Razo-Rodríguez, Ian Vitola, Jorge Manuel Silva-Jara, José Daniel Lozada-Ramírez, Daniel A. Jacobo-Velázquez, Diego E. Navarro-López, Marco Chávez-Tinoco, Edgar R. López-Mena, Jorge L. Mejía-Méndez and Eugenio Sánchez-Arreola
Pharmaceuticals 2025, 18(12), 1901; https://doi.org/10.3390/ph18121901 - 17 Dec 2025
Viewed by 357
Abstract
Background: Equisetum hyemale L., commonly known as scouring rush or horsetail, is a perennial plant with significant applications in traditional medicine. Methods: The aerial parts of E. hyemale L. were macerated with hexane, chloroform, and ethyl acetate. The phytochemical profile of the [...] Read more.
Background: Equisetum hyemale L., commonly known as scouring rush or horsetail, is a perennial plant with significant applications in traditional medicine. Methods: The aerial parts of E. hyemale L. were macerated with hexane, chloroform, and ethyl acetate. The phytochemical profile of the extracts was investigated using chromatography approaches. The biological performance of the extracts was determined using antibacterial, antioxidant, anticancer, and toxicity in vitro and in vivo models. Molecular docking and ADMET analyses were employed to determine interactions with structural components of multidrug resistant bacteria and assess potential toxicological risks. Results: The extracts exert high scavenging activity against ABTS radicals (IC50 2.57–2.68 μg/mL), but poor antibacterial activity. It was evidenced that treatment with extracts exerts in moderate cytotoxicity on hepatocellular and colorectal cancer cell lines. Toxicity assays unveiled that the extracts decrease the survival rate of C. elegans nematodes after 2 h of exposure to treatment. In silico studies evidenced a high affinity of campesterol and calcitriol towards the DNA gyrase, and the oral bioavailability of farnesol and limonene. Conclusions: Our findings demonstrated the presence of biologically active secondary metabolites in hexane, chloroform, and ethyl acetate extracts from E. hyemale L. This work also demonstrated the biological performance of these extracts in in vitro and in vivo models, and validated the potential pharmacokinetic and pharmacodynamic profile of their phytoconstituents. Full article
(This article belongs to the Section Natural Products)
Show Figures

Graphical abstract

25 pages, 1666 KB  
Review
Pridopidine, a Potent and Selective Therapeutic Sigma-1 Receptor (S1R) Agonist for Treating Neurodegenerative Diseases
by Noga Gershoni Emek, Andrew M. Tan, Michal Geva, Andrea Fekete, Carmen Abate and Michael R. Hayden
Pharmaceuticals 2025, 18(12), 1900; https://doi.org/10.3390/ph18121900 - 17 Dec 2025
Viewed by 657
Abstract
Pridopidine is a highly selective sigma-1 receptor (S1R) agonist in clinical development for Huntington’s disease (HD) and amyotrophic lateral sclerosis (ALS). The S1R is a ubiquitous chaperone protein enriched in the central nervous system and regulates multiple pathways critical for neuronal cell function [...] Read more.
Pridopidine is a highly selective sigma-1 receptor (S1R) agonist in clinical development for Huntington’s disease (HD) and amyotrophic lateral sclerosis (ALS). The S1R is a ubiquitous chaperone protein enriched in the central nervous system and regulates multiple pathways critical for neuronal cell function and survival, including cellular stress responses, mitochondrial function, calcium signaling, protein folding, and autophagy. S1R has a crucial role in the ER mitochondria-associated membrane (MAM), whose dysfunction is implicated in several neurodegenerative diseases. By activating the S1R, pridopidine corrects multiple cellular pathways necessary to the cell’s ability to respond to stress, which are disrupted in neurodegenerative diseases. Pridopidine restores MAM integrity; rescues Ca2+ homeostasis and autophagy; mitigates ER stress, mitochondrial dysfunction, and oxidative damage; and enhances brain-derived neurotrophic factor (BDNF) axonal transport and secretion, synaptic plasticity, and dendritic spine density. Pridopidine demonstrates neuroprotective effects in in vivo models of neurodegenerative diseases (NDDs). Importantly, pridopidine demonstrates the biphasic dose response characteristic of S1R agonists. In clinical trials in HD and ALS, pridopidine has shown benefits across multiple endpoints. Pridopidine’s mechanism of action, modulating core cellular survival pathways, positions it as a promising candidate for disease modification for different nervous system disorders. Its broad therapeutic potential includes neurodevelopmental disorders, and rare diseases including Wolfram syndrome, Rett syndrome, and Vanishing White Matter Disease. Here, we review the experimental data demonstrating pridopidine’s S1R-mediated neuroprotective effects. These findings underscore the therapeutic relevance of S1R activation and support further investigation of pridopidine for the treatment of different neurodegenerative diseases including ALS and HD. Full article
(This article belongs to the Special Issue Current Advances in Therapeutic Potential of Sigma Receptor Ligands)
Show Figures

Figure 1

33 pages, 4483 KB  
Article
Evaluation of Antiproliferative Activity and Molecular Modeling Studies of Some Novel Benzimidazolone-Bridged Hybrid Compounds
by Okan Güven, Emre Menteşe, Fatih Yılmaz, Adem Güner, Mustafa Emirik and Nedime Çalışkan
Pharmaceuticals 2025, 18(12), 1899; https://doi.org/10.3390/ph18121899 - 17 Dec 2025
Viewed by 397
Abstract
Background/Objectives: Cancer is among the leading causes of mortality worldwide. In 2022 alone, the global cancer death toll stood at 9.74 million. Projections indicate that this figure will rise to 10.4 million by 2025. Methods: A new series of benzimidazolone-bridged hybrid [...] Read more.
Background/Objectives: Cancer is among the leading causes of mortality worldwide. In 2022 alone, the global cancer death toll stood at 9.74 million. Projections indicate that this figure will rise to 10.4 million by 2025. Methods: A new series of benzimidazolone-bridged hybrid compounds containing thiophene, furan, oxadiazole, piperazine, and coumarin moieties was synthesized and structurally characterized by 1H-NMR, 13C-NMR (APT), and elemental analysis. Their cytotoxic effects were evaluated by MTT assay against human lung (A549), human breast (MCF-7), and human cervical (HeLa) cancer cell lines, and the non-cancerous HEK293 cell line after 48 h exposure over a concentration range of 0.5–250 µM. IC50 values were determined, and Selectivity Indexes (SI) were calculated using HEK293 as the reference normal cell line. Molecular docking studies were carried out using the Glide XP protocol against VEGFR2 (PDB ID: 4ASD) and CDK4–Cyclin D3 (PDB ID: 7SJ3), with sorafenib and abemaciclib as reference inhibitors. Results: The results of anticancer activity were compared with doxorubicin (IC50 ± SD (µM)/SI: 4.3 ± 0.2/1.20 for A549, 6.4 ± 0.37/0.77 for MCF-7, 3.4 ± 0.19/1.54 for HeLa), a drug used for cancer chemotherapy. The structures of the newly synthesized hybrid compounds were identified by 1H-NMR, 13C-NMR (APT), and elemental analysis data. These hybrid compounds represent a promising class of anticancer agents. Several compounds demonstrated marked and concentration-dependent cytotoxicity across all cancer cell lines, with HeLa cells showing the highest overall sensitivity. The introduction of an oxadiazole ring (compound 7) and coumarin substituents (compounds 12b12d) markedly improved anticancer activity and selectivity, yielding low-micromolar IC50 values in HeLa cells (10.6–13.6 µM) and high Selectivity Indexes (SI = 2.0–3.63). Compound 6 also exhibited balanced potency across A549, MCF-7, and HeLa cells (IC50 = 28.3–31.2 µM) with SI values ≥ 2.0. Compound 9 showed strong cytotoxicity across all cancer cell lines; its moderate SI values indicate lower discrimination between malignant and non-malignant cells. Taken together, these findings identified compounds 7, 12b12d, 6, and 12c as the most promising benzimidazolone-based candidates, displaying both potent cytotoxicity and favorable selectivity over non-malignant HEK293 cells. Conclusions: Among the synthesized molecules, the oxadiazole derivative (7) and the coumarin-based hybrids (12b12d) exhibited the strongest combination of cytotoxic activity and selectivity, reflected by their low IC50 values and high SI ratios. Notably, compound 12c combined strong biological activity with the highest predicted VEGFR2 affinity in the series, highlighting it as a particularly promising scaffold. While compound 9 exhibited excellent docking scores toward both VEGFR2 and CDK4, its lower selectivity suggests a need for further structural refinement. Overall, the biological and computational findings converge to identify these benzimidazolone hybrids as credible lead candidates for future anticancer optimization. Full article
Show Figures

Figure 1

20 pages, 592 KB  
Article
First-in-Human Phase I Clinical Trial of SLC-391, a Novel and Selective AXL Inhibitor, in Patients with Advanced Solid Tumours
by Zaihui Zhang, Donna Morrison, Liang Lu, Madhu Singh, Jun Yan, Natasha Leighl, Scott A. Laurie and Sebastien Hotte
Pharmaceuticals 2025, 18(12), 1898; https://doi.org/10.3390/ph18121898 - 17 Dec 2025
Viewed by 326
Abstract
Background/Objectives: AXL, a receptor tyrosine kinase of the TAM family, has emerged as a key target in cancer therapy due to its role in tumour growth, metastasis, immune evasion, and therapy resistance. SLC-391, a novel, orally bioavailable and selective AXL inhibitor, has demonstrated [...] Read more.
Background/Objectives: AXL, a receptor tyrosine kinase of the TAM family, has emerged as a key target in cancer therapy due to its role in tumour growth, metastasis, immune evasion, and therapy resistance. SLC-391, a novel, orally bioavailable and selective AXL inhibitor, has demonstrated potent anti-tumour effects in preclinical studies. This first-in-human, open-label, multi-centre Phase I clinical trial (NCT03990454) was conducted to evaluate the safety, tolerability, pharmacokinetics (PK), and preliminary efficacy of SLC-391 in patients with advanced solid tumours. Methods: Using a 3 + 3 design, SLC-391 was administered orally, either once daily (from 25 mg up to 175 mg QD) or twice daily (from 75 mg to 200 mg BID) in 21-day cycles. Results: Following single and repeated dosing, SLC-391 was generally well tolerated by subjects. The maximum tolerated dose (MTD) was not reached in this study. A total of 34/35 subjects experienced at least one TEAE. Three (8.6%) subjects experienced Grade 3 TRAEs that were considered related to SLC-391. Eight SAEs were reported in five (14.3%) subjects (seven Grade 3 SAEs and one Grade 2 SAE), in 150 mg QD (3/6, 50%), 175 mg QD (1/2, 50%), and 110 mg BID (1/3, 33.3%) cohorts. Four SAEs in three (8.6%) subjects led to dose interruption, drug withdrawal, or study discontinuation. Three DLTs were reported in two subjects: one subject experienced Grade 3 hematochezia (SUSAR/DLT) at 175 mg QD, and another subject experienced Grade 3 thrombocytopenia associated with Grade 1 hematuria at 200 mg BID. The median Tmax was 2.0 h. Plasma concentrations following multiple doses generally increased with higher doses and appeared to reach steady state by Day 21 and were generally dose-proportional. Twelve (12) out of 35 subjects with solid tumours achieved stable disease according to RECIST or mRECIST (mesothelioma), with durations of stable disease lasting up to 318 days on SLC-391 monotherapy. The clinical benefit rate was 34.3%. Conclusions: This first study of SLC-391 in adult subjects with advanced solid tumours demonstrated that a total daily dose of 300 mg (150 mg BID) of SLC-391 monotherapy was generally well tolerated, with no DLTs or SAEs observed at this dose. The drug’s promising safety profile, along with stable disease reported for several subjects with advanced solid tumours, provides a strong rationale for the phase 1b/2a clinical investigation of SLC-391 in combination with pembrolizumab in subjects with advanced or metastatic non-small cell lung cancer (NSCLC) (NCT05860296). Full article
(This article belongs to the Section Medicinal Chemistry)
Show Figures

Graphical abstract

24 pages, 8074 KB  
Article
In Silico Identification of Molecular Interactions of the Emerging Contaminant Octyl Methoxycinnamate (OMC) on HPT Axis: Implications for Humans and Zebrafish
by Margarida Lorigo, Luiza Breitenfeld, Marta S. Monteiro, Amadeu M. V. M. Soares, Carla Quintaneiro and Elisa Cairrao
Pharmaceuticals 2025, 18(12), 1897; https://doi.org/10.3390/ph18121897 - 16 Dec 2025
Viewed by 306
Abstract
Background/Objectives: Thyroid hormones (THs) regulate almost all physiological processes in vertebrates via specific mechanisms exercised spatiotemporally throughout the lifespan. The TH signalling can be impaired by thyroid-disrupting chemicals (TDCs) capable of disrupting the hypothalamic–pituitary–thyroid (HPT) axis. Octyl methoxycinnamate (OMC) (also designated octinoxate), one [...] Read more.
Background/Objectives: Thyroid hormones (THs) regulate almost all physiological processes in vertebrates via specific mechanisms exercised spatiotemporally throughout the lifespan. The TH signalling can be impaired by thyroid-disrupting chemicals (TDCs) capable of disrupting the hypothalamic–pituitary–thyroid (HPT) axis. Octyl methoxycinnamate (OMC) (also designated octinoxate), one of the most widely used ultraviolet (UV) filters, has emerged as an environmental contaminant and has raised significant concerns recently due to its disruptive effects as TDC on humans and animals. Although the disruption of TH homeostasis has been reported, its exact modes of action (MoA) remain largely unknown. Our study aimed to provide a comparative information on the molecular interactions of OMC on TH signalling in humans and zebrafish. Methods: In silico approaches were performed comparing OMC with endogenous thyroid hormone T3 and the anti-thyroid drug propylthiouracil (PTU). Results: Our findings suggested a key role of OMC on the corticotrophin-releasing hormone receptor (crhr2), thyrotropin receptor (TSHR/tshr), and thyroid nuclear receptors (TR/tr-α and -β). At the hypothalamic level, a favourable binding of OMC to zebrafish crhr2 was found, involving ALA86, CYS44, HIS89, ILE63, ILE64, LEU92, PRO87, PRO88, SER48, and THR47. At the pituitary level, OMC was bound to human TSHR by the amino acid residues ASN590, GLU506, ILE583, ILE640, LEU570, MET572, PRO571, SER505, TYR667, VAL502, VAL586, ALA644, LEU587, MET637, SER641, and TYR582 and to zebrafish tsrh by ASN589, ILE639, MET636, ILE582, LEU569, LEU586, VAL501, and VAL585. Concerning nuclear receptors, OMC showed a more favourable binding energy of T3, involving the shared residues PHE218 and MET259 with T3 in both species. For human TRβ, OMC shared T3 with residues ILE 275, ILE276, LEU346, PHE269, PHE272, THR273, ALA279, ASN331, HIS435, LEU330, MET310, MET313, and PHE455. No similar residues were obtained for zebrafish trβ compared with the humans. Conclusions: Overall, the action of OMC seems to agree with primary hypothyroidism (anti-thyroid action) mimicking the T3 hormone. This investigation demonstrates that OMC acts as a potential TDC and provides new insights into its disruptive action on the HPT axis. Full article
(This article belongs to the Section Medicinal Chemistry)
Show Figures

Figure 1

21 pages, 7960 KB  
Article
Production of a Dulaglutide Analogue by Apoptosis-Resistant Chinese Hamster Ovary Cells in a 3-Week Fed-Batch Process
by Rolan R. Shaifutdinov, Maria V. Sinegubova, Ivan I. Vorobiev, Polina E. Prokhorova, Alexey B. Podkorytov and Nadezhda A. Orlova
Pharmaceuticals 2025, 18(12), 1896; https://doi.org/10.3390/ph18121896 - 16 Dec 2025
Viewed by 511
Abstract
Background: Dulaglutide, a GLP-1-IgG4 Fc fusion, is a long-acting GLP-1 receptor agonist used for type 2 diabetes therapy and other emerging indications. It is produced commercially in Chinese hamster ovary (CHO) cells. The supply of the original drug is now limited in some [...] Read more.
Background: Dulaglutide, a GLP-1-IgG4 Fc fusion, is a long-acting GLP-1 receptor agonist used for type 2 diabetes therapy and other emerging indications. It is produced commercially in Chinese hamster ovary (CHO) cells. The supply of the original drug is now limited in some regions, so creation of highly productive biosimilar manufacturing platforms is important. Methods: Two expression plasmids (p1.1-Tr2-Dul, p1.2-GS-Dul) encoding dulaglutide were sequentially transfected into apoptosis-resistant CHO 4BGD cells. Two-step transgene amplifications with methotrexate (MTX), followed by methionine sulfoximine (MSX) selection and subsequent cell cloning pipeline, were employed. Candidate clonal cell lines were selected using fed-batch culturing and long-term productivity testing. Results: Transfection with a second plasmid encoding glutamine synthetase (p1.2-GS-Dul) and selection with MSX resulted in a further ~30% increase titer in polyclonal population even after MTX-driven amplification. Top clone 4BGD/Dul #73 reached 1.05 g/L product titer in fed-batch culture (qP up to 22 pg·cell−1·day−1) and remained stable for 69 days in medium without MTX/MSX. Size exclusion-high-performance liquid chromatography showed ≥95% monomer; EC50 of the purified GLP-1-Fc in a GLP-1R/CRE-Luc assay was 52 pM for the obtained product versus 76 pM for the original reference drug. Conclusions: The sequential transfection and dual-marker selection approach enables the efficient generation of a robust, high-yield, and glutamine-independent CHO producer, representing a productive strategy suitable for industrial biosimilar development. Full article
(This article belongs to the Section Pharmaceutical Technology)
Show Figures

Figure 1

18 pages, 480 KB  
Article
Safety of Drugs Used in Difficult-to-Treat Epileptic Syndromes: A Disproportionality Analysis Using the Eudravigilance Database
by Arianna Scala, Teresa Angela Trunfio, Chiara Pennisi, Giovanni Enrico Lombardo, Vincenzo Micale, Serena Di Martino, Giorgia Fiorenza, Adriana Carol Eleonora Graziano, Marilena Briglia, Fabio Allia, Giovanni Giurdanella, Roberta Malaguarnera, Rosalia Battaglia, Cecilia Gozzo, Fanny Erika Palumbo, Calogero Vetro, Giovanni Improta, Mario Damiano Toro, Filippo Drago, Giovanni Luca Romano and Lucia Gozzoadd Show full author list remove Hide full author list
Pharmaceuticals 2025, 18(12), 1895; https://doi.org/10.3390/ph18121895 - 16 Dec 2025
Viewed by 477
Abstract
Background/Objectives: Difficult-to-treat epileptic syndromes include conditions typically emerging in the first years of life and are characterized by a high rate of drug refractoriness. This study aimed to better define the safety profile of drugs used as adjunctive therapies for seizures associated [...] Read more.
Background/Objectives: Difficult-to-treat epileptic syndromes include conditions typically emerging in the first years of life and are characterized by a high rate of drug refractoriness. This study aimed to better define the safety profile of drugs used as adjunctive therapies for seizures associated with these syndromes using real-world pharmacovigilance data. Methods: We retrospectively analyzed the publicly available data regarding Individual Case Safety Reports (ICSRs), presenting stiripentol, cannabidiol, or fenfluramine as suspected drugs, reported on the Eudravigilance database until the third quarter of 2024. Data were evaluated with descriptive analyses and then with disproportionality measures, including the reporting odds ratio. Results: A total of 5986 ICSRs met the inclusion criteria (71.6% from cannabidiol, 14.5% fenfluramine, and 13.9% stiripentol). Significantly higher probabilities of reporting Cardiac disorders, Vascular disorders, and Respiratory, thoracic, and mediastinal disorders were observed with fenfluramine. Cannabidiol was associated with Product issues, whereas stiripentol was associated with injury, poisoning, procedural complications, Metabolism and nutrition disorders, and Blood and lymphatic system disorders. Conclusions: Our analysis did not highlight new and unexpected serious safety signals but confirmed the need to strictly monitor patients for the risk of adverse events. However, further prospective studies are required to better clarify the safety profile of these drugs in order to optimize their use. Full article
Show Figures

Figure 1

16 pages, 3531 KB  
Article
DoE- and PBBM-Driven Formulation Development of an Extended-Release Donepezil Tablet
by Frederico Severino Martins, Leonardo Luiz Borges, Sivacharan Kollipara, Praveen Sivadasu and Renê Oliveira do Couto
Pharmaceuticals 2025, 18(12), 1894; https://doi.org/10.3390/ph18121894 - 16 Dec 2025
Viewed by 441
Abstract
Background/Objectives: This study explores the integration of Design of Experiments (DoE) with Physiologically Based Biopharmaceutics Modeling (PBBM) to streamline the development of extended-release (XR) formulations. Using donepezil (DPZ) as a model drug, we developed an optimized XR formulation exhibiting a dissolution profile [...] Read more.
Background/Objectives: This study explores the integration of Design of Experiments (DoE) with Physiologically Based Biopharmaceutics Modeling (PBBM) to streamline the development of extended-release (XR) formulations. Using donepezil (DPZ) as a model drug, we developed an optimized XR formulation exhibiting a dissolution profile comparable to the reference product, Aricept® (Eisai GmbH, Frankfurt, Germany). Methods: A Box–Behnken experimental design was applied to systematically evaluate how formulation variables—HPMC 100, HPMC 4000, and NaCMC—affect drug release kinetics, tablet hydration, and erosion. This strategy enabled the identification of optimal excipient concentrations with minimal experimental effort. Results: The in vitro dissolution data were then integrated into a PBBM framework to simulate drug release and pharmacokinetics, enabling virtual bioequivalence (VBE) assessments. The combined approach provided robust predictive insights into formulation performance, substantially reducing reliance on resource-intensive in vivo studies. Beyond its successful application with DPZ, this integrated methodology offers a scalable and generalizable strategy for efficiently developing bioequivalent XR formulations for various clinically relevant drugs. Conclusions: Our findings highlight the importance of leveraging advanced statistical methods and in silico modeling to overcome contemporary pharmaceutical development challenges, paving the way for innovative, cost-effective solutions that significantly accelerate time-to-market. Full article
(This article belongs to the Section Pharmaceutical Technology)
Show Figures

Graphical abstract

16 pages, 2053 KB  
Article
Phytochemical Characterization of Astragalus boeticus L. Extracts, Diuretic Activity Assessment, and Oral Toxicity Prediction of Trans-Resveratrol
by Ahmed Elfallaki Elidrissi, Najoua Soulo, Amal Elrherabi, Tarik Chelouati, Otmane Zwirech, Abdelkrim Agour, Karima El-Yagoubi, Widad Tbatou, Fahd A. Nasr, Mohammed Al-zharani, Ashraf Ahmed Qurtam and Elhoussine Derwich
Pharmaceuticals 2025, 18(12), 1893; https://doi.org/10.3390/ph18121893 - 15 Dec 2025
Viewed by 371
Abstract
Background/Objectives: Plant-derived diuretics are attracting increasing interest due to their promising efficacy and improved safety profile compared with synthetic drugs. This study aimed to characterize the phytochemical composition of Astragalus boeticus (A. boeticus) extracts, evaluate their diuretic activity, and assess the [...] Read more.
Background/Objectives: Plant-derived diuretics are attracting increasing interest due to their promising efficacy and improved safety profile compared with synthetic drugs. This study aimed to characterize the phytochemical composition of Astragalus boeticus (A. boeticus) extracts, evaluate their diuretic activity, and assess the oral safety of their main phenolic compound. Methods: Aqueous (AQE) and hydroethanolic (EtOHE) extracts were analyzed using LC–MS/MS, while in silico toxicity prediction of trans-resveratrol was performed using ProTox-II and ADMETlab 2.0. Diuretic activity was evaluated in male Wistar rats (n = 24) divided into four groups: control (distilled water, 10 mL/kg), furosemide (10 mg/kg), AQE (300 mg/kg), and EtOHE (300 mg/kg). Urine and plasma samples were collected after 15 days to determine electrolyte concentrations, creatinine level, creatinine clearance, and hepatic enzyme profile. Results: LC–MS/MS profiling identified fourteen phenolic compounds, with trans-resveratrol (270 µg/g in AQE) being the most abundant, followed by cyanidin-3-O-glucoside and gentisic acid. In silico assessments revealed no hepatotoxic, mutagenic, or neurotoxic effects of trans-resveratrol. Both extracts significantly enhanced urinary output, chloride excretion, and creatinine clearance, while maintaining stable renal and hepatic biochemical parameters, indicating potent diuretic activity without toxicity. Conclusions: A. boeticus extracts demonstrate strong diuretic potential associated with a favorable safety profile, likely linked to their phenolic composition dominated by trans-resveratrol. These findings support the use of A. boeticus as a natural and safe diuretic source. Further investigation is recommended to elucidate its pharmacological mechanisms and therapeutic relevance. Full article
Show Figures

Figure 1

37 pages, 3637 KB  
Article
Lemon Juice-Assisted Green Extraction of Strawberry Enhances Neuroprotective Phytochemicals: Insights into Alzheimer’s-Related Pathways
by Youssef Mohamed Sharaf, Jilan A. Nazeam, Karema Abu-Elfotuh, Ayah M. H. Gowifel, Ahmed M. Atwa, Ehsan Khedre Mohamed, Ahmed M. E. Hamdan, Reema Almotairi, Amira M. Hamdan, Samir M. Osman and Hala M. El Hefnawy
Pharmaceuticals 2025, 18(12), 1892; https://doi.org/10.3390/ph18121892 - 15 Dec 2025
Viewed by 912
Abstract
Background/Objective: Alzheimer’s disease (AD) is a neurodegenerative condition characterized by oxidative stress, neuroinflammation, amyloidogenesis, and tau-related pathology. This study investigated the macronutrient and phytochemical composition of strawberry (S), lemon (L), and lemon juice-assisted strawberry (S/L) extracts and evaluated their neuroprotective efficacy relative [...] Read more.
Background/Objective: Alzheimer’s disease (AD) is a neurodegenerative condition characterized by oxidative stress, neuroinflammation, amyloidogenesis, and tau-related pathology. This study investigated the macronutrient and phytochemical composition of strawberry (S), lemon (L), and lemon juice-assisted strawberry (S/L) extracts and evaluated their neuroprotective efficacy relative to selenium (Se) in an aluminum chloride (AlCl3)-induced rat model of AD. Methods: Macronutrients and phenolics were quantified in S, L, and S/L, and the extracts were profiled using high-performance liquid chromatography and electrospray ionization tandem mass-spectrometry. Male Sprague–Dawley rats received AlCl3 with or without S, L, S/L, or Se, and their cognitive performance was assessed using the Morris water maze, Y-maze, and conditioned avoidance tests. Markers of oxidative status, inflammation, cholinergic function, apoptotic signaling, and Wnt3/β-catenin pathway activity were quantified in the brain tissue, and cortico-hippocampal morphology was examined. Results: The S/L extract showed the highest carbohydrate, protein, and lipid content. The total phenolic content was highest in S/L (60.46 mg gallic acid equivalents/g), followed by L (55.08) and S (44.75), with S/L also being the richest in gallic, ellagic, and chlorogenic acids. S/L attenuated AlCl3-induced cognitive deficits, restored antioxidant status, suppressed neuroinflammation, improved cholinergic indices, modulated apoptotic signaling, and downregulated amyloidogenic and NLRP3 inflammasome markers, consistent with histological evidence of neuronal preservation. Conclusions: Lemon juice-assisted extraction enhanced the macronutrient and phenolic richness and multitarget neuroprotection of strawberries. S/L co-extracts represent promising functional food–derived adjuvants for AD management and support integrative compositional–mechanistic profiling to optimize natural product–based interventions. Full article
Show Figures

Graphical abstract

14 pages, 2976 KB  
Article
A Pyrimidine-Based Tubulin Inhibitor Shows Potent Anti-Glioblastoma Activity In Vitro and In Vivo
by Satyanarayana Pochampally, Lawrence M. Pfeffer, Gustavo A. Miranda-Carboni, Macey Daniel, Jazz I. James, Allana Smith, Chuan He Yang, Hannah R. Kelso, Deanna N. Parke, Dong-Jin Hwang, Wei Li and Duane D. Miller
Pharmaceuticals 2025, 18(12), 1891; https://doi.org/10.3390/ph18121891 - 15 Dec 2025
Viewed by 325
Abstract
Background: Glioblastoma (GBM) is an aggressive and treatment-resistant brain tumor with few effective therapies. Tubulin polymers are crucial for maintaining cell–cell signaling, cell proliferation, and cell division. Therefore, tubulin has been targeted by medicinal chemists to develop novel therapeutics to treat cancer. [...] Read more.
Background: Glioblastoma (GBM) is an aggressive and treatment-resistant brain tumor with few effective therapies. Tubulin polymers are crucial for maintaining cell–cell signaling, cell proliferation, and cell division. Therefore, tubulin has been targeted by medicinal chemists to develop novel therapeutics to treat cancer. In this regard, we developed novel small-molecule tubulin inhibitors as potential therapeutics to treat GBM. Methods: We synthesized a focused library of pyrimidine-containing dihydroquinoxalinone-based analogs and tested nine compounds for cytotoxicity in GBM cell lines using the Sulforhodamine B (SRB) cell viability assay. We identified compound 8c as the most promising compound and evaluated the in vitro effects of 8c on GBM cell growth using live cell imaging and assessed apoptosis using a cell death ELISA. We then tested its anticancer activity in vivo on GBM xenografts grown in immunocompromised mice. Results: Several compounds demonstrated nanomolar IC50 values in cell viability assays and outperformed temozolomide (TMZ), the current standard treatment for GBM patients. We identified compound 8c, which is a pyrimidine analog with a secondary amine, as the lead candidate for GBM studies in vitro and in vivo. Compound 8c reduced cell viability in a dose-dependent manner and induced complete growth arrest within 48 h at 3–10 nM concentrations in GBM cell lines. ELISA confirmed that compound 8c triggered dose-dependent apoptosis, whereas TMZ failed to induce apoptosis at nM concentrations. In vivo, compound 8c significantly inhibited GBM xenograft growth in immunocompromised mice by 66%. Conclusions: The potent tubulin inhibitor compound 8c has strong anti-GBM activity in vitro and in vivo and merits further preclinical development. Full article
(This article belongs to the Section Medicinal Chemistry)
Show Figures

Graphical abstract

25 pages, 1646 KB  
Review
Berberine: A Rising Star in the Management of Type 2 Diabetes—Novel Insights into Its Anti-Inflammatory, Metabolic, and Epigenetic Mechanisms
by Da Liu, Liting Zhao, Ying Wang, Lei Wang, Donglu Wu and Yangyang Liu
Pharmaceuticals 2025, 18(12), 1890; https://doi.org/10.3390/ph18121890 - 14 Dec 2025
Viewed by 2267
Abstract
Type 2 diabetes mellitus (T2DM) is a widespread metabolic disorder characterized by insulin resistance and pancreatic β-cell dysfunction, posing a substantial global health challenge. This review systematically summarizes the therapeutic potential of berberine, a natural isoquinoline alkaloid, in the management of T2DM. Berberine’s [...] Read more.
Type 2 diabetes mellitus (T2DM) is a widespread metabolic disorder characterized by insulin resistance and pancreatic β-cell dysfunction, posing a substantial global health challenge. This review systematically summarizes the therapeutic potential of berberine, a natural isoquinoline alkaloid, in the management of T2DM. Berberine’s pharmacological activities are discussed from multiple perspectives, including enhancing insulin sensitivity and regulating glucose metabolism—encompassing glycogen synthesis, gluconeogenesis, and glucose transport. The review also highlights berberine’s anti-inflammatory, antioxidant, and epigenetic enzyme-targeting actions and its involvement in key T2DM-related signaling pathways such as AKT, AMPK, and GLUTs. These findings collectively elucidate the multi-targeted and multi-pathway molecular mechanisms underlying berberine’s efficacy against T2DM. Additionally, the review covers the pharmacological activities and molecular mechanisms of berberine in treating T2DM complications—including diabetic nephropathy, retinopathy, cardiomyopathy, neuropathy, and diabetic foot ulcers—as well as its clinical and preclinical applications and the synergistic benefits of combination therapy with agents such as metformin, ginsenoside Rb1, and probiotics. By systematically reviewing the literature retrieved from PubMed and Web of Science up to 2025, this article provides a comprehensive summary of current research, offering a theoretical foundation for the clinical use of berberine in T2DM therapy. Full article
Show Figures

Graphical abstract

31 pages, 3604 KB  
Article
A Spectrochemically Driven Study: Identifying Phenolic-Rich Extracts from Helichrysum stoechas, Lavandula pedunculata, and Thymus mastichina with Potential to Revert Skin Aging Effects
by Mário Pedro Marques, Euclides Landim, Carla Varela, Ricardo M. F. da Costa, Joana Marques, Luís A. E. Batista de Carvalho, Ana Silva, Maria Teresa Cruz, Rebeca André, Patrícia Rijo, Maria Inês Dias, Aida Carvalho, Paulo J. Oliveira and Célia Cabral
Pharmaceuticals 2025, 18(12), 1889; https://doi.org/10.3390/ph18121889 - 14 Dec 2025
Viewed by 507
Abstract
Background/Objectives: Plants inhabiting mediterranean-influenced climatic zones, like Helichrysum stoechas (L.) Moench subsp. stoechas, Lavandula pedunculata (Mill.) Cav., and Thymus mastichina (L.) L. subsp. mastichina, have been scarcely investigated regarding their richness in phenolic compounds, herein explored as sources of skin [...] Read more.
Background/Objectives: Plants inhabiting mediterranean-influenced climatic zones, like Helichrysum stoechas (L.) Moench subsp. stoechas, Lavandula pedunculata (Mill.) Cav., and Thymus mastichina (L.) L. subsp. mastichina, have been scarcely investigated regarding their richness in phenolic compounds, herein explored as sources of skin anti-aging compounds. Methods: In this investigation, Fourier transform infrared spectroscopy (FTIR) in attenuated total reflectance (ATR) mode and high-performance liquid chromatography coupled with diode-array detection and electrospray ionization tandem mass spectrometry (HPLC-DAD-ESI/MSn) were employed to chemically characterize the hydroethanolic extracts (HEs), and their cell-free antioxidant potential was screened. Thereafter, non-toxic concentrations of HEs were determined in human skin cells using Alamar blue® and Sulforhodamine B assays. The cytoprotective and antioxidant effects of HEs were assessed in tert-butyl hydroperoxide-stimulated fibroblasts, their anti-inflammatory potential was studied in lipopolysaccharide-injured macrophages, and enzymatic inhibition assays were performed. Notably, the irritant effects of HEs were tested according to Test Guideline No. 439 of the Organization for Economic Co-operation and Development (OECD). Results: The major compounds identified in the T. mastichina and L. pedunculata HEs were rosmarinic and salvianolic acid derivatives, while H. stoechas HE was mainly composed of caffeoyl and feruloyl derivatives, and O-glycosylated flavonoids. T. mastichina (≤0.4 mg/mL) exhibited significant cytoprotective, anti-inflammatory, and antioxidant effects, as well as remarkable anti-hyaluronidase activity. Conclusions: Shedding light on the quantitative and qualitative chemical picture of these HEs highlighted T. mastichina as a promising candidate to target skin aging effects, which correlates with its phenolic content. Further investigation is warranted regarding its anti-aging pharmacological activity, which could lead to the development of plant-based skin anti-aging products. Full article
(This article belongs to the Section Natural Products)
Show Figures

Graphical abstract

17 pages, 486 KB  
Article
The Impact of Maternal BMI on the Efficacy and Safety of Oral Misoprostol for Labor Induction
by Maciej W. Socha, Wojciech Flis, Julia Sowińska, Martyna Stankiewicz and Anita Kazdepka-Ziemińska
Pharmaceuticals 2025, 18(12), 1888; https://doi.org/10.3390/ph18121888 - 14 Dec 2025
Viewed by 345
Abstract
Background: Maternal obesity may influence the efficacy and course of induction of labor (IoL). Misoprostol, a prostaglandin E1 analogue, is widely used for cervical ripening, but evidence regarding its effectiveness in obese women remains limited. This study aimed to evaluate the efficacy [...] Read more.
Background: Maternal obesity may influence the efficacy and course of induction of labor (IoL). Misoprostol, a prostaglandin E1 analogue, is widely used for cervical ripening, but evidence regarding its effectiveness in obese women remains limited. This study aimed to evaluate the efficacy and safety of oral misoprostol for IoL across different body mass index (BMI) categories. Methods: This prospective study was conducted at a tertiary center. Term singleton pregnancies with medical indications for IoL and an unfavorable cervix (Bishop score < 6) received oral misoprostol 50 μg every 4 h to a maximum of 200 μg. Primary outcomes were vaginal delivery (VD) rates. Secondary outcomes included cesarean section (CS) rate, oxytocin use, labor duration, analgesia, adverse events, and neonatal outcomes. Results: Among 291 participants (43.0% overweight; 40.2% obese), the Bishop score increased from 2.3 to 6.2 (p < 0.0001). VD occurred in 77.3%, and CS in 22.7%. Most women delivered within 48 h (96.6%). Higher BMI correlated with longer time to contractions, pain onset, and delivery, as well as with more misoprostol doses. Neonatal outcomes were uniformly favorable, with median Apgar scores of 10 at 1, 5, and 10 min, and mean umbilical pH values ranging from 7.2 to 7.3. Adverse events were infrequent, with tachysystole observed in 1.7% of cases. Conclusions: Oral misoprostol is an effective and safe IoL method across BMI categories, achieving high vaginal delivery rates and favorable neonatal outcomes. Obesity modestly prolongs induction and increases dose requirements, supporting individualized dosing and close monitoring. Full article
(This article belongs to the Special Issue Advances in Perinatal Pharmacology)
Show Figures

Figure 1

24 pages, 6888 KB  
Review
Molecular Hybridization of Naphthoquinones and Thiazoles: A Promising Strategy for Anticancer Drug Discovery
by Leonardo Gomes Cavalieri de Moraes, Thaís Barreto Santos and David Rodrigues da Rocha
Pharmaceuticals 2025, 18(12), 1887; https://doi.org/10.3390/ph18121887 - 13 Dec 2025
Viewed by 313
Abstract
Cancer remains one of the leading causes of morbidity and mortality worldwide, demanding the continuous search for novel and more selective chemotherapeutic agents. Quinones, particularly naphthoquinones, constitute a privileged class of redox-active compounds with well-documented antitumor activity. Likewise, thiazoles represent a heterocyclic scaffold [...] Read more.
Cancer remains one of the leading causes of morbidity and mortality worldwide, demanding the continuous search for novel and more selective chemotherapeutic agents. Quinones, particularly naphthoquinones, constitute a privileged class of redox-active compounds with well-documented antitumor activity. Likewise, thiazoles represent a heterocyclic scaffold widely explored in medicinal chemistry due to their broad pharmacophoric adaptability and diverse biological activities. In this context, this review comprehensively explores the chemical synthesis and anticancer potential of hybrid molecules combining the naphthoquinone and thiazole scaffolds. The hybridization of these pharmacophores has emerged as a powerful strategy to design multitarget antitumor agents. The review summarizes key synthetic methodologies, including Hantzsch, hetero Diels–Alder cycloaddition and multicomponent reactions, leading to structurally diverse hybrids. Particular emphasis is placed on derivatives exhibiting strong cytotoxic effects against a broad spectrum of cancer cell lines (e.g., OVCAR3, MCF-7, A549, HCT-116, HeLa, and Jurkat), low toxicity toward normal cells and well-defined mechanisms of action involving topoisomerase IIα, EGFR, STAT3, and CDK1 inhibition, as well as ROS generation and cell cycle arrest. Among these, certain hybrids displayed nanomolar potency and high selectivity indices, reinforcing their potential as promising lead compounds for anticancer drug development. Full article
(This article belongs to the Special Issue Sulfur-Containing Scaffolds in Medicinal Chemistry)
Show Figures

Graphical abstract

12 pages, 254 KB  
Review
Beyond Dysphagia in Parkinson’s Disease: 3D Printing of Orally Disintegrating Tablets (ODTs) for Optimized Treatment
by Ying-Ju Liao and Yao-Jen Liang
Pharmaceuticals 2025, 18(12), 1886; https://doi.org/10.3390/ph18121886 - 13 Dec 2025
Viewed by 444
Abstract
Parkinson’s disease (PD) is frequently complicated by dysphagia, undermining timely and reliable oral dopaminergic medication. Levodopa’s short half-life and delayed gastric emptying in advanced PD result in inconsistent absorption, delayed “ON” periods, and challenges to adherence. Orally disintegrating tablets (ODTs) dissolve without water [...] Read more.
Parkinson’s disease (PD) is frequently complicated by dysphagia, undermining timely and reliable oral dopaminergic medication. Levodopa’s short half-life and delayed gastric emptying in advanced PD result in inconsistent absorption, delayed “ON” periods, and challenges to adherence. Orally disintegrating tablets (ODTs) dissolve without water and can mitigate swallowing limitations. Research indicates that selegiline ODT achieves a faster time to peak and higher relative bioavailability via partial buccal absorption, whereas carbidopa/levodopa ODTs are bioequivalent to immediate release tablets (with similar AUC/Cmax and approximately 1 h Tmax) without consistent motor advantages but with higher patient acceptability. This review synthesizes the clinical burden of dysphagia in PD, pharmacokinetic constraints of current formulations, and the reasons for ODTs. We highlight 3D printing as a route to personalized, dysphagia friendly therapy, which enables dose individualization, polypills, engineered disintegration or release, and point-of-care production. Feasibility studies underscore stability considerations such as carbidopa, throughput and regulatory requirements (QbD/GMP), and bioequivalence information. We outline priorities to integrate 3D printed ODTs into PD care, aligning formulation, pharmacokinetics, and human factors to improve adherence and clinical outcomes. Full article
19 pages, 3199 KB  
Article
Role of the Insulin Receptor in Mediating Cytosolic Delivery of Proteins by a Modified Cell-Penetrating Peptide
by Keito Sugai and Akiko Okuda
Pharmaceuticals 2025, 18(12), 1885; https://doi.org/10.3390/ph18121885 - 12 Dec 2025
Viewed by 294
Abstract
Background: Intracellular delivery of high-molecular-weight proteins is limited by the cell membrane. Cell-penetrating peptides (CPPs) offer a potential solution, but effective cytosolic delivery remains hindered by endosomal sequestration. Pas2r12, a CPP-derived peptide, facilitates cytosolic delivery of proteins including immunoglobulin G. Because Pas2r12 internalization [...] Read more.
Background: Intracellular delivery of high-molecular-weight proteins is limited by the cell membrane. Cell-penetrating peptides (CPPs) offer a potential solution, but effective cytosolic delivery remains hindered by endosomal sequestration. Pas2r12, a CPP-derived peptide, facilitates cytosolic delivery of proteins including immunoglobulin G. Because Pas2r12 internalization occurs via caveolae-dependent endocytosis, we hypothesized that cell-surface receptors contribute to uptake. Methods: HEK293 cells were treated with Pas2r12 alone or complexed with enhanced green fluorescent protein (EGFP). Phosphorylation of insulin receptor (INSR), insulin-like growth factor 1 receptor (IGF1R), and extracellular signal–regulated kinase 1/2 (ERK1/2) was analyzed by Western blot. Linsitinib was used to inhibit INSR/IGF1R kinase activity. Cytosolic delivery was assessed by confocal microscopy, and receptor involvement was evaluated using siRNA-mediated knockdown and receptor overexpression. Results: Pas2r12 alone transiently increased INSR/IGF1R phosphorylation at 2 min (6.6-fold), which was suppressed by linsitinib (1.3-fold), and strongly increased ERK1/2 phosphorylation (6.2-fold), which was not inhibited by linsitinib. Pas2r12–EGFP did not induce detectable INSR/IGF1R phosphorylation in parental cells but increased ERK1/2 phosphorylation (3.4-fold). Linsitinib markedly reduced cytosolic EGFP delivery to 16% of control. INSR knockdown decreased delivery to 13–16%, and IGF1R knockdown to 19–65%. In INSR-overexpressing lines, Pas2r12–EGFP induced INSR/IGF1R phosphorylation (6.0-fold) and enhanced delivery (230–270%). In IGF1R-overexpressing lines, Pas2r12–EGFP did not induce phosphorylation, and delivery decreased to 60–69%. Conclusions: Pas2r12-mediated cytosolic delivery involves both INSR and IGF1R, with INSR contributing more prominently. These findings, including the largely INSR/IGF1R-independent ERK1/2 activation, provide mechanistic insight into Pas2r12-mediated protein delivery. Full article
(This article belongs to the Special Issue Protein and Peptide-Based Drug Delivery)
Show Figures

Graphical abstract

15 pages, 2575 KB  
Article
The Therapeutic Effect of a Biodegradable Long-Acting Intravitreal Implant Containing CGK012 on Neovascular Age-Related Macular Degeneration by Promoting β-Catenin Degradation
by Seoyoung Park, Jihyun Won, Jong Beom Heo, Juhyung Kang, Ye Woon Oh, Geunji Park, Giseong Lee, Jee-Hyun Lee, Gyu-Yong Song, Wonku Kang and Sangtaek Oh
Pharmaceuticals 2025, 18(12), 1884; https://doi.org/10.3390/ph18121884 - 12 Dec 2025
Viewed by 355
Abstract
Background/Objectives: Neovascular age-related macular degeneration (nAMD) poses a serious threat to the eyesight of older adults, representing a leading cause of irreversible vision loss. Anti-vascular endothelial growth factor (anti-VEGF) treatments are effective but require repeated intraocular injections and show poor responses in some [...] Read more.
Background/Objectives: Neovascular age-related macular degeneration (nAMD) poses a serious threat to the eyesight of older adults, representing a leading cause of irreversible vision loss. Anti-vascular endothelial growth factor (anti-VEGF) treatments are effective but require repeated intraocular injections and show poor responses in some patients. CGK012 is a novel derivative of decursin that inhibits the Wnt/β-catenin pathway. This study aimed to elucidate the mode of action of CGK012 and examine its therapeutic effects. Methods: We performed in vitro cellular studies in a retinal pigment epithelial (RPE) cell line (ARPE-19) and human umbilical vein endothelial cells (HUVECs). We examined the in vivo efficacy of CGK012-loaded implants in laser-induced choroidal neovascularization (CNV) rabbit models. We also determined the implants’ in vitro dissolution, intraocular release, and disposition characteristics. Results: CGK012 decreased angiogenic/proinflammatory factor expression and suppressed the epithelial–mesenchymal transition (EMT) in RPE cells by promoting intracellular β-catenin degradation. Additionally, it repressed the expression of cyclin D1 and c-myc, downstream target genes of β-catenin, and inhibited HUVEC capillary tube formation. CGK012-loaded poly (lactic-co-glycolic acid) (PLGA) intravitreal implants significantly reduced vascular leakage in a laser-induced CNV rabbit model. Notably, CGK012 released from the implant was highly permeable to retina/choroid tissue and downregulated β-catenin, angiogenic/inflammatory factors, and vimentin in the rabbit model. The CGK012 concentration reached a plateau at 28–42 days in the vitreous humor and decayed with a half-life of 14 days without systemic exposure. Conclusions: Our findings demonstrate that CGK012 implants prevent choroidal neovascularization through the Wnt/β-catenin pathway suppression and produce high concentrations of CGK012 in the posterior eye segment with prolonged release. Thus, these implants provide more therapeutic choices for nAMD treatment. Full article
(This article belongs to the Section Medicinal Chemistry)
Show Figures

Graphical abstract

20 pages, 28830 KB  
Article
Morin Alleviates Fructose-Driven Disturbance of Podocyte Mitochondrial Energy Metabolism by Inhibiting Adenosine 5′-Monophosphate Deaminase Activity to Improve Glomerular Injury
by Yingzhi Yang, Ziyan Wan, Luyi Huang, Ziang Zhou, Wanru Wang, Yu Xing, Shijie Li, Yufan Du, Jiufang Huang, Yanqing Wu, Mengyu Fan, Jiahuang Li, Lingdong Kong and Dongmei Zhang
Pharmaceuticals 2025, 18(12), 1883; https://doi.org/10.3390/ph18121883 - 12 Dec 2025
Viewed by 280
Abstract
Background/Objectives: High fructose consumption is a significant risk factor for glomerular podocyte injury. This study aimed to identify the underlying mechanism of fructose-induced podocyte injury and explore the protective effect of the natural polyphenol morin. Methods: In vivo, high-fructose-diet-fed rats were used [...] Read more.
Background/Objectives: High fructose consumption is a significant risk factor for glomerular podocyte injury. This study aimed to identify the underlying mechanism of fructose-induced podocyte injury and explore the protective effect of the natural polyphenol morin. Methods: In vivo, high-fructose-diet-fed rats were used to evaluate podocyte injury through ultrastructural structure analysis, urinary albumin-to-creatinine ratio (UACR), and synaptopodin expression. In vitro, adenosine 5′-monophosphate deaminase (AMPD) expression and activity, mitochondrial function, and glycolytic flux were measured in mouse podocyte clone-5 (MPC5) exposed to 5 mM fructose, with molecular docking and siRNA interference assays validating morin’s regulatory role. Results: High fructose significantly increased AMPD activity in the purine nucleotide cycle (PNC), leading to mitochondrial dysfunction and a compensatory activation of glycolysis in podocytes. Morin effectively mitigated podocyte injury and suppressed the upregulation of AMPD activity, potentially through targeting AMPD2, as evidenced by molecular docking, which demonstrated a strong binding affinity between morin and AMPD2. Similarly, AMPD2 knockdown markedly alleviated mitochondrial impairment and glycolysis activation, confirming the pivotal role of AMPD2 in fructose-induced podocyte injury. In high-fructose-diet-fed rats, morin substantially improved ultrastructural damage, as shown by reduced podocyte foot process effacement, decreased UACR, restored glomerular synaptopodin expression, and suppressed AMPD activity in the renal cortex. Conclusions: Morin alleviated high-fructose-induced podocyte injury by inhibiting AMPD activity in the PNC, highlighting AMPD2 as a potential therapeutic target for podocyte injury caused by high fructose intake. This study provides novel mechanistic insights into how morin counteracts mitochondrial energy disturbance in podocyte injury. Full article
(This article belongs to the Section Natural Products)
Show Figures

Figure 1

39 pages, 1367 KB  
Review
The Therapeutic Pipeline for Eosinophilic Esophagitis: Current Landscape and Future Directions
by Andrea Pasta, Luisa Bertin, Amir Mari, Francesco Calabrese, Amir Farah, Giulia Navazzotti, Matteo Ghisa, Vincenzo Savarino, Edoardo Vincenzo Savarino, Edoardo Giovanni Giannini and Elisa Marabotto
Pharmaceuticals 2025, 18(12), 1882; https://doi.org/10.3390/ph18121882 - 12 Dec 2025
Viewed by 1023
Abstract
Eosinophilic esophagitis (EoE) has emerged as a major cause of dysphagia and food impaction worldwide. This narrative review traces the evolving therapeutic pipeline for EoE, highlighting agents spanning from late-stage clinical development to final approval. We summarize mechanistic insights that have driven a [...] Read more.
Eosinophilic esophagitis (EoE) has emerged as a major cause of dysphagia and food impaction worldwide. This narrative review traces the evolving therapeutic pipeline for EoE, highlighting agents spanning from late-stage clinical development to final approval. We summarize mechanistic insights that have driven a shift from broad immunosuppression to precise inhibition of type-2 inflammatory pathways, including blockade of key interleukin pathways. Randomized trials have demonstrated histologic and symptomatic gains, yet regulatory approvals and optimal positioning within treatment algorithms are pending. Parallel innovations in drug delivery aim to maximize mucosal exposure while minimizing systemic burden. Key challenges include heterogeneity in disease phenotype, paucity of long-term safety data, and the need for non-invasive biomarkers to guide precision prescribing. Cost considerations and patient preferences will shape adoption. By integrating advances across immunology, formulation science and clinical trial design, the therapeutic pipeline for EoE holds promise to transform care from empirical suppression to mechanism-based disease modification. Full article
(This article belongs to the Special Issue New and Emerging Treatment Strategies for Gastrointestinal Diseases)
Show Figures

Figure 1

15 pages, 4045 KB  
Article
Design of Artificial Peptide Against HIV-1 Based on the Heptad-Repeat Rules and Membrane-Anchor Strategies
by Jiali Zhao, Yan Zhao, Xiao Qi, Xiaojie Lv, Yanbai Tang, Wei Zhang, Qingge Dai, Jiaqi Xu, Dongmin Zhao, Qilu Yan, Guodong Liang and Jianping Chen
Pharmaceuticals 2025, 18(12), 1881; https://doi.org/10.3390/ph18121881 - 12 Dec 2025
Viewed by 316
Abstract
Objective: The six-helix bundle (6-HB) is critical for HIV-1 membrane fusion. To disrupt this process, peptide inhibitors have been meticulously designed to target interactions within the 6-HB regions, thereby blocking membrane fusion and exerting inhibitory effects. Current peptide inhibitors like Enfuvirtide suffer from [...] Read more.
Objective: The six-helix bundle (6-HB) is critical for HIV-1 membrane fusion. To disrupt this process, peptide inhibitors have been meticulously designed to target interactions within the 6-HB regions, thereby blocking membrane fusion and exerting inhibitory effects. Current peptide inhibitors like Enfuvirtide suffer from drug resistance and short in vivo half-life. This study aims to design novel anti-HIV-1 peptides by integrating heptad-repeat rules and membrane-anchor strategies. Methods: Artificial peptides were designed using HR rules from the HIV-1 gp41 6-HB motif and membrane-anchor modifications. Results: EK35S-Palm has emerged as a highly promising candidate for HIV-1 inhibition, exhibiting robust binding affinity to the target and effectively impeding the 6-HB spontaneous formation. Discussion: HR-based design avoids viral sequence homology, and membrane anchoring enhances local agent concentration, improving pharmacokinetics. The HR binding and membrane stabilization of EK35S-Palm provide synergistic inhibition. Conclusions: Integrating HR structural design with membrane-anchor strategies yields potent HIV-1 fusion inhibitors. EK35S-Palm demonstrates superior efficacy and stability over current therapies. These approaches hold great potential for overcoming the current therapy limitations and advancing the more effective and durable HIV-1 fusion inhibitors. Full article
Show Figures

Graphical abstract

15 pages, 2321 KB  
Article
Does Coxsackievirus B3 Require Autophagosome Formation for Replication? Evidence for an Autophagosome-Independent Mechanism: Insights into Its Limited Potential as a Therapeutic Target
by Yun Ji Ga and Jung-Yong Yeh
Pharmaceuticals 2025, 18(12), 1880; https://doi.org/10.3390/ph18121880 - 11 Dec 2025
Viewed by 309
Abstract
Background/Objectives: Coxsackievirus B3 (CVB3), a neurotropic enterovirus, is a major causative agent of viral encephalitis and myocarditis, yet no protective vaccine or effective antiviral therapy is currently available. Autophagy plays a dual role in viral infections, acting as both an antiviral defense and [...] Read more.
Background/Objectives: Coxsackievirus B3 (CVB3), a neurotropic enterovirus, is a major causative agent of viral encephalitis and myocarditis, yet no protective vaccine or effective antiviral therapy is currently available. Autophagy plays a dual role in viral infections, acting as both an antiviral defense and a process that can be exploited by certain viruses. Although CVB3 has been proposed to utilize autophagosomes as replication platforms, the underlying mechanisms remain controversial. Methods: In this study, we investigated the relationship between CVB3 replication and autophagosome formation under starvation-induced conditions and in ATG5 knockout cells. Results: While nutrient deprivation robustly induced autophagy, CVB3 infection did not trigger autophagosome formation. Moreover, viral replication proceeded efficiently in ATG5-deficient cells lacking autophagosomes. Pharmacological modulation of autophagy using rapamycin, a potent autophagy inducer, did not alter intracellular viral titers or protein expression, although extracellular viral release was modestly reduced. These results indicate that CVB3 replication occurs independently of autophagosome formation, suggesting that pharmacological targeting of autophagy provides limited therapeutic benefit. Conclusions: This study refines our understanding of autophagy as an antiviral target and highlights the need to identify alternative host-directed pathways for antiviral drug development. Full article
(This article belongs to the Special Issue The Development and Application of Broad-Spectrum Antiviral Drugs)
Show Figures

Graphical abstract

Previous Issue
Next Issue
Back to TopTop