Wound-Healing Efficacy of Daucus carota Bioactive Compounds: Targeting Oxidative Stress, Inflammation, and Apoptosis
Abstract
1. Introduction
2. Result
2.1. Chemical Characterisation of EO
2.2. Toxicity Studies
2.3. Measurement of Wound Contraction
2.4. Body Weight
2.5. Effect of CSEO on Inflammatory Markers
2.6. CSEO-Mediated Modulation of CD68 Levels in Experimental Rats
2.7. CSEO-Mediated Modulation of Antioxidant Profile
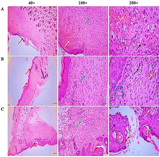
2.8. Histological Outcome
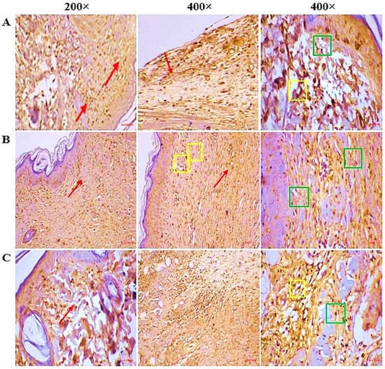
2.9. IHC
3. Discussion
4. Methodology
4.1. Albino Rats
4.2. Animal Welfare and Survival Study Considerations
4.3. The Oil Source
4.4. Identification of Chemicals in CSEO with GC-MS
4.5. Preparation of Ointments
4.6. Toxicity Studies
4.7. Model for Excision Wounds
4.7.1. Experimental Cohorts
4.7.2. Wounding
4.8. Therapeutic Intervention
4.9. Evaluation
4.10. Evaluation of Biochemical Parameters
4.10.1. Collecting Samples
4.10.2. TNF-α and IL-1β Concentrations Assessments in Rat Serum
4.10.3. CD68 Estimation in Serum of Rat
4.10.4. Antioxidant Activity
4.11. Evaluation of Histopathology
4.11.1. Collecting Samples
4.11.2. Immunohistochemical Staining (IHC)
4.12. Statistical Analysis
5. Conclusions
Author Contributions
Funding
Institutional Review Board Statement
Data Availability Statement
Conflicts of Interest
References
- Fernández-Guarino, M.; Hernández-Bule, M.L.; Bacci, S. Cellular and Molecular Processes in Wound Healing. Biomedicines 2023, 11, 2526. [Google Scholar] [CrossRef]
- Poljšak, N.; Kreft, S.; Kočevar Glavač, N. Vegetable butters and oils in skin wound healing: Scientific evidence for new opportunities in dermatology. Phytother. Res. 2020, 34, 254–269. [Google Scholar] [CrossRef] [PubMed]
- Ksouri, A.; Dob, T.; Belkebir, A.; Krimat, S.; Chelghoum, C. Chemical composition and antioxidant activity of the essential oil and the methanol extract of Algerian wild carrot Daucus carota L. ssp. carota. (L.) Thell. J. Mater. Environ. Sci. 2015, 6, 784–791. [Google Scholar]
- Varshney, K.I.; Mishra, K. An Analysis of Health Benefits of Carrot. Int. J. Innov. Res. Eng. Manag. 2022, 9, 211–214. [Google Scholar] [CrossRef]
- Ihamdane, R.; Haida, S.; Oubihi, A.; Zelmat, L.; Tiskar, M.; Outemsaa, B.; Chaouch, A. Chemical composition, antibacterial and antioxidant activities of Moroccan Daucus carota essential oils. E3S Web Conf. 2021, 319, 01070. [Google Scholar] [CrossRef]
- Jara, C.P.; Mendes, N.F.; Prado, T.P.D.; de Araújo, E.P. Bioactive Fatty Acids in the Resolution of Chronic Inflammation in Skin Wounds. Adv. Wound Care 2020, 9, 472–490. [Google Scholar] [CrossRef] [PubMed]
- Polcz, M.E.; Barbul, A. The role of vitamin A in wound healing. Nutr. Clin. Pract. 2019, 34, 695–700. [Google Scholar] [CrossRef] [PubMed]
- da Silva Dias, J.C. Nutritional and health benefits of carrots and their seed extracts. Food Nutr. Sci. 2014, 5, 2147. [Google Scholar] [CrossRef]
- Gnaneswaran, T.; Fotouhi, A.; Lynam, K.; Utz, S.; Daveluy, S. Essential Oils in Dermatology. J. Integr. Dermatol. 2025, 1, 1. [Google Scholar]
- Munoz, N.; Litchford, M. Nutritional aspects of wound care. Clin. Geriatr. Med. 2024, 40, 481–500. [Google Scholar] [CrossRef]
- Najmi, A.; Javed, S.A.; Al Bratty, M.; Alhazmi, H.A. Modern approaches in the discovery and development of plant-based natural products and their analogues as potential therapeutic agents. Molecules 2022, 27, 349. [Google Scholar] [CrossRef] [PubMed]
- Matos, M.S.; Anastácio, J.D.; Nunes dos Santos, C. Sesquiterpene lactones: Promising natural compounds to fight inflammation. Pharmaceutics 2021, 13, 991. [Google Scholar] [CrossRef] [PubMed]
- Süntar, I.; Çetinkaya, S.; Panieri, E.; Saha, S.; Buttari, B.; Profumo, E.; Saso, L. Regulatory Role of Nrf2 Signaling Pathway in Wound Healing Process. Molecules 2021, 26, 2424. [Google Scholar] [CrossRef]
- Trinh, X.T.; Long, N.V.; Van Anh, L.T.; Nga, P.T.; Giang, N.N.; Chien, P.N.; Nam, S.Y.; Heo, C.Y. A Comprehensive Review of Natural Compounds for Wound Healing: Targeting Bioactivity Perspective. Int. J. Mol. Sci. 2022, 23, 9573. [Google Scholar] [CrossRef]
- Aćimović, M.; Stanković, J.; Cvetković, M.; Ignjatov, M.; Nikolić, L. Chemical characterization of essential oil from seeds of wild and cultivated carrots from Serbia. Bot. Serbica 2016, 40, 55–60. [Google Scholar]
- Sieniawska, E.; Świątek, Ł.; Rajtar, B.; Kozioł, E.; Polz-Dacewicz, M.; Skalicka-Woźniak, K. Carrot seed essential oil—Source of carotol and cytotoxicity study. Ind. Crops Prod. 2016, 92, 109–115. [Google Scholar] [CrossRef]
- Sellami, I.H.; Maamouri, E.; Chahed, T.; Wannes, W.A.; Kchouk, M.E.; Marzouk, B. Effect of growth stage on the chemical composition and antioxidant activity of coriander essential oil. Food Chem. 2009, 114, 237–245. [Google Scholar] [CrossRef]
- Naseeb, M.; Albajri, E.; Almasaudi, A.; Alamri, T.; Niyazi, H.A.; Aljaouni, S.; Mohamed, A.B.O.; Niyazi, H.A.; Ali, A.S.; Shaker Ali, S.; et al. Rutin Promotes Wound Healing by Inhibiting Oxidative Stress and Inflammation in Metformin-Controlled Diabetes in Rats. CS Omega 2024, 9, 32394–32406. [Google Scholar] [CrossRef]
- Özcan, M.M.; Chalchat, J.C. Chemical composition of carrot seeds (Daucus carota L.) cultivated in Turkey: Characterization of the seed oil and essential oil. Grasas Aceites 2007, 58, 359–365. [Google Scholar] [CrossRef]
- Chahal, K.K.; Kaur, P.; Kataria, D.; Kaur, R. Carotol: A sesquiterpenoid isolated from carrot seed oil. Asian J. Chem. 2016, 28, 1004. [Google Scholar] [CrossRef]
- Sowbhagya, H.B. Chemistry, technology, and nutraceutical functions of cumin (Cuminum cyminum L.): An overview. Crit. Rev. Food Sci. Nutr. 2013, 53, 1–10. [Google Scholar] [CrossRef] [PubMed]
- Sica, A.; Mantovani, A. Macrophage plasticity and polarization. J. Clin. Investig. 2012, 122, 787–795. [Google Scholar] [CrossRef]
- Mosser, D.M.; Edwards, J.P. Exploring the full spectrum of macrophage activation. Nat. Rev. Immunol. 2008, 8, 958–969. [Google Scholar] [CrossRef]
- Silondae, H.; Polakitan, D.; Paat, P.C.; Kairupan, A.N.; Layuk, P.; Lintang, M.; Joseph, G.H.; Polakitan, A.; Tandi, O.G.; Markus Rawung, J.B.; et al. The effects of carrot (Daucus carota L.) waste juice on the performances of native chicken in North Sulawesi, Indonesia. Open Agric. 2023, 8, 20220173. [Google Scholar] [CrossRef]
- Patil, M.V.; Kandhare, A.D.; Bhise, S.D. Pharmacological evaluation of ethanolic extract of Daucus carota Linn root formulated cream on wound healing using excision and incision wound model. Asian Pac. J. Trop. Biomed. 2012, 2, S646–S655. [Google Scholar] [CrossRef]
- Paço, A.; Brás, T.; Santos, J.O.; Sampaio, P.; Gomes, A.C.; Duarte, M.F. Anti-Inflammatory and Immunoregulatory Action of Sesquiterpene Lactones. Molecules 2022, 27, 1142. [Google Scholar] [CrossRef] [PubMed]
- Santacroce, L.; Bottalico, L.; Charitos, I.A.; Castellaneta, F.; Gaxhja, E.; Topi, S.; Palmirotta, R.; Jirillo, E. Exploitation of Natural By-Products for the Promotion of Healthy Outcomes in Humans: Special Focus on Antioxidant and Anti-Inflammatory Mechanisms and Modulation of the Gut Microbiota. Antioxidants 2024, 13, 796. [Google Scholar] [CrossRef]
- Kwiecien, S.; Jasnos, K.; Magierowski, M.; Sliwowski, Z.; Pajdo, R.; Brzozowski, B.; Mach, T.; Wojcik, D.; Brzozowski, T. Lipid peroxidation, reactive oxygen species and antioxidative factors in the pathogenesis of gastric mucosal lesions and mechanism of protection against oxidative stress-induced gastric injury. J. Physiol. Pharmacol. 2014, 65, 613–622. [Google Scholar]
- Fiedor, J.; Burda, K. Potential role of carotenoids as antioxidants in human health and disease. Nutrients 2014, 6, 466–488. [Google Scholar] [CrossRef]
- Navarro, S.L.; Hess, J.N.; Fitzpatrick, A.L.; Ho, E. Zinc and oxidative stress modulation. Nutrients 2019, 11, 1682. [Google Scholar]
- He, F.; Ru, X.; Wen, T. NRF2, a Transcription Factor for Stress Response and Beyond. Int. J. Mol. Sci. 2020, 21, 4777. [Google Scholar] [CrossRef] [PubMed]
- Zhang, D.D.; Hannink, M. Distinct cysteine residues in Keap1 are required for Keap1-dependent ubiquitination of Nrf2 and inhibition of Nrf2 activity. Mol. Cell. Biol. 2003, 23, 8137–8151. [Google Scholar] [CrossRef]
- Liu, X.; He, Y.; Li, F.; Huang, Q.; Kato, T.A.; Hall, R.P.; Li, C.Y. Caspase-3 promotes genetic instability and carcinogenesis. Mol. Cell 2015, 58, 284–296. [Google Scholar] [CrossRef] [PubMed]
- Muchtaridi, M.; Az-Zahra, F.; Wongso, H.; Setyawati, L.U.; Novitasari, D.; Ikram, E.H.K. Molecular Mechanism of Natural Food Antioxidants to Regulate ROS in Treating Cancer: A Review. Antioxidants 2024, 13, 207. [Google Scholar] [CrossRef]
- Wang, X.; Meng, F.; Mao, J. Progress of natural sesquiterpenoids in the treatment of hepatocellular carcinoma. Front. Oncol. 2024, 14, 1445222. [Google Scholar] [CrossRef]
- Taira, J.; Miyazato, H.; Ueda, K. Marine Peroxy Sesquiterpenoids Induce Apoptosis by Modulation of Nrf2-ARE Signaling in HCT116 Colon Cancer Cells. Mar. Drugs 2018, 16, 347. [Google Scholar] [CrossRef]
- You, Y.L.; Choi, H.S. Nootkatone (NK), a grapefruit-derived sesquiterpenoid, suppresses UVB-induced damage by regulating NRF2-HO-1 and AhR-CYP1A1 signaling pathways in HaCaT cells. Food Sci. Biotechnol. 2024, 34, 1751–1761. [Google Scholar] [CrossRef]
- Akar, T.; Yar Saglam, A.S.; Göçün, P.U.; Alp, E.; Konac, E.; Menevşe, A. Evaluation of apoptotic caspase levels in estimation of the wound age. Turk. J. Biochem. 2018, 43, 126–133. [Google Scholar] [CrossRef]
- Sujatha, P.S.; Pavithran, S.; Sujatha, P.S. Wound Healing Effect of Furfural and Pentadecanal from Lagerstroemia speciosa (L.) Pers Acetone Flower extracts against Haemadipsa sylvestris Bite. J. Adv. Sci. Res. 2024, 15, 12–15. [Google Scholar] [CrossRef]
- van den Dool, H.; Kratz, P.D. A generalization of the retention index system including linear temperature-programmed gas–liquid partition chromatography. J. Chromatogr. A 1963, 11, 463–471. [Google Scholar] [CrossRef] [PubMed]
- Adams, R.P. Identification of Essential Oil Components by Gas Chromatography/Mass Spectrometry, 4th ed.; Allured Publishing: Carol Stream, IL, USA, 2007; ISBN 978-1-932633-21-4. [Google Scholar]
- Babushok, V.I.; Linstrom, P.J.; Zenkevich, I.G. Retention indices for frequently reported compounds of plant essential oils. J. Phys. Chem. Ref. Data 2011, 40, 043101. [Google Scholar] [CrossRef]
- Badıllı, U.; Mollarasouli, F.; Bakirhan, N.K.; Ozkan, Y.; Ozkan, S.A. Retention Indices in Gas Chromatography—Fundamental and Practical Aspects. TrAC—Trends Anal. Chem. 2020, 131, 116013. [Google Scholar] [CrossRef]
- NIST Mass Spectrometry Data Center. NIST Chemistry WebBook, SRD 69: Gas Chromatography Retention Index Database; National Institute of Standards and Technology: Gaithersburg, MD, USA, 2023. [Google Scholar]
- Schymanski, E.L.; Jeon, J.; Gulde, R.; Fenner, K.; Ruff, M.; Singer, H.P.; Hollender, J. Identifying small molecules via high resolution mass spectrometry: Communicating confidence. Environ. Sci. Technol. 2014, 48, 2097–2098. [Google Scholar] [CrossRef] [PubMed]
- Yaseen Khan, M.; Ali, S.A.; Pundarikakshudu, K. Wound healing activity of extracts derived from Shorea robusta resin. Pharm. Biol. 2016, 54, 542–548. [Google Scholar] [CrossRef]
- OECD. OECD Guidelines for Testing of Chemicals, No. 404. Acute Dermal Irritation/Corrosion; Organisation for Economic Cooperation and Development: Paris, France, 1981. [Google Scholar]
- Draize, J.H. The Appraisal of Chemicals in Foods, Drugs and Cosmetics; Association of Food and Drug Officials of the United States: Austin, TX, USA, 1959; pp. 46–48. [Google Scholar]
- Murugesu, S.; Selamat, J.; Perumal, V. Phytochemistry, pharmacological properties, and recent applications of Ficus benghalensis and Ficus religiosa. Plants 2021, 10, 2749. [Google Scholar] [CrossRef]
- Elshamy, A.I.; Ammar, N.M.; Hassan, H.A.; El-Kashak, W.A.; Al-Rejaie, S.S.; Abd-ElGawad, A.M.; Farrag, A.R. Topical wound healing activity of myricetin isolated from Tecomaria capensis v. aurea. Molecules 2020, 25, 4870. [Google Scholar] [CrossRef]
- Murthy, S.; Gautam, M.K.; Goel, S.; Purohit, V.; Sharma, H.; Goel, R.K. Evaluation of in vivo wound healing activity of Bacopa monniera on different wound model in rats. BioMed Res. Int. 2013, 2013, 972028. [Google Scholar] [CrossRef]
- Son, D.; Harijan, A. Overview of surgical scar prevention and management. J. Korean Med. Sci. 2014, 29, 751–757. [Google Scholar] [CrossRef]
- Pereira Beserra, F.; Sergio Gushiken, L.F.; Vieira, A.J.; Augusto Bérgamo, D.; Luísa Bérgamo, P.; Oliveira de Souza, M.; Alberto Hussni, C.; Kiomi Takahira, R.; Henrique Nóbrega, R.; Monteiro Martinez, E.R.; et al. From inflammation to cutaneous repair: Topical application of lupeol improves skin wound healing in rats by modulating the cytokine levels, NF-κB, Ki-67, growth factor expression, and distribution of collagen fibers. Int. J. Mol. Sci. 2020, 21, 4952. [Google Scholar] [CrossRef]
- Al-Salih, M.A.; Al-Jameel, W.H. Inflammatory mediators and inflammatory cells as reliable molecular targets for assessment of wound age and vitality in rats. Iraqi J. Vet. Sci. 2023, 37, 405–411. [Google Scholar] [CrossRef]
- Katerji, M.; Filippova, M.; Duerksen-Hughes, P. Approaches and Methods to Measure Oxidative Stress in Clinical Samples: Research Applications in the Cancer Field. Oxidative Med. Cell. Longev. 2019, 2019, 1279250. [Google Scholar] [CrossRef] [PubMed]
- Ni, X.; Shan, X.; Xu, L.; Yu, W.; Zhang, M.; Lei, C.; Xu, N.; Lin, J.; Wang, B. Adipose-derived stem cells combined with platelet-rich plasma enhance wound healing in a rat model of full-thickness skin defects. Stem Cell Res. Ther. 2021, 12, 226. [Google Scholar] [CrossRef]
- Mohamed, J.M.; Alqahtani, A.; Ahmad, F.; Krishnaraju, V.; Kalpana, K. Pectin co-functionalized dual layered solid lipid nanoparticle made by soluble curcumin for the targeted potential treatment of colorectal cancer. Carbohydr. Polym. 2021, 252, 117180. [Google Scholar] [CrossRef] [PubMed]








| No | Compound (Preferred Name/Isomer) | RT (min) | RIexp | Riref a | ΔRI | Match/Rev-Match | Molecular Formula | Chemical Class | Peak Area (%) |
|---|---|---|---|---|---|---|---|---|---|
| 1 | (+)-γ-Cadinene | 14.03 | 1456 | 1458 | −2 | 875/892 | C15H24 | SH | 4.04 |
| 2 | β-Caryophyllene | 14.71 | 1427 | 1428 | −1 | 883/897 | C15H24 | SH | 1.39 |
| 3 | α-Bergamotene (trans-) | 14.89 | 1472 | 1474 | −2 | 858/874 | C15H24 | SH | 1.87 |
| 4 | (–)-D-Germacrene | 15.37 | 1478 | 1476 | +2 | 874/888 | C15H24 | SH | 1.36 |
| 5 | (E)-β-Farnesene | 15.18 | 1482 | 1484 | −2 | 890/906 | C15H24 | SH | 4.07 |
| 6 | β-Bisabolene (isomer A) | 16.13 | 1508 | 1505 | +3 | 902/915 | C15H24 | SH | 4.44 |
| 7 | (S)-β-Bisabolene (isomer B) | 16.16 | 1510 | 1505 | +5 | 896/910 | C15H24 | SH | 8.54 |
| 8 | γ-Amorphene | 15.59 | 1490 | 1492 | −2 | 861/880 | C15H24 | SH | 3.46 |
| 9 | Ylangenol | 17.07 | 1624 | 1622 | +2 | 873/884 | C15H24O | OS | 1.31 |
| 10 | Carotol (isomer A) | 17.68 | 1660 | 1656 | +4 | 891/903 | C15H26O | OS | 5.39 |
| 11 | Carotol (isomer B) | 18.41 | 1672 | 1668 | +4 | 887/903 | C15H26O | OS | 21.89 |
| 12 | Ylangenal | 18.48 | 1679 | 1678 | +1 | 859/871 | C15H22O | OS (aldehyde) | 2.05 |
| 13 | Daucol (isomer A) | 18.62 | 1680 | 1680 | 0 | 840/865 | C15H26O2 | OS | 1.80 |
| 14 | Daucol (isomer B) | 18.68 | 1682 | 1680 | +2 | 845/867 | C15H26O2 | OS | 2.42 |
| 15 | Elemol | 18.94 | 1686 | 1689 | −3 | 862/881 | C15H26O | OS | 2.42 |
| 16 | 2H-Cycloprop[c]indene-2,3(3aH)-dione derivative | 19.08 | 1743 | 1745 | −2 | 853/870 | C13H18O2 | Terpenoid derivative | 1.58 |
| 17 | Bicyclo[3.2.0]heptane-2,6-diol (Z) | 20.39 | 1828 | 1830 | −2 | 848/864 | C13H22O3 | Oxygenated terpenoid | 1.17 |
| 18 | Hexahydrofarnesyl acetone | 20.93 | 1833 | 1838 | −5 | 892/910 | C18H36O | Aliphatic ketone | 1.09 |
| Parameters | CSEO | Reference | Control |
|---|---|---|---|
| CD68 (ng/mL) | 15.50 ± 1.7638 AAA | 26.83 ± 0.6009 AAA* | 32.70 ± 1.112 AA |
| TNF-α (pg/mg) | 318.3 ± 7.923 AAA | 491.7 ± 37.45 AA* | 660 ± 41.83 A |
| IL-1β (pg/mg) | 700 ± 28.87 AAA | 875.0 ± 30.96 A* | 973.3 ± 50.08 |
| Score Average | Histopathological Feature | ||||
|---|---|---|---|---|---|
| Re-Epithelization | Angiogenesis | Inflammatory Response | Collagen Deposition | Granulation Tissue | |
| CSEO | 3 | 1 | 2 | 1 | 2 |
| Reference | 2 | 2 | 1 | 1 | 1 |
| Control | 1 | 3 | 1 | 1 | 1 |
Disclaimer/Publisher’s Note: The statements, opinions and data contained in all publications are solely those of the individual author(s) and contributor(s) and not of MDPI and/or the editor(s). MDPI and/or the editor(s) disclaim responsibility for any injury to people or property resulting from any ideas, methods, instructions or products referred to in the content. |
© 2025 by the authors. Licensee MDPI, Basel, Switzerland. This article is an open access article distributed under the terms and conditions of the Creative Commons Attribution (CC BY) license (https://creativecommons.org/licenses/by/4.0/).
Share and Cite
Venkatesan, K.; Asseri, K.A.; Muralidharan, P.; Sirag, N.; Ahmed, R.; Elfadil, H.; Elodemi, M.; Genena, S.E.R.; Sivadasan, D.; Velraj, M.; et al. Wound-Healing Efficacy of Daucus carota Bioactive Compounds: Targeting Oxidative Stress, Inflammation, and Apoptosis. Pharmaceuticals 2025, 18, 1905. https://doi.org/10.3390/ph18121905
Venkatesan K, Asseri KA, Muralidharan P, Sirag N, Ahmed R, Elfadil H, Elodemi M, Genena SER, Sivadasan D, Velraj M, et al. Wound-Healing Efficacy of Daucus carota Bioactive Compounds: Targeting Oxidative Stress, Inflammation, and Apoptosis. Pharmaceuticals. 2025; 18(12):1905. https://doi.org/10.3390/ph18121905
Chicago/Turabian StyleVenkatesan, Krishnaraju, Khalid A. Asseri, Pooja Muralidharan, Nizar Sirag, Rehab Ahmed, Hassabelrasoul Elfadil, Mahmoud Elodemi, Shaimaa Elsayed Ramadan Genena, Durgaramani Sivadasan, Malarkodi Velraj, and et al. 2025. "Wound-Healing Efficacy of Daucus carota Bioactive Compounds: Targeting Oxidative Stress, Inflammation, and Apoptosis" Pharmaceuticals 18, no. 12: 1905. https://doi.org/10.3390/ph18121905
APA StyleVenkatesan, K., Asseri, K. A., Muralidharan, P., Sirag, N., Ahmed, R., Elfadil, H., Elodemi, M., Genena, S. E. R., Sivadasan, D., Velraj, M., Paulsamy, P., Vadivel, V., Prabahar, K., & Krishnaraju, K. (2025). Wound-Healing Efficacy of Daucus carota Bioactive Compounds: Targeting Oxidative Stress, Inflammation, and Apoptosis. Pharmaceuticals, 18(12), 1905. https://doi.org/10.3390/ph18121905

