Next Issue
Volume 16, June
Previous Issue
Volume 16, February
 
 

J. Xenobiot., Volume 16, Issue 2 (April 2026) – 32 articles

Cover Story (view full-size image): To meet strict safety standards for recycled plastics, producers must manage the inherent heterogeneity of waste streams. This study introduces a rapid, easy-to-apply GC–MS method for screening PE and PP recycled materials. By employing liquid–liquid extraction and a dual TIC/SIM approach, the method simultaneously quantifies 40 contaminants at trace levels (ng/g) with high precision (RSDr < 4.2%). This breakthrough allows for real-time monitoring and immediate corrective action during production, ensuring recycled batches meet the same standards of wholesomeness as virgin materials. Successfully tested on industrial batches, this screening tool bridges the gap between legislative requirements and the practical realities of plastic recycling, facilitating a safer transition to a circular economy. View this paper
  • Issues are regarded as officially published after their release is announced to the table of contents alert mailing list.
  • You may sign up for e-mail alerts to receive table of contents of newly released issues.
  • PDF is the official format for papers published in both, html and pdf forms. To view the papers in pdf format, click on the "PDF Full-text" link, and use the free Adobe Reader to open them.
Order results
Result details
Section
Select all
Export citation of selected articles as:
20 pages, 4334 KB  
Article
In Silico Approach for Fluorene Biodegradation, and the Impacts of Derivatives on the Environment and Health
by Syed Raju Ali, Yasir Anwar and Hani Mohammed Ali
J. Xenobiot. 2026, 16(2), 70; https://doi.org/10.3390/jox16020070 - 20 Apr 2026
Viewed by 629
Abstract
Fluorene poses ecological and health hazards that originate from biomass combustion and petroleum. However, some microorganisms can counter fluorene through complex enzymatic degradation pathways. This research aimed to explore the catalytic efficiency of enzymes on metabolites and their toxicity levels throughout the fluorene [...] Read more.
Fluorene poses ecological and health hazards that originate from biomass combustion and petroleum. However, some microorganisms can counter fluorene through complex enzymatic degradation pathways. This research aimed to explore the catalytic efficiency of enzymes on metabolites and their toxicity levels throughout the fluorene biodegradation pathway. Several web servers and software were used to characterize them and analyse molecular dockings between ligands and proteins. Fluorene and its metabolites have mild toxicities to the brain, lung, neurons, and kidneys, and consequent endpoints cause mutations, cancer, and ecotoxicity at different levels. The catalytic enzymes are well-folded, single-chained, medium-sized proteins that are acidic, thermostable, and with few exceptions, hydrophilic, cytoplasmic, non-allergenic, and nonvirulent, possessing multiple active sites. The ERRAT, PROCHECK, and VERIFY 3D tools successfully validated the SWISS-modelled 3D structures of proteins. Molecular docking results showed moderate binding affinities between proteins and ligands, ranging from −9.4 to −6.1 kcal/mol, indicating potential activities of the enzymes. This computational study supports the conventional fluorene degradation pathway and may provide a new avenue for further research. Full article
(This article belongs to the Section Enzyme Systems, Microorganisms and Biotechnological Products)
Show Figures

Graphical abstract

14 pages, 3092 KB  
Article
Fluopyram Induces Multilevel Toxicity in Zebrafish: Insights from Developmental Impairment, Oxidative Stress, and Metabolic Disruption
by Ningbo Wang and Yingying Zhong
J. Xenobiot. 2026, 16(2), 69; https://doi.org/10.3390/jox16020069 - 20 Apr 2026
Viewed by 495
Abstract
Fluopyram (FO), a widely used succinate dehydrogenase inhibitor (SDHI) fungicide, poses a potential risk to aquatic ecosystems due to its mitochondrial toxicity in non-target organisms. This study investigated its toxic effects on zebrafish (Danio rerio). Embryos (n = 30 per [...] Read more.
Fluopyram (FO), a widely used succinate dehydrogenase inhibitor (SDHI) fungicide, poses a potential risk to aquatic ecosystems due to its mitochondrial toxicity in non-target organisms. This study investigated its toxic effects on zebrafish (Danio rerio). Embryos (n = 30 per concentration) were exposed to FO (0, 0.375, 0.75, 1.5 mg/L) for 96 h, resulting in concentration-dependent developmental toxicity, including increased malformations, reduced heart rate, and inhibited swimming behavior. Adult zebrafish were chronically exposed to lower concentrations (0, 0.01, 0.1, 1.0 mg/L; n = 20 per concentration per replicate) for 28 days. Biochemical analyses across both life stages revealed that FO significantly inhibited succinate dehydrogenase (SDH) activity and mitochondrial complex II, reduced ATP levels, and induced oxidative stress. Integrated transcriptomic and metabolomic analyses showed that FO profoundly perturbed specific metabolic pathways, primarily glutathione metabolism, cytochrome P450-mediated detoxification, and core nutrient metabolism pathways involving carbohydrates, lipids, and amino acids. In adults, chronic exposure induced significant hepatotoxicity, evidenced by histopathological damage, altered liver enzyme activities (GPT/GOT), and activation of autophagy and PPAR/FoxO signaling pathways. Our results demonstrate that FO induces multifaceted toxicity in zebrafish, from developmental defects to hepatic metabolic dysfunction, primarily driven by mitochondrial impairment and oxidative stress. This study provides crucial mechanistic hazard data and insights for the ecological risk assessment of SDHI fungicides. Full article
(This article belongs to the Section Ecotoxicology)
Show Figures

Figure 1

29 pages, 1971 KB  
Article
Space-Time Analysis of Burgeoning US Atrial Septal Defect Rates Driven by Cannabis
by Albert Stuart Reece and Gary Kenneth Hulse
J. Xenobiot. 2026, 16(2), 68; https://doi.org/10.3390/jox16020068 - 14 Apr 2026
Cited by 1 | Viewed by 679
Abstract
Atrial septal defect (ASD) has become increasingly common in the USA and now affects 1 in 11.3 children in some places, but space–time analysis has not been applied to this emerging trend. ASD rate (ASDR) data were obtained from the National Birth Defects [...] Read more.
Atrial septal defect (ASD) has become increasingly common in the USA and now affects 1 in 11.3 children in some places, but space–time analysis has not been applied to this emerging trend. ASD rate (ASDR) data were obtained from the National Birth Defects Prevention Network 2003–2020. Substance (cigarettes, alcohol, cannabis, analgesics, cocaine) use data were obtained from the National Survey of Drug Use and Health. Income data were obtained from the US Census. Analysis was limited to the Non-Hispanic White population by technical factors. Time-sequential univariate and bivariate maps were prepared for both covariates and outcomes and their combinations. Spatial regression of the ASDR was performed using the R package splm. A total of 7.6% of data was interpolated by linear regression. A total of 110,107 ASD cases were identified amongst 17,751,437 live births in 27 US states across 10 reporting periods. Time series maps showed that ASDR showed concordant patterns with indices of cannabis use rather than other substances. This was confirmed by multivariate spatial regression where cannabis and cannabinoids alone were found to significantly relate to ASDR, with p = 0.00002 for cannabidiol. Cannabis legal status similarly tracked with ASDR. Compared to states where cannabis was not legal, ASDR was more prevalent in cannabis-legal states (OR = 2.73 (2.66, 2.80); E-Value 4.90 (lower C.I. 4.76)). Twenty-seven of 34 (79.4%) E-values were >9 (high range) and 34/34 were > 1.25 (causal threshold). Data show that cannabis, including cannabis legalization, is driving the US ASD epidemic. While most high-ASDR states have high rates of cannabis use, Midwestern states where cannabis is farmed, such as Kentucky, Tennessee and Missouri, do not, suggesting other routes of exposure, potentially implicating environmental contamination. ASD is a bellwether marker for cannabinoid teratogenicity, indicating that communities should carefully control cannabinoid exposure and limit transgenerational cannabinoid genotoxicity more generally. Full article
Show Figures

Graphical abstract

41 pages, 6177 KB  
Article
SPE–UHPLC–MS/MS Method for Simultaneous Quantification of 50 Pesticide Biomarkers Across Nine Current-Use Chemical Classes in Human Urine
by Ravikumar Jagani, Jasmin Chovatiya, Hiraj Patel, Sandipkumar Teraiya, Divya Pulivarthi and Syam S. Andra
J. Xenobiot. 2026, 16(2), 67; https://doi.org/10.3390/jox16020067 - 13 Apr 2026
Viewed by 836
Abstract
A comprehensive ultra-high-performance liquid chromatography-tandem mass spectrometry (UHPLC-MS/MS) method was developed for the simultaneous quantification of 50 pesticide biomarkers across nine current-use chemical classes in human urine. These classes include organophosphorus insecticides (which encompass dialkyl phosphates and specific metabolites), pyrethroid insecticides, fungicides, neonicotinoid [...] Read more.
A comprehensive ultra-high-performance liquid chromatography-tandem mass spectrometry (UHPLC-MS/MS) method was developed for the simultaneous quantification of 50 pesticide biomarkers across nine current-use chemical classes in human urine. These classes include organophosphorus insecticides (which encompass dialkyl phosphates and specific metabolites), pyrethroid insecticides, fungicides, neonicotinoid insecticides, herbicides, insect repellents, organochlorine pesticide metabolites, and plant growth regulators. The method employs solid-phase extraction (SPE) for sample preparation, requiring only 0.2 mL of urine. Chromatographic separation was optimized using a Hypersil Gold AQ column, achieving a total run time of 18 min. Mass spectrometric detection utilized polarity switching in electrospray ionization mode with multiple reaction monitoring. Method validation demonstrated satisfactory linearity (R2 > 0.99), high sensitivity with limits of detection ranging from 0.01 to 0.88 ng/mL, and extraction efficiencies between 85% and 113%. Precision and accuracy were within acceptable ranges, with relative standard deviations generally below 15%. The method’s robustness was confirmed through participation in external quality assessment schemes. Application to real samples revealed significant inter-individual variability in pesticide biomarker concentrations, with total measured biomarker levels ranging from 89 to 1242 ng/mL across the 10 individuals analyzed. This method offers comprehensive coverage of current-use pesticide chemical classes, including 30 biomarkers from the U.S. National Health and Nutrition Examination Survey (NHANES) biomonitoring program, and demonstrates improved sensitivity and broader analyte coverage compared to existing methods. The developed assay provides a valuable tool for large-scale biomonitoring studies and environmental health research. Full article
(This article belongs to the Topic Environmental Toxicology and Human Health—2nd Edition)
Show Figures

Graphical abstract

16 pages, 3476 KB  
Article
Insecticides Promote Inflammation and Gut Barrier Alteration in In-Vitro Human Models
by Carlos Sanchez-Martin, Mariagrazia D’Agostino, Stefano Miglietta, Veronica Cocetta, Luna Laera, Isabella Giacomini, Martina Lanza, Marica Mennini, Maria Maddalena Storelli, Ettore Cicinelli, Monica Montopoli and Alessandra Castegna
J. Xenobiot. 2026, 16(2), 66; https://doi.org/10.3390/jox16020066 - 13 Apr 2026
Viewed by 630
Abstract
Background: The extensive use of insecticides in modern agriculture has raised concerns about potential chronic effects on human health beyond acute toxicity. Limited evidence exists regarding their impact on immune regulation and intestinal barrier integrity, two key components of host-environment interactions. Methods: Human [...] Read more.
Background: The extensive use of insecticides in modern agriculture has raised concerns about potential chronic effects on human health beyond acute toxicity. Limited evidence exists regarding their impact on immune regulation and intestinal barrier integrity, two key components of host-environment interactions. Methods: Human in-vitro models were used to investigate the immunomodulatory and intestinal effects of several commonly used agricultural insecticides. Primary human macrophages derived from peripheral blood mononuclear cells were exposed to insecticides to assess cell viability and polarization status. Intestinal barrier function was evaluated using Caco-2 cell monolayers by measuring oxidative stress, epithelial integrity, paracellular permeability, and tight junction organization. Results: The tested insecticides induced a pro-inflammatory macrophage phenotype, characterized by increased expression of M1 markers and reduced M2 markers, without affecting cell viability. In Caco-2 cells, insecticide exposure compromised epithelial barrier integrity and disrupted tight junction organization. In this context, neither Spinetoram nor Spirotetramat induced notable oxidative stress under pro-oxidant conditions. However, Spirotetramat caused a significant increase in paracellular permeability. Conclusions: These findings indicate that commonly used insecticides can modulate immune responses and impair intestinal barrier function, suggesting potential mechanisms by which chronic low-level exposure may contribute to immune dysregulation and epithelial dysfunction in humans. Full article
Show Figures

Graphical abstract

24 pages, 5143 KB  
Article
Perfluorooctane Sulfonate (PFOS) Disrupts Mitochondrial Activity and Cell Adhesion in Liver Cells
by Phuong D. Tran and Kyoungtae Kim
J. Xenobiot. 2026, 16(2), 65; https://doi.org/10.3390/jox16020065 - 13 Apr 2026
Viewed by 762
Abstract
Perfluorooctane sulfonate (PFOS) is a persistent environmental pollutant associated with potential hepatoxic effects and other health risks. Despite its widespread distribution, the mechanisms underlying its toxicities remain to be fully understood. To investigate PFOS toxicology, our study utilized HepG2 and THLE-2 human hepatic [...] Read more.
Perfluorooctane sulfonate (PFOS) is a persistent environmental pollutant associated with potential hepatoxic effects and other health risks. Despite its widespread distribution, the mechanisms underlying its toxicities remain to be fully understood. To investigate PFOS toxicology, our study utilized HepG2 and THLE-2 human hepatic cell models to replicate conditions reflecting PFOS accumulation in the liver. Cell viability, cell stress, and cell death assays were conducted to assess the toxicological influence of the chemical on both cell lines. Total RNA extraction was performed, followed by cDNA sequencing, and rt-qPCR. The XTT viability assay revealed a dose-dependent decrease in the number of viable cells when incubated with increasing concentrations of PFOS. The inhibitory concentration (IC50) values were approximately 100 micromolar, which led to morphological changes, elevated reactive oxygen species (ROS), and induced early apoptosis in liver cells after 6 h. Based on the transcriptomic analysis for HepG2 cells, mitochondrial genes involved in oxidative phosphorylation were downregulated, including COX, ND, and the ATP synthase family. Additionally, significant alterations of transcripts implicated in cell adhesion molecules (CAMs) were observed. In conclusion, PFOS inhibited cell growth, induced oxidative stress, and elevated apoptotic levels via transcriptomic alteration, including gene transcripts required for mitochondrial activity and cell adhesion. Full article
Show Figures

Figure 1

23 pages, 2098 KB  
Article
Non-Targeted and Targeted Screening of Organic Contaminants in Honeybees’ Death Incidents in Greece: A Story Beyond Pesticides
by Eirini Baira, Evangelia N. Tzanetou, Electra Manea-Karga, Kyriaki Machera and Konstantinos M. Kasiotis
J. Xenobiot. 2026, 16(2), 64; https://doi.org/10.3390/jox16020064 - 8 Apr 2026
Viewed by 626
Abstract
Despite the undisputable ecosystem importance of honeybees, human activities have a substantial impact on their health. Since foraging is directly linked to a wide range of crops and bee-attracting flowers, plant protection products are at the forefront of chemical scrutiny, along with contamination [...] Read more.
Despite the undisputable ecosystem importance of honeybees, human activities have a substantial impact on their health. Since foraging is directly linked to a wide range of crops and bee-attracting flowers, plant protection products are at the forefront of chemical scrutiny, along with contamination of pollen, nectar, beehive components and water by other xenobiotics. In this study, a non-targeted Liquid Chromatography-High-Resolution Mass Spectrometry (LC-HRMS) screening was applied to 25 honeybee samples collected after reported death incidents in Greece. This approach led to the tentative annotation of over 50 compounds across various chemical classes, including pesticides, PFAS candidates not included in the EFSA “PFAS-4”, pharmaceuticals, antibiotics, industrial chemicals, and natural product constituents. In parallel, targeted pesticide residue analysis using liquid and gas chromatography coupled to tandem mass spectrometry (LC-MS/MS and GC-MS/MS) was performed, covering more than 250 active substances and providing direct quantitative results, revealing 11 active substances in concentrations ranging from <limit of quantification (LOQ) to 0.95 mg/kg, overlapping substantially with the HRMS detection. Overall, this study does not allow concrete causal attribution of mortality to specific chemicals; however, it documents complex co-occurrence patterns (pesticides together with other xenobiotics and plant bioactives), not excluding sublethal and mixture-toxicity effects. Quantified pesticide concentrations were below acute LD50-based thresholds, yet selected samples combined neonicotinoid/pyrethroid/fungicide signatures and other contaminants, supporting the need for mixture-toxicity frameworks and effect-based follow-ups. Full article
Show Figures

Graphical abstract

26 pages, 2138 KB  
Article
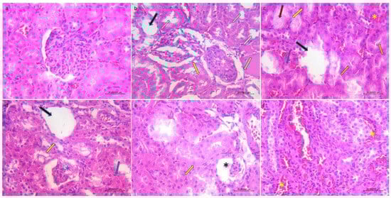
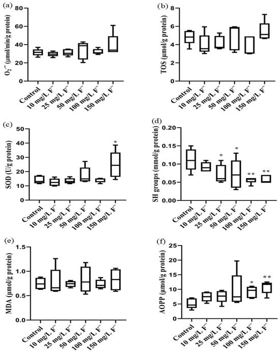
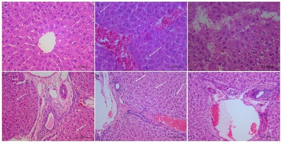
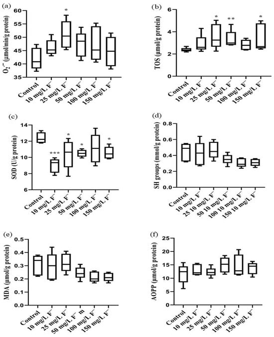
Benchmark Approach to Unravel Fluoride Toxicity: Liver and Kidney Disruptions in Subacutely Exposed Rats
by Jelena Radovanović, Sanja Milutinović-Smiljanić, Biljana Antonijević, Katarina Baralić, Marijana Ćurčić, Đurđica Marić and Zoran Mandinić
J. Xenobiot. 2026, 16(2), 63; https://doi.org/10.3390/jox16020063 - 7 Apr 2026
Viewed by 1600
Abstract
The dose–response relationship for fluoride (F) exposure remains largely unexplored. Hence, the current study assessed the hepatotoxic and nephrotoxic effects of subacute exposure (28 days) to increasing F concentrations in Wistar rats via the benchmark dose (BMD5) method. Thirty male [...] Read more.
The dose–response relationship for fluoride (F) exposure remains largely unexplored. Hence, the current study assessed the hepatotoxic and nephrotoxic effects of subacute exposure (28 days) to increasing F concentrations in Wistar rats via the benchmark dose (BMD5) method. Thirty male rats were assigned to six groups (n = 5): a control group (tap water) along with five groups that received F via drinking water at increasing concentrations (10, 25, 50, 100, and 150 mg/L). F toxicity was determined via water intake, weight gain, histological analyses, redox status, and essential element levels. PROASTweb 70.1 software was utilized to investigate the external and internal F dose–response relationships. Specified major cytoarchitecture damage and superoxide anion (O2·), total oxidative status (TOS), superoxide dismutase (SOD) activity, total thiol groups (SH), and advanced oxidation protein product (AOPP) level alterations were detected in both sets of tissues. Moreover, F caused an imbalance in copper (Cu), zinc (Zn), iron (Fe), and manganese (Mn). The most sensitive parameters were O2· (0.06 mg F/kg) in the liver and AOPP (6.5 × 10−6 mg F/L) in the kidneys. These findings contribute to the limited risk assessment of fluorides and highlight the dose-dependent relationship between redox status parameters and bioelements in the liver and kidneys. Full article
(This article belongs to the Section Ecotoxicology)
Show Figures

Graphical abstract

20 pages, 1835 KB  
Article
Glyphosate Bioremediation Facilitated by Serratia ureilytica-Derived Biosurfactants Using Amazonian Biodiversity: Genomic Insights and Adsorption Dynamics
by Kleyson Willames da Silva, Emilly Cruz da Silva, Giulian César da Silva Sá, Joane de Almeida Alves, Darlisson de Alexandria Santos, Alexandre Orsato, Karoline Leite, Dante Santos da Silva, Adriano Richard Santos da Silva, Zanderluce Gomes Luis, Flavia Karoliny Araujo dos Santos, José Augusto Pires Bitencourt, Cristina Maria Quintella, Pamela Dias Rodrigues, Doumit Camilios-Neto, Paul R. Race, James E. M. Stach and Sidnei Cerqueira dos Santos
J. Xenobiot. 2026, 16(2), 62; https://doi.org/10.3390/jox16020062 - 4 Apr 2026
Viewed by 812
Abstract
The pervasive environmental dispersal of glyphosate has established this herbicide as a dominant anthropogenic xenobiotic, necessitating advanced bioremediation strategies to restore soil integrity. This study assessed the bioremediation efficacy of biosurfactants produced by Serratia ureilytica BM01-BS in glyphosate-contaminated soils, establishing their adsorption dynamics [...] Read more.
The pervasive environmental dispersal of glyphosate has established this herbicide as a dominant anthropogenic xenobiotic, necessitating advanced bioremediation strategies to restore soil integrity. This study assessed the bioremediation efficacy of biosurfactants produced by Serratia ureilytica BM01-BS in glyphosate-contaminated soils, establishing their adsorption dynamics and ecotoxicological safety. The strain S. ureilytica BM01-BS gave a biosurfactant yield of 3.7 g·L−1 with promising surface properties, utilizing babassu (Attalea speciosa) waste as the sole nutrient source. Whole-Genome Sequencing and Biosynthetic Gene Cluster mining identified a Nonribosomal Peptide Synthetase cluster homologous to rhizomide-type lipopeptides responsible for biosurfactant production. Bioremediation assays in glyphosate-contaminated soils demonstrated a removal efficiency exceeding 95% in approximately 60 min, outperforming the synthetic surfactant SDS (20–30% efficiency). Kinetic and isothermal modeling suggest that the bioremediation process is governed by chemisorption, adhering to a pseudo-second-order model (R2 = 0.998) with a maximum adsorption capacity of 845 µg·kg−1. Fourier-Transform Infrared spectroscopy confirmed that the biosurfactant effectively removes glyphosate and restores the soil’s mineral integrity, as evidenced by the complete disappearance of glyphosate-associated phosphonic and carboxylic bands. Ecotoxicological assessments verified the environmental safety of the bioremediation process. These findings position the BM01-BS biosurfactant as a sustainable, biodiversity-based adjuvant for enhancing ecological resilience in glyphosate-impacted landscapes. Full article
(This article belongs to the Section Enzyme Systems, Microorganisms and Biotechnological Products)
Show Figures

Graphical abstract

23 pages, 2396 KB  
Article
Monitoring Environmental Glyphosate in Northeastern Romania and Its Cytotoxic Impact on Human Fibroblasts
by Ioana-Cezara Caba, Raluca Stefănescu, Alexandra-Andreea Botnaru, Ionela Daniela Morariu, Liliana Vereștiuc, Florina-Daniela Cojocaru, Bogdan Caba, Oana Cioancă, Alexandra Jităreanu and Luminița Agoroaei
J. Xenobiot. 2026, 16(2), 61; https://doi.org/10.3390/jox16020061 - 2 Apr 2026
Viewed by 720
Abstract
Glyphosate is the most widely used pesticide globally, raising concerns about its environmental persistence and biological impacts. Therefore, monitoring pesticide use is essential for assessing agricultural practices and the risks to human health associated with chemical use. This research examined glyphosate contamination in [...] Read more.
Glyphosate is the most widely used pesticide globally, raising concerns about its environmental persistence and biological impacts. Therefore, monitoring pesticide use is essential for assessing agricultural practices and the risks to human health associated with chemical use. This research examined glyphosate contamination in water (40 samples) and soil (28 samples) from northeastern Romania, an important agricultural region. Glyphosate concentrations in environmental water and soil samples were quantified using a spectrophotometric method based on ninhydrin derivatization, with good linearity over the concentration range 1–30 µg/mL (R2 = 0.9981). Glyphosate was detected at concentrations above the LOQ in one water sample. Also, the study proposes a UHPLC-MS/MS method for the confirmation of glyphosate presence in the analyzed sample. Additionally, this study contributes to the characterization of the toxicity profiles of glyphosate and a commercial glyphosate-based formulation (Roundup®) in primary human gingival fibroblast (hGF) cell lines. The commercial product Roundup, containing glyphosate, exhibited cytotoxicity similar to that of the active compound at low and intermediate doses; a significant cytotoxic effect was observed at a maximum concentration of 1 mM, with prolonged exposure. These findings demonstrate minimal cytotoxicity under the examined conditions and underscore the need for dose- and time-dependent assessments to evaluate the biological impact of herbicide formulations. Full article
Show Figures

Graphical abstract

26 pages, 2406 KB  
Article
Lowest Environmentally Relevant Concentrations of Ionic Silver in Picograms per Liter Impair Life History Traits and Population Growth of Daphnia magna (Cladocera)
by Jingyun Ding, Stefanie Krais, Zequn Li, Rita Triebskorn and Heinz-R. Köhler
J. Xenobiot. 2026, 16(2), 60; https://doi.org/10.3390/jox16020060 - 2 Apr 2026
Viewed by 568
Abstract
Although chronic contamination by silver ions (Ag+) can persist in aquatic systems over long periods of time and can therefore have an impact on population developments, regulatory testing commonly relies on single-generation endpoints. Here, we used Daphnia magna to quantify long-term [...] Read more.
Although chronic contamination by silver ions (Ag+) can persist in aquatic systems over long periods of time and can therefore have an impact on population developments, regulatory testing commonly relies on single-generation endpoints. Here, we used Daphnia magna to quantify long-term effects of pg/L to ng/L concentrations of Ag+ across generations and to test whether recovery depends on exposure history. Using 21 d life-cycle assays over up to seven consecutive generations, we quantified survival, key life-history traits, and population fitness (intrinsic rate of natural increase, r). In our study, low environmental concentrations of Ag+ caused minimal mortality, but sublethal effects persisted or multiplied over generations. Notably, continuous exposure led to significant reductions in body length and r at 50 pg/L (nominal LOEC) by the fourth generation exposed, representing population-relevant effects of Ag+ at very low concentrations which should be given consideration in the assessment of both water quality and the chemical itself. Recovery was concentration-dependent: low-concentration-exposed lineages recovered within a few generations, whereas 15 ng/L exposure resulted in persistent deficits even through the recovery period of three generations. Exposure-history patterns indicated that long-term outcomes were dominated by the cumulative number of exposed generations. These findings highlight the limitations of acute and single-generation assays and emphasize the importance of considering information on the effects of chemicals, including Ag+, across multiple generations in risk assessments. They also highlight the need to include expectations regarding recovery after the removal of pollutants in these assessments. Full article
(This article belongs to the Section Ecotoxicology)
Show Figures

Graphical abstract

18 pages, 1036 KB  
Systematic Review
Environmental Metal Exposure and Brain-Derived Neurotrophic Factor (BDNF): A Systematic Review of Human and Experimental Evidence
by Maria-Nefeli Georgaki, Despoina Ioannou, Elpis Chochliourou, Kanellos Skourtsidis, Theodora Papamitsou and Dimosthenis Sarigiannis
J. Xenobiot. 2026, 16(2), 59; https://doi.org/10.3390/jox16020059 - 2 Apr 2026
Viewed by 785
Abstract
Background: Brain-derived neurotrophic factor (BDNF) is central to synaptic plasticity and neurodevelopment. Toxic metal exposure is linked to oxidative stress and neuroinflammation, yet its effects on BDNF signaling remain unclear. Objectives: To systematically synthesize evidence from human and experimental studies on the association [...] Read more.
Background: Brain-derived neurotrophic factor (BDNF) is central to synaptic plasticity and neurodevelopment. Toxic metal exposure is linked to oxidative stress and neuroinflammation, yet its effects on BDNF signaling remain unclear. Objectives: To systematically synthesize evidence from human and experimental studies on the association between environmental or occupational metal exposure and BDNF alterations, and to highlight research gaps with an emphasis on hexavalent chromium (Cr(VI)). Methods: PubMed, Scopus, and ScienceDirect were searched following PRISMA guidelines. Eligible studies included human observational research and animal models reporting quantitative associations between metal exposure (biomarkers/environmental measures) and BDNF outcomes (protein or gene expression). Data were extracted on exposure assessment, BDNF measurement, and neurobehavioral outcomes. Study quality was assessed using NOS (human studies) and SciRAP (experimental studies). Results: Nineteen studies were included. Across metals such as Pb, Hg, Cd, As, Mn, and mixtures, exposure was associated with altered BDNF levels in blood or brain tissue, often alongside oxidative stress markers, inflammatory changes, and cognitive or behavioral impairment in animal models. Most human studies reported decreased circulating BDNF with higher exposure, while experimental evidence suggested context-dependent regulation across exposure windows and brain regions. Conclusions: The available evidence supports a biologically plausible link between metal exposure and BDNF dysregulation. No eligible studies evaluated BDNF in relation to Cr(VI), indicating a major research gap. Future studies should integrate neurotrophic biomarkers with exposome-oriented designs to clarify chromium-related neurotoxicity and support Adverse Outcome Pathway (AOP)-informed frameworks. Full article
Show Figures

Graphical abstract

16 pages, 2024 KB  
Article
Residue of Organophosphate Esters (OPEs) in the Crustacean from Southeast China and Its Dietary Exposure Risk Assessment
by Hai-Tao Shen, Jian-Long Han, Xiao-Min Xu and Xiao-Dong Pan
J. Xenobiot. 2026, 16(2), 58; https://doi.org/10.3390/jox16020058 - 27 Mar 2026
Viewed by 637
Abstract
This study presents a comprehensive investigation of OPE residues, distribution patterns, and dietary exposure risks in crustaceans from southeast China. OPEs were detected in over 90% of samples, with mean total concentrations (ΣOPEs) of 5.80 μg/kg wet weight (ww) in freshwater shrimp, 6.52 [...] Read more.
This study presents a comprehensive investigation of OPE residues, distribution patterns, and dietary exposure risks in crustaceans from southeast China. OPEs were detected in over 90% of samples, with mean total concentrations (ΣOPEs) of 5.80 μg/kg wet weight (ww) in freshwater shrimp, 6.52 μg/kg ww in marine prawn, and 1.25 μg/kg ww in marine crab. Tributyl phosphate (TiBP), triethyl phosphate (TEP), and tris(2-chloroethyl) phosphate (TCEP) emerged as the dominant congeners, accounting for 68.1% of ΣOPEs, which indicates inputs from industrial emissions, plastic waste leaching, and aquaculture equipment. Spatial analysis revealed striking regional differences: coastal industrial cities (Zhoushan, Taizhou) exhibited ΣOPE levels up to 12-fold higher than inland mountainous areas (Quzhou, Lishui), while no significant temporal variations were observed. Human health risk evaluation, based on estimated daily intake (EDI) and target hazard quotient (THQ), demonstrated negligible non-carcinogenic risks for the general population (HI < 1), though children and frequent seafood consumers have slightly elevated exposure. These findings indicate the value of crustaceans as bioindicators for OPE contamination and require long-term monitoring of emerging OPEs and their synergistic effects with co-occurring pollutants. Full article
Show Figures

Figure 1

16 pages, 1008 KB  
Review
Monitoring Chemical Environmental Hazards Through Wildlife Assessment: A Review Within the “One Health” Approach
by Claudia A. Rocha, Luís M. Félix, Dércia Santos, Sandra M. Monteiro and Carlos Venâncio
J. Xenobiot. 2026, 16(2), 57; https://doi.org/10.3390/jox16020057 - 25 Mar 2026
Viewed by 826
Abstract
Wildlife acts as a sentinel of environmental pollution, providing critical insights into potential risks to human health within the One Health framework. However, knowledge on the occurrence of legacy and emerging contaminants in wildlife, as well as their potential trophic transfer to humans, [...] Read more.
Wildlife acts as a sentinel of environmental pollution, providing critical insights into potential risks to human health within the One Health framework. However, knowledge on the occurrence of legacy and emerging contaminants in wildlife, as well as their potential trophic transfer to humans, remains limited. Thus, monitoring contaminants in terrestrial wildlife, particularly in game species, is especially relevant, as game meat represents an important source of high-quality protein that must be safeguarded. This review summarizes current evidence on chemical contaminant levels in terrestrial wildlife from a “One Health” perspective. Despite the growing relevance of this approach, few studies have explicitly applied this term, and even fewer have focused on game meat, resulting in an incomplete picture of contamination. Although reported contaminants—metals, metalloids, pesticides, microplastics, and mycotoxins—originate from overlapping natural and anthropogenic sources, such as ammunition, agriculture, and industrial activities, a strong dependence on local environmental conditions continues to hamper cross-regional comparisons and the establishment of representative exposure levels. Overall, this review highlights the need for systematic monitoring of contaminants in terrestrial wildlife, with emphasis on emerging pollutants that are currently underrepresented in literature, to improve risk assessment, protect food safety, and better understand the impacts of environmental contamination on animal and human health. Full article
(This article belongs to the Special Issue Environmental Toxicology and Animal Health: 2nd Edition)
Show Figures

Graphical abstract

17 pages, 2437 KB  
Case Report
Acute Intoxication with Caffeine-Containing Tablets: A Case Report with a Fatal Outcome
by Maya Radeva-Ilieva, Stanila Stoeva-Grigorova, Ivanesa Yarabanova, Ivelina Panayotova, Georgi Bonchev, Nadezhda Hvarchanova, Mario Milkov, Simeon Marinov, Petko Marinov and Snezha Zlateva
J. Xenobiot. 2026, 16(2), 56; https://doi.org/10.3390/jox16020056 - 24 Mar 2026
Cited by 1 | Viewed by 1868
Abstract
Caffeine is widely consumed and generally considered safe at customary doses. How-ever, high-dose preparations available online pose a risk of severe and potentially fatal intoxication. Although uncommon, lethal caffeine poisoning is associated with profound cardiovascular and neurological toxicity. A rare case of intentional [...] Read more.
Caffeine is widely consumed and generally considered safe at customary doses. How-ever, high-dose preparations available online pose a risk of severe and potentially fatal intoxication. Although uncommon, lethal caffeine poisoning is associated with profound cardiovascular and neurological toxicity. A rare case of intentional acute caffeine intoxication with fatal outcome is presented. A 25-year-old woman ingested an estimated 60 tablets containing 200 mg of caffeine each, purchased online. She was admitted to hospital shortly after ingestion of the caffeine tablets with palpitations, agitation, dizziness, and repeated vomiting. On examination, she presented with arterial hypotension (90/60 mmHg) and marked sinus tachycardia (150 beats/min), accompanied by psychomotor agitation. Her blood caffeine concentration measured by means of high-performance liquid chromatography (HPLC) was 177 µg/mL. The patient’s condition rapidly deteriorated, with the development of convulsive syndrome progressing to coma, extreme ventricular tachycardia, exotoxic shock, and toxic cardiomyopathy. Despite intensive care management, including mechanical ventilation and advanced cardiopulmonary resuscitation, the patient died several hours after admission. In conclusion, this case underscores the life-threatening potential of acute high-dose caffeine ingestion and highlights the risk associated with unrestricted access to concentrated caffeine products. Early recognition and aggressive management are crucial, yet may be insufficient in cases of massive overdose. Full article
Show Figures

Graphical abstract

33 pages, 6549 KB  
Article
Thioxanthone-Mediated Cytoprotection Against Cisplatin Toxicity: Exploring the Potential Involvement of P-Glycoprotein Through Computational and Experimental Approaches
by Jéssica Veiga-Matos, Daniel J. V. A. dos Santos, Andreia Palmeira, Emília Sousa, Ana I. Morales, Marta Prieto, Fernando Remião and Renata Silva
J. Xenobiot. 2026, 16(2), 55; https://doi.org/10.3390/jox16020055 - 21 Mar 2026
Viewed by 670
Abstract
P-glycoprotein (P-gp), an efflux transporter highly expressed in renal tubules, plays a crucial role in the detoxification and protection of barrier/excretory tissues from harmful xenobiotics. Xanthones and thioxanthones (TXs) are known for their antimicrobial and antitumor activities and for their ability to modulate [...] Read more.
P-glycoprotein (P-gp), an efflux transporter highly expressed in renal tubules, plays a crucial role in the detoxification and protection of barrier/excretory tissues from harmful xenobiotics. Xanthones and thioxanthones (TXs) are known for their antimicrobial and antitumor activities and for their ability to modulate membrane transporters such as P-gp. Previous studies have reported that (thio)xanthonic derivatives enhance P-gp expression and/or activity in intestinal cells, reducing the intracellular accumulation of toxic substrates; however, their capacity to modulate P-gp in renal cells remains poorly explored. This study aimed to predict, in silico, TXs’ binding sites within P-gp and to evaluate, in vitro, in human kidney (HK)-2 cells, the effects of selected TXs (TX1–5) on P-gp activity and expression, and protection against cisplatin-induced cytotoxicity. Computational studies identified preferential TX1–5 binding to the drug-binding pocket, particularly the rhodamine 123 (R) or modulator (M) sites, and to nucleotide-binding domain 1. In vitro, rhodamine 123 accumulation assays revealed increased P-gp transport activity after 120 min or 24 h exposure to TX1–5, except TX4. TX2 elicited the strongest effect (141% increase, p < 0.0001), upregulated P-gp expression (24 h, p < 0.0001), and significantly protected HK-2 cells from cisplatin-induced cytotoxicity (increased IC50, p < 0.0001). Altogether, these findings position thioxanthones as promising scaffolds for the development of P-gp-targeted strategies to mitigate drug-induced nephrotoxicity. Full article
(This article belongs to the Section Drug Therapeutics)
Show Figures

Graphical abstract

20 pages, 2327 KB  
Review
Toward Comprehensive In Vitro Evaluation of Serum Albumin Binding of Per- and Polyfluoroalkyl Substances
by Hannah M. Starnes and Scott M. Belcher
J. Xenobiot. 2026, 16(2), 54; https://doi.org/10.3390/jox16020054 - 20 Mar 2026
Viewed by 905
Abstract
Per- and polyfluoroalkyl substances (PFAS) constitute a large and chemically diverse class of synthetic compounds characterized by one or more fully fluorinated methyl or methylene groups. Many PFAS are toxic, environmentally persistent, bioaccumulative, and highly mobile, resulting in widespread contamination and biological exposure. [...] Read more.
Per- and polyfluoroalkyl substances (PFAS) constitute a large and chemically diverse class of synthetic compounds characterized by one or more fully fluorinated methyl or methylene groups. Many PFAS are toxic, environmentally persistent, bioaccumulative, and highly mobile, resulting in widespread contamination and biological exposure. Across taxa PFAS exhibit affinity for proteins and preferentially accumulate in protein-rich, highly perfused tissues. Protein binding critically influences PFAS distribution, bioaccumulation, toxicity, and elimination. A variety of different approaches for determining binding affinity have existed for decades; however, depending on experimental conditions, calculated affinities can vary over multiple orders of magnitude which limits comparison of protein–PFAS binding affinities across studies and across PFAS chemical space. Addressing this limitation requires robust and standardized experimental platforms capable of rapidly generating quantitative binding data. Among the most important targets is serum albumin—the principal transport protein in vertebrate blood—which plays a central role in governing PFAS toxicokinetics. This review summarizes current methodologies for measuring protein–PFAS binding affinities, evaluates the strengths and limitations of each approach, synthesizes the existing literature on serum albumin–PFAS interactions, and highlights differential scanning fluorimetry as a rapid, reproducible, and sensitive technique for in vitro assessment of relative protein–PFAS binding. Full article
(This article belongs to the Section Emerging Chemicals)
Show Figures

Graphical abstract

23 pages, 4704 KB  
Article
Crude Extract and Phenol-Rich Fractions from Vernonia amygdalina Leaves Ameliorates Streptozotocin-Induced Type 1 Diabetes in Rats by Mitigating Hepatic Injury, Dyslipidemia, and Production of Oxido-Inflammatory Markers
by Olawale Razaq Ajuwon, Damilola Rebecca Oladejo, Akinwunmi Oluwaseun Adeoye, John Adeolu Falode, Basiru Olaitan Ajiboye, Foluso Oluwagbemiga Osunsanmi and Babatunji Emmanuel Oyinloye
J. Xenobiot. 2026, 16(2), 53; https://doi.org/10.3390/jox16020053 - 20 Mar 2026
Viewed by 859
Abstract
Diabetes mellitus (DM) is a major disorder contributing to human mortality and morbidity globally. The use of medicinal plants in the management of diabetes is gaining global popularity due to their accessibility and cost-effectiveness. In this study, we evaluated the ameliorative potential of [...] Read more.
Diabetes mellitus (DM) is a major disorder contributing to human mortality and morbidity globally. The use of medicinal plants in the management of diabetes is gaining global popularity due to their accessibility and cost-effectiveness. In this study, we evaluated the ameliorative potential of Vernonia amygdalina leaves crude extract (CE), free phenol (FP), and bound phenol (BP) fractions (50 mg/kg body weight) in a rat model of streptozotocin (STZ)-induced type 1 diabetes (T1DM). The effects of these treatments for 28 days on glucose, insulin, glycated hemoglobin, hepatic injury indices, and lipid profile were assessed in the serum. Furthermore, redox biomarkers (liver) and inflammatory mediators (serum and liver) were analyzed. Our results indicated that CE, FP, and BP fractions of Vernonia amygdalina inhibited the deleterious effects of T1DM by attenuating hyperglycaemia, insulin deficiency, hepatic injury, and dyslipidemia. Also, CE, FP, and BP fractions differentially improved antioxidant enzymes activity and reduced oxidative and inflammatory markers production. Specifically, CE showed superior effects compared with FP, BP, and metformin across multiple biomarkers, including glycated hemoglobin, α-amylase, α-glucosidase, hepatic glycogen, total cholesterol, LDL-cholesterol, protein carbonyl, SOD, IL-1β, and IL-10. The antidiabetic effects produced by CE, FP, and BP fractions of Vernonia amygdalina may be ascribed to the presence of different bioactive phytochemicals as revealed by HPLC analysis. Overall, our data would suggest a potential therapeutic role for Vernonia amygdalina leaves extracts in addressing hepatic complications due to T1DM. Full article
Show Figures

Graphical abstract

31 pages, 2112 KB  
Review
Micro- and Nanoplastics Exposure Across the Lifespan: One Health Implications for Aging and Longevity
by Chantalle Moulton, Anna Baroni and Ennio Tasciotti
J. Xenobiot. 2026, 16(2), 52; https://doi.org/10.3390/jox16020052 - 19 Mar 2026
Cited by 2 | Viewed by 2151
Abstract
Micro- and nanoplastics (MNPs) are pervasive environmental contaminants with growing relevance for human health across the lifespan. Older adults may be especially vulnerable to their effects due to cumulative lifetime exposure, age-related physiological changes, and a higher burden of chronic disease. Adopting a [...] Read more.
Micro- and nanoplastics (MNPs) are pervasive environmental contaminants with growing relevance for human health across the lifespan. Older adults may be especially vulnerable to their effects due to cumulative lifetime exposure, age-related physiological changes, and a higher burden of chronic disease. Adopting a One Health perspective, this review synthesizes current evidence on the sources, exposure pathways, and biological effects of MNPs, integrating findings from environmental, animal, and human studies with a specific focus on aging populations. Experimental studies consistently show that MNP exposure triggers oxidative stress, inflammation, mitochondrial dysfunction, and cellular senescence, mechanisms central to biological aging. These processes are linked to dysfunction of the cardiovascular, nervous, gastrointestinal, and immune systems, suggesting that MNPs may contribute to the development or progression of age-related diseases. Within the One Health framework, MNPs also act as carriers of chemical additives and environmental pollutants, potentially amplifying health risks through combined and cumulative exposures along food chains and ecosystems. Despite increasing mechanistic evidence, direct epidemiological data in older adults remain limited. This review highlights key knowledge gaps and emphasizes the need for integrative, longitudinal research to clarify the role of MNPs in aging and to inform public health and environmental policy. Full article
Show Figures

Figure 1

28 pages, 6269 KB  
Article
Glyphosate-Induced Metabolic and Immune Modulation in Hepatoma Cells: Identification of Key Genes as Diagnostic and Therapeutic Targets Using an In Silico Systems Biology Approach
by Divya Mishra
J. Xenobiot. 2026, 16(2), 51; https://doi.org/10.3390/jox16020051 - 19 Mar 2026
Cited by 1 | Viewed by 981
Abstract
Glyphosate, one of the most widely used herbicides worldwide, has raised significant concerns regarding its potential involvement in hepatotoxicity and molecular changes associated with liver cancer biology. These concerns highlight the need to better understand its underlying molecular mechanisms in hepatoma cells. Emerging [...] Read more.
Glyphosate, one of the most widely used herbicides worldwide, has raised significant concerns regarding its potential involvement in hepatotoxicity and molecular changes associated with liver cancer biology. These concerns highlight the need to better understand its underlying molecular mechanisms in hepatoma cells. Emerging evidence suggests that glyphosate exposure may increase the risk of liver cancer and chronic liver disease. However, the precise molecular alterations and promising biomarkers associated with glyphosate-induced hepatic toxicity and disease remain largely unexplored. In this study, an RNA-Seq-based in silico systems biology approach was employed to elucidate glyphosate-induced differential transcriptional profiling in hepatoma cells. This analysis revealed significant transcriptional profiling characterized by the upregulated hub genes ATF3, JUNB, ALDOA, FOSB, PFKFB3, G6PD, ENO2, HK2, FOS and PGK1. These genes were primarily associated with glucose metabolism, TNF-α/NF-κB signaling, epithelial–mesenchymal transition (EMT) and cellular stress responses. Conversely, several key genes were significantly downregulated, including PIK3R1, FYN, CEBPA, MLXIPL, PPARA, CD36, PCK2, PNPLA3, NR1H4 and MGLL, which were involved in lipid metabolism, immune regulation and non-alcoholic fatty liver disease (NAFLD) pathways. Notably, all hub genes demonstrated strong diagnostic performance, highlighting their potential as sensitive biomarkers of glyphosate exposure. Collectively, this study provides comprehensive insights into gene expression changes associated with glyphosate exposure in hepatoma cells, linking them to hepatic metabolic dysregulation and immune modulation and suggesting a panel of hub genes with potential diagnostic and therapeutic significance. Full article
Show Figures

Graphical abstract

18 pages, 2408 KB  
Article
Auxiliary TARP Subunits Define AMPA Receptor Pharmacology and Function
by Sosana Bdir, İrfan Çapan, Mohammed Hawash, Süleyman Servi and Mohammad Qneibi
J. Xenobiot. 2026, 16(2), 50; https://doi.org/10.3390/jox16020050 - 16 Mar 2026
Viewed by 1250
Abstract
Background: Fast excitatory transmission in the central nervous system is carried out by AMPA-type glutamate receptors. Neuronal hyperexcitability and epilepsy have been associated with the dysregulation of AMPA receptor function. Modulation of the gating kinetics of AMPA receptor function has been proposed to [...] Read more.
Background: Fast excitatory transmission in the central nervous system is carried out by AMPA-type glutamate receptors. Neuronal hyperexcitability and epilepsy have been associated with the dysregulation of AMPA receptor function. Modulation of the gating kinetics of AMPA receptor function has been proposed to be a desirable target for therapy, especially when the modulation is transmembrane AMPA receptor regulatory protein (TARP)-dependent and AMPA receptor subunit composition-dependent. Methods: Eight dibenzobarrelene-based heterocycles were characterized for their effects on the human embryonic kidney cells expressing homomeric GluA1 and heteromeric GluA1/2 AMPA receptors, either alone or co-expressed with the TARPγ8 auxiliary subunit, using whole-cell patch-clamp electrophysiological recordings, and the current amplitude and kinetics of desensitization and deactivation were measured after rapid glutamate application. Results: Each chemical evaluated suppressed glutamate-induced currents via AMPA receptors and augmented both desensitization and deactivation, indicating a negative allosteric modulatory effect. The co-expression of TARPγ8 diminished, but did not eradicate, the inhibition and acceleration induced by the compounds. The observations indicate that the chemicals diminish agonist-bound open states and facilitate transitions to non-conducting states while maintaining effectiveness. Conclusions: The present study describes a specific kinetic mechanism by which dibenzobarrelene derivatives impair the function of the AMPA receptor and its dependence on auxiliary proteins. The present study provides a mechanistic understanding of AMPA receptor gating modulation and establishes a pharmacological framework for future investigations in more physiologically relevant systems. Full article
Show Figures

Graphical abstract

23 pages, 3050 KB  
Article
Polyethylene Mulch Emissions Differentially Impact the Soil Metabolome and Microbial Community in Field Pea (Pisum sativum L.) Cultivation
by Emoke Dalma Kovacs, Nguyen Khoi Nghia and Melinda Haydee Kovacs
J. Xenobiot. 2026, 16(2), 49; https://doi.org/10.3390/jox16020049 - 15 Mar 2026
Viewed by 686
Abstract
Background and Objectives: Polyethylene (PE) mulching enhances crop productivity through microclimate optimization but introduces synthetic polymer-derived compounds into agricultural soils. Despite widespread use, biochemical and microbial impacts of PE mulch emissions remain poorly understood. This study investigated the impact of PE mulch emissions [...] Read more.
Background and Objectives: Polyethylene (PE) mulching enhances crop productivity through microclimate optimization but introduces synthetic polymer-derived compounds into agricultural soils. Despite widespread use, biochemical and microbial impacts of PE mulch emissions remain poorly understood. This study investigated the impact of PE mulch emissions on soil metabolomes and microbial communities during field pea (Pisum sativum L.) cultivation. Methods: A 75-day field experiment compared PE-mulched and non-mulched soils across five temporal sampling points (T0–T4). Headspace solid-phase microextraction coupled with gas chromatography–mass spectrometry was used to identify PE-derived organic compounds in mulched soils. Microbial community structure was assessed through the phospholipids derived fatty acids (PLFA) approach, whereas mass spectrometric untargeted metabolomics was used to characterize the soil biochemical profiles. Results: Analysis identified 18 PE-derived organic compounds (n-alkanes, phthalates, and additives) in the mulched soils. PE mulching significantly increased bacterial abundance (anaerobic bacteria, actinomycetes, and aerobic bacteria) but suppressed all functional fungal guilds, particularly saprotrophic fungi (30% reduction) and arbuscular mycorrhizal symbionts. PE-derived organic compounds were associated primarily with the first RDA axis (RDA1), which alone explained 44.6% of the metabolome variance. These compounds presented strong positive correlations with organic nitrogen compounds and lipids and negative correlations with benzenoids and nucleotides. Pathway analysis revealed perturbations in energy metabolism, lipid metabolism, and xenobiotic degradation pathways. Conclusions: PE mulch emissions differentially shift soil microbial communities and metabolic networks, with bacterial proliferation contrasting with fungal suppression. These findings highlight the complex trade-offs between agronomic benefits and soil biological impacts, emphasizing the need for sustainable mulching alternatives. Full article
Show Figures

Graphical abstract

35 pages, 1375 KB  
Systematic Review
Cyclophosphamide-Induced Nephrotoxicity and Nephroprotection in Rodent Models: A Systematic Review and Random-Effects Meta-Analysis (2010–2025)
by Denis Oberiukhtin, Anton Chernitskiy, Desheng Hu and Alexey Sarapultsev
J. Xenobiot. 2026, 16(2), 48; https://doi.org/10.3390/jox16020048 - 4 Mar 2026
Viewed by 1111
Abstract
Cyclophosphamide (CP) is extensively used in oncology and as an immunosuppressant, but dose-limiting renal injury remains a major constraint. We systematically reviewed in vivo rodent models of CP nephrotoxicity (2010–2025) and meta-analysed core outcomes while separating the model effect (CP vs. control) from [...] Read more.
Cyclophosphamide (CP) is extensively used in oncology and as an immunosuppressant, but dose-limiting renal injury remains a major constraint. We systematically reviewed in vivo rodent models of CP nephrotoxicity (2010–2025) and meta-analysed core outcomes while separating the model effect (CP vs. control) from the treatment effect (intervention + CP vs. CP-only). Fifty-four studies met eligibility criteria, and random-effects syntheses were feasible for serum creatinine, serum urea, and renal oxidative stress markers. CP produced a marked functional deterioration, increasing serum creatinine by 1.059 mg/dL (95% CI 0.517–1.601; k = 9) and serum urea by 39.852 mg/dL (95% CI 6.557–73.148; k = 9). Across intervention studies, protective effects were most consistently expressed in oxidative endpoints (MDA/TBARS reduction and glutathione preservation), whereas functional recovery estimates were more variable and frequently limited by incomplete reporting and between-study heterogeneity. Overall, the evidence base supports CP as a robust preclinical model of combined functional and redox-mediated renal injury and indicates that multiple mechanistic classes of interventions can partially mitigate injury, but current reporting and design heterogeneity preclude reliable ranking of candidate agents. The protocol was registered on OSF. Full article
Show Figures

Graphical abstract

19 pages, 3893 KB  
Article
Enzyme-Targeted Antiproliferative Effects of Novel Indole–Acrylamide Xenobiotics Acting on Cyclooxygenase Pathways
by Mohammed Hawash, Benay Mahmutoğlu, Murad Abualhasan, Deniz Cansen Kahraman and Sultan Nacak Baytas
J. Xenobiot. 2026, 16(2), 47; https://doi.org/10.3390/jox16020047 - 4 Mar 2026
Viewed by 824
Abstract
The indole scaffold is common in natural products and bioactive compounds, including anti-cancer and anti-inflammatory medicines. In this work, a series of indole-acrylamide derivatives was synthesized, and their antiproliferative and anti-inflammatory effects were evaluated on COX enzymes and against a panel of cancer [...] Read more.
The indole scaffold is common in natural products and bioactive compounds, including anti-cancer and anti-inflammatory medicines. In this work, a series of indole-acrylamide derivatives was synthesized, and their antiproliferative and anti-inflammatory effects were evaluated on COX enzymes and against a panel of cancer cell lines. All the final compounds were characterized via HRMS and (1H & 13C)-NMR. Anticancer and anti-inflammatory activities were evaluated using standard biomedical techniques by SRB, MTS, and COX kit assays. Additionally, the molecular docking analysis was conducted using the AutoDock Vina tool. The results demonstrated that the produced compounds displayed significant inhibitory effects on the COX-2 enzyme, with IC50 values of 128 nM to 1.04 µM. 6a demonstrated significant COX-2 selectivity with an IC50 of 128 nM and an SI of 352, highlighting its preference for COX-2 over COX-1. 6c exhibited potent COX-2 inhibition with an IC50 of 0.215 µM and an SI of 10.6. The assessed compounds exhibited substantial cytotoxic effects on cancer cells, especially against liver cancer cell lines (Huh7, HepG2, Mahlavu, and SNU475), and breast cancer (MCF-7). 6d compound was the most COX-1 selective inhibitor, which observed potent activity against hepatocellular carcinoma, with IC50 values as low as 3.5 µM, and was highly effective against MCF-7. Additionally, COX-2 selective inhibitors, 6a and 6b, exhibited strong antiproliferative effects against both breast cancer (MCF-7) and melanoma (B16F1), with IC50 values ranging from 4.75 to 15.4 µM. Furthermore, the molecular docking of 6a demonstrated a strong affinity for the COX-2 enzyme, with energy scores (S) of −8.392 kcal/mol, comparable to celecoxib’s score of −10.96 kcal/mol. The findings suggest a possible correlation between COX-2 inhibition and anticancer efficacy, especially for compounds 6a and 6c, which demonstrate excellent COX-2 selectivity and notable antiproliferative effects, positioning them as prospective candidates for further advancement in cancer treatment. Full article
(This article belongs to the Section Drug Therapeutics)
Show Figures

Graphical abstract

30 pages, 2319 KB  
Review
Pesticide Behavior in Soil Amended with Agricultural Waste and Agro-Industrial Byproducts: An Updated Review
by Gabriel Pérez-Lucas and Simón Navarro
J. Xenobiot. 2026, 16(2), 46; https://doi.org/10.3390/jox16020046 - 4 Mar 2026
Cited by 1 | Viewed by 1399
Abstract
Farmers rely on pesticides to keep their crops safe from pests, diseases, and weeds. However, if pesticides are not used properly, they can have serious consequences for human and environmental health. Many pesticides are not easily biodegradable and persist in the environment for [...] Read more.
Farmers rely on pesticides to keep their crops safe from pests, diseases, and weeds. However, if pesticides are not used properly, they can have serious consequences for human and environmental health. Many pesticides are not easily biodegradable and persist in the environment for a long time. Their residues, including toxic metabolites, pose risks to non-target organisms, contaminate surface- and groundwater sources, and may affect future crops. Among other soil remediation actions, it is important to highlight the impact of agricultural waste and agro-industrial byproducts on the behavior of pesticides as a strategy to eliminate or at least minimize soil pollution by their residues. Waste from various food industries and agriculture poses a severe threat to the ecosystem and is difficult to manage properly. Agriculture and food production waste accounts for over 30% of total global agricultural output. Therefore, managing agri-food waste from different sources is crucial to promoting sustainable development with minimal environmental impact. Key components of waste management interventions in the agricultural circular and bioeconomy include incorporating crop residues and food waste into soils. For these reasons, we present an updated review of the impact of agricultural waste and agro-industrial byproducts on the behavior of pesticides in soil. The goal of this review is to promote the sustainable use of these wastes within the context of a circular economy. Full article
(This article belongs to the Section Ecotoxicology)
Show Figures

Figure 1

18 pages, 1587 KB  
Review
Fluorescent Dyes in Hydrological Tracing: Application Methods, Ecotoxicological Effects, and Safe Application Levels
by Carlos J. A. Campos, Louis A. Tremblay, Olivier Champeau and Gregory Goblick
J. Xenobiot. 2026, 16(2), 45; https://doi.org/10.3390/jox16020045 - 3 Mar 2026
Viewed by 1518
Abstract
Fluorescent dyes are commonly used as tracers in hydrological investigations to quantify transport pathways, residence times, mixing behavior, and connectivity in surface water, groundwater, and coastal systems. Despite their long history of application, the ecological implications of deliberate dye releases are not well [...] Read more.
Fluorescent dyes are commonly used as tracers in hydrological investigations to quantify transport pathways, residence times, mixing behavior, and connectivity in surface water, groundwater, and coastal systems. Despite their long history of application, the ecological implications of deliberate dye releases are not well understood. This review synthesizes current knowledge on the physico-chemical characteristics, environmental behavior, and ecotoxicological effects of major dye classes, with emphasis on rhodamines, fluorescein derivatives, and sulfonated xanthene dyes commonly used in water tracing studies. Toxicity data for algae, cyanobacteria, invertebrates, and fish show large inter-specific variability. Some dyes, particularly rhodamine B and eosin Y, show acute or sub-lethal effects at concentrations detected during poorly controlled applications. By contrast, dyes with high polarity and extensive sulfonation (e.g., rhodamine WT, sulforhodamine B, pyranine, and fluorescein) show consistently low toxicity and minimal bioaccumulation potential. Environmental fate processes, including photolysis, sorption, and transformation into potentially more reactive products, influence exposure dynamics, especially in clear, shallow, or slow-moving systems. This review also evaluates regulatory frameworks and operational guidance for safe use, identifies gaps in toxicological and fate data, and proposes recommendations for minimizing environmental impact through dye selection, mass optimization, injection design, and monitoring. The findings support the continued use of fluorescent dyes but highlight the need for more systematic assessment of transformation products, chronic and sub-lethal responses, and cumulative exposure in sensitive environments. Full article
Show Figures

Graphical abstract

16 pages, 7595 KB  
Article
Fungal Transformation and Oxalate-Mediated Mineralization of Heavy Metal Oxides by Aspergillus aculeatus
by Thanakorn Sawangchart, Sutee Chutipaijit, Bunyarit Meksiriporn, Worapat Narueban, Worrathon Tilokkarn, Pattareewan Imsuwan and Thanawat Sutjaritvorakul
J. Xenobiot. 2026, 16(2), 44; https://doi.org/10.3390/jox16020044 - 1 Mar 2026
Viewed by 824
Abstract
Fungal transformation is increasingly recognized as an important process influencing metal solubilization and immobilization in soil environments. In this study, a fungal strain (PTW4) isolated from mining-contaminated soil was molecularly identified as Aspergillus aculeatus. The strain was evaluated for its ability to [...] Read more.
Fungal transformation is increasingly recognized as an important process influencing metal solubilization and immobilization in soil environments. In this study, a fungal strain (PTW4) isolated from mining-contaminated soil was molecularly identified as Aspergillus aculeatus. The strain was evaluated for its ability to solubilize and transform several heavy metal oxides, including ZnO, Pb3O4, Cu2O, and MoO3. PTW4 produced consistent halo formation across all tested oxides, accompanied by progressive acidification of the culture medium, suggesting organic acid-mediated solubilization. Characterization of extracellular precipitates by SEM-EDS and XRD indicated mineral phases consistent with oxalate-associated biominerals, including zinc oxalate dihydrate (ZnC2O4·2H2O), lead oxalate (PbC2O4), and copper oxalate hydrate (CuC2O4·xH2O). These minerals represent low-solubility phases that may reduce metal mobility in the surrounding environment. In contrast, molybdenum did not precipitate under the experimental conditions, suggesting metal-specific constraints in fungal biomineralization processes. Although organic acid production was not directly quantified, identification of oxalate mineral phases supports an oxalate-associated mineralization mechanism. Overall, the results provide evidence for heavy metal solubilization and selective extracellular precipitation consistent with oxalate biomineral formation by A. aculeatus PTW4, highlighting its potential relevance to fungal-mediated bioremediation and selective bioleaching processes. Full article
(This article belongs to the Section Enzyme Systems, Microorganisms and Biotechnological Products)
Show Figures

Graphical abstract

22 pages, 1378 KB  
Article
Impact of Cannabis and Cannabis Legalization on US Atrial Septal Defect Rates
by Albert Stuart Reece and Gary Kenneth Hulse
J. Xenobiot. 2026, 16(2), 43; https://doi.org/10.3390/jox16020043 - 1 Mar 2026
Cited by 1 | Viewed by 952
Abstract
Atrial septal defect (ASD) affects 1:11.3 children in some US states; however, the antecedents of these trends are yet to be identified. A total of 1882 ASD rates (ASDRs) for 2003–2020 were sourced from the National Birth Defects Prevention Network reports. A total [...] Read more.
Atrial septal defect (ASD) affects 1:11.3 children in some US states; however, the antecedents of these trends are yet to be identified. A total of 1882 ASD rates (ASDRs) for 2003–2020 were sourced from the National Birth Defects Prevention Network reports. A total of 406,893 ASDs are reported. Substance (cigarettes, binge alcohol, cannabis, cannabinoids, analgesics, cocaine) exposure data were taken from the National Survey of Drug Use and Health. Income and ethnicity data were derived from the US Census. Adjustment was performed by mixed effects, survey and generalized additive regression. Causal analysis was by inverse probability weighting and E-values. Data were analyzed in RStudio. The highest ASDR of 884/10,000 live births was amongst Non-Hispanic Asians and Pacific Islanders in Nevada in 2016–2020. The 2005–2018 median ASDR rose >12-fold in Nevada and New Mexico, >6-fold in New York, and 4.2-fold nationally 1989–2020; it doubled in NY from 2012–2016 to 2016–2020. The average state ASDR rose supra-exponentially (p = 0.0075) and was associated with higher cannabis use states (p = Zero, Cohen’s D = 1.24), apparently driven by cannabis legalization (p = Zero). Estimated exposures to Δ9THC, cannabidiol and cannabigerol were implicated (from p = 2.67 × 10–68). Cannabis-legal states were compared with others (mean ASDR (C.I.) 178.15 (131.68, 224.62) vs. 74.28 (70.60, 77.96), p = Zero; O.R. 1.82 (1.81, 1.84), E-values 3.04 (lower C.I. 3.02), Cohen’s D 1.29 (0.96, 1.62)). Overall, 29/39 (74.4%) E-value estimates were >4; 39/39 (100%) were >1.25. Cannabis, cannabinoids and cannabis legalization are strong candidates for driving the US ASDR supra-exponentially. Estimates of many cannabinoids, including cannabidiol, Δ9THC, and cannabigerol, are implicated. The results are consistent with other large epidemiological studies. The importance of the results is magnified by the increasing legalization and penetration of cannabinoids into the US population. Since therapeutic abortion is not practiced for ASD, it may be used as a bellwether index of heritable transgenerational cannabinoid genotoxicity and epigenotoxicity associated with cannabinoid exposure. Full article
Show Figures

Figure 1

13 pages, 742 KB  
Article
Rapid and Efficient GC-MS Method for the Multiresidue Analysis of Contaminants from Recycled Polyethylene and Polypropylene
by Eleonora Conterosito, Mariachiara Lo Scalzo, Marysol Ferretti, Andrea Rosmino, Simona Stradella, Mauro Mottin, Erika Mottin and Valentina Gianotti
J. Xenobiot. 2026, 16(2), 42; https://doi.org/10.3390/jox16020042 - 25 Feb 2026
Viewed by 757
Abstract
In the context of plastic recycling, legislation is evolving and varies across regions, but it remains largely nonspecific. In the European context, producers of post-industrial and post-consumer recycled plastics must guarantee the same wholesomeness as virgin materials. However, they cannot maintain such strict [...] Read more.
In the context of plastic recycling, legislation is evolving and varies across regions, but it remains largely nonspecific. In the European context, producers of post-industrial and post-consumer recycled plastics must guarantee the same wholesomeness as virgin materials. However, they cannot maintain such strict control over incoming materials, because, since the secondary raw materials derived from separate waste collection, they are subjected to high variability in composition and heterogeneity over time. In this frame, a rapid, and easy-to-apply GC-MS method was developed. It employs a liquid–liquid extraction with acetone, followed by quantitative analysis with gas chromatography coupled to mass spectrometry (GC-MS). A combination of total ion chromatograms (TICs) and extracted ion chromatograms (EICs) was used. Adequate sensitivity was demonstrated in the selected concentration ranges for most of the analytes, with limits of quantification (LOQs) lower than the legislative limit, when existing. The results showed that the method is sufficiently accurate with recoveries ever higher than 68.3% and relative standard deviations (RSDr) smaller than 4.2%. This method allows, for the first time, the simultaneous quantification of 40 molecules at levels of a few ng/g. It ensures the possibility of obtaining real-time data for the production control system about the safety of the input materials, allowing immediate corrective action in the event of anomalies. This method is focused on PE and PP recycled plastics and is to be considered a screening method that allows for highlighting batches of incoming materials that are too contaminated to control the output material. This method was successfully tested analyzing some batches of plastics both in input and post-recycling. Full article
(This article belongs to the Section Emerging Chemicals)
Show Figures

Graphical abstract

24 pages, 887 KB  
Systematic Review
Impact of Pesticide Use on Gut Microbiota and Health: A Systematic Review of Findings in Both Humans and Animal Models
by Iria Osa-Subtil, Teolincacihuatl Romero-Rosales and María José Dios-Duarte
J. Xenobiot. 2026, 16(2), 41; https://doi.org/10.3390/jox16020041 - 25 Feb 2026
Viewed by 1770
Abstract
Background/objective: The widespread use of pesticides in modern agriculture has raised increasing concern about their potential adverse effects on human health. Exposure to these compounds has been linked to multiple negative health outcomes. This systematic review aims to evaluate and synthesise the available [...] Read more.
Background/objective: The widespread use of pesticides in modern agriculture has raised increasing concern about their potential adverse effects on human health. Exposure to these compounds has been linked to multiple negative health outcomes. This systematic review aims to evaluate and synthesise the available scientific evidence on the effects of pesticide exposure on human health during agricultural production—with particular emphasis on alterations in gut microbiota and intestinal membrane permeability—by integrating results from experimental and observational studies conducted on animals and humans. Methods: This systematic review was conducted in accordance with PRISMA guidelines. A systematic literature search was carried out using the main databases Medline/PubMed, Embase and Web of Science, introducing the search algorithm “pesticides” AND “gut microbiota”, from which a total of seven systematic reviews that met our inclusion criteria were found and subsequently analysed. The quality assessment was based on the principles of evidence-based medicine. This systematic review was registered in the OSF. Results: The findings indicate that prenatal exposure to pesticides is linked to adverse outcomes in foetal development. Additionally, pesticide exposure affects metabolic, immune, and nervous system function due to alterations in gut microbiota composition and membrane permeability. Evidence from animal model studies complements human data by providing insight into the underlying biological mechanisms, such as oxidative stress, liver dysfunction, alterations in hormonal signalling and activation of the inflammatory response. Conclusions: Public health strategies should prioritise reducing pesticide exposure, strengthening environmental protection and supporting further research on gut microbiota modulation and intestinal membrane permeability. Such measures may contribute to the prevention and mitigation of pesticide-related health disorders. Limitations: Human data are insufficient to establish clear causal relationships. Moreover, substantial variability among pesticide types and the difficulty of distinguishing the effects of complex mixtures from those of individual compounds complicate interpretation of the findings. Full article
(This article belongs to the Special Issue Impact of Nutrition and the Environment on Human Metabolism)
Show Figures

Graphical abstract

Previous Issue
Next Issue
Back to TopTop