Benchmark Approach to Unravel Fluoride Toxicity: Liver and Kidney Disruptions in Subacutely Exposed Rats
Abstract
1. Introduction
2. Materials and Methods
2.1. Chemicals
2.2. Animals and Experimental Procedure
2.3. Tissue Preparation
2.4. Histology and Histomorphometry
2.5. Assessment of Internal Fluoride Doses
2.6. Assessment of Redox Status Parameters
2.7. Assessment of Essential Element Concentrations
2.8. Benchmark Dose Modeling
2.9. Statistical Analysis
3. Results
3.1. Water Consumption and Body Weight Gain (BWG)
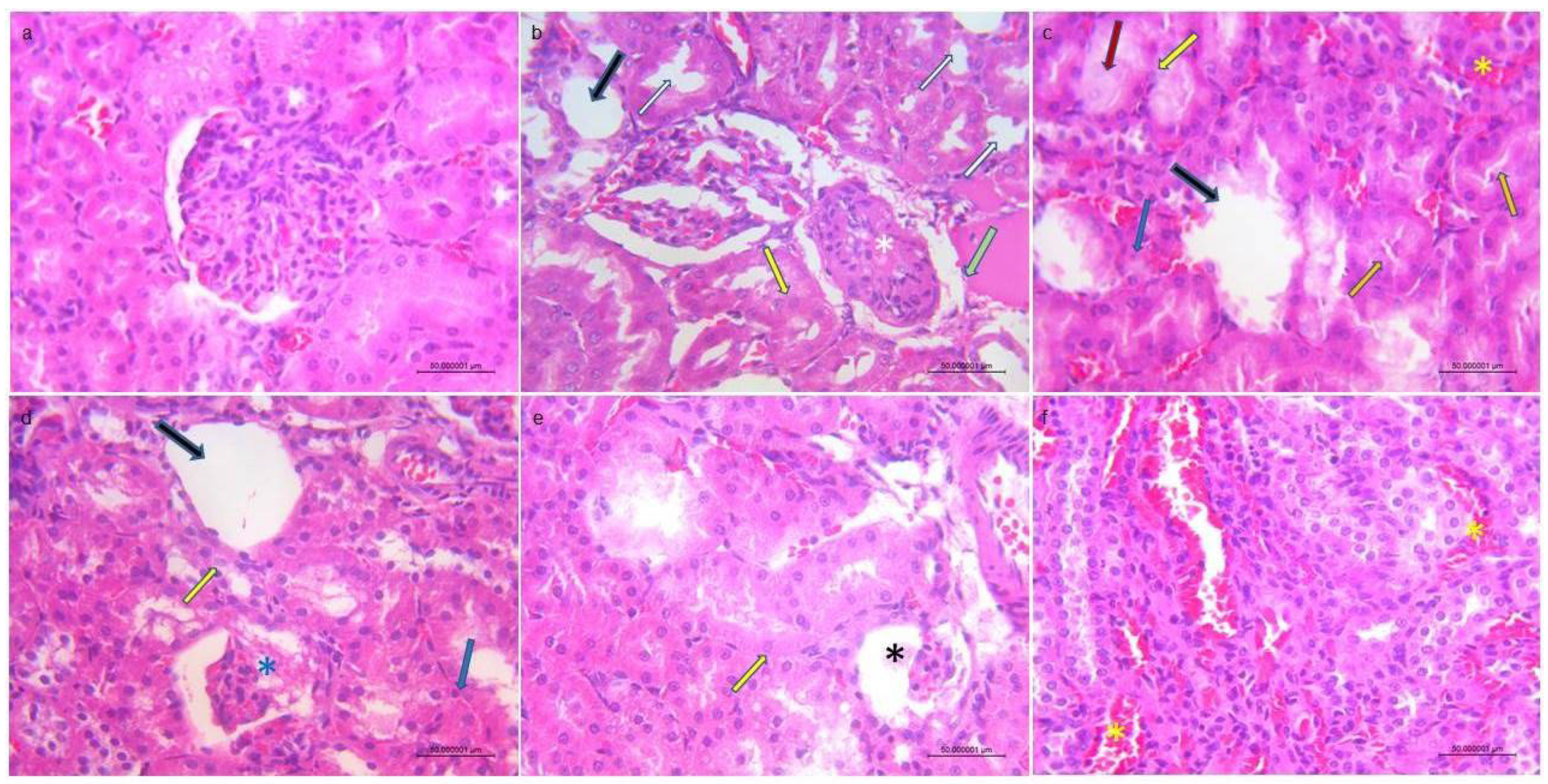
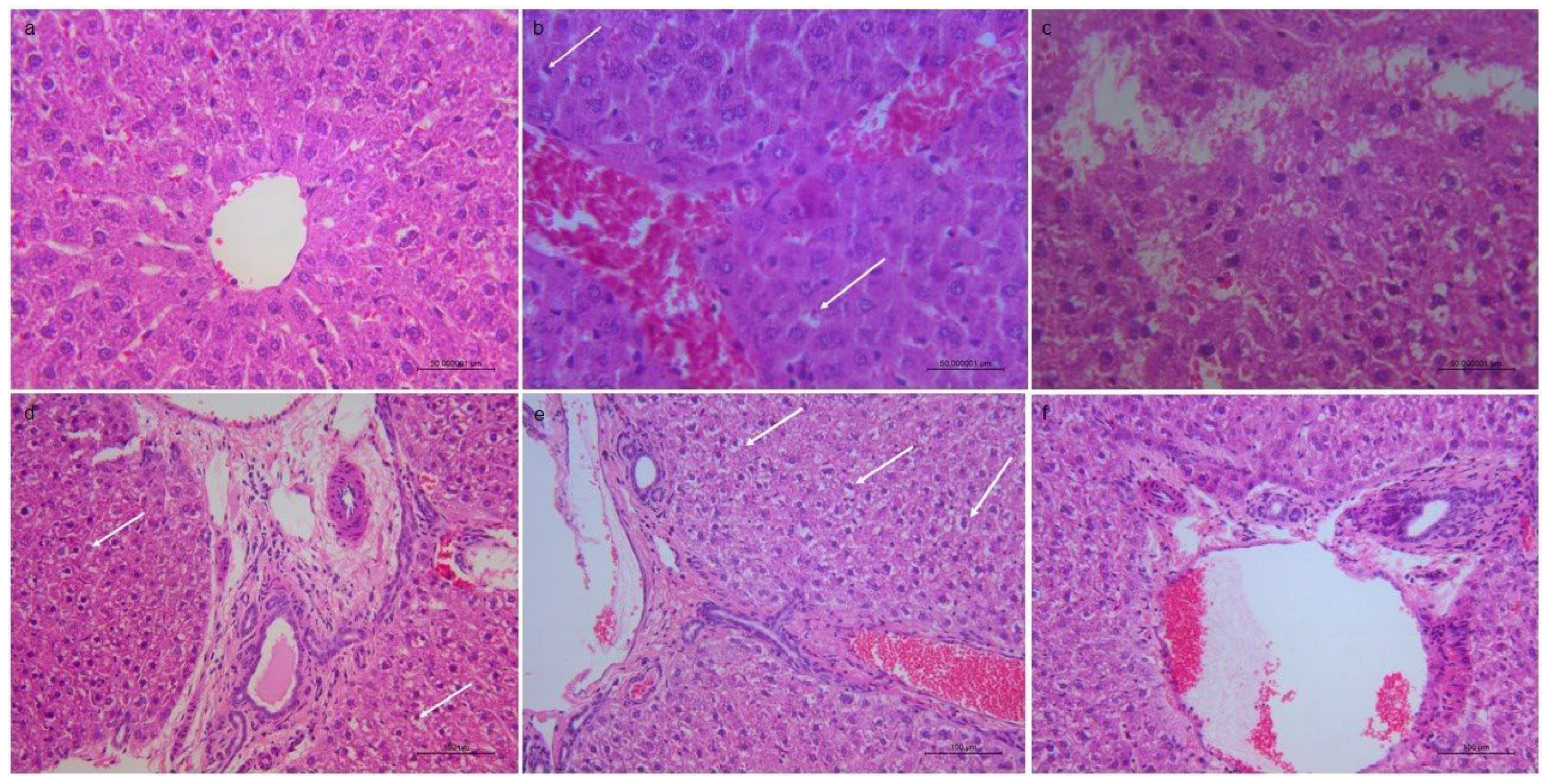
3.2. Histologic and Histomorphometric Analysis
3.3. Fluoride Internal Doses
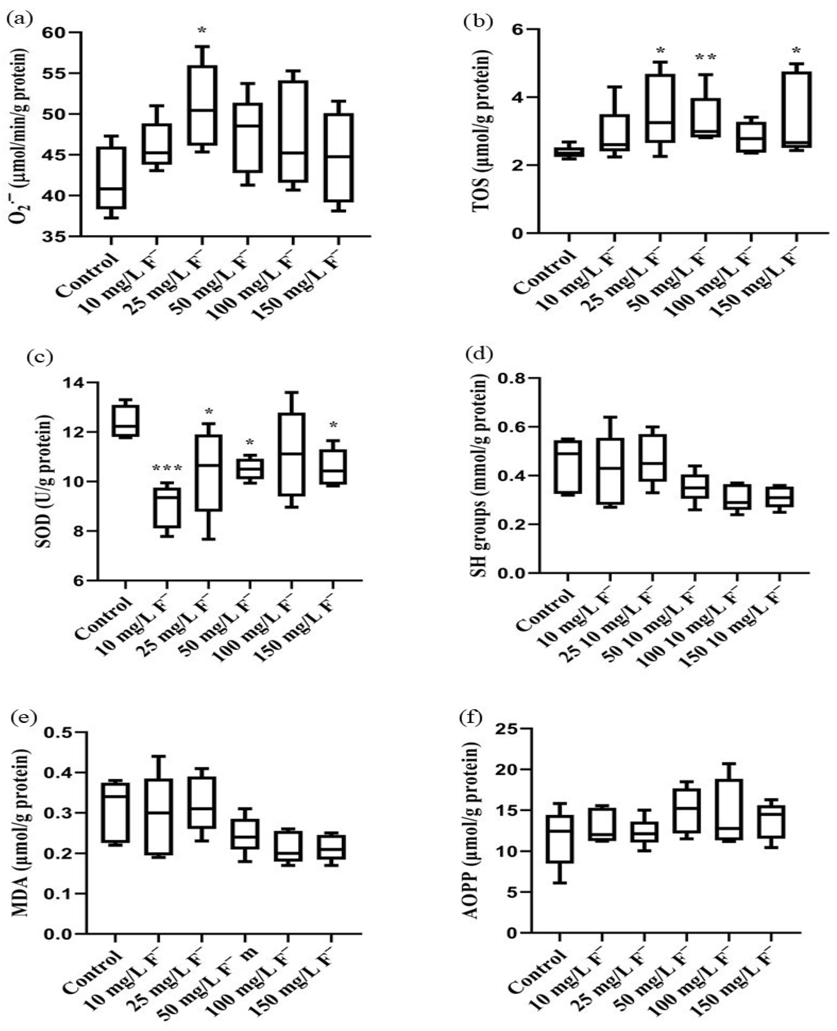
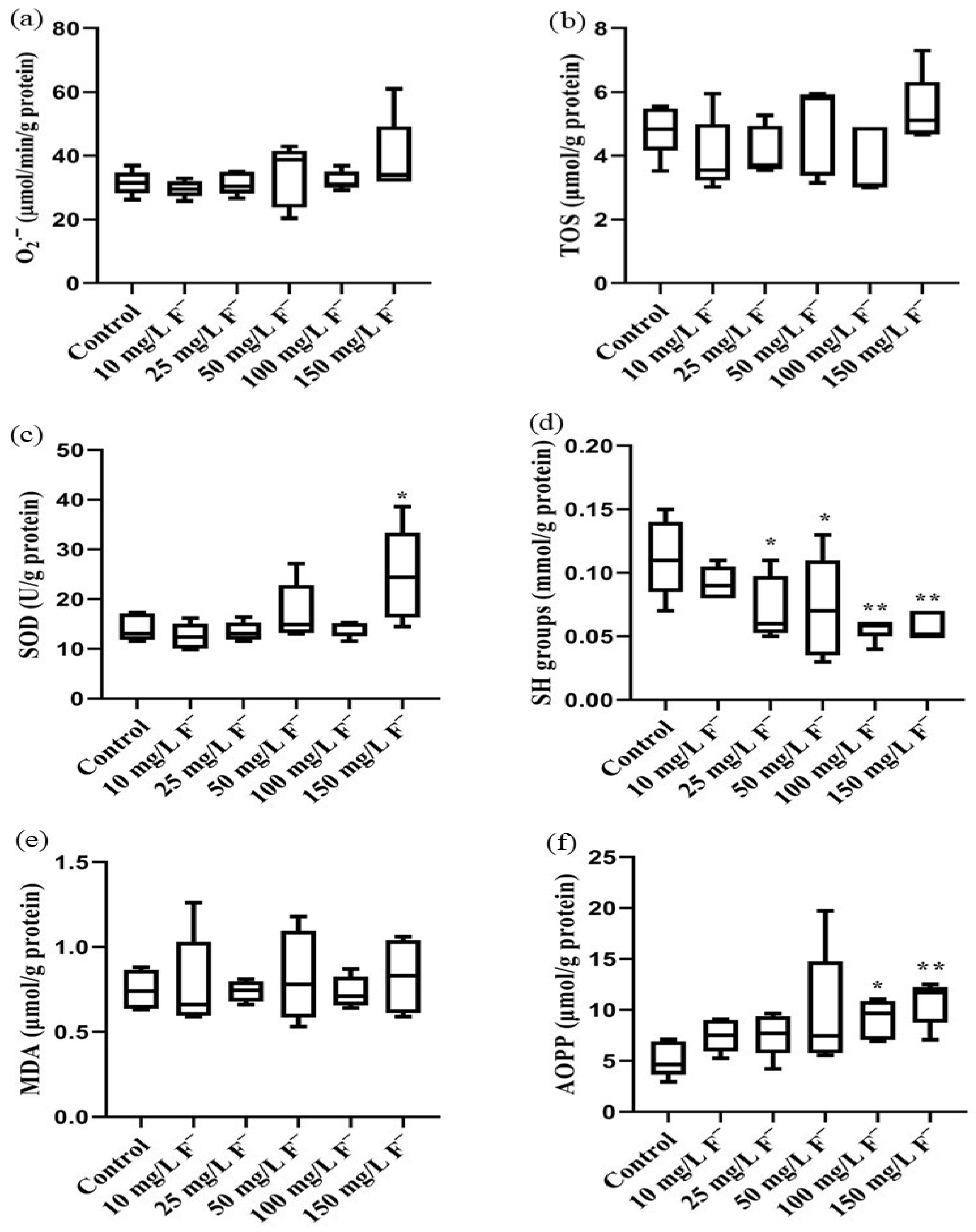
3.4. Oxidative Stress Analysis
3.5. Essential Metal Analyses
3.6. Benchmark Dose–Response Modelling
4. Discussion
5. Conclusions
Supplementary Materials
Author Contributions
Funding
Institutional Review Board Statement
Informed Consent Statement
Data Availability Statement
Conflicts of Interest
Abbreviations
| AOPP | Advanced oxidation protein product level |
| BMD | Benchmark dose |
| BMDL5 | BMD lower interval |
| BMDU5 | BMD upper interval |
| BMR | Benchmark response |
| BWG | Bodyweight gain |
| EFSA | European Food Safety Authority European Food Safety Authority |
| F | Fluoride |
| FDR | False discovery rate |
| HAI | Histological activity index |
| HCIO4 | Perchloric acid |
| HNO3 | Nitric acid |
| LMM | Linear mixed model |
| MDA | Malondialdehyde |
| NaF | Sodium fluoride |
| NOAEL | No-observed-adverse-effect level |
| O2·− | Superoxide anion |
| OS | Oxidative stress |
| ROS | Reactive oxidative species |
| SH | Total thiol groups |
| SOD1 | Superoxide dismutase activity |
| TOS | Total oxidative status |
References
- Marthaler, T.M. Salt fluoridation and oral health. Acta Med. Acad. 2013, 42, 140–155. [Google Scholar] [CrossRef]
- Gillis, E.; Eastman, K.; Hill, M.; Donnelly, D. Applications of Fluorine in Medicinal Chemistry. J. Med. Chem. 2015, 58, 8315–8359. [Google Scholar] [CrossRef]
- EFSA Panel on Dietetic Products, Nutrition and Allergies. Scientific Opinion on Dietary Reference Values for fluoride. EFSA J. 2013, 11, 3332. [CrossRef]
- Toumba, K.J.; Twetman, S.; Splieth, C.; Parnell, C.; van Loveren, C.; Lygidakis, N. Guidelines on the use of fluoride for caries prevention in children: An updated EAPD policy document. Eur. Arch. Paediatr. Dent. 2019, 20, 507–516. [Google Scholar] [CrossRef]
- EFSA. SCIENTIFIC COMMITTEE 115th Plenary Meeting. Available online: https://www.efsa.europa.eu/sites/default/files/2023-10/115th%20SC%20Plenary%2020-21%20Sept.%2023.pdf (accessed on 15 January 2026).
- O’Mullane, D.M.; Baez, R.J.; Jones, S.; Lennon, M.A.; Petersen, P.E.; Rugg-Gunn, A.J.; Whelton, H.; Whitford, G.M. Fluoride and Oral Health. Community Dent. Health 2016, 33, 69–99. [Google Scholar] [PubMed]
- Alexandrino, D.A.M.; Almeida, C.M.R.; Mucha, A.P.; Carvalho, M.F. Revisiting pesticide pollution: The case of fluorinated pesticides. Environ. Pollut. 2022, 292, 118315. [Google Scholar] [CrossRef]
- Han, J.; Kiss, L.; Mei, H.; Remete, A.M.; Ponikvar-Svet, M.; Sedgwick, D.M.; Roman, R.; Fustero, S.; Moriwaki, H.; Soloshonok, V.A. Chemical Aspects of Human and Environmental Overload with Fluorine. Chem. Rev. 2021, 121, 4678–4742. [Google Scholar] [CrossRef] [PubMed]
- Vieira, A.R. Fluoride Toxicity. Monogr. Oral Sci. 2021, 30, 140–148. [Google Scholar] [CrossRef]
- Jáudenes-Marrero, J.R.; Paz-Montelongo, S.; Hardisson, A.; Rubio, C.; Cerdán-Pérez, S.; Gutiérrez-Fernández, A.J. Fluoride exposure from consumption of some animal-based foods in an outermost region of Europe. Food Compos. Anal. 2024, 133, 106395. [Google Scholar] [CrossRef]
- Jaudenes, J.R.; Gutiérrez, Á.J.; Paz, S.; Rubio, C.; Hardisson, A. Fluoride Risk Assessment from Consumption of Different Foods Commercialized in a European Region. Appl. Sci. 2020, 10, 6582. [Google Scholar] [CrossRef]
- Badrov, M.; Gavic, L.; Seselja Perisin, A.; Zeljezic, D.; Vladislavic, J.; Puizina Mladinic, E.; Tadin, A. Comparative Perceptions of Fluoride Toxicity in Oral Hygiene Products: Insights from the General Population and Healthcare Professionals. Clin. Pract. 2024, 14, 1827–1841. [Google Scholar] [CrossRef]
- Zohoori, F.V.; Innerd, A.; Azevedo, L.B.; Whitford, G.M.; Maguire, A. Effect of exercise on fluoride metabolism in adult humans: A pilot study. Sci. Rep. 2015, 5, 16905. [Google Scholar] [CrossRef][Green Version]
- Kishor, K.; Singsit, J.S.; Pittman, C.U.; Mohan, D. Demographic study of fluoride excretion vs intake: Influence of variables. J. Hazard. Mater. Adv. 2023, 10, 100312. [Google Scholar] [CrossRef]
- Lavanya, S.; Hema Shree, K.; Ramani, P. Fluoride effect on renal and hepatic functions: A comprehensive decade review of In vitro and In vivo studies. J. Oral Biol. Craniofacial Res. 2024, 14, 735–745. [Google Scholar] [CrossRef]
- Liang, C.; Zhuang, C.; Cheng, C.; Bai, J.; Wu, Y.; Li, X.; Yang, J.; Li, B.; Fu, W.; Zhu, Q.; et al. Fluoride induces hepatointestinal damage and vitamin B(2) mitigation by regulating IL-17A and Bifidobacterium in ileum. J. Adv. Res. 2024, 72, 671–684. [Google Scholar] [CrossRef] [PubMed]
- Żwierełło, W.; Maruszewska, A. Is Fluoride Blameless?—The Influence of Fluorine Compounds on the Invasiveness of the Human Glioma-like Cell Line U-87. Int. J. Mol. Sci. 2024, 25, 12773. [Google Scholar] [CrossRef] [PubMed]
- Xu, J.; Zhang, B.; Liu, X.; Du, P.; Wang, W.; Zhang, C. Curcumin mitigates sodium fluoride toxicity in Caenorhabditis elegans. Ecotoxicol. Environ. Saf. 2024, 288, 117372. [Google Scholar] [CrossRef]
- Zheng, J.; Wang, Q.; Xu, K.; Ma, M.; Wang, Z.; Sun, Z.; Yang, S.; Wang, X.; Yan, N.; Duan, X. Fluoride induces immune-inflammatory disorder in the kidneys via histone lysine crotonylation in vivo. Ecotoxicol. Environ. Saf. 2024, 288, 117385. [Google Scholar] [CrossRef]
- EFSA Scientific Committee; More, S.J.; Bampidis, V.; Benford, D.; Bragard, C.; Halldorsson, T.I.; Hernández-Jerez, A.F.; Bennekou, S.H.; Koutsoumanis, K.; Lambré, C.; et al. Guidance on the use of the benchmark dose approach in risk assessment. EFSA J. 2022, 20, e07584. [Google Scholar] [CrossRef]
- EFSA Scientific Committee; Hardy, A.; Benford, D.; Halldorsson, T.; Jeger, M.J.; Knutsen, K.H.; More, S.; Mortensen, A.; Naegeli, H.; Noteborn, H.; et al. Update: Use of the benchmark dose approach in risk assessment. EFSA J. 2017, 15, e04658. [Google Scholar] [CrossRef] [PubMed]
- Pink, M.; Verma, N.; Schmitz-Spanke, S. Benchmark dose analyses of toxic endpoints in lung cells provide sensitivity and toxicity ranking across metal oxide nanoparticles and give insights into the mode of action. Toxicol. Lett. 2020, 331, 218–226. [Google Scholar] [CrossRef]
- OECD. Test No. 407: Repeated Dose 28-day Oral Toxicity Study in Rodents. In OECD Guidelines for the Testing of Chemicals; Section 4; OECD: Paris, France, 2008. [Google Scholar] [CrossRef]
- Đukić-Ćosić, D.; Antonijevic, E.; Mandinic, Z.; Curcic, M.; Dejana, C.M.; Antonijevic, B.; Matovic, V. Assessment of fluoride intake from drinking water and toothpaste in 3-year-olds: Preliminary results in Belgrade, Republic of Serbia. Vojnosanit. Pregl. 2017, 76, 136. [Google Scholar] [CrossRef]
- Owumi, S.E.; Oluwawibe, B.J.; Chimezie, J.; Babalola, J.J.; Ogunyemi, O.M.; Gyebi, G.A.; Otunla, M.T.; Altayyar, A.; Arunsi, U.O.; Irozuru, C.E.; et al. An in vivo and in silico probing of the protective potential of betaine against sodium fluoride-induced neurotoxicity. BMC Pharmacol. Toxicol. 2024, 25, 87. [Google Scholar] [CrossRef]
- Perera, T.; Ranasinghe, S.; Alles, N.; Waduge, R. Effect of fluoride on major organs with the different time of exposure in rats. Environ. Health Prev. Med. 2018, 23, 17. [Google Scholar] [CrossRef]
- Zhang, S.; Niu, Q.; Gao, H.; Ma, R.; Lei, R.; Zhang, C.; Xia, T.; Li, P.; Xu, C.; Wang, C.; et al. Excessive apoptosis and defective autophagy contribute to developmental testicular toxicity induced by fluoride. Environ. Pollut. 2016, 212, 97–104. [Google Scholar] [CrossRef]
- Radovanović, J.; Antonijević, B.; Ćurčić, M.; Baralić, K.; Kolarević, S.; Bulat, Z.; Đukić-Ćosić, D.; Buha Djordjević, A.; Vuković-Gačić, B.; Javorac, D.; et al. Fluoride subacute testicular toxicity in Wistar rats: Benchmark dose analysis for the redox parameters, essential elements and DNA damage. Environ. Pollut. 2022, 314, 120321. [Google Scholar] [CrossRef]
- Radovanović, J.; Antonijević, B.; Kolarević, S.; Milutinović-Smiljanić, S.; Mandić, J.; Vuković-Gačić, B.; Bulat, Z.; Ćurčić, M.; Kračun-Kolarević, M.; Sunjog, K.; et al. Genotoxicity of fluoride subacute exposure in rats and selenium intervention. Chemosphere 2021, 266, 128978. [Google Scholar] [CrossRef]
- Enríquez-Sánchez, F.M.; López-Vázquez, M.Á.; Olvera-Cortés, M.E.; Valdez-Jiménez, L.; Villalobos-Gutiérrez, P.T.; Pérez-Vega, M.I. Effect of Chronic Consumption of Fluoridated Water on Sciatic Nerve Conduction Velocity in Male Wistar Rats. Int. J. Toxicol. 2025, 44, 39–45. [Google Scholar] [CrossRef] [PubMed]
- Guth, S.; Hüser, S.; Roth, A.; Degen, G.; Diel, P.; Edlund, K.; Eisenbrand, G.; Engel, K.H.; Epe, B.; Grune, T.; et al. Toxicity of fluoride: Critical evaluation of evidence for human developmental neurotoxicity in epidemiological studies, animal experiments and in vitro analyses. Arch. Toxicol. 2020, 94, 1375–1415. [Google Scholar] [CrossRef] [PubMed]
- Knodell, R.G.; Ishak, K.G.; Black, W.C.; Chen, T.S.; Craig, R.; Kaplowitz, N.; Kiernan, T.W.; Wollman, J. Formulation and application of a numerical scoring system for assessing histological activity in asymptomatic chronic active hepatitis. Hepatology 1981, 1, 431–435. [Google Scholar] [CrossRef] [PubMed]
- Toprak, T.; Sekerci, C.A.; Aydın, H.R.; Ramazanoglu, M.A.; Arslan, F.D.; Basok, B.I.; Kucuk, H.; Kocakgol, H.; Aksoy, H.Z.; Asci, S.S.; et al. Protective effect of chlorogenic acid on renal ischemia/reperfusion injury in rats. Arch. Ital. Urol. Androl. 2020, 92. [Google Scholar] [CrossRef] [PubMed]
- Poovorawan, K.; Tangkijvanich, P.; Chirathaworn, C.; Wisedopas, N.; Treeprasertsuk, S.; Komolmit, P.; Poovorawan, Y. Circulating cytokines and histological liver damage in chronic hepatitis B infection. Hepat. Res. Treat. 2013, 2013, 757246. [Google Scholar] [CrossRef]
- Ala, M.; Khoshdel, M.R.F.; Dehpour, A.R. Empagliflozin Enhances Autophagy, Mitochondrial Biogenesis, and Antioxidant Defense and Ameliorates Renal Ischemia/Reperfusion in Nondiabetic Rats. Oxidative Med. Cell. Longev. 2022, 2022, 1197061. [Google Scholar] [CrossRef]
- Nedeljković, M.; Antonijević, B.; Matović, V. Simplified sample preparation for fluoride determination in biological material. Analyst 1991, 116, 477–478. [Google Scholar] [CrossRef]
- Slob, W. Benchmark dose and the three Rs. Part II. Consequences for study design and animal use. Crit. Rev. Toxicol. 2014, 44, 568–580. [Google Scholar] [CrossRef]
- Muthu Prabhu, S.; Yusuf, M.; Ahn, Y.; Park, H.B.; Choi, J.; Amin, M.A.; Yadav, K.K.; Jeon, B.-H. Fluoride occurrence in environment, regulations, and remediation methods for soil: A comprehensive review. Chemosphere 2023, 324, 138334. [Google Scholar] [CrossRef]
- Ullah, R.; Zafar, M.S.; Shahani, N. Potential fluoride toxicity from oral medicaments: A review. Iran. J. Basic Med. Sci. 2017, 20, 841–848. [Google Scholar] [CrossRef]
- Barbier, O.; Arreola-Mendoza, L.; Del Razo, L.M. Molecular mechanisms of fluoride toxicity. Chem.-Biol. Interact. 2010, 188, 319–333. [Google Scholar] [CrossRef]
- Ommati, M.M.; Jin, Y.; Zamiri, M.J.; Retana-Marquez, S.; Nategh Ahmadi, H.; Sabouri, S.; Song, S.Z.; Heidari, R.; Wang, H.W. Sex-Specific Mechanisms of Fluoride-Induced Gonadal Injury: A Multi-Omics Investigation into Reproductive Toxicity and Gut Microbiota Disruption. J. Agric. Food Chem. 2025, 73, 2527–2550. [Google Scholar] [CrossRef] [PubMed]
- Jin, T.; Huang, T.; Zhang, T.; Li, Q.; Yan, C.; Wang, Q.; Chen, X.; Zhou, J.; Sun, Y.; Bo, W.; et al. A Bayesian benchmark concentration analysis for urinary fluoride and intelligence in adults in Guizhou, China. Sci. Total Environ. 2024, 925, 171326. [Google Scholar] [CrossRef] [PubMed]
- Grandjean, P.; Meddis, A. Dose dependence of prenatal fluoride exposure associations with cognitive performance at school age in three prospective studies. Eur. J. Public Health 2024, 34, 143–149. [Google Scholar] [CrossRef]
- Talebi, S.F.; Seify, M.; Bhandari, R.K.; Shoorei, H.; Oskuei, S.D. Fluoride-induced testicular and ovarian toxicity: Evidence from animal studies. Biol. Res. 2025, 58, 6. [Google Scholar] [CrossRef]
- Patial, B.; Khan, I.; Thakur, R.; Fishta, A. Effects of fluoride toxicity on the male reproductive system: A review. J. Trace Elem. Med. Biol. 2024, 86, 127522. [Google Scholar] [CrossRef]
- Fishta, A.; Thakur, R.; Sharma, K.C.; Thakur, N.; Patial, B. Effects of Fluoride Toxicity on Female Reproductive System of Mammals: A Meta-Analysis. Biol. Trace Elem. Res. 2025, 203, 646–669. [Google Scholar] [CrossRef] [PubMed]
- Dong, S.; Yang, Y.; He, B.; Xu, Z.; Zhou, Z.; Wang, J.; Chen, C.; Chen, Q. Effect of Sodium Fluoride on Reproductive Function Through Regulating Reproductive Hormone Level and Circulating SIRT1 in Female Rats. Biol. Trace Elem. Res. 2023, 201, 1825–1836. [Google Scholar] [CrossRef] [PubMed]
- Mathur, P.; Choudhary, S.; Bhatnagar, P. Aloe vera protects against fluoride-induced teratogenic effects during pre- and postnatal development in mice. Environ. Sci. Pollut. Res. Int. 2022, 29, 63577–63587. [Google Scholar] [CrossRef]
- Tan, Y.-M.; Barton, H.A.; Boobis, A.; Brunner, R.; Clewell, H.; Cope, R.; Dawson, J.; Domoradzki, J.; Egeghy, P.; Gulati, P.; et al. Opportunities and challenges related to saturation of toxicokinetic processes: Implications for risk assessment. Regul. Toxicol. Pharmacol. 2021, 127, 105070. [Google Scholar] [CrossRef]
- Sharma, P.; Verma, P.K.; Sood, S.; Singh, M.; Verma, D. Impact of Chronic Sodium Fluoride Toxicity on Antioxidant Capacity, Biochemical Parameters, and Histomorphology in Cardiac, Hepatic, and Renal Tissues of Wistar Rats. Biol. Trace Elem. Res. 2023, 201, 229–241. [Google Scholar] [CrossRef]
- Muderrisoglu, S.; Cenesiz, S.; Yarim, M. Determination of the effect of Quercetinon oxidant- antioxidant parameters in the blood and liver tissues of rats given sodium fluoride experimentally. J. Indian Chem. Soc. 2022, 99, 100486. [Google Scholar] [CrossRef]
- Ranjan, R.; Ranjan, A. Fluoride Toxicity in Animals. 2015. Available online: https://link.springer.com/book/10.1007/978-3-319-17512-6 (accessed on 1 January 2026).
- Perera, T.; Ranasinghe, S.; Alles, N.; Waduge, R. Experimental rat model for acute tubular injury induced by high water hardness and high water fluoride: Efficacy of primary preventive intervention by distilled water administration. BMC Nephrol. 2020, 21, 103. [Google Scholar] [CrossRef]
- Li, Y.; Ma, T.; Lv, X.; Qiu, Z.; Li, S.; Qi, J.; Wei, C. Fluoride stimulates the MAPK pathway to regulate endoplasmic reticulum stress and heat shock proteins to induce duodenal toxicity in chickens. Poult. Sci. 2024, 103, 104408. [Google Scholar] [CrossRef]
- Yang, B.; Wang, F.; Yang, X.; Yuan, X.; Yang, Y.; Chen, X.; Tian, T.; Chen, F.; Tang, D.; He, Z.; et al. The Role of SIRT1-BDNF Signaling Pathway in Fluoride-Induced Toxicity for Glial BV-2 Cells. Biol. Trace Elem. Res. 2025, 203, 4789–4806. [Google Scholar] [CrossRef]
- Abbasnezhad, A.; Salami, F.; Mohebbati, R. A review: Systematic research approach on toxicity model of liver and kidney in laboratory animals. Anim. Models Exp. Med. 2022, 5, 436–444. [Google Scholar] [CrossRef]
- Oka, S.; Li, X.; Zhang, F.; Taguchi, C.; Tewari, N.; Kim, I.S.; Zhong, L.; Arikawa, K.; Liu, Y.; Bhawal, U.K. Oral toxicity to high level sodium fluoride causes impairment of autophagy. J. Physiol. Pharmacol. 2020, 71, 749–760. [Google Scholar] [CrossRef]
- Wei, M.; Ye, Y.; Ali, M.M.; Chamba, Y.; Tang, J.; Shang, P. Effect of Fluoride on Cytotoxicity Involved in Mitochondrial Dysfunction: A Review of Mechanism. Front. Vet. Sci. 2022, 9, 850771. [Google Scholar] [CrossRef]
- Birnboim, H.C. A superoxide anion induced DNA strand-break metabolic pathway in human leukocytes: Effects of vanadate. Biochem. Cell Biol. 1988, 66, 374–381. [Google Scholar] [CrossRef]
- Forman, H.J.; Zhang, H. Targeting oxidative stress in disease: Promise and limitations of antioxidant therapy. Nat. Rev. Drug Discov. 2021, 20, 689–709. [Google Scholar] [CrossRef]
- Sharma, P.; Verma, P.K.; Sood, S.; Singh, R.; Gupta, A.; Rastogi, A. Distribution of Fluoride in Plasma, Brain, and Bones and Associated Oxidative Damage After Induced Chronic Fluorosis in Wistar Rats. Biol. Trace Elem. Res. 2022, 200, 1710–1721. [Google Scholar] [CrossRef] [PubMed]
- Li, H.; Hao, Z.; Wang, L.; Yang, J.; Zhao, Y.; Cheng, X.; Yuan, H.; Wang, J. Dietary Calcium Alleviates Fluorine-Induced Liver Injury in Rats by Mitochondrial Apoptosis Pathway. Biol. Trace Elem. Res. 2022, 200, 271–280. [Google Scholar] [CrossRef] [PubMed]
- Mahajan, L.; Verma, P.K.; Raina, R.; Pankaj, N.K.; Sood, S.; Singh, M. Alteration in thiols homeostasis, protein and lipid peroxidation in renal tissue following subacute oral exposure of imidacloprid and arsenic in Wistar rats. Toxicol. Rep. 2018, 5, 1114–1119. [Google Scholar] [CrossRef] [PubMed]
- Guerrero-Arroyo, J.; Jiménez-Córdova, M.I.; Aztatzi-Aguilar, O.G.; Del Razo, L.M. Impact of Fluoride Exposure on Rat Placenta: Foetal/Placental Morphometric Alterations and Decreased Placental Vascular Density. Biol. Trace Elem. Res. 2024, 202, 3237–3247. [Google Scholar] [CrossRef]
- Witko-Sarsat, V.; Friedlander, M.; Capeillère-Blandin, C.; Nguyen-Khoa, T.; Nguyen, A.T.; Zingraff, J.; Jungers, P.; Descamps-Latscha, B. Advanced oxidation protein products as a novel marker of oxidative stress in uremia. Kidney Intern. 1996, 49, 1304–1313. [Google Scholar] [CrossRef]
- Zhao, Y.; Zhang, L.; Ouyang, X.; Jiang, Z.; Xie, Z.; Fan, L.; Zhu, D.; Li, L. Advanced oxidation protein products play critical roles in liver diseases. Eur. J. Clin. Investig. 2019, 49, e13098. [Google Scholar] [CrossRef] [PubMed]
- Kato, H.; Watanabe, H.; Imafuku, T.; Arimura, N.; Fujita, I.; Noguchi, I.; Tanaka, S.; Nakano, T.; Tokumaru, K.; Enoki, Y.; et al. Advanced oxidation protein products contribute to chronic kidney disease-induced muscle atrophy by inducing oxidative stress via CD36/NADPH oxidase pathway. J. Cachexia Sarcopenia Muscle 2021, 12, 1832–1847. [Google Scholar] [CrossRef] [PubMed]
- Oyagbemi, A.A.; Omobowale, T.O.; Ola-Davies, O.E.; Asenuga, E.R.; Ajibade, T.O.; Adejumobi, O.A.; Arojojoye, O.A.; Afolabi, J.M.; Ogunpolu, B.S.; Falayi, O.O.; et al. Quercetin attenuates hypertension induced by sodium fluoride via reduction in oxidative stress and modulation of HSP 70/ERK/PPARγ signaling pathways. Biofactors 2018, 44, 465–479. [Google Scholar] [CrossRef] [PubMed]
- Zhong, N.; Yao, Y.; Ma, Y.; Meng, X.; Sowanou, A.; Pei, J. Effects of Fluoride on Oxidative Stress Markers of Lipid, Gene, and Protein in Rats. Biol. Trace Elem. Res. 2021, 199, 2238–2246. [Google Scholar] [CrossRef]
- Kumar, S.; Shenoy, S.; Swamy, R.S.; Ravichandiran, V.; Kumar, N. Fluoride-Induced Mitochondrial Dysfunction and Approaches for Its Intervention. Biol. Trace Elem. Res. 2024, 202, 835–849. [Google Scholar] [CrossRef]
- Shen, Q.-F.; Xia, Y.-P.; Xu, T.-T. Matrix metalloproteinase-9 and p53 involved in chronic fluorosis induced blood-brain barrier damage and neurocyte changes. Arch. Med. Sci. 2019, 15, 457–466. [Google Scholar] [CrossRef]
- Akimov, O.Y.; Kostenko, V.O. Role of NF-κB transcriptional factor activation during chronic fluoride intoxication in development of oxidative-nitrosative stress in rat’s gastric mucosa. J. Trace Elem. Med. Biol. 2020, 61, 126535. [Google Scholar] [CrossRef]
- Nagendra, A.H.; Bose, B.; Shenoy, P.S. Recent advances in cellular effects of fluoride: An update on its signalling pathway and targeted therapeutic approaches. Mol. Biol. Rep. 2021, 48, 5661–5673. [Google Scholar] [CrossRef] [PubMed]
- Pal, P.; Jha, N.K.; Pal, D.; Jha, S.K.; Anand, U.; Gopalakrishnan, A.V.; Dey, A.; Mukhopadhyay, P.K. Molecular basis of fluoride toxicities: Beyond benefits and implications in human disorders. Genes Dis. 2023, 10, 1470–1493. [Google Scholar] [CrossRef]
- Sharma, R.; Tsuchiya, M.; Skobe, Z.; Tannous, B.A.; Bartlett, J.D. The acid test of fluoride: How pH modulates toxicity. PLoS ONE 2010, 5, e10895. [Google Scholar] [CrossRef] [PubMed]
- Martínez-Mier, A. Fluoride: Its Metabolism, Toxicity, and Role in Dental Health. J. Evid.-Based Complement. Altern. Med. 2012, 17, 28–32. [Google Scholar] [CrossRef]
- Johnston, N.R.; Strobel, S.A. Principles of fluoride toxicity and the cellular response: A review. Arch. Toxicol. 2020, 94, 1051–1069. [Google Scholar] [CrossRef] [PubMed]
- Żwierełło, W.; Styburski, D.; Maruszewska, A.; Piorun, K.; Skórka-Majewicz, M.; Czerwińska, M.; Maciejewska, D.; Baranowska-Bosiacka, I.; Krajewski, A.; Gutowska, I. Bioelements in the treatment of burn injuries—The complex review of metabolism and supplementation (copper, selenium, zinc, iron, manganese, chromium and magnesium). J. Trace Elem. Med. Biol. (GMS) 2020, 62, 126616. [Google Scholar] [CrossRef]
- Yang, W.M.; Lv, J.F.; Wang, Y.Y.; Xu, Y.M.; Lin, J.; Liu, J.; Chen, J.J.; Wang, X.Z. The Daily Intake Levels of Copper, Selenium, and Zinc Are Associated with Osteoarthritis but Not with Rheumatoid Arthritis in a Cross-sectional Study. Biol. Trace Elem. Res. 2023, 201, 5662–5670. [Google Scholar] [CrossRef] [PubMed]
- Vogel-González, M.; Musa-Afaneh, D. Zinc Favors Triple-Negative Breast Cancer’s Microenvironment Modulation and Cell Plasticity. Int. J. Mol. Sci. 2021, 22, 9188. [Google Scholar] [CrossRef]
- Zelko, I.N.; Mariani, T.J.; Folz, R.J. Superoxide dismutase multigene family: A comparison of the CuZn-SOD (SOD1), Mn-SOD (SOD2), and EC-SOD (SOD3) gene structures, evolution, and expression. Free Radic. Biol. Med. 2002, 33, 337–349. [Google Scholar] [CrossRef]
- Mezzaroba, L.; Alfieri, D.F.; Colado Simão, A.N.; Vissoci Reiche, E.M. The role of zinc, copper, manganese and iron in neurodegenerative diseases. NeuroToxicology 2019, 74, 230–241. [Google Scholar] [CrossRef]
- Niu, Z.; Duan, L.; Du, Y.; Yu, F.; Chen, R.; Li, Z.; Ba, Y.; Zhou, G. Effect of zinc intake on association between fluoride exposure and abnormal sex steroid hormones among US pubertal males: NHANES, 2013–2016. Environ. Sci. Pollut. Res. 2024, 31, 2759–2772. [Google Scholar] [CrossRef]
- Khandare, A.L.; Suresh, P.; Kumar, P.U.; Lakshmaiah, N.; Manjula, N.; Rao, G.S. Beneficial effect of copper supplementation on deposition of fluoride in bone in fluoride- and molybdenum-fed rabbits. Calcif. Tissue Int. 2005, 77, 233–238. [Google Scholar] [CrossRef]
- Oetiker, N.; Salinas, D.; Lucero-Mora, J.; Orellana, R.; Quiroz-Muñoz, M.; Bravo, D.; Pérez-Donoso, J.M. Antimicrobial Effect of Copper Nanoparticles on Relevant Supragingival Oral Bacteria. Microorganisms 2024, 12, 624. [Google Scholar] [CrossRef]
- Uwitonze, A.M.; Ojeh, N. Zinc Adequacy Is Essential for the Maintenance of Optimal Oral Health. Nutrients 2020, 12, 949. [Google Scholar] [CrossRef]
- Nazemisalman, B.; Mohseni, M.; Darvish, S. Effects of Iron Salts on Demineralization and Discoloration of Primary Incisor Enamel Subjected to Artificial Cariogenic Challenge versus Saline Immersion. Healthcare 2023, 11, 569. [Google Scholar] [CrossRef]
- Xu, V.W.; Nizami, M.Z.I.; Yin, I.X.; Niu, J.Y.; Yu, O.Y.; Chu, C.-H. Copper Materials for Caries Management: A Scoping Review. J. Funct. Biomater. 2024, 15, 10. [Google Scholar] [CrossRef]
- Tao, X.; Xu, Z.R.; Wang, Y.Z. Effect of excessive dietary fluoride on nutrient digestibility and retention of iron, copper, zinc, and manganese in growing pigs. Biol. Trace Elem. Res. 2005, 107, 141–151. [Google Scholar] [CrossRef]
- Myint, Z.W.; Oo, T.H.; Thein, K.Z.; Tun, A.M.; Saeed, H. Copper deficiency anemia: Review article. Ann. Hematol. 2018, 97, 1527–1534. [Google Scholar] [CrossRef] [PubMed]
- Muleviciene, A.; Sestel, N.; Stankeviciene, S.; Sniukaite-Adner, D.; Bartkeviciute, R.; Rascon, J.; Jankauskiene, A. Assessment of Risk Factors for Iron Deficiency Anemia in Infants and Young Children: A Case-Control Study. Breastfeed. Med. 2018, 13, 493–499. [Google Scholar] [CrossRef]
- Wu, Y.H.; Chang, J.Y.-F.; Lee, Y.P.; Wang, Y.P.; Sun, A.; Chiang, C.P. Anemia, hematinic deficiencies, hyperhomocysteinemia, and serum gastric parietal cell antibody positivity in 588 patients with oral lichen planus. J. Dent. Sci. 2025, 20, 660–666. [Google Scholar] [CrossRef] [PubMed]
- Devi, C.B.; Nandakishore, T.; Sangeeta, N.; Basar, G.; Devi, N.O.; Jamir, S.; Singh, M.A. Zinc in human health. J. Dent. Med. Sci. 2014, 13, 18–23. [Google Scholar] [CrossRef]
- Lynch, R.J. Zinc in the mouth, its interactions with dental enamel and possible effects on caries; a review of the literature. Int. Dent. J. 2011, 61, 46–54. [Google Scholar] [CrossRef]
- Singh, M. Effect of fluoride on tissue manganese levels in the mouse. Sci. Total Environ. 1982, 22, 285–288. [Google Scholar] [CrossRef] [PubMed]
- Sarwar, S.; Quadri, J.A.; Shariff, A. Fluoride Ingestion Induces Formation of Unusual Macromolecular Complexes in Gut Lumen Which Retard Absorption of Essential Minerals and Trace Elements by Chelation. Biol. Trace Elem. Res. 2025, 203, 3218–3233. [Google Scholar] [CrossRef] [PubMed]
- Tkachenko, H.; Kurhaluk, N. Elemental Status and Lipid Peroxidation in the Blood of Children with Endemic Fluorosis. Biol. Trace Elem. Res. 2021, 199, 1237–1245. [Google Scholar] [CrossRef]
- Khandare, A.L.; Validandi, V.; Boiroju, N. Fluoride Alters Serum Elemental (Calcium, Magnesium, Copper, and Zinc) Homeostasis Along with Erythrocyte Carbonic Anhydrase Activity in Fluorosis Endemic Villages and Restores on Supply of Safe Drinking Water in School-Going Children of Nalgonda District, India. Biol. Trace Elem. Res. 2018, 185, 289–294. [Google Scholar] [CrossRef]
- Meenakshi, S.; Amrutha, T.V.; Abubakar, M.; Prakash, V.; Kumar, N.; Murti, K. Fluoride-induced gut dysbiosis in metabolic disorders: Mechanisms and public health implications. J. Trace Elem. Med. Biol. 2026, 93, 127806. [Google Scholar] [CrossRef]
- Rao, H.V.; Beliles, R.P.; Whitford, G.M.; Turner, C.H. A physiologically based pharmacokinetic model for fluoride uptake by bone. Regul. Toxicol. Pharmacol. 1995, 22, 30–42. [Google Scholar] [CrossRef] [PubMed]
- He, L.F.; Chen, J.G. DNA damage, apoptosis and cell cycle changes induced by fluoride in rat oral mucosal cells and hepatocytes. World J. Gastroenterol. 2006, 12, 1144–1148. [Google Scholar] [CrossRef]
- Liu, J.; Wang, H.W. Induction of pathological changes and impaired expression of cytokines in developing female rat spleen after chronic excess fluoride exposure. Toxicol. Ind. Health 2019, 35, 43–52. [Google Scholar] [CrossRef]
- Radovanović, J.; Antonijević, B.; Baralić, K.; Ćurčić, M.; Đukić-Ćosić, D.; Bulat, Z.; Javorac, D.; Buha Đorđević, A.; Kotur-Stevuljević, J.; Sudar-Milovanović, E.; et al. Redox and biometal status in Wistar rats after subacute exposure to fluoride and selenium counter-effects. Arh. Hig. Rada Toksikol. 2022, 73, 207–222. [Google Scholar] [CrossRef]
- Mandinic, Z. Effect of Fluoride on Oxidative Stress Parameters in Experimental Animals. Ph.D. Thesis, University of Belgrade, Belgrade, Serbia, 2011. [Google Scholar]
- Mandinic, Z.; Curcic, M.; Antonijevic, B.; M, C.; Vulicevic, Z.; Jacevic, V. Teeth fluoride levels in rats exposed during 10 weeks to different concentrations of fluoride in drinking water. In Proceedings of the 10th Congress of Serbian Toxicology with International Participation, Palić, Serbia, 22–25 September 2010. [Google Scholar]






| Group | Parameter | Day 7 | Day 14 | Day 21 | Day 28 |
|---|---|---|---|---|---|
| Control | BWG | 0.27 ± 0.03 | 0.68 ± 0.05 **** | 1.01 ± 0.08 ****## | 0.95 ± 0.10 ****### |
| F 10 mg/L F− | BWG | 0.25 ± 0.03 | 0.63 ± 0.07 **** | 0.91 ± 0.12 ****## | 0.97 ± 0.21 ***## |
| % to control | −7.28% | −7.82% | −9.60% | 1.98% | |
| F 25 mg/L F− | BWG | 0.21 ± 0.03 | 0.59 ± 0.07 **** | 0.93 ± 0.13 ****### | 0.97 ± 0.21 **## |
| % to control | −20.86% | −13.71% | −7.49% | 1.98% | |
| F 50 mg/L F− | BWG | 0.14 ± 0.06 | 0.53 ± 0.09 **** | 0.81 ± 0.12 ****#### | 0.86 ± 0.14 ****###$ |
| % to control | −45.90% | −22.13% | −19.46% | −10.45% | |
| F 100 mg/L F− | BWG | 0.18 ± 0.02 | 0.54 ± 0.02 **** | 0.84 ± 0.05 ****#### | 0.82 ± 0.03 ****#### |
| % to control | −30.20% | −19.90% | −16.41% | −14.11% | |
| F 150 mg/L F− | BWG | 0.17 ± 0.03 | 0.59 ± 0.04 **** | 0.92 ± 0.08 ****#### | 0.91 ± 0.08 ****### |
| % to control | −37.11% | −12.27% | −8.61% | −5.16% |
| Group | Periportal and Bridging Necrosis (A) | Intralobular Degeneration and Focal Necrosis (B) | Portal Inflammation (C) | Fibrosis (D) | HAI Knoddel (A + B + C + D) | Interpretation |
|---|---|---|---|---|---|---|
| 10 mg/L F− | 0 | 0 | 0 | 0 | 0 | No inflammation |
| 25 mg/L F− | 0 | 0 | 1 | 1 | 2 | Minimal inflammation |
| 50 mg/L F− | 1 | 1 | 1 | 3 | 6 | Mild inflammation |
| 100 mg/L F− | 3 | 3 | 3 | 3 | 12 | Moderate |
| 150 mg/L F− | 3 | 3 | 4 | 4 | 14 | Marked |
| EGTI Scoring | Cortical Damage | |||||
|---|---|---|---|---|---|---|
| Groups | Tubular | Endothelial | Glomerular | Tubular/Interstitial | Sum of the Scores | Scoring |
| Control | 0 | 0 | 0.2 | 0 | 0.2 | 0 |
| 10 mg/L F− | 0.2 | 0 | 0.2 | 0 | 0.4 | 0 |
| 25 mg/L F− | 0.4 | 0.4 | 0.6 | 0.4 | 1.8 | 0.5 |
| 50 mg/L F− | 1.4 | 1 | 1.6 | 0.6 | 4.6 | 1 |
| 100 mg/L F− | 1.6 | 1 | 1.8 | 2.6 | 7.0 | 1 |
| 150 mg/L F− | 2.6 | 2.2 | 2.6 | 3 | 10.4 | 1 |
| Tissue | Bioelement | Groups (n = 5) | |||||
|---|---|---|---|---|---|---|---|
| Control | 10 mg/L F− | 25 mg/L F− | 50 mg/L F− | 100 mg/L F− | 150 mg/L F− | ||
| Liver | Cu (μg/g) | 3.73 3.37–4.22 | 3.41 3.36–3.84 | 3.74 3.42–5.02 | 3.67 3.37–3.77 | 3.14 * 2.99–3.34 | 2.99 ** 2.93–3.25 |
| Zn (μg/g) | 29.86 28.79–31.93 | 31.18 29.96–31.84 | 30.29 29.73–33.41 | 39.57 ** 33.59–58.39 | 36.06 * 31.93–40.54 | 31.75 30.97–54.93 | |
| Fe (μg/g) | 122.9 ± 19.59 | 129.40 ± 9.29 | 120.50 ± 2.87 | 134.00 ± 13.49 | 120.3 ± 16.23 | 121.80 ± 7.67 | |
| Mn (μg/g) | 3.09 ± 0.95 | 3.12 ± 0.82 | 3.48 ± 1.30 | 4.15 ± 0.71 | 4.40 ± 0.59 * | 4.43 ± 1.09 * | |
| Kidneys | Cu (μg/g) | 7.13 ± 1.78 | 8.1 ± 1.44 | 7.74 ± 2.03 | 8.55 ± 2.65 | 6.77 ± 2.31 | 5.48 ± 1.84 |
| Zn (μg/g) | 113.40 74.5–143.9 | 141.8 85.27–159.90 | 138.7 69.43–225.80 | 199.70 152.1–343.3 | 510.1 * 87.72–560.60 | 43.87 23.21–66.48 | |
| Fe (μg/g) | 85.65 ± 15.70 | 91.06 ± 11.95 | 74.87 ± 18.26 | 65.57 ± 7.21 * | 57.87 ± 21.33 ** | 35.96 ± 4.07 **** | |
| Mn (μg/g) | 20.59 ± 5.73 | 20.63 ± 5.88 | 15.34 ± 8.46 | 9.73 ± 6.30 ** | 4.60 ± 1.66 *** | 2.87 ± 3.73 *** |
| External Dose | ||||||||
|---|---|---|---|---|---|---|---|---|
| Parameter | Fitted Models | Conv. | Loglik. | No. Par. | AIC | BMDL5 (mg F−/L) | BMDU5 (mg F−/L) | Trend |
| Cu | Full model | 1 | 25.98 | 7 | −37.96 | / | / | |
| Null model | 1 | 16.45 | 2 | −28.9 | / | / | ||
| Expon. m3- | 1 | 23 | 4 | −38 | 29.8 | 129 | + ↓ | |
| Expon. m5- | 1 | 23.53 | 5 | −37.06 | / | / | ||
| Hill m3- | 1 | 23.01 | 4 | −38.02 | 30.1 | 129 | + ↓ | |
| Hill m5- | 1 | 23.8 | 5 | −37.6 | / | / | ||
| Zn | Full model | 1 | 6.1 | 7 | 1.8 | / | / | |
| Null model | 1 | 1.02 | 2 | 1.96 | / | / | ||
| Expon. 3- | 1 | 3.35 | 4 | 1–3 | / | / | ||
| Expon. 5- | 1 | 5.06 | 5 | −0.12 | 7.3 | 42.5 | + ↑ | |
| Hill m3- | 1 | 3.35 | 4 | 1.3 | / | / | ||
| Hill m5- | 1 | 4.47 | 5 | 1.06 | / | / | ||
| Mn | Full model | 1 | 1.55 | 7 | 10.9 | / | / | |
| Null model | 1 | −4.56 | 2 | 13.12 | / | / | ||
| Expon. 3- | 1 | 0.62 | 4 | 6.76 | 0.05 | 61.5 | + ↑ | |
| Expon. 5- | 1 | 1.55 | 5 | 6.9 | / | / | ||
| Hill m3- | 1 | 0.63 | 4 | 6.74 | 0.1 | 61.2 | + ↑ | |
| Hill m5- | 1 | 1.53 | 5 | 6.94 | / | / | ||
| SH | Full model | 1 | 3.67 | 7 | 6.66 | / | / | |
| Null model | 1 | −2.89 | 2 | 9.78 | / | / | ||
| Expon. 3- | 1 | 1.91 | 4 | 4.18 | / | / | ||
| Expon. 5- | 1 | 3.07 | 5 | 3.86 | 10.8 | 73.1 | + ↓ | |
| Hill m3- | 1 | 1.91 | 4 | 4.18 | 0.8 | 95.4 | + ↓ | |
| Hill m5- | 1 | 2.81 | 5 | 4.38 | / | / | ||
| MDA | Full model | 1 | 3.78 | 7 | 6.44 | / | / | |
| Null model | 1 | −2.82 | 2 | 9.64 | / | / | ||
| Expon. 3- | 1 | 2.19 | 4 | 3.62 | / | / | ||
| Expon. 5- | 1 | 3.27 | 5 | 3.46 | 9.6 | 74.4 | + ↓ | |
| Hill m3- | 1 | 2.19 | 4 | 3.62 | 1.1 | 94.1 | + ↓ | |
| Hill m5- | 1 | 3.04 | 5 | 3.92 | / | / | ||
| Internal Dose | ||||||||
| Parameter | Fitted Models | Conv. | Loglik. | No. Par. | AIC | BMDL (mg F−/kg) | BMDU (mg F−/kg) | Trend |
| O2·− | Full model | / | / | / | / | / | / | |
| Null model | 1 | 8.4 | 2 | −12.8 | / | / | ||
| Expon. 3- | 1 | 11.76 | 4 | −15.52 | / | / | ||
| Expon. 5- | 1 | 13.55 | 5 | −17.1 | 0.06 | 0.2 | + ↑ | |
| Hill m3- | 1 | 11.79 | 4 | −15.58 | / | / | ||
| Hill m5- | 0 | 13.46 | 5 | −16.92 | 0.03 | 0.3 | + ↑ | |
| External Dose | ||||||||
|---|---|---|---|---|---|---|---|---|
| Parameter | Fitted Models | Conv. | Loglik. | No. Par. | AIC | BMDL5 (mg F−/L) | BMDU5 (mg F−/L) | Trend |
| Cu | Full model | 1 | −1.63 | 7 | 17.26 | / | / | |
| Null model | 1 | −6.06 | 2 | 16.12 | / | / | ||
| Expon. m3- | 1 | −2.42 | 4 | 12.84 | 28.1 | 137 | + ↓ | |
| Exp. m5- | 1 | −2.28 | 5 | 14.56 | / | / | ||
| Hill m3- | 1 | −2.42 | 4 | 12.84 | 28.1 | 133 | + ↓ | |
| Hill m5- | 1 | −2.36 | 5 | 14.72 | / | / | ||
| Zn | Full model | 1 | −30.74 | 7 | 75.48 | / | / | |
| Null model | 1 | −38.91 | 2 | 81.82 | / | / | ||
| Expon. 3- | 1 | −34.07 | 4 | 76.14 | 63.2 | 104 | + ↓ | |
| Expon. 5- | 1 | −34.09 | 5 | 78.18 | / | / | ||
| Hill m3- | 1 | −34.99 | 4 | 77.98 | 47.8 | 93.1 | + ↓ | |
| Hill m5- | 1 | −35.07 | 5 | 80.14 | / | / | ||
| Fe | Full model | 1 | 6.67 | 7 | 0.66 | / | / | |
| Null model | 1 | −12.42 | 2 | 28.84 | / | / | ||
| Expon. 3- | 1 | 5.45 | 4 | −2.9 | 7.4 | 58.8 | + ↓ | |
| Expon. 5- | 1 | 5.44 | 5 | −0.88 | / | / | ||
| Hill m3- | 1 | 5.44 | 4 | −2.88 | 7.5 | 58.9 | + ↓ | |
| Hill m5- | 0 | 5.41 | 5 | −0.82 | / | / | ||
| Mn | Full model | 1 | −39.84 | 7 | 93.68 | / | / | |
| Null model | 1 | −51.97 | 2 | 107.94 | / | / | ||
| Expon. 3- | 1 | −40.33 | 4 | 88.66 | 83.1 | 149 | + ↓ | |
| Expon. 5- | 1 | −40.38 | 5 | 90.76 | / | / | ||
| Hill m3- | 1 | −40.35 | 4 | 88.7 | 83.1 | 149 | + ↓ | |
| Hill m5- | 1 | −40.44 | 5 | 90.88 | / | / | ||
| SOD | Full model | / | 3.38 | 7 | 7.24 | / | / | |
| Null model | 1 | −6.7 | 2 | 17.4 | / | / | ||
| Expon. 3- | 1 | 0.78 | 4 | 6.44 | 42.1 | 118 | + ↑ | |
| Expon. 5- | 1 | 0.77 | 5 | 8.46 | / | / | ||
| Hill m3- | 1 | 0.46 | 4 | 7.08 | 31.1 | 105 | + ↑ | |
| Hill m5- | 1 | 0.44 | 5 | 9.12 | / | / | ||
| SH | Full model | 1 | −5.36 | 7 | 24.72 | / | / | |
| Null model | 1 | −13.49 | 2 | 30.98 | / | / | ||
| Expon. m3- | 1 | −6.24 | 4 | 20.48 | 0.002 | 13.4 | + ↓ | |
| Expon. m5- | 1 | −5.55 | 5 | 21.1 | / | / | ||
| Hill m3- | 1 | −6.24 | 4 | 20.48 | 0.3 | 13.4 | + ↓ | |
| Hill m5- | 1 | −5.48 | 5 | 20.96 | / | / | ||
| AOPP | Full model | 1 | −5.96 | 7 | 25.92 | / | / | |
| Null model | 1 | −13.48 | 2 | 30.96 | / | / | ||
| Expon. 3- | 1 | −6.25 | 4 | 20.5 | 0.001 | 9.9 | + ↑ | |
| Expon. 5- | 1 | −6.25 | 5 | 22.5 | / | / | ||
| Hill m3- | 1 | −6.25 | 4 | 20.5 | 6.5 × 10−6 | 9.9 | + ↑ | |
| Hill m5- | 1 | −6.25 | 5 | 22.5 | / | / | ||
| Internal Dose | ||||||||
| Parameter | Fitted Models | Conv. | Loglik. | No. Par. | AIC | BMDL5 (mg F−/kg) | BMDU5 (mg F−/kg) | Trend |
| Cu | Full model | / | / | / | / | / | / | |
| Null model | 1 | 3.05 | 2 | −2.1 | / | / | ||
| Expon. 3- | 1 | 5.93 | 4 | −3.86 | / | / | ||
| Expon. 5- | 1 | 7.35 | 5 | −4.7 | 1.3 | 1.8 | + ↑ | |
| Hill m3- | 1 | 5.95 | 4 | −3.9 | / | / | ||
| Hill m5- | 1 | 7.02 | 5 | −4 | / | / | ||
| Zn | Full model | / | / | / | / | / | / | |
| Null model | 1 | −5.98 | 2 | 15.96 | / | / | ||
| Expon. 3- | 1 | 3.41 | 4 | 1.18 | / | / | ||
| Expon. 5- | 1 | 3.41 | 5 | 3.18 | 2.48 × 10−6 | 0.6 | + ↑ | |
| Hill m3- | 1 | 3.41 | 4 | 1.18 | 0.05 | 0.6 | + ↑ | |
| Hill m5- | 1 | 3.4 | 5 | 3.2 | / | / | ||
| SOD | Full model | / | / | / | / | / | / | |
| Null model | 1 | 0.33 | 2 | 3.34 | / | / | ||
| Expon. 3- | 1 | 2.27 | 4 | 3.46 | / | / | ||
| Expon. 5- | 1 | 5.32 | 5 | −0.6 | 1 × 10−4 | 1.4 | + ↓ | |
| Hill m3- | 1 | 2.29 | 4 | 3.42 | / | / | ||
| Hill m5- | 1 | 5.1 | 5 | −0.2 | 0.005 | 0.9 | + ↓ | |
Disclaimer/Publisher’s Note: The statements, opinions and data contained in all publications are solely those of the individual author(s) and contributor(s) and not of MDPI and/or the editor(s). MDPI and/or the editor(s) disclaim responsibility for any injury to people or property resulting from any ideas, methods, instructions or products referred to in the content. |
© 2026 by the authors. Licensee MDPI, Basel, Switzerland. This article is an open access article distributed under the terms and conditions of the Creative Commons Attribution (CC BY) license.
Share and Cite
Radovanović, J.; Milutinović-Smiljanić, S.; Antonijević, B.; Baralić, K.; Ćurčić, M.; Marić, Đ.; Mandinić, Z. Benchmark Approach to Unravel Fluoride Toxicity: Liver and Kidney Disruptions in Subacutely Exposed Rats. J. Xenobiot. 2026, 16, 63. https://doi.org/10.3390/jox16020063
Radovanović J, Milutinović-Smiljanić S, Antonijević B, Baralić K, Ćurčić M, Marić Đ, Mandinić Z. Benchmark Approach to Unravel Fluoride Toxicity: Liver and Kidney Disruptions in Subacutely Exposed Rats. Journal of Xenobiotics. 2026; 16(2):63. https://doi.org/10.3390/jox16020063
Chicago/Turabian StyleRadovanović, Jelena, Sanja Milutinović-Smiljanić, Biljana Antonijević, Katarina Baralić, Marijana Ćurčić, Đurđica Marić, and Zoran Mandinić. 2026. "Benchmark Approach to Unravel Fluoride Toxicity: Liver and Kidney Disruptions in Subacutely Exposed Rats" Journal of Xenobiotics 16, no. 2: 63. https://doi.org/10.3390/jox16020063
APA StyleRadovanović, J., Milutinović-Smiljanić, S., Antonijević, B., Baralić, K., Ćurčić, M., Marić, Đ., & Mandinić, Z. (2026). Benchmark Approach to Unravel Fluoride Toxicity: Liver and Kidney Disruptions in Subacutely Exposed Rats. Journal of Xenobiotics, 16(2), 63. https://doi.org/10.3390/jox16020063

