Next Issue
Volume 17, January
Previous Issue
Volume 16, November
 
 

Microbiol. Res., Volume 16, Issue 12 (December 2025) – 18 articles

Cover Story (view full-size image): Members of the genus Kocuria are environmentally versatile Gram-positive bacteria with growing biotechnological relevance. Here, we report the genome-based characterization of Kocuria sp. KH4, isolated from alkaline mine tailings in southeastern Mexico. Phylogenomic analyses and genomic relatedness indices demonstrate that KH4 represents a novel genomospecies. Its genome reveals broad metabolic versatility, extensive metal resistance and homeostasis systems, numerous genomic islands, and multiple biosynthetic gene clusters encoding nonribosomal peptides, polyketides, terpenes, and siderophores. Together, these features highlight the remarkable adaptive capacity of this strain and position Kocuria sp. KH4 as a promising reservoir of new bioactive compounds for environmental, pharmaceutical, and industrial biotechnology. View this paper
  • Issues are regarded as officially published after their release is announced to the table of contents alert mailing list.
  • You may sign up for e-mail alerts to receive table of contents of newly released issues.
  • PDF is the official format for papers published in both, html and pdf forms. To view the papers in pdf format, click on the "PDF Full-text" link, and use the free Adobe Reader to open them.
Order results
Result details
Select all
Export citation of selected articles as:
17 pages, 2926 KB  
Article
Non- and Medium-Polar Fractions from Trametes villosa Inhibit Staphylococcus aureus Growth, Virulence, and Biofilm Formation
by Hernando Maldonado-Pérez, Juan Pablo Pinzón-Esquivel, Gloria María Molina-Salinas, Avel Adolfo González-Sánchez, Haziel Eleazar Dzib-Baak, Ángel Dzul-Beh, Carlos Javier Quintal-Novelo and Andrés Humberto Uc-Cachón
Microbiol. Res. 2025, 16(12), 263; https://doi.org/10.3390/microbiolres16120263 - 18 Dec 2025
Cited by 1 | Viewed by 617
Abstract
Background: Infections caused by Staphylococcus aureus are a health problem worsened by antibiotic resistance. New drugs, including those inhibiting virulence and resistance mechanisms, are needed. This study aimed to evaluate the anti-growth, anti-virulence, and anti-biofilm activities of Trametes villosa. (2) Methods: Fractions [...] Read more.
Background: Infections caused by Staphylococcus aureus are a health problem worsened by antibiotic resistance. New drugs, including those inhibiting virulence and resistance mechanisms, are needed. This study aimed to evaluate the anti-growth, anti-virulence, and anti-biofilm activities of Trametes villosa. (2) Methods: Fractions were obtained from the basidiomata of T. villosa. Anti-growth, anti-hemolysis, and anti-biofilm activities were tested against S. aureus strains using resazurin microtiter, blood cell lysis, and crystal violet assays, respectively. Cytotoxicity was evaluated in Vero and HaCaT cells using sulforhodamine B. The active fractions were subjected to GC-MS analysis and molecular docking with S. aureus quorum-sensing receptors. Results: The n-hexane and ethyl acetate (EtOAc) fractions exhibited anti-growth activity against all strains (MIC: 31.2–2000 µg/mL). These fractions also displayed anti-hemolysis (IC50 = 33.8 ± 1.1–53.8 ± 5.1 µg/mL) and anti-biofilm formation activity (IC50 = 106.6 ± 4.8–383.4 ± 31.4 µg/mL), while exhibiting low cytotoxicity in Vero and HaCat. GC-MS analysis revealed that both active fractions mainly contained alkanes, aldehydes, and fatty acids. Molecular docking revealed that isovanillic acid, identified in the EtOAc fraction, exhibited optimal interactions with S. aureus quorum-sensing receptors AgrA and SarA. (4) Conclusions: Our research highlights the potential of T. villosa as a source of bioactive compounds effective against S. aureus. Full article
Show Figures

Graphical abstract

18 pages, 2942 KB  
Article
Structure-Based Identification of Ponganone V from Pongamia pinnata as a Potential KPC-2 β-Lactamase Inhibitor: Insights from Docking, ADMET, and Molecular Dynamics
by Himanshu Jangid, Chirag Chopra and Atif Khurshid Wani
Microbiol. Res. 2025, 16(12), 262; https://doi.org/10.3390/microbiolres16120262 - 18 Dec 2025
Viewed by 356
Abstract
Carbapenem-resistant Enterobacterales (CREs) pose a critical threat to global public health, largely driven by the enzymatic activity of Klebsiella pneumoniae carbapenemase-2 (KPC-2), a class A serine β-lactamase that hydrolyzes most β-lactam antibiotics. While β-lactamase inhibitors like avibactam offer temporary relief, emerging KPC variants [...] Read more.
Carbapenem-resistant Enterobacterales (CREs) pose a critical threat to global public health, largely driven by the enzymatic activity of Klebsiella pneumoniae carbapenemase-2 (KPC-2), a class A serine β-lactamase that hydrolyzes most β-lactam antibiotics. While β-lactamase inhibitors like avibactam offer temporary relief, emerging KPC variants demand novel, sustainable inhibitory scaffolds. This study aimed to identify and characterize potential natural inhibitors of KPC-2 from Pongamia pinnata, leveraging a comprehensive in silico workflow. A curated library of 86 phytochemicals was docked against the active site of KPC-2 (PDB ID: 3DW0). The top-performing ligands were subjected to ADMET profiling (pkCSM), and 100 ns molecular dynamics simulations (GROMACS) to evaluate structural stability and interaction persistence, using avibactam as control. Ponganone V exhibited the most favorable binding energy (−9.0 kcal/mol), engaging Ser70 via a hydrogen bond and forming π–π interactions with Trp105. Glabrachromene II demonstrated a broader interaction network but reduced long-term stability. ADMET analysis confirmed high intestinal absorption, non-mutagenicity, and absence of hERG inhibition for both ligands. Molecular dynamics simulations revealed that Ponganone V maintained compact structure and stable hydrogen bonding throughout the 100 ns trajectory, closely mirroring the behavior of avibactam, whereas Glabrachromene II displayed increased fluctuation and loss of compactness beyond 80 ns. Principal Component Analysis (PCA) further supported these findings, with Ponganone V showing restricted conformational motion and a single deep free energy basin, while avibactam and Glabrachromene II exhibited broader conformational sampling and multiple energy minima. The integrated computational findings highlight Ponganone V as a potent and pharmacologically viable natural KPC-2 inhibitor, with strong binding affinity, sustained structural stability, and minimal toxicity. This study underscores the untapped potential of Pongamia pinnata phytochemicals as future anti-resistance therapeutics and provides a rational basis for their experimental validation. Full article
Show Figures

Figure 1

17 pages, 1599 KB  
Article
Probiotic Potential of Pediococcus acidilactici SWP-CGPA01: Alleviating Antibiotic-Induced Diarrhea and Restoring Hippocampal BDNF
by You-Zuo Chen, Chieh-Ting Chen, Tsung-Wei Shih, Wei-Hsuan Hsu, Bao-Hong Lee and Tzu-Ming Pan
Microbiol. Res. 2025, 16(12), 261; https://doi.org/10.3390/microbiolres16120261 - 15 Dec 2025
Cited by 1 | Viewed by 791
Abstract
Gut microbiota dysbiosis is increasingly being recognized as a major contributor to host metabolic imbalance, immune dysfunction, and neurophysiological disorders. Probiotics are known to modulate intestinal metabolism and exert systemic effects through the gut–brain axis. Herein, we evaluated the safety and probiotic potential [...] Read more.
Gut microbiota dysbiosis is increasingly being recognized as a major contributor to host metabolic imbalance, immune dysfunction, and neurophysiological disorders. Probiotics are known to modulate intestinal metabolism and exert systemic effects through the gut–brain axis. Herein, we evaluated the safety and probiotic potential of Pediococcus acidilactici SWP-CGPA01 (SWP-CGPA01) under antibiotic-induced microbiota dysbiosis. Genomic and phenotypic analyses verified its safety profile, supporting its suitability for use in food and nutritional applications. In a mouse model of antibiotic-induced dysbiosis, SWP-CGPA01 supplementation alleviated diarrhea and restored hippocampal brain-derived neurotrophic factor expression. These findings demonstrate that SWP-CGPA01 is a safe and functionally active probiotic with the potential to maintain gastrointestinal and neurotrophic homeostasis under gut microbiota dysbiosis. Full article
Show Figures

Figure 1

14 pages, 1273 KB  
Article
Evaluation of the Antibiofilm Activity of Clove Essential Oil in the Development of Bioactive Coatings for Arterial Sampling Devices
by Ikram Markaoui, Meryem Idrissi Yahyaoui, Abdeslam Asehraou, Abdelkrim Daoudi, Brahim Housni and Houssam Bkiyar
Microbiol. Res. 2025, 16(12), 260; https://doi.org/10.3390/microbiolres16120260 - 11 Dec 2025
Viewed by 698
Abstract
Multidrug-resistant (MDR) pathogens and biofilm-associated infections represent a major global health concern, particularly in the context of medical devices such as catheters, tubing, and blood sampling devices. Biofilms, responsible for up to 85% of human infections, confer a high level of microbial resistance [...] Read more.
Multidrug-resistant (MDR) pathogens and biofilm-associated infections represent a major global health concern, particularly in the context of medical devices such as catheters, tubing, and blood sampling devices. Biofilms, responsible for up to 85% of human infections, confer a high level of microbial resistance and compromise device performance and patient safety. In this study, the antibiofilm potential of Syzygium aromaticum (clove) essential oil was investigated through an in vitro assay. GC–MS analysis revealed eugenol (72.77%) as the predominant compound, accompanied by β-caryophyllene (14.72%) and carvacrol (2.09%). The essential oil exhibited notable antimicrobial activity, producing inhibition zones of 30.5 ± 4.5 mm against Staphylococcus aureus, 24.5 ± 0.5 mm against Micrococcus luteus, 16.0 ± 2.0 mm against Escherichia coli, 13.0 ± 1.0 mm against Pseudomonas aeruginosa, 23.5 ± 1.5 mm against Candida albicans, and 24.0 ± 2.0 mm against C. glabrata. A marked reduction in biofilm biomass observed on polyvinyl chloride (PVC) surfaces. The application of clove essential oil as a coating for PVC-based medical devices remains a future possibility that requires formulation and in vivo testing. This strategy is proposed as potentially eco-safe, although environmental toxicity and biocompatibility have not yet been evaluated. It could contribute to the prevention of biofilm formation in arterial sampling systems and other healthcare-related materials, thereby enhancing device safety and longevity. Full article
Show Figures

Figure 1

11 pages, 1308 KB  
Communication
Taxonomic and Genomic Characterization of Enterococcus alishanensis JNUCC 77 Isolated from the Flowers of Zinnia elegans
by Kyung-A Hyun, Ji-Hyun Kim, Min Nyeong Ko and Chang-Gu Hyun
Microbiol. Res. 2025, 16(12), 259; https://doi.org/10.3390/microbiolres16120259 - 10 Dec 2025
Viewed by 423
Abstract
Enterococcus alishanensis JNUCC 77 (=BLH10) was isolated from the flowers of Zinnia elegans collected at Ilchul Land, Jeju Island, Republic of Korea. Whole-genome sequencing was conducted to clarify its taxonomic position, genomic composition, and adaptive metabolic potential. The assembled genome comprised five contigs [...] Read more.
Enterococcus alishanensis JNUCC 77 (=BLH10) was isolated from the flowers of Zinnia elegans collected at Ilchul Land, Jeju Island, Republic of Korea. Whole-genome sequencing was conducted to clarify its taxonomic position, genomic composition, and adaptive metabolic potential. The assembled genome comprised five contigs totaling 3.86 Mb, with a G + C content of 35.6% and 100% completeness. Genome-based phylogenomic analyses using the Type Strain Genome Server (TYGS) and digital DNA–DNA hybridization (dDDH) confirmed that strain JNUCC 77 belongs to E. alishanensis. Functional annotation revealed enrichment of genes related to transcriptional regulation, carbohydrate metabolism, replication, and DNA repair, suggesting a lifestyle adapted to oxidative and UV-exposed floral habitats rather than pathogenic competitiveness. Genome mining with antiSMASH identified two putative biosynthetic regions associated with terpenoid and isoprenoid metabolism, which are commonly linked to redox regulation and cellular protection. These genomic features indicate that E. alishanensis JNUCC 77 has evolved a metal-assisted, redox-regulated survival strategy suitable for floral microenvironments. Given its origin from vibrant flowers and its genomic potential for redox-protective metabolism, this strain represents an attractive microbial resource for future development of nature-inspired postbiotic and cosmeceutical ingredients that align with the clean and eco-friendly image of flower-derived biotechnologies. Full article
Show Figures

Figure 1

13 pages, 423 KB  
Article
Chemical Profiling and Biological Evaluation of Matricaria pubescens as a Promising Source of Antioxidant and Anti-Resistance Agents
by Elhasnaoui Abdelhadi, Janah Iman, Ait-El-Mokhtar Mohamed, Sellam Khalid, Bouadid Ismail, Eddouks Mohamed, Lahrach Nadia and El-Haidani Ahmed
Microbiol. Res. 2025, 16(12), 258; https://doi.org/10.3390/microbiolres16120258 - 9 Dec 2025
Viewed by 440
Abstract
Matricaria pubescens (Desf.), a medicinal plant belonging to the Asteraceae family, is traditionally used in southeastern Morocco but remains insufficiently studied. In this study, samples collected from the Zagora region (Morocco) were subjected to the preparation of aqueous, methanolic, and petroleum ether extracts, [...] Read more.
Matricaria pubescens (Desf.), a medicinal plant belonging to the Asteraceae family, is traditionally used in southeastern Morocco but remains insufficiently studied. In this study, samples collected from the Zagora region (Morocco) were subjected to the preparation of aqueous, methanolic, and petroleum ether extracts, followed by qualitative phytochemical screening. Total phenolic, flavonoid, and condensed tannin contents were quantified. Antioxidant activity was assessed using DPPH, RPC, and ABTS assays, whereas antimicrobial activity was evaluated against eight bacterial and fungal species, including antibiotic-resistant strains, using disc diffusion and microdilution techniques. Qualitative analysis revealed the presence of alkaloids, polyphenols, flavonoids, tannins, sterols, and sesquiterpenes, with notable variation across extracts. The aqueous (AqE) and methanol–water (MT-H2O) extracts were particularly rich in phenolics and flavonoids, recording 9.15 ± 0.29 mg GAE/g DW and 17.1 ± 0.55 mg QE/g DW, respectively. Antioxidant assays showed strong activity, with IC50 values ranging from 3.15 to 5.48 µg/mL (DPPH) and 9.10 to 14.40 µg/mL (ABTS). The MT-H2O extract also displayed potent antimicrobial effects against eight microbial species (bacteria and fungi), with minimum inhibitory concentrations between 0.93 and 30 mg/mL, except for Pseudomonas aeruginosa. These findings highlight the untapped potential of M. pubescens from Zagora as a source of antioxidant and anti-resistance agents, providing new insights for green medicine and future pharmacological research. Full article
Show Figures

Figure 1

11 pages, 528 KB  
Article
Microbiological and Physical–Chemical Quality of Pickled Vegetables Produced by Rural Family Agribusinesses
by Priscila Endlich Lozer, Rhaiza Marcia Passos Leal and Jackline Freitas Brilhante de São José
Microbiol. Res. 2025, 16(12), 257; https://doi.org/10.3390/microbiolres16120257 - 8 Dec 2025
Viewed by 682
Abstract
The aim of the present study was to assess the microbiological and physical–chemical quality of pickled vegetables produced by rural family agribusinesses in the mountainous region of Espírito Santo State, Brazil. This descriptive, observational and cross-sectional study was carried out on the basis [...] Read more.
The aim of the present study was to assess the microbiological and physical–chemical quality of pickled vegetables produced by rural family agribusinesses in the mountainous region of Espírito Santo State, Brazil. This descriptive, observational and cross-sectional study was carried out on the basis of secondary data provided by the Food Monitoring Program of Espírito Santo State, Brazil. Data were extracted from sample collection terms and from analysis reports on 58 samples of pickled vegetables produced by 37 rural family agribusinesses, which were collected between June and September 2022. The analyses applied to these samples included Salmonella sp. incidence; molds, yeasts, and Enterobacteriaceae counts; and pH, titratable acidity, and chloride content in sodium chloride determination. The microbiological limits for these products are the absence of Salmonella sp., 102 for Enterobacteriaceae, and 103 for molds and yeasts. For physical–chemical quality, these products must have a pH of 4.5 or lower. All samples were in compliance with the legislation provided for Salmonella and Enterobacteriaceae. In total, 13.79% of the samples (n = 8) presented mold and yeast counts higher than the microbiological limit of 103. The pH of 12.06% (n = 7) of the samples was higher than 4.5, which exceeded the limit established by the legislation. The titratable acidity ranged from 0.25 to 2.82 g of acetic acid/100 g; its mean value reached 0.89 g of acetic acid/100 g. The chloride values ranged from 0.10 to 5.70 g of NaCl/100 g; its mean value reached 1.85 g of NaCl/100 g. Thus, 25.86% (n = 15) of the samples did not comply with the legislation. These results suggested that microbiological and physical–chemical quality were compromised in some of the analyzed samples. This finding indicated likely flaws in good manufacturing practices and quality controls, and it can pose risks to consumer health. Full article
Show Figures

Figure 1

24 pages, 2334 KB  
Article
Prospective Yeast Species with Enzymatic, Aromatic, and Antifungal Applications Isolated from Cocoa Fermentation in Various Producing Areas in Côte d’Ivoire
by Alfred Koffi Yao, Guy Florent Kouamé Amien, Brice Judicaël Assi-Clair, Nabounou Koné, Mai Koumba Koné, Kevin Bethune, Isabelle Maraval, Vincent Chochois, Jean-Christophe Meile, Renaud Boulanger and Simplice Tagro Guéhi
Microbiol. Res. 2025, 16(12), 256; https://doi.org/10.3390/microbiolres16120256 - 8 Dec 2025
Viewed by 617
Abstract
This research study investigated the potential biotechnological applications of yeast species obtained from cocoa fermentation performed in Côte d’Ivoire. A total of 279 yeast isolates were molecularly identified and then screened for their antifungal ability against various Aspergillus species and for the production [...] Read more.
This research study investigated the potential biotechnological applications of yeast species obtained from cocoa fermentation performed in Côte d’Ivoire. A total of 279 yeast isolates were molecularly identified and then screened for their antifungal ability against various Aspergillus species and for the production of aromatic compounds and extracellular enzymes. Thirty-one yeast species belonging to nineteen genera, dominated by Pichia, Candida, Hanseniaspora, and Rhodotorula, were isolated from fermented cocoa beans. All extracellular enzymes screened were produced by most yeast species, except β-glucanase and esterase activity, whereas the most common enzyme was β-glucosidase. Yeasts of the Pichia, Saccharomyces, Candida, Clavispora, and Hanseniaspora genera produced various enzymes, including xylanase, β-glucosidase, polygalacturonase, invertase, pectinase, and chitinase. The 88 aromatic compounds produced were grouped into five main chemical families, including esters, alcohols, acids, aldehydes, and ketones. Wickerhamomyces anomalus was the highest producer of major desirable aromatic compounds, including alcohols, ketones, and esters. All yeast species showed a specific antagonistic effect against the growth of various Aspergillus species, but Candida incommunis, Saccharomyces cerevisiae, and Torulaspora delbrueckii recorded the greatest antifungal ability. These yeast species could be used to develop promising starter cultures to improve the organoleptic quality of various fermented foods and beverages. Full article
Show Figures

Figure 1

18 pages, 2364 KB  
Article
Genome Insights into Kocuria sp. KH4, a Metallophilic Bacterium Harboring Multiple Biosynthetic Gene Clusters (BGCs)
by Gustavo Cuaxinque-Flores, Lorena Jacqueline Gómez-Godínez, Alma Armenta-Medina, Lily X. Zelaya-Molina, Juan Ramos-Garza and José Luis Aguirre-Noyola
Microbiol. Res. 2025, 16(12), 255; https://doi.org/10.3390/microbiolres16120255 - 7 Dec 2025
Viewed by 755
Abstract
The genus Kocuria includes Gram-positive and environmentally versatile bacteria, which are of biotechnological interest due to their ability to synthesize secondary metabolites. In this study, the genome of Kocuria sp. KH4, isolated from alkaline mine tailings (southeastern Mexico), was sequenced and analyzed to [...] Read more.
The genus Kocuria includes Gram-positive and environmentally versatile bacteria, which are of biotechnological interest due to their ability to synthesize secondary metabolites. In this study, the genome of Kocuria sp. KH4, isolated from alkaline mine tailings (southeastern Mexico), was sequenced and analyzed to determine its taxonomic affiliation and explore its metabolic and adaptive potential. The assembled genome showed a size of 3.89 Mb, a GC content of 73.2%, and 3609 coding genes. Phylogenomic analyses and genomic relationship indices (ANI, AAI, and dDDH) confirmed that strain KH4 represents a novel genomospecies within the genus Kocuria. Functional analysis revealed broad metabolic diversity, with genes associated with the transport and metabolism of amino acids, carbohydrates, and inorganic ions. A total of 165 genes linked to metal resistance and homeostasis mechanisms were identified, including ABC-type transport systems and ATPases, as well as specific genes for Fe, Ni, Zn, Cu, As, and Hg. Forty-eight genomic islands were also identified, encoding a wide variety of functions and mobile genetic elements (MGEs). Furthermore, six biosynthetic gene clusters (BGCs) involved in the production of nonribosomal peptides, type III polyketides, terpenes, and siderophores were detected, suggesting a remarkable potential for the synthesis of bioactive compounds. Taken together, the results highlight this strain as a promising source of secondary metabolites with potential applications in environmental, pharmaceutical, and industrial biotechnology, underscoring the importance of Kocuria genomes as natural reservoirs of new biosynthetic pathways. Full article
Show Figures

Figure 1

12 pages, 1185 KB  
Case Report
Relapsing Visceral Leishmaniasis and Post-Kala-Azar Dermal Leishmaniasis in a Patient with Chronic Inflammatory Demyelinating Polyneuropathy Under Immunosuppression: A Case Report
by Marta Chiara Sircana, Elena Bozzi, Alfredo Caturano, Francesca Cherchi, Sergio Babudieri and Roberto Manetti
Microbiol. Res. 2025, 16(12), 254; https://doi.org/10.3390/microbiolres16120254 - 4 Dec 2025
Viewed by 540
Abstract
Visceral leishmaniasis (VL) is a neglected vector-borne disease caused by obligate intracellular protozoa of the genus Leishmania. In immunocompromised patients, VL may present atypically, progress more aggressively, and respond less favorably to treatment. We present the case of a 62-year-old male with [...] Read more.
Visceral leishmaniasis (VL) is a neglected vector-borne disease caused by obligate intracellular protozoa of the genus Leishmania. In immunocompromised patients, VL may present atypically, progress more aggressively, and respond less favorably to treatment. We present the case of a 62-year-old male with chronic inflammatory demyelinating polyneuropathy (CIDP) receiving long-term corticosteroids and azathioprine who developed relapsing VL complicated by post-kala-azar dermal leishmaniasis (PKDL). The patient initially presented with prolonged fever, pancytopenia, hepatosplenomegaly, and weight loss. Bone marrow aspirate revealed Leishmania amastigotes. Intravenous lyposomal amphotericin B (L-AMB) achieved temporary remission; however, PKDL and VL recurred one year later. Despite receiving sequential therapy with L-AMB and miltefosine, the patient experienced further relapses, likely due to severe T- and B-cell lymphopenia and marasmic-like malnutrition. VL should be considered in the differential diagnosis of prolonged fever and cytopenias in immunosuppressed patients in Mediterranean Europe, even in the absence of travel history. Chronic immunosuppression, secondary immunodeficiency, and malnutrition can significantly impair treatment response and favor recurrence, highlighting the need for integrated clinical, nutritional, and epidemiological management strategies. Full article
Show Figures

Figure 1

22 pages, 1503 KB  
Systematic Review
Molecular Identification of Escherichia coli Isolated from Street Foods: Global Evidence and Public Health Implications
by Carmine Fusaro, Natalia Guerrero-Vargas, Yohanna Sarria-Guzmán, Nancy Serrano-Silva, Jaime E. Bernal, Karina Ríos-Montes, Haydee Eliza Romero Luna, Josué Antonio Del Ángel Zumaya, Audry Peredo-Lovillo and Francisco Erik González-Jiménez
Microbiol. Res. 2025, 16(12), 253; https://doi.org/10.3390/microbiolres16120253 - 4 Dec 2025
Viewed by 1479
Abstract
Escherichia coli (E. coli) pathotypes present in contaminated food, street food, or water are major contributors to foodborne illnesses. Polymerase chain reaction (PCR) methods are widely applied to detect and confirm E. coli pathotypes in food samples, thereby supporting outbreak prevention [...] Read more.
Escherichia coli (E. coli) pathotypes present in contaminated food, street food, or water are major contributors to foodborne illnesses. Polymerase chain reaction (PCR) methods are widely applied to detect and confirm E. coli pathotypes in food samples, thereby supporting outbreak prevention efforts. The objective of this study was to provide a comprehensive and reliable review of the molecular identification of E. coli isolated from street foods and to examine its public health implications. The review followed the “Preferred Reporting Items for Systematic Reviews and Meta-Analyses” (PRISMA) guidelines and included data retrieved from seven electronic scientific databases covering the period from 1 January 2015, to 15 August 2025. Relevant full-text articles were identified using the search string (“Street food”) AND (Escherichia coli), and only those that met established inclusion and exclusion criteria were selected. A total of 23 studies from Asia, Africa, Europe, and Latin America were included. These studies analyzed a wide range of street foods and beverages. MacConkey Agar and Eosin Methylene Blue Agar were the primary culture media used for the growth and isolation of E. coli. PCR was employed in 50% of the studies to amplify specific DNA segments, enabling the identification of eight E. coli pathotypes: EHEC, ETEC, EAEC (Eagg), EIEC, EPEC, UPEC, DAEC, and APEC. Additionally, a few studies reported phylogroups such as A, B1, B2, C, D, E, and Clade 1. The prevalence of E. coli in street foods varied widely, ranging from 0.5% in Chile to 100% in Mexico. Overall, this systematic review provides an updated scientific overview highlighting persistent challenges in street food safety and E. coli contamination. Across studies, three recurring issues were identified: (1) inadequate and unhygienic vending locations, (2) poor quality of food, and (3) inappropriate food preparation practices. These findings underscore the need for strategic interventions. The evidence presented could support governments and the scientific community in advancing research on E. coli in street foods and implementing corrective measures at local or regional scales, such as educational campaigns for vendors and consumers. Full article
(This article belongs to the Collection Public Health and Quality Aspects Related to Animal Productions)
Show Figures

Figure 1

17 pages, 5747 KB  
Article
Tracing Zoonotic Pathogens Through Surface Water Monitoring: A Case Study in China
by Yi Wang, Xinyan Du, Xin Du, Liu Yi, Fenglan He and Songzhe Fu
Microbiol. Res. 2025, 16(12), 252; https://doi.org/10.3390/microbiolres16120252 - 4 Dec 2025
Viewed by 448
Abstract
Intensive aquaculture and animal farming along riverbanks have emerged as significant drivers of downstream public health risks, facilitating the transmission of zoonotic pathogens and antimicrobial resistance (AMR) genes from farm effluents into natural water systems. In this study, we conducted a comprehensive 12-week [...] Read more.
Intensive aquaculture and animal farming along riverbanks have emerged as significant drivers of downstream public health risks, facilitating the transmission of zoonotic pathogens and antimicrobial resistance (AMR) genes from farm effluents into natural water systems. In this study, we conducted a comprehensive 12-week water monitoring program at the Wei River in Shandong, China, using a combination of rapid detection techniques (RPA-LFD) and whole-genome sequencing to trace the origins of detected pathogens. RPA-LFD screening revealed the sequential appearance of Vibrio parahaemolyticus, Aeromonas veronii, norovirus GII, and Brucella spp. in surface water from March onward, coinciding with documented wastewater discharge events from upstream shrimp and fox farms. Subsequent isolation efforts confirmed the presence of V. parahaemolyticus and A. veronii in both river water and shrimp samples, while Brucella abortus was isolated from fox feces and water samples. Whole-genome sequencing of bacterial isolates revealed that V. parahaemolyticus strains from water and shrimp shared identical sequence types (ST150 and ST809) and resistance gene profiles, indicating a clonal relationship. Similarly, B. abortus isolates from water and fox feces differed by fewer than five SNPs, confirming farm-to-water transmission. Norovirus GII.3 and GII.6 sequences from water and fecal samples clustered phylogenetically with regional clinical strains, suggesting local circulation and environmental dissemination. Our findings highlight the critical role of river water monitoring as an early warning system for pathogen spread, emphasizing the need for integrated surveillance systems that monitor both water quality and the health of upstream farms and wildlife populations. The combined use of RPA-LFD and whole-genome sequencing provides a robust framework for real-time detection and source tracing of zoonotic pathogens, offering valuable insights for future environmental monitoring and public health interventions. Full article
Show Figures

Figure 1

21 pages, 2236 KB  
Article
Impact of an Essential-Oil-Based Oral Rinse on Oral and Gut Microbiota Diversity: A Pilot Study
by Elisa Bona, Francesco Cavarra, Alice Caramaschi, Nadia Massa, Chiara Bazzano, Romeo Patini, Vincenzo Rocchetti and Lia Rimondini
Microbiol. Res. 2025, 16(12), 251; https://doi.org/10.3390/microbiolres16120251 - 30 Nov 2025
Cited by 1 | Viewed by 1188
Abstract
Periodontitis is a multifactorial disease that is primarily driven by bacterial biofilm and oral dysbiosis. Listerine® is a widely used essential-oil-based mouthwash that is well established for its safety and anti-plaque efficacy. However, limited evidence exists regarding its impact on oral microbial [...] Read more.
Periodontitis is a multifactorial disease that is primarily driven by bacterial biofilm and oral dysbiosis. Listerine® is a widely used essential-oil-based mouthwash that is well established for its safety and anti-plaque efficacy. However, limited evidence exists regarding its impact on oral microbial composition or its potential effects on gut microbiota. This pilot study aimed to investigate changes in subgingival microbiota and periodontal indices after Listerine® use and to explore modulation of the gut microbiota. Twelve healthy adults were enrolled, and oral plaque and stool samples were collected at baseline and after a 28-day treatment period. Microbial profiling was performed using next-generation sequencing (NGS) to assess shifts in oral and gut microbiota. The α-diversity and β-diversity indices were computed, and differential abundance analyses were conducted to identify taxa modulated by treatment. NGS-based profiling revealed that oral microbial α-diversity and β-diversity remained stable. Several oral taxa were significantly modulated, including reductions in Gemella haemolysans, Streptococcus oralis and Granulicatella sp., along with increases in Actinomyces viscosus. In the gut microbiota, a modest trend toward reduced Shannon and Simpson diversity indices was observed. Taxonomic shifts included enrichment of the Bacteroides, Phocaeicola and Alistipes species, and decreases in Lachnospiraceae, Intestinibacter sp. and Blautia luti. Despite the limited cohort size and short observation period, these findings suggest that essential-oil-based mouthwash use can transiently modulate both oral and intestinal microbial ecosystems. Full article
Show Figures

Figure 1

20 pages, 1456 KB  
Article
A Situation Analysis of Diagnostic and Management Strategies for Gestational Urinary Tract Infections (UTIs) in Kisumu County, Kenya: Maternal Health Implications and Opportunities for Diagnostic Improvement
by Shivanthi Samarasinghe, Eunice Namuyenga Toko, Ukpai A. Eze, Esther Furaha, Itodo S. Anthony, Tariq Kapasi, Collins Ouma and Bertha Ochieng
Microbiol. Res. 2025, 16(12), 250; https://doi.org/10.3390/microbiolres16120250 - 26 Nov 2025
Viewed by 904
Abstract
Urinary tract infections (UTIs) are linked to adverse pregnancy outcomes, yet epidemiological data on gestational UTIs in Kenya are limited. This study assessed diagnostic and management practices in Kisumu County to inform diagnostic and antimicrobial stewardship. A hospital-based retrospective study was conducted from [...] Read more.
Urinary tract infections (UTIs) are linked to adverse pregnancy outcomes, yet epidemiological data on gestational UTIs in Kenya are limited. This study assessed diagnostic and management practices in Kisumu County to inform diagnostic and antimicrobial stewardship. A hospital-based retrospective study was conducted from February 2020 to February 2021 among 416 records of pregnant women at Chulaimbo and Nyahera Sub-County Hospitals. Socio-demographic, laboratory, and clinical history data were collected using structured forms and analysed in STATA 16.0. Statistical methods included chi-square, multivariate logistic regression, and Spearman’s rank correlation (p ≤ 0.05). Dipstick-based presumptive proportion of UTIs was 57.9% (241/416). Only 1.4% (6/416) had microbiological confirmation despite infections being recorded. The mean maternal age was 23.92 years, parity two, mean antenatal visits two, and mean haemoglobin 10.73 ± 1.8 g/dL. The first antenatal care attendance occurred at varying gestational ages in 56% (233/416). Antibiotics prescribed were 60% from WHO ‘Access’ group and 40% from ‘Watch’ group. Gestational UTI’s in Kisumu County were frequently managed without confirmatory diagnosis, increasing antimicrobial resistance risk. Strengthening management requires better laboratory capacity, sustained financial investment, improved antibiotic access, and adherence to WHO AWaRe guidelines to protect maternal and neonatal health. Full article
Show Figures

Figure 1

19 pages, 1791 KB  
Article
An Insight into Strain-Specificity of Streptomyces chrestomyceticus ADP4 and Identification of a Novel Peptide with Potential Antiviral Activities Against Significant Human Viruses, Including SARS-CoV2, HCV, and HIV
by Varsha Verma, Medicherla Krishna Mohan and Ashok K. Dubey
Microbiol. Res. 2025, 16(12), 249; https://doi.org/10.3390/microbiolres16120249 - 26 Nov 2025
Viewed by 526
Abstract
This study aimed to unravel the genomic uniqueness of Streptomyces chrestomyceticus ADP4 using whole-genome sequence analysis, with a focus on identifying strain-specific genes/proteins associated with a novel therapeutic source. The genome of the strain ADP4 was sequenced and assembled to a total size [...] Read more.
This study aimed to unravel the genomic uniqueness of Streptomyces chrestomyceticus ADP4 using whole-genome sequence analysis, with a focus on identifying strain-specific genes/proteins associated with a novel therapeutic source. The genome of the strain ADP4 was sequenced and assembled to a total size of 9.64 MB. A total of 8378 coding regions were identified. Strain ADP4 was found to be clustered into a clade of the species S. chrestomyceticus. Fifty-one biosynthetic gene clusters were predicted in the genome of the strain ADP4, and three of them were common to all the strains of S. chrestomyceticus. A comparative metabolic profile of S. chrestomyceticus revealed a unique metabolic protein, supporting strain-level variations. Comparative genome analysis led to the identification of the genomic sequences that were specific to the strain ADP4. These strain-specific unique sequences of ADP4 were identified across the available data, underscoring their distinct genetic identity. Among these eight functionally uncharacterized hypothetical proteins (HPs), only two could be assigned with functional attributes, wherein one of them, HP2, was ascertained to be a peptide with possible antiviral activity, underscoring its potential as a novel drug candidate for aantiviraltherapy. The structural validation and peptide–protein molecular docking have evidently demonstrated anantiviralctivity of HP2 against significant human viral pathogens, for example, HIV, SARS-CoV2, HCV, ZIKV, JEV, and DENV. Full article
Show Figures

Figure 1

19 pages, 4035 KB  
Article
Isolation of Lactic Acid Bacteria from Raw Camel Milk in Saudi Arabia and Evaluation of Their Probiotic Potential
by Mohammed Alhejaili, Eman Farrag, Sabry Mahmoud, Abd-Ellah Abd-Alla and Tarek Elsharouny
Microbiol. Res. 2025, 16(12), 248; https://doi.org/10.3390/microbiolres16120248 - 26 Nov 2025
Viewed by 964
Abstract
Milk contains wide microbial diversity, composed mainly of lactic acid bacteria (LAB), which are used as probiotics for both humans and livestock. We isolated, characterized, and evaluated LAB from indigenous Saudi Arabian camel milk to assess its probiotic potential, including antagonistic activity (against [...] Read more.
Milk contains wide microbial diversity, composed mainly of lactic acid bacteria (LAB), which are used as probiotics for both humans and livestock. We isolated, characterized, and evaluated LAB from indigenous Saudi Arabian camel milk to assess its probiotic potential, including antagonistic activity (against Methicillin-Resistant Staphylococcus aureus (MRSA) and Klebsiella pneumoniae), survivability in simulated gastric juice, tolerance to bile salts, cell surface hydrophobicity, auto- and co-aggregation, and antibiotic susceptibility tests. The two most promising LAB strains showed probiotic potential and were identified as Leuconostoc mesenteroides based on 16S rRNA gene sequences. These strains inhibited all pathogens tested to varying degrees and were resistant to kanamycin and vancomycin. None of the LAB cultures demonstrated hemolytic or gelatinase activity. Overall, the current data suggests that camel milk has substantial potential for introducing probiotics/LAB strains into the human food chain, making camel milk a potentially sustainable food. Full article
Show Figures

Figure 1

15 pages, 6418 KB  
Article
Harnessing Bacillus thuringiensis and Bacillus cereus for Effective Biodegradation of Endocrine Disruptor 4-Nonylphenol
by Lian Yang, Fanglian Lu, Deqin Luo and Ranran Dong
Microbiol. Res. 2025, 16(12), 247; https://doi.org/10.3390/microbiolres16120247 - 25 Nov 2025
Viewed by 513
Abstract
4-Nonylphenol (4-NP), an important fine chemical precursor, can cause endocrine disruption, resist natural degradation, and bioconcentrate. Biodegradation is an effective and environmentally sustainable approach to its remediation. This study employed a mixture comprising equal proportions of six non-pathogenic Bacillus strains to screen and [...] Read more.
4-Nonylphenol (4-NP), an important fine chemical precursor, can cause endocrine disruption, resist natural degradation, and bioconcentrate. Biodegradation is an effective and environmentally sustainable approach to its remediation. This study employed a mixture comprising equal proportions of six non-pathogenic Bacillus strains to screen and identify strains capable of degrading 4-NP, and degradation rate was measured using an ELISA kit, and metabolomic analyses and whole-genome sequencing were used to investigate the response of Bacillus to 4-NP and elucidate pathways involved in 4-NP degradation. The results revealed DY and LY strains isolated at 500 μg/L 4-NP. The DY strain was identified as Bacillus thuringiensis, and the LY strain was identified as Bacillus cereus via physiological, biochemical and PCR analyses. The degradation efficiency of a DY and LY strain mixture was 79.45% after 7 days. At 1000 μg/L 4-NP, only the LY strain was successfully isolated. Whole-genome sequencing indicated that the LY strain (accession number: CRA021210) shares the highest homology with B. cereus strain FORC-047. Notably, it showed a degradation rate of 86.34% after 7 days. Metabolomics analysis indicates that 4-NP affects the degradation pathways of aromatic compounds and benzoic acid in B. cereus. Combined with genome data, it is hypothesized that the 4-NP degradation pathway involves its conversion to p-hydroxybenzoic acid, catalyzed by monooxygenases, dioxygenases and oxidases. Subsequently, p-hydroxybenzoic acid degrades via one of two potential pathways: it produces phenol through decarboxylase or is oxidized to benzoic acid by monooxygenase. In summary, the DY and LY strains are capable of degrading 4-NP. Furthermore, we postulate potential 4-NP degradation pathways, providing insights for the remediation of 4-NP in aquatic environments. Full article
(This article belongs to the Topic The Role of Microorganisms in Waste Treatment)
Show Figures

Figure 1

16 pages, 2547 KB  
Article
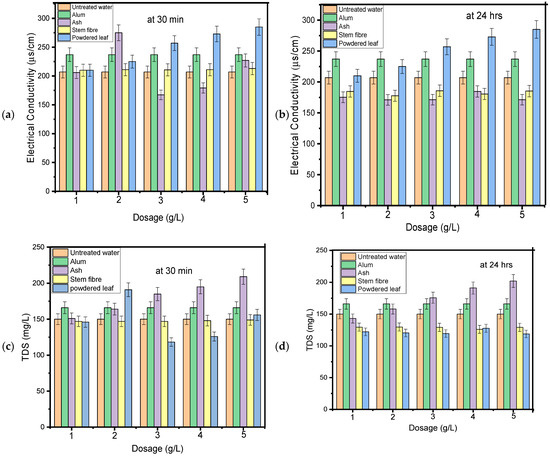
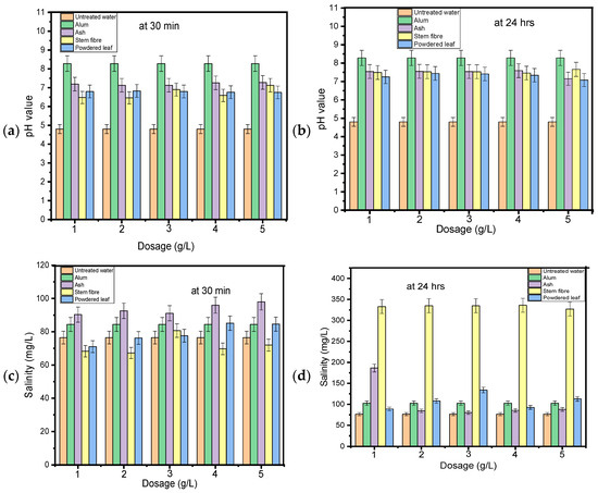
Evaluation of Purification and Disinfection Potentials of Plant-Based Biomass from Wild Sesame Plant
by Adeyemi O. Adeeyo, Hlavangwani N. Eulendah, Mercy Alabi, Joshua A. Oyetade, Titus A. M. Msagati and Rachel Makungo
Microbiol. Res. 2025, 16(12), 246; https://doi.org/10.3390/microbiolres16120246 - 25 Nov 2025
Viewed by 548
Abstract
The limitations reported for conventional approaches in the treatment and disinfection of water have led to a recent exploration in the use of plant-based water treatment solutions. This technique leverages natural, renewable, and often locally available resources with appreciable environmentally friendly features, cost-effectiveness, [...] Read more.
The limitations reported for conventional approaches in the treatment and disinfection of water have led to a recent exploration in the use of plant-based water treatment solutions. This technique leverages natural, renewable, and often locally available resources with appreciable environmentally friendly features, cost-effectiveness, and a sustainable nature compared to chemical and energy-intensive conventional methods. Therefore, the current study aimed to evaluate the water purification and disinfection potential of Sesame plant biomass. The experimental process entails the use of plant fibre, leaf dry matter, and ash for the treatment of sampled water from the river and spring source at concentrations of 1–5 g/L. The physicochemical and microbial properties of river and spring water were evaluated after 30 min and 24 h of treatment. Raw river water showed higher pH, conductivity, salinity, total dissolved solids, and turbidity than spring water. Treatment increased pH in both sources (river 6.86–7.94; spring 6.46–8.28), remaining within regulatory limits. The greatest salinity reduction (79.03 mg/L) occurred with dry leaf matter in river water. Sesame ash showed the strongest antimicrobial effect, inhibiting E. coli by 99% in river water and completely in spring water. The reduction in total coliforms by 98% also highlights its potential for sustainable water purification. Full article
Show Figures

Graphical abstract

Previous Issue
Next Issue
Back to TopTop