Journal Description
Current Oncology
Current Oncology
is an international, peer-reviewed, open access journal published online by MDPI (from Volume 28 Issue 1-2021). Established in 1994, the journal represents a multidisciplinary medium for clinical oncologists to report and review progress in the management of this disease. The Canadian Association of Medical Oncologists (CAMO), the Canadian Association of Psychosocial Oncology (CAPO), the Canadian Association of General Practitioners in Oncology (CAGPO), the Cell Therapy Transplant Canada (CTTC), the Canadian Leukemia Study Group (CLSG) and others are affiliated with the journal and their members receive a discount on the article processing charges.
- Open Access— free for readers, with article processing charges (APC) paid by authors or their institutions.
- High Visibility: indexed within Scopus, SCIE (Web of Science), PubMed, MEDLINE, PMC, Embase, and other databases.
- Journal Rank: JCR - Q2 (Oncology)
- Rapid Publication: manuscripts are peer-reviewed and a first decision is provided to authors approximately 21.5 days after submission; acceptance to publication is undertaken in 2.5 days (median values for papers published in this journal in the first half of 2025).
- Recognition of Reviewers: APC discount vouchers, optional signed peer review, and reviewer names published annually in the journal.
- Journal Clusters of Oncology: Cancers, Current Oncology, Onco and Targets.
Impact Factor:
3.4 (2024);
5-Year Impact Factor:
3.3 (2024)
Latest Articles
Incidence of Hypothyroidism and Thyroid Function Monitoring After Immune Checkpoint Inhibitor Therapy Completion for Lung Cancer: A Nationwide Analysis of a Japanese Claims Database
Curr. Oncol. 2025, 32(10), 558; https://doi.org/10.3390/curroncol32100558 (registering DOI) - 4 Oct 2025
Abstract
Immune checkpoint inhibitors (ICIs) improve lung cancer prognosis but are associated with immune-related adverse events, most commonly thyroid dysfunction. While prior studies and guidelines have focused on thyroid dysfunction during ICI therapy, data on hypothyroidism and its monitoring after ICI therapy remain limited.
[...] Read more.
Immune checkpoint inhibitors (ICIs) improve lung cancer prognosis but are associated with immune-related adverse events, most commonly thyroid dysfunction. While prior studies and guidelines have focused on thyroid dysfunction during ICI therapy, data on hypothyroidism and its monitoring after ICI therapy remain limited. We aimed to investigate hypothyroidism incidence and implementation of thyroid function monitoring after ICI therapy completion in patients with lung cancer. We conducted a retrospective observational study using the DeSC claims database of approximately 12 million individuals in Japan. Patients with lung cancer who received ICI therapy between April 2014 and August 2023 were included; those with a history of thyroid hormone replacement or insufficient follow-up were excluded. Among 6883 eligible patients, 277 (4.0%) developed hypothyroidism requiring hormone replacement post-ICI therapy completion (median onset, 67.0 d). Risk factors included ICI plus bevacizumab therapy and a history of myasthenia gravis, while steroid use for ≥28 d during ICI therapy lowered the risk. Post-ICI therapy completion thyroid monitoring was performed in 73.7% of patients, with test date distribution showing a median of 126.0 d and mode of 21.0 d. Hypothyroidism was frequently found to develop within 2 months post-ICI therapy completion, highlighting the need for continued thyroid monitoring and prospective studies to establish optimal surveillance strategies.
Full article
(This article belongs to the Section Thoracic Oncology)
Open AccessArticle
Perceived Quality-of-Life Importance Among Saudi Gynecologic Cancer Survivors: Latent Class Analysis
by
Wedad M. Almutairi, Fatmah Alsharif, Ahlam Al-Zahrani, Noura Bin Afeef, Alkhnsa Alkeai, Haneen Alfakeeh, Arwa Alzahrani, Nouran Essam Katooa, Fathia Khamis Kassem and Wafa A. Faheem
Curr. Oncol. 2025, 32(10), 557; https://doi.org/10.3390/curroncol32100557 (registering DOI) - 4 Oct 2025
Abstract
Quality-of-life (QoL) needs among gynecologic cancer survivors are multifaceted and culturally mediated, yet limited research has examined how survivors in the Middle East prioritize key domains such as sexual function, emotional well-being, and relational quality. This study aimed to identify subgroups of survivors
[...] Read more.
Quality-of-life (QoL) needs among gynecologic cancer survivors are multifaceted and culturally mediated, yet limited research has examined how survivors in the Middle East prioritize key domains such as sexual function, emotional well-being, and relational quality. This study aimed to identify subgroups of survivors based on the perceived importance of these domains and to explore demographic and clinical predictors of subgroups within the Saudi Arabian context. We conducted a cross-sectional, survey-based study among 129 women with a history of breast or cervical cancer attending a tertiary oncology center in Jeddah, Saudi Arabia. Participants rated the importance of sexual, emotional, and relational QoL domains using a 4-point Likert scale. Latent class analysis (LCA) was used to segment survivors based on their perceived domain importance. Differences in demographic and clinical characteristics across classes were assessed using chi-square tests. A decision tree classifier was employed. Three latent classes emerged: Class 0 (48.8%) prioritized all domains highly; Class 1 (17.8%) reported low importance across domains; and Class 2 (33.3%) emphasized emotional and relational domains while downplaying sexual function. Class group was significantly associated with age (p = 0.001), education (p = 0.04), nationality (p = 0.03), and number of children (p < 0.001). Decision tree analysis identified number of children, age, and marital status as the strongest predictors of high-importance class group. Gynecologic cancer survivors in Saudi Arabia hold diverse priorities regarding QoL domains, primarily shaped by sociocultural context than clinical variables. Tailored survivorship interventions that reflect survivors’ lived values, particularly in relation to age, family structure, and cultural norms, are critical for person-centered oncology care in the region.
Full article
(This article belongs to the Section Gynecologic Oncology)
►▼
Show Figures

Figure 1
Open AccessArticle
Locoregional Treatment in De Novo Bone-Only Metastatic Breast Cancer: Prospective, Multi-Institutional Real-World Data, BOMETIN, Protocol MF14-1a
by
Atilla Soran, Berk Göktepe, Berkay Demirors, Ozgur Aytac, Serdar Ozbas, Lutfi Dogan, Didem Can Trablus, Jamila Al-Azhri, Kazım Senol, Shruti Zaveri, Salyna Meas, Umut Demirci, Hasan Karanlik, Aykut Soyder, Ahmet Dag, Ahmet Bilici, Mutlu Dogan, Mehmet Ali Nahit Sendur, Hande Koksal, Mehmet Ali Gulcelik, Neslihan Cabioglu, Levent Yeniay, Zafer Utkan, Nuri Karadurmus, Gul Daglar, Turgay Simsek, Birol Yildiz, Cihan Uras, Mustafa Tukenmez, Cihangir Ozaslan, Niyazi Karaman, Arda Isik, Efe Sezgin, Vahit Ozmen and Anthony Lucciadd
Show full author list
remove
Hide full author list
Curr. Oncol. 2025, 32(10), 556; https://doi.org/10.3390/curroncol32100556 - 3 Oct 2025
Abstract
Introduction: The impact of locoregional treatment (LRT) on survival in de novo bone-only metastatic breast cancer (dnBOMBC) is controversial. This study aims to assess the effect of LRT on survival, utilizing international, prospectively acquired data in this cohort of patients. Materials and
[...] Read more.
Introduction: The impact of locoregional treatment (LRT) on survival in de novo bone-only metastatic breast cancer (dnBOMBC) is controversial. This study aims to assess the effect of LRT on survival, utilizing international, prospectively acquired data in this cohort of patients. Materials and Methods: Patients with dnBOMBC were divided into two groups: those receiving systemic therapy only (ST) and those undergoing LRT. Further, patients who received LRT were divided into two subgroups: those who received ST after LRT (LRT+ST group) and those who received ST prior to LRT (ST+LRT group). Factors associated with disease progression, including solitary or multiple bone metastases, were analyzed. Results: There was a total of 744 patients with dnBOMBC treated at each of the participating institutions between 2014 and 2022, with 372 (50%) participants in each arm. Median follow-up was 48 months (32–66, 25–75%). Patients in the LRT group were significantly younger than the ST group [50 (42, 60) vs. 55 (44, 66), p = 0.0001]. There were no significant differences in grade, HER2 status, triple-negative status, receipt of hormonal therapy, or intervention to metastatic sites. During follow-up, 58% (n = 217) of patients in the ST group and 32% (n = 120) of patients in the LRT group died (p < 0.001). Local progression was observed in 20% of the patients in the ST group, whereas 9% progressed in the LRT group (p = 0.0001). Systemic progression occurred more in the ST group; 66% (n = 244) compared to 41% (n = 152) of patients in the LRT group (p < 0.001). The hazard of death was 64% lower in the LRT group than in the ST group (HR: 0.36, 95% CI: 0.29–0.45, p < 0.0001). The burden of metastatic disease differed significantly between the two groups, with a higher rate of solitary bone metastases in the LRT group compared to the ST group (50% vs. 24%, p < 0.001). However, the LRT group had better overall survival (OS) for both solitary (HR: 0.38, 95% Cl: 0.26–0.55) and multiple (HR: 0.38, 95% Cl: 0.29–0.51) bone metastasis patients. Within the LRT group, survival rates were similar whether the breast surgery was performed before or after ST. Multivariate Cox analysis showed that LRT and ER/PR positivity significantly decrease the hazard of death (p < 0.05). Conclusions: Analysis of this large multi-institutional patient cohort provides further evidence that LRT is associated with longer OS and lower locoregional recurrence rates in patients with dnBOMBC. In breast cancer patients with bone-only metastases at presentation, the decision for LRT should be made through a multidisciplinary approach with consideration of surgical therapy at the primary tumor.
Full article
(This article belongs to the Section Breast Cancer)
►▼
Show Figures

Figure 1
Open AccessReview
Prevention and Treatment of Postmastectomy Lymphedema: A Physiotherapy Perspective
by
Rosalba León-Díaz and Andrea Medina-Otero
Curr. Oncol. 2025, 32(10), 555; https://doi.org/10.3390/curroncol32100555 - 3 Oct 2025
Abstract
Lymphedema is a frequent complication associated with breast cancer treatment. It is estimated that up to 30% of patients undergoing mastectomy develop this condition within 12 to 24 months post-surgery. In Mexico, the limited emphasis placed on lymphedema prevention in breast cancer patients
[...] Read more.
Lymphedema is a frequent complication associated with breast cancer treatment. It is estimated that up to 30% of patients undergoing mastectomy develop this condition within 12 to 24 months post-surgery. In Mexico, the limited emphasis placed on lymphedema prevention in breast cancer patients is reflected in the insufficient coverage of this issue within official medical guidelines. In this review, research articles, systematic reviews, and official treatment guidelines were retrieved from PubMed, Google Scholar, Elsevier, SciELO, and Redalyc databases, to examine studies about the application and effectiveness of physiotherapy techniques for the prevention, diagnosis, and treatment of postmastectomy lymphedema. Our findings indicate that complex decongestive therapy (CDT) is considered the first-line treatment for lymphedema. Among its components, compression therapy shows the strongest individual evidence base. Nevertheless, studies consistently demonstrate that the combined use of all four components of CDT (manual lymphatic drainage, compression, skin care, and exercise) results in superior patient outcomes. Despite this, CDT is not routinely implemented as a standard of care for patients following mastectomy and/or lymphadenectomy in Mexico. Therefore, there is a pressing need to promote the inclusion of physiotherapy strategies, particularly CDT, in the prevention and management of postmastectomy lymphedema within national healthcare protocols.
Full article
(This article belongs to the Collection New Insights into Breast Cancer Diagnosis and Treatment)
Open AccessArticle
Small Cell Transformation of EGFR-Mutant NSCLC Treated with Tyrosine Kinase Inhibition
by
Adam Rock, Isa Mambetsariev, Siddhika Pareek, Jeremy Fricke, Xiaochen Li, Javier Arias-Romero, Waasil Kareem, Leonidas Arvanitis, Debora S. Bruno, Stacy Gray and Ravi Salgia
Curr. Oncol. 2025, 32(10), 554; https://doi.org/10.3390/curroncol32100554 - 3 Oct 2025
Abstract
Introduction: Epidermal growth factor receptor (EGFR) alterations exist in 15–50% of non-small cell lung cancer (NSCLC) diagnoses. Although effective therapeutics have been developed in the form of tyrosine kinase inhibitors (TKI), various mechanisms of resistance lead to treatment failure after exposure to EGFR
[...] Read more.
Introduction: Epidermal growth factor receptor (EGFR) alterations exist in 15–50% of non-small cell lung cancer (NSCLC) diagnoses. Although effective therapeutics have been developed in the form of tyrosine kinase inhibitors (TKI), various mechanisms of resistance lead to treatment failure after exposure to EGFR TKI-based therapy. Of these, histologic transformation (HT) into small cell lung cancer (SCLC) represents approximately 14% of cases. Methods: Within a single institution, we retrospectively reviewed longitudinal data from both tissue and liquid biopsies of patients with histologic transformation after a diagnosis of EGFR-mutant NSCLC. We sought to further characterize the baseline and emergent genomic alterations after HT to SCLC in the context of TKI exposure, along with germline alterations that may contribute to lineage plasticity and outcomes. Results: Fifteen patients were included in our analysis. Of these, EGFR exon 19 deletions were the most frequent (n = 11, 73.3%), followed by L858R (n = 3, 20%) and L861Q (n = 1, 6.7%). The median time for transformation was 17 months (95%CI, 8.9–41.9 months). The median OS of our cohort was 51.6 months (95%CI, 26.3—NE) with a median OS post-transformation of 13.4 months. Recurrent genomic alterations included TP53, Rb1, PIK3CA, and BRAF. Germline testing revealed a pathogenic alteration in FBN1, with a recurrent variant of unknown significance (VUS) in PALLD. Conclusion: Post-transformation somatic mutation testing and germline testing at presentation revealed unique mutational profiles not previously reported in the setting of HT to SCLC. Further investigations are required to determine the optimal treatment and sequencing following HT.
Full article
(This article belongs to the Section Thoracic Oncology)
►▼
Show Figures

Figure 1
Open AccessArticle
Beyond Biology: Uncovering Structural and Sociocultural Predictors of Breast Cancer Incidence Worldwide
by
Janet Diaz-Martinez, Gustavo A. Hernández-Fuentes, Josuel Delgado-Enciso, Mario A. Alcalá-Pérez, Isaac Jiménez-Calvo, Carmen A. Sánchez-Ramírez, Fabian Rojas-Larios, Alejandrina Rodriguez-Hernandez, Mario Ramírez-Flores, José Guzmán-Esquivel, Karmina Sánchez-Meza, Ana C. Espíritu-Mojarro, Osval A. Montesinos-López and Iván Delgado-Enciso
Curr. Oncol. 2025, 32(10), 553; https://doi.org/10.3390/curroncol32100553 - 2 Oct 2025
Abstract
Breast cancer remains a leading cause of global cancer burden, with marked differences in incidence across countries. While biological risk factors are well established, understanding the broader structural and sociocultural influences has been less comprehensive. In this study, we analyzed harmonized data from
[...] Read more.
Breast cancer remains a leading cause of global cancer burden, with marked differences in incidence across countries. While biological risk factors are well established, understanding the broader structural and sociocultural influences has been less comprehensive. In this study, we analyzed harmonized data from 183 countries (2017–2023), encompassing 33 variables and 7 subvariables related to demographics, nutrition, environment, health, and healthcare access, drawn from open-access international databases. Spearman correlation analysis identified strong positive associations between breast cancer incidence and discontinued breastfeeding, high LDL cholesterol, out-of-pocket healthcare expenditure, and educational attainment. Conversely, poor sanitation, lack of handwashing facilities, unsafe water, and certain nutritional deficiencies exhibited robust negative correlations, likely reflecting under detection and reporting limitations in lower-resource settings rather than true protective effects. These findings were further explored using multiple linear regression, which explained approximately 73% of the variance in global breast cancer incidence. The final model highlighted discontinued breastfeeding, prevalence of cocaine use, unsafe sanitation, high out-of-pocket healthcare expenditure, limited handwashing access, and high processed meat consumption as the most influential independent predictors. Receiver operating characteristic (ROC) analysis confirmed strong predictive value for discontinued breastfeeding and out-of-pocket expenditure, with sanitation and hygiene variables showing paradoxical inverse associations. Our results emphasize that breast cancer risk is shaped not only by individual behaviors and genetics, but also by larger-scale structural, socioeconomic, and environmental factors. These patterns suggest that targeted interventions addressing both lifestyle behaviors and systemic inequities—such as promoting breastfeeding, reducing financial barriers to healthcare, and strengthening public health infrastructure—could meaningfully reduce the global burden of breast cancer. In conclusion, this study underscores the importance of multisectoral, equity-focused prevention strategies. It also highlights the value of country-level ecological analyses in uncovering upstream determinants of cancer incidence and calls for further research to disentangle individual and contextual effects in cancer epidemiology.
Full article
(This article belongs to the Special Issue Social Determinants of Health and Breast Cancer: Impacts on Diagnosis, Treatment, and Outcomes)
►▼
Show Figures

Figure 1
Open AccessArticle
A Goal Without a Plan Is Just a Wish—Creating a Personalized Aftercare Plan for Breast Cancer Patients Supported by the Breast Cancer Aftercare Decision Aid
by
A. Dekker-Klaassen, C. H. C. Drossaert, R. Thé, A. M. Zeillemaker, M. van Hezewijk, I. M. De Keulenaar-Suiker, B. J. Knottnerus, A. Honkoop, M. L. van der Lee, J. C. Korevaar, S. Siesling and on behalf of the NABOR Project Group
Curr. Oncol. 2025, 32(10), 552; https://doi.org/10.3390/curroncol32100552 - 1 Oct 2025
Abstract
Aftercare plans can support breast cancer patients’ self-management after curative treatment but are often not personalized and limitedly applied by healthcare practitioners (HCPs). This study aimed to develop a tool integrating information provision and assessment of patients’ goals and needs, to support the
[...] Read more.
Aftercare plans can support breast cancer patients’ self-management after curative treatment but are often not personalized and limitedly applied by healthcare practitioners (HCPs). This study aimed to develop a tool integrating information provision and assessment of patients’ goals and needs, to support the creation and application of a personalized aftercare plan. A multidisciplinary workgroup guided the development by defining the target audience, scope and purpose. Needs of 18 patients and 15 HCPs were assessed to determine the tool’s content and format. Usability tests of a prototype among 7 patients and 10 HCPs informed improvements and finalization. The tool, called ‘Breast Cancer Aftercare Decision Aid’ (BC-ADA), provides information on potential effects of cancer and support options on five domains: physical wellbeing, emotions, relationships, regaining trust and return to daily routine. Patients can indicate which domain(s) they wish to improve, what resources they have and where additional help is needed. Based on their answers, patients can create an aftercare plan together with the HCP, including personal goals, specific actions and agreements on follow-up. Usability and acceptability were positively evaluated by both patients and HCPs. The BC-ADA seems promising in supporting personalized aftercare decision-making and is currently being tested in the NABOR-study in Dutch hospitals.
Full article
(This article belongs to the Special Issue Pathways to Recovery and Resilience in Breast Cancer Survivorship)
►▼
Show Figures

Figure 1
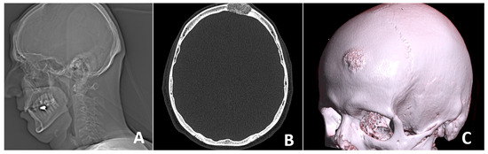
Open AccessCase Report
Removal of a Recurrent Calvarial Hemangioma Followed by Autologous Iliac Crest Bone Reconstruction: A Case-Based Experience
by
Kostadin Gigov, Ivan Ginev and Dobromira Shopova
Curr. Oncol. 2025, 32(10), 551; https://doi.org/10.3390/curroncol32100551 - 30 Sep 2025
Abstract
►▼
Show Figures
Restoring the integrity of the calvaria due to diploic cavernous hemangioma removal possesses surgical complexity regarding the location of the tumor and the intricacy of the reconstruction method. We report a case of a 36-year-old male with a recurrent cavernous hemagioma, affecting the
[...] Read more.
Restoring the integrity of the calvaria due to diploic cavernous hemangioma removal possesses surgical complexity regarding the location of the tumor and the intricacy of the reconstruction method. We report a case of a 36-year-old male with a recurrent cavernous hemagioma, affecting the frontal bone. The patient had undergone surgical extirpation of the primary lesion six years ago in a different plastic surgery department with histological verification. He presented to our department with local recurrence at the same site. The lesion was completely resected, followed by calvarial reconstruction using autologous non-vascularized bone graft harvested from the iliac crest. Histology confirmed the recurrence of a benign cavernous hemangioma. Postoperative recovery was devoid of complications, and a follow-up CT scan after 6 months revealed no recurrence, with stable graft integration. A major insight of this manuscript includes the discussion of the benefits of using autologous bone in young patients instead of synthetic counterparts.
Full article

Figure 1
Open AccessCase Report
From Chronic Lymphocytic Leukemia to Plasmablastic Myeloma: Beyond the Usual Richter Transformation
by
Mathias Castonguay, Marie-France Gagnon, Alexandre Le Nguyen, Rafik Terra, Sarah-Jeanne Pilon, Guylaine Lépine, Richard LeBlanc, Jean Roy, Sandra Cohen, Isabelle Fleury, Luigina Mollica, Olivier Veilleux and Jean-Sébastien Claveau
Curr. Oncol. 2025, 32(10), 550; https://doi.org/10.3390/curroncol32100550 - 30 Sep 2025
Abstract
Background: Richter transformation (RT) is defined as the histologic transformation of Chronic Lymphocytic Leukemia (CLL) to either diffuse large B-cell lymphoma or Hodgkin lymphoma. Transformation into lymphoproliferative neoplasms with plasmablastic differentiation is exceptionally rare and poorly characterized. Case Presentation: We present the first
[...] Read more.
Background: Richter transformation (RT) is defined as the histologic transformation of Chronic Lymphocytic Leukemia (CLL) to either diffuse large B-cell lymphoma or Hodgkin lymphoma. Transformation into lymphoproliferative neoplasms with plasmablastic differentiation is exceptionally rare and poorly characterized. Case Presentation: We present the first case of a patient with CLL evolving into plasmablastic myeloma (PBM). A 62-year-old man with previously treated CLL developed thrombocytopenia and rapidly progressive acute kidney injury. Serum electrophoresis showed new IgA-λ protein (2.2 g/L) with λ and κ light chains at 3445.4 and 7.3 mg/L. Bone marrow examination showed extensive infiltration (>95%) by plasmablasts and mature plasma cells, with a consistent immunophenotype (CD38+, CD138+, MUM1+, CD19−, CD20−). In situ hybridization with EBER was negative. Mutation assessment by NGS demonstrated a TP53 mutation and FISH prob panel revealed a new del17p. Clonal relatedness was confirmed by shared IGHV somatic hypermutation using NGS. The patient was primary refractory to frontline myeloma therapy with Dara-VRd and succumbed rapidly to his disease. Discussion: This case illustrates an exceptionally rare form of RT. Recognition and incorporation in new classifications of plasmablastic RT as a distinct entity is critical, as its biology and resistance profile differ from classical RT.
Full article
(This article belongs to the Special Issue 2nd Edition—Haematological Neoplasms: Diagnosis and Management)
►▼
Show Figures

Figure 1
Open AccessArticle
Impact of COVID-19 on Universal Tumor Screening, Referral Rates and Attendance at Cancer Genetic Counseling at a Safety-Net University Hospital
by
Dimitrios N. Varvoglis, Kelsey R. Landrum, Lydia H. Comer, Julianne M. O’Daniel, Chris B. Agala, Lacey M. Lee and José G. Guillem
Curr. Oncol. 2025, 32(10), 549; https://doi.org/10.3390/curroncol32100549 - 30 Sep 2025
Abstract
Universal tumor screening (UTS) of all newly diagnosed colorectal cancers (CRCs) for the identification of Lynch syndrome (LS) is recommended. We explored the impact of the COVID-19 pandemic on the UTS process in a safety-net university hospital to identify areas of vulnerability and
[...] Read more.
Universal tumor screening (UTS) of all newly diagnosed colorectal cancers (CRCs) for the identification of Lynch syndrome (LS) is recommended. We explored the impact of the COVID-19 pandemic on the UTS process in a safety-net university hospital to identify areas of vulnerability and opportunities for improvement. Patients undergoing resection of a primary CRC were categorized into three cohorts based on surgery date relative to the pandemic (pre-[2018,2019], early-[2020,2021] and late-[2022]). Data regarding (1) UTS performance of immunohistochemistry (IHC) for LS genes and microsatellite instability (MSI) testing; (2) referrals to cancer genetic counseling (CGC) based on mismatch repair deficient (dMMR) status and/or age < 50 years at diagnosis; (3) attendance at CGC; and (4) reasons for not attending CGC were extracted. Between 2018 and 2022, 342 patients underwent resection of a CRC. During the three time periods (pre-, early- and late-pandemic), 93%, 94% and 96% of cases were screened with at least MMR IHC, respectively. Of the patients eligible for referral to CGC in each time period, 60%, 71% and 63% had a referral submitted. Of these, 23%, 36% and 20% in each time period did not attend CGC, with the most common reason for not attending being the inability of schedulers to reach the patient. Although the COVID-19 pandemic did not cause significant variation in the different steps of the UTS process, CGC utilization remained suboptimal throughout the three time periods. Further research on barriers preventing physicians from referring patients to CGC as well as schedulers inability to reach eligible patients should be pursued.
Full article
(This article belongs to the Section Surgical Oncology)
►▼
Show Figures

Graphical abstract
Open AccessBrief Report
Mechanistically Explainable AI Model for Predicting Synergistic Cancer Therapy Combinations
by
Han Si, Sanyam Kumar, Sneh Lata, Arshad Ahmad, Saurav Ghosh, Karen Stephansen, Deepti Nagarkar, Eda Zhou and Brandon W. Higgs
Curr. Oncol. 2025, 32(10), 548; https://doi.org/10.3390/curroncol32100548 - 30 Sep 2025
Abstract
This study introduces a Large Language Model (LLM)-based framework that combines drug combination data with a knowledge graph to predict synergistic oncology drug combinations with mechanistic insights. Using a retrieval-augmented generation (RAG) approach, over 50,000 in vitro drug pair assay results and 1631
[...] Read more.
This study introduces a Large Language Model (LLM)-based framework that combines drug combination data with a knowledge graph to predict synergistic oncology drug combinations with mechanistic insights. Using a retrieval-augmented generation (RAG) approach, over 50,000 in vitro drug pair assay results and 1631 human clinical trial and preclinical test entries were integrated to enhance predictive accuracy and explainability. Validation achieved an F1 score of 0.80, demonstrating the framework’s potential to streamline drug discovery and improve translational strategies in cancer treatment.
Full article
(This article belongs to the Special Issue Shaping the Future of Oncology: The Role of Generative AI in Clinical and Research Environments)
►▼
Show Figures

Figure 1
Open AccessArticle
Collaborative Funding Model to Improve Quality of Care for Metastatic Breast Cancer in Europe
by
Matti S. Aapro, Jacqueline Waldrop, Oriana Ciani, Amanda Drury, Theresa Wiseman, Marianna Masiero, Joanna Matuszewska, Shani Paluch-Shimon, Gabriella Pravettoni, Franziska Henze, Rachel Wuerstlein, Marzia Zambon, Sofía Simón Robleda, Pietro Presti and Nicola Fenderico
Curr. Oncol. 2025, 32(10), 547; https://doi.org/10.3390/curroncol32100547 - 30 Sep 2025
Abstract
Breast cancer (BC) is the most frequently diagnosed malignancy in women. Currently, BC is treated with a holistic and multidisciplinary approach from diagnostic, surgical, radio-oncological, and medical perspectives, and advances including in early detection and treatment methods have led to improved outcomes for
[...] Read more.
Breast cancer (BC) is the most frequently diagnosed malignancy in women. Currently, BC is treated with a holistic and multidisciplinary approach from diagnostic, surgical, radio-oncological, and medical perspectives, and advances including in early detection and treatment methods have led to improved outcomes for patients in recent years. Yet, BC remains the second most common cause of cancer-related deaths among women and there is an array of gaps to achieve optimal care. To close gaps in cancer care, here we describe a collaborative Request For Proposals (RFP) framework supporting independent initiatives for metastatic breast cancer (MBC) patients and aiming at improving their quality of care. We set up a collaborative framework between Pfizer and Sharing Progress in Cancer Care (SPCC). Our model is based on an RFP system in which Pfizer and SPCC worked together ensuring the independence of the funded projects. We developed a three-step life cycle RFP. The collaborating framework of the project was based on an RFP with a USD 1.5 million available budget for funding independent grants made available from Pfizer and managed in terms of awareness, selection, and monitoring by SPCC. Our three-step model could be applicable and scalable to quality improvement (QI) initiatives that are devoted to tackling obstacles to reaching optimal care. Through this model, seven projects from five different European countries were supported. These projects covered a range of issues related to the experience of patients with MBC: investigator communication, information, and shared decision-making (SDM) practices across Europe; development, delivery, and evaluation of a scalable online educational program for nurses; assessment of disparities among different minority patient groups; development of solutions to improve compliance or adherence to therapy; an information technology (IT) solution to improve quality of life (QoL) of patients with MBC and an initiative to increase awareness and visibility of MBC patients. Overall, an average of 171 healthcare professionals (HCPs) per project and approximately 228,675 patients per project were impacted. We set up and describe a partnership model among different stakeholders within the healthcare ecosystem―academia, non-profit organizations, oncologists, and pharmaceutical companies―aiming at supporting independent projects to close gaps in the care of patients with MBC. By removing barriers at different layers, these projects contributed to the achievement of optimal care for patients with MBC.
Full article
(This article belongs to the Section Breast Cancer)
►▼
Show Figures

Figure 1
Open AccessReview
Natural and Synthetic Compounds Against Colorectal Cancer: An Update of Preclinical Studies in Saudi Arabia
by
Mansoor-Ali Vaali-Mohammed, Adhila Nazar, Mohamad Meeramaideen and Saleha Khan
Curr. Oncol. 2025, 32(10), 546; https://doi.org/10.3390/curroncol32100546 - 29 Sep 2025
Abstract
Colorectal cancer (CRC) remains a major contributor to global cancer-related mortality, with rising incidence observed in several regions, including Saudi Arabia. This review compiles and critically analyzes recent preclinical research from Saudi-based institutions that investigates the anti-CRC potential of natural and synthetic compounds.
[...] Read more.
Colorectal cancer (CRC) remains a major contributor to global cancer-related mortality, with rising incidence observed in several regions, including Saudi Arabia. This review compiles and critically analyzes recent preclinical research from Saudi-based institutions that investigates the anti-CRC potential of natural and synthetic compounds. Numerous natural products such as Nigella sativa, Moringa oleifera, Curcuma longa, and marine-derived metabolites have demonstrated cytotoxic effects through pathways involving apoptosis induction, reactive oxygen species (ROS) generation, and inhibition of nuclear factor kappa-light-chain-enhancer of activated B cells (NF-κB) and cyclooxygenase-2 (COX-2). In parallel, synthetic and semi-synthetic agents, including C4–G4 (semi-synthetic hybrids designed from flavonoids and benzoxazole scaffolds that act as dual epidermal growth factor receptor (EGFR)/COX-2 inhibitors)), oxazole derivatives, and camptothecin-based nanocarriers, exhibit promising anti-tumor activity via molecular targeting of cyclin-dependent kinase 8 (CDK8), phosphatidylinositol 3-kinase/protein kinase B (PI3K/Akt), and β-catenin pathways. Selected in vivo studies primarily utilizing xenograft and chemically induced rodent models have shown reductions in tumor volume and modulation of apoptotic and inflammatory biomarkers. Additionally, green-synthesized metallic nanoparticles (NPs) and polyethylene glycol (PEG)-modified carriers have been investigated to improve bioavailability and tumor targeting of lead compounds. While these findings are encouraging, the majority remain in preclinical phases. Limitations such as poor solubility, lack of pharmacokinetic data, and absence of clinical trials impede translational progress. This review highlights the need for standardized evaluation protocols, mechanistic validation, and region-specific clinical studies to assess efficacy and safety. Given Saudi Arabia’s rich biodiversity and growing research capacity under national strategies like Vision 2030, the country is well-positioned to contribute meaningfully to CRC drug discovery. By integrating bioactive natural products, rationally designed synthetics, and advanced delivery platforms, a pipeline of innovative CRC therapeutics tailored to local and global contexts may be realized.
Full article
(This article belongs to the Section Gastrointestinal Oncology)
►▼
Show Figures

Figure 1
Open AccessReview
Role of Radiation Therapy for Biliary Tract Cancers
by
Molly A. Chakraborty, Ritesh Kumar, Brett L. Ecker, Haejin In, Russell C. Langan, Mariam Eskander and Salma K. Jabbour
Curr. Oncol. 2025, 32(10), 545; https://doi.org/10.3390/curroncol32100545 - 28 Sep 2025
Abstract
Biliary tract cancers include cholangiocarcinoma, gallbladder cancer, and ampullary cancer. Although overall rare, the incidence is increasing globally, particularly the subset of intrahepatic cholangiocarcinoma. Surgery is currently considered to be the only curative treatment approach; however, survival outcomes after surgery remain poor. Moreover,
[...] Read more.
Biliary tract cancers include cholangiocarcinoma, gallbladder cancer, and ampullary cancer. Although overall rare, the incidence is increasing globally, particularly the subset of intrahepatic cholangiocarcinoma. Surgery is currently considered to be the only curative treatment approach; however, survival outcomes after surgery remain poor. Moreover, many patients already have advanced-stage, unresectable disease at the time of diagnosis. Herein, we will review the role of adjuvant radiotherapy to improve local control after surgery, the role of neoadjuvant radiotherapy to increase the proportion of patients able to undergo surgery, and the use of definitive/palliative radiotherapy to provide local control/symptom relief for patients who have inoperable disease. Most studies observed a survival benefit associated with radiotherapy, with the strongest evidence for those with high-risk disease features (e.g., positive surgical margins, lymph node involvement). However, due to the low incidence of biliary tract cancers, most existing studies are retrospective; there is very limited randomized data and prospective studies tend to have small sample sizes, underscoring the need for more high-quality research on radiotherapy for biliary tract cancers. As some studies show evidence of a dose-dependent response, further investigation into the delivery of dose-escalated radiotherapy with modern techniques such as proton therapy is warranted.
Full article
(This article belongs to the Special Issue Biliary Tract Cancer Updates: Advancements and Insights)
Open AccessArticle
Breast Cancer Family History and Behavioral Health Intentions: An Esteem-Relevant Mechanism Informed by the Terror Management Health Model
by
Emily P. Courtney and Jamie L. Goldenberg
Curr. Oncol. 2025, 32(10), 544; https://doi.org/10.3390/curroncol32100544 - 28 Sep 2025
Abstract
The terror management health model (TMHM) offers a framework to investigate how concerns about mortality can motivate health-related behaviors through actions that bolster self-esteem. This framework may be especially useful for examining how a family history of breast cancer influences preventative breast health
[...] Read more.
The terror management health model (TMHM) offers a framework to investigate how concerns about mortality can motivate health-related behaviors through actions that bolster self-esteem. This framework may be especially useful for examining how a family history of breast cancer influences preventative breast health behaviors. Women with no family history, a family history where a family member survived breast cancer, and those who lost a family member to the disease were recruited to participate in one of two preregistered online studies. Participants completed measures of perceived susceptibility, associations of breast cancer with death, breast health esteem, and behavioral breast health intentions. In both studies, the effect of family history on behavioral intentions was serially mediated by susceptibility perceptions, breast cancer–death association, and feelings of esteem related to breast health behaviors. There were no effects of priming mortality. Taken together, the results suggest that both susceptibility perceptions and death associations are critical for encouraging breast health behaviors among women with family history, and this works through a mechanism relevant to self-esteem. Interventions may be more effective when they emphasize the esteem value of breast health behaviors for individuals at increased risk.
Full article
(This article belongs to the Section Breast Cancer)
►▼
Show Figures

Figure 1
Open AccessOpinion
Contemporary Fixed-Duration Treatment Options in the First-Line Setting of Chronic Lymphocytic Leukemia: Perspectives from a Publicly Funded Healthcare System
by
Christopher Lemieux, Chai W. Phua, K. Sue Robinson, Carolyn Owen and Versha Banerji
Curr. Oncol. 2025, 32(10), 543; https://doi.org/10.3390/curroncol32100543 - 28 Sep 2025
Abstract
First-line options for chronic lymphocytic leukemia (CLL) are evolving, recently returning to a fixed-duration (FD) approach incorporating regimens such as venetoclax + obinutuzumab, ibrutinib + venetoclax, and soon acalabrutinib + venetoclax ± obinutuzumab. Five Canadian hematologists convened to share perspectives regarding the attributes
[...] Read more.
First-line options for chronic lymphocytic leukemia (CLL) are evolving, recently returning to a fixed-duration (FD) approach incorporating regimens such as venetoclax + obinutuzumab, ibrutinib + venetoclax, and soon acalabrutinib + venetoclax ± obinutuzumab. Five Canadian hematologists convened to share perspectives regarding the attributes of these options and considerations for clinically appropriate integration within Canada’s publicly funded healthcare system. The hematologists underscored the importance of shared decision-making with patients, family members, and caregivers involving careful consideration of disease profile and patient characteristics, preferences, and values. They indicated that although a role persists for continuous therapy with approved covalent Bruton’s tyrosine kinase inhibitors (typically in high-risk disease), newer FD regimens offer multiple benefits related to the treatment-free period, quality of life, safety, re-treatment, healthcare resource utilization, and costs. The hematologists highlighted the appeal of all-oral FD combinations given their convenience and impact on treatment equity, factors especially compelling given Canada’s vast geography and large segment of rural populations. In closing, they emphasized the quickly evolving therapeutic setting of CLL in the 1L and beyond, underscoring the need for ongoing patient involvement in decision-making to support optimal treatment selection based on patient goals and within the confines of provincial funding.
Full article
(This article belongs to the Section Hematology)
Open AccessArticle
Real-World Prevalence, Treatment Patterns, and Economic Impact of EGFR- and ALK-Targeted Therapies in Non-Small Cell Lung Cancer: A Nationwide Analysis from Greece
by
George Gourzoulidis, Catherine Kastanioti, George Mavridoglou, Theodore Kotsilieris, Anastasios Tsolakidis, Konstantinos Mathioudakis, Dikaios Voudigaris and Charalampos Tzanetakos
Curr. Oncol. 2025, 32(10), 542; https://doi.org/10.3390/curroncol32100542 - 27 Sep 2025
Abstract
Objectives: To determine the prescribing prevalence of epidermal growth factor receptor (EGFR)- and anaplastic lymphoma kinase (ALK)-positive non-small cell lung cancer (NSCLC) patients in Greece and examine patterns of first-line tyrosine kinase inhibitor (TKI) utilization and associated treatment costs using nationwide real-world data.
[...] Read more.
Objectives: To determine the prescribing prevalence of epidermal growth factor receptor (EGFR)- and anaplastic lymphoma kinase (ALK)-positive non-small cell lung cancer (NSCLC) patients in Greece and examine patterns of first-line tyrosine kinase inhibitor (TKI) utilization and associated treatment costs using nationwide real-world data. Methods: A retrospective analysis of the national e-prescription database was performed, identifying patients initiating first-line treatment (FLT) for EGFR- or ALK-positive NSCLC between 1 January 2020 and 31 December 2022. Demographic characteristics, prescribing prevalence data, drug utilization patterns, total annual drug expenditures, and per patient treatment costs were assessed. All statistical analyses were performed using the statistical software SPSS-v.29. Results: Overall, 1188 EGFR-positive (mean age of 70.93 ± 11.6) and 246 (mean age of 64.26 ± 12.6) ALK-positive NSCLC patients initiated FLT during the three-year study period. EGFR mutations were slightly more common in females (53%), peaking in the 70–79 age group (35%). ALK mutations were also more common among females (52%), particularly within the 60–79 age group. In EGFR-positive patients, osimertinib usage markedly increased from 41% in 2020 to 63% in 2022, primarily displacing afatinib (from 32% to 22%) and erlotinib (from 24% to 14%), with gefitinib prescriptions falling below 2%. Among ALK-positive patients, crizotinib utilization declined significantly from 60% to 16%, whereas alectinib increased to 59% by 2022. Annual EGFR-related total drug expenditures remained stable (€11.5 million in 2020 vs. €11.9 million in 2022), driven primarily by increasing osimertinib usage. Similarly, ALK-related annual drug expenditures showed stability, with costs predominantly attributed to rising alectinib utilization. Conclusions: This nationwide analysis highlights the rapid adoption of second- and third-generation TKIs for EGFR- and ALK-positive NSCLC in Greece, reflecting evolving clinical practice patterns. Although the target patient populations are relatively small, the associated economic burden is considerable. To ensure long-term sustainability of the Greek healthcare system, policymakers should critically assess the cost-effectiveness of these innovative therapies and align resource allocation with value-based care principles.
Full article
(This article belongs to the Special Issue Cost Effectiveness vs. Affordability in the Age of Targeted Drug Therapies)
►▼
Show Figures

Figure 1
Open AccessArticle
Phase Ib/II Study of Pamiparib Plus Radiation Therapy and/or Temozolomide in Adult Patients with Treatment-Naïve or Recurrent/Refractory Glioblastoma
by
Anna F. Piotrowski, Kent Shih, Pierre Giglio, Howard Colman, Patrick Y. Wen, Jian Li Campian, Nicholas Butowski, Timothy Cloughesy, Zhaoyin Zhu, Vitaliy Gisin and Michael Badruddoja
Curr. Oncol. 2025, 32(10), 541; https://doi.org/10.3390/curroncol32100541 - 27 Sep 2025
Abstract
Pamiparib, a small-molecule poly (ADP-ribose) polymerase (PARP) 1/2 inhibitor, demonstrates strong PARP-DNA complex trapping, antitumor activity, and blood–brain barrier penetration. This phase Ib/II dose-escalation study (NCT03150862) investigated pamiparib’s tolerability/safety and efficacy when combined with radiotherapy and/or low-dose temozolomide (TMZ) in patients with treatment-naïve
[...] Read more.
Pamiparib, a small-molecule poly (ADP-ribose) polymerase (PARP) 1/2 inhibitor, demonstrates strong PARP-DNA complex trapping, antitumor activity, and blood–brain barrier penetration. This phase Ib/II dose-escalation study (NCT03150862) investigated pamiparib’s tolerability/safety and efficacy when combined with radiotherapy and/or low-dose temozolomide (TMZ) in patients with treatment-naïve (Arms A and B) and recurrent/refractory (Arm C) glioblastoma. The recommended phase II dose for Arm A was pamiparib 60 mg twice daily (BID) for 6 weeks with 6–7 weeks radiotherapy; the recommended dose for Arm C was pamiparib 60 mg BID plus 60 mg TMZ (days 1–7; 28-day cycle). The Arm B escalation cohort completed enrollment; the expansion cohort was not opened. Grade ≥3 treatment-emergent adverse events (TEAEs)/serious TEAEs were observed in 55.0%/36.7% (Arm A), 44.4%/22.2% (Arm B), and 66.0%/38.3% (Arm C) of patients. Disease control and objective response rates were 67.9% and 11.3%, respectively, for treatment-naïve patients in the dose-escalation and -expansion studies, and 40.9% and 13.6%, respectively, for recurrent/refractory patients. Median overall survival for treatment-naïve MGMT unmethylated patients was 12.8 months and 7.3 months for recurrent/refractory MGMT methylated and unmethylated patients. Pamiparib with radiotherapy and/or low-dose TMZ was tolerable for treatment-naïve or recurrent/refractory glioblastoma. Treatment-emergent cytopenia was manageable and reversible with dose reductions/interruptions. Combination regimens demonstrated antitumor activity.
Full article
(This article belongs to the Section Neuro-Oncology)
►▼
Show Figures

Figure 1
Open AccessCase Report
Integrative Genomic and Clinicopathologic Characterization of Pure Primary Ovarian Large Cell Neuroendocrine Carcinoma: A Case Report and Molecular Insight
by
Hyonjee Yoon, Chaewon Kim, Yongseok Lee, Jimin Ahn and Minjin Jeong
Curr. Oncol. 2025, 32(10), 540; https://doi.org/10.3390/curroncol32100540 - 27 Sep 2025
Abstract
Primary ovarian large cell neuroendocrine carcinoma is an extremely rare and aggressive gynecologic malignancy with poorly defined molecular characteristics and no standard treatment protocols. We present a case of pure ovarian LCNEC in a postmenopausal woman who underwent optimal cytoreductive surgery followed by
[...] Read more.
Primary ovarian large cell neuroendocrine carcinoma is an extremely rare and aggressive gynecologic malignancy with poorly defined molecular characteristics and no standard treatment protocols. We present a case of pure ovarian LCNEC in a postmenopausal woman who underwent optimal cytoreductive surgery followed by platinum-based chemotherapy. Histopathologic and immunohistochemical analyses confirmed the diagnosis. Next-generation sequencing (NGS) revealed a pathogenic BRCA2 frameshift mutation (c.7177dupA), an ATM nonsense mutation, and Tier II mutations in TP53 and PTEN. The tumor exhibited homologous recombination deficiency (HRD), microsatellite instability-high (MSI-H), and an exceptionally high tumor mutational burden (TMB) of 277.49 mutations/Mb. These molecular alterations closely resemble those observed in high-grade neuroendocrine carcinomas of cervical and endometrial origin, suggesting a convergent genomic profile across gynecologic neuroendocrine carcinomas (NECs). Our findings underscore the potential of comprehensive genomic profiling in rare tumors such as ovarian LCNEC to refine diagnosis and identify candidates for biomarker-driven therapies, including PARP inhibitors and immune checkpoint inhibitors. This case supports the integration of molecular diagnostics into clinical practice and highlights the need for prospective studies incorporating molecular stratification to inform treatment strategies for rare and aggressive neuroendocrine tumors.
Full article
(This article belongs to the Special Issue High-Grade Neuroendocrine Neoplasms)
►▼
Show Figures

Figure 1
Open AccessReview
The Role of LncRNAs in Radio- and Chemoresistance of Glioblastoma: Prognostic or Therapeutic?
by
Elisa Tremante, Ana Belén Díaz Méndez and Maria Giulia Rizzo
Curr. Oncol. 2025, 32(10), 539; https://doi.org/10.3390/curroncol32100539 - 27 Sep 2025
Abstract
Malignant brain tumors remain highly challenging to treat due to intrinsic and acquired therapy resistance and limited therapeutic options, consequently contributing to poor prognosis. Advancing the understanding of resistance mechanisms alongside novel treatment strategies is essential to improve clinical outcomes. Altered gene expression
[...] Read more.
Malignant brain tumors remain highly challenging to treat due to intrinsic and acquired therapy resistance and limited therapeutic options, consequently contributing to poor prognosis. Advancing the understanding of resistance mechanisms alongside novel treatment strategies is essential to improve clinical outcomes. Altered gene expression is common in tumors, and a specific class of non-coding RNAs, particularly long non-coding RNAs (lncRNAs), is frequently deregulated. LncRNAs play critical roles in processes such as cell proliferation, cell cycle arrest, and metastasis in brain cancer, functioning either as tumor promoters or suppressors. They exert their effects through transcriptional and post-transcriptional regulatory mechanisms. Understanding the functional roles of lncRNAs in malignant brain tumors has become a priority, as they are differentially expressed in tumors compared to healthy tissue. These molecules are studied for their potential as therapeutic targets and biomarkers in oncology. This review provides an overview of current research on brain cancer and lncRNAs, emphasizing the need for further investigation into their specific roles in therapy resistance and their involvement in various pathways. A better understanding of lncRNAs and their role in brain cancer could offer valuable insights into their prognostic and therapeutic potential, with the promise of improving early diagnosis and treatment outcomes.
Full article
(This article belongs to the Special Issue Resistance to Chemotherapy and Targeted Therapy in Cancer: Understanding the Pathogenesis and Identifying the Best Approaches to Overcome This Challenge)
►▼
Show Figures

Graphical abstract

Journal Menu
► ▼ Journal Menu-
- Current Oncology Home
- Aims & Scope
- Editorial Board
- Reviewer Board
- Topical Advisory Panel
- Instructions for Authors
- Special Issues
- Topics
- Sections & Collections
- Article Processing Charge
- Indexing & Archiving
- Editor’s Choice Articles
- Most Cited & Viewed
- Journal Statistics
- Journal History
- Journal Awards
- Society Collaborations
- Conferences
- Editorial Office
Journal Browser
► ▼ Journal Browser-
arrow_forward_ios
Forthcoming issue
arrow_forward_ios Current issue - Volumes not published by MDPI
Highly Accessed Articles
Latest Books
E-Mail Alert
News
Topics
Topic in
Biomedicines, Cancers, Current Oncology, Diagnostics, JCM
Advances in Magnetic Resonance Imaging (MRI) and Its Role in Radiation Therapy
Topic Editors: Indra J. Das, Minsong CaoDeadline: 31 October 2025
Topic in
Cancers, IJMS, Pharmaceuticals, Pharmaceutics, Sci. Pharm., Current Oncology, Molecules
Recent Advances in Anticancer Strategies, 2nd Edition
Topic Editors: Hassan Bousbaa, Zhiwei HuDeadline: 31 March 2026
Topic in
Brain Sciences, Cancers, JCM, Neurology International, Diagnostics, Therapeutics, Current Oncology
Innovations in Brain Tumor Surgery: Techniques and Outcomes
Topic Editors: Maria Caffo, Teresa SommaDeadline: 30 June 2026
Topic in
Cancers, Current Oncology, JCM, Medicina, Onco
Cancer Biology and Radiation Therapy: 2nd Edition
Topic Editors: Chang Ming Charlie Ma, Ka Yu Tse, Ming-Yii Huang, Mukund SeshadriDeadline: 25 July 2026

Conferences
Special Issues
Special Issue in
Current Oncology
Novel Biomarkers and Liver Cancer
Guest Editors: Panagiotis Papoutsoglou, Cédric CoulouarnDeadline: 10 October 2025
Special Issue in
Current Oncology
Exploring Rare Gynecologic Tumors: A Cutting-Edge Perspective on Modern Diagnostic and Therapeutic Strategies
Guest Editors: Brigida Anna Maiorano, Vera LoizziDeadline: 31 October 2025
Special Issue in
Current Oncology
Evolution of Treatments of Prostate Cancer: From Biology to Current Advanced Technologies
Guest Editor: Fernando MunozDeadline: 31 October 2025
Special Issue in
Current Oncology
Molecular Integrative Genomics in Cancer
Guest Editor: Muhammad KibriyaDeadline: 31 October 2025
Topical Collections
Topical Collection in
Current Oncology
New Insights into Prostate Cancer Diagnosis and Treatment
Collection Editor: Sazan Rasul
Topical Collection in
Current Oncology
New Insights into Breast Cancer Diagnosis and Treatment
Collection Editors: Filippo Pesapane, Matteo Suter
Topical Collection in
Current Oncology
Editorial Board Members’ Collection Series in "Exercise and Cancer Management"
Collection Editors: Linda Denehy, Ravi Mehrotra, Nicole Culos-Reed
Topical Collection in
Current Oncology
Editorial Board Members’ Collection Series: Contemporary Perioperative Concepts in Cancer Surgery
Collection Editors: Vijaya Gottumukkala, Jörg Kleeff