Next Issue
Volume 15, December-1
Previous Issue
Volume 15, November-1
 
 
animals-logo

Journal Browser

Journal Browser

Animals, Volume 15, Issue 22 (November-2 2025) – 130 articles

Cover Story (view full-size image): Estavelles are springs that can also act as sinkholes or ponors when water levels drop. They are common in Classic Karst Region. By surveying 61 springs for five years, we recorded five amphibian species, some regularly using springs, while some occurred just occasionally. Amphibian presence was strongly linked to springs with low water flow, high micro-habitat complexity, and absence of predators like pike. Some species used estavelles as regular shelters, as in the case of the Lataste’s frog. Notably, one of the species most regularly found is the olm (Proteus anguinus), which is a groundwater-dwelling salamander, only recently studied also in surface freshwater habitats, that uses estavelles mainly for feeding. The research underscores the conservation value of estavelles as complementary aquatic habitats in the karst landscape. View this paper
  • Issues are regarded as officially published after their release is announced to the table of contents alert mailing list.
  • You may sign up for e-mail alerts to receive table of contents of newly released issues.
  • PDF is the official format for papers published in both, html and pdf forms. To view the papers in pdf format, click on the "PDF Full-text" link, and use the free Adobe Reader to open them.
Order results
Result details
Section
Select all
Export citation of selected articles as:
13 pages, 1977 KB  
Case Report
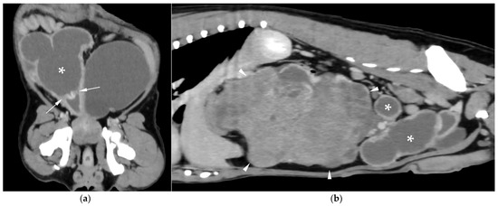
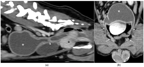
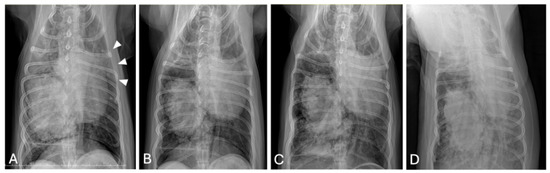
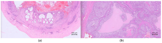
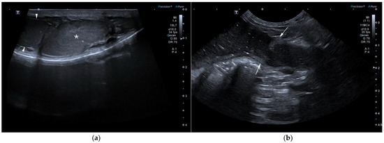
Computed Tomographic and Ultrasonographic Features in Three Dogs with Infected Uterus Masculinus and Concurrent Genital Neoplasia
by Clara Pagá-Casanova, Laura Librán-Ferreira and Vicente Cervera-Castellanos
Animals 2025, 15(22), 3357; https://doi.org/10.3390/ani15223357 - 20 Nov 2025
Viewed by 405
Abstract
Uterus masculinus is a rare disorder of sexual development in males, characterized by the presence of tubular female genitalia. Diagnostic imaging reports of infected uterus masculinus are limited. We describe the ultrasonographic and computed tomographic findings in three dogs, all presenting with abdominal [...] Read more.
Uterus masculinus is a rare disorder of sexual development in males, characterized by the presence of tubular female genitalia. Diagnostic imaging reports of infected uterus masculinus are limited. We describe the ultrasonographic and computed tomographic findings in three dogs, all presenting with abdominal distension, pain, and systemic infection. Imaging consistently revealed a fluid-filled, bicornuate structure arising from the prostate. In two dogs, the horns extended through the inguinal rings to the scrotal testes; in the third, with a prior left orchiectomy, both horns were intra-abdominal, the right ending in a peritoneal mass. Surgery and histopathology confirmed infected uterus masculinus, with Escherichia coli isolated from urine in all dogs and from the structure in two. Two dogs had Leydig cell tumors, one with concurrent uterine neoplasia; the third had an ovarian or ovotesticular granulosa cell tumor. Although rare, infected uterus masculinus is potentially life-threatening and should be considered in male dogs with abdominal pain, distension, or systemic infection. This is the first case series describing combined ultrasonographic and tomographic features of infected uterus masculinus, including novel findings such as cervix-like mural narrowing and fluid–fluid levels. It is also the first imaging description of an ovarian or ovotesticular tumor in a dog with uterus masculinus. Full article
(This article belongs to the Section Companion Animals)
Show Figures

Figure 1

6 pages, 1108 KB  
Brief Report
Regional Prevalence and Molecular Detection of Enterocytozoon hepatopenaei in Coastal Shellfish from Korea
by Beom Hee Lee, Eul Bit Noh, Hee Jung Choi, Mun Gyeong Kwon and Bo Seong Kim
Animals 2025, 15(22), 3356; https://doi.org/10.3390/ani15223356 - 20 Nov 2025
Viewed by 317
Abstract
EHP causes hepatopancreatic microsporidiosis in shrimp, leading to growth retardation without notable mortality. To examine potential environmental carriers, farmed bivalves were collected near shrimp ponds in Korea and screened for EHP using nested PCR targeting the spore-wall-protein gene. DNA of EHP was mainly [...] Read more.
EHP causes hepatopancreatic microsporidiosis in shrimp, leading to growth retardation without notable mortality. To examine potential environmental carriers, farmed bivalves were collected near shrimp ponds in Korea and screened for EHP using nested PCR targeting the spore-wall-protein gene. DNA of EHP was mainly detected in gill and digestive tissues of oysters, scallops, mussels, and clams. Histopathology after 24 h immersion exposure confirmed spores within the intestinal epithelium of clams, indicating short-term invasion potential. These results suggest that bivalves can retain and mechanically transfer EHP spores through shared seawater between shrimp farms and surrounding areas. Considering the environmental persistence of EHP, continuous surveillance of local invertebrates is recommended to reduce the risk of EHP introduction and further spread in aquaculture systems. Full article
(This article belongs to the Section Aquatic Animals)
Show Figures

Figure 1

17 pages, 368 KB  
Article
Feline Peritoneal Effusions—A Poor Prognosis?
by Laura Letwin, Sivert Nerhagen, Camilla Hindar and Barbara Glanemann
Animals 2025, 15(22), 3355; https://doi.org/10.3390/ani15223355 - 20 Nov 2025
Viewed by 662
Abstract
Feline ascites has been reported to have a poor prognosis, with a median survival time of 21 days (considering all etiologies). However, previous studies included relatively small populations (<100 cases) and there is no literature evaluating the prognosis of all causes of feline [...] Read more.
Feline ascites has been reported to have a poor prognosis, with a median survival time of 21 days (considering all etiologies). However, previous studies included relatively small populations (<100 cases) and there is no literature evaluating the prognosis of all causes of feline ascites within the last 20 years. This study aimed to assess the survival times of a large population of cats presenting with ascites and assess the effect of the effusion cause, signalment, clinicopathological and imaging findings on survival. Data was acquired from the medical record system of a referral hospital (including both referrals and first-opinion emergency cases). Four hundred and ninety-eight cats met the inclusion criteria and 55% of all cases survived to discharge. Median survival time post-discharge was 30.5 days. The cause of the effusion was significantly associated with survival to discharge (p = 0.002). Common etiologies of ascites included neoplasia, septic peritonitis, sterile inflammatory disease, uroperitoneum, hemoperitoneum and cardiac disease. Uroperitoneum cases had the highest rate of survival to discharge (77%), while hemoperitoneum cases had the lowest percentage surviving to discharge (40%). Subjectively assessed effusion volume on imaging was significantly associated with survival to discharge (p = 0.012). Subjective assessment of the effusion volume and effusion assessment via abdominocentesis to help obtain a diagnosis can help guide prognosis and are diagnostics that do not require advanced techniques or specialist equipment, which can provide important prognostic information for cats presenting with ascites. Full article
(This article belongs to the Section Veterinary Clinical Studies)
Show Figures

Figure 1

16 pages, 1581 KB  
Article
Breed and Season: Key Determinants of Efficiency in Large-Scale Commercial In Vitro Sheep Embryo Production
by Yubing Wang, Ke Li, Jia Hao, Dayong Chen, Lei Cheng, Huijie He, Riga Wu, Yingjie Wu, Jianhui Tian and Guangyin Xi
Animals 2025, 15(22), 3354; https://doi.org/10.3390/ani15223354 - 20 Nov 2025
Viewed by 561
Abstract
The efficiency of the laparoscopic ovum pick-up and in vitro embryo production (LOPU-IVEP) system in sheep is governed by a complex interplay of genetic and environmental factors. This study comprehensively evaluated the effects of breed, season, and their interaction on oocyte retrieval, embryonic [...] Read more.
The efficiency of the laparoscopic ovum pick-up and in vitro embryo production (LOPU-IVEP) system in sheep is governed by a complex interplay of genetic and environmental factors. This study comprehensively evaluated the effects of breed, season, and their interaction on oocyte retrieval, embryonic development, and pregnancy outcomes in a commercial setting. A 20-month longitudinal analysis of a large commercial cohort revealed that breed was the dominant factor determining oocyte quantity, whereas season exerted a stronger influence on developmental competence. Specifically, autumn and winter provided optimal conditions, resulting in significantly higher cleavage rate and blastocyst rate (p < 0.05). A significant breed-by-season interaction further identified synergistic combinations, such as Black-headed Suffolk in autumn or winter, which achieved superior embryo production outcomes. Importantly, correlation analysis revealed that oocyte quantity was not predictive of developmental potential or pregnancy success. These findings underscore the necessity of a precision management strategy that aligns LOPU schedules with breed-specific seasonal advantages to maximize annual embryo production efficiency. Full article
Show Figures

Figure 1

25 pages, 1833 KB  
Article
Red LED Light Irradiation Increases the Resistance Against Environmental Stress of Frozen Bovine Sperm Thawed in Suboptimal Conditions
by Olga Blanco-Prieto, Carolina Maside, Andrea Gruzmacher, Manuel Ortiz, Marcelo Ratto, Francisco Javier Urra, Tomás Vera, Pablo Strobel, Jaime Catalán, Beatrice Mislei, Diego Bucci, Marc Yeste, Joan E. Rodríguez-Gil and Alfredo Ramírez-Reveco
Animals 2025, 15(22), 3353; https://doi.org/10.3390/ani15223353 - 20 Nov 2025
Viewed by 403
Abstract
This work sought to test the positive effect of red LED light on frozen bovine sperm resistance to thawing in suboptimal conditions. Moreover, a preliminary study explores whether this improvement could have any repercussions on in vivo fertilizing ability. Thus, frozen bull semen [...] Read more.
This work sought to test the positive effect of red LED light on frozen bovine sperm resistance to thawing in suboptimal conditions. Moreover, a preliminary study explores whether this improvement could have any repercussions on in vivo fertilizing ability. Thus, frozen bull semen straws (n = 16) were thawed (a) with irradiation for 5 min at 20 °C (2 min light, 1 min darkness, 2 min light; PHOTO); (b) without irradiation for 5 min at 20 °C (ET); or (c) through immersion into a water bath at 38 °C for 40 s as standard control (CONTROL). Sperm quality and preliminary, purely descriptive AI trials were performed. The PHOTO samples demonstrated significantly (p < 0.05) improved percentages of intact acrosomes, progressive motility, DNA condensation and fragmentation, and viable sperm with high ROS/superoxides. The viability of PHOTO samples decreased significantly (p < 0.05) when compared with the ET ones. Overall results of both the PHOTO and ET samples were poorer than those of the CONTROL. Otherwise, the PHOTO straws yielded greater pregnancy rates (64.0% vs. 49.4% in CONTROL) when evaluated at two different farms. The results suggest that irradiating cryopreserved bovine sperm during thawing in suboptimal conditions could improve AI pregnancy rates, although more in vivo studies are needed to support this conclusion. Full article
(This article belongs to the Section Animal Reproduction)
Show Figures

Figure 1

19 pages, 438 KB  
Review
The Use of Platelet-Rich Plasma in Wildlife Veterinary Medicine
by Manuel Fuertes-Recuero, Teresa Encinas Cerezo and Pablo Morón-Elorza
Animals 2025, 15(22), 3352; https://doi.org/10.3390/ani15223352 - 20 Nov 2025
Viewed by 600
Abstract
Platelet-rich plasma (PRP), an autologous blood product concentrated with platelets and their associated growth factors, has been the subject of increasing investigation in veterinary medicine. Although it is widely used in domestic species, its use in wildlife is less well-explored, despite its potential [...] Read more.
Platelet-rich plasma (PRP), an autologous blood product concentrated with platelets and their associated growth factors, has been the subject of increasing investigation in veterinary medicine. Although it is widely used in domestic species, its use in wildlife is less well-explored, despite its potential to address complicated clinical scenarios such as traumatic injuries, chronic wounds, and orthopaedic conditions, which are frequently encountered in wild animals under human care. Expanding the evidence base for PRP in non-domestic species could therefore significantly advance clinical outcomes in rehabilitation, zoo medicine, and conservation initiatives. The aim of this scoping review was to identify and describe the existing evidence on the clinical use of PRP in wildlife. This included details on protocols, outcomes, species-specific considerations, and knowledge that is still missing. A literature search was performed using the databases PubMed, Scopus, Web of Science, and Google Scholar up to August 2025. Studies were eligible for inclusion if they reported on the preparation, application, or clinical outcomes of PRP in non-domestic animal species. This included case reports, research articles, and reviews. A total of 65 studies were finally included. The data were classified by species group (e.g., reptiles, birds, mammals) and clinical application (e.g., wound healing, orthopaedics, chronic disease management). The search identified a limited but growing body of evidence, primarily consisting of case reports and small-scale experimental studies. The application of PRP was found to have beneficial effects on wound closure, inflammation reduction, and enhanced tissue regeneration across multiple taxa. However, substantial variation existed across protocols in platelet concentration, activation methods, and application routes across protocols. Species-specific challenges, such as limited blood volume and logistical constraints in wildlife settings, were frequently noted. Current evidence suggests that PRP is a promising therapeutic tool in wildlife medicine; however, the development of standardised methodologies and the implementation of controlled clinical trials remain urgently needed. Widening its use could not only enhance animal welfare but also reinforce conservation initiatives and advance One Health strategies by generating insights with direct relevance to human medicine. Full article
(This article belongs to the Special Issue Advances in Exotic Pet Medicine)
Show Figures

Figure 1

30 pages, 1951 KB  
Review
Intestinal Microecological Mechanisms of Aflatoxin B1 Degradation by Black Soldier Fly Larvae (Hermetia illucens): A Review
by Qiwen Yuan, Jing Xia, Chaorong Ge and Huaiying Yao
Animals 2025, 15(22), 3351; https://doi.org/10.3390/ani15223351 - 20 Nov 2025
Viewed by 627
Abstract
Aflatoxin B1 (AFB1) is a naturally occurring contaminant pervasively found in agricultural produce, exhibiting extremely high carcinogenicity, teratogenicity and immunotoxicity, thereby constituting a substantial menace to worldwide food security and public health. Consequently, developing green and efficient degradation strategies for AFB1 is highly [...] Read more.
Aflatoxin B1 (AFB1) is a naturally occurring contaminant pervasively found in agricultural produce, exhibiting extremely high carcinogenicity, teratogenicity and immunotoxicity, thereby constituting a substantial menace to worldwide food security and public health. Consequently, developing green and efficient degradation strategies for AFB1 is highly important. The intestinal tract of black soldier fly (Hermetia illucens) larvae (BSFL) contains complex, functionally diverse microbial communities that function as microbial reactors to degrade emerging environmental pollutants such as pesticides, microplastics, mycotoxins, and antibiotics. This functional characteristic offers a novel approach for mitigating AFB1 contamination. In this review, we systematically summarize the currently reported AFB1 degradation methods, focusing on the biological mode of action of the intestinal microbiota of BSFL. We elaborate on the efficacy of BSFL in AFB1 detoxification in terms of the host–microorganism co-degradation mechanism and discuss the core intestinal microbiota of BSFL and the main microbial degradation pathways involved in AFB1 metabolism during degradation. Given the low cost, high efficiency, safety, and sustainability of using the BSFL as living microbial reactors in which the core gut microbiota and the larval host detoxifying enzyme system synergistically degrade AFB1, this study provides a scientific reference for managing AFB1 pollution to overcome food security issues. Full article
(This article belongs to the Section Animal Nutrition)
Show Figures

Figure 1

15 pages, 1041 KB  
Article
The Efficacy of Fisheries Management: A Length-Based Stock Assessment of Eight Fish Species in Xingkai Lake, China
by Chen Zhao, Zhongsi Gao, Xuehao Wang, Wanting Wang, Huibo Wang, Le Wang and Tangbin Huo
Animals 2025, 15(22), 3350; https://doi.org/10.3390/ani15223350 - 20 Nov 2025
Viewed by 346
Abstract
Standardized fishing gear represents a common fisheries management intervention, yet its effectiveness in multi-species freshwater ecosystems remains insufficiently assessed. This study presents the first application of the Length-Based Bayesian Biomass (LBB) method to systematically evaluate the stock status of eight major commercial fish [...] Read more.
Standardized fishing gear represents a common fisheries management intervention, yet its effectiveness in multi-species freshwater ecosystems remains insufficiently assessed. This study presents the first application of the Length-Based Bayesian Biomass (LBB) method to systematically evaluate the stock status of eight major commercial fish species in Xingkai Lake (located within China). Length-frequency data collected in 2019 (marking the policy initiation) and 2024 (after five years of implementation) were used to estimate key population parameters and exploitation indicators. The results revealed that the four species (Carassius gibelio, Acheilognathus macropterus, Hemiculter lucidus, and Hemiculter leucisculus) recovered to healthy status (B/BMSY ≥ 1.0), demonstrating the policy’s effectiveness for small-bodied, fast-growing species. In contrast, three species (Chanodichthys abramoides, Chanodichthys mongolicus, and Chanodichthys erythropterus) remained grossly overfished (B/BMSY < 0.5), while Culter alburnus experienced increased fishing pressure, indicating limited efficacy for larger, slow-growing species with collapsed initial stocks. Although the mesh size increase facilitated recovery of specific populations, fisheries resources in Xingkai Lake continue to face overfishing pressure. Management strategies lacking an ecosystem perspective may not only fail to achieve conservation objectives but could also trigger ecological risks. This study underscores that ecosystem-based management is essential for sustainable management of multi-species fisheries. Full article
(This article belongs to the Special Issue Global Fisheries Resources, Fisheries, and Carbon-Sink Fisheries)
Show Figures

Figure 1

22 pages, 2191 KB  
Article
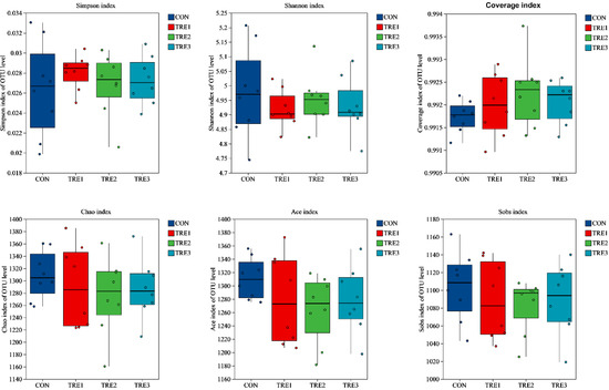
Effect of Portulaca oleracea Addition in Health Care Sand on Apparent Nutrient Digestibility, Serum Parameters, and Excreta Microbiota Metabolism in Tumbler Pigeons
by Hu Li, Jian Zhang, Haiying Li, Xiaobin Li, Ping Zhang, Xinsheng Guo, Jianwei Lin, Kunyu Liao and Lifeng Ke
Animals 2025, 15(22), 3349; https://doi.org/10.3390/ani15223349 - 20 Nov 2025
Viewed by 538
Abstract
Tumbling pigeons are prone to oxidative stress and disruption of gut microbiota balance during long-term exercise training and competitions. Considering that Portulaca oleracea (P. oleracea), as a natural plant feed additive, has natural antioxidant, anti-inflammatory, and gut function improvement effects. This [...] Read more.
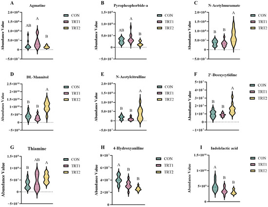
Tumbling pigeons are prone to oxidative stress and disruption of gut microbiota balance during long-term exercise training and competitions. Considering that Portulaca oleracea (P. oleracea), as a natural plant feed additive, has natural antioxidant, anti-inflammatory, and gut function improvement effects. This study investigates the effects of adding P. oleracea into health care sand on nutrient digestion and metabolism, serum parameters, and excreta microbiota metabolism in tumbler pigeons. Ninety 12-month-old tumbler pigeons were randomly assigned to three groups, with ten cages with three birds each. The CON Group received a basal diet added with 4 g of health care sand; Group TRT1 received a basal diet added with 4 g of health care sand containing 0.75% P. oleracea; and Group TRT2 received a basal diet added with 4 g of health care sand containing 1.00% Portulaca oleracea. The adaptation period lasted for 7 days, followed by a formal testing phase of 45 days. All tumbler pigeons received 1 h of flight training daily. The CON and TRT2 groups showed significantly increased dry matter (DM) apparent digestibility by 11.68% (p < 0.01) and 8.50% (p < 0.05), respectively, compared to the TRT1 group. The TRT2 group also demonstrated higher organic matter (OM) apparent digestibility (increase of 4.25%, p < 0.05) and markedly improved crude protein (CP) digestibility (16.72% higher than CON, p < 0.05; 27.12% higher than TRT1, p < 0.01). Both gross energy (GE) and metabolizable energy (ME) digestibility were significantly elevated in CON and TRT2 groups compared to TRT1 (p < 0.01). Compared to the CON group, the TRT2 group showed a 19.86% decrease in lactate (LAC) level (p < 0.05) alongside a 38.91% increase in lactate dehydrogenase (LDH) activity (p < 0.05). Serum uric acid (UA) levels increased by 33.65–36.14% in both treatment groups (p < 0.05). Antioxidant capacity markedly improved, with malondialdehyde (MDA) decreasing by up to 27.75% (p < 0.01) and key antioxidant enzymes superoxide dismutase (SOD), glutathione peroxidase (GSH-Px), catalase (CAT), and total antioxidant capacity (T-AOC) showing dose-dependent enhancements of up to 25.23% (p < 0.01). Other serum biochemical parameters showed no significant differences (p > 0.05). Microbial analysis demonstrated that Actinobacteriota, Acidothermaceae, and Nitrosotaleaceae were enriched in the TRT1 and TRT2 groups, while the relative abundance of Proteobacteria and Chitinophagaceae decreased (p > 0.05). Metabolomic analysis revealed a significant increase in beneficial metabolites, including agmatine, pyropheophorbide-a, and N-acetylmuramate (p < 0.01). In conclusion, the addition of 1.00% Portulaca oleracea in health care sand effectively enhanced apparent nutrient digestibility, improved antioxidant capacity, and modulated the intestinal microbiota and metabolic profile of tumbler. Full article
(This article belongs to the Special Issue Feed Additives in Animal Nutrition)
Show Figures

Figure 1

12 pages, 221 KB  
Article
Impact of Lighting Intensity on Welfare and Performance in Broiler Chickens
by Shengyu Zhou, Tanner Thornton, Hao Gan, Tom Tabler and Yang Zhao
Animals 2025, 15(22), 3348; https://doi.org/10.3390/ani15223348 - 20 Nov 2025
Viewed by 570
Abstract
Lighting intensity (LI) affects broilers’ behavior, circadian rhythms, physiology, and welfare, making it essential in commercial broiler management. This study evaluated the effects of three LIs (50, 20, and 5 lux) on Ross 708 and Cobb 700 broilers from day 8 to 56 [...] Read more.
Lighting intensity (LI) affects broilers’ behavior, circadian rhythms, physiology, and welfare, making it essential in commercial broiler management. This study evaluated the effects of three LIs (50, 20, and 5 lux) on Ross 708 and Cobb 700 broilers from day 8 to 56 in separate trials conducted under identical conditions. Growth performance (body weight (BW), feed intake, feed conversion ratio (FCR)) and welfare indicators (gait, feather condition, temperature, and footpad dermatitis were assessed biweekly. Ross broilers at 50 lux showed reduced BW on day 42 (p = 0.03), with no BW differences observed on day 56 (p = 0.14). FCR was unaffected by LI for Ross broilers. For Cobb broilers, BW was not affected by LI, though birds under 5 lux exhibited approximately 2.6% lower FCR on day 28 (p = 0.04) and 7.8% lower FCR on day 42 (p = 0.01). LI of 50 lux was associated with increased back temperatures, while bird at 5 lux showed better feather coverage and lower belly temperature (p < 0.01). Ross under 20 lux showed poorer feather cleanliness (p < 0.01), while those under 50 lux had better gait scores on day 56 (p < 0.01). These results demonstrate that production and welfare responded differently to LI, and that these responses also varied between strains. These findings contribute to sustainable poultry production by balancing welfare, efficiency, and growth. Full article
(This article belongs to the Section Poultry)
24 pages, 2610 KB  
Review
Silver Pomfret (Pampus argenteus) Aquaculture: Advances, Bottlenecks, and Future Strategies
by Guangde Qiao, Bingfei Li, Qiaozhen Ke, Shunshun Tao, Wantu Xu, Yabing Wang and Shiming Peng
Animals 2025, 15(22), 3347; https://doi.org/10.3390/ani15223347 - 20 Nov 2025
Viewed by 576
Abstract
Silver pomfret (Pampus argenteus) is an economically valuable marine species with growing potential for large-scale aquaculture in China. In recent years, significant progress has been achieved in artificial breeding, nutritional research, and disease management; however, the industry’s development remains constrained by [...] Read more.
Silver pomfret (Pampus argenteus) is an economically valuable marine species with growing potential for large-scale aquaculture in China. In recent years, significant progress has been achieved in artificial breeding, nutritional research, and disease management; however, the industry’s development remains constrained by technological and operational challenges. This review provides an overview of the biological characteristics of P. argenteus and systematically summarizes the research progress and technological applications in artificial breeding, nutritional physiology, disease management, and aquaculture systems. It also analyzes the key constraints hindering the development of its aquaculture industry. Based on current research progress and industry needs, five strategic measures are proposed to accelerate industry development: (1) establishing a comprehensive germplasm repository; (2) breeding high-performance new varieties; (3) developing species-specific compound feeds; (4) enhancing disease prevention and biosecurity systems; and (5) standardizing operational protocols for different aquaculture systems. The implementation of these measures will provide a theoretical reference and technical support for the high-quality development of the P. argenteus aquaculture industry in China. Full article
Show Figures

Figure 1

19 pages, 2755 KB  
Article
Low-Protein-Fed Chickens Benefit from Probiotic L. salivarius and L. johnsonii on Performance and Microbiota
by Xiaomei Dong, Xufeng Dou, Hao Tang, Yuanyuan Huang, Guiling Wu, Wei Dong, Hui’e Wang, Haihong Jiao, Yuxia Mei and Min Ren
Animals 2025, 15(22), 3346; https://doi.org/10.3390/ani15223346 - 20 Nov 2025
Viewed by 398
Abstract
This study aimed to evaluate the combined effects of two probiotic strains, Lactobacillus salivarius TRM58163 and Lactobacillus johnsonii TRM59525—originally isolated from human infant feces (aged 0–6 months)—on growth performance, antioxidant capacity, liver function, intestinal morphology, and cecal microbiota in 100-day-old Baicheng You chickens [...] Read more.
This study aimed to evaluate the combined effects of two probiotic strains, Lactobacillus salivarius TRM58163 and Lactobacillus johnsonii TRM59525—originally isolated from human infant feces (aged 0–6 months)—on growth performance, antioxidant capacity, liver function, intestinal morphology, and cecal microbiota in 100-day-old Baicheng You chickens fed a low-protein diet. Ten strains isolated from infant feces were initially screened, and eight were assessed in vitro for safety, gastrointestinal tolerance, and antimicrobial activity. TRM58163 and TRM59525 showed the best probiotic potential. A total of 240 Baicheng You chickens (100 days old) were randomly assigned to two groups: The control group was fed a low-protein diet (CLD), while the experimental group had Lactobacillus salivarius TRM58163 and Lactobacillus johnsoni TRM59525 added to the low-protein diet (LLD, ≥1 × 109 CFU/g feed). Each treatment included four replicates of 30 chickens over 42 days. Probiotic supplementation significantly improved average daily feed intake (ADFI), average daily gain (ADG), and feed conversion ratio (FCR) (p < 0.05). It also enhanced antioxidant status, with increased plasma superoxide dismutase activity and reduced malondialdehyde levels. Lower total bilirubin levels indicated improved liver function. The LLD group showed increased ileal villus height and villus-to-crypt ratio. 16S rRNA gene sequencing revealed greater microbial diversity, increased beneficial genera (e.g., Akkermansia, Bacteroides), and decreased harmful taxa (e.g., Sutterella). These microbial shifts were associated with improved growth and metabolic profiles. In conclusion, L. salivarius TRM58163 and L. johnsonii TRM59525 supplementation improved performance, gut health, and microbial composition, supporting their use as functional probiotics in low-protein poultry diets. Full article
(This article belongs to the Section Poultry)
Show Figures

Figure 1

18 pages, 3548 KB  
Article
Spatial and Environmental Drivers of Summer Growth Variability and Adaptive Mechanisms of Euphausia crystallorophias in the Amundsen Sea and Its Adjacent Regions
by Jialiang Yang, Lingzhi Li, Shuai Li, Guoqing Zhao, Xin Rao, Shuai Chen, Hewei Liu, Fengyuan Shen, Hongliang Huang and Ziyi Wang
Animals 2025, 15(22), 3345; https://doi.org/10.3390/ani15223345 - 20 Nov 2025
Viewed by 285
Abstract
Ice krill (Euphausia crystallorophias) play a key role in the Antarctic coastal ecosystem, yet its spatial growth variability remains poorly understood. This study examined 5298 krill individuals from 52 stations across the Amundsen Sea, transitional waters, and the Ross Sea, collected [...] Read more.
Ice krill (Euphausia crystallorophias) play a key role in the Antarctic coastal ecosystem, yet its spatial growth variability remains poorly understood. This study examined 5298 krill individuals from 52 stations across the Amundsen Sea, transitional waters, and the Ross Sea, collected between 2020 and 2024. Length–weight relationships (LWR) were constructed to derive the condition factor a and the allometric growth exponent b, followed by regional comparisons and environmental response analyses using boxplots, redundancy analysis (RDA), and generalized additive models (GAM). Boxplots revealed that a was significantly higher in the Amundsen Sea and transitional zone than in the Ross Sea, while b was highest and most variable in the Amundsen Sea. RDA indicated that a was primarily associated with depth, latitude, mean temperature, and mean salinity, whereas b was influenced by sea surface temperature, chlorophyll-a, sea ice concentration, and longitude. GAM further showed nonlinear responses of a to mean temperature, mean salinity, and depth, with peaks near −0.5 °C, 34.2 PSU, and 3500 m, respectively. These results suggest that krill in deep, cold, and less-productive transitional zone allocate more energy to body condition (high value a), while those in warmer, moderately productive regions like the Amundsen Sea invest more in structural growth (high value b). This study provides new insights into the environmentally driven growth strategies of ice krill and contributes to understanding its ecological adaptability under changing climatic and oceanographic conditions. Full article
Show Figures

Figure 1

16 pages, 2841 KB  
Article
Ethanolic Extract of Pomegranate (Punica granatum L.) Prevents Oxidative Stress and Preserves the Morphology of Preantral Follicles Included in Bovine Ovarian Tissue Cultured In Vitro
by Maria Alice Felipe Oliveira, Solano Dantas Martins, Ernando Igo Teixeira de Assis, Jonathan Elias Rodrigues Martins, Fernanda Lima Alves, Sara Rany Alexandre Bittencourt, Ingrid Gracielle Martins da Silva, Sônia Nair Báo, Queli Cristina Fidelis, Selene Maia de Morais, José Roberto Viana Silva, Vânia Marilande Ceccatto and Valdevane Rocha Araújo
Animals 2025, 15(22), 3344; https://doi.org/10.3390/ani15223344 - 19 Nov 2025
Viewed by 455
Abstract
Oxidative stress compromises follicle survival during in vitro culture. Natural antioxidants may reduce cellular damage and preserve tissue integrity. This study evaluated the ethanolic extract from Punica granatum L. (EE-PG) on bovine ovarian tissue cultured in vitro. Bovine ovarian (n = 24) [...] Read more.
Oxidative stress compromises follicle survival during in vitro culture. Natural antioxidants may reduce cellular damage and preserve tissue integrity. This study evaluated the ethanolic extract from Punica granatum L. (EE-PG) on bovine ovarian tissue cultured in vitro. Bovine ovarian (n = 24) fragments were cultured for 6 days in αMEM+ medium with or without EE-PG at 10, 50, or 100 µg/mL. At the end of the in vitro culture, the medium was used to evaluate antioxidant capacity (DPPH and ABTS assays), while the fragments were collected for morphological and biochemical analyses. HPLC-UV-Vis confirmed the presence of α-punicalagin in the pure EE-PG. At 100 µg/mL, EE-PG showed the strongest effects: it had higher antioxidant capacity, preserved follicle morphology and ultrastructure, and promoted follicle activation. At 50 and 100 µg/mL, the extract also reduced malondialdehyde (MDA) and increased thiol levels, indicating protection against lipid peroxidation. In contrast, 10 µg/mL had little effect. Follicle and oocyte diameters were not significantly altered, but the collagen I/III ratio increased at higher concentrations, suggesting extracellular matrix remodeling. Together, these findings demonstrate that EE-PG protects bovine preantral follicles from oxidative stress, maintains redox balance, and preserves tissue integrity. These results reinforce the potential of Punica granatum L. extract as a natural antioxidant in reproductive biotechnologies and fertility preservation. Full article
(This article belongs to the Special Issue Advances in Ruminant Ovarian Physiology)
Show Figures

Figure 1

29 pages, 14225 KB  
Article
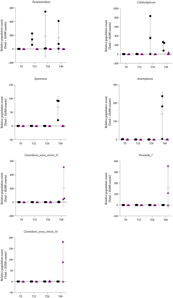
In Vitro Investigation of Equine Gut Microbiota Alterations During Hypoglycin A Exposure
by Anne-Christine François, Bernard Taminiau, Benoît Renaud, Irma Elizabeth Gonza-Quito, Claire Massey, Carolyn Hyde, Richard J. Piercy, Caroline Douny, Marie-Louise Scippo, Georges Daube, Pascal Gustin, Véronique Delcenserie and Dominique-Marie Votion
Animals 2025, 15(22), 3343; https://doi.org/10.3390/ani15223343 - 19 Nov 2025
Viewed by 305
Abstract
Hypoglycin A is a plant-derived protoxin that causes atypical myopathy in equids. In atypical myopathy-affected horses, metabolomic and microbiome studies have reported alterations in metabolic markers and faecal microbiota composition, pointing to a potential disruption of microbial homeostasis. However, in vivo observations are [...] Read more.
Hypoglycin A is a plant-derived protoxin that causes atypical myopathy in equids. In atypical myopathy-affected horses, metabolomic and microbiome studies have reported alterations in metabolic markers and faecal microbiota composition, pointing to a potential disruption of microbial homeostasis. However, in vivo observations are strongly confounded by host-related factors, underscoring the need for controlled in vitro approaches. To address this, we used an in vitro static batch fermentation model simulating the equine colon to investigate the direct effects of hypoglycin A on microbiota composition and activity. Faecal inocula from healthy horses were incubated in control and hypoglycin A-treated fermenters for 48 h, with serial analyses of hypoglycin A concentration, short-chain fatty acids, and 16S rRNA gene profiles. Hypoglycin A remained stable in the nutritive medium in the absence of microbiota, confirming that its degradation in inoculated fermenters was microbiota-dependent. The results showed significant microbial-associated hypoglycin A degradation without evidence of toxic metabolite formation. The analysis of α- and β-diversity revealed both an effect of incubation time, reflecting the natural temporal dynamics of microbial communities under batch fermentation, and a specific impact of hypoglycin A exposure, with certain taxa such as Paraclostridium being affected. This study provides the first in vitro evidence that the equine microbiota contributes to hypoglycin A degradation. Full article
(This article belongs to the Section Equids)
Show Figures

Figure 1

13 pages, 542 KB  
Article
Genome-Wide Association Study of Abdominal and Intramuscular Fat Deposition Traits in Huainan Yellow-Feathered Chickens
by Zichun Dai, Yaxin Li, Jie Liu, Rong Chen, Huanxi Zhu and Mingming Lei
Animals 2025, 15(22), 3342; https://doi.org/10.3390/ani15223342 - 19 Nov 2025
Viewed by 441
Abstract
The Huainan yellow-feathered chicken is a prized local breed known for its high-quality meat. However, excessive abdominal fat deposition adversely affects feed efficiency and carcass quality. This study aimed to identify genetic markers and candidate genes associated with fat traits to facilitate marker-assisted [...] Read more.
The Huainan yellow-feathered chicken is a prized local breed known for its high-quality meat. However, excessive abdominal fat deposition adversely affects feed efficiency and carcass quality. This study aimed to identify genetic markers and candidate genes associated with fat traits to facilitate marker-assisted selection (MAS) using genome-wide association studies (GWAS). A total of 220 chickens were phenotyped for abdominal fat weight (AFW), abdominal fat percentage (AFP), intramuscular fat of pectoral muscle (IFPM), and intramuscular fat of leg muscle (IFLM). GWAS based on whole-genome resequencing revealed significant SNPs for AFW and AFP on chromosomes 1, 2, 7, 10, 13, and 35, annotating genes including GRIA1, CYP1A1, CYP1A2, and SCAMP2. For IFPM and IFLM, significant loci were identified on chromosomes 1, 2, 4, 5, 6, 9, 12, 23, 25, 26, and 28, highlighting genes such as LRP4, FABP3, and ADAMTS9. Functional enrichment analysis showed involvement of steroid hormone biosynthesis, retinol metabolism, and cytochrome P450 pathways in abdominal fat deposition, while Wnt and MAPK signaling pathways regulated intramuscular fat. These findings provide molecular targets for genetic selection to improve fat traits in Huainan chickens. Full article
(This article belongs to the Special Issue Advances in Genetic Analysis of Important Traits in Poultry)
Show Figures

Figure 1

28 pages, 641 KB  
Article
An Integrated Approach Using Temperature–Humidity Index, Productivity, and Welfare Indicators for Herd-Level Heat Stress Assessment in Dairy Cows
by Roman Mylostyvyi and Olena Izhboldina
Animals 2025, 15(22), 3341; https://doi.org/10.3390/ani15223341 - 19 Nov 2025
Viewed by 775
Abstract
The temperature–humidity index (THI) remains one of the most widely used tools for assessing heat stress in dairy farming; however, its application is often limited by methodological inconsistencies and insufficient integration with welfare indicators. This study proposes a unified analytical framework for evaluating [...] Read more.
The temperature–humidity index (THI) remains one of the most widely used tools for assessing heat stress in dairy farming; however, its application is often limited by methodological inconsistencies and insufficient integration with welfare indicators. This study proposes a unified analytical framework for evaluating thermal load at the herd level by combining daily THI values with productivity, feed intake, and clinical indicators such as mastitis and lameness. The analysis was based on two years of herd-level data from a commercial dairy farm with naturally ventilated barns. General linear models (GLM) were applied to assess both direct and delayed effects of heat stress and to compare model reproducibility across years. The results confirmed that maximum daily THI had the strongest association with milk composition and dry matter intake, while cumulative heat load and elevated night-time THI contributed to increased mastitis and lameness incidence. The inclusion of welfare indicators substantially improved the explanatory power of THI-based models, providing a more biologically relevant assessment of heat stress. The proposed framework enhances the accuracy of herd-level monitoring and supports the development of predictive models for welfare-oriented management in dairy systems. Full article
Show Figures

Figure 1

17 pages, 1533 KB  
Article
Identification of Hydatigera Species in Wildcats (Felis silvestris) from Central Spain
by Pablo Matas-Méndez, Lorena Esteban-Sánchez, Francisco Ponce-Gordo and Marta Mateo-Barrientos
Animals 2025, 15(22), 3340; https://doi.org/10.3390/ani15223340 - 19 Nov 2025
Viewed by 327
Abstract
The European wildcat (Felis silvestris) is a mesocarnivore widely distributed across Europe, with populations in the Iberian Peninsula experiencing decline due to habitat fragmentation, hybridization with domestic cats, and anthropogenic factors. Among the parasites commonly found in wildcats are cestodes of [...] Read more.
The European wildcat (Felis silvestris) is a mesocarnivore widely distributed across Europe, with populations in the Iberian Peninsula experiencing decline due to habitat fragmentation, hybridization with domestic cats, and anthropogenic factors. Among the parasites commonly found in wildcats are cestodes of the genus Hydatigera, which includes cryptic species within the Hydatigera taeniaeformis complex. This study aimed to identify Hydatigera species within this complex infecting wildcats in central Spain using both morphological and molecular methods. A total of 26 road-killed wildcats were collected between 2021 and 2023 from Castilla and León and Castilla-La Mancha. Cestodes were recovered from 73% of individuals, yielding a total of 240 Hydatigera specimens. Molecular analysis of the mitochondrial cox1 gene and a newly developed multiplex PCR targeting cox1, cytb and nad4 genes enabled differentiation between Hydatigera kamiyai and European Hydatigera sp., confirming their presence in definitive hosts in Spain for the first time. Mixed infections were detected in 60% of infected wildcats. The high prevalence and parasite load observed highlight the role of rodents in the transmission cycle. This study expands the known distribution of the H. taeniaeformis complex species in Europe and provides a reliable molecular tool for their identification, essential for further epidemiological investigations. Full article
(This article belongs to the Section Veterinary Clinical Studies)
Show Figures

Figure 1

21 pages, 581 KB  
Article
What Makes Us React to the Abuse of Pets, Protected Animals, and Farm Animals: The Role of Attitudes, Norms, and Moral Obligation
by Cristina Ruiz, Andrea Vera, Christian Rosales and Ana M. Martín
Animals 2025, 15(22), 3339; https://doi.org/10.3390/ani15223339 - 19 Nov 2025
Viewed by 369
Abstract
This study tests a theoretical model explaining reactions to animal abuse in terms of attitudes, norms, and moral obligation, based on research concerning pro-environmental and anti-ecological behavior, as offenses against animals have been considered environmental crimes in legal terms. The sample consisted of [...] Read more.
This study tests a theoretical model explaining reactions to animal abuse in terms of attitudes, norms, and moral obligation, based on research concerning pro-environmental and anti-ecological behavior, as offenses against animals have been considered environmental crimes in legal terms. The sample consisted of 624 people from the general population, aged 18 to 93 (64.1% female), randomly assigned one of three versions of the same scenario of abuse, differing in the category of animal (protected/pet/farm). Participants were requested to complete a questionnaire that included items about the observed variables (descriptive social norm) and latent variables (injunctive social norm, personal norm, moral obligation, attitude toward animals, speciesism, and reaction to animal abuse). The resulting model obtained appropriate fit indices (RMSEA = 0.054; CFI = 0.917) and a high percentage of explained variance of reaction (77%) and confirmed the expectation that moral obligation is the strongest predictor of reactions to animal abuse and activates the personal norm. Personal norm is predicted by attitudes toward animals and the injunctive social norm, which depends on the descriptive social norm. Speciesism was excluded from the model due to its negative covariance with attitudes toward animals and to provide a better-fitting model. The results are discussed in terms of how the human–animal relationship is mediated by the role played in animal categorization, not only by their characteristics, but also by the instrumentality attributed to them socially and culturally. Full article
(This article belongs to the Section Human-Animal Interactions, Animal Behaviour and Emotion)
Show Figures

Figure 1

23 pages, 7377 KB  
Article
Lactic Acid Bacteria Metabolites Modulate Immune Response Against Staphylococcus haemolyticus-Infected RAW264.7 Murine Macrophage: A Novel Approach for Bovine Mastitis
by Nitsanat Cheepchirasuk, Sureeporn Suriyaprom, Thida Kaewkod, Varachaya Intachaisri, Thararat Chitov, Aussara Panya, Witaya Suriyasathaporn and Yingmanee Tragoolpua
Animals 2025, 15(22), 3338; https://doi.org/10.3390/ani15223338 - 19 Nov 2025
Viewed by 419
Abstract
Bovine mastitis, an inflammation of the mammary gland, is recognized as the most prevalent disease in dairy cattle, leading to significant economic losses due to the reduction in quality and yield of milk. While antibiotic treatment remains to be the primary control method [...] Read more.
Bovine mastitis, an inflammation of the mammary gland, is recognized as the most prevalent disease in dairy cattle, leading to significant economic losses due to the reduction in quality and yield of milk. While antibiotic treatment remains to be the primary control method but their use of antibiotics contributes to the emergence of antibiotic-resistant bacteria and possesses potential health risks to consumers. Enhancement of host immune responses represents a promising alternative strategy for combating pathogenic bacteria. This study aimed to evaluate the immunomodulatory potential of metabolites derived from lactic acid bacteria (LAB) in murine macrophage RAW264.7 cells infected with Staphylococcus haemolyticus, a causative agent of bovine mastitis. Notably, LAB-derived metabolites demonstrated significant, strain-specific immunostimulatory activity. A comparative metabolomic analysis confirmed that each strain possessed a unique metabolic profile, providing a chemical basis for these various responses. The most pronounced effects were observed with metabolites from the isolated strain Enterococcus faecalis, which markedly increased NO production. Furthermore, these metabolites upregulated the expression of key inflammatory genes, e.g., iNOS, COX-2, TNF-α, and IL-6 and enhanced the protein levels of iNOS and COX-2. These findings suggest that LAB metabolites, particularly those from E. faecalis, may offer a novel therapeutic approach for enhancing immune defenses against mastitis-causing pathogens. Full article
Show Figures

Figure 1

18 pages, 1699 KB  
Article
The Effects of Added Cellulases and Pectinases on Ruminal Fermentation Parameters and Bacterial Communities in Goats Supplemented with Macadamia Integrifolia Husks: An In Vitro Study
by Faguo Cai, Jiancheng Han, Donghong Zhu, Ximei Song, Hui Zeng, Xiaosong Zhang, Anmiao Chen, Zehua Li, Shiyang Huang, Jingbo Liu, Mao Li, Hu Liu and Hanlin Zhou
Animals 2025, 15(22), 3337; https://doi.org/10.3390/ani15223337 - 19 Nov 2025
Viewed by 388
Abstract
Macadamia integrifolia husk has great potential for use as a feedstuff in ruminants. However, little information regarding its effects on ruminal fermentation traits is available at present. Hence, this in vitro study aims to investigate the effects of Macadamia integrifolia husk as a [...] Read more.
Macadamia integrifolia husk has great potential for use as a feedstuff in ruminants. However, little information regarding its effects on ruminal fermentation traits is available at present. Hence, this in vitro study aims to investigate the effects of Macadamia integrifolia husk as a substrate, supplemented with enzymes at different levels (0 g/kg cellulases + pectinases, CON; 0.5 cellulases + 0.5 g/kg pectinases, TRE1; 1.0 g/kg cellulases + 0.5 g/kg pectinases, TRE2; 1.5 cellulases + 0.5 g/kg pectinases, TRE3), on gas production, fermentation traits, and bacterial communities in goats. The results demonstrate that gas production was increased in TRE1 and TRE3 groups compared to the CON group at 6, 9, 12, 24, and 48 h (p < 0.05); DMD was the highest in the TRE3 group and the lowest in the CON group at 6, 12, 24, and 48 h (p < 0.05); and NDFD was the highest in the TRE1 group and the lowest in the CON group at 6 h, then the highest in the TRE3 group and the lowest in the CON group at 12, 24, and 48 h (p < 0.05). The concentrations of MCP, TVFAs, acetate, and propionate were the highest in the TRE3 group and the lowest in the CON group (p< 0.05). The abundance of Bacillota was the highest in the TRE1 group and the lowest in the TRE2 group (p < 0.05), whereas that of Synergistota and Actinomycetota was the lowest in the CON group and the highest in the TRE2 group (p < 0.05). Acidobacteriota was the most abundant in the TRE3 group and the least abundant in the TRE1 group (p < 0.05). The most abundant genus was norank_p_Bacteroidota, comprising approximately 29.3%, 30.6%, 30.4%, and 31.7% of the total bacteria in the CON, TRE1, TRE2, and TRE3 groups, respectively; this was followed by Succiniclasticum, comprising approximately 6.3%, 5.8%, 6.1%, and 7.0% of the total bacteria in the CON, TRE1, TRE2, and TRE3 groups, respectively. This study provides new insights regarding the use of Macadamia integrifolia husk as a feedstuff in goats; in particular, supplementation with cellulases and pectinases could effectively improve its utilization. The results suggest that the optimal supplementary levels of cellulases and pectinases are 1.5 g/kg and 0.5 g/kg, respectively. Full article
Show Figures

Figure 1

19 pages, 1119 KB  
Review
Exercise Testing and Physical Activity in Dogs: From Health to Heart Disease
by Grégoire Bugeaud and Mário Marcondes-Santos
Animals 2025, 15(22), 3336; https://doi.org/10.3390/ani15223336 - 19 Nov 2025
Viewed by 619
Abstract
The utility of physical exercise in congestive heart failure is not yet well known in the field of veterinary cardiology, despite many studies already published, unlike in human medicine where the benefits and safety of exercise training have been widely proven and included [...] Read more.
The utility of physical exercise in congestive heart failure is not yet well known in the field of veterinary cardiology, despite many studies already published, unlike in human medicine where the benefits and safety of exercise training have been widely proven and included in recommendations and consensus. Several studies have been conducted since the end of the 20th century, evaluating the usefulness of physical exercise in the diagnosis, prognosis, as well as the treatment of congestive heart failure in dogs. The information from these studies has been compiled in this work to conduct a literature review and propose a work base, information, and protocols to develop knowledge about the effect of exercise training on congestive heart failure for future clinical research in dogs. Two major types of exercise tests have been published: the 6 min walk test, easy to implement and seemingly better at reflecting the daily physical capacities of cardiac dogs, and treadmill tests, such as the ergometric test or incremental tests, which, combined with the measurement of plasma concentration of NT-proBNP (N-terminal pro B-type natriuretic peptide), are promising for prognostic evaluation and monitoring of conventional drug therapy. An exercise training program does not reverse the damage caused by congestive heart failure but can help delay and slow the progression of the disease, essentially having effects on heart rate and sympathetic modulation of cardiac activity and preserving cardiac function. Additionally, an improvement in the functional class of heart failure and quality of life due to physical exercise has been observed, a key point for owners. Even though there are risks associated with this complementary therapy (syncope or risk of exacerbating symptoms of cardiac pathologies), the risk–benefit balance seems to clearly favor the use of exercise when used in a controlled manner in stable patients. Evidence of the utility of physical exercise as a testing method or as a complementary treatment has been gathered in this review. However, to further develop the clinical practice of exercise, additional studies need to be conducted to develop standardized testing methods, clarify the impact of exercise training programs on all classes of heart failure, assess the risks, and analyze the long-term effects on canine species. Full article
(This article belongs to the Section Companion Animals)
Show Figures

Figure 1

20 pages, 2596 KB  
Article
Compositional Changes and Comparative Analysis of Oral Microbial Community During the Formation of Canine Dental Calculus
by Liwei Zeng, Lei Shi, Yufei Yang, Dongqiang Zheng, Wenkai Zhang, Jingyi Yang, Meilin Qiao and Hao Shi
Animals 2025, 15(22), 3335; https://doi.org/10.3390/ani15223335 - 19 Nov 2025
Viewed by 479
Abstract
Periodontal disease remains a prevalent clinical condition in dogs, significantly impacting the quality of life of affected animals. Dental calculus is closely associated with periodontal disease, primarily because it serves as a reservoir for dental plaque and bacterial toxins, that contribute to gingival [...] Read more.
Periodontal disease remains a prevalent clinical condition in dogs, significantly impacting the quality of life of affected animals. Dental calculus is closely associated with periodontal disease, primarily because it serves as a reservoir for dental plaque and bacterial toxins, that contribute to gingival inflammation. To investigate the changes in the oral microbiome during the formation of dental calculus, a total of 30 dogs were enrolled and divided into three groups: healthy dogs (H, n = 10), provided tooth surface samples; dogs with dental plaque (P, n = 10) supplied plaque samples; and dogs with dental calculus (C, n = 10) provided calculus samples. DNA was subsequently extracted from all collected samples and subjected to PacBio sequencing. The results revealed significant differences in the composition and diversity of the oral microbiome between the plaque and calculus groups compared to the healthy group. As calculus gradually formed, the relative abundance of Pseudomonadota decreased significantly, while the proportions of Bacillota, Actinomycetota, Campylobacterota, and Thermodesulfobacteriota increased markedly. Bacteroides pyogenes and Peptostreptococcus canis were identified as potential biomarkers associated with calculus formation, whereas Conchiformibius steedae and Pasteurellaceae bacterium canine oral taxon 271 may serve as indicators of healthy periodontal tissue. Functional prediction analysis revealed a notable reduction in the ABC transporter pathway in the oral microbiota of dogs with dental calculus compared to the healthy group. In conclusion, our study has revealed the compositional changes in the oral microbial community and potential metabolic pathways during the formation of dental calculus in dogs. These findings provide a theoretical foundation for the identification of potential microbial biomarkers and for developing preventive and therapeutic strategies for canine periodontal disease. Full article
(This article belongs to the Section Veterinary Clinical Studies)
Show Figures

Figure 1

15 pages, 763 KB  
Article
Verification of Accuracy of Genomically Enhanced Predicted Transmitting Ability Techniques in Predicting Milk and Fat Production in Holstein Cattle in Taiwan
by Chun-Hsuan Chao and Jen-Wen Shiau
Animals 2025, 15(22), 3334; https://doi.org/10.3390/ani15223334 - 19 Nov 2025
Viewed by 337
Abstract
This study evaluated the predictive performance of genomically enhanced predicted transmitting abilities for milk (gPTAM) and fat yield (gPTAF) in 986 first-lactation Holstein cows from 25 herds in Taiwan. Ordinary least squares and linear mixed models revealed significant positive associations between genomic predictions [...] Read more.
This study evaluated the predictive performance of genomically enhanced predicted transmitting abilities for milk (gPTAM) and fat yield (gPTAF) in 986 first-lactation Holstein cows from 25 herds in Taiwan. Ordinary least squares and linear mixed models revealed significant positive associations between genomic predictions and observed yields (milk: β = 1.201, R2 = 0.469; fat: β = 1.444, R2 = 0.507). Incorporating herd and birth-year effects improved model fit and reduced residual variability. Five-fold cross-validation confirmed the robustness of the full mixed model, with predictive R2 increasing to 0.293 for milk and 0.363 for fat, distinct from the OLS R2 (0.469 and 0.507) representing phenotypic variation explained, indicating moderate predictive ability of genomic PTA values under subtropical production conditions. Model adequacy checks supported appropriate model specification, with only a mild outlier signal in the milk model. Regional analysis revealed a significant genotype-by-environment interaction for PTAF (p = 0.018) but not for PTAM, indicating reduced prediction accuracy in environmentally variable regions and highlighting trait-specific environmental sensitivity. Quartile stratification by gPTA and Net Merit Score demonstrated clear yield gradients, confirming both the predictive and economic value of genomic evaluations under subtropical dairy production systems. Full article
Show Figures

Figure 1

14 pages, 6018 KB  
Article
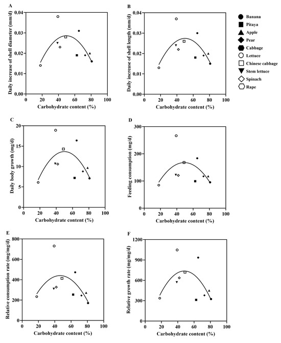
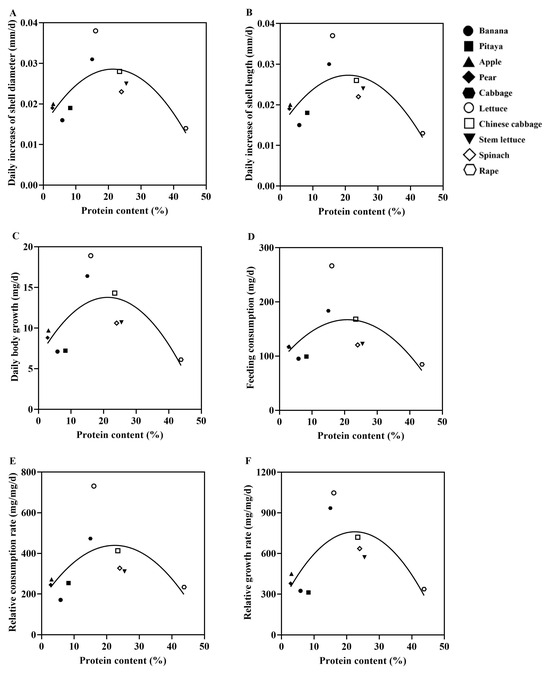
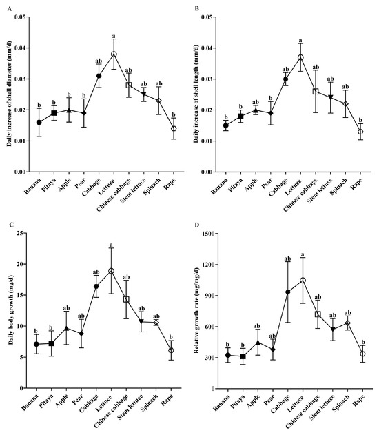
Effects of Macronutrients in Ten Different Plant Species on the Food Choice and Growth Performance of Achatina fulica
by Kelin Tang, Zuohang Zheng, Xi Lu, Zhiqiang Han and Shaolei Sun
Animals 2025, 15(22), 3333; https://doi.org/10.3390/ani15223333 - 19 Nov 2025
Viewed by 364
Abstract
The giant African snail (Achatina fulica), a globally invasive mollusk, poses a serious threat to agricultural production and the ecological environment. However, few studies have focused on the feeding preference and growth performance of A. fulica on different plants, with especially [...] Read more.
The giant African snail (Achatina fulica), a globally invasive mollusk, poses a serious threat to agricultural production and the ecological environment. However, few studies have focused on the feeding preference and growth performance of A. fulica on different plants, with especially few reports on the correlation between the nutrient content of plants and its growth performance. In this study, 10 plant species, including lettuce, stem lettuce, spinach, Chinese cabbage, cabbage, rape, apple, pear, banana, and pitaya, were selected as food sources to explore their effects on the feeding and growth performance of A. fulica. The results showed that A. fulica had the highest selection rate for lettuce and the lowest for rape. Feeding consumption (FC), daily body growth (DBG), daily increase in shell diameter (DISD), daily increase in shell length (DISL), relative consumption rate (RCR), and relative growth rate (RGR) of snails feeding on lettuce were significantly higher than those in the other nine groups. FC, DBG, DISD, DISL, RCR, and RGR were significantly correlated with the nutrient contents (protein, carbohydrate) of the 10 plants and with the protein-to-carbohydrate (P:C) ratio. Finally, based on the correlation between the macronutrient content of plants and the growth performance of A. fulica, we determined that these snails exhibit the optimal growth performance when fed food with the relative balanced P:C ratios (0.41–0.66) while having poor growth performance when fed plants with extremely imbalanced P:C ratios (rape: 2.45 or fruits: 0.04–0.13). Our study shows that A. fulica may cause potential economic losses for many cultivated plants, particularly lettuce, and provides a foundation for certain research values for agricultural prevention and ecological environment protection. Full article
(This article belongs to the Section Animal Nutrition)
Show Figures

Figure 1

18 pages, 2478 KB  
Article
IoT Monitoring of Indoor Air Quality in Dairy Goat Barns: The Role of Building Characteristics and Litter Management
by Stefania Celozzi, Roberto Ambrosini, Luca Rapetti, Silvana Mattiello and Alberto Finzi
Animals 2025, 15(22), 3332; https://doi.org/10.3390/ani15223332 - 19 Nov 2025
Viewed by 345
Abstract
Air quality in livestock housings impacts animal welfare; however, information on air quality in dairy goat barns is still limited. The air quality and environmental conditions of two farms in northern Italy were monitored for seven days after litter renewal in both summer [...] Read more.
Air quality in livestock housings impacts animal welfare; however, information on air quality in dairy goat barns is still limited. The air quality and environmental conditions of two farms in northern Italy were monitored for seven days after litter renewal in both summer and winter. The farms had different barn designs and litter replacement frequencies. Internet of Things (IoT) sensors were used to measure CO2, NH3, PM2.5, temperature and humidity. Results suggest that building structure, particularly the management of openings, along with litter replacement frequency, and season, significantly affect gas concentrations, while PM2.5 seems to be more related to the external conditions. The recommended thresholds for goat health and welfare were all met (537 vs. 778 ppm for CO2, 1.78 vs. 3.29 ppm for NH3 and 3.4 vs. 12.7 µg m−3 for PM2.5 in Farms A and B, respectively). The low average temperature humidity index values recorded in winter at Farm A (45.9) suggest potential cold stress, which could be mitigated through improved barn opening management. Our research introduces a novel use of IoT sensors in the frame of precision livestock farming to monitor air quality in goat barns, allowing data-driven interventions to improve animal welfare. Full article
(This article belongs to the Section Animal Welfare)
Show Figures

Figure 1

11 pages, 748 KB  
Article
Pilot Study: Exploring the Feasibility of Individual Voluntary Waiting Period Settings Using Postpartum Recovery Indicators in Dairy Cows
by Younghye Ro, Jiyeon Kim, Eunwoo Chun, Eunhui Choe, Eunsong Lee, Woojae Choi and Danil Kim
Animals 2025, 15(22), 3331; https://doi.org/10.3390/ani15223331 - 19 Nov 2025
Viewed by 403
Abstract
This study aimed to identify hematological markers that can objectively assess postpartum recovery in dairy cows, which is essential for determining an individualized voluntary waiting period (VWP). Twenty Holstein cows were divided into early recovery and late recovery groups based on their clinical [...] Read more.
This study aimed to identify hematological markers that can objectively assess postpartum recovery in dairy cows, which is essential for determining an individualized voluntary waiting period (VWP). Twenty Holstein cows were divided into early recovery and late recovery groups based on their clinical uterine recovery. Blood samples were collected from coccygeal vessels and analyzed for inflammatory and metabolic markers, including serum amyloid A (SAA), haptoglobin (HPT), cortisol (COR), substance P (SP), interleukin-6 (IL-6), total cholesterol (T-Chol), beta-hydroxybutyrate, and non-esterified fatty acids (NEFA). Both SAA and HPT significantly decreased after recovery compared to immediately after parturition (p < 0.001), whereas T-Chol and NEFA significantly increased and decreased over time, respectively, indicating recovery from a negative energy balance status. No significant changes were observed in COR, SP, or IL-6 levels. Thus, SAA and HPT are sensitive indicators of postpartum inflammation, whereas T-Chol and NEFA levels reflect metabolic recovery. Using these hematological markers enables a more objective and customized setting of VWP for each cow, potentially improving reproductive efficiency and farm profitability. Further studies are warranted to establish cutoff values for each parity and validate the applicability of individualized VWP models. Full article
(This article belongs to the Special Issue Advances in Dairy Cattle Reproduction: Second Edition)
Show Figures

Figure 1

10 pages, 2259 KB  
Case Report
A Case Report of Advanced Pulmonary Adenocarcinoma in a Dog Managed with Chemotherapy and Cytokine-Based Immunotherapy
by Kyu-Duk Yeon, Ji-Hyuk Seo and Jung-Hyun Kim
Animals 2025, 15(22), 3330; https://doi.org/10.3390/ani15223330 - 19 Nov 2025
Viewed by 710
Abstract
Pulmonary adenocarcinoma in dogs, particularly in advanced stages, carries a poor prognosis with limited therapeutic options. Immunotherapeutic approaches that activate natural killer (NK) cells may provide additional clinical benefit. This report describes the clinical response and survival outcome of a 9-year-old neutered male [...] Read more.
Pulmonary adenocarcinoma in dogs, particularly in advanced stages, carries a poor prognosis with limited therapeutic options. Immunotherapeutic approaches that activate natural killer (NK) cells may provide additional clinical benefit. This report describes the clinical response and survival outcome of a 9-year-old neutered male Welsh Corgi with late-stage pulmonary adenocarcinoma treated with combined chemotherapy and cytokine-based NK cell-activating immunotherapy. The dog presented with intermittent coughing, dyspnea, and cyanosis. Imaging revealed a large pulmonary mass with suspected nodal metastasis (stage III, T4N1M0). Cytology confirmed pulmonary adenocarcinoma. A splenic myelolipoma, unrelated to the primary pulmonary tumor, was identified incidentally and surgically removed. Treatment included vinorelbine-based chemotherapy and cytokine-based immunotherapy using interleukin (IL)-15, IL-12, IL-23, and selenium. After temporary discontinuation due to adverse events, cytokine monotherapy was administered, followed by resumed combination therapy upon stage IV progression with contralateral lung metastasis. Radiographic follow-up demonstrated disease stabilization during monotherapy and prolonged survival with combination therapy. The dog survived for 241 days, including 143 days after stage IV diagnosis, exceeding previously reported outcomes. Although NK cell function was not directly evaluated, these findings raise the possibility that cytokine-based NK cell immunotherapy, when combined with chemotherapy, could have contributed to disease control and prolonged survival in advanced canine pulmonary adenocarcinoma. Full article
(This article belongs to the Section Companion Animals)
Show Figures

Figure 1

35 pages, 1934 KB  
Review
The Effects of Light on Vertebrate Welfare: A Review
by Cristiano Schetini de Azevedo, Vinícius Donisete Lima Rodrigues Goulart, Cristiane Schilbach Pizzutto, Cynthia Fernandes Cipreste, Camila Palhares Teixeira and Robert John Young
Animals 2025, 15(22), 3329; https://doi.org/10.3390/ani15223329 - 19 Nov 2025
Viewed by 996
Abstract
Not only modern zoos, but all institutions that house animals, prioritise maintaining high levels of welfare for the individuals in their care [...] Full article
(This article belongs to the Special Issue Best Practices for Zoo Animal Welfare Management)
Show Figures

Figure 1

23 pages, 9170 KB  
Article
VM-RTDETR: Advancing DETR with Vision State-Space Duality and Multi-Scale Fusion for Robust Pig Detection
by Wangli Hao, Shu-Ai Xu, Hao Shu, Hanwei Li, Meng Han, Fuzhong Li and Yanhong Liu
Animals 2025, 15(22), 3328; https://doi.org/10.3390/ani15223328 - 18 Nov 2025
Viewed by 384
Abstract
Pig detection is a fundamental yet challenging task in intelligent livestock farming, primarily due to difficulties in capturing both global contextual information and multi-scale features within complex environments. To address this, we propose VM-RTDETR, a novel detection model based on an enhanced RT-DETR [...] Read more.
Pig detection is a fundamental yet challenging task in intelligent livestock farming, primarily due to difficulties in capturing both global contextual information and multi-scale features within complex environments. To address this, we propose VM-RTDETR, a novel detection model based on an enhanced RT-DETR architecture. The model incorporates a Vision State-Space Duality (VSSD) backbone, leveraging a novel Non-Causal State-Space Duality (NC-SSD) mechanism to overcome the limitations of traditional SSMs by enabling efficient modeling of long-range dependencies and global context. Furthermore, we design a Multi-Scale Efficient Hybrid Encoder (M-Encoder) that employs parallel convolutional kernels to capture both local details and global contours, effectively addressing scale variations. The synergistic design of the VSSD backbone and the M-Encoder enables our model to achieve more comprehensive feature representation. Experimental results on a custom dataset of 8070 images from a pig farm (with 6955 images for training and 1115 for testing) demonstrate that VM-RTDETR significantly outperforms existing mainstream detectors, improving AP, AP50, and AP75 by up to 2.35%, 0.63%, and 2.76%, respectively, over the strong R50-RTDETR baseline. Our model significantly enhances detection robustness in complex scenarios, offering an efficient and accurate solution for intelligent livestock farming. Full article
(This article belongs to the Section Pigs)
Show Figures

Figure 1

Previous Issue
Back to TopTop