Next Issue
Volume 17, January
Previous Issue
Volume 16, November
 
 

Genes, Volume 16, Issue 12 (December 2025) – 129 articles

Cover Story (view full-size image): Single-cell omics facilitate the study of cellular heterogeneity in the human brain with exceptional detail and technical diversity to explore cell-specific molecular features. These technologies are crucial for understanding the underlying pathology of neuropsychiatric disorders, which arise from intricate interactions of genetic and environmental factors. Applications to human brain tissue have produced cell-specific insights in transcriptomics and epigenomics, with emerging findings in proteomics, metabolomics, and multi-omics. This article reviews major single-cell omics technologies with a focus on their application to postmortem human brain tissue, key findings in neuropsychiatric disorders, and considerations for future research aimed at elucidating molecular landscapes of brain pathology. View this paper
  • Issues are regarded as officially published after their release is announced to the table of contents alert mailing list.
  • You may sign up for e-mail alerts to receive table of contents of newly released issues.
  • PDF is the official format for papers published in both, html and pdf forms. To view the papers in pdf format, click on the "PDF Full-text" link, and use the free Adobe Reader to open them.
Order results
Result details
Section
Select all
Export citation of selected articles as:
13 pages, 5548 KB  
Article
Evolution Landscape of PiggyBac (PB) Transposon in Beetles (Coleoptera)
by Quan Wang, Shasha Shi, Bingqing Wang, Xin Chen, Naisu Yang, Bo Gao and Chengyi Song
Genes 2025, 16(12), 1521; https://doi.org/10.3390/genes16121521 - 18 Dec 2025
Viewed by 272
Abstract
Background/Objectives: The PB family of “cut-and-paste” DNA transposons shows great promise as genetic manipulation tools while significantly impacting eukaryotic genome evolution. However, their evolutionary profile in beetles (Coleoptera), the most species-rich animal order, remains poorly characterized. Methods: A local tBLASTN search [...] Read more.
Background/Objectives: The PB family of “cut-and-paste” DNA transposons shows great promise as genetic manipulation tools while significantly impacting eukaryotic genome evolution. However, their evolutionary profile in beetles (Coleoptera), the most species-rich animal order, remains poorly characterized. Methods: A local tBLASTN search was conducted to mine PiggyBac (PB) transposons across 136 coleopteran insect genomes, using the DDE domain of the PB transposase as the query. Multiple sequence alignment was performed with MAFFT, and a maximum likelihood phylogenetic tree of the transposase DDE domains was constructed using IQ-TREE. Evolutionary dynamics were analyzed by means of K-divergence. Results: Our study reveals PB transposons are widely distributed, highly diverse, and remarkably active across beetles. We detected PB elements in 62 of 136 examined species (45%), classifying them into six distinct clades. A total of 62 PB-containing species harbored intact copies, with most showing recent insertions (K divergence ≈ 0), indicating ongoing transpositional activity. Notably, PB elements from Harmonia axyridis, Apoderus coryli, and Diabrotica balteata exhibit exceptional potential for genetic tool development. Structurally, intact PB elements ranged from 2074 to 3465 bp, each containing a single transposase ORF (500–725 aa). All were flanked by terminal inverted repeats and generated TTAA target site duplications. Conclusions: These findings demonstrate PB transposons have not only shaped historical beetle genome evolution but continue to drive genomic diversification, underscoring their dual significance as natural genome architects and promising biotechnological tools. Full article
(This article belongs to the Section Bioinformatics)
Show Figures

Figure 1

12 pages, 525 KB  
Article
The GDF5 rs143384 Polymorphism Is Associated with the Severity of Knee Osteoarthritis and Shorter Stature in Female Brazilian Patients: A Cross-Sectional Study
by Jamila Alessandra Perini, Igor Stefano Menescal Pedrinha, Lucas Rafael Lopes, Phelippe Augusto Valente Maia, Jéssica Vilarinho Cardoso and Eduardo Branco de Sousa
Genes 2025, 16(12), 1520; https://doi.org/10.3390/genes16121520 - 18 Dec 2025
Viewed by 312
Abstract
Background/Objectives: Knee osteoarthritis (KOA) is a multifactorial and degenerative disease. Growth differentiation factor 5 (GDF5) polymorphism rs143384 G > A is associated with reduced gene expression and musculoskeletal pathologies. This study aimed to evaluate the association between this functional polymorphism and [...] Read more.
Background/Objectives: Knee osteoarthritis (KOA) is a multifactorial and degenerative disease. Growth differentiation factor 5 (GDF5) polymorphism rs143384 G > A is associated with reduced gene expression and musculoskeletal pathologies. This study aimed to evaluate the association between this functional polymorphism and clinical variability and disease severity among patients with KOA in an admixed population. Methods: This cross-sectional observational study enrolled 224 Brazilian patients with KOA, who were evaluated and classified according to disease severity. Results: The median age was 64 (44–84) years; 75.9% of the patients were female, 50.9% were shorter than 1.60 m, and 67.4% were obese or morbidly obese. The disease severity distribution was 64.7% grades I–III and 35.3% IV–V. Patients with KOA who were over 70 years had significantly more advanced grades (OR = 9.3; 95% CI = 3.4–26), in either female group (OR = 8.2; 95% CI = 2.6–26). The minor allele frequency of the GDF5 rs143384 A variant was 41.7% in the overall KOA case group, increasing with disease severity (39.7% in grades I–III versus 45.6% in IV–V). After adjusting for the confounding factors (age and BMI) the GDF5 GA + AA genotype was significantly associated with higher KOA severity IV–V in female patients (OR = 2.5; 95% CI = 1.2–5.3). Additionally, the mean height of female KOA patients with the GDF5 GA + AA genotype (1.56 ± 0.07 m) was significantly shorter than that of patients with the GG genotype (1.59 ± 0.08 m). Conclusions: The GDF5 rs143384 polymorphism was associated with greater KOA severity and shorter stature in female patients. These results suggest that this variant may contribute to phenotypic variability in patients with knee osteoarthritis, helping to refine clinical characterization and stratification in this population, contributing to personalized diagnoses and guiding future changes in treatment guidelines for knee osteoarthritis. Full article
(This article belongs to the Special Issue Advances in Genetics of Skeletal Development)
Show Figures

Figure 1

22 pages, 4709 KB  
Article
Sequencing, Assembly, and Comparative Evolutionary Analysis of the Chloroplast Genome of Kenaf (Hibiscus cannabinus L.)
by Ziyi Zhu, Juan Liu, Shenyue Tang, Qingqing Ji, Xingcai An, Junyuan Dong, Xiahong Luo, Changli Chen, Tingting Liu, Lina Zou, Shaocui Li, Mingbao Luan and Xia An
Genes 2025, 16(12), 1519; https://doi.org/10.3390/genes16121519 - 18 Dec 2025
Viewed by 299
Abstract
Background: Kenaf (Hibiscus cannabinus L.) is an important fiber crop belonging to the genus Hibiscus in the Malvaceae family. Research on its chloroplast genome holds significant importance for deciphering the evolutionary relationships of the Hibiscus species, developing genetic markers, and promoting kenaf [...] Read more.
Background: Kenaf (Hibiscus cannabinus L.) is an important fiber crop belonging to the genus Hibiscus in the Malvaceae family. Research on its chloroplast genome holds significant importance for deciphering the evolutionary relationships of the Hibiscus species, developing genetic markers, and promoting kenaf (H. cannabinus) genetic breeding. Methods: Based on high-throughput sequencing technology, this study completed the sequencing and assembly of the kenaf (H. cannabinus) chloroplast genome. Results: (1) The kenaf (H. cannabinus) chloroplast genome exhibits a typical circular quadripartite structure with a total length of 163,019 bp, including a large single-copy region (LSC) of 90,467 bp, a small single-copy region (SSC) of 19,486 bp, and a pair of inverted repeat regions (IRa/IRb) of 26,533 bp each. The total GC content is 36.62%, among which, the IR region has the highest GC content (42.61%) and the SSC region the lowest (30.87%). (2) A total of 131 genes were annotated, including 85 mRNAs, 37 tRNAs, 8 rRNAs, and 1 pseudogene. Their functions cover photosynthesis (e.g., pet and atp family genes), self-replication (e.g., rpl, rps, and rpo family genes), and genes with unknown functions (e.g., ycf1 and ycf2). A codon usage bias analysis revealed that the relative synonymous codon usage (RSCU) value of the stop codon UAA is the highest (1.6329), and codons ending with A/U are preferentially used (e.g., GCU for alanine with RSCU = 1.778). (3) A repeat sequence analysis identified various interspersed repeat sequences (predominantly 30~31 bp in length, with a relatively high proportion in the 30~40 bp range, including forward and palindromic types) and simple sequence repeats (cpSSRs). Among them, single-base repeat SSRs account for the highest proportion (e.g., (A)8 and (T)9), and specific SSR primers were designed. (4) A comparative evolutionary analysis indicated that the Ka/Ks ratios (nonsynonymous substitution rate/synonymous substitution rate) of core chloroplast genes (e.g., rps2 and rpoC2) in kenaf (H. cannabinus) are all less than 1 (0.145~0.415), suggesting that they are under purifying selection. The collinearity similarity of chloroplast genomes between kenaf (H. cannabinus) and its closely related species reaches over 99.97%, and the IR region boundaries are relatively conserved. The phylogenetic tree shows that kenaf (H. cannabinus) clusters with closely related Hibiscus species with a 100% bootstrap value, indicating a close genetic relationship. Conclusions: This study provides basic data for the functional analysis of the kenaf (H. cannabinus) chloroplast genome, the phylogeny of Hibiscus, and the utilization of genetic resources. Full article
Show Figures

Figure 1

17 pages, 863 KB  
Article
Genomic and Phenotypic Landscape of Antibiotic Resistance in Gut Lactic Acid Bacteria from Livestock Environments
by Anna Mikołajczuk-Szczyrba, Karolina Wnęk-Auguścik, Paulina Średnicka, Dziyana Shymialevich, Ewelina Jaroszewska, Adrian Wojtczak, Agnieszka Zapaśnik, Joanna Bucka-Kolendo, Hanna Cieślak and Justyna Nasiłowska
Genes 2025, 16(12), 1518; https://doi.org/10.3390/genes16121518 - 18 Dec 2025
Viewed by 361
Abstract
Background/Objectives: The widespread use of antibiotics in livestock has raised concerns about commensal gut bacteria, such as lactic acid bacteria (LAB), acting as reservoirs for antimicrobial resistance. This study aimed to characterize the antibiotic resistance profiles of LAB isolated from livestock feces by [...] Read more.
Background/Objectives: The widespread use of antibiotics in livestock has raised concerns about commensal gut bacteria, such as lactic acid bacteria (LAB), acting as reservoirs for antimicrobial resistance. This study aimed to characterize the antibiotic resistance profiles of LAB isolated from livestock feces by combining phenotypic susceptibility testing with whole-genome sequencing (WGS) to identify antibiotic resistance genes (ARGs) and their genomic context. Methods: Four LAB strains from farm animal fecal samples were subjected to antibiotic susceptibility testing for 9 antibiotics (ampicillin, gentamicin, kanamycin, clindamycin, chloramphenicol, erythromycin, streptomycin, tetracycline, and vancomycin) using MIC determinations. WGS was performed on each isolate to detect ARGs using curated databases and to determine the chromosomal or plasmid location of these genes. Results: All four isolates exhibited phenotypic resistance to at least one antibiotic class, most frequently to aminoglycosides. However, discrepancies between phenotype and genotype were noted: resistance to aminoglycosides was common despite the absence of known aminoglycoside-resistance genes, suggesting intrinsic, uptake-related mechanisms. In contrast, one strain carried the chromosomal lsa(D) gene but remained susceptible to clindamycin. WGS revealed that all strains harbored the chromosomal van(T) gene, while one isolate carried three additional plasmid-borne ARGs—erm(B), cat(A), and tet(W)—conferring resistance to macrolide–lincosamide–streptogramin antibiotics, chloramphenicol, and tetracycline. Another strain encoded van(Y), lsa(D), and arr on its chromosome. The detection of multiple plasmid-located ARGs in a single LAB isolate highlights their potential for horizontal gene transfer. Conclusions: This study provides a detailed phenotypic and genomic insight into antibiotic resistance in gut-derived LAB from livestock. The findings highlight that commensal LAB can harbor clinically relevant ARGs—sometimes on mobile genetic elements—without always expressing corresponding resistance phenotypes. Such LAB may serve as a hidden reservoir for antibiotic resistance, raising the risk of ARG dissemination through the food chain. These results underscore the importance of vigilant monitoring and genomic screening of LAB, especially those considered for use in foods or feed, to ensure they do not contribute to the spread of antimicrobial resistance. Full article
Show Figures

Figure 1

18 pages, 15544 KB  
Article
FOXM1 Maintains Homeostasis and Self-Renewal in Wharton’s Jelly Mesenchymal Stem Cells
by Nan Li and Qiang Wu
Genes 2025, 16(12), 1517; https://doi.org/10.3390/genes16121517 - 18 Dec 2025
Viewed by 273
Abstract
Background: The transcription factor FOXM1 is a master regulator of the cell cycle and is implicated in various cell fate decisions. However, its functional role and regulatory network in human Wharton’s jelly mesenchymal stem cells (WJ-MSCs) remain poorly defined. This study aimed to [...] Read more.
Background: The transcription factor FOXM1 is a master regulator of the cell cycle and is implicated in various cell fate decisions. However, its functional role and regulatory network in human Wharton’s jelly mesenchymal stem cells (WJ-MSCs) remain poorly defined. This study aimed to elucidate the comprehensive function of FOXM1 in maintaining WJ-MSC stemness, proliferation, and survival, and to delineate the underlying molecular mechanisms. Methods: We used RNA Interference to knock down FOXM1 in WJ-MSCs. The phenotypic impacts were assessed through CCK-8, colony formation, migration, and flow cytometry assays. We analyzed transcriptomic changes using RNA-seq and verified the results through qRT-PCR and Western blotting. Results: Knockdown of FOXM1 significantly reduced the expression of core pluripotency factors (OCT4, SOX2, and NANOG), impairing stem cell identity and abolishing colony formation and migration capacities. Furthermore, FOXM1 deficiency induced G0/G1 phase cell cycle arrest, downregulated CCND1, and triggered apoptosis through a mechanism involving p53 accumulation, an increased BAX/BCL-2 ratio, and Caspase-3 activation. RNA-seq analysis further corroborated the systematic downregulation of cell cycle pathways and upregulation of apoptotic pathways upon FOXM1 deficiency. Conclusions: Our findings establish FOXM1 as a critical regulatory node that integrates stem cell identity with proliferative and survival signals to maintain WJ-MSC homeostasis. This study redefines FOXM1’s role in stem cell biology and provides a theoretical foundation for enhancing the therapeutic efficacy of WJ-MSCs by modulating this key factor. Full article
(This article belongs to the Special Issue Genetics and Epigenetics of Cellular Differentiation)
Show Figures

Figure 1

14 pages, 1006 KB  
Article
Comparative Chromosomal Mapping of the 18S rDNA Loci in True Bugs: The First Data for 13 Genera of the Infraorders Cimicomorpha and Pentatomomorpha (Hemiptera, Heteroptera)
by Natalia V. Golub, Boris A. Anokhin, Snejana Grozeva and Valentina G. Kuznetsova
Genes 2025, 16(12), 1516; https://doi.org/10.3390/genes16121516 - 18 Dec 2025
Viewed by 269
Abstract
Background/Objectives: Sites of ribosomal RNA genes are the most widely documented regions of chromosomes in various groups of eukaryotes, including insects. Data on the number and chromosomal location of 45S rDNAs (25S, 5.8S, and 18S rDNA) are actively used to study the diversity [...] Read more.
Background/Objectives: Sites of ribosomal RNA genes are the most widely documented regions of chromosomes in various groups of eukaryotes, including insects. Data on the number and chromosomal location of 45S rDNAs (25S, 5.8S, and 18S rDNA) are actively used to study the diversity of karyotypes, the organization of individual chromosomes, and the evolution of entire genomes. In true bugs (suborder Heteroptera), the number and chromosomal distribution of 18S rDNA loci are currently known for less than 0.5% of described species. Although some patterns of rDNA distribution can already be identified both in individual taxa of true bugs and in the suborder as a whole, there are still negligible data. In order to expand our understanding of the diversity of rDNA distribution in Heteroptera, we studied for the first time the location of 18S rDNA in 13 species from 13 genera (seven families) of the infraorders Cimicomorpha and Pentatomomorpha (=Terheteroptera, the terminal group of Heteroptera). Methods: Fluorescence in situ hybridization (FISH) with an 18S rDNA probe was used in our study. Results: In total, we have identified three main types of rDNA arrangement: (1) on autosomes, (2) on the X chromosome, and (3) on autosomes and on the X chromosome simultaneously. In most of the studied species, 18S rDNA loci were detected in the terminal position on one pair of autosomes. Conclusions: This study contributed to the understanding of the chromosomal distribution of rDNA loci in the infraorders Cimicomorpha and Pentatomomorpha and confirmed the importance of rDNA in the reorganization of the genomes of Heteroptera as a whole. Full article
(This article belongs to the Section Animal Genetics and Genomics)
Show Figures

Figure 1

22 pages, 1432 KB  
Article
Fifteen Years of Myotonic Dystrophy Type 1 in Mexico: Clinical, Molecular, and Socioeconomic Insights from a National Reference Cohort
by César M. Cerecedo-Zapata, Araceli Guerra-Grajeda, Luz C. Márquez-Quiróz, Paola Arciga-Portela, Rosa E. Escobar-Cedillo, Guadalupe E. Jiménez-Gutiérrez, Óscar A. Pérez-Méndez, Jorge S. Velasco-Flores, Blanca A. Barredo-Prieto, Norberto Leyva-García, Bulmaro Cisneros, Nadia M. Murillo-Melo and Jonathan J. Magaña
Genes 2025, 16(12), 1515; https://doi.org/10.3390/genes16121515 - 17 Dec 2025
Viewed by 346
Abstract
Background/Objectives: Myotonic dystrophy type 1 (DM1) is a rare, multisystemic disorder caused by an expanded (CTG)n repeat in the DMPK gene. Although DM1 has been studied in several populations, access to molecular diagnosis and comprehensive care remains limited in many low- and [...] Read more.
Background/Objectives: Myotonic dystrophy type 1 (DM1) is a rare, multisystemic disorder caused by an expanded (CTG)n repeat in the DMPK gene. Although DM1 has been studied in several populations, access to molecular diagnosis and comprehensive care remains limited in many low- and middle-income countries. This study provides an updated overview of DM1 in Mexico, from diagnostic implementation to patient management, describing key clinical and genetic findings. Methods: We conducted a nationwide, 15-year prospective study at Mexico’s National Reference Center for neuromuscular diseases. A total of 853 individuals at risk were subjected to clinical and molecular evaluation using PCR, TP-PCR, and SP-PCR, encompassing symptomatic, pre-symptomatic, prenatal, and preimplantation genetic diagnosis. Socioeconomic, clinical, and molecular variables were analyzed. Results: A total of 488 individuals were confirmed as DM1 carriers, with the most prevalent phenotypes being classic (36.5%) and juvenile (28.5%). Genomic analysis revealed a correlation between CTG tract sizes and phenotypes. Intriguingly, interrupted CTG repeat tracts were identified in 2.8% of DM1 carriers, who exhibited milder clinical phenotypes and a reduced degree of somatic and intergenerational instability. Survival analysis revealed a reduction in symptom-free survival in patients with larger expansions, while interrupted CTG tracts were associated with delayed onset. Conclusions: The centralization of diagnostic services in Mexico resulted in regional disparities, impacting early diagnosis and family planning. This study highlights the clinical and molecular diversity of DM1 in a Latin American population and underscores the urgent need for decentralized diagnostic services, integrated care models, and tailored prognostic tools in underserved settings. Full article
(This article belongs to the Special Issue Diagnosis, Management and Therapy of Rare Diseases)
Show Figures

Figure 1

17 pages, 2353 KB  
Article
Differential Expression of Key Oncogenic and Tumor Suppressor MicroRNAs Induced by Andrographolide in Androgen-Independent PC3 and Androgen-Dependent LNCaP Prostate Cancer Cells
by Padmavati Sahare, Luis Alberto Bravo-Vázquez, Diego Antonio Veloz-Briones, Daniela Bernal-Vázquez, Ignacio Bolaños-Fernández, Brenda Anguiano, Gabriel Luna-Bárcenas and Sujay Paul
Genes 2025, 16(12), 1514; https://doi.org/10.3390/genes16121514 - 17 Dec 2025
Viewed by 390
Abstract
Background: Prostate cancer remains a major contributor to cancer-related morbidity and mortality worldwide, emphasizing the need for safer and more effective therapeutic options. Andrographolide, a diterpenoid lactone derived from Andrographis paniculata, has shown promising anticancer activity, yet its effects on microRNA (miRNA) [...] Read more.
Background: Prostate cancer remains a major contributor to cancer-related morbidity and mortality worldwide, emphasizing the need for safer and more effective therapeutic options. Andrographolide, a diterpenoid lactone derived from Andrographis paniculata, has shown promising anticancer activity, yet its effects on microRNA (miRNA) regulation in prostate cancer remain insufficiently explored. Methods: In this study, we evaluated the cytotoxic and molecular effects of andrographolide on two human prostate cancer cell lines, PC3 and LNCaP, along with HEK-293 cells as a noncancerous model. Results: Cell viability assessment using the MTT assay revealed dose-dependent cytotoxicity, with 24 h IC50 values of 82.31 µM for PC3, 68.79 µM for LNCaP, and 133.9 µM for HEK-293 cells. Subsequent expression analysis of key oncogenic and tumor suppressor miRNAs demonstrated that andrographolide induced the upregulation of miR-16-5p, miR-34a-5p, and miR-200a-5p miRNAs implicated in apoptosis, proliferation control, and androgen receptor signaling. In contrast, the expression of oncomiRs miR-21-5p and miR-221-5p showed minimal or nonsignificant changes, reflecting the complex and context-specific roles of miRNAs in prostate cancer. Gene expression profiling further indicated differential transcriptional responses between the two prostate cancer cell lines, consistent with their distinct molecular backgrounds. Conclusions: Although HEK-293 cytotoxicity and previously reported nephrotoxic effects warrant caution, these results support the potential of andrographolide as an adjuvant phytochemical capable of modulating clinically relevant miRNAs in prostate cancer. Future studies investigating optimized delivery systems and validating direct miRNA targets may help advance andrographolide toward safer and more targeted therapeutic applications. Full article
(This article belongs to the Section Pharmacogenetics)
Show Figures

Figure 1

20 pages, 1543 KB  
Article
Predicting Genetic Relatedness from Low-Coverage Sequencing Data of Human and Animal Genomes Using Various Algorithms
by Xinyi Lin, Shuang Han, Qifan Sun, Yuting Lei, Zhen Liu and Xueling Ou
Genes 2025, 16(12), 1513; https://doi.org/10.3390/genes16121513 - 17 Dec 2025
Viewed by 385
Abstract
Background/Objectives: The further application of high-coverage whole genome sequencing in fields such as paleogenomics, forensic investigations, and conservation genomics is impeded by two major barriers: extremely high costs and stringent sample requirements. Utilizing low-coverage sequencing offers a practical solution to these constraints; [...] Read more.
Background/Objectives: The further application of high-coverage whole genome sequencing in fields such as paleogenomics, forensic investigations, and conservation genomics is impeded by two major barriers: extremely high costs and stringent sample requirements. Utilizing low-coverage sequencing offers a practical solution to these constraints; however, this approach introduces a primary challenge—the necessity to reconstruct distorted genomic information for downstream analysis. Methods: Analytical experiments conducted on low- to medium-coverage sequencing data confirmed the accuracy of several existing methods for inferring relationships up to the third degree and distinguishing unrelated individuals. Subsequently, efforts were made to evaluate allele-frequency-independent methods within animal genomics, where analyses are likely to encounter challenges such as uncertain allele frequencies, diverse sample types, and suboptimal sample quality. Kinship inference was performed on a total of 33 pairs of animal samples across three species, comprising nine parent–offspring pairs and four full-sibling pairs. Results: The analysis revealed that two efficient algorithm implementations (READ and KIN) successfully identified all unrelated pairs. Notably, among the various algorithms utilized, only KIN exhibited confusion between first- and second-degree relationships when subjected to. Conclusions: This study has filled a critical gap in the existing literature by conducting a comprehensive evaluation of various algorithms on low-coverage sequencing data derived from authentic human and animal samples, accompanied by detailed ground truth—a vital task that has been overlooked. Full article
(This article belongs to the Section Technologies and Resources for Genetics)
Show Figures

Figure 1

20 pages, 3093 KB  
Article
Bacterial Profile, Molecular Serotyping, and Key Genetic Determinants for Adhesion, Immune Evasion, and Tissue Spread Among Bulgarian Children with Acute Otitis Media
by Alexandra S. Alexandrova, Vasil S. Boyanov and Raina T. Gergova
Genes 2025, 16(12), 1512; https://doi.org/10.3390/genes16121512 - 17 Dec 2025
Viewed by 330
Abstract
Background: Acute otitis media (AOM) is one of the most common pediatric infections. We aimed to investigate the bacterial profile of AOM in children, the serotype distribution, and the main genetic virulence factors involved in adhesion, immune evasion, and tissue spread. Methods [...] Read more.
Background: Acute otitis media (AOM) is one of the most common pediatric infections. We aimed to investigate the bacterial profile of AOM in children, the serotype distribution, and the main genetic virulence factors involved in adhesion, immune evasion, and tissue spread. Methods: In total, 121 AOM cases involving children aged 0 to 14 years were studied. Middle ear fluids (MEF) (n = 42) and nasopharyngeal samples (n = 79) were collected. All strains were identified using routine microbiological tests, conventional PCRs and real-time PCR methods. Molecular serotyping was performed for S. pneumoniae and H. influenzae isolates. An immunofluorescence serotyping technique was employed for M. catarrhalis. Target genetic factors were determined for all involved bacterial agents using singleplex or multiplex PCRs. Results: We analyzed 148 nasopharyngeal and MEF. Among 121 AOM cases, a total of 127 bacterial agents were identified, including S. aureus (n = 41), S. pneumoniae (n = 28), H. influenzae (n = 23), M. catarrhalis (n = 19), and S. pyogenes (n = 16). The leading three serotypes among S. pneumoniae were: 19A (18.0%), 6A (14.3%), and 15B (14.3%). 91.3% of H. influenzae isolates were non-typeable (lacking a capsule—NTHi). The M. catarrhalis isolates were distributed in serotypes A (57.9%), B (26.3%), and C (15.8%). Presence of pili type 1 was detected in 21.4% pneumococci, and the fimbrial gene hifA was found in 34.8% of the H. influenzae strains. In 73.6% of the M. catarrhalis strains, ompCD was identified, while 84.2% contained ompE. 62.5% of the S. pyogenes isolates harbored the sdc gene, and 56.2% possessed the sdaD gene, predominantly in the MEF isolates. The cna adhesin was found in 28.0% of the S. aureus strains. Conclusions: The monitoring of bacterial pathogens responsible for otitis media, along with their serotype distribution and the prevalence of genetic factors involved in disease pathogenesis, is essential for public health and can help predict disease severity and treatment options. Full article
(This article belongs to the Section Genes & Environments)
Show Figures

Figure 1

14 pages, 630 KB  
Article
From Polymorphisms to Phenotypes: SMAD3 rs17293632 and LTBP3 rs11545200 in Pediatric Inflammatory Bowel Disease
by Jan Brylak, Mariusz Szczepanik, Jan K. Nowak, Małgorzata Jamka, Aleksandra Glapa-Nowak, Aleksandra Banaszkiewicz, Andrzej Radzikowski, Anna Szaflarska-Popławska, Jarosław Kwiecień, Urszula Grzybowska-Chlebowczyk, Edyta Kawałkowska, Anna Wiernicka and Jarosław Walkowiak
Genes 2025, 16(12), 1511; https://doi.org/10.3390/genes16121511 - 16 Dec 2025
Viewed by 256
Abstract
Background/Objectives: Early-onset inflammatory bowel disease (IBD), including Crohn’s disease (CD) and ulcerative colitis (UC), frequently presents with a more severe clinical course. Genetic susceptibility, particularly involving the TGF-β signaling pathway, plays a key role in IBD pathogenesis. SMAD3 and LTBP3 encode crucial [...] Read more.
Background/Objectives: Early-onset inflammatory bowel disease (IBD), including Crohn’s disease (CD) and ulcerative colitis (UC), frequently presents with a more severe clinical course. Genetic susceptibility, particularly involving the TGF-β signaling pathway, plays a key role in IBD pathogenesis. SMAD3 and LTBP3 encode crucial components of this pathway and have been implicated in IBD in previous genome-wide association studies. Methods: This study aimed to assess the clinical significance of the rs17293632 (SMAD3) and rs11545200 (LTBP3) polymorphisms in a pediatric IBD cohort. A total of 286 children (133 with UC and 153 with CD) were recruited from seven pediatric centers in Poland. Clinical data included age at diagnosis, inflammatory markers (CRP, albumin), growth indices (Z-scores for weight, height, and BMI), and treatment regimens. Results: The LTBP3 rs11545200 minor allele was significantly associated with a younger age at diagnosis, poorer nutritional status during disease flares, and a more frequent use of infliximab—particularly in patients with UC. In CD, the SMAD3 rs17293632 major homozygous genotype was associated with increased use of systemic corticosteroids, suggesting a more severe or treatment-resistant disease phenotype. Conclusions: The assessed polymorphisms in LTBP3 and SMAD3, both involved in TGF-β signaling, are associated with clinical characteristics of pediatric IBD. These findings support the potential role of genetic variants as biomarkers for disease severity and treatment tailoring, contributing to the development of personalised therapeutic strategies in children with IBD. Full article
(This article belongs to the Section Human Genomics and Genetic Diseases)
Show Figures

Graphical abstract

23 pages, 2114 KB  
Article
Tracing the Uncharted African Diaspora in Southern Brazil: The Genetic Legacies of Resistance in Two Quilombos from Paraná
by Iriel A. Joerin-Luque, Isadora Baldon Blaczyk, Priscila Ianzen dos Santos, Ana Cecília Guimarães Alves, Natalie Mary Sukow, Ana Carolina Malanczyn de Oliveira, Thomas Farias de Cristo, Angela Rodrigues do Amaral Bispo, Aymee Fernanda Gros, Maria Letícia Santos Saatkamp, Victor Dobis Barros, Joana Gehlen Tessaro, Maria Eduarda da Silveira Costa, Luana Leonardo Garcia, Isabela Dall Oglio Bucco, Denise Raquel de Moura Bones, Sarah Elisabeth Cupertino, Letícia Boslooper Gonçalves, Alaerte Leandro Martins, Gilberto da Silva Guizelin, Adriana Inês de Paula, Claudemira Vieira Gusmão Lopes and Marcia Holsbach Beltrameadd Show full author list remove Hide full author list
Genes 2025, 16(12), 1510; https://doi.org/10.3390/genes16121510 - 16 Dec 2025
Viewed by 659
Abstract
Background/Objectives: In Brazil, quilombos—African-descendant resistance communities—emerged during slavery and persisted beyond its abolition. The state of Paraná, in Southern Brazil, is home to 86 quilombos, yet their genetic diversity remains entirely unexplored, and little is known about their subcontinental African origins. [...] Read more.
Background/Objectives: In Brazil, quilombos—African-descendant resistance communities—emerged during slavery and persisted beyond its abolition. The state of Paraná, in Southern Brazil, is home to 86 quilombos, yet their genetic diversity remains entirely unexplored, and little is known about their subcontinental African origins. Methods: To explore the demographic history of these communities and the reach of the Transatlantic Slave Trade in Southern Brazil, we analyzed Y and mitochondrial DNA haplotypes in samples from two quilombo communities from Paraná, Feixo (n = 117) and Restinga (n = 47). Results: Our findings reveal a significant African maternal ancestry in both communities, with Feixo exhibiting 35% and Restinga showing a striking 78.72% of maternal haplogroups of African origin. Feixo’s mtDNA haplotypes display affinities with Bantu-speaking populations from Central-Western and Southeastern Africa (such as Angola, Congo, and Mozambique), whereas those found in Restinga are more closely aligned with lineages frequent in Western Africa. Y-chromosome data reveal 39.4% and 25% African paternal ancestry in Feixo and Restinga, respectively, with most African chromosomes assigned to haplogroup E1b1b1-M35, which has a broad frequency across eastern Africa. Conclusions: These results offer novel insights into the history of the African diaspora in a previously unstudied Brazilian region, suggesting African sources—including underdocumented Eastern/Southern lineages—and contributing useful new clues to their broader within-Africa affinities. Full article
(This article belongs to the Section Population and Evolutionary Genetics and Genomics)
Show Figures

Figure 1

16 pages, 6217 KB  
Article
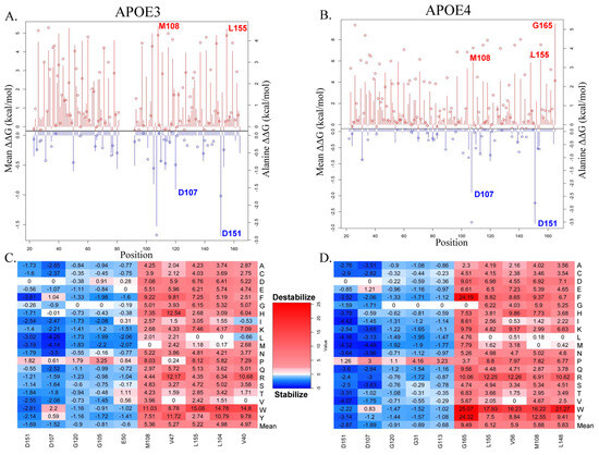
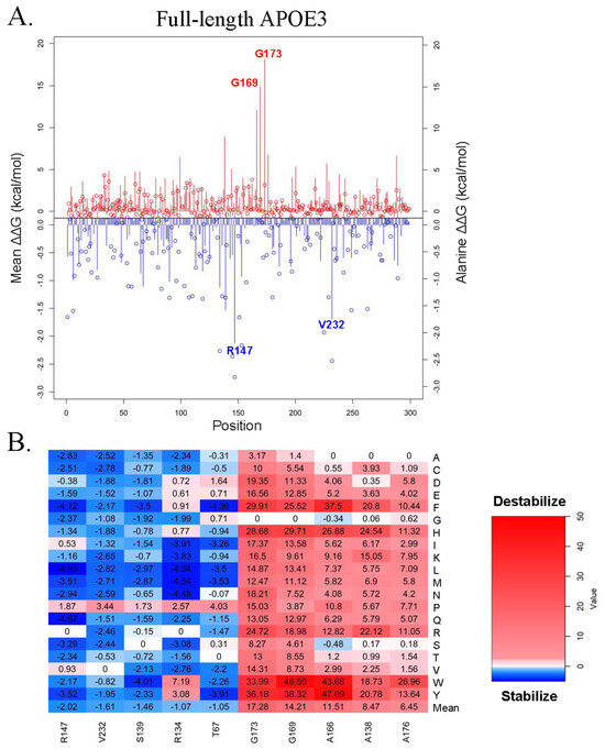
Structural Analysis of Missense Mutations on the Stability of APOE3 and APOE4
by Malcolm Anthony, Yixin Xie, Jahn N. O’Neil and Shaolei Teng
Genes 2025, 16(12), 1509; https://doi.org/10.3390/genes16121509 - 16 Dec 2025
Viewed by 375
Abstract
Background/Objectives: Apolipoprotein E (APOE) plays a central role in lipid transport and neuronal cholesterol metabolism. Among its three major isoforms (APOE2, APOE3, and APOE4), the APOE4 variant is the strongest genetic risk factor for late-onset Alzheimer’s disease (AD). However, the structural consequences of [...] Read more.
Background/Objectives: Apolipoprotein E (APOE) plays a central role in lipid transport and neuronal cholesterol metabolism. Among its three major isoforms (APOE2, APOE3, and APOE4), the APOE4 variant is the strongest genetic risk factor for late-onset Alzheimer’s disease (AD). However, the structural consequences of specific APOE mutations on protein stability remain poorly understood. Methods: Here, we performed computational saturation mutagenesis and molecular dynamics simulations on the non-lipidated N-terminal fragments of APOE3 and APOE4 to examine how missense mutations affect their structural stability. Results: Based on the folding energy (ΔΔG) calculations, mutations G165W and L155W were particularly destabilizing in APOE4. Molecular dynamics analyses showed that these mutations altered local flexibility and compactness, particularly within the helix 4 region, a key structural element for maintaining APOE’s structural integrity. Conclusions: Our findings, which are state dependent and hypothesis generating, highlight isoform-dependent differences in protein stability and identify regions of structural vulnerability within APOE. These insights enhance our understanding of APOE’s conformational dynamics and may inform future studies on its role in neurodegenerative disease mechanisms. Full article
(This article belongs to the Section Bioinformatics)
Show Figures

Figure 1

18 pages, 1287 KB  
Systematic Review
Clinical and Molecular Spectrum of PPP2R1A-Related Neurodevelopmental Disorders: A Systematic Review
by Jaewoong Lee, Ari Ahn, Jaeeun Yoo and Seungok Lee
Genes 2025, 16(12), 1508; https://doi.org/10.3390/genes16121508 - 16 Dec 2025
Viewed by 295
Abstract
Background/Objectives: PPP2R1A encodes the scaffold subunit Aα of protein phosphatase 2A (PP2A). Pathogenic variants cause Houge-Janssens syndrome 2, a rare neurodevelopmental disorder characterized by developmental delay, intellectual disability, epilepsy, and brain malformations. We systematically reviewed published cases to define the clinical spectrum, [...] Read more.
Background/Objectives: PPP2R1A encodes the scaffold subunit Aα of protein phosphatase 2A (PP2A). Pathogenic variants cause Houge-Janssens syndrome 2, a rare neurodevelopmental disorder characterized by developmental delay, intellectual disability, epilepsy, and brain malformations. We systematically reviewed published cases to define the clinical spectrum, characterize the mutational landscape, and explore genotype–phenotype correlations. Methods: We conducted systematic searches of PubMed, Embase, and Web of Science from inception to March 2025, supplemented by GeneReviews and OMIM references. Studies reporting PPP2R1A variants with clinical data were included. Data extraction followed PRISMA guidelines, encompassing study characteristics, genetic findings, and phenotypic features. Results: We identified 16 studies representing 60 patients with PPP2R1A-related disorders. Twenty-six distinct pathogenic variants were identified; these were predominantly de novo heterozygous missense changes clustering within HEAT repeats 5–7. Recurrent hotspots included p.Arg182Trp (n = 12) and p.Arg183Gln (n = 5). Developmental delay and intellectual disability were universally present in all patients for whom data were available (100%, 58/58). Epilepsy occurred in 50.9% (29/57), and structural brain abnormalities in 83.1% (49/59), with corpus callosum abnormalities (40.7%, 24/59) and ventriculomegaly (32.2%, 19/59) being most frequent. Microcephaly was reported in 17.2% (10/58) and macrocephaly in 25.9% (15/58), while dysmorphic features were present in 53.4% (31/58). The phenotypic spectrum ranged from severe neonatal presentations with high mortality to milder neurodevelopmental courses, with prenatal manifestations including ventriculomegaly, corpus callosum abnormalities, and rare cardiac defects. Clear genotype–phenotype correlations emerged, with HEAT5 variants (p.Arg182Trp, p.Arg183Gln) associated with severe phenotypes and increased mortality, while p.Arg258His variants demonstrated comparatively milder courses. Conclusions: PPP2R1A-related disorders encompass a broad clinical spectrum ranging from lethal neonatal disease to survivable forms with variable neurodevelopmental outcomes. Prenatal features including ventriculomegaly and corpus callosum abnormalities enable early genetic diagnosis, informing reproductive counseling. Recognition of recurrent hotspot variants and their phenotype associations facilitates diagnosis, prognosis, and genetic counseling. These findings provide evidence-based guidance for clinical management and highlight the importance of variant-specific prognostication in this emerging neurodevelopmental disorder. Full article
(This article belongs to the Section Human Genomics and Genetic Diseases)
Show Figures

Figure 1

16 pages, 1206 KB  
Article
Exercise, APOE Genotype, and Testosterone Modulate Gut Microbiome–Cognition Associations in Prostate Cancer Survivors
by Jacob Raber, Abigail O’Niel, Kristin D. Kasschau, Alexandra Pederson, Naomi Robinson, Carolyn Guidarelli, Christopher Chalmers, Kerri Winters-Stone and Thomas J. Sharpton
Genes 2025, 16(12), 1507; https://doi.org/10.3390/genes16121507 - 16 Dec 2025
Viewed by 377
Abstract
Background: Men treated with androgen deprivation therapy (ADT) for prostate cancer are at risk for cognitive decline. Patient genetics and endocrine state may shape gut microbiome features that relate to cognition. Methods: We studied a subsample of 79 prostate cancer survivors with prior [...] Read more.
Background: Men treated with androgen deprivation therapy (ADT) for prostate cancer are at risk for cognitive decline. Patient genetics and endocrine state may shape gut microbiome features that relate to cognition. Methods: We studied a subsample of 79 prostate cancer survivors with prior ADT exposure previously enrolled in a randomized controlled exercise trial comparing three training modalities (strength training, Tai Chi training, or stretching control) who completed an additional food-frequency questionnaire and remote Montreal Cognitive Assessment (MoCA) and provided saliva and stool for APOE genotyping, salivary testosterone, and 16S rRNA sequencing. We used beta regression for MoCA (scaled 0–1), linear models for testosterone, alpha diversity regressions, PERMANOVA for beta diversity, and DESeq2 for genus-level differential abundance, with false-discovery correction. Results: Compared to post-stretching control, post-strength training testing was associated with higher MoCA scores whereas post-Tai Chi testing was not. APOE ε4 carriers exhibited a greater testosterone increase with strength training than non-carriers. Testosterone, and its interactions with exercise modality and APOE ε2 status, was related to presence/absence-based community structure; APOE ε4 interacted with exercise intervention to influence alpha diversity. At the genus level, exercise was linked to lower levels of Bacteroidota taxa (including Muribaculaceae) and higher levels of Enterobacteriaceae; APOE ε4 status was linked to higher Megamonas and lower Rikenellaceae RC9 levels; and higher salivary testosterone levels were linked to higher Prevotellaceae taxa and Succinivibrio levels. Higher MoCA scores were associated with lower abundances of several Firmicutes genera. Conclusions: Endocrine state and APOE genotype may condition the gut microbiome’s response to exercise intervention in ADT-treated prostate cancer survivors, with downstream associations with cognition. These findings could inform precision survivorship strategies pairing strength training with genotype- and hormone-informed microbiome monitoring to optimize cognitive performance. Full article
Show Figures

Figure 1

27 pages, 1424 KB  
Systematic Review
Insights into the Genetic and Epigenetic Landscape of Endocrine Autoimmunity: A Systematic Review
by Gerdi Tuli, Jessica Munarin, Katherine Stephanie Davalos Flores and Luisa De Sanctis
Genes 2025, 16(12), 1506; https://doi.org/10.3390/genes16121506 - 16 Dec 2025
Viewed by 556
Abstract
Background/Objectives: Endocrine autoimmune diseases, including autoimmune thyroid, pituitary, parathyroid, adrenal, and gonadal diseases, result from complex interactions between genetic susceptibility and environmental triggers. Advances in genomics and epigenomics have provided novel insights into the molecular pathways leading to immune dysregulation and endocrine tissue [...] Read more.
Background/Objectives: Endocrine autoimmune diseases, including autoimmune thyroid, pituitary, parathyroid, adrenal, and gonadal diseases, result from complex interactions between genetic susceptibility and environmental triggers. Advances in genomics and epigenomics have provided novel insights into the molecular pathways leading to immune dysregulation and endocrine tissue destruction. This review summarizes recent progress in understanding the genetic and epigenetic bases, emphasizing shared and disease-specific mechanisms that contribute to autoimmunity and endocrine dysfunction. Methods: A comprehensive literature search was performed in PubMed, Scopus, and Web of Science up to August 2025, focusing on genome-wide association studies (GWAS), next-generation sequencing, and epigenetic profiling (DNA methylation, histone modification, and non-coding RNA regulation). Results: More than 60 susceptibility loci have been identified across endocrine autoimmune diseases (EADs), including key genes in immune tolerance (HLA, CTLA4, PTPN22) and endocrine-specific pathways. Epigenetic studies reveal that altered DNA methylation and histone acetylation patterns in immune and endocrine cells modulate gene expression without changing the DNA sequence, linking environmental exposures to disease onset. Dysregulated microRNAs further influence immune signaling and cytokine networks. Conclusions: Genetic and epigenetic discoveries highlight the multifactorial nature of EADs and reveal potential biomarkers for early detection and targets for precision immunotherapy. Future research integrating multi-omics and longitudinal analyses will be crucial to unravel causal mechanisms and develop personalized preventive strategies. Full article
(This article belongs to the Special Issue Genetic and Epigenetic Factors for Autoimmune Diseases)
Show Figures

Figure 1

17 pages, 730 KB  
Article
Matrix Metalloproteinase Polymorphisms as Genetic Risk Factors for Anterior Cruciate Ligament Injuries in Football Players: A Case–Control Study
by Kinga Wiktoria Łosińska, Agata Rzeszutko-Bełzowska, Krzysztof Ficek, Myosotis Massidda, Giovanna Maria Ghiani, Paweł Cięszczyk and Alison Victoria September
Genes 2025, 16(12), 1505; https://doi.org/10.3390/genes16121505 - 16 Dec 2025
Viewed by 270
Abstract
Background/Objectives: Injuries to the anterior cruciate ligament (ACL) frequently occur in physically active populations and often lead to long-term complications, such as osteoarthritis and recurrent injury. The ACL’s structural integrity depends on extracellular matrix (ECM) remodeling, regulated by matrix metalloproteinases (MMPs). This [...] Read more.
Background/Objectives: Injuries to the anterior cruciate ligament (ACL) frequently occur in physically active populations and often lead to long-term complications, such as osteoarthritis and recurrent injury. The ACL’s structural integrity depends on extracellular matrix (ECM) remodeling, regulated by matrix metalloproteinases (MMPs). This study examined the association between three polymorphisms—MMP1 rs1799750, MMP10 rs486055, and MMP12 rs2276109—and ACL injury outcomes, including injury frequency, strain, partial rupture, and complete rupture. Methods: A total of 296 physically active, unrelated Caucasian males participated in this case–control study, including 160 with ACL injuries (classified as ACLF—ACL injury frequency, ACLS—strain, ACLRP—partial rupture, ACLRC—complete rupture, and ACL—general ACL injury) and 136 healthy controls (CON) with no previous ACL injuries. All injuries resulted from non-contact mechanisms. Results: The MMP1 rs1799750 polymorphism showed a protective effect against ACL injury compared to controls (OR = 0.42, 95% CI: 0.21–0.85, Padj = 0.014). Within the injury group, MMP10 rs486055 was significantly associated with partial ruptures, especially in heterozygous carriers (OR = 3.47, 95% CI: 1.64–7.33, p = 0.001). The MMP12 rs2276109 variant, under a dominant model, was linked to higher injury frequency (OR = 3.80, 95% CI: 1.69–8.54, p = 0.0009) but showed no association with injury severity. Conclusions: The MMP1 rs1799750 polymorphism showed a protective effect against ACL injury, MMP10 rs486055 was associated with an increased risk of partial rupture, and MMP12 rs2276109 was linked to higher injury frequency. These findings highlight the complex genetic and biomechanical interactions underlying ACL injuries. The MMP1 rs1799750 polymorphism showed a protective effect (58% reduction in the odds compared to controls) against ACL injury, MMP10 rs486055 was associated with an increased risk (3.47 times higher odds) of partial rupture, and MMP12 rs2276109 was linked to 3.8 times higher odds of an injury. Identifying genetic risk factors may support personalized injury prevention and rehabilitation strategies, offering new opportunities to reduce long-term complications in athletes and active individuals. Full article
(This article belongs to the Section Human Genomics and Genetic Diseases)
Show Figures

Figure 1

12 pages, 435 KB  
Article
Internal Validation of Mitochondrial DNA Control Region Using the Precision ID mtDNA Control Region Panel
by Esther Lechuga-Morillas, María Saiz, Diana C. Vinueza-Espinosa, Xiomara Gálvez, María Isabel Medina-Lozano, Rosario Medina-Lozano, Francisco Santisteban, Juan Carlos Álvarez and José Antonio Lorente
Genes 2025, 16(12), 1504; https://doi.org/10.3390/genes16121504 - 16 Dec 2025
Viewed by 342
Abstract
Background/Objectives: The sequencing of mitochondrial DNA is a valuable tool in forensic genetics, particularly in cases involving degraded samples or those with low nuclear DNA content. In this study, we performed an internal validation for an NGS-based typing of the mitochondrial DNA [...] Read more.
Background/Objectives: The sequencing of mitochondrial DNA is a valuable tool in forensic genetics, particularly in cases involving degraded samples or those with low nuclear DNA content. In this study, we performed an internal validation for an NGS-based typing of the mitochondrial DNA control region using the Precision ID mtDNA Control Region Panel on the Ion S5TM sequencer (Thermo Fisher Scientific, Waltham, MA, USA). This validation enhances the scientific robustness, reliability, and judicial admissibility of the results in forensic cases. Methods: Six parameters were evaluated: minimum read depth, sensitivity, repeatability, concordance with Sanger, reproducibility and heteroplasmy detection employing ten negative controls, nine reference samples, a bone sample, and six experimental mixtures. Libraries were prepared using the Ion ChefTM system, quantified on the QuantstudioTM 5 Real-Time PCR, sequenced on the Ion GeneStudioTM S5, and analyzed with ConvergeTM software. Results: In this study, we found that a read depth threshold of 100 reads per position, an optimal concentration of 20 pg/µL, and a detection threshold of heteroplasmies of 20% are appropriate to obtain reliable genetic profiles. This supports the application of this method in forensic casework, in which initial concentrations may be around the optimal concentration exposed here due to the provenience of the samples. Conclusions: The results indicate that the NGS platform is suitable for forensic mtDNA analysis, even under low-template conditions, and offers higher sensitivity compared to Sanger sequencing. However, some limitations were observed in the coverage of specific amplicons, the detections of polymorphisms in homopolymeric regions, and in the detection of low-level heteroplasmies. Full article
(This article belongs to the Special Issue Advances in Forensic Genetics and DNA)
Show Figures

Figure 1

25 pages, 1817 KB  
Review
Animal Species and Identity Testing: Developments, Challenges, and Applications to Non-Human Forensics
by Bruce Budowle, Antti Sajantila and Daniel Vanek
Genes 2025, 16(12), 1503; https://doi.org/10.3390/genes16121503 - 16 Dec 2025
Viewed by 791
Abstract
Biological samples of non-human origin, commonly encountered in wildlife crime investigations, present distinct challenges regarding forensic DNA analysis efforts. Although the types of samples encountered in human identity testing can vary to some degree, analyzing DNA from one species is facilitated by unified [...] Read more.
Biological samples of non-human origin, commonly encountered in wildlife crime investigations, present distinct challenges regarding forensic DNA analysis efforts. Although the types of samples encountered in human identity testing can vary to some degree, analyzing DNA from one species is facilitated by unified processes, common genetic marker systems, and national DNA databases. In contrast, non-human animal species identification is confounded by a diverse range of target species and a variety of sampling materials, such as feathers, processed animal parts in traditional medicine, and taxidermy specimens, which often contain degraded DNA in low quantities, are contaminated with chemical inhibitors, and may be comingled with other species. These complexities require specialized analytical approaches. Compounding these issues is a lack of validated non-human species forensic sampling and typing kits, and the risk of human DNA contamination during evidence collection. Markers residing on the mitochondrial genome (mtDNA) are routinely sought because of the large datasets available for comparison and their greater sensitivity of detection. However, the barcoding results can be complicated at times for achieving species-level resolution, the presence of nuclear inserts of mitochondrial DNA (NUMTs), and the limitation of mtDNA analysis alone to detect hybrids. Species-specific genetic markers for identification have been developed for a few high-profile species; however, many CITES (Convention on International Trade in Endangered Species of Wild Fauna and Flora)-listed organisms lack specific, validated forensic analytical tools, creating a significant gap in investigative enforcement capabilities. This deficiency stems in part from the low commercial nature of wildlife forensics efforts, a government research-driven field, the difficulty of obtaining sufficient reference samples from wild populations, limited training and education infrastructure, and inadequate funding support. Full article
(This article belongs to the Special Issue Research Updates in Forensic Genetics)
Show Figures

Figure 1

10 pages, 1018 KB  
Case Report
Functional Interpretation of a Novel Homozygous METTL5 Variant Associated with ADHD and Neurodevelopmental Abnormalities: A Case Report and Literature Review
by Sheema Hashem, Saba F. Elhag, Ajaz A. Bhat, Waleed Aamer, Aljazi Al-Maraghi, Hala Alhaboub, Dalya Abuthaher, Ammira S. Al-Shabeeb Akil, Mohammad Haris, Khalid Fakhro, Georges Nemer and Madeeha Kamal
Genes 2025, 16(12), 1502; https://doi.org/10.3390/genes16121502 - 15 Dec 2025
Viewed by 313
Abstract
Background and Clinical Significance: Methyltransferase-like protein 5 (METTL5) is a conserved RNA methyltransferase responsible for catalyzing the N6-methyladenosine (m6A) modification of 18S ribosomal RNA, a process critical for ribosome biogenesis and translational regulation. Biallelic variants in METTL5 have been linked to [...] Read more.
Background and Clinical Significance: Methyltransferase-like protein 5 (METTL5) is a conserved RNA methyltransferase responsible for catalyzing the N6-methyladenosine (m6A) modification of 18S ribosomal RNA, a process critical for ribosome biogenesis and translational regulation. Biallelic variants in METTL5 have been linked to autosomal recessive intellectual developmental disorder-72 (MRT72), typically presenting with microcephaly, intellectual disability, and speech delay. However, the association between METTL5 and isolated attention-deficit/hyperactivity disorder (ADHD) remains underexplored. Case Presentation: We report a 14-year-old Qatari female, born to consanguineous parents, who presented with microcephaly, speech delay, learning difficulties, and inattentive-type ADHD. Trio-based whole-genome sequencing identified a novel homozygous METTL5 variant (c.617G > A; p. Arg206Gln), with both parent’s heterozygous carriers. The variant is extremely rare (gnomAD MAF: 0.0000175) and predicted to be deleterious (CADD: 23.7; SIFT: damaging; PolyPhen-2: probably damaging). Structural modeling localized the change within the SAM-dependent catalytic domain, predicting protein destabilization (ΔΔG = +1.8 kcal/mol). The affected residue is highly conserved (ConSurf score: 8), and protein–protein interaction analysis linked METTL5 with METTL14, METTL16, and ZCCHC4, key regulators of rRNA methylation. Conclusions: In silico evidence suggests that the p. Arg206Gln variant disrupts METTL5 function, likely contributing to the observed neurodevelopmental phenotype, including ADHD. This expands the clinical spectrum of METTL5-related disorders and supports its inclusion in neurodevelopmental gene panels. Full article
(This article belongs to the Special Issue Genes and Pediatrics)
Show Figures

Figure 1

15 pages, 2982 KB  
Article
A R3-Type MYB Transcription Factor LrMYB30 Negatively Regulates L. ruthenicum Fruit Coloration
by Yuejie Wang, Tingting Wang, Zhanming Tan and Zixin Mu
Genes 2025, 16(12), 1501; https://doi.org/10.3390/genes16121501 - 15 Dec 2025
Viewed by 258
Abstract
Background: Anthocyanins and proanthocyanidins (PAs), as flavonoid compounds with potent antioxidant activity, exhibit significant health-promoting and medicinal properties. Black wolfberry (Lycium ruthenicum Murr.) is renowned for its exceptional anthocyanin content; however, the regulatory mechanisms of anthocyanin biosynthesis remain poorly understood, limiting its [...] Read more.
Background: Anthocyanins and proanthocyanidins (PAs), as flavonoid compounds with potent antioxidant activity, exhibit significant health-promoting and medicinal properties. Black wolfberry (Lycium ruthenicum Murr.) is renowned for its exceptional anthocyanin content; however, the regulatory mechanisms of anthocyanin biosynthesis remain poorly understood, limiting its biotechnological potential. This study aimed to elucidate the transcriptional regulatory function of LrMYB30 in anthocyanin biosynthesis in black wolfberry. Methods: The regulatory function of LrMYB30 was investigated using virus-induced gene silencing (VIGS), yeast one-hybrid assays, and dual-luciferase reporter assays in black wolfberry. Results: VIGS demonstrated that silencing LrMYB30 promoted anthocyanin accumulation while reducing PA content, establishing that the LrMYB30 transcription factor as a negative regulator of anthocyanin synthesis. Yeast one-hybrid and dual-luciferase reporter assays confirmed that LrMYB30 directly binds to and activates the promoter of LrANR, a key structural gene in PA biosynthesis. In contrast, LrMYB30 neither binds to nor suppresses the promoters of the critical anthocyanin biosynthesis genes LrUF3GT and LrDFR. Conclusions: Thus, LrMYB30 redirects the flavonoid metabolic flux from anthocyanin to PA synthesis through transcriptional activation of LrANR during later fruit development, reducing anthocyanin accumulation and delaying coloration. These findings reveal a novel regulatory mechanism in black wolfberry pigmentation and maturation, providing genetic targets for molecular breeding of high-anthocyanin cultivars. Full article
(This article belongs to the Section Plant Genetics and Genomics)
Show Figures

Figure 1

14 pages, 2527 KB  
Article
Genome-Wide Identification and Expression Pattern of the SPP Gene Family in Cotton (Gossypium hirsutum) Under Abiotic Stress
by Cuijie Cui, Chao Wang, Shangfu Ren and Huiqin Wang
Genes 2025, 16(12), 1500; https://doi.org/10.3390/genes16121500 - 15 Dec 2025
Viewed by 252
Abstract
Background: Sucrose metabolism plays a crucial role in plant responses to abiotic stresses such as drought and high temperatures, significantly influencing plant growth and yield formation. In higher plants, the second step in sucrose bioconversion involves sucrose phosphate phosphatase (SPP) hydrolyzing sucrose-6-phosphate to [...] Read more.
Background: Sucrose metabolism plays a crucial role in plant responses to abiotic stresses such as drought and high temperatures, significantly influencing plant growth and yield formation. In higher plants, the second step in sucrose bioconversion involves sucrose phosphate phosphatase (SPP) hydrolyzing sucrose-6-phosphate to form sucrose. This study determined the number of SPP gene family members in upland cotton (Gossypium hirsutum), systematically analyzed their fundamental characteristics, physicochemical properties, phylogenetic relationships, chromosomal localization, and expression patterns across different tissues and under various abiotic stresses. Methods: The SPP gene family in hirsutum was identified using Hidden Markov Models (HMMER) and the NCBI Conserved Domain Database (NCBI CDD), and its physico-chemical properties were analyzed via the SOPMA online analysis website. Phylogenetic relationships were determined using MEGA 12.0 software. Promoter regions were analyzed with PlantCARE, sequence patterns were identified via MEME, and transcriptome data were downloaded from the CottonMD database. Results: This study identified four members of the hirsutum SPP gene family, with amino acid lengths ranging from 335 to 1015, molecular weights between 38.38 and 113.28 kDa, and theoretical isoelectric points (pI) between 5.39 and 6.33. These genes are localized across four chromosomes. The SPP gene family in hirsutum exhibits closer phylo-genetic relationships with SPP genes in Arabidopsis thaliana and Chenopodium quinoa. Their promoter regions are rich in cis-elements associated with multiple abiotic stress resistance functions, and their expression patterns vary across different tissues and under different abiotic stress conditions. Conclusions: The GhSPP gene may play an important role in the growth and development of upland cotton and its responses to salt stress and drought. Therefore, it could be considered as a candidate gene for future functional analysis of cotton resistance to salt and drought stress. Full article
(This article belongs to the Collection Feature Papers in Bioinformatics)
Show Figures

Figure 1

18 pages, 1874 KB  
Review
17q12 Recurrent Deletion Syndrome in Childhood
by Giorgia Ceravolo, Salvatore Mollica, Marco Cavallaro, Ida Ceravolo, Giovanni Sica, Francesca Granata, Henry Houlden and Roberto Chimenz
Genes 2025, 16(12), 1499; https://doi.org/10.3390/genes16121499 - 15 Dec 2025
Viewed by 339
Abstract
Background: The 17q12 recurrent deletion syndrome is a genomic disorder encompassing a 1.4 to 1.5 Mb region that includes the HNF1B gene, and it manifests with remarkable phenotypic variability. Renal anomalies, endocrine and metabolic disturbances, and neurodevelopmental or psychiatric disorders are recurrent features, [...] Read more.
Background: The 17q12 recurrent deletion syndrome is a genomic disorder encompassing a 1.4 to 1.5 Mb region that includes the HNF1B gene, and it manifests with remarkable phenotypic variability. Renal anomalies, endocrine and metabolic disturbances, and neurodevelopmental or psychiatric disorders are recurrent features, although penetrance and severity differ widely between patients. Methods: We reviewed the literature on the molecular basis, clinical presentation, diagnostic approaches, and management of 17q12 deletion syndrome, and we illustrate the variability of this condition through two contrasting paediatric cases. Results: The cases concern three siblings harbouring the same familial deletion, who nevertheless exhibited striking intrafamilial variability, ranging from renal and neurodevelopmental features to multisystemic involvement. These cases exemplify both extremes of the syndrome and highlight the challenges of clinical prognostication. Conclusions: The review and cases emphasise the importance of early genetic testing in paediatric renal anomalies, the necessity of multidisciplinary surveillance even in asymptomatic individuals, and the relevance of 17q12 deletion as a model of variable expressivity in genomic medicine. Full article
(This article belongs to the Section Human Genomics and Genetic Diseases)
Show Figures

Figure 1

13 pages, 4619 KB  
Article
The Complete Mitochondrial Genome of Deep-Sea Snipe Eel Nemichthys curvirostris (Anguilliformes: Nemichthyidae)
by Xin Jin, Yanqing Ma, Lingzhi Li, Zhiwei Yuan, Chunyan Ma, Fengying Zhang, Wei Chen, Hanfeng Zheng, Chao Li, Zhi Zhu and Ming Zhao
Genes 2025, 16(12), 1498; https://doi.org/10.3390/genes16121498 - 15 Dec 2025
Viewed by 207
Abstract
Background: Snipe eels (family Nemichthyidae) are a group of pelagic fishes with unique specializations; yet, species within this study are not well-studied due to a lack of molecular data. As typical mesopelagic-to-bathypelagic fishes, snipe eels exhibit extreme body elongation, reduced skeletal ossification, and [...] Read more.
Background: Snipe eels (family Nemichthyidae) are a group of pelagic fishes with unique specializations; yet, species within this study are not well-studied due to a lack of molecular data. As typical mesopelagic-to-bathypelagic fishes, snipe eels exhibit extreme body elongation, reduced skeletal ossification, and highly specialized beak-like jaws that facilitate survival in deep-sea midwater environments. Methods: The complete mitochondrial genome of the deep-sea eel Nemichthys curvirostris (Anguilliformes: Nemichthyidae) was sequenced and annotated, representing the first mitogenomic resource for this species. The phylogenetic position of N. curvirostris was also explored. Results: The circular genome of N. curvirostris was determined to be 16,911 bp in length and contained 37 genes, including 13 protein-coding genes, 22 tRNAs, 2 rRNAs, and a single control region, with an overall A + T bias of 56.67%. The maximum-likelihood phylogeny inferred from concatenated mitochondrial protein-coding genes recovered a well-supported monophyletic Nemichthys clade, with N. curvirostris positioned as the sister taxon to N. scolopaceus. The genera Avocettina and Labichthys were recovered as sister taxa, and Nemichthys clustered within a broader clade alongside them. The COX1 haplotype phylogeny showed that the two public database sequences (HQ563894.1 and MN123435.1) appeared as long, isolated branches outside the main N. curvirostris lineage, with COX1 genetic distances from typical N. curvirostris haplotypes reaching 12–13%, far exceeding the expected range of intraspecific variation. Conclusions: This mitogenome provides a valuable molecular resource for phylogenetic, evolutionary, and population genetic studies of deep-sea Anguilliformes. Full article
(This article belongs to the Section Animal Genetics and Genomics)
Show Figures

Figure 1

26 pages, 800 KB  
Review
SIRT3-Mediated Mitochondrial Regulation and Driver Tissues in Systemic Aging
by Kate Šešelja, Ena Šimunić, Sandra Sobočanec, Iva I. Podgorski, Marija Pinterić, Marijana Popović Hadžija, Tihomir Balog and Robert Belužić
Genes 2025, 16(12), 1497; https://doi.org/10.3390/genes16121497 - 15 Dec 2025
Viewed by 533
Abstract
Mitochondrial dysfunction is a defining hallmark of aging that connects redox imbalance, metabolic decline, and inflammatory signaling across organ systems. The mitochondrial deacetylase SIRT3 preserves oxidative metabolism and proteostasis, yet its age-related decline transforms metabolically demanding organs into sources of pro-senescent cues. This [...] Read more.
Mitochondrial dysfunction is a defining hallmark of aging that connects redox imbalance, metabolic decline, and inflammatory signaling across organ systems. The mitochondrial deacetylase SIRT3 preserves oxidative metabolism and proteostasis, yet its age-related decline transforms metabolically demanding organs into sources of pro-senescent cues. This review synthesizes evidence showing how SIRT3 loss in select “driver tissues”—notably liver, adipose tissue, vascular endothelium, bone-marrow macrophages, and ovary—initiates systemic aging through the release of cytokines, oxidized metabolites, and extracellular vesicles. We discuss molecular routes and mediators of senescence propagation, including the senescence-associated secretory phenotype (SASP), mitochondrial-derived vesicles, and circulating mitochondrial DNA, as well as sex-specific modulation of SIRT3 by hormonal and intrinsic factors. By integrating multi-tissue and sex-dependent data, we outline a framework in which SIRT3 activity defines the mitochondrial threshold separating local adaptation from systemic aging spread. Targeting SIRT3 and its NAD+-dependent network may offer a unified strategy to restore mitochondrial quality, dampen chronic inflammation, and therefore recalibrate the aging dynamics of an organism. Full article
(This article belongs to the Section Molecular Genetics and Genomics)
Show Figures

Graphical abstract

18 pages, 313 KB  
Review
Underlying Mechanisms of GBA1 in Parkinson’s Disease and Dementia with Lewy Bodies: Narrative Review
by Anastasia Bougea
Genes 2025, 16(12), 1496; https://doi.org/10.3390/genes16121496 - 15 Dec 2025
Viewed by 537
Abstract
Background/Objectives: Parkinson’s disease (PD) and Dementia with Lewy Bodies (DLB) are neurodegenerative disorders characterized by the accumulation of misfolded alpha-synuclein protein in the brain. Mutations in the glucocerebrosidase 1 (GBA1) gene have been identified as a significant genetic risk factor [...] Read more.
Background/Objectives: Parkinson’s disease (PD) and Dementia with Lewy Bodies (DLB) are neurodegenerative disorders characterized by the accumulation of misfolded alpha-synuclein protein in the brain. Mutations in the glucocerebrosidase 1 (GBA1) gene have been identified as a significant genetic risk factor for both PD and DLB. GBA1 encodes for the lysosomal enzyme glucocerebrosidase, which is responsible for the breakdown of glucosylceramide (GC). Deficiencies in glucocerebrosidase activity lead to the accumulation of glucosylceramide within lysosomes, contributing to lysosomal dysfunction and impaired protein degradation. The aim of this narrative review is to update the underlying mechanisms by which GBA1 mutations contribute to the pathogenesis of PD and DLB. Methods: A comprehensive literature search was conducted across four major electronic databases (PubMed, Web of Science (Core Collection), Scopus, and Embase) from inception to 8 November 2025. The initial search identified approximately 1650 articles in total, with the number of hits from each database being as follows: PubMed (~450), Web of Science (~380), Scopus (~520), and Embase (~300). Results: The mechanism by which mutations in the GBA1 gene contribute to PD involves both loss-of- function and gain-of-function pathways, which are not mutually exclusive. Typically, GBA1 mutations lead to a loss of function by reducing the activity of the GCase enzyme, impairing the autophagy- lysosomal pathway and leading to α-synuclein accumulation. However, some mutant forms (GBA1L444P) of the GCase enzyme can also acquire a toxic gain of function, contributing to α-synuclein aggregation through mechanisms like endoplasmic reticulum stress and misfolding. While Venglustat effectively reduced GC levels, a key marker associated with GBA1-PD, the lack of clinical improvement led to the discontinuation of its development for this indication. Conclusions: GBA1-mediated lysosomal and lipid dysregulation represents a key pathogenic axis in PD and DLB. Understanding these mechanisms provides crucial insight into disease progression and highlights emerging therapeutic strategies—such as pharmacological chaperones, substrate reduction therapies, and gene-targeted approaches—aimed at restoring GCase function and lysosomal homeostasis to slow or prevent neurodegeneration. Full article
(This article belongs to the Special Issue Genetics and Epigenetics in Neurological Disorders)
16 pages, 1703 KB  
Article
Salivary miR-34a Exhibits State-Dependent Dysregulation Across Normal Oral Mucosa, Premalignant Lesions and Oral Squamous Cell Carcinoma
by Iphigenia Gintoni, Stavros Vassiliou, Myrto Kardara Bellou, Athanasios Balakas, Nikolaos Lefantzis, Veronica Papakosta, George P. Chrousos and Christos Yapijakis
Genes 2025, 16(12), 1495; https://doi.org/10.3390/genes16121495 - 15 Dec 2025
Viewed by 235
Abstract
Background: Oral squamous cell carcinoma (OSCC) is a highly aggressive neoplasm characterized by grim survival outcomes, despite significant therapeutic advances. Mortality rates (up to 70%) have remained unaltered for decades, predominantly due to profound diagnostic delays. These derive from the asymptomatic nature of [...] Read more.
Background: Oral squamous cell carcinoma (OSCC) is a highly aggressive neoplasm characterized by grim survival outcomes, despite significant therapeutic advances. Mortality rates (up to 70%) have remained unaltered for decades, predominantly due to profound diagnostic delays. These derive from the asymptomatic nature of the early stages of oral carcinogenesis and the emergence of dysplastic areas in previously benign lesions, acting as the bridge to malignant transformation. Hence, the establishment of reliable salivary biomarkers is crucial for non-invasive OSCC detection, even from the premalignant stage of dysplasia. Based on our previous bioinformatic research identifying stage-specific miRNAs throughout OSCC progression, which yielded miR-34a-5p as the most significant, we aimed to experimentally investigate its role in oral oncogenesis and explore its stage-reflecting biomarker potential for liquid biopsy. Methods: The expression of miR-34a was evaluated using quantitative real-time PCR in saliva samples from 9 patients with oral premalignant dysplastic lesions, 10 patients with OSCC and 10 healthy controls. The diagnostic accuracy of miR-34a expression profiles was assessed using ROC-curve analyses. Results: The expression of salivary miR-34a differed significantly across the studied groups, demonstrating a steep decrease in the presence of epithelial premalignant dysplasia, significant upregulation in OSCC and intermediate levels in normal oral mucosa (p < 0.001). The ROC results indicate strong diagnostic performance for the detection of oral dysplasia (AUC = 0.93; p < 0.001), OSCC (AUC = 0.77; p = 0.01) and excellent accuracy for the discrimination between premalignant and OSCC lesions (AUC = 0.98; p < 0.001). Conclusions: Our findings reveal a state-dependent dysregulation of miR-34a in oral carcinogenesis, suggesting its complex role as a pathogenetic agent that allows for malignant transformation through its diminished expression, and as a secondary reactive mechanism attempting to suppress tumor development. Salivary miR-34a holds great, stage-specific diagnostic potential, thereby reflecting the health state of oral mucosa in real time. Full article
(This article belongs to the Section Epigenomics)
Show Figures

Figure 1

21 pages, 1368 KB  
Review
APOE Genotype and Endothelial Biomarkers: Towards Personalized Cardiovascular Screening
by Gisella Titolo, Mariarosaria Morello, Silvia Caiazza, Ettore Luisi, Achille Solimene, Chiara Serpico, Saverio D’Elia, Paolo Golino, Francesco S. Loffredo, Francesco Natale and Giovanni Cimmino
Genes 2025, 16(12), 1494; https://doi.org/10.3390/genes16121494 - 15 Dec 2025
Viewed by 345
Abstract
Cardiovascular diseases represent one of the leading causes of morbidity and mortality worldwide despite tremendous advancements in therapeutic interventions. Prevention remains one of the most effective strategies to reduce individual risk. Apolipoprotein E (ApoE), through its genetic variants (ε2, ε3, [...] Read more.
Cardiovascular diseases represent one of the leading causes of morbidity and mortality worldwide despite tremendous advancements in therapeutic interventions. Prevention remains one of the most effective strategies to reduce individual risk. Apolipoprotein E (ApoE), through its genetic variants (ε2, ε3, ε4), is a well-known modulator of cardiovascular risk, traditionally studied for its role in lipid metabolism. However, recent evidence suggests that ApoE also influences endothelial function and thrombotic processes, opening new perspectives for an integrated approach to risk assessment. This narrative review explores the potential of using the APOE genotype as a key genetic biomarker, integrated with emerging endothelial markers (e.g., plasma levels of endothelin-1, nitric oxide, von Willebrand factor, endothelial adhesion molecules) to achieve a more accurate and personalized stratification of cardiovascular and thrombotic risk. The combined approach may overcome the limitations of traditional thrombophilia screening, which is often poorly informative when performed without clear clinical criteria, and may guide more targeted therapeutic decisions, particularly in borderline-risk individuals or those with unexplained thrombotic events. Finally, the review discusses the clinical implications, current challenges, and future perspectives for integrating this model into clinical practice within the framework of precision medicine. The early identification of genetically predisposed patients, together with functional endothelial assessment, could represent a breakthrough in modern cardiovascular prevention. Full article
(This article belongs to the Section Genetic Diagnosis)
Show Figures

Figure 1

28 pages, 1212 KB  
Review
Current and Emerging Protein Biomarkers for the Diagnosis and Prognosis of Head and Neck Cancer
by Erin Zou, Chethana Venkatraman, Jackson Sweeney, Katy Flannery, Samuel Lailer, Donna Mehdiyar, Komal Parikh, Maryam Salik, Brianna Baughman and Hilal Arnouk
Genes 2025, 16(12), 1493; https://doi.org/10.3390/genes16121493 - 15 Dec 2025
Viewed by 620
Abstract
Head and neck cancer represents a heterogeneous group of malignancies. Oral squamous cell carcinoma (OSCC) is the most prevalent form of head and neck cancer, with a rising incidence in recent years. Risk factors for developing OSCC include exposure to carcinogens, such as [...] Read more.
Head and neck cancer represents a heterogeneous group of malignancies. Oral squamous cell carcinoma (OSCC) is the most prevalent form of head and neck cancer, with a rising incidence in recent years. Risk factors for developing OSCC include exposure to carcinogens, such as alcohol and tobacco products, that can lead to molecular alterations in the oral mucosa and progression from premalignant lesions to invasive phenotypes. Despite the relative curative potential of localized OSCC, the overall prognosis of OSCC has not significantly improved for decades due to a frequently delayed diagnosis and limited targeted treatment options. There remains a need to better characterize the molecular biomarkers of OSCC progression, especially in dysplastic mucosal lesions, before their malignant transformation. In this review, we discuss several molecular biomarkers highly implicated in OSCC tumorigenesis that have demonstrated correlation with clinicopathological parameters and clinical outcomes. These biomarkers are typically involved in vital pathways of carcinogenesis, including cell cycle control, growth factor signaling, and stress responses. They include ubiquitous cancer biomarkers such as p53 and PTEN, as well as those more specific to OSCC, such as DJ-1 and Cornulin. Collectively, we envision that a diverse panel of these biomarkers can provide the greatest clinical benefit in enhancing early detection and prognostic accuracy, while some individual biomarkers may also serve as therapeutic targets for personalized approaches to head and neck cancers. Full article
Show Figures

Figure 1

14 pages, 3669 KB  
Article
Duplication, Divergence and Cardiac Expression of Tropoelastin in Jawed Fishes, Including Tetraploid Rainbow Trout (Oncorhynchus mykiss)
by Øivind Andersen and Tone-Kari Knutsdatter Østbye
Genes 2025, 16(12), 1492; https://doi.org/10.3390/genes16121492 - 13 Dec 2025
Viewed by 289
Abstract
Background/objectives: Tropoelastin is a highly hydrophobic extracellular matrix protein responsible for the extensibility and elastic recoil of various organs. The Windkessel effect in blood vessels dampens pressure variations during the cardiac cycle to provide continuous perfusion of tissues, such as the fragile gill [...] Read more.
Background/objectives: Tropoelastin is a highly hydrophobic extracellular matrix protein responsible for the extensibility and elastic recoil of various organs. The Windkessel effect in blood vessels dampens pressure variations during the cardiac cycle to provide continuous perfusion of tissues, such as the fragile gill capillaries in fish. The teleost-specific whole-genome duplication was followed by structural and functional divergence of the duplicated tropoelastins, of which ElnB confers the uniquely low stiffness of the bulbus arteriosus. Methods: We have examined the diversity of tropoelastins in all major fish clades by searching for tropoelastin (eln) genes in the sequenced genomes. Duplication of eln genes in tetraploid salmonids and cyprinids was examined by maximum likelihood phylogenetic analysis, and cardiac eln expression in rainbow trout was quantified by qPCR. Results: The tetraploid salmonid genomes harbor two elna genes but a single elnb, except for the tandem duplicated elnb genes in sockeye salmon and lake whitefish, while the tetraploid common carp possesses four elna and elnb genes on separate chromosomes. Rainbow trout showed strong elastin staining in the larval bulbus and ventral aorta, and the bulbar expression of elnb was 15 times higher than the ventricular levels in juvenile fish. The expression of elna1 and elna2 was also significantly higher in the bulbus, and together their transcript levels were almost similar as the elnb levels. The overall hydrophobicity of the fish tropoelastins differed considerably among the species ranging from 28.6% in Emerald rockcod ElnB to 56.3% in lesser devil ray Eln, but showed no significant difference with the tetrapods examined, except for the lower hydrophobicity of teleost ElnB. Conclusions: The inclusion of tetrapods in the analysis revealed a positive relationship between ventral aortic blood pressure and tropoelastin hydrophobicity. Full article
(This article belongs to the Section Animal Genetics and Genomics)
Show Figures

Figure 1

Previous Issue
Next Issue
Back to TopTop