Duplication, Divergence and Cardiac Expression of Tropoelastin in Jawed Fishes, Including Tetraploid Rainbow Trout (Oncorhynchus mykiss)
Abstract
1. Introduction
2. Materials and Methods
2.1. Identification and Characterization of Fish Elastins
2.2. Fish Hold and Heart Sampling
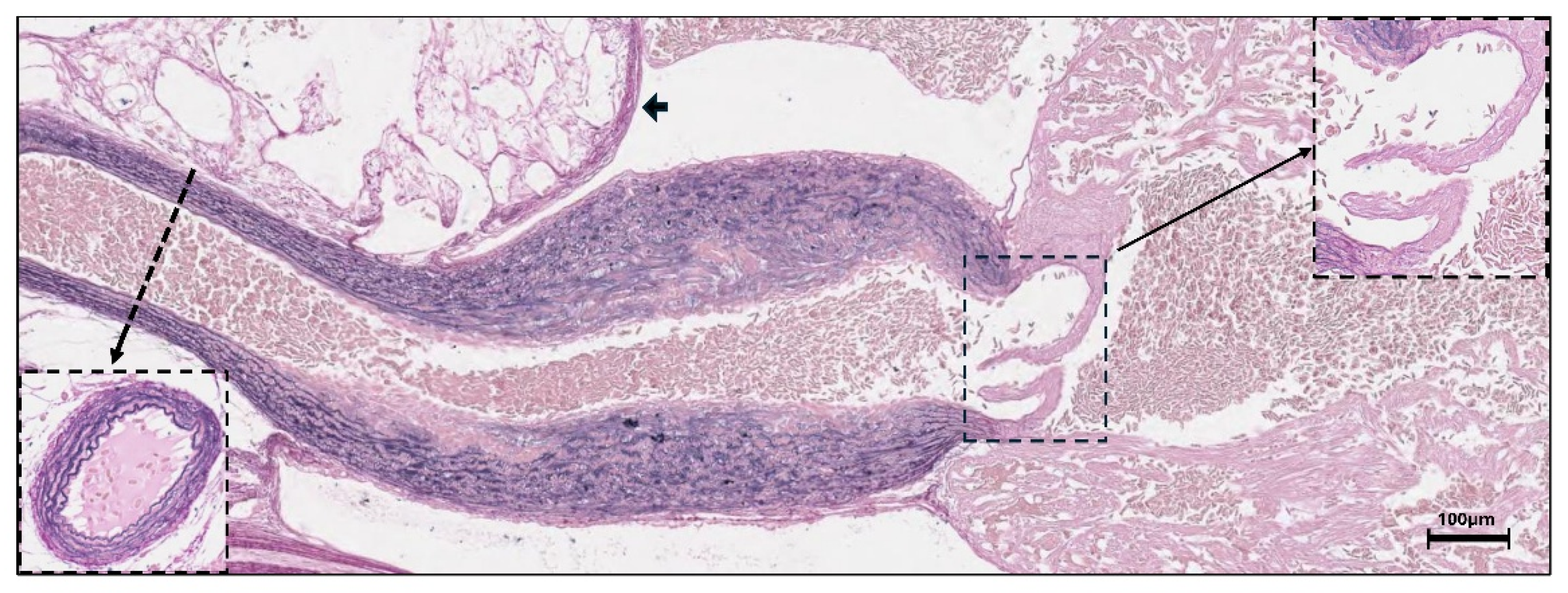
2.3. Histology
2.4. Gene Expression Analysis
3. Results
4. Discussion
5. Conclusions
Supplementary Materials
Author Contributions
Funding
Institutional Review Board Statement
Informed Consent Statement
Data Availability Statement
Acknowledgments
Conflicts of Interest
References
- Sato, F.; Wachi, H.; Ishida, M.; Nonaka, R.; Onoue, S.; Urban, Z.; Starcher, B.C.; Seyama, Y. Distinct steps of cross-linking, self-association, and maturation of tropoelastin are necessary for elastic fiber formation. J. Mol. Biol. 2007, 369, 841–851. [Google Scholar] [CrossRef]
- Schmelzer, C.E.; Hedtke, T.; Heinz, A. Unique molecular networks: Formation and role of elastin cross-links. IUBMB Life 2020, 72, 842–854. [Google Scholar] [PubMed]
- Shapiro, S.; Endicott, S.; Province, M.; Pierce, J.; Campbell, E. Marked longevity of human lung parenchymal elastic fibers deduced from prevalence of D-aspartate and nuclear weapons-related radiocarbon. J. Clin. Investig. 1991, 87, 1828–1834. [Google Scholar]
- Chung, M.I.; Miao, M.; Stahl, R.J.; Chan, E.; Parkinson, J.; Keeley, F.W. Sequences and domain structures of mammalian, avian, amphibian and teleost tropoelastins: Clues to the evolutionary history of elastins. Matrix Biol. 2006, 25, 492–504. [Google Scholar] [CrossRef] [PubMed]
- Urry, D.W.; Starcher, B.; Partridge, S. Coacervation of solubilized elastin effects a notable conformational change. Nature 1969, 222, 795–796. [Google Scholar] [CrossRef]
- Cox, B.A.; Starcher, B.C.; Urry, D.W. Coacervation of tropoelastin results in fiber formation. J. Biol. Chem. 1974, 249, 997–998. [Google Scholar] [CrossRef]
- Rauscher, S.; Baud, S.; Miao, M.; Keeley, F.W.; Pomes, R. Proline and glycine control protein self-organization into elastomeric or amyloid fibrils. Structure 2006, 14, 1667–1676. [Google Scholar] [CrossRef]
- Kozel, B.A.; Mecham, R.P. Elastic fiber ultrastructure and assembly. Matrix Biol. 2019, 84, 31–40. [Google Scholar] [CrossRef]
- Bedell-Hogan, D.; Trackman, P.; Abrams, W.; Rosenbloom, J.; Kagan, H. Oxidation, cross-linking, and insolubilization of recombinant tropoelastin by purified lysyl oxidase. J. Biol. Chem. 1993, 268, 10345–10350. [Google Scholar] [CrossRef]
- Schräder, C.U.; Heinz, A.; Majovsky, P.; Mayack, B.K.; Brinckmann, J.; Sippl, W.; Schmelzer, C.E. Elastin is heterogeneously cross-linked. J. Biol. Chem. 2018, 293, 15107–15119. [Google Scholar] [CrossRef] [PubMed]
- Miao, M.; Sitarz, E.; Bellingham, C.M.; Won, E.; Muiznieks, L.D.; Keeley, F.W. Sequence and domain arrangements influence mechanical properties of elastin-like polymeric elastomers. Biopolym. Orig. Res. Biomol. 2013, 99, 392–407. [Google Scholar] [CrossRef] [PubMed]
- Nonaka, R.; Sato, F.; Wachi, H. Domain 36 of tropoelastin in elastic fiber formation. Biol. Pharm. Bull. 2014, 37, 698–702. [Google Scholar] [CrossRef] [PubMed]
- Bax, D.V.; Rodgers, U.R.; Bilek, M.M.; Weiss, A.S. Cell adhesion to tropoelastin is mediated via the C-terminal GRKRK motif and integrin αVβ3. J. Biol. Chem. 2009, 284, 28616–28623. [Google Scholar] [CrossRef] [PubMed]
- Kozel, B.A.; Wachi, H.; Davis, E.C.; Mecham, R.P. Domains in tropoelastin that mediate elastin depositionin vitro and in vivo. J. Biol. Chem. 2003, 278, 18491–18498. [Google Scholar] [CrossRef] [PubMed]
- Elliott, W.; Guo, D.; Veldtman, G.; Tan, W. Effect of viscoelasticity on arterial-like pulsatile flow dynamics and energy. J. Biomech. Eng. 2020, 142, 041001. [Google Scholar] [CrossRef]
- Faury, G. Function–structure relationship of elastic arteries in evolution: From microfibrils to elastin and elastic fibres. Pathol. Biol. 2001, 49, 310–325. [Google Scholar] [CrossRef]
- Belz, G.G. Elastic properties and Windkessel function of the human aorta. Cardiovasc. Drugs Ther. 1995, 9, 73–83. [Google Scholar] [CrossRef]
- Randall, D. Functional morphology of the heart in fishes. Am. Zool. 1968, 8, 179–189. [Google Scholar] [CrossRef]
- Licht, J.H.; Harris, W.S. The structure, composition and elastic properties of the teleost bulbus arteriosus in the carp, Cyprinus carpio. Comp. Biochem. Physiol. Part A Physiol. 1973, 46, 699–708. [Google Scholar] [CrossRef]
- Farrell, A. The Wind-Kessel effect of the bulbus arteriosus in trout. J. Exp. Zool. 1979, 209, 169–173. [Google Scholar] [CrossRef]
- Icardo, J.; Colvee, E.; Cerra, M.C.; Tota, B. The bulbus arteriosus of stenothermal and temperate teleosts: A morphological approach. J. Fish Biol. 2000, 57, 121–135. [Google Scholar] [CrossRef]
- Braun, M.H.; Brill, R.W.; Gosline, J.M.; Jones, D.R. Form and function of the bulbus arteriosus in yellowfin tuna (Thunnus albacares): Dynamic properties. J. Exp. Biol. 2003, 206, 3327–3335. [Google Scholar] [CrossRef] [PubMed]
- Miao, M.; Bruce, A.; Bhanji, T.; Davis, E.; Keeley, F. Differential expression of two tropoelastin genes in zebrafish. Matrix Biol. 2007, 26, 115–124. [Google Scholar] [CrossRef] [PubMed]
- Moriyama, Y.; Ito, F.; Takeda, H.; Yano, T.; Okabe, M.; Kuraku, S.; Keeley, F.W.; Koshiba-Takeuchi, K. Evolution of the fish heart by sub/neofunctionalization of an elastin gene. Nat. Commun. 2016, 7, 10397. [Google Scholar] [CrossRef]
- Matsuki, S.; Inoue, Y.; Watanabe, R.; Mitsui, T.; Moriyama, Y. Extracellular stiffness regulates cell fate determination and drives the emergence of evolutionary novelty in teleost heart. bioRxiv 2025. [Google Scholar] [CrossRef]
- Macqueen, D.J.; Johnston, I.A. A well-constrained estimate for the timing of the salmonid whole genome duplication reveals major decoupling from species diversification. Proc. R. Soc. B Biol. Sci. 2014, 281, 20132881. [Google Scholar] [CrossRef]
- Chow, M.; Boyd, C.D.; Iruela-Arispe, M.-L.; Wrenn, D.S.; Mecham, R.; Sage, E.H. Characterization of elastin protein and mRNA from salmonid fish (Oncorhynchus kisutch). Comp. Biochem. Physiol. Part B Comp. Biochem. 1989, 93, 835–845. [Google Scholar] [CrossRef]
- Jamhawi, N.M.; Koder, R.L.; Wittebort, R.J. Elastin recoil is driven by the hydrophobic effect. Proc. Natl. Acad. Sci. USA 2024, 121, e2304009121. [Google Scholar] [CrossRef] [PubMed]
- Sage, H. Structure-function relationships in the evolution of elastin. J. Investig. Dermatol. 1982, 79, 146–153. [Google Scholar] [CrossRef]
- Sage, H.; Gray, W. Studies on the evolution of elastin—III. The ancestral protein. Comp. Biochem. Physiol. Part B Comp. Biochem. 1981, 68, 473–480. [Google Scholar] [CrossRef]
- Sage, H.; Gray, W. Studies on the evolution of elastin—I. Phylogenetic distribution. Comp. Biochem. Physiol. B Comp. Biochem. 1979, 64, 313–327. [Google Scholar]
- Chalmers, G.; Gosline, J.; Lillie, M. The hydrophobicity of vertebrate elastins. J. Exp. Biol. 1999, 202, 301–314. [Google Scholar] [CrossRef]
- Wang, K.; Shen, Y.; Yang, Y.; Gan, X.; Liu, G.; Hu, K.; Li, Y.; Gao, Z.; Zhu, L.; Yan, G. Morphology and genome of a snailfish from the Mariana Trench provide insights into deep-sea adaptation. Nat. Ecol. Evol. 2019, 3, 823–833. [Google Scholar] [CrossRef]
- Xu, W.; Zhu, C.; Gao, X.; Wu, B.; Xu, H.; Hu, M.; Zeng, H.; Gan, X.; Feng, C.; Zheng, J. Chromosome-level genome assembly of hadal snailfish reveals mechanisms of deep-sea adaptation in vertebrates. eLife 2023, 12, RP87198. [Google Scholar] [CrossRef] [PubMed]
- Kumar, S.; Stecher, G.; Suleski, M.; Sanderford, M.; Sharma, S.; Tamura, K. MEGA12: Molecular Evolutionary Genetic Analysis version 12 for adaptive and green computing. Mol. Biol. Evol. 2024, 41, msae263. [Google Scholar] [CrossRef] [PubMed]
- Kyte, J.; Doolittle, R.F. A simple method for displaying the hydropathic character of a protein. J. Mol. Biol. 1982, 157, 105–132. [Google Scholar] [CrossRef] [PubMed]
- Xie, F.; Xiao, P.; Chen, D.; Xu, L.; Zhang, B. miRDeepFinder: A miRNA analysis tool for deep sequencing of plant small RNAs. Plant Mol. Biol. 2012, 80, 75–84. [Google Scholar] [CrossRef]
- Pfaffl, M.W. Quantification strategies in real-time PCR. In A–Z of Quantitative PCR; Bustin, S.A., Ed.; International University Line: La Jolla, CA, USA, 2004; pp. 87–120. [Google Scholar]
- Jones, D.R.; Perbhoo, K.; Braun, M.H. Necrophysiological determination of blood pressure in fishes. Naturwissenschaften 2005, 92, 582–585. [Google Scholar] [CrossRef]
- Priede, I.G. Functional morphology of the bulbus arteriosus of rainbow trout (Salmo gairdneri Richardson). J. Fish Biol. 1976, 9, 209–216. [Google Scholar] [CrossRef]
- Keen, A.N.; Mackrill, J.J.; Gardner, P.; Shiels, H.A. Compliance of the fish outflow tract is altered by thermal acclimation through connective tissue remodelling. J. R. Soc. Interface 2021, 18, 20210492. [Google Scholar] [CrossRef]
- Parsons, C. The conus arteriosus in fishes. J. Cell Sci. 1929, 2, 145–176. [Google Scholar] [CrossRef]
- Farrell, A.; Simonot, D.; Seymour, R.; Clark, T. A novel technique for estimating the compact myocardium in fishes reveals surprising results for an athletic air-breathing fish, the Pacific tarpon. J. Fish Biol. 2007, 71, 389–398. [Google Scholar] [CrossRef]
- Icardo, J.M.; Colvee, E.; Cerra, M.C.; Tota, B. Bulbus arteriosus of the Antarctic teleosts. I. The white-blooded Chionodraco hamatus. Anat. Rec. Off. Publ. Am. Assoc. Anat. 1999, 254, 396–407. [Google Scholar] [CrossRef]
- Icardo, J.M.; Colvee, E.; Cerra, M.C.; Tota, B. Bulbus arteriosus of the Antarctic teleosts. II. The red-blooded Trematomus bernacchii. Anat. Rec. 1999, 256, 116–126. [Google Scholar] [CrossRef]
- Toonkool, P.; Jensen, S.A.; Maxwell, A.L.; Weiss, A.S. Hydrophobic domains of human tropoelastin interact in a context-dependent manner. J. Biol. Chem. 2001, 276, 44575–44580. [Google Scholar] [CrossRef]
- Sloop, G. The cardiovascular system of Antarctic Icefish appears to have been designed to utilize hemoglobinless blood. BIO-Complexity 2022, 2022, 1–12. [Google Scholar] [CrossRef]
- Sidell, B.D.; O’Brien, K.M. When bad things happen to good fish: The loss of hemoglobin and myoglobin expression in Antarctic icefishes. J. Exp. Biol. 2006, 209, 1791–1802. [Google Scholar] [CrossRef] [PubMed]
- Zummo, G.; Acierno, R.; Agnisola, C.; Tota, B. The heart of the icefish: Bioconstruction and adaptation. Braz. J. Med. Biol. Res. 1995, 28, 1265–1276. [Google Scholar]
- Taylor, E.; Short, S.T.; Butler, P. The role of the cardiac vagus in the response of the dogfish Scyliorhinus canicula to hypoxia. J. Exp. Biol. 1977, 70, 57–75. [Google Scholar] [CrossRef]
- Lai, N.C.; Korsmeyer, K.E.; Katz, S.; Holts, D.B.; Laughlin, L.M.; Graham, J.B. Hemodynamics and blood properties of the shortfin mako shark (Isurus oxyrinchus). Copeia 1997, 1997, 424–428. [Google Scholar] [CrossRef]
- Speers-Roesch, B.; Brauner, C.J.; Farrell, A.P.; Hickey, A.J.; Renshaw, G.M.; Wang, Y.S.; Richards, J.G. Hypoxia tolerance in elasmobranchs. II. Cardiovascular function and tissue metabolic responses during progressive and relative hypoxia exposures. J. Exp. Biol. 2012, 215, 103–114. [Google Scholar] [CrossRef]
- Shadwick, R.E.; Bernal, D.; Bushnell, P.G.; Steffensen, J.F. Blood pressure in the Greenland shark as estimated from ventral aortic elasticity. J. Exp. Biol. 2018, 221, jeb186957. [Google Scholar] [CrossRef] [PubMed]
- Szidon, J.P.; Lahiri, S.; Lev, M.; Fishman, A.P. Heart and circulation of the African lungfish. Circul. Res. 1969, 25, 23–38. [Google Scholar] [CrossRef] [PubMed]
- da Silva Braga, V.H.; Armelin, V.A.; Noll, I.G.; Florindo, L.H.; Milsom, W.K. Cardiorespiratory reflexes in white sturgeon (Acipenser transmontanus): Lack of cardiac baroreflex response to blood pressure manipulation? Comp. Biochem. Physiol. Part A Mol. Integr. Physiol. 2024, 288, 111554. [Google Scholar] [CrossRef] [PubMed]
- Hu, N.; Yost, H.J.; Clark, E.B. Cardiac morphology and blood pressure in the adult zebrafish. Anat. Rec. Off. Publ. Am. Assoc. Anat. 2001, 264, 1–12. [Google Scholar] [CrossRef]
- Braun, M.H.; Brill, R.W.; Gosline, J.M.; Jones, D.R. Form and function of the bulbus arteriosus in yellowfin tuna (Thunnus albacares), bigeye tuna (Thunnus obesus) and blue marlin (Makaira nigricans): Static properties. J. Exp. Biol. 2003, 206, 3311–3326. [Google Scholar] [CrossRef]
- Watson, A.; Cobb, J. A comparative study on the innervation and the vascularization of the bulbus arteriosus in teleost fish. Cell Tissue Res. 1979, 196, 337–346. [Google Scholar] [CrossRef]
- Benjamin, M.; Norman, D.; Santer, R.; Scarborough, D. Histological, histochemical and ultrastructural studies on the bulbus arteriosus of the sticklebacks, Gasterosteus aculeatus and Pungitius pungitius (Pisces: Teleostei). J. Zool. 1983, 200, 325–346. [Google Scholar] [CrossRef]
- Butler, D.G.; Oudit, G.Y.; Cadinouche, M.Z. Angiotensin I-and II-and norepinephrine-mediated pressor responses in an ancient holostean fish, the bowfin (Amia calva). Gen. Comp. Endocrinol. 1995, 98, 289–302. [Google Scholar]
- Iversen, N.K.; Bayley, M.; Wang, T. Autonomic control of the heart in the Asian swamp eel (Monopterus albus). Comp. Biochem. Physiol. Part A Mol. Integr. Physiol. 2011, 158, 485–489. [Google Scholar] [CrossRef]
- Axelsson, M.; Farrell, A.P. Coronary blood flow in vivo in the coho salmon (Oncorhynchus kisutch). Am. J. Physiol.-Regul. Integr. Comp. Physiol. 1993, 264, R963–R971. [Google Scholar] [CrossRef]
- Forster, M.; Davie, P.; Davison, W.; Satcheli, G.; Wells, R. Blood pressures and heart rates in swimming hagfish. Comp. Biochem. Physiol. Part A Physiol. 1988, 89, 247–250. [Google Scholar] [CrossRef]
- Clark, R.J.; Rodnick, K.J. Pressure and volume overloads are associated with ventricular hypertrophy in male rainbow trout. Am. J. Physiol.-Regul. Integr. Comp. Physiol. 1999, 277, R938–R946. [Google Scholar] [CrossRef] [PubMed]
- Lillywhite, H.B.; Seymour, R.S. Regulation of arterial blood pressure in Australian tiger snakes. J. Exp. Biol. 1978, 75, 65–79. [Google Scholar] [CrossRef] [PubMed]
- Jensen, B.; Elfwing, M.; Elsey, R.M.; Wang, T.; Crossley, D.A., II. Coronary blood flow in the anesthetized American alligator (Alligator mississippiensis). Comp. Biochem. Physiol. Part A Mol. Integr. Physiol. 2016, 191, 44–52. [Google Scholar] [CrossRef] [PubMed]
- Jensen, B.; Nielsen, J.M.; Axelsson, M.; Pedersen, M.; Löfman, C.; Wang, T. How the python heart separates pulmonary and systemic blood pressures and blood flows. J. Exp. Biol. 2010, 213, 1611–1617. [Google Scholar] [CrossRef]
- Smith, F.M. Blood pressure regulation by aortic baroreceptors in birds. Physiol. Zool. 1994, 67, 1402–1425. [Google Scholar] [CrossRef]
- Seymour, R.S.; Blaylock, A.J. The principle of Laplace and scaling of ventricular wall stress and blood pressure in mammals and birds. Physiol. Biochem. Zool. 2000, 73, 389–405. [Google Scholar] [CrossRef]
- Paranjape, V.V.; Gatson, B.J.; Bailey, K.; Wellehan, J.F. Cuff size, cuff placement, blood pressure state, and monitoring technique can influence indirect arterial blood pressure monitoring in anesthetized bats (Pteropus vampyrus). Am. J. Vet. Res. 2023, 84. [Google Scholar] [CrossRef]







| Gene | Genbank Id | Primer Sequence (5′-3′) | Efficiency |
|---|---|---|---|
| elna1 | XM_036965318.1 | F: ttcgatactgctctggcatgt | 1.96 |
| R: tggcccctaatctagcacac | |||
| elna2 | XM_021582450.2 | F: tgtagcctactccgtgatggt | 1.99 |
| R: cggtattgctgggcacaagt | |||
| elnb | XM_036944404.1 | F: caaatcaggttatggctcctcct | 2.00 |
| R: tgcatggctgtgtatttggct | |||
| ef1a | AF498320.1 | F: attaacattgtggtcattggccatgtc | 2.03 |
| R: atctcagctgcttccttctcgaactttt | |||
| b-act | XM_036973727.1 | F: ggaggctccatcttggcttc | 2.00 |
| R: gaagtggtagtcgggtgtgg |
Disclaimer/Publisher’s Note: The statements, opinions and data contained in all publications are solely those of the individual author(s) and contributor(s) and not of MDPI and/or the editor(s). MDPI and/or the editor(s) disclaim responsibility for any injury to people or property resulting from any ideas, methods, instructions or products referred to in the content. |
© 2025 by the authors. Licensee MDPI, Basel, Switzerland. This article is an open access article distributed under the terms and conditions of the Creative Commons Attribution (CC BY) license (https://creativecommons.org/licenses/by/4.0/).
Share and Cite
Andersen, Ø.; Østbye, T.-K.K. Duplication, Divergence and Cardiac Expression of Tropoelastin in Jawed Fishes, Including Tetraploid Rainbow Trout (Oncorhynchus mykiss). Genes 2025, 16, 1492. https://doi.org/10.3390/genes16121492
Andersen Ø, Østbye T-KK. Duplication, Divergence and Cardiac Expression of Tropoelastin in Jawed Fishes, Including Tetraploid Rainbow Trout (Oncorhynchus mykiss). Genes. 2025; 16(12):1492. https://doi.org/10.3390/genes16121492
Chicago/Turabian StyleAndersen, Øivind, and Tone-Kari Knutsdatter Østbye. 2025. "Duplication, Divergence and Cardiac Expression of Tropoelastin in Jawed Fishes, Including Tetraploid Rainbow Trout (Oncorhynchus mykiss)" Genes 16, no. 12: 1492. https://doi.org/10.3390/genes16121492
APA StyleAndersen, Ø., & Østbye, T.-K. K. (2025). Duplication, Divergence and Cardiac Expression of Tropoelastin in Jawed Fishes, Including Tetraploid Rainbow Trout (Oncorhynchus mykiss). Genes, 16(12), 1492. https://doi.org/10.3390/genes16121492

