Differential Expression of Key Oncogenic and Tumor Suppressor MicroRNAs Induced by Andrographolide in Androgen-Independent PC3 and Androgen-Dependent LNCaP Prostate Cancer Cells
Abstract
1. Introduction
2. Materials and Methods
2.1. Materials
2.2. Cell Culture
2.3. Cell Viability Assay
2.4. RNA Extractions and cDNA Synthesis
2.5. Experimental Validation and Expression Analysis of miRNAs and Target Genes by RT-qPCR
2.6. Statistical Analysis
3. Results
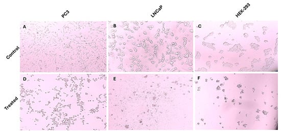
3.1. Cell Viability of PC3 and LNCaP Cells Following Andrographolide Treatment and Determination of IC50
3.2. Analysis of miRNA and Gene Expression Following Andrographolide Treatment
4. Discussion
5. Conclusions
Author Contributions
Funding
Institutional Review Board Statement
Informed Consent Statement
Data Availability Statement
Acknowledgments
Conflicts of Interest
Abbreviations
| AKT | Protein Kinase B |
| AR | Androgen Receptor |
| BCL-2 | B-Cell Lymphoma 2 |
| BRCA1 | Breast Cancer 1 Gene |
| BRCA2 | Breast Cancer 2 Gene |
| BRD4 | Bromodomain-containing Protein 4 |
| cDNA | Complementary DNA |
| CO2 | Carbon Dioxide |
| CRPC | Castration-Resistant Prostate Cancer |
| Ct/Cq | Threshold Cycle/Quantification Cycle |
| CXCR3 | C-X-C Motif Chemokine Receptor 3 |
| CXCR7 | C-X-C Motif Chemokine Receptor 7 |
| DMSO | Dimethyl Sulfoxide |
| DMEM | Dulbecco’s Modified Eagle Medium |
| DNA | Deoxyribonucleic Acid |
| EMT | Epithelial–Mesenchymal Transition |
| FBS | Fetal Bovine Serum |
| HEK-293 | Human Embryonic Kidney 293 Cells |
| HOXB13 | Homeobox B13 |
| IC50 | Half-Maximal Inhibitory Concentration |
| IC25 | 25% Inhibitory Concentration |
| IL-6 | Interleukin-6 |
| IL-6R | Interleukin-6 Receptor |
| MAPK | Mitogen-Activated Protein Kinase |
| miRNA/miR | MicroRNA |
| mRNA | Messenger RNA |
| mTOR | Mechanistic Target of Rapamycin |
| MTT | 3-(4,5-Dimethylthiazol-2-yl)-2,5-diphenyltetrazolium bromide |
| NF-κB | Nuclear Factor Kappa-light-chain-enhancer of Activated B Cells |
| PBS | Phosphate-Buffered Saline |
| PC3 | Prostate Cancer Cell Line 3 |
| PI3K | Phosphoinositide 3-Kinase |
| PTEN | Phosphatase and Tensin Homolog |
| qPCR/RT-qPCR | Quantitative Polymerase Chain Reaction/Reverse Transcription Quantitative PCR |
| RISC | RNA-Induced Silencing Complex |
| RNA | Ribonucleic Acid |
| RNA-seq | RNA Sequencing |
| ROS | Reactive Oxygen Species |
| RPMI | Roswell Park Memorial Institute Medium |
| SD | Standard Deviation |
| SE/SEM | Standard Error of the Mean |
| STAT3 | Signal Transducer and Activator of Transcription 3 |
| TGF-β | Transforming Growth Factor Beta |
| TP53 | Tumor Protein 53 (p53) |
| U6 | U6 Small Nuclear RNA (Endogenous Control) |
References
- Al-Ghazawi, M.; Salameh, H.; Amo-Afful, S.; Khasawneh, S.; Ghanem, R. An In-Depth Look Into the Epidemiological and Etiological Aspects of Prostate Cancer: A Literature Review. Cureus 2023, 15, e48252. [Google Scholar] [CrossRef]
- Tzelepi, V. Prostate Cancer: Pathophysiology, Pathology and Therapy. Cancers 2023, 15, 281. [Google Scholar] [CrossRef]
- Pisano, C.; Tucci, M.; Di Stefano, R.F.; Turco, F.; Scagliotti, G.V.; Di Maio, M.; Buttigliero, C. Interactions between Androgen Receptor Signaling and Other Molecular Pathways in Prostate Cancer Progression: Current and Future Clinical Implications. Crit. Rev. Oncol. Hematol. 2021, 157, 103185. [Google Scholar]
- Yu, E.M.; Hwang, M.W.; Aragon-Ching, J.B. Mechanistic Insights on Localized to Metastatic Prostate Cancer Transition and Therapeutic Opportunities. Res. Rep. Urol. 2023, 15, 519–529. [Google Scholar] [CrossRef]
- Sekhoacha, M.; Riet, K.; Motloung, P.; Gumenku, L.; Adegoke, A.; Mashele, S. Prostate Cancer Review: Genetics, Diagnosis, Treatment Options, and Alternative Approaches. Molecules 2022, 27, 5730. [Google Scholar] [CrossRef]
- Teroerde, M.; Nientiedt, C.; Duensing, A.; Hohenfellner; Markus; Stenzinger, A.; Duensing, S. Revisiting the Role of P53 in Prostate Cancer; Exon Publications: Brisbane City, Australia, 2021; ISBN 9780645001754. [Google Scholar]
- Campbell, K.J.; Leung, H.Y. Evasion of Cell Death: A Contributory Factor in Prostate Cancer Development and Treatment Resistance. Cancer Lett. 2021, 520, 213–221. [Google Scholar] [CrossRef]
- Unnithan, A.; Das, S.; Nadipanna, S.P. Expression of BAX and Bcl-2 Gene in Prostate Carcinoma and Its Correlation with Gleason Score. Adv. Hum. Biol. 2023, 13, 344–349. [Google Scholar] [CrossRef]
- Koushyar, S.; Meniel, V.S.; Phesse, T.J.; Pearson, H.B. Exploring the Wnt Pathway as a Therapeutic Target for Prostate Cancer. Biomolecules 2022, 12, 309. [Google Scholar] [CrossRef]
- Akhoundova, D.; Fischer, S.; Triscott, J.; Lehner, M.; Thienger, P.; Maletti, S.; Jacquet, M.; Lubis, D.S.H.; Bubendorf, L.; Jochum, W.; et al. Rare Histologic Transformation of a CTNNB1 (β-Catenin) Mutated Prostate Cancer with Aggressive Clinical Course. Diagn. Pathol. 2024, 19, 83. [Google Scholar] [CrossRef]
- Abate-Shen, C.; de Almeida, F.N. Establishment of the LNCaP Cell Line—The Dawn of an Era for Prostate Cancer Research. Cancer Res. 2022, 82, 1689–1691. [Google Scholar] [CrossRef]
- Ishii, K.; Iguchi, K.; Matsuda, C.; Hirokawa, Y.; Sugimura, Y.; Watanabe, M. Application of Original Prostate Cancer Progression Model Interacting with Fibroblasts in Preclinical Research. J. Clin. Med. 2024, 13, 7837. [Google Scholar] [CrossRef] [PubMed]
- Molter, C.W.; Muszynski, E.F.; Tao, Y.; Trivedi, T.; Clouvel, A.; Ehrlicher, A.J. Prostate Cancer Cells of Increasing Metastatic Potential Exhibit Diverse Contractile Forces, Cell Stiffness, and Motility in a Microenvironment Stiffness-Dependent Manner. Front. Cell Dev. Biol. 2022, 10, 932510. [Google Scholar] [CrossRef]
- Costa, J.; Pereira, R.; Oliveira, J.; Alves, Â.; Marques-Magalhães, Â.; Frutuoso, A.; Leal, C.; Barros, N.; Fernandes, R.; Queiroz Almeida, D.; et al. Structural and Molecular Analysis of the Cancer Prostate Cell Line PC3: Oocyte Zona Pellucida Glycoproteins. Tissue Cell 2018, 55, 91–106. [Google Scholar] [CrossRef]
- Xiao, J.; Zhang, M.; Wu, D. Side Effects of Prostate Cancer Therapies and Potential Management. J. Biol. Methods 2024, 11, e99010018. [Google Scholar] [CrossRef]
- Ghosh, S.; Hazra, J.; Pal, K.; Nelson, V.K.; Pal, M. Prostate Cancer: Therapeutic Prospect with Herbal Medicine. Curr. Res. Pharmacol. Drug Discov. 2021, 2, 100034. [Google Scholar] [CrossRef]
- Tan, W.S.D.; Liao, W.; Zhou, S.; Wong, W.S.F. Is There a Future for Andrographolide to Be an Anti-Inflammatory Drug? Deciphering Its Major Mechanisms of Action. Biochem. Pharmacol. 2017, 139, 71–81. [Google Scholar] [CrossRef]
- Hossain, S.; Urbi, Z.; Karuniawati, H.; Mohiuddin, R.B.; Qrimida, A.M.; Allzrag, A.M.M.; Ming, L.C.; Pagano, E.; Capasso, R. Andrographis paniculata (Burm. f.) Wall. Ex Nees: An Updated Review of Phytochemistry, Antimicrobial Pharmacology, and Clinical Safety and Efficacy. Life 2021, 11, 348. [Google Scholar] [CrossRef] [PubMed]
- Li, X.; Yuan, W.; Wu, J.; Zhen, J.; Sun, Q.; Yu, M. Andrographolide, a Natural Anti-Inflammatory Agent: An Update. Front. Pharmacol. 2022, 13, 920435. [Google Scholar] [CrossRef] [PubMed]
- Rajagopal, S.; Ajaya Kumar, R.; Deevi, D.S.; Satyanarayana, C.; Rajagopalan, R. Andrographolide, a Potential Cancer Therapeutic Agent Isolated from Andrographis paniculata. J. Exp. Ther. Oncol. 2003, 3, 147–158. [Google Scholar] [CrossRef]
- Shaharudin, N.S.; Singh, G.K.S.; Kek, T.L.; Sultan, S. Targeting Signaling Pathways with Andrographolide in Cancer Therapy (Review). Mol. Clin. Oncol. 2024, 21, 81. [Google Scholar] [CrossRef]
- Forestier-Román, I.S.; López-Rivas, A.; Sánchez-Vázquez, M.M.; Rohena-Rivera, K.; Nieves-Burgos, G.; Ortiz-Zuazaga, H.; Torres-Ramos, C.A.; Martínez-Ferrer, M. Andrographolide Induces DNA Damage in Prostate Cancer Cells. Oncotarget 2019, 10, 1085. [Google Scholar] [CrossRef]
- Liu, C.; Nadiminty, N.; Tummala, R.; Chun, J.Y.; Lou, W.; Zhu, Y.; Sun, M.; Evans, C.P.; Zhou, Q.; Gao, A.C. Andrographolide Targets Androgen Receptor Pathway in Castration-Resistant Prostate Cancer. Genes Cancer 2011, 2, 151–159. [Google Scholar] [CrossRef]
- Wei, R.-J.; Zhang, X.-S.; He, D.-L. Andrographolide Sensitizes Prostate Cancer Cells to TRAIL-Induced Apoptosis. Asian J. Androl. 2018, 20, 200. [Google Scholar] [CrossRef] [PubMed]
- Li, J.; Liu, J.; Yue, W.; Xu, K.; Cai, W.; Cui, F.; Li, Z.; Wang, W.; He, J. Andrographolide Attenuates Epithelial-Mesenchymal Transition Induced by TGF-Β1 in Alveolar Epithelial Cells. J. Cell Mol. Med. 2020, 24, 10501–10511. [Google Scholar] [CrossRef]
- Méndez-García, A.; Bravo-Vázquez, L.A.; Sahare, P.; Paul, S. Impact of UV-Irradiated Mesoporous Titania Nanoparticles (MTiNPs) on Key Onco- and Tumor Suppressor MicroRNAs of PC3 Prostate Cancer Cells. Genes 2025, 16, 148. [Google Scholar] [CrossRef]
- Jothimani, G.; Bhatiya, M.; Pathak, S.; Paul, S.; Banerjee, A. Tumor Suppressor MicroRNAs in Gastrointestinal Cancers: A Mini-Review. Recent Adv. Inflamm. Allergy Drug Discov. 2022, 16, 5–15. [Google Scholar] [CrossRef]
- Bravo-Vázquez, L.A.; Frías-Reid, N.; Ramos-Delgado, A.G.; Osorio-Pérez, S.M.; Zlotnik-Chávez, H.R.; Pathak, S.; Banerjee, A.; Bandyopadhyay, A.; Duttaroy, A.K.; Paul, S. MicroRNAs and Long Non-Coding RNAs in Pancreatic Cancer: From Epigenetics to Potential Clinical Applications. Transl. Oncol. 2023, 27, 101579. [Google Scholar] [CrossRef]
- Annese, T.; Tamma, R.; De Giorgis, M.; Ribatti, D. MicroRNAs Biogenesis, Functions and Role in Tumor Angiogenesis. Front. Oncol. 2020, 10, 581007. [Google Scholar] [CrossRef] [PubMed]
- Hynes, C.; Kakumani, P.K. Regulatory Role of RNA-Binding Proteins in MicroRNA Biogenesis. Front. Mol. Biosci. 2024, 11, 1374843. [Google Scholar] [CrossRef] [PubMed]
- Ghamlouche, F.; Yehya, A.; Zeid, Y.; Fakhereddine, H.; Fawaz, J.; Liu, Y.N.; Al-Sayegh, M.; Abou-Kheir, W. MicroRNAs as Clinical Tools for Diagnosis, Prognosis, and Therapy in Prostate Cancer. Transl. Oncol. 2023, 28, 101613. [Google Scholar] [CrossRef]
- Osorio-Pérez, S.M.; Estrada-Meza, C.; Ruiz-Manriquez, L.M.; Arvizu-Espinosa, M.G.; Srivastava, A.; Sharma, A.; Paul, S. Thymoquinone Potentially Modulates the Expression of Key Onco- and Tumor Suppressor MiRNAs in Prostate and Colon Cancer Cell Lines: Insights from PC3 and HCT-15 Cells. Genes 2023, 14, 1730. [Google Scholar] [CrossRef]
- Li, W.; Wang, Y.; Liu, R.; Kasinski, A.L.; Shen, H.; Slack, F.J.; Tang, D.G. MicroRNA-34a: Potent Tumor Suppressor, Cancer Stem Cell Inhibitor, and Potential Anticancer Therapeutic. Front. Cell. Dev. Biol. 2021, 9, 640587. [Google Scholar] [CrossRef]
- Mu, P.; Deng, S.; Fan, X. MicroRNAs in Prostate Cancer: Small RNAs with Big Roles. J. Clin. Cell Immunol. 2015, 6, 315. [Google Scholar] [CrossRef]
- Sun, T.; Wang, X.; He, H.H.; Sweeney, C.J.; Liu, S.X.; Brown, M.; Balk, S.; Lee, G.S.; Kantoff, P.W. MiR-221 Promotes the Development of Androgen Independence in Prostate Cancer Cells via Downregulation of HECTD2 and RAB1A. Oncogene 2014, 33, 2790–2800. [Google Scholar] [CrossRef]
- Kiener, M.; Chen, L.; Krebs, M.; Grosjean, J.; Klima, I.; Kalogirou, C.; Riedmiller, H.; Kneitz, B.; Thalmann, G.N.; Snaar-Jagalska, E.; et al. MiR-221-5p Regulates Proliferation and Migration in Human Prostate Cancer Cells and Reduces Tumor Growth in Vivo. BMC Cancer 2019, 19, 627. [Google Scholar] [CrossRef] [PubMed]
- Hsieh, T.C.; Wu, J.M. Resveratrol Suppresses Prostate Cancer Epithelial Cell Scatter/Invasion by Targeting Inhibition of Hepatocyte Growth Factor (Hgf) Secretion by Prostate Stromal Cells and Upregulation of E-Cadherin by Prostate Cancer Epithelial Cells. Int. J. Mol. Sci. 2020, 21, 1760. [Google Scholar] [CrossRef] [PubMed]
- Das, A.; Adhikari, S.; Deka, D.; Baildya, N.; Sahare, P.; Banerjee, A.; Paul, S.; Bisgin, A.; Pathak, S. An Updated Review on the Role of Nanoformulated Phytochemicals in Colorectal Cancer. Medicina 2023, 59, 685. [Google Scholar] [CrossRef]
- Ward, A.B.; Mir, H.; Kapur, N.; Gales, D.N.; Carriere, P.P.; Singh, S. Quercetin Inhibits Prostate Cancer by Attenuating Cell Survival and Inhibiting Anti-Apoptotic Pathways. World J. Surg. Oncol. 2018, 16, 108. [Google Scholar] [CrossRef]
- Ruiz-Manriquez, L.M.; Estrada-Meza, C.; Benavides-Aguilar, J.A.; Ledesma-Pacheco, S.J.; Torres-Copado, A.; Serrano-Cano, F.I.; Bandyopadhyay, A.; Pathak, S.; Chakraborty, S.; Srivastava, A.; et al. Phytochemicals mediated modulation of microRNAs and long non-coding RNAs in cancer prevention and therapy. Phytother. Res. 2022, 36, 705–729. [Google Scholar] [CrossRef]
- Mir, H.; Kapur, N.; Singh, R.; Sonpavde, G.; Lillard, J.W.; Singh, S. Andrographolide Inhibits Prostate Cancer by Targeting Cell Cycle Regulators, CXCR3 and CXCR7 Chemokine Receptors. Cell Cycle 2016, 15, 819–826. [Google Scholar] [CrossRef] [PubMed]
- Wong, H.C.; Rao Sagineedu, S.; Lajis, N.H.; Loke, S.C.; Stanslas, J. Andrographolide Induces Cell Cycle Arrest and Apoptosis in PC-3 Prostate Cancer Cells. Afr. J. Pharm. Pharmacol. 2011, 5, 225–233. [Google Scholar] [CrossRef]
- Manimaran, J.; Azman, D.K.M. The Effects of Andrographolide on Apoptosis in PC-3 Cell Line Via the Involvement of Caspases 3, 8 And 9. Pharmacogn. J. 2023, 15, 612–621. [Google Scholar] [CrossRef]
- Iqbal, M.J.; Kabeer, A.; Abbas, Z.; Siddiqui, H.A.; Calina, D.; Sharifi-Rad, J.; Cho, W.C. Interplay of Oxidative Stress, Cellular Communication and Signaling Pathways in Cancer. Cell Commun. Signal. 2024, 22, 7. [Google Scholar] [CrossRef] [PubMed]
- Zeng, B.; Wei, A.; Zhou, Q.; Yuan, M.; Lei, K.; Liu, Y.; Song, J.; Guo, L.; Ye, Q. Andrographolide: A Review of Its Pharmacology, Pharmacokinetics, Toxicity and Clinical Trials and Pharmaceutical Researches. Phytother. Res. 2022, 36, 336–364. [Google Scholar] [CrossRef] [PubMed]
- Tundis, R.; Patra, J.K.; Bonesi, M.; Das, S.; Nath, R.; Das Talukdar, A.; Das, G.; Loizzo, M.R. Anti-Cancer Agent: The Labdane Diterpenoid-Andrographolide. Plants 2023, 12, 1969. [Google Scholar] [CrossRef]
- Wang, F.; Wang, W.; Lu, L.; Xie, Y.; Yan, J.; Chen, Y.; Di, C.; Gan, L.; Si, J.; Zhang, H.; et al. MicroRNA-16-5p Regulates Cell Survival, Cell Cycle and Apoptosis by Targeting AKT3 in Prostate Cancer Cells. Oncol. Rep. 2020, 44, 1282–1292. [Google Scholar] [CrossRef] [PubMed]
- Jin, W.; Chen, F.; Wang, K.; Song, Y.; Fei, X.; Wu, B. MiR-15a/MiR-16 Cluster Inhibits Invasion of Prostate Cancer Cells by Suppressing TGF-β Signaling Pathway. Biomed. Pharmacother. 2018, 104, 637–644. [Google Scholar] [CrossRef]
- Li, W.; Wang, Y.; Liu, X.; Wu, S.; Wang, M.; Turowski, S.G.; Spernyak, J.A.; Tracz, A.; Abdelaal, A.M.; Sudarshan, K.; et al. Developing Folate-Conjugated MiR-34a Therapeutic for Prostate Cancer: Challenges and Promises. Int. J. Mol. Sci. 2024, 25, 2123. [Google Scholar] [CrossRef]
- Soghrati Salek Moalemi, S.F.; Safari, F.; Ahvati, H. Suppression of Cellular Proliferation in PC3 Prostate Cancer Cells by Green Tea Extract Through Induction of MiR-34a Expression. Food Sci. Nutr. 2025, 13, e70215. [Google Scholar] [CrossRef]
- Guan, H.; You, Z.; Wang, C.; Fang, F.; Peng, R.; Mao, L.; Xu, B.; Chen, M. MicroRNA-200a Suppresses Prostate Cancer Progression through BRD4/AR Signaling Pathway. Cancer Med. 2019, 8, 1474–1485. [Google Scholar] [CrossRef]
- Mharrach, I.; Tadlaoui, K.A.; Aqerrout, M.; Laraqui, A.; Ameur, A.; El Ghazzaly, A.; Ennibi, K.; Ennaji, M.M. Diagnostic Value of MiR-21 and MiR-221 as Potential Biomarkers for Early Diagnosis of Prostate Cancer. Mol. Clin. Oncol. 2025, 22, 40. [Google Scholar] [CrossRef]
- Kanagasabai, T.; Li, G.; Shen, T.H.; Gladoun, N.; Castillo-Martin, M.; Celada, S.I.; Xie, Y.; Brown, L.K.; Mark, Z.A.; Ochieng, J.; et al. MicroRNA-21 Deficiency Suppresses Prostate Cancer Progression through Downregulation of the IRS1-SREBP-1 Signaling Pathway. Cancer Lett. 2022, 525, 46–54. [Google Scholar] [CrossRef]
- Ashrafi Dehkordi, K.; Asadi-Samani, M.; Shojaeian, A.; Mahmoudian-Sani, M.R. Decreased Cell Proliferation and Induced Apoptosis in Human B-Chronic Lymphocytic Leukemia Following MiR-221 Inhibition through Modulation of P27 Expression. Egypt. J. Med. Hum. Genet. 2022, 23, 130. [Google Scholar] [CrossRef]
- van Beijnum, J.R.; Giovannetti, E.; Poel, D.; Nowak-Sliwinska, P.; Griffioen, A.W. MiRNAs: Micro-Managers of Anticancer Combination Therapies. Angiogenesis 2017, 20, 269–285. [Google Scholar]
- Blower, P.E.; Chung, J.H.; Verducci, J.S.; Lin, S.; Park, J.K.; Dai, Z.; Liu, C.G.; Schmittgen, T.D.; Reinhold, W.C.; Croce, C.M.; et al. MicroRNAs Modulate the Chemosensitivity of Tumor Cells. Mol. Cancer Ther. 2008, 7, 1–9. [Google Scholar] [CrossRef]
- Olejniczak, M.; Kotowska-Zimmer, A.; Krzyzosiak, W. Stress-induced changes in miRNA biogenesis and functioning. Cell. Mol. Life Sci. CMLS 2018, 75, 177–191. [Google Scholar] [CrossRef]
- Koh, T.C.; Lee, Y.Y.; Chang, S.Q.; Nissom, P.M. Identification and expression analysis of miRNAs during batch culture of HEK-293 cells. J. Biotechnol. 2009, 140, 149–155. [Google Scholar] [CrossRef]
- Dozmorov, M.G.; Hurst, R.E.; Culkin, D.J.; Kropp, B.P.; Frank, M.B.; Osban, J.; Penning, T.M.; Lin, H.K. Unique Patterns of Molecular Profiling between Human Prostate Cancer LNCaP and PC-3 Cells. Prostate 2009, 69, 1077–1090. [Google Scholar] [CrossRef] [PubMed]
- Ahmed, K.; Omarova, Z.; Sheikh, A.; Abuova, G.; Ghias, K.; Abidi, S.H. Comparison of Baseline Global Gene Expression Profiles of Prostate Cancer Cell Lines LNCaP and DU145. BMC Res. Notes 2024, 17, 398. [Google Scholar] [CrossRef] [PubMed]
- Gano, C.A.; Fatima, S.; Failes, T.W.; Arndt, G.M.; Sajinovic, M.; Mahns, D.; Saedisomeolia, A.; Coorssen, J.R.; Bucci, J.; de Souza, P.; et al. Anti-Cancer Potential of Synergistic Phytochemical Combinations Is Influenced by the Genetic Profile of Prostate Cancer Cell Lines. Front. Nutr. 2023, 10, 1119274. [Google Scholar] [CrossRef] [PubMed]
- Serttas, R.; Koroglu, C.; Erdogan, S. Eupatilin Inhibits the Proliferation and Migration of Prostate Cancer Cells through Modulation of PTEN and NF-ΚB Signaling. Anticancer Agents Med. Chem. 2020, 21, 372–382. [Google Scholar] [CrossRef] [PubMed]
- Lee, S.O.; Lou, W.; Hou, M.; de Miguel, F. Interleukin-6 Promotes Androgen-Independent Growth in LNCaP Human Prostate Cancer Cells. Clin. Cancer Res. 2003, 9, 370–376. [Google Scholar] [PubMed]
- Culig, Z. Proinflammatory Cytokine Interleukin-6 in Prostate Carcinogenesis. Am. J. Clin. Exp. Urol. 2014, 2, 231–238. [Google Scholar] [PubMed]
- Méndez-Clemente, A.; Bravo-Cuellar, A.; González-Ochoa, S.; Santiago-Mercado, M.; Palafox-Mariscal, L.; Jave-Suárez, L.; Solorzano-Ibarra, F.; Villaseñor-García, M.; Ortiz-Lazareno, P.; Hernández-Flores, G. Dual STAT-3 and IL-6R Inhibition with Stattic and Tocilizumab Decreases Migration, Invasion and Proliferation of Prostate Cancer Cells by Targeting the IL-6/IL-6R/STAT-3 Axis. Oncol. Rep. 2022, 48, 138. [Google Scholar] [CrossRef]




| miRNA/Gene Name | Associated Role | Forward Primer (5′-3′) | Reverse Primer (5′-3′) |
|---|---|---|---|
| miR-16-5p | Tumor suppressor | TAGCAGCACGTAAATATTGGCG (22 nt) | mRQ 3′ primer (proprietary sequence) |
| miR-21-5p | OncomiR | TAGCTTATCAGACTGATGTTGA (22 nt) | mRQ 3′ primer (proprietary sequence) |
| miR-34a-5p | Tumor suppressor | TGGCAGTGTCTTAGCTGGTTGT (22 nt) | mRQ 3′ primer (proprietary sequence) |
| miR-200a-5p | Tumor suppressor | CATCTTACCGGACAGTGCTGGA (22 nt) | mRQ 3′ primer (proprietary sequence) |
| miR-221-5p | OncomiR | ACCTGGCATACAATGTAGATTT (22 nt) | mRQ 3′ primer (proprietary sequence) |
| BCL-2 | Oncogenic | GATGGGATCGTTGCCTTATGC | CTTGGCATGAGATGCAGGA |
| PTEN | Tumor suppressor | AGTCAGAGGCGCTATGTGT | CGTGTGGGTCCTGAATTGGA |
| IL-6 | Inflammation-related | ACTCACCTCTTCAGAACGAATTG | CCATCTTTGGAAGGTTCAGGTTG |
| U6 | Endogenous control | GGAACGATACAGAGAAGATTAGC | TGGAACGCTTCACGAATTTGCG |
Disclaimer/Publisher’s Note: The statements, opinions and data contained in all publications are solely those of the individual author(s) and contributor(s) and not of MDPI and/or the editor(s). MDPI and/or the editor(s) disclaim responsibility for any injury to people or property resulting from any ideas, methods, instructions or products referred to in the content. |
© 2025 by the authors. Licensee MDPI, Basel, Switzerland. This article is an open access article distributed under the terms and conditions of the Creative Commons Attribution (CC BY) license (https://creativecommons.org/licenses/by/4.0/).
Share and Cite
Sahare, P.; Bravo-Vázquez, L.A.; Veloz-Briones, D.A.; Bernal-Vázquez, D.; Bolaños-Fernández, I.; Anguiano, B.; Luna-Bárcenas, G.; Paul, S. Differential Expression of Key Oncogenic and Tumor Suppressor MicroRNAs Induced by Andrographolide in Androgen-Independent PC3 and Androgen-Dependent LNCaP Prostate Cancer Cells. Genes 2025, 16, 1514. https://doi.org/10.3390/genes16121514
Sahare P, Bravo-Vázquez LA, Veloz-Briones DA, Bernal-Vázquez D, Bolaños-Fernández I, Anguiano B, Luna-Bárcenas G, Paul S. Differential Expression of Key Oncogenic and Tumor Suppressor MicroRNAs Induced by Andrographolide in Androgen-Independent PC3 and Androgen-Dependent LNCaP Prostate Cancer Cells. Genes. 2025; 16(12):1514. https://doi.org/10.3390/genes16121514
Chicago/Turabian StyleSahare, Padmavati, Luis Alberto Bravo-Vázquez, Diego Antonio Veloz-Briones, Daniela Bernal-Vázquez, Ignacio Bolaños-Fernández, Brenda Anguiano, Gabriel Luna-Bárcenas, and Sujay Paul. 2025. "Differential Expression of Key Oncogenic and Tumor Suppressor MicroRNAs Induced by Andrographolide in Androgen-Independent PC3 and Androgen-Dependent LNCaP Prostate Cancer Cells" Genes 16, no. 12: 1514. https://doi.org/10.3390/genes16121514
APA StyleSahare, P., Bravo-Vázquez, L. A., Veloz-Briones, D. A., Bernal-Vázquez, D., Bolaños-Fernández, I., Anguiano, B., Luna-Bárcenas, G., & Paul, S. (2025). Differential Expression of Key Oncogenic and Tumor Suppressor MicroRNAs Induced by Andrographolide in Androgen-Independent PC3 and Androgen-Dependent LNCaP Prostate Cancer Cells. Genes, 16(12), 1514. https://doi.org/10.3390/genes16121514

