Artificial Intelligence and Big Data in Digestive Healthcare
A special issue of Diagnostics (ISSN 2075-4418). This special issue belongs to the section "Machine Learning and Artificial Intelligence in Diagnostics".
Deadline for manuscript submissions: closed (28 February 2026) | Viewed by 1460
Special Issue Editors
2. Faculty of Medicine, University of Porto, 4200-319 Porto, Portugal
Interests: gastroenterology; hepatology; endoscopy; capsule endoscopy; enteroscopy; applied artificial intelligence; liver cancer; inflammatory bowel diseases
Special Issues, Collections and Topics in MDPI journals
2. Faculty of Medicine, University of Porto, 4200-319 Porto, Portugal
Interests: inflammatory bowel disease; applied artificial intelligence; capsule endoscopy; neurogastroenterology; coloproctology
Special Issues, Collections and Topics in MDPI journals
Special Issue Information
Dear Colleagues,
Advances in artificial intelligence (AI) and big data are revolutionizing healthcare, particularly in the field of digestive medicine. This Special Issue, “Artificial Intelligence and Big Data in Digestive Healthcare”, seeks to explore the transformative potential of these technologies in diagnosing, treating, and managing digestive disorders.
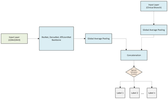
Digestive healthcare faces complex challenges, from identifying subtle patterns in imaging to predicting disease progression and optimizing treatment strategies. The integration of AI techniques, such as machine learning and natural language processing, with big data analytics offers groundbreaking opportunities to address these challenges. For instance, AI-powered systems can enhance the accuracy of endoscopic diagnostics, streamline the analysis of electronic health records (EHRs), and improve personalized care through predictive modeling.
This issue will showcase cutting-edge research and practical applications in areas such as AI-assisted imaging for the early detection of colorectal cancer, automated analysis of histopathological data, and predictive algorithms for inflammatory bowel disease (IBD) and irritable bowel syndrome (IBS). Additionally, it will delve into the role of big data in aggregating and analyzing genomic, microbiome, and lifestyle data to inform precision medicine.
Contributions to this issue should also address ethical considerations, including data privacy, algorithmic transparency, and equitable access to AI-driven tools in various healthcare settings. Researchers, clinicians, and industry leaders should share insights on overcoming barriers to the adoption of such tools, such as the integration of AI into clinical workflows and the training of healthcare professionals.
By bridging technological innovation with clinical practice, this Special Issue aims to pave the way for smarter, more efficient, and patient-centered approaches in digestive healthcare. Readers will gain a comprehensive understanding of the current landscape, emerging trends, and future directions in this dynamic intersection of AI, big data, and digestive healthcare.
Dr. Hélder Cardoso
Prof. Dr. Miguel Mascarenhas
Guest Editors
Manuscript Submission Information
Manuscripts should be submitted online at www.mdpi.com by registering and logging in to this website. Once you are registered, click here to go to the submission form. Manuscripts can be submitted until the deadline. All submissions that pass pre-check are peer-reviewed. Accepted papers will be published continuously in the journal (as soon as accepted) and will be listed together on the special issue website. Research articles, review articles as well as short communications are invited. For planned papers, a title and short abstract (about 250 words) can be sent to the Editorial Office for assessment.
Submitted manuscripts should not have been published previously, nor be under consideration for publication elsewhere (except conference proceedings papers). All manuscripts are thoroughly refereed through a single-blind peer-review process. A guide for authors and other relevant information for submission of manuscripts is available on the Instructions for Authors page. Diagnostics is an international peer-reviewed open access semimonthly journal published by MDPI.
Please visit the Instructions for Authors page before submitting a manuscript. The Article Processing Charge (APC) for publication in this open access journal is 2600 CHF (Swiss Francs). Submitted papers should be well formatted and use good English. Authors may use MDPI's English editing service prior to publication or during author revisions.
Keywords
- artificial intelligence
- big data
- digestive system diseases
- digestive system neoplasms
- electronic health records
- endoscopy
- precision medicine
Benefits of Publishing in a Special Issue
- Ease of navigation: Grouping papers by topic helps scholars navigate broad scope journals more efficiently.
- Greater discoverability: Special Issues support the reach and impact of scientific research. Articles in Special Issues are more discoverable and cited more frequently.
- Expansion of research network: Special Issues facilitate connections among authors, fostering scientific collaborations.
- External promotion: Articles in Special Issues are often promoted through the journal's social media, increasing their visibility.
- Reprint: MDPI Books provides the opportunity to republish successful Special Issues in book format, both online and in print.
Further information on MDPI's Special Issue policies can be found here.

