Next Issue
Volume 26, January-1
Previous Issue
Volume 25, December-1
 
 
sensors-logo

Journal Browser

Journal Browser

Sensors, Volume 25, Issue 24 (December-2 2025) – 289 articles

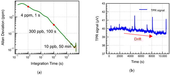
Cover Story (view full-size image): Photoacoustic spectroscopy promises compact, selective gas sensors, but its full potential in non-resonant configurations is limited by the poor low-frequency sensitivity of conventional MEMS microphones. Our work introduces a thermal MEMS fluidic microphone overcoming this bottleneck, achieving constant sensitivity of 32 µV/Pa below 20 Hz. The sensor converts the photoacoustic pressure into oscillatory flow through on-chip perforations, modulating heat transfer between a microheater and thermopile. We develop a comprehensive analytical model and validate it experimentally using a non-resonant CO2 photoacoustic cell, demonstrating a detection limit of 4 ppm over 1 seconds. This approach offers robust, scalable solutions for compact gas sensing in environmental monitoring, automotive emissions, and industrial safety applications. View this paper
  • Issues are regarded as officially published after their release is announced to the table of contents alert mailing list.
  • You may sign up for e-mail alerts to receive table of contents of newly released issues.
  • PDF is the official format for papers published in both, html and pdf forms. To view the papers in pdf format, click on the "PDF Full-text" link, and use the free Adobe Reader to open them.
Order results
Result details
Section
Select all
Export citation of selected articles as:
18 pages, 3041 KB  
Article
Machine Learning-Enhanced NDIR Methane Sensing Solution for Robust Outdoor Continuous Monitoring Applications
by Yang Yan, Lkhanaajav Mijiddorj, Tyler Beringer, Bilguunzaya Mijiddorj, Alex Ho and Binbin Weng
Sensors 2025, 25(24), 7691; https://doi.org/10.3390/s25247691 - 18 Dec 2025
Cited by 1 | Viewed by 687
Abstract
This work presents the development of a low-cost and high-performance multi-sensory gas detection instrument named the AIMNet Sensor, with the integration of a machine learning-based data processing method. The compact and low-power instrument (8.5 × 11.5 cm, 1.4 W) houses the core sensing [...] Read more.
This work presents the development of a low-cost and high-performance multi-sensory gas detection instrument named the AIMNet Sensor, with the integration of a machine learning-based data processing method. The compact and low-power instrument (8.5 × 11.5 cm, 1.4 W) houses the core sensing hardware module, Senseair K96, that integrates both a non-dispersive infrared (NDIR)-based gas sensing unit and a BME280 environmental sensing unit. To address the outdoor operation challenges caused by environmental fluctuation due to the varying temperature, humidity, and pressure, from the software aspect, multiple machine learning-based regression models were trained in this work on 13,125 calibration data points collected under controlled laboratory conditions. Among ten tested algorithms, the Multilayer Perceptron (MLP) and Elastic Net models achieved the highest accuracy, with R-squared coefficient R2>0.8 on both indoor and outdoor scenarios, and with inter-sensor root mean square error (RMSE) within 1.5 ppm across four identical instruments. Moreover, field mobile validation was performed near a wastewater management facility using this solution, confirming a strong correlation with LI-COR reference measurements and a reliable detection of CH4 leaks with concentrations up to 18 ppm at the test site. Overall, this machine learning-integrated NDIR sensing solution (i.e., AIMNet) offers a practical and scalable solution towards a more robust distributed CH4 monitoring network for real-world field-deployable applications. Full article
Show Figures

Figure 1

19 pages, 1729 KB  
Article
Digital Twin-Based Virtual Sensor Data Prediction and Visualization Techniques for Smart Swine Barns
by Hyeon-O Choe and Meong-Hun Lee
Sensors 2025, 25(24), 7690; https://doi.org/10.3390/s25247690 - 18 Dec 2025
Viewed by 724
Abstract
To address the limitations of sensor deployment and high maintenance costs in smart swine barns, this study proposes a digital twin (DT)-based virtual sensor prediction and visualization method. Spatial constraints and harsh barn environments often cause sensor blackout zones, hindering precise environmental monitoring. [...] Read more.
To address the limitations of sensor deployment and high maintenance costs in smart swine barns, this study proposes a digital twin (DT)-based virtual sensor prediction and visualization method. Spatial constraints and harsh barn environments often cause sensor blackout zones, hindering precise environmental monitoring. To overcome these challenges, a virtual sensor was defined at the central position between Zone 1 and Zone 2, and its data were generated using a hybrid model that combines inverse distance weighting (IDW)-based spatial interpolation with long short-term memory (LSTM)-based time-series prediction. The proposed method was evaluated using 34,992 datasets collected from January to August 2025. Performance analysis demonstrated that the hybrid model achieved high prediction accuracy, particularly for variables with strong spatial heterogeneity, such as carbon dioxide (CO2) and ammonia (NH3), with overall coefficients of determination (R2) exceeding 0.95. Furthermore, a Web-based graphics library (WebGL) digital twin visualization environment was developed to intuitively observe spatiotemporal changes in sensor data. The system integrates sensor placement, risk-level assessment, and time-series graphs, thereby supporting users in real-time environmental monitoring and decision-making. This approach improves the precision and reliability of smart barn management and contributes to the stabilization of farm income. Full article
(This article belongs to the Special Issue Digital Twin-Based Smart Agriculture)
Show Figures

Figure 1

30 pages, 2615 KB  
Review
Laser-Induced Breakdown Spectroscopy Analysis of Lithium: A Comprehensive Review
by Stefano Legnaioli, Giulia Lorenzetti, Francesco Poggialini, Beatrice Campanella, Vincenzo Palleschi, Silvana De Iuliis, Laura Eleonora Depero, Laura Borgese, Elza Bontempi and Simona Raneri
Sensors 2025, 25(24), 7689; https://doi.org/10.3390/s25247689 - 18 Dec 2025
Viewed by 953
Abstract
Lithium has emerged as a pivotal material for the global energy transition, yet its supply security is challenged by limited geographical availability and growing demand. These constraints highlight the need for analytical methods that are not only accurate but also sustainable and deployable [...] Read more.
Lithium has emerged as a pivotal material for the global energy transition, yet its supply security is challenged by limited geographical availability and growing demand. These constraints highlight the need for analytical methods that are not only accurate but also sustainable and deployable across the entire lithium value chain. In this context, Laser-Induced Breakdown Spectroscopy (LIBS) offers distinctive advantages, including minimal sample preparation, real-time and in situ analysis and the potential for portable and automated implementation. Such features make LIBS a valuable tool for monitoring and optimizing lithium extraction, refining and recycling processes. This review critically examines the recent progress in the use of LIBS for lithium detection and quantification in geological, industrial, biological and extraterrestrial matrices. It also discusses emerging applications in closed-loop recycling and highlights future prospects related to the integration of LIBS with artificial intelligence and machine learning to enhance analytical accuracy and material classification. Full article
(This article belongs to the Special Issue Advanced Spectroscopy-Based Sensors and Spectral Analysis Technology)
Show Figures

Graphical abstract

24 pages, 2669 KB  
Article
The Adaptive Lab Mentor (ALM): An AI-Driven IoT Framework for Real-Time Personalized Guidance in Hands-On Engineering Education
by Md Shakib Hasan, Awais Ahmed, Nouman Rasool, MST Mosaddeka Naher Jabe, Xiaoyang Zeng and Farman Ali Pirzado
Sensors 2025, 25(24), 7688; https://doi.org/10.3390/s25247688 - 18 Dec 2025
Viewed by 855
Abstract
Engineering education is based on experiential learning, but the problem is that in laboratory conditions, it is difficult to give feedback to the students in real time and personalize this feedback. The paper introduces the proposal of an innovative approach to the laboratories, [...] Read more.
Engineering education is based on experiential learning, but the problem is that in laboratory conditions, it is difficult to give feedback to the students in real time and personalize this feedback. The paper introduces the proposal of an innovative approach to the laboratories, called Adaptive Lab Mentor (ALM), which combines the technologies of Artificial Intelligence (AI), Internet of Things (IoT), and sensor technology to facilitate intelligent and customized laboratory setting. ALM is supported by a new real-time multimodal sensor fusion model in which a sensor-instrumented laboratory is used to record real-time electrical measurements (voltage and current) which are used in parallel with symbolic component measurements (target resistance) with a lightweight, dual-input Convolutional Neural Network (1D-CNN) running on an edge device. In this initial validation, visual context is presented as a symbolic target value, which establishes a pathway for the future integration of full computer vision. The architecture will enable monitoring of the student progress, making error diagnoses within a short time period, and provision of adaptive feedback based on information available in the context. To test this strategy, a high-fidelity model of an Ohm Laboratory was developed. LTspice was used to generate a huge amount of current and voltage time series of various circuit states. The trained model achieved 93.3% test accuracy and demonstrated that the proposed system could be applied. The ALM model, compared to the current Intelligent Tutoring Systems, is based on physical sensing and edge AI inference in real-time, as well as adaptive and safety-sensitive feedback throughout hands-on engineering demonstrations. The ALM framework serves as a blueprint for the new smart laboratory assistant. Full article
(This article belongs to the Special Issue AI and Sensors in Computer-Based Educational Systems)
Show Figures

Figure 1

27 pages, 4157 KB  
Article
ECG-Based Detection of Epileptic Seizures in Real-World Wearable Settings: Insights from the SeizeIT2 Dataset
by Conrad Reintjes, Janosch Fabio Hagenbeck, Mohamed Ballo, Tim Rahlmeier, Simon Maximilian Wolf and Detlef Schoder
Sensors 2025, 25(24), 7687; https://doi.org/10.3390/s25247687 - 18 Dec 2025
Cited by 1 | Viewed by 1114
Abstract
Epilepsy is a prevalent neurological disorder where reliable seizure tracking is essential for patient care. Existing documentation often relies on self-reports, which are unreliable, creating a need for objective, wearable-based solutions. Prior work has shown that Electrocardiography (ECG)-based seizure detection is feasible but [...] Read more.
Epilepsy is a prevalent neurological disorder where reliable seizure tracking is essential for patient care. Existing documentation often relies on self-reports, which are unreliable, creating a need for objective, wearable-based solutions. Prior work has shown that Electrocardiography (ECG)-based seizure detection is feasible but limited by small datasets. This study addresses this issue by evaluating Matrix Profile, MADRID, and TimeVQVAE-AD on SeizeIT2, the largest open wearable-ECG dataset with 11,640 recording hours and 886 annotated seizures. Using standardized preprocessing and clinically motivated windows, we benchmarked sensitivity, false-alarm rate (FAR), and a Harmonic Mean Score integrating both metrics. Across methods, TimeVQVAE-AD achieved the highest sensitivity, while MADRID produced the lowest FAR, illustrating the trade-off between detecting seizures and minimizing spurious alerts. Our findings show ECG anomaly detection on SeizeIT2 can reach clinically meaningful sensitivity while highlighting the sensitivity–false alarm trade-off. By releasing reproducible benchmarks and code, this work establishes the first open baseline and enables future research on personalization and clinical applicability. Full article
(This article belongs to the Special Issue Advances in ECG/EEG Monitoring)
Show Figures

Figure 1

15 pages, 2705 KB  
Article
Personalized Steering Feel Control Based on Driving Style Recognition and Closed-Loop Motion Regulation
by Hsin Guan, Yimeng Song, Pingping Lu, Chao Dai, Shenzhen Gao, Jun Zhan, Chunguang Duan, Yinsheng Liao and Binggen Zhao
Sensors 2025, 25(24), 7686; https://doi.org/10.3390/s25247686 - 18 Dec 2025
Viewed by 523
Abstract
Against the backdrop of the continuous expansion of the automotive industry, consumer demand is undergoing a profound shift from quantity to quality. Conventional steering systems, due to their lack of dynamic adaptation to driver styles, struggle to meet the diverse needs of different [...] Read more.
Against the backdrop of the continuous expansion of the automotive industry, consumer demand is undergoing a profound shift from quantity to quality. Conventional steering systems, due to their lack of dynamic adaptation to driver styles, struggle to meet the diverse needs of different user groups. To address this challenge, this study proposes a personalized steering feel control strategy, which achieves precise control of target steering feel by integrating driving style identification and closed-loop control strategies. Subsequently, this study validates the effectiveness and robustness of the proposed control method using a driving simulator. The results demonstrate that the proposed control strategy delivers effective performance across multiple operating conditions, providing drivers with a comfortable and satisfying steering feel, thereby enhancing their driving experience. Full article
(This article belongs to the Section Vehicular Sensing)
Show Figures

Figure 1

26 pages, 10802 KB  
Article
Indirect Vision-Based Localization of Cutter Bolts for Shield Machine Cutter Changing Robots
by Sijin Liu, Zilu Shi, Yuyang Ma, Yang Meng, Jun Wang, Qianchen Sha, Yingjie Wei and Xingqiao Yu
Sensors 2025, 25(24), 7685; https://doi.org/10.3390/s25247685 - 18 Dec 2025
Viewed by 603
Abstract
In operations involving the replacement of shield machine disc cutters, challenges such as limited space, poor lighting, and slurry contamination frequently lead to occlusions and incomplete data when using direct point cloud-based localization for disc cutter bolts. To overcome these issues, this study [...] Read more.
In operations involving the replacement of shield machine disc cutters, challenges such as limited space, poor lighting, and slurry contamination frequently lead to occlusions and incomplete data when using direct point cloud-based localization for disc cutter bolts. To overcome these issues, this study introduces an indirect visual localization technique for bolts that utilizes image-point cloud fusion. Initially, an SCMamba-YOLO instance segmentation model is developed to extract feature surface masks from the cutterbox. This model, trained on the self-constructed HCB-Dataset, delivers a mAP50 of 90.7% and a mAP50-95 of 82.2%, which indicates a strong balance between its accuracy and real-time performance. Following this, a non-overlapping point cloud registration framework that integrates image and point cloud data is established. By linking dual-camera coordinate systems and applying filtering through feature surface masks, essential corner coordinates are identified for pose calibration, allowing for the estimation of the three-dimensional coordinates of the bolts. Experimental results demonstrate that the proposed method achieves a localization error of less than 2 mm in both ideal and simulated tunnel environments, significantly enhancing stability in low-overlap and complex settings. This approach offers a viable technical foundation for the precise operation of shield disc cutter changing robots and the intelligent advancement of tunnel boring equipment. Full article
Show Figures

Figure 1

20 pages, 1136 KB  
Article
Enhancing Scene Text Recognition with Encoder–Decoder Interactive Model
by Yongbin Mu, Mieradilijiang Maimaiti, Miaomiao Xu, Wenkai Li and Wushour Silamu
Sensors 2025, 25(24), 7684; https://doi.org/10.3390/s25247684 - 18 Dec 2025
Viewed by 846
Abstract
Scene text recognition has significant application value in autonomous driving, smart retail, and assistive devices. However, due to challenges such as multi-scale variations, distortions, and complex backgrounds, existing methods such as CRNN, ViT, and PARSeq, while showing good performance, still have room for [...] Read more.
Scene text recognition has significant application value in autonomous driving, smart retail, and assistive devices. However, due to challenges such as multi-scale variations, distortions, and complex backgrounds, existing methods such as CRNN, ViT, and PARSeq, while showing good performance, still have room for improvement in feature extraction and semantic modeling capabilities. To address these issues, this paper proposes a novel scene text recognition model named the Encoder–Decoder Interactive Model (EDIM). Based on an encoder–decoder framework, EDIM introduces a Multi-scale Dilated Fusion Attention (MSFA) module in the encoder to enhance multi-scale feature representation. In the decoder, a Sequential Encoder–Decoder Context Fusion (SeqEDCF) mechanism is designed to enable efficient semantic interaction between the encoder and decoder. The effectiveness of the proposed method is validated on six regular and irregular benchmark test sets, as well as various subsets of the Union14M-L dataset. Experimental results demonstrate that EDIM outperforms state-of-the-art (SOTA) methods across multiple metrics, achieving significant performance gains, especially in recognizing irregular and distorted text. Full article
(This article belongs to the Section Intelligent Sensors)
Show Figures

Figure 1

18 pages, 8006 KB  
Article
Optimal Low-Cost MEMS INS/GNSS Integrated Georeferencing Solution for LiDAR Mobile Mapping Applications
by Nasir Al-Shereiqi, Mohammed El-Diasty and Ghazi Al-Rawas
Sensors 2025, 25(24), 7683; https://doi.org/10.3390/s25247683 - 18 Dec 2025
Viewed by 1303
Abstract
Mobile mapping systems using LiDAR technology are becoming a reliable surveying technique to generate accurate point clouds. Mobile mapping systems integrate several advanced surveying technologies. This research investigated the development of a low-cost, accurate Microelectromechanical System (MEMS)-based INS/GNSS georeferencing system for LiDAR mobile [...] Read more.
Mobile mapping systems using LiDAR technology are becoming a reliable surveying technique to generate accurate point clouds. Mobile mapping systems integrate several advanced surveying technologies. This research investigated the development of a low-cost, accurate Microelectromechanical System (MEMS)-based INS/GNSS georeferencing system for LiDAR mobile mapping applications, enabling the generation of accurate point clouds. The challenge of using the MEMS IMU is that it is contaminated by high levels of noise and bias instability. To overcome this issue, new denoising and filtering methods were developed using a wavelet neural network (WNN) and an optimal maximum likelihood estimator (MLE) method to achieve an accurate MEMS-based INS/GNSS integration navigation solution for LiDAR mobile mapping applications. Moreover, the final accuracy of the MEMS-based INS/GNSS navigation solution was compared with the ASPRS standards for geospatial data production. It was found that the proposed WNN denoising method improved the MEMS-based INS/GNSS integration accuracy by approximately 11%, and that the optimal MLE method achieved approximately 12% higher accuracy than the forward-only navigation solution without GNSS outages. The proposed WNN denoising outperforms the current state-of-the-art Long Short-Term Memory (LSTM)–Recurrent Neural Network (RNN), or LSTM-RNN, denoising model. Additionally, it was found that, depending on the sensor–object distance, the accuracy of the optimal MLE-based MEMS INS/GNSS navigation solution with WNN denoising ranged from 1 to 3 cm for ground mapping and from 1 to 9 cm for building mapping, which can fulfill the ASPRS standards of classes 1 to 3 and classes 1 to 9 for ground and building mapping cases, respectively. Full article
(This article belongs to the Section Industrial Sensors)
Show Figures

Figure 1

14 pages, 1926 KB  
Article
Adaptive Kalman Filter-Based UWB Location Tracking with Optimized DS-TWR in Workshop Non-Line-of-Sight Environments
by Jian Wu, Yijing Xiong, Wenyang Li and Wenwei Xia
Sensors 2025, 25(24), 7682; https://doi.org/10.3390/s25247682 - 18 Dec 2025
Viewed by 654
Abstract
At the current stage, indoor Ultra-Wideband (UWB) positioning systems often encounter challenges in achieving high localization accuracy under non-line-of-sight (NLOS) conditions within workshop environments when employing the Double-Sided Two-Way Ranging (DS-TWR) algorithm. To address this issue, a positioning optimization method based on the [...] Read more.
At the current stage, indoor Ultra-Wideband (UWB) positioning systems often encounter challenges in achieving high localization accuracy under non-line-of-sight (NLOS) conditions within workshop environments when employing the Double-Sided Two-Way Ranging (DS-TWR) algorithm. To address this issue, a positioning optimization method based on the DS-TWR algorithm is proposed. By streamlining message exchanges between nodes, the method reduces node energy consumption and shortens ranging time, thereby enhancing system energy efficiency and response speed. Furthermore, to improve positioning accuracy in workshop NLOS environments, an Adaptive Kalman Filtering algorithm is introduced. This algorithm dynamically evaluates the influence of obstruction information caused by NLOS conditions on the covariance of observation noise and adaptively adjusts the filtering gain of the signals accordingly. Through this approach, the system can effectively eliminate invalid positioning information in signals, mitigate the adverse effects of NLOS conditions on positioning accuracy and achieve more precise localization. Experimental results demonstrate that the proposed optimization algorithm achieves substantial performance improvements in both static and dynamic positioning experiments under workshop NLOS conditions. Specifically, the algorithm not only enhances system positioning accuracy but also further strengthens the real-time ranging precision of the DS-TWR algorithm. Full article
(This article belongs to the Special Issue Intelligent Maintenance and Fault Diagnosis of Mobility Equipment)
Show Figures

Figure 1

24 pages, 8304 KB  
Article
STAIR-DETR: A Synergistic Transformer Integrating Statistical Attention and Multi-Scale Dynamics for UAV Small Object Detection
by Linna Hu, Penghao Xue, Bin Guo, Yiwen Chen, Weixian Zha and Jiya Tian
Sensors 2025, 25(24), 7681; https://doi.org/10.3390/s25247681 - 18 Dec 2025
Viewed by 690
Abstract
Detecting small objects in unmanned aerial vehicle (UAV) imagery remains a challenging task due to the limited target scale, cluttered backgrounds, severe occlusion, and motion blur commonly observed in dynamic aerial environments. This study presents STAIR-DETR, a real-time synergistic detection framework derived from [...] Read more.
Detecting small objects in unmanned aerial vehicle (UAV) imagery remains a challenging task due to the limited target scale, cluttered backgrounds, severe occlusion, and motion blur commonly observed in dynamic aerial environments. This study presents STAIR-DETR, a real-time synergistic detection framework derived from RT-DETR, featuring comprehensive enhancements in feature extraction, resolution transformation, and detection head design. A Statistical Feature Attention (SFA) module is incorporated into the neck to replace the original AIFI, enabling token-level statistical modeling that strengthens fine-grained feature representation while effectively suppressing background interference. The backbone is reinforced with a Diverse Semantic Enhancement Block (DSEB), which employs multi-branch pathways and dynamic convolution to enrich semantic expressiveness without sacrificing spatial precision. To mitigate information loss during scale transformation, an Adaptive Scale Transformation Operator (ASTO) is proposed by integrating Context-Guided Downsampling (CGD) and Dynamic Sampling (DySample), achieving context-aware compression and content-adaptive reconstruction across resolutions. In addition, a high-resolution P2 detection head is introduced to leverage shallow-layer features for accurate classification and localization of extremely small targets. Extensive experiments conducted on the VisDrone2019 dataset demonstrate that STAIR-DETR attains 41.7% mAP@50 and 23.4% mAP@50:95, outperforming contemporary state-of-the-art (SOTA) detectors while maintaining real-time inference efficiency. These results confirm the effectiveness and robustness of STAIR-DETR for precise small object detection in complex UAV-based imaging scenarios. Full article
(This article belongs to the Special Issue Dynamics and Control System Design for Robotics)
Show Figures

Figure 1

17 pages, 957 KB  
Article
Cybersecure Intelligent Sensor Framework for Smart Buildings: AI-Based Intrusion Detection and Resilience Against IoT Attacks
by Md Abubokor Siam, Khadeza Yesmin Lucky, Syed Nazmul Hasan, Jobanpreet Kaur, Harleen Kaur, Md Salah Uddin and Mia Md Tofayel Gonee Manik
Sensors 2025, 25(24), 7680; https://doi.org/10.3390/s25247680 - 18 Dec 2025
Viewed by 847
Abstract
The rapid development of the Internet of Things (IoT), a network of interconnected devices and sensors, has improved operational efficiency, comfort, and sustainability in smart buildings. However, relying on interconnected systems also introduces cybersecurity vulnerabilities. For instance, attackers can exploit zero-day vulnerabilities (previously [...] Read more.
The rapid development of the Internet of Things (IoT), a network of interconnected devices and sensors, has improved operational efficiency, comfort, and sustainability in smart buildings. However, relying on interconnected systems also introduces cybersecurity vulnerabilities. For instance, attackers can exploit zero-day vulnerabilities (previously unknown security flaws), launch Distributed Denial of Service (DDoS) attacks (overwhelming network resources with traffic), or access sensitive Building Management Systems (BMS, centralized platforms for controlling building operations). By targeting critical assets such as Heating, Ventilation, and Air Conditioning (HVAC) systems, security cameras, and access control networks, they may compromise the safety and functionality of the entire building. To address these threats, this paper presents a cybersecure intelligent sensor framework to protect smart buildings from various IoT-related cyberattacks. The main component is an automated Intrusion Detection System (IDS, software that monitors network activity for suspicious actions), which uses machine learning algorithms to rapidly identify, classify, and respond to potential threats. Furthermore, the framework integrates intelligent sensor networks with AI-based analytics, enabling continuous monitoring of environmental and system data for behaviors that might indicate security breaches. By using predictive modeling (forecasting attacks based on prior data) and automated responses, the proposed system enhances resilience against attacks such as denial of service, unauthorized access, and data manipulation. Simulation and testing results show high detection rates, low false alarm frequencies, and fast response times, thereby supporting the cybersecurity of smart building infrastructures and minimizing downtime. Overall, the findings suggest that AI-enhanced cybersecurity systems offer promise for IoT-based smart building security. Full article
(This article belongs to the Special Issue Intelligent Sensors and Artificial Intelligence in Building)
Show Figures

Figure 1

28 pages, 14800 KB  
Article
E-MASS: Electromagnetic Mechanism for Active Shifting of the Centre of Gravity in Quadrotors Under Drive Fault
by Mirosław Kondratiuk, Leszek Ambroziak, Andrzej Majka and Ranga Rao Venkatesha Prasad
Sensors 2025, 25(24), 7679; https://doi.org/10.3390/s25247679 - 18 Dec 2025
Viewed by 452
Abstract
We present a novel concept of an electromagnetic mechanism for shifting the centre of gravity (CoG) in a small unmanned aerial vehicle with four rotors (quadrotor). Shifting the CoG is essential for controlling drones in which the thrust is unbalanced (e.g., upon the [...] Read more.
We present a novel concept of an electromagnetic mechanism for shifting the centre of gravity (CoG) in a small unmanned aerial vehicle with four rotors (quadrotor). Shifting the CoG is essential for controlling drones in which the thrust is unbalanced (e.g., upon the failure of one of the drives). The concept presented here involves using electromagnetic coils mounted under the drone and moving permanent magnets inside a cylindrical tube. Moving the positions of the masses can be controlled by means of currents in the coils. Changing the position of the magnets relative to the arms of the drone causes a shift in the CoG, allowing for controllability even when one of the four engines is not working, and making it possible for the drone to land safely. This article describes the geometrical and mechanical relationships in the proposed system, the design and numerical calculations of the electromagnetic mechanism with coils and permanent magnets, as well as the results of a simulation of the control variant. Additionally, the practical implementation of the mechanism, from CAD modelling through the manufacturing of its elements to the final structure prepared for mounting on a quadrotor, is discussed. Full article
(This article belongs to the Section Sensors and Robotics)
Show Figures

Figure 1

15 pages, 3989 KB  
Article
YOLO-SAM AgriScan: A Unified Framework for Ripe Strawberry Detection and Segmentation with Few-Shot and Zero-Shot Learning
by Partho Ghose, Al Bashir, Yibin Wang, Cristian Bua and Azlan Zahid
Sensors 2025, 25(24), 7678; https://doi.org/10.3390/s25247678 - 18 Dec 2025
Cited by 1 | Viewed by 655
Abstract
Traditional segmentation methods are slow and rely on manual annotations, which are labor-intensive. To address these limitations, we propose YOLO-SAM AgriScan, a unified framework that combines the fast object detection capabilities of YOLOv11 with the zero-shot segmentation power of the Segment Anything Model [...] Read more.
Traditional segmentation methods are slow and rely on manual annotations, which are labor-intensive. To address these limitations, we propose YOLO-SAM AgriScan, a unified framework that combines the fast object detection capabilities of YOLOv11 with the zero-shot segmentation power of the Segment Anything Model 2 (SAM2). Our approach adopts a hybrid paradigm for on-plant ripe strawberry segmentation, wherein YOLOv11 is fine-tuned using a few-shot learning strategy with minimal annotated samples, and SAM2 performs mask generation without additional supervision. This architecture eliminates the bottleneck of pixel-wise manual annotation and enables the scalable and efficient segmentation of strawberries in both controlled and natural farm environments. Experimental evaluations on two datasets, a custom-collected dataset and a publicly available benchmark, demonstrate strong detection and segmentation performance in both full-data and data-constrained scenarios. The proposed framework achieved a mean Dice score of 0.95 and an IoU of 0.93 on our collected dataset and maintained competitive performance on public data (Dice: 0.95, IoU: 0.92), demonstrating its robustness, generalizability, and practical relevance in real-world agricultural settings. Our results highlight the potential of combining few-shot detection and zero-shot segmentation to accelerate the development of annotation-light, intelligent phenotyping systems. Full article
Show Figures

Figure 1

43 pages, 9967 KB  
Review
Flexible Sensing for Precise Lithium-Ion Battery Swelling Monitoring: Mechanisms, Integration Strategies, and Outlook
by Yusheng Lei, Jinwei Zhao, Yihang Wang, Chenyang Xue and Libo Gao
Sensors 2025, 25(24), 7677; https://doi.org/10.3390/s25247677 - 18 Dec 2025
Cited by 1 | Viewed by 961
Abstract
The expansion force generated by lithium-ion batteries during charge–discharge cycles is a key indicator of their structural safety and health. Recently, flexible pressure-sensing technologies have emerged as promising solutions for in situ swelling monitoring, owing to their high flexibility, sensitivity and integration capability. [...] Read more.
The expansion force generated by lithium-ion batteries during charge–discharge cycles is a key indicator of their structural safety and health. Recently, flexible pressure-sensing technologies have emerged as promising solutions for in situ swelling monitoring, owing to their high flexibility, sensitivity and integration capability. This review provides a systematic summary of progress in this field. Firstly, we discuss the mechanisms of battery swelling and the principles of conventional measurement methods. It then compares their accuracy, dynamic response and environmental adaptability. Subsequently, the main flexible pressure-sensing mechanisms are categorized, including piezoresistive, capacitive, piezoelectric and triboelectric types, and their material designs, structural configurations and sensing behaviors are discussed. Building on this, we examine integration strategies for flexible pressure sensors in battery systems. It covers surface-mounted and embedded approaches at the cell level, as well as array-based and distributed schemes at the module level. A comparative analysis highlights the differences in installation constraints and monitoring capabilities between these approaches. Additionally, this section also summarizes the characteristics of swelling signals and recent advances in data processing techniques, including AI-assisted feature extraction, fault detection and health state correlation. Despite their promise, challenges such as long-term material stability and signal interference remain. Future research is expected to focus on high-performance sensing materials, multimodal sensing fusion and intelligent data processing, with the aim of further advancing the integration of flexible sensing technologies into battery management systems and enhancing early warning and safety protection capabilities. Full article
Show Figures

Figure 1

26 pages, 880 KB  
Article
Anonymous and Efficient Chaotic Map-Based Authentication Protocol for Industrial Internet of Things
by Dake Zeng, Akhtar Badshah, Shanshan Tu, Xin Ai, Hisham Alasmary, Muhammad Waqas and Muhammad Taimoor Khan
Sensors 2025, 25(24), 7676; https://doi.org/10.3390/s25247676 - 18 Dec 2025
Viewed by 665
Abstract
The exponential growth of Internet infrastructure and the widespread adoption of smart sensing devices have empowered industrial personnel to conduct remote, real-time data analysis within the Industrial Internet of Things (IIoT) framework. However, transmitting this real-time data over public channels raises significant security [...] Read more.
The exponential growth of Internet infrastructure and the widespread adoption of smart sensing devices have empowered industrial personnel to conduct remote, real-time data analysis within the Industrial Internet of Things (IIoT) framework. However, transmitting this real-time data over public channels raises significant security and privacy concerns. To prevent unauthorized access, user authentication mechanisms are crucial in the IIoT environment. To mitigate security vulnerabilities within IIoT environments, a novel user authentication and key agreement protocol is proposed. The protocol is designed to restrict service access exclusively to authorized users of designated smart sensing devices. By incorporating cryptographic hash functions, chaotic maps, Physical Unclonable Functions (PUFs), and fuzzy extractors, the protocol enhances security and functional integrity. PUFs provide robust protection against tampering and cloning, while fuzzy extractors facilitate secure biometric verification through the integration of smart cards, passwords, and personal biometrics. Moreover, the protocol accommodates dynamic device enrollment, password and biometric updates, and smart card revocation. A rigorous formal security analysis employing the Real-or-Random (ROR) model was conducted to validate session key security. Complementary informal security analysis was performed to assess resistance to a broad spectrum of attacks. Comparative performance evaluations unequivocally demonstrate the protocol’s superior efficiency and security in comparison to existing benchmarks. Full article
(This article belongs to the Section Internet of Things)
Show Figures

Figure 1

12 pages, 1762 KB  
Article
Development and Application of Miniaturized Multispectral Detection System for Water Reflection Detection
by Yuze Song, Yunfei Li, Chao Li, Feng Luo and Fuhong Cai
Sensors 2025, 25(24), 7675; https://doi.org/10.3390/s25247675 - 18 Dec 2025
Viewed by 433
Abstract
Spectroscopic technology offers the advantage of rapid online monitoring and has attracted significant attention in molecular detection. However, the complex optical spectroscopic structure results in a relatively complex structure for spectral detection systems, limiting their widespread application. In water spectral detection, in addition [...] Read more.
Spectroscopic technology offers the advantage of rapid online monitoring and has attracted significant attention in molecular detection. However, the complex optical spectroscopic structure results in a relatively complex structure for spectral detection systems, limiting their widespread application. In water spectral detection, in addition to ensuring the stability of the optical system, waterproofing is also crucial. Therefore, developing miniaturized spectral detection modules in water spectral detection can improve system stability and reduce the complexity of developing and maintaining underwater hardware. This work develops a compact multispectral detection system centered on a miniature multispectral sensor. The system, controlled by a microcontroller, detects eight spectral channels within the 400–700 nm range and transmits data via the I2C bus. The sensitivity and stability of the detection are sufficient for water reflectance spectral detection. Based on the reflectance spectrum obtained by the above module, this work develops a regression algorithm to estimate the chlorophyll concentration in water. By comparing with standard chlorophyll concentration detection instruments, the results demonstrate the effectiveness of the proposed system in accurately estimating chlorophyll concentration. Full article
(This article belongs to the Special Issue Novel Sensing Technologies for Environmental Monitoring and Detection)
Show Figures

Figure 1

22 pages, 3132 KB  
Article
A Study on a Low-Cost IMU/Doppler Integrated Velocity Estimation Method Under Insufficient GNSS Observation Conditions
by Yinggang Wang, Hongli Zhang, Kemeng Li, Hanghang Xu and Yijin Chen
Sensors 2025, 25(24), 7674; https://doi.org/10.3390/s25247674 - 18 Dec 2025
Viewed by 655
Abstract
The Global Navigation Satellite System (GNSS)/Inertial Measurement Unit (IMU) Loosely Coupled (LC) integration framework has been widely adopted due to its simple structure, but it relies on complete GNSS position and velocity solutions, and the rapid accumulation of IMU errors can easily lead [...] Read more.
The Global Navigation Satellite System (GNSS)/Inertial Measurement Unit (IMU) Loosely Coupled (LC) integration framework has been widely adopted due to its simple structure, but it relies on complete GNSS position and velocity solutions, and the rapid accumulation of IMU errors can easily lead to navigation failure when fewer than four satellites are visible. In this paper, GNSS Doppler observations are fused with IMU attitude information within an LC framework. An inter-satellite differential Doppler model is introduced, and the velocity obtained from the differential Doppler solution is transformed into the navigation frame using the IMU-derived attitude, enabling three-dimensional velocity estimation in the navigation frame even when only two satellites are available. Analysis of real vehicle data collected by the GREAT team at Wuhan University shows that the Signal-to-Noise Ratio (SNR) and the geometric relationship between the Satellite Difference Vector (SDV) and the Receiver Motion Direction (RMD) are the dominant factors affecting velocity accuracy. A multi-factor threshold screening strategy further indicates that when SNR> 40 and SDV·RMD >0.2, the Root Mean Square (RMS) of the velocity error is approximately 0.3 m/s and the data retention rate exceeds 44%, achieving a good balance between accuracy and availability. The results indicate that, while maintaining a simple system structure, the proposed Doppler–IMU fusion method can significantly enhance velocity robustness and positioning continuity within an LC architecture under weak GNSS conditions (when more than two satellites are visible but standalone GNSS positioning is still unavailable), and is suitable for constructing low-cost, highly reliable integrated navigation systems. Full article
(This article belongs to the Section Navigation and Positioning)
Show Figures

Figure 1

24 pages, 7868 KB  
Article
An Indoor UAV Localization Framework with ESKF Tightly-Coupled Fusion and Multi-Epoch UWB Outlier Rejection
by Jianmin Zhao, Zhongliang Deng, Enwen Hu, Wenju Su, Boyang Lou and Yanxu Liu
Sensors 2025, 25(24), 7673; https://doi.org/10.3390/s25247673 - 18 Dec 2025
Viewed by 656
Abstract
Unmanned aerial vehicles (UAVs) are increasingly used indoors for inspection, security, and emergency tasks. Achieving accurate and robust localization under Global Navigation Satellite System (GNSS) unavailability and obstacle occlusions is therefore a critical challenge. Due to their inherent physical limitations, Inertial Measurement Unit [...] Read more.
Unmanned aerial vehicles (UAVs) are increasingly used indoors for inspection, security, and emergency tasks. Achieving accurate and robust localization under Global Navigation Satellite System (GNSS) unavailability and obstacle occlusions is therefore a critical challenge. Due to their inherent physical limitations, Inertial Measurement Unit (IMU)–based localization errors accumulate over time, Ultra-Wideband (UWB) measurements suffer from systematic biases in Non-Line-of-Sight (NLOS) environments and Visual–Inertial Odometry (VIO) depends heavily on environmental features, making it susceptible to long-term drift. We propose a tightly coupled fusion framework based on the Error-State Kalman Filter (ESKF). Using an IMU motion model for prediction, the method incorporates raw UWB ranges, VIO relative poses, and TFmini altitude in the update step. To suppress abnormal UWB measurements, a multi-epoch outlier rejection method constrained by VIO is developed, which can robustly eliminate NLOS range measurements and effectively mitigate the influence of outliers on observation updates. This framework improves both observation quality and fusion stability. We validate the proposed method on a real-world platform in an underground parking garage. Experimental results demonstrate that, in complex indoor environments, the proposed approach exhibits significant advantages over existing algorithms, achieving higher localization accuracy and robustness while effectively suppressing UWB NLOS errors as well as IMU and VIO drift. Full article
(This article belongs to the Section Navigation and Positioning)
Show Figures

Figure 1

21 pages, 3813 KB  
Article
HMRM: A Hybrid Motion and Region-Fused Mamba Network for Micro-Expression Recognition
by Zhe Guo, Yi Liu, Rui Luo, Jiayi Liu and Lan Wei
Sensors 2025, 25(24), 7672; https://doi.org/10.3390/s25247672 - 18 Dec 2025
Viewed by 543
Abstract
Micro-expression recognition (MER), as an important branch of intelligent visual sensing, enables the analysis of subtle facial movements for applications in emotion understanding, human–computer interaction and security monitoring. However, existing methods struggle to capture fine-grained spatiotemporal dynamics under limited data and computational resources, [...] Read more.
Micro-expression recognition (MER), as an important branch of intelligent visual sensing, enables the analysis of subtle facial movements for applications in emotion understanding, human–computer interaction and security monitoring. However, existing methods struggle to capture fine-grained spatiotemporal dynamics under limited data and computational resources, making them difficult to deploy in real-world sensing systems. To address this limitation, we propose HMRM, a hybrid motion and region-fused Mamba network designed for efficient and accurate MER. HMRM enhances motion representation through a hybrid feature augmentation module that integrates gated recurrent unit (GRU)-attention optical flow estimation with a regional MotionMix enhancement strategy to increase motion diversity. Furthermore, it employs a grained Mamba encoder to achieve lightweight and effective long-range temporal modeling. Additionally, a regions feature fusion strategy is introduced to strengthen the representation of localized expression dynamics. Experiments on multiple MER benchmark datasets demonstrate that HMRM achieves state-of-the-art performance with strong generalization and low computational cost, highlighting its potential for integration into compact, real-time visual sensing and emotion analysis systems. Full article
(This article belongs to the Special Issue Emotion Recognition and Cognitive Behavior Analysis Based on Sensors)
Show Figures

Figure 1

19 pages, 742 KB  
Article
Image-Based Recognition of Children’s Handwritten Arabic Characters Using a Confidence-Weighted Stacking Ensemble
by Helala AlShehri
Sensors 2025, 25(24), 7671; https://doi.org/10.3390/s25247671 - 18 Dec 2025
Viewed by 508
Abstract
Recognizing handwritten Arabic characters written by children via scanned or camera-captured images is a challenging task due to variations in writing style, stroke irregularity, and diacritical marks. Although deep learning has advanced this field, building reliable systems remains challenging. This study introduces a [...] Read more.
Recognizing handwritten Arabic characters written by children via scanned or camera-captured images is a challenging task due to variations in writing style, stroke irregularity, and diacritical marks. Although deep learning has advanced this field, building reliable systems remains challenging. This study introduces a stacking ensemble framework for sensor-acquired handwriting data, enhanced with a dynamic confidence-thresholding mechanism designed to improve prediction reliability. The framework integrates three high-performing convolutional neural networks (ConvNeXtBase, DenseNet201, and VGG16) through a fully connected meta-learner. A key feature is the use of an optimized threshold that filters out uncertain predictions by maximizing the macro F1 score on validation data. The framework is evaluated on two benchmark datasets for children’s Arabic handwriting: Hijja and Dhad. The results demonstrate state-of-the-art performance, with an accuracy of 95.13% and F1 score of 94.62% on Hijja and an accuracy of 96.14% and F1 score of 95.59% on Dhad. Compared to existing methods, the proposed approach achieves more than a 3% improvement in Hijja accuracy while maintaining robust performance across diverse character classes. These findings highlight the effectiveness of confidence-based stacking ensembles in enhancing reliability for Arabic handwriting recognition and suggest strong potential for automated educational assessment tools and intelligent tutoring systems. Full article
(This article belongs to the Section Intelligent Sensors)
Show Figures

Figure 1

11 pages, 669 KB  
Article
Sensorimotor Parameters Predict Performance on the Bead Maze Hand Function Test
by Vivian L. Rose, Komal K. Kukkar, Tzuan A. Chen and Pranav J. Parikh
Sensors 2025, 25(24), 7670; https://doi.org/10.3390/s25247670 - 18 Dec 2025
Viewed by 493
Abstract
Understanding the forces imparted onto an object during manipulation can shed light on the quality of daily manual behaviors. We have developed an objective measure of the quality of hand function in children, the Bead Maze Hand Function Test, which quantifies how well [...] Read more.
Understanding the forces imparted onto an object during manipulation can shed light on the quality of daily manual behaviors. We have developed an objective measure of the quality of hand function in children, the Bead Maze Hand Function Test, which quantifies how well the individual performs the activity by integrating measures of time and force control. Our main objectives were to examine associations between performance (total force output) on the Bead Maze Hand Function Test (BMHFT) and (1) performance on a sensitive measure of force scaling obtained on a laboratory-based dexterous manipulation task, and (2) general sensory and motor parameters important for fine motor skills. A total of 39 typically developing participants ranging in age from 5 to 10 years old (n = 28) and 15 to 17 years (n = 11). We found that the anticipatory coordination of digit forces was the best predictor of performance on the Bead Maze Hand Function test. We also found that factors such as age, gender, and pinch strength were associated with the BMHFT performance. These findings support the integration of more sensitive sensorimotor metrics, such as the total applied force, into clinical assessments. Linking the development of sensorimotor capabilities to functional task performance may facilitate more targeted and effective intervention strategies, ultimately improving a child’s participation in daily activities. Full article
(This article belongs to the Section Biomedical Sensors)
Show Figures

Figure 1

27 pages, 4351 KB  
Review
Wearable Sensor Technologies and Gait Analysis for Early Detection of Dementia: Trends and Future Directions
by Anna Tsiakiri, Spyridon Plakias, Georgios Giarmatzis, Georgia Tsakni, Foteini Christidi, Georgia Karakitsiou, Vasiliki Georgousopoulou, Georgios Manomenidis, Dimitrios Tsiptsios, Konstantinos Vadikolias, Nikolaos Aggelousis and Pinelopi Vlotinou
Sensors 2025, 25(24), 7669; https://doi.org/10.3390/s25247669 - 18 Dec 2025
Cited by 1 | Viewed by 1776
Abstract
The progressive nature of dementia necessitates early detection strategies capable of identifying preclinical cognitive decline. Gait disturbances, mediated by higher-order cognitive functions, have emerged as potential digital biomarkers in this context. This bibliometric review systematically maps the scientific output from 2010 to 2025 [...] Read more.
The progressive nature of dementia necessitates early detection strategies capable of identifying preclinical cognitive decline. Gait disturbances, mediated by higher-order cognitive functions, have emerged as potential digital biomarkers in this context. This bibliometric review systematically maps the scientific output from 2010 to 2025 on the application of wearable sensor technologies and gait analysis in the early diagnosis of dementia. A targeted search of the Scopus database yielded 126 peer-reviewed studies, which were analyzed using VOSviewer for performance metrics, co-authorship networks, bibliographic coupling, co-citation, and keyword co-occurrence. The findings delineate a multidisciplinary research landscape, with major contributions spanning neurology, geriatrics, biomedical engineering, and computational sciences. Four principal thematic clusters were identified: (1) Cognitive and Clinical Aspects of Dementia, (2) Physical Activity and Mobility in Older Adults, (3) Technological and Analytical Approaches to Gait and Frailty and (4) Aging, Cognitive Decline, and Emerging Technologies. Despite the proliferation of research, significant gaps persist in longitudinal validation, methodological standardization, and integration into clinical workflows. This review emphasizes the potential of sensor-derived gait metrics to augment early diagnostic protocols and advocates for interdisciplinary collaboration to advance scalable, non-invasive diagnostic solutions for neurodegenerative diseases. Full article
(This article belongs to the Special Issue Advancing Human Gait Monitoring with Wearable Sensors)
Show Figures

Figure 1

25 pages, 14035 KB  
Article
Phase Measuring Deflectometry for Wafer Thin-Film Stress Mapping
by Yang Gao, Xinjun Wan, Kunying Hsin, Jiaqing Tao, Zhuoyi Yin and Fujun Yang
Sensors 2025, 25(24), 7668; https://doi.org/10.3390/s25247668 - 18 Dec 2025
Viewed by 679
Abstract
Wafer-level thin-film stress measurement is essential for reliable semiconductor fabrication. However, existing techniques present limitations in practice. Interferometry achieves high precision but at a cost that becomes prohibitive for large wafers. Meanwhile laser-scanning systems are more affordable but can only provide sparse data [...] Read more.
Wafer-level thin-film stress measurement is essential for reliable semiconductor fabrication. However, existing techniques present limitations in practice. Interferometry achieves high precision but at a cost that becomes prohibitive for large wafers. Meanwhile laser-scanning systems are more affordable but can only provide sparse data points. This work develops a phase-measuring deflectometry (PMD) system to bridge this gap and deliver a full-field solution for wafer stress mapping. The implementation addresses three key challenges in adapting PMD. First, screen positioning and orientation are refined using an inverse bundle-adjustment approach, which performs multi-parameter optimization without re-optimizing the camera model and simultaneously uses residuals to quantify screen deformation. Second, a backward-propagation ray-tracing framework benchmarks two iterative strategies to resolve the slope-height ambiguity which is a fundamental challenge in PMD caused by the absence of a fixed optical center on the source side. The reprojection constraint strategy is selected for its superior convergence precision. Third, this strategy is integrated with regional wavefront reconstruction based on Hermite interpolation to effectively eliminate edge artifacts. Experimental results demonstrate a peak-to-valley error in the reconstructed topography of 0.48 µm for a spherical mirror with a radius of 500 mm. The practical utility of the system is confirmed through curvature mapping of a 12-inch patterned wafer and further validated by stress measurements on an 8-inch bare wafer, which show less than 5% deviation from industry-standard instrumentation. These results validate the proposed PMD method as an accurate and cost-effective approach for production-scale thin-film stress inspection. Full article
(This article belongs to the Section Optical Sensors)
Show Figures

Figure 1

26 pages, 2069 KB  
Article
Value of Robotics: Comparison of Three Different High-Intensity Training Programs for Rehabilitation After Stroke
by Nándor Prontvai, Szilvia Kóra, Blanka Törő, Barbara Kopácsi, Petra Kós, Tamás Haidegger, György Wersényi, Péter Prukner, István Drotár and József Tollár
Sensors 2025, 25(24), 7667; https://doi.org/10.3390/s25247667 - 18 Dec 2025
Viewed by 924
Abstract
Strokes are one of the leading causes of adult disability. There are a wide range of therapies available in stroke care for people with stroke, but there can be wide variations in the effectiveness of these therapies, so it is essential to review [...] Read more.
Strokes are one of the leading causes of adult disability. There are a wide range of therapies available in stroke care for people with stroke, but there can be wide variations in the effectiveness of these therapies, so it is essential to review and compare them from time to time. In our study, we measured and compared the effectiveness of three high-intensity therapies: an agility training program without technological tools, a virtual reality exergaming training program with a low-cost device, and a high-cost robotic training program using augmented and virtual reality. All three therapies helped to improve the patients’ functional abilities, balance, and gait. On average, endurance increased by 104–177%, balance scores by 36–53%, and gait speed by 5–10% depending on the intervention. Robotic therapy and exergaming facilitate greater improvements in walking speed, step length, and balance-related gait metrics. These findings have profound implications for stroke rehabilitation, advocating for the prioritization of robotic and exergaming interventions over conventional functional therapies, like agility training. Given the limited sample size, the results should be interpreted as preliminary, highlighting the need for further studies with larger cohorts. Full article
(This article belongs to the Section Physical Sensors)
Show Figures

Figure 1

29 pages, 1670 KB  
Review
Advances in Crosstalk Reduction Techniques for Ultrasonic Transducer Arrays
by Anouar Boujenoui, Nadia El Atlas, Abdelmajid Bybi, Hayat Reskal and Lahoucine Elmaimouni
Sensors 2025, 25(24), 7666; https://doi.org/10.3390/s25247666 - 18 Dec 2025
Cited by 2 | Viewed by 1984
Abstract
Crosstalk between elements in ultrasonic transducer arrays significantly degrades image quality in medical ultrasound systems by introducing noise and reducing spatial resolution. This review provides a comprehensive overview of the origins of crosstalk—acoustic, mechanical, and electrical—and the main characterization methods used to analyze [...] Read more.
Crosstalk between elements in ultrasonic transducer arrays significantly degrades image quality in medical ultrasound systems by introducing noise and reducing spatial resolution. This review provides a comprehensive overview of the origins of crosstalk—acoustic, mechanical, and electrical—and the main characterization methods used to analyze it, including direct measurements, impedance analysis, finite element modeling, and equivalent circuit approaches. Emphasis is placed on recent advances in passive and active mitigation strategies, such as material coatings, structural decoupling, phononic crystals, adaptive filtering, and impedance matching. A key finding is that the optimal crosstalk reduction method depends strongly on the transducer technology employed—whether CMUT, PMUT, or bulk PZT. The review highlights the importance of tailoring mitigation techniques to the physical properties and operating conditions of each technology. By synthesizing current knowledge and identifying remaining challenges—particularly the role of filler material losses—this work offers a solid foundation for the development of next-generation ultrasound arrays with enhanced imaging performance. Full article
(This article belongs to the Section Intelligent Sensors)
Show Figures

Figure 1

11 pages, 951 KB  
Article
Sensor-Based Assessment of Post-Stroke Shoulder Pain and Balance
by Eda Salgut, Gökhan Özkoçak and Arzu Dinç Yavaş
Sensors 2025, 25(24), 7665; https://doi.org/10.3390/s25247665 - 18 Dec 2025
Viewed by 640
Abstract
Background/Objectives: Hemiplegic shoulder pain (HSP) is a frequent post-stroke complication affecting 30–65% of survivors, contributing to motor dysfunction and reduced quality of life. Balance impairment is another major concern that increases fall risk. This study aimed to examine the associations between HSP, [...] Read more.
Background/Objectives: Hemiplegic shoulder pain (HSP) is a frequent post-stroke complication affecting 30–65% of survivors, contributing to motor dysfunction and reduced quality of life. Balance impairment is another major concern that increases fall risk. This study aimed to examine the associations between HSP, shoulder range-of-motion (ROM) limitations and balance performance using both clinical and sensor-based evaluations. Methods: In this cross-sectional study, 108 stroke survivors (54 with HSP, 54 without) were assessed. Pain intensity was evaluated using the Visual Analog Scale (VAS), balance with the Berg Balance Scale (BBS), and shoulder mobility and postural sway with the validated Euleria Lab IMU-based system integrated with a force platform. Between-group differences were analyzed using the Mann–Whitney U test, and correlations between pain, ROM, balance, and fall-risk indices were determined via Spearman coefficients. Results: Participants with HSP had significantly lower BBS scores (20.96 ± 8.71) than those without HSP (34.58 ± 11.71; p < 0.001). VAS activity scores were negatively correlated with BBS (r = −0.196, p = 0.043) and positively correlated with postural sway and fall-risk parameters, particularly under eyes-closed conditions. Shoulder ROM limitations were linked to poorer balance, and both static and dynamic fall-risk indices were strongly correlated with pain severity (r = 0.676 and r = 0.657; p < 0.001). Conclusions: HSP was associated with impaired balance and elevated fall risk in stroke survivors. The combination of clinical scales and wearable sensor-based measurements provides a comprehensive understanding of postural control deficits. These findings emphasize the need for rehabilitation strategies targeting pain reduction, shoulder mobility, and balance to support functional recovery. Full article
Show Figures

Figure 1

17 pages, 3109 KB  
Article
Enhanced YOLOv8n-Based Three-Module Lightweight Helmet Detection System
by Xinyu Zuo, Yiqing Dai, Chao Yu and Wang Gang
Sensors 2025, 25(24), 7664; https://doi.org/10.3390/s25247664 - 17 Dec 2025
Viewed by 552
Abstract
Maintaining a safe working environment for construction workers is critical to the improvement of urban areas. Several issues plague the present safety helmet detection technologies utilized on construction sites. Some of these issues include low accuracy, expensive deployment of edge devices, and complex [...] Read more.
Maintaining a safe working environment for construction workers is critical to the improvement of urban areas. Several issues plague the present safety helmet detection technologies utilized on construction sites. Some of these issues include low accuracy, expensive deployment of edge devices, and complex backgrounds. To overcome these obstacles, this paper introduces a detection method that is both efficient and based on an improved version of YOLOv8n. Three components make up the superior algorithm: the C2f-SCConv architecture, the Partial Convolutional Detector (PCD), and Coordinate Attention (CA). Detection, redundancy reduction, and feature localization accuracy are all improved with coordinate attention. To further enhance feature quality, decrease computing cost, and make corrections more effective, a Partial Convolution detector is subsequently constructed. Feature refinement and feature representation are made more effective by using C2f-SCConv instead of the bottleneck C2f module. In comparison to its predecessor, the upgraded YOLOv8n is superior in every respect. It reduced model size by 2.21 MB, increased frame rate by 12.6 percent, decreased FLOPs by 49.9 percent, and had an average accuracy of 94.4 percent. This method is more efficient, quicker, and cheaper to set up on-site than conventional helmet-detection algorithms. Full article
(This article belongs to the Special Issue Intelligent Sensors and Artificial Intelligence in Building)
Show Figures

Figure 1

33 pages, 1798 KB  
Article
Analyzing Parameter-Efficient Convolutional Neural Network Architectures for Visual Classification
by Nazmul Shahadat and Anthony S. Maida
Sensors 2025, 25(24), 7663; https://doi.org/10.3390/s25247663 - 17 Dec 2025
Viewed by 684
Abstract
Advances in visual recognition have relied on increasingly deep and wide convolutional neural networks (CNNs), which often introduce substantial computational and memory costs. This review summarizes recent progress in parameter-efficient CNN design across three directions: hypercomplex representations with cross-channel weight sharing, axial attention [...] Read more.
Advances in visual recognition have relied on increasingly deep and wide convolutional neural networks (CNNs), which often introduce substantial computational and memory costs. This review summarizes recent progress in parameter-efficient CNN design across three directions: hypercomplex representations with cross-channel weight sharing, axial attention mechanisms, and real-valued architectures using separable convolutions. We highlight how these approaches reduce parameter counts while maintaining or improving accuracy. We further analyze our contributions within this landscape. Full hypercomplex neural networks (FHNNs) employ hypercomplex layers throughout the architecture to reduce latency and parameters, while representational axial attention models (RepAA) extend this efficiency by generating additional feature representations. To mitigate the remaining overhead of spatial hypercomplex operations, we introduce separable hypercomplex networks (SHNNs), which factorize quaternion convolutions into sequential vectormap operations, lowering parameters by approximately 50%. Finally, we compare these models with popular efficient architectures, such as MobileNets and SqueezeNets, and demonstrate that our residual one-dimensional convolutional networks (RCNs) achieve competitive performance in image classification and super-resolution with significantly fewer parameters. This review highlights emerging strategies for reducing computational overhead in CNNs and outlines directions for future research. Full article
Show Figures

Figure 1

25 pages, 3090 KB  
Article
Matrix-R Theory: A Simple Generic Method to Improve RGB-Guided Spectral Recovery Algorithms
by Graham D. Finlayson, Yi-Tun Lin and Abdullah Kucuk
Sensors 2025, 25(24), 7662; https://doi.org/10.3390/s25247662 - 17 Dec 2025
Viewed by 668
Abstract
RGB-guided spectral recovery algorithms include both spectral reconstruction (SR) methods that map image RGBs to spectra and pan-sharpening (PS) methods, where an RGB image is used to guide the upsampling of a low-resolution spectral image. In this paper, we exploit Matrix-R theory in [...] Read more.
RGB-guided spectral recovery algorithms include both spectral reconstruction (SR) methods that map image RGBs to spectra and pan-sharpening (PS) methods, where an RGB image is used to guide the upsampling of a low-resolution spectral image. In this paper, we exploit Matrix-R theory in developing a post-processing algorithm that, when applied to the outputs of any and all spectral recovery algorithms, almost always improves their spectral recovery accuracy (and never makes it worse). In Matrix-R theory, any spectrum can be decomposed into a component—called the fundamental metamer—in the space spanned by the spectral sensitivities and a second component—the metameric black—that is orthogonal to this subspace. In our post-processing algorithm, we substitute the correct fundamental metamer, which we calculate directly from the RGB image, for the estimated (and generally incorrect) fundamental metamer that is returned by a spectral recovery algorithm. Significantly, we prove that substituting the correct fundamental metamer always reduces the recovery error. Further, if the spectra in a target application are known to be well described by a linear model of low dimension, then our Matrix-R post-processing algorithm can also exploit this additional physical constraint. In experiments, we demonstrate that our Matrix-R post-processing improves the performance of a variety of spectral reconstruction and pan-sharpening algorithms. Full article
(This article belongs to the Section Sensing and Imaging)
Show Figures

Figure 1

Previous Issue
Back to TopTop