Interesting Images
A topical collection in Diagnostics (ISSN 2075-4418). This collection belongs to the section "Medical Imaging and Theranostics".
Viewed by 322766Editor
Interests: molecular imaging; medical imaging; theranostics; targeted radionuclide therapy; cancer; cardiovascular disease; PET; SPECT; PET/MR
Special Issues, Collections and Topics in MDPI journals
Topical Collection Information
Dear Colleagues,
It is with great pleasure that I invite you to submit articles for the “Interesting images” Special Collection. Since we introduced Interesting Images as an article type in Diagnostics, it has served as a valuable resource for the imaging community. Many have relayed that they use these image-based case reports when encountering challenging cases or images of diseases rarely seen. Further, pitfalls are covered by this type of article and may be helpful both for experienced and less experienced image readers in making a correct evaluation.
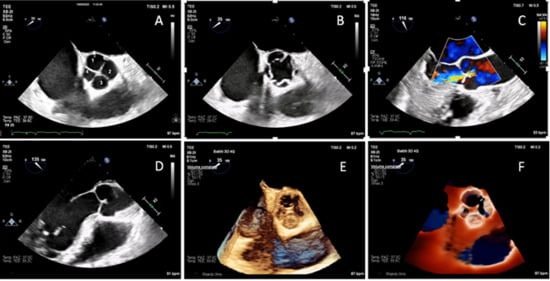
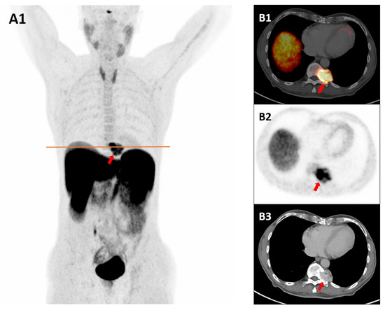
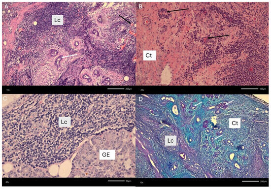
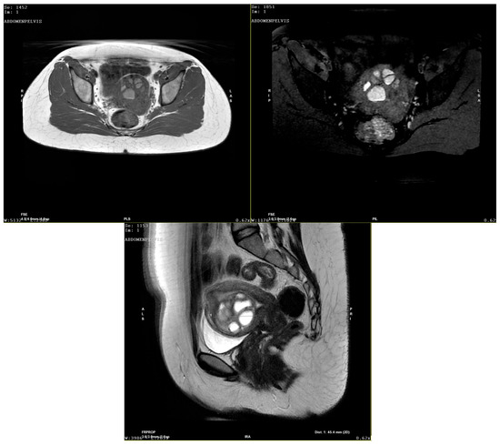
The interesting Images together serve as a live imaging atlas covering PET, CT, MRI, and other imaging modalities. Therefore, the more cases we publish, the more likely it is that image interpreters with a difficult case can be supported by previously published cases. Although focus until now has largely been on clinical cases, it should be noted that nonclinical cases are also welcome, e.g., from preclinical in vivo imaging, including optical imaging as well as histology images from pathology.
To further promote submissions of Interesting Images, we are now launching this Special Collection. We hope you will submit your next interesting case.
Prof. Dr. Andreas Kjaer
Collection Editor
Manuscript Submission Information
Manuscripts should be submitted online at www.mdpi.com by registering and logging in to this website. Once you are registered, click here to go to the submission form. All submissions that pass pre-check are peer-reviewed. Accepted papers will be published continuously in the journal (as soon as accepted) and will be listed together on the collection website. Research articles, review articles as well as short communications are invited. For planned papers, a title and short abstract (about 250 words) can be sent to the Editorial Office for assessment.
Submitted manuscripts should not have been published previously, nor be under consideration for publication elsewhere (except conference proceedings papers). All manuscripts are thoroughly refereed through a single-blind peer-review process. A guide for authors and other relevant information for submission of manuscripts is available on the Instructions for Authors page. Diagnostics is an international peer-reviewed open access semimonthly journal published by MDPI.
Please visit the Instructions for Authors page before submitting a manuscript. The Article Processing Charge (APC) for publication in this open access journal is 2600 CHF (Swiss Francs). Submitted papers should be well formatted and use good English. Authors may use MDPI's English editing service prior to publication or during author revisions.









































































































