- Article
Mucoepidermoid Carcinoma of the Minor Salivary Glands Diagnosed by High-Definition Ultrasound and Fine-Needle Aspiration: A Milan System-Based Retrospective Study
- Luisa Limongelli,
- Marta Forte,
- Gianfranco Favia,
- Fabio Dell’Olio,
- Giuseppe Ingravallo,
- Eliano Cascardi,
- Eugenio Maiorano,
- Alfonso Manfuso,
- Chiara Copelli and
- Antonio d’Amati
- + 1 author
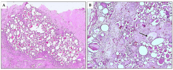
Background/Objectives: Mucoepidermoid carcinoma (MEC) is the most common malignant tumor of the minor salivary glands, often affecting the hard palate. Preoperative diagnosis and surgical planning are challenging due to anatomical complexity and limi...

