Ultrasonographic and Radiographic Evaluation of Osteoarthritic Changes in the Temporomandibular Joint
Abstract
1. Introduction
2. Materials and Methods
2.1. Sample Size
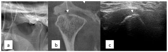
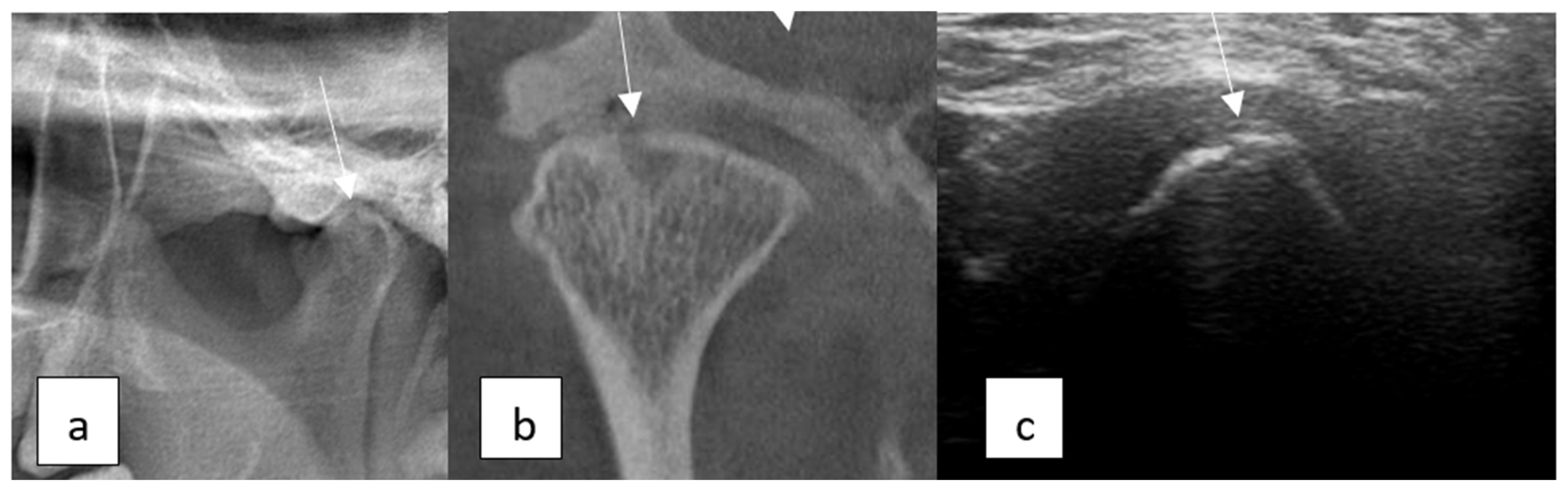
2.2. Radiographic Examinations
2.3. Ultrasonographic Examinations
2.4. Assessment of Radiographic Images
2.5. Statistical Analysis
Power Analysis
3. Results
4. Discussion
5. Conclusions
Author Contributions
Funding
Institutional Review Board Statement
Informed Consent Statement
Data Availability Statement
Conflicts of Interest
Abbreviations
| TMJ | Temporomandibular Joint |
| TMDs | Temporomandibular Joint Disorders |
| CBCT | Cone Beam Computed Tomography |
| USG | Ultrasonography |
| CT | Computed Tomography |
| MRI | Magnetic Resonance Imaging |
References
- Maranini, B.; Ciancio, G.; Mandrioli, S.; Galiè, M.; Govoni, M. The role of ultrasound in temporomandibular joint disorders: An update and future perspectives. Front. Med. 2022, 9, 926573. [Google Scholar] [CrossRef] [PubMed]
- Okeson, J.P. Management of Temporomandibular Disorders and Occlusion, 8th ed.; Elseiver Mosby: St. Louis, MO, USA, 2019; pp. 200–255. [Google Scholar]
- Zieliński, G.; Pająk-Zielińska, B.; Ginszt, M. A Meta-Analysis of the Global Prevalence of Temporomandibular Disorders. J. Clin. Med. 2024, 13, 1365. [Google Scholar] [CrossRef] [PubMed]
- Pamukcu, U.; Altunkaynak, B.; Peker, I. In terms of temporomandibular joint dysfunction, according to Helkimo dysfunction index, comparison of bone changes determined in cone-beam computed tomography in symptomatic and asymptomatic patients and the relationship of this clinical index with bone changes on radiography. Pamukkale Tıp Dergisi. 2021, 14, 155–165. [Google Scholar] [CrossRef]
- White, S.; Pharoah’s, M. White and Pharoah’s Oral Radiology: Principles and Interpretation, 7th ed.; Elseiver Mosby: St. Louis, MO, USA, 2014. [Google Scholar]
- Nainoor, N.; Pani, G. Imaging of temporomandibular joint. In Diagnosing and Managing Temporomandibular Joint Conditions; IntechOpen: London, UK, 2024. [Google Scholar] [CrossRef]
- Nikam, S. The new emerging imaging modalities for diagnosis of temporomandibular joint osteoarthritis (TMJ-OA). EC Dent. Sci. 2024, 23, 1–15. [Google Scholar]
- Derwich, M.; Mitus-Kenig, M.; Pawlowska, E. Interdisciplinary approach to the temporomandibular joint osteoarthritis—Review of the literature. Medicina. 2020, 56, 225. [Google Scholar] [CrossRef]
- Kheirandish, Y.; Panjnoush, M.; Charlie, S.M.; Romoozi, E. Comparison of the diagnostic accuracy of ultrasonography and CBCT for detection of mandibular condyle erosion (an in-vitro study). Pak. J. Med. Sci. 2021, 15, 1661–1665. [Google Scholar] [CrossRef]
- Pihut, M.; Gala, A.; Obuchowicz, R.; Chmura, K. Influence of ultrasound examination on diagnosis and treatment of temporomandibular disorders. J. Clin. Med. 2022, 11, 1202. [Google Scholar] [CrossRef]
- Kundu, H.; Basavaraj, P.; Kote, S.; Singla, A.; Singh, S. Assessment of TMJ disorders using ultrasonography as a diagnostic tool: A review. J. Clin. Diagn. Res. 2013, 7, 3116–3120. [Google Scholar] [CrossRef]
- Hayashi, T. Application of ultrasonography in dentistry. Jpn. Dent. Sci. Rev. 2012, 48, 5–13. [Google Scholar] [CrossRef]
- Emshoff, R.; Brandlmaier, I.; Bodner, G.; Rudisch, A. Condylar erosion and disc displacement: Detection with high-resolution ultrasonography. J. Oral Maxillofac. Surg. 2003, 61, 877–881. [Google Scholar] [CrossRef]
- Zieliński, G.; Gawda, P. Defining effect size standards in temporomandibular joint and masticatory muscle research. Med. Sci. Monit. 2025, 31, e948365. [Google Scholar] [CrossRef] [PubMed]
- Sullivan, G.M.; Feinn, R. Using effect size—Or why the p value is not enough. Diagnostics. 2012, 18, 529–537. [Google Scholar] [CrossRef] [PubMed]
- Paknahad, M.; Mazarei, F.; Mohaghegh, M. Evaluation of the relationship between osteoarthritis and morphological changes in the joint structures in temporomandibular disorders by cone beam computed tomography. J. Maxillofac. Oral Surg. 2024. [Google Scholar] [CrossRef]
- Kılıç, S.C.; Kılıç, N.; Güven, F.; Sümbüllü, M.A. Is magnetic resonance imaging or cone beam computed tomography alone adequate for the radiological diagnosis of symptomatic temporomandibular joint osteoarthritis? A retrospective study. Int. J. Oral Maxillofac. Surg. 2023, 52, 1197–1204. [Google Scholar] [CrossRef]
- Vorrasi, J.; Mvomo, L.M. What is the prevalence of temporomandibular joint (TMJ) condylar osteoarthrosis in an asymptomatic oral and maxillofacial surgery department population? N. Y. State Dent. J. 2023, 89, 26–29. [Google Scholar]
- Koyama, J.; Nishiyama, H.; Hayashi, T. Follow-up study of condylar bony changes using helical computed tomography in patients with temporomandibular disorder. Dentomaxillofac. Radiol. 2007, 36, 472–477. [Google Scholar] [CrossRef]
- dos Anjos Pontual, M.L.; Freire, J.S.L.; Barbosa, J.M.N.; Frazão, M.A.G.; dos Anjos Pontual, A.; Fonseca da Silveira, M.M. Evaluation of bone changes in the temporomandibular joint using cone beam CT. Dentomaxillofac. Radiol. 2012, 41, 24–29. [Google Scholar] [CrossRef]
- Shukur, F.; Radhi, S.; Alsarav, R. Accuracy of CBCT in mandibular condyle volumetric and surface measurement: Literature review. Eur. J. Med. Genet. Clin. Biol. 2024, 1, 30–36. [Google Scholar] [CrossRef]
- Zaman, M.U.; Alam, M.K.; Alqhtani, N.R.; Alqahtani, M.; Alsaadi, M.J.; Ronsivalle, V.; Minervini, G. Effectiveness of ultrasonography in the diagnosis of temporomandibular joint disorders: A systematic review and meta-analysis. J. Oral Rehabil. 2024, 52, 243–253. [Google Scholar] [CrossRef]
- Hussain, A.M.; Packota, G.; Major, P.W.; Flores-Mir, C. Role of different imaging modalities in assessment of temporomandibular joint erosions and osteophytes: A systematic review. Dentomaxillofac. Radiol. 2008, 37, 63–71. [Google Scholar] [CrossRef]
- Fallon, S.D.; Fritz, G.W.; Laskin, D.M. Panoramic imaging of the temporomandibular joint: An experimental study using cadaveric skulls. J. Oral Maxillofac. Surg. 2006, 64, 223–229. [Google Scholar] [CrossRef] [PubMed]
- Kaimal, S.; Ahmad, M.; Kang, W.; Nixdorf, D.; Schiffman, E.L. Diagnostic accuracy of panoramic radiography and MRI for detecting signs of TMJ degenerative joint disease. Gen. Dent. 2018, 66, 34–36. [Google Scholar] [PubMed]
- Hechler, B.L.; Phero, J.A.; Van Mater, H.; Matthews, N.S. Ultrasound versus magnetic resonance imaging of the temporomandibular joint in juvenile idiopathic arthritis: A systematic review. Int. J. Oral Maxillofac. Surg. 2018, 47, 83–89. [Google Scholar] [CrossRef] [PubMed]
- Wojciechowska, B.; Szarmach, A.; Michcik, A.; Sikora, M.; Drogoszewska, B. Is ultrasonography an effective method for diagnosing degenerative changes in the temporomandibular joint? Biomedicines. 2024, 12, 2915. [Google Scholar] [CrossRef]
- Landes, C.A.; Goral, W.; Mack, M.G.; Sader, R. 3-D sonography for diagnosis of osteoarthrosis and disc degeneration of the temporomandibular joint, compared with MRI. Ultrasound Med. Biol. 2006, 32, 627–632. [Google Scholar] [CrossRef]
- Severino, M.; Caruso, S.; Rastelli, S.; Gatto, R.; Cutilli, T.; Pittari, L.; Nota, A.; Tecco, S. Hand-carried ultrasonography instrumentation in the diagnosis of temporomandibular joint dysfunction. Methods Protoc. 2021, 4, 81. [Google Scholar] [CrossRef]
- Almeida, F.T.; Pacheco-Pereira, C.; Flores-Mir, C.; Le, L.H.; Jaremko, J.L.; Major, P.W. Diagnostic ultrasound assessment of temporomandibular joints: A systematic review and meta-analysis. Dentomaxillofac. Radiol. 2019, 48, 20180144. [Google Scholar] [CrossRef]
- Habashi, H.; Eran, A.; Blumenfeld, I.; Gaitini, D. Dynamic high-resolution sonography compared to magnetic resonance imaging for diagnosis of temporomandibular joint disc displacement. J. Ultrasound Med. 2015, 34, 79–82. [Google Scholar] [CrossRef]
- Dupuy-Bonafé, I.; Picot, M.-C.; Maldonado, I.L.; Lachiche, V.; Granier, I.; Bonafé, A. Internal derangement of the temporomandibular joint: Is there still a place for ultrasound? Oral Surg. Oral Med. Oral Pathol. Oral Radiol. 2012, 113, 832–840. [Google Scholar] [CrossRef]





| Degenerative Change | Present (+)/Absent (−) | Age ≤50 | Age >50 | p | Effect Size | ||
|---|---|---|---|---|---|---|---|
| n | % | n | % | ||||
| Erosion | |||||||
| CBCT | − | 103 | 70.5 | 76 | 52.1 | 0.003 | 0.30 |
| + | 43 | 29.5 | 64 | 43.8 | |||
| USG | − | 127 | 87 | 106 | 72.6 | 0.014 | 0.27 |
| + | 19 | 13 | 34 | 23.3 | |||
| Panoramic radiography | − | 121 | 82.9 | 109 | 74.7 | 0.285 | 0.10 |
| + | 25 | 17.1 | 31 | 21.2 | |||
| Osteophytes | |||||||
| CBCT | − | 105 | 71.9 | 93 | 63.7 | 0.315 | 0.09 |
| + | 41 | 28.1 | 47 | 32.2 | |||
| USG | − | 133 | 91.1 | 117 | 80.1 | 0.055 | 0.21 |
| + | 13 | 8.9 | 23 | 15.8 | |||
| Panoramic radiography | − | 118 | 80.8 | 115 | 78.8 | 0.774 | 0.05 |
| + | 28 | 19.2 | 25 | 17.1 | |||
| Flattening | |||||||
| CBCT | − | 50 | 34.2 | 53 | 36.3 | 0.525 | 0.13 |
| + | 96 | 65.8 | 87 | 59.6 | |||
| USG | − | 69 | 47.3 | 81 | 55.5 | 0.073 | 0.25 |
| + | 77 | 52.7 | 59 | 40.4 | |||
| Panoramic radiography | − | 63 | 43.2 | 60 | 41.1 | 0.960 | 0.04 |
| + | 83 | 56.8 | 80 | 54.8 | |||
| Loose bodies | |||||||
| CBCT | − | 142 | 97.3 | 131 | 89.7 | 0.134 | 0.17 |
| + | 4 | 2.7 | 9 | 6.2 | |||
| USG | − | 145 | 99.3 | 138 | 94.5 | 0.616 | 0.07 |
| + | 1 | 0.7 | 2 | 1.4 | |||
| Panoramic radiography | − | 143 | 97.9 | 136 | 93.2 | 0.661 | 0.04 |
| + | 3 | 2.1 | 4 | 2.7 | |||
| Subcortical cysts | |||||||
| CBCT | − | 143 | 97.9 | 137 | 93.8 | 0.959 | 0.21 |
| + | 3 | 2.1 | 3 | 2.1 | |||
| USG | − | 146 | 100 | 139 | 95.2 | 0.490 | 0.12 |
| + | 0 | 0 | 1 | 0.7 | |||
| Panoramic radiography | − | 143 | 97.9 | 138 | 94.5 | 0.686 | 0.18 |
| + | 3 | 2.1 | 2 | 1.4 | |||
| Sclerosis | |||||||
| CBCT | − | 122 | 83.6 | 115 | 78.8 | 0.750 | 0.12 |
| + | 24 | 16.4 | 25 | 17.1 | |||
| USG | − | 136 | 93.2 | 125 | 85.6 | 0.247 | 0.13 |
| + | 10 | 6.8 | 15 | 10.3 | |||
| Panoramic radiography | − | 131 | 89.7 | 123 | 84.2 | 0.616 | 0.04 |
| + | 15 | 10.3 | 17 | 11.6 | |||
| Localization | Erosion | Osteophytes | Flattening | Sclerosis | Subcortical Cysts | Loose Bodies | Total | |||||||
|---|---|---|---|---|---|---|---|---|---|---|---|---|---|---|
| n | % | n | % | n | % | n | % | n | % | n | % | n | % | |
| Right | 28 | 28 | 27 | 27 | 22 | 22 | 17 | 17 | 3 | 3 | 3 | 3 | 100 | 100 |
| Left | 33 | 30.6 | 33 | 30.6 | 13 | 12 | 18 | 16.7 | 3 | 2.7 | 8 | 7.4 | 108 | 100 |
| Bilateral | 23 | 19.3 | 14 | 11.8 | 74 | 62.2 | 7 | 5.9 | 0 | 0 | 1 | 0.8 | 119 | 100 |
| Total | 84 | 25.7 | 74 | 22.7 | 109 | 33.4 | 42 | 12.8 | 6 | 1.8 | 12 | 3.6 | 327 | 100 |
| Degenerative Change | Present (+)/ Absent (−) | Female | Male | p | Effect Size | ||
|---|---|---|---|---|---|---|---|
| n | % | n | % | ||||
| Erosion | |||||||
| CBCT | − | 142 | 64.5 | 37 | 56.1 | 0.212 | 0.17 |
| + | 78 | 35.5 | 29 | 43.9 | |||
| USG | − | 180 | 81.8 | 53 | 80.3 | 0.781 | 0.04 |
| + | 40 | 18.2 | 13 | 19.7 | |||
| Panoramic radiography | − | 177 | 80.5 | 53 | 80.3 | 0.978 | 0.01 |
| + | 43 | 19.5 | 13 | 19.7 | |||
| Osteophytes | |||||||
| CBCT | − | 151 | 68.6 | 47 | 71.2 | 0.691 | 0.06 |
| + | 69 | 31.4 | 19 | 28.8 | |||
| USG | − | 190 | 86.4 | 60 | 90.9 | 0.329 | 0.14 |
| + | 30 | 13.6 | 6 | 9.1 | |||
| Panoramic radiography | − | 180 | 81.8 | 53 | 80.3 | 0.781 | 0.04 |
| + | 40 | 18.2 | 13 | 19.7 | |||
| Flattening | |||||||
| CBCT | − | 79 | 35.9 | 24 | 36.4 | 0.946 | 0.01 |
| + | 141 | 64.1 | 42 | 63.6 | |||
| USG | − | 116 | 52.7 | 34 | 51.5 | 0.863 | 0.02 |
| + | 104 | 47.3 | 32 | 48.5 | |||
| Panoramic radiography | − | 96 | 43.6 | 27 | 40.9 | 0.695 | 0.05 |
| + | 124 | 56.4 | 39 | 59.1 | |||
| Loose bodies | |||||||
| CBCT | − | 210 | 95.5 | 63 | 95.5 | 1 | - |
| + | 10 | 4.5 | 3 | 4.5 | |||
| USG | − | 218 | 99.1 | 65 | 98.5 | 0.546 | 0.06 |
| + | 2 | 0.9 | 1 | 1.5 | |||
| Panoramic radiography | − | 215 | 97.7 | 64 | 97 | 0.664 | 0.04 |
| + | 5 | 2.3 | 2 | 3 | |||
| Subcortical cysts | |||||||
| CBCT | − | 215 | 97.7 | 65 | 98.5 | 1 | 0.06 |
| + | 5 | 2.3 | 1 | 1.5 | |||
| USG | − | 219 | 99.5 | 66 | 100 | 1 | 0.10 |
| + | 1 | 0.5 | 0 | 0 | |||
| Panoramic radiography | − | 215 | 97.7 | 66 | 100 | 0.593 | 0.22 |
| + | 5 | 2.3 | 0 | 0 | |||
| Sclerosis | |||||||
| CBCT | − | 179 | 81.4 | 58 | 87.9 | 0.218 | 0.18 |
| + | 41 | 18.6 | 8 | 12.1 | |||
| USG | − | 199 | 90.5 | 62 | 93.9 | 0.379 | 0.13 |
| + | 21 | 9.5 | 4 | 6.1 | |||
| Panoramic radiography | − | 196 | 89.1 | 58 | 87.9 | 0.784 | 0.04 |
| + | 24 | 10.9 | 8 | 12.1 | |||
| Degenerative Change | Kappa | |
|---|---|---|
| USG | Panoramic Radiography | |
| Erosion | 0.940 | 0.989 |
| Osteophytes | 0.933 | 0.988 |
| Flattening | 0.979 | 0.979 |
| Loose bodies | 1 | 0.921 |
| Subcortical cysts | 1 | 1 |
| Sclerosis | 0.956 | 0.948 |
| Degenerative Change | Sensitivity (%) | PPV (%) | Specificity (%) | NPV (%) | Diagnostic Accuracy (%) |
|---|---|---|---|---|---|
| Erosion | |||||
| USG | 45 | 91 | 97 | 75 | 78 |
| Panoramic radiography | 52 | 100 | 100 | 78 | 82 |
| Osteophytes | |||||
| USG | 39 | 94 | 99 | 78 | 80 |
| Panoramic radiography | 60 | 100 | 100 | 85 | 88 |
| Flattening | |||||
| USG | 73 | 99 | 98 | 67 | 82 |
| Panoramic radiography | 89 | 100 | 100 | 84 | 93 |
| Loose bodies | |||||
| USG | 15 | 67 | 99 | 96 | 96 |
| Panoramic radiography | 46 | 86 | 99 | 98 | 97 |
| Subcortical cysts | |||||
| USG | 17 | 100 | 100 | 98 | 98 |
| Panoramic radiography | 61 | 60 | 99 | 99 | 98 |
| Sclerosis | |||||
| USG | 45 | 88 | 99 | 90 | 90 |
| Panoramic radiography | 63 | 97 | 100 | 93 | 93 |
| Degenerative Change | AUC (ROC) | p |
|---|---|---|
| Erosion | ||
| USG | 0.710 | 0.000 |
| Panoramic radiography | 0.762 | 0.000 |
| Osteophytes | ||
| USG | 0.688 | 0.000 |
| Panoramic radiography | 0.801 | 0.000 |
| Flattening | ||
| USG | 0.856 | 0.000 |
| Panoramic radiography | 0.945 | 0.000 |
| Loose bodies | ||
| USG | 0.575 | 0.360 |
| Panoramic radiography | 0.729 | 0.005 |
| Subcortical cysts | ||
| USG | 0.583 | 0.485 |
| Panoramic radiography | 0.746 | 0.039 |
| Sclerosis | ||
| USG | 0.718 | 0.000 |
| Panoramic radiography | 0.814 | 0.000 |
Disclaimer/Publisher’s Note: The statements, opinions and data contained in all publications are solely those of the individual author(s) and contributor(s) and not of MDPI and/or the editor(s). MDPI and/or the editor(s) disclaim responsibility for any injury to people or property resulting from any ideas, methods, instructions or products referred to in the content. |
© 2025 by the authors. Licensee MDPI, Basel, Switzerland. This article is an open access article distributed under the terms and conditions of the Creative Commons Attribution (CC BY) license (https://creativecommons.org/licenses/by/4.0/).
Share and Cite
Dumanlı, D.; Şeker, Ç. Ultrasonographic and Radiographic Evaluation of Osteoarthritic Changes in the Temporomandibular Joint. Diagnostics 2025, 15, 1160. https://doi.org/10.3390/diagnostics15091160
Dumanlı D, Şeker Ç. Ultrasonographic and Radiographic Evaluation of Osteoarthritic Changes in the Temporomandibular Joint. Diagnostics. 2025; 15(9):1160. https://doi.org/10.3390/diagnostics15091160
Chicago/Turabian StyleDumanlı, Didem, and Çiğdem Şeker. 2025. "Ultrasonographic and Radiographic Evaluation of Osteoarthritic Changes in the Temporomandibular Joint" Diagnostics 15, no. 9: 1160. https://doi.org/10.3390/diagnostics15091160
APA StyleDumanlı, D., & Şeker, Ç. (2025). Ultrasonographic and Radiographic Evaluation of Osteoarthritic Changes in the Temporomandibular Joint. Diagnostics, 15(9), 1160. https://doi.org/10.3390/diagnostics15091160

