The Many Faces of the Angry Peritoneum
Abstract
1. Introduction
1.1. The Peritoneum and the Peritoneal Spaces
1.2. Peritoneal Disease Extension Pathways
2. Method/Search Strategy
3. Peritoneal Diseases
3.1. Neoplastic Malignant
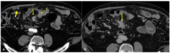
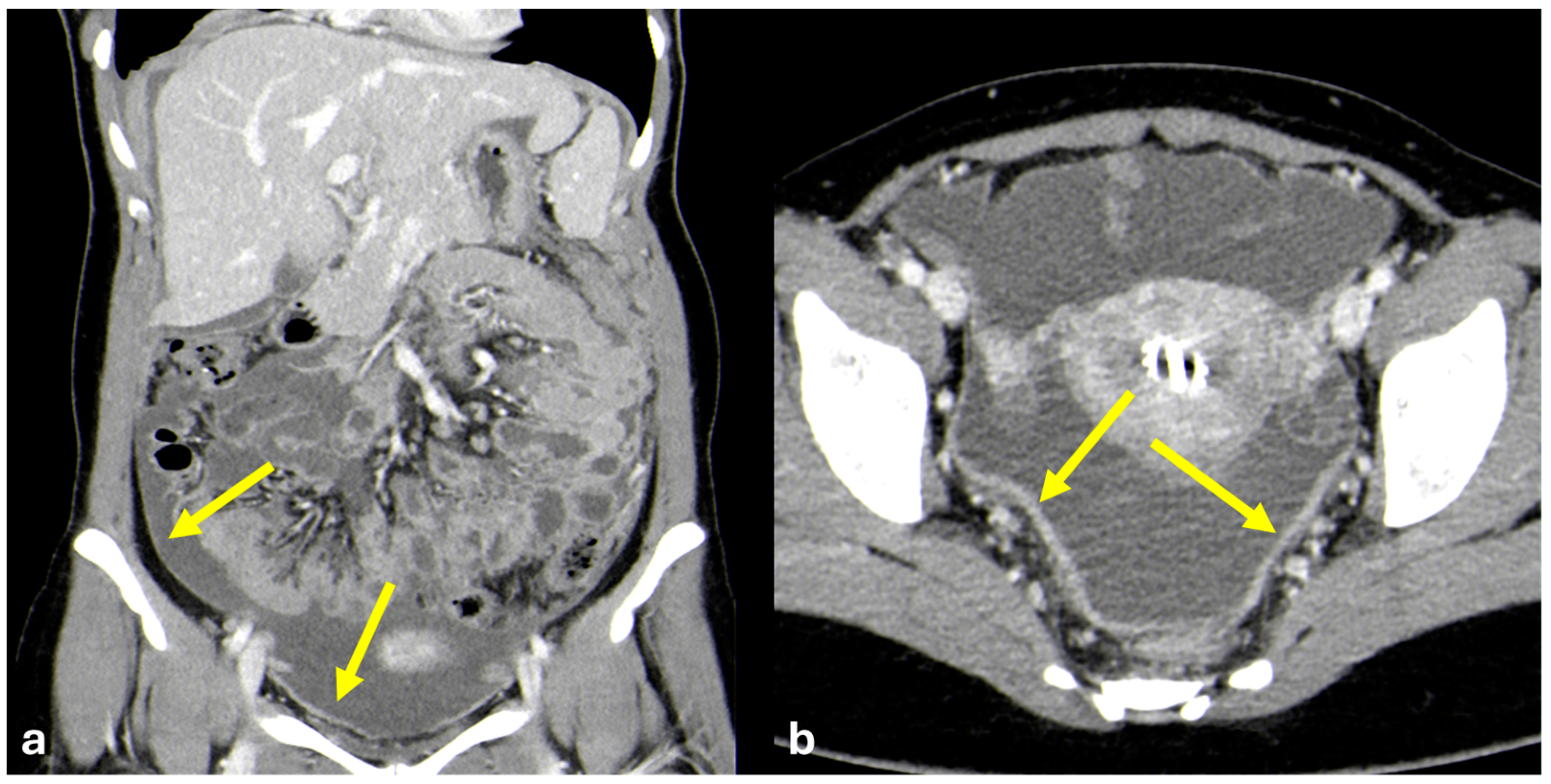
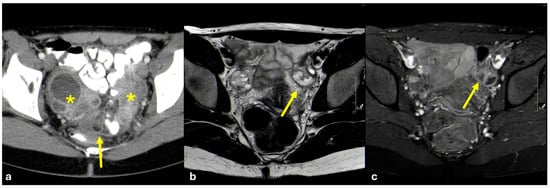
3.1.1. Peritoneal Metastatic Disease
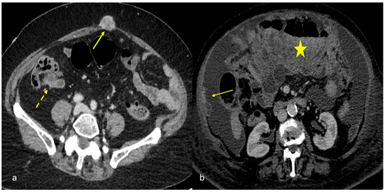
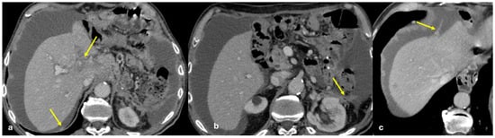
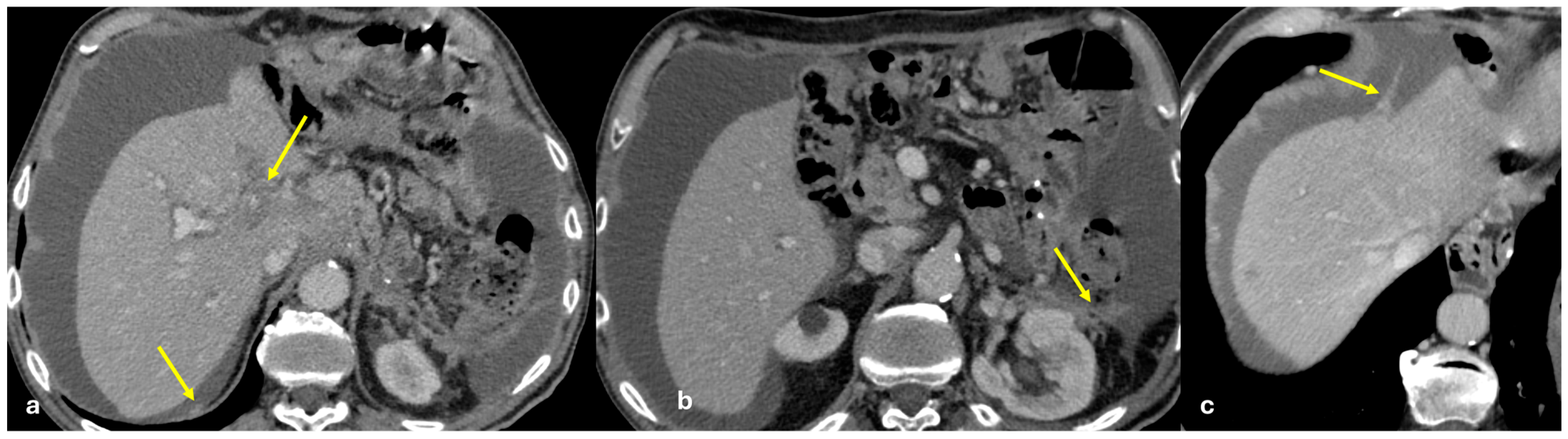
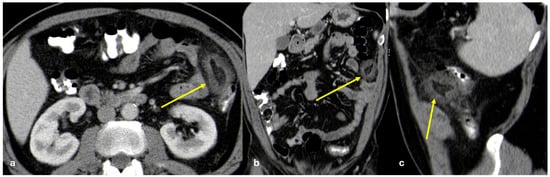
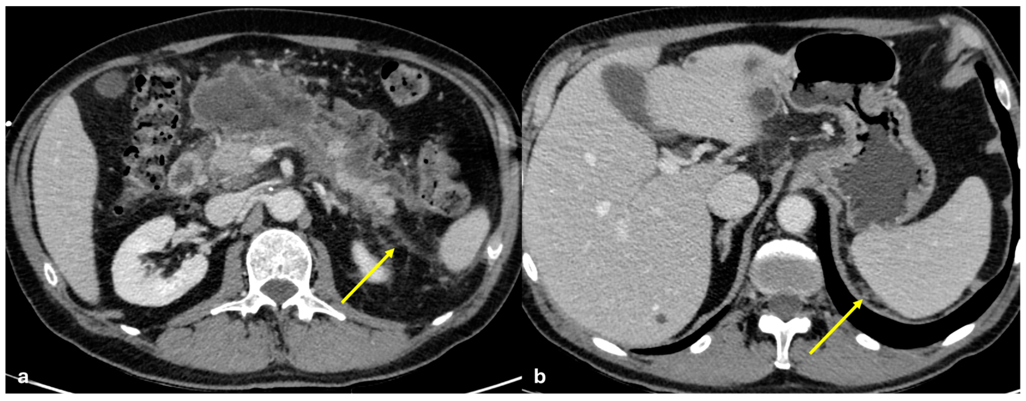
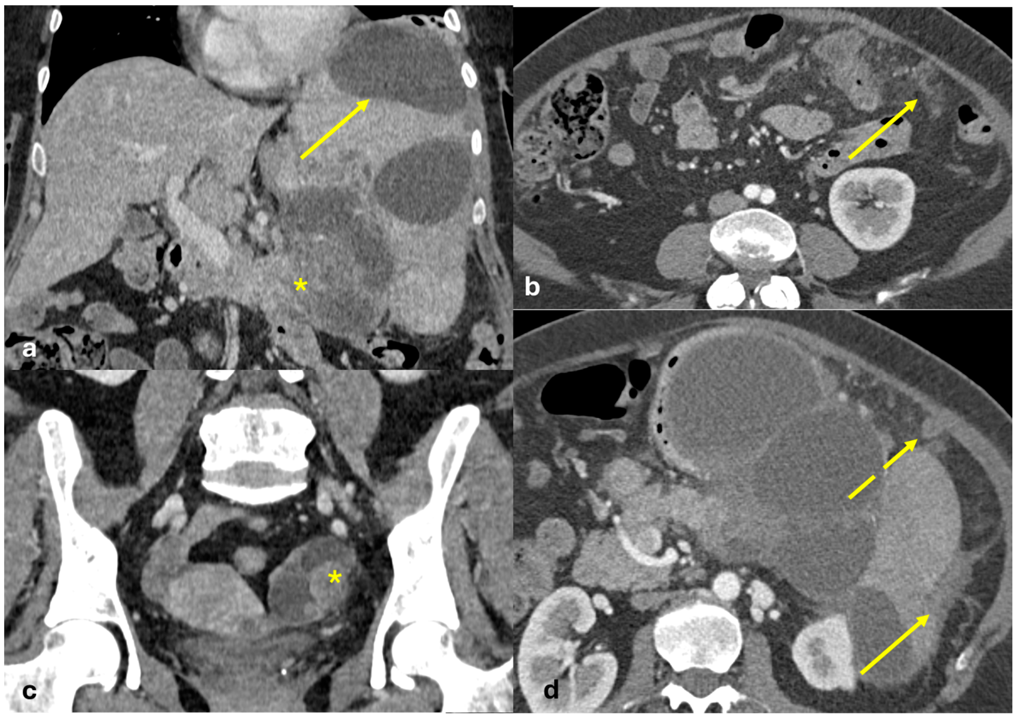
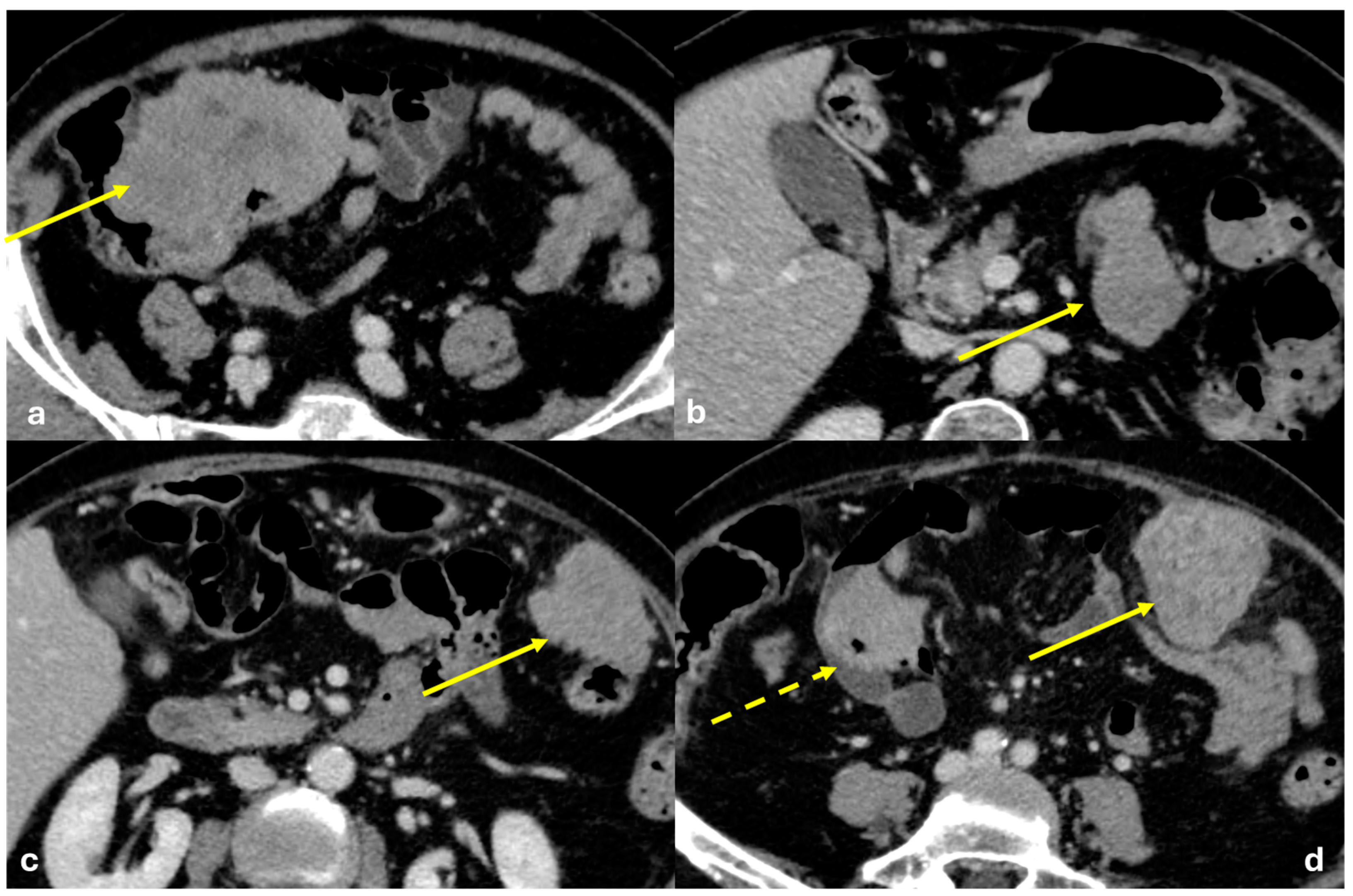
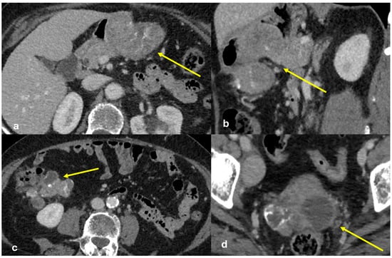
- Micro-nodular pattern: micro-nodules with a diameter ≤ 5 mm (Figure 1);
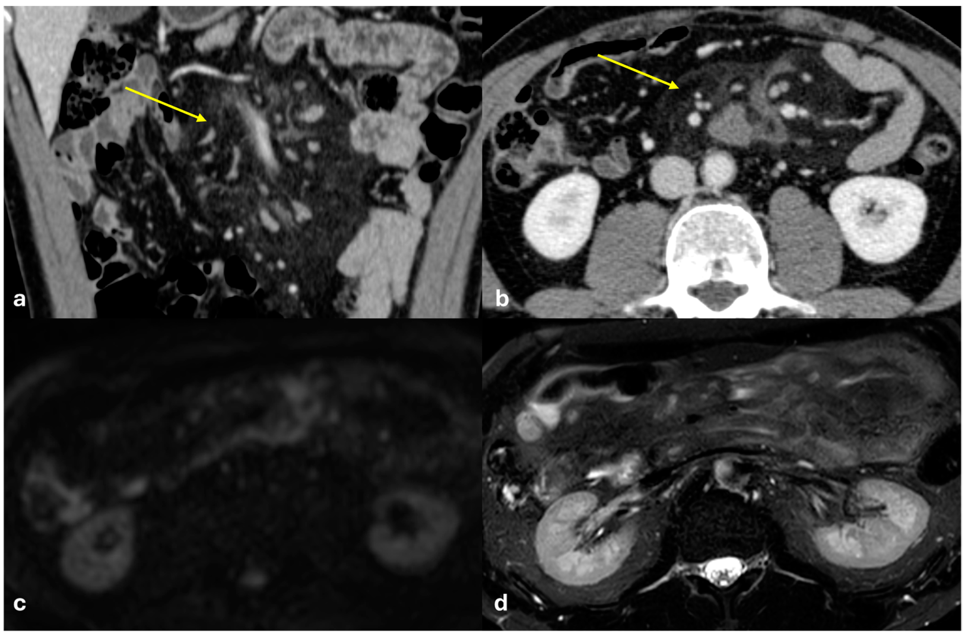
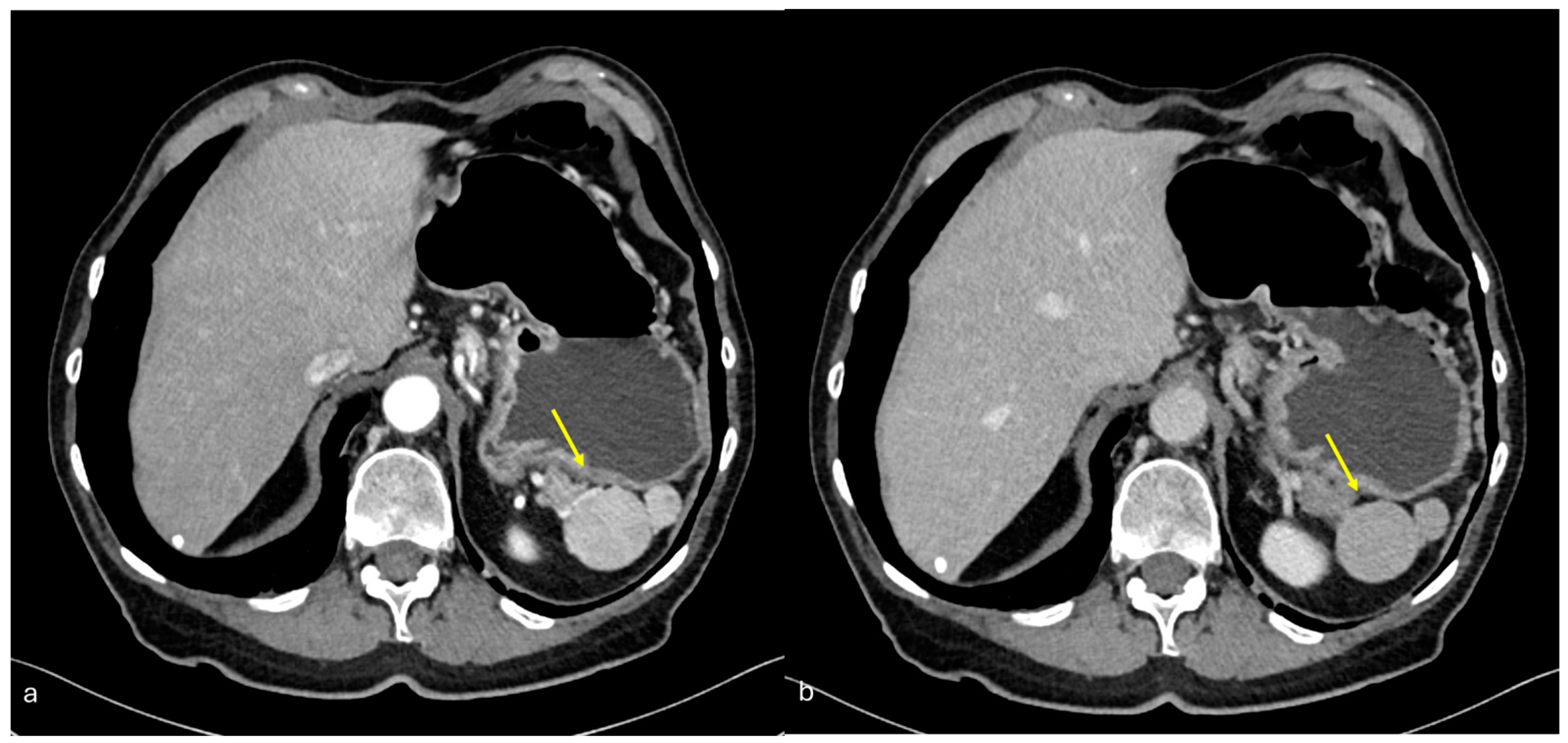
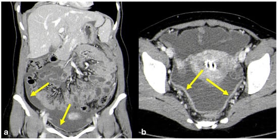
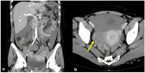
- Nodular pattern: nodules with a diameter > 5 mm (Figure 2a);
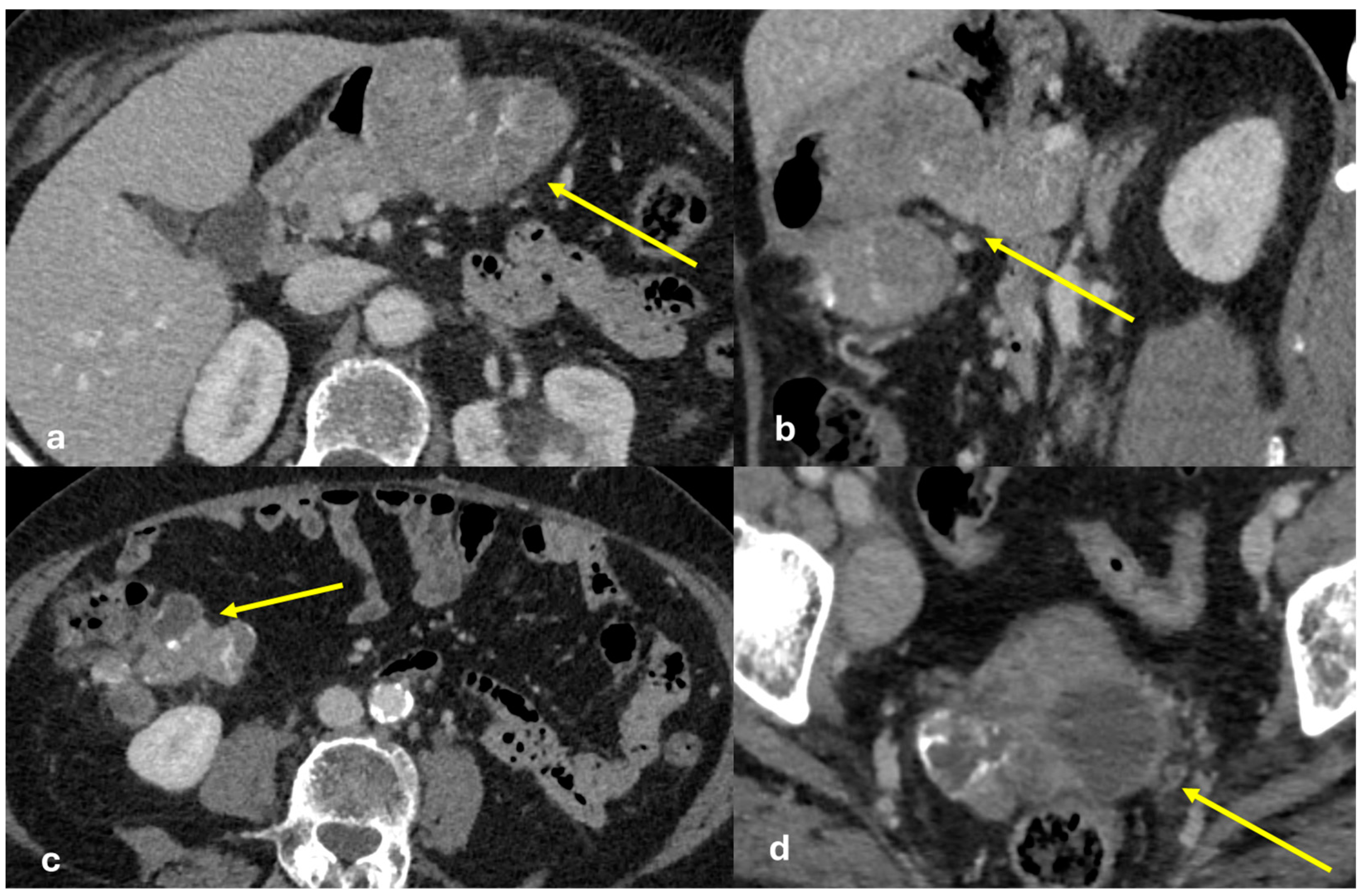
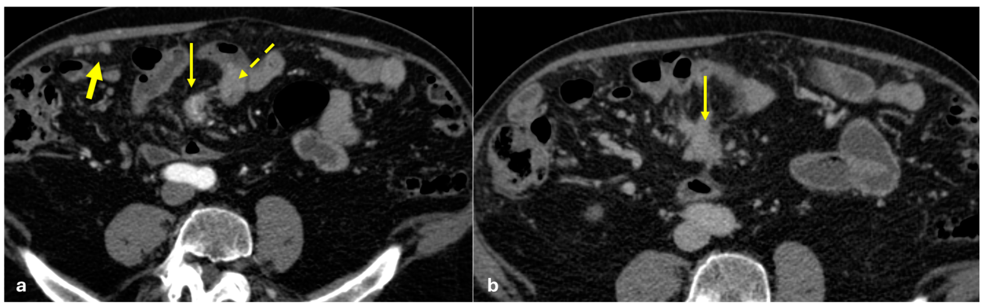
- “Omental cake”: nodular thickening of the omentum (Figure 2b);
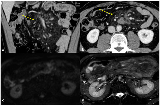
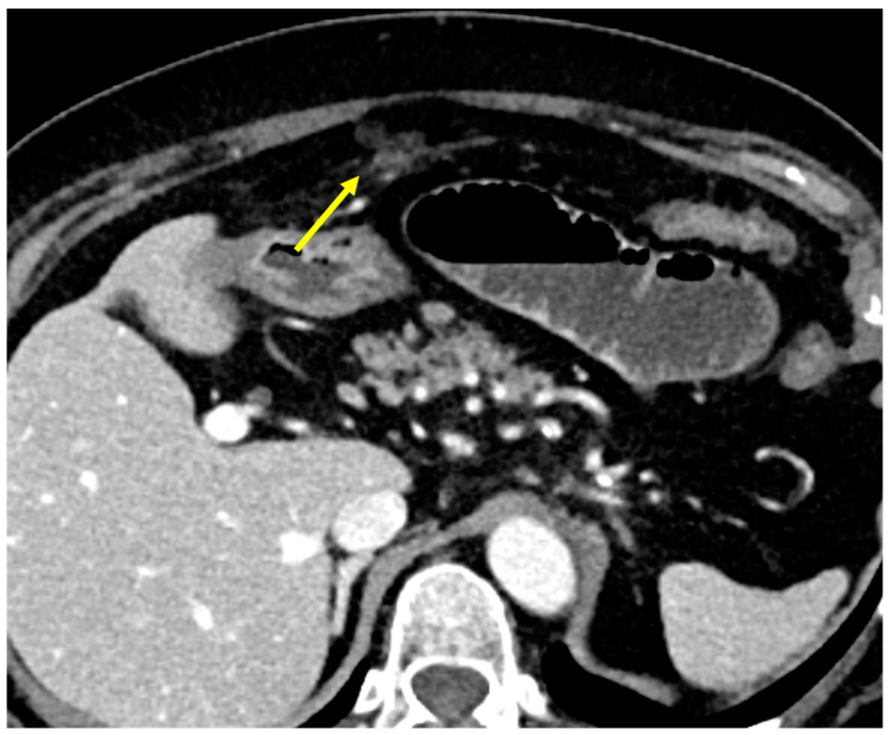
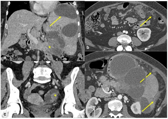
- Plaque pattern: confluent nodular plaques, typically involving the lower surface of the right diaphragm (Figure 3);
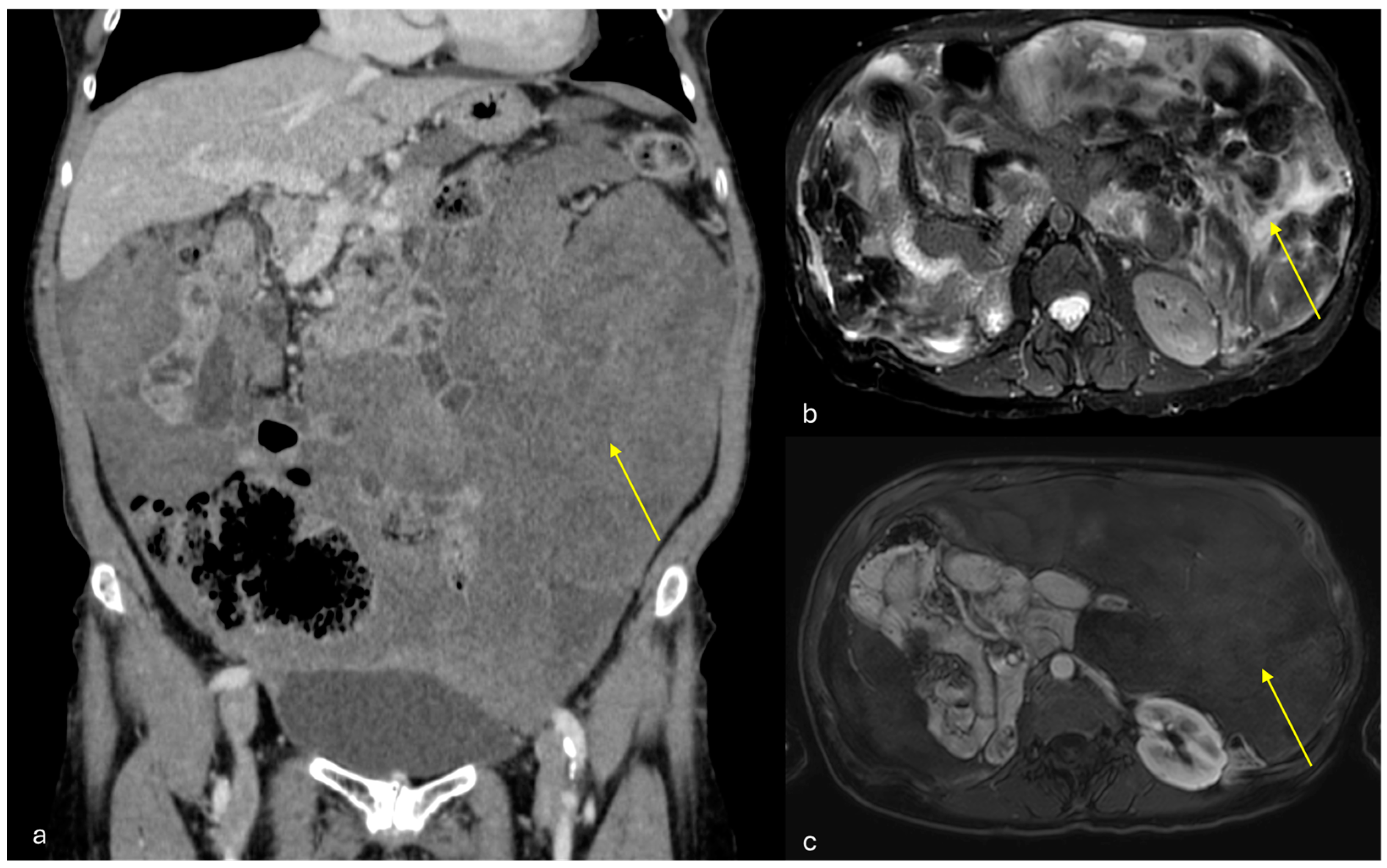
3.1.2. Peritoneal Mesothelioma
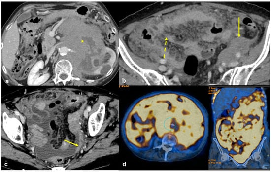
3.1.3. Peritoneal Localizations of GIST–Peritoneal Sarcomatosis
3.1.4. Angiomyofibroblastoma
3.1.5. Peritoneal Lymphomatosis
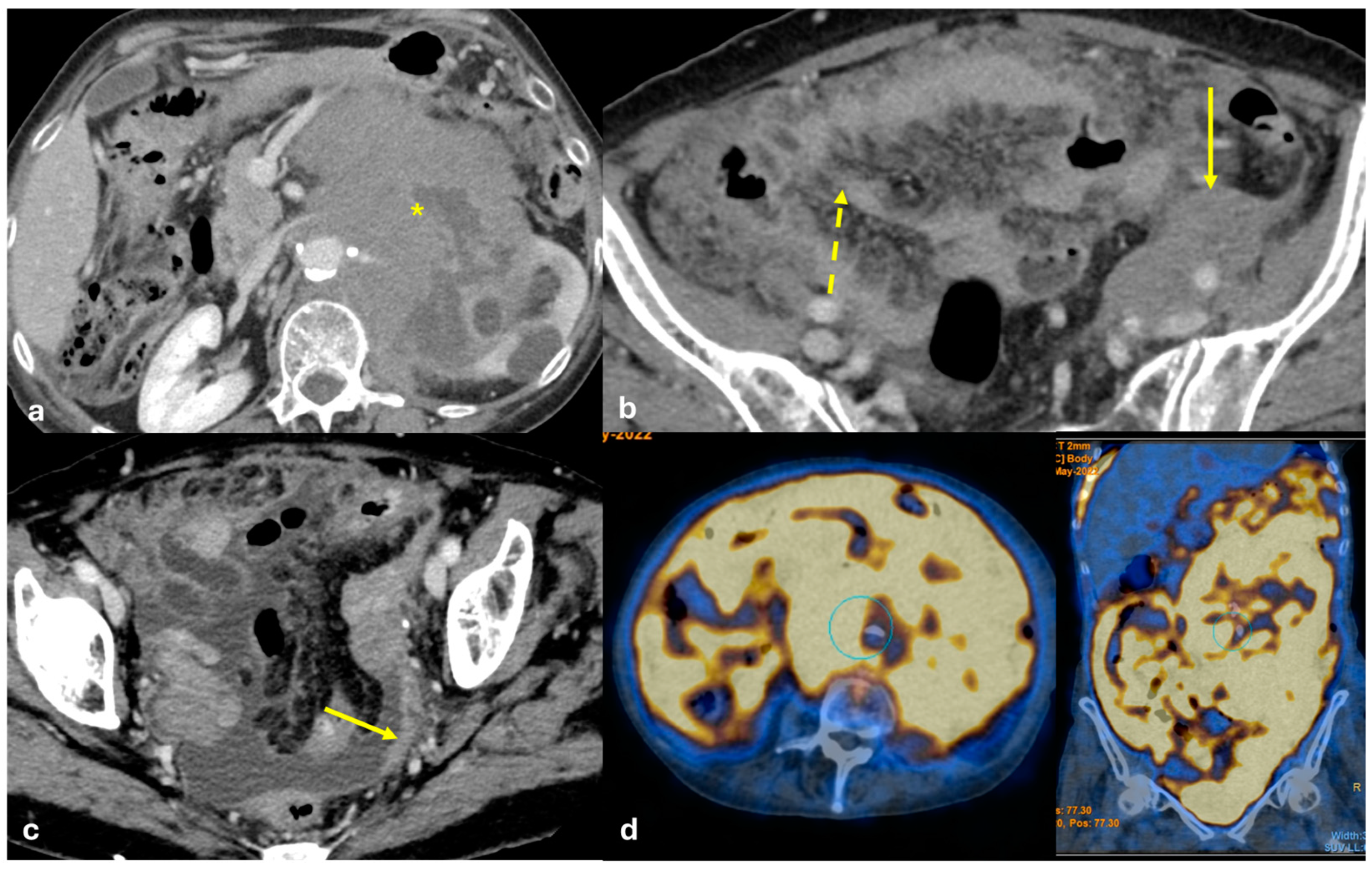
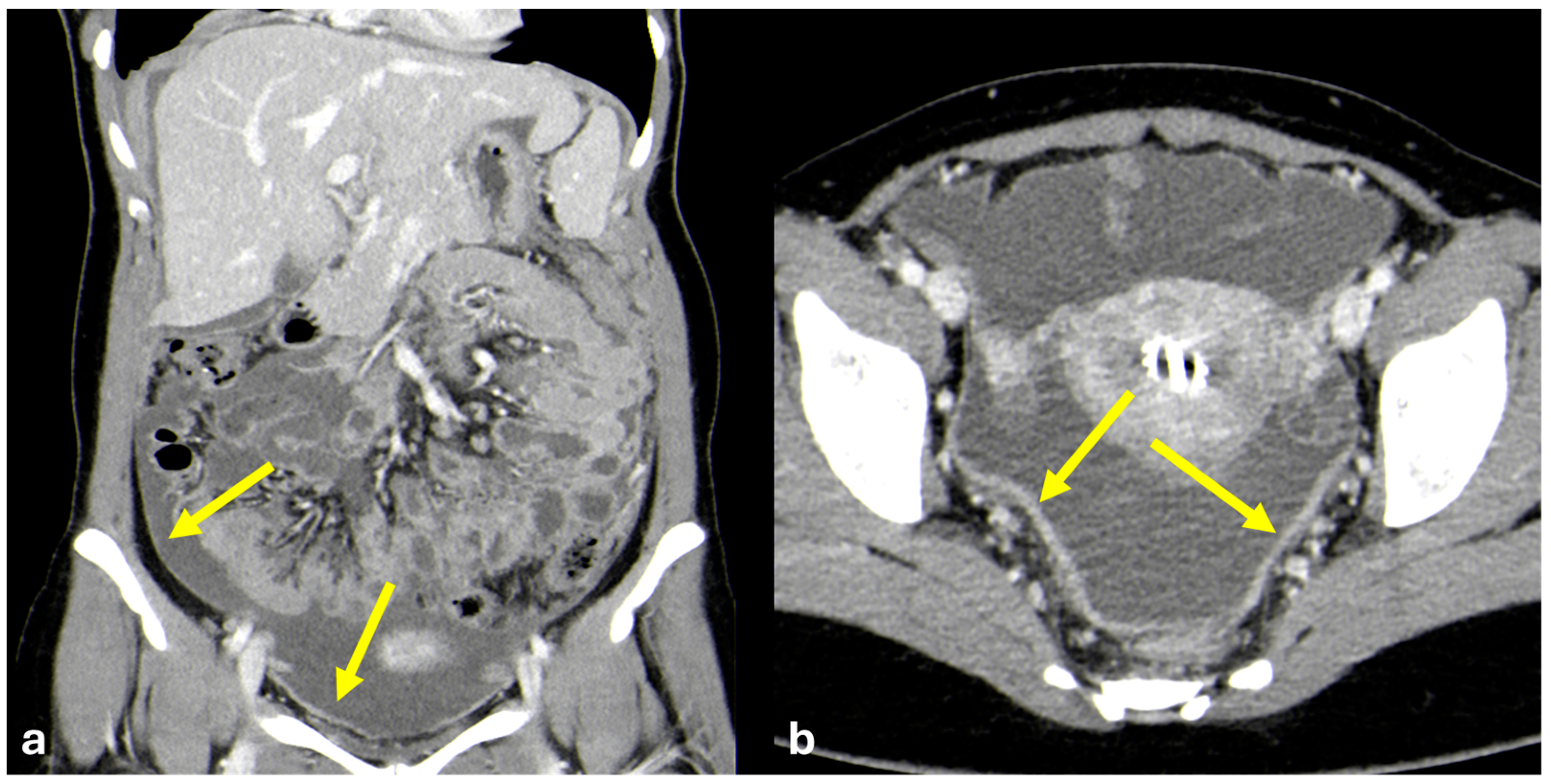
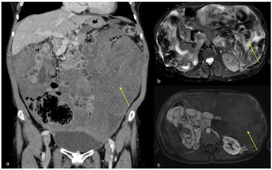
3.1.6. Mesenteric Metastases from Ileal Neuroendocrine (Carcinoid) Tumors
3.2. Neoplastic Benign
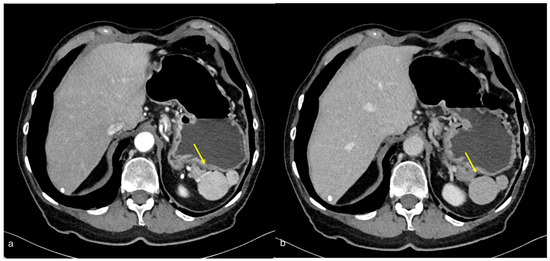
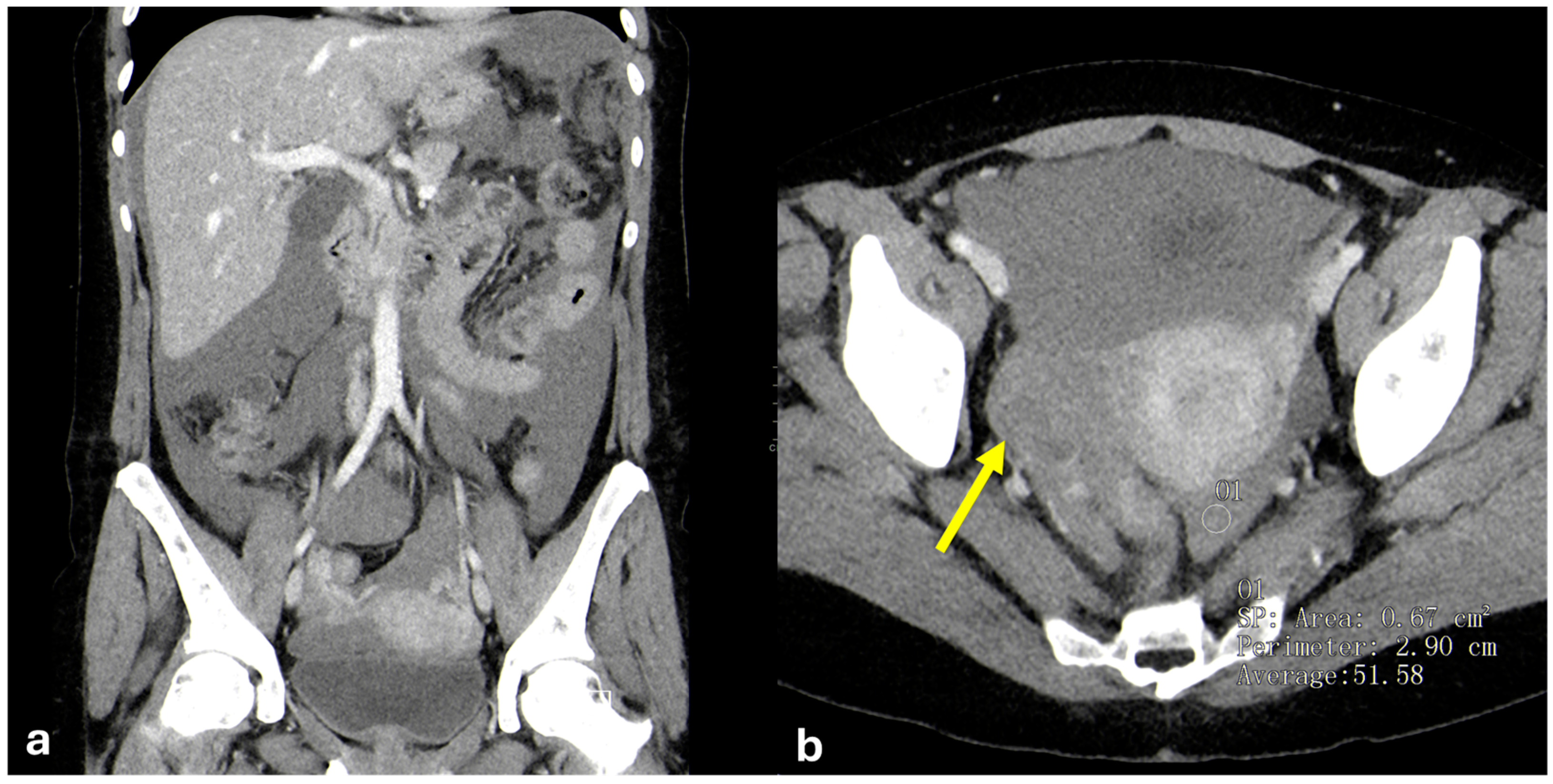
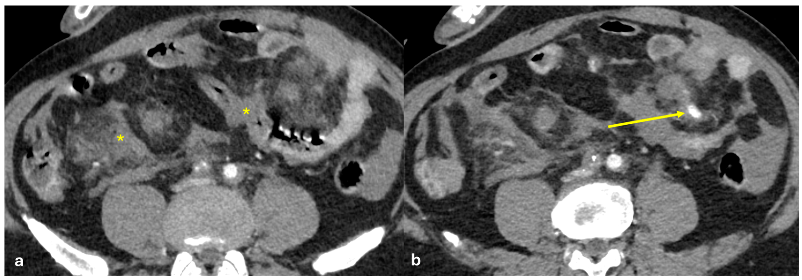
Mesenteric Pseudocyst
3.3. Inflammatory Diseases
3.3.1. Epiploic Appendagitis
3.3.2. Perigastric Appendagitis
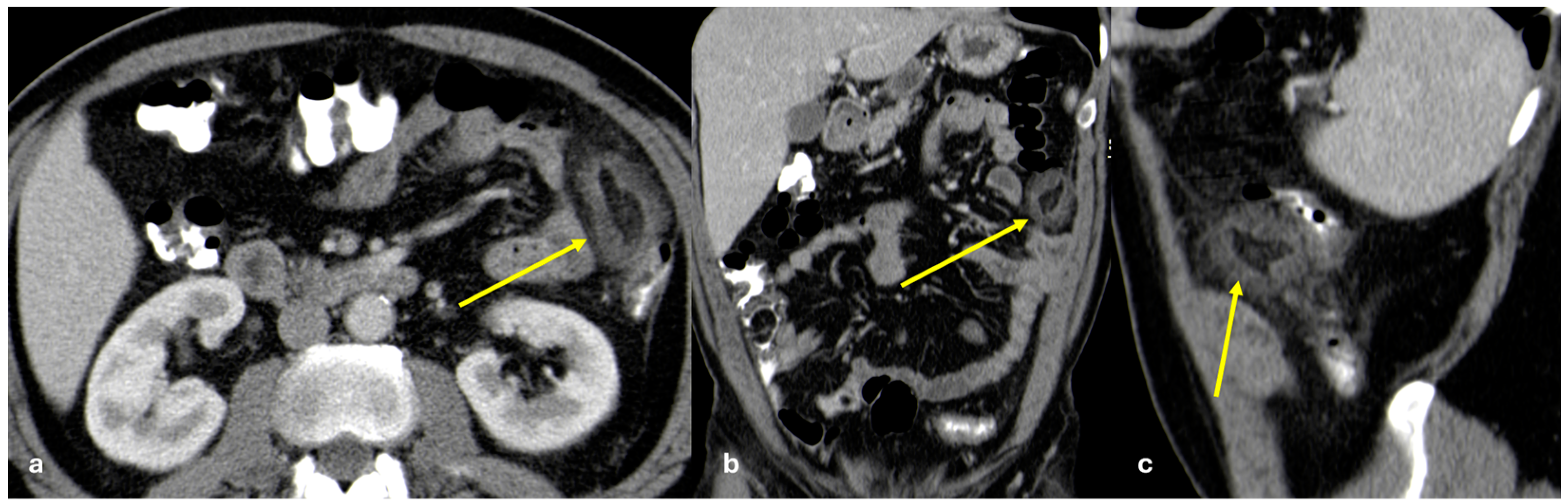
3.3.3. Mesenteric Panniculitis
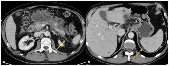
3.3.4. Subperitoneal Spread of Necrotizing Pancreatitis
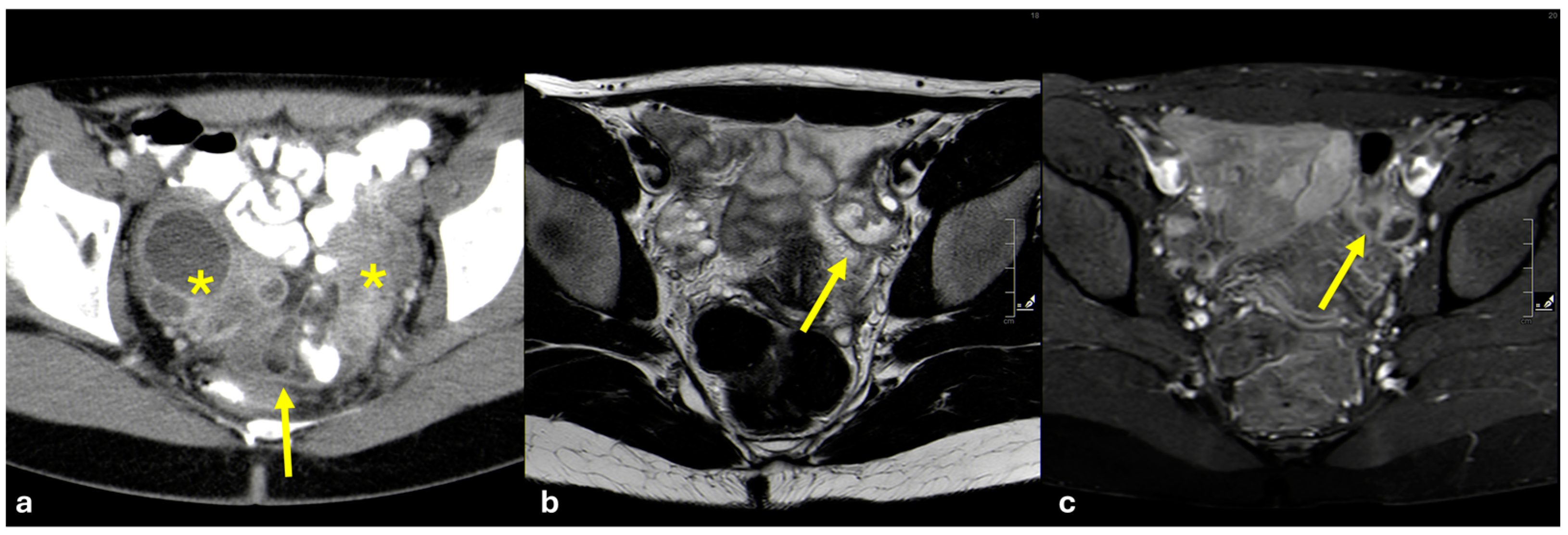
3.3.5. Pelvic Inflammatory Disease
3.3.6. Peritoneal Tuberculosis
3.4. Traumatic Disease
3.4.1. Post-Traumatic Mesenteric Injuries
3.4.2. Hemoperitoneum
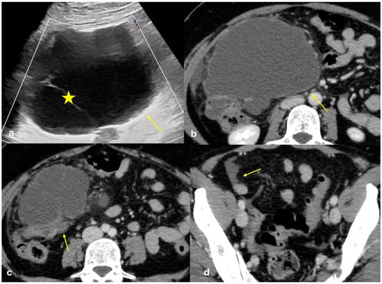
3.4.3. Splenosis
4. Conclusions
Author Contributions
Funding
Institutional Review Board Statement
Informed Consent Statement
Data Availability Statement
Conflicts of Interest
References
- Pannu, H.K.; Oliphant, M. The subperitoneal space and peritoneal cavity: Basic concepts. Abdom. Imaging 2015, 40, 2710–2722. [Google Scholar] [CrossRef] [PubMed]
- Tirkes, T.; Sandrasegaran, K.; Patel, A.A.; Hollar, M.A.; Tejada, J.G.; Tann, M.; Akisik, F.M.; Lappas, J.C. Peritoneal and retroperitoneal anatomy and its relevance for cross-sectional imaging. Radiographics 2012, 32, 437–451. [Google Scholar] [CrossRef]
- Elmohr, M.M.; Blair, K.J.; Menias, C.O.; Nada, A.; Shaaban, A.M.; Sandrasegaran, K.; Elsayes, K.M. The Lesser Sac and Foramen of Winslow: Anatomy, Embryology, and CT Appearance of Pathologic Processes. AJR Am. J. Roentgenol. 2020, 215, 843–851. [Google Scholar] [CrossRef] [PubMed]
- Lee, S.L.; Ku, Y.M.; Rha, S.E. Comprehensive reviews of the interfascial plane of the retroperitoneum: Normal anatomy and pathologic entities. Emerg. Radiol. 2010, 17, 3–11. [Google Scholar] [CrossRef] [PubMed]
- Yoo, E.; Kim, J.H.; Kim, M.-J.; Yu, J.-S.; Chung, J.-J.; Yoo, H.-S.; Kim, K.W. Greater and lesser omenta: Normal anatomy and pathologic processes. Radiographics 2007, 27, 707–720. [Google Scholar] [CrossRef]
- DeMeo, J.H.; Fulcher, A.S.; Austin, R.F. Anatomic CT demonstration of the peritoneal spaces, ligaments, and mesenteries: Normal and pathologic processes. Radiographics 1995, 15, 755–770. [Google Scholar] [CrossRef]
- Kim, S.; Kim, T.U.; Lee, J.W.; Lee, T.H.; Lee, S.H.; Jeon, T.Y.; Kim, K.H. The perihepatic space: Comprehensive anatomy and CT features of pathologic conditions. Radiographics 2007, 27, 129–143. [Google Scholar] [CrossRef]
- Gaballah, A.H.; Algazzar, M.; Kazi, I.A.; Badawy, M.; Guys, N.P.; Mohamed, E.A.S.; Sammon, J.; Elsayes, K.M.; Liu, P.S.; Heller, M. The Peritoneum: Anatomy, Pathologic Findings, and Patterns of Disease Spread. Radiographics 2024, 44, e230216. [Google Scholar] [CrossRef]
- Patel, C.M.; Sahdev, A.; Reznek, R.H. CT, MRI and PET imaging in peritoneal malignancy. Cancer Imaging 2011, 11, 123–139. [Google Scholar] [CrossRef]
- Brink, J.A.; Wagner, B.J. Pathways for the Spread of Disease in the Abdomen and Pelvis. In Diseases of the Abdomen and Pelvis 2018–2021: Diagnostic Imaging-IDKD Book; Springer: Berlin/Heidelberg, Germany, 2023; pp. 229–239. [Google Scholar]
- Gore, R.M.; Silvers, R.I.; Newmark, G.M.; Gore, M.D. Ascites and Peritoneal Fluid Collections. Textb. Gastrointest. Radiol. 2014, 2, 2024–2035. [Google Scholar]
- Reginelli, A.; Giacobbe, G.; Del Canto, M.T.; Alessandrella, M.; Balestrucci, G.; Urraro, F.; Russo, G.M.; Gallo, L.; Danti, G.; Frittoli, B.; et al. Peritoneal Carcinosis: What the Radiologist Needs to Know. Diagnostics 2023, 13, 1974. [Google Scholar] [CrossRef] [PubMed]
- Coccolini, F.; Gheza, F.; Lotti, M.; Virzì, S.; Iusco, D.; Ghermandi, C.; Melotti, R.; Baiocchi, G.; Giulini, S.M.; Ansaloni, L.; et al. Peritoneal carcinomatosis. World J. Gastroenterol. 2013, 19, 6979–6994. [Google Scholar] [CrossRef] [PubMed]
- Flanagan, M.; Solon, J.; Chang, K.H.; Deady, S.; Moran, B.; Cahill, R.; Shields, C.M.J. Peritoneal metastases from extra-abdominal cancer—A population-based study. Eur. J. Surg. Oncol. 2018, 44, 1811–1817. [Google Scholar] [CrossRef] [PubMed]
- Han, Q.; Ganesh, H.; DiSantis, D.J. Omental cake. Abdom. Radiol. 2016, 41, 2080–2081. [Google Scholar] [CrossRef]
- Walkey, M.; Friedman, A.; Sohotra, P.; Radecki, P. CT manifestations of peritoneal carcinomatosis. AJR Am. J. Roentgenol. 2012, 150, 1035–1041. [Google Scholar] [CrossRef]
- Pannu, H.K.; Bristow, R.E.; Montz, F.J.; Fishman, E.K. Multidetector CT of peritoneal carcinomatosis from ovarian cancer. Radiographics 2003, 23, 687–701. [Google Scholar] [CrossRef]
- Sanchez, A.V.; Bennouna, I.; Coquelet, N.; Bolado, J.C.; Fernandez, I.P.; Delgado, L.A.M.; Pezzullo, M.; Liberale, G.; Galdon, M.G.; Bali, M.A. Unravelling Peritoneal Carcinomatosis Using Cross-Sectional Imaging Modalities. Diagnostics 2023, 13, 2253. [Google Scholar] [CrossRef]
- Tomasińska, A.; Stukan, M.; Badocha, M.; Myszewska, A. Accuracy of Pretreatment Ultrasonography Assessment of Intra-Abdominal Spread in Epithelial Ovarian Cancer: A Prospective Study. Diagnostics 2021, 11, 1600. [Google Scholar] [CrossRef]
- Bonde, A.; Singh, R.; Prasad, S.R.; Kamireddy, D.; Aggarwal, A.; Ramani, N.; Saboo, S.; Shanbhogue, K.; Dasyam, A.K.; Katabathina, V.S. Mesotheliomas and Benign Mesothelial Tumors: Update on Pathologic and Imaging Findings. Radiographics 2023, 43, e220128. [Google Scholar] [CrossRef]
- Atre, I.D.; Watane, G.V.; Harisinghani, M.G. Malignant peritoneal mesothelioma: Correlation between CT imaging features and histologic subtypes. Abdom. Radiol. 2021, 46, 5105–5113. [Google Scholar] [CrossRef]
- Carlson, B.; Harmath, C.; Turaga, K.; Kindler, H.L.; Armato, S.G.; Straus, C. The role of imaging in diagnosis and management of malignant peritoneal mesothelioma: A systematic review. Abdom. Radiol. 2022, 47, 1725–1740. [Google Scholar] [CrossRef] [PubMed]
- Inoue, A.; Ota, S.; Yamasaki, M.; Batsaikhan, B.; Furukawa, A.; Watanabe, Y. Gastrointestinal stromal tumors: A comprehensive radiological review. Jpn. J. Radiol. 2022, 40, 1105–1120. [Google Scholar] [CrossRef] [PubMed]
- Courelli, A.S.; Sharma, A.K.; Madlensky, L.; Choi, Y.Y.; Li, S.; Sarno, S.; Kelly, K.; Mehtsun, W.; Horgan, S.; Harismendy, O.; et al. Co-Localization of Gastrointestinal Stromal Tumors (GIST) and Peritoneal Mesothelioma: A Case Series. Ann. Surg. Oncol. 2022, 29, 7542–7548. [Google Scholar] [CrossRef]
- Oei, T.N.; Jagannathan, J.P.; Ramaiya, N.; Ros, P.R. Peritoneal sarcomatosis versus peritoneal carcinomatosis: Imaging findings at MDCT. AJR Am. J. Roentgenol. 2010, 195, W229–W235. [Google Scholar] [CrossRef]
- Shilpa, G.; Sharma, S.; Parthiban, S.R.R.; Khan, U. Angiomyofibroblastoma of the Vulva. Gynecol. Minim. Invasive Ther. 2022, 11, 185. [Google Scholar] [CrossRef]
- Qiu, P.; Wang, Z.; Li, Y.; Cui, G. Giant pelvic angiomyofibroblastoma: Case report and literature review. Diagn. Pathol. 2014, 9, 106. [Google Scholar] [CrossRef]
- Housseini, Y.L.; Elouazzani, H.; Housseini, L.L.; Cherkaoui, M.; Zouaidia, F. Pelvic angiomyofibroblastoma: An unusual case report. J. Surg. Case Rep. 2020, 2020, rjaa051. [Google Scholar] [CrossRef]
- Fatusic, J.; Hudic, I.; Fatusic, Z.; Mustedanagic-Mujanovic, J. Angiomyofibroblastoma of the vaginal portion. Med. Arch. 2014, 68, 424–425. [Google Scholar] [CrossRef]
- Kulkarni, A.R.; Tinmaswala, M.A.; Shetkar, S.V.; Kondekar, S. Angiomyofibroblastoma: Imaging and histopathology of a rare benign mesenchymal tumor. Trop. J. Obstet. Gynaecol. 2019, 36, 308–311. [Google Scholar]
- Karaosmanoglu, D.; Karcaaltincaba, M.; Oguz, B.; Akata, D.; Özmen, M.; Akhan, O. CT findings of lymphoma with peritoneal, omental and mesenteric involvement: Peritoneal lymphomatosis. Eur. J. Radiol. 2009, 71, 313–317. [Google Scholar] [CrossRef]
- Cabral, F.C.; Krajewski, K.M.; Kim, K.W.; Ramaiya, N.H.; Jagannathan, J.P. Peritoneal lymphomatosis: CT and PET/CT findings and how to differentiate between carcinomatosis and sarcomatosis. Cancer Imaging 2013, 13, 162–170. [Google Scholar] [CrossRef] [PubMed]
- Kim, Y.S.; Cho, O.K.; Song, S.Y.; Lee, H.S.; Rhim, H.C.; Koh, B.H. Peritoneal lymphomatosis: CT findings. Abdom. Imaging 1998, 23, 87–90. [Google Scholar] [CrossRef] [PubMed]
- Jung, D.; Schiestl, L.J.; Schadmand-Fischer, S.; Schad, A.; Hasenburg, A.; Schwab, R. Abdominal B-Cell Lymphoma Mimicking Ovarian Cancer. Diagnostics 2024, 14, 2449. [Google Scholar] [CrossRef] [PubMed]
- Gupta, A.; Lubner, M.G.; Menias, C.O.; Mellnick, V.M.; Elsayes, K.M.; Pickhardt, P.J. Multimodality Imaging of Ileal Neuroendocrine (Carcinoid) Tumor. AJR Am. J. Roentgenol. 2019, 213, 45–53. [Google Scholar] [CrossRef]
- Park, S.E.; Jeon, T.J.; Park, J.Y. Mesenteric pseudocyst of the transverse colon: Unusual presentation of more common pathology. BMJ Case Rep 2014, 2014. [Google Scholar] [CrossRef]
- Bhullar, J.S.; Orfanou, P. The disappearing abdominal mass: Mesenteric pseudocyst. JSLS J. Soc. Laparoendosc. Surg. 2014, 18, 319–322. [Google Scholar] [CrossRef]
- Gutiérrez-Gónzalez, J.A.; González-Torres, L.A.; Dragustinovis-Hinojosa, G.; Méndez-Huerta, N.V.; Muñoz-Maldonado, G.E. An Unexpected Cause of Abdominal Discomfort: Non-pancreatic Mesenteric Pseudocyst. Cureus 2023, 15, e49459. [Google Scholar] [CrossRef]
- Rosado, C.R.B.; Machado, D.S.; de Magalhães Esteves, J.; Moreira, R.F.D.S.; de Castro Neves, C.M. A Case of Mesenteric Pseudocyst Causing Massive Abdominal Swelling. Eur. J. Case Rep. Intern. Med. 2016, 3, 000364. [Google Scholar] [CrossRef]
- Pickhardt, P.J.; Bhalla, S. Unusual nonneoplastic peritoneal and subperitoneal conditions: CT findings. Radiographics 2005, 25, 719–730. [Google Scholar] [CrossRef]
- Tiralongo, F.; Di Pietro, S.; Milazzo, D.; Galioto, S.; Castiglione, D.G.; Ini’, C.; Foti, P.V.; Mosconi, C.; Giurazza, F.; Venturini, M.; et al. Acute Colonic Diverticulitis: CT Findings, Classifications, and a Proposal of a Structured Reporting Template. Diagnostics 2023, 13, 3628. [Google Scholar] [CrossRef]
- Brodzisz, A.; Kuczyńska, M.; Zbroja, M.; Cyranka, W.; Cielecki, C.; Woźniak, M.M. Chronic Appendicitis-From Ambiguous Clinical Image to Inconclusive Imaging Studies. Diagnostics 2022, 12, 818. [Google Scholar] [CrossRef] [PubMed]
- Giambelluca, D.; Cannella, R.; Caruana, G.; Salvaggio, L.; Grassedonio, E.; Galia, M.; Midiri, M.; Salvaggio, G. CT imaging findings of epiploic appendagitis: An unusual cause of abdominal pain. Insights Imaging 2019, 10, 26. [Google Scholar] [CrossRef] [PubMed]
- Sulbaran, M.; Chen, F.K.; Farraye, F.A.; Hashash, J.G. A Clinical Review of Mesenteric Panniculitis. Gastroenterol. Hepatol. 2023, 19, 211–218. [Google Scholar]
- Halligan, S.; Plumb, A.; Taylor, S. Mesenteric panniculitis: Systematic review of cross-sectional imaging findings and risk of subsequent malignancy. Eur. Radiol. 2016, 26, 4531–4537. [Google Scholar] [CrossRef]
- Buragina, G.; Biasina, A.M.; Carrafiello, G. Clinical and radiological features of mesenteric panniculitis: A critical overview. Acta Biomed. 2019, 90, 411–422. [Google Scholar]
- Foster, B.R.; Jensen, K.K.; Bakis, G.; Shaaban, A.M.; Coakley, F.V. Revised Atlanta Classification for Acute Pancreatitis: A Pictorial Essay. Radiographics 2016, 36, 675–687. [Google Scholar] [CrossRef]
- Arenas, A.P.; Sanchez, L.V.; Albillos, J.M.; Borruel, S.N.; Roldán, J.R.; Lozano, F.O. Direct dissemination of pathologic abdominal processes through perihepatic ligaments: Identification with CT. Radiographics 1994, 14, 515–528. [Google Scholar] [CrossRef]
- Rezvani, M.; Shaaban, A.M. Fallopian tube disease in the nonpregnant patient. Radiographics 2011, 31, 527–548. [Google Scholar] [CrossRef]
- Kim, J.Y.; Kim, Y.; Jeong, W.K.; Song, S.Y.; Cho, O.K. Perihepatitis with pelvic inflammatory disease (PID) on MDCT: Characteristic findings and relevance to PID. Abdom. Imaging 2009, 34, 737–742. [Google Scholar] [CrossRef]
- Giacometti, C. Editorial on the Special Issue Titled “Pathology and Diagnosis of Gynecologic Diseases—2nd Edition”. Diagnostics 2025, 15, 356. [Google Scholar] [CrossRef]
- Charvériat, A.; Fritel, X. Diagnosis of pelvic inflammatory disease: Clinical, paraclinical, imaging and laparoscopy criteria. CNGOF and SPILF Pelvic Inflammatory Diseases Guidelines. Gynecol. Obstet. Fertil. Senol. 2019, 47, 404–408. [Google Scholar]
- Kaakaji, Y.; Nghiem, H.V.; Nodell, C.; Winter, T.C. Sonography of obstetric and gynecologic emergencies: Part II, Gynecologic emergencies. AJR Am. J. Roentgenol. 2000, 174, 651–656. [Google Scholar] [CrossRef] [PubMed]
- Singla, V.; Dua, A.; Singh, T.; Jain, V. Multimodality imaging of acute gynecological emergencies-a pictorial essay. Abdom Radiol 2024, 49, 4042–4056. [Google Scholar] [CrossRef] [PubMed]
- Gopireddy, D.R.; Virarkar, M.; Kumar, S.; Vulasala, S.S.R.; Nwachukwu, C.; Lamsal, S. Acute pelvic pain: A pictorial review with magnetic resonance imaging. J. Clin. Imaging Sci. 2022, 12, 15–48. [Google Scholar] [CrossRef]
- Foti, P.V.; Tonolini, M.; Costanzo, V.; Mammino, L.; Palmucci, S.; Cianci, A.; Ettorre, G.C.; Basile, A. Cross-sectional imaging of acute gynaecologic disorders: CT and MRI findings with differential diagnosis-part II: Uterine emergencies and pelvic inflammatory disease. Insights Imaging 2019, 10, 118. [Google Scholar] [CrossRef]
- Sam, J.W.; Jacobs, J.E.; Birnbaum, B.A. Spectrum of CT findings in acute pyogenic pelvic inflammatory disease. Radiographics 2002, 22, 1327–1334. [Google Scholar] [CrossRef]
- Tukeva, T.A.; Aronen, H.J.; Karjalainen, P.T.; Molander, P.; Paavonen, T.; Paavonen, J. MR imaging in pelvic inflammatory disease: Comparison with laparoscopy and US. Radiology 1999, 210, 209–216. [Google Scholar] [CrossRef]
- Revzin, M.V.; Moshiri, M.; Katz, D.S.; Pellerito, J.S.; Gettle, L.M.; Menias, C.O. Imaging Evaluation of Fallopian Tubes and Related Disease: A Primer for Radiologists. Radiographics 2020, 40, 1473–1501. [Google Scholar] [CrossRef]
- Das, C.J.; Rednam, N.; Vora, Z.; Aggarwal, A.; Chandrashekhara, S.H.; Kundra, V. Abdominal visceral tuberculosis: A malignancy mimic. Abdom. Radiol. 2023, 48, 2705–2715. [Google Scholar] [CrossRef]
- Das, P.; Dixit, R.; Prakash, A.; Daga, M.K.; Singh, R. Diffusion-weighted magnetic resonance imaging of abdominal tuberculosis: A new take on an old disease. Abdom. Radiol. 2022, 47, 3446–3458. [Google Scholar] [CrossRef]
- Jha, D.K.; Pathiyil, M.M.; Sharma, V. Evidence-based approach to diagnosis and management of abdominal tuberculosis. Indian. J. Gastroenterol. 2023, 42, 17–31. [Google Scholar] [CrossRef] [PubMed]
- Marshall, J.B. Tuberculosis of the gastrointestinal tract and peritoneum. Am. J. Gastroenterol. 1993, 88, 989–999. [Google Scholar] [CrossRef] [PubMed]
- Guirat, A.; Koubaa, M.; Mzali, R.; Abid, B.; Ellouz, S.; Affes, N.; Jemaa, M.B.; Frikha, F.; Amar, M.B.; Beyrouti, M.I. Peritoneal tuberculosis. Clin. Res. Hepatol. Gastroenterol. 2011, 35, 60–69. [Google Scholar] [CrossRef]
- Dunlap, N.E.; Bass, J.; Fujiwara, P.; Hopewell, P.; Horsburgh, C.R.; Salfinger, M.; Simone, P.M. Diagnostic Standards and Classification of Tuberculosis in Adults and Children. This official statement of the American Thoracic Society and the Centers for Disease Control and Prevention was adopted by the ATS Board of Directors, July 1999. This statement was endorsed by the Council of the Infectious Disease Society of America, September 1999. Am. J. Respir. Crit. Care Med. 2000, 161 Pt 1, 1376–1395. [Google Scholar]
- Vázquez Muñoz, E.; Gómez-Cerezo, J.; Atienza Saura, M.; Vázquez Rodriguez, J.J. Computed tomography findings of peritoneal tuberculosis: Systematic review of seven patients diagnosed in 6 years (1996–2001). Clin. Imaging 2004, 28, 340–343. [Google Scholar] [CrossRef]
- Morales-Castelán, J.E.; Lara-Hernández, M.E.; Hernández-Nava, J.M.; Lino-Silva, L.S.; Salcedo-Hernández, R.A. Abdominal tuberculosis mimicking ovarian cancer. A case series report. Gac. Med. Mex. 2022, 158, 124–127. [Google Scholar] [CrossRef]
- Chen, J.; Liu, S.; Tang, Y.; Zhang, X.; Cao, M.; Xiao, Z.; Ren, M.; Chen, T. Diagnostic performance of CT for differentiating peritoneal tuberculosis from peritoneal carcinomatosis: A systematic review and meta-analysis. Clin. Radiol. 2020, 75, e7–e396. [Google Scholar] [CrossRef]
- Rodriguez, E.; Pombo, F. Peritoneal tuberculosis versus peritoneal carcinomatosis: Distinction based on CT findings. J. Comput. Assist. Tomogr. 1996, 20, 269–272. [Google Scholar] [CrossRef]
- Kattan, J.; Haddad, F.G.; Menassa-Moussa, L.; Kesrouani, C.; Daccache, S.; Atallah, D. Peritoneal Tuberculosis: A Forsaken Yet Misleading Diagnosis. Case Rep. Oncol. Med. 2019, 2019, 5357049. [Google Scholar] [CrossRef]
- Jha, D.K.; Gupta, P.; Neelam, P.B.; Kumar, R.; Krishnaraju, V.S.; Rohilla, M.; Prasad, A.S.; Dutta, U.; Sharma, V. Clinical and Radiological Parameters to Discriminate Tuberculous Peritonitis and Peritoneal Carcinomatosis. Diagnostics 2023, 13, 3206. [Google Scholar] [CrossRef]
- Goffette, P.P.; Laterre, P.F. Traumatic injuries: Imaging and intervention in post-traumatic complications (delayed intervention). Eur. Radiol. 2002, 12, 994–1021. [Google Scholar] [CrossRef] [PubMed]
- Kasotakis, G. Spontaneous hemoperitoneum. Surg. Clin. N. Am. 2014, 94, 65–69. [Google Scholar] [CrossRef] [PubMed]
- Hertzberg, B.S.; Kliewer, M.A.; Paulson, E.K. Ovarian cyst rupture causing hemoperitoneum: Imaging features and the potential for misdiagnosis. Abdom. Imaging 1999, 24, 304–308. [Google Scholar] [CrossRef]
- Russo, G.M.; Zoi, E.; D’Iglio, I.; Mangoni di Santo Stefano, M.L. Atraumatic Hepatic Laceration with Hemoperitoneum. Diagnostics 2024, 14, 2088. [Google Scholar] [CrossRef] [PubMed]
- Arslan, S.; Sarıkaya, Y.; Akata, D.; Özmen, M.N.; Karçaaltıncaba, M.; Karaosmanoğlu, A.D. Imaging findings of spontaneous intraabdominal hemorrhage: Neoplastic and non-neoplastic causes. Abdom. Radiol. 2022, 47, 1473–1502. [Google Scholar] [CrossRef]
- Pulappadi, V.P.; Manchanda, S.; Sk, P.; Hari, S. Identifying corpus luteum rupture as the culprit for haemoperitoneum. Br. J. Radiol. 2021, 94, 20200383. [Google Scholar] [CrossRef]
- Kao, L.Y.; Scheinfeld, M.H.; Chernyak, V.; Rozenblit, A.M.; Oh, S.; Dym, R.J. Beyond ultrasound: CT and MRI of ectopic pregnancy. AJR Am. J. Roentgenol. 2014, 202, 904–911. [Google Scholar] [CrossRef]
- Kountouri, I.; Vitkos, E.N.; Dimasis, P.; Chandolias, M.; Manolakou, M.M.G.; Gkiatas, N.; Manolakaki, D. Spontaneous Splenic Rupture Secondary to Infectious Mononucleosis. Diagnostics 2024, 14, 1536. [Google Scholar] [CrossRef]
- Sandomenico, F.; Arpaia, V.; De Rosa, F.; Catalano, O.; Buonaiuto, R.A.; Notarangelo, M.; Iovino, M.; Giovine, S.; Brunetti, A.; Scaglione, M. Spontaneously Ruptured Hepatocellular Carcinoma: Computed Tomography-Based Assessment. Diagnostics 2023, 13, 1021. [Google Scholar] [CrossRef]
- Kang, O.J.; Koh, J.H.; Yoo, J.E.; Park, S.Y.; Park, J.-I.; Yang, S.; Lee, S.-H.; Lee, S.-J.; Ahn, J.-W.; Roh, H.-J.; et al. Ruptured Hemorrhagic Ectopic Pregnancy Implanted in the Diaphragm: A Rare Case Report and Brief Literature Review. Diagnostics 2021, 11, 2342. [Google Scholar] [CrossRef]
- Brown, M.A.; Casola, G.; Sirlin, C.B.; Patel, N.Y.; Hoyt, D.B. Blunt abdominal trauma: Screening us in 2693 patients. Radiology 2001, 218, 352–358. [Google Scholar] [CrossRef]
- Wongwaisayawan, S.; Suwannanon, R.; Prachanukool, T.; Sricharoen, P.; Saksobhavivat, N.; Kaewlai, R. Trauma Ultrasound. Ultrasound Med. Biol. 2015, 41, 2543–2561. [Google Scholar] [CrossRef] [PubMed]
- Gomez, E.; Horton, K.; Fishman, E.K.; Johnson, P.T. CT of acute abdominopelvic hemorrhage: Protocols, pearls, and pitfalls. Abdom. Radiol. 2022, 47, 475–484. [Google Scholar] [CrossRef] [PubMed]
- Tonolini, M.; Foti, P.V.; Costanzo, V.; Mammino, L.; Palmucci, S.; Cianci, A.; Ettorre, G.C. Cross-sectional imaging of acute gynaecologic disorders: CT and MRI findings with differential diagnosis-part I: Corpus luteum and haemorrhagic ovarian cysts, genital causes of haemoperitoneum and adnexal torsion. Insights Imaging 2019, 10, 119. [Google Scholar] [CrossRef] [PubMed]
- Fleming, C.R.; Dickson, E.R.; Harrison, E.G. Splenosis: Autotransplantation of splenic tissue. Am. J. Med. 1976, 61, 414–419. [Google Scholar] [CrossRef]
- Chapagain, A.; Yadav, G.K.; Bhandari, S.; Devkota, K.; Adhikari, B.; Singh, A.; Bhattarai, R. Multiple intra-abdominal splenosis with imaging correlative findings: A case report and review of literature. Radiol. Case Rep. 2024, 19, 4312–4315. [Google Scholar] [CrossRef]
- Imbriaco, M.; Camera, L.; Manciuria, A.; Salvatore, M. A case of multiple intra-abdominal splenosis with computed tomography and magnetic resonance imaging correlative findings. World J. Gastroenterol. 2008, 14, 1453–1455. [Google Scholar] [CrossRef]
- Lake, S.T.; Johnson, P.T.; Kawamoto, S.; Hruban, R.H.; Fishman, E.K. CT of splenosis: Patterns and pitfalls. AJR Am. J. Roentgenol. 2012, 199, W686–W693. [Google Scholar] [CrossRef]
- Short, N.J.; Hayes, T.G.; Bhargava, P. Intra-abdominal splenosis mimicking metastatic cancer. Am. J. Med. Sci. 2011, 341, 246–249. [Google Scholar] [CrossRef]
- Lee, J.Y.; Song, H.S.; Han, J. Splenosis Mimicking Peritoneal Seeding of Advanced Colon Cancer Can Be Identified by Spleen SPECT/CT and FDG PET/CT. Diagnostics 2021, 11, 1045. [Google Scholar] [CrossRef]




















Disclaimer/Publisher’s Note: The statements, opinions and data contained in all publications are solely those of the individual author(s) and contributor(s) and not of MDPI and/or the editor(s). MDPI and/or the editor(s) disclaim responsibility for any injury to people or property resulting from any ideas, methods, instructions or products referred to in the content. |
© 2025 by the authors. Licensee MDPI, Basel, Switzerland. This article is an open access article distributed under the terms and conditions of the Creative Commons Attribution (CC BY) license (https://creativecommons.org/licenses/by/4.0/).
Share and Cite
Ambrosetti, M.C.; Bariani, M.; Zamboni, G.A.; Valletta, R.; Bonatti, M. The Many Faces of the Angry Peritoneum. Diagnostics 2025, 15, 1163. https://doi.org/10.3390/diagnostics15091163
Ambrosetti MC, Bariani M, Zamboni GA, Valletta R, Bonatti M. The Many Faces of the Angry Peritoneum. Diagnostics. 2025; 15(9):1163. https://doi.org/10.3390/diagnostics15091163
Chicago/Turabian StyleAmbrosetti, Maria Chiara, Matilde Bariani, Giulia Angela Zamboni, Riccardo Valletta, and Matteo Bonatti. 2025. "The Many Faces of the Angry Peritoneum" Diagnostics 15, no. 9: 1163. https://doi.org/10.3390/diagnostics15091163
APA StyleAmbrosetti, M. C., Bariani, M., Zamboni, G. A., Valletta, R., & Bonatti, M. (2025). The Many Faces of the Angry Peritoneum. Diagnostics, 15(9), 1163. https://doi.org/10.3390/diagnostics15091163

