TERT Immunohistochemistry in Thin Melanomas Compared to Melanocytic Nevi
Abstract
1. Introduction
2. Materials and Methods
2.1. Research Design and Methodology
2.2. Immunohistochemical Analysis
2.3. Data Analysis and Statistics
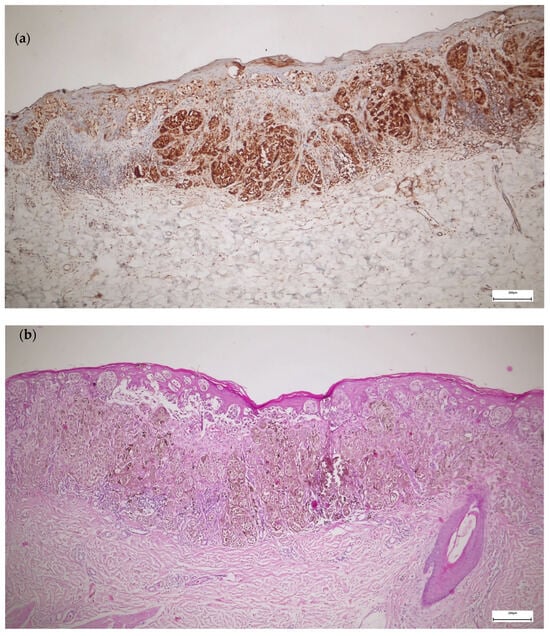
3. Results
4. Discussion
5. Conclusions
Author Contributions
Funding
Institutional Review Board Statement
Informed Consent Statement
Data Availability Statement
Conflicts of Interest
Abbreviations
| TERT | Telomerase reverse transcriptase |
| PPV | Positive predictive value |
| NPV | Negative predictive value |
| ACC | Accuracy |
| TRAP | Telomeric Repeat Amplification Protocol |
| ETS | E-twenty-six |
| TCF | Ternary complex transcription factors |
| RT-PCR | Real-time polymerase chain reaction |
| ISH | In situ hybridisation |
| IHC | Immunohistochemistry |
| SSM | Superficial spreading melanomas |
| LM | Lentigo maligna |
| LMM | Lentigo maligna melanoma |
| ALM | Acral lentiginous melanoma |
| H&E | Hematoxiylin and eosin |
References
- Blackburn, E.H. Structure and function of telomeres. Nature 1991, 350, 569–573. [Google Scholar] [CrossRef] [PubMed]
- Moyzis, R.K.; Buckingham, J.M.; Cram, L.S.; Dani, M.; Deaven, L.L.; Jones, M.D.; Meyne, J.; Ratliff, R.L.; Wu, J.R. A highly conserved repetitive DNA sequence, (TTAGGG)n, present at the telomeres of human chromosomes. Proc. Natl. Acad. Sci. USA 1988, 85, 6622–6626. [Google Scholar] [CrossRef] [PubMed]
- Hahn, W.C.; Meyerson, M. Telomerase activation, cellular immortalization and cancer. Ann. Med. 2001, 33, 123–129. [Google Scholar] [CrossRef]
- Feng, J.; Funk, W.D.; Wang, S.S.; Weinrich, S.L.; Avilion, A.A.; Chiu, C.P.; Adams, R.R.; Chang, E.; Allsopp, R.C.; Yu, J. The RNA component of human telomerase. Science 1995, 269, 1236–1241. [Google Scholar] [CrossRef]
- Lingner, J.; Hughes, T.R.; Shevchenko, A.; Mann, M.; Lundblad, V.; Cech, T.R. Reverse transcriptase motifs in the catalytic subunit of telomerase. Science 1997, 276, 561–567. [Google Scholar] [CrossRef] [PubMed]
- Cong, Y.S.; Wen, J.; Bacchetti, S. The human telomerase catalytic subunit hTERT: Organization of the gene and characterization of the promoter. Hum. Mol. Genet. 1999, 8, 137–142. [Google Scholar] [CrossRef]
- Wick, M.; Zubov, D.; Hagen, G. Genomic organization and promoter characterization of the gene encoding the human telomerase reverse transcriptase (hTERT). Gene 1999, 232, 97–106. [Google Scholar] [CrossRef]
- Huang, F.W.; Hodis, E.; Xu, M.J.; Kryukov, G.V.; Chin, L.; Garraway, L.A. Highly recurrent TERT promoter mutations in human melanoma. Science 2013, 339, 957–959. [Google Scholar] [CrossRef]
- Horn, S.; Figl, A.; Rachakonda, P.S.; Fischer, C.; Sucker, A.; Gast, A.; Kadel, S.; Moll, I.; Nagore, E.; Hemminki, K.; et al. TERT promoter mutations in familial and sporadic melanoma. Science 2013, 339, 959–961. [Google Scholar] [CrossRef]
- Shain, A.H.; Yeh, I.; Kovalyshyn, I.; Sriharan, A.; Talevich, E.; Gagnon, A.; Dummer, R.; North, J.; Pincus, L.; Ruben, B.; et al. The Genetic Evolution of Melanoma from Precursor Lesions. N. Engl. J. Med. 2015, 373, 1926–1936. [Google Scholar] [CrossRef]
- Heidenreich, B.; Rachakonda, P.S.; Hemminki, K.; Kumar, R. TERT promoter mutations in cancer development. Curr. Opin. Genet. Dev. 2014, 24, 30–37. [Google Scholar] [CrossRef] [PubMed]
- Vallarelli, A.F.; Rachakonda, P.S.; André, J.; Heidenreich, B.; Riffaud, L.; Bensussan, A.; Kumar, R.; Dumaz, N. TERT promoter mutations in melanoma render TERT expression dependent on MAPK pathway activation. Oncotarget 2016, 7, 53127–53136. [Google Scholar] [CrossRef] [PubMed]
- Sharma, S.; Chowdhury, S. Emerging mechanisms of telomerase reactivation in cancer. Trends Cancer 2022, 8, 632–641. [Google Scholar] [CrossRef]
- Fan, Y.; Lee, S.; Wu, G.; Easton, J.; Yergeau, D.; Dummer, R.; Vogel, P.; Kirkwood, J.M.; Barnhill, R.L.; Pappo, A.; et al. Telomerase Expression by Aberrant Methylation of the TERT Promoter in Melanoma Arising in Giant Congenital Nevi. J. Investig. Dermatol. 2016, 136, 339–342. [Google Scholar] [CrossRef]
- Yuan, X.; Larsson, C.; Xu, D. Mechanisms underlying the activation of TERT transcription and telomerase activity in human cancer: Old actors and new players. Oncogene 2019, 38, 6172–6183. [Google Scholar] [CrossRef]
- Barthel, F.P.; Wei, W.; Tang, M.; Martinez-Ledesma, E.; Hu, X.; Amin, S.B.; Akdemir, K.C.; Seth, S.; Song, X.; Wang, Q.; et al. Systematic analysis of telomere length and somatic alterations in 31 cancer types. Nat. Genet. 2017, 49, 349–357. [Google Scholar] [CrossRef]
- Salgado, C.; Roelse, C.; Nell, R.; Gruis, N.; van Doorn, R.; van der Velden, P. Interplay between TERT promoter mutations and methylation culminates in chromatin accessibility and TERT expression. PLoS ONE 2020, 15, e0231418. [Google Scholar] [CrossRef] [PubMed]
- Chun-on, P.; Hinchie, A.M.; Beale, H.C.; Gil Silva, A.A.; Rush, E.; Sander, C.; Connelly, C.J.; Seynnaeve, B.K.N.; Kirkwood, J.M.; Vaske, O.M.; et al. TPP1 promoter mutations cooperate with TERT promoter mutations to lengthen telomeres in melanoma. Science 2022, 378, 664–668. [Google Scholar] [CrossRef]
- Tarazón, E.; de Unamuno Bustos, B.; Murria Estal, R.; Pérez Simó, G.; Sahuquillo Torralba, A.; Simarro, J.; Palanca Suela, S.; Botella Estrada, R. MiR-138-5p Suppresses Cell Growth and Migration in Melanoma by Targeting Telomerase Reverse Transcriptase. Genes 2021, 12, 1931. [Google Scholar] [CrossRef]
- Guterres, A.N.; Villanueva, J. TARGETING TELOMERASE FOR CANCER THERAPY. Oncogene 2020, 39, 5811–5824. [Google Scholar] [CrossRef]
- Ellingsen, E.B.; Aamdal, E.; Guren, T.; Lilleby, W.; Brunsvig, P.F.; Mangsbo, S.M.; Aamdal, S.; Hovig, E.; Mensali, N.; Gaudernack, G.; et al. Durable and dynamic hTERT immune responses following vaccination with the long-peptide cancer vaccine UV1: Long-term follow-up of three phase I clinical trials. J. Immunother. Cancer 2022, 10, e004345. [Google Scholar] [CrossRef]
- Ibrahim, E.I.K.; Ellingsen, E.B.; Mangsbo, S.M.; Friberg, L.E. Bridging responses to a human telomerase reverse transcriptase-based peptide cancer vaccine candidate in a mechanism-based model. Int. Immunopharmacol. 2024, 126, 111225. [Google Scholar] [CrossRef] [PubMed]
- Mizukoshi, E.; Kaneko, S. Telomerase-Targeted Cancer Immunotherapy. Int. J. Mol. Sci. 2019, 20, 1823. [Google Scholar] [CrossRef] [PubMed]
- FDA. FDA Approves Imetelstat for Low- to Intermediate-1 Risk Myelodysplastic Syndromes with Transfusion-Dependent Anemia; FDA: Silver Spring, MD, USA, 2024. [Google Scholar]
- Keam, S.J. Imetelstat: First Approval. Drugs 2024, 84, 1149–1155. [Google Scholar] [CrossRef]
- Olschok, K.; Altenburg, B.; de Toledo, M.A.S.; Maurer, A.; Abels, A.; Beier, F.; Gezer, D.; Isfort, S.; Paeschke, K.; Brümmendorf, T.H.; et al. The telomerase inhibitor imetelstat differentially targets JAK2V617F versus CALR mutant myeloproliferative neoplasm cells and inhibits JAK-STAT signaling. Front. Oncol. 2023, 13, 1277453. [Google Scholar] [CrossRef] [PubMed]
- Chiappori, A.A.; Kolevska, T.; Spigel, D.R.; Hager, S.; Rarick, M.; Gadgeel, S.; Blais, N.; Von Pawel, J.; Hart, L.; Reck, M.; et al. A randomized phase II study of the telomerase inhibitor imetelstat as maintenance therapy for advanced non-small-cell lung cancer. Ann. Oncol. 2015, 26, 354–362. [Google Scholar] [CrossRef]
- Eglenen-Polat, B.; Kowash, R.R.; Huang, H.-C.; Siteni, S.; Zhu, M.; Chen, K.; Bender, M.E.; Mender, I.; Stastny, V.; Drapkin, B.J.; et al. A telomere-targeting drug depletes cancer initiating cells and promotes anti-tumor immunity in small cell lung cancer. Nat. Commun. 2024, 15, 672. [Google Scholar] [CrossRef]
- Fischer-Mertens, J.; Otte, F.; Roderwieser, A.; Rosswog, C.; Kahlert, Y.; Werr, L.; Hellmann, A.-M.; Berding, M.; Chiu, B.; Bartenhagen, C.; et al. Telomerase-targeting compounds Imetelstat and 6-thio-dG act synergistically with chemotherapy in high-risk neuroblastoma models. Cell. Oncol. 2022, 45, 991–1003. [Google Scholar] [CrossRef]
- Delyon, J.; Vallet, A.; Bernard-Cacciarella, M.; Kuzniak, I.; Reger de Moura, C.; Louveau, B.; Jouenne, F.; Mourah, S.; Lebbé, C.; Dumaz, N. TERT Expression Induces Resistance to BRAF and MEK Inhibitors in BRAF-Mutated Melanoma In Vitro. Cancers 2023, 15, 2888. [Google Scholar] [CrossRef]
- Bollu, V.S.; Chen, Y.-C.; Zhang, F.; Gowda, K.; Amin, S.; Sharma, A.K.; Schell, T.D.; Zhu, J.; Robertson, G.P. Managing telomerase and telomere dysfunction in acral melanoma. Pharmacol. Res. 2025, 215, 107700. [Google Scholar] [CrossRef]
- Kohli, J.S.; Mir, H.; Wasif, A.; Chong, H.; Akhras, V.; Kumar, R.; Nagore, E.; Bennett, D.C. ETS1, nucleolar and non-nucleolar TERT expression in nevus to melanoma progression. Oncotarget 2017, 8, 104408–104417. [Google Scholar] [CrossRef]
- Glaessl, A.; Bosserhoff, A.K.; Buettner, R.; Hohenleutner, U.; Landthaler, M.; Stolz, W. Increase in telomerase activity during progression of melanocytic cells from melanocytic naevi to malignant melanomas. Arch. Dermatol. Res. 1999, 291, 81–87. [Google Scholar] [CrossRef]
- Wakefield, C.; Hornick, J.L. Update on immunohistochemistry in bone and soft tissue tumors: Cost-effectively replacing molecular testing with immunohistochemistry. Hum. Pathol. 2024, 147, 58–71. [Google Scholar] [CrossRef]
- Fullen, D.R.; Zhu, W.; Thomas, D.; Su, L.D. hTERT expression in melanocytic lesions: An immunohistochemical study on paraffin-embedded tissue. J. Cutan. Pathol. 2005, 32, 680–684. [Google Scholar] [CrossRef]
- Pópulo, H.; Boaventura, P.; Vinagre, J.; Batista, R.; Mendes, A.; Caldas, R.; Pardal, J.; Azevedo, F.; Honavar, M.; Guimarães, I.; et al. TERT promoter mutations in skin cancer: The effects of sun exposure and X-irradiation. J. Investig. Dermatol. 2014, 134, 2251–2257. [Google Scholar] [CrossRef]
- Hugdahl, E.; Kalvenes, M.B.; Mannelqvist, M.; Ladstein, R.G.; Akslen, L.A. Prognostic impact and concordance of TERT promoter mutation and protein expression in matched primary and metastatic cutaneous melanoma. Br. J. Cancer 2018, 118, 98–105. [Google Scholar] [CrossRef]
- de Unamuno Bustos, B.; Sahuquillo Torralba, A.; Moles Poveda, P.; Pérez Simó, G.; Simarro Farinos, J.; Llavador Ros, M.; Palanca Suela, S.; Botella Estrada, R. Telomerase Expression in a Series of Melanocytic Neoplasms. Actas Dermo-Sifiliogr. 2019, 110, 212–219. [Google Scholar] [CrossRef]
- Wu, Y.-L.; Dudognon, C.; Nguyen, E.; Hillion, J.; Pendino, F.; Tarkanyi, I.; Aradi, J.; Lanotte, M.; Tong, J.-H.; Chen, G.-Q.; et al. Immunodetection of human telomerase reverse-transcriptase (hTERT) re-appraised: Nucleolin and telomerase cross paths. J. Cell Sci. 2006, 119, 2797–2806. [Google Scholar] [CrossRef]
- Gomatou, G.; Masaoutis, C.; Vamvakaris, I.; Kotteas, E.; Bouros, E.; Tzilas, V.; Bouros, D. Differential immunohistochemical expression of hTERT in lung cancer patients with and without idiopathic pulmonary fibrosis. Pulmonology 2024, 30, 214–221. [Google Scholar] [CrossRef]
- Nishi, Y.; Aoki, T.; Shimizu, T.; Sato, S.; Matsumoto, T.; Shiraki, T.; Sakuraoka, Y.; Mori, S.; Iso, Y.; Ishizuka, M.; et al. Significance of cytoplasmic expression of telomerase reverse transcriptase in patients with hepatocellular carcinoma undergoing liver resection. Mol. Clin. Oncol. 2021, 15, 244. [Google Scholar] [CrossRef]
- Moreno-Acosta, P.; Molano, M.; Morales, N.; Acosta, J.; GonzÁlez-Prieto, C.; Mayorga, D.; Buitrago, L.; Gamboa, O.; MejÍa, J.C.; Castro, J.; et al. hTERT Protein Expression in Cytoplasm and Nucleus and its Association with HPV Infection in Patients with Cervical Cancer. Cancer Genom. Proteom. 2020, 17, 615–625. [Google Scholar] [CrossRef] [PubMed]
- Thompson, C.A.H.; Wong, J.M.Y. Non-canonical Functions of Telomerase Reverse Transcriptase: Emerging Roles and Biological Relevance. Curr. Top. Med. Chem. 2020, 20, 498–507. [Google Scholar] [CrossRef]
- Rosen, J.; Jakobs, P.; Ale-Agha, N.; Altschmied, J.; Haendeler, J. Non-canonical functions of Telomerase Reverse Transcriptase—Impact on redox homeostasis. Redox Biol. 2020, 34, 101543. [Google Scholar] [CrossRef] [PubMed]
- Ghareghomi, S.; Ahmadian, S.; Zarghami, N.; Kahroba, H. Fundamental insights into the interaction between telomerase/TERT and intracellular signaling pathways. Biochimie 2021, 181, 12–24. [Google Scholar] [CrossRef]
- Muzza, M.; Pogliaghi, G.; Colombo, C.; Grassi, E.S.; Carbone, E.; Palazzo, S.; Frattini, F.; Gazzano, G.; Persani, L.; Fugazzola, L. Extra-nuclear TERT counteracts oxidative stress and promotes progression in papillary thyroid carcinoma. Transl. Res. 2024, 271, 1–12. [Google Scholar] [CrossRef] [PubMed]
- Cho, W.C.; Wang, W.-L.; Milton, D.R.; Ingram, D.R.; Nagarajan, P.; Curry, J.L.; Ivan, D.; Lazar, A.J.; Hwu, W.-J.; Prieto, V.G.; et al. Telomerase Reverse Transcriptase Protein Expression Is More Frequent in Acral Lentiginous Melanoma Than in Other Types of Cutaneous Melanoma. Arch. Pathol. Lab. Med. 2021, 145, 842–850. [Google Scholar] [CrossRef]
- Cho, W.C.; Li, W.; Gu, J.; Wang, W.-L.; Ning, J.; Sfamenos, S.; Gill, P.; Nagarajan, P.; Curry, J.L.; Lazar, A.J.; et al. Telomerase reverse transcriptase immunohistochemical expression is sensitive but not specific for TERT gene amplification in acral melanoma. J. Cutan. Pathol. 2023, 50, 845–851. [Google Scholar] [CrossRef]
- Ramani, N.S.; Aung, P.P.; Gu, J.; Sfamenos, S.; Sdringola-Maranga, C.; Nagarajan, P.; Tetzlaff, M.T.; Curry, J.L.; Ivan, D.; Diab, A.; et al. TERT amplification but not activation of canonical Wnt/β-catenin pathway is involved in acral lentiginous melanoma progression to metastasis. Mod. Pathol. 2020, 33, 2067–2074. [Google Scholar] [CrossRef]
- Ramirez, R.D.; D’Atri, S.; Pagani, E.; Faraggiana, T.; Lacal, P.M.; Taylor, R.S.; Shay, J.W. Progressive Increase in Telomerase Activity From Benign Melanocytic Conditions to Malignant Melanoma. Neoplasia 1999, 1, 42–49. [Google Scholar] [CrossRef][Green Version]
- Miracco, C.; Pacenti, L.; Santopietro, R.; Laurini, L.; Biagioli, M.; Luzi, P. Evaluation of telomerase activity in cutaneous melanocytic proliferations. Hum. Pathol. 2000, 31, 1018–1021. [Google Scholar] [CrossRef]
- Rudolph, P.; Schubert, C.; Tamm, S.; Heidorn, K.; Hauschild, A.; Michalska, I.; Majewski, S.; Krupp, G.; Jablonska, S.; Parwaresch, R. Telomerase Activity in Melanocytic Lesions. Am. J. Pathol. 2000, 156, 1425–1432. [Google Scholar] [CrossRef]
- Tosi, P.; Miracco, C.; Santopietro, R.; Pacenti, L.; Perotti, R.; Materno, M.; Luzi, P. Possible diagnostic role of telomerase activity evaluation in the differential diagnosis between spitz naevi and cutaneous malignant melanoma. Br. J. Dermatol. 2000, 142, 1060–1061. [Google Scholar] [CrossRef]
- Guttman-Yassky, E.; Bergman, R.; Manov, L.; Sprecher, E.; Shaefer, Y.; Kerner, H. Human telomerase RNA component expression in Spitz nevi, common melanocytic nevi, and malignant melanomas. J. Cutan. Pathol. 2002, 29, 341–346. [Google Scholar] [CrossRef]
- Heidenreich, B.; Nagore, E.; Rachakonda, P.S.; Garcia-Casado, Z.; Requena, C.; Traves, V.; Becker, J.; Soufir, N.; Hemminki, K.; Kumar, R. Telomerase reverse transcriptase promoter mutations in primary cutaneous melanoma. Nat. Commun. 2014, 5, 3401. [Google Scholar] [CrossRef]
- Lee, S.; Opresko, P.; Pappo, A.; Kirkwood, J.M.; Bahrami, A. Association of TERT promoter mutations with telomerase expression in melanoma. Pigment. Cell Melanoma Res. 2016, 29, 391–393. [Google Scholar] [CrossRef]
- Griewank, K.G.; Murali, R.; Puig-Butille, J.A.; Schilling, B.; Livingstone, E.; Potrony, M.; Carrera, C.; Schimming, T.; Möller, I.; Schwamborn, M.; et al. TERT promoter mutation status as an independent prognostic factor in cutaneous melanoma. J. Natl. Cancer Inst. 2014, 106, dju246. [Google Scholar] [CrossRef]
- Nagore, E.; Heidenreich, B.; Rachakonda, S.; Garcia-Casado, Z.; Requena, C.; Soriano, V.; Frank, C.; Traves, V.; Quecedo, E.; Sanjuan-Gimenez, J.; et al. TERT promoter mutations in melanoma survival. Int. J. Cancer 2016, 139, 75–84. [Google Scholar] [CrossRef]
- Andrés-Lencina, J.J.; Rachakonda, S.; García-Casado, Z.; Srinivas, N.; Skorokhod, A.; Requena, C.; Soriano, V.; Kumar, R.; Nagore, E. TERT promoter mutation subtypes and survival in stage I and II melanoma patients. Int. J. Cancer 2019, 144, 1027–1036. [Google Scholar] [CrossRef]
- Kuhn, C.K.; Meister, J.; Kreft, S.; Stiller, M.; Puppel, S.-H.; Zaremba, A.; Scheffler, B.; Ullrich, V.; Schöneberg, T.; Schadendorf, D.; et al. TERT expression is associated with metastasis from thin primaries, exhausted CD4+ T cells in melanoma and with DNA repair across cancer entities. PLoS ONE 2023, 18, e0281487. [Google Scholar] [CrossRef]
- Seynnaeve, B.; Lee, S.; Borah, S.; Park, Y.; Pappo, A.; Kirkwood, J.M.; Bahrami, A. Genetic and Epigenetic Alterations of TERT Are Associated with Inferior Outcome in Adolescent and Young Adult Patients with Melanoma. Sci. Rep. 2017, 7, 45704. [Google Scholar] [CrossRef]
- Avădănei, E.-R.; Căruntu, I.-D.; Nucă, I.; Balan, R.; Lozneanu, L.; Giusca, S.-E.; Amalinei, C. BRAF V600E Mutation in Malignant Melanoma—A Romanian Research Experience. Medicina 2024, 60, 351. [Google Scholar] [CrossRef] [PubMed]
- Castellani, G.; Buccarelli, M.; Arasi, M.B.; Rossi, S.; Pisanu, M.E.; Bellenghi, M.; Lintas, C.; Tabolacci, C. BRAF Mutations in Melanoma: Biological Aspects, Therapeutic Implications, and Circulating Biomarkers. Cancers 2023, 15, 4026. [Google Scholar] [CrossRef] [PubMed]
- Apostu, A.P.; Ungureanu, L.; Piciu, A.; Vesa Ștefan, C.; Halmagyi, S.R.; Trufin, I.I.; Frațilă, S.; Iancu, G.; Șenilă, S.C. Melanoma in Northwestern Romania: An Analysis of Epidemiological and Histopathological Characteristics and Associated Risk Factors. J. Clin. Med. 2025, 14, 946. [Google Scholar] [CrossRef] [PubMed]



| Variable | Nevus | Melanoma | Chi-Square p-Value | |
|---|---|---|---|---|
| Staining percentage N (%) | 0% | 8 (20.51) | 2 (5.56) | 0.006 |
| <10% | 6 (15.38) | 0 (0) | ||
| 10–50% | 9 (23.08) | 7 (19.44) | ||
| >50% | 16 (41.03) | 27 (75) | ||
| Color intensity N (%) | 0 | 8 (20.51) | 2 (5.56) | 0.035 |
| 1+ | 9 (23.08) | 5 (13.89) | ||
| 2+ | 13 (33.33) | 10 (27.78) | ||
| 3+ | 9 (23.08) | 19 (52.78) | ||
| Staining localisation N (%) | Negative | 8 (20.51) | 2 (5.56) | 0.012 |
| Cytoplasmic | 25 (64.1) | 34 (94.44) | ||
| Nuclear | 3 (7.69) | 0 (0) | ||
| Nuclear and cytoplasmic | 3 (7.69) | 0 (0) |
| Variable | Melanoma Stage 0 (In Situ) | Melanoma Stage I | p-Value | |
|---|---|---|---|---|
| Staining percentage N (%) | 0% | 1 (10) | 1 (3.85%) | 0.09 |
| <10% | - | - | ||
| 10–50% | 4 (40) | 3 (11.53%) | ||
| >50% | 5 (50) | 22 (84.62%) | ||
| Color intensity N (%) | 0 | 1 (10) | 1 (3.85%) | 0.4 |
| 1+ | 2 (20) | 3 (11.54%) | ||
| 2+ | 1 (10) | 9 (34.61%) | ||
| 3+ | 6 (60) | 13 (50%) | ||
| Staining localisation N (%) | Negative | 1 (10) | 1 (4%) | 0.4 |
| Cytoplasmic | 9 (90) | 25 (96%) |
| Variable | TERT Negative Melanoma (10–50%, <10%, 0%) | TERT Positive Melanoma (>50%) | p-Value | |
|---|---|---|---|---|
| Sex N (%) | M | 4 (44.44) | 18 (66.67) | 0.236 |
| F | 5 (55.56) | 9 (33.33) | ||
| Median age [years] [IQR] | 51 (49; 58) | 64 (59; 68.5) | 0.031 | |
| Localisation N (%) | Head and neck | 1 (11.11) | 3 (11.11) | 0.460 |
| Trunk | 4 (44.44) | 15 (55.56) | ||
| Upper limb | 3 (33.33) | 3 (11.11) | ||
| Lower limb | 1 (11.11) | 6 (22.22) | ||
| Histopathological subtype N (%) | SSM | 8 (88.89) | 23 (85.19) | 0.642 |
| LMM | 0 (0) | 2 (7.41) | ||
| LM | 0 (0) | 1 (3.7) | ||
| ALM | 1 (11.11) | 1 (3.7) | ||
| Vertical growth N (%) | No | 6 (66.67) | 17 (62.96) | 0.841 |
| Yes | 3 (33.33) | 10 (37.04) | ||
| Stage N (%) | In situ | 5 (55.56) | 5 (18.52) | 0.074 |
| IA | 3 (33.33) | 11 (40.74) | ||
| IB | 1 (11.11) | 11 (40.74) | ||
| Ulceration N (%) | No | 9 (100) | 26 (96.3) | 0.558 |
| Yes | 0 (0) | 1 (3.7) | ||
| Regression N (%) | No | 8 (88.89) | 22 (81.48) | 0.606 |
| Yes | 1 (11.11) | 5 (18.52) | ||
| Median Breslow index [IQR] | 0 (0; 0.75) | 0.6 (0.375; 0.7) | 0.193 | |
| Median mitotic rate [IQR] | 0 (0; 1) | 1 (0; 3) | 0.079 | |
| Personal history of melanoma | No | 7 (77.78) | 27 (100) | 0.012 |
| Yes | 2 (22.22) | 0 (0) | ||
| Nevus-associated melanoma | No | 9 (100) | 17 (62.96) | 0.032 |
| Yes | 0 (0) | 10 (37.04) | ||
| Variable | >50% | 10–50% | 0% | p-Value | |
|---|---|---|---|---|---|
| Sex N (%) | M | 18 (66.67) | 3 (42.86) | 1 (50) | 0.488 |
| F | 9 (33.33) | 4 (57.14) | 1 (50) | ||
| Median age [years] [IQR] | 64 (59; 68.5) | 58 (50.5; 59.5) | 47 (46; 48) | 0.034 | |
| Localisation N (%) | Head and neck | 3 (11.11) | 1 (14.29) | 0 (0) | 0.747 |
| Trunk | 15 (55.56) | 3 (42.86) | 1 (50) | ||
| Upper limb | 3 (11.11) | 2 (28.57) | 1 (50) | ||
| Lower limb | 6 (22.22) | 1 (14.29) | 0 (0) | ||
| Histopathological subtype N (%) | SSM | 23 (85.19) | 6 (85.71) | 2 (100) | 0.892 |
| LMM | 2 (7.41) | 0 (0) | 0 (0) | ||
| LM | 1 (3.7) | 0 (0) | 0 (0) | ||
| ALM | 1 (3.7) | 1 (14.29) | 0 (0) | ||
| Vertical growth N (%) | No | 17 (62.96) | 5 (71.43) | 1 (50) | 0.840 |
| Yes | 10 (37.04) | 2 (28.57) | 1 (50) | ||
| Stage N (%) | In situ | 5 (18.52) | 4 (57.14) | 1 (50) | 0.239 |
| IA | 11 (40.74) | 2 (28.57) | 1 (50) | ||
| IB | 11 (40.74) | 1 (14.29) | 0 (0) | ||
| Ulceration N (%) | No | 26 (96.3) | 7 (100) | 2 (100) | 0.842 |
| Yes | 1 (3.7) | 0 (0) | 0 (0) | ||
| Regression N (%) | No | 22 (81.48) | 6 (85.71) | 2 (100) | 0.781 |
| Yes | 5 (18.52) | 1 (14.29) | 0 (0) | ||
| Median Breslow index [IQR] | 1 (0; 3) | 1 (0; 1) | 0 (0; 0) | 0.336 | |
| Median mitotic rate [IQR] | 0.6 (0.38; 0.7) | 0 (0; 0.72) | 0.45 (0.22; 0.68) | 0.632 | |
| Personal history of melanoma | No | 27 (100) | 5 (71.43) | 2 (100) | 0.012 |
| Yes | 0 (0) | 2 (28.57) | 0 (0) | ||
| Nevus-associated melanoma | No | 17 (62.96) | 7 (100) | 2 (100) | 0.099 |
| Yes | 10 (37.04) | 0 (0) | 0 (0) | ||
| Variable | TERT Negative Nevus (10–50%, <10%, 0%) | TERT Positive Nevus (>50%) | p-Value | |
|---|---|---|---|---|
| Sex N (%) | M | 11 (47.83) | 7 (43.75) | 0.802 |
| F | 12 (52.17) | 9 (56.25) | ||
| Median age (years) [IQR] | 34 (27.5; 44) | 25.5 (21.75; 41.5) | 0.803 | |
| Histopathological subtype N (%) | Low-grade dysplastic nevus | 20 (86.96) | 11 (68.75) | 0.319 |
| High-grade dysplastic nevus | 0 (0) | 1 (6.25) | ||
| Dysplastic nevus with an unspecified grade of dysplasia | 2 (8.7) | 3 (18.75) | ||
| Halo nevus | 0 (0) | 1 (6.25) | ||
| Common melanocytic nevus (Dermal nevus) | 1 (4.35) | 0 (0) | ||
| Melanocytes localisation N (%) | Compound nevus | 14 (60.87) | 13 (81.25) | 0.346 |
| Junctional nevus | 8 (34.78) | 3 (18.75) | ||
| Intradermal nevus | 1 (4.35) | 0 (0) | ||
| Nevus localisation N (%) | Head and neck | 1 (4.35) | 0 (0) | 0.695 |
| Trunk | 14 (60.87) | 12 (75) | ||
| Upper limb | 3 (13.04) | 1 (6.25) | ||
| Lower limb | 5 (21.74) | 3 (18.75) | ||
Disclaimer/Publisher’s Note: The statements, opinions and data contained in all publications are solely those of the individual author(s) and contributor(s) and not of MDPI and/or the editor(s). MDPI and/or the editor(s) disclaim responsibility for any injury to people or property resulting from any ideas, methods, instructions or products referred to in the content. |
© 2025 by the authors. Licensee MDPI, Basel, Switzerland. This article is an open access article distributed under the terms and conditions of the Creative Commons Attribution (CC BY) license (https://creativecommons.org/licenses/by/4.0/).
Share and Cite
Zboraș, I.; Ungureanu, L.; Șenilă, S.C.; Petrushev, B.; Zamfir, P.; Crișan, D.; Zaharie, F.A.; Vesa, Ș.C.; Cosgarea, R. TERT Immunohistochemistry in Thin Melanomas Compared to Melanocytic Nevi. Diagnostics 2025, 15, 1171. https://doi.org/10.3390/diagnostics15091171
Zboraș I, Ungureanu L, Șenilă SC, Petrushev B, Zamfir P, Crișan D, Zaharie FA, Vesa ȘC, Cosgarea R. TERT Immunohistochemistry in Thin Melanomas Compared to Melanocytic Nevi. Diagnostics. 2025; 15(9):1171. https://doi.org/10.3390/diagnostics15091171
Chicago/Turabian StyleZboraș, Iulia, Loredana Ungureanu, Simona Corina Șenilă, Bobe Petrushev, Paula Zamfir, Doinița Crișan, Flaviu Andrei Zaharie, Ștefan Cristian Vesa, and Rodica Cosgarea. 2025. "TERT Immunohistochemistry in Thin Melanomas Compared to Melanocytic Nevi" Diagnostics 15, no. 9: 1171. https://doi.org/10.3390/diagnostics15091171
APA StyleZboraș, I., Ungureanu, L., Șenilă, S. C., Petrushev, B., Zamfir, P., Crișan, D., Zaharie, F. A., Vesa, Ș. C., & Cosgarea, R. (2025). TERT Immunohistochemistry in Thin Melanomas Compared to Melanocytic Nevi. Diagnostics, 15(9), 1171. https://doi.org/10.3390/diagnostics15091171

